Bệnh phổi biệt lậpBệnh phổi biệt lập
( Pulmonary sequestration)( Pulmonary sequestration)
- Bệnh nhân:Bệnh nhân:
. Nguyễn Văn Sự : sinh 11/2012.. Nguyễn Văn Sự : sinh 11/2012.
. Vào viện : 20/11/2012. Vào viện : 20/11/2012
. Lí do : suy hô hấp cấp. Lí do : suy hô hấp cấp
. Điều trị tại khoa SS. Điều trị tại khoa SS
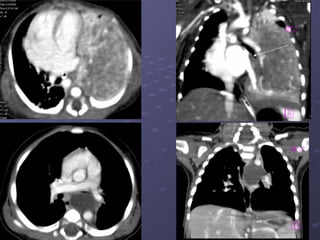
Chụp CT scanner có CQTMChụp CT scanner có CQTM
. Trước tiêm CQ
Sau tiêm CQSau tiêm CQ
Chẩn đoán siêu âm + CTChẩn đoán siêu âm + CT :: bất
thường phổi biệt lập bên trái, có
nhánh động mạch nuôi xuất
phát từ ĐMCN.
Chuyển A6>> phẫu thuật >>CĐ
(+)
Thông tin về bệnhThông tin về bệnh
-Là bệnh lí bẩm sinh hiếm gặp (0,15 –Là bệnh lí bẩm sinh hiếm gặp (0,15 –
6% các ca bất thường phổi).6% các ca bất thường phổi).
- Là khối nhu mô phổi bất thườngLà khối nhu mô phổi bất thường
không có chức năng hô hấp, khôngkhông có chức năng hô hấp, không
thông với cây phế quản, nuôi dưỡngthông với cây phế quản, nuôi dưỡng
bởi một hoặc nhiều nhánh động mạchbởi một hoặc nhiều nhánh động mạch
hệ thống.hệ thống.
Phân loại :
- Phổi biệt trí nội thùy: 75 %Phổi biệt trí nội thùy: 75 %
. Thùy phổi bất thường nằm trong lá tạng. Thùy phổi bất thường nằm trong lá tạng
màng phổi, không thông với cây phếmàng phổi, không thông với cây phế
quản.quản.
. Có thể chứa mô đặc, dịch, máu, chất. Có thể chứa mô đặc, dịch, máu, chất
nhầy, nang hoặc khí thũng.nhầy, nang hoặc khí thũng.
. Hầu hết là cấu trúc giàu mạch máu (do. Hầu hết là cấu trúc giàu mạch máu (do
bội nhiễm >> đông đặc phổi lân cận, viêmbội nhiễm >> đông đặc phổi lân cận, viêm
nhiễm mãn tính>> kích thích sinh mạch)nhiễm mãn tính>> kích thích sinh mạch)
. Tỉ lệ nam/nữ ~ 1:1. Tỉ lệ nam/nữ ~ 1:1..
.. Xuất hiện muộn( > 50 % ở tuổi trưởng thành)Xuất hiện muộn( > 50 % ở tuổi trưởng thành)
.98% ở thùy dưới, 60% bên trái, rất hiếm gặp.98% ở thùy dưới, 60% bên trái, rất hiếm gặp
cả 2 bên.cả 2 bên.
. Động mạch nuôi : 72 % từ ĐMC ngực; 21 %. Động mạch nuôi : 72 % từ ĐMC ngực; 21 %
từ ĐMCB, ĐMTT, ĐM lách; hiếm từ ĐM giantừ ĐMCB, ĐMTT, ĐM lách; hiếm từ ĐM gian
sườn, dưới đòn…16% có nhiều hệ thống cấpsườn, dưới đòn…16% có nhiều hệ thống cấp
máu.máu.
.Tĩnh mạch : hầu hết dẫn lưu qua TMP về nhĩ.Tĩnh mạch : hầu hết dẫn lưu qua TMP về nhĩ
trái (95%) hoặc phải (5%).trái (95%) hoặc phải (5%).
-Phổi biệt trí ngoại thùy: 25%Phổi biệt trí ngoại thùy: 25%
. Thùy phổi bất thường nằm ngoài lá tạng. Thùy phổi bất thường nằm ngoài lá tạng
màng phổi, được bao bọc bởi lá màngmàng phổi, được bao bọc bởi lá màng
phổi riêng, không thông với cây phếphổi riêng, không thông với cây phế
quản.quản.
.Chứa các tiểu phế quản bị giãn, ống.Chứa các tiểu phế quản bị giãn, ống
phế nang và phế nang, mô kẽ.phế nang và phế nang, mô kẽ.
. Tỉ lệ nam/ nữ ~ 4 : 1.. Tỉ lệ nam/ nữ ~ 4 : 1.
. Tuổi: > 61 % gặp < 06 th ( phần lớn < 01. Tuổi: > 61 % gặp < 06 th ( phần lớn < 01
tuổi).tuổi).
. 90% bên trái, 63 – 77% nằm giữa thùy. 90% bên trái, 63 – 77% nằm giữa thùy
dưới và cơ hoành;+_ nằm rất cao trongdưới và cơ hoành;+_ nằm rất cao trong
lồng ngực hoặc hai bên cơ hoành, sau phúclồng ngực hoặc hai bên cơ hoành, sau phúc
mạc.mạc.
.ĐM : 80% từ ĐMCN, ĐMCB; 15 %.ĐM : 80% từ ĐMCN, ĐMCB; 15 %
ĐMDĐ,ĐM gian sườn,ĐM dạ dày; 5% ĐMĐMDĐ,ĐM gian sườn,ĐM dạ dày; 5% ĐM
phổi.phổi.
.. TM: qua TM đơn or TMC dưới(80%), ~ 25 %TM: qua TM đơn or TMC dưới(80%), ~ 25 %
dẫn lưu một phần qua TM phổi.dẫn lưu một phần qua TM phổi.
. Thường kết hợp các bất thường khác ở phổi,. Thường kết hợp các bất thường khác ở phổi,
tim, tiêu hóa…tim, tiêu hóa…
Chẩn đoán hình ảnhChẩn đoán hình ảnh
- X quangX quang : gợi ý tổn thương mờ, nang khu: gợi ý tổn thương mờ, nang khu
trú phía sau thùy dưới/ bn tái phát nhiềutrú phía sau thùy dưới/ bn tái phát nhiều
đợt.đợt.
-- Siêu âmSiêu âm : giá trị lớn với siêu âm thai. Hình: giá trị lớn với siêu âm thai. Hình
ảnh cấu trúc tăng âm khu trú, Dopplerảnh cấu trúc tăng âm khu trú, Doppler
thấy động mạch nuôi bất thường và hệthấy động mạch nuôi bất thường và hệ
TM.TM.
-- Chụp mạchChụp mạch : (tiêu chuẩn vàng) đánh giá: (tiêu chuẩn vàng) đánh giá
chính xác hệ thống mạch máu nuôi. Tuychính xác hệ thống mạch máu nuôi. Tuy
vậy là KT xâm lấn + chụp CT có tiêm CQ>vậy là KT xâm lấn + chụp CT có tiêm CQ>
ít sử dụngít sử dụng
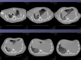
- Chụp CT scannerChụp CT scanner (++90%): tiêm cản(++90%): tiêm cản
quang, đa dãy, dựng hình MPR, 3D mạchquang, đa dãy, dựng hình MPR, 3D mạch
máu.máu.
. Là khối choán chỗ đậm độ mô mềm,+_. Là khối choán chỗ đậm độ mô mềm,+_
đồng nhất, ++ cạnh sống trái, +_ dạng ‘tổđồng nhất, ++ cạnh sống trái, +_ dạng ‘tổ
ong’, nang khí or mức khí – dịch. Sau tiêmong’, nang khí or mức khí – dịch. Sau tiêm
cản quang, tăng tỉ trọng không đều, thấycản quang, tăng tỉ trọng không đều, thấy
rõ mạch máu nuôi.rõ mạch máu nuôi.
ĐMTT
Chụp cộng hưởng từChụp cộng hưởng từ (thông thường, đối(thông thường, đối
quang): xác định được ĐM ( nhất là ĐMC) vàquang): xác định được ĐM ( nhất là ĐMC) và
TM. Ít giá trị so với CT scanner trong đánhTM. Ít giá trị so với CT scanner trong đánh
giá các cấu trúc nang, khí thũng. Thời giangiá các cấu trúc nang, khí thũng. Thời gian
dài.dài.
-Nội soi PQ: cho hình ảnh gián tiếp (-)
- Chẩn đoán phân biệt : chụp CT có CQ
++>> tìm bất thường Đ-TM
+ PBL trong thùy :
. CCAM : ++ typ 3( thông với khí quản,
mạch nuôi là Đ – TMP), có thể phối hợp
PBL
. Áp xe, kén khí sau nhiễm trùng, kén
phổi bẩm sinh.
+ PBL ngoài thùy : mass trung thất+ PBL ngoài thùy : mass trung thất
sau dướisau dưới
. Thoát vị qua khe TQ. Thoát vị qua khe TQ
. Nang thực quản. Nang thực quản
. TDMP khu trú. TDMP khu trú
. U trung thất sau ( neuroblastoma). U trung thất sau ( neuroblastoma)
- Bi n ch ng : đb th n i thùyế ứ ể ộ- Bi n ch ng : đb th n i thùyế ứ ể ộ
.. Xu t huy t khoang MP or ho máuấ ếXu t huy t khoang MP or ho máuấ ế
. Viêm ph i, áp xe ph i tái di nổ ổ ễ. Viêm ph i, áp xe ph i tái di nổ ổ ễ
. Lao, n m, suy timấ. Lao, n m, suy timấ
Điều trị :Điều trị :
Phẫu thuật là phương pháp tối ưu, nhất làPhẫu thuật là phương pháp tối ưu, nhất là
khi chưa biến chứng.khi chưa biến chứng.
+ Thể ngoại thùy: cắt PBL+ Thể ngoại thùy: cắt PBL
+ Thể nội thùy : cắt thùy phổi (++). +_ cắt+ Thể nội thùy : cắt thùy phổi (++). +_ cắt
phần PBL, ranh giới với nhu mô lành khóphần PBL, ranh giới với nhu mô lành khó
XĐ, nhất là khi có viêm.XĐ, nhất là khi có viêm.
Thắt ĐM nuôi đơn thuần : không triệt để. +_Thắt ĐM nuôi đơn thuần : không triệt để. +_
khi suy tim nặng, không chịu được đạikhi suy tim nặng, không chịu được đại
phẫu.phẫu.
Bệnh phổi biệt lập (pulmonary sequestration)

Bệnh phổi biệt lập (pulmonary sequestration)

  • 1.
    Bệnh phổi biệtlậpBệnh phổi biệt lập ( Pulmonary sequestration)( Pulmonary sequestration) - Bệnh nhân:Bệnh nhân: . Nguyễn Văn Sự : sinh 11/2012.. Nguyễn Văn Sự : sinh 11/2012. . Vào viện : 20/11/2012. Vào viện : 20/11/2012 . Lí do : suy hô hấp cấp. Lí do : suy hô hấp cấp . Điều trị tại khoa SS. Điều trị tại khoa SS
  • 2.
    Chụp CT scannercó CQTMChụp CT scanner có CQTM . Trước tiêm CQ
  • 5.
  • 7.
    Chẩn đoán siêuâm + CTChẩn đoán siêu âm + CT :: bất thường phổi biệt lập bên trái, có nhánh động mạch nuôi xuất phát từ ĐMCN. Chuyển A6>> phẫu thuật >>CĐ (+)
  • 8.
    Thông tin vềbệnhThông tin về bệnh -Là bệnh lí bẩm sinh hiếm gặp (0,15 –Là bệnh lí bẩm sinh hiếm gặp (0,15 – 6% các ca bất thường phổi).6% các ca bất thường phổi). - Là khối nhu mô phổi bất thườngLà khối nhu mô phổi bất thường không có chức năng hô hấp, khôngkhông có chức năng hô hấp, không thông với cây phế quản, nuôi dưỡngthông với cây phế quản, nuôi dưỡng bởi một hoặc nhiều nhánh động mạchbởi một hoặc nhiều nhánh động mạch hệ thống.hệ thống.
  • 9.
    Phân loại : -Phổi biệt trí nội thùy: 75 %Phổi biệt trí nội thùy: 75 % . Thùy phổi bất thường nằm trong lá tạng. Thùy phổi bất thường nằm trong lá tạng màng phổi, không thông với cây phếmàng phổi, không thông với cây phế quản.quản. . Có thể chứa mô đặc, dịch, máu, chất. Có thể chứa mô đặc, dịch, máu, chất nhầy, nang hoặc khí thũng.nhầy, nang hoặc khí thũng. . Hầu hết là cấu trúc giàu mạch máu (do. Hầu hết là cấu trúc giàu mạch máu (do bội nhiễm >> đông đặc phổi lân cận, viêmbội nhiễm >> đông đặc phổi lân cận, viêm nhiễm mãn tính>> kích thích sinh mạch)nhiễm mãn tính>> kích thích sinh mạch)
  • 10.
    . Tỉ lệnam/nữ ~ 1:1. Tỉ lệ nam/nữ ~ 1:1.. .. Xuất hiện muộn( > 50 % ở tuổi trưởng thành)Xuất hiện muộn( > 50 % ở tuổi trưởng thành) .98% ở thùy dưới, 60% bên trái, rất hiếm gặp.98% ở thùy dưới, 60% bên trái, rất hiếm gặp cả 2 bên.cả 2 bên. . Động mạch nuôi : 72 % từ ĐMC ngực; 21 %. Động mạch nuôi : 72 % từ ĐMC ngực; 21 % từ ĐMCB, ĐMTT, ĐM lách; hiếm từ ĐM giantừ ĐMCB, ĐMTT, ĐM lách; hiếm từ ĐM gian sườn, dưới đòn…16% có nhiều hệ thống cấpsườn, dưới đòn…16% có nhiều hệ thống cấp máu.máu. .Tĩnh mạch : hầu hết dẫn lưu qua TMP về nhĩ.Tĩnh mạch : hầu hết dẫn lưu qua TMP về nhĩ trái (95%) hoặc phải (5%).trái (95%) hoặc phải (5%).
  • 11.
    -Phổi biệt tríngoại thùy: 25%Phổi biệt trí ngoại thùy: 25% . Thùy phổi bất thường nằm ngoài lá tạng. Thùy phổi bất thường nằm ngoài lá tạng màng phổi, được bao bọc bởi lá màngmàng phổi, được bao bọc bởi lá màng phổi riêng, không thông với cây phếphổi riêng, không thông với cây phế quản.quản. .Chứa các tiểu phế quản bị giãn, ống.Chứa các tiểu phế quản bị giãn, ống phế nang và phế nang, mô kẽ.phế nang và phế nang, mô kẽ. . Tỉ lệ nam/ nữ ~ 4 : 1.. Tỉ lệ nam/ nữ ~ 4 : 1.
  • 12.
    . Tuổi: >61 % gặp < 06 th ( phần lớn < 01. Tuổi: > 61 % gặp < 06 th ( phần lớn < 01 tuổi).tuổi). . 90% bên trái, 63 – 77% nằm giữa thùy. 90% bên trái, 63 – 77% nằm giữa thùy dưới và cơ hoành;+_ nằm rất cao trongdưới và cơ hoành;+_ nằm rất cao trong lồng ngực hoặc hai bên cơ hoành, sau phúclồng ngực hoặc hai bên cơ hoành, sau phúc mạc.mạc. .ĐM : 80% từ ĐMCN, ĐMCB; 15 %.ĐM : 80% từ ĐMCN, ĐMCB; 15 % ĐMDĐ,ĐM gian sườn,ĐM dạ dày; 5% ĐMĐMDĐ,ĐM gian sườn,ĐM dạ dày; 5% ĐM phổi.phổi.
  • 13.
    .. TM: quaTM đơn or TMC dưới(80%), ~ 25 %TM: qua TM đơn or TMC dưới(80%), ~ 25 % dẫn lưu một phần qua TM phổi.dẫn lưu một phần qua TM phổi. . Thường kết hợp các bất thường khác ở phổi,. Thường kết hợp các bất thường khác ở phổi, tim, tiêu hóa…tim, tiêu hóa…
  • 14.
    Chẩn đoán hìnhảnhChẩn đoán hình ảnh - X quangX quang : gợi ý tổn thương mờ, nang khu: gợi ý tổn thương mờ, nang khu trú phía sau thùy dưới/ bn tái phát nhiềutrú phía sau thùy dưới/ bn tái phát nhiều đợt.đợt.
  • 15.
    -- Siêu âmSiêuâm : giá trị lớn với siêu âm thai. Hình: giá trị lớn với siêu âm thai. Hình ảnh cấu trúc tăng âm khu trú, Dopplerảnh cấu trúc tăng âm khu trú, Doppler thấy động mạch nuôi bất thường và hệthấy động mạch nuôi bất thường và hệ TM.TM.
  • 16.
    -- Chụp mạchChụpmạch : (tiêu chuẩn vàng) đánh giá: (tiêu chuẩn vàng) đánh giá chính xác hệ thống mạch máu nuôi. Tuychính xác hệ thống mạch máu nuôi. Tuy vậy là KT xâm lấn + chụp CT có tiêm CQ>vậy là KT xâm lấn + chụp CT có tiêm CQ> ít sử dụngít sử dụng
  • 17.
    - Chụp CTscannerChụp CT scanner (++90%): tiêm cản(++90%): tiêm cản quang, đa dãy, dựng hình MPR, 3D mạchquang, đa dãy, dựng hình MPR, 3D mạch máu.máu. . Là khối choán chỗ đậm độ mô mềm,+_. Là khối choán chỗ đậm độ mô mềm,+_ đồng nhất, ++ cạnh sống trái, +_ dạng ‘tổđồng nhất, ++ cạnh sống trái, +_ dạng ‘tổ ong’, nang khí or mức khí – dịch. Sau tiêmong’, nang khí or mức khí – dịch. Sau tiêm cản quang, tăng tỉ trọng không đều, thấycản quang, tăng tỉ trọng không đều, thấy rõ mạch máu nuôi.rõ mạch máu nuôi.
  • 18.
  • 20.
    Chụp cộng hưởngtừChụp cộng hưởng từ (thông thường, đối(thông thường, đối quang): xác định được ĐM ( nhất là ĐMC) vàquang): xác định được ĐM ( nhất là ĐMC) và TM. Ít giá trị so với CT scanner trong đánhTM. Ít giá trị so với CT scanner trong đánh giá các cấu trúc nang, khí thũng. Thời giangiá các cấu trúc nang, khí thũng. Thời gian dài.dài.
  • 21.
    -Nội soi PQ:cho hình ảnh gián tiếp (-) - Chẩn đoán phân biệt : chụp CT có CQ ++>> tìm bất thường Đ-TM + PBL trong thùy : . CCAM : ++ typ 3( thông với khí quản, mạch nuôi là Đ – TMP), có thể phối hợp PBL . Áp xe, kén khí sau nhiễm trùng, kén phổi bẩm sinh.
  • 22.
    + PBL ngoàithùy : mass trung thất+ PBL ngoài thùy : mass trung thất sau dướisau dưới . Thoát vị qua khe TQ. Thoát vị qua khe TQ . Nang thực quản. Nang thực quản . TDMP khu trú. TDMP khu trú . U trung thất sau ( neuroblastoma). U trung thất sau ( neuroblastoma)
  • 25.
    - Bi nch ng : đb th n i thùyế ứ ể ộ- Bi n ch ng : đb th n i thùyế ứ ể ộ .. Xu t huy t khoang MP or ho máuấ ếXu t huy t khoang MP or ho máuấ ế . Viêm ph i, áp xe ph i tái di nổ ổ ễ. Viêm ph i, áp xe ph i tái di nổ ổ ễ . Lao, n m, suy timấ. Lao, n m, suy timấ
  • 26.
    Điều trị :Điềutrị : Phẫu thuật là phương pháp tối ưu, nhất làPhẫu thuật là phương pháp tối ưu, nhất là khi chưa biến chứng.khi chưa biến chứng. + Thể ngoại thùy: cắt PBL+ Thể ngoại thùy: cắt PBL + Thể nội thùy : cắt thùy phổi (++). +_ cắt+ Thể nội thùy : cắt thùy phổi (++). +_ cắt phần PBL, ranh giới với nhu mô lành khóphần PBL, ranh giới với nhu mô lành khó XĐ, nhất là khi có viêm.XĐ, nhất là khi có viêm. Thắt ĐM nuôi đơn thuần : không triệt để. +_Thắt ĐM nuôi đơn thuần : không triệt để. +_ khi suy tim nặng, không chịu được đạikhi suy tim nặng, không chịu được đại phẫu.phẫu.