Basic Implant procedure
3
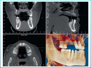
Anatomic Considerations
4
Available bone
It is the amount of bone in the edentulous area considered for implantation.
• Width
• Height
• Length
• Angulation
• Crown/implant ratio
Measured in :
5
Principles of Implant Positioning
ALWAYS PROSTHETIC DRIVEN
X
X
X
6
Principles of Implant Positioning
Four factors must be correctly addressed to achieve both optimal esthetic results
and biologic health.
Vertical
positioning of
implant in the
bone
Buccolingual
positioning of
implant in the
bone
Mesiodistal
placement of
implant in the
bone
Trajectory
or angle of
the implant
7
Available bone height
Minimum height of
available is in part
related to density of
available bone.
More dense bone
Less dense and weaker bone
Shorter implants(8mm)
Longer implants(12mm)
9
Mesiodistal positioning
One of the most important factors to be considered while placing implants.
The greater the number of teeth replaced with implants the greater the esthetic
challenge.
10
Rule of 1,2,3 & 7
07
03
02
01
A rule has been suggested to guide in the placement of implants:
Bucco- lingually
1 mm of bone is
present after
implant
placement
Distance
between
tooth and
implant in
mm.
Distance
between
implant and
implant in mm
Distance
between crest
of bone and
opposing tooth.
Surgical Procedure
13
Surgical Procedure
14
Flapless Technique
15
Flap Raised Technique
Papilla Preserving
Single stroke Incision
16
17
18
19
20
21
22
Suturing the flap
• The flap is sutured back into place using monofilament suture.
• The anterior papilla should be secured first.
• The vertical release is then sutured, followed by the mesial and distal sides of
the abutment.
• These are routine interrupted sutures tied in the same fashion as the first
suture described
23
Post operative Instructions
Dietary Instructions
Antibiotics Analgesics
Oral hygiene instructions
Recent
Advances
Osseo densification
• A new method of biomechanical bone
preparation
• Densah burs are used
• Bone preservation and condensation
• OD does not excavate bone
Implant placement
25
• Root is bisected.
• Buccal 2/3rd of root is preserved in the socket
• Periodontium along with bundle bone remain intact.
• Buccal bone remains intact
Socket shield
26
• Use of smaller diameter abutment on a larger
diameter implant collar
• Preserves crestal bone
Platform switching
27
• Peek
• Trinia
• Biohpp
• Shape memory niti implant
Implant materials
28
Customized 3d printed implants
29
• TTPHIL-ALL TILT(Tall Tilted Pin Hole Immediate Loading
• Bicortical engagement of implants
• Less stress on the bone with reduced chances of bone
resorption
• No cantileverage
• Tall (16-25mm) tilted (30°-45°).-tall implants more
surface area for osseointegration
• Implants placed in pinhole manner ie,flapless
All On Four
30
Zygomatic ,Basal, Pterygoid Implants
31
basic and advanced dental implantology surgery.pptx

basic and advanced dental implantology surgery.pptx

  • 2.
  • 3.
  • 4.
    4 Available bone It isthe amount of bone in the edentulous area considered for implantation. • Width • Height • Length • Angulation • Crown/implant ratio Measured in :
  • 5.
    5 Principles of ImplantPositioning ALWAYS PROSTHETIC DRIVEN X X X
  • 6.
    6 Principles of ImplantPositioning Four factors must be correctly addressed to achieve both optimal esthetic results and biologic health. Vertical positioning of implant in the bone Buccolingual positioning of implant in the bone Mesiodistal placement of implant in the bone Trajectory or angle of the implant
  • 7.
    7 Available bone height Minimumheight of available is in part related to density of available bone. More dense bone Less dense and weaker bone Shorter implants(8mm) Longer implants(12mm)
  • 9.
    9 Mesiodistal positioning One ofthe most important factors to be considered while placing implants. The greater the number of teeth replaced with implants the greater the esthetic challenge.
  • 10.
    10 Rule of 1,2,3& 7 07 03 02 01 A rule has been suggested to guide in the placement of implants: Bucco- lingually 1 mm of bone is present after implant placement Distance between tooth and implant in mm. Distance between implant and implant in mm Distance between crest of bone and opposing tooth.
  • 12.
  • 13.
  • 14.
  • 15.
    15 Flap Raised Technique PapillaPreserving Single stroke Incision
  • 16.
  • 17.
  • 18.
  • 19.
  • 20.
  • 21.
  • 22.
    22 Suturing the flap •The flap is sutured back into place using monofilament suture. • The anterior papilla should be secured first. • The vertical release is then sutured, followed by the mesial and distal sides of the abutment. • These are routine interrupted sutures tied in the same fashion as the first suture described
  • 23.
    23 Post operative Instructions DietaryInstructions Antibiotics Analgesics Oral hygiene instructions
  • 24.
  • 25.
    Osseo densification • Anew method of biomechanical bone preparation • Densah burs are used • Bone preservation and condensation • OD does not excavate bone Implant placement 25
  • 26.
    • Root isbisected. • Buccal 2/3rd of root is preserved in the socket • Periodontium along with bundle bone remain intact. • Buccal bone remains intact Socket shield 26
  • 27.
    • Use ofsmaller diameter abutment on a larger diameter implant collar • Preserves crestal bone Platform switching 27
  • 28.
    • Peek • Trinia •Biohpp • Shape memory niti implant Implant materials 28
  • 29.
  • 30.
    • TTPHIL-ALL TILT(TallTilted Pin Hole Immediate Loading • Bicortical engagement of implants • Less stress on the bone with reduced chances of bone resorption • No cantileverage • Tall (16-25mm) tilted (30°-45°).-tall implants more surface area for osseointegration • Implants placed in pinhole manner ie,flapless All On Four 30
  • 31.