DENDRITIC CELL TUMORS
PRESENTER : Dr. Neha Sharma
MODERATOR : Dr. Minakshi Bhardwaj
INTRODUCTION
• Dendritic cells (DCs) are component of innate immune system
• Most important antigen-presenting cells
• Initiate T-cell responses against protein antigens
• Have numerous fine cytoplasmic processes that resemble
dendrites, from which they derive their name
Background
1868 Discovery of first dendritic cells : Langerhans cells Paul Langerhans
1973 identification of DCs in mouse lymphoid tissue Steinman and Cohn
1979 skin epidermal LCs derived from bone marrow cells Katz
1990s Generation of DCs in vitro from myeloid
hematopoietic progenitors or from monocytes
Development Of Dendritic Cells
FUNCTIONS
• Antigen presentation and activation of T cells
• Inducing and maintaining immune tolerance
• Maintain immune memory in tandem with B cells
TYPES
DCs are found in
steady state (non-inflammatory)
non steady state (inflammatory )
• Steady state DCs include
Conventional DCs (cDCs)-
a. the myeloid-like CD11c+CD11b+CD8α- DC in the circulation and
peripheral lymphoid tissues
b. the lymphoid like CD11c+CD11b-CD8α+ DC
Type-1 interferon-producing plasmacytoid DCs (pDCs) : CD11c low
DC
SUBTYPES
cDCs can also be divided into
subsets according to their tissue
localizations:
• Follicular dendritic cell (FDC)
• Interdigitating cell (IDC)
• Langerhans cell (LC)
• Veiled cell (VC)
• Mucosal dendritic cell- mucosal-
associated lymphoid tissue (MALT)
K
Tonsils
Thymus
Lymphatics
Adenoids
Lymph node
Thoracic
Duct
Langerhans
cells
Interstitial
Dendritic Cells
Veiled
cells
LANGERHANS CELLS (LC)
• Specialized dendritic cells
in mucosal sites and skin
• Upon activation become
specialized for antigen
presentation to T cells
• Migrate to the lymph node
through lymphatics
INTERDIGITATING
DENDRITIC CELLS
(IDDC)
• Paracortical dendritic cells
in lymph nodes
• May be derived in part
from the Langerhans cell
DERMAL/INTERSTITIAL DENDRITIC CELLS
• Found in the soft tissue, dermis and most organs
• Can be increased in some inflammatory states
PLASMACYTOID DENDRITIC CELLS (PDC)
• Distinct lineage of dendritic cells
• The histogenetic origin - controversial
• Likely of myelomonocytic lineage
• Interferon alpha-producing PDC precursors only acquire a
dendritic appearance in cell culture
• Circulate in the peripheral blood
• Have the capacity to enter lymph nodes and tissue through high
endothelial venules
FOLLICULAR DENDRITIC CELLS (FDC)
• Resident within primary and
secondary B-cell follicles
• Trap and present antigen to B
cells
• Appear to be closely related to
BM stromal progenitors with
features of myofibroblasts
• Non-migrating population
• Form a stable meshwork within
the follicle
FIBROBLASTIC
RETICULAR CELLS
(FRC)
• Involved in maintenance
of lymphoid integrity
• Produce and transport
cytokines and other
mediators
• They ensheath the
postcapillary venules
• Express SMA
DCs that are not found in the steady state but develop after
infection or inflammation include
1. Monocyte-derived DCs
2. TNF-producing and inducible nitric oxide synthase (iNOS)-
expressing DCs
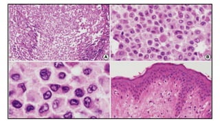
WHO Classification of Dendritic Cell Neoplasms
Tumours derived from Langerhans cells : LCH , LCS
Indeterminate dendritic cell tumour (INDCT)
Interdigitating dendritic cell sarcoma (IDDCS)
Follicular dendritic cell sarcoma (FDCS)
Inflammatory pseudotumor-like follicular/fibroblastic dendritic cell sarcoma
Fibroblastic reticular cell tumour (FRCT)
Disseminated juvenile xanthogranuloma (JXG) ?
Erdheim-Chester disease (ECD) ?
Blastic plasmactyoid dendritic cell neoplasm (BPDCN)– distinct entity
Langerhans Cell Histiocytosis(LCH)
LCH TERMINOLOGIES
• Eosinophilic granuloma : Solitary lesion/unifocal
• Hand –Schuller –Christian disease : multiple lesions/multifocal
• Letterer-Siwe disease : disseminated/visceral involvement
• The term HISTIOCYTOSIS X was coined by Lichtenstein in
1953
• The term LCH was used in 1985 to cover all these syndromes
EPIDEMIOLOGY
• Annual incidence of LCH is 5/10,00,000 ( mostly children)
• Median age at diagnosis is 30 months old
• multisystem disease usually found in children < 2 yr old
• multifocal single site disease usually in children 2-5 yr old
• M:F-3.7:1
• 70% of children have only 1 site of disease (bone most common)
• Primary LCH of lung associated with smoking
• Association with follicular lymphoma can be seen rarely
PATHOGENESIS
• IL1 loop model has been proposed
• High levels of the tyrosine phosphatase SH1 in lesional tissues
• Increased levels of IL17A in peripheral blood and lesional
tissues, particularly in patients with multiorgan disease
CLASSIFICATION
• Eosinophilic Granuloma
• isolated bone lesion
• Hand-Schuller-Christian Syndrome
• skull lesions, exophthalmos (protruding eyes), diabetes insipidus
• Letterer-Siwe Disease
• organomegaly (enlarged liver and/or spleen), enlarged lymph nodes,
localized bone lesions, bleeding tendencies, anemia
LCH CLINICAL CLASSIFICATION
CLINICAL FEATURES
Presenting signs and symptoms varies depending upon areas
involved
• Unifocal disease :
 older children or adults
 lytic bone lesion eroding the cortex
 solitary lesions at other sites - mass lesions or enlarged lymph
nodes
CLINICAL FEATURES
• Unisystem Multifocal Disease
 young children
 multiple or sequential destructive bone lesions, adjacent soft
tissue masses
 Diabetes insipidus follows cranial involvement
• Multisystem Involvement
infants present with fever, cytopenias, skin ,bone lesions and
hepatosplenomegaly
LCH-BONES
• Presents as pain and swelling; rarely,
fracture
• Loose teeth if jaw involved
• Involved in 80% of patients
• 50% with 1 lesion; 50% with multiple
lesions
• 50% of all bone lesions found in skull and
facial bones
• 10% - vertebral body involvement
(collapsed vertebral body= “vertebra
plana”)
• Lesions in bones may last for years
LCH-SKIN
• Skin involved in over 50% of cases (2nd
most commonly involved organ)
• Crusty, petechial papules in scalp often
mistaken for seborrheic dermatitis
• Skin folds and diaper area frequently
involved
• Distal limbs usually spared
LCH-CNS
• Involvement of hypothalamic-pituitary axis (HPA) : 25% of LCH
cases
• May present with excessive thirst and large urine output,
manifestations of diabetes insipidus (permanent)
• Median age of onset : 4 years
• Seen on CT or MRI of brain
• In up to 10% of those with multisystem disease, other CNS
problems are found (degenerative CNS changes 5-15 years after
diagnosis)
LCH-LUNGS
• Lung involvement – 15% of LCH cases
• High-resolution CT scan : diffuse micronodular densities with cyst
formation-- honeycomb lung
• Almost never seen as the only site of involvement
• Can be asymptomatic or present with shortness of breath
• Confirmed by lung biopsy or bronchoalveolar lavage
LCH- LIVER/GIT
• Soft, enlarged liver often accompanied by enlarged spleen and
jaundice
• Decrease in proteins produced by liver (albumin, clotting factors)
• GI tract involvement is rarely reported but may present as
diarrhoea
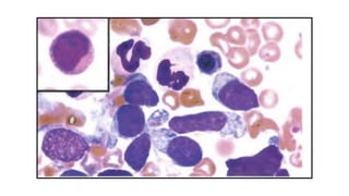
LCH- BONE MARROW
• Hematologic problems are most often seen in those < 2 years old
• Found in patients with more severe disease
• It is characterized by anemia, neutropenia, and thrombocytopenia
• Erythrophagocytosis is a factor in the pathogenesis of anemia
• Because bone marrow and splenic involvement often occur
together, splenic sequestration further exaggerates the cytopenias
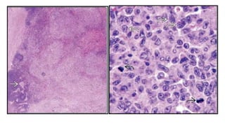
Lab findings
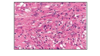
• Neutrophilia ,  ESR ,  S. Alkaline phosphatase
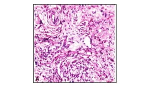
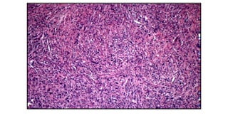
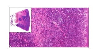
Biopsy
• skin, bone , liver , LN – diagnostic
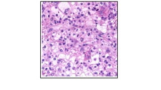
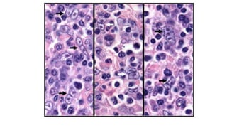
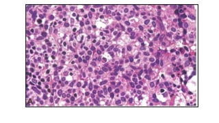
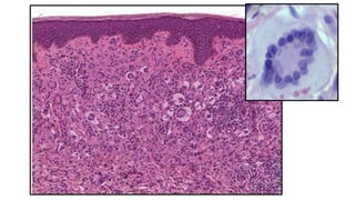
LCH – Lymph Node
LCH - Lung
LCH- SKIN
LCH- SKIN
LCH – Bone Marrow
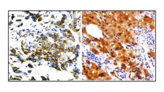
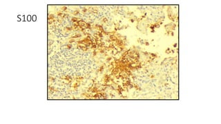
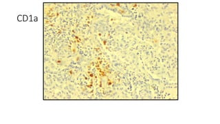
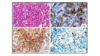
IMMUNOPHENOTYPE
POSITIVE
• CD1a
• Langerin (CD207)
• S100 protein
• Vimentin, CD68, HLA-DR
• PD-L1 (many cases)
• CD45 expression & lysozyme
content : low
• Ki-67 proliferation index :
highly variable
NEGATIVE
B-cell lineage markers
 T-cell lineage markers
(except for CD4)
CD30
Follicular dendritic cell
markers (CD1,23,35)
S100
CD1a Langerin
ULTRASTRUCTURE
• Birbeck granule :
tennis-racket
shape
200-400 nm long
and 33 nm wide
zipper-like
appearance
GENETIC PROFILE
• LCH has been shown to be clonal by X- linked androgen
receptor gene (HUMARA) assay
• Clonal IGH, IGK, or TR rearrangements, including some cases
with both T-cell and B-cell gene rearrangements : 30% cases
• BRAF V600E mutation : 50% cases ( no prognostic
significance)
• Somatic MAP2K1 mutations almost always occurring in BRAF
germline cases : 25% cases
PROGNOSIS
• The clinical course is related to staging of the disease at
presentation
• Survival for unifocal disease – 99%
• 66% mortality for young children with multisystem involvement
who do not respond promptly to therapy
THERAPEUTIC MODALITIES
LOCALISED
• biopsy or curettage
• radiation therapy (low dose)
• topical steroids
• intralesional steroid injections
SYSTEMIC
• oral or intravenous steroids
• oral or intravenous chemotherapy
• single agents (vinblastine, etoposide)
• combination chemotherapy
Targets for Therapy
• CD52 - Alemtuzumab
• Vascular Endothelial Growth Factor
• Thalidomide
• TNF-alpha antagonists
• Thymic extracts
• Suppressin – thymic hormone
• Cyclosporine
• HSCT
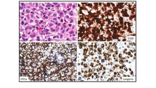
Langerhans Cell Sarcoma
(LCS)
LANGERHANS CELL SARCOMA
• Malignant sarcoma with Langerhans cell phenotype
• Median age : 41 years (10-72)
SITES
• Skin and underlying soft tissue – most common
• Multiorgan involvement - LN, liver, spleen, lung and bone
• High stage disease seen in 44%
• Primary nodal disease – 22%
• Hepatosplenomegaly is noted in 22%
• Pancytopenia in 11%
IMMUNOPHENOTYPE
POSITIVE NEGATIVE
CD1a Myeloid markers
S100 Lymphoid markers
Langerin Follicular dendritic cell markers
Ki67 : highly variable
S100
CD1a Langerin
ULTRASTRUCTURE
• Birbeck granules present
• Desmosomes and complex interdigitating cells absent
Genetic profile
• BRAFV600E mutation found in one case
Prognosis
• LC sarcoma is an aggressive, high-grade malignancy, with >
50% mortality from progressive disease
Indeterminate Dendritic Cell
Tumour
(INDCT)
INDETERMINATE DENDRITIC CELL TUMOUR
• Neoplasm derived from normal indeterminate cells, the
precursor of Langerhans cells
SITE
•Multiple generalized papules, nodules, or plaques on the skin
•Primary lymph node or splenic disease : rarely
CLINICAL FEATURES
• Systemic symptoms are usually not present
IMMUNOPHENOTYPE
POSITIVE NEGATIVE
S100 Langerin
CD1a Specific B-cell and T-cell markers
CD45, CD68, Lysozyme,
CD4 : variable
CD30
Ki-67 : variable CD163
Follicular dendritic cell markers
CD1a
s100
ULTRASTRUCTURE
• Lack Birbeck granules
• There can be complex
interdigitating cell
processes
• Desmosomes : absent
PROGNOSIS
• Ranges from spontaneous regression to rapid progression
Interdigitating Dendritic Cell
Sarcoma
(IDDCS)
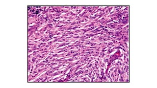
Interdigitating Dendritic Cell Sarcoma
• Neoplastic proliferation of spindle to oval cells with phenoyptic
features similar to those of interdigitating dendritic cells
• Extemely rare neoplasm
• Site :
solitary LN involvement (most common)
Extranodal : skin & soft tissue
IMMUNOPHENOTYPE
POSITIVE NEGATIVE
S100 CD 21, CD35
Vimentin CD1a
Myeloid markers
Cytokeratin
S-100
ULTRASTRUCTURE
• Complex interdigitating cell processes present
• Desmosomes, birbeck granules & lysozymes absent
PROGNOSIS
• The clinical course is generally aggressive, with about half of all
patients dying of the disease
• Commonly affected visceral organs include the liver, spleen,
kidney and lung
Follicular Dendritic Cell
Sarcoma
(FDCS)
FOLLICULAR DENDRITIC CELL SARCOMA
• Neoplastic proliferation of spindle to oval cells showing
morphologic and phenotype features of follicular dendritic cells
• 10-20% cases associated with hyaline vascular type of
Castleman's disease
• Sites
• Lymph node disease in 31% of cases (mostly cervical LN)
• Extranodal disease in 58%
• Most commonly tonsil, GIT, soft tissue, mediastinum,
retroperitoneum, omentum and lung
• Both nodal and extranodal disease in 10%
CLINICAL FEATURES
• Patients most often present with a slow growing, painless mass
lesion
• Most patients have localized disease at presentation
• Systemic symptoms are uncommon
IMMUNOPHENOTYPE
POSITIVE NEGATIVE
Follicular dendritic cell marker – CD
21, CD35, CD23
Myeloid markers : CD 13,CD 33, MPO
Clusterin (strong) HMB 45
EGFR CD1a
Desmoplakin , Vimentin, Fascin
HLA-DR , EMA
CD68 and S100 : variable
IHC
EGFR CD21
ULTRASTRUCTURE
• Desmosomes and
cytoplasmic cell
processes present
• Lysozymes and Birbeck
granules absent
PROGNOSIS
• FDC sarcoma is usually treated by complete surgical excision,
with or without adjuvant radiotherapy or chemotherapy
• Associated with a worse prognosis
 large tumour size (> 6 cm)
 coagulative necrosis
 high mitotic count (>5 mitoses/10 HPF)
 significant cytological atypia
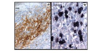
Inflammatory Pseudotumour-
like Follicular/ Fibroblastic
Dendritic Cell Sarcoma
• Occurs in young to middle-aged adults, with a female predilection
• Consistently associated with EBV (monoclonal episomal form)
Site
 It involves the liver or spleen or both
 Rarely, it involves the GITas a polypoidal lesion
Clinical features
 asymptomatic or abdominal distension or pain, and occasionally
systemic symptoms
jgjghgjgjghkghgkhdkhksdhkfhkdfshkfdhkdfhkfdshkjfdhkjdfshkjfdhkjfdkfdshkjfdshkjdfhjk
dfhkjfsdhjkdfhkjhdfkjhdfkjhfdskjhdfjkhdfhsdfjkhfdskjhfdsjkhfdjkhfdsjkhdfsjkhfdshfdsjhf
djkhkjjhjkhkhhjjkhjkhkjhjk
IMMUNOPHENOTYPE
• Positive for FDC markers, such as CD21 and CD35
• Staining ranging from extensive to very focal
• Some cases, they may be negative for FDC markers but express
SMA
• This raises the possibility of fibroblastic reticular cell
differentiation
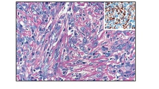
CD23
EBER ISH
PROGNOSIS
• The tumour appears to be indolent
• Tendency to develop repeated intraabdominal recurrences over
many years
Fibroblastic Reticular Cell
Tumour
(FRCT)
FIBROBLASTIC RETICULAR CELL TUMOUR
• Very rare tumor
• Also known as CK positive interstitial reticulum cell tumours
Site
• Can occur in the lymph nodes, spleen or soft tissue
IMMUNOPHENOTYPE
POSITIVE NEGATIVE
SMA FDC markers (CD 21,23,35)
Desmin S100
Cytokeratin (in a dendritic
pattern)
CD68
ULTRASTRUCTURE
• The spindle cells show delicate cytoplasmic extensions and
features similar to those of myofibroblasts :
filaments with occasional fusiform densities
 well-developed desmosomal attachments
 rough endoplasmic reticulum
 basal lamina-like material
PROGNOSIS
• Available data regarding outcome are extremely limited
• The clinical outcome is variable
• Some patients die of the disease
Disseminated Juvenile
Xanthogranuloma (JXG)
Disseminated Juvenile Xanthogranuloma
(JXG)
• Characterized by a proliferation of histiocytes similar to those of
the dermal JXG
• Foamy(xanthomatous) component with Touton-type giant cells
• Originate from dermal/interstitial dendritic cell
• Most deep, visceral and disseminated forms occur by the age of
10 years
• Fifty percent within the first year of life
ETIOLOGY
• Known association with neurofibromatosis type 1 (NF-1)
• Patients with both are at slightly higher risk of JMML
• Patients with both LCH and JXG are also encountered
SITE
• Skin and soft tissues of head and neck - most common
• Disseminated forms affect mucosal surfaces – most common
upper aerodigestive tract
• Other sites - CNS, dura, pituitary stalk, eye, liver, lung, lymph
node & bone marrow
CLINICAL FEATURES
• Skin papules small (1-2mm) and multiple
• Optic lesions can cause glaucoma
• CNS and pituitary lesions can cause diabetes insipidus, seizures,
hydrocephalus and mental status changes
• Benign but Macrophage activation syndrome can lead to
cytopenias, liver damage and death (in the systemic forms)
IMMUNOPHENOTYPE
POSITIVE NEGATIVE
Vimentin, Factor XIIIA CD1a
Surface CD14 Langerin
CD68 (PGM1) - coarse granular pattern
CD163 - surface and cytoplasmic pattern
Stabilin-1 (MS-1 antigen)
Fascin (cytoplasm)
S100 (< 20% of the cases)
fascin
CD68
CD4
FXIIIA
ULTRASTRUCTURE
• Histiocytic
• Abundant cytoplasm with numerous lysosomes
PROGNOSIS
• All clinical forms are benign
• Multiple lesions in brain, dura or pituitary can cause local
consequences and even death
• Systemic forms that involve liver and bone marrow have been
treated with LCH-type therapy
Erdheim-Chester disease
(ECD)
ERDHEIM-CHESTER DISEASE
• Clonal systemic proliferation of foamy (xanthomatous)
histiocytes with Touton giant cells
• Rare condition
• Mean patient age 55-60 years (< 15 years can be seen)
• M:F is 3:1
SITE
• Virtually any organ or tissue can be infiltrated by ECD
• Skeletal (> 95%), Cardiovascular (50%), retroperitoneal (33%)
• CNS, diabetes insipidus, and/or exophthalmos in 20-30% of
patients and cerebellum involvement
• Xanthelasma of eyelids /periorbital soft tissue
CLINICAL FEATURES
• Bone lesions can be asymptomatic or with mild pain and
affect distal limbs
• Multisystemic disease follows an aggressive course
• Cardiovascular involvement seen by MRI or CT
 infiltration of the right atrium or AV groove with pericarditis,
effusion or tamponade
circumferential soft tissue sheathing of the thoracic and
abdominal aorta (Coated Aorta) &large arteries, leading to
renovascular hypertension
• Orbital infiltration (often bilateral) : exophthalmos, pain, oculomotor nerve
palsies, blindness, xanthelasma
• Pituitary gland infiltration causes diabetes insipidus,hyperprolactinaemia,
Gonadotropin insufficiency, hypotestosteronism
• CNS involvement :
Cerebellar and pyramidal syndromes
The most serious neurological complication is neurodegenerative cerebellar
disease (15- 20%)
CNS involvement is a major prognostic factor in ECD
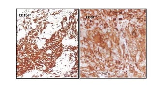
IMMUNOPHENOTYPE
POSITIVE
• CD14
• CD68
• CD163
• Factor Xllla
• Fascin
• VE1 ( mutated BRAF)
NEGATIVE
• S100
• CD1a
• Langerin
CD163 CD68
GENETIC PROFILE
• Mutations in MAPK pathway genes : BRAF V600E (> 50%)
• Pl3KCA pathway gene (11% )
• NRAS mutation (4%)
PROGNOSIS
• The disease outcome correlates with sites of involvement
• Patients with CNS disease or multisystemic disease have a
worse outcome
• Disease activity is assessed by clinical examination, imaging and
C-reactive protein values
• ECD may respond to therapy with interferon alpha ( 5 year
survival -68%)
• Vemurafenib (inhibitor of BRAF) has recently been used with
promising results
Blastic Plasmacytoid
Dendritic Cell
Neoplasm(BPDCN)
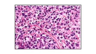
BLASTIC PLASMACYTOID DENDRITIC CELL
NEOPLASM
• Clinically aggressive neoplasm derived from the precursors of
plasmacytoid dendritic cell
• Mean age 61-67 years
• M:F ratio is 3.3:1
• Mostly involves skin(64-100%) followed by bone marrow,
peripheral blood (60-90%) & lymph node (40-50%)
CLINICAL FEATURES
• Skin manifestations - most frequent
• The diagnosis is made on skin biopsy
• Three types of lesions
 isolated (one or few) purplish nodule type (two thirds of cases)
: head & lower limbs
 isolated (one or few) bruise-like papule type
 disseminated type with purplish nodules and/or papules
and/or macules : most characteristic
• In some patients lacking skin involvement and with leukaemic
presentation, the diagnosis is made based on peripheral blood
or bone marrow analyses
• In most cases, a fulminant leukaemic phase ultimately develops
• About 10-20% cases associated with or develop into other
myeloid disorders, most commonly CMML, MDS or AML
CYTOCHEMISTRY
• Negative for
Alpha-naphthyl butyrate esterase
 Naphthol AS-D choloroacetate esterase (CAE)
Myeloperoxidase
IMMUNOPHENOTYPING
POSITIVE
• CD4
• CD43
• CD45RA
• CD56
• PDC associated antigens - CD123 (IL3 alpha chain receptor), CD303,
TCL 1A
• TCF4
• TdT (33%)
• S-100(25-30%)
• BCL6, IRF4, and BCL2 (absent in normal PDCs)
• CD117 :Occasional cases
IMMUNOPHENOTYPING
NEGATIVE
• CD3
• CD13, CD16
• CD19, CD20
• Lysozyme
• MPO
• CD34 ( positive in 17% on flowcytometry)
• EBER
CD4
CD303
CD56
TCL1ACD123
BCL11A
GENETIC PROFILE
• Two thirds of patients have an abnormal karyotype
• Complex karyotypes & recurrent translocations are common
• Gene expression analysis of BPDCN reveals a unique signature
 proves that BPDCN originates from the myeloid lineage; in
particular, from resting PDCs
• TET2 - most commonly mutated gene
PROGNOSIS
• The clinical course is aggressive, with a median survival of
10.0-19.8 months
• Most cases (80-90%) show an initial response to multiagent
chemotherapy
• Relapses with subsequent resistance to drugs are regularly
observed have been associated with shorter survival
• Parameters associated with lower survival rate
High marrow or peripheral blood blastosis
low TdT expression
positivity for CD303
low Ki-67 proliferation index
CDKN2A/B deletions
mutations in DNA methylation pathway genes
HEMATOPOIETIC
STEM CELL (CD45+)
MESENCHYMAL
STEM CELL (CD45-)
PDC
FDC
FRC
BPDCN
FRCT :
Indolent
to
aggressive
Spindle
cells with
collagen
fibres
IHC: SMA,
Desmin;
CK, CD68
LCH:
Variable
clinical profile
LC cells
IHC: CD1a;
S100;Langerin
UM: Birbeck
granules
LCS:
aggressive
same IHC ;UM
ECD
DXG
FDCS
:mostly LN,
mod
aggressive
Spindle cells
IHC:
CD21/35/23
Clusterin;
Fascin
IDDCS : Mostly
LN; very
aggressive
Spindle cells
IHC : S100;
Fascin
Absent :CD1a,
Langerin
INDCT:
mostly localized
Oval cells
IHC:
CD1a;S100
Fascin
Absent : Langerin
Birbeck granules
–]-
HEMATOPOIETIC
STEM CELL (CD45+)
DERMAL/INTERSTITIAL
DENDRITIC CELL
DXG :
skin+ visceral
lesions
Foamy histiocytes
with Touton giant
cells
IHC:
Vimentin,
Factor XIIIA,
Surface CD14
CD68 ,CD163
Fascin
ECD:
Virtually any sites
Foamy histiocytes
with Touton giant
cells
IHC:
CD14
CD68
CD163
Factor Xllla
Fascin
VE1MOLECULAR
ANALYSIS
123456
CONCLUSION
• Dendritic neoplasms are rare neoplasms that represent less
than 1% of all the neoplasms seen in the lymph nodes or soft
tissues
• Immunohistochemistry remains the mainstay of diagnosis
• Collaborative efforts are needed to better treat patients with
these rare disorders
CASE STUDY
9 year old female presented with
• Acute chest pain of few hours
• Difficulty in breathing duration
Systemic examination revealed decreased right sided breath sounds
Other systems revealed no abnormality
There was no history of fever or hemoptysis
Thorough workup revealed no bony or skin lesions
INVESTIGATIONS
Investigation Result
Chest X Ray Multiple pneumatocoeles and right
sided pneumothorax
CT scan Gross distortion of architecture with
multiple thin walled cysts bilaterally
Pulmonary function test Suggestive of both restrictive and
obstructive change
Blood workup for
bacterial and viral
infections
Negative
Bronchoalveolar lavage Unremarkable
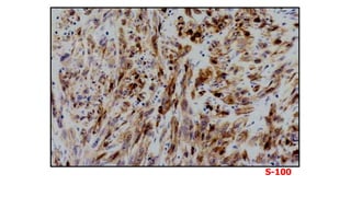
Thoracoscopic lung biopsy
S100
CD1a
FINAL DIAGNOSIS
• Pulmonary LCH
• NEXT ACTIVITY : Dr. Preeti
Journal club – 27/02/2019

DENDRITIC CELL TUMORS PATHOLOGY

  • 1.
    DENDRITIC CELL TUMORS PRESENTER: Dr. Neha Sharma MODERATOR : Dr. Minakshi Bhardwaj
  • 2.
    INTRODUCTION • Dendritic cells(DCs) are component of innate immune system • Most important antigen-presenting cells • Initiate T-cell responses against protein antigens • Have numerous fine cytoplasmic processes that resemble dendrites, from which they derive their name
  • 3.
    Background 1868 Discovery offirst dendritic cells : Langerhans cells Paul Langerhans 1973 identification of DCs in mouse lymphoid tissue Steinman and Cohn 1979 skin epidermal LCs derived from bone marrow cells Katz 1990s Generation of DCs in vitro from myeloid hematopoietic progenitors or from monocytes
  • 4.
  • 5.
    FUNCTIONS • Antigen presentationand activation of T cells • Inducing and maintaining immune tolerance • Maintain immune memory in tandem with B cells
  • 7.
    TYPES DCs are foundin steady state (non-inflammatory) non steady state (inflammatory ) • Steady state DCs include Conventional DCs (cDCs)- a. the myeloid-like CD11c+CD11b+CD8α- DC in the circulation and peripheral lymphoid tissues b. the lymphoid like CD11c+CD11b-CD8α+ DC Type-1 interferon-producing plasmacytoid DCs (pDCs) : CD11c low DC
  • 8.
    SUBTYPES cDCs can alsobe divided into subsets according to their tissue localizations: • Follicular dendritic cell (FDC) • Interdigitating cell (IDC) • Langerhans cell (LC) • Veiled cell (VC) • Mucosal dendritic cell- mucosal- associated lymphoid tissue (MALT) K Tonsils Thymus Lymphatics Adenoids Lymph node Thoracic Duct Langerhans cells Interstitial Dendritic Cells Veiled cells
  • 10.
    LANGERHANS CELLS (LC) •Specialized dendritic cells in mucosal sites and skin • Upon activation become specialized for antigen presentation to T cells • Migrate to the lymph node through lymphatics
  • 12.
    INTERDIGITATING DENDRITIC CELLS (IDDC) • Paracorticaldendritic cells in lymph nodes • May be derived in part from the Langerhans cell
  • 13.
    DERMAL/INTERSTITIAL DENDRITIC CELLS •Found in the soft tissue, dermis and most organs • Can be increased in some inflammatory states
  • 14.
    PLASMACYTOID DENDRITIC CELLS(PDC) • Distinct lineage of dendritic cells • The histogenetic origin - controversial • Likely of myelomonocytic lineage • Interferon alpha-producing PDC precursors only acquire a dendritic appearance in cell culture • Circulate in the peripheral blood • Have the capacity to enter lymph nodes and tissue through high endothelial venules
  • 17.
    FOLLICULAR DENDRITIC CELLS(FDC) • Resident within primary and secondary B-cell follicles • Trap and present antigen to B cells • Appear to be closely related to BM stromal progenitors with features of myofibroblasts • Non-migrating population • Form a stable meshwork within the follicle
  • 18.
    FIBROBLASTIC RETICULAR CELLS (FRC) • Involvedin maintenance of lymphoid integrity • Produce and transport cytokines and other mediators • They ensheath the postcapillary venules • Express SMA
  • 19.
    DCs that arenot found in the steady state but develop after infection or inflammation include 1. Monocyte-derived DCs 2. TNF-producing and inducible nitric oxide synthase (iNOS)- expressing DCs
  • 20.
    WHO Classification ofDendritic Cell Neoplasms Tumours derived from Langerhans cells : LCH , LCS Indeterminate dendritic cell tumour (INDCT) Interdigitating dendritic cell sarcoma (IDDCS) Follicular dendritic cell sarcoma (FDCS) Inflammatory pseudotumor-like follicular/fibroblastic dendritic cell sarcoma Fibroblastic reticular cell tumour (FRCT) Disseminated juvenile xanthogranuloma (JXG) ? Erdheim-Chester disease (ECD) ? Blastic plasmactyoid dendritic cell neoplasm (BPDCN)– distinct entity
  • 21.
  • 22.
    LCH TERMINOLOGIES • Eosinophilicgranuloma : Solitary lesion/unifocal • Hand –Schuller –Christian disease : multiple lesions/multifocal • Letterer-Siwe disease : disseminated/visceral involvement • The term HISTIOCYTOSIS X was coined by Lichtenstein in 1953 • The term LCH was used in 1985 to cover all these syndromes
  • 23.
    EPIDEMIOLOGY • Annual incidenceof LCH is 5/10,00,000 ( mostly children) • Median age at diagnosis is 30 months old • multisystem disease usually found in children < 2 yr old • multifocal single site disease usually in children 2-5 yr old • M:F-3.7:1 • 70% of children have only 1 site of disease (bone most common) • Primary LCH of lung associated with smoking • Association with follicular lymphoma can be seen rarely
  • 24.
    PATHOGENESIS • IL1 loopmodel has been proposed • High levels of the tyrosine phosphatase SH1 in lesional tissues • Increased levels of IL17A in peripheral blood and lesional tissues, particularly in patients with multiorgan disease
  • 25.
    CLASSIFICATION • Eosinophilic Granuloma •isolated bone lesion • Hand-Schuller-Christian Syndrome • skull lesions, exophthalmos (protruding eyes), diabetes insipidus • Letterer-Siwe Disease • organomegaly (enlarged liver and/or spleen), enlarged lymph nodes, localized bone lesions, bleeding tendencies, anemia
  • 26.
  • 27.
    CLINICAL FEATURES Presenting signsand symptoms varies depending upon areas involved • Unifocal disease :  older children or adults  lytic bone lesion eroding the cortex  solitary lesions at other sites - mass lesions or enlarged lymph nodes
  • 28.
    CLINICAL FEATURES • UnisystemMultifocal Disease  young children  multiple or sequential destructive bone lesions, adjacent soft tissue masses  Diabetes insipidus follows cranial involvement • Multisystem Involvement infants present with fever, cytopenias, skin ,bone lesions and hepatosplenomegaly
  • 29.
    LCH-BONES • Presents aspain and swelling; rarely, fracture • Loose teeth if jaw involved • Involved in 80% of patients • 50% with 1 lesion; 50% with multiple lesions • 50% of all bone lesions found in skull and facial bones • 10% - vertebral body involvement (collapsed vertebral body= “vertebra plana”) • Lesions in bones may last for years
  • 30.
    LCH-SKIN • Skin involvedin over 50% of cases (2nd most commonly involved organ) • Crusty, petechial papules in scalp often mistaken for seborrheic dermatitis • Skin folds and diaper area frequently involved • Distal limbs usually spared
  • 31.
    LCH-CNS • Involvement ofhypothalamic-pituitary axis (HPA) : 25% of LCH cases • May present with excessive thirst and large urine output, manifestations of diabetes insipidus (permanent) • Median age of onset : 4 years • Seen on CT or MRI of brain • In up to 10% of those with multisystem disease, other CNS problems are found (degenerative CNS changes 5-15 years after diagnosis)
  • 32.
    LCH-LUNGS • Lung involvement– 15% of LCH cases • High-resolution CT scan : diffuse micronodular densities with cyst formation-- honeycomb lung • Almost never seen as the only site of involvement • Can be asymptomatic or present with shortness of breath • Confirmed by lung biopsy or bronchoalveolar lavage
  • 33.
    LCH- LIVER/GIT • Soft,enlarged liver often accompanied by enlarged spleen and jaundice • Decrease in proteins produced by liver (albumin, clotting factors) • GI tract involvement is rarely reported but may present as diarrhoea
  • 34.
    LCH- BONE MARROW •Hematologic problems are most often seen in those < 2 years old • Found in patients with more severe disease • It is characterized by anemia, neutropenia, and thrombocytopenia • Erythrophagocytosis is a factor in the pathogenesis of anemia • Because bone marrow and splenic involvement often occur together, splenic sequestration further exaggerates the cytopenias
  • 35.
    Lab findings • Neutrophilia,  ESR ,  S. Alkaline phosphatase Biopsy • skin, bone , liver , LN – diagnostic
  • 36.
  • 37.
  • 38.
  • 39.
  • 40.
  • 41.
    IMMUNOPHENOTYPE POSITIVE • CD1a • Langerin(CD207) • S100 protein • Vimentin, CD68, HLA-DR • PD-L1 (many cases) • CD45 expression & lysozyme content : low • Ki-67 proliferation index : highly variable NEGATIVE B-cell lineage markers  T-cell lineage markers (except for CD4) CD30 Follicular dendritic cell markers (CD1,23,35)
  • 42.
  • 43.
    ULTRASTRUCTURE • Birbeck granule: tennis-racket shape 200-400 nm long and 33 nm wide zipper-like appearance
  • 44.
    GENETIC PROFILE • LCHhas been shown to be clonal by X- linked androgen receptor gene (HUMARA) assay • Clonal IGH, IGK, or TR rearrangements, including some cases with both T-cell and B-cell gene rearrangements : 30% cases • BRAF V600E mutation : 50% cases ( no prognostic significance) • Somatic MAP2K1 mutations almost always occurring in BRAF germline cases : 25% cases
  • 45.
    PROGNOSIS • The clinicalcourse is related to staging of the disease at presentation • Survival for unifocal disease – 99% • 66% mortality for young children with multisystem involvement who do not respond promptly to therapy
  • 46.
    THERAPEUTIC MODALITIES LOCALISED • biopsyor curettage • radiation therapy (low dose) • topical steroids • intralesional steroid injections SYSTEMIC • oral or intravenous steroids • oral or intravenous chemotherapy • single agents (vinblastine, etoposide) • combination chemotherapy
  • 47.
    Targets for Therapy •CD52 - Alemtuzumab • Vascular Endothelial Growth Factor • Thalidomide • TNF-alpha antagonists • Thymic extracts • Suppressin – thymic hormone • Cyclosporine • HSCT
  • 48.
  • 49.
    LANGERHANS CELL SARCOMA •Malignant sarcoma with Langerhans cell phenotype • Median age : 41 years (10-72) SITES • Skin and underlying soft tissue – most common • Multiorgan involvement - LN, liver, spleen, lung and bone • High stage disease seen in 44% • Primary nodal disease – 22% • Hepatosplenomegaly is noted in 22% • Pancytopenia in 11%
  • 51.
    IMMUNOPHENOTYPE POSITIVE NEGATIVE CD1a Myeloidmarkers S100 Lymphoid markers Langerin Follicular dendritic cell markers Ki67 : highly variable
  • 52.
  • 53.
    ULTRASTRUCTURE • Birbeck granulespresent • Desmosomes and complex interdigitating cells absent
  • 54.
    Genetic profile • BRAFV600Emutation found in one case Prognosis • LC sarcoma is an aggressive, high-grade malignancy, with > 50% mortality from progressive disease
  • 55.
  • 56.
    INDETERMINATE DENDRITIC CELLTUMOUR • Neoplasm derived from normal indeterminate cells, the precursor of Langerhans cells SITE •Multiple generalized papules, nodules, or plaques on the skin •Primary lymph node or splenic disease : rarely CLINICAL FEATURES • Systemic symptoms are usually not present
  • 58.
    IMMUNOPHENOTYPE POSITIVE NEGATIVE S100 Langerin CD1aSpecific B-cell and T-cell markers CD45, CD68, Lysozyme, CD4 : variable CD30 Ki-67 : variable CD163 Follicular dendritic cell markers
  • 59.
  • 60.
    ULTRASTRUCTURE • Lack Birbeckgranules • There can be complex interdigitating cell processes • Desmosomes : absent
  • 61.
    PROGNOSIS • Ranges fromspontaneous regression to rapid progression
  • 62.
  • 63.
    Interdigitating Dendritic CellSarcoma • Neoplastic proliferation of spindle to oval cells with phenoyptic features similar to those of interdigitating dendritic cells • Extemely rare neoplasm • Site : solitary LN involvement (most common) Extranodal : skin & soft tissue
  • 66.
    IMMUNOPHENOTYPE POSITIVE NEGATIVE S100 CD21, CD35 Vimentin CD1a Myeloid markers Cytokeratin
  • 67.
  • 68.
    ULTRASTRUCTURE • Complex interdigitatingcell processes present • Desmosomes, birbeck granules & lysozymes absent
  • 69.
    PROGNOSIS • The clinicalcourse is generally aggressive, with about half of all patients dying of the disease • Commonly affected visceral organs include the liver, spleen, kidney and lung
  • 70.
  • 71.
    FOLLICULAR DENDRITIC CELLSARCOMA • Neoplastic proliferation of spindle to oval cells showing morphologic and phenotype features of follicular dendritic cells • 10-20% cases associated with hyaline vascular type of Castleman's disease
  • 72.
    • Sites • Lymphnode disease in 31% of cases (mostly cervical LN) • Extranodal disease in 58% • Most commonly tonsil, GIT, soft tissue, mediastinum, retroperitoneum, omentum and lung • Both nodal and extranodal disease in 10%
  • 73.
    CLINICAL FEATURES • Patientsmost often present with a slow growing, painless mass lesion • Most patients have localized disease at presentation • Systemic symptoms are uncommon
  • 77.
    IMMUNOPHENOTYPE POSITIVE NEGATIVE Follicular dendriticcell marker – CD 21, CD35, CD23 Myeloid markers : CD 13,CD 33, MPO Clusterin (strong) HMB 45 EGFR CD1a Desmoplakin , Vimentin, Fascin HLA-DR , EMA CD68 and S100 : variable
  • 78.
  • 79.
    ULTRASTRUCTURE • Desmosomes and cytoplasmiccell processes present • Lysozymes and Birbeck granules absent
  • 80.
    PROGNOSIS • FDC sarcomais usually treated by complete surgical excision, with or without adjuvant radiotherapy or chemotherapy • Associated with a worse prognosis  large tumour size (> 6 cm)  coagulative necrosis  high mitotic count (>5 mitoses/10 HPF)  significant cytological atypia
  • 81.
    Inflammatory Pseudotumour- like Follicular/Fibroblastic Dendritic Cell Sarcoma
  • 82.
    • Occurs inyoung to middle-aged adults, with a female predilection • Consistently associated with EBV (monoclonal episomal form) Site  It involves the liver or spleen or both  Rarely, it involves the GITas a polypoidal lesion Clinical features  asymptomatic or abdominal distension or pain, and occasionally systemic symptoms
  • 83.
  • 85.
    IMMUNOPHENOTYPE • Positive forFDC markers, such as CD21 and CD35 • Staining ranging from extensive to very focal • Some cases, they may be negative for FDC markers but express SMA • This raises the possibility of fibroblastic reticular cell differentiation
  • 86.
  • 87.
    PROGNOSIS • The tumourappears to be indolent • Tendency to develop repeated intraabdominal recurrences over many years
  • 88.
  • 89.
    FIBROBLASTIC RETICULAR CELLTUMOUR • Very rare tumor • Also known as CK positive interstitial reticulum cell tumours Site • Can occur in the lymph nodes, spleen or soft tissue
  • 91.
    IMMUNOPHENOTYPE POSITIVE NEGATIVE SMA FDCmarkers (CD 21,23,35) Desmin S100 Cytokeratin (in a dendritic pattern) CD68
  • 92.
    ULTRASTRUCTURE • The spindlecells show delicate cytoplasmic extensions and features similar to those of myofibroblasts : filaments with occasional fusiform densities  well-developed desmosomal attachments  rough endoplasmic reticulum  basal lamina-like material
  • 93.
    PROGNOSIS • Available dataregarding outcome are extremely limited • The clinical outcome is variable • Some patients die of the disease
  • 94.
  • 95.
    Disseminated Juvenile Xanthogranuloma (JXG) •Characterized by a proliferation of histiocytes similar to those of the dermal JXG • Foamy(xanthomatous) component with Touton-type giant cells • Originate from dermal/interstitial dendritic cell • Most deep, visceral and disseminated forms occur by the age of 10 years • Fifty percent within the first year of life
  • 96.
    ETIOLOGY • Known associationwith neurofibromatosis type 1 (NF-1) • Patients with both are at slightly higher risk of JMML • Patients with both LCH and JXG are also encountered
  • 97.
    SITE • Skin andsoft tissues of head and neck - most common • Disseminated forms affect mucosal surfaces – most common upper aerodigestive tract • Other sites - CNS, dura, pituitary stalk, eye, liver, lung, lymph node & bone marrow
  • 98.
    CLINICAL FEATURES • Skinpapules small (1-2mm) and multiple • Optic lesions can cause glaucoma • CNS and pituitary lesions can cause diabetes insipidus, seizures, hydrocephalus and mental status changes • Benign but Macrophage activation syndrome can lead to cytopenias, liver damage and death (in the systemic forms)
  • 101.
    IMMUNOPHENOTYPE POSITIVE NEGATIVE Vimentin, FactorXIIIA CD1a Surface CD14 Langerin CD68 (PGM1) - coarse granular pattern CD163 - surface and cytoplasmic pattern Stabilin-1 (MS-1 antigen) Fascin (cytoplasm) S100 (< 20% of the cases)
  • 102.
  • 103.
    ULTRASTRUCTURE • Histiocytic • Abundantcytoplasm with numerous lysosomes
  • 104.
    PROGNOSIS • All clinicalforms are benign • Multiple lesions in brain, dura or pituitary can cause local consequences and even death • Systemic forms that involve liver and bone marrow have been treated with LCH-type therapy
  • 105.
  • 106.
    ERDHEIM-CHESTER DISEASE • Clonalsystemic proliferation of foamy (xanthomatous) histiocytes with Touton giant cells • Rare condition • Mean patient age 55-60 years (< 15 years can be seen) • M:F is 3:1
  • 107.
    SITE • Virtually anyorgan or tissue can be infiltrated by ECD • Skeletal (> 95%), Cardiovascular (50%), retroperitoneal (33%) • CNS, diabetes insipidus, and/or exophthalmos in 20-30% of patients and cerebellum involvement • Xanthelasma of eyelids /periorbital soft tissue
  • 108.
    CLINICAL FEATURES • Bonelesions can be asymptomatic or with mild pain and affect distal limbs • Multisystemic disease follows an aggressive course • Cardiovascular involvement seen by MRI or CT  infiltration of the right atrium or AV groove with pericarditis, effusion or tamponade circumferential soft tissue sheathing of the thoracic and abdominal aorta (Coated Aorta) &large arteries, leading to renovascular hypertension
  • 109.
    • Orbital infiltration(often bilateral) : exophthalmos, pain, oculomotor nerve palsies, blindness, xanthelasma • Pituitary gland infiltration causes diabetes insipidus,hyperprolactinaemia, Gonadotropin insufficiency, hypotestosteronism • CNS involvement : Cerebellar and pyramidal syndromes The most serious neurological complication is neurodegenerative cerebellar disease (15- 20%) CNS involvement is a major prognostic factor in ECD
  • 113.
    IMMUNOPHENOTYPE POSITIVE • CD14 • CD68 •CD163 • Factor Xllla • Fascin • VE1 ( mutated BRAF) NEGATIVE • S100 • CD1a • Langerin
  • 114.
  • 115.
    GENETIC PROFILE • Mutationsin MAPK pathway genes : BRAF V600E (> 50%) • Pl3KCA pathway gene (11% ) • NRAS mutation (4%)
  • 116.
    PROGNOSIS • The diseaseoutcome correlates with sites of involvement • Patients with CNS disease or multisystemic disease have a worse outcome • Disease activity is assessed by clinical examination, imaging and C-reactive protein values • ECD may respond to therapy with interferon alpha ( 5 year survival -68%) • Vemurafenib (inhibitor of BRAF) has recently been used with promising results
  • 117.
  • 118.
    BLASTIC PLASMACYTOID DENDRITICCELL NEOPLASM • Clinically aggressive neoplasm derived from the precursors of plasmacytoid dendritic cell • Mean age 61-67 years • M:F ratio is 3.3:1 • Mostly involves skin(64-100%) followed by bone marrow, peripheral blood (60-90%) & lymph node (40-50%)
  • 119.
    CLINICAL FEATURES • Skinmanifestations - most frequent • The diagnosis is made on skin biopsy • Three types of lesions  isolated (one or few) purplish nodule type (two thirds of cases) : head & lower limbs  isolated (one or few) bruise-like papule type  disseminated type with purplish nodules and/or papules and/or macules : most characteristic
  • 121.
    • In somepatients lacking skin involvement and with leukaemic presentation, the diagnosis is made based on peripheral blood or bone marrow analyses • In most cases, a fulminant leukaemic phase ultimately develops • About 10-20% cases associated with or develop into other myeloid disorders, most commonly CMML, MDS or AML
  • 126.
    CYTOCHEMISTRY • Negative for Alpha-naphthylbutyrate esterase  Naphthol AS-D choloroacetate esterase (CAE) Myeloperoxidase
  • 127.
    IMMUNOPHENOTYPING POSITIVE • CD4 • CD43 •CD45RA • CD56 • PDC associated antigens - CD123 (IL3 alpha chain receptor), CD303, TCL 1A • TCF4 • TdT (33%) • S-100(25-30%) • BCL6, IRF4, and BCL2 (absent in normal PDCs) • CD117 :Occasional cases
  • 128.
    IMMUNOPHENOTYPING NEGATIVE • CD3 • CD13,CD16 • CD19, CD20 • Lysozyme • MPO • CD34 ( positive in 17% on flowcytometry) • EBER
  • 129.
  • 130.
    GENETIC PROFILE • Twothirds of patients have an abnormal karyotype • Complex karyotypes & recurrent translocations are common • Gene expression analysis of BPDCN reveals a unique signature  proves that BPDCN originates from the myeloid lineage; in particular, from resting PDCs • TET2 - most commonly mutated gene
  • 131.
    PROGNOSIS • The clinicalcourse is aggressive, with a median survival of 10.0-19.8 months • Most cases (80-90%) show an initial response to multiagent chemotherapy • Relapses with subsequent resistance to drugs are regularly observed have been associated with shorter survival
  • 132.
    • Parameters associatedwith lower survival rate High marrow or peripheral blood blastosis low TdT expression positivity for CD303 low Ki-67 proliferation index CDKN2A/B deletions mutations in DNA methylation pathway genes
  • 133.
    HEMATOPOIETIC STEM CELL (CD45+) MESENCHYMAL STEMCELL (CD45-) PDC FDC FRC BPDCN FRCT : Indolent to aggressive Spindle cells with collagen fibres IHC: SMA, Desmin; CK, CD68 LCH: Variable clinical profile LC cells IHC: CD1a; S100;Langerin UM: Birbeck granules LCS: aggressive same IHC ;UM ECD DXG FDCS :mostly LN, mod aggressive Spindle cells IHC: CD21/35/23 Clusterin; Fascin IDDCS : Mostly LN; very aggressive Spindle cells IHC : S100; Fascin Absent :CD1a, Langerin INDCT: mostly localized Oval cells IHC: CD1a;S100 Fascin Absent : Langerin Birbeck granules –]-
  • 134.
    HEMATOPOIETIC STEM CELL (CD45+) DERMAL/INTERSTITIAL DENDRITICCELL DXG : skin+ visceral lesions Foamy histiocytes with Touton giant cells IHC: Vimentin, Factor XIIIA, Surface CD14 CD68 ,CD163 Fascin ECD: Virtually any sites Foamy histiocytes with Touton giant cells IHC: CD14 CD68 CD163 Factor Xllla Fascin VE1MOLECULAR ANALYSIS
  • 135.
  • 136.
    CONCLUSION • Dendritic neoplasmsare rare neoplasms that represent less than 1% of all the neoplasms seen in the lymph nodes or soft tissues • Immunohistochemistry remains the mainstay of diagnosis • Collaborative efforts are needed to better treat patients with these rare disorders
  • 137.
  • 138.
    9 year oldfemale presented with • Acute chest pain of few hours • Difficulty in breathing duration Systemic examination revealed decreased right sided breath sounds Other systems revealed no abnormality There was no history of fever or hemoptysis Thorough workup revealed no bony or skin lesions
  • 139.
    INVESTIGATIONS Investigation Result Chest XRay Multiple pneumatocoeles and right sided pneumothorax CT scan Gross distortion of architecture with multiple thin walled cysts bilaterally Pulmonary function test Suggestive of both restrictive and obstructive change Blood workup for bacterial and viral infections Negative Bronchoalveolar lavage Unremarkable
  • 140.
  • 142.
  • 143.
  • 144.
  • 146.
    • NEXT ACTIVITY: Dr. Preeti Journal club – 27/02/2019