Embed presentation









































































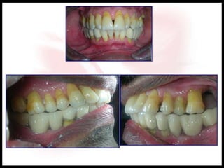
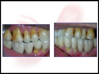
This presentation outline covers the key components of an orthodontic consultation, including personal history, extra-oral and intra-oral exams, diagnostic records and tests, problem list, prognosis, treatment plan, treatment progression in phases, re-evaluations, post-operative instructions, and before and after comparisons. The outline provides an organized structure to present all relevant information about a patient's orthodontic case.








































































