Headache
• Headache is among the most common reasons patients seek medical
attention.
• is responsible, on a global basis, for more disability than any other
neurologic problem.
Anatomy and Physiology :
• Pain producing cranial structures :
• Scalp
• Meningeal arteries
• Dural sinuses
• Falx cerebri
• Proximal segments of the large pial arteries.
• Cranial Structures not producing Pain
• Ventricular ependyma
• Choroid plexus
• Pial veins
• Brain parenchyma.
Classification :
Headache Classification Committee of the International Headache
Society, 2018.
• Primary headaches
• Are those in which headache and its associated features are the disorder
itself.
• Absence of any exogenous cause.
• Often results in considerable disability and a decrease in the patient’s
quality of life.
• Secondary headaches
• Caused by exogenous disorders
•
Causes :
Headache symptoms that suggest a serious
underlying disorder :
History:
• Site:
• Custer headache are strictly unilateral, orbit, temple
• Paroxysmal Hemicrania: orbit, temple
• Tension-type headaches are usually band like and bilateral.
• Migraines begin unilaterally but may progress to involve the entire head.
• Pain along temporal artery suggest temporal arteritis.
• Pain along trigeminal nerve suggest trigeminal neuralgia.
• Eye pain may suggest acute glaucoma.
• Onset:
• Headache of sudden and severe onset can be due to:
• SAH
• Vascular malformation
• Acute ischemic CVA
• Posterior Fossa mass lesions.
• Character :
• Cluster headache : Excruciating periorbital pain.
• Paroxysmal hemicrania: Throbbing, boring, stabbing
• Migraine: pulsating pain
• Tension : steady, “band-like” pain.
• Trigeminal neuralgia : Shooting/shock like pain.
• Radiation :
• Along the distribution of trigeminal nerve.
• Radiation to scalp Giant cell arteritis.
• Associated Features:
• Migraine – Aura, nausea, photophobia, phonophobia, Vertigo
• Cluster- lacrimation, rhinorrhea, periorbital pain.
• Meningitis: Neck stiffness, fever
• Time/Duration:
• Migraine- 4-72 hours.
• Cluster: 15 minutes to 3 hour, repetitive.
• Tension: > 30 minutes (typically 4-6 hour), constant
• Trigeminal Neuralgia: Seconds to Minutes.
Exacerbating Factors:
• Migraine: sensitivity to light, sound or movement, physical exertion.
• Brain Tumor : exertion or change in position.
• Severity:
• Migraine: Moderate to severe
• Cluster: Excruciating
• SAH: worst Headache
• Tension : Fluctuates in Severity.
Family History:
• Migraine runs in the family.
• History of amenorrhea or galactorrhea - prolactin-secreting pituitary
adenoma (or polycystic ovary syndrome)
• Headache arising de novo in a patient with known malignancy suggests
either cerebral metastases or carcinomatous meningitis.
• Head pain appearing abruptly after bending, lifting, or coughing can be
due to a posterior fossa mass, a Chiari malformation, or low cerebrospinal
fluid (CSF) volume.
Examination:
• cardiovascular and renal status by blood pressure monitoring urine
examination.
• Detailed neurological examination
• PNS tenderness
• Cranial arteries palpation (scalp tenderness)
• Cervical spine  passive movement of head and imaging
• Eyes - Funduscopy, intraocular pressure measurement, and refraction.
• The patient’s psychological state should also be evaluated because a
relationship exists between head pain, depression, and anxiety.
Investigations:
• CBC- When systemic or intracranial infection suspected.
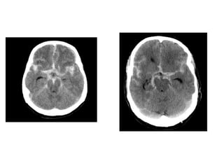
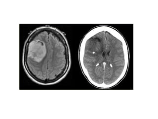
• Neuroimaging:
– CT and MRI methods appear to be equally sensitive.
– CT Scan: Intracranial Hemorrhages.
– MRI: Useful for posterior fossa and temporal lobe.
• Lumbar Puncture: CSF fluid analysis.
Secondary headache
•Meningitis
acute severe headache, fevers, neck stiffness
•Intracranial hemorrhage
•Acute, maximal in <5 mins, severe and lasting for > 5 mins
•Stiff neck without fever
•Brain Tumor
•Intermittent, deep dull aching of moderate intensity,
aggravated by change in position, coughing
•Vomiting preceding headache by weeks
•Temporal (Giant cell) Arteritis
>50 years age, headache (dull and boring, with
superimposed episodic stabbing pains), polymyalgia
rheumatic, jaw claudication, fever, and weight loss, Scalp
tenderness
•Glaucoma
Headache with nausea and vomiting, conjunctival
congestion with moderately dilated and fixed pupil
•Medicine overuse headache
•Overuse of analgesic medication for headache can aggravate
headache frequency, markedly impair the effect of preventive
medicines, and induce a state of refractory daily or near-daily
headache
•Reduce and eliminate the drug, reduce the medication dose by 10%
every 1–2 weeks, small dose of NSAIDS (Naproxen 500 mg bd
reduce the residual pain if present)
•Low volume csf headache:
it begins when the patient sits or stands upright and resolves upon
reclining
Raised CSF pressure headache
•Idiopathic Intracranial hypertension (pseudotremor cerebri)
•Associated with obesity, female, occasionally pregnancy
•Papilledema may be present, must be considered even if no
fundoscopic changes
•An elevated opening pressure and
improvement in headache following removal of CSF (20-30 ml)are
diagnostic
in the absence of fundal changes
•Treatment: acetazolamide (250–500 mg bid) topiramate
intracranial pressure monitoring and may require shunting
•Post traumatic headache
Primary Headaches
A. Migraine
B. Tension-type headache
C. Trigeminal autonomic cephalalgias
• Cluster headache
• Paroxysmal hemicranua
• Short-lasting unilateral neuralgiform headache attacks
 Short-lasting unilateral neuralgiform headache attacks with conjunctival injection and
tearing (SUNCT)
 Short-lasting unilateral neuralgiform headache attacks with cranial autonomic
symptoms (SUNA)
• Hemicrania continua
D. Other primary headache disorders
•Primary cough headache
•Primary exercise headache
•Primary headache associated with sexual activity
•Primary thunderclap headache
•Cold-stimulus headache
•External-pressure headache
•Primary stabbing headache
•Nummular headache
•Hypnic headache
Tension Type Headache (TTH)
•Chronic head-pain syndrome characterized by bilateral tight, band
like discomfort or pressure at vertex, mild to moderate intensity, not
aggravated by routine physical activity
•No associated features like nausea, vomiting, photophobia,
phonophobia, osmophobia, throbbing, and aggravation with movement
•Episodic or chronic (15 or more days per month for more than 3
months)
•Headache may last from 30 mins to 7 days
Pathophysiology:
Primary disorder of central nervous system pain modulation
Lesser satisfied proposed theory
•Genetic contribution
•Pain as a product of nervous tension
•Muscle contraction
Treatment:
Analgesics
Acetaminophen, aspirin, NSAIDS
Behavioural approach: relaxation
TTH and Migraine : Triptans
Chronic TTH: Amitriptyline 5-25mg/day, other TCA, SSRI not useful
Migraine Headache
•Episodic headache associated with features such as sensitivity to light,
sound, or movement
•sensitive to environmental and sensory stimuli
•sensitivity is amplified in women during the menstrual cycle
•Headache can be initiated or amplified by various
triggers, including glare, bright lights, sounds, or other types of
afferent stimulation; hunger; let-down from stress; physical exertion;
stormy weather or barometric pressure changes; hormonal
fluctuations during menses
•Movement makes the pain worse and patients prefer to lie in a quiet,
dark room
Pathophysiology
• Sensory sensitivity
probably due to
dysfunction of
monoaminergic
sensory control
systems located in
the brainstem and
hypothalamus
•Activation of cells in the trigeminal nucleus release of vasoactive
neuropeptides, particularly calcitonin gene–related peptide (CGRP), at
vascular terminals of the trigeminal nerve and
within the trigeminal nucleus Centrally, the second-order trigeminal
neurons cross the midline and project to ventrobasal and posterior
nuclei of the thalamus for further processing. Other areas involved are
periaqueductal gray and hypothalamus nucleus locus coeruleus in the
pons and the rostroventromedial medulla.
•neurotransmitter 5-hydroxytryptamine (5-HT; serotonin) is also
involved in migraine
•Dopamine receptor hypersensitivity present in migraineurs
Migraine symptoms by attack phase
Non Pharmacologic measures
•Healthy diet
•Regular exercise
•Regular sleep patterns
•Avoidance of excess caffeine and alcohol
•Avoidance of acute changes in stress levels
Pharmacologic Measures for Acute Attacks
Simple analgasics Acetaminophen, aspirin, caffeine (two tablets or capsules)
NSAIDS • Naproxen (220-500 mg po bid)
• Ibuprofen (400 mg po q3-4h)
• Diclofenac acid (50 mg po with water)
5-HT1B/1D Receptor Agoinsts –
Triptans
Oral
• Ergotamine (one or two tablets at onset)
• Naratriptans (2.5 mg at onset)
• Rizatriptans (5-10 mg at onset)
• Sumatriptans (50-100 mg at onset)
• Frovatriptans
• Amlotriptans
Nasal
• Dihydroergotamine 1 spray 0.5 mg, next in 15 mins
• Sumatriptans 5-20 mg nasal spray, each spray 0.5mg
• Zolmitriptans 5 mg nasal spray
Parenterals
• Dihydroergotamines 1 mg iv, im or sc at onset
• Sumatriptans 6 mg scat osnet
CGRP Receptros Antagonists –
Gepants
Oral
• Rimegepant 75 mg OD
• Ubrogepant 50-100 mg po, repeat after 2 hrs if needed
5-HT1F Receptor Agonis – Ditans Oral
• Lasmiditan 50, 100 or 200 mg po
Dopamine Receptor Anagonists Oral
• Metoclopramide 5-10 mg/day
• Prochlorperazone 1-25 mg/day
Parenteral
• Chlorperazine 0.1 mg/kg at
2mg/min, max 35mg/day
• Metoclopramide 10 mg iv
• Prochlorperazine 10 mg iv
Others
Opioids
Single pulse transcranial magnetic
stimulation (sTMS)
Noninvasive vagus nerve stimulation
(nVNS)
Remote electrical neuromodulation
Transcutaneous supraorbital nerve
stimulation
Preventive Measures
•Increasing frequency of migraine attacks
•Attacks that are either unresponsive
•Poorly responsive to abortive treatments are good candidates for
preventive agents
•In patients with four or more attacks a month
•Mechanism of action of these drugs is unclear
•Most treatments must be taken daily, and there is usually a lag of 2–12
weeks before an effect is seen
•Once effective stabilization is achieved, the drug is continued for 6
∼
months and then slowly tapered
Beta blockers Propranolol 40-120 mg bd
Metoprolol 25-100 mg bd
Antidepressants Amitriptyline 10-75 mg at night
Dusplepin 25-75 mg at night
Nortriptyline 25-75 mg at night
Venlafaxine 75-150 mg/day
Anticonvulsants Topiramate 25-200 mg/day
Valproate 400-600 mg bd
Serotonergic agents Pizotefen 0.5-2 mg qd
CGRP antagonists Eptinezumab 100 or 300 mg iv every 12 w
Erenumab 70-140 mg sc monthly
Fremanezumab 225 mg monthly or 675 m
q3months
Galcanezumab240 mg loading then 120 m
monthly
Others Flunarizine 5-15 mg qd
Candesartan 4-24 mg daily
Memantine 5-20 mg daily
Melatonin 3-12 mg daily
Chronic migraine
Onabotulinum toxin type A
155 U
Trigeminal Autonomic Cephalalgias
•Short-lasting attacks of head pain
•Associated with lateralized cranial autonomic symptoms
Lacrimation
Conjunctival injection
Aural fullness
Nasal congestion
Miosis, ptosis
THANK YOU
inbound6027286006513704156.pptxbbbbbbbbb

inbound6027286006513704156.pptxbbbbbbbbb

  • 1.
  • 2.
    • Headache isamong the most common reasons patients seek medical attention. • is responsible, on a global basis, for more disability than any other neurologic problem.
  • 3.
    Anatomy and Physiology: • Pain producing cranial structures : • Scalp • Meningeal arteries • Dural sinuses • Falx cerebri • Proximal segments of the large pial arteries. • Cranial Structures not producing Pain • Ventricular ependyma • Choroid plexus • Pial veins • Brain parenchyma.
  • 4.
    Classification : Headache ClassificationCommittee of the International Headache Society, 2018. • Primary headaches • Are those in which headache and its associated features are the disorder itself. • Absence of any exogenous cause. • Often results in considerable disability and a decrease in the patient’s quality of life. • Secondary headaches • Caused by exogenous disorders •
  • 5.
  • 6.
    Headache symptoms thatsuggest a serious underlying disorder :
  • 7.
    History: • Site: • Custerheadache are strictly unilateral, orbit, temple • Paroxysmal Hemicrania: orbit, temple • Tension-type headaches are usually band like and bilateral. • Migraines begin unilaterally but may progress to involve the entire head. • Pain along temporal artery suggest temporal arteritis. • Pain along trigeminal nerve suggest trigeminal neuralgia. • Eye pain may suggest acute glaucoma. • Onset: • Headache of sudden and severe onset can be due to: • SAH • Vascular malformation • Acute ischemic CVA • Posterior Fossa mass lesions.
  • 8.
    • Character : •Cluster headache : Excruciating periorbital pain. • Paroxysmal hemicrania: Throbbing, boring, stabbing • Migraine: pulsating pain • Tension : steady, “band-like” pain. • Trigeminal neuralgia : Shooting/shock like pain. • Radiation : • Along the distribution of trigeminal nerve. • Radiation to scalp Giant cell arteritis.
  • 9.
    • Associated Features: •Migraine – Aura, nausea, photophobia, phonophobia, Vertigo • Cluster- lacrimation, rhinorrhea, periorbital pain. • Meningitis: Neck stiffness, fever • Time/Duration: • Migraine- 4-72 hours. • Cluster: 15 minutes to 3 hour, repetitive. • Tension: > 30 minutes (typically 4-6 hour), constant • Trigeminal Neuralgia: Seconds to Minutes.
  • 10.
    Exacerbating Factors: • Migraine:sensitivity to light, sound or movement, physical exertion. • Brain Tumor : exertion or change in position. • Severity: • Migraine: Moderate to severe • Cluster: Excruciating • SAH: worst Headache • Tension : Fluctuates in Severity.
  • 11.
    Family History: • Migraineruns in the family.
  • 12.
    • History ofamenorrhea or galactorrhea - prolactin-secreting pituitary adenoma (or polycystic ovary syndrome) • Headache arising de novo in a patient with known malignancy suggests either cerebral metastases or carcinomatous meningitis. • Head pain appearing abruptly after bending, lifting, or coughing can be due to a posterior fossa mass, a Chiari malformation, or low cerebrospinal fluid (CSF) volume.
  • 13.
    Examination: • cardiovascular andrenal status by blood pressure monitoring urine examination. • Detailed neurological examination • PNS tenderness • Cranial arteries palpation (scalp tenderness) • Cervical spine  passive movement of head and imaging • Eyes - Funduscopy, intraocular pressure measurement, and refraction. • The patient’s psychological state should also be evaluated because a relationship exists between head pain, depression, and anxiety.
  • 14.
    Investigations: • CBC- Whensystemic or intracranial infection suspected. • Neuroimaging: – CT and MRI methods appear to be equally sensitive. – CT Scan: Intracranial Hemorrhages. – MRI: Useful for posterior fossa and temporal lobe. • Lumbar Puncture: CSF fluid analysis.
  • 15.
    Secondary headache •Meningitis acute severeheadache, fevers, neck stiffness •Intracranial hemorrhage •Acute, maximal in <5 mins, severe and lasting for > 5 mins •Stiff neck without fever •Brain Tumor •Intermittent, deep dull aching of moderate intensity, aggravated by change in position, coughing •Vomiting preceding headache by weeks
  • 16.
    •Temporal (Giant cell)Arteritis >50 years age, headache (dull and boring, with superimposed episodic stabbing pains), polymyalgia rheumatic, jaw claudication, fever, and weight loss, Scalp tenderness •Glaucoma Headache with nausea and vomiting, conjunctival congestion with moderately dilated and fixed pupil
  • 17.
    •Medicine overuse headache •Overuseof analgesic medication for headache can aggravate headache frequency, markedly impair the effect of preventive medicines, and induce a state of refractory daily or near-daily headache •Reduce and eliminate the drug, reduce the medication dose by 10% every 1–2 weeks, small dose of NSAIDS (Naproxen 500 mg bd reduce the residual pain if present) •Low volume csf headache: it begins when the patient sits or stands upright and resolves upon reclining
  • 18.
    Raised CSF pressureheadache •Idiopathic Intracranial hypertension (pseudotremor cerebri) •Associated with obesity, female, occasionally pregnancy •Papilledema may be present, must be considered even if no fundoscopic changes •An elevated opening pressure and improvement in headache following removal of CSF (20-30 ml)are diagnostic in the absence of fundal changes •Treatment: acetazolamide (250–500 mg bid) topiramate intracranial pressure monitoring and may require shunting •Post traumatic headache
  • 23.
  • 24.
    A. Migraine B. Tension-typeheadache C. Trigeminal autonomic cephalalgias • Cluster headache • Paroxysmal hemicranua • Short-lasting unilateral neuralgiform headache attacks  Short-lasting unilateral neuralgiform headache attacks with conjunctival injection and tearing (SUNCT)  Short-lasting unilateral neuralgiform headache attacks with cranial autonomic symptoms (SUNA) • Hemicrania continua D. Other primary headache disorders •Primary cough headache •Primary exercise headache •Primary headache associated with sexual activity •Primary thunderclap headache •Cold-stimulus headache •External-pressure headache •Primary stabbing headache •Nummular headache •Hypnic headache
  • 25.
    Tension Type Headache(TTH) •Chronic head-pain syndrome characterized by bilateral tight, band like discomfort or pressure at vertex, mild to moderate intensity, not aggravated by routine physical activity •No associated features like nausea, vomiting, photophobia, phonophobia, osmophobia, throbbing, and aggravation with movement •Episodic or chronic (15 or more days per month for more than 3 months) •Headache may last from 30 mins to 7 days
  • 26.
    Pathophysiology: Primary disorder ofcentral nervous system pain modulation Lesser satisfied proposed theory •Genetic contribution •Pain as a product of nervous tension •Muscle contraction
  • 27.
    Treatment: Analgesics Acetaminophen, aspirin, NSAIDS Behaviouralapproach: relaxation TTH and Migraine : Triptans Chronic TTH: Amitriptyline 5-25mg/day, other TCA, SSRI not useful
  • 28.
    Migraine Headache •Episodic headacheassociated with features such as sensitivity to light, sound, or movement •sensitive to environmental and sensory stimuli •sensitivity is amplified in women during the menstrual cycle •Headache can be initiated or amplified by various triggers, including glare, bright lights, sounds, or other types of afferent stimulation; hunger; let-down from stress; physical exertion; stormy weather or barometric pressure changes; hormonal fluctuations during menses •Movement makes the pain worse and patients prefer to lie in a quiet, dark room
  • 29.
    Pathophysiology • Sensory sensitivity probablydue to dysfunction of monoaminergic sensory control systems located in the brainstem and hypothalamus
  • 30.
    •Activation of cellsin the trigeminal nucleus release of vasoactive neuropeptides, particularly calcitonin gene–related peptide (CGRP), at vascular terminals of the trigeminal nerve and within the trigeminal nucleus Centrally, the second-order trigeminal neurons cross the midline and project to ventrobasal and posterior nuclei of the thalamus for further processing. Other areas involved are periaqueductal gray and hypothalamus nucleus locus coeruleus in the pons and the rostroventromedial medulla. •neurotransmitter 5-hydroxytryptamine (5-HT; serotonin) is also involved in migraine •Dopamine receptor hypersensitivity present in migraineurs
  • 31.
  • 34.
    Non Pharmacologic measures •Healthydiet •Regular exercise •Regular sleep patterns •Avoidance of excess caffeine and alcohol •Avoidance of acute changes in stress levels
  • 35.
  • 36.
    Simple analgasics Acetaminophen,aspirin, caffeine (two tablets or capsules) NSAIDS • Naproxen (220-500 mg po bid) • Ibuprofen (400 mg po q3-4h) • Diclofenac acid (50 mg po with water) 5-HT1B/1D Receptor Agoinsts – Triptans Oral • Ergotamine (one or two tablets at onset) • Naratriptans (2.5 mg at onset) • Rizatriptans (5-10 mg at onset) • Sumatriptans (50-100 mg at onset) • Frovatriptans • Amlotriptans Nasal • Dihydroergotamine 1 spray 0.5 mg, next in 15 mins • Sumatriptans 5-20 mg nasal spray, each spray 0.5mg • Zolmitriptans 5 mg nasal spray Parenterals • Dihydroergotamines 1 mg iv, im or sc at onset • Sumatriptans 6 mg scat osnet CGRP Receptros Antagonists – Gepants Oral • Rimegepant 75 mg OD • Ubrogepant 50-100 mg po, repeat after 2 hrs if needed 5-HT1F Receptor Agonis – Ditans Oral • Lasmiditan 50, 100 or 200 mg po
  • 37.
    Dopamine Receptor AnagonistsOral • Metoclopramide 5-10 mg/day • Prochlorperazone 1-25 mg/day Parenteral • Chlorperazine 0.1 mg/kg at 2mg/min, max 35mg/day • Metoclopramide 10 mg iv • Prochlorperazine 10 mg iv Others Opioids Single pulse transcranial magnetic stimulation (sTMS) Noninvasive vagus nerve stimulation (nVNS) Remote electrical neuromodulation Transcutaneous supraorbital nerve stimulation
  • 38.
    Preventive Measures •Increasing frequencyof migraine attacks •Attacks that are either unresponsive •Poorly responsive to abortive treatments are good candidates for preventive agents •In patients with four or more attacks a month
  • 39.
    •Mechanism of actionof these drugs is unclear •Most treatments must be taken daily, and there is usually a lag of 2–12 weeks before an effect is seen •Once effective stabilization is achieved, the drug is continued for 6 ∼ months and then slowly tapered
  • 40.
    Beta blockers Propranolol40-120 mg bd Metoprolol 25-100 mg bd Antidepressants Amitriptyline 10-75 mg at night Dusplepin 25-75 mg at night Nortriptyline 25-75 mg at night Venlafaxine 75-150 mg/day Anticonvulsants Topiramate 25-200 mg/day Valproate 400-600 mg bd Serotonergic agents Pizotefen 0.5-2 mg qd CGRP antagonists Eptinezumab 100 or 300 mg iv every 12 w Erenumab 70-140 mg sc monthly Fremanezumab 225 mg monthly or 675 m q3months Galcanezumab240 mg loading then 120 m monthly Others Flunarizine 5-15 mg qd Candesartan 4-24 mg daily Memantine 5-20 mg daily Melatonin 3-12 mg daily Chronic migraine Onabotulinum toxin type A 155 U
  • 41.
    Trigeminal Autonomic Cephalalgias •Short-lastingattacks of head pain •Associated with lateralized cranial autonomic symptoms Lacrimation Conjunctival injection Aural fullness Nasal congestion Miosis, ptosis
  • 44.