APPLICATION OF
OPG IN
ORTHODONTICS
PRESENTED BY:
SEYED MOHAMMAD REZA MASOUMI
STUDENT RESEARCH COMMITTEE, SHAHID SADOUGHI
UNIVERSITY OF MEDICAL SCIENCES, YAZD, IRAN
THE PANORAMIC RADIOGRAPH PROVIDES
INFORMATION ON THE NUMBER OF TEETH
PRESENT, ERUPTION PROBLEMS, ROOT
FORM AND LENGTH, QUALITY OF
ALVEOLAR BONE AND OTHER
PATHOLOGICAL CONDITIONS. PANORAMIC
RADIOGRAPHS ARE ALSO OFTEN TAKEN
DURING TREATMENT TO EVALUATE THE
PARALLELISM OF THE ROOTS AND THE
PRESENCE OF ROOT RESORPTION OR
BLUNTING OF THE ROOT APICES.
NORMAL ANATOMY
BONY LANDMARKS IN MAXILLA
6
15
15. Glenoid fossa
19. Floor of Max.Sinus
17. Zygomatic Arch16. Articular eminence 18.Post. wall max. sinus
20. Zygomatic process of max. forming innominate line
21. Hard palate 22. Floor of the orbit 23. Nasal septum 24. Incisive foramen
25. Inferior choncha 26. Meatus 27. Frontal process of Z.bone
16
17
18
19
20
21
22
23
29
25
24
26
28.Pterygo max. fissure
30. Maxillary tuberosity29.Spine of the sphenoid bone 31. Lateral pterygoid plate
31
30
28
27
DENTAL ERUPTION : NORMAL AND
PROBLEMS
Panoramic radiograph showing a normal eruption pattern in a 9-
year-old young boy. Adequate yearly follow-up will ensure optimal
tooth eruption.
SEQUENCE AND CHRONOLOGY
OF TOOTH ERUPTION
CHRONOLOGY OF HUMAN
PERMANENT DENTITION
LOSS OF SPACE PREVENTING THE LOWER PREMOLARS
FROM ERUPTING
MIGRATION OF UPPER MOLARS AND LOSS OF
SPACE (ERUPTION PROBLEM).
RADIOGRAPH AND PICTURE SHOWING THE POSITION
OF THE CANINES IN THE PALATE (INDICATED BY THE
ARROWS).
SUPERNUMERARY TOOTH
MESIODENS
KISSING MOLARS
OPG SHOWING MANDIBULAR THIRD
MOLAR FUSED WITH SUPERNUMERARY
TOOTH
GEMINATION
BILATERAL TRANSPOSITION OF THE
MAXILLARY CANINES AND FIRST
PREMOLARS
DELAYED INCISOR ERUPTION
PANORAMIC X-RAY ON THIS NINE YEAR OLD
REVEALS CONGENITALLY MISSING ADULT PRE-
MOLAR. YOU CAN SEE ON THE LEFT OF THE
SCREEN THERE IS NO TOOTH BUD FORMING AS
COMPARED TO THE SAME AREA ON THE RIGHT SIDE
MISSING
NON-SYNDROMIC OLIGODONTIA OF PRIMARY AND
PERMANENT DENTITION
BILATERAL ECTOPIC ERUPTION ON THE
MAXILLA OF THE PERMANENT FIRST
MOLARS INTO THE PRIMARY SECOND
MOLARS
ANKYLOSIS
FRACTURES
MANDIBULAR FRACTURE
PANORAMIC IMAGE SHOWS SOFT PALATE (THICK WHITE ARROW),
SUBCONDYLAR FRACTURE (THICK BLACK ARROW), SPINE OF
SPHENOID BONE (THIN BLACK ARROW), AND PHARYNGEAL WALL
(THIN WHITE ARROW).
ALVEOLAR FRACTURE INANTERIOR
MAXILLA
PANORAMIC TOMOGRAM OF FIXATION OF
SUBCONDYLAR FRACTURE
ROOT RESORPTION
THE OPG REVEALED AN ORTHOGRADE
POSITION OF THE ROOT OF 12, THE ROOT
APEX REVEALED RESORPTION
OTHERS
THE PANORAMIC RADIOGRAPH DISCLOSED A NORMAL
BONE, ABSENCE OF THIRD MOLARS AND A GOOD
ROOT PARALLELISM
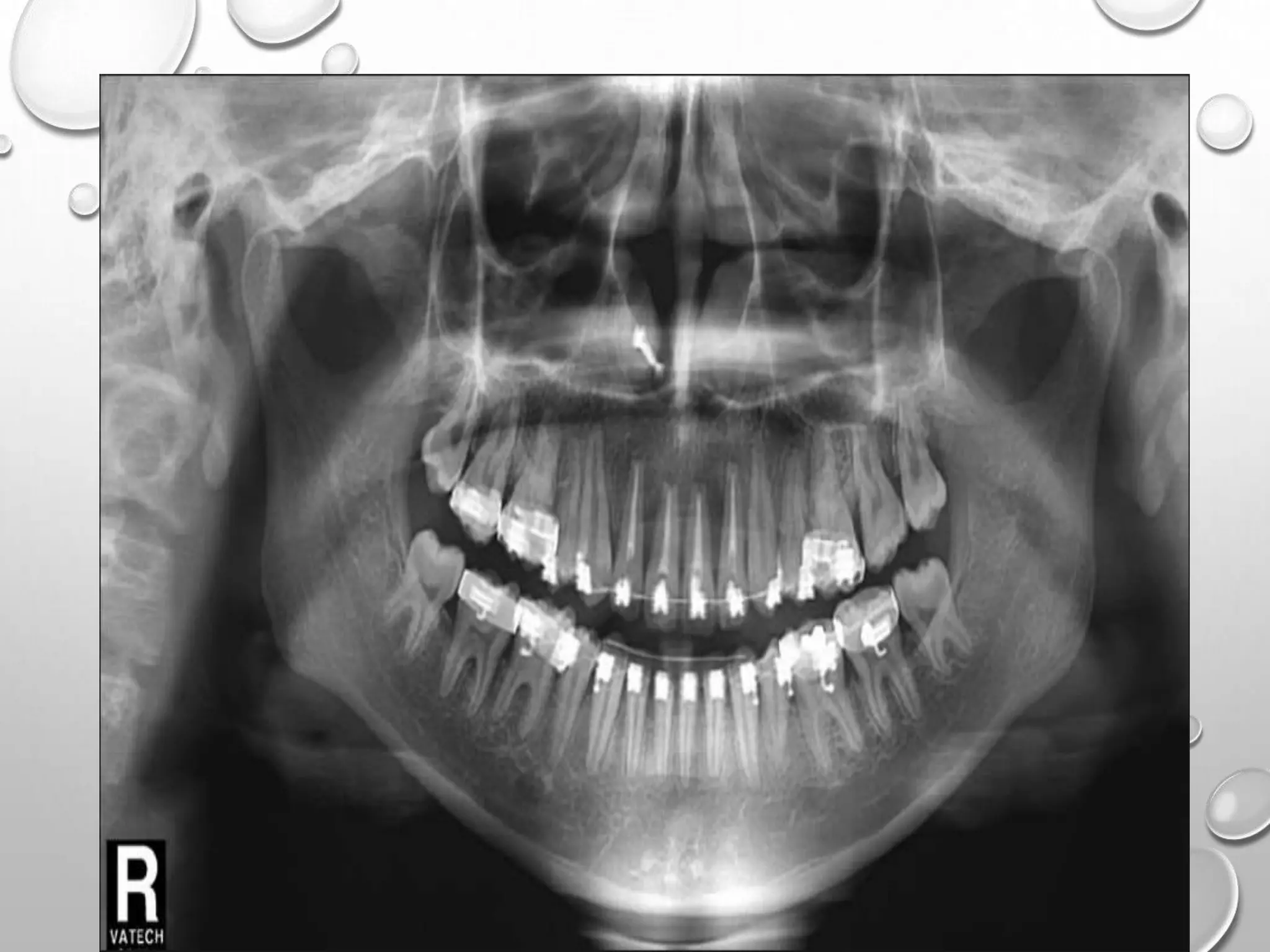
SERIAL PANORAMIC RADIOGRAPHS CONFIRMED THE
UPRIGHTING OF THE MANDIBULAR PREMOLARS AND
FIRST MOLARS, AND FAVORABLE ROOT PARALLELISM.
MESIAL DRIFTING OF THE MANDIBULAR THIRD
MOLARS AND A GOOD ERUPTION PATH OF UPPER
THIRD MOLARS
MICRODONTIA IN RELATION TO RIGHT
LATERAL INCISOR TOOTH
Application of opg in orthodontics

Application of opg in orthodontics