ЦЕЛЬ ЗАНЯТИЯ: 
дать морфофункциональную характеристику крови как ткани. Изучить 
химический состав плазмы крови, особенности строения и функции фор- 
менных элементов крови и лимфы при световой и электронной микро- 
скопии. Приготовить мазок крови человека по методу Романовского – 
Гимзы. В мазке крови научиться дифференцировать эритроциты, тром- 
боциты, лейкоциты (нейтрофилы, эозинофилы, базофилы,моноциты, 
лимфоциты). Произвести дифференциальный подсчет содержания лей- 
коцитов в мазке крови и результаты оформить в виде таблицы. Познако- 
миться с особенностями гемограммы и лейкограммы с учетом половых и 
возрастных различий.
Контрольные вопросы: 
1. Общая характеристика и классификация соединительных тканей.Эмбриональный 
гистогенез. 
2. Кровь. Компоненты крови. Химический состав плазмы крови. 
3. Классификация форменных элементов крови. Гемограмма. 
4. Эритроциты. Строение(форма, размеры в норме,при старении и патологических 
изменениях).Плазмолемма и премембранный цитоскелет эритроцитов.Ретикулоциты. 
Функции. 
5. Лейкоциты. Классификация лейкоцитов. Лейкоцитарная формула. 
6. Нейтрофильные гранулоциты. Световая и электронная микроскопия(строение 
ядра, цитоплазмы, цитоплазматических гранул). Функции. 
7. Эозинофильные гранулоциты. Световая и электронная микроскопия(строение 
ядра, цитоплазмы, специфические и азурофильные гранулы). Функции. 
8. Базофильные гранулоциты. Световая и электронная микроскопия(строение ядра, 
цитоплазмы, специфические и азурофильные гранулы). Функции. 
9. Агранулоциты. Моноциты. Световая и электронная микроскопия(строение ядра и 
цитоплазмы). Роль в системе мононуклеарных фагоцитов. 
10. Агранулоциты. Лимфоциты. Классификация по морфологическому и 
функциональному признаку. Световая и электронная микроскопия.Функции. 
11. Тромбоциты. Световая и электронная микроскопия (строение гиаломера и 
грануломера). Функции. 
12. Лимфа. Состав лимфы. Связь с кровью, понятие о рециркуляции лимфоцитов.
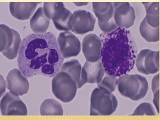
Препарат 1. Мазок крови человека. Окраска по Романовскому - Гимзе. 
Под малым увеличением сделать общий обзор препарата. С помощью иммер- 
сионного объектива, меняя поля зрения, найти все виды форменных элементов 
крови. В поле зрения преобладают эритроциты,окрашивающиеся эозином в ро- 
зовый цвет - оксифильно. Центральная часть каждого эритроцита вследствие 
двояковогнутой формы оказывается более тонкой и окрашивается бледнее.
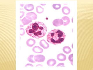
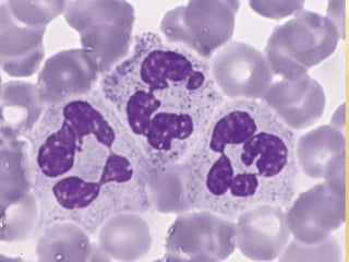
Нейтрофилы имеют интенсивно окрашенное базофильное ядро, форма которого 
меняется в зависимости от степени зрелости -сегментированное, 
палочкоядерное или бобовидное. Цитоплазма окрашивается слабо оксифильно, 
первичные гра-нулы окрашиваются азуром в розово - фиолетовый цвет, 
мелкораспыленная вто-ричная нейтрофильная зернистость имеет лиловый цвет. 
Эозинофилы имеют 2 -х лопастное ядро, а цитоплазма интенсивно окрашенные 
эозином крупные ярко - красные гранулы. 
Базофилы имеют слабо сегментированное ядро, цитоплазма содержит крупные 
темно –фиолетовые метахроматически окрашенные гранулы. 
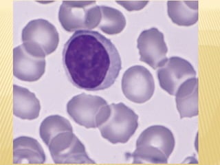
Малые лимфоциты имеют узкий ободок резко базофильной цитоплазмы и округ- 
лое или слегка бобовидное ядро. 
У средних лимфоцитов цитоплазма занимает относительно больший объем в 
клетке, ядро с менее плотным хроматином. Моноциты - самые крупные из лейко- 
цитов, имеют слабобазофильную цитоплазму и подковообразное или бобовидное 
светлое ядро. Кровяные пластинки (тромбоциты) имеют вид мелких дисковид- 
ных безядерных постклеточных структур, которые вследствие агрегации обычно 
выявляются в виде скоплений. Тромбоциты окрашиваются в бледно - голубой 
цвет с наружной светлой (гиаломер) и внутренней темной частью (грануломер).
Препарат 1. Мазок крови человека. Окраска по Романовскому - Гимзе.
СПИСОК ЭЛЕКТРОННЫХ МИКРОФОТОГРАФИЙ: 
1. Нейтрофильный лейкоцит. 
2. Эозинофильный лейкоцит. 
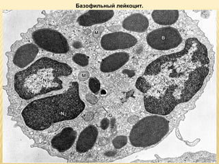
3. Базофильный лейкоцит. 
4. Лимфоцит. 
5. Моноцит. 
6. Тромбоцит 
7. Ретикулоцит.
Нейтрофильный лейкоцит.
Эозинофильный лейкоцит
Базофильный лейкоцит.
Лимфоцит.
Моноцит.
Тромбоцит.
lesson 6
lesson 6
lesson 6
lesson 6
lesson 6
lesson 6
lesson 6
lesson 6
lesson 6
lesson 6
lesson 6
lesson 6
lesson 6
lesson 6
lesson 6
lesson 6
lesson 6
lesson 6
lesson 6
lesson 6
lesson 6
lesson 6
lesson 6
lesson 6
lesson 6
lesson 6
lesson 6
lesson 6
lesson 6
lesson 6

lesson 6

  • 2.
    ЦЕЛЬ ЗАНЯТИЯ: датьморфофункциональную характеристику крови как ткани. Изучить химический состав плазмы крови, особенности строения и функции фор- менных элементов крови и лимфы при световой и электронной микро- скопии. Приготовить мазок крови человека по методу Романовского – Гимзы. В мазке крови научиться дифференцировать эритроциты, тром- боциты, лейкоциты (нейтрофилы, эозинофилы, базофилы,моноциты, лимфоциты). Произвести дифференциальный подсчет содержания лей- коцитов в мазке крови и результаты оформить в виде таблицы. Познако- миться с особенностями гемограммы и лейкограммы с учетом половых и возрастных различий.
  • 3.
    Контрольные вопросы: 1.Общая характеристика и классификация соединительных тканей.Эмбриональный гистогенез. 2. Кровь. Компоненты крови. Химический состав плазмы крови. 3. Классификация форменных элементов крови. Гемограмма. 4. Эритроциты. Строение(форма, размеры в норме,при старении и патологических изменениях).Плазмолемма и премембранный цитоскелет эритроцитов.Ретикулоциты. Функции. 5. Лейкоциты. Классификация лейкоцитов. Лейкоцитарная формула. 6. Нейтрофильные гранулоциты. Световая и электронная микроскопия(строение ядра, цитоплазмы, цитоплазматических гранул). Функции. 7. Эозинофильные гранулоциты. Световая и электронная микроскопия(строение ядра, цитоплазмы, специфические и азурофильные гранулы). Функции. 8. Базофильные гранулоциты. Световая и электронная микроскопия(строение ядра, цитоплазмы, специфические и азурофильные гранулы). Функции. 9. Агранулоциты. Моноциты. Световая и электронная микроскопия(строение ядра и цитоплазмы). Роль в системе мононуклеарных фагоцитов. 10. Агранулоциты. Лимфоциты. Классификация по морфологическому и функциональному признаку. Световая и электронная микроскопия.Функции. 11. Тромбоциты. Световая и электронная микроскопия (строение гиаломера и грануломера). Функции. 12. Лимфа. Состав лимфы. Связь с кровью, понятие о рециркуляции лимфоцитов.
  • 6.
    Препарат 1. Мазоккрови человека. Окраска по Романовскому - Гимзе. Под малым увеличением сделать общий обзор препарата. С помощью иммер- сионного объектива, меняя поля зрения, найти все виды форменных элементов крови. В поле зрения преобладают эритроциты,окрашивающиеся эозином в ро- зовый цвет - оксифильно. Центральная часть каждого эритроцита вследствие двояковогнутой формы оказывается более тонкой и окрашивается бледнее.
  • 7.
    Нейтрофилы имеют интенсивноокрашенное базофильное ядро, форма которого меняется в зависимости от степени зрелости -сегментированное, палочкоядерное или бобовидное. Цитоплазма окрашивается слабо оксифильно, первичные гра-нулы окрашиваются азуром в розово - фиолетовый цвет, мелкораспыленная вто-ричная нейтрофильная зернистость имеет лиловый цвет. Эозинофилы имеют 2 -х лопастное ядро, а цитоплазма интенсивно окрашенные эозином крупные ярко - красные гранулы. Базофилы имеют слабо сегментированное ядро, цитоплазма содержит крупные темно –фиолетовые метахроматически окрашенные гранулы. Малые лимфоциты имеют узкий ободок резко базофильной цитоплазмы и округ- лое или слегка бобовидное ядро. У средних лимфоцитов цитоплазма занимает относительно больший объем в клетке, ядро с менее плотным хроматином. Моноциты - самые крупные из лейко- цитов, имеют слабобазофильную цитоплазму и подковообразное или бобовидное светлое ядро. Кровяные пластинки (тромбоциты) имеют вид мелких дисковид- ных безядерных постклеточных структур, которые вследствие агрегации обычно выявляются в виде скоплений. Тромбоциты окрашиваются в бледно - голубой цвет с наружной светлой (гиаломер) и внутренней темной частью (грануломер).
  • 8.
    Препарат 1. Мазоккрови человека. Окраска по Романовскому - Гимзе.
  • 9.
    СПИСОК ЭЛЕКТРОННЫХ МИКРОФОТОГРАФИЙ: 1. Нейтрофильный лейкоцит. 2. Эозинофильный лейкоцит. 3. Базофильный лейкоцит. 4. Лимфоцит. 5. Моноцит. 6. Тромбоцит 7. Ретикулоцит.
  • 10.
  • 11.
  • 12.
  • 13.
  • 14.
  • 15.