Burkitt’s lymphoma
Abegunde O.V
OUTLINE
• Introduction
• Epidemiology
• Aetiopathogenesis
• Classification
• Clinical features
• Differential diagnosis
• Investigations
• Staging , treatment and outcome
• Complications
• Conclusion
• References
Introduction
• Lymphomas are solid tumours of lymphocytes which are malignant
• They present as solid tumours of lymph node or other lymphoid
organ or tissue resulting in their enlargement.
• 2 broad classifications:
– Hodgkin’s Lymphoma
– Non-Hodgkin’s lymphoma
• Non-Hodgkin’s Lymphoma two subtypes:
– B-cell lymphoma
– T-cell and natural killer (NK) cell lymphoma
Working formulation developed by national
cancer institute of USA( 1981)
• Classified non-hodgkins lymphoma into
• Low grade
• Intermediate grade
• High grade
Based on morphology
Low-grade
• Small lymphocytic
• Follicular small cleaved
• Follicular mixed small/large cell
• Intermediate grade
• Follicular large cell
• Diffuse small-cleaved cell
• Diffuse mixed small and large cell
• Diffuse large cell
High-grade
• Immunoblastic large cell
• Lymphoblastic cell
• Diffuse small non-cleaved (Burkitt's) or non burkitt
• WHO/REAL Classification divided B-cell NHL into 3 clinical categories
– Indolent Lymphoma
– Aggressive Lymphoma
– Highly Aggressive Lymphoma
• Indolent Lymphoma
• Small Lymphocytic Cell Lymphoma
• Follicular Lymphoma (Grade 1-2)
• Lymphoplasmacytic Lymphoma
• Splenic/Nodal Marginal Zone Lymphoma
Aggressive Lymphoma
• Diffuse Large B-cell Lymphoma
• Follicular Lymphoma (Grade 3)
• Mantle Cell Lymphoma
• Highly Aggressive Lymphoma
• Burkitt’s Lymphoma
• Lymphoblastic Lymphoma
Introduction
• Burkitt’s lymphoma is a form of non –hodgkin’s lymphoma
• highly aggressive childhood B- Cell neoplasm characterized by the
translocation and deregulation of the c-myc gene on chromosome 8
• first described by Dennis Burkitt, a British surgeon practising in
Uganda in 1956
• fastest growing tumour known to man
• doubling time of ≈ 24 hours.
Epidemiology
• Commonest childhood malignancy in Nigeria with relative frequency
55% of all paediatric tumour
• Most affected age grp: 4 - 9 years
Rare < 2 years and > 15 years
• Males >> females (M:F = 2:1)
Epidemiology cont’d
• Tropical rain forest of Africa, Latitudes 10-10º North and South of the
Equator and other parts of the world with similar climatic conditions
such as Papua New Guinea.
• Common in equatorial Africa and regions ( Temp ≥ 16°C & Rainfall ≥
50cm)
• Common in children from low socioeconomic clan.
• Uncommon in children from high socio-economic class, living in
endemic areas.
Types of burkitt’s lymphoma
• Three distinct clinical forms are recognized
Endemic , Sporadic and Immunodeficiency- Associated.
• Although histologically identical and with similar clinical behaviour,
these different forms differ in epidemiology, clinical presentation and
genetic features
Endemic burkitt’s lymphoma
• Endemic BL (African)refers to those cases occurring in African children
• usually 2–16 years old,mean age of 7yrs(rare below 2yrs of age)
• male : female ratio of 2:1
• Maxilla is involved more commonly than the mandible
• Posterior segments more affected
• Sometimes all four quadrants show tumor involvement
• Occurs in region where malaria in holoendemic.
Sporadic BL
• Sporadic Burkitt’s lymphoma also known as ” non –African” occurs
worldwide.
• it includes those cases occurring with no specific geographic or
climatic association.
• It accounts for 1%–2% of lymphoma in adults and up to 40% of
lymphoma in children in the U.S. and western Europe.
• Most often present as abdominal tumours with bone marrow
involvement
• Mean age of occurrence is 11 years.
Immunodeficency- associated BL
• This variant of Burkitt’s lymphoma accounts for 30%–40% of non-
Hodgkin’s lymphoma in HIV+/AIDS patients.
• It can also occur in people with congenital conditions that cause
immune deficiency and in organ transplant patients on
immunosuppressive drugs.
• Present as cases usually with nodal involvement with frequent bone
marrow involvement
• Involves distal ileum ,ceacum and mesentry
Compared to the endemic type ,the incidence of Epstein-barr infection
is considerably lower in the other two types of burkitt lymphoma .
In the sporadic type Epstein- barr occurs in 20% of the patients
In the immunodeficiency –associated type it occurs in 30-40% of
patients.
Burkitt’s lymphoma
Aetiopathogenesis
• The exact etiology and pathophysiologic mechanisms to the
development of Burkitt lymphoma are not known.
• However several theories exist.
• Chromosomal aberration
• Role of microbial and parasitic infection
• Herbal exposure
• Low socioeconomic factors
Aetiopathogenesis
• Chromosomal abberation
• Chromosome 8 carries the C-myc gene, which regulates
lymphomagenesis.
• As a result of an alteration in VDJ-recombinase (enzyme responsible
for gene re-arrangement)
1. C-myc gene is translocated from Chromosome 8
2. In exchange for antibody coding genes on Chromosome 2, 14 or 22.
3. The ability to control / regulate cellular proliferation is lost by the
gene in its new position.
4. Resulting in immortalization of the B-Lymphocytes
• Three alterations have been described
• Translocation resulting in the transposition of the C-myc proto-
oncogene on chromosome 8 with one of the immunoglobulin heavy
chain (IgH) genes on chromosome 14. [t(8;14)(q24;q32) ].
• This occurs in 60-70% of cases.
• c-myc on chromosome 8 translocated close to the λ-light-chain gene
on chromosome 22 [t(8;22)(q24;q11)]. 10-15% of cases.
• c-myc on chromosome 8 translocated close to the ƙ-light-chain gene
on chromosome 2 [t(8;2)(p12;q24)]. 2-5% of cases.
• These result in overexpression of the c-myc gene and is considered
responsible for tumor proliferation.
Translocation of c-myc gene
Aetiopathogenesis
Role of Epstein barr virus and malaria
• Epstein Barr virus infection is implicated especially African BL.
• Chronic exposure of infants to malaria results in immunosuppression
which permits the proliferation of EBV- transformed cell.
• The lymphocytes have receptors(C 3d-like) for EBV and are its
specific target.
• The genetic instability of the EBV+, aberrantly regulated B cells leads
to a greater risk of c-myc rearrangement, and then to lymphoma.
Role of EBV
• Herbal exposure
• The sap of the milk bush (Euphorbia tirucalli ) and other
Euphorbiaceae species are possible environmental risk factors for BL
due to their ability to activate the viral replication cycle in the latent
phase of EBV-infected cells.
• These plants are used traditionally in many cultural activities in
tropical Africa such as religious (wedding and birth of twin
ceremonies), human (to treat sore throat, headache, diarrhoea and
wounds),
Euphorbia tirucalli
• Low socioeconomic factors may be associated with a poor defense
response toward environmental exposures due to poor nutrition
and/or poor hygienic conditions
• Other environmental factors to be considered in its etiology include
schistosomiasis and exposure to pesticides
Clinical features
• Rapidly growing tumor with a doubling time of about 24hrs
• Rapidly progressive painless facial swelling of the jaw in 1 or more
quadrants.
• presentation within 2-6 weeks of illness.
• Intraoral extension of swelling to involve the cheek or gingivae
• Proptosis in children may occur in association with maxillary lesions
• Pain and paresthesia associated with jaw lesions
• Loosening of teeth
Burkitt’s lymphoma with severe orbital
involvement
Clinical features cont’d
• Premature exfoliation of deciduous teeth
• Overlying mucosa may be hemorrhagic or ulcerated.
• Non tender rapidly enlarging submandibular or cervical lymph nodes
• Progressive, painful abdominal swelling
• Bowel obstruction secondary to growth of the abdominal mass
mimicking acute appendicitis
Other symptoms
• Weight loss > 10% body weight in 6mths
• Anorexia
• Fatigue
• Unexplained Fever (on & off) (Fever > 38.0)
• Malaise
• Night sweats
investigations
• Haematology
Full Blood Count
• Blood chemistry
Electrolyte, urea, creatinine, calcium, uric acid, phosphates, LDH
Liver function test
• Retroviral screening
investigations
• Radiographic
• -Lateral Oblique Plain Radiographs:
Chest (lung metastasis and Mediastinal
involvement)
Jaw (PAR, upper and lower occlusal, PA skull)
• CT scan
• MRI
• Abdominal USS
• Lesion appears hypodense on computed tomography scan and
hypoechoic on ultrasound scan.
Radiographic findings
• ill-defined radiolucency
• Loss of lamina dura and developmental crypt(s) around erupted and
unerupted teeth
• Uniform widening of periodontal membrane space(garrington’s sign)
• Teeth may be displaced, causing malocclusion and/or
exfoliation.(Dental Anarchy)
• Root truncation
• Histopathologic examination
Bone Marrow Aspiration (BMA)/Biopsy
Lumbar puncture for CSF cytology
• Cytogenetic studies
• Flow cytometry – in determining a clonal cell population and in
differentiating between B-cell and T-cell antigen
Differential diagnosis
• Clinical differential diagnosis
• Other jaw malignancies of childhood
• Ewing’s sarcoma
• Osteosarcoma
• Ameloblastoma
• Dentigerous cyst
• Embryonal Rhabdomyosarcoma
• Acute infection / Dentoalveolar Abscess
Differential diagnosis
Differential Diagnosis of burkitt’s lymphoma(histologic)
• Neuroblastoma
• Nephroblastoma
• Retinoblastoma
• Lymphoblastic lymphoma
• Blastic mantle cell lymphoma
• Diffuse large B-cell lymphoma
• Embryonal Rhabdomyosarcoma
Histology
Histologic examination:
homogenous sheets of lymphoblasts, with round to oval nuclei,
slightly coarse chromatin, multiple nucleoli, and intensely basophilic
vacuolated cytoplasm that contains neutral fat.
The homogenous appearance is interspersed with scattered
macrophages, containing necrotic debris, giving a starry- sky
appearance
Thus they tend to stand out as “stars” set against the “night sky”
of the hyperchromatic neoplastic lymphoid cells, giving it the
so-called starry sky appearance.
Mitotic figures are numerous
• ‘starry sky’ appearance is not pathognomonic of BL and is also seen in
• Hodgkin’s Paragranuloma
• Stem cell and Lymphocytic lymphomas
Fine Needle Aspiration Cytology
Leishmann’s Stain shows
large monomorphic lymphoblasts containing distinct nucleoli,
abundant deeply basophilic and vacuolated cytoplasm.
Leishmann’s Stain
SHOWING A POSITIVE REACTION IN NEARLY ALL TUMOUR
CELLS
STAINING FOR Ki-67
Immunophenotype
• BL cells express surface IgM and B-cell associated antigens {CD 19,
CD 20, CD 22, CD 79a,} as well as CD 10 HLA-DR, and CD 43.
• They also show nuclear staining for BCL-6 protein.
• Expression of CD 21, the Epstein-Barr virus receptor is dependent on
the EBV status of the tumour
• Virtually all the cells in Burkitt’s lymphomas are proliferating, shown
by expression of Ki-67.
• These tumors are negative for T-cell antigens CD2, CD 7, CD 8 and
Bcl-2.
DIAGNOSIS
• WHO classification requires that for a diagnosis to be made, there
must be
1. High growth factor
2. Ki67 staining of over 99%
3. Evidence of c-MYC rearrangement
Staging, treatment and outcome
• The staging of BL is important as it helps the clinician in choosing a
treatment protocol and also eventual prognosis and outcome.
• Different types of staging have been used in BL
• Ann Arbor staging
• St Jude / Murphy staging system
• Ziegler and Magrath
Ann Arbor method
• Patient are staged on I-IV Based on site and extent of their tumour .
• Also A and B
• A –without systemic symptoms
• B –systemic symptoms ;fever >38 ⁰c
• weightloss >10% body weight in past 6mths
• night sweats
Ann arbor method
I. Lymph node involvement in one anatomical region
II. Involvement of 2 or more lymph node regions on the same side
of the diaghragm either above or below
III. Involvement of lymph node regions on both sides of the
diaphragm.
IV. Disseminated (Multifocal) involvement of 1 or more
extralymphatic organs.
Ziegler and Magrath
A. Solitary extra-abdominal site
AR. Resectable (90%) intra-abdominal tumour
B. Multiple extra-abdominal site
C. Intra-abdominal tumour ± facial tumour
D. Intra-abdominal tumour + site other than facial e.g (testis)
Management
Management is multidisciplinary involving
• Oncologist
• Hematologist
• Pediatrician
• Dental surgeon
Management
• HISTORY
• EXAMINATION
• INVESTIGATION
• TREATMENT
Treatment
• Systemic chemotherapy is the treatment of choice, and Burkitt’s
lymphomas respond well.
• Short duration, high intensity combination chemotherapy is used.
• However, sporadic and immunodeficiency-associated BL do not have as
much sensitivity seen in endemic BL.
• Cyclophosphamide therapy alone has been curative for 80% of children
with early stage endemic type , however combination chemotherapy is the
choice for extensive disease
Pre-chemotherapy medications:
• Fluid preload to ensure high urinary output
• Correction of any metabolic imbalance or hematologic abnormality
• Allopurinol – to offset hyperuricaemia occuring from high cell loss rate
• Start 24-48hrs before chemotherapy
• Dose 200-500mg, usually 100mg t.d.s
• Persistent ↑ uric acid despite allopurinol use
give uricaise 500 – 1000i.u
Treatment regimen
• Treatment options for patients with limited stage disease include the
following:
• COMP – Cyclophosphamide + vincristine (Oncovin) + Methotrexate +
Prednisone
• CHOP – Same as above with Hydroxydaunorubicinhydrochloride
replacing Methotrexate
• CHOP plus Methotrexate
• RCHOP-Rituximab, a monoclonal anti-CD20 antibody, may improve
outcome
• Intrathecal Methotrexate and Cytosine arabinoside – CNS prophylaxis
• The course is repeated every 2weeks in 6 courses
Supportive therapy cont’d
• Hydration : @ least 2L/m2 of fluid/day, to promote uric acid excretion
and prevent uric acid nephropathy.
• Alkalinization of Urine to PH 7 – 8
• Blood and blood products
• Antibiotics
• Psychological support
• Surgical Laminectomy
• Dialysis
• Surgery is only indicated for patients with small, completely
resectable abdominal tumours or patients with obstruction who
cannot begin chemotherapy immediately.
• Is also indicated for debulking prior to chemotherapy(Greatly
improves prognosis)
• Follow-up
• To evaluate patient response
• Observe for relapse
• For documentation
Outcome
• Adverse Outcome , among children and adult patients can be
predicted on presentation with the following ;
• -Male sex
• - older age
• - advanced stage
• - poor performance status
• - bulky disease / intra- abdominal tumour
• - CNS or marrow involvement
• -failure to achieve complete remission
• In paediatric patients a poorer prognostic outcome is expected in
patients ;
• -↑ 15yrs of age
complications
• Facial disfigurement
• Deranged occlusion
• Obstructive symptoms
• Tumour lysis syndrome
1. Hypocalcaemia
2. Hyperphosphatemia
3. Hyperuricaemia
4. Hyperkalemia
5. Metabolic acidosis
• Leukaemia
• CNS symptoms
• Complications of cytotoxic therapy
• Nausea, vomitting,haemorrhagic cystitis, alopecia, marrow
suppression e.t.c
Conclusion
• Burkitt’s lymphoma is a unique neoplasm as :
• It is the first human tumor to be causally associated with a virus
(EBV).
• The c-myc of Burkitt’s lymphoma is the first oncogene to be described
in a lymphoma .
• It is the first type of non- Hodgkin’s lymphoma to be described in
association with HIV infection.
• Among human neoplasms, it has the shortest doubling time with its
unequalled proliferation rate creating special challenges for diagnosis
and treatment.
References
• Oral and maxillofacial pathology fourth edition Neville.
• Burkitt lymphoma ;diagnosis,prognosis,symptoms and treatment
webMD
• National update course 2019 lecture .The role of immunochemistry
in diagnosis of lymphoreticular disorders. Dr Ajayi
• Non hodgkins lymphoma update lecture west Africa Dr Adeyemi
• Pathology class notes .
N
• Thank you for listening….

Burkitt lymphoma.pptx

  • 1.
  • 2.
    OUTLINE • Introduction • Epidemiology •Aetiopathogenesis • Classification • Clinical features • Differential diagnosis • Investigations • Staging , treatment and outcome • Complications • Conclusion • References
  • 3.
    Introduction • Lymphomas aresolid tumours of lymphocytes which are malignant • They present as solid tumours of lymph node or other lymphoid organ or tissue resulting in their enlargement. • 2 broad classifications: – Hodgkin’s Lymphoma – Non-Hodgkin’s lymphoma • Non-Hodgkin’s Lymphoma two subtypes: – B-cell lymphoma – T-cell and natural killer (NK) cell lymphoma
  • 4.
    Working formulation developedby national cancer institute of USA( 1981) • Classified non-hodgkins lymphoma into • Low grade • Intermediate grade • High grade Based on morphology Low-grade • Small lymphocytic • Follicular small cleaved • Follicular mixed small/large cell
  • 5.
    • Intermediate grade •Follicular large cell • Diffuse small-cleaved cell • Diffuse mixed small and large cell • Diffuse large cell High-grade • Immunoblastic large cell • Lymphoblastic cell • Diffuse small non-cleaved (Burkitt's) or non burkitt
  • 6.
    • WHO/REAL Classificationdivided B-cell NHL into 3 clinical categories – Indolent Lymphoma – Aggressive Lymphoma – Highly Aggressive Lymphoma
  • 7.
    • Indolent Lymphoma •Small Lymphocytic Cell Lymphoma • Follicular Lymphoma (Grade 1-2) • Lymphoplasmacytic Lymphoma • Splenic/Nodal Marginal Zone Lymphoma Aggressive Lymphoma • Diffuse Large B-cell Lymphoma • Follicular Lymphoma (Grade 3) • Mantle Cell Lymphoma
  • 8.
    • Highly AggressiveLymphoma • Burkitt’s Lymphoma • Lymphoblastic Lymphoma
  • 9.
    Introduction • Burkitt’s lymphomais a form of non –hodgkin’s lymphoma • highly aggressive childhood B- Cell neoplasm characterized by the translocation and deregulation of the c-myc gene on chromosome 8 • first described by Dennis Burkitt, a British surgeon practising in Uganda in 1956 • fastest growing tumour known to man • doubling time of ≈ 24 hours.
  • 10.
    Epidemiology • Commonest childhoodmalignancy in Nigeria with relative frequency 55% of all paediatric tumour • Most affected age grp: 4 - 9 years Rare < 2 years and > 15 years • Males >> females (M:F = 2:1)
  • 11.
    Epidemiology cont’d • Tropicalrain forest of Africa, Latitudes 10-10º North and South of the Equator and other parts of the world with similar climatic conditions such as Papua New Guinea. • Common in equatorial Africa and regions ( Temp ≥ 16°C & Rainfall ≥ 50cm) • Common in children from low socioeconomic clan. • Uncommon in children from high socio-economic class, living in endemic areas.
  • 12.
    Types of burkitt’slymphoma • Three distinct clinical forms are recognized Endemic , Sporadic and Immunodeficiency- Associated. • Although histologically identical and with similar clinical behaviour, these different forms differ in epidemiology, clinical presentation and genetic features
  • 13.
    Endemic burkitt’s lymphoma •Endemic BL (African)refers to those cases occurring in African children • usually 2–16 years old,mean age of 7yrs(rare below 2yrs of age) • male : female ratio of 2:1 • Maxilla is involved more commonly than the mandible • Posterior segments more affected • Sometimes all four quadrants show tumor involvement • Occurs in region where malaria in holoendemic.
  • 14.
    Sporadic BL • SporadicBurkitt’s lymphoma also known as ” non –African” occurs worldwide. • it includes those cases occurring with no specific geographic or climatic association. • It accounts for 1%–2% of lymphoma in adults and up to 40% of lymphoma in children in the U.S. and western Europe. • Most often present as abdominal tumours with bone marrow involvement • Mean age of occurrence is 11 years.
  • 15.
    Immunodeficency- associated BL •This variant of Burkitt’s lymphoma accounts for 30%–40% of non- Hodgkin’s lymphoma in HIV+/AIDS patients. • It can also occur in people with congenital conditions that cause immune deficiency and in organ transplant patients on immunosuppressive drugs. • Present as cases usually with nodal involvement with frequent bone marrow involvement • Involves distal ileum ,ceacum and mesentry
  • 16.
    Compared to theendemic type ,the incidence of Epstein-barr infection is considerably lower in the other two types of burkitt lymphoma . In the sporadic type Epstein- barr occurs in 20% of the patients In the immunodeficiency –associated type it occurs in 30-40% of patients.
  • 18.
  • 19.
    Aetiopathogenesis • The exactetiology and pathophysiologic mechanisms to the development of Burkitt lymphoma are not known. • However several theories exist. • Chromosomal aberration • Role of microbial and parasitic infection • Herbal exposure • Low socioeconomic factors
  • 20.
    Aetiopathogenesis • Chromosomal abberation •Chromosome 8 carries the C-myc gene, which regulates lymphomagenesis. • As a result of an alteration in VDJ-recombinase (enzyme responsible for gene re-arrangement) 1. C-myc gene is translocated from Chromosome 8 2. In exchange for antibody coding genes on Chromosome 2, 14 or 22. 3. The ability to control / regulate cellular proliferation is lost by the gene in its new position. 4. Resulting in immortalization of the B-Lymphocytes
  • 21.
    • Three alterationshave been described • Translocation resulting in the transposition of the C-myc proto- oncogene on chromosome 8 with one of the immunoglobulin heavy chain (IgH) genes on chromosome 14. [t(8;14)(q24;q32) ]. • This occurs in 60-70% of cases.
  • 22.
    • c-myc onchromosome 8 translocated close to the λ-light-chain gene on chromosome 22 [t(8;22)(q24;q11)]. 10-15% of cases. • c-myc on chromosome 8 translocated close to the ƙ-light-chain gene on chromosome 2 [t(8;2)(p12;q24)]. 2-5% of cases. • These result in overexpression of the c-myc gene and is considered responsible for tumor proliferation.
  • 23.
  • 24.
    Aetiopathogenesis Role of Epsteinbarr virus and malaria • Epstein Barr virus infection is implicated especially African BL. • Chronic exposure of infants to malaria results in immunosuppression which permits the proliferation of EBV- transformed cell. • The lymphocytes have receptors(C 3d-like) for EBV and are its specific target. • The genetic instability of the EBV+, aberrantly regulated B cells leads to a greater risk of c-myc rearrangement, and then to lymphoma.
  • 25.
  • 26.
    • Herbal exposure •The sap of the milk bush (Euphorbia tirucalli ) and other Euphorbiaceae species are possible environmental risk factors for BL due to their ability to activate the viral replication cycle in the latent phase of EBV-infected cells. • These plants are used traditionally in many cultural activities in tropical Africa such as religious (wedding and birth of twin ceremonies), human (to treat sore throat, headache, diarrhoea and wounds),
  • 27.
  • 28.
    • Low socioeconomicfactors may be associated with a poor defense response toward environmental exposures due to poor nutrition and/or poor hygienic conditions • Other environmental factors to be considered in its etiology include schistosomiasis and exposure to pesticides
  • 29.
    Clinical features • Rapidlygrowing tumor with a doubling time of about 24hrs • Rapidly progressive painless facial swelling of the jaw in 1 or more quadrants. • presentation within 2-6 weeks of illness. • Intraoral extension of swelling to involve the cheek or gingivae • Proptosis in children may occur in association with maxillary lesions • Pain and paresthesia associated with jaw lesions • Loosening of teeth
  • 30.
    Burkitt’s lymphoma withsevere orbital involvement
  • 31.
    Clinical features cont’d •Premature exfoliation of deciduous teeth • Overlying mucosa may be hemorrhagic or ulcerated. • Non tender rapidly enlarging submandibular or cervical lymph nodes • Progressive, painful abdominal swelling • Bowel obstruction secondary to growth of the abdominal mass mimicking acute appendicitis
  • 32.
    Other symptoms • Weightloss > 10% body weight in 6mths • Anorexia • Fatigue • Unexplained Fever (on & off) (Fever > 38.0) • Malaise • Night sweats
  • 33.
    investigations • Haematology Full BloodCount • Blood chemistry Electrolyte, urea, creatinine, calcium, uric acid, phosphates, LDH Liver function test • Retroviral screening
  • 34.
    investigations • Radiographic • -LateralOblique Plain Radiographs: Chest (lung metastasis and Mediastinal involvement) Jaw (PAR, upper and lower occlusal, PA skull) • CT scan • MRI • Abdominal USS
  • 35.
    • Lesion appearshypodense on computed tomography scan and hypoechoic on ultrasound scan.
  • 36.
    Radiographic findings • ill-definedradiolucency • Loss of lamina dura and developmental crypt(s) around erupted and unerupted teeth • Uniform widening of periodontal membrane space(garrington’s sign) • Teeth may be displaced, causing malocclusion and/or exfoliation.(Dental Anarchy) • Root truncation
  • 37.
    • Histopathologic examination BoneMarrow Aspiration (BMA)/Biopsy Lumbar puncture for CSF cytology • Cytogenetic studies • Flow cytometry – in determining a clonal cell population and in differentiating between B-cell and T-cell antigen
  • 39.
    Differential diagnosis • Clinicaldifferential diagnosis • Other jaw malignancies of childhood • Ewing’s sarcoma • Osteosarcoma • Ameloblastoma • Dentigerous cyst • Embryonal Rhabdomyosarcoma • Acute infection / Dentoalveolar Abscess
  • 40.
    Differential diagnosis Differential Diagnosisof burkitt’s lymphoma(histologic) • Neuroblastoma • Nephroblastoma • Retinoblastoma • Lymphoblastic lymphoma • Blastic mantle cell lymphoma • Diffuse large B-cell lymphoma • Embryonal Rhabdomyosarcoma
  • 41.
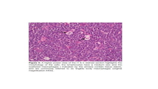
    Histology Histologic examination: homogenous sheetsof lymphoblasts, with round to oval nuclei, slightly coarse chromatin, multiple nucleoli, and intensely basophilic vacuolated cytoplasm that contains neutral fat. The homogenous appearance is interspersed with scattered macrophages, containing necrotic debris, giving a starry- sky appearance
  • 42.
    Thus they tendto stand out as “stars” set against the “night sky” of the hyperchromatic neoplastic lymphoid cells, giving it the so-called starry sky appearance. Mitotic figures are numerous
  • 44.
    • ‘starry sky’appearance is not pathognomonic of BL and is also seen in • Hodgkin’s Paragranuloma • Stem cell and Lymphocytic lymphomas
  • 45.
    Fine Needle AspirationCytology Leishmann’s Stain shows large monomorphic lymphoblasts containing distinct nucleoli, abundant deeply basophilic and vacuolated cytoplasm.
  • 46.
  • 47.
    SHOWING A POSITIVEREACTION IN NEARLY ALL TUMOUR CELLS STAINING FOR Ki-67
  • 48.
    Immunophenotype • BL cellsexpress surface IgM and B-cell associated antigens {CD 19, CD 20, CD 22, CD 79a,} as well as CD 10 HLA-DR, and CD 43. • They also show nuclear staining for BCL-6 protein. • Expression of CD 21, the Epstein-Barr virus receptor is dependent on the EBV status of the tumour • Virtually all the cells in Burkitt’s lymphomas are proliferating, shown by expression of Ki-67. • These tumors are negative for T-cell antigens CD2, CD 7, CD 8 and Bcl-2.
  • 49.
    DIAGNOSIS • WHO classificationrequires that for a diagnosis to be made, there must be 1. High growth factor 2. Ki67 staining of over 99% 3. Evidence of c-MYC rearrangement
  • 50.
    Staging, treatment andoutcome • The staging of BL is important as it helps the clinician in choosing a treatment protocol and also eventual prognosis and outcome. • Different types of staging have been used in BL • Ann Arbor staging • St Jude / Murphy staging system • Ziegler and Magrath
  • 51.
    Ann Arbor method •Patient are staged on I-IV Based on site and extent of their tumour . • Also A and B • A –without systemic symptoms • B –systemic symptoms ;fever >38 ⁰c • weightloss >10% body weight in past 6mths • night sweats
  • 52.
    Ann arbor method I.Lymph node involvement in one anatomical region II. Involvement of 2 or more lymph node regions on the same side of the diaghragm either above or below III. Involvement of lymph node regions on both sides of the diaphragm. IV. Disseminated (Multifocal) involvement of 1 or more extralymphatic organs.
  • 53.
    Ziegler and Magrath A.Solitary extra-abdominal site AR. Resectable (90%) intra-abdominal tumour B. Multiple extra-abdominal site C. Intra-abdominal tumour ± facial tumour D. Intra-abdominal tumour + site other than facial e.g (testis)
  • 54.
    Management Management is multidisciplinaryinvolving • Oncologist • Hematologist • Pediatrician • Dental surgeon
  • 55.
    Management • HISTORY • EXAMINATION •INVESTIGATION • TREATMENT
  • 56.
    Treatment • Systemic chemotherapyis the treatment of choice, and Burkitt’s lymphomas respond well. • Short duration, high intensity combination chemotherapy is used. • However, sporadic and immunodeficiency-associated BL do not have as much sensitivity seen in endemic BL. • Cyclophosphamide therapy alone has been curative for 80% of children with early stage endemic type , however combination chemotherapy is the choice for extensive disease
  • 57.
    Pre-chemotherapy medications: • Fluidpreload to ensure high urinary output • Correction of any metabolic imbalance or hematologic abnormality • Allopurinol – to offset hyperuricaemia occuring from high cell loss rate • Start 24-48hrs before chemotherapy • Dose 200-500mg, usually 100mg t.d.s • Persistent ↑ uric acid despite allopurinol use give uricaise 500 – 1000i.u
  • 58.
    Treatment regimen • Treatmentoptions for patients with limited stage disease include the following: • COMP – Cyclophosphamide + vincristine (Oncovin) + Methotrexate + Prednisone • CHOP – Same as above with Hydroxydaunorubicinhydrochloride replacing Methotrexate • CHOP plus Methotrexate
  • 59.
    • RCHOP-Rituximab, amonoclonal anti-CD20 antibody, may improve outcome • Intrathecal Methotrexate and Cytosine arabinoside – CNS prophylaxis • The course is repeated every 2weeks in 6 courses
  • 60.
    Supportive therapy cont’d •Hydration : @ least 2L/m2 of fluid/day, to promote uric acid excretion and prevent uric acid nephropathy. • Alkalinization of Urine to PH 7 – 8 • Blood and blood products • Antibiotics • Psychological support • Surgical Laminectomy • Dialysis
  • 61.
    • Surgery isonly indicated for patients with small, completely resectable abdominal tumours or patients with obstruction who cannot begin chemotherapy immediately. • Is also indicated for debulking prior to chemotherapy(Greatly improves prognosis)
  • 62.
    • Follow-up • Toevaluate patient response • Observe for relapse • For documentation
  • 63.
    Outcome • Adverse Outcome, among children and adult patients can be predicted on presentation with the following ; • -Male sex • - older age • - advanced stage • - poor performance status • - bulky disease / intra- abdominal tumour
  • 64.
    • - CNSor marrow involvement • -failure to achieve complete remission • In paediatric patients a poorer prognostic outcome is expected in patients ; • -↑ 15yrs of age
  • 65.
    complications • Facial disfigurement •Deranged occlusion • Obstructive symptoms • Tumour lysis syndrome 1. Hypocalcaemia 2. Hyperphosphatemia 3. Hyperuricaemia 4. Hyperkalemia 5. Metabolic acidosis • Leukaemia • CNS symptoms
  • 66.
    • Complications ofcytotoxic therapy • Nausea, vomitting,haemorrhagic cystitis, alopecia, marrow suppression e.t.c
  • 67.
    Conclusion • Burkitt’s lymphomais a unique neoplasm as : • It is the first human tumor to be causally associated with a virus (EBV). • The c-myc of Burkitt’s lymphoma is the first oncogene to be described in a lymphoma . • It is the first type of non- Hodgkin’s lymphoma to be described in association with HIV infection. • Among human neoplasms, it has the shortest doubling time with its unequalled proliferation rate creating special challenges for diagnosis and treatment.
  • 68.
    References • Oral andmaxillofacial pathology fourth edition Neville. • Burkitt lymphoma ;diagnosis,prognosis,symptoms and treatment webMD • National update course 2019 lecture .The role of immunochemistry in diagnosis of lymphoreticular disorders. Dr Ajayi • Non hodgkins lymphoma update lecture west Africa Dr Adeyemi • Pathology class notes .
  • 69.
    N • Thank youfor listening….