LIVER ABSCESS
 Liver - most subject to abscess formation
 Solitary or multiple
 Arise from
◦ hematogenous spread of bacteria
◦ local spread from contiguous sites of infection
within the peritoneal cavity
 Most common source- associated disease of
the biliary tract
Liver Abscess
Harrison’s Principles of Internal Medicine, 17th
ed
Primary Infection from other sites (Biliary tree,
Peritoneal Cavity, Pelvis)
Transmission via Portal vein, arterial supply,
biliary tract, direct invasion
Secondary Infection of Liver and Abscess
Formation
Pathogenesis
 The right hepatic lobe is affected more often
than the left hepatic lobe by a factor of 2:1.
 Bilateral involvement is seen in 5% of cases.
 The predilection for the right hepatic lobe can
be attributed to anatomic considerations.
Liver Abscess
Pyogenic
Parasitic
Amebiasis
Hydatid disease
Fungal
 Liver is probably exposed to portal venous
bacterial loads on a regular basis
 Inoculum of bacteria exceeds the liver's ability
to clear it  Abscess
 Potential routes of hepatic exposure to
bacteria:
◦ Biliary tree
◦ Portal vein
◦ Hepatic artery
◦ Direct extension of a
nearby focus of infection
◦ Trauma
Pyogenic Liver Abscess
Sabiston Textbook of Surgery, 18th
ed.
Etiology:
 Ascending cholangitis
◦ Enteric Gram Negative aerobic Bacilli and Enterococci
 Infection from the pelvis and other
intraperitoneal sources
◦ Mixed infection with aerobic and anaerobic species is
common
◦ Bacteroides fragilis- species most frequently isolated
 Hematogenous spread- S. aureus, S. milleri
Harrison’s Principles of Internal Medicine, 17th
ed
• Extraintestinal infection by E. histolytica
• Trophozoites invade veins to reach the liver
through the portal venous system
• Travelers of endemic areas - more susceptible
• Young patients- present w/ acute phase with
symptoms of <10 days duration
• Older patients - subacute course of 6 months
with weight loss and hepatomegaly
Amebic Liver Abscess
Harrison’s Principles of Internal Medicine, 17th
ed
CLINICAL FEATURES AMEBIC ABSCESS PYOGENIC ABSCESS
Age (yr) 20-40 >50
Male-to-female ratio ≥10:1 1.5:1
Solitary vs. multiple Solitary 80%[*]
Solitary 50%
Location Usually right liver Usually right liver
Travel in endemic area Yes No
Diabetes Uncommon (∼2%) More common (∼27%)
Alcohol use Common Common
Jaundice Uncommon Common
Elevated bilirubin Uncommon Common
Elevated alkaline
phosphatase
Common Common
Positive blood culture No Common
Positive amebic serology Yes No
Table 52-5 -- Features of Amebic Versus Pyogenic Liver Abscess
Sabiston Textbook of Surgery, 18th
ed.
 caused by the larval/cyst stage of Echinococcus
granulosus, in which humans are an intermediate
host
 In the human duodenum, the parasitic embryo
releases an oncosphere containing hooklets that
penetrate the mucosa, allowing access to the
bloodstream
 In the blood, the oncosphere reaches the liver
(most commonly) or lungs, where the parasite
develops its larval stage known as the hydatid cyst
Hydatid Disease
Sabiston Textbook of Surgery, 18th
ed.
 Candida spp.
 Follow fungemia in patients receiving
chemotherapy from cancer
 Often present when PMNs return after a period
of neutropenia
Fungal Liver Abscess
Harrison’s Principles of Internal Medicine, 17th
ed
• Fever - most common presenting sign
• Pain, guarding, punch and rebound tenderness
localized to the right upper quadrant *
• Hepatomegaly *
• Jaundice *
Non-specific symptoms:
• Chills
• Anorexia
• Vomiting
CLINICAL FEATURES
Harrison’s Principles of Internal Medicine, 17th
ed
Patient Liver Abscess
Vague RUQ pain – 3 months RUQ pain
Low-grade fever Fever – most common presenting sign
Weight loss Weight loss in older patients with a
chronic subacute course
Past Medical History
•PTB
•Acute Viral Hepatitis
Biliary tract disease
Ruptured appendicitis
Pylephlebitis
Personal, Family History
• Smoker
• Half a bottle of gin everyday since age
30
• Mother died of HCC
Travel to an endemic area
PE findings
•Pale palpebral conjunctivae
•Icteric sclerae
•Spider angiomas, palmar erythema
•Slightly distended abdomen
•Liver palpable with a span of 14cm,
Jaundice
Tenderness over the liver
Hepatomegaly
DIAGNOSIS
DIAGNOSIS
 Laboratory work-up
 Amebic serologic testing (positive in 95% of cases)
 ELISA test for Echinoccocal antigens ( positive for 85%
of infected patients)
 Imaging studies
◦ Ultrasound
◦ CT scan
LABORATORY FINDINGS
Elevated serum concentration of Alkaline Phosphatase
• Single most reliable laboratory finding
• Documented in 70% of patients with liver abscesses
Other tests of liver function may yield normal results
• 50% of patients have elevated serum levels of bilirubin
• 48% have elevated concentrations of aspartate aminotransferase
Other laboratory findings
• Leukocytosis in 77% of patients
• Anemia (usually normochromic, normocytic) in 50%
• Hypoalbuminemia in 33%
Concomitant bacteremia is found in one-third of patients
Ultrasound
Sensitivity 80-90%
 Hypoechoic masses with irregularly shaped
borders.
 Internal septations or cavity debris may be detected.
 Allows for close evaluation of the biliary tree and
simultaneous aspiration of the cavity.
 The major benefits of this technique are its
portability and diagnostic utility in patients who are
too critical to undergo prolonged radiologic
evaluation or to be moved out of monitored setting.
 Operator dependence affects its overall sensitivity.
Computed Tomographic Scan
(Sensitivity 95%-100%)
 Well-demarcated areas hypodense to the
surrounding hepatic parenchyma.
 Peripheral enhancement is seen when IV contrast is
administered.
 Gas can be seen in as many as 20% of lesions.
 CT scan is superior in its ability to detect lesions less
than 1 cm.
 This technique also enables the evaluation for an
underlying concurrent pathology throughout the
abdomen and pelvis. Indium-labeled WBC scans are
somewhat more sensitive in this regard.
CT examination: Unenhanced axial scan:
Round-shaped, hypodense masses
of 5-6 cm of diameter, with isodense wall,
are visible in both liver lobes (arrows).
A small amount of hypodense fluid is
observed within the liver capsule
CT examination:
Postcontrast axial scan
The irregular hypodens lesions of
variable sizes (arrows) are better
visualized in the contrast-enhancing
liver parenchyma.
Chest X-ray
 Basilar atelectasis
 Right hemidiaphragm elevation
 Right pleural effusion are present in
approximately 50% of cases
 Before advancements in radiologic technique,
these served as diagnostic clues.
MANAGEMENT
Drainage, either percutaneous or surgical, is
the mainstay of therapy for intraabdominal
abscess
◦ Percutaneous needle aspiration
◦ Percutaneous catheter drainage
◦ Surgical drainage (open or laparoscopic)
◦ Medical therapy
Percutaneous needle aspiration
 Solitary dominant abscess
 Under CT scan or ultrasound guidance, needle
aspiration of cavity material can be performed.
 Needle aspiration enables rapid recovery of material
for microbiologic and pathologic evaluation.
◦ Gram’s stain and culture
 Needle aspiration can be performed with the initial
diagnostic procedure.
Percutaneous catheter drainage
• Complex abscess or an abscess containing particularly thick
fluid
• Small cysts
 A catheter is placed under ultrasound or CT guidance using the
Seldinger technique
 The catheter is flushed daily until output is less than 10 cc/d or
cavity collapse is documented by serial CT scanning.
 Multiple abscesses have been drained successfully by this
method.
 Failure to respond to catheter drainage is the main reported
complication and is also an indication for surgical intervention.
Surgical drainage
• Was the standard of care until the introduction of
percutaneous drainage techniques in the mid 1970s
• For cysts greater than 5 cm
• Ruptured cysts
• Multiloculated cysts
• Failure of percutaneous drianage
 Lack of response in 4-7 days
Medical Therapy
 Diagnostic aspirate of abscess should be
obtained before initiation of empirical therapy
◦ Empiric drug therapy – covering gram negative
aerobic, facultative and anaerobic organisms
◦ Adjusted to specific antibiotic when results for Gram’s
stain and culture become available
Parasitic Liver Abscess
 Hydatid disease
◦ Oral antihelmintics, albendazole, is the mainstay of
treatment
◦ For those with anatomically appropriate lesions PAIR:
percutaneous aspiration, instillation of absolute
alcohol, respiration
◦ If refractory to PAIR: open/laparoscopic cyst removal
with instillation of scolicidal agent
Parasitic Liver Abscess
 Amebiasis
◦ Metronidazole for at least 1 week
◦ Most patients will respond rapidly with complete
defervescence within 3 days.
◦ Aspiration of the abscess is rarely necessary and
should be avoided, except in patients in whom
secondary infection from pyogenic organisms is
suspected.
THANK YOU

A liver abscess presentation for mbbs.ppt

  • 1.
  • 2.
     Liver -most subject to abscess formation  Solitary or multiple  Arise from ◦ hematogenous spread of bacteria ◦ local spread from contiguous sites of infection within the peritoneal cavity  Most common source- associated disease of the biliary tract Liver Abscess Harrison’s Principles of Internal Medicine, 17th ed
  • 3.
    Primary Infection fromother sites (Biliary tree, Peritoneal Cavity, Pelvis) Transmission via Portal vein, arterial supply, biliary tract, direct invasion Secondary Infection of Liver and Abscess Formation Pathogenesis
  • 4.
     The righthepatic lobe is affected more often than the left hepatic lobe by a factor of 2:1.  Bilateral involvement is seen in 5% of cases.  The predilection for the right hepatic lobe can be attributed to anatomic considerations.
  • 5.
  • 6.
     Liver isprobably exposed to portal venous bacterial loads on a regular basis  Inoculum of bacteria exceeds the liver's ability to clear it  Abscess  Potential routes of hepatic exposure to bacteria: ◦ Biliary tree ◦ Portal vein ◦ Hepatic artery ◦ Direct extension of a nearby focus of infection ◦ Trauma Pyogenic Liver Abscess Sabiston Textbook of Surgery, 18th ed.
  • 7.
    Etiology:  Ascending cholangitis ◦Enteric Gram Negative aerobic Bacilli and Enterococci  Infection from the pelvis and other intraperitoneal sources ◦ Mixed infection with aerobic and anaerobic species is common ◦ Bacteroides fragilis- species most frequently isolated  Hematogenous spread- S. aureus, S. milleri Harrison’s Principles of Internal Medicine, 17th ed
  • 8.
    • Extraintestinal infectionby E. histolytica • Trophozoites invade veins to reach the liver through the portal venous system • Travelers of endemic areas - more susceptible • Young patients- present w/ acute phase with symptoms of <10 days duration • Older patients - subacute course of 6 months with weight loss and hepatomegaly Amebic Liver Abscess Harrison’s Principles of Internal Medicine, 17th ed
  • 9.
    CLINICAL FEATURES AMEBICABSCESS PYOGENIC ABSCESS Age (yr) 20-40 >50 Male-to-female ratio ≥10:1 1.5:1 Solitary vs. multiple Solitary 80%[*] Solitary 50% Location Usually right liver Usually right liver Travel in endemic area Yes No Diabetes Uncommon (∼2%) More common (∼27%) Alcohol use Common Common Jaundice Uncommon Common Elevated bilirubin Uncommon Common Elevated alkaline phosphatase Common Common Positive blood culture No Common Positive amebic serology Yes No Table 52-5 -- Features of Amebic Versus Pyogenic Liver Abscess Sabiston Textbook of Surgery, 18th ed.
  • 10.
     caused bythe larval/cyst stage of Echinococcus granulosus, in which humans are an intermediate host  In the human duodenum, the parasitic embryo releases an oncosphere containing hooklets that penetrate the mucosa, allowing access to the bloodstream  In the blood, the oncosphere reaches the liver (most commonly) or lungs, where the parasite develops its larval stage known as the hydatid cyst Hydatid Disease Sabiston Textbook of Surgery, 18th ed.
  • 11.
     Candida spp. Follow fungemia in patients receiving chemotherapy from cancer  Often present when PMNs return after a period of neutropenia Fungal Liver Abscess Harrison’s Principles of Internal Medicine, 17th ed
  • 12.
    • Fever -most common presenting sign • Pain, guarding, punch and rebound tenderness localized to the right upper quadrant * • Hepatomegaly * • Jaundice * Non-specific symptoms: • Chills • Anorexia • Vomiting CLINICAL FEATURES Harrison’s Principles of Internal Medicine, 17th ed
  • 13.
    Patient Liver Abscess VagueRUQ pain – 3 months RUQ pain Low-grade fever Fever – most common presenting sign Weight loss Weight loss in older patients with a chronic subacute course Past Medical History •PTB •Acute Viral Hepatitis Biliary tract disease Ruptured appendicitis Pylephlebitis Personal, Family History • Smoker • Half a bottle of gin everyday since age 30 • Mother died of HCC Travel to an endemic area PE findings •Pale palpebral conjunctivae •Icteric sclerae •Spider angiomas, palmar erythema •Slightly distended abdomen •Liver palpable with a span of 14cm, Jaundice Tenderness over the liver Hepatomegaly
  • 14.
  • 15.
    DIAGNOSIS  Laboratory work-up Amebic serologic testing (positive in 95% of cases)  ELISA test for Echinoccocal antigens ( positive for 85% of infected patients)  Imaging studies ◦ Ultrasound ◦ CT scan
  • 16.
    LABORATORY FINDINGS Elevated serumconcentration of Alkaline Phosphatase • Single most reliable laboratory finding • Documented in 70% of patients with liver abscesses Other tests of liver function may yield normal results • 50% of patients have elevated serum levels of bilirubin • 48% have elevated concentrations of aspartate aminotransferase Other laboratory findings • Leukocytosis in 77% of patients • Anemia (usually normochromic, normocytic) in 50% • Hypoalbuminemia in 33% Concomitant bacteremia is found in one-third of patients
  • 17.
    Ultrasound Sensitivity 80-90%  Hypoechoicmasses with irregularly shaped borders.  Internal septations or cavity debris may be detected.  Allows for close evaluation of the biliary tree and simultaneous aspiration of the cavity.  The major benefits of this technique are its portability and diagnostic utility in patients who are too critical to undergo prolonged radiologic evaluation or to be moved out of monitored setting.  Operator dependence affects its overall sensitivity.
  • 19.
    Computed Tomographic Scan (Sensitivity95%-100%)  Well-demarcated areas hypodense to the surrounding hepatic parenchyma.  Peripheral enhancement is seen when IV contrast is administered.  Gas can be seen in as many as 20% of lesions.  CT scan is superior in its ability to detect lesions less than 1 cm.  This technique also enables the evaluation for an underlying concurrent pathology throughout the abdomen and pelvis. Indium-labeled WBC scans are somewhat more sensitive in this regard.
  • 23.
    CT examination: Unenhancedaxial scan: Round-shaped, hypodense masses of 5-6 cm of diameter, with isodense wall, are visible in both liver lobes (arrows). A small amount of hypodense fluid is observed within the liver capsule
  • 24.
    CT examination: Postcontrast axialscan The irregular hypodens lesions of variable sizes (arrows) are better visualized in the contrast-enhancing liver parenchyma.
  • 25.
    Chest X-ray  Basilaratelectasis  Right hemidiaphragm elevation  Right pleural effusion are present in approximately 50% of cases  Before advancements in radiologic technique, these served as diagnostic clues.
  • 27.
  • 28.
    Drainage, either percutaneousor surgical, is the mainstay of therapy for intraabdominal abscess ◦ Percutaneous needle aspiration ◦ Percutaneous catheter drainage ◦ Surgical drainage (open or laparoscopic) ◦ Medical therapy
  • 29.
    Percutaneous needle aspiration Solitary dominant abscess  Under CT scan or ultrasound guidance, needle aspiration of cavity material can be performed.  Needle aspiration enables rapid recovery of material for microbiologic and pathologic evaluation. ◦ Gram’s stain and culture  Needle aspiration can be performed with the initial diagnostic procedure.
  • 31.
    Percutaneous catheter drainage •Complex abscess or an abscess containing particularly thick fluid • Small cysts  A catheter is placed under ultrasound or CT guidance using the Seldinger technique  The catheter is flushed daily until output is less than 10 cc/d or cavity collapse is documented by serial CT scanning.  Multiple abscesses have been drained successfully by this method.  Failure to respond to catheter drainage is the main reported complication and is also an indication for surgical intervention.
  • 32.
    Surgical drainage • Wasthe standard of care until the introduction of percutaneous drainage techniques in the mid 1970s • For cysts greater than 5 cm • Ruptured cysts • Multiloculated cysts • Failure of percutaneous drianage  Lack of response in 4-7 days
  • 33.
    Medical Therapy  Diagnosticaspirate of abscess should be obtained before initiation of empirical therapy ◦ Empiric drug therapy – covering gram negative aerobic, facultative and anaerobic organisms ◦ Adjusted to specific antibiotic when results for Gram’s stain and culture become available
  • 34.
    Parasitic Liver Abscess Hydatid disease ◦ Oral antihelmintics, albendazole, is the mainstay of treatment ◦ For those with anatomically appropriate lesions PAIR: percutaneous aspiration, instillation of absolute alcohol, respiration ◦ If refractory to PAIR: open/laparoscopic cyst removal with instillation of scolicidal agent
  • 35.
    Parasitic Liver Abscess Amebiasis ◦ Metronidazole for at least 1 week ◦ Most patients will respond rapidly with complete defervescence within 3 days. ◦ Aspiration of the abscess is rarely necessary and should be avoided, except in patients in whom secondary infection from pyogenic organisms is suspected.
  • 36.

Editor's Notes

  • #2 In the past, ruptured appendicitis was the most common source. Pylephlebitis (suppurative thrombosis of the portal vein), usually arising from infection in the pelvis but sometimes from infection elsewhere in the peritoneal cavity, is another common source for bacterial seeding of the liver.
  • #3 From biliary tree- ascending cholangitis
  • #4 The right hepatic lobe receives blood from both the superior mesenteric and portal veins, whereas the left hepatic lobe receives inferior mesenteric and splenic drainage. It also contains a denser network of biliary canaliculi and, overall, accounts for more hepatic mass. Studies have suggested that a streaming effect in the portal circulation is causative.
  • #12 Only 50% of patients with liver abscess present w hepatomegaly, jaundice and RUQ tenderness FUO may be the only manifestation of liver abscess
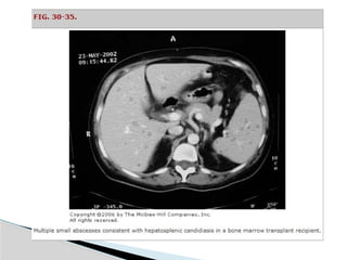
  • #22 In an immunosuppressed patient who has multiple abscesses, hepatosplenic candidiasis should be considered, as well as more conventional pyogenic etiologies (Fig. 30-35).