QUIZ 1
Head Trauma. Case Courtesy of Dr. Ahmed Shawky
Answer
Right pareital fissure fracture
Right frontal small epidural hematoma
Right frontopareital subgaleal hematoma
QUIZ 2
Head Trauma. Case Courtesy of Dr. Mahmoud Ibrahim
Answer
Bilateral acute subdural hematomas
Right frontopareital subarchnoid hemorrehage
Diffuse cerebral edema
QUIZ 3
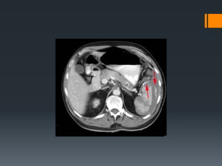
Abdominal Trauma. Case Courtesy of Dr. Mahmoud Ibrahim
Answer
Right diaphragmatic rupture with liver herniation
into the right hemithorax
QUIZ 4
21-year-old male patient presented to ER with headache. No history
of trauma. Case Courtesy of Dr. Abdel Motalaab
Answer
Left heterogenous subdural hematoma showing
multiple blood-fluid levels and internal septae. It
compresses the left lateral ventricle with subfalcine
herniation
QUIZ 5
Facial Trauma. Case Courtesy of Dr. Abdel Motalaab
Answer
Frontal bone/sinus fractures
Abdominal emergency
Abdominal Trauma Acute abdomen
ABDOMINAL TRAUMA
Blunt Trauma Penetrating Trauma
 Abdominal wall trauma
 Haemoperitoneum
 Splenic trauma
 Hepatic trauma
 Renal trauma
 Pancreatic trauma
 Gastrointestinal (bowel) trauma
 Less common abdominal trauma injuries:
o Gallbladder
o Ureter
o Stomach
o Adrenal
 Urinary bladder trauma
 Vascular trauma: abdominal aortic injury
 Diaphragmatic rupture
 Retroperitoneal hemorrhage
 Hypoperfusion complex
ABDOMINAL TRAUMA
Abdominal Wall Trauma
Ultrasound CT
Haemoperitoneum
FAST EXAMINATION
Fluid in Morrison pouch Fluid in splenorenal pouch
Hemopericardium Fluid in Douglas pouch
Extended Fast exam
Pneumothorax detection
CT Protocol
A typical blunt abdominal CT protocol includes portal venous phase images
and selective acquisition of delayed and/or arterial phase images (CT
angiograms).
Liver Trauma
Bile duct injury
https://radiopaedia.org/cases/traumatic-liver-and-bile-duct-
injuries
Splenic Trauma
7- Abdominal trauma 1
7- Abdominal trauma 1
7- Abdominal trauma 1
7- Abdominal trauma 1

7- Abdominal trauma 1