Management of common OIs and
ART Failure in HIV pts
Presenter : Berhanu S. (M.intern)
Moderator : Dr. Zewdu
Dr.Kedir
11-May-17 Berhanu S(MI) 1
Outline
case presentation
discussion on oIs
A. respiratory system
B. gastrointestinal system
C. central nervous sytem
Treatment failure
When to start ART
What ART regimen to switch to (second-line ART)
Strength and pitfalls of management
11-May-17 Berhanu S(MI) 2
Case scenario
Patient Identification
 Name:DA
 Age: 45
 Sex: M
 Address: Asella
 Date of admission: 19/07/09
 C/C-cough&SoB of 2wks duration
11-May-17 Berhanu S(MI) 3
Cont…
HPI-
This is aknown RVI patient for the last 14 years and on ART for the last
10 yrs (TDF+3TC+Efv) adherent to his medications.
Currently presented with productive cough which is blood tingled and
shortness of breath on exertion of 2 weeks duration.
Associated to this,he had HGIF,loss of appetite,wt loss
profuse night sweating and easy fatigability.
11-May-17 Berhanu S(MI) 4
Cont…
• He has also pain during urination,frequency,urgency,but no urin color
or amount change.
• He was treated for Tb before 01 yr and declared cured.
• otherwise
no hx of orthopnea ,PND,or body swelling
no hx of diarrhea or vomiting
No hx of headache ,body weakness or change in mentation
11-May-17 Berhanu S(MI) 5
• The baseline CD4+ count was 194
• After one year CD4+ count became 242 subesequently
CD4+ Count was 309,343,75, 88 and with recent cd4
count of 79 .
• V.load was 989,374 copies measured 1 yr
back,subsequently it becomes 597,213 copies measured 1
month back.
11-May-17 Berhanu S(MI) 6
Cont…
Physical examination
GA: chronicaly sick looking in CRD
V/S: BP=95/60, PR = 130, RR=38, T=39.2, psowA =82% &with
INO2=95%
HEENT:pink conjunctiva,NIS
LGS: no LAP
RESP: relativedullnesss and decrease airentry over the posterior rt
lower half of the chest and coarse crepitation over the same area.
11-May-17 Berhanu S(MI) 7
Cont…
CVS: S1 and S2 well heard, no murmur or gallop
ABD: flat abdomen moves with respiration
liver is palpable 3 cm below RCM
no sign of fluid collection
GUS: Rt side CVAT
INT: healed hypopigmented multiple macules distributed
predominantly over extremties
MSS: no edema
CNS: COTPP, GCS=15/15
11-May-17 Berhanu S(MI) 8
ASST:
Stage T4 RVI +?DISSIMINATED
TB(lung,pleura,liver)with superimposed
CAP+?treatment failure+UTI
11-May-17 Berhanu S(MI) 9
Investigations
• CBC-wbc 6600 N-44.2 L-37.2
• RBC-3.73 ESR-110mm/hr
• HGB-10.4 OFT- GOT-113 GPT-56 Alp-351
• HCT-33.5 cr-1.85 urea-71
• MCV-89.8 U/A-blood +2
• MCH-27.9
• MCHC-31
• PLT-152000
Berhanu S(MI)
11-May-17 10
• S/E= no ova or parasite seen
• GENE EXPERT =NOT DETECTED
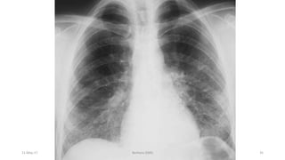
• Chest x ray(RLL,RML lobar pneumonia)
11-May-17 Berhanu S(MI) 11
Plan
• Put on intra nasal oxygen
• Ceftriaxone 1gm iv bid
• Azithromycin 500mg po/day
• Continue CPT
• Paracetamole 1g po PRN
• Continue previous ART regimen
• To do AFB,gene expert,CD4+
count,OFT,CXR
11-May-17 Berhanu S(MI) 12
• S-no new complaint
• O-GA =ASL on chronic base
• V/s bp- 110/70 PR-86 RR-22 T-36.5
others revised and the same
ASS-the same
plan- to change the ART to 2nd line and
continue the above medication
Berhanu S(MI)
Progress note on 20/07/09(2nd DOA)
11-May-17 13
• S-no new complaint
• O-GA =ASL on chronic base
• V/s bp- 110/8 PR-110 RR-28 T-37.2 PsoA-87% &W 5L INO2=97%
others revised and the same
ASS-the same
plan- to continue the above medication
11-May-17 Berhanu S(MI) 14
Progress note on 22/07/09(4th DOA)
• S-no new complaint
• O-GA =ASL on chronic base
• V/s bp- 110/70 PR-92 RR-24 T-36.PsoA-86%
others revised and the same
ASSt-the same
plan- to continue the above medication
Progress note on 24/07/09(6th DOA)
11-May-17 Berhanu S(MI) 15
• S-no new complaint
• O-GA =ASL on chronic base
• V/s bp- 110/70 PR-96 RR-26 T-36.9 Pso 5L INO2-92%
others revised and the same
ASSt-the same
plan- to start Anti TB(2RHZE,4RH)
continue the above medication
11-May-17 Berhanu S(MI) 16
Progress note on 26/07/09(8th DOA)
• With the above management the patient improved
and discharged after 9th days of stay with
• 2nd line Art regimen (2f. AZT-3TC-ATV/r)
• CPT
• Anti TB(2RHZE,4RH)
• Counseled on drug adherance and follow up
11-May-17 Berhanu S(MI) 17
1) Opportunistic Diseases
• Diseases that take advantage of the weakness of the immune system
• Infections or Malignancies
• New or reactivation of pre-existing conditions
• As the CD4 level declines, the risk of getting OIs increases
11-May-17 Berhanu S(MI) 18
11-May-17 Berhanu S(MI) 19
A Pulmonary diseases In HIV
Pulmonary disease is one of the most frequent
complications of HIV infection.
 The most common manifestation of pulmonary
disease is pneumonia.
3 of the 10 most common AIDS-defining illnesses are
recurrent bacterial pneumonia, Tbc and pneumonia
due to the unicellular fungus P. jiroveci.
Other causes of pulmonary infiltrates include other
mycobacteria, other fungi , nonspecific interstitial
pneumonitis, KS, and lymphoma.
11-May-17 Berhanu S(MI) 20
TB & HIV
11-May-17 Berhanu S(MI) 21
TB-HIV
• HIV infection increases the risk of active TB by about 20-fold
• People with HIV infection are more likely to progress to active TB
following recent TB infection, & are more likely to reactivate latent
TB
• TB accelerates the progression of HIV disease
• PLHIV with TB are at higher risk of death, particularly if ART is delayed
• The treatment is complicated by potential drug interactions (rifampin
with PIs & NNRTIs)
11-May-17 Berhanu S(MI) 22
Cont…
• TB in advanced immunosuppression
• Atypical & more subtle clinical manifestations
• More likely extra-pulmonary & disseminated TB
• Atypical CXR appearances, even normal CXR
• Less likely to have upper lobe disease or cavitation
• More likely to have negative AFB smear
11-May-17 Berhanu S(MI) 23
Upper lobe cavitation
Typical TB presentation in immune-competent
11-May-17 Berhanu S(MI) 24
TB-HIV
• Earlier ART is associated with reduced mortality, which outweighs
concerns about overlapping drug toxicities & the risk of IRIS
morbidity.
• People with HIV infection are more likely to experience recurrence of
TB after successful treatment, more often caused by re-infection than
to relapse
• Isoniazid preventive therapy (IPT) reduces the risk of developing TB
11-May-17 Berhanu S(MI) 25
Risk of Active TB Development
Life time risk of TB depends on
• Immune status, e.g. HIV status
• 5-10% in HIV negatives
• 50% in HIV positives
• TB prevalence in the community
• USA 5% of patients with HIV develop TB
• Ethiopia: 45-50% of patients with HIV have TB
11-May-17 Berhanu S(MI) 26
• Screen every person with HIV
• Using clinical examination
• Determine the TB Status of he person
• TB Case (Active TB)
• Suspect TB
• No suspicion of TB
• Take measures accordingly
• Do Investigation
• Start Anti-TB
• Start INH prophylaxis
Diagnosing TB in persons with HIV
11-May-17 Berhanu S(MI) 27
Algorithm for TB screening among adults and
adolescents living with HIV (need correction)
11-May-17 Berhanu S(MI) 28
• Case fatality rate in HIV+ patients with TB higher than in HIV- TB
patients
• In sub-Saharan Africa: up to 30% of HIV+ smear positive PTB patients
die before end of treatment and even worse for the smear negative
group
• Deaths are mainly due to TB and other HIV-related problems
• Higher recurrence rate than in HIV negative (re-infection or
reactivation)
Outcome in HIV/TB co-Infection
11-May-17 Berhanu S(MI) 29
TB and HIV Co management
• Always first manage an OI before initiating ART
• Start TB Treatment first before ART
• If already on ART, continue ART and Start TB treatment
• When to start the ART after the TB treatment depends on the level of
immunity of the person
• Those with good immunity (high CD 4 and fair Stage can be waited for months
• Those with advanced and severe immuno-suppression should start ART after
waiting for some weeks to see the tolerability of anti TB
11-May-17 Berhanu S(MI) 30
Pneumocystis Jiroveci Pneumonia
• Is caused by Pneumocystis jiroveci, a ubiquitous organism
classified as a fungus but that shares biologic characteristics
with protozoa.
• Most humans infected early in life
• Typical presentation
subacute onset of progressive exertional dyspnea, fever, non-
productive cough, and chest discomfort that worsens over a
period of days to weeks.
In mild cases, pulmonary examination is usually normal.
11-May-17 Berhanu S(MI) 31
Extrapulmonary manifestations
 Rarely cause extrapulmonary manifestations
 Lymphadenopathy
 Bone marrow – necrosis – pancytopenia
 Eyes : cotton wool spots
 Rapidly enlarging thyroid mass
 NS , GI tract can also be involved
11-May-17 Berhanu S(MI) 32
Diagnosis
• Clinical
• Laboratory finding
• CXR
• Microscopic
Berhanu S(MI)
11-May-17 33
Hypoxemia, the most characteristic lab abnormality,
Elevation of LDH to >500 mg/dL is common but nonspecific.
The CXR:
Normal
diffuse, bilateral, symmetrical interstitial infiltrates
emanating from the hiLa in a butterfly pattern.
atypical presentations with nodules, asymmetric disease,
blebs and cysts, upper lobe localization, and pneumothorax
 Cavitation or pleural effusion is uncommon
Diagnosis via induced sputum or BAL (bronchoscopy)
Stains with Wright-Giemsa, methenamine silver, and direct
immunofluorescence
Cont…
11-May-17 Berhanu S(MI) 34
11-May-17 Berhanu S(MI) 35
Pneumocystis Treatment
• Standard regimen:
• Cotrimoxazole (15-20 mg TMP + 75-100 mg SMX)/kg/day in 3 doses IV or PO
for 3 weeks
• Alternative treatments:
• Dapsone 100 mg qd + Trimethoprim 15 mg/kg/day PO divided tid x 3 wks
• Clindamycin 600 mg QID plus primaquine 15 mg BID or
• Clindamycin 600 mg QID plus dapsone 100 mg daily.
11-May-17 Berhanu S(MI) 36
11-May-17 Berhanu S(MI) 37
Adjunctive Corticosteroids in Pneumocystis Therapy
• Adjunctive corticosteroids are indicated for severe hypoxemia
(pO2<70, AaDO2>35)
• Reduces mortality by 50%
• Start within 72 hours of presentation
• Regimen
• Prednisone 40 mg po bid x 5 days, followed by
• 40 mg qd x 5 days, followed by
• 20 mg qd x 11 days
• Use cautiously if diagnosis is not confirmed, and watch for
other OIs
11-May-17 Berhanu S(MI) 38
Pneumocystis Prophylaxis
Co-trimoxazole (CTX) prophylaxis is recommended for adults with
severe or advanced HIV clinical disease (WHO stage 3 or 4) and/or
with a CD4 count ≤350 cells/mm3.
In settings where malaria and/or severe bacterial infections (SBIs)
are highly prevalent, co-trimoxazole prophylaxis should be
initiated regardless of CD4 cell count or WHO stage.
11-May-17 Berhanu S(MI) 39
Pneumocystis Prophylaxis
• Agents
• Standard regimen
• Cotrimoxazole (TMP/SMX) 1 tab daily*
• Alternate regimens
• Dapsone 100mg daily
• Duration of treatment: lifelong, but
• May discontinue if immune system restored from ART
• Must have CD4 > 350 for 3 months
*TMP-SMX is no more effective than dapsone for preventing PCP,
but also prevents toxo, Listeria, S. pneumo, S. aureus,
Legionella etc.
11-May-17 Berhanu S(MI) 40
Poor prognostic signs
• Delayed diagnosis
• Extensive lung lesion
• Hypoxemia
• High LDH
• Not on prophlaxis
• Low cD4
Berhanu S(MI)
11-May-17 41
Mycobacterium Avium Complex (MAC)
Overview
• Ubiquitous in the environment: soil, water, food,
house dust, domestic and wild animals
• Low CD4 (<50) is required
• Diagnosis requires AFB stain and culture. (blood in
special media held 3 weeks)
• Pre-HAART, MAC was the most common OI, affecting
up to 43% of AIDS pts in America
• Not seen in Ethiopia.
11-May-17 Berhanu S(MI) 42
MAC Clinical Presentation
Symptoms and Signs Percentage
• Fever 93
• Night sweats 87
• Anorexia 74
• Weight loss 60
• Hepatomegaly 42
• Diarrhea 40
• Splenomegaly 32
• Abdominal pain 28
• Elevated alkaline phosphate
11-May-17 Berhanu S(MI) 43
MAC Treatment
• At least two medications
• Clarithromycin 500mg bid po (or Azithromycin 500-600 mg
qd po) AND
• Ethambutol 15mg/kg qd po
• Add 3rd or 4th drug if: CD4 count <50; high
mycobacterial loads; or absence of effective ART
• Ciprofloxacin 500-750 mg bid po
• Levofloxacin 500 mg qd po
• Amikacin IV 10-15mg/kg qd
11-May-17 Berhanu S(MI) 44
B.GI Manifestations of HIV
11-May-17 Berhanu S(MI) 45
Oral candidiasis
• Mostly occur at CD4 below 300
• Appears as white cheesy exudative patches on erythematous base.
• Treatment –nystatin suspension or 2%muconazole oral gel
• If severe and reccurent fluconazole 100-200mg po/d for 7-14days
Berhanu S(MI)
11-May-17 46
Eosophageal candidiasis
• Usually occur at CD4 below 200
• Presentation- difficulty of swallowing, retrosternal chest pain
• It can occur with or without oral candiasis
• The diagnosis of Candida esophagitis is usually made at endoscopy
when white mucosal plaque-like lesions are noted.
• Confirmatory biopsy shows the presence of yeasts and
pseudohyphae invading mucosal cells, and culture reveals Candida.
Berhanu S(MI)
11-May-17 47
11-May-17 Berhanu S(MI) 48
Therapy
• Fluconazole 200mg/day PO (up to 400mg/day) for 14-21 days
• Alternative treatments
• Ketoconazole 200-400 mg PO qd for 14-21 days
• Itraconazole 200 mg PO qd for 14-21 days
Berhanu S(MI)
11-May-17 49
Chronic diarrheal diseases
• Its common especially in developing countries(90%)
• Most common causes are –protozoa like, microsporidium,I.beli,
cryptosporidium and HIV enteropathy,
• Clinical presentation- from mild intermittent diarrhea to life threating
persistent diarrhea. There may be associated abdominal
pain,vomiting and severe wt loss
Berhanu S(MI)
11-May-17 50
Diagnostic investigation
• Stool microscopy
• Culture
• Intestinal biopsy
• Stains-modified AFB stain
Berhanu S(MI)
11-May-17 51
Treatment
• General –hydration and electrolyte replacement
• Ant-diarrheal agent like.loperamide 2-4mg qid or codeines tablet
• Specifically- I.beli cotrimoxazole and for other HAART
• Prevention-avoid contact with human and animal feaces, avoid
drinking untreated river or lakes water
Berhanu S(MI)
11-May-17 52
Diagnosis and Treatment of Common
Causes of Diarrhea in AIDS Patients
Agent CD4 Symptom Diagnosis Rx
E. histolytica any
bloody stool,
colitis
Stool
microscopy
Metronidazol
e
Giardia any Watery diarrhea “ “
Cryptosporidium <150 Watery diarrhea Modified AFB HAART
Isospora belli <100 Watery diarrhea Modified AFB TMP-SMX
Microsporidium <50 Watery diarrhea Giemsa stain
Albendazole
(20%respond
CMV <50
Watery to Bloody
stool, colitis
Biopsy,
barium study
Ganciclovir
11-May-17 Berhanu S(MI) 53
C. Central nervous system
• The second most commonly affected system
• Common causes of morbidity and mortality
Berhanu S(MI)
11-May-17 54
Toxoplasmosis
• Is caused by Toxoplasma gondii
• Usual source is inadequately cooked meat & cats
• Infection is usually acquired with no symptoms, it stays
dormant and it grows when there is loss of cell mediated
immune protection.
• Seropositivity in Ethiopia reaches 80%
• For an AIDS patient with CD4 <100mm3 focal
neurologic signs, cerebral toxoplasmosis is the most likely
diagnosis
11-May-17 Berhanu S(MI) 55
11-May-17 Berhanu S(MI) 56
CNS Toxoplasmosis – Dx & dDx
Diagnosis - MRI - multiple lesions - in some cases only a
single lesion is seen.
 Pathologically - inflammation and central necrosis and, as a
result, demonstrate ring enhancement on contrast MRI or on
double-dose contrast CT.
 There is usually evidence of surrounding edema.
dDx of single or multiple enhancing mass lesions in the HIV-
infected patient includes primary CNS lymphoma and, less
commonly, TB or fungal or bacterial abscesses.
Definitive Dx - brain biopsy.
11-May-17 Berhanu S(MI) 57
Toxoplasmosis Brain CT Scan
11-May-17 Berhanu S(MI) 58
CNS toxoplasmosis.
A coronal postcontrast T1-weighted MRI scan demonstrates a peripheral enhancing
lesion in the left frontal lobe, associated with an eccentric nodular area of
enhancement (arrow); this so-called eccentric target sign is typical of
toxoplasmosis.
11-May-17 Berhanu S(MI) 59
CNS Toxoplasmosis – Rx & Prophylaxis
Standard Rx is sulfadiazine +pyrimethamine +
leucovorin for >= 4–6 wks.
• Pyrimethamine (200 mg loading dose followed
by 50 mg PO daily among patients <60 kg or
75 mg daily among patients >60 kg) plus
• Sulfadiazine (1000 mg four times PO daily
among patients <60 kg to 1500 mg four times
PO daily among patients >60 kg) plus
• Leucovorin 10 to 25 mg PO daily
11-May-17 Berhanu S(MI) 60
Alternative regimens
• pyrimethamine plus clindamycin (600 mg IV or PO four times a day)
• Trimethoprim-sulfamethoxazole (5 mg/kg trimethoprim and 25
mg/kg sulfamethoxazole given IV or PO twice daily)
• Pyrimethamine plus azithromycin (900 to 1200 mg PO once daily)
• Pyrimethamine plus atovaquone (1500 mg PO twice daily)
• Sulfadiazine (1000 to 1500 mg PO four times a day) plus atovaquone
(1500 mg PO twice daily)
• Atovaquone (1500 mg PO twice daily)
11-May-17 Berhanu S(MI) 61
• 1st line regimen in the Ethiopian context is:
Trimethoprim/sulfamethoxazole 80/400, oral, 4 tablets 12 hourly for 28
days, followed by 2 tablets 12 hourly for 3 months in adults.
• Secondary prophylaxis: use co-trimoxazole 960mg daily for adults . –
Can be stopped when the CD4 count remains ≥ 200 for three months,
but > 350 in Ethiopian context for 6 months
11-May-17 Berhanu S(MI) 62
 Patients with a history of prior toxoplasmosis should receive
maintenance Rx with sulfadiazine, pyrimethamine, & leucovorin
until CD4>200 cells/L.
11-May-17 Berhanu S(MI) 63
• Adjunctive corticosteroids :should be used for patients with
radiographic evidence of midline shift,
• signs of critically elevated intracranial pressure or clinical
deterioration within the first 48 hours of therapy.
• Dexamethasone (4 mg every six hours (0.15mg/ kg/dose every 6
hours for children)) is usually chosen and is generally tapered over
several days and discontinued as soon as possible
11-May-17 Berhanu S(MI) 64
Treatment Response
• With empiric treatment for Toxoplasmosis, what should we expect?
• Nearly 90% of patients will respond clinically within days of starting therapy
• CT and MRI scans show improvement by 14 days following treatment
initiation
11-May-17 Berhanu S(MI) 65
Primary Prophylaxis for Toxoplasmosis
• When is it indicated?
• Positive serology &
• CD4 <100
• What is used?
• TMP-SMX: 1-DS covers PCP also
Berhanu S(MI)
11-May-17 66
Cryptococcal Meningitis
• Caused by C. neoformans
• Infection acquired through inhalation
• Occurs in advanced disease (CD4<100)
• Rarely, presents as pneumonitis, or as disseminated disease that
includes skin (umbilicated vesicles, like molluscum)
• Clinical manifestations may be subtle
11-May-17 Berhanu S(MI) 67
Clinical Signs of
Cryptococcal Meningitis
Clinical Manifestations % of Cases
Headache 70-90
Fever 60-80
Meningeal signs 20-30
Photophobia 6-18
Seizures 5-10
11-May-17 Berhanu S(MI) 68
Diagnosis
• Clinical
• Laboratory- CSF analysis??
serum CrAg
Berhanu S(MI)
11-May-17 69
Management
1. Induction phase (2 weeks)
• Option A. High dose fluconazole- Fluconazole 600 mg twice daily alone
• Option B. Amphotericin B + fluconazole:
• Amphotericin 0.7-1 mg/kg/day + fluconazole 800 mg/day
2. Consolidation phase (8 weeks)
• Option A. Fluconazole 800 mg/day (In children 12mg/kg/day)
• Option B. Fluconazole 400-800 mg/day
Maintenance treatment (or secondary prophylaxis) - Fluconazole 200
mg daily (in children 6mg/kg/day)
11-May-17 Berhanu S(MI) 70
• For most patients, they recommend induction therapy with
amphotericin B deoxycholate (0.7 mg/kg daily intravenously) plus
flucytosine (100 mg/kg daily in four divided doses orally) for a
minimum of two weeks,
• followed by consolidation therapy with fluconazole at a dose of 400
mg orally once daily for a minimum of eight week
• maintenance therapy with lower-dose fluconazole (200 mg daily)
until CD4 >200 x > 6 mo.
11-May-17 Berhanu S(MI) 71
Management of elevated Intracranial
pressure (ICP):
• Management of increased ICP is critical as >90% of deaths in the first
two weeks and 40% of deaths in weeks 3-10 are due to increased ICP.
• Daily serial LP should be done to control increased ICP
11-May-17 Berhanu S(MI) 72
Poor prognosis
• Abnormal mental status
• High titer of csf antigen
• Csf cell count<20
• Disseminated exracranial manifestation
Berhanu S(MI)
11-May-17 73
2) Management of ART failure In HIV pts
11-May-17 Berhanu S(MI) 74
What is ANTIRETROVIRAL THERAPY(ART)
• Combination antiretroviral therapy (cART), also referred to as highly
active antiretroviral therapy (HAART), is the main stay of management
of patients with HIV infection
• Suppression of HIV replication is an important Component
• in prolonging life as well as
• in improving the quality of life
11-May-17 Berhanu S(MI) 75
Cont…
• should have at least three active antiretroviral medications
• Adequate suppression requires strict adherence to prescribed
regimens of antiretroviral drugs
• Adherence can be facilitated by
• the co-formulations of antiretrovirals and
• The development of once-daily regimens.
11-May-17 Berhanu S(MI) 76
Currently available ARV drugs
Nucleoside and nucleotide reverse transcriptase inhibitors;
Zidovudine (ZDV)
Lamivudine (3TC)
Didanosine (ddl)
Abacavir (ABC)
Tenofovir(TDF)
Emtricitabine(ETC)
11-May-17 Berhanu S(MI) 77
Nonnucleoside reverse transcriptase inhibitors
 Efavirenz (EFZ)
 Nevirapine (NVP)
 Delavirdine (DLV), rarely used
 Etravirine
 Rilpivirine
Protease inhibitors
 Lopinavir/ritonavir (LPV/r)
 Atazanavir/ritonavir (ATV/r)
 Nelfinavir
 Ritonavir
 Indinavir
 Saquinavir
 Fosamprenavir
 Tipranavir
 Darunavir
11-May-17 Berhanu S(MI) 78
Cont…
Integrase inhibitors.
• Raltegravir(Licensed)
• Elvitegravir(Investigational)
 Those that interfere with viral entry (fusion inhibitors; CCR5
antagonists)
• Enfuvirtide(Licensed)
• Maraviroc (Licensed)
11-May-17 Berhanu S(MI) 79
When to start ART
• ART should be initiated in all adults living with HIV,
regardless of WHO clinical stage and at any CD4 cell count .
11-May-17 Berhanu S(MI) 80
What ART regimen to start with (first-line ART)
• Adults (including pregnant and breastfeeding women, adults with
HIV/TB & HIV/HBV co-infection ) and Adolescents (10 to 19 years) ≥35
kg
 TDF+3TC+EFV….Preferred 1st line regimen
11-May-17 Berhanu S(MI) 81
Cont…
• Alternative 1st line regimen
AZT + 3TC + EFV
AZT + 3TC + NVP
TDF + 3TC + NVP
ABC + 3TC + EFV
11-May-17 Berhanu S(MI) 82
Monitoring response to ART
•Monitoring individuals receiving ART is important to
• ensure successful treatment
• identify adherence problems and
• early detection of treatment failure
•When individuals adhere to ART
• Clinical improvement
• Immunological improvement and
• Virological suppression are expected
11-May-17 Berhanu S(MI) 83
Cont…
• Viral load testing
• more sensitive and early indicator of treatment failure
• should be done after 6 months of initiating ART and then
every 12 months
• Following the initiation of therapy one should expect a
rapid, at least 1-log (tenfold) reduction in plasma HIV RNA
levels within 1–2 months
• Then a slower decline in plasma HIV RNA levels to <50
copies/mL within 6 months
11-May-17 Berhanu S(MI) 84
Cont…
•CD4+ recovery
there should be a rise in the CD4+ T cell count of
100–150/μL that is also particularly brisk during the
first month of therapy.
 Subsequently, one should anticipate a CD4+ T cell
count increase of 50–100 cells/year
CD4 is repeated every 6/12
11-May-17 Berhanu S(MI) 85
Cont…
• Clinical Parameters
• An increase in body weight.
• Decrease in frequency and severity of OIs.
• Decrease in frequency and severity of HIV related
malignancies .
11-May-17 Berhanu S(MI) 86
Treatment Failure
Clinical failure
• New or recurrent clinical event indicating severe immunodeficiency
(WHO clinical stage 4 condition)a after 6 months of effective treatment.
11-May-17 Berhanu S(MI) 87
Immunological failure
• CD4 count at or below 250 cells/mm3 following clinical failure
or
• Persistent CD4 levels below 100 cells/mm3
11-May-17 Berhanu S(MI) 88
Virological failure
• Viral load above 1000 copies/mL based on two consecutive viral load
measurements in 3 months, with adherence support following the first
viral load test.
11-May-17 Berhanu S(MI) 89
Algorithm for diagnosis of clinical/immunological treatment failure
Routine clinical and
Laboratory Assessment
Clinical/Immunological
Suspicion of treatment failure
Intensive adherence support And
Opportunistic infection treatment
Reassess after 3 months for clinical
T-stage and/or immunologic
evaluation
11-May-17 Berhanu S(MI) 90
Do Viral load
testing
No
Improvement
Viral load >1000
copies/ml
Switch to 2nd
line regimen
Viral load <1000
copies/ml
Improvement
seen
Continue 1st
line regimen
11-May-17 Berhanu S(MI) 91
Algorithm for diagnosis of virological treatment failure
11-May-17 Berhanu S(MI) 92
What ART regimen to switch to (second-line ART)
• When changing therapy because of Rx failure , use regimen with at
least two new active drugs
• Using a boosted PI + two NRTI combinations is recommended as the
preferred strategy for second-line ART
11-May-17 Berhanu S(MI) 93
Preferred Second line regimen
• If AZT was used in first-line ART
• TDF + 3TC + LPV/r or ATV/r
• If TDF was used in first line ART
• AZT + 3TC + LPV/r or ATV/r
• HIV and HBV co-infection
• AZT + TDF + 3TC + (ATV/r or LPV/r)
11-May-17 Berhanu S(MI) 94
11-May-17 Berhanu S(MI) 95
CASE MANAGEMENT
STRENGTH PITFALLS
11-May-17 Berhanu S(MI)
Good progress note
• Discharge summery
written in detail with
short appointment
• Abdominal US not done
• Vital sign not attached to the
chart
96
REFERENCES
11-May-17 Berhanu S(MI)
• HARRISON PRINCIPLES OF INTERNAL
MEDICINE ( 19th ed )
• UPTODATE 21.2
97

Mgt on HIV.pptx

  • 1.
    Management of commonOIs and ART Failure in HIV pts Presenter : Berhanu S. (M.intern) Moderator : Dr. Zewdu Dr.Kedir 11-May-17 Berhanu S(MI) 1
  • 2.
    Outline case presentation discussion onoIs A. respiratory system B. gastrointestinal system C. central nervous sytem Treatment failure When to start ART What ART regimen to switch to (second-line ART) Strength and pitfalls of management 11-May-17 Berhanu S(MI) 2
  • 3.
    Case scenario Patient Identification Name:DA  Age: 45  Sex: M  Address: Asella  Date of admission: 19/07/09  C/C-cough&SoB of 2wks duration 11-May-17 Berhanu S(MI) 3
  • 4.
    Cont… HPI- This is aknownRVI patient for the last 14 years and on ART for the last 10 yrs (TDF+3TC+Efv) adherent to his medications. Currently presented with productive cough which is blood tingled and shortness of breath on exertion of 2 weeks duration. Associated to this,he had HGIF,loss of appetite,wt loss profuse night sweating and easy fatigability. 11-May-17 Berhanu S(MI) 4
  • 5.
    Cont… • He hasalso pain during urination,frequency,urgency,but no urin color or amount change. • He was treated for Tb before 01 yr and declared cured. • otherwise no hx of orthopnea ,PND,or body swelling no hx of diarrhea or vomiting No hx of headache ,body weakness or change in mentation 11-May-17 Berhanu S(MI) 5
  • 6.
    • The baselineCD4+ count was 194 • After one year CD4+ count became 242 subesequently CD4+ Count was 309,343,75, 88 and with recent cd4 count of 79 . • V.load was 989,374 copies measured 1 yr back,subsequently it becomes 597,213 copies measured 1 month back. 11-May-17 Berhanu S(MI) 6
  • 7.
    Cont… Physical examination GA: chronicalysick looking in CRD V/S: BP=95/60, PR = 130, RR=38, T=39.2, psowA =82% &with INO2=95% HEENT:pink conjunctiva,NIS LGS: no LAP RESP: relativedullnesss and decrease airentry over the posterior rt lower half of the chest and coarse crepitation over the same area. 11-May-17 Berhanu S(MI) 7
  • 8.
    Cont… CVS: S1 andS2 well heard, no murmur or gallop ABD: flat abdomen moves with respiration liver is palpable 3 cm below RCM no sign of fluid collection GUS: Rt side CVAT INT: healed hypopigmented multiple macules distributed predominantly over extremties MSS: no edema CNS: COTPP, GCS=15/15 11-May-17 Berhanu S(MI) 8
  • 9.
    ASST: Stage T4 RVI+?DISSIMINATED TB(lung,pleura,liver)with superimposed CAP+?treatment failure+UTI 11-May-17 Berhanu S(MI) 9
  • 10.
    Investigations • CBC-wbc 6600N-44.2 L-37.2 • RBC-3.73 ESR-110mm/hr • HGB-10.4 OFT- GOT-113 GPT-56 Alp-351 • HCT-33.5 cr-1.85 urea-71 • MCV-89.8 U/A-blood +2 • MCH-27.9 • MCHC-31 • PLT-152000 Berhanu S(MI) 11-May-17 10
  • 11.
    • S/E= noova or parasite seen • GENE EXPERT =NOT DETECTED • Chest x ray(RLL,RML lobar pneumonia) 11-May-17 Berhanu S(MI) 11
  • 12.
    Plan • Put onintra nasal oxygen • Ceftriaxone 1gm iv bid • Azithromycin 500mg po/day • Continue CPT • Paracetamole 1g po PRN • Continue previous ART regimen • To do AFB,gene expert,CD4+ count,OFT,CXR 11-May-17 Berhanu S(MI) 12
  • 13.
    • S-no newcomplaint • O-GA =ASL on chronic base • V/s bp- 110/70 PR-86 RR-22 T-36.5 others revised and the same ASS-the same plan- to change the ART to 2nd line and continue the above medication Berhanu S(MI) Progress note on 20/07/09(2nd DOA) 11-May-17 13
  • 14.
    • S-no newcomplaint • O-GA =ASL on chronic base • V/s bp- 110/8 PR-110 RR-28 T-37.2 PsoA-87% &W 5L INO2=97% others revised and the same ASS-the same plan- to continue the above medication 11-May-17 Berhanu S(MI) 14 Progress note on 22/07/09(4th DOA)
  • 15.
    • S-no newcomplaint • O-GA =ASL on chronic base • V/s bp- 110/70 PR-92 RR-24 T-36.PsoA-86% others revised and the same ASSt-the same plan- to continue the above medication Progress note on 24/07/09(6th DOA) 11-May-17 Berhanu S(MI) 15
  • 16.
    • S-no newcomplaint • O-GA =ASL on chronic base • V/s bp- 110/70 PR-96 RR-26 T-36.9 Pso 5L INO2-92% others revised and the same ASSt-the same plan- to start Anti TB(2RHZE,4RH) continue the above medication 11-May-17 Berhanu S(MI) 16 Progress note on 26/07/09(8th DOA)
  • 17.
    • With theabove management the patient improved and discharged after 9th days of stay with • 2nd line Art regimen (2f. AZT-3TC-ATV/r) • CPT • Anti TB(2RHZE,4RH) • Counseled on drug adherance and follow up 11-May-17 Berhanu S(MI) 17
  • 18.
    1) Opportunistic Diseases •Diseases that take advantage of the weakness of the immune system • Infections or Malignancies • New or reactivation of pre-existing conditions • As the CD4 level declines, the risk of getting OIs increases 11-May-17 Berhanu S(MI) 18
  • 19.
  • 20.
    A Pulmonary diseasesIn HIV Pulmonary disease is one of the most frequent complications of HIV infection.  The most common manifestation of pulmonary disease is pneumonia. 3 of the 10 most common AIDS-defining illnesses are recurrent bacterial pneumonia, Tbc and pneumonia due to the unicellular fungus P. jiroveci. Other causes of pulmonary infiltrates include other mycobacteria, other fungi , nonspecific interstitial pneumonitis, KS, and lymphoma. 11-May-17 Berhanu S(MI) 20
  • 21.
    TB & HIV 11-May-17Berhanu S(MI) 21
  • 22.
    TB-HIV • HIV infectionincreases the risk of active TB by about 20-fold • People with HIV infection are more likely to progress to active TB following recent TB infection, & are more likely to reactivate latent TB • TB accelerates the progression of HIV disease • PLHIV with TB are at higher risk of death, particularly if ART is delayed • The treatment is complicated by potential drug interactions (rifampin with PIs & NNRTIs) 11-May-17 Berhanu S(MI) 22
  • 23.
    Cont… • TB inadvanced immunosuppression • Atypical & more subtle clinical manifestations • More likely extra-pulmonary & disseminated TB • Atypical CXR appearances, even normal CXR • Less likely to have upper lobe disease or cavitation • More likely to have negative AFB smear 11-May-17 Berhanu S(MI) 23
  • 24.
    Upper lobe cavitation TypicalTB presentation in immune-competent 11-May-17 Berhanu S(MI) 24
  • 25.
    TB-HIV • Earlier ARTis associated with reduced mortality, which outweighs concerns about overlapping drug toxicities & the risk of IRIS morbidity. • People with HIV infection are more likely to experience recurrence of TB after successful treatment, more often caused by re-infection than to relapse • Isoniazid preventive therapy (IPT) reduces the risk of developing TB 11-May-17 Berhanu S(MI) 25
  • 26.
    Risk of ActiveTB Development Life time risk of TB depends on • Immune status, e.g. HIV status • 5-10% in HIV negatives • 50% in HIV positives • TB prevalence in the community • USA 5% of patients with HIV develop TB • Ethiopia: 45-50% of patients with HIV have TB 11-May-17 Berhanu S(MI) 26
  • 27.
    • Screen everyperson with HIV • Using clinical examination • Determine the TB Status of he person • TB Case (Active TB) • Suspect TB • No suspicion of TB • Take measures accordingly • Do Investigation • Start Anti-TB • Start INH prophylaxis Diagnosing TB in persons with HIV 11-May-17 Berhanu S(MI) 27
  • 28.
    Algorithm for TBscreening among adults and adolescents living with HIV (need correction) 11-May-17 Berhanu S(MI) 28
  • 29.
    • Case fatalityrate in HIV+ patients with TB higher than in HIV- TB patients • In sub-Saharan Africa: up to 30% of HIV+ smear positive PTB patients die before end of treatment and even worse for the smear negative group • Deaths are mainly due to TB and other HIV-related problems • Higher recurrence rate than in HIV negative (re-infection or reactivation) Outcome in HIV/TB co-Infection 11-May-17 Berhanu S(MI) 29
  • 30.
    TB and HIVCo management • Always first manage an OI before initiating ART • Start TB Treatment first before ART • If already on ART, continue ART and Start TB treatment • When to start the ART after the TB treatment depends on the level of immunity of the person • Those with good immunity (high CD 4 and fair Stage can be waited for months • Those with advanced and severe immuno-suppression should start ART after waiting for some weeks to see the tolerability of anti TB 11-May-17 Berhanu S(MI) 30
  • 31.
    Pneumocystis Jiroveci Pneumonia •Is caused by Pneumocystis jiroveci, a ubiquitous organism classified as a fungus but that shares biologic characteristics with protozoa. • Most humans infected early in life • Typical presentation subacute onset of progressive exertional dyspnea, fever, non- productive cough, and chest discomfort that worsens over a period of days to weeks. In mild cases, pulmonary examination is usually normal. 11-May-17 Berhanu S(MI) 31
  • 32.
    Extrapulmonary manifestations  Rarelycause extrapulmonary manifestations  Lymphadenopathy  Bone marrow – necrosis – pancytopenia  Eyes : cotton wool spots  Rapidly enlarging thyroid mass  NS , GI tract can also be involved 11-May-17 Berhanu S(MI) 32
  • 33.
    Diagnosis • Clinical • Laboratoryfinding • CXR • Microscopic Berhanu S(MI) 11-May-17 33
  • 34.
    Hypoxemia, the mostcharacteristic lab abnormality, Elevation of LDH to >500 mg/dL is common but nonspecific. The CXR: Normal diffuse, bilateral, symmetrical interstitial infiltrates emanating from the hiLa in a butterfly pattern. atypical presentations with nodules, asymmetric disease, blebs and cysts, upper lobe localization, and pneumothorax  Cavitation or pleural effusion is uncommon Diagnosis via induced sputum or BAL (bronchoscopy) Stains with Wright-Giemsa, methenamine silver, and direct immunofluorescence Cont… 11-May-17 Berhanu S(MI) 34
  • 35.
  • 36.
    Pneumocystis Treatment • Standardregimen: • Cotrimoxazole (15-20 mg TMP + 75-100 mg SMX)/kg/day in 3 doses IV or PO for 3 weeks • Alternative treatments: • Dapsone 100 mg qd + Trimethoprim 15 mg/kg/day PO divided tid x 3 wks • Clindamycin 600 mg QID plus primaquine 15 mg BID or • Clindamycin 600 mg QID plus dapsone 100 mg daily. 11-May-17 Berhanu S(MI) 36
  • 37.
  • 38.
    Adjunctive Corticosteroids inPneumocystis Therapy • Adjunctive corticosteroids are indicated for severe hypoxemia (pO2<70, AaDO2>35) • Reduces mortality by 50% • Start within 72 hours of presentation • Regimen • Prednisone 40 mg po bid x 5 days, followed by • 40 mg qd x 5 days, followed by • 20 mg qd x 11 days • Use cautiously if diagnosis is not confirmed, and watch for other OIs 11-May-17 Berhanu S(MI) 38
  • 39.
    Pneumocystis Prophylaxis Co-trimoxazole (CTX)prophylaxis is recommended for adults with severe or advanced HIV clinical disease (WHO stage 3 or 4) and/or with a CD4 count ≤350 cells/mm3. In settings where malaria and/or severe bacterial infections (SBIs) are highly prevalent, co-trimoxazole prophylaxis should be initiated regardless of CD4 cell count or WHO stage. 11-May-17 Berhanu S(MI) 39
  • 40.
    Pneumocystis Prophylaxis • Agents •Standard regimen • Cotrimoxazole (TMP/SMX) 1 tab daily* • Alternate regimens • Dapsone 100mg daily • Duration of treatment: lifelong, but • May discontinue if immune system restored from ART • Must have CD4 > 350 for 3 months *TMP-SMX is no more effective than dapsone for preventing PCP, but also prevents toxo, Listeria, S. pneumo, S. aureus, Legionella etc. 11-May-17 Berhanu S(MI) 40
  • 41.
    Poor prognostic signs •Delayed diagnosis • Extensive lung lesion • Hypoxemia • High LDH • Not on prophlaxis • Low cD4 Berhanu S(MI) 11-May-17 41
  • 42.
    Mycobacterium Avium Complex(MAC) Overview • Ubiquitous in the environment: soil, water, food, house dust, domestic and wild animals • Low CD4 (<50) is required • Diagnosis requires AFB stain and culture. (blood in special media held 3 weeks) • Pre-HAART, MAC was the most common OI, affecting up to 43% of AIDS pts in America • Not seen in Ethiopia. 11-May-17 Berhanu S(MI) 42
  • 43.
    MAC Clinical Presentation Symptomsand Signs Percentage • Fever 93 • Night sweats 87 • Anorexia 74 • Weight loss 60 • Hepatomegaly 42 • Diarrhea 40 • Splenomegaly 32 • Abdominal pain 28 • Elevated alkaline phosphate 11-May-17 Berhanu S(MI) 43
  • 44.
    MAC Treatment • Atleast two medications • Clarithromycin 500mg bid po (or Azithromycin 500-600 mg qd po) AND • Ethambutol 15mg/kg qd po • Add 3rd or 4th drug if: CD4 count <50; high mycobacterial loads; or absence of effective ART • Ciprofloxacin 500-750 mg bid po • Levofloxacin 500 mg qd po • Amikacin IV 10-15mg/kg qd 11-May-17 Berhanu S(MI) 44
  • 45.
    B.GI Manifestations ofHIV 11-May-17 Berhanu S(MI) 45
  • 46.
    Oral candidiasis • Mostlyoccur at CD4 below 300 • Appears as white cheesy exudative patches on erythematous base. • Treatment –nystatin suspension or 2%muconazole oral gel • If severe and reccurent fluconazole 100-200mg po/d for 7-14days Berhanu S(MI) 11-May-17 46
  • 47.
    Eosophageal candidiasis • Usuallyoccur at CD4 below 200 • Presentation- difficulty of swallowing, retrosternal chest pain • It can occur with or without oral candiasis • The diagnosis of Candida esophagitis is usually made at endoscopy when white mucosal plaque-like lesions are noted. • Confirmatory biopsy shows the presence of yeasts and pseudohyphae invading mucosal cells, and culture reveals Candida. Berhanu S(MI) 11-May-17 47
  • 48.
  • 49.
    Therapy • Fluconazole 200mg/dayPO (up to 400mg/day) for 14-21 days • Alternative treatments • Ketoconazole 200-400 mg PO qd for 14-21 days • Itraconazole 200 mg PO qd for 14-21 days Berhanu S(MI) 11-May-17 49
  • 50.
    Chronic diarrheal diseases •Its common especially in developing countries(90%) • Most common causes are –protozoa like, microsporidium,I.beli, cryptosporidium and HIV enteropathy, • Clinical presentation- from mild intermittent diarrhea to life threating persistent diarrhea. There may be associated abdominal pain,vomiting and severe wt loss Berhanu S(MI) 11-May-17 50
  • 51.
    Diagnostic investigation • Stoolmicroscopy • Culture • Intestinal biopsy • Stains-modified AFB stain Berhanu S(MI) 11-May-17 51
  • 52.
    Treatment • General –hydrationand electrolyte replacement • Ant-diarrheal agent like.loperamide 2-4mg qid or codeines tablet • Specifically- I.beli cotrimoxazole and for other HAART • Prevention-avoid contact with human and animal feaces, avoid drinking untreated river or lakes water Berhanu S(MI) 11-May-17 52
  • 53.
    Diagnosis and Treatmentof Common Causes of Diarrhea in AIDS Patients Agent CD4 Symptom Diagnosis Rx E. histolytica any bloody stool, colitis Stool microscopy Metronidazol e Giardia any Watery diarrhea “ “ Cryptosporidium <150 Watery diarrhea Modified AFB HAART Isospora belli <100 Watery diarrhea Modified AFB TMP-SMX Microsporidium <50 Watery diarrhea Giemsa stain Albendazole (20%respond CMV <50 Watery to Bloody stool, colitis Biopsy, barium study Ganciclovir 11-May-17 Berhanu S(MI) 53
  • 54.
    C. Central nervoussystem • The second most commonly affected system • Common causes of morbidity and mortality Berhanu S(MI) 11-May-17 54
  • 55.
    Toxoplasmosis • Is causedby Toxoplasma gondii • Usual source is inadequately cooked meat & cats • Infection is usually acquired with no symptoms, it stays dormant and it grows when there is loss of cell mediated immune protection. • Seropositivity in Ethiopia reaches 80% • For an AIDS patient with CD4 <100mm3 focal neurologic signs, cerebral toxoplasmosis is the most likely diagnosis 11-May-17 Berhanu S(MI) 55
  • 56.
  • 57.
    CNS Toxoplasmosis –Dx & dDx Diagnosis - MRI - multiple lesions - in some cases only a single lesion is seen.  Pathologically - inflammation and central necrosis and, as a result, demonstrate ring enhancement on contrast MRI or on double-dose contrast CT.  There is usually evidence of surrounding edema. dDx of single or multiple enhancing mass lesions in the HIV- infected patient includes primary CNS lymphoma and, less commonly, TB or fungal or bacterial abscesses. Definitive Dx - brain biopsy. 11-May-17 Berhanu S(MI) 57
  • 58.
    Toxoplasmosis Brain CTScan 11-May-17 Berhanu S(MI) 58
  • 59.
    CNS toxoplasmosis. A coronalpostcontrast T1-weighted MRI scan demonstrates a peripheral enhancing lesion in the left frontal lobe, associated with an eccentric nodular area of enhancement (arrow); this so-called eccentric target sign is typical of toxoplasmosis. 11-May-17 Berhanu S(MI) 59
  • 60.
    CNS Toxoplasmosis –Rx & Prophylaxis Standard Rx is sulfadiazine +pyrimethamine + leucovorin for >= 4–6 wks. • Pyrimethamine (200 mg loading dose followed by 50 mg PO daily among patients <60 kg or 75 mg daily among patients >60 kg) plus • Sulfadiazine (1000 mg four times PO daily among patients <60 kg to 1500 mg four times PO daily among patients >60 kg) plus • Leucovorin 10 to 25 mg PO daily 11-May-17 Berhanu S(MI) 60
  • 61.
    Alternative regimens • pyrimethamineplus clindamycin (600 mg IV or PO four times a day) • Trimethoprim-sulfamethoxazole (5 mg/kg trimethoprim and 25 mg/kg sulfamethoxazole given IV or PO twice daily) • Pyrimethamine plus azithromycin (900 to 1200 mg PO once daily) • Pyrimethamine plus atovaquone (1500 mg PO twice daily) • Sulfadiazine (1000 to 1500 mg PO four times a day) plus atovaquone (1500 mg PO twice daily) • Atovaquone (1500 mg PO twice daily) 11-May-17 Berhanu S(MI) 61
  • 62.
    • 1st lineregimen in the Ethiopian context is: Trimethoprim/sulfamethoxazole 80/400, oral, 4 tablets 12 hourly for 28 days, followed by 2 tablets 12 hourly for 3 months in adults. • Secondary prophylaxis: use co-trimoxazole 960mg daily for adults . – Can be stopped when the CD4 count remains ≥ 200 for three months, but > 350 in Ethiopian context for 6 months 11-May-17 Berhanu S(MI) 62
  • 63.
     Patients witha history of prior toxoplasmosis should receive maintenance Rx with sulfadiazine, pyrimethamine, & leucovorin until CD4>200 cells/L. 11-May-17 Berhanu S(MI) 63
  • 64.
    • Adjunctive corticosteroids:should be used for patients with radiographic evidence of midline shift, • signs of critically elevated intracranial pressure or clinical deterioration within the first 48 hours of therapy. • Dexamethasone (4 mg every six hours (0.15mg/ kg/dose every 6 hours for children)) is usually chosen and is generally tapered over several days and discontinued as soon as possible 11-May-17 Berhanu S(MI) 64
  • 65.
    Treatment Response • Withempiric treatment for Toxoplasmosis, what should we expect? • Nearly 90% of patients will respond clinically within days of starting therapy • CT and MRI scans show improvement by 14 days following treatment initiation 11-May-17 Berhanu S(MI) 65
  • 66.
    Primary Prophylaxis forToxoplasmosis • When is it indicated? • Positive serology & • CD4 <100 • What is used? • TMP-SMX: 1-DS covers PCP also Berhanu S(MI) 11-May-17 66
  • 67.
    Cryptococcal Meningitis • Causedby C. neoformans • Infection acquired through inhalation • Occurs in advanced disease (CD4<100) • Rarely, presents as pneumonitis, or as disseminated disease that includes skin (umbilicated vesicles, like molluscum) • Clinical manifestations may be subtle 11-May-17 Berhanu S(MI) 67
  • 68.
    Clinical Signs of CryptococcalMeningitis Clinical Manifestations % of Cases Headache 70-90 Fever 60-80 Meningeal signs 20-30 Photophobia 6-18 Seizures 5-10 11-May-17 Berhanu S(MI) 68
  • 69.
    Diagnosis • Clinical • Laboratory-CSF analysis?? serum CrAg Berhanu S(MI) 11-May-17 69
  • 70.
    Management 1. Induction phase(2 weeks) • Option A. High dose fluconazole- Fluconazole 600 mg twice daily alone • Option B. Amphotericin B + fluconazole: • Amphotericin 0.7-1 mg/kg/day + fluconazole 800 mg/day 2. Consolidation phase (8 weeks) • Option A. Fluconazole 800 mg/day (In children 12mg/kg/day) • Option B. Fluconazole 400-800 mg/day Maintenance treatment (or secondary prophylaxis) - Fluconazole 200 mg daily (in children 6mg/kg/day) 11-May-17 Berhanu S(MI) 70
  • 71.
    • For mostpatients, they recommend induction therapy with amphotericin B deoxycholate (0.7 mg/kg daily intravenously) plus flucytosine (100 mg/kg daily in four divided doses orally) for a minimum of two weeks, • followed by consolidation therapy with fluconazole at a dose of 400 mg orally once daily for a minimum of eight week • maintenance therapy with lower-dose fluconazole (200 mg daily) until CD4 >200 x > 6 mo. 11-May-17 Berhanu S(MI) 71
  • 72.
    Management of elevatedIntracranial pressure (ICP): • Management of increased ICP is critical as >90% of deaths in the first two weeks and 40% of deaths in weeks 3-10 are due to increased ICP. • Daily serial LP should be done to control increased ICP 11-May-17 Berhanu S(MI) 72
  • 73.
    Poor prognosis • Abnormalmental status • High titer of csf antigen • Csf cell count<20 • Disseminated exracranial manifestation Berhanu S(MI) 11-May-17 73
  • 74.
    2) Management ofART failure In HIV pts 11-May-17 Berhanu S(MI) 74
  • 75.
    What is ANTIRETROVIRALTHERAPY(ART) • Combination antiretroviral therapy (cART), also referred to as highly active antiretroviral therapy (HAART), is the main stay of management of patients with HIV infection • Suppression of HIV replication is an important Component • in prolonging life as well as • in improving the quality of life 11-May-17 Berhanu S(MI) 75
  • 76.
    Cont… • should haveat least three active antiretroviral medications • Adequate suppression requires strict adherence to prescribed regimens of antiretroviral drugs • Adherence can be facilitated by • the co-formulations of antiretrovirals and • The development of once-daily regimens. 11-May-17 Berhanu S(MI) 76
  • 77.
    Currently available ARVdrugs Nucleoside and nucleotide reverse transcriptase inhibitors; Zidovudine (ZDV) Lamivudine (3TC) Didanosine (ddl) Abacavir (ABC) Tenofovir(TDF) Emtricitabine(ETC) 11-May-17 Berhanu S(MI) 77
  • 78.
    Nonnucleoside reverse transcriptaseinhibitors  Efavirenz (EFZ)  Nevirapine (NVP)  Delavirdine (DLV), rarely used  Etravirine  Rilpivirine Protease inhibitors  Lopinavir/ritonavir (LPV/r)  Atazanavir/ritonavir (ATV/r)  Nelfinavir  Ritonavir  Indinavir  Saquinavir  Fosamprenavir  Tipranavir  Darunavir 11-May-17 Berhanu S(MI) 78
  • 79.
    Cont… Integrase inhibitors. • Raltegravir(Licensed) •Elvitegravir(Investigational)  Those that interfere with viral entry (fusion inhibitors; CCR5 antagonists) • Enfuvirtide(Licensed) • Maraviroc (Licensed) 11-May-17 Berhanu S(MI) 79
  • 80.
    When to startART • ART should be initiated in all adults living with HIV, regardless of WHO clinical stage and at any CD4 cell count . 11-May-17 Berhanu S(MI) 80
  • 81.
    What ART regimento start with (first-line ART) • Adults (including pregnant and breastfeeding women, adults with HIV/TB & HIV/HBV co-infection ) and Adolescents (10 to 19 years) ≥35 kg  TDF+3TC+EFV….Preferred 1st line regimen 11-May-17 Berhanu S(MI) 81
  • 82.
    Cont… • Alternative 1stline regimen AZT + 3TC + EFV AZT + 3TC + NVP TDF + 3TC + NVP ABC + 3TC + EFV 11-May-17 Berhanu S(MI) 82
  • 83.
    Monitoring response toART •Monitoring individuals receiving ART is important to • ensure successful treatment • identify adherence problems and • early detection of treatment failure •When individuals adhere to ART • Clinical improvement • Immunological improvement and • Virological suppression are expected 11-May-17 Berhanu S(MI) 83
  • 84.
    Cont… • Viral loadtesting • more sensitive and early indicator of treatment failure • should be done after 6 months of initiating ART and then every 12 months • Following the initiation of therapy one should expect a rapid, at least 1-log (tenfold) reduction in plasma HIV RNA levels within 1–2 months • Then a slower decline in plasma HIV RNA levels to <50 copies/mL within 6 months 11-May-17 Berhanu S(MI) 84
  • 85.
    Cont… •CD4+ recovery there shouldbe a rise in the CD4+ T cell count of 100–150/μL that is also particularly brisk during the first month of therapy.  Subsequently, one should anticipate a CD4+ T cell count increase of 50–100 cells/year CD4 is repeated every 6/12 11-May-17 Berhanu S(MI) 85
  • 86.
    Cont… • Clinical Parameters •An increase in body weight. • Decrease in frequency and severity of OIs. • Decrease in frequency and severity of HIV related malignancies . 11-May-17 Berhanu S(MI) 86
  • 87.
    Treatment Failure Clinical failure •New or recurrent clinical event indicating severe immunodeficiency (WHO clinical stage 4 condition)a after 6 months of effective treatment. 11-May-17 Berhanu S(MI) 87
  • 88.
    Immunological failure • CD4count at or below 250 cells/mm3 following clinical failure or • Persistent CD4 levels below 100 cells/mm3 11-May-17 Berhanu S(MI) 88
  • 89.
    Virological failure • Viralload above 1000 copies/mL based on two consecutive viral load measurements in 3 months, with adherence support following the first viral load test. 11-May-17 Berhanu S(MI) 89
  • 90.
    Algorithm for diagnosisof clinical/immunological treatment failure Routine clinical and Laboratory Assessment Clinical/Immunological Suspicion of treatment failure Intensive adherence support And Opportunistic infection treatment Reassess after 3 months for clinical T-stage and/or immunologic evaluation 11-May-17 Berhanu S(MI) 90
  • 91.
    Do Viral load testing No Improvement Viralload >1000 copies/ml Switch to 2nd line regimen Viral load <1000 copies/ml Improvement seen Continue 1st line regimen 11-May-17 Berhanu S(MI) 91
  • 92.
    Algorithm for diagnosisof virological treatment failure 11-May-17 Berhanu S(MI) 92
  • 93.
    What ART regimento switch to (second-line ART) • When changing therapy because of Rx failure , use regimen with at least two new active drugs • Using a boosted PI + two NRTI combinations is recommended as the preferred strategy for second-line ART 11-May-17 Berhanu S(MI) 93
  • 94.
    Preferred Second lineregimen • If AZT was used in first-line ART • TDF + 3TC + LPV/r or ATV/r • If TDF was used in first line ART • AZT + 3TC + LPV/r or ATV/r • HIV and HBV co-infection • AZT + TDF + 3TC + (ATV/r or LPV/r) 11-May-17 Berhanu S(MI) 94
  • 95.
  • 96.
    CASE MANAGEMENT STRENGTH PITFALLS 11-May-17Berhanu S(MI) Good progress note • Discharge summery written in detail with short appointment • Abdominal US not done • Vital sign not attached to the chart 96
  • 97.
    REFERENCES 11-May-17 Berhanu S(MI) •HARRISON PRINCIPLES OF INTERNAL MEDICINE ( 19th ed ) • UPTODATE 21.2 97