Download free for 30 days
Sign in
Upload
Language (EN)
Support
Business
Mobile
Social Media
Marketing
Technology
Art & Photos
Career
Design
Education
Presentations & Public Speaking
Government & Nonprofit
Healthcare
Internet
Law
Leadership & Management
Automotive
Engineering
Software
Recruiting & HR
Retail
Sales
Services
Science
Small Business & Entrepreneurship
Food
Environment
Economy & Finance
Data & Analytics
Investor Relations
Sports
Spiritual
News & Politics
Travel
Self Improvement
Real Estate
Entertainment & Humor
Health & Medicine
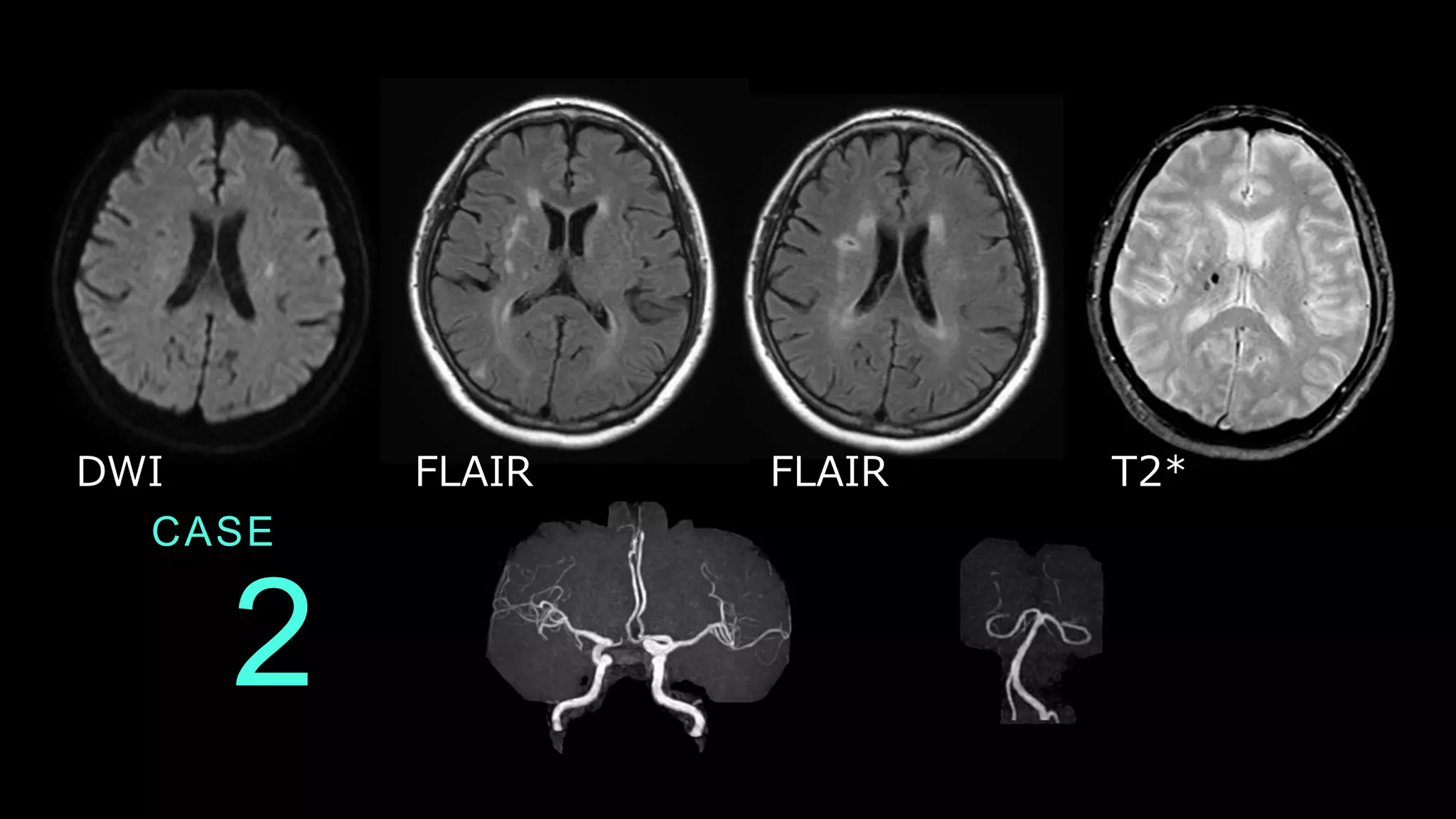
Devices & Hardware
Lifestyle
Change Language
Language
English
Español
Português
Français
Deutsche
Cancel
Save
Submit search
EN
DY
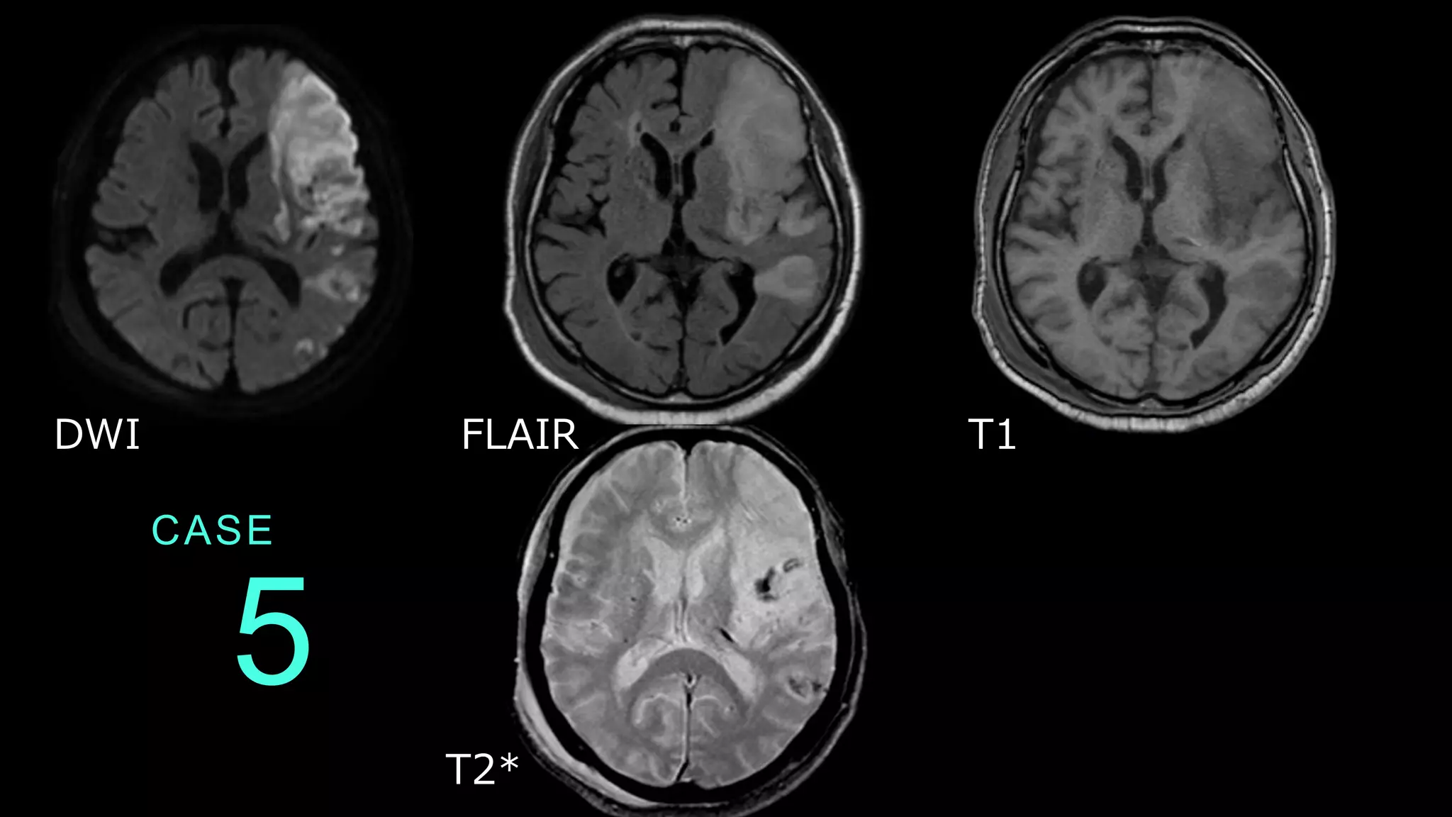
Uploaded by
Daisuke Yamamoto
PDF, PPTX
5,421 views
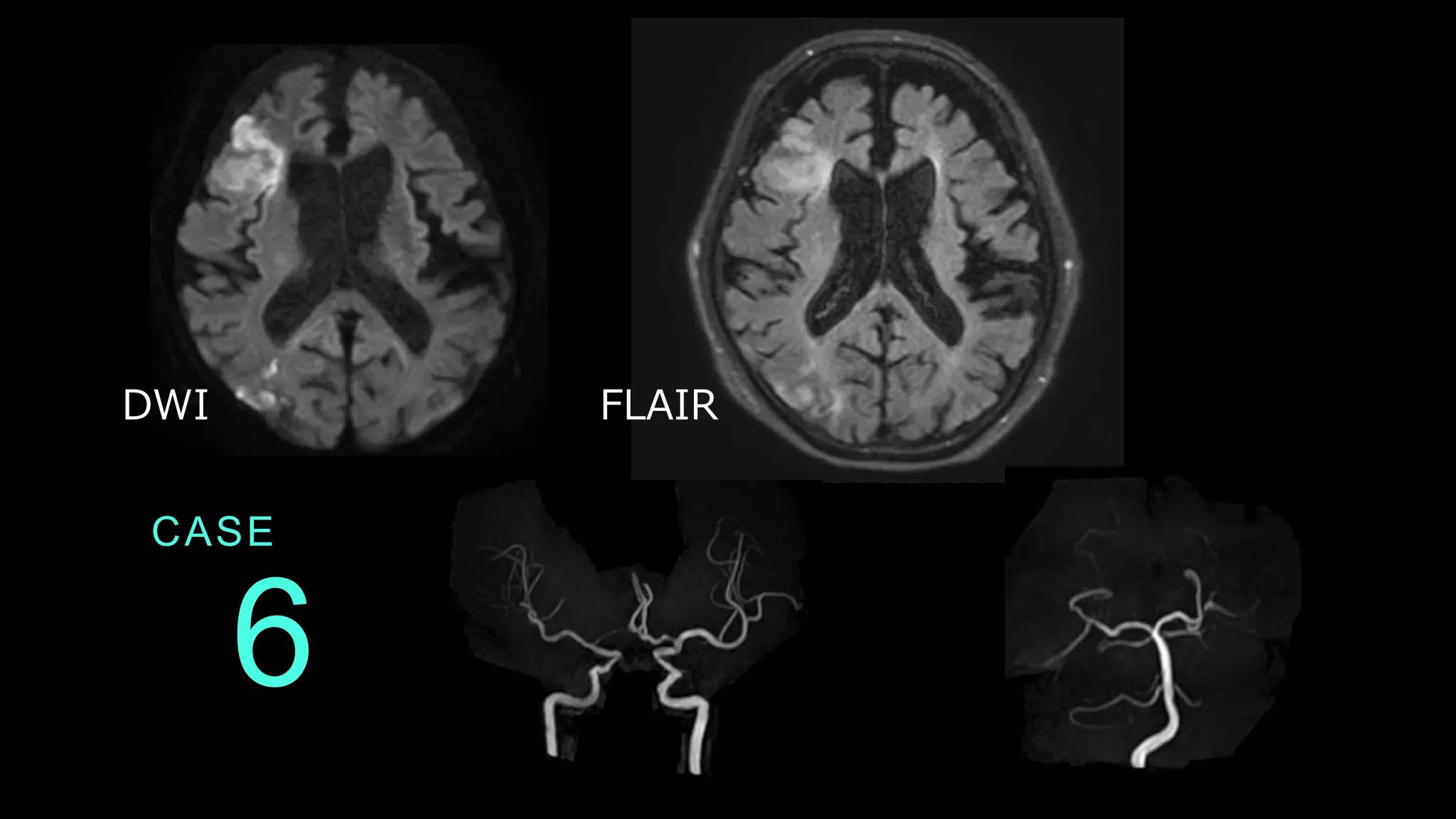
7 Rules for better presentation of brain MRI findings.
You can learn the tips of better presentation of Brain MRI.
Health & Medicine
◦
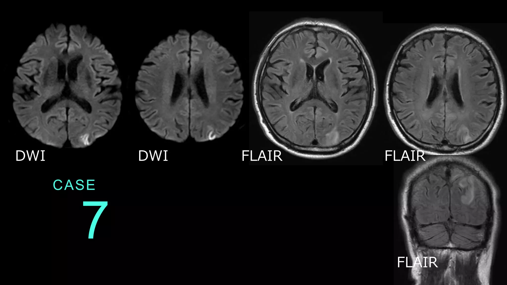
Read more
11
Save
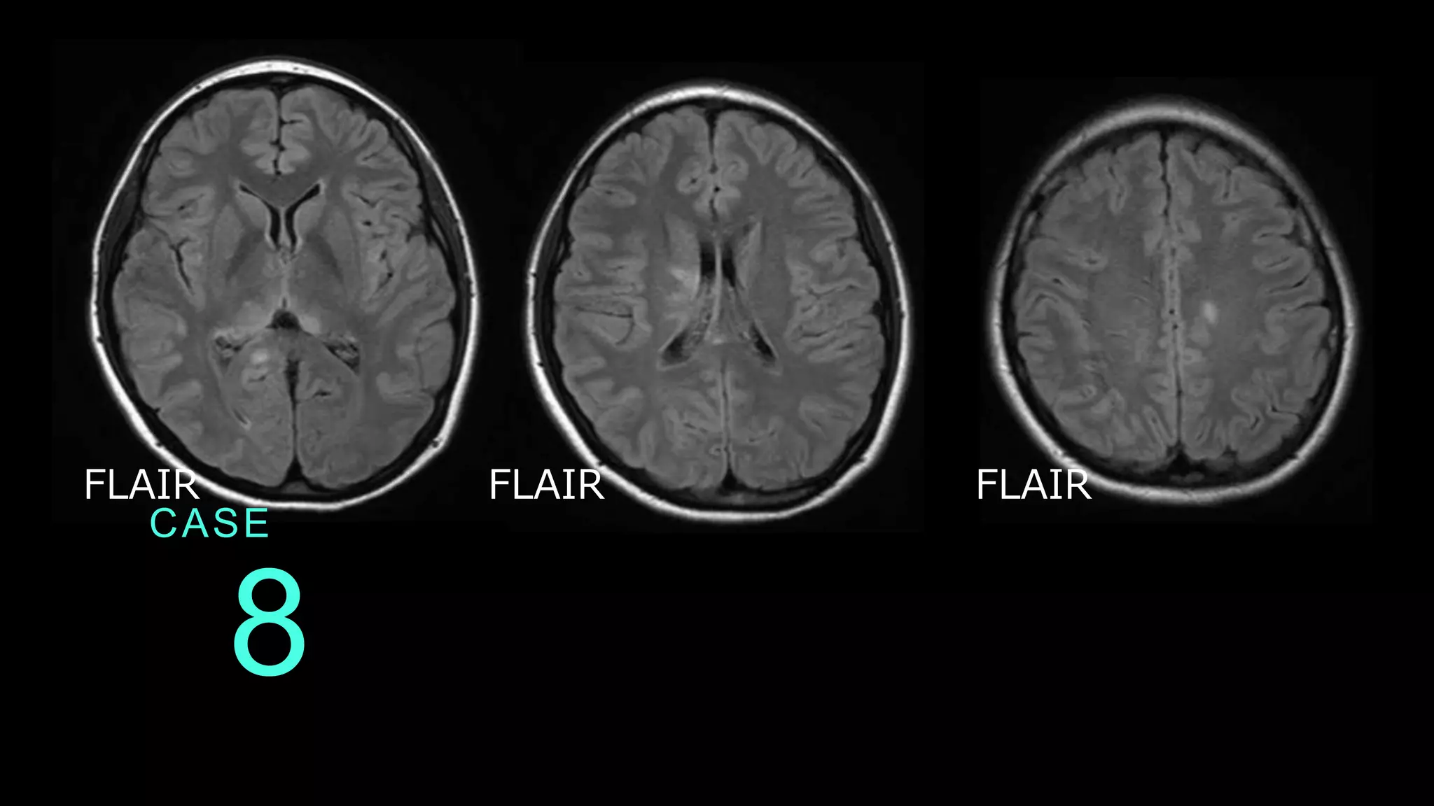
Share
Embed
Embed presentation
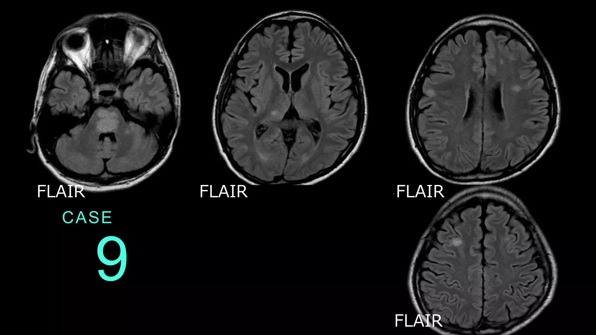
Download
Download as PDF, PPTX
1
/ 76
2
/ 76
3
/ 76
4
/ 76
5
/ 76
6
/ 76
7
/ 76
8
/ 76
9
/ 76
Most read
10
/ 76
Most read
11
/ 76
12
/ 76
13
/ 76
14
/ 76
Most read
15
/ 76
16
/ 76
17
/ 76
18
/ 76
19
/ 76
20
/ 76
21
/ 76
22
/ 76
23
/ 76
24
/ 76
25
/ 76
26
/ 76
27
/ 76
28
/ 76
29
/ 76
30
/ 76
31
/ 76
32
/ 76
33
/ 76
34
/ 76
35
/ 76
36
/ 76
37
/ 76
38
/ 76
39
/ 76
40
/ 76
41
/ 76
42
/ 76
43
/ 76
44
/ 76
45
/ 76
46
/ 76
47
/ 76
48
/ 76
49
/ 76
50
/ 76
51
/ 76
52
/ 76
53
/ 76
54
/ 76
55
/ 76
56
/ 76
57
/ 76
58
/ 76
59
/ 76
60
/ 76
61
/ 76
62
/ 76
63
/ 76
64
/ 76
65
/ 76
66
/ 76
67
/ 76
68
/ 76
69
/ 76
70
/ 76
71
/ 76
72
/ 76
73
/ 76
74
/ 76
75
/ 76
76
/ 76
More Related Content
PDF
第3回 「頭痛」
by
清水 真人
PDF
Treatment of Delirium 使いながら覚える実践的せん妄治療薬
by
Daisuke Yamamoto
PDF
第4回 「痺れ」
by
清水 真人
PPTX
不明熱〜身体診察〜_General Medicine Interest Group
by
Kiyoshi Shikino
PDF
第6回 「腰背部痛」
by
清水 真人
PDF
カフェイン中毒
by
清水 真人
PPTX
ステロイドの使い方
by
帝京大学ちば総合医療センター
PDF
腹部救急あんちょこスライド
by
弘 三原
第3回 「頭痛」
by
清水 真人
Treatment of Delirium 使いながら覚える実践的せん妄治療薬
by
Daisuke Yamamoto
第4回 「痺れ」
by
清水 真人
不明熱〜身体診察〜_General Medicine Interest Group
by
Kiyoshi Shikino
第6回 「腰背部痛」
by
清水 真人
カフェイン中毒
by
清水 真人
ステロイドの使い方
by
帝京大学ちば総合医療センター
腹部救急あんちょこスライド
by
弘 三原
What's hot
PDF
今すぐ使える血ガスの読み方2020
by
Tsuneyasu Yoshida
PDF
第2回 「一過性意識障害, 失神」
by
清水 真人
PDF
MSA update 2022.pdf
by
Takayoshi Shimohata
PPTX
食欲不振 パート1 鑑別診断
by
NEURALGPNETWORK
PDF
第5回 「痙攣,てんかん」
by
清水 真人
PDF
語呂で覚える 緊急気道管理
by
清水 真人
PPTX
頭痛 パート1 鑑別診断へのアプローチ
by
NEURALGPNETWORK
PDF
カンジダ血症レビュー
by
Kuniaki Sano
PDF
Severe ARDSの初期治療
by
清水 真人
PDF
心不全の所見
by
Katsushige Takagishi
PPTX
嘔気嘔吐 鑑別診断 パート1
by
NEURALGPNETWORK
PDF
B 5 肺エコー
by
Katsushige Takagishi
PDF
初期研修医のための学会スライドのキホン
by
k-kajiwara
PPTX
リハ栄養の基礎 潤和発表用
by
Keita Nakamura
PPTX
PCASにおける集中治療管理〜sedationを中心に〜
by
Hideki Arimoto
PPTX
皮膚所見の鑑別 皮膚科医へのコンサルタント【ADVANCED】
by
NEURALGPNETWORK
PDF
急性中毒の救急診療
by
Yuichi Kuroki
PPTX
失神と出血性ショック
by
ShoMyo
PPTX
救急疾患における体温管理の最前線
by
Hideki Arimoto
PPTX
入院患者の発熱へのアプローチ【ADVANCED】
by
NEURALGPNETWORK
今すぐ使える血ガスの読み方2020
by
Tsuneyasu Yoshida
第2回 「一過性意識障害, 失神」
by
清水 真人
MSA update 2022.pdf
by
Takayoshi Shimohata
食欲不振 パート1 鑑別診断
by
NEURALGPNETWORK
第5回 「痙攣,てんかん」
by
清水 真人
語呂で覚える 緊急気道管理
by
清水 真人
頭痛 パート1 鑑別診断へのアプローチ
by
NEURALGPNETWORK
カンジダ血症レビュー
by
Kuniaki Sano
Severe ARDSの初期治療
by
清水 真人
心不全の所見
by
Katsushige Takagishi
嘔気嘔吐 鑑別診断 パート1
by
NEURALGPNETWORK
B 5 肺エコー
by
Katsushige Takagishi
初期研修医のための学会スライドのキホン
by
k-kajiwara
リハ栄養の基礎 潤和発表用
by
Keita Nakamura
PCASにおける集中治療管理〜sedationを中心に〜
by
Hideki Arimoto
皮膚所見の鑑別 皮膚科医へのコンサルタント【ADVANCED】
by
NEURALGPNETWORK
急性中毒の救急診療
by
Yuichi Kuroki
失神と出血性ショック
by
ShoMyo
救急疾患における体温管理の最前線
by
Hideki Arimoto
入院患者の発熱へのアプローチ【ADVANCED】
by
NEURALGPNETWORK
More from Daisuke Yamamoto
PPTX
ジェネラリストのためのてんかん診療のススメ
by
Daisuke Yamamoto
PPT
脳炎/脳症 ERでできること できないこと
by
Daisuke Yamamoto
PDF
良性しびれから、しびれ診療をはじめよう。
by
Daisuke Yamamoto
PDF
ERでの非専門医のためのけいれん/てんかん診療ストラテジー
by
Daisuke Yamamoto
PDF
treatment of migraine 片頭痛診療、はじめの一歩。
by
Daisuke Yamamoto
PPT
ERで遭遇する脳以外の神経疾患入門
by
Daisuke Yamamoto
PDF
抗てんかん薬できったてんかん診療入門
by
Daisuke Yamamoto
PDF
Sollid treatment for aseptic meningitis 手堅い、無菌性髄膜炎診療。
by
Daisuke Yamamoto
PDF
the basic medical treatment of stroke 内科的脳梗塞診療の基本を押さえる。
by
Daisuke Yamamoto
PDF
diagnostic table for stroke まずはここから!脳梗塞の臨床病型診断入門
by
Daisuke Yamamoto
PDF
自分でパーキンソン病を疑い、紹介しよう!
by
Daisuke Yamamoto
PPT
ERの、そのてんかん発作を評価する。
by
Daisuke Yamamoto
PDF
認知症についてじぶんのことばで説明しよう。
by
Daisuke Yamamoto
PPT
Neurological examination and diagnostic approach for motor disorder
by
Daisuke Yamamoto
PDF
About Surfer's myelopathy サーファーズミエロパチー
by
Daisuke Yamamoto
PDF
パーキンソン病患者さん、ご家族のためのガイドライン解説
by
Daisuke Yamamoto
PDF
実践しよう!皮下輸液。
by
Daisuke Yamamoto
PPTX
Neurological examination (in Japanese)
by
Daisuke Yamamoto
PPT
ラコサミドを中心とした救急病院での入院てんかん治療戦略
by
Daisuke Yamamoto
PDF
How to switch oral antiparkinsonian drugs to intravenous drugs in Parkinson d...
by
Daisuke Yamamoto
ジェネラリストのためのてんかん診療のススメ
by
Daisuke Yamamoto
脳炎/脳症 ERでできること できないこと
by
Daisuke Yamamoto
良性しびれから、しびれ診療をはじめよう。
by
Daisuke Yamamoto
ERでの非専門医のためのけいれん/てんかん診療ストラテジー
by
Daisuke Yamamoto
treatment of migraine 片頭痛診療、はじめの一歩。
by
Daisuke Yamamoto
ERで遭遇する脳以外の神経疾患入門
by
Daisuke Yamamoto
抗てんかん薬できったてんかん診療入門
by
Daisuke Yamamoto
Sollid treatment for aseptic meningitis 手堅い、無菌性髄膜炎診療。
by
Daisuke Yamamoto
the basic medical treatment of stroke 内科的脳梗塞診療の基本を押さえる。
by
Daisuke Yamamoto
diagnostic table for stroke まずはここから!脳梗塞の臨床病型診断入門
by
Daisuke Yamamoto
自分でパーキンソン病を疑い、紹介しよう!
by
Daisuke Yamamoto
ERの、そのてんかん発作を評価する。
by
Daisuke Yamamoto
認知症についてじぶんのことばで説明しよう。
by
Daisuke Yamamoto
Neurological examination and diagnostic approach for motor disorder
by
Daisuke Yamamoto
About Surfer's myelopathy サーファーズミエロパチー
by
Daisuke Yamamoto
パーキンソン病患者さん、ご家族のためのガイドライン解説
by
Daisuke Yamamoto
実践しよう!皮下輸液。
by
Daisuke Yamamoto
Neurological examination (in Japanese)
by
Daisuke Yamamoto
ラコサミドを中心とした救急病院での入院てんかん治療戦略
by
Daisuke Yamamoto
How to switch oral antiparkinsonian drugs to intravenous drugs in Parkinson d...
by
Daisuke Yamamoto
7 Rules for better presentation of brain MRI findings.
1.
Daisuke Yamamoto Department of
Neurology, Shonan Kamakura General Hospital Seven rules for better presentation of brain MRI findings 頭部MRIを 自信を持ってプレゼンする 7 Rules
2.
Introduction 頭部MRIを自分でオーダーして、どのように画像を取り扱っていますか? 中枢神経系分野を専門にしない場合には、どのように画像をみて、記載し、ま た、プレゼンテーションするのか?ということについて、苦手意識がある方も おられると思われます。このスライドでは、頭部MRIを、それなりに堂々とプ レゼンテーションできるようになることを目標にしたものです。頭部MRI画像 のプレゼンで、ちゃんと画像所見に向き合っているな!と思わせられるような 最低限のポイントを学んでください。平易さを重んじて、ルールにまとめて記 載しましたので、ルールに沿って表現してみて下さい。
3.
撮像条件について T2とかT1とか、どういう意味かを大まかに捉える。 少しでも馴染みを持って理解しよう。
4.
まずはじめに、 細かいことですが、撮像(さつぞう)なのです。 まずこのタームを押さえましょう。 MRIは撮像(さつぞう)です。CTは撮影(さつえい)です。 「MRIをサツゾウしましたところ・・・・・・」とまずは、このフレーズから 会話が始まりますので、開始に登場する”撮像”を押さえましょう。 また、病変の画像変化はMRIは信号(intensiy)であり、CTは濃度(density)です。 例えば、MRIでは、高信号病変は high intensity
lesionです。 この、MRIとCTのタームの違いを最初に押さえましょう。
5.
ここでは実践的な知識の伝達をテーマとさせてください。 T1強調画像:『脳の形がよくわかる画像』と理解して下さい。 T2強調画像:『病変が白く見える画像』 と理解して下さい。 T1は形態評価に使う画像、T2は病変を評価するために使う画像、と まずは大雑把な画像の意味を理解しましょう。 T1強調画像=T1 weighted
Image (T1WI) T2強調画像=T2 weighted Image (T2WI)
6.
T2では、髄液が白く、病変も白く見える(白の中に白を探すことになる)のでコ ントラストがわかりにくいわけです。FLAIRはT1+T2強調画像として解釈され、 T1の特徴で髄液が黒くなり、病変は白いので、黒の中に白を探せることになり、 コントラストがついて見やすくなります。つまり、FLAIRは、T2強調画像の見や すいバージョンと言ってもいいかもしれません。よって極論をいうなら、『FLAIR をみればよい』と言うことになります。 まとめると、T1強調画像:形をみる。T2強調画像:病変をみる。FLAIR:病変が より見やすい。よって、いずれか病変が指摘できる場合には、FLAIRを提示する、 としてみてください。FLAIRをみればいい、とここでは伝えます。 そして重要なFLAIR。 ここではFLAIRをみよう、とお伝えします。 FLAIR→T1+T2強調画像として理解。 FLAIRはT2の見やすいバージョン。
7.
FLAIRをみればいい。 1 RULE
8.
DWIについて DWI:Diffusion Weighted Image 拡散強調画像
9.
脳梗塞が白く(高信号で)みえる撮像条件です。臨床においては、脳梗塞評価は 一番と言っていいほど、MRIをオーダーする理由になります。その脳梗塞を判定 できるDWIは有用です。臨床現場的には、DWIでの信号変化の有無が、まずは知 りたいところです。よって、プレゼンの最初には、DWIを提示するのがいいで しょう。 DWIは、頻用する便利な撮像方法です。 みな、DWIでの信号変化を知りたいので、 まずはDWIを提示しましょう。
10.
DWIの高信号病変は、まずは脳梗 塞を考慮します。脳梗塞は最もコモ ンな疾患の一つであり、変調があっ た場合の上位鑑別になります。よっ て、DWIの変化はプレゼンでは一 番知りたい情報になります。 DWIで高信号
11.
まずはDWIを提示する。 2 RULE
12.
様々な撮像条件の 意味について 色々ある撮像条件を どのようにプレゼンするのか。
13.
ここでは、脳梗塞病変をもとに、撮像条件の組み合わせることの意味について理 解しましょう。脳梗塞を例にすると、この撮像条件の組み合わせの話がすっきり 理解しやすいです。脳梗塞では、撮像条件の組み合わせで病変の新しさ、古さが 評価可能です。これを「時相の違い」と表現します。撮像条件の比較による解釈 は、ある病変の意味を付加できることになります。 意味の解釈はプロに委ねるとして、記載は試みてみましょう。脳梗塞病変では、 次スライドのごとく、時相の違いが表現されます。 T1、T2、FLAIR、DWIとここまで学んできました。 それぞれの画像で得られる情報には、 それぞれ意味があります。
14.
時間経過でみる脳梗塞画像の変化 DWI→FLAIR→T1で 経時的に変化がある。 DWI FLAIR T1 1時間後の病変
HIGH ISO ISO 24時間後の病変 HIGH HIGH ISO 1週間後の病変 淡いHIGH HIGH LOW 1か月後の病変 ISO 淡いHIGH LOW
15.
ラクナ梗塞を例に、MRI所見を記載してみます。 所見:「DWIでは、左側の内包後脚部分に、高信号(HIGHな)病変がある。 同病変はFLAIRでは、信号変化は明らかでない(ISO intensity)。 よって、超急性期の脳梗塞疑いである。」 例:新しい脳梗塞
16.
所見:「DWIでは、橋左側にHIGHな病変があり。同病変は、FLAIRでもHIGHである。 よって、発症からやや時間の経過した病変であると推測される。」 ある病変の画像異常が指摘された時、他の撮像条件ではどのように見えるのか、を併記し てみてください。DWIで指摘される高信号病変は、FLAIRでは●、T1では●、といった具 合です。 例:やや新しい 脳梗塞
17.
病変を撮像条件ごとに HIGH, LOW, ISOで表現する。 3 RULE
18.
MRAについて MRA:MR Angiography MRIでは一緒に、頭蓋内血管の評価も可能です。
19.
簡便に、という言葉を言い換えるなら、造影剤を使用せずに血管系の評価が可能で ある、という意味です。 血管評価の正確さにおいては、CT angiography(造影CT)に軍配があがります。 MRAも、MRI検査を行う時にはルーチンで検討されるべき撮像条件です。 MRAで理解していただきたいことは、以下の内容です。 前方循環系と後方循環系に分けて評価すること、 最低限の血管の名前を知ること、 の2点です。 続いてMRAについてです。 MRI検査では、MR
angiographyという血管系評価が、 簡便に行えることが大きな特徴です。
20.
脳への血流は、二通りの循環に分かれていることを意識して下さい。臨床的には、 前方循環系に起こった問題なのか、後方循環系に起こった問題なのか、はたまた、 両方にまたがった問題なのか、が重視されています。血管障害に関連した疾患の評 価においては、ことさらこれが重要視されます。実際にMRA画像で、前方循環系と 後方循環系の画像が分離して作成されていることも思い出しましょう。 前方循環と 後方循環にわけて 前方循環 後方循環
21.
MRAは前方循環、後方循環 わけてみること。 4 RULE
22.
頭蓋内血管の 最小限の名称について シンプルなので、これは覚えましょう。
23.
前方循環、後方循環それぞれ三つずつ覚えましょう。 前方循環系:内頸動脈 ICA 中大脳動脈
MCA 前大脳動脈 ACA 後方循環系:椎骨動脈 VA 脳底動脈 BA 後大脳動脈 PCA 解剖知識がでてくると、 学習の阻害要因になってしまいがちなのですが、 最小限、学んでください。 ミニマムではそこまで難しくありません。
24.
血管の名称とともに、以下のフレーズも覚えると便利です。 ・動脈硬化性変化が強い(オールマイティな表現。) ・狭窄がある ・蛇行している (蛇行は動脈硬化を反映した変化である。) ・口径不整が目立つ (よく使う。血管がデコボコしている感じ。) 例:「左MCAの狭窄が認められ、描出不良です。」 血管の名称 MCA
ACA MCA ICA VA BA PCA
25.
最小限の血管は覚える。 5 RULE
26.
T2*は結構大切 T2*(ティーツースター)は重要。 ルーチンで加えられるべき撮像条件。
27.
概ねルーチンで撮像されることが多いので、T2*は必修内容であります。 ヘモグロビン(出血病変)は代謝されるとヘモジデリンに変化します。 T2*はヘモジデリン沈着が低信号で表現される条件です。出血病変につ いて臨床情報を増やしてくれます。 Microbleeds (Cerebral microbleeds:
CMBs)というタームを覚えて 下さい。これは、過去の微少脳出血を表現しています。Microbleedsが確 認できるなら、その人は脳出血のハイリスクであることが理解できます 。他の撮像条件に加えて、T2*も、目を通してもらいたいです。 T2*強調画像について。 T2*→「ティーツースター」と読みます。 出血病変が低信号で見えます。
28.
T2*は、出血病変かどうかに悩んだ時に有用です。いつも目を通すようにしてみて 下さい。また、上記のようなmicrobleedsの存在は、抗血栓薬を導入する場合の、 出血リスクを勘案するのにも、臨床情報になりえます。抗血栓薬を使用する診療科 の先生は、投与前にMRI情報を確認してみて下さい。 T2*強調画像 基底核レベルでT2*で点状の低信号域あり。 Microbleedsとして評価される。陳旧性の微少出 血脳出血評価。FLAIRではよくわからない。
29.
T2*にも言及する。 6 RULE
30.
最後のルール 脳の場所を表現する やはり病変の場所は記載が必要です。
31.
大雑把な説明といて、加えていただきたいのは皮質か白質か?です。この表現を 加えるだけで、少し立体的になります。「皮質に高信号病変がある」「白質病変 がある」「皮質を含んだ白質に病変がある」と記載してみて下さい。 1 皮質にある 白質にある ①「皮質を含んだ白質に 高信号変化がある。」 ②「白質に病変がある。」 ① ②
32.
これも許容範囲でしょう。大脳の病変、小脳の病変。 また大脳と小脳をつないでいる脳幹の病変。ミニマムではこの記載をしましょう。 2 大脳・小脳 脳幹 大脳 小脳脳幹
33.
大脳は4つの領域に分けられます。 細かい表現をさけるなら、「前頭葉に病変がある」、でいいと思います。 これが記載できれば十分です。 3 前頭葉 頭頂葉 側頭葉
後頭葉
34.
基底核レベルのスライス/放線冠レベルのスライス 脳の内部病変においてはこの二つのスライスにある、という表現方法を加えてみ て下さい。脳の深い部分を表現するのに便利な表現です。また脳梗塞病変を表現 するのに便利な表現ですので、覚えてみて下さい。 例:「放線冠レベルのスライスにDWIで高信号病変がある」 4 基底核レベル 放線冠レベル 基底核レベル 放線冠レベル
35.
最低限の解剖部位を 表現に加える。 7 RULE
36.
ケーススタディ ここからは、いくらかケースのMRIを 記載していきます。
37.
画像提示の順番 まずはDWIから見せましょう(ルール2) 指摘できる病変がDWI・FLAIRでそれぞれどう見えるか表現しましょう(ルール3) とりあえず一枚だけ見せるならFLAIRを見せましょう(ルール1) T2*も加えましょう(ルール6) MRAは最後に提示しましょう(ルール4/5) 病変がどこにあるのか、記載しましょう(ルール7) DWI FLAIR T2*
MRA
38.
1 CASE DWI FLAIR T2*
39.
1 CASE DWIでは基底核レベルのスライスで左側に高信号病 変を認める。FLAIRでは同病変は等信号である。 T2*ではmicrobleedsは認めない。 DWI FLAIR
40.
1 CASE MRAでは、前方循環系・後方循環系ともに目立った 血管狭窄病変は認められない。
41.
1 CASE コメント: DWI HIGH、FLAIR ISOの信号変化 であり、超急性期の脳梗塞病変です。 左の中大脳動脈(MCA)の穿通枝領域 梗塞。 脳梗塞疑いの場合には、血管支配に一 致した病変であるかどうかを検討して います。 これは典型的なラクナ梗塞画像。
42.
2 CASE DWI FLAIR FLAIR
T2*
43.
2 CASE DWIで放線冠レベルのスライスで 淡い高信号の白質病変を認める。 DWI
44.
CASE 2 DWIで指摘された病変はFLAIRでは目立たない。 FLAIRでは、脳室周囲の白質に高信号病変が散在し ている。 FLAIR FLAIR
45.
2 CASE T2*では、右側大脳の基底核レベルのスライスに、 microbleedsが指摘できる。 T2*
46.
CASE 2 MRAでは、前方循環・後方循環ともに全体的 な口径不整や血管蛇行が目立つ。
47.
2 CASE コメント: FLAIRでは脳室周囲の白質に高 信号病変を認め、陳旧性虚血性 変化があります。T2*では出血 痕があり、MRAでも動脈硬化性 変化が指摘できます。総じては 血管障害リスクが高い、と読み 取れます。 症例はDWIで指摘される、ラク ナ梗塞。
48.
CASE 3 DWI FLAIR T2*
49.
CASE 3 DWIでは左側の脳幹に高信号病変を認める。 同病変は、FLAIRではやや高信号を呈している。
50.
CASE 3 MRAでは前方循環系はICAの口径不整が認められる。 後方循環系は、左のVAが右より細く描出されている。
51.
CASE 3 コメント: 脳幹のラクナ梗塞。DWI HIGHでFLAIRもHIGHなので、 やや時間のたった病変であることがポイントです。 なお、左VAは先天的な低形成と推測されます。
52.
CASE 4 DWI DWI FLAIR
53.
CASE 4 DWIでは、左側小脳に散在性の高信号病変を認める。 同病変はFLAIRでは目立たない。 DWI DWI
FLAIR
54.
CASE 4 MRAでは粗大な血管狭窄病変は、前方循環と後方循環 ともに、目立たない。後方循環系は血管蛇行が認めら れる。
55.
CASE 4 コメント:小脳梗塞症例。小脳への血流は後方循環系 によるので、臨床情報としては、後方循環系の血管狭 窄があるかどうかが知りたい内容になります。
56.
CASE 5 DWI FLAIR T1 T2*
57.
CASE 5 DWIでは左の前頭葉を中心に、皮質を含んだ白質に広 範な高信号病変を認める。同病変はFLAIRでHIGH、 T1WIでLOWである。数日経過した亜急性期の脳梗塞 病変疑いである。 DWI FLAIR
T1
58.
CASE 5 T2*では、DWIでの信号変化を認める病変の内部に低 信号病変を認め、出血病変の合併が示唆される。 DWI T2*
59.
CASE 5 DWI→FLAIR→T1まで信号変化を認めるので、時間の たった脳梗塞病変だとわかる。また、T2*で出血病変 が指摘できた。T2*がなければ判断は難しいので、こ こでは出血性病変の指摘にT2*が役に立った。 DWI FLAIR
T1 T2*
60.
CASE 6 DWI FLAIR
61.
CASE 6 DWIでは右前頭葉の皮質と白質に高信号病変を認める 。また、側頭葉の皮質・白質にも高信号病変がある。 これら病変は、FLAIRでも淡い高信号変化を認める。
62.
CASE 6 ACAは両側左のICAからの血流が主である。 左のVAは描出なく、先天性低形成が疑われる。 これらはnormal variantsと推測される。
63.
CASE 6 コメント:アテローム血栓性脳梗塞症例。皮質と白質 を含む病変であること、前頭葉と側頭葉にあること、 DWIとFLAIRでHIGHであることを述べる。
64.
CASE 7 DWI DWI FLAIR
FLAIR FLAIR
65.
CASE 7 DWIでは左の後頭葉と頭頂葉皮質の高信号変化あり。 FLAIRではDWI病変の皮質を含む白質の淡い高信号変 化を認める。 DWI DWI
FLAIR FLAIR
66.
CASE 7 コメント:脳炎症例。 DWI所見よりもFLAIR所見の方が広い。 ここまでの脳梗塞症例とは画像の違いがわかる。
67.
8 CASE FLAIR FLAIR FLAIR
68.
8 CASE DWIでは信号変化がないので、FLAIRのみ提示。 基底核レベルのスライスで、左側脳室近傍の高信号変化 あり。放線冠レベルのスライスでも、右側脳室に沿った 高信号病変あり。前頭葉白質にも斑状高信号病変あり。
69.
8 CASE コメント:多発性硬化症の症例。他の撮像条件で信号変 化が特になかったので、1つ提示するならFLAIRをみせ よう、という症例。
70.
9 CASE FLAIR FLAIR FLAIR FLAIR
71.
9 CASE FLAIRで高信号病変が散在している。脳幹、脳深部、前 頭葉白質に斑状の高信号病変が認められる。
72.
9 CASE コメント:ADEMの症例。これも1つ提示するなら FLAIR、としてプレゼンする。一部皮質も含むが、白質 病変主体である、というニュアンスを強調している。
73.
10 CASE DWI FLAIR T1 FLAIR
74.
10 CASE DWIでは右側頭頂部に淡いLOWの病変あり。FLAIRで は内部にややHIGHの腫瘤性病変があり、その周囲の白 質に高信号病変がある。同病変はT1ではLOWである。 DWI FLAIR T1
75.
10 CASE コメント:脳腫瘍症例。Mass effectといって、FLAIR HIGHで見える高信号病変が、腫瘤の周囲に認められる。
76.
専門診療科が[体得]している[生きた言語]は、やはりその環境に身 をおいて、このタームでいいんだ、と理解しながらでないと使いに くいものです。このスライドでは、言語表現を絞って、ある程度適 切に表現できる方法を学べるように作成しています。よくわからな い、という感情でブラックボックスにおいてある頭部MRIが、身近 なものになり、臨床に役立つなら幸いであります。 TAKEHOME MESSAGE!
Download