ANTE PARTUM BLEEDING
DR. DR. I WAYAN MEGADHANA SPOG (K)
PENDAHULUAN
• Adalah perdarahan pervaginam pada usia kehamilan 20 minggu
hingga melahirkan
• Mempengaruhi 2-5% kehamilan
• Berbagai kausa:
• Solusio plasenta  40 % (1% dari seluruh kehamilan)
• Tidak terklasifikasi  35%
• Plasenta previa  20% (1/2% dari seluruh kehamilan)
• Lain-lain
Perdarahan antepartum
Non obstetri
• Keganasan
• Robekan
Obstetri
• Plasenta previa
• Vasa Previa
• Solusio Plasenta
• Ruptur Sinus
Plasenta Previa: Suatu keadaan dimana insersi
plasenta pada segmen bawah rahim, sehingga
menutupi sebagian atau seluruh ostium uteri internum
pada kehamilan 20 minggu atau lebih.
Solusio Plasenta: Terlepasnya plasenta dari posisinya
yang normal pada uterus, sebelum janin dilahirkan.
Definisi ini berlaku pada usia kehamilan di atas 20
minggu atau berat badan janin 1000 gram.
MODALITAS DIAGNOSIS
• Anamnesis dan pemeriksaan fisik  Hindari pemeriksaan
dalam
• USG  akurat untuk plasenta previa, kurang sensitif pada
solusio plasenta
• Monitoring elektronik janin  kesejahteraan janin dan
kontraksi uterus
• Spekulum  didahului pemeriksaan USG bila memungkinkan
• Laboratorium  DL, status koagulasi (INR, PTT, APTT,
fibrinogen, BT/CT), tes kleihauer-betke
TATALAKSANA
STATUS OF
THE MOTHER
STATUS OF
THE FETUS
GESTATIONAL
AGE
PLASENTA PREVIA
FAKTOR RISIKO
• Riwayat plasenta previa sebelumnya
• Riwayat SC atau operasi uterus
• Multiparitas (5% pada pasien grande multipara)
• Gravida tua
• Kehamilan multipel
• Merokok
PATOGENESIS
• 90% palsenta didapatkan letak rendah pada kehamilan awal 
mengalami trophotropism/ migrasi palsenta, bersama dengan
pembentukan segmen bawah rahim
• Kelainan implantasi plasenta atau kegagalan migrasi 
plasenta previa
• Plasenta yang melekat pada SBR tidak dapat mengikuti dilatasi
serviks dan peregangan SBR  SBR tidak dapat berkontraksi 
perdarahan
NORMAL IMPLANTATION:
•UTERINE FUNDAL
•UTERINE CORPORAL
TANDA DAN GEJALA
Subyektif: perdarahan pervaginam berulang darah segar
tidak ada nyeri perut
Obyektif: adanya perdarahan pervaginam segar
bagian terendah janin masih tinggi/ belum masuk PAP
keadaan umum sesuai dengan jumlah perdarahan.
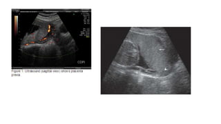
USG menentukan lokasi insersi plasenta, dan menyingkirkan
kemungkinan lain
Penderita dengan APB dilarang dilakukan VT di VK sebelum
kemungkinan plasenta previa disingkirkan, dan diagnosis solusio
plasenta telah ditegakkan
 VT di ruang OK dengan persiapan SC (Double Set-Up)
KLASIFIKASI
Plasenta Previa Totalis: menutupi seluruh OUI
Plasenta Previa Partialis: menutupi sebagian OUI
Plasenta Previa Marginalis: tepat pada pinggir OUI
Plasenta Letak Rendah: di atas tepi OUI, namun kurang dari 2 cm dari
tepi OUI
TATALAKSANA
Perawatan konservatif:
• Bayi prematur (UK <37 mgg, EFW < 2500 gr), bayi hidup, perdarahan
sedikit/berhenti
• Bedrest 3x24 jam, lanjut mobilisasi bertahap
• Perbaikan KU ibu
• Pemberian kortikosteroid untuk pematangan paru
• Observasi tanda vital ibu, kondisi janin, dan tanda perdarahan
• Dipulangkan bila tidak terjadi perdarahan, dengan saran : istirahat,
dilarang koitus/ manipulasi vagina, MRS bila berulang, ANC 1 minggu
kemudian
• Dikatakan gagal bila terjadi perdarahan berulang  perawatan aktif
Perawatan aktif:
• Terminasi kehamilan  SC
• Jika terjadi gawat janin, dan atau perdarahan aktif dan banyak
(perdarahan profuse lebih dari 500 cc dalam 30 menit) atau bila
perawatan konservatif gagal
Bila ditemukan pada ANC:
• Plasenta previa totalis  tunggu hingga aterm, bila tetap  SC
• Plasenta tidak menutupi OUI  tunggu inpartu
Plasenta previa
Perdarahan sedikit
( <250 cc )
Perdarahan banyak
( > 500 cc )
Preterm Aterm
Istirahat USG
Total Subtotal
Amniotomi
Perdarahan Inpartu
Pervaginam
S E K S I O S E S A R E A
Preterm Aterm
Istirahat
Stop Ulang
DSU
Total
Subtotal
Amniotomi
Darah Inpartu
Pervaginam
KOMPLIKASI
Janin
• Mortalitas 12-29%
• Bukan karena perdarahan
• Tapi preterm
Ibu
• Kematian ± 1%
• Kesakitan ± 5%
• Hipovolumia
• DIC
• HPP ok Atonia
• Infeksi
SOLUSIO PLASENTA
PENDAHULUAN
• Lepasnya plasenta dari tempat implantasinya sebelum bayi lahir
 solusio plasenta, placental abruption, abrupsio placentae,
dan accidental haemorrhage
• Terjadi antara membran dan uterus  darah merembes menuju
serviks  perdarahan eksternal
• Bila tidak merembes ke luar dan tertahan diantara plasenta dan
uterus concealed hemorrhage.
FAKTOR RISIKO
• Peningkatan umur dan
paritas
• Preeklampsia
• Hipertensi kronis
• Ketuban pecah premature
• Perokok
• Pengguna cocain
• Trauma
• Versi Luar
• Riwayat solusio plasenta,
• Mioma uteri
• Thromboplebitis
HEMORRHAGIC
INTRA DECIDUA
DECIDUAL SPLITS DECIDUAL
HEMATOMA
•SEPARATION
•COMPRESSION
•DESTRUCTION
PATOGENESIS
PATOFISIOLOGI
Perdarahan desidua
Hematom Retroplasenter
Kompresi
struktur plasenta
Suplai darah ke
janin terganggu
Distress/ †
Menembus membran
Miometrium
Uterus couvellair
LMR
Ruptur
DIAGNOSIS
Subyektif: nyeri perut (besar, tajam, dan berlangsung tiba-tiba) ,
perdarahan pervaginam, mual, gerak anak menurun hingga hilang
sama sekali
Obyektif:
• Abdomen: perut kaku seperti papan (woodly hard), pada palpasi sulit
teraba bagian janin, pada auskulasi sulit terdengar denyut jantung
janin
• Perdarahan pervaginam
• Tanda-tanda gangguan hemostasis (35%)
Penunjang:
• USG: tampak daerah hiperekoik dibandingkan daerah plasenta lain,
pemisahan antara korion dengan plasental bed, subchorionic bleeding
GRADING
Grad
e
Deskripsi
0 Asimtomatis, ditemukan secara kebetulan, adanya
retroplasental clot yang kecil
1 Terdapat perdarahan pervaginam. Tetani uter positif, tidak
ada gawat janin, ibu dalam keadaan baik
2 Terdapat atau tidak perdarahan pervaginam, tetapi ada
tanda-tanda gawat janin, ibu masih dalam keadaan baik
3 Terdapat atau tidak perdarahan pervaginam, tetani uteri
jelas, ibu syok, terjadi gawat janin hingga kematian, dan
koagulopati
TATALAKSANA
• Bervariasi tergantung umur kehamilan, keadaan janin dan ibunya
• Stabilisasi kondisi umum Ibu dan Janin (Airway, Breathing, Circulation)
• Solusio grade 0-1  persalinan dapat pervaginam dengan pemantauan
KTG
• Solusio grade 2-3  persalinan dilakukan perabdominal (SC)
• Bila terjadi kematian janin dalam rahim  amniotomi dilanjutkan drip
oksitosin, dan persalinan harus terjadi dalam 6 jam
KOMPLIKASI
Janin
• Hipoksia
• Anemia
• IUGR
• KJDK
Ibu
• Syok
• DIC
• Ruptur Uteri
• Gagal ginjal
PERINATAL MORTALITY &
MORBIDITY
MOST 25%
KAREGARD (1986) 20%
KROHN (1987) 20/884
ANANTH (1999) 40%
VASA PREVIA
• Merupakan kondisi dimana pembuluh darah tali pusat berada
pada OUI
• Terjadi pada 1 dari 5200 kehamilan (Lee, 2000)
• Faktor risiko: plasenta bilobar atau suksenturiat (satelit),
plasenta previa pada trimester kedua dengan atau tanpa
migrasi kemudian
• Klinis: serupa dengan palsenta previa
• USG  insersi pembuluh darah sepanjang OUI
Tatalaksana  sesuai usia kehamilan dan perdarahan, terminasi
TERIMAKASIH

ANTE PARTUM BLEEDING.pptx

  • 1.
    ANTE PARTUM BLEEDING DR.DR. I WAYAN MEGADHANA SPOG (K)
  • 2.
    PENDAHULUAN • Adalah perdarahanpervaginam pada usia kehamilan 20 minggu hingga melahirkan • Mempengaruhi 2-5% kehamilan • Berbagai kausa: • Solusio plasenta  40 % (1% dari seluruh kehamilan) • Tidak terklasifikasi  35% • Plasenta previa  20% (1/2% dari seluruh kehamilan) • Lain-lain
  • 3.
    Perdarahan antepartum Non obstetri •Keganasan • Robekan Obstetri • Plasenta previa • Vasa Previa • Solusio Plasenta • Ruptur Sinus
  • 4.
    Plasenta Previa: Suatukeadaan dimana insersi plasenta pada segmen bawah rahim, sehingga menutupi sebagian atau seluruh ostium uteri internum pada kehamilan 20 minggu atau lebih. Solusio Plasenta: Terlepasnya plasenta dari posisinya yang normal pada uterus, sebelum janin dilahirkan. Definisi ini berlaku pada usia kehamilan di atas 20 minggu atau berat badan janin 1000 gram.
  • 5.
    MODALITAS DIAGNOSIS • Anamnesisdan pemeriksaan fisik  Hindari pemeriksaan dalam • USG  akurat untuk plasenta previa, kurang sensitif pada solusio plasenta • Monitoring elektronik janin  kesejahteraan janin dan kontraksi uterus • Spekulum  didahului pemeriksaan USG bila memungkinkan • Laboratorium  DL, status koagulasi (INR, PTT, APTT, fibrinogen, BT/CT), tes kleihauer-betke
  • 6.
    TATALAKSANA STATUS OF THE MOTHER STATUSOF THE FETUS GESTATIONAL AGE
  • 7.
  • 8.
    FAKTOR RISIKO • Riwayatplasenta previa sebelumnya • Riwayat SC atau operasi uterus • Multiparitas (5% pada pasien grande multipara) • Gravida tua • Kehamilan multipel • Merokok
  • 9.
    PATOGENESIS • 90% palsentadidapatkan letak rendah pada kehamilan awal  mengalami trophotropism/ migrasi palsenta, bersama dengan pembentukan segmen bawah rahim • Kelainan implantasi plasenta atau kegagalan migrasi  plasenta previa • Plasenta yang melekat pada SBR tidak dapat mengikuti dilatasi serviks dan peregangan SBR  SBR tidak dapat berkontraksi  perdarahan
  • 10.
  • 14.
    TANDA DAN GEJALA Subyektif:perdarahan pervaginam berulang darah segar tidak ada nyeri perut Obyektif: adanya perdarahan pervaginam segar bagian terendah janin masih tinggi/ belum masuk PAP keadaan umum sesuai dengan jumlah perdarahan.
  • 15.
    USG menentukan lokasiinsersi plasenta, dan menyingkirkan kemungkinan lain Penderita dengan APB dilarang dilakukan VT di VK sebelum kemungkinan plasenta previa disingkirkan, dan diagnosis solusio plasenta telah ditegakkan  VT di ruang OK dengan persiapan SC (Double Set-Up)
  • 17.
    KLASIFIKASI Plasenta Previa Totalis:menutupi seluruh OUI Plasenta Previa Partialis: menutupi sebagian OUI Plasenta Previa Marginalis: tepat pada pinggir OUI Plasenta Letak Rendah: di atas tepi OUI, namun kurang dari 2 cm dari tepi OUI
  • 18.
    TATALAKSANA Perawatan konservatif: • Bayiprematur (UK <37 mgg, EFW < 2500 gr), bayi hidup, perdarahan sedikit/berhenti • Bedrest 3x24 jam, lanjut mobilisasi bertahap • Perbaikan KU ibu • Pemberian kortikosteroid untuk pematangan paru • Observasi tanda vital ibu, kondisi janin, dan tanda perdarahan • Dipulangkan bila tidak terjadi perdarahan, dengan saran : istirahat, dilarang koitus/ manipulasi vagina, MRS bila berulang, ANC 1 minggu kemudian • Dikatakan gagal bila terjadi perdarahan berulang  perawatan aktif
  • 19.
    Perawatan aktif: • Terminasikehamilan  SC • Jika terjadi gawat janin, dan atau perdarahan aktif dan banyak (perdarahan profuse lebih dari 500 cc dalam 30 menit) atau bila perawatan konservatif gagal Bila ditemukan pada ANC: • Plasenta previa totalis  tunggu hingga aterm, bila tetap  SC • Plasenta tidak menutupi OUI  tunggu inpartu
  • 20.
    Plasenta previa Perdarahan sedikit (<250 cc ) Perdarahan banyak ( > 500 cc ) Preterm Aterm Istirahat USG Total Subtotal Amniotomi Perdarahan Inpartu Pervaginam S E K S I O S E S A R E A Preterm Aterm Istirahat Stop Ulang DSU Total Subtotal Amniotomi Darah Inpartu Pervaginam
  • 21.
    KOMPLIKASI Janin • Mortalitas 12-29% •Bukan karena perdarahan • Tapi preterm Ibu • Kematian ± 1% • Kesakitan ± 5% • Hipovolumia • DIC • HPP ok Atonia • Infeksi
  • 22.
  • 23.
    PENDAHULUAN • Lepasnya plasentadari tempat implantasinya sebelum bayi lahir  solusio plasenta, placental abruption, abrupsio placentae, dan accidental haemorrhage • Terjadi antara membran dan uterus  darah merembes menuju serviks  perdarahan eksternal • Bila tidak merembes ke luar dan tertahan diantara plasenta dan uterus concealed hemorrhage.
  • 24.
    FAKTOR RISIKO • Peningkatanumur dan paritas • Preeklampsia • Hipertensi kronis • Ketuban pecah premature • Perokok • Pengguna cocain • Trauma • Versi Luar • Riwayat solusio plasenta, • Mioma uteri • Thromboplebitis
  • 25.
    HEMORRHAGIC INTRA DECIDUA DECIDUAL SPLITSDECIDUAL HEMATOMA •SEPARATION •COMPRESSION •DESTRUCTION PATOGENESIS
  • 26.
    PATOFISIOLOGI Perdarahan desidua Hematom Retroplasenter Kompresi strukturplasenta Suplai darah ke janin terganggu Distress/ † Menembus membran Miometrium Uterus couvellair LMR Ruptur
  • 28.
    DIAGNOSIS Subyektif: nyeri perut(besar, tajam, dan berlangsung tiba-tiba) , perdarahan pervaginam, mual, gerak anak menurun hingga hilang sama sekali Obyektif: • Abdomen: perut kaku seperti papan (woodly hard), pada palpasi sulit teraba bagian janin, pada auskulasi sulit terdengar denyut jantung janin • Perdarahan pervaginam • Tanda-tanda gangguan hemostasis (35%) Penunjang: • USG: tampak daerah hiperekoik dibandingkan daerah plasenta lain, pemisahan antara korion dengan plasental bed, subchorionic bleeding
  • 29.
    GRADING Grad e Deskripsi 0 Asimtomatis, ditemukansecara kebetulan, adanya retroplasental clot yang kecil 1 Terdapat perdarahan pervaginam. Tetani uter positif, tidak ada gawat janin, ibu dalam keadaan baik 2 Terdapat atau tidak perdarahan pervaginam, tetapi ada tanda-tanda gawat janin, ibu masih dalam keadaan baik 3 Terdapat atau tidak perdarahan pervaginam, tetani uteri jelas, ibu syok, terjadi gawat janin hingga kematian, dan koagulopati
  • 30.
    TATALAKSANA • Bervariasi tergantungumur kehamilan, keadaan janin dan ibunya • Stabilisasi kondisi umum Ibu dan Janin (Airway, Breathing, Circulation) • Solusio grade 0-1  persalinan dapat pervaginam dengan pemantauan KTG • Solusio grade 2-3  persalinan dilakukan perabdominal (SC) • Bila terjadi kematian janin dalam rahim  amniotomi dilanjutkan drip oksitosin, dan persalinan harus terjadi dalam 6 jam
  • 31.
    KOMPLIKASI Janin • Hipoksia • Anemia •IUGR • KJDK Ibu • Syok • DIC • Ruptur Uteri • Gagal ginjal PERINATAL MORTALITY & MORBIDITY MOST 25% KAREGARD (1986) 20% KROHN (1987) 20/884 ANANTH (1999) 40%
  • 32.
    VASA PREVIA • Merupakankondisi dimana pembuluh darah tali pusat berada pada OUI • Terjadi pada 1 dari 5200 kehamilan (Lee, 2000) • Faktor risiko: plasenta bilobar atau suksenturiat (satelit), plasenta previa pada trimester kedua dengan atau tanpa migrasi kemudian • Klinis: serupa dengan palsenta previa • USG  insersi pembuluh darah sepanjang OUI Tatalaksana  sesuai usia kehamilan dan perdarahan, terminasi
  • 34.