What is malocclusion
Define as an abnormal occlusion in
which teeth are not in a normal position in
relation to adjacent teeth in the same jaw
and/or the opposing teeth when the jaws
are closed'. It is defined by orthodontists
as 'an appreciable deviation from ideal
occlusion'
Causes of malocclusion
 A malocclusion is usually the result of a combination of
causes. For all types of improper occlusion, there are a
number of common occurrence factors.
 Genetic predisposition – transmission of dentoalveolar
anomalies from parents.
 Frequent or constant oral breathing, if normal nose
breathing is difficult or impossible due to ENT diseases
(rhinitis, sinusitis, curvature of the septum). When
breathing through the mouth, the tongue, jaw and lips
are in a non-physiological position and constant tension,
which affects the growth of the jaw, alveolar bone and
the position of the teeth.
Causes of malocclusion
Bad habits of childhood that interfere with the adequate growth of
teeth, bones, and the position of the spine. These include: long
sucking on a dummy, finger or foreign objects, the habit of touching
the growing tooth with the tongue or hands, incorrect posture in the
sitting position.
A lack of calcium and other nutrients during fetal development and in
childhood negatively affects bone growth.
Improper bottle-feeding with a wide opening. If the baby does not
strain the muscles during feeding (as happens with breastfeeding),
then the growth of the jaws is not stimulated.
Dental problems with milk and removable bite. These include all
factors that violate physiological closure: over-completeness or
incomplete number of teeth, earlier tooth loss or decay,
disproportionately large or small teeth, lack of space in the dentition.
Improper prosthetics are a factor in malocclusion in adults.
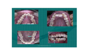
There are three major classes of
malocclusion:
• Class 1
• malocclusion is diagnosed when your upper molars overlap with your lower molars in a good
position, but your other teeth are crowded or spaced too far apart.
• In this type of malocclusion, the bite is typical and your teeth misalignment is not severe. Class 1
malocclusion is the most common classification of malocclusion.
• Class 2
• malocclusion is diagnosed when you have a severe overbite. In this type of malocclusion, your
upper teeth and jaw significantly overlap with your lower teeth and jaw.
• If a class 2 malocclusion happens when you have a smaller than usual lower jaw, it is also known
as retrognathism (or retrognathia).
• Class 3
• malocclusion is diagnosed when you have a severe underbite. In this type of malocclusion, your lower
teeth overlap with your upper teeth.
• This type is usually caused by a large lower jaw and is known as prognathism, meaning that your lower jaw
protrudes forward.
•
Types of Malocclusions
•Overcrowding. Overcrowding is a common condition
typically caused due to lack of space resulting from
overlapping or crooked teeth.
•Spacing. ...
•Openbite. ...
•Overjet. ...
•Overbite. ...
•Underbite. ...
•Crossbite. ...
•Diastema.
Symptoms of malocclusion include:
• Abnormal alignment of teeth
• Abnormal wear of your teeth
• Alteration of facial structure
• Frequent biting of the inner cheeks or tongue
• Difficulty chewing or biting
• Speech difficulties, including the development of a lisp
• Breathing through your mouth, rather than your nose.
https://image.slidesharecdn.com/classification-
160423004310/95/classification-of-malocclusion-6-
638.jpg?cb=1506672360
https://image.slidesharecdn.com/classification-
160423004310/95/classification-of-malocclusion-54-
638.jpg?cb=1506672360
MALOCLUSION.definition, characteristics, treatment
MALOCLUSION.definition, characteristics, treatment
MALOCLUSION.definition, characteristics, treatment

MALOCLUSION.definition, characteristics, treatment

  • 2.
    What is malocclusion Defineas an abnormal occlusion in which teeth are not in a normal position in relation to adjacent teeth in the same jaw and/or the opposing teeth when the jaws are closed'. It is defined by orthodontists as 'an appreciable deviation from ideal occlusion'
  • 3.
    Causes of malocclusion A malocclusion is usually the result of a combination of causes. For all types of improper occlusion, there are a number of common occurrence factors.  Genetic predisposition – transmission of dentoalveolar anomalies from parents.  Frequent or constant oral breathing, if normal nose breathing is difficult or impossible due to ENT diseases (rhinitis, sinusitis, curvature of the septum). When breathing through the mouth, the tongue, jaw and lips are in a non-physiological position and constant tension, which affects the growth of the jaw, alveolar bone and the position of the teeth.
  • 4.
    Causes of malocclusion Badhabits of childhood that interfere with the adequate growth of teeth, bones, and the position of the spine. These include: long sucking on a dummy, finger or foreign objects, the habit of touching the growing tooth with the tongue or hands, incorrect posture in the sitting position. A lack of calcium and other nutrients during fetal development and in childhood negatively affects bone growth. Improper bottle-feeding with a wide opening. If the baby does not strain the muscles during feeding (as happens with breastfeeding), then the growth of the jaws is not stimulated. Dental problems with milk and removable bite. These include all factors that violate physiological closure: over-completeness or incomplete number of teeth, earlier tooth loss or decay, disproportionately large or small teeth, lack of space in the dentition. Improper prosthetics are a factor in malocclusion in adults.
  • 5.
    There are threemajor classes of malocclusion: • Class 1 • malocclusion is diagnosed when your upper molars overlap with your lower molars in a good position, but your other teeth are crowded or spaced too far apart. • In this type of malocclusion, the bite is typical and your teeth misalignment is not severe. Class 1 malocclusion is the most common classification of malocclusion. • Class 2 • malocclusion is diagnosed when you have a severe overbite. In this type of malocclusion, your upper teeth and jaw significantly overlap with your lower teeth and jaw. • If a class 2 malocclusion happens when you have a smaller than usual lower jaw, it is also known as retrognathism (or retrognathia). • Class 3 • malocclusion is diagnosed when you have a severe underbite. In this type of malocclusion, your lower teeth overlap with your upper teeth. • This type is usually caused by a large lower jaw and is known as prognathism, meaning that your lower jaw protrudes forward. •
  • 6.
    Types of Malocclusions •Overcrowding.Overcrowding is a common condition typically caused due to lack of space resulting from overlapping or crooked teeth. •Spacing. ... •Openbite. ... •Overjet. ... •Overbite. ... •Underbite. ... •Crossbite. ... •Diastema.
  • 8.
    Symptoms of malocclusioninclude: • Abnormal alignment of teeth • Abnormal wear of your teeth • Alteration of facial structure • Frequent biting of the inner cheeks or tongue • Difficulty chewing or biting • Speech difficulties, including the development of a lisp • Breathing through your mouth, rather than your nose.
  • 13.
  • 59.