Pathogenesis of gingival
enlargement
• By
• Romissaa Aly Esmail
• Assistant lecturer of Oral Medicine, Periodontology, Diagnosis and
Dental Radiology (Al-Azhar University)
• Content:
• Normal anatomy of the gingiva
• The Role of Epithelial Mesenchymal Transition Process in Gingival
Hyperplasia
• Fibroblasts Collagen Production and Histological Alterations in Hereditary
Gingival Fibromatosis
Classification of oral mucous membrane
1-Keratenized mucosa ( Masticatory mucosa)
(A) Gingiva (B) Hard palate
2- Non-keratenized mucosa (Lining mucosa)
(A) Firmly attached (B) Loosely attached
Soft
palate lip cheeck Ventral S
tongue
Floor of
mouth
Vestibule
Alveolar
mucosa
3- Specialized mucosa
Dorsal surface of the tongue
Macro-anatomy of the gingiva
Free gingiva
Free gingival
groove
Interdental
papilla
Attached
gingiva
Mucogingival
junction
Alveolar
mucosa
Histology of gingiva
Stratified squamous
keratenized epithelium
Lamina propria
Epithelial rete peg
C.T papilla
Tall
Numerous
Slender
Irregular
No submucosa
Gingival fibers
Dento-gingival group
Alveolo-gingival group
Circular group
Dento-periosteal group
K.st .sq .epith
Non.K.st.sq.epith
Keratinized St. Sq. Epith.
▪Basal cell laye (stratum basale)
▪Prickle ’spinous’ cell layer (stratum spinosum)
▪Granular cell layer (stratum granulosum)
▪Cornified cell layer (stratum corneum)
K.st.sq epith (st.basal) Non-K.st.sq.epith
*The cells are cubiodal, contain large oval nucleus, granular basophilic cytoplasm
*The cytoplasm contain tonofilaments
Arranged in bundles Remain dispersed
*The cells are closely attached to each other by desmosomes
1- Thickening of the adjacent cell
membrane.
2- A pair of attachment plaque.
3- Tonofilaments.
4- An intervening extracellular structure.
The desmosomes
The hemi-desmosomes
Basal lamina (Basement membrane)
By EM junction of epithelium and C.T
described as Basal lamina : consistes of
1) Lamina densa (20-120nm)
consists of glycoprotein (laminin)
material run parallel to basal cells
2) Lamina lucida (20-40nm)
Appearently clear zone present between
lamina densa and basal cells
A subepithelial fibers termed (Reticular lamina)
Consists of a system of:
1) Fine argyrophilic reticular fibers
2) special anchoring fibers (small loops of fibers)
Both inserted into lamina densa and reached the
plasma membrane of basal cells mostly in the region of hemidesmosomes
3) Collagen bundles run through loops of anchoring fibers and thus
interlocked with basal densa to form a flexible attachment
The lamina propria
It is the C.T that support the epithelium
It is divided into 2 layers:
1) Papillary layer
2) Reticular layer
The Role of Epithelial
Mesenchymal Transition
Process in Inflammatory
Gingival Hyperplasia
Inflammatory gingival
hyperplasia is an
inflammatory restraint
to local irritant
correlating with the
gingiva; the irritant
could be microbial like
plaque and calculus.
Clinically present as
deep red or bluish,
considerably friable and
fine with smooth glossy
surface and commonly
bleed easily [1].
Gingival overgrowth usually
treated with traditional
periodontal treatment such as
scaling and root planning, but
if it include significant
fibrotic component that
don't respond to the
traditional treatment so it
will be treated by surgical
removal of the excess tissue
[3].
Histologically, inflammatory
gingival enlargement
characterized by thicking of
the epithelium with
increased volume of the
connective tissue with
different degree of
inflammation and fibrosis [2].
• EMT is a process in which epithelial cells migrate
in to the connective tissue and transdifferentiate
into fibroblast-like cells, this occurs as the
epithelial cell-cell and cell- extracellular matrix
interactions are destabilized [4].
Main features of
epithelial and
mesenchymal cells
The EMT proteome
• Growth factor receptors and signaling pathways
• Reactive oxygen species
hepatocyte growth factor(HGF) RTK: receptor tyrosine kinase
MET mesenchymal–epithelial transition
• TGF b is considered to be the prototypical cytokine
for induction of EMT because different isoforms
mediate various aspects of EMT in many diverse
cellular contexts,
• whereas the effects of other EMT inducers are
often context dependent and variable (Sanford et al.,
1997; Xu et al., 2009).
Treatment of mammary epithelial cells with
repeated low doses of hydrogen peroxide, a protocol
mimicking the chronic inflammation that is common to
many human diseases, leads to a fibroblastlike
phenotype (Mori et al., 2004).
aSMA alpha-smooth muscle actin
Myofibroblasts are present in large numbers in
sites with ongoing inflammation and repair, and
effectively close wounds through the contraction
of connective tissue (Guarino et al., 2009; Hinz,
2010).
Myofibroblasts were originally believed to be
generated by proliferation and activation of local
fibroblasts (Barnes and Gorin, 2011; Grillo, 1963).
This was supported by the presence of fibroblasts
positive for proliferation markers at the
periphery of the wound (Grillo, 1963) that
acquire smooth muscle features during wound
healing and progressive organ fibrosis (Barnes and
Gorin, 2011).
• The study was carried out
by Lina Ibtesam Khalid et al
2019 in an effort to determine
if EMT operates in the
pathogenesis of inflammatory
gingival hyperplasia to serve
as a source of fibroblasts..
J Res Med Dent Sci, 2019, 7 (5):80-84
▪In this this they were sought to investigate if
the Epithelial mesenchymal transition theory
participitated in the advancement of this benign
lesion.
Markers of the study:
E-Cadherin is considered as a
prototypical epithelial marker of
EMT.
Vimentin is mainly expressed in cells
of mesenchymal origin and it is
often used as a marker for
epithelial mesenchymal transition
Alpha smooth muscle actin positive
myofibroblast
E-Cadherin is required for the
maintenance of normal intercellular
adhesion and barrier integrity in
oral tissues [12].
Vimentin is one of the most familiar
members of intermediate filaments
(IFs), as it is the major IF protein in
mesenchymal cells and it is
frequently used as a developmental
marker of cells and tissues [13].
The reduction in
epithelial expression of
E-Cadherin also called
the Cadherin switch has
been known to promote
EMT by facilitating
weakening of the
intercellular junctions
and promoting
movement of epithelial
cells towards the
connective tissue [6].
Alpha smooth muscle
actin positive
myofibroblast have
been demonstrated in
type 2 EMT [7].
To confirm this
mechanism, They
investigated the
Immuno-histochemical
expression of three
specific markers
assessing EMT
mechanism namely α-
SMA, Vimentin and E-
Cadherin.
Alpha-SMA is a putative
myofibroblast marker.
Since myofibroblasts are
implicated in EMT
induced fibrosis they
sought to analyse α –
SMA expression in the
samples.
• Material and method:
• The study involved 15 tissue blocks of inflammatory
gingival hyperplasia taken from the archives of oral
pathology, laboratory of oral diagnosis department,
collage of dentistry/university of Baghdad.
• Immunohistochemical expression of Vimentin, E-
Chdaherin and α-SMA was assessed.
Results:
The mean number of vimentin& E-Chadherin positive
fibroblast were 51.43% & 48.56%, respectively, so as these
two markers are biomarkers for EMT, it is suggested that
EMT process may be involved at least partly in the
pathogenesis of inflammatory gingival hyperplasia.
Vimentin and E-Chadherin immunoreactivity of the connective
tissue fibroblasts showed 100% positivity, while Alpha smooth
muscle actin staining was mostly seen in the endothelial
lined blood vessels with a few myofibroblast with in the
connective tissue being stained positive.
so increased expression and activation of TGF-B1 in
inflammatory gingival hyperplasia (14) promote an epithelial
cell plasticity that may progress to EMT [15].
• Figure 1: Section of inflammatory ginigival
hyperplasia showing vimentin expression in fbroblast
cells of connective tissue (40x)
• (A) Positive cytoplasmic expression of spindle cell
fibroblast.
• (B) Negatively stained.
• Figure
• Figure 2: Section of inflammatory ginigival
hyperplasia showing Echadherin expression in
fibroblast cells of connective (40x).
• Surface epithelia (internal control for E-
chadherin) positive membranous and negative
cytoplasmic and nuclear staining.
• (B) positive membranous expression of spindle
cell fibroblast
• Figure 3: Section of inflammatory ginigival
hyperplasia showing alpha smooth muscle
actin expression in fibroblast cells of
connective tissue(40x). (A) positive
cytoplasmic expression of spindle cell
fibroblast.
Jeopardized E-Chadherin expression could alter the cell phenotype from
epithelial to fibroblast with spindle shape morphology [17].
Okada H and coworkers, (2000) have shown that the epithelial cells migrate
from the epithelial layer, travel through the basement membrane and
accumulate in the interstititium of the tissue; here they eventually get rid of
their epithelial markers and gain a fully fibroblastic phenotype [18,19].
Diseases 2019, 7, 39
This enlargement results from an increase in the connective
tissue elements of the submucosa and displays different
severities,
Hereditary gingival fibromatosis (HGF), also called
elephantiasis gingivae, hereditary gingival hyperplasia, and
hypertrophic gingiva, is a disorder characterized by
progressive enlargement of the gingiva.
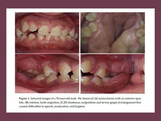
sometimes covering the entire crowns of the teeth and deforming the
palate, thereby creating occlusal and aesthetic problems, as well as causing
difficulties in speech and mastication.
Thickening of the alveolar ridge rarely appears at birth, typically initiates
with the eruption of deciduous or permanent dentition, exacerbates
during adolescence, and can persist within adulthood [1].
However radiographic imaging shows no specific changes in the teeth or
alveolar bone.
HGF may also exhibit an autosomal
dominant or recessive mode of
inheritance.
The recessive pattern usually linked to
other syndromes: Cowden, Jones,
Goltz-Gorlin,; and other systemic
diseases: cherubism, hypothyroidism,
chondrodystrophy, growth hormone
deficiency craniofacial dysmorphism or
leukemia [3–6].
Histologically, HGF shows gingival
features relatively acellular and with
an increased amount of randomly
arranged bundles of collagen.
The overlying epithelium may be
variable in thickness and have
prominent, elongated rete ridges
extending into the underlying
connective tissue [8].
These conditions are presented with the epithelial to mesenchymal transition
(EMT), where the basal lamina show disruptions and epithelial cells migrate into
connective tissue and change their phenotypes to fibroblast-like cells [12].
However, these histological features are nonspecific, and the diagnosis should
be based on clinical findings and family history [11].
In rare cases, the description includes deposition of amyloids and islands of
odontogenic epithelium [10].
Fibroblasts are the key cells involved in the gingival production
of collagen and respond to the local stress depending on the
environmental conditions.
Therefore, is essential that they have to maintain a good
metabolic statement to respond to all aggressions.
Chronic Periodontitis is related to oxidative stress [14], and
previous studies have found a relationship between oxidative
stress and cyclosporine-induced gingival overgrowth [15], but to
date, no studies have linked this oxidative stress to HGF.
Diseases 2019, 7, 39
3.4.CoQ10 Level Determination:
3.5: Lipid
Peroxidat
ion
• Lipid peroxidation could be a
consequence of basal ROS
overproduction or fewer
antioxidants capacity and could
indicate high levels of oxidative
stress in gingival fibroblasts
from the father compared to
the control and his daughter
(Figure 4D).
Conclusions
• The histological data showed
basal lamina disruption, epithelial
cell migration into connective
tissue and a lack of laminin 5 in
their basal membrane.
• In vitro results have
demonstrated, for the first time,
that collagen synthesis is
influenced by an oxidant and can
be restored by an antioxidant in
HGF fibroblasts.
gingival hyperplasia :underlying Pathological mechanisms.pdf

gingival hyperplasia :underlying Pathological mechanisms.pdf

  • 2.
    Pathogenesis of gingival enlargement •By • Romissaa Aly Esmail • Assistant lecturer of Oral Medicine, Periodontology, Diagnosis and Dental Radiology (Al-Azhar University)
  • 3.
    • Content: • Normalanatomy of the gingiva • The Role of Epithelial Mesenchymal Transition Process in Gingival Hyperplasia • Fibroblasts Collagen Production and Histological Alterations in Hereditary Gingival Fibromatosis
  • 5.
    Classification of oralmucous membrane 1-Keratenized mucosa ( Masticatory mucosa) (A) Gingiva (B) Hard palate 2- Non-keratenized mucosa (Lining mucosa) (A) Firmly attached (B) Loosely attached Soft palate lip cheeck Ventral S tongue Floor of mouth Vestibule Alveolar mucosa 3- Specialized mucosa Dorsal surface of the tongue
  • 6.
    Macro-anatomy of thegingiva Free gingiva Free gingival groove Interdental papilla Attached gingiva Mucogingival junction Alveolar mucosa
  • 7.
    Histology of gingiva Stratifiedsquamous keratenized epithelium Lamina propria Epithelial rete peg C.T papilla Tall Numerous Slender Irregular No submucosa
  • 8.
    Gingival fibers Dento-gingival group Alveolo-gingivalgroup Circular group Dento-periosteal group
  • 9.
  • 10.
    Keratinized St. Sq.Epith. ▪Basal cell laye (stratum basale) ▪Prickle ’spinous’ cell layer (stratum spinosum) ▪Granular cell layer (stratum granulosum) ▪Cornified cell layer (stratum corneum)
  • 11.
    K.st.sq epith (st.basal)Non-K.st.sq.epith *The cells are cubiodal, contain large oval nucleus, granular basophilic cytoplasm *The cytoplasm contain tonofilaments Arranged in bundles Remain dispersed *The cells are closely attached to each other by desmosomes
  • 12.
    1- Thickening ofthe adjacent cell membrane. 2- A pair of attachment plaque. 3- Tonofilaments. 4- An intervening extracellular structure. The desmosomes
  • 13.
  • 14.
    Basal lamina (Basementmembrane) By EM junction of epithelium and C.T described as Basal lamina : consistes of 1) Lamina densa (20-120nm) consists of glycoprotein (laminin) material run parallel to basal cells 2) Lamina lucida (20-40nm) Appearently clear zone present between lamina densa and basal cells A subepithelial fibers termed (Reticular lamina) Consists of a system of: 1) Fine argyrophilic reticular fibers 2) special anchoring fibers (small loops of fibers) Both inserted into lamina densa and reached the plasma membrane of basal cells mostly in the region of hemidesmosomes 3) Collagen bundles run through loops of anchoring fibers and thus interlocked with basal densa to form a flexible attachment
  • 16.
    The lamina propria Itis the C.T that support the epithelium It is divided into 2 layers: 1) Papillary layer 2) Reticular layer
  • 17.
    The Role ofEpithelial Mesenchymal Transition Process in Inflammatory Gingival Hyperplasia
  • 18.
    Inflammatory gingival hyperplasia isan inflammatory restraint to local irritant correlating with the gingiva; the irritant could be microbial like plaque and calculus. Clinically present as deep red or bluish, considerably friable and fine with smooth glossy surface and commonly bleed easily [1].
  • 19.
    Gingival overgrowth usually treatedwith traditional periodontal treatment such as scaling and root planning, but if it include significant fibrotic component that don't respond to the traditional treatment so it will be treated by surgical removal of the excess tissue [3]. Histologically, inflammatory gingival enlargement characterized by thicking of the epithelium with increased volume of the connective tissue with different degree of inflammation and fibrosis [2].
  • 21.
    • EMT isa process in which epithelial cells migrate in to the connective tissue and transdifferentiate into fibroblast-like cells, this occurs as the epithelial cell-cell and cell- extracellular matrix interactions are destabilized [4].
  • 23.
    Main features of epithelialand mesenchymal cells
  • 31.
  • 43.
    • Growth factorreceptors and signaling pathways • Reactive oxygen species
  • 45.
    hepatocyte growth factor(HGF)RTK: receptor tyrosine kinase MET mesenchymal–epithelial transition
  • 48.
    • TGF bis considered to be the prototypical cytokine for induction of EMT because different isoforms mediate various aspects of EMT in many diverse cellular contexts, • whereas the effects of other EMT inducers are often context dependent and variable (Sanford et al., 1997; Xu et al., 2009).
  • 50.
    Treatment of mammaryepithelial cells with repeated low doses of hydrogen peroxide, a protocol mimicking the chronic inflammation that is common to many human diseases, leads to a fibroblastlike phenotype (Mori et al., 2004).
  • 53.
  • 54.
    Myofibroblasts are presentin large numbers in sites with ongoing inflammation and repair, and effectively close wounds through the contraction of connective tissue (Guarino et al., 2009; Hinz, 2010). Myofibroblasts were originally believed to be generated by proliferation and activation of local fibroblasts (Barnes and Gorin, 2011; Grillo, 1963). This was supported by the presence of fibroblasts positive for proliferation markers at the periphery of the wound (Grillo, 1963) that acquire smooth muscle features during wound healing and progressive organ fibrosis (Barnes and Gorin, 2011).
  • 57.
    • The studywas carried out by Lina Ibtesam Khalid et al 2019 in an effort to determine if EMT operates in the pathogenesis of inflammatory gingival hyperplasia to serve as a source of fibroblasts.. J Res Med Dent Sci, 2019, 7 (5):80-84 ▪In this this they were sought to investigate if the Epithelial mesenchymal transition theory participitated in the advancement of this benign lesion.
  • 58.
    Markers of thestudy: E-Cadherin is considered as a prototypical epithelial marker of EMT. Vimentin is mainly expressed in cells of mesenchymal origin and it is often used as a marker for epithelial mesenchymal transition Alpha smooth muscle actin positive myofibroblast E-Cadherin is required for the maintenance of normal intercellular adhesion and barrier integrity in oral tissues [12]. Vimentin is one of the most familiar members of intermediate filaments (IFs), as it is the major IF protein in mesenchymal cells and it is frequently used as a developmental marker of cells and tissues [13].
  • 59.
    The reduction in epithelialexpression of E-Cadherin also called the Cadherin switch has been known to promote EMT by facilitating weakening of the intercellular junctions and promoting movement of epithelial cells towards the connective tissue [6]. Alpha smooth muscle actin positive myofibroblast have been demonstrated in type 2 EMT [7]. To confirm this mechanism, They investigated the Immuno-histochemical expression of three specific markers assessing EMT mechanism namely α- SMA, Vimentin and E- Cadherin. Alpha-SMA is a putative myofibroblast marker. Since myofibroblasts are implicated in EMT induced fibrosis they sought to analyse α – SMA expression in the samples.
  • 62.
    • Material andmethod: • The study involved 15 tissue blocks of inflammatory gingival hyperplasia taken from the archives of oral pathology, laboratory of oral diagnosis department, collage of dentistry/university of Baghdad. • Immunohistochemical expression of Vimentin, E- Chdaherin and α-SMA was assessed.
  • 63.
    Results: The mean numberof vimentin& E-Chadherin positive fibroblast were 51.43% & 48.56%, respectively, so as these two markers are biomarkers for EMT, it is suggested that EMT process may be involved at least partly in the pathogenesis of inflammatory gingival hyperplasia. Vimentin and E-Chadherin immunoreactivity of the connective tissue fibroblasts showed 100% positivity, while Alpha smooth muscle actin staining was mostly seen in the endothelial lined blood vessels with a few myofibroblast with in the connective tissue being stained positive. so increased expression and activation of TGF-B1 in inflammatory gingival hyperplasia (14) promote an epithelial cell plasticity that may progress to EMT [15].
  • 64.
    • Figure 1:Section of inflammatory ginigival hyperplasia showing vimentin expression in fbroblast cells of connective tissue (40x) • (A) Positive cytoplasmic expression of spindle cell fibroblast. • (B) Negatively stained. • Figure
  • 65.
    • Figure 2:Section of inflammatory ginigival hyperplasia showing Echadherin expression in fibroblast cells of connective (40x). • Surface epithelia (internal control for E- chadherin) positive membranous and negative cytoplasmic and nuclear staining. • (B) positive membranous expression of spindle cell fibroblast
  • 66.
    • Figure 3:Section of inflammatory ginigival hyperplasia showing alpha smooth muscle actin expression in fibroblast cells of connective tissue(40x). (A) positive cytoplasmic expression of spindle cell fibroblast.
  • 67.
    Jeopardized E-Chadherin expressioncould alter the cell phenotype from epithelial to fibroblast with spindle shape morphology [17]. Okada H and coworkers, (2000) have shown that the epithelial cells migrate from the epithelial layer, travel through the basement membrane and accumulate in the interstititium of the tissue; here they eventually get rid of their epithelial markers and gain a fully fibroblastic phenotype [18,19].
  • 71.
    Diseases 2019, 7,39 This enlargement results from an increase in the connective tissue elements of the submucosa and displays different severities, Hereditary gingival fibromatosis (HGF), also called elephantiasis gingivae, hereditary gingival hyperplasia, and hypertrophic gingiva, is a disorder characterized by progressive enlargement of the gingiva.
  • 72.
    sometimes covering theentire crowns of the teeth and deforming the palate, thereby creating occlusal and aesthetic problems, as well as causing difficulties in speech and mastication. Thickening of the alveolar ridge rarely appears at birth, typically initiates with the eruption of deciduous or permanent dentition, exacerbates during adolescence, and can persist within adulthood [1]. However radiographic imaging shows no specific changes in the teeth or alveolar bone.
  • 73.
    HGF may alsoexhibit an autosomal dominant or recessive mode of inheritance. The recessive pattern usually linked to other syndromes: Cowden, Jones, Goltz-Gorlin,; and other systemic diseases: cherubism, hypothyroidism, chondrodystrophy, growth hormone deficiency craniofacial dysmorphism or leukemia [3–6]. Histologically, HGF shows gingival features relatively acellular and with an increased amount of randomly arranged bundles of collagen. The overlying epithelium may be variable in thickness and have prominent, elongated rete ridges extending into the underlying connective tissue [8].
  • 74.
    These conditions arepresented with the epithelial to mesenchymal transition (EMT), where the basal lamina show disruptions and epithelial cells migrate into connective tissue and change their phenotypes to fibroblast-like cells [12]. However, these histological features are nonspecific, and the diagnosis should be based on clinical findings and family history [11]. In rare cases, the description includes deposition of amyloids and islands of odontogenic epithelium [10].
  • 75.
    Fibroblasts are thekey cells involved in the gingival production of collagen and respond to the local stress depending on the environmental conditions. Therefore, is essential that they have to maintain a good metabolic statement to respond to all aggressions. Chronic Periodontitis is related to oxidative stress [14], and previous studies have found a relationship between oxidative stress and cyclosporine-induced gingival overgrowth [15], but to date, no studies have linked this oxidative stress to HGF.
  • 79.
  • 85.
  • 86.
    3.5: Lipid Peroxidat ion • Lipidperoxidation could be a consequence of basal ROS overproduction or fewer antioxidants capacity and could indicate high levels of oxidative stress in gingival fibroblasts from the father compared to the control and his daughter (Figure 4D).
  • 87.
    Conclusions • The histologicaldata showed basal lamina disruption, epithelial cell migration into connective tissue and a lack of laminin 5 in their basal membrane. • In vitro results have demonstrated, for the first time, that collagen synthesis is influenced by an oxidant and can be restored by an antioxidant in HGF fibroblasts.