Screening in
Gynaecology
Dr RK Saxena
Professor (O&G)
MVJ MC & RH
Screening
• To detect disease among healthy
population
• Without symptoms of disease
• Purpose: decrease mortality due to
the disease screened
Disease appropriate for screening
• High prevalence of disease
• Known natural history, precursor lesion and
course of progression
• Detection of early stage disease, amenable
to cure
• Method used is simple, cheap, specific and
sensitive, acceptable, risk-free and
accessible
Screening
• Cervical cancer
• Ovarian cancer
• Endometrial cancer
• Breast cancer
Cervical Carcinoma
Carcinoma of the cervix
• Commonest lower genital tract
cancer
• Current age-standardized rate is
22 per 100 000 per annum
• Median age: 50 years
Natural history of low-grade
HPV cervical lesion
• Cervical HPV is very common, related
to sexual behaviour
• High spontaneous remission rate
• LSIL progress to HSIL in 70% in 10 yrs
Cervical cytology
Sensitivity and Specificity
• Overall sensitivity: 61-64%,
• Overall specificity : 60-70%
New technology
• Automation for cervical cancer screening
• Liquid-based cytology(LBC) - thin layer
preparation (Eliminate air-dried artifact,
Inflammatory cells, Blood, mucus)
• HPV testing combined with PAP smear
improves screening
How to take a cervical smear?
Procedure
When not to take a cervical
smear
• Blood in vagina, on the cervix - usually
because of menstruation
• Obvious or gross growth on the cervix -
a biopsy is more appropriate
• Cervix cannot be seen
How to interpret a cytology
report?
PAPANICOLAOU SMEAR REPORTING
– BETHESDA SYSTEM
n Satisfactory / Unsatisfactory for reporting
n Negative for Intraepithelial Lesion - Normal
n Infection ( Organism to be specified)
n Benign (Reactive /Reparative) cellular changes
n ASCUS ( Atypical squamous cells of undetermined
significance)
n LSIL ( Low grade sq intra-epithelial lesion)
n HSIL (High grade sq intra-epithelial lesion)
n Squamous cell carcinoma
How to manage abnormal smear?
Inflammatory changes with
atypia
–could be due to vaginitis or infection
such as monilia, trichomonas, herpes
or condyloma.
–Treat the cause and repeat the smear
4 to 6 months later to ensure that
dysplastic cells were not masked by
the previous inflammatory cells.
Management of LSIL
Management of LSIL
•Only about 1% of LSIL associated with
cancer
•Options:
–repeat smear 4-6 months interval
Management of HSIL / ASCUS
•Colposcopy
•Biopsy of abnormal area
Colposcope
COLPOSCOPY PROCEDURE
• Dorsal lithotomy position
• Clean and drape
• Cusco’s speculum
• Focus Colposcope
– Clean with saline
– 3-5% acetic acid
(Abnormal areas seen as acetowhite areas)
– Lugol’s Iodine
(Abnormal areas seen as Iodine negative areas)
– Take biopsy from edge of abnormal areas (include small part
of normal areas in biopsy specimen)
Biopsy
Area
Colposcopy
nAcetic acid
–coagulation of nuclear
protein preventing
light to pass through
the epithelium
–Higher nuclear density
and higher
concentration of
protein => white
intensity increase
n Schiller / Lugol’s Iodine
– Normal, mature
squamous epithelium
contains abundant
glycogen
– Produce dark brown
stain
– Abnormal epithelium
contains relatively little
or no glycogen
– Remain relative
unstained
Colposcopy Findings
Treatment of high grade CIN
• Ablative therapy
–cryotherapy
–cold coagulation
–diathermy
–laser evaporisation
• Excision therapy
–cone (knife, laser, loop excision)
• Hysterectomy is rarely indicated
LEEP Procedure
Cone Biopsy Procedure
Ovarian Carcinoma
Ovarian Cancer - Importance
§ 4th common cause of cancer mortality
§ Most (70%) diagnosed at advanced stage
where cure is uncommon.
§ Ranks 3rd among gynecologic cancers
§ Ranks 5th among women cancers.
0
5
10
15
20
25
Breast
Cancer
Cervical
Cancer
Ovarian
Cancer
Per lac
women
30 Incidence of
Gynecolgical
Cancers in
India
Family History
Family history Risk
None 1.5 %
First degree relative 5 %
Two 1st degree relative 35-40 %
Hereditary ovarian cancer
syndrome
40 %
Mutation in BRCA 1 & 2 35-65 %
Breast ca & BRCA1 & 2 56-87 %
Neoplastic Ovarian Tumors
Surface epithelial – 65-70%
Germ cell tumors – 15-20%
Sex cord Stromal Tu – 10-15%
Metastatic tumors – 5%
4 basic categories of ovarian neoplasms:
Ovarian Cancer
Vague non-specific symptoms responsible
for late diagnosis & poor survival rates
Symptoms of ovarian cancer :
•Asymptomatic
•Lower abdominal pain / pressure
•Mass abdomen / Abdominal enlargement
•Vaginal bleeding
•Urinary / bowel symptoms
Why screening for ovarian cancer
is difficult?
• Anatomic location of the ovary, not easily
accesible
• Lack well defined precursor lesion and
has poorly defined natural history
• Low prevalence, need exquisite specificity
to avoid unnecessary intervention
• Lack of a good method
Ovarian cancer screening
• Recommended only for high risk patients
– Serum CA125
– Transvaginal ultrasonogram
• Serum CA125
• Elevated in 82% of epithelial ovarian cancer
and <1% of healthy women
• Limitations: lack of sensitivity in Stage I
disease, poor specificity (elevated in benign
and other malignant conditions)
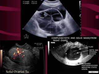
TVS: Features suggestive of malignancy
• Bilateral
• Fixed
• Variegated
consistency
• Solid
• Nodules in pouch of
Douglas
• Ascites -
Haemorrhagic
Solid Ovarian Tu
Bilateral: Cyst and mass in each ovary
Ultrasound for
Detection of Ascites
Ovarian malignancy containing two papillary
excrescences (arrows)
Ovarian screening
• Not cost-effective
• May be considered in high risk population
• No place for population screening yet
Endometrial Carcinoma
Should endometrial cancer be
screened?
• Precursor lesion, atypical endometrial
hyperplasia
• Accessibility of endometrium to
sampling
• High cure rate for early disease
Majority detected at early stage because
of abnormal bleeding esp PMB
Endometrial Cancer Screening
• Tools explored
–Pelvic ultrasound (>8mm endometrial
thickness in postmenopausal women)
–Endometrial aspirate (inadequate
sampling in menopausal women)
Pipplle Aspiration
Dilatation & Curettage
Hysteroscopy
Endometrial cancer screening
• Not justified in population screening
• excellent prognosis of majority of Ca
endometrium unlikely will result in
decreased mortality rates
Breast Carcinoma
Breast Ca : India
• Current age-standardized rate is 19.1
per 100 000 per annum
• Incidence rate peaks below age 50.
• Cases presenting for treatment are
locally advanced
• Availability and level of facilities for
treatment are variable
• Survival rates are consequently low
Screening Tests
• Mammography
• Clinical breast exam
(CBE)
• Breast self-exam
(BSE)
• The two cornerstones of early detection are
– awareness of the disease &
– opportunistic and population-based screening.
Screening: Mammography
Mammography
Mammography reduces the
rate of death from breast
cancer by 7%–23%, with a
median of 15%.1
•Current Recommendation:
Mammography
•(CBE & BSE widely used as
tools to increase breast
awareness) 1. Berry DA, et al. N Eng J Med. 2005;353:1784-1792.
Clinical Breast Examination
• May identify 4.5%–10.7% of breast cancers
that mammography misses
• Clinician proficiency impacts effectiveness
• Recommendations vary:
– American Cancer Society
• Every 3 years for average-risk women in 20s
and 30s
• Annually for women aged 40
– U.S. Preventive Services Task Force
• No recommendation/Not enough evidence
• IARC Working Group concluded in 2002 that
there is inadequate evidence that breast
screening by CBE, either alone or together with
mammography, can reduce mortality from
breast cancer
• However, cancers detected by CBE tend to be
diagnosed at an earlier stage than those not
detected by screening
• A greater potential for effectiveness in a setting
where stage at diagnosis is generally poor
Clinical Breast Exam
Reasons for Screening Disparities
• Inadequate access to facilities and equipment
• Financial restraints, including a lack of
adequate health insurance
• Lack of patient knowledge of breast cancer
risk and the need for screening
• Any mass in the breast is regarded as
carcinoma until proven otherwise
• Patient Education is the key to early detection
of breast cancer
Breast Self Examination
Clinical Breast Examination
THANK	YOU
Speculum
Ayres’ spatula, endocervical
brush
Broom type sampler

Screening in Gynecology

  • 1.
    Screening in Gynaecology Dr RKSaxena Professor (O&G) MVJ MC & RH
  • 2.
    Screening • To detectdisease among healthy population • Without symptoms of disease • Purpose: decrease mortality due to the disease screened
  • 3.
    Disease appropriate forscreening • High prevalence of disease • Known natural history, precursor lesion and course of progression • Detection of early stage disease, amenable to cure • Method used is simple, cheap, specific and sensitive, acceptable, risk-free and accessible
  • 4.
    Screening • Cervical cancer •Ovarian cancer • Endometrial cancer • Breast cancer
  • 5.
  • 6.
    Carcinoma of thecervix • Commonest lower genital tract cancer • Current age-standardized rate is 22 per 100 000 per annum • Median age: 50 years
  • 7.
    Natural history oflow-grade HPV cervical lesion • Cervical HPV is very common, related to sexual behaviour • High spontaneous remission rate • LSIL progress to HSIL in 70% in 10 yrs
  • 8.
    Cervical cytology Sensitivity andSpecificity • Overall sensitivity: 61-64%, • Overall specificity : 60-70% New technology • Automation for cervical cancer screening • Liquid-based cytology(LBC) - thin layer preparation (Eliminate air-dried artifact, Inflammatory cells, Blood, mucus) • HPV testing combined with PAP smear improves screening
  • 9.
    How to takea cervical smear? Procedure
  • 10.
    When not totake a cervical smear • Blood in vagina, on the cervix - usually because of menstruation • Obvious or gross growth on the cervix - a biopsy is more appropriate • Cervix cannot be seen
  • 11.
    How to interpreta cytology report?
  • 12.
    PAPANICOLAOU SMEAR REPORTING –BETHESDA SYSTEM n Satisfactory / Unsatisfactory for reporting n Negative for Intraepithelial Lesion - Normal n Infection ( Organism to be specified) n Benign (Reactive /Reparative) cellular changes n ASCUS ( Atypical squamous cells of undetermined significance) n LSIL ( Low grade sq intra-epithelial lesion) n HSIL (High grade sq intra-epithelial lesion) n Squamous cell carcinoma
  • 13.
    How to manageabnormal smear?
  • 14.
    Inflammatory changes with atypia –couldbe due to vaginitis or infection such as monilia, trichomonas, herpes or condyloma. –Treat the cause and repeat the smear 4 to 6 months later to ensure that dysplastic cells were not masked by the previous inflammatory cells.
  • 15.
    Management of LSIL Managementof LSIL •Only about 1% of LSIL associated with cancer •Options: –repeat smear 4-6 months interval Management of HSIL / ASCUS •Colposcopy •Biopsy of abnormal area
  • 16.
  • 17.
    COLPOSCOPY PROCEDURE • Dorsallithotomy position • Clean and drape • Cusco’s speculum • Focus Colposcope – Clean with saline – 3-5% acetic acid (Abnormal areas seen as acetowhite areas) – Lugol’s Iodine (Abnormal areas seen as Iodine negative areas) – Take biopsy from edge of abnormal areas (include small part of normal areas in biopsy specimen) Biopsy Area
  • 18.
    Colposcopy nAcetic acid –coagulation ofnuclear protein preventing light to pass through the epithelium –Higher nuclear density and higher concentration of protein => white intensity increase
  • 19.
    n Schiller /Lugol’s Iodine – Normal, mature squamous epithelium contains abundant glycogen – Produce dark brown stain – Abnormal epithelium contains relatively little or no glycogen – Remain relative unstained
  • 20.
  • 21.
    Treatment of highgrade CIN • Ablative therapy –cryotherapy –cold coagulation –diathermy –laser evaporisation • Excision therapy –cone (knife, laser, loop excision) • Hysterectomy is rarely indicated
  • 22.
  • 23.
  • 24.
  • 25.
    Ovarian Cancer -Importance § 4th common cause of cancer mortality § Most (70%) diagnosed at advanced stage where cure is uncommon. § Ranks 3rd among gynecologic cancers § Ranks 5th among women cancers. 0 5 10 15 20 25 Breast Cancer Cervical Cancer Ovarian Cancer Per lac women 30 Incidence of Gynecolgical Cancers in India
  • 26.
    Family History Family historyRisk None 1.5 % First degree relative 5 % Two 1st degree relative 35-40 % Hereditary ovarian cancer syndrome 40 % Mutation in BRCA 1 & 2 35-65 % Breast ca & BRCA1 & 2 56-87 %
  • 27.
    Neoplastic Ovarian Tumors Surfaceepithelial – 65-70% Germ cell tumors – 15-20% Sex cord Stromal Tu – 10-15% Metastatic tumors – 5% 4 basic categories of ovarian neoplasms:
  • 28.
    Ovarian Cancer Vague non-specificsymptoms responsible for late diagnosis & poor survival rates Symptoms of ovarian cancer : •Asymptomatic •Lower abdominal pain / pressure •Mass abdomen / Abdominal enlargement •Vaginal bleeding •Urinary / bowel symptoms
  • 29.
    Why screening forovarian cancer is difficult? • Anatomic location of the ovary, not easily accesible • Lack well defined precursor lesion and has poorly defined natural history • Low prevalence, need exquisite specificity to avoid unnecessary intervention • Lack of a good method
  • 30.
    Ovarian cancer screening •Recommended only for high risk patients – Serum CA125 – Transvaginal ultrasonogram • Serum CA125 • Elevated in 82% of epithelial ovarian cancer and <1% of healthy women • Limitations: lack of sensitivity in Stage I disease, poor specificity (elevated in benign and other malignant conditions)
  • 31.
    TVS: Features suggestiveof malignancy • Bilateral • Fixed • Variegated consistency • Solid • Nodules in pouch of Douglas • Ascites - Haemorrhagic
  • 32.
  • 33.
    Bilateral: Cyst andmass in each ovary
  • 34.
  • 35.
    Ovarian malignancy containingtwo papillary excrescences (arrows)
  • 36.
    Ovarian screening • Notcost-effective • May be considered in high risk population • No place for population screening yet
  • 37.
  • 38.
    Should endometrial cancerbe screened? • Precursor lesion, atypical endometrial hyperplasia • Accessibility of endometrium to sampling • High cure rate for early disease Majority detected at early stage because of abnormal bleeding esp PMB
  • 39.
    Endometrial Cancer Screening •Tools explored –Pelvic ultrasound (>8mm endometrial thickness in postmenopausal women) –Endometrial aspirate (inadequate sampling in menopausal women)
  • 40.
  • 41.
  • 42.
  • 43.
    Endometrial cancer screening •Not justified in population screening • excellent prognosis of majority of Ca endometrium unlikely will result in decreased mortality rates
  • 44.
  • 45.
    Breast Ca :India • Current age-standardized rate is 19.1 per 100 000 per annum • Incidence rate peaks below age 50. • Cases presenting for treatment are locally advanced • Availability and level of facilities for treatment are variable • Survival rates are consequently low
  • 46.
    Screening Tests • Mammography •Clinical breast exam (CBE) • Breast self-exam (BSE) • The two cornerstones of early detection are – awareness of the disease & – opportunistic and population-based screening.
  • 47.
    Screening: Mammography Mammography Mammography reducesthe rate of death from breast cancer by 7%–23%, with a median of 15%.1 •Current Recommendation: Mammography •(CBE & BSE widely used as tools to increase breast awareness) 1. Berry DA, et al. N Eng J Med. 2005;353:1784-1792.
  • 48.
    Clinical Breast Examination •May identify 4.5%–10.7% of breast cancers that mammography misses • Clinician proficiency impacts effectiveness • Recommendations vary: – American Cancer Society • Every 3 years for average-risk women in 20s and 30s • Annually for women aged 40 – U.S. Preventive Services Task Force • No recommendation/Not enough evidence
  • 49.
    • IARC WorkingGroup concluded in 2002 that there is inadequate evidence that breast screening by CBE, either alone or together with mammography, can reduce mortality from breast cancer • However, cancers detected by CBE tend to be diagnosed at an earlier stage than those not detected by screening • A greater potential for effectiveness in a setting where stage at diagnosis is generally poor Clinical Breast Exam
  • 50.
    Reasons for ScreeningDisparities • Inadequate access to facilities and equipment • Financial restraints, including a lack of adequate health insurance • Lack of patient knowledge of breast cancer risk and the need for screening • Any mass in the breast is regarded as carcinoma until proven otherwise • Patient Education is the key to early detection of breast cancer
  • 51.
  • 52.
  • 53.
  • 54.
  • 55.
  • 56.