Hình ảnh học bình thường hệ
niệu
THẬN
NIỆU	
QUẢN
TUYẾN	THƯỢNG	
THẬN
BÀNG	
QUANG
THẬN
• VỊ	TRÍ:
§ Hai thận nằm sau phúc mạc,
hai bên cột sống thắt lưng,
trong góc tạo bởi xương
sườn XI và cột sống.
§ Cực trên:
§ Thận P: bờ dưới x.sườn XI
§ Thận T: bờ trên x.sườn XI
§ Cực dưới:
§ Thận P: mỏm ngang TL
III
§ Thận T: mỏm ngang TL
II.
• HÌNH	THỂ	NGOÀI:
§ Hình hạt đậu có 2 cực, 2
mặt, 2 bờ
§ Hai cực: cực trên, cực dưới
§ Hai bờ:
§ Bờ ngoài: cong lồi
§ Bờ trong: có 3 chỗ cong
§ Hai mặt:
§ Mặt trước: lồi
§ Mặt sau: phẳng
§ Kích thước: 12 × 6 × 3 cm
THẬN
• LIÊN	QUAN	PHÍA	
TRƯỚC
Thận P:	nằm gần hết trong
tầng trên mạc treo kết tràng
ngang ngoài phúc mạc.
§ Tuyến thượng thận
§ D2	tá tràng
§ Tĩnh mạch chủ dưới
§ Gan ngoài phúc mạc.
§ Góc kết tràng phải và ruột
non
Thận T:	một nửa ở	tầng trên,	
một nửa ở	tầng dưới mạc
treo đại tràng ngang.
§ Tuyến thượng thận
§ Mặt sau dạ dày qua	túi
mạc nối
§ Thân tụy và lách
§ Kết tràng góc lách
§ Kết tràng xuống và ruột
non
THẬN
• LIÊN	QUAN	PHÍA	SAU
• Tầng ngực:	xương sườn XI,	XII,	cơ hoành và
ngách sườn hoàn của màng phổi.
• Tầng thắt lưng:	từ trong ra ngoài liên quan
với cơ thắt lưng,	cơ vuông thắt lưng,	cơ
ngang bụng.
THẬN
• MẠC	THẬN:
§ Có 2 lá, dính với nhau ở
bờ ngoài thận và phía
trên tuyến thượng thận
§ Lá trước: phủ mặt trước
thận, phủ mặt trước
ĐM, TM thận -> liên
tiếp với bên đối diện
§ Lá sau: phủ mặt sau
thận -> dính vào thân
đốt sống TL
THẬN
• MẠC	THẬN:
• Cực trên: hai lá dính vào
nhau và dính vào cơ
hoành
• Cực dưới: hai lá không
dính với nhau
• Có vách ngăn cách giữa
thận và tuyến thượng
thận.
• Hai tuyến thượng thận
nằm ở phía trên trong
thận. Tuyến thượng
thận có hai bờ là bờ trên
và bờ trong.
THẬN
• CẤU	TẠO
§ Vỏ thận
§ Tủy thận
§ Xoang thận
§ Đài bể thận:
- 2 – 3 đài thận lớn, 7 – 13
đài thận nhỏ.
- Bể thận: có hình phễu,
một phần nằm trong
xoang thận, một phần
nằm ngoài xoang.
• Ống dẫn nước tiểu từ bể thận xuống bàng
quang
• Dài 25cm, đường kính 3mm
• Đầu trên liên tiếp với bể thận
• Đầu dưới cắm vào thành sau bàng quang
• Gồm có 2	đoạn là đoạn bụng và đoạn chậu
NIỆU	QUẢN
NIỆU	QUẢN
• Niệu quản đoạn bụng:	đi từ bể thận tới
đường cung xương chậu.	Đoạn này đi xuống
dưới vào trong và liên quan:
§ Trước: phúc mạc, bó mạch sinh dục.
§ Sau: cơ thắt lưng, mỏm ngang đốt sống L3-L5, bắt chéo
động mạch chậu chung hay chậu ngoài hai bên.
§ Trong: phải: tĩnh mạch chủ dưới, trái: động mạch chủ
bụng.
NIỆU	QUẢN
• Niệu quản đoạn chậu:	đi từ đường cung
xương chậu tới bàng quang.	Gồm hai đoạn:	
đoạn thành sau ngoài chậu hông và đoạn sau
bàng quang.
NIỆU	QUẢN
• Đoạn thành sau ngoài
chậu hông:
• Đi dọc thành bên chậu hông
bé.
• Chạy trước ĐM chậu trong,
DTK thắt lưng cùng, khớp
cùng chậu,
• Chạy trên mạc cơ bịt trong
bắt chéo bó mạch TK bịt,
ĐM bàng quang dưới, ĐM
trực tràng dưới
• Ở nữ: ĐM còn chạy sau
buồng trứng
• Đoạn thành sau bàng
quang:
• NQ đi ra trước vào trong
-> đổ vào BQ
• Nam: bị ống dẫn tinh bắt
chéo phía trước trên
• Nữ: Bị ĐM tử cung bắt
chéo phía trước trên ở
đáy DC rộng, cách CTC
1,5cm
BÀNG	QUANG
• Bàng quang là túi cơ chứa
nước tiểu từ niệu quản
xuống trước khi được thải
ra ngoài qua niệu đạo
• Vị trí: nằm trong chậu
hộng bé, sau xương mu,
trước các tạng sinh dục và
trực tràng
• Hình dạng, vị trí, kích
thước thay đổi theo lượng
nước tiểu
• Thể tích:
• Bth: 250ml -> buồn đi
tiểu
• Có thể đến hàng lít
• Khi bàng quang rỗng: có
hình tứ diện:
• Đỉnh ở trước
• Đáy ở sau
• 3 mặt bên gồm 1 mặt
trên và 2 mặt dưới -
bên
BÀNG	QUANG
• Đỉnh: có dây chằng rốn
giữa chạy sát mặt sau
thành bụng trước đến rốn
Þtreo bàng quang vào rốn
• Đáy bàng quang:
• Hình tam giác, hướng
về sau
• Nam: liên quan với
trực tràng qua túi cùng
túi tinh – trực tràng
• Nữ: liên quan với
thành trước âm đạo
• Mặt trên:
• Nam: có PM phủ, quan
PM liên quan với các quai
ruột non, đại tràng sigma
• Nữ: liên quang với mặt
trước dưới của thân tử
cung qua túi cùng bàng
quang – tử cung
• Mặt dưới – bên:
• Ngăn cách với xương mu
và DC mu tiền tiệt ở
trước bởi khoang mỡ
trước bàng quang
(Retzius)
• Trong khoang mỡ có đám
rối TM Santorini
BÀNG	QUANG
• Cổ bàng quang:
– Là phần thấp nhất,
cố định nhất, có lỗ
trong niệu đạo
– Nam: Lq với đáy tiền
liệt tuyến
– Nữ: nằm ngay trên
mạc chậu
NIỆU	ĐẠO
Niệu đạo nữ:
• Ngắn, tương đương với
đoạn tiền liệt và đoạn
màng ở nam
• Dài 4cm, đường kính 5-
6mm
• Có nhiều tuyến tiết nhầy
được ví như tiền liệt
tuyến ở nam giới
• Cấu tạo 3 lớp tương tự
như niệu đạo nam
NIỆU	ĐẠO
Niệu đạo là ống dẫn nước
tiểu từ bàng quang ra ngoài
Niệu đạo nam:
• Dài 18-20cm đi từ lỗ niệu
đạo trong ở cổ bàng quang
đến miệng sáo ở quy đầu
dương vật
• Phân đoạn:
• Theo giải phẫu
• Theo phẫu thuật
• 3 chỗ phình
• 4 chỗ hẹp
X-QUANG HỆ NIỆU
KUB
• Mục đích:
Đánh giá vôi hóa bất thường của hệ
niệu
Đánh giá tình trạng ổ bụng
Bất thường hệ thống xương
—Kỹ thuật:
Chuẩn bị bệnh nhân:
Tư thế BN : nằm ngửa, phim chụp AP
Yêu cầu: lấy từ cực trên thận đến hết
khớp mu.
KUB
• Phân tích kết quả:
- Thận
- Bất thường đậm độ
đường niệu
- Dải mỡ cơ thắt lưng
chậu
- Tình trạng ổ bụng
- Hệ thống xương
KUB
• Hạn chế:
- Độ nhạy và độ đặc hiệu phát
hiện sỏi hệ niệu không cao ( ≤
60%) do : sỏi nhỏ, sỏi không cản
quang, trùng lắp vào xương…
- Cần phân biệt với nhiều
nguyên nhân vôi hóa khác trong
ổ bụng ( Vôi hóa TM chậu:
Phlebolith,…)
UIV
• Mục đích:
Khảo sát
hình thái và
chức năng hệ
niệu.
UIV
• Chỉ định:
- Đánh giá tắc nghẽn đường niệu
- Đánh giá bất thường bẩm sinh hệ
niêu- dục
- Đánh giá tổn thương hệ niệu như
tiểu máu, nhiễm trùng, chấn thương, u.
— Chống chỉ định:
- Bắt buộc: mất nước nặng.
- Tương đối: Dị ứng iode, đa u tủy, tiểu
đường, có thai
UIV
• Kỹ thuật chụp:
- Chuẩn bị bệnh nhân: thụt tháo
- Chụp phim KUB ngay trước khi chụp UIV.
- Liều thuốc cản quang: 1-2ml/kg cân nặng.
- Phim sớm 01 phút :nhu mô và đường bờ
thận.
- Phim thì 05 phút : đài thận, bể thận.
-Phim thì 15 phút : bể thận, niệu quản.
-Phim thì 30 phút : bàng quang
UIV
• Khảo sát hình thái
-Thận: Bất thường số lượng thận, vị trí
và trục thận, bờ thận, kích thước thận.
-Niệu quản
-Bàng quang
• Khảo sát chức năng hệ niệu:
- Đánh giá gián tiếp thông qua sự đào
thải thuốc cản quang theo thời gian.
- Thận câm: đánh giá sau 2-3h.
- Kết luận thận câm thật sự: 24h.
UIV
Chụp bể thận niệu quản
ngược dòng
• Mục đích:
- Đánh giá
hình thái và
các tổn thương
của thận- niệu
quản.
- Không đánh
giá chức năng
bài tiết của
thận
Chụp bể thận niệu quản
ngược dòng
• Chỉ định:
Trong tất cả các trường hợp không thể thực hiện được kỹ
thuật UIV, các bệnh lý không thấy rõ trên UIV hay thận
câm.
• Chống chỉ định:
Bệnh nhân đang sốt.
Thận chướng nước.
Chụp bể thận niệu quản
ngược dòng
— Kỹ thuật:
Chuẩn bị bệnh nhân giống chụp UIV.
Chụp một phim KUB trước khi chụp UPR.
Qua dụng cụ nội soi bàng quang, luồn ống
thông vào niệu quản, bơm khoảng 10ml
thuốc cản quang vào niệu quản, bể thận.
— Nhược điểm:
Nhiễm trùng ngược dòng, gây đau, khó khăn
khi dặt sonde.
CHỤP BỂ THẬN NIỆU QUẢN XUÔI
DÒNG
— Chọc dò vào đài thận bơm thuốc cản
quang.
— Ưu điểm:
-Có ý nghĩa điều trị vì dẫn lưu nước tiểu, lấy
sỏi qua đường chọc dò.
-Ít gây biến chứng, kỹ thuật đơn giản hơn
UPR.
— Nhược điểm:
-Khó thực hiện khi đài bể thận không giãn.
-Niệu quản dưới chỗ tắc nhìn không rõ.
CHỤP BỂ THẬN NIỆU QUẢN XUÔI
DÒNG
• Mục đích:
Khảo sát các tổn thương của bàng quang
mà kỹ thuật UIV không phát hiện được.
Chụp bàng quang ngược
dòng.
Chụp bàng quang ngược dòng
—Chỉ định:
Khi không soi được bàng quang.
Phát hiện trào ngược nước tiểu bàng
quang niệu quản.
Chấn thương vỡ bàng quang, dò bàng
quang, sa bàng quang, bướu bàng
quang
• Chống chỉ định:
Nhiễm trùng cấp nhất là khi nghi ngờ
có hiện tượng nước tiểu trào ngược.
Chụp bàng quang ngược
dòng
—Kỹ thuật:
Cho bệnh nhân đi tiểu trước khi chụp.
Chụp một phim KUB.
Đặt ống thông bàng quang, bơm 150-
200ml thuốc cản quang, rút ống thông,
chụp phim.
Chụp một phim sau khi tiểu àước lượng
dung tích ứ đọng trong bàng quang
Chụp bàng quang ngược
dòng
Chụp niệu đạo bàng quang
ngược dòng
• Mục đích:
Khảo sát các tổn thương niệu đạo.
• Kỹ thuật:
Bơm thuốc cản quang vào niệu đạo qua ống thông Foley.
Lượng thuốc tùy thuộc vào độ dài và độ lớn của niệu đạo.
Chụp 1 phim thẳng- chếch.
Chụp niệu đạo bàng quang
ngược dòng
UIV
• Urographie	intraveineuse
Chụp	hệ	niệu	cản	quang	đường	tĩnh	mạch
• Mục	đích:
-đánh	giá	tổng	quát	tình	trạng	hệ	niệu
-giải	phẫu
-chức	năng	hệ	niệu
Chỉ	định	UIV
• Tiểu	máu
• Sỏi	thận
• Bệnh	lý	nhiễm	trùng	hệ	niệu
• Bệnh	lý	u,	kén	thận
• Khảo	sát	chức	năng,	khảo	sát	bất	thường	hình	
thái	hệ	niệu,	các	bệnh	lý	bẩm	sinh…
Chống	chỉ	định	UIV
• Mất	nước
• CCĐ	tương	đối:	suy	thận,	dị	ứng	Iode,	đa	u	
tủy,	thai	nghén.
Chuẩn	bị
• Nhịn	đói	trước	chụp	3	giờ
• Uống	ít	nước
• Tránh	chụp	bụng	có	chất	cản	quang	trước	đó	
5-7	ngày.
Tiến	hành
• Iode:	1-1,5	ml/kg,	TTM
• Các	phim:	
-KUB
-Phim	sớm:ngay	sau	tiêm	thuốc,	đánh	giá	nhu	mô	và	
đường	bờ	thận.
-Phim	5	phút:	đài	thận	và	bể	thận
-Phim	15	phút:	bể	thận	và	niệu	quản
-Phim	30	phút:	bàng	quang
(số	lượng	phim	và	thời	gian	chụp	tùy	thuộc	yêu	cầu	bệnh	
lý	và	chức	năng	thận)
UPR
• Urétéro	pyélographie	rétrograde
• Chụp	bể	thận	niệu	quản	ngược	dòng
• Mục đích:
+ Phát hiện các hẹp, tắc niệu quản do sỏi
hoặc các nguyên nhân khác.
+ Nhận diện hình thể đài-bể thận, niệu quản
trong trường hợp chụp thận thuốc tĩnh mạch
không ngấm.
• Phương pháp: Đưa sonde ngược dòng
từ niệu đạo vào bàng quang qua ống soi
bàng quang để vào niệu quản sau đó bơm
thuốc cản quang qua sonde.
• Chống	chỉ	định:	BN	nhiễm	trùng	tiểu.
SIÊU ÂM GIẢI PHẪU HỆ
NIỆU
1. Kỹ thuật
2. Giải phẫu bình thường
KỸ THUẬT KHÁM
• Đầu dò cong (3,5	– 5	MHz)
• Nằm ngửa,	nghiêng trái,	nghiêng phải,	
nằm sấp
CÁC MẶT CẮT
• Mặt cắt vành
• Mặt cắt dọc
• Mặt cắt ngang
• Các mặt cắt từ hướng sau lưng
MẶT CẮT VÀNH
MẶT CẮT DỌC
MẶT CẮT NGANG
CÁC MẶT CẮT TỪ HƯỚNG SAU
LƯNG
GIẢI PHẪU BÌNH
THƯỜNG
- Hình hạt đậu trên mặt cắt vành và hình bầu
dục lõm ở	mặt trong trên mặt cắt ngang
- Bao thận là mô liên kết-xơ nên cho hình ảnh
đường viền mảnh sắc nét,	trơn láng đều đặn,	
có độ hồi âm tăng đến mức rất sáng
- Độ hồi âm của vỏ thận kém hơn hoặc bằng
nhu mô gan.	Độ hồi âm của tủy thận giảm
hơn rất nhiều so	với vỏ thận
- Ranh giới vỏ thận – tủy thận rõ
- Xoang thận có độ hồi âm rất tăng
HỆ THỐNG MẠCH MÁU
CHI PHỐI THẬN
- Động mạch thận (P)	xuất phát từ hướng
trước bên (10	giờ),	động mạch thận (T)	xuất
phát từ hướng sau bên (4	giờ),	ngay dưới vị
trí xuất phát của động mạch mạc treo tràng
trên 1	cm
- Thân động mạch thận chạy ra sau và hướng
về rốn thận
Động mạch thận (P)	
khảo sát từ hướng cắt
chếch (bệnh nhân nằm
chếch phải – sau)	lấy
gan làm cửa sổ xuyên
âm
- Động mạch thận
(P)	khảo sát từ
hướng cắt chếch
(bệnh nhân nằm
chếch trái – sau)
- Để đầu dò theo
hướng cắt vành
động mạch chủ
bụng thì sẽ nhận
được hình hai
động mạch thận
cùng một lúc
- Các tĩnh mạch được khảo sát từ cùng hướng của động mạch
cùng tên,	thường có khẩu kính lớn hơn động mạch và chạy phía
trước động mạch thận cùng tên.
- Tĩnh mạch thận (T)	trước khi đổ vào tĩnh mạch chủ dưới thì
chui ngang qua	“gọng kìm”	động mạch mạc treo tràng trên và
động mạch chủ bụng thì khẩu kính có giãn lớn hơn
CT	HỆ	NIỆU
— Vai trò chính và quan trọng trong khảo sát hệ niệu
— Chỉ định: rộng rãi
Chấn thương, viêm, u, bất thường bẩm sinh đường
niệu.
Bất thường mạch máu…
CT	thận
• Protocol
- Thì không thuốc
- Thì động mạch
- Thì vỏ tủy
- Thì thận đồ
- Thì bài tiết
Thì không thuốc
• Khảo sát:
- Sỏi,	vôi hóa
- Xuất huyết,	tụ máu
- Mỡ đại thể trong u	thận
dạng đặc
- Tính mức độ bắt thuốc
trong các loại u
Sỏi thận+	vôi hóa động mạch
chủ bụng
Thì động mạch
• 15-25	giây sau
tiêm thuốc tương
phản.
• Khảo sát:
- Hẹp động mạch
thận
- Stent	động mạch
thận
- Chảy máu cấp
- Bản đồ mạch máu
thận Chảy máu hoạt động/	bn
chấn thương
Thì vỏ tủy
• 25- 70	giây sau tiêm
thuốc tương phản.
• Khảo sát:
- Hình thái thận
- Khối ở	thận giàu mạch
máu
- Mạch máu thận(	phình,	
dị dạng,	dò)
- Tìm di	căn
Thì thận đồ
• 80-180	giây sau tiêm thuốc tương phản
• Khảo sát:
- Tổn thương trong thận
- Tĩnh mạch thận,	tĩnh mạch chủ dưới
Thì bài tiết
• >	180	giây sau tiêm
thuốc tương phản
• Khảo sát:
- Hệ thống bài xuất
- Khối ở	thận:	đánh giá
xâm lấn xoang,	wash	
out
- Tổn thương bắt thuốc
muộn
Chấn thương thận có
tổn thương đường bài
xuất
CT	scan	Niệu quản
Giải phẫu:
- Dài 25-30 cm và có ba
phần:
Niệu quản bụng: từ thận
đến khung xương chậu
Niệu quản Chậu: từ
khung xương chậu đến
bàng quang
Niệu quản nội màng hoặc
nội mạc: trong thành bàng
quang
- Đường kính bình thường
</=3mm [1]
[1]	Normal	Ureter	Size	on	Unenhanced	Helical	CT
Natalie	Zelenko1, Deidre	Coll2, Arthur	T.	
Rosenfeld3 and Robert	C.	Smith4
CT	scan	Niệu quản
• Khảo sát được toàn bộ đường đi niệu quản,	
cũng như toàn bộ hệ niệu
• Khảo sát các tổn thương liên quan xung
quanh.
• Quan sát rõ nhất thành,	lòng niệu quản trên
thì thận đồ,	delay.
CT	scan	Niệu quản
Chẩn đoán:
- Nhiễm trùng
- Tắc nghẽn (phân độ,	tìm nguyên nhân:	ung thư,	
sỏi cản quang,	xơ dính)
- Chấn thương:	đứt,	rách niệu quản (thoát nước
tiểu)
- Dị tật bẩm sinh:	Các bất thường vị trí xuất phát,	
số lượng,	đường đi,	vị trí đổ vào bang	quang
(niệu quản đôi,	lạc chỗ,	bất sản,	túi thừa…)
CT	scan	Niệu
quản
• Không thuốc tương phản.
- Chẩn đoán mức độ ứ	nước thận
(4	độ)
- Chẩn đoán nguyên nhân gây tắc
ngẽn:	
Sỏi niệu quản đoạn chậu.
Đo chính xác kích thước 3	chiều,	vị
trí
sỏi kẹt ->	định hướng điều trị.
- Dựng hình tái tạo theo đường
cong (CPR)
giúp các PTV	tiếp cận dễ đàng hơn.
CT	scan	Niệu quản
CT	scan	Niệu quản
TCC	niệu quản (P).
CT	scan	Niệu quản
Chấn thương niệu quản
Thoát nước tiểu ra khỏi niệu quản,	
thấy rõ vị trí thủng trên thì muộn.
CT	scan	Niệu quản
Niệu quản đôi
Thì bài tiết.
Tái tạo 3D	hệ
niệu
CT	scan	bàng quang
FEMALE
MALE
CT	scan	bàng
quang
CT	scan	bàng
quang
• Chỉ định:
Các bệnh lí tại bàng quang:	viêm,	u,	túi thừa,	
sỏi.
Bệnh lí vùng chậu xâm lấn bang	quang:	K	cổ tử
cung,	K	trực tràng,	K	tiền liệt tuyến…
CT	scan	bàng
quang
MRI hệ niệu
• Ưu điểm so với CT
– Giảm nguy cơ độc thận do thuốc cản quang
– Không tiếp xúc tia X
– Đánh giá tốt hơn các khối u nhỏ ở thận
– Đánh giá hẹp động mạch thận ở mức độ sâu
hơn (các nhánh giữa và nhánh xa của động
mạch thận)
101
• Chỉ định:
– Đánh giá chi tiết cấu trúc giải phẫu của thận
– Đánh giá chức năng thận không xâm lấn
– Định lượng GFR
– Magnetic resonance renography
– Đánh giá bất thường bẩm sinh thận, niệu
quản, bàng quang
102
MRI of Kidneys
MRI showing Left Kidney is higher
than Right Kidney
107
Axial VIBE - Origin of the Renal Arteries
L. renal artery
Hilum of right kidney
Gastric body
Gastric antrum
Small bowel
Body of gallbladder
Inferior vena cava
Superior mesenteric vein
Ligamentum teres fissure
Superior mesenteric artery
Head of pancreas
Hilum of left kidney
Hepatic flexure
L. renal vein
Duodenum (1st part)
Duodenum (2nd part)
Falciform ligament
Plate 24
108
Axial VIBE - Renal Hilum
Quadratus lumborum
Hilum of right kidney
Hilum of left kidney
Duodenum (2st part)
Small bowel
L. renal vein
Body of gallbladder
Inferior vena cava
Ligamentum teres fissure
Head of pancreas
Duodenum (3nd part)
R. renal pelvis
Renal pelvis fat
Transverse colon
Deep back muscles
Hepatic flexure
Psoas muscle
Superior mesenteric artery
Hepatorenal recess
(Morrison’s pouch)
Superior mesenteric vein
Plate 27
109
Pt A - Axial VIBE - Kidney and Retroperitoneum
Plate 29
The kidneys are retroperitoneal structures
that reside at the level of T12 to L3, with
the right typically being lower than the left
due to the presence of the liver. It is
encapsulated and housed, along with the
adrenal glands, within the perirenal space.
This space is surrounded by Gerota’s
fascia. The anterior and posterior
pararenal space surround Gerota’s fascia
with an additional layer of adipose tissue
(see slide 74 for a more detailed look at
the retroperitoneum).
These retroperitoneal locations have
clinical relevance when staging for renal
cell carcinoma or assessing for renal
infection or trauma.
In terms of relations, the kidney is well
connected, coming into contact (through
peri- and pararenal spaces) bilaterally with
the adrenals and diaphragm superiorly and
the quadratus lumborum and psoas
muscles inferomedially. On the right side
the kidney is adjacent to the liver,
duodenum, and ascending colon. On the
left side the kidney is in contact with
spleen, stomach, pancreas, jejunum, and
descending colon.
Posterior
pararenal space
Perirenal space
Kidney
Perirenal space
Anterior
pararenal space
110
Axial VIBE - Ureter
Transverse colon
Deep back muscles
Ureter
Hepatic flexure
Quadratus lumborum
Psoas muscle
Superior mesenteric
artery
Small bowel
Superior mesenteric
vein
Fundus of gallbladder
Anterior pararenal
space*
Posterior pararenal
space*
Perirenal space*
Lumbar vessels
Inferior vena cava
Aorta
Flank stripe*
Duodenum
* Marked structures of retroperitoneum will be discussed in the following slide.
Plate 30
111
Axial VIBE - Lower Poles of Kidneys
Transverse colon
Quadratus lumborum
Psoas muscle
Small bowel
Inferior vena cava
Fundus of gall bladder
Aorta
L. ureter
Erector spinae
Liver
R. ureter
Plate 33
112
Coronal Plane - VIBE Reformatted
Adrenal Glands
Thoracic aorta
Hepatic vein
Hepatorenal recess
R. kidney
Spleen
Psoas m.
L. kidney
Splenic v.
Right renal arteries
L. renal arteries
Inferior vena cava
R. adrenal gland L. adrenal gland
Gastric cardia
Abdominal aorta
Plate 53
113
Coronal Plane - VIBE Reformatted
Renal Hilum and T12 Vertebral Body
Thoracic aorta
Hemiazygos v
Hepatic vein
Serratus anterior m.
Renal sinus fat
Hepatorenal recess
R. kidney
R. lower lobe of lung
L. lower lobe of
lung
Spleen
R. psoas m.
L. renal pelvis
L. kidney
L. renal calyx
Splenic hilum
L. psoas m.
Plate 56
114
Coronal Plane - VIBE Reformatted
Spinal Canal at T10/Posterior Kidneys
Right lobe of liver
(posterior segment)
Spinal canal
Spleen
Spinal cord
Perirenal fat
Erector spinae m.
Hepatorenal recess
R. lower lobe of lung
R. kidney
L. lower lobe of
lung
L. kidney
Plate 60
115
Sagittal Plane - VIBE Reformatted
Gallbladder
Gallbladder
Perirenal fat
Posterior pararenal fat
Hepatorenal recess
Ascending colon
R. kidney
R. lobe of liver
(posterior segment)
R. lobe of liver
(anterior segment)
Branch of portal vein
Transverse colon
Hepatic veins
Plate 65
116
Sagittal Plane - VIBE Reformatted
Medulla of Right Kidney
Body of gallbladder
Hepatic veins
Renal calyx
Pararenal fat
R. kidney (cortex)
R. Kidney (medulla)
Portal vein
R. Lobe of liver
(anterior segment)
R. Lobe of liver
(posterior segment)
Hepatic flexure
Plate 67
117
Sagittal Plane - VIBE Reformatted
Medulla of Left Kidney
Gastric body
Left lobe of liver
(lateral segment)
Left kidney (medulla)
Transverse colon
Left kidney (cortex)
Spleen
Gastric fundus
Renal calyx
Pancreatic body and tail
Small bowel
Perirenal fat
Plate 75
119
MRA with contrast, maximum intensity
projection 3D reconstruction of superior
mesenteric and celiac arteries
Aorta
Hepatic artery
R. renal artery
Superior mesenteric artery
Celiac trunk
Splenic artery
Gastroduodenal artery
Plate 78
120
MRA with contrast, maximum intensity
projection 3D reconstruction of superior
mesenteric and celiac arteries
Aorta
Hepatic artery Splenic artery
Celiac trunk
Superior mesenteric artery
Lumbar arteries
L. renal artery
R. renal artery
Plate 79
121
MRA with contrast, maximum intensity
projection 3D reconstruction of renal
arteries
Right renal artery
Left renal artery
Aorta
Superior mesenteric
artery
Lumbar arteries
L. ureter
Plate 84
122
MRA with contrast, maximum intensity
projection 3D reconstruction of renal
arteries
Plate 85
123
MRA with contrast, maximum intensity
projection 3D reconstruction of renal
arteries
Superior mesenteric
artery
Aorta
L. Ureter
Right renal artery
Left renal artery
Plate 86
124
MRA with contrast, maximum intensity
projection 3D reconstruction of renal
arteries
Plate 87
125
MRA with contrast, maximum intensity
projection 3D reconstruction of renal
arteries
Aorta
Superior
mesenteric
artery
L. Renal artery
Branches of L.
renal artery
Plate 87
126
Correlation of Axial, Coronal, and Sagittal MR Plate 6
Kidney (Right Upper Pole)
127
Correlation of Axial, Coronal, and Sagittal Plate 7
Kidney (Left Hilum)
128
Correlation of Axial, Coronal, and Sagittal MR Plate 8
Kidneys (Left Lower Pole) and Vertebral Musculature
Vertebral
body
Quadratus
lumborum
Erector
spinae
Psoas
muscle
Ureter
The lower poles
of the kidneys lie
adjacent and
antero-lateral to
the muscles of
the back. These
include the
psoas, quadratus
lumboratum,
deep back
muscles, and
intermediate
(erector spinae)
back muscles.
Notice the small
hypointense
circular slice of
the left ureter
lying on the left
psoas muscle.
Deep
back mm.
• Bàng quang
– T1W: thành BQ và nước tiểu đều có tín hiệu
thấp đồng nhất, thuốc cản quang tín hiệu cao
– T2W: thành BQ tín hiệu thấp và nước tiểu tín
hiệu cao
130
MRI of
Female
Pelvis

Hinh_anh_hoc_binh_thuong_he_nieu.pdf

  • 1.
    Hình ảnh họcbình thường hệ niệu
  • 2.
  • 3.
    THẬN • VỊ TRÍ: § Haithận nằm sau phúc mạc, hai bên cột sống thắt lưng, trong góc tạo bởi xương sườn XI và cột sống. § Cực trên: § Thận P: bờ dưới x.sườn XI § Thận T: bờ trên x.sườn XI § Cực dưới: § Thận P: mỏm ngang TL III § Thận T: mỏm ngang TL II. • HÌNH THỂ NGOÀI: § Hình hạt đậu có 2 cực, 2 mặt, 2 bờ § Hai cực: cực trên, cực dưới § Hai bờ: § Bờ ngoài: cong lồi § Bờ trong: có 3 chỗ cong § Hai mặt: § Mặt trước: lồi § Mặt sau: phẳng § Kích thước: 12 × 6 × 3 cm
  • 5.
    THẬN • LIÊN QUAN PHÍA TRƯỚC Thận P: nằmgần hết trong tầng trên mạc treo kết tràng ngang ngoài phúc mạc. § Tuyến thượng thận § D2 tá tràng § Tĩnh mạch chủ dưới § Gan ngoài phúc mạc. § Góc kết tràng phải và ruột non Thận T: một nửa ở tầng trên, một nửa ở tầng dưới mạc treo đại tràng ngang. § Tuyến thượng thận § Mặt sau dạ dày qua túi mạc nối § Thân tụy và lách § Kết tràng góc lách § Kết tràng xuống và ruột non
  • 7.
    THẬN • LIÊN QUAN PHÍA SAU • Tầngngực: xương sườn XI, XII, cơ hoành và ngách sườn hoàn của màng phổi. • Tầng thắt lưng: từ trong ra ngoài liên quan với cơ thắt lưng, cơ vuông thắt lưng, cơ ngang bụng.
  • 9.
    THẬN • MẠC THẬN: § Có2 lá, dính với nhau ở bờ ngoài thận và phía trên tuyến thượng thận § Lá trước: phủ mặt trước thận, phủ mặt trước ĐM, TM thận -> liên tiếp với bên đối diện § Lá sau: phủ mặt sau thận -> dính vào thân đốt sống TL
  • 10.
    THẬN • MẠC THẬN: • Cựctrên: hai lá dính vào nhau và dính vào cơ hoành • Cực dưới: hai lá không dính với nhau • Có vách ngăn cách giữa thận và tuyến thượng thận. • Hai tuyến thượng thận nằm ở phía trên trong thận. Tuyến thượng thận có hai bờ là bờ trên và bờ trong.
  • 11.
    THẬN • CẤU TẠO § Vỏthận § Tủy thận § Xoang thận § Đài bể thận: - 2 – 3 đài thận lớn, 7 – 13 đài thận nhỏ. - Bể thận: có hình phễu, một phần nằm trong xoang thận, một phần nằm ngoài xoang.
  • 12.
    • Ống dẫnnước tiểu từ bể thận xuống bàng quang • Dài 25cm, đường kính 3mm • Đầu trên liên tiếp với bể thận • Đầu dưới cắm vào thành sau bàng quang • Gồm có 2 đoạn là đoạn bụng và đoạn chậu NIỆU QUẢN
  • 13.
    NIỆU QUẢN • Niệu quảnđoạn bụng: đi từ bể thận tới đường cung xương chậu. Đoạn này đi xuống dưới vào trong và liên quan: § Trước: phúc mạc, bó mạch sinh dục. § Sau: cơ thắt lưng, mỏm ngang đốt sống L3-L5, bắt chéo động mạch chậu chung hay chậu ngoài hai bên. § Trong: phải: tĩnh mạch chủ dưới, trái: động mạch chủ bụng.
  • 15.
    NIỆU QUẢN • Niệu quảnđoạn chậu: đi từ đường cung xương chậu tới bàng quang. Gồm hai đoạn: đoạn thành sau ngoài chậu hông và đoạn sau bàng quang.
  • 16.
    NIỆU QUẢN • Đoạn thànhsau ngoài chậu hông: • Đi dọc thành bên chậu hông bé. • Chạy trước ĐM chậu trong, DTK thắt lưng cùng, khớp cùng chậu, • Chạy trên mạc cơ bịt trong bắt chéo bó mạch TK bịt, ĐM bàng quang dưới, ĐM trực tràng dưới • Ở nữ: ĐM còn chạy sau buồng trứng • Đoạn thành sau bàng quang: • NQ đi ra trước vào trong -> đổ vào BQ • Nam: bị ống dẫn tinh bắt chéo phía trước trên • Nữ: Bị ĐM tử cung bắt chéo phía trước trên ở đáy DC rộng, cách CTC 1,5cm
  • 18.
    BÀNG QUANG • Bàng quanglà túi cơ chứa nước tiểu từ niệu quản xuống trước khi được thải ra ngoài qua niệu đạo • Vị trí: nằm trong chậu hộng bé, sau xương mu, trước các tạng sinh dục và trực tràng • Hình dạng, vị trí, kích thước thay đổi theo lượng nước tiểu • Thể tích: • Bth: 250ml -> buồn đi tiểu • Có thể đến hàng lít • Khi bàng quang rỗng: có hình tứ diện: • Đỉnh ở trước • Đáy ở sau • 3 mặt bên gồm 1 mặt trên và 2 mặt dưới - bên
  • 19.
    BÀNG QUANG • Đỉnh: códây chằng rốn giữa chạy sát mặt sau thành bụng trước đến rốn Þtreo bàng quang vào rốn • Đáy bàng quang: • Hình tam giác, hướng về sau • Nam: liên quan với trực tràng qua túi cùng túi tinh – trực tràng • Nữ: liên quan với thành trước âm đạo • Mặt trên: • Nam: có PM phủ, quan PM liên quan với các quai ruột non, đại tràng sigma • Nữ: liên quang với mặt trước dưới của thân tử cung qua túi cùng bàng quang – tử cung • Mặt dưới – bên: • Ngăn cách với xương mu và DC mu tiền tiệt ở trước bởi khoang mỡ trước bàng quang (Retzius) • Trong khoang mỡ có đám rối TM Santorini
  • 21.
    BÀNG QUANG • Cổ bàngquang: – Là phần thấp nhất, cố định nhất, có lỗ trong niệu đạo – Nam: Lq với đáy tiền liệt tuyến – Nữ: nằm ngay trên mạc chậu
  • 22.
    NIỆU ĐẠO Niệu đạo nữ: •Ngắn, tương đương với đoạn tiền liệt và đoạn màng ở nam • Dài 4cm, đường kính 5- 6mm • Có nhiều tuyến tiết nhầy được ví như tiền liệt tuyến ở nam giới • Cấu tạo 3 lớp tương tự như niệu đạo nam
  • 23.
    NIỆU ĐẠO Niệu đạo làống dẫn nước tiểu từ bàng quang ra ngoài Niệu đạo nam: • Dài 18-20cm đi từ lỗ niệu đạo trong ở cổ bàng quang đến miệng sáo ở quy đầu dương vật • Phân đoạn: • Theo giải phẫu • Theo phẫu thuật • 3 chỗ phình • 4 chỗ hẹp
  • 24.
  • 25.
    KUB • Mục đích: Đánhgiá vôi hóa bất thường của hệ niệu Đánh giá tình trạng ổ bụng Bất thường hệ thống xương —Kỹ thuật: Chuẩn bị bệnh nhân: Tư thế BN : nằm ngửa, phim chụp AP Yêu cầu: lấy từ cực trên thận đến hết khớp mu.
  • 26.
    KUB • Phân tíchkết quả: - Thận - Bất thường đậm độ đường niệu - Dải mỡ cơ thắt lưng chậu - Tình trạng ổ bụng - Hệ thống xương
  • 27.
    KUB • Hạn chế: -Độ nhạy và độ đặc hiệu phát hiện sỏi hệ niệu không cao ( ≤ 60%) do : sỏi nhỏ, sỏi không cản quang, trùng lắp vào xương… - Cần phân biệt với nhiều nguyên nhân vôi hóa khác trong ổ bụng ( Vôi hóa TM chậu: Phlebolith,…)
  • 31.
    UIV • Mục đích: Khảosát hình thái và chức năng hệ niệu.
  • 32.
    UIV • Chỉ định: -Đánh giá tắc nghẽn đường niệu - Đánh giá bất thường bẩm sinh hệ niêu- dục - Đánh giá tổn thương hệ niệu như tiểu máu, nhiễm trùng, chấn thương, u. — Chống chỉ định: - Bắt buộc: mất nước nặng. - Tương đối: Dị ứng iode, đa u tủy, tiểu đường, có thai
  • 33.
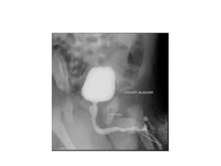
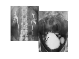
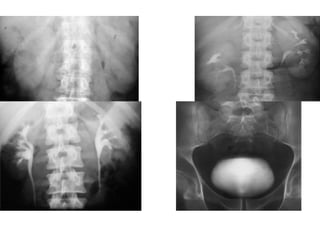
    UIV • Kỹ thuậtchụp: - Chuẩn bị bệnh nhân: thụt tháo - Chụp phim KUB ngay trước khi chụp UIV. - Liều thuốc cản quang: 1-2ml/kg cân nặng. - Phim sớm 01 phút :nhu mô và đường bờ thận. - Phim thì 05 phút : đài thận, bể thận. -Phim thì 15 phút : bể thận, niệu quản. -Phim thì 30 phút : bàng quang
  • 35.
    UIV • Khảo sáthình thái -Thận: Bất thường số lượng thận, vị trí và trục thận, bờ thận, kích thước thận. -Niệu quản -Bàng quang • Khảo sát chức năng hệ niệu: - Đánh giá gián tiếp thông qua sự đào thải thuốc cản quang theo thời gian. - Thận câm: đánh giá sau 2-3h. - Kết luận thận câm thật sự: 24h.
  • 36.
  • 39.
    Chụp bể thậnniệu quản ngược dòng • Mục đích: - Đánh giá hình thái và các tổn thương của thận- niệu quản. - Không đánh giá chức năng bài tiết của thận
  • 40.
    Chụp bể thậnniệu quản ngược dòng • Chỉ định: Trong tất cả các trường hợp không thể thực hiện được kỹ thuật UIV, các bệnh lý không thấy rõ trên UIV hay thận câm. • Chống chỉ định: Bệnh nhân đang sốt. Thận chướng nước.
  • 41.
    Chụp bể thậnniệu quản ngược dòng — Kỹ thuật: Chuẩn bị bệnh nhân giống chụp UIV. Chụp một phim KUB trước khi chụp UPR. Qua dụng cụ nội soi bàng quang, luồn ống thông vào niệu quản, bơm khoảng 10ml thuốc cản quang vào niệu quản, bể thận. — Nhược điểm: Nhiễm trùng ngược dòng, gây đau, khó khăn khi dặt sonde.
  • 42.
    CHỤP BỂ THẬNNIỆU QUẢN XUÔI DÒNG — Chọc dò vào đài thận bơm thuốc cản quang. — Ưu điểm: -Có ý nghĩa điều trị vì dẫn lưu nước tiểu, lấy sỏi qua đường chọc dò. -Ít gây biến chứng, kỹ thuật đơn giản hơn UPR. — Nhược điểm: -Khó thực hiện khi đài bể thận không giãn. -Niệu quản dưới chỗ tắc nhìn không rõ.
  • 43.
    CHỤP BỂ THẬNNIỆU QUẢN XUÔI DÒNG
  • 44.
    • Mục đích: Khảosát các tổn thương của bàng quang mà kỹ thuật UIV không phát hiện được. Chụp bàng quang ngược dòng.
  • 45.
    Chụp bàng quangngược dòng —Chỉ định: Khi không soi được bàng quang. Phát hiện trào ngược nước tiểu bàng quang niệu quản. Chấn thương vỡ bàng quang, dò bàng quang, sa bàng quang, bướu bàng quang • Chống chỉ định: Nhiễm trùng cấp nhất là khi nghi ngờ có hiện tượng nước tiểu trào ngược.
  • 46.
    Chụp bàng quangngược dòng —Kỹ thuật: Cho bệnh nhân đi tiểu trước khi chụp. Chụp một phim KUB. Đặt ống thông bàng quang, bơm 150- 200ml thuốc cản quang, rút ống thông, chụp phim. Chụp một phim sau khi tiểu àước lượng dung tích ứ đọng trong bàng quang
  • 47.
    Chụp bàng quangngược dòng
  • 48.
    Chụp niệu đạobàng quang ngược dòng • Mục đích: Khảo sát các tổn thương niệu đạo. • Kỹ thuật: Bơm thuốc cản quang vào niệu đạo qua ống thông Foley. Lượng thuốc tùy thuộc vào độ dài và độ lớn của niệu đạo. Chụp 1 phim thẳng- chếch.
  • 49.
    Chụp niệu đạobàng quang ngược dòng
  • 50.
  • 51.
    Chỉ định UIV • Tiểu máu • Sỏi thận •Bệnh lý nhiễm trùng hệ niệu • Bệnh lý u, kén thận • Khảo sát chức năng, khảo sát bất thường hình thái hệ niệu, các bệnh lý bẩm sinh…
  • 52.
  • 53.
    Chuẩn bị • Nhịn đói trước chụp 3 giờ • Uống ít nước •Tránh chụp bụng có chất cản quang trước đó 5-7 ngày.
  • 54.
  • 58.
    UPR • Urétéro pyélographie rétrograde • Chụp bể thận niệu quản ngược dòng •Mục đích: + Phát hiện các hẹp, tắc niệu quản do sỏi hoặc các nguyên nhân khác. + Nhận diện hình thể đài-bể thận, niệu quản trong trường hợp chụp thận thuốc tĩnh mạch không ngấm.
  • 59.
    • Phương pháp:Đưa sonde ngược dòng từ niệu đạo vào bàng quang qua ống soi bàng quang để vào niệu quản sau đó bơm thuốc cản quang qua sonde. • Chống chỉ định: BN nhiễm trùng tiểu.
  • 62.
    SIÊU ÂM GIẢIPHẪU HỆ NIỆU 1. Kỹ thuật 2. Giải phẫu bình thường
  • 63.
    KỸ THUẬT KHÁM •Đầu dò cong (3,5 – 5 MHz) • Nằm ngửa, nghiêng trái, nghiêng phải, nằm sấp
  • 64.
    CÁC MẶT CẮT •Mặt cắt vành • Mặt cắt dọc • Mặt cắt ngang • Các mặt cắt từ hướng sau lưng
  • 65.
  • 66.
  • 67.
  • 68.
    CÁC MẶT CẮTTỪ HƯỚNG SAU LƯNG
  • 69.
    GIẢI PHẪU BÌNH THƯỜNG -Hình hạt đậu trên mặt cắt vành và hình bầu dục lõm ở mặt trong trên mặt cắt ngang - Bao thận là mô liên kết-xơ nên cho hình ảnh đường viền mảnh sắc nét, trơn láng đều đặn, có độ hồi âm tăng đến mức rất sáng - Độ hồi âm của vỏ thận kém hơn hoặc bằng nhu mô gan. Độ hồi âm của tủy thận giảm hơn rất nhiều so với vỏ thận - Ranh giới vỏ thận – tủy thận rõ - Xoang thận có độ hồi âm rất tăng
  • 74.
    HỆ THỐNG MẠCHMÁU CHI PHỐI THẬN - Động mạch thận (P) xuất phát từ hướng trước bên (10 giờ), động mạch thận (T) xuất phát từ hướng sau bên (4 giờ), ngay dưới vị trí xuất phát của động mạch mạc treo tràng trên 1 cm - Thân động mạch thận chạy ra sau và hướng về rốn thận
  • 76.
    Động mạch thận(P) khảo sát từ hướng cắt chếch (bệnh nhân nằm chếch phải – sau) lấy gan làm cửa sổ xuyên âm
  • 77.
    - Động mạchthận (P) khảo sát từ hướng cắt chếch (bệnh nhân nằm chếch trái – sau) - Để đầu dò theo hướng cắt vành động mạch chủ bụng thì sẽ nhận được hình hai động mạch thận cùng một lúc
  • 78.
    - Các tĩnhmạch được khảo sát từ cùng hướng của động mạch cùng tên, thường có khẩu kính lớn hơn động mạch và chạy phía trước động mạch thận cùng tên. - Tĩnh mạch thận (T) trước khi đổ vào tĩnh mạch chủ dưới thì chui ngang qua “gọng kìm” động mạch mạc treo tràng trên và động mạch chủ bụng thì khẩu kính có giãn lớn hơn
  • 79.
    CT HỆ NIỆU — Vai tròchính và quan trọng trong khảo sát hệ niệu — Chỉ định: rộng rãi Chấn thương, viêm, u, bất thường bẩm sinh đường niệu. Bất thường mạch máu…
  • 80.
    CT thận • Protocol - Thìkhông thuốc - Thì động mạch - Thì vỏ tủy - Thì thận đồ - Thì bài tiết
  • 81.
    Thì không thuốc •Khảo sát: - Sỏi, vôi hóa - Xuất huyết, tụ máu - Mỡ đại thể trong u thận dạng đặc - Tính mức độ bắt thuốc trong các loại u Sỏi thận+ vôi hóa động mạch chủ bụng
  • 82.
    Thì động mạch •15-25 giây sau tiêm thuốc tương phản. • Khảo sát: - Hẹp động mạch thận - Stent động mạch thận - Chảy máu cấp - Bản đồ mạch máu thận Chảy máu hoạt động/ bn chấn thương
  • 83.
    Thì vỏ tủy •25- 70 giây sau tiêm thuốc tương phản. • Khảo sát: - Hình thái thận - Khối ở thận giàu mạch máu - Mạch máu thận( phình, dị dạng, dò) - Tìm di căn
  • 84.
    Thì thận đồ •80-180 giây sau tiêm thuốc tương phản • Khảo sát: - Tổn thương trong thận - Tĩnh mạch thận, tĩnh mạch chủ dưới
  • 86.
    Thì bài tiết •> 180 giây sau tiêm thuốc tương phản • Khảo sát: - Hệ thống bài xuất - Khối ở thận: đánh giá xâm lấn xoang, wash out - Tổn thương bắt thuốc muộn Chấn thương thận có tổn thương đường bài xuất
  • 87.
  • 88.
    Giải phẫu: - Dài25-30 cm và có ba phần: Niệu quản bụng: từ thận đến khung xương chậu Niệu quản Chậu: từ khung xương chậu đến bàng quang Niệu quản nội màng hoặc nội mạc: trong thành bàng quang - Đường kính bình thường </=3mm [1] [1] Normal Ureter Size on Unenhanced Helical CT Natalie Zelenko1, Deidre Coll2, Arthur T. Rosenfeld3 and Robert C. Smith4
  • 89.
    CT scan Niệu quản • Khảosát được toàn bộ đường đi niệu quản, cũng như toàn bộ hệ niệu • Khảo sát các tổn thương liên quan xung quanh. • Quan sát rõ nhất thành, lòng niệu quản trên thì thận đồ, delay.
  • 90.
    CT scan Niệu quản Chẩn đoán: -Nhiễm trùng - Tắc nghẽn (phân độ, tìm nguyên nhân: ung thư, sỏi cản quang, xơ dính) - Chấn thương: đứt, rách niệu quản (thoát nước tiểu) - Dị tật bẩm sinh: Các bất thường vị trí xuất phát, số lượng, đường đi, vị trí đổ vào bang quang (niệu quản đôi, lạc chỗ, bất sản, túi thừa…)
  • 91.
    CT scan Niệu quản • Không thuốctương phản. - Chẩn đoán mức độ ứ nước thận (4 độ) - Chẩn đoán nguyên nhân gây tắc ngẽn: Sỏi niệu quản đoạn chậu. Đo chính xác kích thước 3 chiều, vị trí sỏi kẹt -> định hướng điều trị. - Dựng hình tái tạo theo đường cong (CPR) giúp các PTV tiếp cận dễ đàng hơn.
  • 92.
  • 93.
  • 94.
    CT scan Niệu quản Chấn thươngniệu quản Thoát nước tiểu ra khỏi niệu quản, thấy rõ vị trí thủng trên thì muộn.
  • 95.
    CT scan Niệu quản Niệu quảnđôi Thì bài tiết. Tái tạo 3D hệ niệu
  • 96.
  • 97.
  • 98.
    CT scan bàng quang • Chỉ định: Cácbệnh lí tại bàng quang: viêm, u, túi thừa, sỏi. Bệnh lí vùng chậu xâm lấn bang quang: K cổ tử cung, K trực tràng, K tiền liệt tuyến…
  • 99.
  • 100.
  • 101.
    • Ưu điểmso với CT – Giảm nguy cơ độc thận do thuốc cản quang – Không tiếp xúc tia X – Đánh giá tốt hơn các khối u nhỏ ở thận – Đánh giá hẹp động mạch thận ở mức độ sâu hơn (các nhánh giữa và nhánh xa của động mạch thận) 101
  • 102.
    • Chỉ định: –Đánh giá chi tiết cấu trúc giải phẫu của thận – Đánh giá chức năng thận không xâm lấn – Định lượng GFR – Magnetic resonance renography – Đánh giá bất thường bẩm sinh thận, niệu quản, bàng quang 102
  • 103.
  • 104.
    MRI showing LeftKidney is higher than Right Kidney
  • 107.
    107 Axial VIBE -Origin of the Renal Arteries L. renal artery Hilum of right kidney Gastric body Gastric antrum Small bowel Body of gallbladder Inferior vena cava Superior mesenteric vein Ligamentum teres fissure Superior mesenteric artery Head of pancreas Hilum of left kidney Hepatic flexure L. renal vein Duodenum (1st part) Duodenum (2nd part) Falciform ligament Plate 24
  • 108.
    108 Axial VIBE -Renal Hilum Quadratus lumborum Hilum of right kidney Hilum of left kidney Duodenum (2st part) Small bowel L. renal vein Body of gallbladder Inferior vena cava Ligamentum teres fissure Head of pancreas Duodenum (3nd part) R. renal pelvis Renal pelvis fat Transverse colon Deep back muscles Hepatic flexure Psoas muscle Superior mesenteric artery Hepatorenal recess (Morrison’s pouch) Superior mesenteric vein Plate 27
  • 109.
    109 Pt A -Axial VIBE - Kidney and Retroperitoneum Plate 29 The kidneys are retroperitoneal structures that reside at the level of T12 to L3, with the right typically being lower than the left due to the presence of the liver. It is encapsulated and housed, along with the adrenal glands, within the perirenal space. This space is surrounded by Gerota’s fascia. The anterior and posterior pararenal space surround Gerota’s fascia with an additional layer of adipose tissue (see slide 74 for a more detailed look at the retroperitoneum). These retroperitoneal locations have clinical relevance when staging for renal cell carcinoma or assessing for renal infection or trauma. In terms of relations, the kidney is well connected, coming into contact (through peri- and pararenal spaces) bilaterally with the adrenals and diaphragm superiorly and the quadratus lumborum and psoas muscles inferomedially. On the right side the kidney is adjacent to the liver, duodenum, and ascending colon. On the left side the kidney is in contact with spleen, stomach, pancreas, jejunum, and descending colon. Posterior pararenal space Perirenal space Kidney Perirenal space Anterior pararenal space
  • 110.
    110 Axial VIBE -Ureter Transverse colon Deep back muscles Ureter Hepatic flexure Quadratus lumborum Psoas muscle Superior mesenteric artery Small bowel Superior mesenteric vein Fundus of gallbladder Anterior pararenal space* Posterior pararenal space* Perirenal space* Lumbar vessels Inferior vena cava Aorta Flank stripe* Duodenum * Marked structures of retroperitoneum will be discussed in the following slide. Plate 30
  • 111.
    111 Axial VIBE -Lower Poles of Kidneys Transverse colon Quadratus lumborum Psoas muscle Small bowel Inferior vena cava Fundus of gall bladder Aorta L. ureter Erector spinae Liver R. ureter Plate 33
  • 112.
    112 Coronal Plane -VIBE Reformatted Adrenal Glands Thoracic aorta Hepatic vein Hepatorenal recess R. kidney Spleen Psoas m. L. kidney Splenic v. Right renal arteries L. renal arteries Inferior vena cava R. adrenal gland L. adrenal gland Gastric cardia Abdominal aorta Plate 53
  • 113.
    113 Coronal Plane -VIBE Reformatted Renal Hilum and T12 Vertebral Body Thoracic aorta Hemiazygos v Hepatic vein Serratus anterior m. Renal sinus fat Hepatorenal recess R. kidney R. lower lobe of lung L. lower lobe of lung Spleen R. psoas m. L. renal pelvis L. kidney L. renal calyx Splenic hilum L. psoas m. Plate 56
  • 114.
    114 Coronal Plane -VIBE Reformatted Spinal Canal at T10/Posterior Kidneys Right lobe of liver (posterior segment) Spinal canal Spleen Spinal cord Perirenal fat Erector spinae m. Hepatorenal recess R. lower lobe of lung R. kidney L. lower lobe of lung L. kidney Plate 60
  • 115.
    115 Sagittal Plane -VIBE Reformatted Gallbladder Gallbladder Perirenal fat Posterior pararenal fat Hepatorenal recess Ascending colon R. kidney R. lobe of liver (posterior segment) R. lobe of liver (anterior segment) Branch of portal vein Transverse colon Hepatic veins Plate 65
  • 116.
    116 Sagittal Plane -VIBE Reformatted Medulla of Right Kidney Body of gallbladder Hepatic veins Renal calyx Pararenal fat R. kidney (cortex) R. Kidney (medulla) Portal vein R. Lobe of liver (anterior segment) R. Lobe of liver (posterior segment) Hepatic flexure Plate 67
  • 117.
    117 Sagittal Plane -VIBE Reformatted Medulla of Left Kidney Gastric body Left lobe of liver (lateral segment) Left kidney (medulla) Transverse colon Left kidney (cortex) Spleen Gastric fundus Renal calyx Pancreatic body and tail Small bowel Perirenal fat Plate 75
  • 119.
    119 MRA with contrast,maximum intensity projection 3D reconstruction of superior mesenteric and celiac arteries Aorta Hepatic artery R. renal artery Superior mesenteric artery Celiac trunk Splenic artery Gastroduodenal artery Plate 78
  • 120.
    120 MRA with contrast,maximum intensity projection 3D reconstruction of superior mesenteric and celiac arteries Aorta Hepatic artery Splenic artery Celiac trunk Superior mesenteric artery Lumbar arteries L. renal artery R. renal artery Plate 79
  • 121.
    121 MRA with contrast,maximum intensity projection 3D reconstruction of renal arteries Right renal artery Left renal artery Aorta Superior mesenteric artery Lumbar arteries L. ureter Plate 84
  • 122.
    122 MRA with contrast,maximum intensity projection 3D reconstruction of renal arteries Plate 85
  • 123.
    123 MRA with contrast,maximum intensity projection 3D reconstruction of renal arteries Superior mesenteric artery Aorta L. Ureter Right renal artery Left renal artery Plate 86
  • 124.
    124 MRA with contrast,maximum intensity projection 3D reconstruction of renal arteries Plate 87
  • 125.
    125 MRA with contrast,maximum intensity projection 3D reconstruction of renal arteries Aorta Superior mesenteric artery L. Renal artery Branches of L. renal artery Plate 87
  • 126.
    126 Correlation of Axial,Coronal, and Sagittal MR Plate 6 Kidney (Right Upper Pole)
  • 127.
    127 Correlation of Axial,Coronal, and Sagittal Plate 7 Kidney (Left Hilum)
  • 128.
    128 Correlation of Axial,Coronal, and Sagittal MR Plate 8 Kidneys (Left Lower Pole) and Vertebral Musculature Vertebral body Quadratus lumborum Erector spinae Psoas muscle Ureter The lower poles of the kidneys lie adjacent and antero-lateral to the muscles of the back. These include the psoas, quadratus lumboratum, deep back muscles, and intermediate (erector spinae) back muscles. Notice the small hypointense circular slice of the left ureter lying on the left psoas muscle. Deep back mm.
  • 129.
    • Bàng quang –T1W: thành BQ và nước tiểu đều có tín hiệu thấp đồng nhất, thuốc cản quang tín hiệu cao – T2W: thành BQ tín hiệu thấp và nước tiểu tín hiệu cao
  • 130.
  • 131.