Embed presentation
Download to read offline











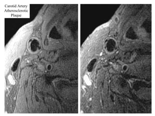
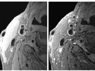
The document describes the Pathway MRITM Carotid Array coil, which is designed for high resolution imaging of small soft tissue structures like the carotid arteries. It provides images showing atherosclerotic plaque buildup in the carotid arteries, including plaque in the common carotid artery, carotid bifurcation, and internal carotid artery stenosis and plaque.










