HIGH ALTITUDE MEDICAL
DISORDERS (AHAI)
DR MOHD YOUSUF
Purpose of going to high altitude
Amaranth cave
5486 m
SIACHEN PEAK
5400m
Men at work
Phase 2 Gandola
Height 4200 m
REFERENCE CASE
• A 25 year old male was brought to AE with
complaints of sudden onset Shortness of breath
and Headache which developed 16 hours after
ascending to 2nd Phase of Afarvat peak Gulmarg via
cable Car( Gondola)
ABCDE APPROACH……..
• AIRWAYS : PT TALKING
• BREATHING : RR: 36B/M, SPO2 : 60% on RA, No
Abnormal Chest Movements , Equal on both sides ,
B/L crepts .No murmur
• CIRCULATION : HR : 120 B/M BP 120/80, CRT ; 2 secs,
Warm and Pink extremities.
• DISABLITY : AVPU : ALERT, RESTLESS, Normal blood
glucose , no ABM, Normal Pupil, Normal Muscle
Strength, Sensation, Reflexes.
• Exposure: No External Injuries , Normal Temperature,
No Needle Prick, No Rash/Hives.
SAMPLE HISTORY………..
• SIGNS AND SYMPTOMS : SOB with headache
developed after 16 hours of ascend to high alttitude.
• ALLERGIES : Not significant
• MEDICATION : No prophylactic medication taken.
• PAST MEDICAL ILLNESS : No basline comorbidities
except smoker
• LAST MEAL TAKEN : RECENT INTAKE OF ALCOHOL.
• EVENTS SURROUNDING : low lander from
Maharashtra, no previous high altitude travel
MANAGEMENT;
• Oxygen via face mask at 6l/min.
• Paracetamol and Nifedipine 30 mg BD
• Improved over 4 days and discharged home in
stable condition.
HIGH ALTITUDE CEREBRAL
OEDEMA(HACO)
03
ACUTE MOUNTAIN SICKESS(AMS)
01
HIGH ALTITUDE PULMONARY
OEDEMA(HAPO)
02
CHORONIC MORNING
SICKNESS(MONGES DISEASE)
04
HIGH ALTITUDE PULMONARY
HYPERTENSION
05
Clinical problems associated with high altitude illness
Risk categorization
1. Relatively young and Elderly with comorbid medical
conditions (Tight fit hypothesis)
2. History of migraines
3. Patent foramen ovale
4. Smoking and use of sedatives
5. Pulmonary abnormalities
6. Dehydration
7. High alcohol intake
8. Excess physical exertion in first few days at high altitude
9. Previous episodes of AHAI
10.Rapid ascent profile
High risk patients
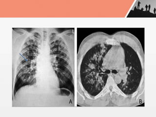
Chest xray in HAPO
- peripheral patchy pulmonaryedema in lower zone
ECG in HAPO
Sinus tachycardia, right axis deviation
Right bundle branch block
Clinical Symptoms
• The 130- ft high holy cave of “baba amarnath ji” situated at
a height of 13000 ft is visited by thousands of devotees.
• In this study with 31 were included.
• All the patient were low landers hailing from MP , UP Maharashtra
and West Bengal.
AHAI in Amarnath yatris
• All the patients satisfied LLS for HAPE with a
median score of 7 .
•All the patients were brought to low
altitude, given oxygen therapy and other
measures like steroids, nifedipine and
referred to SKIMS
• AHAI can be prevented by GRADUAL DESCENT/STAGED DESCENTto promote acclimatisation but
yatris ascent rapidly > 600 m /day above 2500 m
• Identifying people at high risk and giving preventive strategies would be helpful in reducing
AMS.
• Hence providing education and preventive measures is important
• All high altitude travelers,regardless of their underlying health ,are at risk for
these problems and should receive counselling regarding recognition,
prevention and treatment
• High altitude headache and AMS are most common ,with the former noted in
37% ascending to 4559 m and latter in 25-40% travelling at 2000-4500 m
depending upon the altitude attained and rate of ascent.
• Although HAPE and HAPO incidents are quite low but are potentially fatal
• Staged ascent and Ascend high Sleep low.
• More specifically,once above 3000 m ,travelers should not increase their
sleeping elevation by more than 500m per night and including rest day after 2-3
days of ascent.
• Spending time at intermediate altitudes before ascending to target elevation is
called staged ascent
• Pharmacolgic prophylaxis is not for all but reserved for high risk patients
• Pretravel evaluation for persons with medical conditions is a must.
Advice for all the high altitude travelers (NEJM JAN 2022)
Hyperbaric oxygen equipment
Replace with your own text
Add some text to the title slide
THANK
YOU

HIGH ALTITUDE SICKNESS 3[1].ppt

  • 1.
    HIGH ALTITUDE MEDICAL DISORDERS(AHAI) DR MOHD YOUSUF
  • 3.
    Purpose of goingto high altitude Amaranth cave 5486 m
  • 4.
  • 5.
  • 6.
  • 7.
    REFERENCE CASE • A25 year old male was brought to AE with complaints of sudden onset Shortness of breath and Headache which developed 16 hours after ascending to 2nd Phase of Afarvat peak Gulmarg via cable Car( Gondola)
  • 8.
    ABCDE APPROACH…….. • AIRWAYS: PT TALKING • BREATHING : RR: 36B/M, SPO2 : 60% on RA, No Abnormal Chest Movements , Equal on both sides , B/L crepts .No murmur • CIRCULATION : HR : 120 B/M BP 120/80, CRT ; 2 secs, Warm and Pink extremities. • DISABLITY : AVPU : ALERT, RESTLESS, Normal blood glucose , no ABM, Normal Pupil, Normal Muscle Strength, Sensation, Reflexes. • Exposure: No External Injuries , Normal Temperature, No Needle Prick, No Rash/Hives.
  • 9.
    SAMPLE HISTORY……….. • SIGNSAND SYMPTOMS : SOB with headache developed after 16 hours of ascend to high alttitude. • ALLERGIES : Not significant • MEDICATION : No prophylactic medication taken. • PAST MEDICAL ILLNESS : No basline comorbidities except smoker • LAST MEAL TAKEN : RECENT INTAKE OF ALCOHOL. • EVENTS SURROUNDING : low lander from Maharashtra, no previous high altitude travel
  • 10.
    MANAGEMENT; • Oxygen viaface mask at 6l/min. • Paracetamol and Nifedipine 30 mg BD • Improved over 4 days and discharged home in stable condition.
  • 13.
    HIGH ALTITUDE CEREBRAL OEDEMA(HACO) 03 ACUTEMOUNTAIN SICKESS(AMS) 01 HIGH ALTITUDE PULMONARY OEDEMA(HAPO) 02 CHORONIC MORNING SICKNESS(MONGES DISEASE) 04 HIGH ALTITUDE PULMONARY HYPERTENSION 05
  • 14.
    Clinical problems associatedwith high altitude illness
  • 15.
  • 16.
    1. Relatively youngand Elderly with comorbid medical conditions (Tight fit hypothesis) 2. History of migraines 3. Patent foramen ovale 4. Smoking and use of sedatives 5. Pulmonary abnormalities 6. Dehydration 7. High alcohol intake 8. Excess physical exertion in first few days at high altitude 9. Previous episodes of AHAI 10.Rapid ascent profile High risk patients
  • 17.
    Chest xray inHAPO - peripheral patchy pulmonaryedema in lower zone ECG in HAPO Sinus tachycardia, right axis deviation Right bundle branch block
  • 20.
  • 21.
    • The 130-ft high holy cave of “baba amarnath ji” situated at a height of 13000 ft is visited by thousands of devotees. • In this study with 31 were included. • All the patient were low landers hailing from MP , UP Maharashtra and West Bengal. AHAI in Amarnath yatris • All the patients satisfied LLS for HAPE with a median score of 7 . •All the patients were brought to low altitude, given oxygen therapy and other measures like steroids, nifedipine and referred to SKIMS
  • 22.
    • AHAI canbe prevented by GRADUAL DESCENT/STAGED DESCENTto promote acclimatisation but yatris ascent rapidly > 600 m /day above 2500 m • Identifying people at high risk and giving preventive strategies would be helpful in reducing AMS. • Hence providing education and preventive measures is important
  • 26.
    • All highaltitude travelers,regardless of their underlying health ,are at risk for these problems and should receive counselling regarding recognition, prevention and treatment • High altitude headache and AMS are most common ,with the former noted in 37% ascending to 4559 m and latter in 25-40% travelling at 2000-4500 m depending upon the altitude attained and rate of ascent. • Although HAPE and HAPO incidents are quite low but are potentially fatal • Staged ascent and Ascend high Sleep low. • More specifically,once above 3000 m ,travelers should not increase their sleeping elevation by more than 500m per night and including rest day after 2-3 days of ascent. • Spending time at intermediate altitudes before ascending to target elevation is called staged ascent • Pharmacolgic prophylaxis is not for all but reserved for high risk patients • Pretravel evaluation for persons with medical conditions is a must. Advice for all the high altitude travelers (NEJM JAN 2022)
  • 27.
  • 28.
    Replace with yourown text Add some text to the title slide THANK YOU