PERIPHERAL ARTERIAL
DOPPLER
Dr.S.Suresh
Mediscan Systems Diagnostic
Ultrasound Research & training
Centre, Chennai, India
Arterial hemodynamics
Distends
large art.
Pr. wave
Resistance
Elasticity
Depends on
Systole
Arterial hemodynamics
 Propagation speed increases
Propagation speed increases
with stiffness of wall
with stiffness of wall
 Arteries stiffer from aorta to
Arteries stiffer from aorta to
periphery
periphery
 Pulse pressure incr. by
Pulse pressure incr. by
vasoconstriction & decr. by
vasoconstriction & decr. by
vasodilatation
vasodilatation
Pressure waves
Vascular resistance
Segmental
Major art.
& collaterals Fixed
Peripheral
Arterioles
Cutaneous
circulation
Variable
Hemodynamic resistance
Resting state
Resting state
 Segmental resistance
Segmental resistance Low
Low
 Peripheral resistance
Peripheral resistance High
High
 Pressure drop across
Pressure drop across
major segmental artery
major segmental artery Low
Low
Hemodynamic resistance
Post exercise – normal
Post exercise – normal
 Segmental resistance – Low
Segmental resistance – Low
 Peripheral resistance – Low
Peripheral resistance – Low
No significant pressure drop
No significant pressure drop
 Segmental resistance fixed
Segmental resistance fixed
 Peripheral resistance – markedly
Peripheral resistance – markedly
decreased
decreased
 Inadequate compensation by
Inadequate compensation by
peripheral circulation
peripheral circulation
Hemodynamic resistance
Post exercise
Post exercise
Segmental arterial disease
Segmental arterial disease
Pressure drop occurs
Pressure drop occurs
Arterial Doppler – Protocol
 Clinical examination
Clinical examination
 Segmental pressures
Segmental pressures
 Exercise testing
Exercise testing
 Decides:
Decides:

+
+ arterial insufficiency
arterial insufficiency

Level of lesion
Level of lesion

Severity (?)
Severity (?)
Screening for arterial
disease
 Systolic pressure measured
Systolic pressure measured

High thigh
High thigh

Low thigh
Low thigh

Below knee
Below knee

Above ankle
Above ankle
Brachial systolic pressure
Segmental systolic pressures
CW doppler
EXERCISE TESTING
 Treadmill exercise test
Treadmill exercise test
 12% grade at 2 km/ hr.
12% grade at 2 km/ hr.
 Exercise time 5 minutes
Exercise time 5 minutes
 Stop exercise if pain develops
Stop exercise if pain develops
Contraindications
Contraindications
 Cardiac impairment
Cardiac impairment
 Physical disability
Physical disability
Reactive hyperemia
Patients with cardiac problems and
Patients with cardiac problems and
physical disability
physical disability
 Increase systolic pressure
Increase systolic pressure
 Maintain for 3-5 min. – Vasodilatation
Maintain for 3-5 min. – Vasodilatation
 Release and take pressure
Release and take pressure
 Occlusion – Single level 50% drop
Occlusion – Single level 50% drop
- Multi level > 50%
- Multi level > 50%
17-34% overlap of normal
and abnormal values
Ankle – Brachial index
Ankle /Brachial systolic pressure
 Normal – 1.1
Normal – 1.1 +
+ 0.10
0.10
 Abnormal - < 0.85
Abnormal - < 0.85
 Impending gangrene
Impending gangrene
0.05 – 0.08
0.05 – 0.08
Problems in evaluation
 Incompressibility of vessel
Incompressibility of vessel
(atherosclerotic calcific vessel)
(atherosclerotic calcific vessel)
 Development of collaterals
Development of collaterals
(Ankle/Brachial index, doppler
(Ankle/Brachial index, doppler
waveform may be normal)
waveform may be normal)
Segmental pressures
Absolute pressure
Absolute pressure
(mmHg)
(mmHg)

>100
>100

80 – 100
80 – 100
 50 – 80
50 – 80
 < 50
< 50
Circulatory reserve
Circulatory reserve
 Good
Good
 Satisfactory
Satisfactory

Moderate
Moderate

Insufficient
Insufficient
Pitfalls
 Resting period
Resting period
 Cuff width
Cuff width
 Quick deflation
Quick deflation
 Distance between the measurement
Distance between the measurement
area & probe position
area & probe position
 Subclavian obstruction
Subclavian obstruction
 Atherosclerosis
Atherosclerosis
Normal segmental pressures
Right
Brachial - 126
Left
Brachial - 122
140
138
128
124
130 124
124
128
142
148
AA Index 0.98 1.0
High segmental pressures
Right
Brachial - 150
Left
Brachial - 160
222
208
184
170
164 162
160
172
182
200
AA Index 1.1 1.01
0
20
40
60
80
100
120
140
160
180
200
2 4 6 8 10
TIME (Minutes)
PRESSU
RE
(m
m
H
g
)
Right
Left
Atherosclerotic
disease
Bilateral iliac obstruction
Right
Brachial - 174
Left
Brachial - 200
116
124
116
116 116
108
126
120
AA Index 0.70 0.6
0
20
40
60
80
100
120
2 4 6 8 10 12
TIME (Minutes)
PRESSURE
(
mmHg)
Right
Left
Left iliac obstruction
Right
Brachial - 120
Left
Brachial - 120
150
124
130
120
116 66
72
70
83
96
AA Index 1.0 0.60
0
20
40
60
80
100
120
140
160
2 4 6 8 10 12
TIME (Minutes)
PRESSURE
(m
m
Hg)
Right
Left
Multisegmental obstruction - Right
Right
Brachial - 115
Left
Brachial - 116
90
62
50
48 122
130
134
146
AA Index
0.42 1.06
0
20
40
60
80
100
120
140
160
2 4 6 8 10 12
TIME (Minutes)
PRESSURE
(m
m
H
g)
Left
Right
Multisegmental obstruction
Right
Brachial - 165
Left
Brachial - 159
130
110
94
72
76 100
102
110
152
164
Index 0.44 0.64
30
40
50
60
70
80
90
100
4 6 8 10 12
TIME (Minutes)
PRESSU
RE
(m
m
H
g)
Right
Left
Rt. Popliteal art. embolism
Right
Brachial - 124
Left
Brachial - 120
160
140
130
70
70 119
124
130
134
140
AA Index 0.58 1.03
DUPLEX USG vs CW DOPPLER
 Exact number, size & extent of the
Exact number, size & extent of the
lesion
lesion
 Determine the severity of lesion
Determine the severity of lesion
 Focal stenosis vs long segment
Focal stenosis vs long segment
occlusion
occlusion
PERIPHERAL ARTERIAL
DOPPLER - INDICATIONS
 Occlusive arterial disease
Occlusive arterial disease
 Follow up after bypass graft,
Follow up after bypass graft,
angioplasty
angioplasty
 Diagnosis & follow up of aneurysms
Diagnosis & follow up of aneurysms
 Diagnosis & treatment of
Diagnosis & treatment of
pseudoaneurysm
pseudoaneurysm
 Evaluation of pulsatile swelling
Evaluation of pulsatile swelling
 Assessment of dialysis shunts
Assessment of dialysis shunts
Occlusive Arterial Disease
 Arteriosclerosis Obliterans
Arteriosclerosis Obliterans
 Thromboangitis Obliterans
Thromboangitis Obliterans
Atherosclerosis
OCCLUSIVE ARTERIAL
DISEASE
 H/o claudication
H/o claudication

Pain on exercise
Pain on exercise

Rest pain
Rest pain
 Intermittent claudication
Intermittent claudication
 Instep claudication
Instep claudication
 Diminished pulse volume
Diminished pulse volume
 Chronic non-healing ulcer
Chronic non-healing ulcer
Muscle group distal
to the obstruction develops pain
 Classify peripheral arterial disease
Classify peripheral arterial disease
 Locate stenotic sites
Locate stenotic sites
 Grading of severity of stenosis
Grading of severity of stenosis
 Negative study excludes
Negative study excludes
hemodynamically significant disease
hemodynamically significant disease
APPLICATIONS OF
ARTERIAL DUPLEX
ARTERIAL DOPPLER
Protocol
 Image from abdominal aorta to distal vessels
Image from abdominal aorta to distal vessels

Aortic bifurcation
Aortic bifurcation

Common iliacs
Common iliacs

External iliacs
External iliacs

(internal il.)
(internal il.)

Common femoral
Common femoral

Profunda
Profunda

Superficial femoral A
Superficial femoral A

Popliteal A
Popliteal A

Ant tib. / post tib / peroneal A
Ant tib. / post tib / peroneal A
Arterial doppler
 Spectral doppler
Spectral doppler

Flow dynamics
Flow dynamics

Peak systolic velocity
Peak systolic velocity
 Spectral waveform shape
Spectral waveform shape
Small dia.of art. - Sp. broadening
ARTERIAL DOPPLER
 Survey of the arteries
Survey of the arteries

Diameter, wall pathology
Diameter, wall pathology
 Study plaque morphology
Study plaque morphology
 Selection of patients for
Selection of patients for
angiography
angiography
ARTERIOGRAM IS GOLD STANDARD
NORMAL ARTERY
Normal arterial waveform
Mean arterial diameters and
peak systolic velocities
Artery
Artery Diameter
Diameter
(mm)
(mm)
Velocity
Velocity
cms/sec
cms/sec
Ext.iliac
Ext.iliac 7.9
7.9 +
+ 1.3
1.3 120
120 +
+ 20
20
Common
Common
Femoral
Femoral
8.2
8.2 +
+ 1.4
1.4 115
115 +
+ 25
25
Sup. Fem A
Sup. Fem A 6.0 + 1.2
6.0 + 1.2 90
90 +
+ 13
13
Sup Fem A
Sup Fem A
distal
distal
5.4 + 1.1
5.4 + 1.1 93.6 + 14.1
93.6 + 14.1
Popliteal
Popliteal 5.2 + 1.1
5.2 + 1.1 68.8 + 13.5
68.8 + 13.5
Abnormal arteries
Atheromatous plaques
DOPPLER CRITERIA FOR FLOW
OBSTRUCTIVE LESIONS
 Tri – or biphasic
Tri – or biphasic
 Systolic window +
Systolic window +
 no spectral broadening
no spectral broadening
NORMAL
NORMAL
1 – 19% diameter reduction
 Peak systolic velocity- <30% inc.
Peak systolic velocity- <30% inc.
Adj. to the proximal segment
Adj. to the proximal segment
 Triphasic waveform
Triphasic waveform
–
– minimal spectral broadening
minimal spectral broadening
20 – 49% diameter reduction
 30 – 50% increase in peak syst. vel.
30 – 50% increase in peak syst. vel.
 Reverse flow present
Reverse flow present
 Marked spectral broadening
Marked spectral broadening
50 – 99% diameter reduction
 50 – 100% increase in peak syst.velocity
50 – 100% increase in peak syst.velocity
 Reverse flow absent
Reverse flow absent
 Monophasic waveform marked spectral
Monophasic waveform marked spectral
broadening
broadening

CLINICAL CLASSIFICATION OF STENOSIS
> 50% or < 50%
Occluded

No flow detected
No flow detected
 Prox.& distal waveforms disturbed
Prox.& distal waveforms disturbed
Forward flow
Distal to occlusion
Distal to occlusion
Proximal to occlusion
Proximal to occlusion
Sites of occlusion
 Superficial femoral artery- Adductor
Superficial femoral artery- Adductor
canal
canal
 Aorto iliac segment
Aorto iliac segment
 Popliteal artery
Popliteal artery
 Presence of symptoms depends on
Presence of symptoms depends on
the collateral supply
the collateral supply
Iliac & SFA occlusion
External iliac occlusion
Stenosis calculation
 Ratio =
Ratio = PSV at stenosis
PSV at stenosis
Normal PSV prox. to stenosis
Normal PSV prox. to stenosis

3.7 – 75% stenosis
3.7 – 75% stenosis

7.0 – 90% stenosis
7.0 – 90% stenosis
Multiple tandem lesions
 Cumulative effect seen distally
Cumulative effect seen distally
 “
“resistances in series”
resistances in series”
COLOUR DOPPLER
 Identifies course of vessels
Identifies course of vessels
calcified vessels – better seen
calcified vessels – better seen
 Detects :
Detects :

Isoechoic lesions
Isoechoic lesions

Areas of stenosis and occlusion
Areas of stenosis and occlusion
 Identifying collaterals
Identifying collaterals
Reduces examination time
Atherosclerotic vessel
Entry
collateral
Exit
collateral
Flow direction in collaterals
Marked forward flow in diastole
COLOUR PITFALLS
 Improper gain settings – Aliasing
Improper gain settings – Aliasing
 Varying velocities – Turbulence
Varying velocities – Turbulence

Mimicking obstruction
Mimicking obstruction
Colour pitfall – Inc. velocity due
to turbulence mimicking jet
Colour pitfalls
ARTERIAL EVALUATION
OTHER INDICATIONS
Graft patency
Graft patency
AV malformation
AV malformation
Detection & management
Detection & management
of pseudoaneurysm
of pseudoaneurysm
ASSESSMENT OF GRAFT
PATENCY
 Non- patent graft
Non- patent graft

PSV < 45 cms/sec
PSV < 45 cms/sec

Ratio of PSV at stenosis vs
Ratio of PSV at stenosis vs
proximal normal velocity
proximal normal velocity

50% stenosis > 2
50% stenosis > 2

75% stenosis > 3-4
75% stenosis > 3-4
AORTOILIAC
STENT
RESTENTING
AXILLO
BIFEMORAL
GRAFT
AXILLO
BIFEMORAL
GRAFT
NON PATENT GRAFT
Colour doppler of
Aneurysms
 Superior to arteriography
Superior to arteriography
Identifying intramural thrombus
Identifying intramural thrombus
Serial USG in aneurysm < 2 cms
Serial USG in aneurysm < 2 cms
in diameter
in diameter
Increase in the size (to decide
Increase in the size (to decide
intervention)
intervention)
Embolism in distal arteries
Embolism in distal arteries
PSEUDOANEURYSM
TRUE vs PSEUDOANEURYSM
 Distension of parent
Distension of parent
artery
artery
 Arterial wall +
Arterial wall +
 No feeder vessel
No feeder vessel
 Inc. velocity at
Inc. velocity at
the origin of
the origin of
aneurysm
aneurysm
 Collection of blood in
Collection of blood in
the soft tissue plane
the soft tissue plane
adjacent & in
adjacent & in
communication with
communication with
the parent artery
the parent artery
 No arterial wall
No arterial wall
 Feeder vessel +
Feeder vessel +
 Biphasic flow at neck
Biphasic flow at neck
of feeding vessel
of feeding vessel
COLOUR SUPERIOR IN DIAGNOSING TRUE
Vs PSEUDOANEURYSM
Pseudo aneurysm
 Therapy
Therapy

Feeding channel can be occluded
Feeding channel can be occluded
with transducer pressure
with transducer pressure

Thrombosis
Thrombosis
Pseudo aneurysm
 Criteria
Criteria

Pseudo aneurysm < 1 month
Pseudo aneurysm < 1 month
Length of the neck (> 5mm)
Length of the neck (> 5mm)
Duration of compression
Duration of compression
varies
varies
50 days after detection
Occluded
45 days after occlusion
-Refilling
A-V FISTULA
 Congenital
Congenital
 Traumatic
Traumatic
 Iatrogenic
Iatrogenic
 High velocity arterialised flow in vein
High velocity arterialised flow in vein
 Marked increase in systolic flow in
Marked increase in systolic flow in
artery
artery
VISUAL BRUIT
Congenital
 Clinical – skin discolouration
Clinical – skin discolouration
 USG – Limited role
USG – Limited role
 Helpful in patients who had
Helpful in patients who had
undergone sclerotherapy
undergone sclerotherapy
Acute thrombus - ? Embolus -
Normal lumen size
Thank you
Thoracic outlet
 Recording the pressures on the Left
Recording the pressures on the Left
 90
90 0
0
abduction & external rotation
abduction & external rotation
 Adson maneuver
Adson maneuver
Pathology of upper extremity
 Raynaud’s syndrome
Raynaud’s syndrome
 Arterial occlusions
Arterial occlusions
 Thoracic outlet
Thoracic outlet
syndrome
syndrome
Raynaud’s syndrome
 Vasospastic disorder
Vasospastic disorder
 Episodic digital ischaemia
Episodic digital ischaemia
 Discolouration of digits – Associated with
Discolouration of digits – Associated with
embolisation / occlusion
embolisation / occlusion
 DUPLEX USG
DUPLEX USG
 Differentiate between occlusion &
Differentiate between occlusion &
vasospasm
vasospasm
 Cold intolerance testing
Cold intolerance testing
 Digital blood pressure
Digital blood pressure
Occlusions
 Atherosclerosis
Atherosclerosis
 Takayasu’s disease
Takayasu’s disease
 Buerger’s disease – associated
Buerger’s disease – associated
proximal obstruction in small vessel
proximal obstruction in small vessel
disease
disease
Thoracic outlet syndrome
 Neurogenic
Neurogenic
 Vascular
Vascular
Trauma
 Detect obstruction
Detect obstruction
 False aneurysms
False aneurysms
 Large intimal flap
Large intimal flap
CASE I
 Mr. M, 35 yrs
Mr. M, 35 yrs
 Intermittent claudication – LLB,
Intermittent claudication – LLB,
1yr
1yr
 Smoker – 5 yrs
Smoker – 5 yrs
 Diabetes – 6 mths
Diabetes – 6 mths
Segmental pressures
138
140
120
140
110
98
96
90
92
82
Brachial
- 120
Brachial
- 120
AAI – 1.0 AAI – 0.75
Post exercise
Duration in
Duration in
(min.)
(min.)
Right
Right Left
Left
2
2 128
128 56
56
4
4 124
124 78
78
6
6 122
122 84
84
8
8 122
122 90
90
10
10 122
122 90
90
12
12 124
124 90
90
Patient had unbearable pain in left leg after 3mnts.
USG FINDINGS
 Total occlusion of left common iliac artery.
Total occlusion of left common iliac artery.
 Left external iliac artery was fed by the left
Left external iliac artery was fed by the left
internal iliac artery.
internal iliac artery.
 OCCLUSIVE ARTERIAL DISEASE.
OCCLUSIVE ARTERIAL DISEASE.
 TOTAL OCCLUSION OF LEFT COMMON
TOTAL OCCLUSION OF LEFT COMMON
ILIAC ARTERY.
ILIAC ARTERY.
 REFORMATION OF LEFT EXTERNAL ILIAC
REFORMATION OF LEFT EXTERNAL ILIAC
ARTERY SEEN THROUGH LEFT INTERNAL
ARTERY SEEN THROUGH LEFT INTERNAL
ILIAC ARTERY.
ILIAC ARTERY.
Case II
 Mr. PM – 48 Yrs
Mr. PM – 48 Yrs
 Smoker– 10 Yrs
Smoker– 10 Yrs
 Pain in left foot since 3 weeks
Pain in left foot since 3 weeks
Segmental pressures
170
100
100
70
100
30
30
Brachial
- 140
Brachial
- 150
AAI – 0.67 AAI – 0.21
USG findings
 Right side : -
Right side : -

Total occlusion of right superficial femoral
Total occlusion of right superficial femoral
artery.
artery.

Collateral seen joining the popliteal artery with
Collateral seen joining the popliteal artery with
reduced forward flow distally.
reduced forward flow distally.
 Left side : -
Left side : -

Total occlusion of external iliac artery and lower
Total occlusion of external iliac artery and lower
limb arteries.
limb arteries.
 Normal flow seen in aorta, both common iliac
Normal flow seen in aorta, both common iliac
artery and external iliac artery on right side.
artery and external iliac artery on right side.
 Normal flow seen in right common femoral artery
Normal flow seen in right common femoral artery
and profunda femoris.
and profunda femoris.
Arterial Dopplers ultrasound by tttttttt
Arterial Dopplers ultrasound by tttttttt
Arterial Dopplers ultrasound by tttttttt

Arterial Dopplers ultrasound by tttttttt

  • 1.
    PERIPHERAL ARTERIAL DOPPLER Dr.S.Suresh Mediscan SystemsDiagnostic Ultrasound Research & training Centre, Chennai, India
  • 3.
    Arterial hemodynamics Distends large art. Pr.wave Resistance Elasticity Depends on Systole
  • 4.
    Arterial hemodynamics  Propagationspeed increases Propagation speed increases with stiffness of wall with stiffness of wall  Arteries stiffer from aorta to Arteries stiffer from aorta to periphery periphery  Pulse pressure incr. by Pulse pressure incr. by vasoconstriction & decr. by vasoconstriction & decr. by vasodilatation vasodilatation Pressure waves
  • 5.
    Vascular resistance Segmental Major art. &collaterals Fixed Peripheral Arterioles Cutaneous circulation Variable
  • 6.
    Hemodynamic resistance Resting state Restingstate  Segmental resistance Segmental resistance Low Low  Peripheral resistance Peripheral resistance High High  Pressure drop across Pressure drop across major segmental artery major segmental artery Low Low
  • 7.
    Hemodynamic resistance Post exercise– normal Post exercise – normal  Segmental resistance – Low Segmental resistance – Low  Peripheral resistance – Low Peripheral resistance – Low No significant pressure drop No significant pressure drop
  • 8.
     Segmental resistancefixed Segmental resistance fixed  Peripheral resistance – markedly Peripheral resistance – markedly decreased decreased  Inadequate compensation by Inadequate compensation by peripheral circulation peripheral circulation Hemodynamic resistance Post exercise Post exercise Segmental arterial disease Segmental arterial disease Pressure drop occurs Pressure drop occurs
  • 9.
    Arterial Doppler –Protocol  Clinical examination Clinical examination  Segmental pressures Segmental pressures  Exercise testing Exercise testing  Decides: Decides:  + + arterial insufficiency arterial insufficiency  Level of lesion Level of lesion  Severity (?) Severity (?)
  • 10.
    Screening for arterial disease Systolic pressure measured Systolic pressure measured  High thigh High thigh  Low thigh Low thigh  Below knee Below knee  Above ankle Above ankle Brachial systolic pressure
  • 11.
  • 12.
    EXERCISE TESTING  Treadmillexercise test Treadmill exercise test  12% grade at 2 km/ hr. 12% grade at 2 km/ hr.  Exercise time 5 minutes Exercise time 5 minutes  Stop exercise if pain develops Stop exercise if pain develops Contraindications Contraindications  Cardiac impairment Cardiac impairment  Physical disability Physical disability
  • 13.
    Reactive hyperemia Patients withcardiac problems and Patients with cardiac problems and physical disability physical disability  Increase systolic pressure Increase systolic pressure  Maintain for 3-5 min. – Vasodilatation Maintain for 3-5 min. – Vasodilatation  Release and take pressure Release and take pressure  Occlusion – Single level 50% drop Occlusion – Single level 50% drop - Multi level > 50% - Multi level > 50% 17-34% overlap of normal and abnormal values
  • 14.
    Ankle – Brachialindex Ankle /Brachial systolic pressure  Normal – 1.1 Normal – 1.1 + + 0.10 0.10  Abnormal - < 0.85 Abnormal - < 0.85  Impending gangrene Impending gangrene 0.05 – 0.08 0.05 – 0.08
  • 15.
    Problems in evaluation Incompressibility of vessel Incompressibility of vessel (atherosclerotic calcific vessel) (atherosclerotic calcific vessel)  Development of collaterals Development of collaterals (Ankle/Brachial index, doppler (Ankle/Brachial index, doppler waveform may be normal) waveform may be normal)
  • 16.
    Segmental pressures Absolute pressure Absolutepressure (mmHg) (mmHg)  >100 >100  80 – 100 80 – 100  50 – 80 50 – 80  < 50 < 50 Circulatory reserve Circulatory reserve  Good Good  Satisfactory Satisfactory  Moderate Moderate  Insufficient Insufficient
  • 17.
    Pitfalls  Resting period Restingperiod  Cuff width Cuff width  Quick deflation Quick deflation  Distance between the measurement Distance between the measurement area & probe position area & probe position  Subclavian obstruction Subclavian obstruction  Atherosclerosis Atherosclerosis
  • 18.
    Normal segmental pressures Right Brachial- 126 Left Brachial - 122 140 138 128 124 130 124 124 128 142 148 AA Index 0.98 1.0
  • 19.
    High segmental pressures Right Brachial- 150 Left Brachial - 160 222 208 184 170 164 162 160 172 182 200 AA Index 1.1 1.01 0 20 40 60 80 100 120 140 160 180 200 2 4 6 8 10 TIME (Minutes) PRESSU RE (m m H g ) Right Left Atherosclerotic disease
  • 20.
    Bilateral iliac obstruction Right Brachial- 174 Left Brachial - 200 116 124 116 116 116 108 126 120 AA Index 0.70 0.6 0 20 40 60 80 100 120 2 4 6 8 10 12 TIME (Minutes) PRESSURE ( mmHg) Right Left
  • 21.
    Left iliac obstruction Right Brachial- 120 Left Brachial - 120 150 124 130 120 116 66 72 70 83 96 AA Index 1.0 0.60 0 20 40 60 80 100 120 140 160 2 4 6 8 10 12 TIME (Minutes) PRESSURE (m m Hg) Right Left
  • 22.
    Multisegmental obstruction -Right Right Brachial - 115 Left Brachial - 116 90 62 50 48 122 130 134 146 AA Index 0.42 1.06 0 20 40 60 80 100 120 140 160 2 4 6 8 10 12 TIME (Minutes) PRESSURE (m m H g) Left Right
  • 23.
    Multisegmental obstruction Right Brachial -165 Left Brachial - 159 130 110 94 72 76 100 102 110 152 164 Index 0.44 0.64 30 40 50 60 70 80 90 100 4 6 8 10 12 TIME (Minutes) PRESSU RE (m m H g) Right Left
  • 24.
    Rt. Popliteal art.embolism Right Brachial - 124 Left Brachial - 120 160 140 130 70 70 119 124 130 134 140 AA Index 0.58 1.03
  • 25.
    DUPLEX USG vsCW DOPPLER  Exact number, size & extent of the Exact number, size & extent of the lesion lesion  Determine the severity of lesion Determine the severity of lesion  Focal stenosis vs long segment Focal stenosis vs long segment occlusion occlusion
  • 26.
    PERIPHERAL ARTERIAL DOPPLER -INDICATIONS  Occlusive arterial disease Occlusive arterial disease  Follow up after bypass graft, Follow up after bypass graft, angioplasty angioplasty  Diagnosis & follow up of aneurysms Diagnosis & follow up of aneurysms  Diagnosis & treatment of Diagnosis & treatment of pseudoaneurysm pseudoaneurysm  Evaluation of pulsatile swelling Evaluation of pulsatile swelling  Assessment of dialysis shunts Assessment of dialysis shunts
  • 27.
    Occlusive Arterial Disease Arteriosclerosis Obliterans Arteriosclerosis Obliterans  Thromboangitis Obliterans Thromboangitis Obliterans Atherosclerosis
  • 28.
    OCCLUSIVE ARTERIAL DISEASE  H/oclaudication H/o claudication  Pain on exercise Pain on exercise  Rest pain Rest pain  Intermittent claudication Intermittent claudication  Instep claudication Instep claudication  Diminished pulse volume Diminished pulse volume  Chronic non-healing ulcer Chronic non-healing ulcer Muscle group distal to the obstruction develops pain
  • 29.
     Classify peripheralarterial disease Classify peripheral arterial disease  Locate stenotic sites Locate stenotic sites  Grading of severity of stenosis Grading of severity of stenosis  Negative study excludes Negative study excludes hemodynamically significant disease hemodynamically significant disease APPLICATIONS OF ARTERIAL DUPLEX
  • 30.
    ARTERIAL DOPPLER Protocol  Imagefrom abdominal aorta to distal vessels Image from abdominal aorta to distal vessels  Aortic bifurcation Aortic bifurcation  Common iliacs Common iliacs  External iliacs External iliacs  (internal il.) (internal il.)  Common femoral Common femoral  Profunda Profunda  Superficial femoral A Superficial femoral A  Popliteal A Popliteal A  Ant tib. / post tib / peroneal A Ant tib. / post tib / peroneal A
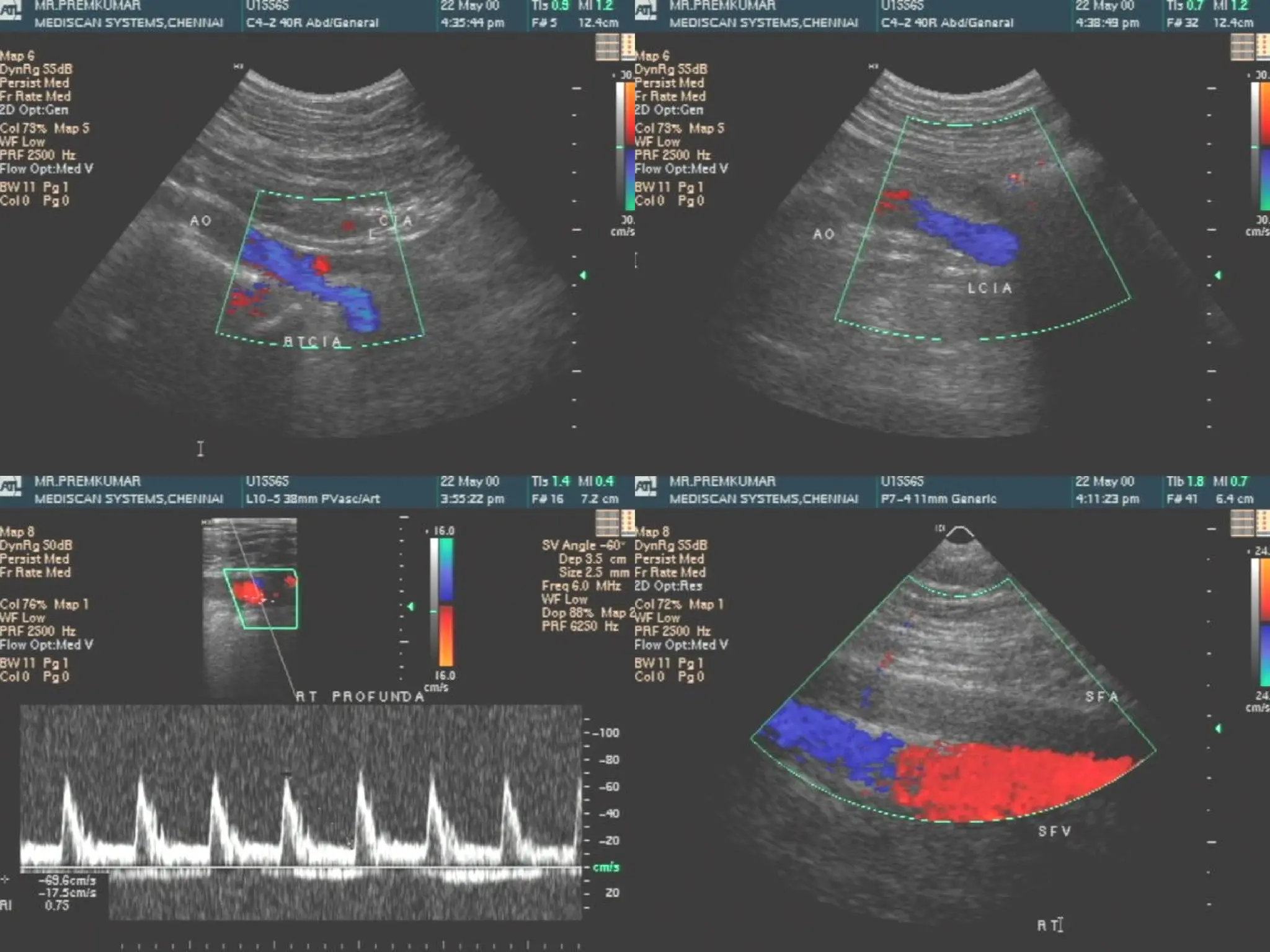
  • 31.
    Arterial doppler  Spectraldoppler Spectral doppler  Flow dynamics Flow dynamics  Peak systolic velocity Peak systolic velocity  Spectral waveform shape Spectral waveform shape
  • 32.
    Small dia.of art.- Sp. broadening
  • 33.
    ARTERIAL DOPPLER  Surveyof the arteries Survey of the arteries  Diameter, wall pathology Diameter, wall pathology  Study plaque morphology Study plaque morphology  Selection of patients for Selection of patients for angiography angiography ARTERIOGRAM IS GOLD STANDARD
  • 34.
  • 35.
  • 36.
    Mean arterial diametersand peak systolic velocities Artery Artery Diameter Diameter (mm) (mm) Velocity Velocity cms/sec cms/sec Ext.iliac Ext.iliac 7.9 7.9 + + 1.3 1.3 120 120 + + 20 20 Common Common Femoral Femoral 8.2 8.2 + + 1.4 1.4 115 115 + + 25 25 Sup. Fem A Sup. Fem A 6.0 + 1.2 6.0 + 1.2 90 90 + + 13 13 Sup Fem A Sup Fem A distal distal 5.4 + 1.1 5.4 + 1.1 93.6 + 14.1 93.6 + 14.1 Popliteal Popliteal 5.2 + 1.1 5.2 + 1.1 68.8 + 13.5 68.8 + 13.5
  • 37.
  • 39.
  • 40.
    DOPPLER CRITERIA FORFLOW OBSTRUCTIVE LESIONS  Tri – or biphasic Tri – or biphasic  Systolic window + Systolic window +  no spectral broadening no spectral broadening NORMAL NORMAL
  • 41.
    1 – 19%diameter reduction  Peak systolic velocity- <30% inc. Peak systolic velocity- <30% inc. Adj. to the proximal segment Adj. to the proximal segment  Triphasic waveform Triphasic waveform – – minimal spectral broadening minimal spectral broadening
  • 42.
    20 – 49%diameter reduction  30 – 50% increase in peak syst. vel. 30 – 50% increase in peak syst. vel.  Reverse flow present Reverse flow present  Marked spectral broadening Marked spectral broadening
  • 43.
    50 – 99%diameter reduction  50 – 100% increase in peak syst.velocity 50 – 100% increase in peak syst.velocity  Reverse flow absent Reverse flow absent  Monophasic waveform marked spectral Monophasic waveform marked spectral broadening broadening  CLINICAL CLASSIFICATION OF STENOSIS > 50% or < 50%
  • 44.
    Occluded  No flow detected Noflow detected  Prox.& distal waveforms disturbed Prox.& distal waveforms disturbed
  • 45.
    Forward flow Distal toocclusion Distal to occlusion Proximal to occlusion Proximal to occlusion
  • 46.
    Sites of occlusion Superficial femoral artery- Adductor Superficial femoral artery- Adductor canal canal  Aorto iliac segment Aorto iliac segment  Popliteal artery Popliteal artery  Presence of symptoms depends on Presence of symptoms depends on the collateral supply the collateral supply
  • 47.
    Iliac & SFAocclusion
  • 48.
  • 49.
    Stenosis calculation  Ratio= Ratio = PSV at stenosis PSV at stenosis Normal PSV prox. to stenosis Normal PSV prox. to stenosis  3.7 – 75% stenosis 3.7 – 75% stenosis  7.0 – 90% stenosis 7.0 – 90% stenosis
  • 50.
    Multiple tandem lesions Cumulative effect seen distally Cumulative effect seen distally  “ “resistances in series” resistances in series”
  • 51.
    COLOUR DOPPLER  Identifiescourse of vessels Identifies course of vessels calcified vessels – better seen calcified vessels – better seen  Detects : Detects :  Isoechoic lesions Isoechoic lesions  Areas of stenosis and occlusion Areas of stenosis and occlusion  Identifying collaterals Identifying collaterals Reduces examination time
  • 52.
  • 54.
  • 56.
    Flow direction incollaterals
  • 58.
  • 59.
    COLOUR PITFALLS  Impropergain settings – Aliasing Improper gain settings – Aliasing  Varying velocities – Turbulence Varying velocities – Turbulence  Mimicking obstruction Mimicking obstruction
  • 60.
    Colour pitfall –Inc. velocity due to turbulence mimicking jet
  • 61.
  • 62.
    ARTERIAL EVALUATION OTHER INDICATIONS Graftpatency Graft patency AV malformation AV malformation Detection & management Detection & management of pseudoaneurysm of pseudoaneurysm
  • 63.
    ASSESSMENT OF GRAFT PATENCY Non- patent graft Non- patent graft  PSV < 45 cms/sec PSV < 45 cms/sec  Ratio of PSV at stenosis vs Ratio of PSV at stenosis vs proximal normal velocity proximal normal velocity  50% stenosis > 2 50% stenosis > 2  75% stenosis > 3-4 75% stenosis > 3-4
  • 65.
  • 66.
  • 67.
  • 68.
  • 69.
  • 70.
    Colour doppler of Aneurysms Superior to arteriography Superior to arteriography Identifying intramural thrombus Identifying intramural thrombus Serial USG in aneurysm < 2 cms Serial USG in aneurysm < 2 cms in diameter in diameter Increase in the size (to decide Increase in the size (to decide intervention) intervention) Embolism in distal arteries Embolism in distal arteries
  • 74.
  • 75.
    TRUE vs PSEUDOANEURYSM Distension of parent Distension of parent artery artery  Arterial wall + Arterial wall +  No feeder vessel No feeder vessel  Inc. velocity at Inc. velocity at the origin of the origin of aneurysm aneurysm  Collection of blood in Collection of blood in the soft tissue plane the soft tissue plane adjacent & in adjacent & in communication with communication with the parent artery the parent artery  No arterial wall No arterial wall  Feeder vessel + Feeder vessel +  Biphasic flow at neck Biphasic flow at neck of feeding vessel of feeding vessel COLOUR SUPERIOR IN DIAGNOSING TRUE Vs PSEUDOANEURYSM
  • 76.
    Pseudo aneurysm  Therapy Therapy  Feedingchannel can be occluded Feeding channel can be occluded with transducer pressure with transducer pressure  Thrombosis Thrombosis
  • 77.
    Pseudo aneurysm  Criteria Criteria  Pseudoaneurysm < 1 month Pseudo aneurysm < 1 month Length of the neck (> 5mm) Length of the neck (> 5mm) Duration of compression Duration of compression varies varies
  • 79.
    50 days afterdetection Occluded 45 days after occlusion -Refilling
  • 80.
    A-V FISTULA  Congenital Congenital Traumatic Traumatic  Iatrogenic Iatrogenic  High velocity arterialised flow in vein High velocity arterialised flow in vein  Marked increase in systolic flow in Marked increase in systolic flow in artery artery
  • 85.
  • 86.
    Congenital  Clinical –skin discolouration Clinical – skin discolouration  USG – Limited role USG – Limited role  Helpful in patients who had Helpful in patients who had undergone sclerotherapy undergone sclerotherapy
  • 87.
    Acute thrombus -? Embolus - Normal lumen size
  • 88.
  • 89.
    Thoracic outlet  Recordingthe pressures on the Left Recording the pressures on the Left  90 90 0 0 abduction & external rotation abduction & external rotation  Adson maneuver Adson maneuver
  • 90.
    Pathology of upperextremity  Raynaud’s syndrome Raynaud’s syndrome  Arterial occlusions Arterial occlusions  Thoracic outlet Thoracic outlet syndrome syndrome
  • 91.
    Raynaud’s syndrome  Vasospasticdisorder Vasospastic disorder  Episodic digital ischaemia Episodic digital ischaemia  Discolouration of digits – Associated with Discolouration of digits – Associated with embolisation / occlusion embolisation / occlusion  DUPLEX USG DUPLEX USG  Differentiate between occlusion & Differentiate between occlusion & vasospasm vasospasm  Cold intolerance testing Cold intolerance testing  Digital blood pressure Digital blood pressure
  • 92.
    Occlusions  Atherosclerosis Atherosclerosis  Takayasu’sdisease Takayasu’s disease  Buerger’s disease – associated Buerger’s disease – associated proximal obstruction in small vessel proximal obstruction in small vessel disease disease
  • 93.
    Thoracic outlet syndrome Neurogenic Neurogenic  Vascular Vascular
  • 94.
    Trauma  Detect obstruction Detectobstruction  False aneurysms False aneurysms  Large intimal flap Large intimal flap
  • 96.
    CASE I  Mr.M, 35 yrs Mr. M, 35 yrs  Intermittent claudication – LLB, Intermittent claudication – LLB, 1yr 1yr  Smoker – 5 yrs Smoker – 5 yrs  Diabetes – 6 mths Diabetes – 6 mths
  • 97.
  • 98.
    Post exercise Duration in Durationin (min.) (min.) Right Right Left Left 2 2 128 128 56 56 4 4 124 124 78 78 6 6 122 122 84 84 8 8 122 122 90 90 10 10 122 122 90 90 12 12 124 124 90 90 Patient had unbearable pain in left leg after 3mnts.
  • 102.
    USG FINDINGS  Totalocclusion of left common iliac artery. Total occlusion of left common iliac artery.  Left external iliac artery was fed by the left Left external iliac artery was fed by the left internal iliac artery. internal iliac artery.  OCCLUSIVE ARTERIAL DISEASE. OCCLUSIVE ARTERIAL DISEASE.  TOTAL OCCLUSION OF LEFT COMMON TOTAL OCCLUSION OF LEFT COMMON ILIAC ARTERY. ILIAC ARTERY.  REFORMATION OF LEFT EXTERNAL ILIAC REFORMATION OF LEFT EXTERNAL ILIAC ARTERY SEEN THROUGH LEFT INTERNAL ARTERY SEEN THROUGH LEFT INTERNAL ILIAC ARTERY. ILIAC ARTERY.
  • 103.
    Case II  Mr.PM – 48 Yrs Mr. PM – 48 Yrs  Smoker– 10 Yrs Smoker– 10 Yrs  Pain in left foot since 3 weeks Pain in left foot since 3 weeks
  • 104.
  • 108.
    USG findings  Rightside : - Right side : -  Total occlusion of right superficial femoral Total occlusion of right superficial femoral artery. artery.  Collateral seen joining the popliteal artery with Collateral seen joining the popliteal artery with reduced forward flow distally. reduced forward flow distally.  Left side : - Left side : -  Total occlusion of external iliac artery and lower Total occlusion of external iliac artery and lower limb arteries. limb arteries.  Normal flow seen in aorta, both common iliac Normal flow seen in aorta, both common iliac artery and external iliac artery on right side. artery and external iliac artery on right side.  Normal flow seen in right common femoral artery Normal flow seen in right common femoral artery and profunda femoris. and profunda femoris.

Editor's Notes