NON SMALL CELL LUNG CARCINOMA
REFARAT DAN LAPORAN
KASUS
Oleh
dr. Isna Sudirman
Pembimbing
dr. Luthfy Attamimi, Sp. Rad
dr. Achmad Dara, Sp. Rad
dr. Sri Asriyani, Sp. Rad (K), M.Med., Ed
dr. Nikmatia Latief, Sp. Rad (K)
dr. H. Hasanuddin, Sp. Rad (K), Onk.Rad
PENDAHULUAN
• Tumor ganas paru paru karsinoma
bronkogenik
• Klasifikasi :
• Non Small Cell Lung Carcinoma ( NSCLC )
• Small Cell Lung Carcinoma ( SCLC )
• NSCLC : 3 subtipe yaitu Squamous Cell
Carcinoma, Adenocarcinoma dan Large Cell
Carcinoma
INSIDEN DAN EPIDEMIOLOGI
• Insiden : 63 per 100. 000 penduduk.
• Tahun 2007 : 1,5 juta kasus baru di dunia
1,35 juta penderita meninggal
• Squamous cell carcinoma paling sering pada
laki – laki, perokok.
• Di Indonesia  peringkat ke-4 penderita
kanker paru di dunia dan cenderung meningat
0.5 % per tahunnya (2004)
ETIOLOGI
• Faktor utama  paparan atau inhalasi berkepanjangan
zat yang bersifat karsinogenik
• Faktor yang paling erat hubungannya adalah rokok
• Faktor lainnya
• Paparan asbes
• Fibrosis paru
• Penyakit paru obstruktif menahun
• Genetik
ANATOMI
ANATOMI
ANATOMI
PATOFISIOLOGI
Sel kanker terjadi apabila ada
ketidakseimbangan fungsi onkogen dengan
gen tumor supresor. Perubahan atau mutasi
gen yang menyebabkan terjadinya
hiperekspresi onkogen dan atau
kurang/hilangnya fungsi gen tumor supressor
menyebabkan sel tumbuh dan berkembang
tak terkendali.
Merokok  perubahan epitel  metaplasia 
dysplasia  carcinoma insitu  carcinoma
invasif
GAMBARAN KLINIK
Gejala
klinik
Batuk
Lesi Sentral
Hemoptisis
Dispneu
Wheezing
Lesi Perifer
Nyeri pleura
Batuk
Dispneu
Penyebaran regional
Hoarseness
Disfagia
Diaphragmatic palsy
Horner’s syndrome
SVC syndrome
Pancoast syndrome
PEMERIKSAAN RADIOLOGI
• Foto toraks : pemeriksaan awal yang murah,
mudah, sederhana, dapat mendeteksi 61 %
tumor paru-paru
• CT Scan Toraks : lebih sensitif. Penting untuk
staging
• MRI dan PET : tidak rutin dilakukan. Lebih
sensitif untuk deteksi invasi dan metastasis
tumor
FOTO TORAKS
• Bronkial stenosis
Perubahan stenotik
karena massa tumbuh
intraluminer
Gambaran menyempitan
cabang bronkus atau cut
off
Atelektasis segmental,
lobaris ataupun seluruh
paru
FOTO TORAKS
• Massa hilus
Karsinoma bronkogenik
yang lokasi sentral
menyebabkan opasitas
daerah hilus meningkat
FOTO TORAKS
• Nodul soliter paru
Diameter > 3 cm
Batas tidak tegas
Tepi spiculated
Rigler notch sign
Cavitas dinding tebal
CT SCAN TORAKS
• Nodul tepi
ireguler,
spiculated
• Golden S sign
• Air
bronchogram
sign
• Penyangatan
20HU atau
lebih
KLASIFIKASI TNM
• Tumor Primer (T) diklasifikasikan berdasarkan ukuran tumor
dan penyebaran lokalnya.
• T1-Ukuran terbesar tumor kurang atau sama dengan 3 cm yang tidak
mengenai bronchus utama.
• T2-Tumor dengan beberapa keadaan berikut :
• Ukuran terbesar tumor lebih dari 3 cm.
• Melibatkan bronkus utama lebih dari 2 cm dari carina.
• Menginvasi pleura viseral.
• Berhubungan disertai dengan atelektasis namun tidak melibatkan seluruh
paru.
• T3-Tumor dengan berbagai ukuran dengan beberapa keadaan
berikut :
• Tumor (termasuk tumor sulkus superior) secara langsung menginvasi
dinding dada, diafragma, pleura mediastinum, atau perikardium parietal.
• Tumor pada bronkus utama kurang 2 cm dari carina. (tapi tidak
melibatkan carina)
• Tumor yang disertai atelektasis seluruh lapangan paru.
• T4-Tumor dengan berbagai ukuran dengan beberapa keadaan
berikut :
• Tumor yang menginvasi mediastinum, jantung, pembuluh darah besar ,
KLASIFIKASI TNM
• Status kelenjar limfe regional (N).
• N0 – tidak ada metastasis pada kelenjar limfe regional.
• N1 – Metastasis pada kelenjar limfe peribronkial ipsilateral atau
nodus perihiler atau nodus intrapulmoner oleh ekstensi langsung
dari tumor primer.
• N2 – Mediastinum ipsilateral, subcarina, midline prevaskular, dan
retrotrakeal
• N3 – Metastasis pada nodus mediastinum kontralateral atau
perihiler kontralateral, supraklavikular ipsilateral atau kontralateral
• NX – Jika tidak dapat menilai metastasis pada kelenjar limfe.
• Metastasis Jauh (M).
• M0 – Tidak ada metastasis jauh
• M1:
• Nodul tumor yang terpisah pada lobus lain pada sisi paru yang sama
• Nodul tumor pada kontralateral paru.
STAGING
OF NSCLC
GAMBARAN RADIOLOGI
BERDASARKAN TIPE HISTOLOGI
Kelainan Radiologik
Squamous cell
carcinoma(%)
Adenocarcinom
a (%)
Large cell
carcinoma (%)
Tumor di Hilus
Tumor perifer
Tumor perifer > 4
cm
Tumor apikal
Atelektasis
Pneumonia
Pembesaran KGB
mediastinum
40
27
18
3
36
15
1
18
71
26
1
10
15
2
32
59
41
4
13
23
10
•Lesi sentral / Massa hilar
obstruksi bronkhial
Golden S sign
•Atelektasis obstruktif
•Cavitas : dinding dalam tebal dan
ireguler
GOLDEN ‘S’ SIGN
ATELEKTASIS OBSTRUKTIF
Squamous cell carcinoma pada wanita 63 tahun dengan disfagia, sesak dan
berat badan menurun. Pada foto toraks PA tampak opasifikasi pada
hemithoraks kiri shift mediastinum ipsilateral sesuai dengan atelektasis paru-
paru kiri. Hilangnya main bronkhus kiri menunjukkan adanya obstruksi
sentral. Pada CT Scan kontras (window mediastinum ) menunjukkan adanya
soft tissue mass, penyempitan dan obstruksi main bronkhus kiri dan
CAVITAS
Squamous cell carcinoma pada pria 72 tahun dengan nyeri dada dan sesak.
Pada foto thoraks PA dan CT scan kontras ( window mediastinun ) tampak
massa bulat dengan kavitas fluid level didalamnya pada segmen superior
lobus bawah paru kiri. Dinding dalam kavitas dengan kontur noduler dan
•Massa perifer, biasanya soliter
•Tepi lesi spiculated
•Air bronchogram sign
•Pseudocavitas
ADENOCARCINOMA
MASSA PERIFER, SOLITER, SPICULATED
Bronchioloalveolar carcinoma pada pria 60 tahun. Pada Foto toraks
PA tampak nodul soliter yang tidak berubah ukurannya dari foto 16
bulan sebelumnya. Pada CT scan ( window paru ) tampak lesi
dengan atenuasi groundglass dengan densitas yang tinggi di
tengahnya, tepi lesi lobulated dan spiculated.
AIR BRONCHOGRAM SIGN, PSEUDOCAVITAS
Bronchoalveolar carcinoma pada pria 39 tahun dengan hemoptosis dan nyeri
dada. Pada foto toraks PA tampak konsolidasi dengan cavitas pada segmen
lingula lobus atas paru-paru kiri. Pada CT scan (window paru) tampak cavitas
di dalam konsolidasi parenkhim paru. Air bronchogram sign tampak di dekat
cavitas
LARGE CELL CARCINOMA
Massa tumor yang besar berukuran lebih dari 3 cm,
lokasi di perifer, lesi sentral sangat jarang
.(A) Large cell carcinoma pada seorang wanita 69 tahun dengan sputum
bercampur darah disertai berat badan menurun, pada foto toraks PA tampak
massa perifer yang besar pada lobus atas paru kiri yang berbatasan dengan
pleura dengan kontur yang lobulated. (B) Large cell carcinoma pada pria 57
tahun dengan berat badan menurun, nyeri pada dinding dada sebelah kiri.
Pada CT scan kontras (window mediastinum) tampak massa besar densitas
A B
• Sitologi (sputum, bronchial brushing
dan washing, bronchioloalveolar lavage
(BAL), fine needle aspiration (TTNA, TB
FNA, EBUS FNA, EUS FNA)
• Sensitivitas pada sitologi paru dalam
mendiagnosis kanker paru bervariasi
antara 50% sampai lebih dari 90%.
Spesifisitas mendekati 100%
• Patologi (thoracoscopy, lobectomy,
pneumonectomy)
HISTOPATOLOGI
HISTOPATOLOGI
Squamous cell carcinoma : jembatan
interseluler, squamous pearl formation
dan keratinisasi sel tumor
HISTOPATOLOGI
Adenocarcinoma : formasi kelenjar dan
struktur papiller, fibrosis (reaksi
desmoplastik)
HISTOPATOLOGI
Large cell carcinoma : sel yang besar,
sitoplasma banyak, inti sel prominen
DIAGNOSIS BANDING
•Carcinoid tumor
•Hamartoma
•Tuberkuloma
DIAGNOSIS
BANDING
• Carcinoid tumor
Carcinoma
neuroectodermal
Terbagi typical dan
atypical, 80% typical
di sentral, di
percabangan
bronkus, atau
bronkus segmental
Gejala : batuk,
demam, sesak
• Hamartoma
Berisi kartilago
Berasal dari sisa jaringan embrionik pada dinding bronkus
atau dari jaringan mesenkimal yang tampak sebagai
karsinoma
>85 % kasus terlihat sebagai nodul soliter
• Tuberkuloma
Klinis demam, batuk, hemoptysis, penurunan berat
badan dan nafas pendek
Tampak gambaran tree in bud
TERAPI
• Bedah (pneumonectomy, lobectomy, segmentomy)
• RFA, menggunakan gelombang energi tinggi
dengan pemanasan pada tumor
• Radioterapi (terapi utama, sblm pembedahan, stlh
pembedahan, utk mengurangi gejala NSCLC spt
nyeri)
• Kemoterapi (sblm dan setelah pembedahan,
bersamaan dengan radioterapi atau sebagai terapi
utama)
• Immunoterapi, obat-obatan untuk menstimulasi
sistem imun agar dapat menghancurkan sel
kanker dengan efektif
• Pilihan terapi pada NSCLC tergantung
stadium penyakit dan keadaan umum
pasien
• Reseksi bedah merupakan pilihan terapi
untuk stadium dini (stadium I dan II)
• Radioterapi kombinasi kemoterapi dan
dengan atau tanpa pembedahan pada
stadium IIIA
• Radioterapi : kuratif, paliatif dan
adjuvant
TERAPI
PROGNOSIS
•Tergantung stadium penyakit
•5 years survival rate :
• Stadium IA 49 %, IB 45 %
• Stadium IIA 30 %, IIB 31 %
• Stadium IIIA 14 %, IIIB 5 %
• Stadium IV : < 1 %
LAPORAN KASUS
• Pria, 68 tahun, KU : batuk sejak
beberapa minggu sebelum masuk RS,
disertai nyeri dada dan sesak napas,
tidak ada riwayat trauma. Sejak 2 tahun
terakhir, pasien sering batuk dan
penurunan berat badan. Riwayat
merokok sejak muda. BAB dan BAK
normal. Riwayat diabetes dan hipertensi
tidak diketahui.
• Pemeriksaan Fisik : sakit sedang, gizi
cukup, sadar
• Frekuensi napas 20 kali/menit dan TV
lainnya normal. Bunyi pernapasan
menurun pada hemitoraks kanan, tidak
ada wheezing, perkusi redup dan vokal
fremitus menurun
• Status lokalis lainnya dalam batas normal
• Pemeriksaan laboratorium : dalam batas
normal
• Pemeriksaan radiologi :
• Foto thoraks PA :
• Perselubungan
inhomogen, batas tegas,
bentuk bulat, pada
parahilar kanan
• Cor : kesan normal, aorta
kalsifikasi
• Kedua sinus dan
diafragma normal
Kesan : - KP dextra aktif
DD/ massa
- Atherosclerosis
CT SCAN THORAX TANPA KONTRAS
• CT scan thorax tanpa kontras irisan axial
reformat coronal dan sagittal :
-Tampak perselubungan pada paru
kanan posterior, tepi tidak rata,
berukuran sekitar
3x4cm
-Pembesaran KGB peribronchial kanan
-Paru kiri normal, nodul (-), hilus normal
-Cor normal
-Trachea, main bronchus bebas
Kesan : Tumor paru kanan, DD/ pneumonia,
disertai
• Pemeriksaan sitologi bilasan bronchus
Keterangan :
dari beberapa slide yang diterima umumnya terdiri dari
sel-sel darah merah, sedikit sel-sel radang dan hanya 3
sel yang cukup besar dengan inti hyperchromatik.
Berhubung sel-sel atipik terlalu sedikit maka belum
defenitif untuk suatu keganasan, meskipun gambaran
sitologis mencurigakan ganas asal sel epithel
• Pemeriksaan sitologi
trans thoracal needle
aspiration
(TTNA)
Keterangan :
sediaan hapusan terdiri dari
sel-sel dengan inti bulat,
oval, atipik, pleomorfik,
kromatin inti kasar, ukuran
inti 5-6x ukuran limfosit
matang. Sel-sel ini sebagian
berkelompok, sebagian
tersebar. Latar belakang :
eritrosit
• Kesan : Non small cell
•Terapi : kemoterapi
pada pasien ini di staging dengan T2N1Mx stadium
IIB, dan pada kasus stadium I dan II, terapi NSCLC
adalah pembedahan namun pada situasi tertentu
biasa dilakukan kemoterapi terlebih dahulu baru
dilanjutkan dengan pembedahan dengan tujuan
mengecilkan massa menjadi resectable.
TERIMA KASIH

NSCLC isna.pptx

  • 1.
    NON SMALL CELLLUNG CARCINOMA REFARAT DAN LAPORAN KASUS Oleh dr. Isna Sudirman Pembimbing dr. Luthfy Attamimi, Sp. Rad dr. Achmad Dara, Sp. Rad dr. Sri Asriyani, Sp. Rad (K), M.Med., Ed dr. Nikmatia Latief, Sp. Rad (K) dr. H. Hasanuddin, Sp. Rad (K), Onk.Rad
  • 2.
    PENDAHULUAN • Tumor ganasparu paru karsinoma bronkogenik • Klasifikasi : • Non Small Cell Lung Carcinoma ( NSCLC ) • Small Cell Lung Carcinoma ( SCLC ) • NSCLC : 3 subtipe yaitu Squamous Cell Carcinoma, Adenocarcinoma dan Large Cell Carcinoma
  • 3.
    INSIDEN DAN EPIDEMIOLOGI •Insiden : 63 per 100. 000 penduduk. • Tahun 2007 : 1,5 juta kasus baru di dunia 1,35 juta penderita meninggal • Squamous cell carcinoma paling sering pada laki – laki, perokok. • Di Indonesia  peringkat ke-4 penderita kanker paru di dunia dan cenderung meningat 0.5 % per tahunnya (2004)
  • 4.
    ETIOLOGI • Faktor utama paparan atau inhalasi berkepanjangan zat yang bersifat karsinogenik • Faktor yang paling erat hubungannya adalah rokok • Faktor lainnya • Paparan asbes • Fibrosis paru • Penyakit paru obstruktif menahun • Genetik
  • 5.
  • 6.
  • 7.
  • 8.
    PATOFISIOLOGI Sel kanker terjadiapabila ada ketidakseimbangan fungsi onkogen dengan gen tumor supresor. Perubahan atau mutasi gen yang menyebabkan terjadinya hiperekspresi onkogen dan atau kurang/hilangnya fungsi gen tumor supressor menyebabkan sel tumbuh dan berkembang tak terkendali. Merokok  perubahan epitel  metaplasia  dysplasia  carcinoma insitu  carcinoma invasif
  • 9.
    GAMBARAN KLINIK Gejala klinik Batuk Lesi Sentral Hemoptisis Dispneu Wheezing LesiPerifer Nyeri pleura Batuk Dispneu Penyebaran regional Hoarseness Disfagia Diaphragmatic palsy Horner’s syndrome SVC syndrome Pancoast syndrome
  • 10.
    PEMERIKSAAN RADIOLOGI • Fototoraks : pemeriksaan awal yang murah, mudah, sederhana, dapat mendeteksi 61 % tumor paru-paru • CT Scan Toraks : lebih sensitif. Penting untuk staging • MRI dan PET : tidak rutin dilakukan. Lebih sensitif untuk deteksi invasi dan metastasis tumor
  • 11.
    FOTO TORAKS • Bronkialstenosis Perubahan stenotik karena massa tumbuh intraluminer Gambaran menyempitan cabang bronkus atau cut off Atelektasis segmental, lobaris ataupun seluruh paru
  • 12.
    FOTO TORAKS • Massahilus Karsinoma bronkogenik yang lokasi sentral menyebabkan opasitas daerah hilus meningkat
  • 13.
    FOTO TORAKS • Nodulsoliter paru Diameter > 3 cm Batas tidak tegas Tepi spiculated Rigler notch sign Cavitas dinding tebal
  • 14.
    CT SCAN TORAKS •Nodul tepi ireguler, spiculated • Golden S sign • Air bronchogram sign • Penyangatan 20HU atau lebih
  • 15.
    KLASIFIKASI TNM • TumorPrimer (T) diklasifikasikan berdasarkan ukuran tumor dan penyebaran lokalnya. • T1-Ukuran terbesar tumor kurang atau sama dengan 3 cm yang tidak mengenai bronchus utama. • T2-Tumor dengan beberapa keadaan berikut : • Ukuran terbesar tumor lebih dari 3 cm. • Melibatkan bronkus utama lebih dari 2 cm dari carina. • Menginvasi pleura viseral. • Berhubungan disertai dengan atelektasis namun tidak melibatkan seluruh paru. • T3-Tumor dengan berbagai ukuran dengan beberapa keadaan berikut : • Tumor (termasuk tumor sulkus superior) secara langsung menginvasi dinding dada, diafragma, pleura mediastinum, atau perikardium parietal. • Tumor pada bronkus utama kurang 2 cm dari carina. (tapi tidak melibatkan carina) • Tumor yang disertai atelektasis seluruh lapangan paru. • T4-Tumor dengan berbagai ukuran dengan beberapa keadaan berikut : • Tumor yang menginvasi mediastinum, jantung, pembuluh darah besar ,
  • 16.
    KLASIFIKASI TNM • Statuskelenjar limfe regional (N). • N0 – tidak ada metastasis pada kelenjar limfe regional. • N1 – Metastasis pada kelenjar limfe peribronkial ipsilateral atau nodus perihiler atau nodus intrapulmoner oleh ekstensi langsung dari tumor primer. • N2 – Mediastinum ipsilateral, subcarina, midline prevaskular, dan retrotrakeal • N3 – Metastasis pada nodus mediastinum kontralateral atau perihiler kontralateral, supraklavikular ipsilateral atau kontralateral • NX – Jika tidak dapat menilai metastasis pada kelenjar limfe. • Metastasis Jauh (M). • M0 – Tidak ada metastasis jauh • M1: • Nodul tumor yang terpisah pada lobus lain pada sisi paru yang sama • Nodul tumor pada kontralateral paru.
  • 17.
  • 18.
    GAMBARAN RADIOLOGI BERDASARKAN TIPEHISTOLOGI Kelainan Radiologik Squamous cell carcinoma(%) Adenocarcinom a (%) Large cell carcinoma (%) Tumor di Hilus Tumor perifer Tumor perifer > 4 cm Tumor apikal Atelektasis Pneumonia Pembesaran KGB mediastinum 40 27 18 3 36 15 1 18 71 26 1 10 15 2 32 59 41 4 13 23 10
  • 19.
    •Lesi sentral /Massa hilar obstruksi bronkhial Golden S sign •Atelektasis obstruktif •Cavitas : dinding dalam tebal dan ireguler
  • 20.
  • 21.
    ATELEKTASIS OBSTRUKTIF Squamous cellcarcinoma pada wanita 63 tahun dengan disfagia, sesak dan berat badan menurun. Pada foto toraks PA tampak opasifikasi pada hemithoraks kiri shift mediastinum ipsilateral sesuai dengan atelektasis paru- paru kiri. Hilangnya main bronkhus kiri menunjukkan adanya obstruksi sentral. Pada CT Scan kontras (window mediastinum ) menunjukkan adanya soft tissue mass, penyempitan dan obstruksi main bronkhus kiri dan
  • 22.
    CAVITAS Squamous cell carcinomapada pria 72 tahun dengan nyeri dada dan sesak. Pada foto thoraks PA dan CT scan kontras ( window mediastinun ) tampak massa bulat dengan kavitas fluid level didalamnya pada segmen superior lobus bawah paru kiri. Dinding dalam kavitas dengan kontur noduler dan
  • 23.
    •Massa perifer, biasanyasoliter •Tepi lesi spiculated •Air bronchogram sign •Pseudocavitas ADENOCARCINOMA
  • 24.
    MASSA PERIFER, SOLITER,SPICULATED Bronchioloalveolar carcinoma pada pria 60 tahun. Pada Foto toraks PA tampak nodul soliter yang tidak berubah ukurannya dari foto 16 bulan sebelumnya. Pada CT scan ( window paru ) tampak lesi dengan atenuasi groundglass dengan densitas yang tinggi di tengahnya, tepi lesi lobulated dan spiculated.
  • 25.
    AIR BRONCHOGRAM SIGN,PSEUDOCAVITAS Bronchoalveolar carcinoma pada pria 39 tahun dengan hemoptosis dan nyeri dada. Pada foto toraks PA tampak konsolidasi dengan cavitas pada segmen lingula lobus atas paru-paru kiri. Pada CT scan (window paru) tampak cavitas di dalam konsolidasi parenkhim paru. Air bronchogram sign tampak di dekat cavitas
  • 26.
    LARGE CELL CARCINOMA Massatumor yang besar berukuran lebih dari 3 cm, lokasi di perifer, lesi sentral sangat jarang .(A) Large cell carcinoma pada seorang wanita 69 tahun dengan sputum bercampur darah disertai berat badan menurun, pada foto toraks PA tampak massa perifer yang besar pada lobus atas paru kiri yang berbatasan dengan pleura dengan kontur yang lobulated. (B) Large cell carcinoma pada pria 57 tahun dengan berat badan menurun, nyeri pada dinding dada sebelah kiri. Pada CT scan kontras (window mediastinum) tampak massa besar densitas A B
  • 27.
    • Sitologi (sputum,bronchial brushing dan washing, bronchioloalveolar lavage (BAL), fine needle aspiration (TTNA, TB FNA, EBUS FNA, EUS FNA) • Sensitivitas pada sitologi paru dalam mendiagnosis kanker paru bervariasi antara 50% sampai lebih dari 90%. Spesifisitas mendekati 100% • Patologi (thoracoscopy, lobectomy, pneumonectomy) HISTOPATOLOGI
  • 28.
    HISTOPATOLOGI Squamous cell carcinoma: jembatan interseluler, squamous pearl formation dan keratinisasi sel tumor
  • 29.
    HISTOPATOLOGI Adenocarcinoma : formasikelenjar dan struktur papiller, fibrosis (reaksi desmoplastik)
  • 30.
    HISTOPATOLOGI Large cell carcinoma: sel yang besar, sitoplasma banyak, inti sel prominen
  • 31.
  • 32.
    DIAGNOSIS BANDING • Carcinoid tumor Carcinoma neuroectodermal Terbagitypical dan atypical, 80% typical di sentral, di percabangan bronkus, atau bronkus segmental Gejala : batuk, demam, sesak
  • 33.
    • Hamartoma Berisi kartilago Berasaldari sisa jaringan embrionik pada dinding bronkus atau dari jaringan mesenkimal yang tampak sebagai karsinoma >85 % kasus terlihat sebagai nodul soliter
  • 34.
    • Tuberkuloma Klinis demam,batuk, hemoptysis, penurunan berat badan dan nafas pendek Tampak gambaran tree in bud
  • 35.
    TERAPI • Bedah (pneumonectomy,lobectomy, segmentomy) • RFA, menggunakan gelombang energi tinggi dengan pemanasan pada tumor • Radioterapi (terapi utama, sblm pembedahan, stlh pembedahan, utk mengurangi gejala NSCLC spt nyeri) • Kemoterapi (sblm dan setelah pembedahan, bersamaan dengan radioterapi atau sebagai terapi utama) • Immunoterapi, obat-obatan untuk menstimulasi sistem imun agar dapat menghancurkan sel kanker dengan efektif
  • 36.
    • Pilihan terapipada NSCLC tergantung stadium penyakit dan keadaan umum pasien • Reseksi bedah merupakan pilihan terapi untuk stadium dini (stadium I dan II) • Radioterapi kombinasi kemoterapi dan dengan atau tanpa pembedahan pada stadium IIIA • Radioterapi : kuratif, paliatif dan adjuvant TERAPI
  • 37.
    PROGNOSIS •Tergantung stadium penyakit •5years survival rate : • Stadium IA 49 %, IB 45 % • Stadium IIA 30 %, IIB 31 % • Stadium IIIA 14 %, IIIB 5 % • Stadium IV : < 1 %
  • 38.
    LAPORAN KASUS • Pria,68 tahun, KU : batuk sejak beberapa minggu sebelum masuk RS, disertai nyeri dada dan sesak napas, tidak ada riwayat trauma. Sejak 2 tahun terakhir, pasien sering batuk dan penurunan berat badan. Riwayat merokok sejak muda. BAB dan BAK normal. Riwayat diabetes dan hipertensi tidak diketahui.
  • 39.
    • Pemeriksaan Fisik: sakit sedang, gizi cukup, sadar • Frekuensi napas 20 kali/menit dan TV lainnya normal. Bunyi pernapasan menurun pada hemitoraks kanan, tidak ada wheezing, perkusi redup dan vokal fremitus menurun • Status lokalis lainnya dalam batas normal • Pemeriksaan laboratorium : dalam batas normal
  • 40.
    • Pemeriksaan radiologi: • Foto thoraks PA : • Perselubungan inhomogen, batas tegas, bentuk bulat, pada parahilar kanan • Cor : kesan normal, aorta kalsifikasi • Kedua sinus dan diafragma normal Kesan : - KP dextra aktif DD/ massa - Atherosclerosis
  • 41.
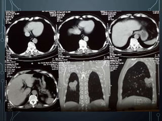
    CT SCAN THORAXTANPA KONTRAS
  • 45.
    • CT scanthorax tanpa kontras irisan axial reformat coronal dan sagittal : -Tampak perselubungan pada paru kanan posterior, tepi tidak rata, berukuran sekitar 3x4cm -Pembesaran KGB peribronchial kanan -Paru kiri normal, nodul (-), hilus normal -Cor normal -Trachea, main bronchus bebas Kesan : Tumor paru kanan, DD/ pneumonia, disertai
  • 46.
    • Pemeriksaan sitologibilasan bronchus Keterangan : dari beberapa slide yang diterima umumnya terdiri dari sel-sel darah merah, sedikit sel-sel radang dan hanya 3 sel yang cukup besar dengan inti hyperchromatik. Berhubung sel-sel atipik terlalu sedikit maka belum defenitif untuk suatu keganasan, meskipun gambaran sitologis mencurigakan ganas asal sel epithel
  • 47.
    • Pemeriksaan sitologi transthoracal needle aspiration (TTNA) Keterangan : sediaan hapusan terdiri dari sel-sel dengan inti bulat, oval, atipik, pleomorfik, kromatin inti kasar, ukuran inti 5-6x ukuran limfosit matang. Sel-sel ini sebagian berkelompok, sebagian tersebar. Latar belakang : eritrosit • Kesan : Non small cell
  • 48.
    •Terapi : kemoterapi padapasien ini di staging dengan T2N1Mx stadium IIB, dan pada kasus stadium I dan II, terapi NSCLC adalah pembedahan namun pada situasi tertentu biasa dilakukan kemoterapi terlebih dahulu baru dilanjutkan dengan pembedahan dengan tujuan mengecilkan massa menjadi resectable.
  • 49.