Identitas Pasien
• Nama : An. D
• Tanggal lahir : 22 Mei 2022
• Usia : 1 Bulan 23 hari
• Jenis kelamin : Laki-laki
• No RM : 986972
Subjektif:
• Anak dikonsul dari bedah Anak (dr. Tommy Rubianto, Sp.BA) dengan community acquired
pneumonia, diare akut dehidrasi tidak berat+ Hernia inguinalis bilateral reponible+
Hernia umbilicalis (perawatan hari kedua). Pasien dirujuk dari RS Syeikh Yusuf. Pasien
dirawat mulai dirawat tanggal 14/07/2022.
• Ada sesak diperhatikan sejak beberapa jam yang sebelum pasien dikonsul (perawatan
hari ke 2), tidak batuk.
• Ada buang air besar encer diperhatikan sejak perawatan hari pertama , frekuensi 5 kali,
warna kuning, ada ampas, tidak ada darah dan lendir. Tidak muntah.
• Ada demam, tidak terus menerus, demam turun dengan obat penurun demam. Tidak
kejang, ada riwayat kejang saat perawatan hari 1 frekuensi 3 kali, kejang bersifat umum,
setelah kejang anak tertidur. Kemudian anak pasien dikonsulkan ke divisi neurologi anak.
• Ada keluhan benjolan pada pada kedua lipatan paha yang dialami sejak usia 2 minggu ,
benjolan awalnya dialami sebelah kanan, 2 hari setelahnya muncul benjolan sebelah kiri.
Benjolan membesar pada saat menangis dan mengecil pada saat berhenti menangis. Dan
kemudian pasien dibawa ke IRD bedah Rumah sakit Wahidin.
Subjektif
• Riwayat Kehamilan : Ibu usia 23 tahun dengan kehamilan pertama,
riwayat keguguran tidak ada. Ibu pasien kontrol rutin di posyandu.
Riwayat minum obat-obatan atau jamu tidak ada. Riwayat sakit saat
hamil tidak ada.
• Riwayat kelahiran:Bayi lahir dengan normal, cukup bulan langsung
menangis, lahir di puskesmas ditolong oleh bidan. BBL: 3.300 gram ,
PB 44 cm. A/S Tidak diketahui.
• Riwayat menyusu: Anak minum ASI dari lahir hingga saat ini.
Objektif
• Keadaan Umum : Sakit sedang/Gizi baik/GCS 15
E4M6V5
Nadi :128 kali permenit
Napas: 40 kali permenit
Suhu : 38.3 derajat celcius
Berat : 3.600 gram
Tidak pucat, tidak ada icterus
Tidak ada limfadenopati
Wajah dismorfik ada, Makroglosia tidak ada ,
Micrognathia ada
• Paru:
Ada retraksi subcostal
Bunyi nafas bronchovesikular, ada ronkhi di kedua
lapangan paru, tidak ada wheezing.
Jantung:
Bunyi jantung I/II normal
Bising jantung tidak ada.
Abdomen:
Tampak distended, Peristaltik ada kesan meningkat
Hepar dan lien tidak teraba
Ada hernia umbilicalis
Genitalia:
Teraba 2 buah testis dalam scrotum ukuran
1.5x1.5x1.5cm.
Tampak benjolan pada lipatan paha kiri dan kanan ukuran
2x2x2 cm, jika didorong dengan tangan benjolan
menghilang.
Penis: ukuran 1.5cm (mean: 2.5SD 3.9+-0.8), Micropenis
Skor TB:
• Demam 0
• Batuk 0
• Kontak 0
• Gizi 0
• Limfadenopati 0
• Pembengkakan sendi 0
• Mantoux belum
• Foto 1
• Total 1
Derajat dehidrasi (WHO)
• Anak rewel
• Mata cekung tidak ada
• Turgor kulit kembali cepat
• Anak mau minum susu
LABORATORIUM
Laboratory Juli 14th 2022 17 Juli 2022 Normal Value
Hb 9.7 8.9 12.0 – 16.0 gr/dL
WBC 23.200 11.300 4.0 – 10.0/μL
PLT 221.000 268.000 150.000 – 400.000/mm3
MCV 99 97 80 -100 μm3
MCH 32 30 27 - 32 Pg
SGOT 51 - < 38
SGPT 39 - < 41
Natrium 131 - 135-145
Kalium 4,2 - 3,5-5,1
Clorida 99 - 97-111
Ureum 14 - 10-50 mg/dl
Creatinin 0.26 - <1,3 mg/dl
%Neut 40.5 54 52-75%
%Lymph 41.3 30.1 20-40%
%Mono 15.3 15.7 2-8
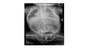
Foto Baby Gram RSWS 14-7-2022
• Kesan:
- Pneumonia Sinistra
- Multiple bayangan lusen berkantung dengan loop loop usus pada
cavum scrotalis suspek hernia scrotalis bilateral
- Dilatasi loop loop usus
Assesment
• - Community Acquired Pneumonia
• - Diare Akut
• - Dehidrasi tidak berat
• - Post bangkitan kejang
• - Hernia Inguinalis bilateral reponibel
• - Hernia Umbilikalis
• - Micropenis
• - Anemia penyakit kronik
• - Hiponatremia
• - Leukositosis
TERAPI
• Kerjasama neurologi:
Phenobarbital/intravena
Rencana EEG mountage neonatus jika kondisi stabil
• Kerjasama divisi GEH:
Kebutuhan cairan PWL+ NWL+ CWL- 20%distress napas = 75+ 150+ 25 x
3.6900cc/24jam/intravena
Enteral: stop intake oral, NGT dekompresi
Parenteral: infus Asering 38cc/jam/intravena
Paracetamol 40mg/8jam/intravena (rutin)
1) Zinc 10mg/24jam/oral
Koreksi natrium ∆Na x BB x 0.6 + 2 = kebutuhan Natrium (135-131) x 3.6 x 0.6 + 2x3.6 =
16meq Tercukupi dengan infus cairan maintenance asering 38cc/jam/intravena
TERAPI
Divisi Respirologi
• Oksigenasi via nasal kanul 1-2 liter/menit
• Usul stop intake oral, NGT dekompresi
• Usul konsul divisi nutrisi dan penyakit metabolik
• 1) Ampicilin 90mg/6 jam/intravena
• 1) Gentamycin 9mg/12 jam/intravena
• Pelacakan tuberculosis, mantoux test dan bilas lambung (Keluarga
Setuju)
• Pada perawatan hari ke 5, saat jadwal injeksi, antibiotik sudah
diidentifikasi perawat praktek, nama sudah tepat. Namun pada saat
pemberian ada 2 obat dalam 1 wadah dan keluarga memperhatikan
ada kesalahan saat pemberian obat. Sudah diobservasi post
pemberian obat, keadaan umum pasien baik dan tidak didapatkan
keluhan.
• Ada keluhan kejang setelahnya namun membaik setelah pemberian
obat phenobarbital, kejang berhenti dan keadaan umum pasien baik.
Tidak lama setelahnya didapatkan pasien perburukan.
• Pada pukul 19.30 pasien dinyatakan meninggal.

Kronologi.pptx

  • 1.
    Identitas Pasien • Nama: An. D • Tanggal lahir : 22 Mei 2022 • Usia : 1 Bulan 23 hari • Jenis kelamin : Laki-laki • No RM : 986972
  • 2.
    Subjektif: • Anak dikonsuldari bedah Anak (dr. Tommy Rubianto, Sp.BA) dengan community acquired pneumonia, diare akut dehidrasi tidak berat+ Hernia inguinalis bilateral reponible+ Hernia umbilicalis (perawatan hari kedua). Pasien dirujuk dari RS Syeikh Yusuf. Pasien dirawat mulai dirawat tanggal 14/07/2022. • Ada sesak diperhatikan sejak beberapa jam yang sebelum pasien dikonsul (perawatan hari ke 2), tidak batuk. • Ada buang air besar encer diperhatikan sejak perawatan hari pertama , frekuensi 5 kali, warna kuning, ada ampas, tidak ada darah dan lendir. Tidak muntah. • Ada demam, tidak terus menerus, demam turun dengan obat penurun demam. Tidak kejang, ada riwayat kejang saat perawatan hari 1 frekuensi 3 kali, kejang bersifat umum, setelah kejang anak tertidur. Kemudian anak pasien dikonsulkan ke divisi neurologi anak. • Ada keluhan benjolan pada pada kedua lipatan paha yang dialami sejak usia 2 minggu , benjolan awalnya dialami sebelah kanan, 2 hari setelahnya muncul benjolan sebelah kiri. Benjolan membesar pada saat menangis dan mengecil pada saat berhenti menangis. Dan kemudian pasien dibawa ke IRD bedah Rumah sakit Wahidin.
  • 3.
    Subjektif • Riwayat Kehamilan: Ibu usia 23 tahun dengan kehamilan pertama, riwayat keguguran tidak ada. Ibu pasien kontrol rutin di posyandu. Riwayat minum obat-obatan atau jamu tidak ada. Riwayat sakit saat hamil tidak ada. • Riwayat kelahiran:Bayi lahir dengan normal, cukup bulan langsung menangis, lahir di puskesmas ditolong oleh bidan. BBL: 3.300 gram , PB 44 cm. A/S Tidak diketahui. • Riwayat menyusu: Anak minum ASI dari lahir hingga saat ini.
  • 4.
    Objektif • Keadaan Umum: Sakit sedang/Gizi baik/GCS 15 E4M6V5 Nadi :128 kali permenit Napas: 40 kali permenit Suhu : 38.3 derajat celcius Berat : 3.600 gram Tidak pucat, tidak ada icterus Tidak ada limfadenopati Wajah dismorfik ada, Makroglosia tidak ada , Micrognathia ada • Paru: Ada retraksi subcostal Bunyi nafas bronchovesikular, ada ronkhi di kedua lapangan paru, tidak ada wheezing. Jantung: Bunyi jantung I/II normal Bising jantung tidak ada. Abdomen: Tampak distended, Peristaltik ada kesan meningkat Hepar dan lien tidak teraba Ada hernia umbilicalis Genitalia: Teraba 2 buah testis dalam scrotum ukuran 1.5x1.5x1.5cm. Tampak benjolan pada lipatan paha kiri dan kanan ukuran 2x2x2 cm, jika didorong dengan tangan benjolan menghilang. Penis: ukuran 1.5cm (mean: 2.5SD 3.9+-0.8), Micropenis
  • 5.
    Skor TB: • Demam0 • Batuk 0 • Kontak 0 • Gizi 0 • Limfadenopati 0 • Pembengkakan sendi 0 • Mantoux belum • Foto 1 • Total 1
  • 6.
    Derajat dehidrasi (WHO) •Anak rewel • Mata cekung tidak ada • Turgor kulit kembali cepat • Anak mau minum susu
  • 7.
    LABORATORIUM Laboratory Juli 14th2022 17 Juli 2022 Normal Value Hb 9.7 8.9 12.0 – 16.0 gr/dL WBC 23.200 11.300 4.0 – 10.0/μL PLT 221.000 268.000 150.000 – 400.000/mm3 MCV 99 97 80 -100 μm3 MCH 32 30 27 - 32 Pg SGOT 51 - < 38 SGPT 39 - < 41 Natrium 131 - 135-145 Kalium 4,2 - 3,5-5,1 Clorida 99 - 97-111 Ureum 14 - 10-50 mg/dl Creatinin 0.26 - <1,3 mg/dl %Neut 40.5 54 52-75% %Lymph 41.3 30.1 20-40% %Mono 15.3 15.7 2-8
  • 8.
    Foto Baby GramRSWS 14-7-2022 • Kesan: - Pneumonia Sinistra - Multiple bayangan lusen berkantung dengan loop loop usus pada cavum scrotalis suspek hernia scrotalis bilateral - Dilatasi loop loop usus
  • 10.
    Assesment • - CommunityAcquired Pneumonia • - Diare Akut • - Dehidrasi tidak berat • - Post bangkitan kejang • - Hernia Inguinalis bilateral reponibel • - Hernia Umbilikalis • - Micropenis • - Anemia penyakit kronik • - Hiponatremia • - Leukositosis
  • 11.
    TERAPI • Kerjasama neurologi: Phenobarbital/intravena RencanaEEG mountage neonatus jika kondisi stabil • Kerjasama divisi GEH: Kebutuhan cairan PWL+ NWL+ CWL- 20%distress napas = 75+ 150+ 25 x 3.6900cc/24jam/intravena Enteral: stop intake oral, NGT dekompresi Parenteral: infus Asering 38cc/jam/intravena Paracetamol 40mg/8jam/intravena (rutin) 1) Zinc 10mg/24jam/oral Koreksi natrium ∆Na x BB x 0.6 + 2 = kebutuhan Natrium (135-131) x 3.6 x 0.6 + 2x3.6 = 16meq Tercukupi dengan infus cairan maintenance asering 38cc/jam/intravena
  • 12.
    TERAPI Divisi Respirologi • Oksigenasivia nasal kanul 1-2 liter/menit • Usul stop intake oral, NGT dekompresi • Usul konsul divisi nutrisi dan penyakit metabolik • 1) Ampicilin 90mg/6 jam/intravena • 1) Gentamycin 9mg/12 jam/intravena • Pelacakan tuberculosis, mantoux test dan bilas lambung (Keluarga Setuju)
  • 13.
    • Pada perawatanhari ke 5, saat jadwal injeksi, antibiotik sudah diidentifikasi perawat praktek, nama sudah tepat. Namun pada saat pemberian ada 2 obat dalam 1 wadah dan keluarga memperhatikan ada kesalahan saat pemberian obat. Sudah diobservasi post pemberian obat, keadaan umum pasien baik dan tidak didapatkan keluhan. • Ada keluhan kejang setelahnya namun membaik setelah pemberian obat phenobarbital, kejang berhenti dan keadaan umum pasien baik. Tidak lama setelahnya didapatkan pasien perburukan. • Pada pukul 19.30 pasien dinyatakan meninggal.