TUBERKULOSIS (TB)
dr. Muhammad Syaifullah, Sp.P
 Lahir di Pontianak 16 Nov 1973
 Dokter Umum: FK Universitas Indonesia Jakarta 1997
 Spesialis Paru: FK Universitas Indonesia Jakarta 2008
 RSUD dr. H. Chasan Boesoirie Ternate
TUBERKULOSIS (TB)
 Infeksi: masuknya mikroorganisme ke dalam
tubuh manusia
 Penyakit infeksi: terjadinya kerusakan jaringan
akibat infeksi
 Kuman Mycobacterium tuberculosis
 TB paru, TB ekstra paru: limfadenitis, pleuritis,
meningitis, spondilitis, kulit dll
Kontak erat dengan TB aktif
 70% tak terinfeksi, 30%
terinfeksi
 30% terinfeksi5%
progresif dini, 95% infeksi
laten
 95% infeksi laten 5%
progresif lambat, 95% tetap
laten
Sejarah TB
 Penyakit TB sudah ada sejak 2400 SM  spondilitis TB
pada mumi di Mesir
 460 SM Hippocrates memperkenalkan istilah
“phthisis” suatu penyakit menular menyebar di
seluruh dunia dan dapat berkibat fatal.
 1679 Sylvius menemukan gambaran patologis TB
berupa tuberkel pada paru yang dapat berkembang
menjadi abses dan kavitas.
 1720 Benjamin Marten (Inggris) dalam publikasi
ilmiah “A New Theory of Consumption” TB
disebabkan oleh “Wonderfully minute living
creatures” yang bila masuk ke dalam tubuh
menimbulkan lesi dan gejala suatu penyakit.
 1854 Hermann Brehmer disertasi doktoral
“Tuberculosis is Curable Disease”  berkembang
konsep Sanatorium pada pengobatan TB.
Robert Koch (1843-1910) German’s bacteriologist and physician.
1882 Robert Koch
menemukan kuman
Mycobacterium tuberculosis
Mycobacterium tuberculosis
 Tubercle bacilli
 Acid-fast bacilli
 P 2-4µ L 0,2-0,5µ
 Obligat aerob
 Parasit intraselular
fakultatif
 1895 Wilhem Konrad von
Rontgen menemukan radiasi
yang dapat menghasilkan foto
toraks  bentuk dan luas lesi
TB dapat dinilai.
Vaksin BCG (1918-1924)
 1930 International Congress agains Tuberculosis (Oslo)
menyetujui pemakaian vaksin BCG utk program vaksinasi.
Albert Calmette
(1863-1933)
Camille Guerin
(1872-1961)
SEJARAH TERAPI TUBERKULOSIS
 Terapi lintah untuk
pengobatan TB di Eropa
(sampai tahun 1830)
 Pasien TB diterapi dengan transfusi darah kambing (1891)
 1891 Prof Bergmann menyuntik pasien TB.
 Terapi TB menggunakan listrik (1901)
 Terapi TB dengan listrik di Mexico tahun 1910
 Terapi TB menggunakan lampu di Amerika tahun 1920
 Terapi ultraviolet untuk TB sampai tahun 1930
SANATORIUM
 Mengisolasi pasien dari masyarakat, mencegah
penularan ke masyarakat.
 Tinggal di suatu tempat dengan lingkungan yang
bersih dan sehat.
 Berjemur di sinar matahari
 Pemberian nutrisi yang adekuat
 Daya tahan tubuh menjadi lebih baik
 Membantu penyembuhan TB
 1920-1930 Perrysburg sanitarium of tuberculosis.
Group of tuberculosis children taking sun and open air to cure tuberculosis.
Perrisburgh Sanatorium NY, 1920-1930.
Sejarah kemoterapi TB
 1943 Streptomicin
ditemukan oleh
dr. Selmann Walksman,
dipakai secara luas tahun
1944.
Tahun 1947 15% pasien TB
telah resisten terhadap
streptomicin.
 1949 p-aminosalicylic acid (PAS)
 1952 isoniazid (INH)
 1954 pirazinamid
 1955 cycloserine
 1960 rifampicin
TUBERKULOSIS
 Kumannya telah ditemukan 130 tahun yang lalu.
 Obat telah ditemukan 69 tahun yang lalu
• Masalah?
Toman’s tuberculosis
2004
 Angka kesakitan (morbiditas) tinggi
 Penyebab kematian no. 1 di antara penyakit
infeksi.
 Mengganggu kesehatan, menjadi beban
psikologis, sosial dan ekonomi.
Tanda dan gejala
Batuk lama
Sesak napas
Batuk darah
 Toman’s tuberculosis, 2004.
Mengapa
sulit diberantas?
1. Faktor kuman: Mycobacterium tuberculosis
Mycobacterium tuberculosis
 Dinding sel mengandung peptidoglikan , 60% lipid
(asam mikolat, Cord factor, wax D): tahan terhadap
bermacam antibiotik, suasana asam dan basa, tahan
thd lisis osmotik oleh komplemen, dapat hidup dalam
makrofag
 4 populasi kuman TB:
 A aktif membelah diri, ada di dinding kavitas, pH
netral
 B dorman, kadang-kadang aktif membelah diri
 C kuman yang tumbuh lambat, lingkungan pH
asam
 D dorman sepenuhnya
2. Penyebaran mudah
 Batuk
 Bicara
 Bersin
 Bernyanyi
 1 kali batuk, bicara 5 menit, menyanyi 1 menit  3000
droplet nuclei yang infeksius
 Bersin  lebih banyak droplet nuclei dihasilkan
 Droplet nuclei adalah partikel kecil berukuran < 5 µ
yang mengandung tubercle bacilli.
Batuk
Bersin
3. Pengobatan tidak adekuat
 Underdiagnosis – overdiagnosis
 Undertreatment – overtreatment
 Diagnosis dan pengobatan tidak mengikuti pedoman
(masyarakat mempunyai hak untuk didiagnosis TB
dan diobati dengan benar)
4. Koinfeksi TB – HIV atau TB
disertai penyakit lain:
 Diabetes mellitus
 Alergi terhadap OAT
 Lepra
 Kanker paru
5. Banyak muncul kasus TB resisten
obat
 Monoresisten
 Poliresisten
 Resistensi ganda (multidrug resisten/MDR)
 Extended drug resistant (XDR)
 Totally drug resistant (TDR)
Pemecahan masalah?
Prinsip-prinsip diagnosis TB (ISTC
2009)
1. Setiap orang dengan batuk produktif
2-3 minggu atau lebih yang belum
jelas penyebabnya harus dievaluasi
apakah mengidap TB atau tidak.
2. Semua pasien yang dicurigai TB
harus menjalani pemeriksaan dahak
secara mikroskopis sekurang-
kurangnya 2 kali pemeriksaan dan
minimal 1 kali pemeriksaan harus
memakai dahak di pagi hari.
3. Setiap pasien yang dicurigai
mengidap TB ekstra paru harus
diambil spesimen yang berasal dari
organ yang dicurigai untuk
pemeriksaan mikroskopis, kultur
dan histopatologi.
4. Setiap orang yang gambaran foto
toraksnya dicurigai TB harus
menjalani pemeriksaan dahak secara
mikroskopis.
5. Diagnosis TB BTA (-) harus didasarkan
pada: pemeriksaan sputum BTA
minimal 2 kali pemeriksaan negatif
(sekurang-kurangnya 1 kali sputumnya
diambil pagi hari), foto toraksnya
menunjukkan gambaran TB dan tidak
respons setelah diberikan antibiotik
non-kuinolon spektrum luas.
Pasien dengan sakit yang serius atau
dicurigai terinfeksi HIV dan kuat
kecurigaan ke arah TB harus segera
diberikan OAT tanpa harus menunggu
hasil pemeriksaan sputum BTA secara
mikroskopis.
6. Diagnosis TB intratoraks pada anak harus
berdasarkan hal-hal sbb: konfirmasi
bakteriologis dengan pemeriksaan
ekspektorasi sputum, bilasan lambung
atau induksi sputum, bila hal di atas tidak
memungkinkan harus ditanyakan adakah
kontak dekat dengan dengan penderita TB
yang infeksius, ada bukti terinfeksi TB (uji
tuberkulin atau IFNγ yang positif), foto
toraks menunjukkan gambaran TB dan
klinis menunjang ke arah TB.
Pengobatan TB  kemoterapi
Obat
Kegiatan
bakterisid
dini
Mencegah
resistensi
obat
Kegiatan
sterilisasi
Isoniazid ++++ +++ ++
Rifampisin ++ +++ ++++
Pirazinamid + + +++
Streptomisin ++ ++ ++
Etambutol ++ - +++ ++ +
Paling tinggi ++++ Tinggi +++ Sedang ++ Kurang +
Paduan (regimen) yang tepat
Kategori
Program
Kasus Paduan OAT
Program Nasional
Paduan
alternatif
I
TB paru BTA+ kasus baru
BTA -, lesi luas/kasus berat
TB ekstrapulmonal berat
TB kasus berat HIV +
2 HRZE/ 4 H3R3
2 HRZE/ 4 HR
II
Kambuh
Gagal Pengobatan
Putus berobat
2 HRZES/ 1 HRZE
5 H3R3E3
2HRZES/1 HRZE
5 HRE
III
TB paru BTA -
lesi minimal,HIV -
Ekstrapulmonal ringan HIV -
2 HRZE/ 4 H3R3
2 HRZE/ 6 HE
2 HR Z/ 4 HR
2 HR Z/ 6 HE
IV
TB Kronik
MDR TB
Rujuk ke spesialis
Untuk mendapat
OAT lini 2
Dosis OAT
Obat Per hari 3x/Minggu
INH 5 (4-6), max 300/h 10
RIF 10 (8-12), max 600/h 10 (8-12) max 600/h
PZA 25 (20-30) 35 (30-40)
EMB
anak: 20 (15-25)*
dewasa: 15 (15-20)*
30 (25-35)
Streptomisin 15 (12-18) 15 (12-18)
ISTC Training Modules 2008
DOSIS KDT (Kombinasi Dosis Tetap) - WHO
Fase awal Fase lanjutan
2 bulan 4 bulan 6 bulan
RHZE* or RHZ RH EH*
Pasien Berat badan Sehari Sehari 3x seminggu Sehari
Anak Sampai 7 1 1 1 1
8-9 1.5 1.5 1.5 -
10-14 2 2 2 -
15-19 3 3 3 -
Dewasa 30-37 2 2 2 1.5
38-54† 3 3 3 2
55-70‡ 4 4 4 3
71 keatas 5 5 5 3
* RHZE dan EH (FDC dgn etambutol) hanya digunakan utk pasien dewasa
† Bila menggunakan formulasi anak
‡ Komposisi 4FDC juga menjamin dosis yg memadai jika 50kg dipilih sebagai garis dimana jumlah tablet diganti dari 3 ke 4
per hari
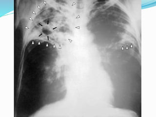
 Laki-laki, 65 th, sebelum OAT
 6 bulan pasca OAT
Pencegahan TB
1. Pencegahan terbaik: menemukan dan mengobati
sumber infeksi  TB paru dan TB laring
2. Pencegahan supaya tidak terinfeksi: ventilasi dan
pencahayaan rumah yang baik
3. Menjaga daya tahan tubuh: pola hidup bersih dan
sehat (cuci tangan, etika batuk, makan makanan
bergizi, berolahraga, cukup istirahat, hindari (rokok,
alkohol dan free sex).
4. Menghindari prilaku risiko tinggi terinfeksi HIV: free
sex dan pemakaian Napza
5. Kontrol gula darah ketat bagi penderita DM
6. Terapi profilaksis terhadap bayi / anak (<5 th) yang
orang tuanya mengidap TB aktif BTA (+)
7. Terapi profilaksis terhadap ODHA yang belum
menderita TB aktif
MDR TB MENGANCAM KITA...
Tuberkulosis Resisten Obat
MDR-TB adalah masalah
perilaku manusia…
Masalah ini menelan banyak
biaya, jiwa, daya dan
merupakan ancaman besar terhadap
strategi penanggulangan TB yang
sedang berjalan pada saat ini.
Multidrug-Resistant TB
“Dalam 5 th terakhir saya telah beberapa kali diberi OAT
tetapi batuk saya tak kunjung reda dan badan makin kurus!”
EB_KONAS TB _2011
TB MDR (Multi Drugs Resistance)
 Apa arti TB MDR?
TB yang disebabkan oleh M.tuberculosis (M.TB) yang
sudah resisten thd OAT lini 1 (Rifampisin & INH saja
atau disertai Strep/Etambutol/ Pirazinamid)
 Mengapa dapat terjadi TB MDR?
Pengobatan TB tidak adekuat: paduan OAT, dosis
OAT, lama pengobatan & keteraturan/ ketaatan
pasien dalam pengobatan.
Sosialisasi MDR TB IDi/Dinihari/30-31 Juli 2010
You just have to
take the pills and
that’s it! E. Jaramillo, 2006
X
•Penatalaksanaan
pasien TB tidak
sesuai standar (ISTC)
Faktor
Utama
Penyebab
TB MDR
•Program
•Petugas Kesehatan
•Pasien
Kesalahan
pada
Sosialisasi MDR TB IDi/Dinihari/30-31 Juli 2010
Program
Komitmen Politik :
Ketidakteraturan supply OAT
Bahan/reagen Laboratoriun yg tdk tersedia
Pemeriksaan laboratorium yang tidak standar
Belum ada regulasi peredaran OAT di pasar obat
Surveilans TB masih lemah
Sosialisasi MDR TB IDi/Dinihari/30-31 Juli 2010
Petugas Kesehatan
Diagnosis tidak tepat
Pengobatan tidak menggunakan paduan
yang tepat
Dosis, jenis, jumlah obat dan jangka waktu
pengobatan tidak adekuat
Penyuluhan kepada pasien yang tidak
adekuat
Pasien
,
Tidak mematuhi anjuran dokter/ petugas
kesehatan
Tidak teratur menelan paduan OAT
Menghentikan pengobatan secara sepihak
sebelum waktunya
Efek samping/ Gangguan penyerapan obat
Pencegahan
Kasus MDR + XDR
1. Penerapan strategi DOTS “yang berkualitas”
2. Penatalaksanaan pasien TB kebal OAT secara
komprehensif
Penanganan
Kasus MDR + XDR
1. Penerapan strategi DOTS “yang berkualitas”
2. Pengobatan pasien TB MDR dengan
Manajemen Terpadu TB Resisten Obat
The March of Resistance
Drug
susceptible
TB *
*or limited
resistance
Manageable with
4 drug regimen -
DOTS
MDR-TB
1990 *
XDR-TB
2006 *
Total DR
?
Resistance
to H&R –
Treatable
with 2nd line
drugs
Resistance to
2nd line drugs
Treatment
options
seriously
restricted
Resistance to all
available drugs
No
treatment
options !!
Clearly worse outcomes in people with HIV infection 72
7/22/2022 72
EB_KONAS TB _2011
Must Act Now Before It is Too Late
TUBERKULOSIS adalah
UJIAN
COBAAN
TANTANGAN
Tn. MN 42 thn
1980 2005 2006
Suntik 2x Di Puskesmas Dahak positif di RS
seminggu krn OAT kategori I Minum OAT 6 bln
penyakit paru selama 2 bln stop tidak ada perubahan
karena muntah &
badan kuning.
JULI 2009
1987 Batuk dahak kuning, sesak,
nyeri dada
Minum OAT + suntik kiri. BTA positif
Nama obat(?). Berhenti 10 agustus 2009
krn badan kuning Batuk darah 1 gelas
Riwayat kontak:
Adik pasien 2 orang menderita TB telah minum OAT, dinyatakan sembuh.
Tetangga pasien sedang berobat TB.
7/22/2022 76
EB_KONAS TB _2011

TB FINAL.pptx

  • 1.
  • 2.
    dr. Muhammad Syaifullah,Sp.P  Lahir di Pontianak 16 Nov 1973  Dokter Umum: FK Universitas Indonesia Jakarta 1997  Spesialis Paru: FK Universitas Indonesia Jakarta 2008  RSUD dr. H. Chasan Boesoirie Ternate
  • 4.
    TUBERKULOSIS (TB)  Infeksi:masuknya mikroorganisme ke dalam tubuh manusia  Penyakit infeksi: terjadinya kerusakan jaringan akibat infeksi  Kuman Mycobacterium tuberculosis  TB paru, TB ekstra paru: limfadenitis, pleuritis, meningitis, spondilitis, kulit dll
  • 5.
    Kontak erat denganTB aktif  70% tak terinfeksi, 30% terinfeksi  30% terinfeksi5% progresif dini, 95% infeksi laten  95% infeksi laten 5% progresif lambat, 95% tetap laten
  • 6.
    Sejarah TB  PenyakitTB sudah ada sejak 2400 SM  spondilitis TB pada mumi di Mesir  460 SM Hippocrates memperkenalkan istilah “phthisis” suatu penyakit menular menyebar di seluruh dunia dan dapat berkibat fatal.  1679 Sylvius menemukan gambaran patologis TB berupa tuberkel pada paru yang dapat berkembang menjadi abses dan kavitas.
  • 8.
     1720 BenjaminMarten (Inggris) dalam publikasi ilmiah “A New Theory of Consumption” TB disebabkan oleh “Wonderfully minute living creatures” yang bila masuk ke dalam tubuh menimbulkan lesi dan gejala suatu penyakit.  1854 Hermann Brehmer disertasi doktoral “Tuberculosis is Curable Disease”  berkembang konsep Sanatorium pada pengobatan TB.
  • 9.
    Robert Koch (1843-1910)German’s bacteriologist and physician. 1882 Robert Koch menemukan kuman Mycobacterium tuberculosis
  • 10.
    Mycobacterium tuberculosis  Tuberclebacilli  Acid-fast bacilli  P 2-4µ L 0,2-0,5µ  Obligat aerob  Parasit intraselular fakultatif
  • 11.
     1895 WilhemKonrad von Rontgen menemukan radiasi yang dapat menghasilkan foto toraks  bentuk dan luas lesi TB dapat dinilai.
  • 12.
    Vaksin BCG (1918-1924) 1930 International Congress agains Tuberculosis (Oslo) menyetujui pemakaian vaksin BCG utk program vaksinasi. Albert Calmette (1863-1933) Camille Guerin (1872-1961)
  • 13.
    SEJARAH TERAPI TUBERKULOSIS Terapi lintah untuk pengobatan TB di Eropa (sampai tahun 1830)
  • 14.
     Pasien TBditerapi dengan transfusi darah kambing (1891)
  • 15.
     1891 ProfBergmann menyuntik pasien TB.
  • 16.
     Terapi TBmenggunakan listrik (1901)
  • 17.
     Terapi TBdengan listrik di Mexico tahun 1910
  • 18.
     Terapi TBmenggunakan lampu di Amerika tahun 1920
  • 19.
     Terapi ultravioletuntuk TB sampai tahun 1930
  • 20.
    SANATORIUM  Mengisolasi pasiendari masyarakat, mencegah penularan ke masyarakat.  Tinggal di suatu tempat dengan lingkungan yang bersih dan sehat.  Berjemur di sinar matahari  Pemberian nutrisi yang adekuat  Daya tahan tubuh menjadi lebih baik  Membantu penyembuhan TB
  • 21.
     1920-1930 Perrysburgsanitarium of tuberculosis.
  • 22.
    Group of tuberculosischildren taking sun and open air to cure tuberculosis. Perrisburgh Sanatorium NY, 1920-1930.
  • 25.
    Sejarah kemoterapi TB 1943 Streptomicin ditemukan oleh dr. Selmann Walksman, dipakai secara luas tahun 1944. Tahun 1947 15% pasien TB telah resisten terhadap streptomicin.
  • 26.
     1949 p-aminosalicylicacid (PAS)  1952 isoniazid (INH)  1954 pirazinamid  1955 cycloserine  1960 rifampicin
  • 27.
    TUBERKULOSIS  Kumannya telahditemukan 130 tahun yang lalu.  Obat telah ditemukan 69 tahun yang lalu • Masalah?
  • 28.
  • 29.
     Angka kesakitan(morbiditas) tinggi  Penyebab kematian no. 1 di antara penyakit infeksi.  Mengganggu kesehatan, menjadi beban psikologis, sosial dan ekonomi.
  • 30.
    Tanda dan gejala Batuklama Sesak napas
  • 31.
  • 32.
  • 33.
  • 34.
    1. Faktor kuman:Mycobacterium tuberculosis
  • 35.
    Mycobacterium tuberculosis  Dindingsel mengandung peptidoglikan , 60% lipid (asam mikolat, Cord factor, wax D): tahan terhadap bermacam antibiotik, suasana asam dan basa, tahan thd lisis osmotik oleh komplemen, dapat hidup dalam makrofag  4 populasi kuman TB:  A aktif membelah diri, ada di dinding kavitas, pH netral  B dorman, kadang-kadang aktif membelah diri  C kuman yang tumbuh lambat, lingkungan pH asam  D dorman sepenuhnya
  • 36.
    2. Penyebaran mudah Batuk  Bicara  Bersin  Bernyanyi  1 kali batuk, bicara 5 menit, menyanyi 1 menit  3000 droplet nuclei yang infeksius  Bersin  lebih banyak droplet nuclei dihasilkan  Droplet nuclei adalah partikel kecil berukuran < 5 µ yang mengandung tubercle bacilli.
  • 37.
  • 38.
  • 41.
    3. Pengobatan tidakadekuat  Underdiagnosis – overdiagnosis  Undertreatment – overtreatment  Diagnosis dan pengobatan tidak mengikuti pedoman (masyarakat mempunyai hak untuk didiagnosis TB dan diobati dengan benar)
  • 42.
    4. Koinfeksi TB– HIV atau TB disertai penyakit lain:  Diabetes mellitus  Alergi terhadap OAT  Lepra  Kanker paru
  • 43.
    5. Banyak munculkasus TB resisten obat  Monoresisten  Poliresisten  Resistensi ganda (multidrug resisten/MDR)  Extended drug resistant (XDR)  Totally drug resistant (TDR)
  • 44.
  • 45.
    Prinsip-prinsip diagnosis TB(ISTC 2009) 1. Setiap orang dengan batuk produktif 2-3 minggu atau lebih yang belum jelas penyebabnya harus dievaluasi apakah mengidap TB atau tidak.
  • 46.
    2. Semua pasienyang dicurigai TB harus menjalani pemeriksaan dahak secara mikroskopis sekurang- kurangnya 2 kali pemeriksaan dan minimal 1 kali pemeriksaan harus memakai dahak di pagi hari.
  • 47.
    3. Setiap pasienyang dicurigai mengidap TB ekstra paru harus diambil spesimen yang berasal dari organ yang dicurigai untuk pemeriksaan mikroskopis, kultur dan histopatologi.
  • 48.
    4. Setiap orangyang gambaran foto toraksnya dicurigai TB harus menjalani pemeriksaan dahak secara mikroskopis.
  • 50.
    5. Diagnosis TBBTA (-) harus didasarkan pada: pemeriksaan sputum BTA minimal 2 kali pemeriksaan negatif (sekurang-kurangnya 1 kali sputumnya diambil pagi hari), foto toraksnya menunjukkan gambaran TB dan tidak respons setelah diberikan antibiotik non-kuinolon spektrum luas.
  • 51.
    Pasien dengan sakityang serius atau dicurigai terinfeksi HIV dan kuat kecurigaan ke arah TB harus segera diberikan OAT tanpa harus menunggu hasil pemeriksaan sputum BTA secara mikroskopis.
  • 52.
    6. Diagnosis TBintratoraks pada anak harus berdasarkan hal-hal sbb: konfirmasi bakteriologis dengan pemeriksaan ekspektorasi sputum, bilasan lambung atau induksi sputum, bila hal di atas tidak memungkinkan harus ditanyakan adakah kontak dekat dengan dengan penderita TB yang infeksius, ada bukti terinfeksi TB (uji tuberkulin atau IFNγ yang positif), foto toraks menunjukkan gambaran TB dan klinis menunjang ke arah TB.
  • 53.
    Pengobatan TB kemoterapi Obat Kegiatan bakterisid dini Mencegah resistensi obat Kegiatan sterilisasi Isoniazid ++++ +++ ++ Rifampisin ++ +++ ++++ Pirazinamid + + +++ Streptomisin ++ ++ ++ Etambutol ++ - +++ ++ + Paling tinggi ++++ Tinggi +++ Sedang ++ Kurang +
  • 54.
    Paduan (regimen) yangtepat Kategori Program Kasus Paduan OAT Program Nasional Paduan alternatif I TB paru BTA+ kasus baru BTA -, lesi luas/kasus berat TB ekstrapulmonal berat TB kasus berat HIV + 2 HRZE/ 4 H3R3 2 HRZE/ 4 HR II Kambuh Gagal Pengobatan Putus berobat 2 HRZES/ 1 HRZE 5 H3R3E3 2HRZES/1 HRZE 5 HRE III TB paru BTA - lesi minimal,HIV - Ekstrapulmonal ringan HIV - 2 HRZE/ 4 H3R3 2 HRZE/ 6 HE 2 HR Z/ 4 HR 2 HR Z/ 6 HE IV TB Kronik MDR TB Rujuk ke spesialis Untuk mendapat OAT lini 2
  • 55.
    Dosis OAT Obat Perhari 3x/Minggu INH 5 (4-6), max 300/h 10 RIF 10 (8-12), max 600/h 10 (8-12) max 600/h PZA 25 (20-30) 35 (30-40) EMB anak: 20 (15-25)* dewasa: 15 (15-20)* 30 (25-35) Streptomisin 15 (12-18) 15 (12-18)
  • 56.
    ISTC Training Modules2008 DOSIS KDT (Kombinasi Dosis Tetap) - WHO Fase awal Fase lanjutan 2 bulan 4 bulan 6 bulan RHZE* or RHZ RH EH* Pasien Berat badan Sehari Sehari 3x seminggu Sehari Anak Sampai 7 1 1 1 1 8-9 1.5 1.5 1.5 - 10-14 2 2 2 - 15-19 3 3 3 - Dewasa 30-37 2 2 2 1.5 38-54† 3 3 3 2 55-70‡ 4 4 4 3 71 keatas 5 5 5 3 * RHZE dan EH (FDC dgn etambutol) hanya digunakan utk pasien dewasa † Bila menggunakan formulasi anak ‡ Komposisi 4FDC juga menjamin dosis yg memadai jika 50kg dipilih sebagai garis dimana jumlah tablet diganti dari 3 ke 4 per hari
  • 57.
     Laki-laki, 65th, sebelum OAT
  • 58.
     6 bulanpasca OAT
  • 59.
    Pencegahan TB 1. Pencegahanterbaik: menemukan dan mengobati sumber infeksi  TB paru dan TB laring 2. Pencegahan supaya tidak terinfeksi: ventilasi dan pencahayaan rumah yang baik 3. Menjaga daya tahan tubuh: pola hidup bersih dan sehat (cuci tangan, etika batuk, makan makanan bergizi, berolahraga, cukup istirahat, hindari (rokok, alkohol dan free sex).
  • 60.
    4. Menghindari prilakurisiko tinggi terinfeksi HIV: free sex dan pemakaian Napza 5. Kontrol gula darah ketat bagi penderita DM 6. Terapi profilaksis terhadap bayi / anak (<5 th) yang orang tuanya mengidap TB aktif BTA (+) 7. Terapi profilaksis terhadap ODHA yang belum menderita TB aktif
  • 61.
  • 62.
    Tuberkulosis Resisten Obat MDR-TBadalah masalah perilaku manusia… Masalah ini menelan banyak biaya, jiwa, daya dan merupakan ancaman besar terhadap strategi penanggulangan TB yang sedang berjalan pada saat ini.
  • 63.
    Multidrug-Resistant TB “Dalam 5th terakhir saya telah beberapa kali diberi OAT tetapi batuk saya tak kunjung reda dan badan makin kurus!” EB_KONAS TB _2011
  • 64.
    TB MDR (MultiDrugs Resistance)  Apa arti TB MDR? TB yang disebabkan oleh M.tuberculosis (M.TB) yang sudah resisten thd OAT lini 1 (Rifampisin & INH saja atau disertai Strep/Etambutol/ Pirazinamid)  Mengapa dapat terjadi TB MDR? Pengobatan TB tidak adekuat: paduan OAT, dosis OAT, lama pengobatan & keteraturan/ ketaatan pasien dalam pengobatan. Sosialisasi MDR TB IDi/Dinihari/30-31 Juli 2010
  • 65.
    You just haveto take the pills and that’s it! E. Jaramillo, 2006 X
  • 66.
    •Penatalaksanaan pasien TB tidak sesuaistandar (ISTC) Faktor Utama Penyebab TB MDR •Program •Petugas Kesehatan •Pasien Kesalahan pada Sosialisasi MDR TB IDi/Dinihari/30-31 Juli 2010
  • 67.
    Program Komitmen Politik : Ketidakteraturansupply OAT Bahan/reagen Laboratoriun yg tdk tersedia Pemeriksaan laboratorium yang tidak standar Belum ada regulasi peredaran OAT di pasar obat Surveilans TB masih lemah Sosialisasi MDR TB IDi/Dinihari/30-31 Juli 2010
  • 68.
    Petugas Kesehatan Diagnosis tidaktepat Pengobatan tidak menggunakan paduan yang tepat Dosis, jenis, jumlah obat dan jangka waktu pengobatan tidak adekuat Penyuluhan kepada pasien yang tidak adekuat
  • 69.
    Pasien , Tidak mematuhi anjurandokter/ petugas kesehatan Tidak teratur menelan paduan OAT Menghentikan pengobatan secara sepihak sebelum waktunya Efek samping/ Gangguan penyerapan obat
  • 70.
    Pencegahan Kasus MDR +XDR 1. Penerapan strategi DOTS “yang berkualitas” 2. Penatalaksanaan pasien TB kebal OAT secara komprehensif
  • 71.
    Penanganan Kasus MDR +XDR 1. Penerapan strategi DOTS “yang berkualitas” 2. Pengobatan pasien TB MDR dengan Manajemen Terpadu TB Resisten Obat
  • 72.
    The March ofResistance Drug susceptible TB * *or limited resistance Manageable with 4 drug regimen - DOTS MDR-TB 1990 * XDR-TB 2006 * Total DR ? Resistance to H&R – Treatable with 2nd line drugs Resistance to 2nd line drugs Treatment options seriously restricted Resistance to all available drugs No treatment options !! Clearly worse outcomes in people with HIV infection 72 7/22/2022 72 EB_KONAS TB _2011
  • 73.
    Must Act NowBefore It is Too Late
  • 74.
  • 76.
    Tn. MN 42thn 1980 2005 2006 Suntik 2x Di Puskesmas Dahak positif di RS seminggu krn OAT kategori I Minum OAT 6 bln penyakit paru selama 2 bln stop tidak ada perubahan karena muntah & badan kuning. JULI 2009 1987 Batuk dahak kuning, sesak, nyeri dada Minum OAT + suntik kiri. BTA positif Nama obat(?). Berhenti 10 agustus 2009 krn badan kuning Batuk darah 1 gelas Riwayat kontak: Adik pasien 2 orang menderita TB telah minum OAT, dinyatakan sembuh. Tetangga pasien sedang berobat TB. 7/22/2022 76 EB_KONAS TB _2011

Editor's Notes