Trauma thoraks dan dada
0 Trauma  world wide
0 5th and 4th most common cause of death in population < 45
years old in US and Europe
0 Chest trauma  mortality rate of 15,5 – 25%
0 Imaging plays an important role
 chest x-ray
 CT scan
Palas J, Matos AP, Mascarenhas V, Heredia V, Ramalho M, Multidetector Computer
Tomography : Evaluation of Blunt Chest Trauma in Adults, September 2014, Portugal
Radiografi vs CT scan thoraks
Radiografi CT scan
Mudah ++ +
Cepat ++ +
Harga + ++
Radiasi + ++
Detail diagnosis + ++
ANATOMI
Trauma thoraks
0 Dinding dada
0 Pleura
0 Paru
0 Mediastinum
0 Jantung
Dinding dada
0 Fraktur tulang-tulang dinding dada  costae, sternum,
clavicula, scapula, vertebra thorakal
0 Soft tissue swelling
0 Emfisema subkutis
Fraktur costae
0 Most common skeletal injury (± 50%)
0 Simple ribs fracture rare life threatening
0 Multiple  more severe injury  ↑ morbidity & mortality
0 Location of fracture
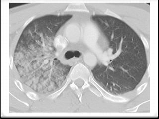
0 X-ray and CT
 x-ray : limited sensitivity, helpful >>  Oblique >> AP/PA
 CT scan : most sensitivity
2009
Pleura
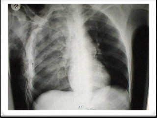
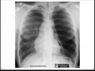
0 Pneumothoraks
0 Hematothoraks
Pneumothoraks
0 Udara pada rongga pleura
0 15%–40% ditemukan pada trauma thoraks
0 Ruptur alveoli karena ada tekanan meninggi secara tiba-tiba
pada intrathorakal akibat trauma dengan atau tanpa fraktur
costae
0 Radigrafi polos >>
0 ± 10% tidak dapat dievaluasi dengan radiografi polos  CT scan
pneumothoraks
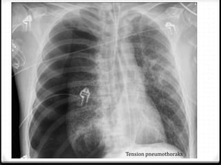
Tension pneumothoraks
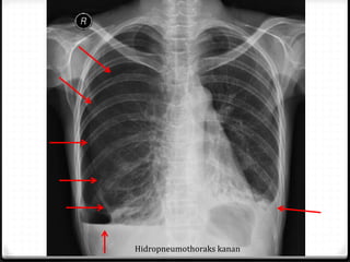
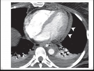
Hidropneumothoraks kanan
Paru
0 Kontusio paru
0 Cedera paling sering pada parenkim paru bila terjadi trauma
thoraks dengan prevalensi 17%–70%
0 Kontusio  cedera alveoli tanpa disrupsi
0 Muncul ketika terjadi trauma dan berada di lokasi trauma,
countercoup masih mungkin terjadi
0 Radiografi polos bisa mendiagnosis namun CT scan memiliki
sensitivitas lebih tinggi.
0 Radiografi  sekitar 6 jam
0 CT scan segera setelah trauma
0 Resolusi kontusio terjadi dalam waktu 1-2 hari dan hilang
sempurna dalam waktu 3-10 hari
0 Bila muncul area fokal lebih dari 24 jam  bukan kontusio
Mediastinum dan Jantung
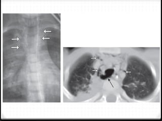
0 Pneumomediastinum
0 Pneumocardium
0 Hemopericardium
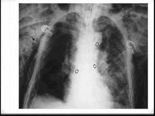
Pneumomediastinum
0 Cedera pada jalan nafas
0 Tingkat kematian tinggi
0 Jarang, 0.2%–8% dari seluruh kasus trauma thoraks
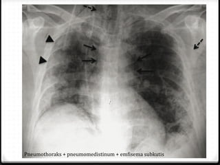
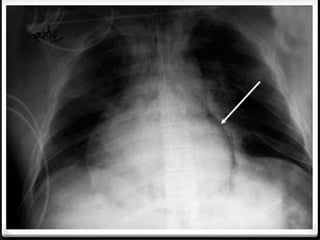
Pneumothoraks + pneumomedistinum + emfisema subkutis
hidropneumo
pericardium
7.-diagnostik-trauma-tttthoraks-dada.pdf
7.-diagnostik-trauma-tttthoraks-dada.pdf

7.-diagnostik-trauma-tttthoraks-dada.pdf

  • 2.
    Trauma thoraks dandada 0 Trauma  world wide 0 5th and 4th most common cause of death in population < 45 years old in US and Europe 0 Chest trauma  mortality rate of 15,5 – 25% 0 Imaging plays an important role  chest x-ray  CT scan Palas J, Matos AP, Mascarenhas V, Heredia V, Ramalho M, Multidetector Computer Tomography : Evaluation of Blunt Chest Trauma in Adults, September 2014, Portugal
  • 3.
    Radiografi vs CTscan thoraks Radiografi CT scan Mudah ++ + Cepat ++ + Harga + ++ Radiasi + ++ Detail diagnosis + ++
  • 4.
  • 5.
    Trauma thoraks 0 Dindingdada 0 Pleura 0 Paru 0 Mediastinum 0 Jantung
  • 6.
    Dinding dada 0 Frakturtulang-tulang dinding dada  costae, sternum, clavicula, scapula, vertebra thorakal 0 Soft tissue swelling 0 Emfisema subkutis
  • 7.
    Fraktur costae 0 Mostcommon skeletal injury (± 50%) 0 Simple ribs fracture rare life threatening 0 Multiple  more severe injury  ↑ morbidity & mortality 0 Location of fracture 0 X-ray and CT  x-ray : limited sensitivity, helpful >>  Oblique >> AP/PA  CT scan : most sensitivity
  • 8.
  • 13.
  • 14.
    Pneumothoraks 0 Udara padarongga pleura 0 15%–40% ditemukan pada trauma thoraks 0 Ruptur alveoli karena ada tekanan meninggi secara tiba-tiba pada intrathorakal akibat trauma dengan atau tanpa fraktur costae 0 Radigrafi polos >> 0 ± 10% tidak dapat dievaluasi dengan radiografi polos  CT scan
  • 15.
  • 16.
  • 17.
  • 18.
  • 19.
    0 Cedera palingsering pada parenkim paru bila terjadi trauma thoraks dengan prevalensi 17%–70% 0 Kontusio  cedera alveoli tanpa disrupsi 0 Muncul ketika terjadi trauma dan berada di lokasi trauma, countercoup masih mungkin terjadi 0 Radiografi polos bisa mendiagnosis namun CT scan memiliki sensitivitas lebih tinggi. 0 Radiografi  sekitar 6 jam 0 CT scan segera setelah trauma 0 Resolusi kontusio terjadi dalam waktu 1-2 hari dan hilang sempurna dalam waktu 3-10 hari 0 Bila muncul area fokal lebih dari 24 jam  bukan kontusio
  • 23.
    Mediastinum dan Jantung 0Pneumomediastinum 0 Pneumocardium 0 Hemopericardium
  • 24.
    Pneumomediastinum 0 Cedera padajalan nafas 0 Tingkat kematian tinggi 0 Jarang, 0.2%–8% dari seluruh kasus trauma thoraks
  • 26.
  • 30.