By : Dr Shashidhara T S
Moderator : Dr Siddiq M Ahmed
INTRODUCTION
 Most common non-skin malignancy in women.
 Incidence is rare in women younger than 25yrs.
 Increases rapidly after 30yrs.
 The majority are estrogen receptor (ER) positive and
are characterized by a gene signature dominated by
the dozens of genes under the control of estrogen.
 ER positive cancers continue to increase with age.
 ER negative and HER2 positive cancers remains
relatively constant
RISK FACTORS
 AGE: In young women, half of the cancers are either
ER negative or human epidermal growth factor
receptor 2 (HER2/neu) positive
 ER positive cancers peak is seen between 70-80yrs
 AGE AT FIRST LIVE BIRTH: High risk in nulliparous
women or women over the age of 35 at their first birth.
 It is hypothesized that pregnancy results in terminal
differentiation of milk-producing luminal cells,
removing them from the potential pool of cancer
precursors.
 FIRST DEGREE RELATIVES: 15-20% of women with
breast cancer have one affected first-degree relative.
 ESTROGEN EXPOSURE: Postmenopausal hormone
replacement therapy increases the risk.
 Most cancers are ER-positive carcinomas.
 OBESITY: There is decreased risk in obese women
younger than 40 years as a result of the association
with anovulatory cycles.
 In contrast, the risk is increased for postmenopausal
obese women, which is attributed to the synthesis of
estrogens in fat depots.
ETIOLOGY AND PATHOGENESIS
 Breast cancers are clonal proliferations that arise from
cells with multiple genetic aberrations, acquisition of
which is influenced by hormonal exposures and
inherited susceptibility genes.
 They can therefore be divided into sporadic cases,
probably related to hormonal exposure, and hereditary
cases, associated with germline mutations.
FAMILIAL BREAST CANCER
 The inheritance of a susceptibility gene or genes is the
primary cause of approximately 12% of breast cancers.
 Multiple affected first-degree relatives,
 Before menopause and/or have multiple cancers,
 Family members with other specific cancers
 The major known susceptibility genes for familial
breast cancer are BRCA1, BRCA2, TP53 and CHEK2.
 Which are tumor suppressor genes, have normal roles
in DNA repair and maintenance of genomic integrity.
 Mutations in BRCA1 and BRCA2 are responsible for 80-
90% of “single gene” familial breast cancers and about
3% of all breast cancers.
 BRCA1 cancers are also frequently associated with loss
of the inactive X chromosome and reduplication of the
active X, resulting in the absence of the Barr body.
 BRCA1-associated breast cancers are commonly poorly
differentiated and have medullary like features. ER-
negative/ HER-2 negative, basal like.
 BRCA2-associated breast carcinomas also tend to be
relatively poorly differentiated, but are more often ER
positive than BRCA1 cancers.
 Other known susceptibility genes are much less
commonly implicated; together, this group accounts for
fewer than 10% of hereditary breast carcinomas
 Rarely patients can have germline TP53 mutations (Li-
Fraumeni syndrome) and develop cancer which are
both HER2 and ER positive.
 They will have complex interchromosomal
translocations, high level amplifications of HER2 and a
high mutational load.
 Li-Fraumeni syndrome and Li-Fraumeni variant
syndrome (due to germline mutations in CHEK2)
together account for about 8% of breast cancers caused
by single genes.
 Three other tumor suppressor genes, PTEN (Cowden
syndrome), LKBI/STK11 (Peutz-Jeghers syndrome), and
ATM (ataxia telangiectasia), are mutated in less than
1% of all breast cancers.
 Except for p53, mutations in genes implicated in
hereditary breast cancer are uncommon in
sporadic breast cancers.
 However, decreased expression of BRCA1 and
CHEK2 is common in sporadic cancers,
particularly those that are triple-negative or poorly
differentiated, and basal-like cancers.
SPORADIC BREAST CANCER
 The major risk factors for sporadic breast cancer are
related to hormone exposure.
 The majority of sporadic cancers occur in
postmenopausal women and are ER positive.
 Hormonal exposure increases the number of potential
target cells by stimulating breast growth during
puberty, menstrual cycles, and pregnancy.
 Once premalignant or malignant cells are present,
hormones can stimulate their growth, as well as the
growth of normal epithelial and stromal cells.
 Estrogen may also play a more direct role in
carcinogenesis.
 Metabolites of estrogen can cause mutations or
generate DNA-damaging free radicals in cell.
CARCINOGENESIS
 Populations of cells that harbor some, but not all, of
the genetic and epigenetic changes that are required
for carcinogenesis give rise to morphologically
recognizable breast lesions that are associated with an
increased risk of progression to cancer.
 The earliest such alterations are proliferative changes,
which may stem from the loss of growth-inhibiting
signals, aberrant increases in pro-growth signals, or
decreased apoptosis.
 For example, most early lesions (such as atypical ductal
hyperplasia and atypical lobular hyperplasia) show
increased expression of hormone receptors and abnormal
regulation of proliferation.
 The most likely cell type of origin for the majority of
carcinomas is the ER-expressing luminal cell, since the
majority of cancers are ER-positive.
 ER-negative carcinomas may arise from ER-negative
myoepithelial cells
 Most common driver mutations involve the proto-
oncogenes PIK3CA, HER2,MYC and CCND1 and the
tumor suppressor genes TP53, BRCA1 and BRCA2.
 Once the process is initiated in such cells by a driver
mutation, there can be 3 major genetic pathways of
carcinogenesis
 Once a founding tumor clone is established, subclonal
heterogeneity arising by chance due to genomic
instability contributes to tumor progression and
resistance to therapy.
 Neoplastic epithelial cells are dependent on
interactions with stromal cells in the
microenvironment.
 Focal alterations in the stroma may play a direct role
by creating a microenvironment conducive to tumor
development and growth.
 Loss of heterozygosity is rarely detected in typical
proliferative change but becomes more frequent in
atypical hyperplasias and is almost universally present
in carcinoma in situ.
 Profound DNA instability in the form of aneuploidy,
which manifests morphologically by nuclear
enlargement, irregularity, and hyperchromasia, is
observed only in high-grade DCIS and some invasive
carcinomas.
 At some point during tumor progression the
malignant clone also becomes immortalized and
acquires the ability to drive neo-angiogenesis.
 The final step of carcinogenesis, the transition of
carcinoma in situ to invasive carcinoma, is the most
important and unfortunately the least understood.
 Genetic markers specific for invasive carcinomas have been
difficult to identify.
 It is important to remember that the structure and
function of the normal breast depend on a complex
interplay between luminal cells, myoepithelial cells, and
stromal cells.
 The same molecular events that allow for the normal
formation of new ductal branch points and lobules
during puberty and pregnancy - increased
proliferation, escape from growth inhibition,
angiogenesis may be recapitulated during
carcinogenesis.
 Remodeling of the breast, which involves
inflammatory and wound healing like tissue
reactions, could explain the transient increase in
breast cancers during and shortly after pregnancy,
since such changes could facilitate the transition of
carcinoma in situ to invasive cancer
CLASSIFICATION
 Greater than 95% of breast malignancies are
adenocarcinomas, which are divided into in situ
carcinomas and invasive carcinomas.
 Carcinoma in situ refers to a neoplastic proliferation
that is limited to ducts and lobules by the basement
membrane.
 Invasive carcinoma (synonymous with infiltrating
carcinoma) has penetrated through the basement
membrane into stroma.
 All breast carcinomas arise from cells in the terminal
duct lobular unit
 The use of the terms lobular and ductal to describe
both in situ and invasive carcinomas persists
 Carcinoma in situ was originally classified as ductal or
lobular based on the resemblance of the involved
spaces to normal ducts or lobules.
 However, it is now recognized that varied patterns of
growth in situ are not related to the site or cell of
origin, but rather reflect differences in tumor cell
biology, such as whether the tumor cells express the
cell adhesion protein E-cadherin or not
By current convention, lobular refers to
carcinomas of a specific type, and ductal is used
more generally for adenocarcinomas that have no
other designation.
CARCINOMA IN SITU
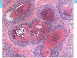
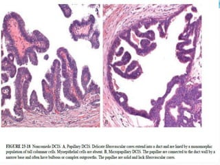
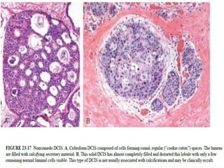
 DUCTAL CARCINOMA IN SITU: DCIS consists of a
malignant clonal population of cells limited to ducts and
lobules by the basement membrane.
 The myoepithelial cells are preserved, although they may
be diminished in number.
 DCIS has been divided into five architectural subtypes:
comedocarcinoma, solid, cribriform, papillary, and
micropapillary…..majority of DCIS show a mixture of
patterns.
 PAGETS DISESE: Malignant cells (Paget cells) extend
from DCIS within the ductal system, via the lactiferous
sinuses, into nipple skin without crossing the
basement membrane
 The tumor cells disrupt the normal epithelial barrier,
allowing extracellular fluid to seep out onto the nipple
surface.
 Almost all of these cases have an underlying invasive
carcinoma.
 The carcinomas are usually poorly differentiated, ER
negative, and over-express HER2/neu.
 Prognosis depends upon the underlying carcinoma.
 DCIS with microinvasion is diagnosed when there is
an area of invasion through the basement membrane
into stroma measuring no more than 0.1 cm.
 Microinvasion is most commonly seen in association
with comedocarcinoma.
 LOBULAR CARCINOMA IN SITU (LCIS): common
in young women, with 80% to 90% of cases occurring
before menopause.
 The cells of LCIS and invasive lobular carcinoma are
identical and share genetic abnormalities, such as
those that lead to loss of expression of E-
cadherin(CDH1gene) , a transmembrane cell adhesion
protein that contributes to the cohesion of normal
breast epithelial cells.
 LCIS almost always expresses ER and PR.
Oerexpression of HER2/neu is not observed
INVASIVE CARCINOMA
 Luminal A: (40% to 55% of NST cancers):
 This is the largest group and consists of cancers that
are ER positive and HER2 negative.
 The gene signature is dominated by the dozens of
genes under the control of ER
 The majority are well or moderately differentiated, and
most occur in postmenopausal women.
 These cancers are generally slow growing and respond
well to hormonal treatments.
 Luminal B (10% of NST cancers):
 This group of cancers also expresses ER but is generally
of higher grade, has a higher proliferative rate and/or
HER2 expression and low or absent PR expression.
 Most commonly associated with BRCA2 germline
mutations.
 10% of cases may respond to chemotherapy.
 HER2 positive (20% of NST cancers): Common in
young women
 90% of HER2/neu positive cancers, overexpression is
due to amplification of the segment of DNA on 17q21
that includes the HER2/neu gene.
 In rare cases, HER2/neu protein over-expression may
occur as a result of mechanisms other than gene
amplification.
 Identification is through assays of HER2 protein
overexpression or HER2 gene amplification.
 These cancers are usually poorly differentiated, have a
high proliferation rate, and are associated with a high
frequency of brain metastasis.
 One third or more respond to antibodies that bind
block HER2 activity.
 Basal-like (15% of NST cancers): Common in young
premenopausal women.
 Many carcinomas arising in women with BRCA1
mutations are of this type.
 10% of basal basal like cancers express ER and about
15% express HER2
 Thus, assays for protein expression or gene
amplification must be done for targeted therapy.
 Members of this group include medullary carcinomas,
metaplastic carcinomas, secretory carcinomas,
adenoid cystic carcinoma.
 30% respond to chemotherapy.
 The cancer genome atlas network reported different
genetic abnormalities associated with molecular
intrinsic subtypes.
 40% of luminal A tumors had mutated PIK3CA gene.
 29% of luminal B tumors showed PIK3CA and TP53
mutation.
 TP53 was mutated in 80% of the basal like classes
which exhibited the highest amount of mutations
compared to luminal tumors.
 HER2 enriched tumors showed HER2 amplification in
80% of cases.
SPECIAL HISTOLOGIC TYPES
They harbor a unique genetic
aberrations, distinct gene signatures that
break the “rules” that have been
established for breast cancers of no special
type.
INVASIVE LOBULAR CARCINOMA
 In lobular carcinoma, biallelic loss of expression of
CDH1, the gene that encodes E-cadherin, stems from a
combination of deletions, mutations, and promoter
silencing via methylation.
 Loss of E-cadherin is also seen in atypical lobular
hyperplasia and LCIS, indicating that this alteration is
a relatively early event in the development of lobular
carcinoma
MEDULLARY CARCINOMA
 Have features that are characteristic of BRCA1
associated carcinomas (13%).
 Hypermethyation of the BRCA1 promoter leading to
downregulation of BRCA1 expression is seen in 67%.
 All medullary carcinomas are poorly differentiated
METAPLASTIC CARCINOMA
 Metaplastic carcinoma includes a variety of rare types
of breast cancer (<1% of all cases), such as matrix-
producing carcinomas, squamous cell carcinomas, and
carcinomas with a prominent spindle cell component.
 They are ER-PR-HER2/neu triple negative, often
express myoepithelial proteins, and appear to be
related to the basal-like carcinomas.
 The prognosis is generally poor
MALE BREAST CANCER
 Overall incidence in men is only 1% of that in women,
which translates to a lifetime risk of 0.11%.
 Risk factors are similar to those in women and include
first-degree relatives with breast cancer, decreased
testicular function (e.g., Klinefelter syndrome),
exposure to exogenous estrogens, increasing age,
infertility, obesity.
 From 4% to 14% of cases in males are attributed to
germline BRCA2 mutations.
 There is a 60% to 76% chance of a BRCA2 mutation in
families with at least one affected male
 The same histologic subtypes of invasive cancer are
present, although papillary carcinomas (both invasive
and in situ) are more common and lobular carcinomas
are less common.
 The expression of molecular markers is similar, with
the exception that ER positivity is more common in
male breast cancer (81% of tumors).
PHYLLODES TUMOR
 Associated with clonal acquired chromosomal changes
with gains in chromosome 1q being the most frequent.
 Overexpression of homebox trancription factor
HOXB13 is associated with higher tumor grade and
aggressive clinical behaviour.
MOLECULAR PROFILING
 Breast cancer is caused by heterogenous group of
tumors, and that tumor behaviour and response to
therapy is determined by underlying biological
features.
 Current morphological surrogates based on
anatomical and histological properties of the tumor do
not reflect biological and molecular heterogeneity, nor
do they fully explain the genetic abnormalities found
in tumors.
 First molecular classification systems employed a
limited number of biomarkers.
 Using unsupervised clustering techniques breast
cancer was grouped into clusters of intrinsic subtypes
based on the quantitative expression of several genes.
 These molecular subtypes were associated with
outcome of therapy.
Why?
 Genome-wide microarray-based gene expression
profiling (GEP) studies have shown the ER and HER2
alone were unable to explain the heterogeneity of
breast cancer.
 Luminal ER positive cases comprises 70% of breast
cancers shows a heterogenous clinical outcome and a
variable response to systemic therapy.
Heterogeneity?
 In ER positive breast cancers hormone therapy reduces
10 year recurrence rate by 50% and reduces 15 year
mortality by a third.
 However a proportion of these cases did not respond,
indicating that other genes and pathways are involved
in determining the response and behavior of these
tumors.
 Introduction of molecular multigene assays that aim to
classify subgroups of breast cancer based on the
outcome and response to therapy.
 Various molecular subgroups of breast cancer can be
categorised by the aggregation of genes rather than
individual genes.
How to do?
 Approach involves identification of a set of
genes(gene signature) that can be used collectively
identify tumors with specific biological or clinical
features.
 Gene signature: expression of a set of genes in a
biological sample using microarray technology.
 Advantages: Association between molecular intrinsic
subtype classification and outcome and response to
therapy.
 Disadvantage: cost, access to technology and need for
fresh tumor material.
 Recently molecular intrinsic subtyping that uses
formaline fixed paraffin embedded material has
become available.
 In addition to prognosis and prediction use
microarray-based gene expression tests have been
developed to identify the cancer tissue of origin.
 Next generation sequencing (NGS) or massively
parallel sequencing (MPS) help in decoding breast
cancer molecular complexity , refining molecular
classification and identifying new therapeutic targets.
Molecular classification using
intrinsic subtypes
 In 2000, Perou et al described for the first time a
molecular classification system for breast carcinoma,
identifying 4 major molecular subtypes: ER-positive/
luminal-like, basal-like, ERRB2-positive (HER2-
enriched), and normal breast-like.
 Subsequent studies redefined the intrinsic molecular
classification, resulting in a subdivision of the luminal
type into types A and B
 The normal breast-like subtype has not been
reproducibly defined and is thought to be an artifact of
having too few tumor cells and a background of
normal breast tissue in the sample.
 Although this classification gained acceptance, the
initial testing methodology used messenger
ribonucleic acid (mRNA) expression analysis in fresh
frozen tissue, thus hampering its introduction into
clinical practice.
 Molecular taxonomy of breast cancer international
consortium (METABRIC) study of 2000 breast cancers
reported that the number of molecular subtypes is
likely 10, which are called ‘integrative clusters’.
 This also confirmed that triple negative tumors are
characterised by complex patterns of copy number
gains and losses throughout the genome.
 To overcome the problems of fresh tissue, the
availability of microarray-based technology and assay
reproducibility, other techniques such as RT-PCR and
IHC coupled with microarrays have been introduced.
 First approach involves the identification of minimum
gene set from microarray based studies which is then
used to identify the GEP defined classes.
 One successful example is PAM50 (prediction of
microarray using 50 classifier genes plus 5 reference genes)
classifier introduced in 2009 by Parker et al.
 It categorises breast cancer into 4 intrinsic subtypes:
luminal A, luminal B, HER2 enriched and basal like.
 In addition to classifying subtypes of breast cancer, the
test yields a risk of recurrence score, taking into
consideration the pathological tumor size and a subset of
quantitative values for proliferation, luminal gene
expression, ESR1 (ER), PGR (PR), and ERBB2.
 The PAM50 breast cancer intrinsic classifier test is
recommended for patients diagnosed with invasive
breast cancer, regardless of their stage or ER status.
 PAM50 has been shown in multivariate analyses to be
an independent predictor of survival rate in breast
cancer, as well as independent and superior to ER
status, tumor grade, lymph node status, and other
variables.
 However, PAM50 does not entirely correlate with IHC
results because the test may classify some tumors that
are HER2-positive by standard techniques, such as
IHC or in situ hybridization, as luminal types A or B.
 Conversely, up to 30% of HER2-enriched tumors by
PAM50 are clinically negative for HER2
Microarrays with IHC
 Second approach uses microassays and IHC, utilising a
large panel of biologically relevant biomarkers(10)
identifed 7 molecular classes.
 Simpler approach used the three routinely available
markers (ER,PR and HER2) plus Ki67 to classify breast
cancer into four molecular subclasses.
 Blows et al reported 6 intrinsic subtypes using 5 IHC
markers (ER,PR,HER2, EGFR and CK5/6).
 Recently published European Society for Medical
Oncology (ESMO) clinical practice guidelines
classifies breast cancer into 5 molecular subtypes
based on 4 markers (ER, PR, HER2 and Ki67) with or
without the addition of molecular gene signatures.
1. Luminal A tumors are defined as ER and PR positive,
HER2 negative, Ki67 low (10%) and low risk
molecular signature*
2. Luminal B :subclassified into
 HER2 positive and HER2 neagtive with
 Either high proliferative activity (Ki67>30%),PR low or
showing poor prognostic molecular signature*
3. Basal like is defined as triple neagtive.
4. HER2 positive is defined as HER2
overexpression/gene amplification with absence of
ER and PR.
Multigene prognostic and
predictive signatures
 In addition to intrinsic subtype classification,
microarray based GEP has been expanded to identify
relevant classes (class prediction) using supervised
clustering techniques.
 This class prediction approach was pioneered by Veer
et al.
 Despite the effort invested in developing prognostic
gene signatures, most signatures are reduced to two or
three risk categories (low, intermediate and high)
 Current guidelines advise oncologists to withhold
chemotherapy in patients with low recurrence scores
but to offer treatment to those with high recurrence
scores.
 Patients with an intermediate recurrence score
constitute a “gray zone.” To further clarify the risk of
recurrence and benefit from chemotherapy in such
patients, the Trial Assigning Individualized Options
for Treatment (TAILORx trial) was initiated and is
ongoing.
TEST NAME COMPONE
NT GENES
INTENDED
CLINICAL UTILITY
TECHNOLO
GY
CLASSIFICATI
ON
MammaPrint
/Amsterdam
signature
70 genes
(First
prognostic
gene
signature to
be
identified)
Node negative ER+ve or
ER-ve.
Estimates risk
recurrence.
Fresh or FFPE,
microarray
2 categories:
Low risk and
high risk
Oncotype DX
(recurrence
score0-100)
21 genes (16
cancer
related and
5 contros)
ER+ve, HER2-ve, node
negative breast cancer.
Predicts the likelihood
of chemotherapy
benefit as well as
recurrence in hormone
therapy treated
patients.
FFPE, RT-PCR 3 categories
Low risk
(RS<18)
Intermediate
risk
(RS18-300)
High risk
(RS>31)
Molecuar
grade index
(MGI)
5 genes ER+ve node negative
patients treated with
hormonal therapy
FFPE, RT-
PCR
2categories:
low and high
risk of
recurrence
Two gene
expression
ratio (H/I)
Ratio of the
relative
mRNA
expression of
2 genes
(HOXB13:IL1
7BR)
ER+ve, node neagtive
patients
FFPE, RT-
PCR
2 categories:
Low and high
risk
THEROS
Breast
cancer index
(BCI)
A
combination
of MGI and
the 2 gene
ratio
Risk of distant
recurrence in ER+ve
node negative breast
cancer.
Risk of late distant
metastasis and benefit
from extended (>5yrs)
hormone therapy
FFPE, RTR-
PCR
MammaPrint score
 MammaPrint is a microarray, in vitro, 70-gene
expression profile that includes genes considered to be
the hallmarks of local invasion, cancer-related biology,
regulators of cell cycle, proliferation, metastasis,
extravasation, survival in circulation, angiogenesis,
and adaptation to the microenvironment.
 Its prognostic use is approved for women under the
age of 61 who have ER-positive or ER-negative, lymph
node-negative breast cancer, and whose tumors are
smaller than 5 cm in size.
 Those considered to be low risk per the results of the test
should be advised to avoid adjuvant chemotherapy and
instead receive endocrine therapy alone, whereas those at
high risk are generally advised to receive chemotherapy.
 The test is highly accurate for patients at low risk because
the likelihood of progression to metastatic disease in these
cases is low.
 However, for patients at high risk, the prediction of
metastatic progression is not as precise because only
approximately 25% of these patients will progress at 5 years
Oncotype DX assay
 RT-PCR based assay performed on FFPE breast cancer
samples.
 Predicts the likelihood of distant recurrence or breast
cancer death in ER positive patients treated with
hormonal therapy alone.
 Also predicts the likelihood of chemotherapy benefit
in patients with high recurrence score.
 Oncotype DX is included in treatment guidelines from
the American Society of Clinical Oncology and
National Comprehensive Cancer Network.
 However the assay does have limitations. For example,
it is validated in hormone receptor–positive breast
cancer alone.
 It also has a high false-negative rate for HER2 that
could lead to the underestimation of recurrence risk
because such results influence the recurrence score.
BREAST CANCER INDEX
 Consists of two independently developed gene
signatures.
 Molecular grade index (MGI), a five gene predictor
that recapitulates tumor grade/proliferation, and the
tow gene ratio (HOXB13/IL17BR) signature (H/I).
 It is a predictor of early distance recurrence and is the
only significant prognostic for risk of late recurrence.
 The BCI Prognostic score estimates how likely the
cancer is to come back 5 to 10 years after diagnosis
(late recurrence).
 Scores range from 0 to 10. Cancers with scores of 0 to 5
are classified as having low risk of late recurrence.
 Cancers with scores of 5 to 10 are classified as having a
high risk of late recurrence.
NEXT GENERATION SEQUENCING
 Uses include whole genome sequencing, whole exome
sequencing, targeted exome sequencing (target
enrichment methods to capture the gene of interest)
and hotspot sequencing (sequences selected
regions/regions with recurrent mutations of selected
genes of interest)
 Characterise genome alterations such as copy number
changes, mutations/deletions.
 To enable the identification of subclonal mutations.
 To facilitate sequencing at a greater depth (at the base
pair level).
 In a NGS study of 100 breast cancers the number of
somatic mutations was reported to vary markedly
between individual tumors and to correlate the patient
age and histological grade.
 Driver mutations were identified in at least 40 cancer
genes.
 Seven of those 40 cancer genes (TP53, PIK3CA, MYC,
ERBB2, CCND1 and GATA3) were mutated in >10% of
cases.
 These contributed 58% of driver mutations.
 There was a maximum of 6 mutated cancer genes in an
individual breast cancer.
 NGS has also been used to demonstrate the spatial and
temporal intratumor heterogeneity of breast cancer.
 It showed that the constellations of somatic mutations
found between a primary breast cancer and its
metastases (temporal heterogeniety) and between
the distinct areas within the primary tumor (spatial
heterogeneity) are not identical.
 Providing further evidence to indicate the breast
cancer evolve over the course of the disease.
 A recurrent problem in breast cancer therapeutics
which NGS promises to untangle is endocrine
resistance.
 Approximately 30% of ER-positive breast cancers
exhibit de novo resistance, and acquire resistance to
these therapies.
CONCLUSION
 Molecular testing is becoming increasingly important
in the prevention, diagnosis and treatment of breast
cancer.
 Despite the enormous amount of work that has been
carried out to develop and refine breast cancer
molecular classification, it is still evolving.
References
 Klatt, Edward C, and Vinay Kumar. Robbins And
Cotran Review Of Pathology. 1st ed. London: Elsevier
Health Sciences, 2009.
 Recent advances in pathology 24.
 Kittaneh et al. Molecular Profiling for Breast Cancer: A
Comprehensive Review. Biomarkers in Cancer 2013:5
61–70 doi:10.
 Marilin Rosa et al, Advances in the Molecular Analysis
of Breast Cancer: Pathway Toward Personalized
Medicine. 4137/BIC.S9455.
Molecular profiling in breast cancer

Molecular profiling in breast cancer

  • 1.
    By : DrShashidhara T S Moderator : Dr Siddiq M Ahmed
  • 2.
    INTRODUCTION  Most commonnon-skin malignancy in women.  Incidence is rare in women younger than 25yrs.  Increases rapidly after 30yrs.
  • 4.
     The majorityare estrogen receptor (ER) positive and are characterized by a gene signature dominated by the dozens of genes under the control of estrogen.  ER positive cancers continue to increase with age.  ER negative and HER2 positive cancers remains relatively constant
  • 6.
    RISK FACTORS  AGE:In young women, half of the cancers are either ER negative or human epidermal growth factor receptor 2 (HER2/neu) positive  ER positive cancers peak is seen between 70-80yrs
  • 7.
     AGE ATFIRST LIVE BIRTH: High risk in nulliparous women or women over the age of 35 at their first birth.  It is hypothesized that pregnancy results in terminal differentiation of milk-producing luminal cells, removing them from the potential pool of cancer precursors.
  • 8.
     FIRST DEGREERELATIVES: 15-20% of women with breast cancer have one affected first-degree relative.  ESTROGEN EXPOSURE: Postmenopausal hormone replacement therapy increases the risk.  Most cancers are ER-positive carcinomas.
  • 9.
     OBESITY: Thereis decreased risk in obese women younger than 40 years as a result of the association with anovulatory cycles.  In contrast, the risk is increased for postmenopausal obese women, which is attributed to the synthesis of estrogens in fat depots.
  • 12.
    ETIOLOGY AND PATHOGENESIS Breast cancers are clonal proliferations that arise from cells with multiple genetic aberrations, acquisition of which is influenced by hormonal exposures and inherited susceptibility genes.  They can therefore be divided into sporadic cases, probably related to hormonal exposure, and hereditary cases, associated with germline mutations.
  • 16.
    FAMILIAL BREAST CANCER The inheritance of a susceptibility gene or genes is the primary cause of approximately 12% of breast cancers.  Multiple affected first-degree relatives,  Before menopause and/or have multiple cancers,  Family members with other specific cancers
  • 18.
     The majorknown susceptibility genes for familial breast cancer are BRCA1, BRCA2, TP53 and CHEK2.  Which are tumor suppressor genes, have normal roles in DNA repair and maintenance of genomic integrity.
  • 19.
     Mutations inBRCA1 and BRCA2 are responsible for 80- 90% of “single gene” familial breast cancers and about 3% of all breast cancers.  BRCA1 cancers are also frequently associated with loss of the inactive X chromosome and reduplication of the active X, resulting in the absence of the Barr body.  BRCA1-associated breast cancers are commonly poorly differentiated and have medullary like features. ER- negative/ HER-2 negative, basal like.
  • 20.
     BRCA2-associated breastcarcinomas also tend to be relatively poorly differentiated, but are more often ER positive than BRCA1 cancers.  Other known susceptibility genes are much less commonly implicated; together, this group accounts for fewer than 10% of hereditary breast carcinomas
  • 21.
     Rarely patientscan have germline TP53 mutations (Li- Fraumeni syndrome) and develop cancer which are both HER2 and ER positive.  They will have complex interchromosomal translocations, high level amplifications of HER2 and a high mutational load.
  • 22.
     Li-Fraumeni syndromeand Li-Fraumeni variant syndrome (due to germline mutations in CHEK2) together account for about 8% of breast cancers caused by single genes.  Three other tumor suppressor genes, PTEN (Cowden syndrome), LKBI/STK11 (Peutz-Jeghers syndrome), and ATM (ataxia telangiectasia), are mutated in less than 1% of all breast cancers.
  • 23.
     Except forp53, mutations in genes implicated in hereditary breast cancer are uncommon in sporadic breast cancers.  However, decreased expression of BRCA1 and CHEK2 is common in sporadic cancers, particularly those that are triple-negative or poorly differentiated, and basal-like cancers.
  • 24.
    SPORADIC BREAST CANCER The major risk factors for sporadic breast cancer are related to hormone exposure.  The majority of sporadic cancers occur in postmenopausal women and are ER positive.  Hormonal exposure increases the number of potential target cells by stimulating breast growth during puberty, menstrual cycles, and pregnancy.
  • 25.
     Once premalignantor malignant cells are present, hormones can stimulate their growth, as well as the growth of normal epithelial and stromal cells.  Estrogen may also play a more direct role in carcinogenesis.  Metabolites of estrogen can cause mutations or generate DNA-damaging free radicals in cell.
  • 26.
    CARCINOGENESIS  Populations ofcells that harbor some, but not all, of the genetic and epigenetic changes that are required for carcinogenesis give rise to morphologically recognizable breast lesions that are associated with an increased risk of progression to cancer.  The earliest such alterations are proliferative changes, which may stem from the loss of growth-inhibiting signals, aberrant increases in pro-growth signals, or decreased apoptosis.
  • 27.
     For example,most early lesions (such as atypical ductal hyperplasia and atypical lobular hyperplasia) show increased expression of hormone receptors and abnormal regulation of proliferation.  The most likely cell type of origin for the majority of carcinomas is the ER-expressing luminal cell, since the majority of cancers are ER-positive.  ER-negative carcinomas may arise from ER-negative myoepithelial cells
  • 28.
     Most commondriver mutations involve the proto- oncogenes PIK3CA, HER2,MYC and CCND1 and the tumor suppressor genes TP53, BRCA1 and BRCA2.  Once the process is initiated in such cells by a driver mutation, there can be 3 major genetic pathways of carcinogenesis
  • 30.
     Once afounding tumor clone is established, subclonal heterogeneity arising by chance due to genomic instability contributes to tumor progression and resistance to therapy.  Neoplastic epithelial cells are dependent on interactions with stromal cells in the microenvironment.
  • 31.
     Focal alterationsin the stroma may play a direct role by creating a microenvironment conducive to tumor development and growth.  Loss of heterozygosity is rarely detected in typical proliferative change but becomes more frequent in atypical hyperplasias and is almost universally present in carcinoma in situ.
  • 32.
     Profound DNAinstability in the form of aneuploidy, which manifests morphologically by nuclear enlargement, irregularity, and hyperchromasia, is observed only in high-grade DCIS and some invasive carcinomas.  At some point during tumor progression the malignant clone also becomes immortalized and acquires the ability to drive neo-angiogenesis.
  • 33.
     The finalstep of carcinogenesis, the transition of carcinoma in situ to invasive carcinoma, is the most important and unfortunately the least understood.  Genetic markers specific for invasive carcinomas have been difficult to identify.  It is important to remember that the structure and function of the normal breast depend on a complex interplay between luminal cells, myoepithelial cells, and stromal cells.
  • 34.
     The samemolecular events that allow for the normal formation of new ductal branch points and lobules during puberty and pregnancy - increased proliferation, escape from growth inhibition, angiogenesis may be recapitulated during carcinogenesis.  Remodeling of the breast, which involves inflammatory and wound healing like tissue reactions, could explain the transient increase in breast cancers during and shortly after pregnancy, since such changes could facilitate the transition of carcinoma in situ to invasive cancer
  • 35.
    CLASSIFICATION  Greater than95% of breast malignancies are adenocarcinomas, which are divided into in situ carcinomas and invasive carcinomas.  Carcinoma in situ refers to a neoplastic proliferation that is limited to ducts and lobules by the basement membrane.  Invasive carcinoma (synonymous with infiltrating carcinoma) has penetrated through the basement membrane into stroma.
  • 36.
     All breastcarcinomas arise from cells in the terminal duct lobular unit  The use of the terms lobular and ductal to describe both in situ and invasive carcinomas persists
  • 37.
     Carcinoma insitu was originally classified as ductal or lobular based on the resemblance of the involved spaces to normal ducts or lobules.  However, it is now recognized that varied patterns of growth in situ are not related to the site or cell of origin, but rather reflect differences in tumor cell biology, such as whether the tumor cells express the cell adhesion protein E-cadherin or not
  • 38.
    By current convention,lobular refers to carcinomas of a specific type, and ductal is used more generally for adenocarcinomas that have no other designation.
  • 39.
    CARCINOMA IN SITU DUCTAL CARCINOMA IN SITU: DCIS consists of a malignant clonal population of cells limited to ducts and lobules by the basement membrane.  The myoepithelial cells are preserved, although they may be diminished in number.  DCIS has been divided into five architectural subtypes: comedocarcinoma, solid, cribriform, papillary, and micropapillary…..majority of DCIS show a mixture of patterns.
  • 43.
     PAGETS DISESE:Malignant cells (Paget cells) extend from DCIS within the ductal system, via the lactiferous sinuses, into nipple skin without crossing the basement membrane  The tumor cells disrupt the normal epithelial barrier, allowing extracellular fluid to seep out onto the nipple surface.
  • 45.
     Almost allof these cases have an underlying invasive carcinoma.  The carcinomas are usually poorly differentiated, ER negative, and over-express HER2/neu.  Prognosis depends upon the underlying carcinoma.
  • 46.
     DCIS withmicroinvasion is diagnosed when there is an area of invasion through the basement membrane into stroma measuring no more than 0.1 cm.  Microinvasion is most commonly seen in association with comedocarcinoma.
  • 47.
     LOBULAR CARCINOMAIN SITU (LCIS): common in young women, with 80% to 90% of cases occurring before menopause.  The cells of LCIS and invasive lobular carcinoma are identical and share genetic abnormalities, such as those that lead to loss of expression of E- cadherin(CDH1gene) , a transmembrane cell adhesion protein that contributes to the cohesion of normal breast epithelial cells.  LCIS almost always expresses ER and PR. Oerexpression of HER2/neu is not observed
  • 49.
    INVASIVE CARCINOMA  LuminalA: (40% to 55% of NST cancers):  This is the largest group and consists of cancers that are ER positive and HER2 negative.  The gene signature is dominated by the dozens of genes under the control of ER
  • 50.
     The majorityare well or moderately differentiated, and most occur in postmenopausal women.  These cancers are generally slow growing and respond well to hormonal treatments.
  • 51.
     Luminal B(10% of NST cancers):  This group of cancers also expresses ER but is generally of higher grade, has a higher proliferative rate and/or HER2 expression and low or absent PR expression.  Most commonly associated with BRCA2 germline mutations.  10% of cases may respond to chemotherapy.
  • 52.
     HER2 positive(20% of NST cancers): Common in young women  90% of HER2/neu positive cancers, overexpression is due to amplification of the segment of DNA on 17q21 that includes the HER2/neu gene.  In rare cases, HER2/neu protein over-expression may occur as a result of mechanisms other than gene amplification.
  • 53.
     Identification isthrough assays of HER2 protein overexpression or HER2 gene amplification.  These cancers are usually poorly differentiated, have a high proliferation rate, and are associated with a high frequency of brain metastasis.  One third or more respond to antibodies that bind block HER2 activity.
  • 54.
     Basal-like (15%of NST cancers): Common in young premenopausal women.  Many carcinomas arising in women with BRCA1 mutations are of this type.  10% of basal basal like cancers express ER and about 15% express HER2
  • 55.
     Thus, assaysfor protein expression or gene amplification must be done for targeted therapy.  Members of this group include medullary carcinomas, metaplastic carcinomas, secretory carcinomas, adenoid cystic carcinoma.  30% respond to chemotherapy.
  • 59.
     The cancergenome atlas network reported different genetic abnormalities associated with molecular intrinsic subtypes.  40% of luminal A tumors had mutated PIK3CA gene.  29% of luminal B tumors showed PIK3CA and TP53 mutation.
  • 60.
     TP53 wasmutated in 80% of the basal like classes which exhibited the highest amount of mutations compared to luminal tumors.  HER2 enriched tumors showed HER2 amplification in 80% of cases.
  • 61.
    SPECIAL HISTOLOGIC TYPES Theyharbor a unique genetic aberrations, distinct gene signatures that break the “rules” that have been established for breast cancers of no special type.
  • 62.
    INVASIVE LOBULAR CARCINOMA In lobular carcinoma, biallelic loss of expression of CDH1, the gene that encodes E-cadherin, stems from a combination of deletions, mutations, and promoter silencing via methylation.  Loss of E-cadherin is also seen in atypical lobular hyperplasia and LCIS, indicating that this alteration is a relatively early event in the development of lobular carcinoma
  • 64.
    MEDULLARY CARCINOMA  Havefeatures that are characteristic of BRCA1 associated carcinomas (13%).  Hypermethyation of the BRCA1 promoter leading to downregulation of BRCA1 expression is seen in 67%.  All medullary carcinomas are poorly differentiated
  • 70.
    METAPLASTIC CARCINOMA  Metaplasticcarcinoma includes a variety of rare types of breast cancer (<1% of all cases), such as matrix- producing carcinomas, squamous cell carcinomas, and carcinomas with a prominent spindle cell component.  They are ER-PR-HER2/neu triple negative, often express myoepithelial proteins, and appear to be related to the basal-like carcinomas.  The prognosis is generally poor
  • 71.
    MALE BREAST CANCER Overall incidence in men is only 1% of that in women, which translates to a lifetime risk of 0.11%.  Risk factors are similar to those in women and include first-degree relatives with breast cancer, decreased testicular function (e.g., Klinefelter syndrome), exposure to exogenous estrogens, increasing age, infertility, obesity.
  • 72.
     From 4%to 14% of cases in males are attributed to germline BRCA2 mutations.  There is a 60% to 76% chance of a BRCA2 mutation in families with at least one affected male
  • 73.
     The samehistologic subtypes of invasive cancer are present, although papillary carcinomas (both invasive and in situ) are more common and lobular carcinomas are less common.  The expression of molecular markers is similar, with the exception that ER positivity is more common in male breast cancer (81% of tumors).
  • 74.
    PHYLLODES TUMOR  Associatedwith clonal acquired chromosomal changes with gains in chromosome 1q being the most frequent.  Overexpression of homebox trancription factor HOXB13 is associated with higher tumor grade and aggressive clinical behaviour.
  • 75.
    MOLECULAR PROFILING  Breastcancer is caused by heterogenous group of tumors, and that tumor behaviour and response to therapy is determined by underlying biological features.  Current morphological surrogates based on anatomical and histological properties of the tumor do not reflect biological and molecular heterogeneity, nor do they fully explain the genetic abnormalities found in tumors.
  • 76.
     First molecularclassification systems employed a limited number of biomarkers.  Using unsupervised clustering techniques breast cancer was grouped into clusters of intrinsic subtypes based on the quantitative expression of several genes.  These molecular subtypes were associated with outcome of therapy.
  • 77.
    Why?  Genome-wide microarray-basedgene expression profiling (GEP) studies have shown the ER and HER2 alone were unable to explain the heterogeneity of breast cancer.  Luminal ER positive cases comprises 70% of breast cancers shows a heterogenous clinical outcome and a variable response to systemic therapy.
  • 78.
    Heterogeneity?  In ERpositive breast cancers hormone therapy reduces 10 year recurrence rate by 50% and reduces 15 year mortality by a third.  However a proportion of these cases did not respond, indicating that other genes and pathways are involved in determining the response and behavior of these tumors.
  • 79.
     Introduction ofmolecular multigene assays that aim to classify subgroups of breast cancer based on the outcome and response to therapy.  Various molecular subgroups of breast cancer can be categorised by the aggregation of genes rather than individual genes.
  • 80.
    How to do? Approach involves identification of a set of genes(gene signature) that can be used collectively identify tumors with specific biological or clinical features.  Gene signature: expression of a set of genes in a biological sample using microarray technology.
  • 81.
     Advantages: Associationbetween molecular intrinsic subtype classification and outcome and response to therapy.  Disadvantage: cost, access to technology and need for fresh tumor material.  Recently molecular intrinsic subtyping that uses formaline fixed paraffin embedded material has become available.
  • 82.
     In additionto prognosis and prediction use microarray-based gene expression tests have been developed to identify the cancer tissue of origin.  Next generation sequencing (NGS) or massively parallel sequencing (MPS) help in decoding breast cancer molecular complexity , refining molecular classification and identifying new therapeutic targets.
  • 83.
    Molecular classification using intrinsicsubtypes  In 2000, Perou et al described for the first time a molecular classification system for breast carcinoma, identifying 4 major molecular subtypes: ER-positive/ luminal-like, basal-like, ERRB2-positive (HER2- enriched), and normal breast-like.  Subsequent studies redefined the intrinsic molecular classification, resulting in a subdivision of the luminal type into types A and B
  • 84.
     The normalbreast-like subtype has not been reproducibly defined and is thought to be an artifact of having too few tumor cells and a background of normal breast tissue in the sample.  Although this classification gained acceptance, the initial testing methodology used messenger ribonucleic acid (mRNA) expression analysis in fresh frozen tissue, thus hampering its introduction into clinical practice.
  • 86.
     Molecular taxonomyof breast cancer international consortium (METABRIC) study of 2000 breast cancers reported that the number of molecular subtypes is likely 10, which are called ‘integrative clusters’.  This also confirmed that triple negative tumors are characterised by complex patterns of copy number gains and losses throughout the genome.
  • 87.
     To overcomethe problems of fresh tissue, the availability of microarray-based technology and assay reproducibility, other techniques such as RT-PCR and IHC coupled with microarrays have been introduced.  First approach involves the identification of minimum gene set from microarray based studies which is then used to identify the GEP defined classes.
  • 88.
     One successfulexample is PAM50 (prediction of microarray using 50 classifier genes plus 5 reference genes) classifier introduced in 2009 by Parker et al.  It categorises breast cancer into 4 intrinsic subtypes: luminal A, luminal B, HER2 enriched and basal like.  In addition to classifying subtypes of breast cancer, the test yields a risk of recurrence score, taking into consideration the pathological tumor size and a subset of quantitative values for proliferation, luminal gene expression, ESR1 (ER), PGR (PR), and ERBB2.
  • 89.
     The PAM50breast cancer intrinsic classifier test is recommended for patients diagnosed with invasive breast cancer, regardless of their stage or ER status.  PAM50 has been shown in multivariate analyses to be an independent predictor of survival rate in breast cancer, as well as independent and superior to ER status, tumor grade, lymph node status, and other variables.
  • 90.
     However, PAM50does not entirely correlate with IHC results because the test may classify some tumors that are HER2-positive by standard techniques, such as IHC or in situ hybridization, as luminal types A or B.  Conversely, up to 30% of HER2-enriched tumors by PAM50 are clinically negative for HER2
  • 91.
    Microarrays with IHC Second approach uses microassays and IHC, utilising a large panel of biologically relevant biomarkers(10) identifed 7 molecular classes.  Simpler approach used the three routinely available markers (ER,PR and HER2) plus Ki67 to classify breast cancer into four molecular subclasses.
  • 92.
     Blows etal reported 6 intrinsic subtypes using 5 IHC markers (ER,PR,HER2, EGFR and CK5/6).  Recently published European Society for Medical Oncology (ESMO) clinical practice guidelines classifies breast cancer into 5 molecular subtypes based on 4 markers (ER, PR, HER2 and Ki67) with or without the addition of molecular gene signatures.
  • 93.
    1. Luminal Atumors are defined as ER and PR positive, HER2 negative, Ki67 low (10%) and low risk molecular signature* 2. Luminal B :subclassified into  HER2 positive and HER2 neagtive with  Either high proliferative activity (Ki67>30%),PR low or showing poor prognostic molecular signature*
  • 94.
    3. Basal likeis defined as triple neagtive. 4. HER2 positive is defined as HER2 overexpression/gene amplification with absence of ER and PR.
  • 95.
    Multigene prognostic and predictivesignatures  In addition to intrinsic subtype classification, microarray based GEP has been expanded to identify relevant classes (class prediction) using supervised clustering techniques.  This class prediction approach was pioneered by Veer et al.
  • 96.
     Despite theeffort invested in developing prognostic gene signatures, most signatures are reduced to two or three risk categories (low, intermediate and high)  Current guidelines advise oncologists to withhold chemotherapy in patients with low recurrence scores but to offer treatment to those with high recurrence scores.
  • 97.
     Patients withan intermediate recurrence score constitute a “gray zone.” To further clarify the risk of recurrence and benefit from chemotherapy in such patients, the Trial Assigning Individualized Options for Treatment (TAILORx trial) was initiated and is ongoing.
  • 98.
    TEST NAME COMPONE NTGENES INTENDED CLINICAL UTILITY TECHNOLO GY CLASSIFICATI ON MammaPrint /Amsterdam signature 70 genes (First prognostic gene signature to be identified) Node negative ER+ve or ER-ve. Estimates risk recurrence. Fresh or FFPE, microarray 2 categories: Low risk and high risk Oncotype DX (recurrence score0-100) 21 genes (16 cancer related and 5 contros) ER+ve, HER2-ve, node negative breast cancer. Predicts the likelihood of chemotherapy benefit as well as recurrence in hormone therapy treated patients. FFPE, RT-PCR 3 categories Low risk (RS<18) Intermediate risk (RS18-300) High risk (RS>31)
  • 99.
    Molecuar grade index (MGI) 5 genesER+ve node negative patients treated with hormonal therapy FFPE, RT- PCR 2categories: low and high risk of recurrence Two gene expression ratio (H/I) Ratio of the relative mRNA expression of 2 genes (HOXB13:IL1 7BR) ER+ve, node neagtive patients FFPE, RT- PCR 2 categories: Low and high risk THEROS Breast cancer index (BCI) A combination of MGI and the 2 gene ratio Risk of distant recurrence in ER+ve node negative breast cancer. Risk of late distant metastasis and benefit from extended (>5yrs) hormone therapy FFPE, RTR- PCR
  • 100.
    MammaPrint score  MammaPrintis a microarray, in vitro, 70-gene expression profile that includes genes considered to be the hallmarks of local invasion, cancer-related biology, regulators of cell cycle, proliferation, metastasis, extravasation, survival in circulation, angiogenesis, and adaptation to the microenvironment.  Its prognostic use is approved for women under the age of 61 who have ER-positive or ER-negative, lymph node-negative breast cancer, and whose tumors are smaller than 5 cm in size.
  • 101.
     Those consideredto be low risk per the results of the test should be advised to avoid adjuvant chemotherapy and instead receive endocrine therapy alone, whereas those at high risk are generally advised to receive chemotherapy.  The test is highly accurate for patients at low risk because the likelihood of progression to metastatic disease in these cases is low.  However, for patients at high risk, the prediction of metastatic progression is not as precise because only approximately 25% of these patients will progress at 5 years
  • 102.
    Oncotype DX assay RT-PCR based assay performed on FFPE breast cancer samples.  Predicts the likelihood of distant recurrence or breast cancer death in ER positive patients treated with hormonal therapy alone.  Also predicts the likelihood of chemotherapy benefit in patients with high recurrence score.
  • 103.
     Oncotype DXis included in treatment guidelines from the American Society of Clinical Oncology and National Comprehensive Cancer Network.  However the assay does have limitations. For example, it is validated in hormone receptor–positive breast cancer alone.  It also has a high false-negative rate for HER2 that could lead to the underestimation of recurrence risk because such results influence the recurrence score.
  • 104.
    BREAST CANCER INDEX Consists of two independently developed gene signatures.  Molecular grade index (MGI), a five gene predictor that recapitulates tumor grade/proliferation, and the tow gene ratio (HOXB13/IL17BR) signature (H/I).  It is a predictor of early distance recurrence and is the only significant prognostic for risk of late recurrence.
  • 105.
     The BCIPrognostic score estimates how likely the cancer is to come back 5 to 10 years after diagnosis (late recurrence).  Scores range from 0 to 10. Cancers with scores of 0 to 5 are classified as having low risk of late recurrence.  Cancers with scores of 5 to 10 are classified as having a high risk of late recurrence.
  • 106.
    NEXT GENERATION SEQUENCING Uses include whole genome sequencing, whole exome sequencing, targeted exome sequencing (target enrichment methods to capture the gene of interest) and hotspot sequencing (sequences selected regions/regions with recurrent mutations of selected genes of interest)
  • 107.
     Characterise genomealterations such as copy number changes, mutations/deletions.  To enable the identification of subclonal mutations.  To facilitate sequencing at a greater depth (at the base pair level).
  • 108.
     In aNGS study of 100 breast cancers the number of somatic mutations was reported to vary markedly between individual tumors and to correlate the patient age and histological grade.  Driver mutations were identified in at least 40 cancer genes.
  • 109.
     Seven ofthose 40 cancer genes (TP53, PIK3CA, MYC, ERBB2, CCND1 and GATA3) were mutated in >10% of cases.  These contributed 58% of driver mutations.  There was a maximum of 6 mutated cancer genes in an individual breast cancer.
  • 110.
     NGS hasalso been used to demonstrate the spatial and temporal intratumor heterogeneity of breast cancer.  It showed that the constellations of somatic mutations found between a primary breast cancer and its metastases (temporal heterogeniety) and between the distinct areas within the primary tumor (spatial heterogeneity) are not identical.  Providing further evidence to indicate the breast cancer evolve over the course of the disease.
  • 112.
     A recurrentproblem in breast cancer therapeutics which NGS promises to untangle is endocrine resistance.  Approximately 30% of ER-positive breast cancers exhibit de novo resistance, and acquire resistance to these therapies.
  • 113.
    CONCLUSION  Molecular testingis becoming increasingly important in the prevention, diagnosis and treatment of breast cancer.  Despite the enormous amount of work that has been carried out to develop and refine breast cancer molecular classification, it is still evolving.
  • 114.
    References  Klatt, EdwardC, and Vinay Kumar. Robbins And Cotran Review Of Pathology. 1st ed. London: Elsevier Health Sciences, 2009.  Recent advances in pathology 24.  Kittaneh et al. Molecular Profiling for Breast Cancer: A Comprehensive Review. Biomarkers in Cancer 2013:5 61–70 doi:10.  Marilin Rosa et al, Advances in the Molecular Analysis of Breast Cancer: Pathway Toward Personalized Medicine. 4137/BIC.S9455.