Thomas, Kara, and the little mermaid Mastertrack Calif.. AGD Sept. 2005 Orthodontic presentation by Treva D. Lee, DDS, FAGD
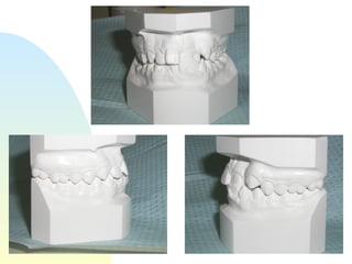
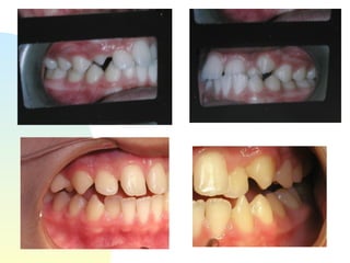
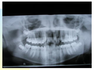
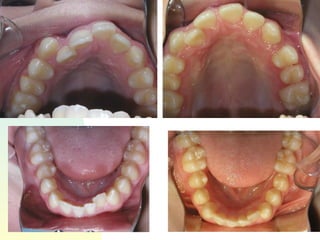
Patient   : J.R, male DOB :7/20/91, start of tx age: 12yr 9mo Ethnicity : American-born Hispanic, English-speaking Health Hx :  WNL, unremarkable Dental Hx :TMJ=WNL, OH=B+, midline=on, molar R&L= Cl 1, OB=40%, OJ= 1mm, dental anterior cross-bite, crowded max & mand anteriors, caries #15-O, #18-O,B, perio=WNL Psychosocial : Parents are separated,  1 younger sister,1 older sister.  Mom had ortho tx --- 4 premolars & 4-3rd molars extracted, “My braces hurt and I don’t want a lot of teeth pulled on my son”. Chief complaint :  “I don’t like the way my teeth stick out in front.”
 
 
31.6 35.7 44.4 42.3 29.6 Schwarz analysis SI=31.6, Max 4-4’s ideal = 39.6   actual 35.7 difference= -3.9 Max 6-6’s ideal= 47.6 actual 44.2 difference= -3.2  total -22.4 Man 4-4’s ideal= 39.6 actual 29.6 difference= -10 Man6-6’s ideal= 47.6 actual 42.3 difference= -5.3
Mirror images
 
 
 
Tracings/Analyses Count the number of asterisks Represents standard deviations from the accepted norm of that particular analysis McNamara, Ricketts, Steiner
 
 
 
 
What does all that gobbledy-gook mean? 1. Where’s the maxilla is in relation to cranium? 2. Where’s mandible in relation to cranium? 3. Where’s mandible in relation to maxilla? 4. What direction is patient likely to grow? 5. Where is upper incisor in relation to maxilla? 6. Where is lower incisor in relation to mandible? 7. What is inter-incisal angle? Helps determine how much the problems are skeletal vs dental discrepancies...
Other factors: airway, level of compliance, facial symmetry
Fan screw, bite blocks, glow-in-the-dark Raiders fan,  turn 1/4 turn every 4 days.
May 3, 2004
June 16, 2004
Diastemas created, rounding of arch form, teeth freed up to move
 
July 27, 2004
If teeth have room, they’ll move!
 
 
 
 
 
Sept.10,2004
May 3, 2004 Sept 10, 2004
Oct. 8, 2004 Uh-oh… Placed occlusal stops of Ketac-cem on #19& #30.  Lingual com- posite placed on #10 as bite ramp for #22.  Pt encouraged to chew sugarless gum. Reduced occlusal stops twice, 2 weeks apart.
Nov. 24, 2004 GAC, alpern style, Broadbent formula, .018 slot, .0175 twist  wire
Nov 30,2004 Both arches with 3strand twist wire
Feb 18,2005 NiTi Thermal Bioforce W/IonGuard  .016X.022 wires in place since Dec 15, 2004 (pt’s house burned down in Jan. 2005)
 
March 30,2005 Slight ARS between lower anteriors segmentally chain mand 4-4’s, 5&6’s
 
Next: check position of max canines - eventually switch to stainless steel wire as finishing wire - up&down elastics prn -reposition brackets prn -will deband “3 months  after  you & I think everything looks great” -retainers until 3rd molars in/out -pt’s thank-you letter to parents -ideally, pt has prophy & fluoride every 4 months -pt compliant and motivated, calls for appts, but has transportation problems between parents and temporary housing . -  pt is growing   -removeable applicance to create space and arch form, observe OH -brackets and wires to only level and align
Tallinn, Estonia

Mastertrack 2005 Ortho

  • 1.
    Thomas, Kara, andthe little mermaid Mastertrack Calif.. AGD Sept. 2005 Orthodontic presentation by Treva D. Lee, DDS, FAGD
  • 2.
    Patient : J.R, male DOB :7/20/91, start of tx age: 12yr 9mo Ethnicity : American-born Hispanic, English-speaking Health Hx : WNL, unremarkable Dental Hx :TMJ=WNL, OH=B+, midline=on, molar R&L= Cl 1, OB=40%, OJ= 1mm, dental anterior cross-bite, crowded max & mand anteriors, caries #15-O, #18-O,B, perio=WNL Psychosocial : Parents are separated, 1 younger sister,1 older sister. Mom had ortho tx --- 4 premolars & 4-3rd molars extracted, “My braces hurt and I don’t want a lot of teeth pulled on my son”. Chief complaint : “I don’t like the way my teeth stick out in front.”
  • 3.
  • 4.
  • 5.
    31.6 35.7 44.442.3 29.6 Schwarz analysis SI=31.6, Max 4-4’s ideal = 39.6 actual 35.7 difference= -3.9 Max 6-6’s ideal= 47.6 actual 44.2 difference= -3.2 total -22.4 Man 4-4’s ideal= 39.6 actual 29.6 difference= -10 Man6-6’s ideal= 47.6 actual 42.3 difference= -5.3
  • 6.
  • 7.
  • 8.
  • 9.
  • 10.
    Tracings/Analyses Count thenumber of asterisks Represents standard deviations from the accepted norm of that particular analysis McNamara, Ricketts, Steiner
  • 11.
  • 12.
  • 13.
  • 14.
  • 15.
    What does allthat gobbledy-gook mean? 1. Where’s the maxilla is in relation to cranium? 2. Where’s mandible in relation to cranium? 3. Where’s mandible in relation to maxilla? 4. What direction is patient likely to grow? 5. Where is upper incisor in relation to maxilla? 6. Where is lower incisor in relation to mandible? 7. What is inter-incisal angle? Helps determine how much the problems are skeletal vs dental discrepancies...
  • 16.
    Other factors: airway,level of compliance, facial symmetry
  • 17.
    Fan screw, biteblocks, glow-in-the-dark Raiders fan, turn 1/4 turn every 4 days.
  • 18.
  • 19.
  • 20.
    Diastemas created, roundingof arch form, teeth freed up to move
  • 21.
  • 22.
  • 23.
    If teeth haveroom, they’ll move!
  • 24.
  • 25.
  • 26.
  • 27.
  • 28.
  • 29.
  • 30.
    May 3, 2004Sept 10, 2004
  • 31.
    Oct. 8, 2004Uh-oh… Placed occlusal stops of Ketac-cem on #19& #30. Lingual com- posite placed on #10 as bite ramp for #22. Pt encouraged to chew sugarless gum. Reduced occlusal stops twice, 2 weeks apart.
  • 32.
    Nov. 24, 2004GAC, alpern style, Broadbent formula, .018 slot, .0175 twist wire
  • 33.
    Nov 30,2004 Botharches with 3strand twist wire
  • 34.
    Feb 18,2005 NiTiThermal Bioforce W/IonGuard .016X.022 wires in place since Dec 15, 2004 (pt’s house burned down in Jan. 2005)
  • 35.
  • 36.
    March 30,2005 SlightARS between lower anteriors segmentally chain mand 4-4’s, 5&6’s
  • 37.
  • 38.
    Next: check positionof max canines - eventually switch to stainless steel wire as finishing wire - up&down elastics prn -reposition brackets prn -will deband “3 months after you & I think everything looks great” -retainers until 3rd molars in/out -pt’s thank-you letter to parents -ideally, pt has prophy & fluoride every 4 months -pt compliant and motivated, calls for appts, but has transportation problems between parents and temporary housing . - pt is growing -removeable applicance to create space and arch form, observe OH -brackets and wires to only level and align
  • 39.