Embed presentation
Downloaded 16 times













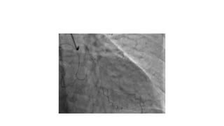
A 57-year-old woman was admitted to the hospital with chest pain. Electrocardiograms and troponin levels were normal. Intravascular ultrasound was performed before placing a stent in the left main coronary artery and left anterior descending artery to treat a blockage. The minimum lumen area increased to 4.24mm x 4.13mm after stenting.











