Pericarditis
Internal Medicine
Moin Hyder
Group 4
Definition of pericarditis
 Pericarditis is swelling and irritation of the thin, saclike tissue surrounding
the heart (pericardium). Pericarditis often causes sharp chest pain. The
chest pain occurs when the irritated layers of the pericardium rub against
each other.
 Pericarditis is usually mild and goes away without treatment. Treatment
for more-severe cases may include medications and, rarely, surgery. Early
diagnosis and treatment may help reduce the risk of long-term
complications from pericarditis.
Pericarditis Epidemiology
 The incidence of acute pericarditis is approximately
27.7 per 100,000 individuals annually. The recurrence
of disease is seen in almost 30% of patients after
first episode. The mortality rate of acute pericarditis
is approximately 1.1% in developed countries.
Patients of all age groups may develop acute
pericarditis.
Classification
Pericarditis can be classified according to the composition of the fluid that accumulates
around the heart.[22]
Types of pericarditis include the following:[citation needed]
serous
purulent
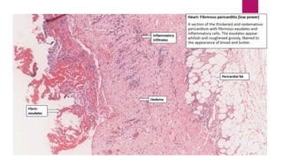
fibrinous
caseous
hemorrhagic
Signs and Symptoms
 Chest pain is the most common symptom of
pericarditis. It usually feels sharp or stabbing.
However, some people have dull, achy or pressure-
like chest pain.
 Pericarditis pain usually occurs behind the
breastbone or on the left side of the chest. The
pain may:
 Spread to the left shoulder and neck
 Get worse when coughing, lying down or taking a
deep breath
 Get better when sitting up or leaning forward
 Cough
 Fatigue or general feeling of weakness or being
sick
 Leg swelling
 Low-grade fever
 Pounding or racing heartbeat (heart palpitations)
 Shortness of breath when lying down
 Swelling of the belly (abdomen)
Types of Pericarditis and their
Pathophysiology
 The specific symptoms depend on the type of pericarditis. Pericarditis is grouped into
different categories, according to the pattern of symptoms and how long symptoms
last.
 Acute pericarditis begins suddenly but doesn’t last longer than three weeks. Future
episodes can occur. It may be difficult to tell the difference between acute pericarditis
and pain due to a heart attack.
 Recurrent pericarditis occurs about four to six weeks after an episode of acute
pericarditis with no symptoms in between.
 Incessant pericarditis lasts about four to six weeks but less than three months. The
symptoms are continuous.
 Chronic constrictive pericarditis usually develops slowly and lasts longer than three
months.
 Pericardial effusion is accumulation of fluid in the pericardium. The fluid may be
serous fluid (sometimes with fibrin strands), serosanguineous fluid, blood, pus, or
chyle.
 Cardiac tamponade occurs when a large pericardial effusion impairs cardiac filling,
leading to low cardiac output and sometimes shock and death. If fluid (usually
blood) accumulates rapidly, even small amounts (eg, 150 mL) may cause
tamponade because the pericardium cannot stretch quickly enough to
accommodate it
Causes
 The cause of pericarditis is often hard to determine. A cause may not be found
(idiopathic pericarditis).
 Pericarditis causes can include:
 Immune system response after heart damage due to a heart attack or heart surgery
(Dressler syndrome, also called postmyocardial infarction syndrome or postcardiac
injury syndrome)
 Infection, such as COVID-19
 Inflammatory disorders, including lupus and rheumatoid arthritis
 Injury to the heart or chest
 Other chronic health conditions, including kidney failure and cancer
Diagnosis
 Echocardiography
 ECG-Non-specific T-wave abnormalitiesl
 CK-MB and Troponin may be elevated
 Chest X-Ray-Variable (Normal to Cardiomegaly) Echocardiogram
 Cardiovascular Magnetic Resonace
 A safe and sensitive noninvasive diagnostic test to confirm the diagnosis is not
available
 Endomyocardial biopsy- there are risks and not used for every case but is
definitive for myocarditis
Diffuse concave upward ST segment elevation in most leads, PR
depression in most leads (may be subtle) and sometimes notching at
the end of the QRS complex.
Amount of Pericarditis
 Cardiac Effusion In a healthy individual, the pericardial sac
contains between 15 and 50 milliliters (mL) of serous fluid.
 Cardiac Temponade Traditionally, acute cardiac tamponade
is associated with between 200 ml and 300 ml of sudden
accumulation of intrapericardial fluid[1] or, in chronic slowly
evolving accumulation, of volumes between 1000 and 2000
ml
Complications
 Fluid buildup around the heart (pericardial effusion). The fluid buildup can lead to
further heart complications.
 Thickening and scarring of the heart lining (constrictive pericarditis). Some people
with long-term pericarditis develop permanent thickening and scarring of the
pericardium. The changes prevent the heart from filling and emptying properly.
This unusual complication often leads to severe swelling of the legs and abdomen
and shortness of breath.
 Pressure on the heart due to fluid buildup (cardiac tamponade). This life-
threatening condition prevents the heart from filling properly. Less blood leaves
the heart, causing a dramatic drop in blood pressure. Cardiac tamponade requires
emergency treatment
Treatment
 Medications to reduce the inflammation and swelling are often prescribed.
Examples include:
 Pain relievers. Pericarditis pain can usually be treated with over-the-counter pain
relievers, such as aspirin or ibuprofen (Advil, Motrin IB, others). Prescription-
strength pain relievers also may be used.
 Colchicine (Colcrys, Mitigare). This drug reduces inflammation in the body. It’s
used to treat acute pericarditis or if symptoms tend to come back. You should not
take this drug if you have liver or kidney disease. Colchicine can also interfere with
other drugs. Your health care provider will carefully check your health history
before prescribing colchicine.
Continue......
 Corticosteroids. Corticosteroids are strong medications that fight inflammation. A
corticosteroid such as prednisone may be prescribed if pericarditis symptoms don’t get
better with other medications, or if symptoms keep returning.
 If pericarditis causes fluid buildup around the heart, a surgery or other procedure may
be needed to drain the fluid.
 Surgeries or other procedures to treat pericarditis include:
 Pericardiocentesis. In this procedure, a sterile needle or a small tube (catheter) is used
to remove and drain the excess fluid from the pericardial cavity.
 Removal of the pericardium (pericardiectomy). The entire pericardium may need to be
removed if the sac surrounding the heart is permanently rigid due to constrictive
pericarditis.
Prevention
 There is no specific way to prevent Pericarditis, but there are steps you can take to
prevent infections that might lead to the condition. These include:
 Practicing good hygiene, including frequent hand washing and using a hand sanitizer
when soap and water is not available
 Keeping away from people who are sick with the flu or other viral illness
 Staying up to date on your vaccines, including those that protect against the flu and
rubella, diseases that can lead to myocarditis
 Avoiding risky behaviour, such as unprotected sex and using illicit drugs
 Minimizing exposure to ticks by wearing long sleeve shirts and long pants and using
insect repellents containing DEET when spending time in tick-infested areas
Pericarditis.pptx

Pericarditis.pptx

  • 1.
  • 3.
    Definition of pericarditis Pericarditis is swelling and irritation of the thin, saclike tissue surrounding the heart (pericardium). Pericarditis often causes sharp chest pain. The chest pain occurs when the irritated layers of the pericardium rub against each other.  Pericarditis is usually mild and goes away without treatment. Treatment for more-severe cases may include medications and, rarely, surgery. Early diagnosis and treatment may help reduce the risk of long-term complications from pericarditis.
  • 4.
    Pericarditis Epidemiology  Theincidence of acute pericarditis is approximately 27.7 per 100,000 individuals annually. The recurrence of disease is seen in almost 30% of patients after first episode. The mortality rate of acute pericarditis is approximately 1.1% in developed countries. Patients of all age groups may develop acute pericarditis.
  • 5.
    Classification Pericarditis can beclassified according to the composition of the fluid that accumulates around the heart.[22] Types of pericarditis include the following:[citation needed] serous purulent fibrinous caseous hemorrhagic
  • 6.
    Signs and Symptoms Chest pain is the most common symptom of pericarditis. It usually feels sharp or stabbing. However, some people have dull, achy or pressure- like chest pain.  Pericarditis pain usually occurs behind the breastbone or on the left side of the chest. The pain may:  Spread to the left shoulder and neck  Get worse when coughing, lying down or taking a deep breath  Get better when sitting up or leaning forward  Cough  Fatigue or general feeling of weakness or being sick  Leg swelling  Low-grade fever  Pounding or racing heartbeat (heart palpitations)  Shortness of breath when lying down  Swelling of the belly (abdomen)
  • 8.
    Types of Pericarditisand their Pathophysiology  The specific symptoms depend on the type of pericarditis. Pericarditis is grouped into different categories, according to the pattern of symptoms and how long symptoms last.  Acute pericarditis begins suddenly but doesn’t last longer than three weeks. Future episodes can occur. It may be difficult to tell the difference between acute pericarditis and pain due to a heart attack.  Recurrent pericarditis occurs about four to six weeks after an episode of acute pericarditis with no symptoms in between.  Incessant pericarditis lasts about four to six weeks but less than three months. The symptoms are continuous.  Chronic constrictive pericarditis usually develops slowly and lasts longer than three months.
  • 9.
     Pericardial effusionis accumulation of fluid in the pericardium. The fluid may be serous fluid (sometimes with fibrin strands), serosanguineous fluid, blood, pus, or chyle.  Cardiac tamponade occurs when a large pericardial effusion impairs cardiac filling, leading to low cardiac output and sometimes shock and death. If fluid (usually blood) accumulates rapidly, even small amounts (eg, 150 mL) may cause tamponade because the pericardium cannot stretch quickly enough to accommodate it
  • 12.
    Causes  The causeof pericarditis is often hard to determine. A cause may not be found (idiopathic pericarditis).  Pericarditis causes can include:  Immune system response after heart damage due to a heart attack or heart surgery (Dressler syndrome, also called postmyocardial infarction syndrome or postcardiac injury syndrome)  Infection, such as COVID-19  Inflammatory disorders, including lupus and rheumatoid arthritis  Injury to the heart or chest  Other chronic health conditions, including kidney failure and cancer
  • 15.
    Diagnosis  Echocardiography  ECG-Non-specificT-wave abnormalitiesl  CK-MB and Troponin may be elevated  Chest X-Ray-Variable (Normal to Cardiomegaly) Echocardiogram  Cardiovascular Magnetic Resonace  A safe and sensitive noninvasive diagnostic test to confirm the diagnosis is not available  Endomyocardial biopsy- there are risks and not used for every case but is definitive for myocarditis
  • 16.
    Diffuse concave upwardST segment elevation in most leads, PR depression in most leads (may be subtle) and sometimes notching at the end of the QRS complex.
  • 19.
    Amount of Pericarditis Cardiac Effusion In a healthy individual, the pericardial sac contains between 15 and 50 milliliters (mL) of serous fluid.  Cardiac Temponade Traditionally, acute cardiac tamponade is associated with between 200 ml and 300 ml of sudden accumulation of intrapericardial fluid[1] or, in chronic slowly evolving accumulation, of volumes between 1000 and 2000 ml
  • 20.
    Complications  Fluid builduparound the heart (pericardial effusion). The fluid buildup can lead to further heart complications.  Thickening and scarring of the heart lining (constrictive pericarditis). Some people with long-term pericarditis develop permanent thickening and scarring of the pericardium. The changes prevent the heart from filling and emptying properly. This unusual complication often leads to severe swelling of the legs and abdomen and shortness of breath.  Pressure on the heart due to fluid buildup (cardiac tamponade). This life- threatening condition prevents the heart from filling properly. Less blood leaves the heart, causing a dramatic drop in blood pressure. Cardiac tamponade requires emergency treatment
  • 21.
    Treatment  Medications toreduce the inflammation and swelling are often prescribed. Examples include:  Pain relievers. Pericarditis pain can usually be treated with over-the-counter pain relievers, such as aspirin or ibuprofen (Advil, Motrin IB, others). Prescription- strength pain relievers also may be used.  Colchicine (Colcrys, Mitigare). This drug reduces inflammation in the body. It’s used to treat acute pericarditis or if symptoms tend to come back. You should not take this drug if you have liver or kidney disease. Colchicine can also interfere with other drugs. Your health care provider will carefully check your health history before prescribing colchicine.
  • 22.
    Continue......  Corticosteroids. Corticosteroidsare strong medications that fight inflammation. A corticosteroid such as prednisone may be prescribed if pericarditis symptoms don’t get better with other medications, or if symptoms keep returning.  If pericarditis causes fluid buildup around the heart, a surgery or other procedure may be needed to drain the fluid.  Surgeries or other procedures to treat pericarditis include:  Pericardiocentesis. In this procedure, a sterile needle or a small tube (catheter) is used to remove and drain the excess fluid from the pericardial cavity.  Removal of the pericardium (pericardiectomy). The entire pericardium may need to be removed if the sac surrounding the heart is permanently rigid due to constrictive pericarditis.
  • 23.
    Prevention  There isno specific way to prevent Pericarditis, but there are steps you can take to prevent infections that might lead to the condition. These include:  Practicing good hygiene, including frequent hand washing and using a hand sanitizer when soap and water is not available  Keeping away from people who are sick with the flu or other viral illness  Staying up to date on your vaccines, including those that protect against the flu and rubella, diseases that can lead to myocarditis  Avoiding risky behaviour, such as unprotected sex and using illicit drugs  Minimizing exposure to ticks by wearing long sleeve shirts and long pants and using insect repellents containing DEET when spending time in tick-infested areas