Embed presentation
Downloaded 195 times

































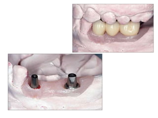
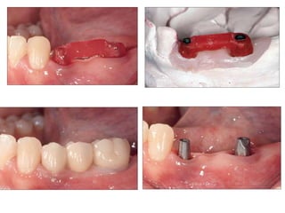
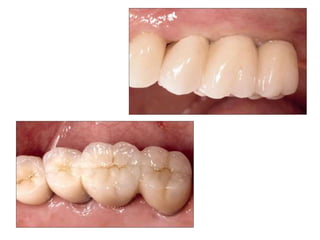
Implants require more precise impressions than crowns and bridges because implants lack a periodontal ligament to compensate for inaccuracies. It is critical to accurately record the three-dimensional position, angulation, and depth of implants to obtain a proper fitting definitive restoration. Making high quality impressions at the implant or abutment level is necessary to successfully fabricate implant prostheses.
































