Failures of FixedFailures of Fixed
RestorationsRestorations
2
Much can be learnt about the service of restorations by collecting data and analyzing it.Much can be learnt about the service of restorations by collecting data and analyzing it.
Correlation between theCorrelation between the cause of failurecause of failure and theand the time elapsedtime elapsed from its placement to its failurefrom its placement to its failure
gives an insight on the performance of restorations intraorally.gives an insight on the performance of restorations intraorally.
Failure maybe :Failure maybe :
I. Immediate , short termI. Immediate , short term
 ex inadequate fit,ex inadequate fit,
 bad esthetics, ex improper shade selectionbad esthetics, ex improper shade selection
 pulp trauma.pulp trauma.
II.II. Progressive , long termProgressive , long term , in which case multiple factors play an active role. Ex, in which case multiple factors play an active role. Ex
Steps that arre overlooked during patient selection, treatment plan, faulty preparation, temporization,Steps that arre overlooked during patient selection, treatment plan, faulty preparation, temporization,
soft tissu handling. Impresion taking,restoration design , faulty margins, occlusion…………….soft tissu handling. Impresion taking,restoration design , faulty margins, occlusion…………….
 faulty restoration design ,faulty restoration design ,
 abutment selection orabutment selection or
 preparation which influence prosthesis success.preparation which influence prosthesis success.
 Connector fracture.Connector fracture.
 Ceramic debonding or fractureCeramic debonding or fracture
3
 Failure is defined as (partial) loss of the fixed
prosthetic restoration with or without loss of
abutment(s) (irreversible complication). Generally, the
reasons for failure are patient or clinician related
 The survival of Short span-FDPs is (70.8%) and Long
span-FDPs (52.8%) after 20 years (De Backer et al,
2008)
4
I. Biologic Failure:I. Biologic Failure:
1.1. Discomfort, pain and sensitivity:Discomfort, pain and sensitivity:
2.2. Caries.Caries.
3.3. Pulp Injury & Complications:Pulp Injury & Complications:
4.4. Periodontal Breakdown:Periodontal Breakdown:
5.5. Tooth PerforationTooth Perforation
6.6. Occlusal ProblemsOcclusal Problems
7.7. Abutment Fracture.Abutment Fracture.
 Coronal fractureCoronal fracture
 Root Fracture:Root Fracture:
5
1. Discomfort, pain and sensitivity :1. Discomfort, pain and sensitivity :
Patient may complain of pain during cementation if local anesthesiaPatient may complain of pain during cementation if local anesthesia
is not administered.is not administered.
However, at times the irritant nature of someHowever, at times the irritant nature of some cementscements ex zincex zinc
phosphate may cause irritation (acidity, over reduction, hydraulicphosphate may cause irritation (acidity, over reduction, hydraulic
pressure) eventually leading to inflammation and pulpitis.pressure) eventually leading to inflammation and pulpitis.
Varnish or bonding agent minimizes irritation of zinc phosphate cement.Varnish or bonding agent minimizes irritation of zinc phosphate cement.
6
Following cementation the patient may complain of pain as a resultFollowing cementation the patient may complain of pain as a result
of:of:
Causes:Causes:
1.1. Excessive pressure on ridge or soft tissue.Excessive pressure on ridge or soft tissue.
a.a. Foreign body on ridge.Foreign body on ridge.
b.b. Overextended cervical margin.Overextended cervical margin.
c.c. Faulty proximal margin resulting in food impaction.Faulty proximal margin resulting in food impaction.
d.d. Improper labial and lingual contour.Improper labial and lingual contour.
2. Food retention on the occlusal surface of the prosthesis.2. Food retention on the occlusal surface of the prosthesis.
3. Traumatic occlusion resulting in premature contact and pain.3. Traumatic occlusion resulting in premature contact and pain.
7
8
Marginal gingivitis due to
improper margins
Overcontouring
9
II. Pulp Injury & Complications:II. Pulp Injury & Complications:
Pain thatPain that does not subside with timedoes not subside with time is an indication of pulpis an indication of pulp
involvement and the need for pulp treatment.involvement and the need for pulp treatment.
Symptoms:Symptoms:
1.1. Intense pain whether spontaneous or related to thermal or sweetIntense pain whether spontaneous or related to thermal or sweet
stimuli.stimuli.
2.2. Pain intensified by posture ex lying down.Pain intensified by posture ex lying down.
3.3. Post insertion sensitivity that does not subside with time.Post insertion sensitivity that does not subside with time.
DiagnosisDiagnosis maybe confirmed by x rays and most oftenmaybe confirmed by x rays and most often root canalroot canal
therapytherapy is needed.is needed.
Access to the pulp is made through a hole in the prosthesis, which isAccess to the pulp is made through a hole in the prosthesis, which is
later restored with Au foil, amalgam or composite.later restored with Au foil, amalgam or composite.
Following root canal treatment the need for a new prosthesis maybeFollowing root canal treatment the need for a new prosthesis maybe
assessed.assessed.
10
Access cavity through the crown for endodontic treatment
11
III. Caries :III. Caries : ( Long term)( Long term)
1)1) Marginal cariesMarginal caries::
Generally begins at the surface and progresses inward. It may be theGenerally begins at the surface and progresses inward. It may be the
result ofresult of

incomplete caries removal, orincomplete caries removal, or
 a loose retainer that allows leakage.a loose retainer that allows leakage.
Space between the restoration & preparation allows cement solubilitySpace between the restoration & preparation allows cement solubility
resulting in gingival inflammation, caries and pulpal lesions.resulting in gingival inflammation, caries and pulpal lesions.
It isIt is detecteddetected by probing with a sharp explorer.by probing with a sharp explorer.
2)2) Proximal cariesProximal caries::
DetectedDetected radiographicallyradiographically. It requires prosthesis removal for proper. It requires prosthesis removal for proper
access and complete elimination.access and complete elimination.
3)3) Root caries:Root caries:
Higher incidence in old age due to decreased salivary flow orHigher incidence in old age due to decreased salivary flow or
medication. such as beta blockers & diuretics.medication. such as beta blockers & diuretics.
12
 Patient complaints:Patient complaints:
1.1. Pain orPain or sensitivity to cold or sweetsensitivity to cold or sweet foods and liquids.foods and liquids.
2.2. Bad taste.Bad taste.
3.3. Bad breath.Bad breath.
4.4. Retainer looseness.Retainer looseness.
Note:Note:
Poor oral hygiene is a prime factor in initiating and acceleratingPoor oral hygiene is a prime factor in initiating and accelerating
carious lesions. Dentists should always judge patient’s suitabilitycarious lesions. Dentists should always judge patient’s suitability
before starting treatment and establish strict measures forbefore starting treatment and establish strict measures for
plaque control and prosthetic maintenance.plaque control and prosthetic maintenance.
13
Loose ¾ retainer on canine
Carious canine in need of
root canal treatment
¾ retainer was cut and the
remaining bridge cemented
14
Marginal caries corrected with glass ionomer in fig 1 and Amalgam in fig 2
Fig 2
Fig 1
Treatment:Treatment:
In case ofIn case of marginal cariesmarginal caries gold foilgold foil was considered to be the best choicewas considered to be the best choice
amalgamamalgam maybe used as restorative in posterior areas due to its long termmaybe used as restorative in posterior areas due to its long term
marginal seal.,marginal seal.,
whilewhile composite or glass ionomercomposite or glass ionomer maybe used where esthetics is of value.maybe used where esthetics is of value.
15
Carious canine probably due to looseness of the retainer
 In case ofIn case of recurrent caries,recurrent caries, the restoration should bethe restoration should be
removed and the extent of caries properly determined,removed and the extent of caries properly determined,
eliminated and filled.eliminated and filled.
 In case ofIn case of extensive cariesextensive caries,, root canal treatment mayberoot canal treatment maybe
required.required.
 New prosthesis should be done with margins extendingNew prosthesis should be done with margins extending
below the lesion on sound tooth structure.below the lesion on sound tooth structure.
16
Cervical caries encircling
the whole neck of the tooth
17
18
4.Torque on abutment teeth. Caused by4.Torque on abutment teeth. Caused by
a.a. Alteration in the axial relation of abutments due to absence ofAlteration in the axial relation of abutments due to absence of
temporary restorations allowing abutment movement.temporary restorations allowing abutment movement.
b.b. Improper bridge assembly.Improper bridge assembly.
c.c. Connector fracture resulting in excessive load on the remainingConnector fracture resulting in excessive load on the remaining
abutments.abutments.
5.Cervical hypersensitivity caused by5.Cervical hypersensitivity caused by
a.a. Exposure of abutment neckExposure of abutment neck
b.b. Increased displacementIncreased displacement
c.c. Overextended margins of temporary or permanent restorationsOverextended margins of temporary or permanent restorations
d.d. Short or open marginsShort or open margins
e.e. Looseness causing sensitivity due to thermal changes.Looseness causing sensitivity due to thermal changes.
f.f. Cervical caries.Cervical caries.
19
20
IV. Periodontal Breakdown:IV. Periodontal Breakdown:
 Periodontal disease maybe localized or generalized.Periodontal disease maybe localized or generalized.
a. Localized periodontal involvementa. Localized periodontal involvement maybe induced by poorlymaybe induced by poorly
designed, made or maintained restorations.designed, made or maintained restorations.
i.i. Prosthesis which hinder plaque removal and oral hygieneProsthesis which hinder plaque removal and oral hygiene
measures.measures.
ii.ii. OvercontouredOvercontoured retainersretainers caused by insufficient axial reductioncaused by insufficient axial reduction
iii.iii. Large connectorsLarge connectors that hinder interproximal hygiene.that hinder interproximal hygiene.
iv.iv. Rough surfacesRough surfaces which allow plaque accumulation.which allow plaque accumulation.
 In case of early detection the cause is corrected and no furtherIn case of early detection the cause is corrected and no further
treatment is required.treatment is required.
b .Generalized bone lossb .Generalized bone loss caused by periodontal disease may result incaused by periodontal disease may result in
mobility and eventual loss of abutments.mobility and eventual loss of abutments.
If periodontal breakdown is advanced then the progress is arrestedIf periodontal breakdown is advanced then the progress is arrested
by periodontal treatment which may include surgery .by periodontal treatment which may include surgery .
Prosthetic design maybe altered to suit the oral conditionsProsthetic design maybe altered to suit the oral conditions
established ,some abutments maybe lost and new ones selected in aestablished ,some abutments maybe lost and new ones selected in a
new designed prosthesis depending on their evaluation.new designed prosthesis depending on their evaluation.
21
Overhangs !!!!!!
Closed interproximal
embrassure !!!!!!!!!!!!!!!
Inaccessibility to Oral Hygiene
Ledges!!!!!!!!!!!!!!!!!!!
Conclusion: Local periodontal
breakdown
22
Healthy periodontium after periodontal
therapy and bridge adjustment
Open margins
Plus
Closed embrasures
Overhangs !!!!!!
Closed interproximal
embrassure !!!!!!!!!!!!!!!
Inaccessibility to Oral
Hygiene
Ledges!!!!!!!!!!!!!!!!!!!
Conclusion: Local
periodontal breakdown
23
Marginal gingivitis due to
improper margins
Overcontouring
24
25
26
27
28
Sensitivity
due to
gingival
recession
at the
cervical
29
Periodontal breakdown after 9 years of service
30
Local periodontal
breakdown due to post
insertion in the bifurcation
31
V. Tooth Perforation :V. Tooth Perforation :
May occur during pinhole ,post insertion or during root canal
treatments. It maybe occlusal to the periodontal ligament, in the. It maybe occlusal to the periodontal ligament, in the
bifurcation, or even in the pulp.bifurcation, or even in the pulp.
Treatment depends on accessibility ex if perforation is locatedTreatment depends on accessibility ex if perforation is located
occlusal to the periodontal ligament, preparation maybe extended toocclusal to the periodontal ligament, preparation maybe extended to
cover the defect.cover the defect.
Root canal therapy is indicated in case of perforations into the pulp.Root canal therapy is indicated in case of perforations into the pulp.
In other cases periodontal surgery maybe performed and aIn other cases periodontal surgery maybe performed and a
restoration is placed into the perforated area.restoration is placed into the perforated area.
Inaccessible areas such as bifurcations may necessitate extraction.Inaccessible areas such as bifurcations may necessitate extraction.
VI. Occlusal Problems:VI. Occlusal Problems:
Premature contact in centric or eccentric may result in wear facetsPremature contact in centric or eccentric may result in wear facets
and induce teeth mobility .This maybe controlled by occlusaland induce teeth mobility .This maybe controlled by occlusal
adjustment. Bruxism maybe minimized by nightguards.adjustment. Bruxism maybe minimized by nightguards.
However, occlusal adjustment in periodontally involved teeth will notHowever, occlusal adjustment in periodontally involved teeth will not
reduce mobility.reduce mobility.
32
VII. Abutment Fracture:VII. Abutment Fracture:
a. Coronal fracturea. Coronal fracture They maybe caused by:They maybe caused by:
1.1. Overreduction leaving insufficient tooth structure to resistOverreduction leaving insufficient tooth structure to resist
occlusal forces.occlusal forces.
2.2. Recurrent caries.Recurrent caries.
3.3. Centric or eccentric prematurities.Centric or eccentric prematurities.
4.4. Forceful seating of improper fitting prosthesisForceful seating of improper fitting prosthesis
5.5. Incorrect or forceful removal of cemented prosthesis.Incorrect or forceful removal of cemented prosthesis.
Small marginal Fracture:Small marginal Fracture:
 These are insignificant and occur around inlays and partialThese are insignificant and occur around inlays and partial
coverage crowns. They maybe restored and filledcoverage crowns. They maybe restored and filled
prolonging the service of the restoration.prolonging the service of the restoration.
 However, if in doubt then remake the restorationHowever, if in doubt then remake the restoration
involving the lesion within the reduction.involving the lesion within the reduction.
33
Large Coronal Fractures:Large Coronal Fractures:
 Generally are treated by full coverage restorations.Generally are treated by full coverage restorations.
Abutment tooth fractures under full coverage restorationsAbutment tooth fractures under full coverage restorations
occur horizontally at the level of the F.L. leaving littleoccur horizontally at the level of the F.L. leaving little
coronal tooth structure.coronal tooth structure.
 These demand root canal treatment, post and core with newThese demand root canal treatment, post and core with new
restorations fabricated.restorations fabricated.
b. Root Fracture:b. Root Fracture: caused bycaused by
1.1. Excessive widening in root canals.Excessive widening in root canals.
2.2. Force seating of improper fitting post and core.Force seating of improper fitting post and core.
3.3. Caries.Caries.
4.4. Trauma.Trauma.
These have poor prognosis and should be extracted.These have poor prognosis and should be extracted.
34
Perforation of the
root
35
Overextended root
canal filling + short
post
Post in soft tissu
36
37
Root fracture due to trauma
38
II. Mechanical FailureII. Mechanical Failure
Loose inlay retainerLoose inlay retainer
39
II.Mechanical Failure:II.Mechanical Failure:
1.1. Loss of Retention: ( loose retainer)Loss of Retention: ( loose retainer)
2.2. Connector FailureConnector Failure
3.3. Occlusal Wear.Occlusal Wear.
4.4. Porcelain FracturePorcelain Fracture
A. Metal ceramic failure.A. Metal ceramic failure.
-Causes:-Causes:
1.1. Framework DesignFramework Design
2.2. OcclusionOcclusion
3.3. Metal HandlingMetal Handling
4.4. Preparation ,Impression and InsertionPreparation ,Impression and Insertion
5.5. Metal and Porcelain IncompatibilityMetal and Porcelain Incompatibility
B. Porcelain Jacket Crown FailureB. Porcelain Jacket Crown Failure
1.1. -vertical fracture-vertical fracture
2.2. -Facial cervical fracture-Facial cervical fracture
3.3. -Lingual fracture-Lingual fracture
4.4. -- TreatmentTreatment
40
I. Loss of Retention: ( loose retainer)I. Loss of Retention: ( loose retainer)
Loose retainers if not detected early may result in extensive caries.Loose retainers if not detected early may result in extensive caries.
Loose retainer may be diagnosed by the :Loose retainer may be diagnosed by the :
1.1. Presence of an acidic smell or foul odor in the mouth.Presence of an acidic smell or foul odor in the mouth.
2.2. The loose retainer may induce sensitivity to thermal changes and /or sweets.The loose retainer may induce sensitivity to thermal changes and /or sweets.
3.3. An attempt to move the restoration occlusocervically will cause fluids to beAn attempt to move the restoration occlusocervically will cause fluids to be
drawn under the casting which are expressed on seating producing bubbles.drawn under the casting which are expressed on seating producing bubbles.
Cause of loose retainers :Cause of loose retainers :
1.1. Improper cementation ex moisture contamination.Improper cementation ex moisture contamination.
2.2. Inadequate retention.Inadequate retention.
3.3. Excessive span length or heavy occlusal forcesExcessive span length or heavy occlusal forces
41
Diagnosis of loose retainer:
Moving the restoration up &
down produces bubbles at the
margin of the loose retainer
42
Treatment:Treatment:
 If restoration is removed intact it maybe recemented.If restoration is removed intact it maybe recemented.
 However if the cause is lack of adequate retention due toHowever if the cause is lack of adequate retention due to
inadequate retention the preparation needs to be modifiedinadequate retention the preparation needs to be modified
and a new prosthesis made.and a new prosthesis made.
II. Connector Failure:II. Connector Failure:
 Connectors may fracture due to metal weakening causedConnectors may fracture due to metal weakening caused
by casting porosity.by casting porosity.
 Connector fracture will cause excessive forces on theConnector fracture will cause excessive forces on the
surviving abutment as the prosthesis will act as asurviving abutment as the prosthesis will act as a
cantilever bridge.cantilever bridge.
 Therefore immediate treatment should be done.Therefore immediate treatment should be done.
43
Connector fracture due to small joint area occlusogingivally
44
45
III.III. Occlusal Wear :Occlusal Wear :
With normal attrition the metal occlusal surface may wear down over 2-3With normal attrition the metal occlusal surface may wear down over 2-3
decades. This maybe accelerated in thin castings in case of insufficient reductiondecades. This maybe accelerated in thin castings in case of insufficient reduction
Perforations allow leakage and caries.Perforations allow leakage and caries.
 Heavy forces, clenching and bruxism lead to accelerated prosthesis wear.Heavy forces, clenching and bruxism lead to accelerated prosthesis wear.
 In case ofIn case of metal castingsmetal castings this eventually develops into a perforation whichthis eventually develops into a perforation which
allows leakage resulting in caries and prosthesis failure. Early detection maybeallows leakage resulting in caries and prosthesis failure. Early detection maybe
sealed by gold or amalgam prolonging the service of the restoration.sealed by gold or amalgam prolonging the service of the restoration.
 In case ofIn case of ceramic restorationsceramic restorations opposing natural teethopposing natural teeth, enamel wear occurs that, enamel wear occurs that
may even reach dentine.may even reach dentine.
 Ceramic restorations opposing metalCeramic restorations opposing metal restorations also cause their wear .restorations also cause their wear .
 In case ofIn case of heavy biteheavy bite it is better to make castings with metal occlusal surfaces toit is better to make castings with metal occlusal surfaces to
preserve the integrity of the opposing surfaces.preserve the integrity of the opposing surfaces.
 At timesAt times deliberate occlusal perforationsdeliberate occlusal perforations may be made for root canal therapy andmay be made for root canal therapy and
then sealed.then sealed.
46
Wear of opposing teeth due
to occlusal attrition of
enamel by the porcelain
47
Metal perforation and all ceramic cervical fracture
Porcelain
fracture
48
49
IV.IV. Porcelain Fracture:Porcelain Fracture:
Metal ceramic failure: maybe caused by:Metal ceramic failure: maybe caused by:
1.1. Incorrect framework design:Incorrect framework design:
Thin metal copings (less than 0.2 mm) do not support porcelain and allowThin metal copings (less than 0.2 mm) do not support porcelain and allow
metal flexure.metal flexure.
Frameworks that allow centric contacts on or close to metal ceramicFrameworks that allow centric contacts on or close to metal ceramic
junctions.junctions.
Improper metal ceramic cutback angle ex too close to occlusal orImproper metal ceramic cutback angle ex too close to occlusal or
proximal cutback.proximal cutback.
Sharp angles or irregular rough areas over the veneering areas cause stressSharp angles or irregular rough areas over the veneering areas cause stress
concentration.concentration.
2.2. Occlusal interferencesOcclusal interferences caused by heavy forces, eccentric contacts orcaused by heavy forces, eccentric contacts or
parafunctional habits.parafunctional habits.
3. Trauma3. Trauma
50
Long span FPD ,framework flexing resulting in ceramic fracture
51
52
Unsupported cusp tipUnsupported cusp tip
& Ceramic too thick& Ceramic too thick
Lack ofLack of
adequateadequate
supportsupport !!!!!!!!!!!!!!!!!!!!!!!!!!!!!!!!!!
53
54
55
4.Debonding4.Debonding::
a.a. Separation of the metal and ceramic caused by improper metalSeparation of the metal and ceramic caused by improper metal
handling such ashandling such as
contamination andcontamination and
excessive oxide formation,excessive oxide formation,
which may interfere with bonding.which may interfere with bonding.
b.b. Metal and porcelain incompatibility.Metal and porcelain incompatibility.
5.Undercut preparation ,5.Undercut preparation , distorted impression and extendeddistorted impression and extended
cervical feather edge margins may cause cracks duringcervical feather edge margins may cause cracks during
forceful prosthesis insertion.forceful prosthesis insertion.
 If the prosthesis is otherwise satisfactory, an attempt maybe made toIf the prosthesis is otherwise satisfactory, an attempt maybe made to
repair the fractured part using a silane coupling agent or 4-meta torepair the fractured part using a silane coupling agent or 4-meta to
promote bonding. This solution is considered a temporary one.promote bonding. This solution is considered a temporary one.
56
Fractured ceramic facing
Overly crown to cover the
lost ceramic veneer
57
Debonding of ceramic,
58
Porcelain repair with composite
59
Intraoral blaster for roughening of
porcelain before repair using composite
60
Worn acrylic resin facing
61
62
Improper Embrassure
Connector metal display
63
Metal display
Improper color
Gingival architecture
Improper size, assymetric , left much larger than right side
Worn resin in lower right mandibular
64
b) Porcelain Jacket Crown Failureb) Porcelain Jacket Crown Failure ::
usually caused by faulty reductions or wrong patientusually caused by faulty reductions or wrong patient
selection ex presence of excessive forces andselection ex presence of excessive forces and
parafunctional habits.parafunctional habits.
1.1. Vertical fractureVertical fracture may occur in case ofmay occur in case of
1.1. Tapered F.L.(such as chamfer, bevel or feather edge,Tapered F.L.(such as chamfer, bevel or feather edge,
indefinite FL) which results in restorations contacting theindefinite FL) which results in restorations contacting the
tooth on a sloping surfacetooth on a sloping surface
2.2. Abutments with unrestored proximal restorationsAbutments with unrestored proximal restorations
3.3. Round preparation forms which have no resistance toRound preparation forms which have no resistance to
rotational forces.rotational forces.
4.4. Sharp areas in the reduction producing high stress in theSharp areas in the reduction producing high stress in the
restoration.restoration.
65
2.2. Facial semilunarFacial semilunar cervical fracturecervical fracture caused by:caused by:
 Short tooth preparations - the OG length of theShort tooth preparations - the OG length of the
preparation should be 2/3 to 3/4 that of the finalpreparation should be 2/3 to 3/4 that of the final
restoration.restoration.
 Incisal forces may tip the restoration facially causingIncisal forces may tip the restoration facially causing
cervical fracture.cervical fracture.
66
3. Lingual fracture:3. Lingual fracture:
 Semilunar fractures result from occlusion occurring cervical to theSemilunar fractures result from occlusion occurring cervical to the
cingulum resulting in shear forces.cingulum resulting in shear forces.
 Other fractures are caused by inadequate lingual reduction with lessOther fractures are caused by inadequate lingual reduction with less
than 1mm porcelain thickness.than 1mm porcelain thickness.
 Excessive occlusal forces. Ex in patients with clenchingExcessive occlusal forces. Ex in patients with clenching
67
a.Porosity in the ceramic
b. Devitrified porcelain
c. Contaminated porcelain
68
69
70
III. Esthetic FailureIII. Esthetic Failure
Some patients have unrealistic expectations but inSome patients have unrealistic expectations but in
general there are common esthetic failures.general there are common esthetic failures.
1.Improper1.Improper shade selectionshade selection. ex Metamerism.. ex Metamerism.
2.Unacceptable2.Unacceptable color matchcolor match may result over the years due to the colormay result over the years due to the color
changes which occur in natural teeth.changes which occur in natural teeth.
3.Insufficient tooth reduction,3.Insufficient tooth reduction, allowing insufficient porcelain thicknessallowing insufficient porcelain thickness
to reproduce color and translucency .to reproduce color and translucency .
4.Lack of translucency4.Lack of translucency:: this is most common with metal ceramicthis is most common with metal ceramic
restorations due to the fact that metal blocks out the light
transmission causing dead, dull or opaque artificial coloring
effect.
5.Metal display:5.Metal display:
 Incorrect form or framework design that displays metal.Incorrect form or framework design that displays metal.
 In partial coverage cases overextension may result inIn partial coverage cases overextension may result in metal displaymetal display..
 Thin translucent teeth allowing metal to show through.Thin translucent teeth allowing metal to show through.
71
6.Poor soft tissue6.Poor soft tissue restorationrestoration relationship. Improperrelationship. Improper
marginal fit or overcontouring may result in localmarginal fit or overcontouring may result in local
inflammation, and plaque accumulation with unnaturalinflammation, and plaque accumulation with unnatural
esthetics.esthetics.
7.Color monotony7.Color monotony:: the tooth appears as if it is made ofthe tooth appears as if it is made of
dentine only.dentine only.
8.Artificial teeth arrangement8.Artificial teeth arrangement:: ex too uniform arrangementex too uniform arrangement
of teeth gives an artificial look, while natural built-inof teeth gives an artificial look, while natural built-in
irregularities give a more natural look,irregularities give a more natural look,
Also, disregarding age changes on restoration color andAlso, disregarding age changes on restoration color and
surface texture allows restorations to stand out.surface texture allows restorations to stand out.
9.Lack of symmetry & harmony9.Lack of symmetry & harmony with neighboring teethwith neighboring teeth
when reproducing form or color.when reproducing form or color.
10.Acrylic facings:10.Acrylic facings: maybe lost, worn or discolored. If themaybe lost, worn or discolored. If the
metal is satisfactory then remove all or part of the facing,metal is satisfactory then remove all or part of the facing,
grit blast the metal and repair with composite.grit blast the metal and repair with composite.
72
Esthetic FailureEsthetic Failure
Metal display in case of partial
coverage restorations
1. Metal showing through Resin
bonded restorations due
insufficient labial reduction .Use
opaque cement
..Insufficient tooth reduction,Insufficient tooth reduction,
1. Asymmetric left & right
restorations
73
Cervical margins: Supragingival /Opaque
Left canine more contoured than right canine
Incisal plane of incisors same level
Emergence profile of both centrals is asymmetric
Lack of translucency:Lack of translucency:
74
Color monotony , no translucency
75
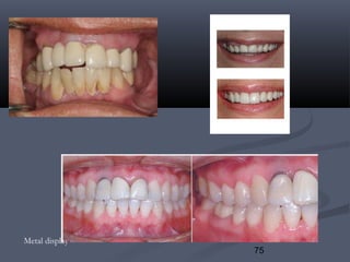
Metal display
76
77
78
79
Surface texture of the ceramic
restoration must be similar to that
of the tooth to simulate the
reflection of light
80
Common mistakes in MC F.P.D.
81
Shoulder porcelain
82
83
Worn acrylic facing
Metal display
Correct modified
ridge lap area of
pontic design
84
Incorrect color
Metal display
85
A.Rt central too long
C. Pontics too short
86
87
Failure of Laminate Veneers:Failure of Laminate Veneers:
A. Mechanical Failure:A. Mechanical Failure:
 FractureFracture occurs mainly at the incisal edge, affectingoccurs mainly at the incisal edge, affecting
mainly laminates at the incisal edge .This mostlymainly laminates at the incisal edge .This mostly
occurs in laminates produced without overlaying theoccurs in laminates produced without overlaying the
occlusal edge.occlusal edge.
 DebondingDebonding : rare with recent adhesives and correct: rare with recent adhesives and correct
surface treatments using recent adhesives .It is mostlysurface treatments using recent adhesives .It is mostly
due to an error during the procedure ex using andue to an error during the procedure ex using an
expired adhesive, faulty etching of ceramic or toothexpired adhesive, faulty etching of ceramic or tooth
ceramic.ceramic.
88
B. Biologic Failure:B. Biologic Failure:
 Post operative sensitivity is a result of marginal leakagePost operative sensitivity is a result of marginal leakage ..ItIt
waswas a common failure in the 80s but with the introductiona common failure in the 80s but with the introduction
of modern adhesives and ceramic technology adhesion isof modern adhesives and ceramic technology adhesion is
maximizedmaximized resulting in minimal microleakage.resulting in minimal microleakage.
c. Esthetic Failure:c. Esthetic Failure:
 Natural light transmission of laminates can be achieved byNatural light transmission of laminates can be achieved by
layering However, in case of severe discoloration,layering However, in case of severe discoloration,
translucency and natural light transmission cannot alwaystranslucency and natural light transmission cannot always
be achieved as there is insufficient thickness for opaquebe achieved as there is insufficient thickness for opaque
ceramic than translucent ceramic.ceramic than translucent ceramic.
 Replacing failed veneers is difficult as grinding with aReplacing failed veneers is difficult as grinding with a
diamond stone is done stopping regularly to ensure thatdiamond stone is done stopping regularly to ensure that
enamel is not damaged.enamel is not damaged.

Failures of fixed restorations

  • 1.
    Failures of FixedFailuresof Fixed RestorationsRestorations
  • 2.
    2 Much can belearnt about the service of restorations by collecting data and analyzing it.Much can be learnt about the service of restorations by collecting data and analyzing it. Correlation between theCorrelation between the cause of failurecause of failure and theand the time elapsedtime elapsed from its placement to its failurefrom its placement to its failure gives an insight on the performance of restorations intraorally.gives an insight on the performance of restorations intraorally. Failure maybe :Failure maybe : I. Immediate , short termI. Immediate , short term  ex inadequate fit,ex inadequate fit,  bad esthetics, ex improper shade selectionbad esthetics, ex improper shade selection  pulp trauma.pulp trauma. II.II. Progressive , long termProgressive , long term , in which case multiple factors play an active role. Ex, in which case multiple factors play an active role. Ex Steps that arre overlooked during patient selection, treatment plan, faulty preparation, temporization,Steps that arre overlooked during patient selection, treatment plan, faulty preparation, temporization, soft tissu handling. Impresion taking,restoration design , faulty margins, occlusion…………….soft tissu handling. Impresion taking,restoration design , faulty margins, occlusion…………….  faulty restoration design ,faulty restoration design ,  abutment selection orabutment selection or  preparation which influence prosthesis success.preparation which influence prosthesis success.  Connector fracture.Connector fracture.  Ceramic debonding or fractureCeramic debonding or fracture
  • 3.
    3  Failure isdefined as (partial) loss of the fixed prosthetic restoration with or without loss of abutment(s) (irreversible complication). Generally, the reasons for failure are patient or clinician related  The survival of Short span-FDPs is (70.8%) and Long span-FDPs (52.8%) after 20 years (De Backer et al, 2008)
  • 4.
    4 I. Biologic Failure:I.Biologic Failure: 1.1. Discomfort, pain and sensitivity:Discomfort, pain and sensitivity: 2.2. Caries.Caries. 3.3. Pulp Injury & Complications:Pulp Injury & Complications: 4.4. Periodontal Breakdown:Periodontal Breakdown: 5.5. Tooth PerforationTooth Perforation 6.6. Occlusal ProblemsOcclusal Problems 7.7. Abutment Fracture.Abutment Fracture.  Coronal fractureCoronal fracture  Root Fracture:Root Fracture:
  • 5.
    5 1. Discomfort, painand sensitivity :1. Discomfort, pain and sensitivity : Patient may complain of pain during cementation if local anesthesiaPatient may complain of pain during cementation if local anesthesia is not administered.is not administered. However, at times the irritant nature of someHowever, at times the irritant nature of some cementscements ex zincex zinc phosphate may cause irritation (acidity, over reduction, hydraulicphosphate may cause irritation (acidity, over reduction, hydraulic pressure) eventually leading to inflammation and pulpitis.pressure) eventually leading to inflammation and pulpitis. Varnish or bonding agent minimizes irritation of zinc phosphate cement.Varnish or bonding agent minimizes irritation of zinc phosphate cement.
  • 6.
    6 Following cementation thepatient may complain of pain as a resultFollowing cementation the patient may complain of pain as a result of:of: Causes:Causes: 1.1. Excessive pressure on ridge or soft tissue.Excessive pressure on ridge or soft tissue. a.a. Foreign body on ridge.Foreign body on ridge. b.b. Overextended cervical margin.Overextended cervical margin. c.c. Faulty proximal margin resulting in food impaction.Faulty proximal margin resulting in food impaction. d.d. Improper labial and lingual contour.Improper labial and lingual contour. 2. Food retention on the occlusal surface of the prosthesis.2. Food retention on the occlusal surface of the prosthesis. 3. Traumatic occlusion resulting in premature contact and pain.3. Traumatic occlusion resulting in premature contact and pain.
  • 7.
  • 8.
    8 Marginal gingivitis dueto improper margins Overcontouring
  • 9.
    9 II. Pulp Injury& Complications:II. Pulp Injury & Complications: Pain thatPain that does not subside with timedoes not subside with time is an indication of pulpis an indication of pulp involvement and the need for pulp treatment.involvement and the need for pulp treatment. Symptoms:Symptoms: 1.1. Intense pain whether spontaneous or related to thermal or sweetIntense pain whether spontaneous or related to thermal or sweet stimuli.stimuli. 2.2. Pain intensified by posture ex lying down.Pain intensified by posture ex lying down. 3.3. Post insertion sensitivity that does not subside with time.Post insertion sensitivity that does not subside with time. DiagnosisDiagnosis maybe confirmed by x rays and most oftenmaybe confirmed by x rays and most often root canalroot canal therapytherapy is needed.is needed. Access to the pulp is made through a hole in the prosthesis, which isAccess to the pulp is made through a hole in the prosthesis, which is later restored with Au foil, amalgam or composite.later restored with Au foil, amalgam or composite. Following root canal treatment the need for a new prosthesis maybeFollowing root canal treatment the need for a new prosthesis maybe assessed.assessed.
  • 10.
    10 Access cavity throughthe crown for endodontic treatment
  • 11.
    11 III. Caries :III.Caries : ( Long term)( Long term) 1)1) Marginal cariesMarginal caries:: Generally begins at the surface and progresses inward. It may be theGenerally begins at the surface and progresses inward. It may be the result ofresult of  incomplete caries removal, orincomplete caries removal, or  a loose retainer that allows leakage.a loose retainer that allows leakage. Space between the restoration & preparation allows cement solubilitySpace between the restoration & preparation allows cement solubility resulting in gingival inflammation, caries and pulpal lesions.resulting in gingival inflammation, caries and pulpal lesions. It isIt is detecteddetected by probing with a sharp explorer.by probing with a sharp explorer. 2)2) Proximal cariesProximal caries:: DetectedDetected radiographicallyradiographically. It requires prosthesis removal for proper. It requires prosthesis removal for proper access and complete elimination.access and complete elimination. 3)3) Root caries:Root caries: Higher incidence in old age due to decreased salivary flow orHigher incidence in old age due to decreased salivary flow or medication. such as beta blockers & diuretics.medication. such as beta blockers & diuretics.
  • 12.
    12  Patient complaints:Patientcomplaints: 1.1. Pain orPain or sensitivity to cold or sweetsensitivity to cold or sweet foods and liquids.foods and liquids. 2.2. Bad taste.Bad taste. 3.3. Bad breath.Bad breath. 4.4. Retainer looseness.Retainer looseness. Note:Note: Poor oral hygiene is a prime factor in initiating and acceleratingPoor oral hygiene is a prime factor in initiating and accelerating carious lesions. Dentists should always judge patient’s suitabilitycarious lesions. Dentists should always judge patient’s suitability before starting treatment and establish strict measures forbefore starting treatment and establish strict measures for plaque control and prosthetic maintenance.plaque control and prosthetic maintenance.
  • 13.
    13 Loose ¾ retaineron canine Carious canine in need of root canal treatment ¾ retainer was cut and the remaining bridge cemented
  • 14.
    14 Marginal caries correctedwith glass ionomer in fig 1 and Amalgam in fig 2 Fig 2 Fig 1 Treatment:Treatment: In case ofIn case of marginal cariesmarginal caries gold foilgold foil was considered to be the best choicewas considered to be the best choice amalgamamalgam maybe used as restorative in posterior areas due to its long termmaybe used as restorative in posterior areas due to its long term marginal seal.,marginal seal., whilewhile composite or glass ionomercomposite or glass ionomer maybe used where esthetics is of value.maybe used where esthetics is of value.
  • 15.
    15 Carious canine probablydue to looseness of the retainer  In case ofIn case of recurrent caries,recurrent caries, the restoration should bethe restoration should be removed and the extent of caries properly determined,removed and the extent of caries properly determined, eliminated and filled.eliminated and filled.  In case ofIn case of extensive cariesextensive caries,, root canal treatment mayberoot canal treatment maybe required.required.  New prosthesis should be done with margins extendingNew prosthesis should be done with margins extending below the lesion on sound tooth structure.below the lesion on sound tooth structure.
  • 16.
    16 Cervical caries encircling thewhole neck of the tooth
  • 17.
  • 18.
    18 4.Torque on abutmentteeth. Caused by4.Torque on abutment teeth. Caused by a.a. Alteration in the axial relation of abutments due to absence ofAlteration in the axial relation of abutments due to absence of temporary restorations allowing abutment movement.temporary restorations allowing abutment movement. b.b. Improper bridge assembly.Improper bridge assembly. c.c. Connector fracture resulting in excessive load on the remainingConnector fracture resulting in excessive load on the remaining abutments.abutments. 5.Cervical hypersensitivity caused by5.Cervical hypersensitivity caused by a.a. Exposure of abutment neckExposure of abutment neck b.b. Increased displacementIncreased displacement c.c. Overextended margins of temporary or permanent restorationsOverextended margins of temporary or permanent restorations d.d. Short or open marginsShort or open margins e.e. Looseness causing sensitivity due to thermal changes.Looseness causing sensitivity due to thermal changes. f.f. Cervical caries.Cervical caries.
  • 19.
  • 20.
    20 IV. Periodontal Breakdown:IV.Periodontal Breakdown:  Periodontal disease maybe localized or generalized.Periodontal disease maybe localized or generalized. a. Localized periodontal involvementa. Localized periodontal involvement maybe induced by poorlymaybe induced by poorly designed, made or maintained restorations.designed, made or maintained restorations. i.i. Prosthesis which hinder plaque removal and oral hygieneProsthesis which hinder plaque removal and oral hygiene measures.measures. ii.ii. OvercontouredOvercontoured retainersretainers caused by insufficient axial reductioncaused by insufficient axial reduction iii.iii. Large connectorsLarge connectors that hinder interproximal hygiene.that hinder interproximal hygiene. iv.iv. Rough surfacesRough surfaces which allow plaque accumulation.which allow plaque accumulation.  In case of early detection the cause is corrected and no furtherIn case of early detection the cause is corrected and no further treatment is required.treatment is required. b .Generalized bone lossb .Generalized bone loss caused by periodontal disease may result incaused by periodontal disease may result in mobility and eventual loss of abutments.mobility and eventual loss of abutments. If periodontal breakdown is advanced then the progress is arrestedIf periodontal breakdown is advanced then the progress is arrested by periodontal treatment which may include surgery .by periodontal treatment which may include surgery . Prosthetic design maybe altered to suit the oral conditionsProsthetic design maybe altered to suit the oral conditions established ,some abutments maybe lost and new ones selected in aestablished ,some abutments maybe lost and new ones selected in a new designed prosthesis depending on their evaluation.new designed prosthesis depending on their evaluation.
  • 21.
    21 Overhangs !!!!!! Closed interproximal embrassure!!!!!!!!!!!!!!! Inaccessibility to Oral Hygiene Ledges!!!!!!!!!!!!!!!!!!! Conclusion: Local periodontal breakdown
  • 22.
    22 Healthy periodontium afterperiodontal therapy and bridge adjustment Open margins Plus Closed embrasures Overhangs !!!!!! Closed interproximal embrassure !!!!!!!!!!!!!!! Inaccessibility to Oral Hygiene Ledges!!!!!!!!!!!!!!!!!!! Conclusion: Local periodontal breakdown
  • 23.
    23 Marginal gingivitis dueto improper margins Overcontouring
  • 24.
  • 25.
  • 26.
  • 27.
  • 28.
  • 29.
  • 30.
    30 Local periodontal breakdown dueto post insertion in the bifurcation
  • 31.
    31 V. Tooth Perforation:V. Tooth Perforation : May occur during pinhole ,post insertion or during root canal treatments. It maybe occlusal to the periodontal ligament, in the. It maybe occlusal to the periodontal ligament, in the bifurcation, or even in the pulp.bifurcation, or even in the pulp. Treatment depends on accessibility ex if perforation is locatedTreatment depends on accessibility ex if perforation is located occlusal to the periodontal ligament, preparation maybe extended toocclusal to the periodontal ligament, preparation maybe extended to cover the defect.cover the defect. Root canal therapy is indicated in case of perforations into the pulp.Root canal therapy is indicated in case of perforations into the pulp. In other cases periodontal surgery maybe performed and aIn other cases periodontal surgery maybe performed and a restoration is placed into the perforated area.restoration is placed into the perforated area. Inaccessible areas such as bifurcations may necessitate extraction.Inaccessible areas such as bifurcations may necessitate extraction. VI. Occlusal Problems:VI. Occlusal Problems: Premature contact in centric or eccentric may result in wear facetsPremature contact in centric or eccentric may result in wear facets and induce teeth mobility .This maybe controlled by occlusaland induce teeth mobility .This maybe controlled by occlusal adjustment. Bruxism maybe minimized by nightguards.adjustment. Bruxism maybe minimized by nightguards. However, occlusal adjustment in periodontally involved teeth will notHowever, occlusal adjustment in periodontally involved teeth will not reduce mobility.reduce mobility.
  • 32.
    32 VII. Abutment Fracture:VII.Abutment Fracture: a. Coronal fracturea. Coronal fracture They maybe caused by:They maybe caused by: 1.1. Overreduction leaving insufficient tooth structure to resistOverreduction leaving insufficient tooth structure to resist occlusal forces.occlusal forces. 2.2. Recurrent caries.Recurrent caries. 3.3. Centric or eccentric prematurities.Centric or eccentric prematurities. 4.4. Forceful seating of improper fitting prosthesisForceful seating of improper fitting prosthesis 5.5. Incorrect or forceful removal of cemented prosthesis.Incorrect or forceful removal of cemented prosthesis. Small marginal Fracture:Small marginal Fracture:  These are insignificant and occur around inlays and partialThese are insignificant and occur around inlays and partial coverage crowns. They maybe restored and filledcoverage crowns. They maybe restored and filled prolonging the service of the restoration.prolonging the service of the restoration.  However, if in doubt then remake the restorationHowever, if in doubt then remake the restoration involving the lesion within the reduction.involving the lesion within the reduction.
  • 33.
    33 Large Coronal Fractures:LargeCoronal Fractures:  Generally are treated by full coverage restorations.Generally are treated by full coverage restorations. Abutment tooth fractures under full coverage restorationsAbutment tooth fractures under full coverage restorations occur horizontally at the level of the F.L. leaving littleoccur horizontally at the level of the F.L. leaving little coronal tooth structure.coronal tooth structure.  These demand root canal treatment, post and core with newThese demand root canal treatment, post and core with new restorations fabricated.restorations fabricated. b. Root Fracture:b. Root Fracture: caused bycaused by 1.1. Excessive widening in root canals.Excessive widening in root canals. 2.2. Force seating of improper fitting post and core.Force seating of improper fitting post and core. 3.3. Caries.Caries. 4.4. Trauma.Trauma. These have poor prognosis and should be extracted.These have poor prognosis and should be extracted.
  • 34.
  • 35.
    35 Overextended root canal filling+ short post Post in soft tissu
  • 36.
  • 37.
  • 38.
    38 II. Mechanical FailureII.Mechanical Failure Loose inlay retainerLoose inlay retainer
  • 39.
    39 II.Mechanical Failure:II.Mechanical Failure: 1.1.Loss of Retention: ( loose retainer)Loss of Retention: ( loose retainer) 2.2. Connector FailureConnector Failure 3.3. Occlusal Wear.Occlusal Wear. 4.4. Porcelain FracturePorcelain Fracture A. Metal ceramic failure.A. Metal ceramic failure. -Causes:-Causes: 1.1. Framework DesignFramework Design 2.2. OcclusionOcclusion 3.3. Metal HandlingMetal Handling 4.4. Preparation ,Impression and InsertionPreparation ,Impression and Insertion 5.5. Metal and Porcelain IncompatibilityMetal and Porcelain Incompatibility B. Porcelain Jacket Crown FailureB. Porcelain Jacket Crown Failure 1.1. -vertical fracture-vertical fracture 2.2. -Facial cervical fracture-Facial cervical fracture 3.3. -Lingual fracture-Lingual fracture 4.4. -- TreatmentTreatment
  • 40.
    40 I. Loss ofRetention: ( loose retainer)I. Loss of Retention: ( loose retainer) Loose retainers if not detected early may result in extensive caries.Loose retainers if not detected early may result in extensive caries. Loose retainer may be diagnosed by the :Loose retainer may be diagnosed by the : 1.1. Presence of an acidic smell or foul odor in the mouth.Presence of an acidic smell or foul odor in the mouth. 2.2. The loose retainer may induce sensitivity to thermal changes and /or sweets.The loose retainer may induce sensitivity to thermal changes and /or sweets. 3.3. An attempt to move the restoration occlusocervically will cause fluids to beAn attempt to move the restoration occlusocervically will cause fluids to be drawn under the casting which are expressed on seating producing bubbles.drawn under the casting which are expressed on seating producing bubbles. Cause of loose retainers :Cause of loose retainers : 1.1. Improper cementation ex moisture contamination.Improper cementation ex moisture contamination. 2.2. Inadequate retention.Inadequate retention. 3.3. Excessive span length or heavy occlusal forcesExcessive span length or heavy occlusal forces
  • 41.
    41 Diagnosis of looseretainer: Moving the restoration up & down produces bubbles at the margin of the loose retainer
  • 42.
    42 Treatment:Treatment:  If restorationis removed intact it maybe recemented.If restoration is removed intact it maybe recemented.  However if the cause is lack of adequate retention due toHowever if the cause is lack of adequate retention due to inadequate retention the preparation needs to be modifiedinadequate retention the preparation needs to be modified and a new prosthesis made.and a new prosthesis made. II. Connector Failure:II. Connector Failure:  Connectors may fracture due to metal weakening causedConnectors may fracture due to metal weakening caused by casting porosity.by casting porosity.  Connector fracture will cause excessive forces on theConnector fracture will cause excessive forces on the surviving abutment as the prosthesis will act as asurviving abutment as the prosthesis will act as a cantilever bridge.cantilever bridge.  Therefore immediate treatment should be done.Therefore immediate treatment should be done.
  • 43.
    43 Connector fracture dueto small joint area occlusogingivally
  • 44.
  • 45.
    45 III.III. Occlusal Wear:Occlusal Wear : With normal attrition the metal occlusal surface may wear down over 2-3With normal attrition the metal occlusal surface may wear down over 2-3 decades. This maybe accelerated in thin castings in case of insufficient reductiondecades. This maybe accelerated in thin castings in case of insufficient reduction Perforations allow leakage and caries.Perforations allow leakage and caries.  Heavy forces, clenching and bruxism lead to accelerated prosthesis wear.Heavy forces, clenching and bruxism lead to accelerated prosthesis wear.  In case ofIn case of metal castingsmetal castings this eventually develops into a perforation whichthis eventually develops into a perforation which allows leakage resulting in caries and prosthesis failure. Early detection maybeallows leakage resulting in caries and prosthesis failure. Early detection maybe sealed by gold or amalgam prolonging the service of the restoration.sealed by gold or amalgam prolonging the service of the restoration.  In case ofIn case of ceramic restorationsceramic restorations opposing natural teethopposing natural teeth, enamel wear occurs that, enamel wear occurs that may even reach dentine.may even reach dentine.  Ceramic restorations opposing metalCeramic restorations opposing metal restorations also cause their wear .restorations also cause their wear .  In case ofIn case of heavy biteheavy bite it is better to make castings with metal occlusal surfaces toit is better to make castings with metal occlusal surfaces to preserve the integrity of the opposing surfaces.preserve the integrity of the opposing surfaces.  At timesAt times deliberate occlusal perforationsdeliberate occlusal perforations may be made for root canal therapy andmay be made for root canal therapy and then sealed.then sealed.
  • 46.
    46 Wear of opposingteeth due to occlusal attrition of enamel by the porcelain
  • 47.
    47 Metal perforation andall ceramic cervical fracture Porcelain fracture
  • 48.
  • 49.
    49 IV.IV. Porcelain Fracture:PorcelainFracture: Metal ceramic failure: maybe caused by:Metal ceramic failure: maybe caused by: 1.1. Incorrect framework design:Incorrect framework design: Thin metal copings (less than 0.2 mm) do not support porcelain and allowThin metal copings (less than 0.2 mm) do not support porcelain and allow metal flexure.metal flexure. Frameworks that allow centric contacts on or close to metal ceramicFrameworks that allow centric contacts on or close to metal ceramic junctions.junctions. Improper metal ceramic cutback angle ex too close to occlusal orImproper metal ceramic cutback angle ex too close to occlusal or proximal cutback.proximal cutback. Sharp angles or irregular rough areas over the veneering areas cause stressSharp angles or irregular rough areas over the veneering areas cause stress concentration.concentration. 2.2. Occlusal interferencesOcclusal interferences caused by heavy forces, eccentric contacts orcaused by heavy forces, eccentric contacts or parafunctional habits.parafunctional habits. 3. Trauma3. Trauma
  • 50.
    50 Long span FPD,framework flexing resulting in ceramic fracture
  • 51.
  • 52.
    52 Unsupported cusp tipUnsupportedcusp tip & Ceramic too thick& Ceramic too thick Lack ofLack of adequateadequate supportsupport !!!!!!!!!!!!!!!!!!!!!!!!!!!!!!!!!!
  • 53.
  • 54.
  • 55.
    55 4.Debonding4.Debonding:: a.a. Separation ofthe metal and ceramic caused by improper metalSeparation of the metal and ceramic caused by improper metal handling such ashandling such as contamination andcontamination and excessive oxide formation,excessive oxide formation, which may interfere with bonding.which may interfere with bonding. b.b. Metal and porcelain incompatibility.Metal and porcelain incompatibility. 5.Undercut preparation ,5.Undercut preparation , distorted impression and extendeddistorted impression and extended cervical feather edge margins may cause cracks duringcervical feather edge margins may cause cracks during forceful prosthesis insertion.forceful prosthesis insertion.  If the prosthesis is otherwise satisfactory, an attempt maybe made toIf the prosthesis is otherwise satisfactory, an attempt maybe made to repair the fractured part using a silane coupling agent or 4-meta torepair the fractured part using a silane coupling agent or 4-meta to promote bonding. This solution is considered a temporary one.promote bonding. This solution is considered a temporary one.
  • 56.
    56 Fractured ceramic facing Overlycrown to cover the lost ceramic veneer
  • 57.
  • 58.
  • 59.
    59 Intraoral blaster forroughening of porcelain before repair using composite
  • 60.
  • 61.
  • 62.
  • 63.
    63 Metal display Improper color Gingivalarchitecture Improper size, assymetric , left much larger than right side Worn resin in lower right mandibular
  • 64.
    64 b) Porcelain JacketCrown Failureb) Porcelain Jacket Crown Failure :: usually caused by faulty reductions or wrong patientusually caused by faulty reductions or wrong patient selection ex presence of excessive forces andselection ex presence of excessive forces and parafunctional habits.parafunctional habits. 1.1. Vertical fractureVertical fracture may occur in case ofmay occur in case of 1.1. Tapered F.L.(such as chamfer, bevel or feather edge,Tapered F.L.(such as chamfer, bevel or feather edge, indefinite FL) which results in restorations contacting theindefinite FL) which results in restorations contacting the tooth on a sloping surfacetooth on a sloping surface 2.2. Abutments with unrestored proximal restorationsAbutments with unrestored proximal restorations 3.3. Round preparation forms which have no resistance toRound preparation forms which have no resistance to rotational forces.rotational forces. 4.4. Sharp areas in the reduction producing high stress in theSharp areas in the reduction producing high stress in the restoration.restoration.
  • 65.
    65 2.2. Facial semilunarFacialsemilunar cervical fracturecervical fracture caused by:caused by:  Short tooth preparations - the OG length of theShort tooth preparations - the OG length of the preparation should be 2/3 to 3/4 that of the finalpreparation should be 2/3 to 3/4 that of the final restoration.restoration.  Incisal forces may tip the restoration facially causingIncisal forces may tip the restoration facially causing cervical fracture.cervical fracture.
  • 66.
    66 3. Lingual fracture:3.Lingual fracture:  Semilunar fractures result from occlusion occurring cervical to theSemilunar fractures result from occlusion occurring cervical to the cingulum resulting in shear forces.cingulum resulting in shear forces.  Other fractures are caused by inadequate lingual reduction with lessOther fractures are caused by inadequate lingual reduction with less than 1mm porcelain thickness.than 1mm porcelain thickness.  Excessive occlusal forces. Ex in patients with clenchingExcessive occlusal forces. Ex in patients with clenching
  • 67.
    67 a.Porosity in theceramic b. Devitrified porcelain c. Contaminated porcelain
  • 68.
  • 69.
  • 70.
    70 III. Esthetic FailureIII.Esthetic Failure Some patients have unrealistic expectations but inSome patients have unrealistic expectations but in general there are common esthetic failures.general there are common esthetic failures. 1.Improper1.Improper shade selectionshade selection. ex Metamerism.. ex Metamerism. 2.Unacceptable2.Unacceptable color matchcolor match may result over the years due to the colormay result over the years due to the color changes which occur in natural teeth.changes which occur in natural teeth. 3.Insufficient tooth reduction,3.Insufficient tooth reduction, allowing insufficient porcelain thicknessallowing insufficient porcelain thickness to reproduce color and translucency .to reproduce color and translucency . 4.Lack of translucency4.Lack of translucency:: this is most common with metal ceramicthis is most common with metal ceramic restorations due to the fact that metal blocks out the light transmission causing dead, dull or opaque artificial coloring effect. 5.Metal display:5.Metal display:  Incorrect form or framework design that displays metal.Incorrect form or framework design that displays metal.  In partial coverage cases overextension may result inIn partial coverage cases overextension may result in metal displaymetal display..  Thin translucent teeth allowing metal to show through.Thin translucent teeth allowing metal to show through.
  • 71.
    71 6.Poor soft tissue6.Poorsoft tissue restorationrestoration relationship. Improperrelationship. Improper marginal fit or overcontouring may result in localmarginal fit or overcontouring may result in local inflammation, and plaque accumulation with unnaturalinflammation, and plaque accumulation with unnatural esthetics.esthetics. 7.Color monotony7.Color monotony:: the tooth appears as if it is made ofthe tooth appears as if it is made of dentine only.dentine only. 8.Artificial teeth arrangement8.Artificial teeth arrangement:: ex too uniform arrangementex too uniform arrangement of teeth gives an artificial look, while natural built-inof teeth gives an artificial look, while natural built-in irregularities give a more natural look,irregularities give a more natural look, Also, disregarding age changes on restoration color andAlso, disregarding age changes on restoration color and surface texture allows restorations to stand out.surface texture allows restorations to stand out. 9.Lack of symmetry & harmony9.Lack of symmetry & harmony with neighboring teethwith neighboring teeth when reproducing form or color.when reproducing form or color. 10.Acrylic facings:10.Acrylic facings: maybe lost, worn or discolored. If themaybe lost, worn or discolored. If the metal is satisfactory then remove all or part of the facing,metal is satisfactory then remove all or part of the facing, grit blast the metal and repair with composite.grit blast the metal and repair with composite.
  • 72.
    72 Esthetic FailureEsthetic Failure Metaldisplay in case of partial coverage restorations 1. Metal showing through Resin bonded restorations due insufficient labial reduction .Use opaque cement ..Insufficient tooth reduction,Insufficient tooth reduction, 1. Asymmetric left & right restorations
  • 73.
    73 Cervical margins: Supragingival/Opaque Left canine more contoured than right canine Incisal plane of incisors same level Emergence profile of both centrals is asymmetric Lack of translucency:Lack of translucency:
  • 74.
    74 Color monotony ,no translucency
  • 75.
  • 76.
  • 77.
  • 78.
  • 79.
    79 Surface texture ofthe ceramic restoration must be similar to that of the tooth to simulate the reflection of light
  • 80.
  • 81.
  • 82.
  • 83.
    83 Worn acrylic facing Metaldisplay Correct modified ridge lap area of pontic design
  • 84.
  • 85.
    85 A.Rt central toolong C. Pontics too short
  • 86.
  • 87.
    87 Failure of LaminateVeneers:Failure of Laminate Veneers: A. Mechanical Failure:A. Mechanical Failure:  FractureFracture occurs mainly at the incisal edge, affectingoccurs mainly at the incisal edge, affecting mainly laminates at the incisal edge .This mostlymainly laminates at the incisal edge .This mostly occurs in laminates produced without overlaying theoccurs in laminates produced without overlaying the occlusal edge.occlusal edge.  DebondingDebonding : rare with recent adhesives and correct: rare with recent adhesives and correct surface treatments using recent adhesives .It is mostlysurface treatments using recent adhesives .It is mostly due to an error during the procedure ex using andue to an error during the procedure ex using an expired adhesive, faulty etching of ceramic or toothexpired adhesive, faulty etching of ceramic or tooth ceramic.ceramic.
  • 88.
    88 B. Biologic Failure:B.Biologic Failure:  Post operative sensitivity is a result of marginal leakagePost operative sensitivity is a result of marginal leakage ..ItIt waswas a common failure in the 80s but with the introductiona common failure in the 80s but with the introduction of modern adhesives and ceramic technology adhesion isof modern adhesives and ceramic technology adhesion is maximizedmaximized resulting in minimal microleakage.resulting in minimal microleakage. c. Esthetic Failure:c. Esthetic Failure:  Natural light transmission of laminates can be achieved byNatural light transmission of laminates can be achieved by layering However, in case of severe discoloration,layering However, in case of severe discoloration, translucency and natural light transmission cannot alwaystranslucency and natural light transmission cannot always be achieved as there is insufficient thickness for opaquebe achieved as there is insufficient thickness for opaque ceramic than translucent ceramic.ceramic than translucent ceramic.  Replacing failed veneers is difficult as grinding with aReplacing failed veneers is difficult as grinding with a diamond stone is done stopping regularly to ensure thatdiamond stone is done stopping regularly to ensure that enamel is not damaged.enamel is not damaged.