ASTHMA
Dorian Matzen, PGY-2
Family Medicine
May 21st
, 2015
THE BASIC ASSUMPTION OF MEDICAL
EDUCATION
We believe that everyone participating is intelligent,
interested, well-trained, cares about doing their best and
wants to improve.
Case 1 – Acute Shortness of breath
C/C SOB
An 8 Y/O male presents to ER for acute respiratory distress. Mother is present,
states that he had been having increased dyspnea over the past 24 hours, was
breathing fast after coming home from school. Has been using his inhaler
frequently. He didn’t eat much dinner last night or breakfast this morning has
been coughing non-stop and has vomited x2, normal emesis. No recent sick
contacts, it is springtime in Elmira and it has been warm weather and there has
been a significant pollen count over the past several days. No fever reported,
grossly audible wheezing and apparent respiratory distress with tachypnea and
increased WOB.
Very High High Extreme Low
PMHx: Asthma
HoMeds: Albuterol MDI, Advair diskus 100/50mcg
All: NKDA
PSHx: None
SocHx: Lives with single parent and 7 siblings
FamHx: Father - childhood asthma
Vaccinations are up to date
Case 1 – Acute Shortness of breath
PE:
VS: T-99.7F, HR-190, RR-66, BP-126/75, 86% O2 sat initially, now 91% on Simple
mask with continuous albuterol via large volume nebulizer, wt: 62lbs
Gen: WDWN 8 Y/O male in severe distress 2/2 asthma exacerbation
HEENT: NCAT, EOMI, PERRLA @5mm, oral mucosa slightly dry, no thrush
Neck: +suprasternal retractions, No tracheal deviation, no thyromegaly, no
anterior/posterior cervical, submandibular or supraclavicular lymphadenopathy
Chest: +intercostal retraction, notable increased WOB of muscles of respiration,
+expiratory wheezing, prolonged expiratory phase.
Abd: Soft, NTND, hypoactive bowel sounds, no guarding, no rebound
GU: Grossly normal male, circumcised, Tanner stage I, both testes descended
MSK: Good UE and LE tone, able to move all extremities
Skin: No rashes or bruising noted on trunk or extremities
Neuro: A&O x3 (person, place, date), +2/4 patellar and brachioradialis reflexes b/l
Lymph: no anterior/posterior cervical lymphadenopathy, no axillary lymphadenopathy
Extremities: no clubbing, no cyanosis, no nail stippling
Osteopathic: Posterior paraspinal muscular tension in T1-T5 +ropey texture bilaterally,
Left ribs 4-7 stuck in inhalation.
Case 1 – Acute Shortness of breath
Labs:
CMP:
CBC:
ABG: 7.33pH, 71PaO2, 21HCO3, 34PaCO2, BE: -4
Blood culture x2 pending
Viral Panel pending
UA: essentially negative
97
137 101 22
4.2 36 0.7
8.8
13.7
7.7 332
43.4
???
An 8 Y/O male presents to ER for acute SOB, ongoing for the past 24hrs,
likely asthma exacerbation given past medical history of Asthma. Pt.
responding with limited improvement to nebulized medications,
continued dyspnea with persistently increased work of breathing.
Assessment:
Plan:
#1) Asthma Exacerbation – Acute
- Albuterol and Ipratropium (Duonebs) q4hr
- Methylprednisolone IVP 30mg IVP BID (1-2mg/kg/day)
- Initial Spirometry and serial PEFs to monitor resolution
- Asthma control assessment, Asthma Action Plan
THE 4 STAGES OF BLOOD GAS PROGRESSION IN PERSONS WITH
STATUS ASTHMATICUS ARE AS FOLLOWS:
STAGE 1 - CHARACTERIZED BY HYPERVENTILATION WITH A
NORMAL PARTIAL PRESSURE OF OXYGEN (PO 2)
STAGE 2 - CHARACTERIZED BY HYPERVENTILATION
ACCOMPANIED BY HYPOXEMIA (IE, A LOW PARTIAL PRESSURE OF
CARBON DIOXIDE [PCO 2] AND LOW PO 2)
STAGE 3 - CHARACTERIZED BY THE PRESENCE OF A FALSE-
NORMAL PCO 2; VENTILATION HAS DECREASED FROM THE
HYPERVENTILATION PRESENT IN THE SECOND STAGE; THIS IS AN
EXTREMELY SERIOUS SIGN OF RESPIRATORY MUSCLE FATIGUE
THAT SIGNALS THE NEED FOR MORE INTENSIVE MEDICAL CARE,
SUCH AS ADMISSION TO AN ICU AND, PROBABLY, INTUBATION
WITH MECHANICAL VENTILATION.
STAGE 4 - CHARACTERIZED BY A LOW PO 2 AND A HIGH PCO 2,
WHICH OCCURS WITH RESPIRATORY MUSCLE INSUFFICIENCY;
THIS IS AN EVEN MORE SERIOUS SIGN THAT MANDATES
INTUBATION AND VENTILATORY SUPPORT.
Status Asthmaticus workup, Medscape
http://emedicine.medscape.com/article/2129484-workup#aw2aab6b5b4
Recommended doses of medications to treat children with an asthma exacerbation
Albuterol (Salbutamol) 0.15mg/kg per dose, 2.5mg min., 5.0mg max every 20 to
30 minutes for 3 doses
Continuous is 0.5mg/kg (max 20mg/hr) by LVN
5 - 10kg --- 7.5mg/hr
10-20kg --- 11.25mg/hr
>20kg --- 15mg/hr
MDI w/spacer 1/3 – 1/4 puff per kg or 4-8 puffs q20-30min for x3 doses, then
every 1-4hrs as needed. Add a mask for children less than 4 Y/O.
Levalbuterol – 1/2 the recommended dose for racemic albuterol
The SABAs – Short Acting Beta-2 Agonists
Recommended doses of medications to treat children with an asthma exacerbation
Ipratropium (Atrovent) <20kg – 250 mcg/dose, q20 min for x3 doses
nebulizer solution ≥20kg – 500 mcg/dose
multidose inhaler 18mcg/puff
4-8 puffs q20min PRN for 3hrs
Recommended doses of medications to treat children with an asthma exacerbation
Systemic glucocorticoids:
Prednisone or Prednisolone – 1 to 2 mg/kg PO (max 60mg/day), then 0.5 to
1mg/kg twice daily for subsequent doses,
typically 3-10 day course.
Methylprednisolone - 1 to 2mg/kg (max 125mg/day) IV
Dexamethasone - 0.6mg/kg (max 16mg/day) PO, IM or IV
Recommended doses of medications to treat children with an asthma exacerbation
Systemic beta-2 agonists
Epinephrine - 0.01mg/kg IM or SQ (Max 0.4mg/dose)
may be repeated x3 q10-20min
- OR -
Terbutaline - 0.01mg/kg SQ or IM (Max 0.25mg/dose)
may be repeated x3 q20min, then q2-6hrs PRN
Other Treatment
Magnesium Sulfate – 25 to 75 mg/kg IV (Max 2g)
infuse over 20 minutes
a metastudy showed an ARR of 0.26
the endpoint being hospitalization.
4
When I was up in Rochester…
Spirometry/Peak Flows
POISEUILLE'S LAW
Even though asthma is a prevalent disease, annual per capita mortality from
asthma is relatively low worldwide, ranging from 1.51 per million population in
the United Kingdom to 13.66 in the United States, 25.56 in Japan, 31.6 in
Germany, and 86.92 in South Korea
Asthma epidemiology
Case 2 – The clinic visit
HPI: A 24 Y/O male presents to clinic acutely complaining of cough, wheezing,
runny nose and dyspnea. He states that his hearing has been “like he is under water”
since this morning. He reports that has been using his albuterol inhaler more
frequently over the past 3 days, up to every 2-4 hours on average. He was only
recently diagnosed with Asthma 3 months ago and was started on an Albuterol MDI
inhaler, which he reports was controlling his asthma well and had been only using
his inhaler 1-2 times/day. The patient states that he has stopped running his daily 3-5
miles and is concerned about staying on track for his 10k run in June.
Case 2 – The clinic visit
PMHx: Asthma
Meds: Albuterol MDI
All: ASA
PSHx: Adenoid/Tonsillectomy
FamHx: Father – DM II, HTN, Emphysema; Mother – HLD, Asthma-COPD
SocHx: Social alcohol, 1-2 drinks/week, Non-smoker, never smoked,
no illicit drugs, works as a new car salesman
Vaccinations: Completed childhood and pre-college vaccinations.
Case 2 – The clinic visit
VS: T-98.8F, HR-88, RR-20, BP-118/74, 95% O2 sat on R/A, Wt. 174lbs, Ht-5’10”
Gen: 24 Y/O WDWN male in NAD
HEENT: NCAT, PERRLA @5mm, oral mucosa moist, some serous fluid noted
behind tympanums without any injection or erythema, no tonsilar exudate, no
posterior oropharyngeal cobblestoning, some noted erythema and mild edema of the
nares bilaterally, some clear drainage noted as well.
Neck: no thyromegaly, trachea midline
CV: S1S2 noted, RRR, = radial pulses bilaterally
Pulm: Lungs have notable diffuse expiratory wheezing, expiratory phase not notably
prolonged, no rhonchi or rales noted
Abd: Soft, NTND, normoactive bowel sounds
Skin: no rashes or bruises noted
Extremities: no clubbing or cyanosis noted
Neuro: CN II-XII grossly intact, Pt. A&O to person, place, date
Psych: alert and appropriate to questions, no blunted affect
Lymph: some + shotty posterior cervical lymphadenopathy, no anterior cervical,
submandibular or supraclavicular lymphadenopathy.
Osteopathic: Some noted upper cervical paraspinal muscular tension
Case 2 – The clinic visit
Assessment: 24 Y/O male presents to clinic with moderate persistent asthma
with 3 day history of URI symptoms provoking an asthma exacerbation,
frequent daily MDI SABA use and increased fatigue.
Plan:
1) Asthma exacerbation – Acute; Advair MDI Fluticasone &
Salmeterol) 45/21mcg, 2 inhalations BID, In-office nebulizer
treatment with albuterol-ipratropium, in-office spirometry (if
available), PEF evaluation prior to and after nebulizer treatment,
Consider Allergy referral for skin allergen testing if no
improvement, F/U in 2 weeks for resolution of URI, adherence to
new therapy.
2) URI – Likely viral, will given sinus toileting regimen of Ocean
nasal spray 4x daily, Flonase (Fluticasone) 2 sprays per nostril qd,
benedryl 25mg PO qhs
Goals of Asthma Management
1) Routine monitoring, ie clinic visits
2) Patient education
3) Controlling environmental risk factors that increase severity
4) Pharmacologic therapy
Goals of Asthma Treatment
1) Reduce Impairment
-Freedom from frequent or troublesome symptoms
-Minimize need for SABAs to ≤2 days/week
-Minimize night-time dyspnea awakenings to <2 nights/month
-Optimize lung function
-Maintenance of normal activites: school, work, athletics
-Satisfaction with asthma care by Pt. and her family
2) Reduce Risk
-Prevent recurrent hospitalizations and ER visits/hospitalization
-Prevent reduced lung growth in children and loss of function in
adults
-Optimize pharmacotherapy with minimal/no side effects
Assessment of Impairment
-Nighttime awakenings
-Frequency of SABA MDI usage
-Unscheduled care for asthma, Urgent care or ER visits
-Participation in life activities: work, school, athletics
-Peak expiratory flow measurements, monitoring and reduction in best PEF
-Side effects of medications
Assessment of Risk
-Monitoring adherence with inhaled glucocorticoids
-Taking any oral glucocorticoids in the past year
-Hospitalized in the last year? How many times?
-Currently smoking?
-Worsening of asthma symptoms with ASA or NSAIDS?
The STEPS approach to Asthma Control
The Methylated Xanthines
The Purine Salvage Pathway
Question 2
A 24 year-old woman with persistent asthma, which is well controlled on low-
dose fluticasone and albuterol as needed, became pregnant 2 months ago and
asks for advice about asthma therapy during her pregnancy. Before she started
fluticasone therapy, she had frequent asthma symptoms and occasional
exacerbations requiring emergency department treatment. Since she became
pregnant, her asthma has remained under good control. The physical
examination is un remarkable and spirometry is normal.
Which of the following is the most appropriate management for this patient?
A)Continue the current regimen
B)Stop Fluticasone; add theophylline
C)Stop Fluticasone; add salmeterol
D)Stop Fluticasone; add inhaled cromolyn
An overview of asthma management; UpToDate; Christopher Fanta MD, Robert Wood MD
http://www.uptodate.com/contents/an-overview-of-asthma-management?source=search_result&search=Ast
 
Treatment of acute exacerbations of asthma in adults; UpToDate; Christopher Fanta MD, Bruce
Bochner MD, Roberst Hockberger MD FACEP
http://www.uptodate.com/contents/treatment-of-acute-exacerbations-of-asthma-in-adults?source=search_re
 
Diagnosis of asthma in adolescents and adults; UpToDate; Christopher Fanta MD, Peter Barnes
DM DSc, Bruce Bochner MD
http://www.uptodate.com/contents/diagnosis-of-asthma-in-adolescents-and-adults?source=search_result&s
 
Acute asthma exacerbations in children: Home/office management and severity assessment;
UpToDate Gergory Sawicki MD MPH, Kenan Haver MD, Robert Wood MD, Gregory Redding
MD
http://www.uptodate.com/contents/acute-asthma-exacerbations-in-children-home-office-management-and-s
 
Asthma in children younger than 12 years: Initiating therapy and monitoring control; UpToDate;
Gregory Sawicki MD MPH, Kenan Haver MD, Robert Wood MD, Gregory Redding MD
http://www.uptodate.com/contents/asthma-in-children-younger-than-12-years-initiating-therapy-and-moni
 
 
Asthma in children younger than 12 years: Initial evaluation and diagnosis; UpToDate;
Gregory Sawicki MD MPH, Kenan Haver MD, Robert Wood MD, Gregory Redding MD
http://www.uptodate.com/contents/asthma-in-children-younger-than-12-years-initial-evaluation-and-diag
 
Acute asthma exacerbations in children: Emergency department management
http://www.uptodate.com/contents/acute-asthma-exacerbations-in-children-emergency-department-mana
 
Wheezing phenotypes and prediction of asthma in young children; UpToDate; Theresa
Guilbert MD, Robert Lemanske Jr MD, Gregory Redding MD
http://www.uptodate.com/contents/wheezing-phenotypes-and-prediction-of-asthma-in-young-children?sou
Healio.com
http://www.healio.com/pediatrics/curbside-consultation/%7B3e7ee620-1201-4d45-
b60b-9034ee0355f3%7D/what-other-tests-will-my
 Status Asthmaticus workup, Medscape
http://emedicine.medscape.com/article/2129484-workup#aw2aab6b5b4
 
Medical Physiology And Pathophysiology, Essentials and clinical problems
http://www.zuniv.net/physiology/book/chapter13.html
 
Beta-adrenergic receptor agonists and cyclic nucleotide phosphodiesterase inhibitors: shifting
the focus from inotropy to cyclic adenosine monophosphate
http://content.onlinejacc.org/article.aspx?articleid=1125893
 
Magnesium for treatment of asthma in children; Can Fam Physician. 2009 Sep; 55(9): 887–
889.
http://www.ncbi.nlm.nih.gov/pmc/articles/PMC2743582/
 
Identifying patients at risk for fatal asthma; UpToDate: Mark Madison, MD, Richard Irwin
MD
http://www.uptodate.com/contents/identifying-patients-at-risk-for-fatal-asthma?
source=search_result&search=Asthma&selectedTitle=12%7E150

Asthma

  • 1.
    ASTHMA Dorian Matzen, PGY-2 FamilyMedicine May 21st , 2015
  • 2.
    THE BASIC ASSUMPTIONOF MEDICAL EDUCATION We believe that everyone participating is intelligent, interested, well-trained, cares about doing their best and wants to improve.
  • 3.
    Case 1 –Acute Shortness of breath C/C SOB An 8 Y/O male presents to ER for acute respiratory distress. Mother is present, states that he had been having increased dyspnea over the past 24 hours, was breathing fast after coming home from school. Has been using his inhaler frequently. He didn’t eat much dinner last night or breakfast this morning has been coughing non-stop and has vomited x2, normal emesis. No recent sick contacts, it is springtime in Elmira and it has been warm weather and there has been a significant pollen count over the past several days. No fever reported, grossly audible wheezing and apparent respiratory distress with tachypnea and increased WOB. Very High High Extreme Low
  • 4.
    PMHx: Asthma HoMeds: AlbuterolMDI, Advair diskus 100/50mcg All: NKDA PSHx: None SocHx: Lives with single parent and 7 siblings FamHx: Father - childhood asthma Vaccinations are up to date Case 1 – Acute Shortness of breath
  • 5.
    PE: VS: T-99.7F, HR-190,RR-66, BP-126/75, 86% O2 sat initially, now 91% on Simple mask with continuous albuterol via large volume nebulizer, wt: 62lbs Gen: WDWN 8 Y/O male in severe distress 2/2 asthma exacerbation HEENT: NCAT, EOMI, PERRLA @5mm, oral mucosa slightly dry, no thrush Neck: +suprasternal retractions, No tracheal deviation, no thyromegaly, no anterior/posterior cervical, submandibular or supraclavicular lymphadenopathy Chest: +intercostal retraction, notable increased WOB of muscles of respiration, +expiratory wheezing, prolonged expiratory phase. Abd: Soft, NTND, hypoactive bowel sounds, no guarding, no rebound GU: Grossly normal male, circumcised, Tanner stage I, both testes descended MSK: Good UE and LE tone, able to move all extremities Skin: No rashes or bruising noted on trunk or extremities Neuro: A&O x3 (person, place, date), +2/4 patellar and brachioradialis reflexes b/l Lymph: no anterior/posterior cervical lymphadenopathy, no axillary lymphadenopathy Extremities: no clubbing, no cyanosis, no nail stippling Osteopathic: Posterior paraspinal muscular tension in T1-T5 +ropey texture bilaterally, Left ribs 4-7 stuck in inhalation. Case 1 – Acute Shortness of breath
  • 6.
    Labs: CMP: CBC: ABG: 7.33pH, 71PaO2,21HCO3, 34PaCO2, BE: -4 Blood culture x2 pending Viral Panel pending UA: essentially negative 97 137 101 22 4.2 36 0.7 8.8 13.7 7.7 332 43.4 ???
  • 10.
    An 8 Y/Omale presents to ER for acute SOB, ongoing for the past 24hrs, likely asthma exacerbation given past medical history of Asthma. Pt. responding with limited improvement to nebulized medications, continued dyspnea with persistently increased work of breathing. Assessment: Plan: #1) Asthma Exacerbation – Acute - Albuterol and Ipratropium (Duonebs) q4hr - Methylprednisolone IVP 30mg IVP BID (1-2mg/kg/day) - Initial Spirometry and serial PEFs to monitor resolution - Asthma control assessment, Asthma Action Plan
  • 14.
    THE 4 STAGESOF BLOOD GAS PROGRESSION IN PERSONS WITH STATUS ASTHMATICUS ARE AS FOLLOWS: STAGE 1 - CHARACTERIZED BY HYPERVENTILATION WITH A NORMAL PARTIAL PRESSURE OF OXYGEN (PO 2) STAGE 2 - CHARACTERIZED BY HYPERVENTILATION ACCOMPANIED BY HYPOXEMIA (IE, A LOW PARTIAL PRESSURE OF CARBON DIOXIDE [PCO 2] AND LOW PO 2) STAGE 3 - CHARACTERIZED BY THE PRESENCE OF A FALSE- NORMAL PCO 2; VENTILATION HAS DECREASED FROM THE HYPERVENTILATION PRESENT IN THE SECOND STAGE; THIS IS AN EXTREMELY SERIOUS SIGN OF RESPIRATORY MUSCLE FATIGUE THAT SIGNALS THE NEED FOR MORE INTENSIVE MEDICAL CARE, SUCH AS ADMISSION TO AN ICU AND, PROBABLY, INTUBATION WITH MECHANICAL VENTILATION. STAGE 4 - CHARACTERIZED BY A LOW PO 2 AND A HIGH PCO 2, WHICH OCCURS WITH RESPIRATORY MUSCLE INSUFFICIENCY; THIS IS AN EVEN MORE SERIOUS SIGN THAT MANDATES INTUBATION AND VENTILATORY SUPPORT. Status Asthmaticus workup, Medscape http://emedicine.medscape.com/article/2129484-workup#aw2aab6b5b4
  • 15.
    Recommended doses ofmedications to treat children with an asthma exacerbation Albuterol (Salbutamol) 0.15mg/kg per dose, 2.5mg min., 5.0mg max every 20 to 30 minutes for 3 doses Continuous is 0.5mg/kg (max 20mg/hr) by LVN 5 - 10kg --- 7.5mg/hr 10-20kg --- 11.25mg/hr >20kg --- 15mg/hr MDI w/spacer 1/3 – 1/4 puff per kg or 4-8 puffs q20-30min for x3 doses, then every 1-4hrs as needed. Add a mask for children less than 4 Y/O. Levalbuterol – 1/2 the recommended dose for racemic albuterol The SABAs – Short Acting Beta-2 Agonists
  • 16.
    Recommended doses ofmedications to treat children with an asthma exacerbation Ipratropium (Atrovent) <20kg – 250 mcg/dose, q20 min for x3 doses nebulizer solution ≥20kg – 500 mcg/dose multidose inhaler 18mcg/puff 4-8 puffs q20min PRN for 3hrs
  • 18.
    Recommended doses ofmedications to treat children with an asthma exacerbation Systemic glucocorticoids: Prednisone or Prednisolone – 1 to 2 mg/kg PO (max 60mg/day), then 0.5 to 1mg/kg twice daily for subsequent doses, typically 3-10 day course. Methylprednisolone - 1 to 2mg/kg (max 125mg/day) IV Dexamethasone - 0.6mg/kg (max 16mg/day) PO, IM or IV
  • 20.
    Recommended doses ofmedications to treat children with an asthma exacerbation Systemic beta-2 agonists Epinephrine - 0.01mg/kg IM or SQ (Max 0.4mg/dose) may be repeated x3 q10-20min - OR - Terbutaline - 0.01mg/kg SQ or IM (Max 0.25mg/dose) may be repeated x3 q20min, then q2-6hrs PRN Other Treatment Magnesium Sulfate – 25 to 75 mg/kg IV (Max 2g) infuse over 20 minutes a metastudy showed an ARR of 0.26 the endpoint being hospitalization. 4
  • 22.
    When I wasup in Rochester…
  • 25.
  • 27.
  • 30.
    Even though asthmais a prevalent disease, annual per capita mortality from asthma is relatively low worldwide, ranging from 1.51 per million population in the United Kingdom to 13.66 in the United States, 25.56 in Japan, 31.6 in Germany, and 86.92 in South Korea Asthma epidemiology
  • 31.
    Case 2 –The clinic visit HPI: A 24 Y/O male presents to clinic acutely complaining of cough, wheezing, runny nose and dyspnea. He states that his hearing has been “like he is under water” since this morning. He reports that has been using his albuterol inhaler more frequently over the past 3 days, up to every 2-4 hours on average. He was only recently diagnosed with Asthma 3 months ago and was started on an Albuterol MDI inhaler, which he reports was controlling his asthma well and had been only using his inhaler 1-2 times/day. The patient states that he has stopped running his daily 3-5 miles and is concerned about staying on track for his 10k run in June.
  • 32.
    Case 2 –The clinic visit PMHx: Asthma Meds: Albuterol MDI All: ASA PSHx: Adenoid/Tonsillectomy FamHx: Father – DM II, HTN, Emphysema; Mother – HLD, Asthma-COPD SocHx: Social alcohol, 1-2 drinks/week, Non-smoker, never smoked, no illicit drugs, works as a new car salesman Vaccinations: Completed childhood and pre-college vaccinations.
  • 33.
    Case 2 –The clinic visit VS: T-98.8F, HR-88, RR-20, BP-118/74, 95% O2 sat on R/A, Wt. 174lbs, Ht-5’10” Gen: 24 Y/O WDWN male in NAD HEENT: NCAT, PERRLA @5mm, oral mucosa moist, some serous fluid noted behind tympanums without any injection or erythema, no tonsilar exudate, no posterior oropharyngeal cobblestoning, some noted erythema and mild edema of the nares bilaterally, some clear drainage noted as well. Neck: no thyromegaly, trachea midline CV: S1S2 noted, RRR, = radial pulses bilaterally Pulm: Lungs have notable diffuse expiratory wheezing, expiratory phase not notably prolonged, no rhonchi or rales noted Abd: Soft, NTND, normoactive bowel sounds Skin: no rashes or bruises noted Extremities: no clubbing or cyanosis noted Neuro: CN II-XII grossly intact, Pt. A&O to person, place, date Psych: alert and appropriate to questions, no blunted affect Lymph: some + shotty posterior cervical lymphadenopathy, no anterior cervical, submandibular or supraclavicular lymphadenopathy. Osteopathic: Some noted upper cervical paraspinal muscular tension
  • 34.
    Case 2 –The clinic visit Assessment: 24 Y/O male presents to clinic with moderate persistent asthma with 3 day history of URI symptoms provoking an asthma exacerbation, frequent daily MDI SABA use and increased fatigue. Plan: 1) Asthma exacerbation – Acute; Advair MDI Fluticasone & Salmeterol) 45/21mcg, 2 inhalations BID, In-office nebulizer treatment with albuterol-ipratropium, in-office spirometry (if available), PEF evaluation prior to and after nebulizer treatment, Consider Allergy referral for skin allergen testing if no improvement, F/U in 2 weeks for resolution of URI, adherence to new therapy. 2) URI – Likely viral, will given sinus toileting regimen of Ocean nasal spray 4x daily, Flonase (Fluticasone) 2 sprays per nostril qd, benedryl 25mg PO qhs
  • 35.
    Goals of AsthmaManagement 1) Routine monitoring, ie clinic visits 2) Patient education 3) Controlling environmental risk factors that increase severity 4) Pharmacologic therapy Goals of Asthma Treatment 1) Reduce Impairment -Freedom from frequent or troublesome symptoms -Minimize need for SABAs to ≤2 days/week -Minimize night-time dyspnea awakenings to <2 nights/month -Optimize lung function -Maintenance of normal activites: school, work, athletics -Satisfaction with asthma care by Pt. and her family 2) Reduce Risk -Prevent recurrent hospitalizations and ER visits/hospitalization -Prevent reduced lung growth in children and loss of function in adults -Optimize pharmacotherapy with minimal/no side effects
  • 36.
    Assessment of Impairment -Nighttimeawakenings -Frequency of SABA MDI usage -Unscheduled care for asthma, Urgent care or ER visits -Participation in life activities: work, school, athletics -Peak expiratory flow measurements, monitoring and reduction in best PEF -Side effects of medications Assessment of Risk -Monitoring adherence with inhaled glucocorticoids -Taking any oral glucocorticoids in the past year -Hospitalized in the last year? How many times? -Currently smoking? -Worsening of asthma symptoms with ASA or NSAIDS?
  • 38.
    The STEPS approachto Asthma Control
  • 53.
  • 54.
  • 57.
    Question 2 A 24year-old woman with persistent asthma, which is well controlled on low- dose fluticasone and albuterol as needed, became pregnant 2 months ago and asks for advice about asthma therapy during her pregnancy. Before she started fluticasone therapy, she had frequent asthma symptoms and occasional exacerbations requiring emergency department treatment. Since she became pregnant, her asthma has remained under good control. The physical examination is un remarkable and spirometry is normal. Which of the following is the most appropriate management for this patient? A)Continue the current regimen B)Stop Fluticasone; add theophylline C)Stop Fluticasone; add salmeterol D)Stop Fluticasone; add inhaled cromolyn
  • 63.
    An overview ofasthma management; UpToDate; Christopher Fanta MD, Robert Wood MD http://www.uptodate.com/contents/an-overview-of-asthma-management?source=search_result&search=Ast   Treatment of acute exacerbations of asthma in adults; UpToDate; Christopher Fanta MD, Bruce Bochner MD, Roberst Hockberger MD FACEP http://www.uptodate.com/contents/treatment-of-acute-exacerbations-of-asthma-in-adults?source=search_re   Diagnosis of asthma in adolescents and adults; UpToDate; Christopher Fanta MD, Peter Barnes DM DSc, Bruce Bochner MD http://www.uptodate.com/contents/diagnosis-of-asthma-in-adolescents-and-adults?source=search_result&s   Acute asthma exacerbations in children: Home/office management and severity assessment; UpToDate Gergory Sawicki MD MPH, Kenan Haver MD, Robert Wood MD, Gregory Redding MD http://www.uptodate.com/contents/acute-asthma-exacerbations-in-children-home-office-management-and-s   Asthma in children younger than 12 years: Initiating therapy and monitoring control; UpToDate; Gregory Sawicki MD MPH, Kenan Haver MD, Robert Wood MD, Gregory Redding MD http://www.uptodate.com/contents/asthma-in-children-younger-than-12-years-initiating-therapy-and-moni    
  • 64.
    Asthma in childrenyounger than 12 years: Initial evaluation and diagnosis; UpToDate; Gregory Sawicki MD MPH, Kenan Haver MD, Robert Wood MD, Gregory Redding MD http://www.uptodate.com/contents/asthma-in-children-younger-than-12-years-initial-evaluation-and-diag   Acute asthma exacerbations in children: Emergency department management http://www.uptodate.com/contents/acute-asthma-exacerbations-in-children-emergency-department-mana   Wheezing phenotypes and prediction of asthma in young children; UpToDate; Theresa Guilbert MD, Robert Lemanske Jr MD, Gregory Redding MD http://www.uptodate.com/contents/wheezing-phenotypes-and-prediction-of-asthma-in-young-children?sou Healio.com http://www.healio.com/pediatrics/curbside-consultation/%7B3e7ee620-1201-4d45- b60b-9034ee0355f3%7D/what-other-tests-will-my  Status Asthmaticus workup, Medscape http://emedicine.medscape.com/article/2129484-workup#aw2aab6b5b4  
  • 65.
    Medical Physiology AndPathophysiology, Essentials and clinical problems http://www.zuniv.net/physiology/book/chapter13.html   Beta-adrenergic receptor agonists and cyclic nucleotide phosphodiesterase inhibitors: shifting the focus from inotropy to cyclic adenosine monophosphate http://content.onlinejacc.org/article.aspx?articleid=1125893   Magnesium for treatment of asthma in children; Can Fam Physician. 2009 Sep; 55(9): 887– 889. http://www.ncbi.nlm.nih.gov/pmc/articles/PMC2743582/   Identifying patients at risk for fatal asthma; UpToDate: Mark Madison, MD, Richard Irwin MD http://www.uptodate.com/contents/identifying-patients-at-risk-for-fatal-asthma? source=search_result&search=Asthma&selectedTitle=12%7E150

Editor's Notes

  • #3 We work from a bottom-up approach, so medical students are allowed to answer first, if no medical students know, then interns, residents, then fellows, then attendings answer.
  • #4 What other information do we want in the HPI?
  • #5 Does anybody think that there is anything wrong with any of the Home Medications? Inhaled particulants are not indicated for children under 12 years old.
  • #6 What is the key rib?, for inhalation, it is the lowest one, Left rib 7, what is the primary motion of the key rib? Ribs 1-5 primary motion is pump handle, Ribs 6-10 primary motion is bucket handle.
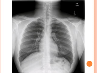
  • #9 The typical features of asthma are well-depicted on this chest radiograph of an adolescent with persistent asthma. In the AP view, peribronchial thickening is evident as is evidence of hyperinflation of the lungs. What if we noted on this X-ray that the heart was on the right side, would that change our differential? Primary ciliary dyskinesia AKA Cartaginer’s
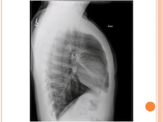
  • #10 Hyperinflation is often best seen on the lateral chest radiograph with flattening of the diaphragms and expansion of the retrocardiac air space. 
  • #11 A provider can use albuterol MDI with a spacer and that is just as effective as a nebulizer. The usual dose is 4-12 puffs, at least as effective as nebulized albuterol. (NAEPP-National Asthma Education and Prevention Program) Advantage of SVN is coadministration of oxygen and Ipratropium What about Levalbuterol ? Lack of proven superiority and increased cost. IV glucocorticoids are not necessarily superior to PO but should be used for severe episodes Early intervention with Glucocorticoids (within 1hr) was found to prevent one admission for every 8 treated, the NNT was even less for more severe exacerbations. Inhaled Glucocorticoids for acute exacerbation have had mixed results thus far
  • #13 So this is why the major risk factors should be addressed in the HPI.
  • #14 Note that the Pulmonary Index Score may underestimate the degree of illness in an older child. Also, this is at initial presentation.
  • #15 The use of an ABG in asthma is controversial and although it may be helpful in guiding the decision in determining whether or not to intubate, the clinical presentation should guide the decision.
  • #16 Over 90% of nebulized medication is lost in the system or to escape. Recommended liter flow of oxygen is 6-8LPM Levalbuterol is much more expensive and has no superiority to racemic albuterol, it does have a theoretical benefit of less beta-1 activity, so may be considered if Pt. is already tachycardic.
  • #17 Iprotropium is an anticholinergic bronchodilator that also dries mucus secretions
  • #18 This receptor is directly associated with one of its ultimate effectors, the class C L-type calcium channel CaV1.2. This receptor-channel complex is coupled to the Gs G protein, which activates adenylyl cyclase, catalysing the formation of cyclic adenosine monophosphate (cAMP) which then activates protein kinase A, and the counterbalancing phosphatase PP2A. The assembly of the signaling complex provides a mechanism that ensures specific and rapid signaling. For Ipratropium, it blocks the muscarinic acetylcholine receptors.
  • #21 Of interest, asthma exacerbations have been related to magnesium deficiency. In one study9 300 mg of oral magnesium daily was given for asthma prevention for 2 months to 37 patients between the ages of 7 and 19 years. Both the treatment and placebo groups received inhaled fluticasone and salbutamol as needed. Children in the magnesium group had fewer asthma exacerbations and used less salbutamol compared with the placebo group. Bronchial reactivity to methacholine and the allergen-induced skin responses were also reduced. Is there an indication for Leukotriene inhibitors in acute asthmatic events? What about the methylated Xanthines: Theophylline/caffeine etc?
  • #23 There were asthma action plans
  • #27 Not only is there swelling of the bronchiolar tissues but there is also increased mucus production within the lumen of the bronchioles, further reducing the airflow. Note the smooth muscle circuferentially around the bronchioles, that is the target tissue for the beta-2 agonists Also note the
  • #28 What else can be done to reduce flow, in pediatric ICU, they can use Helium to reduce the viscosity of the nitrogen dominant air
  • #30 Don’t forget the pro-inflammatory mediators of inflammation, including the interleukins and cytokines.
  • #31 In 2009, the reported death rates from asthma per million population in the United States were 23 for non-Hispanic blacks, 10 for non-Hispanic whites, and 6 for persons of Hispanic origin, although data identifying Hispanic origin may not be strictly comparable [8]. Disparities in income, education, and access to health care are widely recognized as important contributors to differences in mortality rates among different sociodemographic groups. In this regard, an analysis showed that the higher risk of death in African-American patients compared to white patients is not explained by race differences in deaths occurring in hospital and are therefore likely due to differences that precede hospitalization, such as differences in management at home or during transportation to the emergency department Australian study conducted from 2005-2009, 85 percent of 283 asthma-associated deaths were specifically due to asthma rather than to other comorbidities Notably, 70 percent of the deaths due to asthma had preventable or modifiable risk factors present.
  • #32 Now what else do you want to ask him? Night wakening with dyspnea, Peak flow variability
  • #34 Name one osteopathic technique that may help with the serous effusions of the middle ear: Galbraith technique.
  • #37 Studies have shown that patient education decreases hospitalizations due to asthma, improves daily function and improves patient satisfaction.
  • #40 Avoidance of respiratory irritants should also be discussed with the Pt., staying inside on high pollen count days, staying away from cigarette smoke, dietary sulfites (wine, beer, dried fruit, sauerkraut, shrimp)
  • #41 Pt. should be made aware of Beta blocker medications and should be limited to beta-1 specific, also Pt. should be made aware of Aspirin and NSAID sensitivity, also known as part of the “asthma triad” or “Samter’s triad (Asthma, NSAID/ASA allergy and nasal polyposis.
  • #42 Asthma Patients also meet criteria for Pneumococcal immunization and yearly influenza vaccination.
  • #48 The stepwise approach is meant to assist, not replace, the clinical decision-making required to meet individual patient needs. If alternative treatment is used and response is inadequate, discontinue it and use the preferred treatment before stepping up. If clear benefit is not observed within four to six weeks and patient/family medication technique and adherence are satisfactory, consider adjusting therapy or alternative diagnosis.
  • #52 The most important determinant of appropriate dosing is the clinician&amp;apos;s judgment of the patient&amp;apos;s response to therapy.
  • #54 Don’t forget to mention the Methylated Xanthines, not indicated for Asthma but may help symptomatic control. Now you may say…Hmmm Xanthines, that sounds familiar.
  • #55 That’s because you have heard of them, Xanthine is part of the Purine salvage pathway.
  • #63 Any Questions?