INTERCEPTIVE
ORTHODONTICS
BY~VIDHI TRIVEDI
1 Definition
Interceptive orthodontics is an orthodontic procedure that eliminates or lessens
the severity of
a developing malocclusion.
2 Need
Developing problems in deciduous or mixed dentition could be fully corrected
with
relatively simple interceptive treatment in 15% of orthodontic cases.
3 Objective
To reduce the severity of malocclusion, therefore may reduce further
treatment
time/duration or make future orthodontic treatment simpler.
To encourage the eruption of the teeth to the normal position.
To prevent trauma (eg. in patients with severe overjet or traumatic bite)
4 Routine screening
During clinical examination, monitor developing dentition and look for
abnormalities
Take radiograph- only if clinically justified
5 Timing for Interceptive Orthodontic Treatment
~ During deciduous dentition
usually no treatment required except for posterior crossbites with
displacement.
~ During mixed dentition
elimination of local factors e.g. supernumeraries, habits
where there is direct trauma to soft tissue
crossbites with displacement – anterior and posterior
skeletal Class II discrepancy with retrognathic mandible.
6 Some examples of Interceptive orthodontics
6.1 Crossbites
6.1a Anterior crossbites
These anomalies are best treated at an early stage because
the upper incisor and lower incisors may undergo wear
(abrasion) due to traumatic
bite.
the periodontal support of the incisors may suffer as a result of
occlusal trauma
it may cause the patient to develop into a Class III malocclusion.
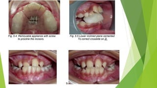
Treatment:
1. Extract any retained A or B when the successive permanent
incisor is erupting.
2. If the permanent incisors are still erupting, the overbite is still
shallow and there is only
one incisor in lingual occlusion, the tooth may be moved by using
a tongue spatula /icecream stick. The tongue spatula is placed
vertically and the child should bite on it 3 to 4
periods of 15 minutes each day.
3. If the overbite is more established or more than one incisor is
involved ,
a] use an upper removable appliance with Z-spring in 0.5 mm
wire or screw,
incorporating the posterior bite plane.
b] use the lower inclined plane, if there are a lot of missing upper
posterior teeth
which makes it difficult to make an removable appliance. Don‟t
wear more than 2 months.
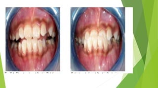
Indications:
1. Class I or mild Class III skeletal
discrepancy. If the patient can bite the
incisor teeth at
edge to edge in centric relation (pseudo-Class
III) [Fig. 5.1], the prognosis of treatment is
good.
2. The overbite at the end of treatment
should be sufficient to maintain the
corrected incisor
relationship.
6.1b Posterior crossbite
If there is lateral deviation of the mandible with unilateral
posterior crossbite in a young child,
it should be treated.
Treatment:
Early treatment is recommended. It can help in the development
of normal occlusion.
Grind off occlusal interference.
Use appliance such as:
1. Removable appliance with screw ; or with T- spring if only one
tooth is involved,
or
2. Fixed appliance with quadhelix: for molar & premolar
crossbites.
6.2. Increased Overjet
Early treatment is indicated when:
there is moderate/severe overjet- increase risk of trauma to
upper incisors.
there is presence of tooth fracture (indicates patient has a past
history of a fall or
accident).
there is trauma at the palatal mucosa by the lower incisors.
Types of treatment:
i ] Functional appliance
- it is useful in reducing an overjet during the mixed dentition.
- it is suitable for Class II division 1 on a mild to moderate Class II
skeletal with
retrognathic mandible.
- the upper and lower arches are in good alignment or at least not
crowded
ii] Appliance with extra-oral traction. iii] Removable appliance iv]
Fixed appliance
6.3. The treatment of crowding
Crowding of the teeth is caused by a faulty relationship between the jaw size, arch perimeter
and tooth size.
Chronologically, crowding may become manifested at
7 years of age on eruption of the incisors
10 to 12 years on eruption of the canines, premolars and second molars
5.6.3.1 Types of treatment:
a] extraction with / without appliances
b] disking of deciduous teeth
6.3.1a Extraction with/ without appliances
Before any extraction procedures, check the:
a] tooth prognosis
b] area of crowding
c] tooth alignment - rotation, tipping etc
d] permanent teeth that are present
e] space needed for alignment
f] choices of appliances
Types of extractions:
1. Timely extraction
2. Serial extraction
3. Extraction of deciduous canines
4. Extraction of first permanent molars
1. Timely extraction
Definition: Extraction of teeth done in order to
a) relief crowding temporarily or
b) to eliminate the source of deflection / interference of eruption
Example: i) extraction of supernumerary tooth that prevents the permanent tooth
from erupting.
ii) extraction of retained deciduous teeth for the succeeding permanent
teeth to erupt into alignment
2. Serial Extraction
It was first advocated in 1948 as a solution to a shortage of orthodontists.
It involves the timed extraction of deciduous, and ultimately, permanent teeth to
relieve severe crowding.
Indications
Patient age 8-9 years and the incisors substantially crowded.
Skeletal Class I arch relationship.
Overbite normal or reduced.
All permanent teeth are present in good positions.
The first permanent molars have a good prognosis.
The first premolars should be more close to eruption than the canines.
Class I molar relationship.
Large arch perimeter deficiency (10mm or more) - severe crowding
Contraindications
Skeletal Class II or skeletal III jaw relationships
Face is unduly long or short (where a tight lower lip would retrocline lower incisors)
Facial profile is substantially concave
The procedure consists of three steps:
a) Extraction of Cs as the permanent laterals are erupting in a crowded positions
b) Extraction of Ds when its roots are ½ resorbed, to promote early eruption of 1st
premolars (usually 6 to 12 months before Ds normal exfoliation, at the point when the
underlying premolars have ½ to ⅔ of their roots formed)
c) Extraction of the permanent first premolars before eruption of the permanent canines.
Most of these patients still need some appliance therapy which will be shorter duration and
simpler than if crowding had been allowed to develop before orthodontic intervention.
Disadvantages
It involves putting the child through several sequences of extractions
3. Extractions of deciduous canines
Timely extractions of Cs may avoid more complicated treatment in the future.
Indications:
Lateral incisors erupting into a crowded upper arch in Class I malocclusion.
In a crowded lower labial segment one incisor may be pushed through the labial plate
of bone, resulting in a compromised labial periodontal attachment.
Extraction of lower Cs in Class III malocclusion can be advantages as it allows lower incisors to
move/tip lingually.
To provide space for appliance therapy in the upper arch, e.g. correction of an
instanding lateral incisors
To improve the position of a displaced permanent canine.
4. Extractions of first permanent molars
First permanent molar extraction is done when the prognosis of the teeth is poor.
Indications for elective extraction of all 4 permanent 1st molars:
1. The child should be aged 9-10 years (lower second molar bifurcation beginning to form,
angle between long axis of 6 & crypts of 7 is 15-30°)
2. Class I malocclusion.
3. Mild or moderate crowding
4. The overbite is normal or reduced.
5. All the permanent teeth should be present.
6. The 1
st permanent molars are carious.
7. The unerupted lower second premolar should not be distally inclined or spaced from the first
premolar or outside the control of the E roots.
Note:
If the first permanent molar is removed too early (before 8 years old), there is a
tendency for the second premolar to erupt distally and become impacted against the
second molar.
Extraction of upper 6s should be delayed until the 7s erupt when it is intended that the
extraction space be used to treat an increased overjet or crowded upper incisors.
If a lower 6 must be extracted, the opposing 6 should be extracted (compensatory
extraction) in mildly crowded Class I cases. This is to prevent over-eruption of upper 6
following extraction of lower 6. Over-eruption of upper 6 can lead to premature
contacts and impaired closure of lower extraction space.
If an upper 6 must be extracted, no need to do compensatory extraction of lower 6 as
less tendency for lower 6 to over-erupt in a Class 1 malocclusion.
6.3.1b Disking of deciduous teeth
Disking of deciduous teeth is indicated when there is mild crowding /impaction
Example: disking of C to align the irregular permanent incisors
5.7 Screening at 9 years old
Do further investigation if any of these clinical findings are found:
Delayed eruption in comparison with contralateral side or abnormal sequence.
Crowding – overlapping teeth or lateral incisors almost in contact with Ds.
Overjet ≥ 4 mm.
Crossbites
Submerged deciduous molars
Caries of 1st molars
Early loss of Cs or deciduous molars
Deep overbite or open bite
Note: Palpate for unerupted 3s, when patient is 9-10 years old. If you cannot palpate the
3s, do a radiographic investigation. Take parallax radiographs to check the position of the impacted 3s.
INTERCEPTIVE_ORTHODONTICS_BY_VIDHI.pptx
INTERCEPTIVE_ORTHODONTICS_BY_VIDHI.pptx
INTERCEPTIVE_ORTHODONTICS_BY_VIDHI.pptx

INTERCEPTIVE_ORTHODONTICS_BY_VIDHI.pptx

  • 1.
  • 2.
    1 Definition Interceptive orthodonticsis an orthodontic procedure that eliminates or lessens the severity of a developing malocclusion. 2 Need Developing problems in deciduous or mixed dentition could be fully corrected with relatively simple interceptive treatment in 15% of orthodontic cases. 3 Objective To reduce the severity of malocclusion, therefore may reduce further treatment time/duration or make future orthodontic treatment simpler. To encourage the eruption of the teeth to the normal position. To prevent trauma (eg. in patients with severe overjet or traumatic bite)
  • 3.
    4 Routine screening Duringclinical examination, monitor developing dentition and look for abnormalities Take radiograph- only if clinically justified 5 Timing for Interceptive Orthodontic Treatment ~ During deciduous dentition usually no treatment required except for posterior crossbites with displacement. ~ During mixed dentition elimination of local factors e.g. supernumeraries, habits where there is direct trauma to soft tissue crossbites with displacement – anterior and posterior skeletal Class II discrepancy with retrognathic mandible.
  • 4.
    6 Some examplesof Interceptive orthodontics 6.1 Crossbites 6.1a Anterior crossbites These anomalies are best treated at an early stage because the upper incisor and lower incisors may undergo wear (abrasion) due to traumatic bite. the periodontal support of the incisors may suffer as a result of occlusal trauma it may cause the patient to develop into a Class III malocclusion.
  • 5.
    Treatment: 1. Extract anyretained A or B when the successive permanent incisor is erupting. 2. If the permanent incisors are still erupting, the overbite is still shallow and there is only one incisor in lingual occlusion, the tooth may be moved by using a tongue spatula /icecream stick. The tongue spatula is placed vertically and the child should bite on it 3 to 4 periods of 15 minutes each day. 3. If the overbite is more established or more than one incisor is involved , a] use an upper removable appliance with Z-spring in 0.5 mm wire or screw, incorporating the posterior bite plane. b] use the lower inclined plane, if there are a lot of missing upper posterior teeth which makes it difficult to make an removable appliance. Don‟t wear more than 2 months.
  • 7.
    Indications: 1. Class Ior mild Class III skeletal discrepancy. If the patient can bite the incisor teeth at edge to edge in centric relation (pseudo-Class III) [Fig. 5.1], the prognosis of treatment is good. 2. The overbite at the end of treatment should be sufficient to maintain the corrected incisor relationship.
  • 8.
    6.1b Posterior crossbite Ifthere is lateral deviation of the mandible with unilateral posterior crossbite in a young child, it should be treated. Treatment: Early treatment is recommended. It can help in the development of normal occlusion. Grind off occlusal interference. Use appliance such as: 1. Removable appliance with screw ; or with T- spring if only one tooth is involved, or 2. Fixed appliance with quadhelix: for molar & premolar crossbites.
  • 10.
    6.2. Increased Overjet Earlytreatment is indicated when: there is moderate/severe overjet- increase risk of trauma to upper incisors. there is presence of tooth fracture (indicates patient has a past history of a fall or accident). there is trauma at the palatal mucosa by the lower incisors. Types of treatment: i ] Functional appliance - it is useful in reducing an overjet during the mixed dentition. - it is suitable for Class II division 1 on a mild to moderate Class II skeletal with retrognathic mandible. - the upper and lower arches are in good alignment or at least not crowded ii] Appliance with extra-oral traction. iii] Removable appliance iv] Fixed appliance
  • 12.
    6.3. The treatmentof crowding Crowding of the teeth is caused by a faulty relationship between the jaw size, arch perimeter and tooth size. Chronologically, crowding may become manifested at 7 years of age on eruption of the incisors 10 to 12 years on eruption of the canines, premolars and second molars 5.6.3.1 Types of treatment: a] extraction with / without appliances b] disking of deciduous teeth 6.3.1a Extraction with/ without appliances Before any extraction procedures, check the: a] tooth prognosis b] area of crowding c] tooth alignment - rotation, tipping etc d] permanent teeth that are present e] space needed for alignment f] choices of appliances Types of extractions: 1. Timely extraction 2. Serial extraction 3. Extraction of deciduous canines 4. Extraction of first permanent molars 1. Timely extraction Definition: Extraction of teeth done in order to a) relief crowding temporarily or b) to eliminate the source of deflection / interference of eruption Example: i) extraction of supernumerary tooth that prevents the permanent tooth from erupting. ii) extraction of retained deciduous teeth for the succeeding permanent teeth to erupt into alignment
  • 13.
    2. Serial Extraction Itwas first advocated in 1948 as a solution to a shortage of orthodontists. It involves the timed extraction of deciduous, and ultimately, permanent teeth to relieve severe crowding. Indications Patient age 8-9 years and the incisors substantially crowded. Skeletal Class I arch relationship. Overbite normal or reduced. All permanent teeth are present in good positions. The first permanent molars have a good prognosis. The first premolars should be more close to eruption than the canines. Class I molar relationship. Large arch perimeter deficiency (10mm or more) - severe crowding Contraindications Skeletal Class II or skeletal III jaw relationships Face is unduly long or short (where a tight lower lip would retrocline lower incisors) Facial profile is substantially concave The procedure consists of three steps: a) Extraction of Cs as the permanent laterals are erupting in a crowded positions b) Extraction of Ds when its roots are ½ resorbed, to promote early eruption of 1st premolars (usually 6 to 12 months before Ds normal exfoliation, at the point when the underlying premolars have ½ to ⅔ of their roots formed) c) Extraction of the permanent first premolars before eruption of the permanent canines.
  • 14.
    Most of thesepatients still need some appliance therapy which will be shorter duration and simpler than if crowding had been allowed to develop before orthodontic intervention. Disadvantages It involves putting the child through several sequences of extractions 3. Extractions of deciduous canines Timely extractions of Cs may avoid more complicated treatment in the future. Indications: Lateral incisors erupting into a crowded upper arch in Class I malocclusion. In a crowded lower labial segment one incisor may be pushed through the labial plate of bone, resulting in a compromised labial periodontal attachment. Extraction of lower Cs in Class III malocclusion can be advantages as it allows lower incisors to move/tip lingually. To provide space for appliance therapy in the upper arch, e.g. correction of an instanding lateral incisors To improve the position of a displaced permanent canine. 4. Extractions of first permanent molars First permanent molar extraction is done when the prognosis of the teeth is poor. Indications for elective extraction of all 4 permanent 1st molars: 1. The child should be aged 9-10 years (lower second molar bifurcation beginning to form, angle between long axis of 6 & crypts of 7 is 15-30°) 2. Class I malocclusion. 3. Mild or moderate crowding 4. The overbite is normal or reduced. 5. All the permanent teeth should be present. 6. The 1 st permanent molars are carious. 7. The unerupted lower second premolar should not be distally inclined or spaced from the first premolar or outside the control of the E roots.
  • 15.
    Note: If the firstpermanent molar is removed too early (before 8 years old), there is a tendency for the second premolar to erupt distally and become impacted against the second molar. Extraction of upper 6s should be delayed until the 7s erupt when it is intended that the extraction space be used to treat an increased overjet or crowded upper incisors. If a lower 6 must be extracted, the opposing 6 should be extracted (compensatory extraction) in mildly crowded Class I cases. This is to prevent over-eruption of upper 6 following extraction of lower 6. Over-eruption of upper 6 can lead to premature contacts and impaired closure of lower extraction space. If an upper 6 must be extracted, no need to do compensatory extraction of lower 6 as less tendency for lower 6 to over-erupt in a Class 1 malocclusion.
  • 16.
    6.3.1b Disking ofdeciduous teeth Disking of deciduous teeth is indicated when there is mild crowding /impaction Example: disking of C to align the irregular permanent incisors 5.7 Screening at 9 years old Do further investigation if any of these clinical findings are found: Delayed eruption in comparison with contralateral side or abnormal sequence. Crowding – overlapping teeth or lateral incisors almost in contact with Ds. Overjet ≥ 4 mm. Crossbites Submerged deciduous molars Caries of 1st molars Early loss of Cs or deciduous molars Deep overbite or open bite Note: Palpate for unerupted 3s, when patient is 9-10 years old. If you cannot palpate the 3s, do a radiographic investigation. Take parallax radiographs to check the position of the impacted 3s.