ЦЕЛЬ ЗАНЯТИЯ: 
изучить строение интерфазного ядра в фиксированных препаратах. 
Рассмотреть особенности строения ядер клеток с различной функ- 
циональной активностью. Основными компонентами ядра являются: 
ядерная оболочка (кариолемма),хроматин, ядрышко, ядерный сок. При 
световой микроскопии ядерная оболочка представляет четкую, очер- 
ченную со стороны ядра и цитоплазмы линию. При рассмотрении схемы 
ультрамикроскопического строения ядра следует обратить внимание на 
особенности строения кариолеммы, на связь ее мембран с эндоплазма- 
тической сетью цитоплазмы. Разобраться в морфологической харак- 
теристике хроматина и его химическом составе. Хроматин в ядре может 
находиться в виде глыбок –конденсированный хроматин или быть рас- 
пыленным – дисперсный хроматин. Разное состояние хроматина явля- 
ется показателем биосинтетической активности клетки. Клетки, активно 
синтезирующие белок имеют ядро с дисперсным хроматином и хорошо 
развитым ядрышком. В ядрах клеток, не синтезирующих белок, хроматин 
конденсированный, ядрышки плохо заметны.
Контрольные вопросы: 
1. Ядро. Понятие об интерфазном ядре. Структурные компоненты ядра по 
данным световой и электронной микроскопии: ядерная оболочка, хроматин, 
ядрышко, ядерный сок. Значение и функции ядра в жизнедеятельности клетки. 
2. Ядерно-цитоплазматические соотношения в клетках с различным 
уровнем метаболизма. 
3. Структура ядерной оболочки при СМ и ЭМ. Молекулярная 
организация и функциональное значение ядерной ламины. 
4. Ядерная пора и ядерный поровый комплекс. Участие в ядерном импорте и 
экспорте веществ. 
5. Хроматин интерфазного ядра. Эухроматин и гетерохроматин. 
Хроматин, как показатель биосинтетической активности клетки. 
6. Молекулярная организация ДНК в хромосомах. Уровни укладки хроматина. 
Роль гистоновых белков в обеспечении структуры хроматина и реализации 
генетической информации. 
7. Ядрышко. Структура ядрышка при СМ и ЭМ. Основные 
компоненты ядрышка. Роль ядрышка в синтезе рРНК и образовании рибосом. 
8. Синтез и транспорт биополимеров в клетке. Клеточный конвейер 
при синтезе белка. Морфологическая характеристика клетки, синтезирующей 
белки. 
9. Клеточный конвейер при синтезе углеводов и липидов. 
Морфологическая характеристика клетки, синтезирующей углеводы и липиды.
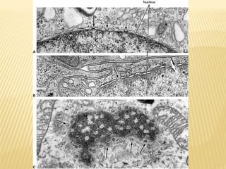
Препарат 1 . Структуры ядра. Яичник. Окраска гематоксилин- 
эозином. 
Под малым увеличением сделать общий обзор микропрепарата,найти рас- 
тущий фолликул с яйцеклеткой. Под большим увеличением найти крупную 
округлую клетку – яйцеклетку и рассмотреть структуру ядра. Обратить вни- 
мание на ядерную оболочку, ядрышко, состояние хроматина. Нарисовать 
яйцеклетку и обозначить структуры интерфазного ядра. Изучить электрон- 
нограмму ядра. Зарисовать строение кариолеммы и ядерного порового 
комплекса.
Препарат 1 . Структуры ядра. Яичник. Яйцеклетка. 
Окраска гематоксилин-эозином
Препарат 2. Поджелудочная железа. Окраска гематоксилин- 
эозином. Клетка, синтезирующая белок. 
Под малым увеличением сделать общий обзор микропрепарата и найти 
экзокринную часть поджелудочной железы. Под большим увеличением 
рассмотреть одну клетку, обратив внимание на наличие в ядре ядрышка и 
эухроматина, отметить базофилию цитоплазмы в базальной части клетки и 
оксифилию в апикальной.
Препарат 2. Поджелудочная железа. Окраска 
гематоксилин-эозином. Клетки, синтезирующие белки
Препарат 3. Печень. Гликоген в клетках печени. ШИК-реакция. 
Клетка, синтезирующая углеводы. 
Под малым увеличением сделать общий обзор микропрепарата и найти 
группу гепатоцитов. Под большим увеличением рассмотреть в цитоплазме 
гепатоцита глыбки гликогена красно-фиолетового цвета.
Препарат 3. Печень. Гликоген в клетках печени. ШИК-реакция. 
Клетка, синтезирующая углеводы.
Препарат 4. Липидные включения в клетках печени. Окраска 
осмиевой кислотой. Клетка, синтезирующая липиды. 
Под малым увеличением сделать общий обзор микропрепарата и найти 
группу гепатоцитов. Под большим увеличением рассмотреть цитоплазму 
гепатоцита, обратив внимание на капли липидов,окрашенные в черный 
цвет.
Препарат 4. Липидные включения в клетках печени. 
Окраска осмиевой кислотой. Клетки, синтезирующие 
липиды.
lesson 3
lesson 3
lesson 3
lesson 3
lesson 3
lesson 3
lesson 3
lesson 3
lesson 3
lesson 3
lesson 3
lesson 3
lesson 3
lesson 3
lesson 3
lesson 3
lesson 3
lesson 3
lesson 3
lesson 3
lesson 3
lesson 3
lesson 3
lesson 3
lesson 3
lesson 3
lesson 3
lesson 3
lesson 3
lesson 3
lesson 3
lesson 3
lesson 3
lesson 3
lesson 3
lesson 3
lesson 3
lesson 3

lesson 3

  • 2.
    ЦЕЛЬ ЗАНЯТИЯ: изучитьстроение интерфазного ядра в фиксированных препаратах. Рассмотреть особенности строения ядер клеток с различной функ- циональной активностью. Основными компонентами ядра являются: ядерная оболочка (кариолемма),хроматин, ядрышко, ядерный сок. При световой микроскопии ядерная оболочка представляет четкую, очер- ченную со стороны ядра и цитоплазмы линию. При рассмотрении схемы ультрамикроскопического строения ядра следует обратить внимание на особенности строения кариолеммы, на связь ее мембран с эндоплазма- тической сетью цитоплазмы. Разобраться в морфологической харак- теристике хроматина и его химическом составе. Хроматин в ядре может находиться в виде глыбок –конденсированный хроматин или быть рас- пыленным – дисперсный хроматин. Разное состояние хроматина явля- ется показателем биосинтетической активности клетки. Клетки, активно синтезирующие белок имеют ядро с дисперсным хроматином и хорошо развитым ядрышком. В ядрах клеток, не синтезирующих белок, хроматин конденсированный, ядрышки плохо заметны.
  • 3.
    Контрольные вопросы: 1.Ядро. Понятие об интерфазном ядре. Структурные компоненты ядра по данным световой и электронной микроскопии: ядерная оболочка, хроматин, ядрышко, ядерный сок. Значение и функции ядра в жизнедеятельности клетки. 2. Ядерно-цитоплазматические соотношения в клетках с различным уровнем метаболизма. 3. Структура ядерной оболочки при СМ и ЭМ. Молекулярная организация и функциональное значение ядерной ламины. 4. Ядерная пора и ядерный поровый комплекс. Участие в ядерном импорте и экспорте веществ. 5. Хроматин интерфазного ядра. Эухроматин и гетерохроматин. Хроматин, как показатель биосинтетической активности клетки. 6. Молекулярная организация ДНК в хромосомах. Уровни укладки хроматина. Роль гистоновых белков в обеспечении структуры хроматина и реализации генетической информации. 7. Ядрышко. Структура ядрышка при СМ и ЭМ. Основные компоненты ядрышка. Роль ядрышка в синтезе рРНК и образовании рибосом. 8. Синтез и транспорт биополимеров в клетке. Клеточный конвейер при синтезе белка. Морфологическая характеристика клетки, синтезирующей белки. 9. Клеточный конвейер при синтезе углеводов и липидов. Морфологическая характеристика клетки, синтезирующей углеводы и липиды.
  • 5.
    Препарат 1 .Структуры ядра. Яичник. Окраска гематоксилин- эозином. Под малым увеличением сделать общий обзор микропрепарата,найти рас- тущий фолликул с яйцеклеткой. Под большим увеличением найти крупную округлую клетку – яйцеклетку и рассмотреть структуру ядра. Обратить вни- мание на ядерную оболочку, ядрышко, состояние хроматина. Нарисовать яйцеклетку и обозначить структуры интерфазного ядра. Изучить электрон- нограмму ядра. Зарисовать строение кариолеммы и ядерного порового комплекса.
  • 6.
    Препарат 1 .Структуры ядра. Яичник. Яйцеклетка. Окраска гематоксилин-эозином
  • 8.
    Препарат 2. Поджелудочнаяжелеза. Окраска гематоксилин- эозином. Клетка, синтезирующая белок. Под малым увеличением сделать общий обзор микропрепарата и найти экзокринную часть поджелудочной железы. Под большим увеличением рассмотреть одну клетку, обратив внимание на наличие в ядре ядрышка и эухроматина, отметить базофилию цитоплазмы в базальной части клетки и оксифилию в апикальной.
  • 9.
    Препарат 2. Поджелудочнаяжелеза. Окраска гематоксилин-эозином. Клетки, синтезирующие белки
  • 11.
    Препарат 3. Печень.Гликоген в клетках печени. ШИК-реакция. Клетка, синтезирующая углеводы. Под малым увеличением сделать общий обзор микропрепарата и найти группу гепатоцитов. Под большим увеличением рассмотреть в цитоплазме гепатоцита глыбки гликогена красно-фиолетового цвета.
  • 12.
    Препарат 3. Печень.Гликоген в клетках печени. ШИК-реакция. Клетка, синтезирующая углеводы.
  • 13.
    Препарат 4. Липидныевключения в клетках печени. Окраска осмиевой кислотой. Клетка, синтезирующая липиды. Под малым увеличением сделать общий обзор микропрепарата и найти группу гепатоцитов. Под большим увеличением рассмотреть цитоплазму гепатоцита, обратив внимание на капли липидов,окрашенные в черный цвет.
  • 14.
    Препарат 4. Липидныевключения в клетках печени. Окраска осмиевой кислотой. Клетки, синтезирующие липиды.