DIABETES MELLITUS
AND PERIODONTIUM
SANGEETA ROY
PG 1ST YEAR
INTRODUCTION
 Diabetes mellitus represents a spectrum of metabolic disorders
& is a major health issue worldwide.
 It is a complex metabolic disease characterized by:
Chronic hyperglycemia,
Diminished insulin production,
Impaired insulin action, or a combination of both
Alteration in lipid and protein metabolism
 Result in the inability of glucose to be transported from the
bloodstream into the tissues, which results in high blood
glucose levels and excretion of sugar in the urine.
DIABETES MELLITUS
 DEFINITION:
 INTERNATIONAL DIABETES FEDERATION (IDF)
describes Diabetes as a chronic disease that arises
when the pancreas does not produce enough
insulin, or when the body cannot effectively use the
insulin it produces.
 Diabetes mellitus is a clinically & genetically
heterogenous metabolic disease characterized by
abnormally elevated blood glucose level &
dysregulation of carbohydrate, protein & fat
metabolism. Akintoye SO,2003
HISTORY
 Diabetes was first described in an Egyptian
manuscript from 1500 BC
 The term diabetes was probably coined by
Apollonius of Memphis around 250 BC,
 literally meant “to go through” or siphon as
the disease drained more fluid than a person
could consume.
 Later on, the Latin word “mellitus” was added
because it made the urine sweet.
 Sir Frederick Grant Banting, Charles Herbert
Best introduced effective treatment—insulin
injections and the first patient was treated in
1922
EPIDEMIOLOGY
 According to International Diabetes
Federation (2012), there are more
than 371 million people in world who
have diabetes
 Almost half of them are unaware.
CLASSIFICATION
 classification of diabetes by the American Diabetes
Association in 2001
Etiologic classification byAmerican diabetic association (1997)
CLASSIFICATION CHARACTERISTIC
TYPE 1 DM β Cell destruction, leading to absolute insulin deficiency
Immune mediated
Idiopathic
TYPE 2 DM Insulin resistance with relative insulin deficiency
OTHER SPECIFIC
TYPES OF DM
Heterogenous group with partially known etiology
Genetic defect of β cell function
Genetic defect in insulin action
Disease of exocrine pancreas
Endocrinopathies
Drug/ chemical induced
Infection
Immune mediated
Other genetic syndrome
GESTATIONAL DM Any degree of glucose intolerance with onset or first
recognition during pregnancy
PATHOPHYSIOLOGY
FOOD CONSUMPTION
BREAKDOWN OF CARBOHYDRATE IN GIT
ABSORPTION OF SUGAR IN BLOOD STREAM
INCREASED BLOOD GLUCOSE LEVEL
SECRETION OF INSULIN FROM β CELLS OF
PANCREAS
INSULIN BINDS TO TARGET CELL RECEPTORS
ALLOW ENTRY OF GLUCOSE INTO CELL
DECREASE BLOOD GLUCOSE LEVEL
TYPE 1
DESTROY
β CELLS
TYPE 2 CAUSE
RESISTENCE AT
RECEPTOR &
POST RECEPTOR
LEVEL
CARBOHYDRATE
METABOLISM,INSULIN
AND DIABETES
Type 1 DM pathophysiology
Viral infection, autoimmune
diseases (IMMUNE MEDIATED)
Cellular mediated autoimmune
destruction of β cells of
pancreatic islets
No/ decreased production of
insulin
Glucose entry into cell is
inhibited
More glucose in blood
Hyperglycemia
Unknown
(IDIOPATHIC)
Type 2 DM pathophysiology
Peripheral
resistance to
insulin
Increased
production of
glucose by liver
Insulin
secretory defect
of β cells
Prevents its
proper use at
cellular level
Excess glucose
in blood stream
Less entry of
glucose in cells
Hyperglycemia
Other specific type DM
Genetic defect of β
cell function, insulin
action
Less insulin
Hyperglycemia
Gestational DM
Increased
insulin
resistance
Prevents its
proper use at
cellular level
Excess
glucose in
blood flow
Hyperglycemi
a
 Deficiency of insulin secretion or insulin
resistance results in
Inability to
transport
glucose into
cells
Glucose
retained
in blood
stream
Hyperglycemia Complication
CHARACTERISTICS
CLASSIC SYMPTOMS
SIGNS &
SYMPTOMS OF
UNDIAGNOSED
DIABETES
CLINICAL FEATURE
POLYDIPSIA
POLYURIA
POLYPHAGIA
WT LOSS
WEAKNESS, MALAISE
NOCTURNAL ENURESIS
IRRITABILITY
DRY MOUTH
CHRONIC SKIN INFECTION
KETOACIDOSIS
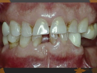
PERIODONTAL DISEASE
CHANGE S IN VISION
PRURITIS
PARESTHESIA
POSTURAL HYPOTENSION
IMPOTENCE
DIAGNOSIS
NORMAL IMPAIRED
FASTING
GLUCOSE
DM
FASTING
GLUCOSE
‹110mg/dL 110-
126mg/dL
≥126mg/dL
2hr
POSTPRANDI
AL PLASMA
GLUCOSE
‹140mg/dL 140-
200mg/dL
≥200mg/dL
OGTT Plasma
glucose at
2hr
≥200mg/dL
COMPLICATION
SITES PRESENTATION
EYES Retinopathy, Blindness
KIDNEY Nephropathy, renal failure
NERVOUS SYSTEM Peripheral & Cranial
neuropathy(III,IV,VI,VII CN)
SKIN & ORAL MUCOSA Infection & delayed wound
healing
PERIODONTIUM Gingivitis & Periodontitis
CVS Atherosclerosis, ischemia,
coronary artery disease
Microvascular and macrovascular complications
 microvascular complications of retinopathy,
nephropathy and neuropathy are specifically
associated with diabetes,
 risk of macrovascular disease is greatly increased in
diabetic patients American diabetes association,2001
 Sustained hyperglycemia plays a primary
role in both the onset and progression of
visual impairment or blindness, kidney
failure, limb amputation, stroke, and
myocardial infarction Steinberg D,1997
Atherosclerosis
Hyperglycemia
alterations in lipid metabolism & nonenzymatic glycation of proteins
i.e. collagen.
altered function of cell membranes and changes in cell–cell and
cell–matrix interactions.
increased vessel wall thickness
formation of atheromas and microthrombi in large vessels,
alterations in endothelial cell function and vascular permeability in
the microvasculature.
AGE proteins – (advanced glycation end-
products )-modified collagen in vessel
walls covalently cross-links with circulating
low density lipoprotein
atherosclerosis
Retinopathy, Nephropathy
The glycation of proteins, lipids and nucleic acids in diabetic
patients
accumulation of these glycated proteins - advanced glycation end-
products (AGEs) in the small blood vessels of endorgans i.e. retina,
glomerulus, endoneurial region, and in the walls of large blood
vessels Vlassara H,1994
increased basement membrane thickness in retina, around the
nerves, thickening of mesangial matrix in the glomerulus, &
accumulation of collagen in larger vessels.
progressive narrowing of the vessel lumen
decreased perfusion
Altered healing
AGEs
increased collagen cross-linking
formation of highly stable collagen
macromolecules
that are resistant to normal enzymatic
degradation and tissue turnover Brownlee M,1994
Effects at the cellular level
A receptor for AGEs known as RAGE (receptor for AGE) has been
identified on the surface of endothelial cells, neurons, smooth muscle
cells, and monocytes/macrophages Schmidt AM,1996
Hyperglycemia
increased expression of the receptor and increased AGE–
RAGE interaction.
increase in vascular permeability of endothelium &
thrombus formation Ficara AJ,1975
AGEs are chemotactic for monocytes
Interaction between AGEs RAGE, on monocyte/macrophage
membranes
induces increased cellular oxidant stress & activates the transcription
factor NF-kB.
This signals a change in the monocyte/macrophage phenotype
increased production of proinflammatory cytokines such as IL-1 &
TNF and growth factors i.e. platelet-derived growth factor and
insulin-like growth factor Kiestein M,1992
chronic inflammatory process in atheroma formation.
CLASSIC COMPLICATION
 1. Diabetic Retinopathy
 2. Diabetic Neuropathy
 3. Diabetic Nephropathy
 4. Atherosclerosis
 5. Impaired wound healing
 6. Periodontal disease (Loe H 1993)
DIABETES & ORAL DISEASE
Diabetes is associated with several oral
conditions
 alterations in salivary flow & constituents
of saliva,
 increased incidence of oral infection
 burning mouth,
 changes in wound healing,
 Increased prevalence and severity of
periodontal disease.
Salivary flow
 Autonomic neuropathy, a complication of diabetes
mellitus, may result in alteration of salivary secretion
Meurman JH, 1998
 In studies of type 2 diabetes mellitus subjects and
non-diabetes mellitus controls, no significant
differences in salivary flow rates or organic
constituents of saliva were seen Meurman JH, 1998
 Likewise, there were no differences in the prevalence
of coronal caries or root caries Collin HL, 1998
 The salivary counts of yeasts and of acidogenic
streptococci and lactobacilli were also similar between
the groups.
xerostomia
 Xerostomia and parotid gland enlargement
may occur in people with diabetes, and
may be related to the degree of glycemic
control COLLIN HL 2000
 Xerostomia may be associated with
sensation of burning mouth & tongue
,cheilosis, mucosal drying , craking
 Many diabetic patients have conditions
other than diabetes for which they are
medicated, and many of these
medications produce xerostomia as a side
effect.
 However, the effect of xerostomic
medications on salivary flow rates was
greater in diabetic individuals than in
control patients. MEURMAN JH 1998
candidiasis
 Fungal infections i.e. candidiasis may
increase on dry mucosa Fisher BM,1987
 Guggenheimer et al. 2000 found 15.1% of
405 type 1 diabetes mellitus subjects had
candidiasis, compared to only 3.0% of 268
non-diabetes mellitus control subjects.
 Multivariate regression analysis found
presence of Candida hyphae to be
significantly related to poor glycemic
control.
caries
 Studies have shown an increased caries
rates in diabetes mellitus Jones RB,1992;
others have demonstrated similar or lower
caries incidence Tenovuo J,1986
 decreased salivation or increased glucose
concentrations in saliva and gingival
crevicular fluid account for an increased
caries risk.
 However, most diabetic patients limit their
fermentable carbohydrate intake, and this
less cariogenic diet may decrease caries
risk.
Oral microflora
 Alteration in flora due to increased glucose
in GCF & blood.
 Cause change in environment of flora &
qualitative changes in bacteria
 Results in periodontal destruction.
 Predominance of Candida albicans,
Hemolytic streptococci ,staphylococci.
Microorganism in pt with IDDM
 Capnocytophaga, anaerobic virios,
Actinomyces sp. Black pigmented
bacteroid Mascola B,1970
 Porphyromonus gingivalis, P. intermedia,
Actinobacillus actinomycetemcomitans are
less Gusberti F,1982
Microorganism in pt with NIDDM
 P. gingivalis, P. intermedia,
Campylobacter rectus are predominent.
Genco RJ,1987
Infection
 Increased susceptibility to infection
 Due to polymorphonuclear leukocyte
deficiencies
 Results in impaired chemotaxis, defective
phagocytosis, impaired adherence
McMullen JA,1981
In poorly controlled diabetic pt
 Impaired PMNs, monocyte/macrophages
Iacopino AM,2001
 Diminished primary defense
 Unchecked bacterial proliferation
 No change in IgA, IgM, IgG Robertson
HD,1974
Effect on gingiva
 Tendency towards enlarged gingiva,
sessile/ pedunculated gingival polyp,
polypoid gingival proliferation, abcess,
periodontitis , mobility of teeth.
Hirschfeld I, 1934
PERIODONTAL MANIFESTATIONS
 Tendency towards enlarged gingiva.
 Sessile/pedunculated gingival polyps.
 Polypoid gingival proliferations
 Abscess formation
 Periodontitis
 Loosened teeth - Hirchfeld I (1934)
GINGIVITIS
 Diabetes is associated with increased
prevalence and severity of gingivitis.
 Children before puberty with poorly controlled
type 1 diabetes mellitus had a higher
incidence and severity of gingival
inflammation than controlled children.
Gusberti et al. 1983
 Cianciola et al.1982 Confirmed an increase in
gingivitis in type 1 diabetes mellitus children
after the age of 11
 poorly controlled diabetes mellitus
children has higher levels of gingival
inflammation regardless of plaque levels.
Firalti E. 1997
 Improvement in glycemic control
decreases signs of gingival inflammation
Karjalainen k.1996
 Guthmiller et al. 2001 found greater
gingival inflammation in pregnant women
with type 1 diabetes mellitus than in
pregnant women without diabetes
mellitus.
 Cutler et al. 1999 demonstrated greater gingival
inflammation in type 2 diabetes mellitus adults
than controls
 Bridges et al. 1996 found no relationship between
gingivitis and level of glycemic control.
 These studies show -presence of diabetes mellitus
is often, but not always associated with increased
gingival inflammation
 level of glycemic control may play a role in the
gingival response to bacterial plaque in many
individuals. Mealey & Moritz ,2003
Probing depth & clinical
attachment loss
 Firalti et al. 1996 found increased probing depth
and clinical attachment loss, when compared to
age- and sex-matched control subjects.
 mean attachment loss and bone loss scores are
twice in 15-34 yrs diabetic pt than same aged non
diabetes mellitus subjects.
 Type 1 DM subjects with poor metabolic
control over 2–5 years has greater
prevalence of deep probing depths and
advanced attachment loss. Tervonen &
Oliver 1993
 There is increasing prevalence of deeper
pockets as metabolic control worsened.
Tervonen & Knuuttila 1986
Gingival Bleeding
 Significantly greater gingival bleeding in
poorly controlled patients Ervasti et al. 1984
 Number of bleeding sites decreased as
glycemic control improved.
Periodontitis
 more severe periodontal condition in
type 2 diabetic adults Papapanou 1996
 In younger individuals, type 1 diabetes
mellitus is associated with an increased
risk of periodontitis Brian L.2003
 Cianciola et al. 1982 found no
periodontitis among the diabetes
mellitus subjects under the age of 12.
 Between ages 13 and 18, 13.6% of the
individuals had periodontitis.
 Individuals from 19 to 32 years old had a
prevalence of 39%.
 The most significant risk factors for
periodontitis are age, presence of
calculus, and presence of type 2 diabetes
mellitus. Bridges RB, 1996
Bone loss
 Type 2 diabetes mellitus is associated with
significantly increased risk of progressive
bone loss. Taylor GW,1998
 There is increasing prevalence of alveolar
bone loss as glycemic control worsened.
 The mean percentage of sites with > 15%
bone loss went from 28% in well
controlled type 1 diabetes mellitus
subjects to 44% in poorly controlled
subjects. Tervonen et al. 2000
Factors Contributing to
Development of Periodontal
Disease
Polymorphonuclear
leukocyte function
Collagen Metabolism &
Advanced glycation end
products
Infections in
patients with
diabetes
Wound
healing
Bacterial
Associations
POLYMORPHONUCLEAR
LEUKOCYTE FUNCTION
 Impaired Chemotaxis & adherence
 Defective Phagocytosis
 Diminished primary defense against
periodontal pathogens.
COLLAGEN METABOLISM
 Reduced synthesis of collagen &
glycosaminoglycans
 Reduced collagen maturation
 Collagen homeostasis is Affected
 GCF collagenase activity increased
INFECTION
Mainly due to:
• Impaired
defence
mechanism
1. Defects in
PMN function
2. Induction of
insulin
resistance
3. Vascular
changes
Hyperglycemic state
Glycosylation of basement membrane, proteins
• Thickning of gingival capillaries,
• Disruption of BM
Swelling of Endothelium
1. Oxygen diffusion
2. Metabolic waste elimination
3. PMN Migration
4. Diffusion of serum factors
Impeded
WOUND HEALING
 Wound Healing is Affected as cumulative effect of:
•Altered cellular activity
•Decreased collagen synthesis
•Glycosylation of existing collagen
•Increase collagenase production
•Reduced
Collagen solubility
•Delayed
remodelling of
wound site
Readily degrade
newly
synthesized, less
completely cross
linked collagen
Defective Healing
BACTERIAL ASSOCIATION
 Glucose content of GCF & blood is higher in diabetics.
 Results in changed environment for the microflora &
Presence of higher levels of specific microorganisms
such as
Actinobacillus actinomycetemcomitans & Capnocytophaga
Mashimo et al 1983
 The proportion of P gingivalis was reported to be
higher in noninsulin- dependent diabetes mellitus
patients with periodontitis.
 Due to the abnormal host defense mechanisms in
addition to hyperglycemic state can lead to the growth
of particular fastidious organisms. Zambon et al,1988
MECHANISM OF INTERACTION
CHANGES IN SUBGINGIVAL
ENVIRONMENT
Alterations in subgingival
microbiota
 Deepening of periodontal pockets & shift to a
flora predominated by gram-negative rods
and filaments. Mc Namara Tf, 1981
 increase in proportions of Capnocytophaga
species, while Fusobacterium and
Bacteroides species remained at low levels.
Masimo PA, 1983
 High proportions of Prevotella intermedia
were also found in diseased sites Sastrowijoto
S ,1989
 increased prevalence of Porphyromonas
gingivalis in type 1 diabetes mellitus
subjects Thorstenson H, 1995
 Type 2 diabetes mellitus subjects with
periodontitis have fairly similar microbiota
to non-diabetes mellitus periodontitis
patients,
 different serotype of P. gingivalis were
found in diabetes mellitus subjects.
Zambon et al. ,1988
Change in gingival crevicular fluid
composition
 Increased glucose levels in gingival
crevicular fluid
 decreased chemotaxis of periodontal
ligament fibroblasts in response to
platelet-derived growth factor. Nishimura
et al. Nashimura F,1998
 adversely affect periodontal wound
healing and the local host response to
microbial challenge.
ALTERED TISSUE
HOMEOSTASIS AND WOUND
HEALING
Decreased collagen production
 Changes in collagen synthesis, maturation,
and turnover
 Contribute to alterations in wound healing
and to periodontal disease initiation and
progression. Weringer EJ, 1981
 The rate of collagen production can be
restored by administration of insulin to
normalize blood glucose levels Ramamurthy
NS, 1983
Increased matrix
metalloproteinase activity
 Decreased synthesis, newly formed
collagen is susceptible to degradation by
collagenase( source is neutrophil), a
matrix metalloproteinase which is elevated
in diabetic tissues, including the
periodontium Golub LM, 1978
 Use of tetracycline antibiotics results in a
reduction in collagenase production Golub
LM, 1982
Accumulation of advanced
glycation endproducts (AGEs)
 decreased collagen production and
increased collagenase activity, collagen
metabolism is altered by accumulation of
AGEs in the periodontium.
 Changes affecting the blood vessels of the
periodontium, and these changes are
related to AGE formation.
 Increased thickness of gingival capillary
endothelial cell basement membranes and
the walls of small blood vessels Frantzis
TG, 1971
 This thickening impair exchange of oxygen
and metabolic waste products across the
basement membrane.
 two-fold increase in accumulation of AGEs
in the periodontium Schmidt et al.
Schimidt AM,1996
 Increased oxidant stress
 widespread vascular injury
 AGE formation also stimulates
proliferation of arterial smooth muscle
cells, increasing thickness of vessel walls
and decreasing the vessel lumen.
Decreased tissue turnover
 AGE accumulation results in increased
cross-linking of collagen, reducing
collagen solubility and decreasing turnover
rate Brownlee M ,1994
 greater degradation of newly formed,
more soluble collagen.
 greater cross-linking of mature collagen.
 In the capillaries, this accumulation of
highly cross-linked collagen in the
basement membrane increases membrane
thickness
 Alter the tissue response to periodontal
pathogens, resulting in increased severity
and progression of periodontitis.
Changes in host
immunoinflammatory
response
Decreased polymorphonuclear leukocyte
chemotaxis, adherence, phagocytosis
 The polymorphonuclear leukocyte plays a
major role in maintaining a healthy
periodontium in the face of
periodontopathic microorganisms
 reduction in polymorphonuclear leukocyte
function, including chemotaxis, adherence
and phagocytosis Hill HR, 1974
 May be associated with defect of genetic
component Leeper SH,1985
 Chemotaxis may be improved in those
with better glycemic control
 Defects affecting polymorpho nuclear
leukocytes, the first line of defense
against subgingival microbial agents, may
result in significantly increased tissue
destruction.
Elevated pro-inflammatory
cytokine response from
monocytes/macrophages
 hyper-responsive monocyte/macrophage
phenotype in which stimulation by
bacterial antigens such as
lipopolysaccharide results in dramatically
increased pro-inflammatory cytokine
production
 increased production of tumor necrosis
factor-α by monocytes Salvi et al. Salvi
CE, 1997
 When challenged with lipopolysaccharide
from P. gingivalis, diabetic monocytes
showed a 24–32-fold increased production
of tumor necrosis factor- α
 Production of prostaglandin E2 and
interleukin-1b was also significantly higher
Increased tissue oxidant stress
 people with diabetes mellitus have a hyperresponsive
monocyte/macrophage phenotype, and it is likely that
there is a genetic component to this phenomenon (135).
 AGE formation plays an important role in upregulation of
the monocyte/macrophage cell line.
 Accumulation of AGEs in the periodontium stimulates
migration of monocytes to the site.
 AGE–RAGE interaction results in immobilization of
monocytes at the local site.
 induces a change in monocyte phenotype, upregulating
the cell and significantlymincreasing pro-inflammatory
cytokine production.
 increased gingival crevicularfluid production oftumor
necrosis factor-a, prostaglandin E2 and interleukin-1b
159
 This interaction also increases oxidant stress
within the tissue, resulting in tissue destruction
(166).
 blocking the receptor RAGE decreases levels of the
pro-inflammatory cytokines tumor necrosis factor-
a and IL-6 in gingival tissues, decreases levels of
tissue-destructive matrix metalloproteinases,
lowers AGE accumulation in periodontal tissues
and decreases alveolar bone loss in response to P.
gingivalis (89).
Pathogenesis
2- WAY RELATIONSHIP BETWEEN
PERIODONTAL DISEASE AND DM
EFFECT OF DIABETES ON
PERIODONTITIS
Data of multiple studies
reveal strong evidence
•Diabetes is a risk factor for gingivitis & periodontitis.
•The level of glycemic control appears to be an important
determinant in this relationship
AUTHOR YEAR STUDY
Cianciola
et
al
1982 In children with type 1 diabetes, the prevalence of gingivitis was
greater than in non-diabetic children with similar plaque levels.
Sastrowijo
t
o S et al
1990 Improvement in glycemic control may be associated with
decreased gingival inflammation.
Papapano
u
PN
1996
Majority of the studies demonstrate a more severe periodontal
condition in
diabetic adults than in adults without diabetes
Tsai C et
al
2002 In a large epidemiologic study in the United States, adults with
poorly controlled diabetes had a 2.9-fold increased risk of having
periodontitis compared to nondiabetic adult subjects;
conversely,well-controlled diabetic subjects had no significant
increase in the risk of periodontitis.
Salvi GE
et
al
2005 Rapid and pronounced development of gingival inflammation in
relatively well controlled adult type 1 diabetic subjects than in
non-diabetic controls, despite similar levels of plaque
accumulation and similar bacterial composition of plaque,
suggesting a hyperinflammatory gingival response in diabetes.
EFFECT OF PERIODONTITIS ON DM
 Periodontal diseases can have a significant
impact on the metabolic state in diabetes.
 The presence of periodontitis increases
the risk of worsening of glycemic control
over time.
AUTHOR YEAR STUDY
Williams
RC Jr.,
Mahan CJ.
1960 Type 1 diabetic patients with periodontitis had a reduction in
required insulin doses following scaling and root planing,
localized gingivectomy, and selected tooth extraction combined
with systemic procaine penicillin G and streptomycin Taylor GW
et al 1996 In a 2-year longitudinal trial, diabetic subjects with
severe periodontitis at baseline had a six-fold increased risk of
worsening of glycemic control over time compared to diabetic
subjects without periodontitis
Taylor GW
et al
1996 In a 2-year longitudinal trial, diabetic subjects with severe
periodontitis at baseline had a six-fold increased risk of
worsening of glycemic control over time compared to diabetic
subjects without periodontitis
Rodrigues
DC
et al
2003 Better improvement in glycemic control in a diabetic group
treated with scaling & root planing alone compared to diabetic
subjects treated with SRP plus systemic amoxicillin/clavulanic
acid.
Promsudt
hi A
et al
2005 In older, poorly controlled type 2 diabetic subjects who received
SRP plus adjunctive doxycycline showed a significant
improvement in periodontal health but only a non significant
reduction in HbA1c values.
MECHANISM BY WHICH PERIODONTAL
DISEASE MAY INFLUENCE DIABETES
Chronic gram-negative periodontal
infections have
significantly higher serum markers of
inflammation such
as c-reactive protein (CRP), IL-6, and
fibrinogen than
subjects without periodontitis.
Periodontal treatment may reduce
inflammation locally and
also decrease serum levels of the
inflammatory mediators
that cause insulin resistance, thereby
positively affecting
glycemic control
EFFECTS OF DIABETES ON THE
RESPONSE OF PERIODONTAL THERAPY
 Many diabetic patients show improvement in clinical
parameters of disease immediately after therapy,
 patients with poorer glycemic control may have a
more rapid recurrence of deep pockets and a less
favorable long-term response.
 longitudinal studies of various periodontal treatment
modalities are needed to determine the healing
response in individuals with diabetes compared to
individuals without diabetes. Grossi SG,1996
MANAGEMENT OF DIABETES
1. DIET : The goals of this intervention
include
 weight reduction, improved glycemic
control, with blood glucose levels in the
normal range, and lipid control.
2. EXERCISE : Regular physical exercise to
weight reduction, increased cardiovascular
fitness, and physical working capacity
3. PHARMACOLOGICAL MANAGEMENT
ANTI AGE THERAPY
 It include Aminoguanidine, ALT-946, ALT 711, Statins
(Cervistatin)
 Pyridoxamine, the natural form of vitamin B6, is
effective at inhibiting AGEs at 3 different levels.
– prevents the degradation of protein-Amadori
intermediates to protein-AGE products.
– In diabetic rats, pyridoxamine reduces hyperlipidemia
and prevents AGE formation.
– scavenges the carbonyl byproducts of glucose and lipid
degradation
– Benfotiamine, a lipid-soluble thiamine derivative,
inhibits the AGE formation pathway.
DENTAL THERAPY CONDIDERATION
 Patients with well-controlled diabetes can
be treated in a similar way to non-diabetic
patients.
 Communicate with patient’s physician to
obtain control of blood glucose levels
 Control acute infections.
 As aggravated glycemic control increases
the risk of micro & macrovascular diabetic
complications like- Stroke, MI, Heart
Failure.
TIMING OF TREATEMENT
 Patients with well controlled DM can be
treated similarly to non-diabetic patients
for most routine dental needs.
 Keep appointments short, atraumatic,
and stressfree
 morning appointments
 Use appropriate vasoconstrictor agents
 For stressful procedures the usual drug
regime may be altered
Response to periodontal treatment
in patients with diabetes
 Well controlled diabetes mellitus subjects with
moderate to advancedmperiodontal disease, scaling
and root planing resulted in similar clinical changes
when compared to non-diabetes mellitus subjects 25
 Conversely, poorly controlled diabetes mellitus
patients often have a less favorable response to
treatment
 initial response to scaling and root planing
was good , but the incidence of disease
recurrence over the subsequent 12
months was greater in poorly controlled
diabetes mellitus Individuals Tervonen
et al. (188)
 At the 5-year re-evaluation, diabetes
mellitus patients had a similar percentage
of sites gaining or losing attachment, and
a similar percentage of sites with stable
attachment levels, compared to non-
diabetes mellitus subjects
USE OF ANTIBIOTIC
 Antibiotics are not necessory for routine
procedures in patients with well-controlled
diabetes.
 But considered in the presence of overt
oral infection.
 The combination of mechanical
debridement+ systemic tetracycline
provide greater positive effect on glycemic
control in some DM patients.
IMPLANT PLACEMENT CONSIDERATION
 Diabetes-induced changes in bone formation:
 Inhibition of collagen matrix formation
 Alterations in protein synthesis
 Increased time for mineralization of osteoid
 Reduced bone turnover
 Decreased number of osteoblasts and
osteoclasts
 Altered bone metabolism
 Reduction in osteocalcin production
 Possible Diabetic Disturbances in Implant Wound
Healing Process In Implants
DIABETIC EMERGENCY
 Hypoglycemic crisis
 Hyperglycemic crisis
HYPOGLYCEMIC CRISIS
 INSULIN SHOCK
 Blood glucose level <60 mg/dl
 Signs: sweating , tremor, dizziness,
headache, loss of consciousness
 Treatment :
1. recognition of hypoglycemia
2. Termination of dental procedure
3. Position- upright
4. A-B-C
5. D-definitive care – administration of oral
carbohydrate (3-4 tspn of sugar/ candy)
HYPERGLYCEMIC CRISIS
 Dental pt with hyperglycemia represent
ASA IV risk & shouldn’t receive any
dental t/t.
 In unconscious pt;
1.Terminate dental procedure
2.Position - trendenlenburg
3.A-B-C
4.D- definitive care- 5% dextrose & H2O/
NS, administration of O2
SPECIFIC MANAGEMENT
GUIDELINES
 USE OF EPINEPHRINE
 Under stressful situation production of
epinephrine & cortisol increases ->
increase blood glucose level -> adequate
pain control & stress reduction
 Epinephrine is not contraindicated for LA
PERIODONTAL MANAGEMENT
 Periodontal t/t must be conducted in
parallel with DM t/t. Taylor GW,1999
 Primary t/t should be nonsurgical
 Surgical t/t should be done in well
glycemic controlled (100-200 mg/dl) pt ,
medication should be modified, it can
result in prologed healing. Kripal K,2017
 Combination of nonsurgical debridement &
systemic antibiotic has shown better result
in advance periodontitis cases Mealey BL,
2006
 Combination of tetracycline & doxycycline
with SRP also resulted better than SRP
alone , even for topical intrasulcular
doxycycline also resulted better Ship
JA,2003
 These drugs inhibit MMPs, gcf collagenase,
risk of bacterial resistance, bone
resorption, bone loss.
 Supportive periodontal therapy should be
provided at intervals of 2-3 months.
GUIDENINES FOR TREATEMENT
 DIABETES & PERIODONTAL DISEASE: CENSUS REPORT
OF THE JOINT EFP/AAP WORKSHOP ON PERIODONTITIS
& SYSTEMIC DISEASES
 (CHAPPLE LC,GENCO R. J PERIODONTOL 2013)
GUIDELINE- A
 Patients with diabetes should be told that
periodontal disease risk is increased by
diabetes.
 If they suffer from periodontal disease, their
glycaemic control may be more difficult, and
they are at higher risk for diabetic
complications such as cardiovascular and
kidney disease.
 Patients with type 1, type 2 and gestational
diabetes should receive a thorough oral
examination, which includes comprehensive
periodontal examination.
 For all newly diagnosed type 1 and type 2
diabetes patients, subsequent periodontal
examinations should occur & annual
periodontal review is recommended.
 For children and adolescents diagnosed with
diabetes, annual oral screening is
recommended from the age of 6–7 years by
referral to a dental professional.
GUIDELINE- B
 If periodontitis is diagnosed, manage it
properly. If not, patients with diabetes
should be placed on a preventive care
regime and monitored regularly for
periodontal changes.
 Patients with diabetes presenting with any
acute oral/periodontal infections require
prompt oral/ periodontal care.
 Patients with diabetes who have
extensive tooth loss should be encouraged
to pursue dental rehabilitation to restore
adequate mastication for proper nutrition
 Provide oral health education.
 Patients who present without a diabetes
diagnosis, but at risk for type 2 diabetes
and signs of periodontitis should be
informed about
 their risk for having diabetes, assessed
using a chair-side HbA1C test, and/or
referred to a physician for appropriate
diagnostic testing and follow-up care.
GUIDELINE- C
 If your physician has told you that you
have diabetes, you should make an
appointment with a dentist to have your
mouth and gums checked. This is because
people with diabetes have a higher chance
of getting gum disease. Gum disease can
lead to tooth loss and may make your
diabetes harder to control.
GUIDELINE- D
 People with diabetes have a higher chance
of getting gum disease. If you have been
told by your dentist that you have gum
disease, you should follow up with
necessary treatment as advised.
 If you do not have diabetes, but your
dentist identified some risk factors for
diabetes including signs of gum disease, it
is important to get a medical check-up as
advised.
CONCLUSION
 Diabetes mellitus has significant impact on
tissues throughout the body, including the
oral cavity. As research indicates that
poorly controlled diabetes increases the
risk periodontitis.
 • Alteration in host defence and tissue
homeostasis appear to play a major role.
 • Advances in medical management of DM
require a heightened awareness by the
periodontist in the various treatment
regimens used by diabetic patients.
 • Familiarity with various medications,
monitoring equipments, and devices used
by diabetic patient allows provision of
appropriate periodontal therapy while
minimizing the risk of complications.

Diabetes & perio

  • 1.
  • 2.
    INTRODUCTION  Diabetes mellitusrepresents a spectrum of metabolic disorders & is a major health issue worldwide.  It is a complex metabolic disease characterized by: Chronic hyperglycemia, Diminished insulin production, Impaired insulin action, or a combination of both Alteration in lipid and protein metabolism  Result in the inability of glucose to be transported from the bloodstream into the tissues, which results in high blood glucose levels and excretion of sugar in the urine.
  • 3.
    DIABETES MELLITUS  DEFINITION: INTERNATIONAL DIABETES FEDERATION (IDF) describes Diabetes as a chronic disease that arises when the pancreas does not produce enough insulin, or when the body cannot effectively use the insulin it produces.  Diabetes mellitus is a clinically & genetically heterogenous metabolic disease characterized by abnormally elevated blood glucose level & dysregulation of carbohydrate, protein & fat metabolism. Akintoye SO,2003
  • 4.
    HISTORY  Diabetes wasfirst described in an Egyptian manuscript from 1500 BC  The term diabetes was probably coined by Apollonius of Memphis around 250 BC,  literally meant “to go through” or siphon as the disease drained more fluid than a person could consume.  Later on, the Latin word “mellitus” was added because it made the urine sweet.  Sir Frederick Grant Banting, Charles Herbert Best introduced effective treatment—insulin injections and the first patient was treated in 1922
  • 5.
    EPIDEMIOLOGY  According toInternational Diabetes Federation (2012), there are more than 371 million people in world who have diabetes  Almost half of them are unaware.
  • 7.
    CLASSIFICATION  classification ofdiabetes by the American Diabetes Association in 2001
  • 8.
    Etiologic classification byAmericandiabetic association (1997) CLASSIFICATION CHARACTERISTIC TYPE 1 DM β Cell destruction, leading to absolute insulin deficiency Immune mediated Idiopathic TYPE 2 DM Insulin resistance with relative insulin deficiency OTHER SPECIFIC TYPES OF DM Heterogenous group with partially known etiology Genetic defect of β cell function Genetic defect in insulin action Disease of exocrine pancreas Endocrinopathies Drug/ chemical induced Infection Immune mediated Other genetic syndrome GESTATIONAL DM Any degree of glucose intolerance with onset or first recognition during pregnancy
  • 9.
    PATHOPHYSIOLOGY FOOD CONSUMPTION BREAKDOWN OFCARBOHYDRATE IN GIT ABSORPTION OF SUGAR IN BLOOD STREAM INCREASED BLOOD GLUCOSE LEVEL SECRETION OF INSULIN FROM β CELLS OF PANCREAS INSULIN BINDS TO TARGET CELL RECEPTORS ALLOW ENTRY OF GLUCOSE INTO CELL DECREASE BLOOD GLUCOSE LEVEL TYPE 1 DESTROY β CELLS TYPE 2 CAUSE RESISTENCE AT RECEPTOR & POST RECEPTOR LEVEL CARBOHYDRATE METABOLISM,INSULIN AND DIABETES
  • 10.
    Type 1 DMpathophysiology Viral infection, autoimmune diseases (IMMUNE MEDIATED) Cellular mediated autoimmune destruction of β cells of pancreatic islets No/ decreased production of insulin Glucose entry into cell is inhibited More glucose in blood Hyperglycemia Unknown (IDIOPATHIC)
  • 11.
    Type 2 DMpathophysiology Peripheral resistance to insulin Increased production of glucose by liver Insulin secretory defect of β cells Prevents its proper use at cellular level Excess glucose in blood stream Less entry of glucose in cells Hyperglycemia
  • 12.
    Other specific typeDM Genetic defect of β cell function, insulin action Less insulin Hyperglycemia
  • 13.
    Gestational DM Increased insulin resistance Prevents its properuse at cellular level Excess glucose in blood flow Hyperglycemi a
  • 14.
     Deficiency ofinsulin secretion or insulin resistance results in Inability to transport glucose into cells Glucose retained in blood stream Hyperglycemia Complication
  • 15.
  • 16.
  • 17.
    SIGNS & SYMPTOMS OF UNDIAGNOSED DIABETES CLINICALFEATURE POLYDIPSIA POLYURIA POLYPHAGIA WT LOSS WEAKNESS, MALAISE NOCTURNAL ENURESIS IRRITABILITY DRY MOUTH CHRONIC SKIN INFECTION KETOACIDOSIS PERIODONTAL DISEASE CHANGE S IN VISION PRURITIS PARESTHESIA POSTURAL HYPOTENSION IMPOTENCE
  • 18.
    DIAGNOSIS NORMAL IMPAIRED FASTING GLUCOSE DM FASTING GLUCOSE ‹110mg/dL 110- 126mg/dL ≥126mg/dL 2hr POSTPRANDI ALPLASMA GLUCOSE ‹140mg/dL 140- 200mg/dL ≥200mg/dL OGTT Plasma glucose at 2hr ≥200mg/dL
  • 20.
    COMPLICATION SITES PRESENTATION EYES Retinopathy,Blindness KIDNEY Nephropathy, renal failure NERVOUS SYSTEM Peripheral & Cranial neuropathy(III,IV,VI,VII CN) SKIN & ORAL MUCOSA Infection & delayed wound healing PERIODONTIUM Gingivitis & Periodontitis CVS Atherosclerosis, ischemia, coronary artery disease
  • 21.
    Microvascular and macrovascularcomplications  microvascular complications of retinopathy, nephropathy and neuropathy are specifically associated with diabetes,  risk of macrovascular disease is greatly increased in diabetic patients American diabetes association,2001
  • 22.
     Sustained hyperglycemiaplays a primary role in both the onset and progression of visual impairment or blindness, kidney failure, limb amputation, stroke, and myocardial infarction Steinberg D,1997
  • 23.
    Atherosclerosis Hyperglycemia alterations in lipidmetabolism & nonenzymatic glycation of proteins i.e. collagen. altered function of cell membranes and changes in cell–cell and cell–matrix interactions. increased vessel wall thickness formation of atheromas and microthrombi in large vessels, alterations in endothelial cell function and vascular permeability in the microvasculature.
  • 24.
    AGE proteins –(advanced glycation end- products )-modified collagen in vessel walls covalently cross-links with circulating low density lipoprotein atherosclerosis
  • 25.
    Retinopathy, Nephropathy The glycationof proteins, lipids and nucleic acids in diabetic patients accumulation of these glycated proteins - advanced glycation end- products (AGEs) in the small blood vessels of endorgans i.e. retina, glomerulus, endoneurial region, and in the walls of large blood vessels Vlassara H,1994 increased basement membrane thickness in retina, around the nerves, thickening of mesangial matrix in the glomerulus, & accumulation of collagen in larger vessels. progressive narrowing of the vessel lumen decreased perfusion
  • 26.
    Altered healing AGEs increased collagencross-linking formation of highly stable collagen macromolecules that are resistant to normal enzymatic degradation and tissue turnover Brownlee M,1994
  • 27.
    Effects at thecellular level A receptor for AGEs known as RAGE (receptor for AGE) has been identified on the surface of endothelial cells, neurons, smooth muscle cells, and monocytes/macrophages Schmidt AM,1996 Hyperglycemia increased expression of the receptor and increased AGE– RAGE interaction. increase in vascular permeability of endothelium & thrombus formation Ficara AJ,1975
  • 28.
    AGEs are chemotacticfor monocytes Interaction between AGEs RAGE, on monocyte/macrophage membranes induces increased cellular oxidant stress & activates the transcription factor NF-kB. This signals a change in the monocyte/macrophage phenotype increased production of proinflammatory cytokines such as IL-1 & TNF and growth factors i.e. platelet-derived growth factor and insulin-like growth factor Kiestein M,1992 chronic inflammatory process in atheroma formation.
  • 29.
    CLASSIC COMPLICATION  1.Diabetic Retinopathy  2. Diabetic Neuropathy  3. Diabetic Nephropathy  4. Atherosclerosis  5. Impaired wound healing  6. Periodontal disease (Loe H 1993)
  • 30.
    DIABETES & ORALDISEASE Diabetes is associated with several oral conditions  alterations in salivary flow & constituents of saliva,  increased incidence of oral infection  burning mouth,  changes in wound healing,  Increased prevalence and severity of periodontal disease.
  • 31.
    Salivary flow  Autonomicneuropathy, a complication of diabetes mellitus, may result in alteration of salivary secretion Meurman JH, 1998  In studies of type 2 diabetes mellitus subjects and non-diabetes mellitus controls, no significant differences in salivary flow rates or organic constituents of saliva were seen Meurman JH, 1998  Likewise, there were no differences in the prevalence of coronal caries or root caries Collin HL, 1998  The salivary counts of yeasts and of acidogenic streptococci and lactobacilli were also similar between the groups.
  • 32.
    xerostomia  Xerostomia andparotid gland enlargement may occur in people with diabetes, and may be related to the degree of glycemic control COLLIN HL 2000  Xerostomia may be associated with sensation of burning mouth & tongue ,cheilosis, mucosal drying , craking
  • 33.
     Many diabeticpatients have conditions other than diabetes for which they are medicated, and many of these medications produce xerostomia as a side effect.  However, the effect of xerostomic medications on salivary flow rates was greater in diabetic individuals than in control patients. MEURMAN JH 1998
  • 34.
    candidiasis  Fungal infectionsi.e. candidiasis may increase on dry mucosa Fisher BM,1987  Guggenheimer et al. 2000 found 15.1% of 405 type 1 diabetes mellitus subjects had candidiasis, compared to only 3.0% of 268 non-diabetes mellitus control subjects.  Multivariate regression analysis found presence of Candida hyphae to be significantly related to poor glycemic control.
  • 35.
    caries  Studies haveshown an increased caries rates in diabetes mellitus Jones RB,1992; others have demonstrated similar or lower caries incidence Tenovuo J,1986  decreased salivation or increased glucose concentrations in saliva and gingival crevicular fluid account for an increased caries risk.  However, most diabetic patients limit their fermentable carbohydrate intake, and this less cariogenic diet may decrease caries risk.
  • 36.
    Oral microflora  Alterationin flora due to increased glucose in GCF & blood.  Cause change in environment of flora & qualitative changes in bacteria  Results in periodontal destruction.  Predominance of Candida albicans, Hemolytic streptococci ,staphylococci.
  • 37.
    Microorganism in ptwith IDDM  Capnocytophaga, anaerobic virios, Actinomyces sp. Black pigmented bacteroid Mascola B,1970  Porphyromonus gingivalis, P. intermedia, Actinobacillus actinomycetemcomitans are less Gusberti F,1982
  • 38.
    Microorganism in ptwith NIDDM  P. gingivalis, P. intermedia, Campylobacter rectus are predominent. Genco RJ,1987
  • 39.
    Infection  Increased susceptibilityto infection  Due to polymorphonuclear leukocyte deficiencies  Results in impaired chemotaxis, defective phagocytosis, impaired adherence McMullen JA,1981
  • 40.
    In poorly controlleddiabetic pt  Impaired PMNs, monocyte/macrophages Iacopino AM,2001  Diminished primary defense  Unchecked bacterial proliferation  No change in IgA, IgM, IgG Robertson HD,1974
  • 41.
    Effect on gingiva Tendency towards enlarged gingiva, sessile/ pedunculated gingival polyp, polypoid gingival proliferation, abcess, periodontitis , mobility of teeth. Hirschfeld I, 1934
  • 42.
    PERIODONTAL MANIFESTATIONS  Tendencytowards enlarged gingiva.  Sessile/pedunculated gingival polyps.  Polypoid gingival proliferations  Abscess formation  Periodontitis  Loosened teeth - Hirchfeld I (1934)
  • 45.
    GINGIVITIS  Diabetes isassociated with increased prevalence and severity of gingivitis.  Children before puberty with poorly controlled type 1 diabetes mellitus had a higher incidence and severity of gingival inflammation than controlled children. Gusberti et al. 1983  Cianciola et al.1982 Confirmed an increase in gingivitis in type 1 diabetes mellitus children after the age of 11
  • 46.
     poorly controlleddiabetes mellitus children has higher levels of gingival inflammation regardless of plaque levels. Firalti E. 1997  Improvement in glycemic control decreases signs of gingival inflammation Karjalainen k.1996  Guthmiller et al. 2001 found greater gingival inflammation in pregnant women with type 1 diabetes mellitus than in pregnant women without diabetes mellitus.
  • 47.
     Cutler etal. 1999 demonstrated greater gingival inflammation in type 2 diabetes mellitus adults than controls  Bridges et al. 1996 found no relationship between gingivitis and level of glycemic control.  These studies show -presence of diabetes mellitus is often, but not always associated with increased gingival inflammation  level of glycemic control may play a role in the gingival response to bacterial plaque in many individuals. Mealey & Moritz ,2003
  • 49.
    Probing depth &clinical attachment loss  Firalti et al. 1996 found increased probing depth and clinical attachment loss, when compared to age- and sex-matched control subjects.  mean attachment loss and bone loss scores are twice in 15-34 yrs diabetic pt than same aged non diabetes mellitus subjects.
  • 50.
     Type 1DM subjects with poor metabolic control over 2–5 years has greater prevalence of deep probing depths and advanced attachment loss. Tervonen & Oliver 1993  There is increasing prevalence of deeper pockets as metabolic control worsened. Tervonen & Knuuttila 1986
  • 51.
    Gingival Bleeding  Significantlygreater gingival bleeding in poorly controlled patients Ervasti et al. 1984  Number of bleeding sites decreased as glycemic control improved.
  • 54.
    Periodontitis  more severeperiodontal condition in type 2 diabetic adults Papapanou 1996  In younger individuals, type 1 diabetes mellitus is associated with an increased risk of periodontitis Brian L.2003  Cianciola et al. 1982 found no periodontitis among the diabetes mellitus subjects under the age of 12.
  • 55.
     Between ages13 and 18, 13.6% of the individuals had periodontitis.  Individuals from 19 to 32 years old had a prevalence of 39%.  The most significant risk factors for periodontitis are age, presence of calculus, and presence of type 2 diabetes mellitus. Bridges RB, 1996
  • 57.
    Bone loss  Type2 diabetes mellitus is associated with significantly increased risk of progressive bone loss. Taylor GW,1998  There is increasing prevalence of alveolar bone loss as glycemic control worsened.  The mean percentage of sites with > 15% bone loss went from 28% in well controlled type 1 diabetes mellitus subjects to 44% in poorly controlled subjects. Tervonen et al. 2000
  • 60.
    Factors Contributing to Developmentof Periodontal Disease Polymorphonuclear leukocyte function Collagen Metabolism & Advanced glycation end products Infections in patients with diabetes Wound healing Bacterial Associations
  • 61.
    POLYMORPHONUCLEAR LEUKOCYTE FUNCTION  ImpairedChemotaxis & adherence  Defective Phagocytosis  Diminished primary defense against periodontal pathogens.
  • 62.
    COLLAGEN METABOLISM  Reducedsynthesis of collagen & glycosaminoglycans  Reduced collagen maturation  Collagen homeostasis is Affected  GCF collagenase activity increased
  • 63.
    INFECTION Mainly due to: •Impaired defence mechanism 1. Defects in PMN function 2. Induction of insulin resistance 3. Vascular changes Hyperglycemic state Glycosylation of basement membrane, proteins • Thickning of gingival capillaries, • Disruption of BM Swelling of Endothelium 1. Oxygen diffusion 2. Metabolic waste elimination 3. PMN Migration 4. Diffusion of serum factors Impeded
  • 64.
    WOUND HEALING  WoundHealing is Affected as cumulative effect of: •Altered cellular activity •Decreased collagen synthesis •Glycosylation of existing collagen •Increase collagenase production •Reduced Collagen solubility •Delayed remodelling of wound site Readily degrade newly synthesized, less completely cross linked collagen Defective Healing
  • 65.
    BACTERIAL ASSOCIATION  Glucosecontent of GCF & blood is higher in diabetics.  Results in changed environment for the microflora & Presence of higher levels of specific microorganisms such as Actinobacillus actinomycetemcomitans & Capnocytophaga Mashimo et al 1983  The proportion of P gingivalis was reported to be higher in noninsulin- dependent diabetes mellitus patients with periodontitis.  Due to the abnormal host defense mechanisms in addition to hyperglycemic state can lead to the growth of particular fastidious organisms. Zambon et al,1988
  • 66.
  • 67.
  • 68.
    Alterations in subgingival microbiota Deepening of periodontal pockets & shift to a flora predominated by gram-negative rods and filaments. Mc Namara Tf, 1981  increase in proportions of Capnocytophaga species, while Fusobacterium and Bacteroides species remained at low levels. Masimo PA, 1983  High proportions of Prevotella intermedia were also found in diseased sites Sastrowijoto S ,1989
  • 69.
     increased prevalenceof Porphyromonas gingivalis in type 1 diabetes mellitus subjects Thorstenson H, 1995  Type 2 diabetes mellitus subjects with periodontitis have fairly similar microbiota to non-diabetes mellitus periodontitis patients,  different serotype of P. gingivalis were found in diabetes mellitus subjects. Zambon et al. ,1988
  • 70.
    Change in gingivalcrevicular fluid composition  Increased glucose levels in gingival crevicular fluid  decreased chemotaxis of periodontal ligament fibroblasts in response to platelet-derived growth factor. Nishimura et al. Nashimura F,1998  adversely affect periodontal wound healing and the local host response to microbial challenge.
  • 71.
  • 72.
    Decreased collagen production Changes in collagen synthesis, maturation, and turnover  Contribute to alterations in wound healing and to periodontal disease initiation and progression. Weringer EJ, 1981  The rate of collagen production can be restored by administration of insulin to normalize blood glucose levels Ramamurthy NS, 1983
  • 73.
    Increased matrix metalloproteinase activity Decreased synthesis, newly formed collagen is susceptible to degradation by collagenase( source is neutrophil), a matrix metalloproteinase which is elevated in diabetic tissues, including the periodontium Golub LM, 1978  Use of tetracycline antibiotics results in a reduction in collagenase production Golub LM, 1982
  • 74.
    Accumulation of advanced glycationendproducts (AGEs)  decreased collagen production and increased collagenase activity, collagen metabolism is altered by accumulation of AGEs in the periodontium.  Changes affecting the blood vessels of the periodontium, and these changes are related to AGE formation.  Increased thickness of gingival capillary endothelial cell basement membranes and the walls of small blood vessels Frantzis TG, 1971
  • 75.
     This thickeningimpair exchange of oxygen and metabolic waste products across the basement membrane.  two-fold increase in accumulation of AGEs in the periodontium Schmidt et al. Schimidt AM,1996
  • 76.
     Increased oxidantstress  widespread vascular injury  AGE formation also stimulates proliferation of arterial smooth muscle cells, increasing thickness of vessel walls and decreasing the vessel lumen.
  • 77.
    Decreased tissue turnover AGE accumulation results in increased cross-linking of collagen, reducing collagen solubility and decreasing turnover rate Brownlee M ,1994  greater degradation of newly formed, more soluble collagen.  greater cross-linking of mature collagen.
  • 78.
     In thecapillaries, this accumulation of highly cross-linked collagen in the basement membrane increases membrane thickness  Alter the tissue response to periodontal pathogens, resulting in increased severity and progression of periodontitis.
  • 79.
  • 80.
    Decreased polymorphonuclear leukocyte chemotaxis,adherence, phagocytosis  The polymorphonuclear leukocyte plays a major role in maintaining a healthy periodontium in the face of periodontopathic microorganisms  reduction in polymorphonuclear leukocyte function, including chemotaxis, adherence and phagocytosis Hill HR, 1974  May be associated with defect of genetic component Leeper SH,1985
  • 81.
     Chemotaxis maybe improved in those with better glycemic control  Defects affecting polymorpho nuclear leukocytes, the first line of defense against subgingival microbial agents, may result in significantly increased tissue destruction.
  • 82.
    Elevated pro-inflammatory cytokine responsefrom monocytes/macrophages  hyper-responsive monocyte/macrophage phenotype in which stimulation by bacterial antigens such as lipopolysaccharide results in dramatically increased pro-inflammatory cytokine production  increased production of tumor necrosis factor-α by monocytes Salvi et al. Salvi CE, 1997
  • 83.
     When challengedwith lipopolysaccharide from P. gingivalis, diabetic monocytes showed a 24–32-fold increased production of tumor necrosis factor- α  Production of prostaglandin E2 and interleukin-1b was also significantly higher
  • 84.
    Increased tissue oxidantstress  people with diabetes mellitus have a hyperresponsive monocyte/macrophage phenotype, and it is likely that there is a genetic component to this phenomenon (135).  AGE formation plays an important role in upregulation of the monocyte/macrophage cell line.  Accumulation of AGEs in the periodontium stimulates migration of monocytes to the site.
  • 85.
     AGE–RAGE interactionresults in immobilization of monocytes at the local site.  induces a change in monocyte phenotype, upregulating the cell and significantlymincreasing pro-inflammatory cytokine production.  increased gingival crevicularfluid production oftumor necrosis factor-a, prostaglandin E2 and interleukin-1b 159
  • 86.
     This interactionalso increases oxidant stress within the tissue, resulting in tissue destruction (166).  blocking the receptor RAGE decreases levels of the pro-inflammatory cytokines tumor necrosis factor- a and IL-6 in gingival tissues, decreases levels of tissue-destructive matrix metalloproteinases, lowers AGE accumulation in periodontal tissues and decreases alveolar bone loss in response to P. gingivalis (89).
  • 87.
  • 88.
    2- WAY RELATIONSHIPBETWEEN PERIODONTAL DISEASE AND DM
  • 89.
    EFFECT OF DIABETESON PERIODONTITIS Data of multiple studies reveal strong evidence •Diabetes is a risk factor for gingivitis & periodontitis. •The level of glycemic control appears to be an important determinant in this relationship
  • 90.
    AUTHOR YEAR STUDY Cianciola et al 1982In children with type 1 diabetes, the prevalence of gingivitis was greater than in non-diabetic children with similar plaque levels. Sastrowijo t o S et al 1990 Improvement in glycemic control may be associated with decreased gingival inflammation. Papapano u PN 1996 Majority of the studies demonstrate a more severe periodontal condition in diabetic adults than in adults without diabetes Tsai C et al 2002 In a large epidemiologic study in the United States, adults with poorly controlled diabetes had a 2.9-fold increased risk of having periodontitis compared to nondiabetic adult subjects; conversely,well-controlled diabetic subjects had no significant increase in the risk of periodontitis. Salvi GE et al 2005 Rapid and pronounced development of gingival inflammation in relatively well controlled adult type 1 diabetic subjects than in non-diabetic controls, despite similar levels of plaque accumulation and similar bacterial composition of plaque, suggesting a hyperinflammatory gingival response in diabetes.
  • 91.
    EFFECT OF PERIODONTITISON DM  Periodontal diseases can have a significant impact on the metabolic state in diabetes.  The presence of periodontitis increases the risk of worsening of glycemic control over time.
  • 92.
    AUTHOR YEAR STUDY Williams RCJr., Mahan CJ. 1960 Type 1 diabetic patients with periodontitis had a reduction in required insulin doses following scaling and root planing, localized gingivectomy, and selected tooth extraction combined with systemic procaine penicillin G and streptomycin Taylor GW et al 1996 In a 2-year longitudinal trial, diabetic subjects with severe periodontitis at baseline had a six-fold increased risk of worsening of glycemic control over time compared to diabetic subjects without periodontitis Taylor GW et al 1996 In a 2-year longitudinal trial, diabetic subjects with severe periodontitis at baseline had a six-fold increased risk of worsening of glycemic control over time compared to diabetic subjects without periodontitis Rodrigues DC et al 2003 Better improvement in glycemic control in a diabetic group treated with scaling & root planing alone compared to diabetic subjects treated with SRP plus systemic amoxicillin/clavulanic acid. Promsudt hi A et al 2005 In older, poorly controlled type 2 diabetic subjects who received SRP plus adjunctive doxycycline showed a significant improvement in periodontal health but only a non significant reduction in HbA1c values.
  • 93.
    MECHANISM BY WHICHPERIODONTAL DISEASE MAY INFLUENCE DIABETES Chronic gram-negative periodontal infections have significantly higher serum markers of inflammation such as c-reactive protein (CRP), IL-6, and fibrinogen than subjects without periodontitis. Periodontal treatment may reduce inflammation locally and also decrease serum levels of the inflammatory mediators that cause insulin resistance, thereby positively affecting glycemic control
  • 94.
    EFFECTS OF DIABETESON THE RESPONSE OF PERIODONTAL THERAPY  Many diabetic patients show improvement in clinical parameters of disease immediately after therapy,  patients with poorer glycemic control may have a more rapid recurrence of deep pockets and a less favorable long-term response.  longitudinal studies of various periodontal treatment modalities are needed to determine the healing response in individuals with diabetes compared to individuals without diabetes. Grossi SG,1996
  • 95.
    MANAGEMENT OF DIABETES 1.DIET : The goals of this intervention include  weight reduction, improved glycemic control, with blood glucose levels in the normal range, and lipid control. 2. EXERCISE : Regular physical exercise to weight reduction, increased cardiovascular fitness, and physical working capacity
  • 96.
  • 97.
    ANTI AGE THERAPY It include Aminoguanidine, ALT-946, ALT 711, Statins (Cervistatin)  Pyridoxamine, the natural form of vitamin B6, is effective at inhibiting AGEs at 3 different levels. – prevents the degradation of protein-Amadori intermediates to protein-AGE products. – In diabetic rats, pyridoxamine reduces hyperlipidemia and prevents AGE formation. – scavenges the carbonyl byproducts of glucose and lipid degradation – Benfotiamine, a lipid-soluble thiamine derivative, inhibits the AGE formation pathway.
  • 98.
    DENTAL THERAPY CONDIDERATION Patients with well-controlled diabetes can be treated in a similar way to non-diabetic patients.  Communicate with patient’s physician to obtain control of blood glucose levels  Control acute infections.  As aggravated glycemic control increases the risk of micro & macrovascular diabetic complications like- Stroke, MI, Heart Failure.
  • 99.
    TIMING OF TREATEMENT Patients with well controlled DM can be treated similarly to non-diabetic patients for most routine dental needs.  Keep appointments short, atraumatic, and stressfree  morning appointments  Use appropriate vasoconstrictor agents  For stressful procedures the usual drug regime may be altered
  • 100.
    Response to periodontaltreatment in patients with diabetes  Well controlled diabetes mellitus subjects with moderate to advancedmperiodontal disease, scaling and root planing resulted in similar clinical changes when compared to non-diabetes mellitus subjects 25  Conversely, poorly controlled diabetes mellitus patients often have a less favorable response to treatment
  • 101.
     initial responseto scaling and root planing was good , but the incidence of disease recurrence over the subsequent 12 months was greater in poorly controlled diabetes mellitus Individuals Tervonen et al. (188)  At the 5-year re-evaluation, diabetes mellitus patients had a similar percentage of sites gaining or losing attachment, and a similar percentage of sites with stable attachment levels, compared to non- diabetes mellitus subjects
  • 102.
    USE OF ANTIBIOTIC Antibiotics are not necessory for routine procedures in patients with well-controlled diabetes.  But considered in the presence of overt oral infection.  The combination of mechanical debridement+ systemic tetracycline provide greater positive effect on glycemic control in some DM patients.
  • 103.
    IMPLANT PLACEMENT CONSIDERATION Diabetes-induced changes in bone formation:  Inhibition of collagen matrix formation  Alterations in protein synthesis  Increased time for mineralization of osteoid  Reduced bone turnover  Decreased number of osteoblasts and osteoclasts  Altered bone metabolism  Reduction in osteocalcin production
  • 104.
     Possible DiabeticDisturbances in Implant Wound Healing Process In Implants
  • 105.
    DIABETIC EMERGENCY  Hypoglycemiccrisis  Hyperglycemic crisis
  • 106.
    HYPOGLYCEMIC CRISIS  INSULINSHOCK  Blood glucose level <60 mg/dl  Signs: sweating , tremor, dizziness, headache, loss of consciousness  Treatment : 1. recognition of hypoglycemia 2. Termination of dental procedure 3. Position- upright 4. A-B-C 5. D-definitive care – administration of oral carbohydrate (3-4 tspn of sugar/ candy)
  • 107.
    HYPERGLYCEMIC CRISIS  Dentalpt with hyperglycemia represent ASA IV risk & shouldn’t receive any dental t/t.  In unconscious pt; 1.Terminate dental procedure 2.Position - trendenlenburg 3.A-B-C 4.D- definitive care- 5% dextrose & H2O/ NS, administration of O2
  • 108.
    SPECIFIC MANAGEMENT GUIDELINES  USEOF EPINEPHRINE  Under stressful situation production of epinephrine & cortisol increases -> increase blood glucose level -> adequate pain control & stress reduction  Epinephrine is not contraindicated for LA
  • 109.
    PERIODONTAL MANAGEMENT  Periodontalt/t must be conducted in parallel with DM t/t. Taylor GW,1999  Primary t/t should be nonsurgical  Surgical t/t should be done in well glycemic controlled (100-200 mg/dl) pt , medication should be modified, it can result in prologed healing. Kripal K,2017
  • 110.
     Combination ofnonsurgical debridement & systemic antibiotic has shown better result in advance periodontitis cases Mealey BL, 2006  Combination of tetracycline & doxycycline with SRP also resulted better than SRP alone , even for topical intrasulcular doxycycline also resulted better Ship JA,2003
  • 111.
     These drugsinhibit MMPs, gcf collagenase, risk of bacterial resistance, bone resorption, bone loss.  Supportive periodontal therapy should be provided at intervals of 2-3 months.
  • 112.
    GUIDENINES FOR TREATEMENT DIABETES & PERIODONTAL DISEASE: CENSUS REPORT OF THE JOINT EFP/AAP WORKSHOP ON PERIODONTITIS & SYSTEMIC DISEASES  (CHAPPLE LC,GENCO R. J PERIODONTOL 2013)
  • 113.
    GUIDELINE- A  Patientswith diabetes should be told that periodontal disease risk is increased by diabetes.  If they suffer from periodontal disease, their glycaemic control may be more difficult, and they are at higher risk for diabetic complications such as cardiovascular and kidney disease.
  • 114.
     Patients withtype 1, type 2 and gestational diabetes should receive a thorough oral examination, which includes comprehensive periodontal examination.  For all newly diagnosed type 1 and type 2 diabetes patients, subsequent periodontal examinations should occur & annual periodontal review is recommended.  For children and adolescents diagnosed with diabetes, annual oral screening is recommended from the age of 6–7 years by referral to a dental professional.
  • 115.
    GUIDELINE- B  Ifperiodontitis is diagnosed, manage it properly. If not, patients with diabetes should be placed on a preventive care regime and monitored regularly for periodontal changes.  Patients with diabetes presenting with any acute oral/periodontal infections require prompt oral/ periodontal care.  Patients with diabetes who have extensive tooth loss should be encouraged to pursue dental rehabilitation to restore adequate mastication for proper nutrition
  • 116.
     Provide oralhealth education.  Patients who present without a diabetes diagnosis, but at risk for type 2 diabetes and signs of periodontitis should be informed about  their risk for having diabetes, assessed using a chair-side HbA1C test, and/or referred to a physician for appropriate diagnostic testing and follow-up care.
  • 117.
    GUIDELINE- C  Ifyour physician has told you that you have diabetes, you should make an appointment with a dentist to have your mouth and gums checked. This is because people with diabetes have a higher chance of getting gum disease. Gum disease can lead to tooth loss and may make your diabetes harder to control.
  • 118.
    GUIDELINE- D  Peoplewith diabetes have a higher chance of getting gum disease. If you have been told by your dentist that you have gum disease, you should follow up with necessary treatment as advised.  If you do not have diabetes, but your dentist identified some risk factors for diabetes including signs of gum disease, it is important to get a medical check-up as advised.
  • 119.
    CONCLUSION  Diabetes mellitushas significant impact on tissues throughout the body, including the oral cavity. As research indicates that poorly controlled diabetes increases the risk periodontitis.  • Alteration in host defence and tissue homeostasis appear to play a major role.
  • 120.
     • Advancesin medical management of DM require a heightened awareness by the periodontist in the various treatment regimens used by diabetic patients.  • Familiarity with various medications, monitoring equipments, and devices used by diabetic patient allows provision of appropriate periodontal therapy while minimizing the risk of complications.

Editor's Notes

  • #11 Hasimoto’s thyroiditis, addition dis, vitiligo, pernicious anaemia 5-10%
  • #12 Muscle cells 95%
  • #13 1-2%
  • #14 3rd tri Prog & other hormones In placenta impairs insulin action at cellular levl
  • #26 AGEs form in diabetic and non-diabetic individuals; however, their accumulation is greatly increased in diabetic patients with sustained hyperglycemia.
  • #46 puberty, there was a general increase in gingivitis, independent of glycemia
  • #54 After 4 days of insulin therapy