BONE
BONE
The most amazing story of bone histology!
Histology bones 1
Functions of Bone
1. Supports soft tissue
2. Protects vital organs (cranium, thoracic
cavity)
3. Contains bone marrow
4. Reservoir of Ca++, PO4 to maintain
constant concentrations in body fluids
5. Allows body to move
Histology bones 2
Specialized CT
1. Cells
1. Osteoblasts
2. Osteocytes
3. Osteoclasts
2. Bone matrix
1. Calcified material, lacunae
3. And more….
1. Canaliculi
2. Periosteum
3. Endosteum
Histology bones 3
Anatomy of a Long Bone
Histology bones 4
Osteoblasts
1. Synthesize organic components of matrix
(collagen type I, proteoglycans,
glycoproteins.)
2. Collagen forms osteoids: strands of spiral
fibers that form matrix
3. Influence deposit of Ca++, PO4.
4. Active vs inactive osteoblasts
5. Estrogen, PTH stimulate activity
Histology bones 5
Osteoblasts
Histology bones 6
Osteocytes
1. Mature bone cells that sit in lacunae
2. Gap junctions between osteocytes provide
nutrition (15 cells in a row)
3. Maintain bony matrix; long lived cells
4. Stimulated by calcitonin; inhibited by PTH
Histology bones 7
Osteocyte with Cytoplasmic
Extensions
Histology bones 8
Osteocytes with Canaliculi
Photomicrograph of dried bone ground
very thin. The lacunae and canaliculi
filled with air deflect the light and
appear dark, showing the
communication between these structures
through which nutrients derived from
blood vessels flow. Medium
magnification.
Histology bones 9
Osteoclasts
1. Derived from monocytes; engulf bony
material
2. Active osteoblasts stimulate osteoclast
activity
3. Large, branched, motile cells
4. Secrete enzymes that digest matrix
Histology bones 10
Histology bones 11
Osteoclasts
Histology bones 12
Bone Resorption
Histology bones 13
Remodeling
On this image,
the deepest red
color is bone
while pink
represents
either
fibrocartilage
(i.e., collagen
within
cartilage) or
mineralized
cartilage. The
central clearing
represents the
invasion of bone into calcified cartilage. Osteoblasts are laying down
new bone toward the left of the upper boundary of this
cavity. osteoclasts are removing previously-formed bone .
Histology bones 14
Remodeling
Remodeling
Histology bones 15
Bone Replacing Cartilage
Histology bones 16
Remodeling Bone
Histology bones 17
Endochondral Ossification
Histology bones 18
• Photomicrograph of endochondral ossification. In the upper region is a row of
osteoblasts with intense cytoplasmic basophilia, a feature to be expected in
cells synthesizing a glycoprotein (collagen). Note an osteoblast being captured
in the bone matrix (arrow). Between the layer of osteoblasts and the calcified
bone matrix is a pale region made of noncalcified bone matrix called osteoid.
PT stain. Medium magnification.
Histology bones 19
Endochondral Ossification
Histology bones 20
Periosteum
Mesenchyme
Fibroblasts
Osteoprogenitor
cells
Histology bones 21
Histology bones 22
Histology bones 23
Histology bones 24
Histology bones 25
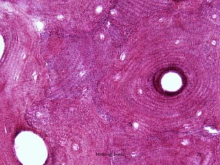
Osteon
1. Long cylinder parallel to long axis of
diaphysis
2. Consists of:
1. Haversian canal with nerves, blood vessels;
lamellae with osteocytes
3. Haversian canals communicate with
marrow cavity, periosteum, other canals
through Volkmann’s canals
Histology bones 26
Compact Bone
Histology bones 27
OSTEONS (wow!)
Histology bones 28
Histology bones 29
Canaliculi between Osteocytes
Histology bones 30
Histology bones 31

histology bones.pdf