Σ Υ Ν Τ Ο Μ Ο Β Ι Ο Γ Ρ Α Φ Ι Κ Ο Σ Η Μ Ε Ι Ω Μ Α
Ονοματεπώνυμο: ΜΟΥΣΤΑΚΑΣ ΙΩΑΝΝΗΣ
e-mail: moustakasioannis8@gmail.com
Ο Ιωάννης Μουστάκας σπούδασε στην Ιατρική Σχολή του Αριστοτέλειου Πανεπιστημίου
Θεσσαλονίκης. Απέκτησε ειδικότητα πνευμονολογίας την περίοδο 1973 – 1976 στην Πανεπιστημιακή
Κλινική του Α.Π.Θ.
Το 1976 εγκαταστάθηκε στην Κομοτηνή και με διορισμό στο Νοσοκομείο Αλεξανδρούπολης (1976 –
1981) αντιμετώπισε όλα τα περιστατικά της ειδικότητας του σε δύο νομούς: Ροδόπης και Έβρου.
Διατέλεσε Διευθυντής του αντιφυματικού ιατρείου του Σισμανόγλειου Γενικού Νοσοκομείου
Κομοτηνής από τον Οκτώβριο του 1981 ως και τον Ιούνιο του 2000, οπότε και συνταξιοδοτήθηκε.
ΕΡΕΥΝΗΤΙΚΟ – ΣΥΓΓΡΑΦΙΚΟ ΕΡΓΟ:
Την τελευταία 25ετία, σε συνεργασία με τον ομότιμο καθηγητή πνευμονολογίας του Α.Π.Θ, Χ.
Βάμβαλη επεξεργάστηκε τα δεδομένα όλων των περιστατικών, που αφορούσαν τη φυματίωση στην περιοχή,
συνεργασία που κατέληξε στην από κοινού συγγραφή του επιστημονικού έργου: «Κυνηγώντας τη
φυματίωση», που αποτελεί μια εκτενή περιήγηση, παρουσίαση και ανάλυση της νόσου. Το σύγγραμμα αυτό
είναι μοναδικό στο είδος του, τόσο σε πανελλαδικό, όσο και σε παγκόσμιο επίπεδο. Αποτελεί σύνθεση 12
παραμέτρων της φυματίωσης, εξετάζοντας 1.388 περιστατικά και αφορά χρονική περίοδο 25 ετών, τη
στιγμή που αντίστοιχα ερευνητικά προγράμματα, που υλοποιούνται παγκοσμίως από ιατρούς του
πολιτισμένου κόσμου σε υπανάπτυκτες χώρες με αντικείμενο τη φυματίωση, επικεντρώνονται ως επί το
πλείστον σε 1 μόνο παράμετρο με χρονικό ορίζοντα τα 2,5 χρόνια. Το «Κυνηγώντας τη φυματίωση»
παρουσιάστηκε με ιδιαιτέρως θετικά σχόλια στα επιστημονικά περιοδικά «Πνευμονολόγος» και «Ελληνική
Ιατρική» το 1996 και διανεμήθηκε δωρεάν σε 5.000 αντίτυπα πανελλαδικά σε πνευμονολόγους, παιδιάτρους
και παθολόγους. Τον Ιούνιο του 2004, κατόπιν επίσκεψης με διπλωματική αποστολή στο Αζερμπαϊτζάν ως
σύμβουλος τεχνογνωσίας σε θέματα φυματίωσης, ζητήθηκε η μετάφρασή του στη ρωσική γλώσσα και
διανεμήθηκε σε πνευμονολόγους της χώρας, σε συνεργασία με την Πρεσβεία της Ελλάδας στο
Αζερμπαϊτζάν, στα πλαίσια συνεδρίου.
Το 2005 εκδόθηκε ο Άτλαντας ακτινογραφιών με τίτλο: «Μια περιήγηση στην κλασσική
ακτινογραφία του Θώρακα» σε 1.000 αντίτυπα με συγγραφείς τους Ι. Μουστάκα και Χ. Βάμβαλη, ομότιμο
καθηγητή πνευμονολογίας του Α.Π.Θ και διανεμήθηκε σχεδόν πανελλαδικά.
ΣΥΜΜΕΤΟΧΗ ΣΕ ΙΑΤΡΙΚΑ ΣΥΝΕΔΡΙΑ – ΑΝΑΚΟΙΝΩΣΕΙΣ:
 1982: Διοργάνωση πανελλήνιας επιστημονικής εκδήλωσης για τη φυματίωση στην Κομοτηνή, στην
οποία πραγματοποιήθηκε εισήγηση με θέμα: «Η νοσηλεία του ασθενούς στο σπίτι».
 1989: Ανακοίνωση 2 πρωτοποριακών εργασιών στο 5ο
Πανελλήνιο Συνέδριο Νοσημάτων Θώρακος
στη Θεσσαλονίκη.
 1990: Συμμετοχή και συνοπτική ανακοίνωση των θέσεών μας στην επιστημονική εκδήλωση στην
Αθήνα με αντικείμενο τις θέσεις ομοφωνίας για τη φυματίωση στη χώρα μας, στην οποία συμμετείχαν
13 φορείς με 25 εκπροσώπους από όλη την Ελλάδα.
 1991: Εκπόνηση, κατόπιν ανάληψης έργου σχετικού διαγωνισμού από το Υπουργείο Υγείας και
Κοινωνικών Ασφαλίσεων, πιλοτικού προγράμματος με επιστημονικό πεδίο τη διαμόλυνση από τη
φυματίωση στον γενικό πληθυσμό του νομού Ροδόπης, διετούς διάρκειας (1992-1993).
 1992: Διοργάνωση πανελλήνιας ημερίδας στην Κομοτηνή με θέμα τη «φυματίωση».
 1993: Παρουσίαση 5 εργασιών στο 7ο Πανελλήνιο Συνέδριο Νοσημάτων Θώρακος στη
Θεσσαλονίκη, οι οποίες συμπεριλήφθηκαν στο πρωτότυπο επιστημονικό σύγγραμμα «Κυνηγώντας τη
φυματίωση».
 1994: 24th
World Conference of IUATLD / UICTMR, Mainz, Germany: Ανακοίνωση συμπερασμάτων
της έρευνάς μας.
 1994: Συμμετοχή στην επιστημονική εκδήλωση για τη φυματίωση στην Αθήνα με θέμα: «Παρελθόν–
Παρόν–Μέλλον».
 1994: Συμμετοχή σε συζήτηση στρογγυλής τραπέζης με θέμα τη φυματίωση στα πλαίσια του 9ου
Βορειοελλαδικού Συνεδρίου, που πραγματοποιήθηκε σε Αμφιθέατρο της Φιλοσοφικής Σχολής του
Α.Π.Θ.
 1998: Διοργάνωση στην Κομοτηνή επιστημονικού συμποσίου για τη φυματίωση, με τη συμμετοχή
των Προέδρων των Ιατρικών Εταιρειών Ελλάδος (Πνευμονολόγων).
 1999: Εισήγηση με θέμα: «Καινοτόμες Θέσεις και Μελλοντική Προοπτική της Φυματίωσης», κατόπιν
πρόσκλησης του Ιατρικού Συλλόγου Λεμεσού συμμετοχής στο 20ο
Διήμερο Ιατρικό Συνέδριο, στο
οποίο έλαβαν μέρος 14 καθηγητές Ιατρικής από όλα σχεδόν τα πανεπιστήμια της Ελλάδας.
 2000: Συμμετοχή στην επιτροπή μελέτης των προβλημάτων της πνευμονολογίας (μετά από
πρόσκληση του Προέδρου του ΚΕΣΥ κου Χ. Γολεμάτη), η οποία κατόπιν τεσσάρων συνεδριάσεων,
υπέβαλε τις προτάσεις της στο Υπουργείο Υγείας και Κοινωνικών Ασφαλίσεων.
 2004: Δημοσίευση ανακοίνωσης στο έγκυρο επιστημονικό περιοδικό «Eur Radiol» με τίτλο:
«Scattered micro nodular high density lung opacities due to mercury embolism» (Μικροοζιδιακές
διάχυτες πνευμονικές σκιάσεις μεταλλικής πυκνότητας, λόγω εμβολής από μεταλλικό υδράργυρο), σσ.
14:2146 – 2147.
 2005: Εκπόνηση προγράμματος-πιλότου για τη φυματίωση σε εθνικό επίπεδο από την Α ΔΥΠΕ
Κεντρικής Μακεδονίας, το οποίο υποβλήθηκε στο Υπουργείο Υγείας και Κοινωνικής Αλληλεγγύης
προς έγκριση και υλοποίηση.
 2008: Δημοσίευση ολοσέλιδου αφιερώματος με τίτλο: «Η Αλήθεια για τη Φυματίωση» στην
Εφημερίδα «ΕΛΕΥΘΕΡΟΤΥΠΙΑ» (τεύχος 24/3/2008), με αφορμή την παγκόσμια ημέρα κατά της
φυματίωσης.
Ευχαριςτίεσ
Θα ήθελα να ευχαριςτήςω θερμά τον Καθηγητή Ακτινολογίασ κφριο Πραςόπουλο Παναγιώτη του
Δημοκρίτειου Πανεπιςτημίου Θράκησ για το ακαδημαϊκό του ενδιαφζρον, καθώσ και τον κφριο
Σουφτά Βαςίλειο, Επίκουρο Καθηγητή Ακτινολογίασ του Δ.Π.Θ. για την αμζριςτη ςυμπαράςταςη
και υποςτήριξη.
ΠΕΡΙΕΧΟΜΕΝΑ
Πρόλογος 7
ΚΕΦΑΛΑΙΟ Ι: ΙΣΤΟΡΙΚΟ- ΕΠΙΔΗΜΙΟΛΟΓΙΚΑ ΣΤΟΙΧΕΙΑ
1. Μελέτη 7
2. Ευρήματα- παρατηρήσεις από την έρευνα 8
3. Συμπεράσματα 13
4. Προτεινόμενα μέτρα 14
5. Πίνακες 15
ΚΕΦΑΛΑΙΟ ΙΙ: Η ΦΥΜΑΤΙΩΣΗ ΣΤΗΝ ΑΚΤΙΝΟΓΡΑΦΙΑ ΘΩΡΑΚΑ
1. Γενικές Παρατηρήσεις 28
2. Φυματίωση 30
- Πρωτοπαθής εστία εν ενεργεία 33
- Πρωτοπαθές σύμπλεγμα εν ενεργεία 46
- Πυλαία αδενίτις 53
- Υγρά πλευρίτις 83
- Πνευμονική φυματίωση 92
- Περιπτώσεις με επασβαστιωμένη πρωτοπαθή εστία και πρωτοπαθή συμπλέγματα 109
- Οξεία κεχροειδής 117
- Χρονία κεχροειδής 119
- Υγρά πλευρίτιδα 121
- Περικαρδίτιδα 127
- Φυματιώδης περιτονίτιδα 129
- Μεταπρωτοπαθείς εστίες Simon 132
- Φυματιώδης σπονδυλίτιδα 134
Χρόνια Πνευμονική Φυματίωση
- Πρώιμο διήθημα 136
- Φυμάτωμα 140
- Επασβεστιωμένο φυμάτωμα 141
- Με εντόπιση στο δεξιό άνω λοβό (λοβίτιδες) 165
- Με εντόπιση στον κορυφαίο του κάτω λοβού 182
- 5 περιπτώσεις με βρογχική διασπορά και επασβεστίωση στη συνέχεια 207
- Φυματίωση με πνευμονικό απόστημα 317
- Με πολύ εκτεταμένες φυματικές αλλοιώσεις 323
- Περιπτώσεις με υποτροπή 334
3. Παθήσεις με εμπλοκή του υπεζωκότα 355
Υγρές Πλευρίτιδες 359
- Μεσολόβιος συλλογή 430
- Εωσινόφιλο διήθημα 431
- Σύνδρομο Tresler 432
- Εγκυστωμένος πνευμοθώρακας 433
ΚΕΦΑΛΑΙΟ ΙΙΙ: ΕΝΔΙΑΦΕΡΟΥΣΕΣ ΑΠΕΙΚΟΝΙΣΕΙΣ ΤΗΣ ΧΡΟΝΙΑΣ ΠΝΕΥΜΟΝΙΚΗΣ ΦΥΜΑΤΙΩΣΗΣ
1. Ασυμπτωματικές περιπτώσεις φυματίωσης που διαπιστώθηκαν σε επαγγελματικό έλεγχο 436
2. Δυσδιάγνωστη φυματίωση 455
3. Διάγνωση πνευμονικής φυματίωσης με καθυστέρηση 477
4. Αυτοϊαση 502
5. Βαριές περιπτώσεις 508
6. Κατεστραμμένος πνεύμονας 532
7. Εμπυήματα 533
8. Ασβεστοποιός παχυπλευρίτις 538
9. Θωρακοπλαστική 542
10. Άτυπες εκδηλώσεις της φυματίωσης 544
11. Περίπτωση ασθενούς με εξ αποστάσεως αντιφυματική θεραπεία 571
12. Περίπωση επαφής 574
13. Ασπεργιλλώματα 577
14. Ο πνευμονικός καρκίνος ως επιπλοκή της φυματίωσης 582
Επίλογος 587
ΠΡΟΛΟΓΟΣ
Η εργασία αυτή, για να ολοκληρωθεί, χρειάστηκαν 25 χρόνια. Παρόμοιο εγχείρημα δεν πρόκειται
να γίνει στο μέλλον, ούτε σε πανελλήνιο, ούτε σε παγκόσμιο επίπεδο. Είναι η πλέον αξιόπιστη
καταγραφή πανελλαδικά, διότι η περιοχή βρίσκεται μακριά από τα μεγάλα αστικά κέντρα και ο πάσχων
πληθυσμός είχε πολύ χαμηλό βιοτικό επίπεδο. Εάν θέλαμε να επαναλάβουμε την ίδια προσπάθεια, θα
απαιτούνταν περίπου 50 χρόνια (δεδομένου ότι στην αρχή της έρευνας η νοσηρότητα κυμαίνονταν σε
1,5 ασθενή ανά 1.000 κατοίκους, ενώ σήμερα σε 0,1‰), προκειμένου να συγκεντρωθεί αντίστοιχο
υλικό, πράγμα αδύνατον.
Οι έρευνες που υλοποιούνται με αντικείμενο τη φυματίωση λαμβάνουν χώρα από ομάδες ιατρών
του πολιτισμένου κόσμου αποκλειστικά πλέον σε περιοχές του τρίτου κόσμου και επικεντρώνονται ως
επί το πλείστον σε 1 μόνο παράμετρο, με χρονικό ορίζοντα τα 2,5 χρόνια.
Γίνεται λοιπόν κατανοητό ότι σε παγκόσμια κλίμακα η αποτύπωση των στοιχείων που
συμπεριλήφθηκαν στο παρόν επιστημονικό σύγγραμμα είναι μοναδική στο είδος της, καθώς αποτελεί
σύνθεση 12 παραμέτρων και αφορά χρονική περίοδο 25 χρόνων!
Το κείμενο που ακολουθεί αποτελεί περίληψη του επιστημονικού έργου «Κυνηγώντας τη
Φυματίωση» και συμπεριλαμβάνει στατιστικά στοιχεία μέχρι και το 1999. Στόχος του είναι η διάσωση -
μέσω της μετάδοσης - της μακρόχρονης εμπειρίας στον τομέα της φυματίωσης στον ελλαδικό χώρο.
Το έργο αυτό δεν θα έβλεπε το φως της δημοσιότητας χωρίς την αμέριστη συμπαράσταση του
καθηγητή και δασκάλου μου Χρήστου Βάμβαλη. Από το 1989 έως το 1996 διέθεσε πάνω από 1.500
ώρες συνεργασίας, ώστε να αποτυπωθούν τμηματικά και να δημοσιοποιηθούν υπό μορφή εισηγήσεων
σε πανελλήνια ιατρικά συνέδρια τα δεδομένα της έρευνας και στη συνέχεια να αποτελέσουν ένα
συμπαγές ερευνητικό έργο, το οποίο συμπυκνώνει την επιστημονική διερεύνηση με την πολυετή
εμπειρία στον τομέα της φυματίωσης. Η κριτική του σκέψη, η αξιόλογη πείρα του, η συγγραφική του
δύναμη συνέβαλαν καθοριστικά στην επιτυχία της προσπάθειας.
ΚΕΦΑΛΑΙΟ Ι
ΙΣΤΟΡΙΚΟ – ΕΠΙΔΗΜΙΟΛΟΓΙΚΑ ΣΤΟΙΧΕΙΑ
1. Μελέτη της Φυματίωσης με στοιχεία από τα τελευταία 25 χρόνια (1976-2000)
στον Νομό Ροδόπης
Από τους:
Χρήστο Βάμβαλη, ομότιμο καθηγητή Πνευμονολογίας του Αριστοτέλειου Πανεπιστημίου Θεσσαλονίκης
και
Ιωάννη Μουστάκα, Πνευμονολόγο – τ. Διευθυντή του Αντιφυματικού Ιατρείου του Γενικού
Νοσοκομείου Κομοτηνής.
Η μελέτη αυτή που παρουσιάζεται όσο το δυνατόν πιο περιληπτικά, μπορεί να χαρακτηρισθεί
«έργο ζωής» των συγγραφέων. Έχει εκπονηθεί εξ ολοκλήρου στον Νομό Ροδόπης, που για
διάφορες ιδιαιτερότητες αποτελεί - αποτελούσε θα λέμε σύντομα - το τελευταίο οχυρό της
φυματίωσης στην Ευρώπη, με εξαιρέσεις τις χώρες του τέως Ανατολικού μπλοκ, που όταν
πραγματοποιήθηκε το έργο, ήταν μάλλον άγνωστες. Η ιδιαιτερότητα του Νομού οφείλεται: 1) στο
χαμηλό βιοτικό επίπεδο, καθώς ένα μεγάλο μέρος του πληθυσμού ήταν μικροκαλλιεργητές με
παραδοσιακές καλλιέργειες και 2) στη σύνθεση του πληθυσμού από θρησκευτικής απόψεως.
Υπάρχουν ισάριθμες περίπου κοινότητες Χριστιανών και Μουσουλμάνων1
, στους οποίους στην αρχή
της μελέτης υπήρχε ένας υψηλός επιπολασμός της φυματίωσης.
Στην όποια πληρότητα της μελέτης συντέλεσαν οι συγκυρίες:
1. Η ύπαρξη της φυματίωσης (του «υλικού») και η δυνατότητα σύγκρισης μεταξύ δύο
διαφορετικών ομάδων πληθυσμού.
2. Η συνεχής παρουσία του ίδιου υπεύθυνου ιατρού (Ιωάννη Μουστάκα) για πολλά χρόνια στον
1
Ο πληθυσμός του Νομού ανέρχεται σε 103.000 (απογραφή 1991). Τα τελευταία χρόνια
«πρέπει» να έχουν προστεθεί περίπου 5.000 πρόσφυγες από τις Ανατολικές χώρες,
χαρακτηριζόμενοι παλιννοστούντες.
ίδιο Νομό.
3. Το γεγονός ότι στον Νομό: α) δεν υπήρχε άλλος ειδικός γιατρός και β) ο Νομός είναι αρκετά μακριά
από μεγαλύτερο ειδικό κέντρο.
4. Ο ένας από τους συγγραφείς (καθηγητής Χρήστος Βάμβαλης) είχε από άκρως ευαίσθητες θέσεις μια
πολύ μακρά, στενή σχέση με τη φυματίωση (από το 1960).
Δηλαδή συνοπτικά, στη μελέτη σύγκλιναν: α) η ύπαρξη περιπτώσεων φυματίωσης, β) η
υψηλή πείρα σχετικά με τη νόσο και γ) οι από κοινωνικοοικονομικής πλευράς ιδιαιτερότητες
του Νομού.
Η έρευνα άρχισε πρακτικά το 1976, τα πρώτα όμως συγκεντρωτικά αποτελέσματα προέκυψαν το
1978. Ως προς ορισμένες παραμέτρους (π.χ. νοσηρότητα) η παρακολούθηση συνεχίζεται. Άλλες
παράμετροι (π.χ. διαμόλυνση, νοσολογικά στοιχεία) έχουν παύσει να λαμβάνονται υπόψιν, λόγω
ελλείψεως πια επαρκών λόγων: μελετώνται κατά περίπτωση. Τα ευρήματα από τις έρευνες αυτές στην
πλειοψηφία τους έχουν ανακοινωθεί σε εκτεταμένη μορφή σε συνέδρια2
. Το 1996 παρουσιάστηκαν σε
ευρείες περιλήψεις σε αυτοτελές τεύχος3
***, με κάποια εισαγωγικά (από τον Χρήστο Βάμβαλη)
στοιχεία από την ιστορία της φυματίωσης και, κυριότερα, την τόσο ενδιαφέρουσα και μη
διευκρινισμένη ακόμη απολύτως σχέση του μυκοβακτηριδίου με τον ξενιστή (στην προκειμένη
περίπτωση τον άνθρωπο και όχι τα πειραματόζωα).
2. Ευρήματα - παρατηρήσεις από την έρευνα
Η Νοσηρότητα: πέφτει σημαντικά. Από 150 νέες περιπτώσεις το 1978 σε 43 το 1992 και σε 30 το
1999. Η νοσηρότητα μετακινείται προς τις μεγαλύτερες ηλικίες, για παθογενετικούς λόγους: δηλαδή οι
νέες νοσήσεις προέρχονται από αναζωπυρώσεις παλαιών μεταπρωτοπαθών εστιών, από την αιματική
διασπορά του μυκοβακτηριδίου κατά την πρωτομόλυνση και όχι από νέες μολύνσεις. Η νοσηρότητα
της νόσου στην αρχή της έρευνας ήταν 1,5 ασθενής ανά 1.000 κατοίκους. Το 1999 το ποσοστό αυτό
άγγιζε το 0,2 αρρώστους ανά 1.000 κατοίκους. Το 2010 το ποσοστό ανέρχεται σε 0,1 ‰.
Η κοινωνική διάσταση φαίνεται από την κατανομή της νοσηρότητας στις διάφορες ομάδες του
πληθυσμού. Από τους 1.368 ασθενείς (έτη 1978-1999) οι 435 ήταν Χριστιανοί και οι 933
Μουσουλμάνοι, σχέση 1:2,14. Ως προς τους άρρενες η σχέση είναι 1 Χριστιανός: 1,84 Μουσουλμάνοι.
Ως προς τις θήλεις 1 Χριστιανή: 2,70 Μουσουλμάνες. Η επί τοις εκατό αναλογία κατά φύλο
διαμορφώνεται σε 69% άρρενες έναντι 31% θηλέων προκειμένου για τους Χριστιανούς και 59%
έναντι 41% για τους Μουσουλμάνους. Η νοσηρότητα διαχρονικά πέφτει για όλες τις ομάδες με πλέον
θεαματική την πτώση στις Μουσουλμάνες (από 43 περιπτώσεις το 1978 παρουσιάσθηκαν μόνο 7 το
1990). Σημείωση: Πρόσφατη εκτίμηση για το 1998: με βάση 1 για τους Χριστιανούς παρατηρείται
χονδρικά 3 για τους Μουσουλμάνους και 10 για τους παλιννοστούντες.
Για την εξήγηση του «φαινομένου» ελέγχθηκαν διάφορες παράμετροι:
1. Κατά κεφαλήν εισόδημα. Χωρίς να υπάρχει μεγάλη διαφορά, εντούτοις οι Μουσουλμάνοι κάνουν
πιο βαριές δουλειές για να αποκτήσουν το εισόδημα. 2. Συνθήκες κατοικίας. Οι Μουσουλμάνοι ζουν σε
στενότερους χώρους, με στενό συγχρωτισμό. 3. Διατροφή. Για λόγους θρησκευτικούς: α) ακολουθούν
μακρές νηστείες και β) στερούνται του χοιρινού κρέατος, φθηνής πηγής πρωτεϊνών και θερμίδων. 4.
Εργασία της γυναίκας. Στην αρχή της έρευνας οι Μουσουλμάνες απασχολούνταν με ιδιαίτερα βαριές
εργασίες. 5. Παιδεία. Διαφαίνεται σαφώς ότι μορφωτικό επίπεδο και φυματίωση είναι ποσά
αντιστρόφως ανάλογα (η σχέση αυτή έχει επιβεβαιωθεί από διάφορες παραμέτρους της έρευνας). 6. Η
μεγάλη καθυστέρηση στη διάγνωση της νόσου στον άρρωστο. (Αυτή κυμαίνεται κατ’
ελάχιστον από 6 μήνες και άνω για τον Νομό Ροδόπης – γεωγραφική περιοχή έρευνας). Η
θεαματική πτώση της νοσηρότητας προκειμένου για τις Μουσουλμάνες θα αποδοθεί στην είσοδο της
τεχνολογίας και του πολιτισμού, που διαχέεται και στις «χαμηλότερες» κοινωνικές τάξεις.
Ο Φυματινικός δείκτης (δείκτης διαμόλυνσης, Φ.Δ.). Ως Φ.Δ. έχει επικρατήσει διεθνώς να
θεωρείται το ποσοστό επί τοις εκατό των αντιδρώντων θετικά στη φυματίνη (test Mantoux) ατόμων,
ηλικίας 11-12 ετών. Η εξέταση αυτή ήταν μάλλον υποχρεωτική στην Ελλάδα, προκειμένου να
2
Η ανωτέρω μελέτη ανακοινώθηκε στο 20ο
συνέδριο της Κύπρου που έγινε στις 22-
24/10/1999 στη Λεμεσό.
3
Μουστάκας, Ι. & Βάμβαλης, Χ. (1996), Κυνηγώντας τη φυματίωση.
πραγματοποιηθεί υποχρεωτικά ο αντιφυματικός εμβολιασμός στη συγκεκριμένη ηλικία. Από τη
μεταφορά του εμβολιασμού στην ηλικία των 6-7 ετών η παράμετρος αυτή θα όφειλε να έχει ξεχασθεί.
Η Φυματινοοντίδραση, πέρα από τη γραφειοκρατική εφαρμογή στην ηλικία 11-12 ετών,
μελετήθηκε και στις ομάδες των μαθητών Γυμνασίου και Λυκείου. Τα ευρήματα, αρκετά ενδιαφέροντα,
έχουν σχολιασθεί σε επί μέρους μελέτη. Στην εργασία αυτή, θα αναφερθούν μόνον τα «κλασσικά»
ευρήματα από τον Φ.Δ., που ήταν ιδιαίτερα αποκαλυπτικά:
α. Η διαμόλυνση στους μαθητές της πρωτοβάθμιας εκπαίδευσης στα πλαίσια της διενέργειας
επιδημιολογικού ελέγχου βρέθηκε θετική στο 20% ως συνέπεια επαφών (ενδοοικογενειακή μόλυνση).
β. Η διαμόλυνση στο περιβάλλον των ασθενών (ενώ αυτή αγγίζει το 100%) δεν έχει εκτιμηθεί
επακριβώς με προγραμματισμένη μελέτη, εκτιμάται όμως από το ποσοστό νοσήσεων ως συνέπεια
επαφών, που στην προσχολική ηλικία ανέρχεται σε 76%, στη πρωτοβάθμια εκπαίδευση σε 43% και
στη δευτεροβάθμια σε 28%, ενώ μεταξύ συζύγων σε μόλις 2%. Επομένως η εφαρμογή του εμβολίου
B.C.G. στα άτομα του οικογενειακού περιβάλλοντος (ομάδα υψηλού κινδύνου) είναι άσκοπη, έως
επικίνδυνη.
γ. Η διαπίστωση των προσφάτως θετικοποιηθέντων ατόμων στη Mantoux ανευρίσκεται ύστερα από
αλλεπάλληλους ελέγχους με Mantoux των ιδίων ατόμων σε αμελητέο ποσοστό, που δεν ξεπερνά το
1‰.
Μεθοδολογία. Οι μαθητές της πρωτοβάθμιας εκπαίδευσης (ηλικία 11-12 ετών) χωρίσθηκαν σε 4
ομάδες, ανάλογα με το θρήσκευμα και τον τόπο διαμονής. Δηλαδή Χριστιανοί, πόλης και χωριών και
Μουσουλμάνοι, πόλης και χωριών. Εκείνο που εντυπωσιάζει με την πρώτη ματιά είναι ο υψηλός Φ.Δ.
προκειμένου για τους Μουσουλμάνους, στην αρχή της μελέτης (1978-1979-1980). Ο Φ.Δ. έβαινε
συνεχώς μειούμενος και κατά το 1989 είχε φθάσει σε ικανοποιητικό, διεθνώς, επίπεδο, για όλες τις
ομάδες. Κάποιες εξάρσεις αποδίδονται σε «μικροεπιδημίες», που προκλήθηκαν από κάποια πηγή, η
οποία - για κάποιους λόγους - δεν ελέγχθηκε.
Συμπεράσματα: Η πορεία του Φ.Δ. επιτρέπει μια αισιόδοξη προοπτική για το μέλλον της
φυματίωσης στον Νομό Ροδόπης. Η πορεία αυτή θα πρέπει να αποδοθεί αφενός στη βελτίωση των
συνθηκών διαβίωσης και αφετέρου στην αντιμετώπιση των νοσούντων, άρα στην εξουδετέρωση των
πηγών μολύνσεων. Μετά το 1989 δεν συνεχίσθηκε η συστηματική μελέτη καθώς δεν αναμένεται κάτι
το θεαματικό πια. Οι καμπύλες ακολουθούν τον δρόμο τους! Στις παρατιθέμενες εικόνες
παρουσιάζονται διαχρονικά οι καμπύλες.
Ο Αντιφυματικός εμβολιασμός (B.C.G., από το Bacillus Calmette-Guerin):
Ο αντιφυματικός εμβολιασμός με το B.C.G. εμφανίστηκε ως ένα από τα μεγαλύτερα επιτεύγματα
του αιώνα μας. Το 1921 και μπροστά στο δέος, που προκαλούσε τότε η φυματίωση (επάρατος νόσος
εκείνης της εποχής) εφαρμόστηκε σχεδόν με θρησκευτική ευλάβεια. Θα ήταν, ίσως, το μοναδικό μέσο
για την αντιμετώπιση της φυματίωσης (ενεργητική ανοσοποίηση). Ωστόσο, από το 1980, τόσο ο
Styblo (Διευθυντής του Διεθνούς Κέντρου Ελέγχου της Φυματίωσης, Πρόεδρος των επιστημονικών
επιτροπών της Διεθνούς Ένωσης κατά της Φυματίωσης), καθώς και άλλα επίσημα βήματα (π.χ. το
περιοδικό Lancet, 1980) άρχισαν να υπαινίσσονται σαφώς τη μη χρησιμότητα του B.C.G. για τις
ανεπτυγμένες χώρες. Το 1995 στο περιοδικό Lancet αναφέρεται: όσο υψηλότερη είναι η επίπτωση της
φυματίωσης σε έναν πληθυσμό, τόσο μικρότερη είναι η προστασία που παρέχεται από το εμβόλιο.
Όπως χαρακτηριστικά λέγεται, το αντιφυματικό εμβόλιο είναι περισσότερο αποτελεσματικό σε
πληθυσμούς, οι οποίοι δεν χρειάζονται την προστασία του4
. Αντίστοιχα ο αντιφυματικός εμβολιασμός:
α. θα ήταν απόλυτα δικαιολογημένος εάν υπήρχε στην Ελλάδα μεγάλη επίπτωση φυματίωσης ή η
φυματίωση ήταν ανίατη νόσος (όπως η λύσσα).
β. θα είχε κάποια χρηστικότητα εάν εφαρμοζόταν με τη γέννηση, δεδομένου ότι όσο πιο μικρή
είναι η ηλικία, τόσο πιο ευπρόσβλητο είναι το άτομο και οι νοσήσεις ιδιαίτερα βαριές.
γ. θα είχε ενδιαφέρον, εάν ο εμβολιασμός παρείχε πλήρη προστασία ή προκαλούσε μόνιμη ανοσία
(προφύλαξη). Στην πραγματικότητα όμως δεν επαληθεύεται καμία από τις δύο υποθέσεις. Αντίθετα, η
φυσική νόσηση με το ζωντανό μυκοβακτηρίδιο όχι μόνο δεν προκαλεί ανοσία, αλλά προκαλεί και
ευπάθεια (υποτροπές της νόσου σε ποσοστό 3,2%).
Αναφορικά με τη μελέτη μας σημειώνεται ότι αφορά 29.410 παιδιά και διήρκησε 16 έτη. Τα παιδιά
4
Fine P. Variation in protection by BCG: Implications of and for heterologus immunity. Lancet 1995;346:1339-
1345.
χωρίσθηκαν σε 2 ομάδες: Α. (Νο 17.009) που υποβλήθηκαν σε B.C.G. και Β. (Νο 12.401) που για
διάφορους λόγους και όχι προσχεδιασμένα, δεν εμβολιάσθηκαν. Η ομάδα Α χωρίσθηκε σε δύο
υποομάδες: σ’ αυτά που δεν εμβολιάσθηκαν: 1) στην ηλικία 11-12 ετών (παλιά «τεχνική») και 2) στην
ηλικία 6-7 ετών (νέα «μεθόδευση»). Ευρήματα: Δεν παρατηρήθηκαν διαφορές ως προς τη
νοσηρότητα στις διάφορες ομάδες, ώστε να δικαιολογείται η εξακολούθηση του B.C.G.. Από τη
λεπτομερή ανάλυση των ευρημάτων προκύπτει ότι από τη μετάθεση του εμβολιασμού στην ηλικία των
6-7 ετών θα προλαμβάνονταν η νόσηση σε 5 μόνο παιδιά επί του συνόλου του δείγματος.
Σχετικά με τις φυματιώδεις μηνιγγίτιδες και τις οξείες κεχροειδείς, για τις οποίες προτείνεται κύρια το
αντιφυματικό εμβόλιο, διαπιστώθηκαν κατά την περίοδο της έρευνας μόνο 2 περιπτώσεις στην υπό
εμβολιασμό ηλικία, άρα μόνο αυτές θα μπορούσαν να προστατευθούν, εάν το εμβόλιο ήταν
όντως αποτελεσματικό επί συνόλου 38.790 παιδιών της εμβολιαστικής ηλικίας των 6-7 ετών, που
με αντιφυματική αγωγή θεραπεύτηκαν. Όσον αφορά δε την πρόληψη της φυματιώδους μηνιγγίτιδας
και της οξείας κεχροειδούς, αυτές εντοπίζονται παθητικά και αφορούν παιδιά προσχολικής ηλικίας με
μεγάλη χρονική παραμονή σε ισχυρή πηγή μόλυνσης (μακρά παραμονή του αδιάγνωστου φυματικού
αρρώστου στο περιβάλλον του). Άλλωστε, και οι προσδοκίες του προγράμματος με τον εντατικό
εμβολιασμό του B.C.G. για την καταπολέμηση της φυματίωσης από το Υπουργείο Υγείας, Πρόνοιας και
Κοινωνικών Ασφαλίσεων, με εγκύκλιό του (Α1/8013/16-8-1988) προέβλεπε την εξάλειψη της
φυματίωσης στην Ελλάδα το αργότερο μέχρι το 1992, εκτίμηση που όμως στην πράξη αποδείχθηκε
ατελέσφορη. Συνεπώς, το εμβόλιο B.C.G. αποδείχθηκε ύστερα από εφαρμογή 80 χρόνων παγκοσμίως
ότι είναι αναποτελεσματικό και εγκαταλείφθηκε από τον πολιτισμένο κόσμο εδώ και δεκαετίες.
Ωστόσο, στην Ελλάδα εξακολουθεί να εφαρμόζεται ακόμη και σήμερα, όχι μόνο στην ηλικία των 6-7
ετών, που ισχύει από το 1991, αλλά από το 1994 προεκτάθηκε η εφαρμογή του και στην ηλικία των
στρατεύσιμων μέχρι και 25 ετών! Σε οδηγία του Πανεπιστημίου του Χάρβαρντ το 2006 σχετικά με τα
εμβόλια που είναι απαραίτητα για τη δημόσια υγεία, το B.C.G. δεν αναφέρεται καν!
Ακόμα δύο περιπτώσεις, όπου αντενδεικνύεται η εφαρμογή του B.C.G., ενώ εφαρμόζεται, είναι:
α) οι στενές επαφές της προσχολικής ηλικίας, όπου η διαμόλυνσή τους αγγίζει το 100 %, αφού οι
νοσήσεις ανέρχονται στο 78% &
β) στον στρατό, όπου η διαμόλυνση ανέρχεται σε 6-7%.
Με το εμβόλιο B.C.G., εάν γίνει σωστά, θετικοποιούμε σχεδόν το 100% των εμβολιαζόμενων και
εάν κάποιος γίνει φορέας του AIDS κινδυνεύει από την εμφάνιση γενικευμένης φυματίωσης (από
B.C.G.) – Thorax (1994), 49: 1193-2000 & Μουστάκας, Ι. - Βάμβαλης, Χ. (1996), Κυνηγώντας τη
φυματίωση, σ. 94.
Η απώλεια της εμπιστοσύνης για το εμβόλιο είναι διάχυτη και αυτό οδήγησε τη διεθνή κοινότητα
στην αναζήτησης ενός νέου, πλέον ασφαλούς και αποτελεσματικού εμβολίου, το οποίο να μπορεί να
καλύψει τις σημερινές απαιτήσεις. Οι ιδιότητες του νέου εμβολίου, όπως αυτές έχουν περιγραφεί από
το Κέντρο Ελέγχου Νοσημάτων (CDC) των Η.Π.Α. πρέπει να είναι οι εξής:
1. Να μπορεί το εμβόλιο να χορηγείται χωρίς κίνδυνο σε άτομα με βλάβη της κυτταρικής
ανοσίας (AIDS).
2. Να μην τροποποιεί τη φυματινοαντίδραση.
3. Να προστατεύει τα άτομα τα οποία θα μολυνθούν μετά τον εμβολιασμό και να αποτρέπει
την εμφάνιση της νόσου, σε ποσοστό > 90%.
4. Να μπορεί να χορηγείται σε άτομα τα οποία έχουν μολυνθεί και να αποτρέπει την εμφάνιση
της νόσου5
.
Νοσηλεία του φυματικού: στο νοσοκομείο ή στο σπίτι; Σήμερα η νοσηλεία του φυματικού
στο σπίτι αναμφίλεκτα έχει καθιερωθεί. Το 1978, όπου αρχίζει η μελέτη, ένα μεγάλο ποσοστό
φυματικών νοσηλευόταν στα νοσοκομεία. Βαθμιαία όμως η νοσηλεία σε νοσοκομεία περιορίσθηκε.
Έτσι από 93: 57, υπέρ των νοσηλευθέντων στο σπίτι, έφτασε η αναλογία στο 53: 13. Η περαιτέρω
παρακολούθηση κρίνεται περιττή. Ωστόσο, θα πρέπει να τονισθεί ότι η εξέλιξη της νόσου ήταν το ίδιο
καλή, όπου κι αν νοσηλεύθηκαν οι ασθενείς. Ιδιαίτερη μέριμνα θα πρέπει να δοθεί στην επιδημιολογική
έρευνα, που θα κατατείνει στην ανακάλυψη είτε της πηγής, από την οποία μολύνθηκε ο ασθενής όταν
πρόκειται για παιδί, είτε της διαμόλυνσης που προκάλεσε ο άρρωστος στο περιβάλλον. Μεγάλη
5
O’ Brien R. (Advisory Council for the Elimination of Tuberculosis). Development of new vaccines for Tuberculosis.
MMWR 1998Q47(RR-13).
προσοχή χρειάζεται στην αναζήτηση των πρωτομολύνσεων στα παιδιά, γιατί είναι πια σήμερα γνωστό
ότι οι ενήλικες δεν διατρέχουν κίνδυνο εξωγενών λοιμώξεων. Ως συμπέρασμα: δεν πρέπει να
τρομάζουμε στις μέρες μας από την ανακάλυψη μιας ενεργούς φυματίωσης, που θα πανικοβάλλει
άρρωστο και περιβάλλον. Μπορεί θαυμάσια ο ασθενής να νοσηλευτεί στο σπίτι (χωρίς τη δοκιμασία
της προσαρμογής στο νοσοκομειακό περιβάλλον).
Από το 1991 και μετά οι ασθενείς παραπέμπονταν στο νοσοκομείο μόνο για κοινωνικούς λόγους.
Οι συγγραφείς, λαμβάνοντας υπόψη διάφορες παραμέτρους (π.χ. κόστος, κοινωνικές επιπτώσεις,
κ.λ.π.), αποφαίνονται από μακρό χρόνο, υπέρ της νοσηλείας στο σπίτι. Στην Ελλάδα όχι μόνο
προτείνεται η νοσοκομειακή νοσηλεία, αλλά και σε ειδικούς θαλάμους, σαν να πρόκειται για τη γρίπη
από τον ιό Sirs ή τη γρίπη των πτηνών!
Κατά την 25ετία (1976-2000) αντιμετωπίστηκαν θεραπευτικά πάνω από 2.000 ασθενείς με
πνευμονική φυματίωση από το αντιφυματικό ιατρείο Κομοτηνής, εκ των οποίων οι περισσότεροι από
1.200 εξολοκλήρου στο σπίτι και μεταξύ αυτών 100 παιδιά ηλικίας από 6 μηνών μέχρι 12 ετών με
απόλυτη επιτυχία λόγω ανάγκης, καθώς η νοσηλεία παιδιών με φυματίωση ήταν εφικτή μόνο στο
νοσοκομείο ειδικών παθήσεων της Θεσσαλονίκης (πρώην Λοιμωδών) με πολύ μεγάλες δυσκολίες. Οι
περιπτώσεις που νοσηλεύτηκαν στο νοσοκομείο υποχρεωτικά ήταν οι με οξεία κεχροειδή, φυματιώδη
μηνιγγίτιδα και φυματιώδη καχεξία.
2006: Οδηγίες για την Αντιμετώπιση της Φυματίωσης (Κέντρο Ελέγχου και Πρόληψης Νοσημάτων
– ΚΕΕΛΠΝΟ):
Θέστε σε απομόνωση τους ασθενείς με μη βεβαιωμένη ή βεβαιωμένη πνευμονική ή λαρυγγική
φυματίωση, χρησιμοποιώντας προφυλάξεις αερογενούς μετάδοσης, μέχρις ότου καταστούν μη
μολυσματικοί… Συνοπτικά, για την αναπνευστική απομόνωση συνιστώνται δωμάτια αρνητικής πίεσης.
Επί ελλείψεως τέτοιων συνιστώνται μονόκλινα ή δίκλινα δωμάτια: (α) με συχνή ανανέωση αέρα (12
αλλαγές ανά ώρα), (β) εξαερισμό προς το περιβάλλον ή ενισχυμένο με φίλτρα σωματιδίων αέρα
υψηλής αποδοτικότητας (ΗΕΡΑ) και (γ) με λαμπτήρες υπεριώδους ακτινοβολίας στο ανώτερο τμήμα
αυτών.
Όλες οι πολιτισμένες χώρες έχουν γνώση του προβλήματος της φυματίωσης και ανάλογο
προγραμματισμό για την καταπολέμησή της, με καταγραφή ανά 5ετία των Mantoux θετικών στον
γενικό πληθυσμό και την παρακολούθησή τους δια βίου με μια ακτινογραφία θώρακα ανά έτος.
1982: Εισήγηση στην κοινή συνεδρίαση της Ελληνικής Πνευμονολογικής Εταιρείας και της Ιατρικής
Εταιρείας Ροδόπης με θέμα: «Η σύγχρονη θεραπεία της φυματίωσης στο νοσοκομείο ή στο σπίτι».
Απόσπασμα από τη σχετική εισήγηση:
«Από πολύ παλιά, αμέσως μετά την ανακάλυψη ενός φυματικού, το πρώτο μέλημα ιατρού και
περιβάλλοντος ήταν ο εγκλεισμός του σε Σανατόριο, χωρίς να ξέρει κανείς αν αυτό γινόταν για την
καλύτερη θεραπεία του, ή για την απαλλαγή του περιβάλλοντος από τον επικίνδυνο άρρωστο, λόγω
των ελλιπών γνώσεων γύρω από τη φυματίωση. Τα Σανατόρια αποτελούσαν απομονωτήρια με μακρά
παραμονή σε αυτά.
Η εξωνοσοκομειακή νοσηλεία των φυματικών υπήρξε ανάγκη για τις φτωχές χώρες, π.χ. Madras
των Ινδιών το 1966, που δεν διέθεταν νοσηλευτικά κρεβάτια και από εκεί προέρχονται οι πρώτες
παρατηρήσεις, που οδήγησαν στη σημερινή κατάσταση.
Η Παγκόσμια Οργάνωση Υγείας (επιτροπή επί της φυματιώσεως) εδώ και αρκετό καιρό έχει
επισημάνει τη σημασία αυτής και συνιστά την οργάνωση του αντιφυματικού αγώνα σε
εξωνοσοκομειακή βάση. Έχει παρατηρηθεί ότι η διαμόλυνση στο περιβάλλον του φυματικού είναι η
ίδια, είτε νοσηλεύεται στο σπίτι, είτε σε νοσοκομείο, διότι αυτή γίνεται προ της ανακαλύψεως του
αρρώστου. Εξάλλου, με την έναρξη της αντιφυματικής θεραπείας, 2-3 εβδομάδες αργότερα δεν
μεταδίδει τη νόσο (εργασία των Arthur & Danenberg, Μάρτιος 1982).
Η εξωνοσοκομειακή θεραπεία έχει:
1) Χαμηλό κόστος για την Πολιτεία
2) Πιο άνετη νοσηλεία του αρρώστου στο σπίτι
3) Ο ασθενής μπορεί να έχει ένα μίνιμουμ δραστηριότητας έξω από το Νοσοκομείο από τον
πρώτο καιρό
Η νοσοκομειακή νοσηλεία κρίνεται αποτελεσματική:
1. για τις βαριές περιπτώσεις
2. για αρρώστους με κοινωνικά προβλήματα
3. για ασθενείς με διανοητικό επίπεδο, που δεν μας εγγυάται ότι θα ακολουθήσουν σωστά
τις οδηγίες
4. για απείθαρχους αρρώστους
5. για δυσδιάγνωστες περιπτώσεις υπό παρατήρηση
6. για περιπτώσεις με φαρμακοαντοχή.
Οι μολύνσεις στο περιβάλλον των ασθενών: περισσότερο μόλυναν οι νοσηλευθέντες σε
νοσοκομείο (21% έναντι 10%). Το ίδιο ισχύει και για τις νοσήσεις (26,8% έναντι 14,2%). Αυτό θα
αποδοθεί στο ότι οι νοσηλευθέντες σε νοσοκομείο είχαν βαρύτερες, πιο εκτεταμένες πνευμονικές
βλάβες. Επιβεβαιώνεται έτσι ότι με την έναρξη της ειδικής αγωγής στο σπίτι εξουδετερώνεται η
μολυσματική «δυνατότητα» του ασθενούς. Η μετάδοση της νόσου μεταξύ συζύγων
παρατηρήθηκε σε ποσοστό 2%!
1. Η πηγή μόλυνσης στο περιβάλλον του αρρώστου διαπιστώθηκε σε ποσοστό 1,5% στη
διαπίστωση ενός μικρού παιδιού, που νοσεί από φυματίωση.
2. Το ποσοστό των νοσήσεων ως συνέπεια επαφών φτάνει στο 18% και η ανακάλυψη της νόσου
γίνεται ενεργητικά, ενώ στο 82% των νοσήσεων η ανακάλυψη γίνεται παθητικά παγκοσμίως.
3. Η πρωτοπαθής εστία βρέθηκε ενεργή σε ποσοστό 1%, το δε πρωτοπαθές σύμπλεγμα σπανιότατα
σε ποσοστό 2‰.
Οι Παθολογικές εκδηλώσεις από τη διαμόλυνση του περιβάλλοντος παρατηρούνται συχνά
συγχρόνως με την ανακάλυψη της πηγής, δηλ. του αρρώστου, (45 από 150 περιπτώσεις), βαθμιαία δε
ελαττώνονται (38 περιπτώσεις το 1ο
εξάμηνο, 16 το 2ο
εξάμηνο, κ.λ.π.). Μεταγενέστερες εκδηλώσεις
(15 περιπτώσεις) αφορούν την κλασσική χρόνια πνευμονική φυματίωση. Ως προς το είδος των
παθολογικών εκδηλώσεων: στις μικρές ηλικίες αφορούν πυλαία αδενίτιδα, στην εφηβική πλευρίτιδα και
στις μεγαλύτερες ηλικίες χρόνια φυματίωση. Οι συγγραφείς συζητούν τους όποιους μηχανισμούς των
εκδηλώσεων. Παράλληλα με την εκτίμηση αυτή οι συγγραφείς προχώρησαν στη μελέτη σχετικά με
την:
Εξέλιξη της φυματικής νόσου: Η μελέτη καταρχήν βασίζεται σε 32.055 φυματινοαντιδράσεις
σε άτομα ηλικίας 11-18 ετών. Από τους 32.055 εξετασθέντες βρέθηκαν Mantoux θετικοί οι 1.644. Το
95% από αυτούς θεωρήθηκε ως αυτοϊαθέντες (20% με επασβεστίωση του πρωτοπαθούς
συμπλέγματος και 75% χωρίς «ίχνος» από την πρωτομόλυνση). Από τις επασβεστιωμένες αλλοιώσεις
της πρωτομόλυνσης δεν εξελίσσεται η φυματίωση. Η επασβεστίωση επιβεβαιώνεται ακτινογραφικά
από 2-3 χρόνια μετά την πρωτομόλυνση.Το 5% παρουσίασε νοσηρές εκδηλώσεις, που στο
μεγαλύτερο ποσοστό (29 από 41 περιπτώσεις) διαπιστώθηκαν συγχρόνως ή εντός 6 μηνών από
την ανεύρεση της θετικής Mantoux. Σε θεραπεία υποβλήθηκαν μόνον όσοι είχαν ενδείξεις για
πιθανώς ενεργό νόσο όχι οι απλώς Mantoux θετικοί, οι οποίοι παρακολουθήθηκαν για μακρό χρόνο.
Όλοι οι μολυθέντες έγιναν καλά με ή χωρίς θεραπεία.
Κάποιες επισημάνσεις: 1. Αφού όλοι οι μολυθέντες έγιναν καλά, αυτομάτως (στο 95%) ή με
θεραπεία, προς τι η φοβία που διασπείρεται για μια φυματική πρωτομόλυνση; 2. Για πλήρη «κάλυψη»
ενός μολυνθέντος δεν αρκεί μια πρώτη «αρνητική» ακτινογραφία θώρακος. Η παρακολούθηση πρέπει
να είναι μακροχρόνια ή και δια βίου, δηλαδή οι Mantoux θετικοί να υποβάλλονται συστηματικά ή
ευκαιριακά σε ακτινολογικό έλεγχο. 3. Μία «αρνητική» ακτινογραφία δεν αποκλείει μια πρωτομόλυνση.
Η Mantoux είναι απαραίτητη, ειδικά στα παιδιά. 4. Δεν είναι σκόπιμη η γενικευμένη
προφυλακτική θεραπεία ή χημειοπροφύλαξη, εφόσον όλοι οι μολυθέντες έγιναν καλά.
Ωστόσο, η χημειοπροφύλαξη πρέπει να εφαρμόζεται σε επαφές μέχρι και ηλικίας 4 ετών με Mantoux
θετική υπό μορφή τριπλής αντιφυματικής αγωγής για 6 μήνες, πέραν δε της ηλικίας των 5 ετών, τα
παιδιά να είναι υπό παρακολούθηση με ακτινογραφία θώρακος ανά τακτά χρονικά διαστήματα, ώστε
να διαπιστωθεί έγκαιρα οποιαδήποτε δυσάρεστη εξέλιξη. Θα τονισθούν: α) Το κόστος (ασήμαντο
μάλλον για σύγχρονες οικονομίες), β) Οι παρενέργειες, γ) Οι ψυχοκοινωνικές επιπτώσεις, ειδικά
προκειμένου για παιδιά κλινικά υγιέστατα. Η παρακολούθηση των μολυνθέντων, για ένα σύγχρονο
κράτος, είναι απόλυτα εφικτή. Η χημειοπροφύλαξη ως πρόφαση για την πρόληψη της φυματιώδους
μηνιγγίτιδας δεν ευσταθεί, καθόσον η φυματιώδης μηνιγγίτιδα οδηγεί στην αναζήτηση της Πηγής
(σημείωση: Η Φ.Μ. εκδηλώνεται πολύ κοντά χρονικά, στην πρωτομόλυνση).
Οι συγγραφείς αναφέρονται σε: Αποτυχίες, υποτροπές, θανάτους και άτυπες εξελίξεις. Από
προβληματισμούς και μετά από συζήτηση επισημαίνουν τις ιδιαιτερότητες της φυματικής νόσου και τη
σημασία του ξενιστή.
Άτυπες εκδηλώσεις της φυματίωσης: όταν η τριπλή αντί-ΤΒ αγωγή κατά τα αρχικά στάδια δεν
τιθασεύει τη Φυματική λοίμωξη, κατά ποιον μηχανισμό η χορήγηση μόνο της ΙΝΗ έχει
αποτελεσματικότητα στην προφύλαξη, δεδομένου ότι χορηγούμενη μόνη της μόνο ανθεκτικότητα
δημιουργεί;
Οι υποτροπές της νόσου «προτιμούν» τις μικρότερες ηλικίες, ενώ η αποτυχία της θεραπείας τις
μεγαλύτερες. Αυτές, στη συγκεκριμένη έρευνα ανέρχονται σε 3,2%. Η πιθανότητα επιτυχούς
θεραπείας είναι μεγαλύτερη στην αρχική παρά στην αναθεραπεία. Ο σακχαρώδης διαβήτης, η μη-
συμμόρφωση του ασθενούς και η λίαν εκτεταμένη νόσος αποτελούν μερικά από τα αίτια αποτυχίας
της θεραπείας. Οι θάνατοι, που κύρια οφείλονται στη φυματιώδη καχεξία και στη φυματιώδη
μηνιγγίτιδα, ανέρχονται στο 1,33%. Από την έρευνα προέκυψε ότι από τις φυματιώδεις καχεξίες
επιβίωσε το 28,3%.
Ερευνητικά (προοπτικά) μελετήθηκε η Φυματική Διαμόλυνση σε όλες τις ηλικίες το 1992
με «δείγμα» 12.520 φυματινοαντιδράσεις. Διαπιστώθηκε θετική Mantoux στο 16,5% και μείωση των
Mantoux θετικών στις μεγάλες ηλικίες. Το φαινόμενο αποδόθηκε σε ανοσιακούς λόγους (τονίσθηκε η
πρακτική σημασία του φαινόμενου). Από την ανάλυση των ευρημάτων καθορίζεται η εκρίζωση της
φυματίωσης από τον νομό Ροδόπης για το έτος 2060! Η φυματίωση τίθεται υπό έλεγχο σε μία χώρα,
βάσει του Ε.Δ.Μ. (Ετήσιος Δείκτης Μόλυνσης), όταν αυτός είναι μικρότερος του 1% στον γενικό
πληθυσμό και η ετήσια επίπτωση της νόσου με θετικά πτύελα κάτω του 1/1.000.000 κατοίκων, ενώ
θεωρείται εκριζωμένη, όταν οι δείκτες αυτοί κυμαίνονται μέχρι 0,1% και 1/10.000.000 αντίστοιχα.
Παράλληλα με τη διενέργεια των Mantoux, πραγματοποιήθηκε μικροακτινογραφική έρευνα για
πνευμονική φυματίωση σε 11.186 άτομα από το συνολικό δείγμα (την περίοδο 7/11/1991 έως
3/4/1992) με την επιλεκτική διερεύνηση οικισμών προσβεβλημένων από τη φυματίωση, που
αντιπροσώπευαν το 45% του προβλήματος της φυματίωσης στον Νομό Ροδόπης, ο οποίος
χαρακτηρίστηκε ως ο πιο προσβεβλημένος από τη νόσο σε πανελλαδικό επίπεδο. Με τη διενέργεια
Mantoux στο 1/10 του πληθυσμού διαπιστώθηκαν 14 νέες αγνοούμενες περιπτώσεις ενεργούς
φυματίωσης (ενεργητική ανακάλυψη της νόσου), δηλαδή στο 1/3 των περιπτώσεων που
δηλώθηκαν το 1992 (44 περιστατικά).
Οι Μεταφυματιώδεις αλλοιώσεις απασχολούν τους συγγραφείς σε διάφορα επίπεδα, με
έμφαση στα καρκινώματα σε ουλή (scar carcinoma), που ανέρχονται σε ποσοστό 1 % και
εμφανίζονται σε άτομα μεγάλης ηλικίας με εκτεταμένες υπολειμματικές βλάβες και συνήθως καπνιστές.
Αυτά συμβαίνουν σε λίγα χρόνια από το τέλος επιτυχούς αντιφυματικής θεραπείας (1,5 έως 5 έτη).
Παράλληλα έρευνα με μικροακτινογράφιση έδειξε την εμφάνιση καρκίνου σε καπνιστές στο 1 % του
ανδρικού πληθυσμού.
Η πνευμονική εντόπιση της φυματίωσης ανέρχεται σε ποσοστό 75% και η εξωπνευμονική σε 25%
και από την πνευμονική μορφή ανοικτή (με σπήλαιο) βρέθηκε στο 32%, ενώ από την εξωπνευμονική
εντόπιση τα μικρότερα ποσοστά εντοπίζονται στη φυματίωση των οφθαλμών, των γεννητικών
οργάνων και στη μασχαλιαία αδενίτιδα, στη φυματιώδη λαρυγγίτιδα, στη φυματίωση δέρματος, στην
οξεία κεχροειδή και φυματιώδη μηνιγγίτιδα, στη φυματιώδη περιτονίτιδα, στη φυματίωση των νεφρών
και των οστών και τα μεγαλύτερα ποσοστά στην πυλαία αδενίτιδα και στην υγρή πλευρίτιδα επί 1.275
ασθενών στα 19 έτη της έρευνας. Σε όλες τις περιπτώσεις εξωπνευμονικής εντόπισης δεν παρατηρείται
διαφορά μεταξύ των δύο φύλων, εκτός της φυματιώδους περιτονίτιδας, όπου η αναλογία είναι 3
γυναίκες προς 1 άνδρα, γεγονός αναμενόμενο. Εντύπωση επίσης προκαλεί το μικρό ποσοστό της
φυματιώδους λαρυγγίτιδας, που επιβεβαιώνει τη φύση της αιματικής αιτιολογίας ή της ρήξης
παρατραχειακού αδένος προς την τραχεία και ότι αυτή δεν οφείλεται στην άλωση από τον αυλό.
3. Συμπερασματικά – Επιγραμματικά
Η μοναδικότητα της έρευνας αυτής οφείλεται:
α) στη μεγάλη της διάρκεια (25 χρόνια)
β) στη μεγάλη καθυστέρηση ανακάλυψης του ασθενούς &
γ) στην καταγραφή των βαρέων πνευμονικών βλαβών, που ενίοτε φτάνουν στον κατεστραμμένο
πνεύμονα ή στη φυματιώδη καχεξία.
Η φυματίωση στην Ελλάδα μειώνεται. Στη μείωση αυτή συμβάλλουν αφενός μεν η άνοδος του
βιοτικού επιπέδου (η φυματίωση άρχισε να φθίνει πριν ακόμη ανακαλυφθούν τα ειδικά φάρμακα 4-5%
ετησίως στις αναπτυγμένες χώρες του Ευρωπαϊκού Βορρά) και αφετέρου η αντιμετώπιση-
εξουδετέρωση των πηγών μολύνσεως.
Η επαγρύπνηση όμως κρίνεται σκόπιμη. Όχι μόνο για τον κίνδυνο από την εισαγόμενη φυματίωση,
αλλά γιατί θα πρέπει οι γιατροί λαμβάνοντας υπόψη τη φυματίωση, να μπορούν να διαγνώσουν μια
νέα περίπτωση, προλαμβάνοντας έτσι μία μόλυνση, έστω μια μικρή επιδημία.
Στη διάγνωση θα οδηγήσει μία ακτινογραφία θώρακος, που ενίοτε θα συσταθεί από την ανεύρεση
μιας θετικής Mantoux.
Η φυματίωση θα φύγει από την πόρτα των μεγάλων ηλικιών. Έτσι κρίνεται σκόπιμο, πριν
υποβληθούν τα παιδιά στο αμφίβολης αποτελεσματικότητας εμβόλιο B.C.G., να αναζητηθούν
προληπτικά οι δυνητικοί «δράστες» της φυσικής τους μόλυνσης. Γι’ αυτό προτείνεται ιδιαίτερη
προσοχή στις απερχόμενες κλάσεις, που αποτελούν πηγές του μυκοβακτηριδίου.
4. Προτεινόμενα μέτρα
Τα προτεινόμενα, βάσει της επιστημονικής μας εμπειρίας, μέτρα αντιμετώπισης της νόσου είναι:
Εξοικείωση – εκπαίδευση των γιατρών στη διάγνωση της φυματίωσης
Καλή, αποτελεσματική θεραπεία των νοσούντων
Αναζήτηση – παρακολούθηση των υγειών ατόμων – φορέων του ΜΒ.
Αυτοί είναι οι Mantoux θετικοί, που θα αναζητηθούν:
α. στις επαφές του αρρώστου (οικογενειακού, κοινωνικού και εργασιακού περιβάλλοντος)
β. στους οικονομικούς μετανάστες – Λαθρομετανάστες – Φυλακές
γ. στα άτομα μεγάλης ηλικίας (ΚΑΠΗ – Γηροκομεία – ασθενείς, που εισάγονται στο νοσοκομείο για
οποιαδήποτε άλλη πάθηση).
Οι ευρεθέντες θετικοί στη Mantoux πρέπει να παρακολουθούνται δια βίου με μία α/α θώρακος ανά
έτος.
δ. σε άτομα με προδιαθεσικούς παράγοντες, όπως σακχαρώδη διαβήτη, πνευμονοκονίαση,
γαστρεκτομή, ανοσοκατασταλτική θεραπεία, λήψη κορτικοειδών, με μία ακτινογραφία θώρακος.
ε. Να επεκταθεί η διενέργεια της Mantoux στις μικρές ηλικίες (Βρεφονηπιακοί σταθμοί), ώστε να
προλαμβάνονται οι πιθανές εκδηλώσεις της αιματικής διασποράς, αποφεύγοντας τον μάταιο
εμβολιασμό με B.C.G., ώστε να φτάσουμε στην ενεργό αναζήτηση πιθανών ασθενών και να μην
εφαρμόζονται μέτρα, που αποδείχθηκαν στην πράξη αναποτελεσματικά και ανεπίκαιρα.
στ. Η ακτινογραφία θώρακος στους νεοεισερχόμενους φοιτητές να γίνεται μόνο στους Mantoux
θετικούς. Στην ηλικία αυτή το ποσοστό των θετικών ανέρχεται στο 6-7 %, δηλαδή από τους 70.000-
80.000 εισαγόμενους ετησίως περίπου να πραγματοποιείται α/α μόνο στους 5.000.
ζ. Θα μπορούσε να γίνεται Mantoux στο σύνολο των νοσηλευόμενων στα νοσοκομεία για
οποιονδήποτε λόγο, ώστε να καταγραφούν οι Mantoux θετικοί σε μία δεκαετία και μία α/α θώρακα ανά
τακτά χρονικά διαστήματα θα διαπιστωνόταν ενεργητικά ένα μεγάλο μέρος των νέων αγνοουμένων
περιπτώσεων φυματίωσης.
5. Πίνακες
Η νοσηρότητα πέφτει κατά 7% ετησίως. Η μεγάλη πτώση της νοσηρότητας κατά τις 2 πρώτες πενταετίες οφείλεται στα
έντονα αντιφυματικά μέτρα, που εφαρμόστηκαν για την αντιμετώπιση πολλών περιπτώσεων ενεργούς φυματιώσεως (με
επανειλημμένους ελέγχους της διαμόλυνσης στο σύνολο των μαθητών και της μέσης εκπαίδευσης). Η επίπτωση της
νόσου στην αρχή της έρευνας ήταν 1,5 ασθενής ανά 1.000 κατοίκους. Το 1999 το ποσοστό αυτό άγγιζε το 0,2
αρρώστους ανά 1.000 κατοίκους. Το 2010 το ποσοστό αυτό ανήλθε σε 0,1 ‰.
1η
πενταετία 11,9 %
2η
πενταετία 8,17%
3η
πενταετία 6,47%
ΠΙΝΑΚΑΣ 3: ΝΟΣΗΡΟΤΗΤΑ
Η μετάθεση της Χ.Π.Φ. στις μεγαλύτερες ηλικίες εξηγείται με τον περιορισμό των εξωγενών
μολύνσεων και την επικράτηση των ενδογενών αναζωπυρώσεων (Ν. Ροδόπης 1978 – 1992)
ΠΙΝΑΚΑΣ 4 (Φυματινικός Δείκτης)
ΠΙΝΑΚΑΣ 5: ΦΥΜΑΤΙΝΙΚΟΣ ΔΕΙΚΤΗΣ
%
Από το 1990, με την έλευση των Ελληνοποντίων, οι καμπύλες τροποποιούνται.
ΠΙΝΑΚΑΣ 6: ΦΥΜΑΤΙΝΙΚΟΣ ΔΕΙΚΤΗΣ
%
Οι στήλες απεικονίζουν τον φυματινικό δείκτη στις ηλικίες 6-7 ετών.
ΠΙΝΑΚΑΣ 7: ΑΝΤΙΦΥΜΑΤΙΚΟΣ ΕΜΒΟΛΙΑΣΜΟΣ
Σχόλιο: Νόσησαν 0,135% και 0,2% παιδιά και στις δύο ομάδες (εμβολιασθέντα και μη) και σε απόλυτη
αριθμητική αντιστοιχία εμβολιασθέντων και μη η σχέση ήταν 2:3.
ΠΙΝΑΚΑΣ 8: ΑΝΤΙΦΥΜΑΤΙΚΟΣ ΕΜΒΟΛΙΑΣΜΟΣ
Σχόλιο:
Αν αφαιρεθούν οι νοσήσεις από επαφές (αναπόφευκτες) θα νοσούσαν 5 παιδιά στα 16 χρόνια της
έρευνας, τα οποία με σχετική αγωγή θεραπεύτηκαν.
ΕΤΟΣ
ΦΥΜΑΤΙΩΔΗΣ
ΜΙΝΙΓΓΙΤΙΔΑ
ΟΞΕΙΑ
ΚΕΧΡΟΕΙΔΗΣ
1978 2 40 16
1979 1 30
1980 1 6
1981 1 21 1 21
1982
1983 2 28 / 63
1984 1 60 Θ 1 22
1985
1986 1 40
1987 2 3 / 10
1988 1 28 Θ
1989
1990
1991
1992
1993 2 5 / 6
1994
1995 1 22
1996 1 3 1 1
ΣΥΝΟΛΟ 11 8
ΠΙΝΑΚΑΣ 9:
Οι εξωπνευμονικές εκδηλώσεις της πνευμονικής φυματίωσης που
διαπιστώθηκαν στο αντιφυματικό ιατρείο του Ν. Ροδόπης κατά τα
έτη 1978-1996
• Η ηλικία των
ανδρών
• Η ηλικία των
γυναικών
• ΘΑΝΑΤΟΙ
Καταγράφοντας τις Φυματιώδεις Μηνιγγίτιδες και οξείες κεχροειδείς, που διαπιστώθηκαν στα 25 έτη της έρευνας, από
αυτές μόνο 2 περιπτώσεις ήταν στην υπό εμβολιασμό ηλικία, άρα μόνο αυτές θα μπορούσαν να προστατευθούν αν το
εμβόλιο ήταν αποτελεσματικό, επί συνόλου 38.790 παιδιών της εμβολιαστικής ηλικίας των 6-7 ετών, οι οποίες με
αντιφυματική θεραπεία έγιναν καλά.
Το B.C.G. ως πρόφαση για την πρόληψη της Φυματιώδους Μηνιγγίτιδας και της οξείας κεχροειδούς δεν ευσταθεί, καθώς
αυτές μας βρίσκουν και αφορούν παιδιά προσχολικής ηλικίας με μακρά παραμονή σε ισχυρή πηγή μόλυνσης.
ΠΙΝΑΚΑΣ 10:
ΜΟΛΥΝΣΕΙΣ – ΝΟΣΗΣΕΙΣ ΣΤΟ ΠΕΡΙΒΑΛΛΟΝ ΤΩΝ ΑΣΘΕΝΩΝ
ΠΙΝΑΚΑΣ 11: Η ΝΟΣΗΛΕΙΑ ΤΟΥ ΑΡΡΩΣΤΟΥ ΣΤΟ ΝΟΣΟΚΟΜΕΙΟ
Ή ΣΤΟ ΣΠΙΤΙ ΚΑΤΑ ΤΑ ΕΤΗ 1978-1987
Στα πρώτα χρόνια της έρευνας το ποσοστό των νοσηλευόμενων στα Νοσοκομεία ξεπερνούσε το 40% και ο μέσος όρος
στη δεκαετία ήταν 35%. Ο μέσος χρόνος παραμονής των ασθενών στα Νοσοκομεία στην αρχή της ερευνητικής
διαδικασίας έφτανε τους 5,8 μήνες (με υψηλό κόστος νοσηλείας και στη δεκαετία μειώθηκε σε ένα μήνα). Από το 1991
και μετά οι ασθενείς παραπέμπονταν στο νοσοκομείο μόνο καθαρά για κοινωνικούς λόγους.
ΣΤΟ ΣΠΙΤΙ ΣΤΟ ΝΟΣΟΚΟΜΕΙΟ
ΜΕΣΟΣ
ΧΡΟΝΟΣ
(μήνες)
Σύνολο ημερών
νοσηλείας ετησίως
1978 93 57 5,8 9.918
1979 82 40 6,6 7.920
1980 59 43 4,6 5.934
1981 69 22 4,1 2.706
1982 43 36 3,2 3.456
1983 60 42 2,6 3.276
1984 40 27 2,4 1.944
1985 45 22 2 1.320
1986 44 15 2 900
1987 53 13 1 390
ΣΥΝΟΛΟ 588 317
ΑΡΙΘΜΟΣ ΑΣΘΕΝΩΝ
ΝΟΣΗΛΕΙΑΕΤΟΣ
ΝΟΣΗΛΕΙΑ ΣΕ ΝΟΣΟΚΟΜΕΙΑ
ΠΠΙΙΝΝΑΑΚΚΑΑΣΣ 1122::
ΚΚααττααννοομμήή κκααττάά ηηλλιικκίίεεςς ττωωνν ννέέωωνν ππεερριιππττώώσσεεωωνν φφυυμμααττίίωωσσηηςς σσττοο ααννττιιφφυυμμααττιικκόό ιιααττρρεείίοο ττοουυ
ΝΝοομμοούύ ΡΡοοδδόόππηηςς κκααττάά τταα έέττηη 11997788--11999999 ((ΠΠλληηθθυυσσμμόόςς ΝΝοομμοούύ:: 110033..000000))
ΕΤΟΣ
Αριθμός
ασθενών
ανά έτος
Ηλικία
0-6 ετών
Ηλικία
6 ετών
Ηλικία
7 ετών
Ηλικία
7-12
ετών
Ηλικία
13-18 ετών
Ηλικία
19-30
ετών
Ηλικία
30 ετών
& άνω
1978 150 5 1 5 17 26 97
1979 122 4 1 1 7 16 15 80
1980 103 2 1 8 11 19 63
1981 90 3 2 4 8 16 59
1982 79 3 1 2 7 12 55
1983 102 1 1 1 8 10 17 66
1984 67 2 1 1 6 16 42
1985 67 1 1 2 2 16 46
1986 58 0 1 7 8 42
1987 66 3 1 3 3 11 46
1988 54 1 2 2 12 37
1989 74 2 2 7 15 48
1990 42 1 0 4 7 30
1991 45 0 1 1 11 32
1992 43 2 1 3 3 8 27
1993 33 3 1 3 4 6 17
1994 30 2 1 3 2 21
1995 20 0 1 1 0 4 15
1996 30 3 1 2 6 18
1997 31 1 1 5 6 18
1998 38 2 0 1 6 29
1999 30 0 1 4 4 21
ΣΥΝΟΛΟ 1374 41 9 6 57 123 243 909
Νοσήσεις από γνωστή
πηγή (επαφές)
78%
(32)
44%
(25)
28%
(34)
…Σύζυγοι 2%
(22)
50%
50%
15 (9)
Συμπέρασμα:
Ενώ το ποσοστό νοσήσεων, ως συνέπεια επαφών ανέρχεται στο 18% γενικά, το ήμισυ αφορά τις ηλικίες από 0-18 ετών,
ενώ το υπόλοιπο από 19 ετών και άνω. Αναλυτικότερα, κατά ηλικία, διαμορφώνεται ως κατωτέρω:
Προσχολική ηλικία: 78%, Πρωτοβάθμια Εκπαίδευση: 44%, Δευτεροβάθμια Εκπαίδευση: 28% & μεταξύ συζύγων: 2%.
Στην υπό εμβολιασμό ηλικία των 6-7 ετών νόσησαν 15 παιδιά στα 22 χρόνια για όλες τις μορφές φυματίωσης. Αν
αφαιρεθούν οι νοσήσεις από επαφές (9 αναπόφευκτες) οι υπόλοιπες 6 περιπτώσεις ιάθηκαν με αντιφυματική θεραπεία.
Τα ποσοστά νοσηρότητας κατά ηλικία ήταν: 0-6: 3%, 7-12: 4%, 13-18: 9%, 19 & άνω: 84%.
ΠΙΝΑΚΑΣ 13: ΠΑΘΟΛΟΓΙΚΕΣ ΕΚΔΗΛΩΣΕΙΣ
Εκδήλωση διάφορων μορφών της πρωτοπαθούς φυματικής νόσου, σε σχέση με το χρονικό διάστημα από την
πρωτομόλυνση (αποκάλυψη της πηγής μόλυνσης). Σχόλια:
1. Η συντριπτική πλειοψηφία της νόσου εμφανίζεται μέσα στο πρώτο έτος από τη μόλυνση.
2. Το ενεργό πρωτοπαθές σύμπλεγμα παρατηρείται κατά κύριο λόγο ταυτόχρονα με την αποκάλυψη της πηγής και
οπωσδήποτε όχι πέραν του έτους από τη μόλυνση.
3. Η μηνιγγίτιδα εμφανίζεται στους πρώτους 6 μήνες από τη μόλυνση.
4. Η φυματιώδης πλευρίτιδα και η πνευμονική φυματίωση, μολονότι μπορεί να εμφανίζεται εξαρχής, αποτελούν τις
μόνες μορφές που κυριαρχούν μετά το πρώτο έτος από τη μόλυνση.
ΠΙΝΑΚΑΣ 14:
ΕΞΕΛΙΞΗ ΤΗΣ ΦΥΜΑΤΙΚΗΣ ΝΟΣΟΥ
43,75%
36,25% 11,25%
Ταυτόχρονα με την
ανεύρεση της πηγής
ΠΙΝΑΚΑΣ 15: ΥΠΟΤΡΟΠΕΣ
ΠΙΝΑΚΑΣ 16:
Η ΦΥΜΑΤΙΚΗ ΔΙΑΜΟΛΥΝΣΗ ΣΕ ΟΛΕΣ ΤΙΣ ΗΛΙΚΙΕΣ
ΠΙΝΑΚΑΣ 17: ΠΡΟΒΛΕΨΗ ΕΚΡΙΖΩΣΗΣ
ΠΙΝΑΚΑΣ 18:
ΜΟΡΦΕΣ ΕΝΕΡΓΟΥΣ ΦΥΜΑΤΙΩΣΗΣ ΣΤΟΝ ΝΟΜΟ ΡΟΔΟΠΗΣ
ΚΑΤΑ ΤΗΝ ΠΕΡΙΟΔΟ: 1978 - 1992
ΜΟΡΦΗ ΝΟΣΟΥ ΑΡΙΘΜΟΣ
ΠΕΡΙΠΤΩΣΕΩΝ
%
Χρόνια πνευμ. Φυματίωση (Χ.Π.Φ.) 836 74 %
Φυματιώδης πλευρίτιδα 153 13 %
Πρωτοπαθής φυματίωση 68 6 %
Μορφές αιματικής διασποράς
(κεχροειδής, μηνιγγίτιδα)
12 1 %
Τραχηλική λεμφαδενίτιδα 18 1,5 %
Εξωπνευμονικές φυματιώσεις 52 4,5 %
ΣΥΝΟΛΟ 1.139 100 %
ΠΙΝΑΚΑΣ 19:
ΠΟΡΕΙΑ ΤΗΣ ΦΥΜΑΤΙΩΣΗΣ ΑΚΤΙΝΟΓΡΑΦΙΚΑ ΚΑΤΑ ΤΗ ΔΙΑΡΚΕΙΑ ΤΗΣ ΑΝΤΙΦΥΜΑΤΙΚΗΣ ΑΓΩΓΗΣ
Βελτίωση Σημαντική βελτίωση Πλήρης αποκατάσταση
50%
σε 1-2 μήνες
20%
σε 2-4 μήνες
32% σε 2-4 μήνες
16%
σε 4-7 μήνες
10%
σε 5-8 μήνες
36% σε 5-6 μήνες
30% σε 8-12 μήνες
98 %
ΣΧΟΛΙΟ: Με την εφαρμογή των βραχυχρόνιων θεραπευτικών σχημάτων, καλύπτεται μόνο το 70% των περιπτώσεων,
βάσει του ερευνητικού μας έργου. Γι’ αυτό προτείνεται ο χρόνος θεραπείας του ασθενούς να εκτιμάται κατά την κρίση
του θεράποντος ιατρού (και δεν πρέπει να είναι μικρότερος των 12 μηνών). Η αντιφυματική θεραπεία θεραπεύει το 98%
των πασχόντων από φυματίωση. Το 1% είναι θάνατοι που οφείλονται στη φυματιώδη μηνιγγίτιδα και φυματιώδη καχεξία
και το άλλο 1% οφείλεται σε ανάπτυξη καρκίνου σε ουλές (scar carcinoma) επάνω σε παλιές βλάβες από φυματίωση.
ΠΙΝΑΚΑΣ 20:
Πίνακας, στον οποίο φαίνονται συνολικά οι εξωπνευμονικές εκδηλώσεις της πνευμονικής φυματίωσης,
που διαπιστώθηκαν στο αντιφυματικό ιατρείο του Νομού Ροδόπης στα έτη 1978-1996
Σε όλες τις περιπτώσεις εξωπνευμονικής εντόπισης δεν παρατηρείται διαφορά μεταξύ των δύο φύλων, εκτός της
φυματιώδους περιτονίτιδος, όπου η αναλογία είναι 1 άντρας προς 3 γυναίκες, γεγονός αναμενόμενο.
74169
ΠΙΝΑΚΑΣ 21: ΑΤΥΠΕΣ ΕΚΔΗΛΩΣΕΙΣ ΤΗΣ ΦΥΜΑΤΙΩΣΗΣ
Υπό πολύμηνη ειδική θεραπεία, εκδήλωση φυματικών αλλοιώσεων σε άλλο από τη μητρική εστία
σημείο, που εξελίσσεται ομαλά χωρίς αλλαγή του θεραπευτικού σχήματος.
α/α Ηλικία Αρχική
πάθηση
Φαρμακευτική
αγωγή
Χρονική
διάρκεια
σε μήνες
Παθολογική
εκδήλωση
Εξέλιξη Παρατηρήσεις
Υπό χημειοπροφύλαξη
1 18μηνη Mantoux+ INH + PAS 8 Αδενίτιδα με
ατελεκτασία
Με τριπλή
αγωγή →
αποκατάσταση
Επαφή
2 12χρονη Mantoux + INH 12 Παρατραχειακή
αδενίτιδα
Με τριπλή
αγωγή →
σε 2 μήνες
2α
R+M+INH 14 Περικαρδίτιδα
Με την ίδια
αγωγή →
αποκατάσταση
Υπό πλήρη αντι-ΤΒ αγωγή
1 12χρονη Υγρά
πλευρίτιδα
R+M+INH 17 Πρόσθετη
πνευμονική
διήθηση
Αποκατάσταση
με την ίδια
αγωγή
Επαφή
2 14χρονη Παρατραχειακή
αδενίτιδα
R+M+INH 15 Υγρά
περικαρδίτιδα
Αποκατάσταση
με την ίδια
αγωγή
3 13χρονη Φυματιώδη
περιτονίτιδα
R+M+INH 4 Παρατραχειακή
αδενίτιδα
Αποκατάσταση
με την ίδια
αγωγή
4 16χρονη Πνευμονική
φυματίωση
R+M+INH 6 Τραχηλική
αδενίτιδα
Αποκατάσταση
με την ίδια
αγωγή
Με ιστολογική
επιβεβαίωση
5 26χρονη Πνευμονική
φυματιώση
R+M+INH 6 Υπερκλείδια
αδενίτιδα
Αποκατάσταση
με την ίδια
αγωγή
Με ιστολογική
επιβεβαίωση
6 12χρονη Πυλαία
αδενίτιδα
R+M+INH 12 + 5 Τραχηλική
αδενίτιδα
Αποκατάσταση
με την ίδια
αγωγή
Με ιστολογική
επιβεβαίωση
7 23χρονη Τραχηλική
αδενίτιδα
R+M+INH 9 Πνευμονική
φυματίωση
Αποκατάσταση
με την ίδια
αγωγή
Με ιστολογική
επιβεβαίωση
8 19χρονος Πνευμονική
φυματίωση
R+M+INH 1 Υγρά
πλευρίτιδα
Αποκατάσταση
με την ίδια
αγωγή
9 27χρονος Πνευμονική
φυματίωση
R+M+INH 10
(ημέρες)
Υγρά
πλευρίτιδα
Αποκατάσταση
με την ίδια
αγωγή
Σχόλιο: όταν η τριπλή αντιφυματική αγωγή κατά τα αρχικά στάδια δεν τιθασεύει τη φυματική λοίμωξη
κατά ποιο μηχανισμό η χορήγηση μόνο της ΙΝΗ έχει αποτελεσματικότητα στην προφύλαξη, δεδομένου
ότι χορηγούμενη μόνη της μόνο ανθεκτικότητα δημιουργεί. Στο Παράρτημα εμπεριέχονται
ακτινολογικές εικόνες ασθενών.
R: Ριφαμπικίνη Μ: Αιθαμβουτόλη ΙΝΗ: Ισονιαζίδη
ΚΕΦΑΛΑΙΟ ΙΙ
Η ΦΥΜΑΤΙΩΣΗ ΣΤΗΝ ΑΚΤΙΝΟΓΡΑΦΙΑ ΘΩΡΑΚΑ
1. Γενικές παρατηρήσεις
Το συγκεκριμένο υλικό, που περιλαμβάνει 240 περιπτώσεις ασθενών με πνευμονική
φυματίωση και 50 περιπτώσεις με υγρά πλευρίτιδα, είναι μέρος του συνόλου των
περιστατικών, που αντιμετωπίστηκαν από το Αντιφυματικό Ιατρείο Κομοτηνής την τελευταία
25ετία (1976-2000).
Το υλικό αυτό θα μπορούσε να αποτελέσει βοήθημα σε παθολόγους, παιδιάτρους,
ακτινολόγους, ιατρούς γενικής ιατρικής του ΕΣΥ και των ειδικευόμενων στις ανωτέρω
ειδικότητες, αγροτικούς ιατρούς και φοιτητές των ιατρικών σχολών της χώρας.
Το 1976 τα στατιστικά στοιχεία του Υπουργείου Υγείας έδειχναν 10.000 νέες περιπτώσεις
με φυματίωση ετησίως, ενώ σήμερα ο αριθμός αυτός κυμαίνεται περί τις 500. Η μείωση των
νέων περιπτώσεων ετησίως και το γεγονός ότι η νοσηλεία στο νοσοκομείο έχει μειωθεί σε
λίγες ημέρες, στερεί από τους νέους ειδικευόμενους σημαντική εμπειρία σχετικά με τη νόσο.
Η σημερινή συγκυρία (οικονομική δυσπραγία) δημιουργεί τις προϋποθέσεις μελλοντικής
έξαρσης της νόσου με σοβαρές συνέπειες στη δημόσια υγεία και θα ήθελα να πιστεύω πως η
παρουσίαση του εγχειρήματος αυτού θα είναι χρήσιμη σε όσους πρόκειται να ασχοληθούν
μελλοντικά με το θέμα.
Ήδη στο μακρινό παρελθόν, αμέσως μετά την ανακάλυψη ενός φυματικού, το πρώτο
μέλημα γιατρού και περιβάλλοντος ήταν ο εγκλεισμός του σε κάποιο Σανατόριο, χωρίς να
ξέρει κανείς αν αυτό γινόταν για την καλύτερη θεραπεία του ή για την απαλλαγή του
περιβάλλοντος από τον «επικίνδυνο άρρωστο», λόγω των ελλιπών γνώσεων γύρω από τη
φυματίωση (δηλ. ένα είδος Σπιναλόγκας). Τα σανατόρια ήταν απομονωτήρια, η δε παραμονή
σε αυτά υπήρξε μακροχρόνια και μάλιστα πριν την ανακάλυψη των αντιφυματικών, τα
κρεβάτια συχνά άδειαζαν με το θάνατο των ασθενών. Η θεραπεία των ασθενών, αφού
διήλθε από διάφορα στάδια, ξεκινώντας από τη μακροχρόνια νοσηλεία τους στα σανατόρια
μέχρι την ολιγοήμερη παραμονή του σε αυτά, σήμερα τείνει διεθνώς να πραγματοποιείται
στο σπίτι του αρρώστου, καθώς αποτελεί αναφαίρετο δικαίωμά του, με εξίσου καλά
αποτελέσματα. Το έναυσμα για τη συγκεκριμένη μεταστροφή δόθηκε από τη μελέτη του
Madras το 1966 στις Ινδίες, όπου καθαρά λόγω συνθηκών (έλλειψη νοσηλευτικών κλινών),
επιβλήθηκε η εξωνοσοκομειακή του νοσηλεία.
Στη δική μας έρευνα για τους νοσηλευθέντες στο σπίτι η παρακολούθηση περιλάμβανε
κλινικό και ακτινολογικό έλεγχο. Ο βακτηριολογικός έλεγχος δεν ήταν εφικτός, αλλά από την
κλινικοακτινολογική παρακολούθηση-εξέλιξη εξάγονται, κατά κανόνα, ασφαλή
συμπεράσματα ως προς την, από βακτηριολογική άποψη, εξέλιξη. Οι ασθενείς προσέρχονταν
κατά τακτά χρονικά διαστήματα και συγκεκριμένα: το πρώτο δίμηνο κάθε 15 ημέρες και στη
συνέχεια μία φορά τον μήνα. Παράλληλα, δρομολογήθηκε στενή «εποπτεία» των αρρώστων,
με συχνές επισκέψεις των επισκεπτριών νοσηλευτριών στο σπίτι τους, με στόχο την επιτόπια
εκτίμηση των συνθηκών περιβάλλοντος, διαβίωσης και νοσηλείας. Το μέτρο αυτό είχε
ουσιαστικότερη σημασία, κατά κύριο λόγο ψυχολογική, καθώς ο άρρωστος: 1.
συναισθανόταν ότι η ασθένειά του δεν είναι αμελητέα και γι’ αυτό έρχονταν οι ειδικοί στο
σπίτι του και 2. ένιωθε τη φροντίδα της πολιτείας, συνεργαζόμενος πολλές φορές
συγκινητικά.
Η εμπειρία του γιατρού θα έπρεπε να ξεχωρίσει τις ελάχιστες εκείνες περιπτώσεις, που θα
χρειαζόταν νοσοκομειακή νοσηλεία: αυτές αφορούσαν άτομα, που θα ήταν μάλλον βέβαιο
ότι δεν θα πειθαρχούσαν στις «εντολές». Ενδεικτικές περιπτώσεις θεωρούνται αλκοολικοί,
ψυχωσικοί, νοητικά υστερούντες ή άτομα με αντικοινωνική συμπεριφορά. Ο έλεγχος
διαμόλυνσης του περίγυρου δεν περιοριζόταν μόνο σε μια αρχική εκτίμηση της Mantoux
(δείκτης διαμόλυνσης), αλλά επαναλαμβανόταν τουλάχιστον 3 φορές. Μετά το τέλος της
θεραπείας, ο άρρωστος υποβαλλόταν σε ετήσιο έλεγχο με μία ακτινογραφία θώρακος. Τα
φάρμακα χορηγούνταν δωρεάν από την πολιτεία από 18-24 μήνες τα πρώτα χρόνια και 12-
14 μήνες στα επόμενα, ώστε το 1990 είχε φτάσει τους 12 μήνες. Μέχρι το 1972 ως
πρωτεύοντα αντιφυματικά φάρμακα χαρακτηρίζονταν το παρααμινοσαλικυλικό οξύ (PAS), η
ισονιαζίδη (ΙΝΗ) και η στρεπτομυκήνη (S). Μετά το 1972 προστέθηκαν και άλλα
αντιφυματικά φάρμακα όπως η ριφαμπικίνη, η αιθαμβουτόλη, η πυραζιναμίδη, τα οποία στη
συνέχεια χαρακτηρίστηκαν σαν πρωτεύοντα. Η ριφαμπικίνη χορηγούνταν μόνο
ενδονοσοκομειακά μέχρι το 1985 και ήταν ένας πρόσθετος λόγος για τη νοσοκομειακή
νοσηλεία των ασθενών.
Στα πρώτα χρόνια της έρευνας το ποσοστό των ασθενών που νοσηλεύονταν στο
νοσοκομείο ξεπερνούσε το 40% και οι ημέρες νοσηλείας μόνο το 1978 έφτασαν τις 10.000
ετησίως. Από το 1991 και μετά οι ασθενείς παραπέμπονταν στο νοσοκομείο μόνο για λόγους
κοινωνικούς. Στη χώρα μας, όχι μόνο προτείνεται η νοσοκομειακή νοσηλεία (οδηγία του
ΚΕΕΛΠΝΟ το 2006 για την αντιμετώπιση της φυματίωσης), αλλά σε ειδικούς θαλάμους με
αρνητική πίεση σαν να πρόκειται για τη γρίπη από τον ιό SIRS ή τη γρίπη των πτηνών και σε
περίπτωση έλλειψης αυτών σε μονόκλινα ή δίκλινα δωμάτια με ανανέωση του αέρα 12 φορές
την ώρα και χρησιμοποίηση λαμπτήρων υπεριώδους ακτινοβολίας στο ανώτερο τμήμα αυτών
(πολυδάπανη νοσηλεία χωρίς ουσιαστικό όφελος). Έχει παρατηρηθεί ότι η διαμόλυνση στο
περιβάλλον του ασθενούς παραμένει η ίδια, είτε νοσηλευτεί στο σπίτι είτε στο νοσοκομείο,
γιατί αυτή γίνεται πριν από την ανακάλυψη του αρρώστου. Εξάλλου με τη νέα
χημειοθεραπεία, σχεδόν όλοι οι άρρωστοι με την κατάλληλη αγωγή 2-3 εβδομάδων δεν
μεταδίδουν τη νόσο. Κατά την 25ετία (1976-2000) αντιμετωπίστηκαν θεραπευτικά πάνω από
2.000 ασθενείς με πνευμονική φυματίωση από το αντιφυματικό ιατρείο Κομοτηνής, εκ των
οποίων οι περισσότεροι από 1.200 εξολοκλήρου στο σπίτι και μεταξύ αυτών 100 παιδιά
ηλικίας από 6 μηνών μέχρι 12 ετών με απόλυτη επιτυχία λόγω ανάγκης, καθώς η νοσηλεία
παιδιών με φυματίωση ήταν εφικτή μόνο στο νοσοκομείο ειδικών παθήσεων της
Θεσσαλονίκης (πρώην Λοιμωδών). Σε περιπτώσεις μαθητών και ιδίως Μέσης Εκπαίδευσης
ελαμβάνετο μέριμνα ώστε να μην χάσουν το έτος σπουδών, που θα επιβάρυνε ψυχολογικά
την κατάσταση της υγείας τους. Οι περιπτώσεις που νοσηλεύονταν στο νοσοκομείο
υποχρεωτικά ήταν οι με οξεία κεχροειδή, φυματιώδη μηνιγγίτιδα και φυματιώδη καχεξία.
Η φαρμακευτική αγωγή ήταν πάντα τριπλή καθ’ όλη τη διάρκεια της θεραπείας με R1
-M2
-
INH3
και σε βαριές περιπτώσεις με εκτεταμένες βλάβες χορηγούταν και 4ο
φάρμακο Z ή S το
πρώτο δίμηνο της θεραπείας. Κατά τη διάρκεια της έρευνας οι υποτροπές της νόσου
ανέρχονταν σε 3,2% και οι θάνατοι στο 1,3%, που οφείλονταν κύρια στη φυματίωση από τη
φυματιώδη μηνιγγίτιδα και φυματιώδη καχεξία. Παρατηρήθηκαν θάνατοι στο 1%, που
οφείλονταν στην ανάπτυξη καρκίνου επάνω σε ουλώδεις επεξεργασίας με εκτεταμένες
υπολειμματικές βλάβες σε άτομα μεγάλης ηλικίας και συνήθως στους καπνιστές και αυτό
επισυνέβαινε σε λίγα χρόνια από το τέλος επιτυχούς αντιφυματικής θεραπείας (1,5 έως 5
χρόνια). Οι επιπλοκές που διαπιστώθηκαν από τη λήψη αντιφυματικών φαρμάκων ήταν
ελάχιστες κατά τη διάρκεια της 25ετίας. Την πνευμονική φυματίωση τη μονοπωλεί το
κλασσικό μυκοβακτηρίδιο, ενώ στην εκδήλωσή της τα αναφερόμενα παλαιότερα άτυπα
μυκοβακτηρίδια είχαν μηδαμινή συμμετοχή και τη θέση τους πήραν τα ανθεκτικά (για
συντεχνιακούς λόγους). Τα ανθεκτικά δε που προβάλλονται σήμερα έως έναν βαθμό
προκαλούνται από όσους προτείνουν ακόμη: 1. τη χημειοπροφύλαξη, δηλαδή τη χορήγηση
INH για έναν χρόνο, και 2. τα βραχυχρόνια θεραπευτικά σχήματα. Το 1991
πραγματοποιήθηκε ερευνητικό πρόγραμμα του Υπουργείου Υγείας στον Ν. Ροδόπης της
διαμόλυνσης του γενικού πληθυσμού και επικεντρώθηκε σε οικισμούς που αντιπροσώπευαν
το 45% του προβλήματος της φυματίωσης στον Νομό. Με τη διενέργεια Mantoux στο 1/10
του πληθυσμού, διαπιστώθηκαν 14 νέες αγνοούμενες περιπτώσεις ενεργούς φυματίωσης,
δηλαδή 1/3 των περιπτώσεων που δηλώθηκαν το 1992 (ενεργητική ανακάλυψη της
νόσου).
1
R = Ριφαμπικίνη S = Στρεπτομυκήνη
2
Μ= Αιθαμβουτόλη Z = Πυραζιναμίδη
3
ΙΝΗ = Ισονιαζίδη
Όλες οι πολιτισμένες χώρες έχουν γνώση του προβλήματος της φυματίωσης και ανάλογο
προγραμματισμό για την καταπολέμησή της, με καταγραφή ανά 5ετία των Mantoux + στον
γενικό πληθυσμό και την παρακολούθησή τους δια βίου με μία ακτινογραφία θώρακος.
2. Φυματίωση
Η φυματίωση, μια παθογενετικά περίεργη – μέχρι ανεξήγητη – νόσος, είναι πολύ φυσικό
να παρουσιάζεται ακτινολογικά υπό διάφορες εικόνες. Η εισαγωγή του φυματικού δράματος,
με σπανιότερες εξαιρέσεις, αναφέρεται στην:
Πρωτοπαθή Εστία (Π.Ε.) ή έλκος ενοφθαλμισμού ή εστία του Ghon. Φυσικό είναι από
τη συγκεκριμένη εστία να αναζητούνται οι πρώτες ακτινολογικές ενδείξεις. Στην πλειονότητα
των περιπτώσεων η Π.Ε. δεν φαίνεται ακτινογραφικά. Όταν, ανάλογα με το μέγεθός της,
φαίνεται, παρουσιάζει τα εξής χαρακτηριστικά:
1) Η κατανομή της αφορά όλο το πνευμονικό παρέγχυμα με μαθηματικό μοντέλο,
δηλαδή ανάλογα με την έκταση του παρεγχύματος κατανέμονται οι Π.Ε.
2) Η πρωτοπαθής εστία είναι μονήρης, με σπάνιες εξαιρέσεις, όταν γίνεται
ταυτόχρονος ενοφθαλμισμός μυκοβακτηριδίων (μβ) σε 2 ή και 3 σημεία.
(Σημείωση: μετά τον ενοφθαλμισμό του μυκοβακτηριδίου τροποποιείται η
ανοσιακή συμπεριφορά του ξενιστή, κατά τρόπο που μια νέα εισβολή
αντιμετωπίζεται διαφορετικά). Συνηθέστατο το φαινόμενο η Π.Ε. να
ανακαλύπτεται, ακτινολογικά, όταν επασβεστιωθεί. Στην καθημερινότητα η
επασβεστιωμένη Π.Ε. αναφέρεται με τον παντελώς αδόκιμο όρο «αποτιτάνωση»
ή τον λανθασμένο «επασβέστωση». Η ανεύρεση επασβεστιωμένης Π.Ε. σημαίνει
ότι η πρωτομόλυνση έγινε πριν 2 ή 3 χρόνια. Και επομένως η ανησυχία μπροστά
σε μια επασβεστιωμένη Π.Ε. είναι ετεροχρονισμένη και αναιτιολόγητη, εφόσον
δεν υπάρχουν άλλα ακτινολογικά ευρήματα, όπως π.χ. εστίες αιματικής
διασποράς.
Πολύ κοντά στην Π.Ε., χρονικά και τοπικά, είναι το πρωτοπαθές σύμπλεγμα που, σε
αδρές γραμμές, έχει δύο πόλους: την Π.Ε. και τη δορυφόρο αδενίτιδα (από τη λεμφική
διασπορά). Πιο συχνά η αδενίτιδα είναι το μόνο ακτινολογικό εύρημα της φυματικής
πρωτομόλυνσης. Η αδενίτιδα αυτή περιγράφεται – ή περιγραφόταν – ως αδενοπάθεια. Το
λεμφαγγείο, μέσω του οποίου το μβ οδεύει από την Π.Ε. στον λεμφαδένα, ενώ
βιβλιογραφικά αναφέρεται, πρακτικά είναι ακτινολογικά αόρατο. Η φυματική λεμφαδενίτιδα
παθογενετικά είναι ετερόπλευρη. Σε πολύ «δραστικές» πρωτομολύνσεις το μβ είναι δυνατόν
να ξεπεράσει τη «μέση γραμμή». Θεωρητικά αμφίπλευρη αδενοπάθεια είναι δυνατή σε
ταυτόχρονη μόλυνση στους δύο πνεύμονες.
Δεν σπανίζει το φαινόμενο να ανακαλύπτεται η Π.Ε. και η αδενίτιδα σε στάδιο
επασβεστίωσης. Η συμμετοχή του ή των λεμφαδένων θα δώσει ανάλογα με τη θέση και την
έκταση διάφορες ακτινολογικές εικόνες. Αυτές αφορούν ατελεκτασίες. Πιο συγκεκριμένα:
ο αδένας που προσβλήθηκε μετά την εντόπιση στην Π.Ε. φράσσει τον βρόγχο και δημιουργεί
αυτός πλέον, ένα μείζον πρόβλημα. Αρκετά παλαιά η εικόνα αυτή περιγραφόταν με τον
γραφικό, αλλά αδόκιμο όρο «επιφυματίωση». Η Π.Ε. – κατά κανόνα – αυτοϊάται. Από τις
έρευνες των συγγραφέων, σε ποσοστό 95% παρατηρείται αυτοΐαση, σε ποσοστό 75% δεν
αποκαλύπτεται ακτινολογικά η πρωτοπαθής εστία, ενώ σε ποσοστό 20% με επασβεστίωση
του πρωτοπαθούς συμπλέγματος και σε ποσοστό 5% παρατηρούνται νοσηρές εκδηλώσεις.
(Παρατηρήσεις από 1644 μολυνθέντες από φυματίωση, ηλικίας 11-18 ετών, στον Νομό
Ροδόπης). Περιστασιακά η Π.Ε. εξελίσσεται δυσμενώς και δημιουργείται «πύκνωση», που
καταλήγει σε νέκρωση, δηλαδή δημιουργία φυματικού σπηλαίου, που περιγράφεται ως
πρωτοπαθές σπήλαιο. Ως προς τον μηχανισμό γενέσεώς του, θα πιθανολογηθεί μια ισχυρή
μόλυνση, ατελεκτασία, κλπ. Σήμερα μάλλον σπανίζει.
Περαιτέρω ακτινολογικές εικόνες
Από την Π.Ε. το μυκοβακτηρίδιο περνάει ανεμπόδιστο στο αίμα – δεν κάμπτεται από την
αντίσταση των λεμφαδένων. Η αιματική διασπορά του μβ συνιστά κανόνα, χωρίς εξαιρέσεις.
Και, δοθέντος ότι το μβ «αγαπά» τις κορυφές, εγκαθίσταται (εγκλωβίζεται;) στα ανώτερα
πνευμονικά πεδία*. Ακραία, δυσμενής, παλαιότερα πάντα θανατηφόρος, υπήρξε η
κεχροειδής φυματίωση. Νομοτελειακά η προαναφερθείσα εγκατάσταση δημιουργεί
μικροοζώδεις σχηματισμούς, που συνήθως επασβεστιώνονται και περιγράφονται ως
πρωτοπαθείς εστίες (Simon). Έχει μεγάλη πρακτική σημασία η αναζήτηση και
παρακολούθηση των συγκεκριμένων εστιών, γιατί συναποτελούν το «κλειδί» της χρόνιας
πνευμονικής φυματίωσης, καθώς από αυτές ξεκινά – με σπάνιες εξαιρέσεις – η κλασική
φυματίωση.
Χρόνια Πνευμονική Φυματίωση (Χ.Π.Φ.)
Οι ακτινολογικές εικόνες ποικίλουν, με κύριο εκπρόσωπο το σπήλαιο. Προσφιλέστερα
εντοπίζονται στις κορυφές των πνευμόνων και στο κορυφαίο τμήμα των κάτω λοβών. Άλλα
σημεία εντοπισμού, π.χ. σε κατώτερα τμήματα, αφορούν διαφορετικό παθογενετικό
μηχανισμό. Τα σπήλαια περιγράφονται ως δακτυλιοειδείς σκιάσεις, καθώς ακτινολογικά το
τοίχωμά τους είναι «σκιερό», ενώ το «περιεχόμενό» τους – αφαιρουμένων των επιπροβολών
– ως περιέχον αέρα, διαυγάζει. Στην αποκάλυψη του σπηλαίου συμβάλλει η κατακράτηση
υγρού. Παρατηρείται υγραερική εικόνα, που δεν είναι πάντοτε παθογνωμική της Χ.Π.Φ. Η εν
λόγω εικόνα δεν φαινόταν στην καταργηθείσα τομογραφία, που κλασικά λαμβανόταν σε
κατάκλιση. Η εικόνα του σπηλαίου, όπως προαναφέρθηκε, δεν συνιστά αποκλειστικό
προνόμιο της Χ.Π.Φ. Παρατηρείται σε μεγάλη γκάμα πνευμονοπαθειών. Οι ακτινολογικές
αλλοιώσεις της Χ.Π.Φ. περιγράφονται (ή μάλλον περιφράφονταν) με ιστοπαθολογικούς
όρους: εξιδρωματικές παραγωγικές, ινώδεις ή ινωδοσκληρυντικές, με κατιούσα βαρύτητα.
Καταφανώς, με βάση την ποικιλία των συγκεκριμένων αλλοιώσεων, οι ακτινολογικές
απεικονίσεις της Χ.Π.Θ. είναι άπειρες. Ως εκ τούτου, ο Χρήστος Βάμβαλης, με πολυετή
εμπειρία στη μελέτη, ακαδημαϊκή διδασκαλία και θεραπεία του θώρακα, επισημαίνει:
Μπροστά σε μια περίεργη ακτινολογική εικόνα, μην ξεχνάτε τη φυματίωση». Πρόκειται για
επισήμανση βαρύνουσας σημασίας ειδικά σήμερα, τη στιγμή που η εξοικείωση των γιατρών
με τη φυματίωση διολισθαίνει. Ωστόσο, ορισμένες εικόνες χαρακτηρίζονται αποκαλυπτικές –
κατά το μάλλον ή ήττον – της ανενεργούς, πια, Π.Φ, στις οποίες αναφέρονται γραμμοειδής
σκιάσεις, δηλωτικές ινώσεων, επασβεστιώσεις, μικρότερες ή μεγαλύτερες ρικνώσεις του
πνευμονικού παρεγχύματος, που έμμεσα αναδεικνύονται από μετατοπίσεις ανατομικών
δομών, όπως οι μεσολόβιες σχισμές, η πύλη, η τραχεία, τα αγγειακά στελέχη, κλπ.
ΥΠΟΜΝΗΜΑ
Για τις περιπτώσεις της χρόνιας πνευμονικής φυματίωσης:
Α/Α Φ Η ΤΡΟΠΟΣ ΔΙΑΓΝΩΣΗΣ ΑΚΤΙΝΟΓΡΑΦΙΑ ΑΝΤΙΦΥΜΑΤΙΚΗ ΑΓΩΓΗ ΔΘ ΕΚΒΑΣΗ
ΠΕΛ ΤΕ ΝΣ Π.Ε. Μ.Ε. Λ.Ε. R ΙΝΗ Μ Z S Νοσ.
Σπ.
ΙΑ Ιν.Στ. Υπ.Βλ ΕΠ Θ.
Α/Α: αύξων αριθμός ΠΕ: Περιορισμένης Έκτασης R: Ριφαμπικίνη
Φ: Φύλο ΜΕ: Μέσης έκτασης ΙΝΗ: Ισονιαζίδη
Η: Ηλικία ΛΕ: Λίαν Εκτεταμένη Μ: Εθαμπουτόλη
ΤΕ: Τυχαίο εύρημα ΔΘ: Διάρκεια θεραπείας (σε μήνες) Ζ: Πυραζιναμίδη
ΝΣ: Νόσηση S: Στρεπτομυκήνη
Νοσ.: Νοσοκομείο
Σ: Σπίτι
ΙΑ: Ίαση- πλήρης ακτινολογική αποκατάσταση
Ιν. Στ.: Ινώδη Στοιχεία
Υπ. Βλ: υπολλειματικές βλάβες
Θ.: Θάνατος
Για την παιδική φυματίωση και τις υγρές πλευρίτιδες:
Α/Α Φ Η ΤΡΟΠΟΣ ΔΙΑΓΝΩΣΗΣ ΑΚΤΙΝΟΓΡΑΦΙΑ ΑΝΤΙΦΥΜΑΤΙΚΗ ΑΓΩΓΗ ΔΘ ΕΚΒΑΣΗ
ΠΕΛ ΤΕ ΝΣ + ++ +++ R ΙΝΗ Μ Z S Νοσ.
Σπ.
ΙΑ Ιν.Στ. Υπ.Βλ ΕΠ Θ.
Α/Α: αύξων αριθμός +: Ασθενείς ενδείξεις R: Ριφαμπικίνη
Φ: Φύλο ++: Ισχυρεές Ενδείξεις ΙΝΗ: Ισονιαζίδη
Η: Ηλικία +++: Παθογνωμονική εικόνα Μ: Εθαμπουτόλη
ΤΕ: Τυχαίο εύρημα ΔΘ: Διάρκεια θεραπείας (σε μήνες) Ζ: Πυραζιναμίδη
ΝΣ: Νόσηση S: Στρεπτομυκήνη
Νοσ.: Νοσοκομείο
Σ: Σπίτι
ΙΑ: Ίαση- πλήρης ακτινολογική αποκατάσταση
Ιν. Στ.: Ινώδη Στοιχεία
Υπ. Βλ: υπολλειματικές βλάβες
Θ.: Θάνατος
ΦΥΜΑΤΙΩΣΗ
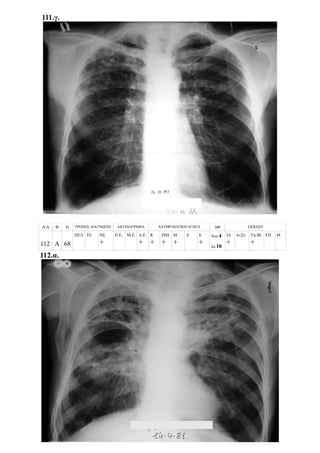
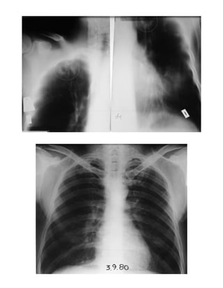
Πρωτοπαθής εστία εν ενεργεία
Περίπτωση 1:
Α/Α Φ Η ΤΡΟΠΟΣ ΔΙΑΓΝΩΣΗΣ ΑΚΤΙΝΟΓΡΑΦΙΑ ΑΝΤΙΦΥΜΑΤΙΚΗ ΑΓΩΓΗ ΔΘ ΕΚΒΑΣΗ
1 Α 11 ΠΕΛ
+
ΤΕ ΝΣ +
+
++ +++ R
+
ΙΝΗ
+
Μ
+
Z S Νοσ.
Σπ. 14
ΙΑ
+
Ιν.Στ. Υπ.Βλ ΕΠ Θ.
16-12-78
19-12-78
26-11-79
26-11-79
Περίπτωση 2η:
Α/Α Φ Η ΤΡΟΠΟΣ ΔΙΑΓΝΩΣΗΣ ΑΚΤΙΝΟΓΡΑΦΙΑ ΑΝΤΙΦΥΜΑΤΙΚΗ ΑΓΩΓΗ ΔΘ ΕΚΒΑΣΗ
2 Α 12 ΠΕΛ
+
ΤΕ ΝΣ +
+
++ +++
R+ ΙΝΗ
+
Μ+ Z S Νοσ.
Σπ.14
ΙΑ+ Ιν.Στ. Υπ.Βλ ΕΠ Θ.
07-08-80
Περίπτωση 3η:
Α/Α Φ Η ΤΡΟΠΟΣ ΔΙΑΓΝΩΣΗΣ ΑΚΤΙΝΟΓΡΑΦΙΑ ΑΝΤΙΦΥΜΑΤΙΚΗ ΑΓΩΓΗ ΔΘ ΕΚΒΑΣΗ
3 Θ 11 ΠΕΛ
+
ΤΕ ΝΣ
++ ++ +++
R+ ΙΝΗ
+
Μ+ Z S Νοσ.
Σπ.14
ΙΑ+ Ιν.Στ. Υπ.Βλ ΕΠ Θ.
Περίπτωση 4η:
Α/Α Φ Η ΤΡΟΠΟΣ ΔΙΑΓΝΩΣΗΣ ΑΚΤΙΝΟΓΡΑΦΙΑ ΑΝΤΙΦΥΜΑΤΙΚΗ ΑΓΩΓΗ ΔΘ ΕΚΒΑΣΗ
4 Α 11 ΠΕΛ
+
ΤΕ ΝΣ +
+
++ +++ R
+
ΙΝΗ
+
Μ
+
Z S Νοσ..
Σπ.14
ΙΑ
+
Ιν.Στ. Υπ.Βλ ΕΠ
+
Θ.
Περίπτωση 5η:
Α/Α Φ Η ΤΡΟΠΟΣ ΔΙΑΓΝΩΣΗΣ ΑΚΤΙΝΟΓΡΑΦΙΑ ΑΝΤΙΦΥΜΑΤΙΚΗ ΑΓΩΓΗ ΔΘ ΕΚΒΑΣΗ
5 Θ 11 ΠΕΛ
+
ΤΕ ΝΣ
++ ++ +++
R+ ΙΝΗ
+
Μ+ Z S Νοσ.
Σπ.12 ΙΑ+ Ιν.Στ. Υπ.Βλ ΕΠ
+
Θ.
12-11-85
25-04-89
Περίπτωση 6η:
Α/Α Φ Η ΤΡΟΠΟΣ ΔΙΑΓΝΩΣΗΣ ΑΚΤΙΝΟΓΡΑΦΙΑ ΑΝΤΙΦΥΜΑΤΙΚΗ ΑΓΩΓΗ ΔΘ ΕΚΒΑΣΗ
6 Θ 11 ΠΕΛ
+
ΤΕ ΝΣ + ++
+
+++ R
+
ΙΝΗ
+
Μ
+
Z S Νοσ.
Σπ.12
ΙΑ
+
Ιν.Στ. Υπ.Βλ ΕΠ
+
Θ.
Περίπτωση 7η:
Α/Α Φ Η ΤΡΟΠΟΣ ΔΙΑΓΝΩΣΗΣ ΑΚΤΙΝΟΓΡΑΦΙΑ ΑΝΤΙΦΥΜΑΤΙΚΗ ΑΓΩΓΗ ΔΘ ΕΚΒΑΣΗ
7 Α 11 ΠΕΛ
+
ΤΕ ΝΣ
++ ++ +++
R+ ΙΝΗ
+
Μ+ Z S Νοσ.
Σπ.12 ΙΑ+ Ιν.Στ. Υπ.Βλ ΕΠ
+
Θ.
20-02-92
02-04-92
02-04-92
20-07-96
Περίπτωση 8η:
Α/Α Φ Η ΤΡΟΠΟΣ ΔΙΑΓΝΩΣΗΣ ΑΚΤΙΝΟΓΡΑΦΙΑ ΑΝΤΙΦΥΜΑΤΙΚΗ ΑΓΩΓΗ ΔΘ ΕΚΒΑΣΗ
8 Θ 11 ΠΕΛ
+
ΤΕ ΝΣ
++ ++ +++
R+ ΙΝΗ
+
Μ+ Z S Νοσ.
Σπ.12 ΙΑ+ Ιν.Στ. Υπ.Βλ ΕΠ
+
Θ.
04-01-94
20-10-98
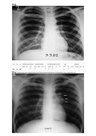
9. Μαθητής ηλικίας 12 ετών, υποβλήθηκε, σε πανεπιστημιακή παιδιατρική κλινική, σε αντιφυματική θεραπεία.
Από την επασβεστίωση του πυλαία αδένα σύστοιχα αποκλείστηκε η φυματιώδης φύση της βλάβης, και από το
γεγονός της παραμονής της σκιάς μετά την εφαρμογή της αντιφυματικής θεραπείας, επιβεβαιώθηκε. Η φύσις της
σκιάς παρέμεινε αμετάβλητη και παθογενετικά απροσδιόριστη. Επισήμανση: η ανεύρεση εν ενεργεία π.ε.
αναφέρεται σε πολύ μικρό ποσοστό, της τάξης του 1%, όπως προκύπτει από έρευνά μας σε 1644 περιπτώσεις
φυματικής πρωτομόλυνσης στο νομό Ροδόπης.
9.α.
9.β.
9.γ.
9.δ.
27-04-89
Πρωτοπαθές σύμπλεγμα εν ενεργεία
Περίπτωση 10η:
Α/Α Φ Η ΤΡΟΠΟΣ ΔΙΑΓΝΩΣΗΣ ΑΚΤΙΝΟΓΡΑΦΙΑ ΑΝΤΙΦΥΜΑΤΙΚΗ ΑΓΩΓΗ ΔΘ ΕΚΒΑΣΗ
10 Θ 2 ΠΕΛ ΤΕ ΝΣ
+
+ ++ +++
+
R
+
ΙΝΗ
+
Μ
+
Z S Νοσ.
Σπ.14
ΙΑ
+
Ιν.Στ. Υπ.Βλ ΕΠ
+
Θ.
10.α. Επαφή
10.β.
10.γ.
Περίπτωση 11η:
Α/Α Φ Η ΤΡΟΠΟΣ ΔΙΑΓΝΩΣΗΣ ΑΚΤΙΝΟΓΡΑΦΙΑ ΑΝΤΙΦΥΜΑΤΙΚΗ ΑΓΩΓΗ ΔΘ ΕΚΒΑΣΗ
11 Α 9
μηνών
ΠΕΛ ΤΕ ΝΣ
+
+ ++ +++
+
R
+
ΙΝΗ
+
Μ
+
Z S Νοσ.
Σπ.14
ΙΑ
+
Ιν.Στ. Υπ.Βλ ΕΠ
+
Θ.
11.α. Επαφή
11.β.
09-11-76
11.γ.
11.δ.
21-05-77
01-08-78
11.ε.
26-03-81
Περίπτωση 12η:
Α/Α Φ Η ΤΡΟΠΟΣ ΔΙΑΓΝΩΣΗΣ ΑΚΤΙΝΟΓΡΑΦΙΑ ΑΝΤΙΦΥΜΑΤΙΚΗ ΑΓΩΓΗ ΔΘ ΕΚΒΑΣΗ
12 Α 1.5 ΠΕΛ ΤΕ ΝΣ
+
+ ++ +++
+
R
+
ΙΝΗ
+
Μ
+
Z S Νοσ.
Σπ.12
ΙΑ
+
Ιν.Στ. Υπ.Βλ ΕΠ
+
Θ.
12.α. Επαφή
12.β.
6/5/1997
14/4/1997
12.γ.
12.δ.
3/9/1998
4/8/99
Πυλαία Αδενίτις
Περίπτωση 13η:
Α/Α Φ Η ΤΡΟΠΟΣ ΔΙΑΓΝΩΣΗΣ ΑΚΤΙΝΟΓΡΑΦΙΑ ΑΝΤΙΦΥΜΑΤΙΚΗ ΑΓΩΓΗ ΔΘ ΕΚΒΑΣΗ
13 Θ 14
ΠΕΛ ΤΕ ΝΣ
+
+ ++ +++
+
R
+
ΙΝΗ
+
Μ
+
Z S Νοσ.
Σπ.14
ΙΑ
+
Ιν.Στ. Υπ.Βλ ΕΠ Θ.
13.α.
13.β.
28/11/1979
13.γ.
13.δ.
28/11/1979
13.ε.
11/2/1981
Περίπτωση 14η:
Α/Α Φ Η ΤΡΟΠΟΣ ΔΙΑΓΝΩΣΗΣ ΑΚΤΙΝΟΓΡΑΦΙΑ ΑΝΤΙΦΥΜΑΤΙΚΗ ΑΓΩΓΗ ΔΘ ΕΚΒΑΣΗ
14 Θ 7
ΠΕΛ ΤΕ ΝΣ
+
+ ++ +++
+
R
+
ΙΝΗ
+
Μ
+
Z S Νοσ.
Σπ.14
ΙΑ
+
Ιν.Στ. Υπ.Βλ ΕΠ Θ.
14.α.
14.β.
30/4/1979
14.γ.
14.δ.
14.ε.
Περίπτωση 15η:
Α/Α Φ Η ΤΡΟΠΟΣ ΔΙΑΓΝΩΣΗΣ ΑΚΤΙΝΟΓΡΑΦΙΑ ΑΝΤΙΦΥΜΑΤΙΚΗ ΑΓΩΓΗ ΔΘ ΕΚΒΑΣΗ
15 Α 6
ΠΕΛ ΤΕ ΝΣ
+
+ ++ +++
+
R
+
ΙΝΗ
+
Μ
+
Z S Νοσ.
Σπ.12
ΙΑ
+
Ιν.Στ. Υπ.Βλ ΕΠ Θ.
15.α.
15.β.
28/5/1992
15.γ.
15.δ.
15.ε.
Περίπτωση 16η:
Α/Α Φ Η ΤΡΟΠΟΣ ΔΙΑΓΝΩΣΗΣ ΑΚΤΙΝΟΓΡΑΦΙΑ ΑΝΤΙΦΥΜΑΤΙΚΗ ΑΓΩΓΗ ΔΘ ΕΚΒΑΣΗ
16 Θ 10
ΠΕΛ ΤΕ ΝΣ
+
+ ++ +++
+
R
+
ΙΝΗ
+
Μ
+
Z S Νοσ.
Σπ.12
ΙΑ
+
Ιν.Στ. Υπ.Βλ ΕΠ Θ.
16.α. Επαφή
16.β.
3/3/1987
10-03-87
16.γ.
16.δ.
10/3/1987
18/5/1987
16.ε.
16.στ.
25/8/1987
9/6/1988
Περίπτωση 17η:
Α/Α Φ Η ΤΡΟΠΟΣ ΔΙΑΓΝΩΣΗΣ ΑΚΤΙΝΟΓΡΑΦΙΑ ΑΝΤΙΦΥΜΑΤΙΚΗ ΑΓΩΓΗ ΔΘ ΕΚΒΑΣΗ
17 Α 4
ΠΕΛ ΤΕ ΝΣ
+
+ ++ +++
+
R
+
ΙΝΗ
+
Μ
+
Z S Νοσ.
Σπ.12
ΙΑ
+
Ιν.Στ. Υπ.Βλ ΕΠ Θ.
17.α. Επαφή
17.β.
05-05-88
17.γ.
17.δ.
17.ε.
17.στ.
08-08-88
Περίπτωση 18η:
Α/Α Φ Η ΤΡΟΠΟΣ ΔΙΑΓΝΩΣΗΣ ΑΚΤΙΝΟΓΡΑΦΙΑ ΑΝΤΙΦΥΜΑΤΙΚΗ ΑΓΩΓΗ ΔΘ ΕΚΒΑΣΗ
18 Θ 3
ΠΕΛ ΤΕ ΝΣ
+
+ ++ +++
+
R
+
ΙΝΗ
+
Μ
+
Z S Νοσ.
Σπ.12
ΙΑ
+
Ιν.Στ. Υπ.Βλ ΕΠ Θ.
18.α
18.β.
18.γ.
18.δ.
21-06-90
Περίπτωση 19η:
Α/Α Φ Η ΤΡΟΠΟΣ ΔΙΑΓΝΩΣΗΣ ΑΚΤΙΝΟΓΡΑΦΙΑ ΑΝΤΙΦΥΜΑΤΙΚΗ ΑΓΩΓΗ ΔΘ ΕΚΒΑΣΗ
19 Θ 11
ΠΕΛ ΤΕ ΝΣ
+
+ ++ +++
+
R
+
ΙΝΗ
+
Μ
+
Z S Νοσ.
Σπ.14
ΙΑ
+
Ιν.Στ. Υπ.Βλ ΕΠ Θ.
19.α.
19.β.
9 εκ.
19.γ.
19.δ.
14/11/78
12 εκ.
Περίπτωση 20η:
Α/Α Φ Η ΤΡΟΠΟΣ ΔΙΑΓΝΩΣΗΣ ΑΚΤΙΝΟΓΡΑΦΙΑ ΑΝΤΙΦΥΜΑΤΙΚΗ ΑΓΩΓΗ ΔΘ ΕΚΒΑΣΗ
20 Θ 8
ΠΕΛ ΤΕ ΝΣ
+
+ ++
+
+++ R
+
ΙΝΗ
+
Μ
+
Z S Νοσ.
Σπ.14
ΙΑ
+
Ιν.Στ. Υπ.Βλ ΕΠ Θ.
20.α. Επαφή
20.β.
29/4/1983
Περίπτωση 21η:
Α/Α Φ Η ΤΡΟΠΟΣ ΔΙΑΓΝΩΣΗΣ ΑΚΤΙΝΟΓΡΑΦΙΑ ΑΝΤΙΦΥΜΑΤΙΚΗ ΑΓΩΓΗ ΔΘ ΕΚΒΑΣΗ
21 Θ 7
ΠΕΛ ΤΕ ΝΣ
+
+ ++ +++
+
R
+
ΙΝΗ
+
Μ
+
Z S Νοσ.
Σπ.12
ΙΑ
+
Ιν.Στ. Υπ.Βλ ΕΠ Θ.
21.α.
21.β.
6/9/1996
Περίπτωση 22η:
Α/Α Φ Η ΤΡΟΠΟΣ ΔΙΑΓΝΩΣΗΣ ΑΚΤΙΝΟΓΡΑΦΙΑ ΑΝΤΙΦΥΜΑΤΙΚΗ ΑΓΩΓΗ ΔΘ ΕΚΒΑΣΗ
22 Θ 7
ΠΕΛ ΤΕ ΝΣ
+
+ ++
+
+++ R
+
ΙΝΗ
+
Μ
+
Z S Νοσ.
Σπ.14
ΙΑ
+
Ιν.Στ. Υπ.Βλ ΕΠ Θ.
22.α. Επαφή
4/5/1978
22.β.
22.γ.
13-11-78
Περίπτωση 23η:
Α/Α Φ Η ΤΡΟΠΟΣ ΔΙΑΓΝΩΣΗΣ ΑΚΤΙΝΟΓΡΑΦΙΑ ΑΝΤΙΦΥΜΑΤΙΚΗ ΑΓΩΓΗ ΔΘ ΕΚΒΑΣΗ
23 Α 14
ΠΕΛ ΤΕ ΝΣ
+
+ ++
+
+++ R
+
ΙΝΗ
+
Μ
+
Z S Νοσ.
Σπ.14
ΙΑ
+
Ιν.Στ. Υπ.Βλ ΕΠ Θ.
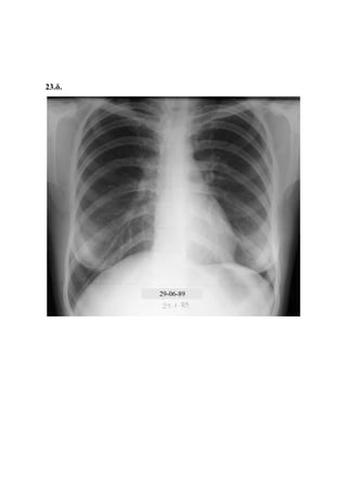
23.α. Επαφή
23.β.
Περίπτωση 24η:
Α/Α Φ Η ΤΡΟΠΟΣ ΔΙΑΓΝΩΣΗΣ ΑΚΤΙΝΟΓΡΑΦΙΑ ΑΝΤΙΦΥΜΑΤΙΚΗ ΑΓΩΓΗ ΔΘ ΕΚΒΑΣΗ
24 Α 14
ΠΕΛ ΤΕ ΝΣ
+
+ ++ +++
+
R
+
ΙΝΗ
+
Μ
+
Z S Νοσ.
Σπ.14
ΙΑ
+
Ιν.Στ. Υπ.Βλ ΕΠ Θ.
24.α.
24.β.
Περίπτωση 25η:
Α/Α Φ Η ΤΡΟΠΟΣ ΔΙΑΓΝΩΣΗΣ ΑΚΤΙΝΟΓΡΑΦΙΑ ΑΝΤΙΦΥΜΑΤΙΚΗ ΑΓΩΓΗ ΔΘ ΕΚΒΑΣΗ
25 Θ 14
ΠΕΛ ΤΕ ΝΣ
+
+ ++ +++
+
R
+
ΙΝΗ
+
Μ
+
Z S Νοσ.2
Σπ.12
ΙΑ
+
Ιν.Στ. Υπ.Βλ
+
ΕΠ Θ.
25.α.
25.β.
12/2/1977
12/2/1977
25.γ.
25.δ.
12/2/1977
Περίπτωση 26:
Α/Α Φ Η ΤΡΟΠΟΣ ΔΙΑΓΝΩΣΗΣ ΑΚΤΙΝΟΓΡΑΦΙΑ ΑΝΤΙΦΥΜΑΤΙΚΗ ΑΓΩΓΗ ΔΘ ΕΚΒΑΣΗ
26 Θ 2
ΠΕΛ ΤΕ ΝΣ
+
+ ++ +++
+
R
+
ΙΝΗ
+
Μ
+
Z S Νοσ.
Σπ.14
ΙΑ
+
Ιν.Στ. Υπ.Βλ ΕΠ Θ.
26.α. Επαφή
Ύστερα από 8 μηνών χημειοπροφύλαξη με PAS (παρααμυνοσαλικυλικό οξύ) και ισονιαζίδη με θετική Mantoux
μόνο και φυσιολογική ακτινογραφία θώρακος, παρουσίασε πυλαία αδενίτιδα με ατελεκτασία του δεξιού άνω λοβού.
26.β.
21-04-80
08-05-80
26.γ.
26.δ.
02-07-80
16-12-80
26.ε.
Υγρά Πλευρίτις
Περίπτωση 27η:
Α/Α Φ Η ΤΡΟΠΟΣ ΔΙΑΓΝΩΣΗΣ ΑΚΤΙΝΟΓΡΑΦΙΑ ΑΝΤΙΦΥΜΑΤΙΚΗ ΑΓΩΓΗ ΔΘ ΕΚΒΑΣΗ
27 Α 12
ΠΕΛ ΤΕ ΝΣ
+
+ ++ +++
+
R
+
ΙΝΗ
+
Μ
+
Z S Νοσ.
Σπ.12
ΙΑ
+
Ιν.Στ. Υπ.Βλ ΕΠ Θ.
27.α.
27.β.
Φυσιολογική ακτινογραφία σαν επαφή
27.γ.
27.δ.
24-04-89
Περίπτωση 28η:
Α/Α Φ Η ΤΡΟΠΟΣ ΔΙΑΓΝΩΣΗΣ ΑΚΤΙΝΟΓΡΑΦΙΑ ΑΝΤΙΦΥΜΑΤΙΚΗ ΑΓΩΓΗ ΔΘ ΕΚΒΑΣΗ
28 Θ 10
ΠΕΛ ΤΕ ΝΣ
+
+ ++ +++
+
R
+
ΙΝΗ
+
Μ
+
Z S Νοσ.
Σπ.12
ΙΑ
+
Ιν.Στ. Υπ.Βλ ΕΠ Θ.
28.α.
28.β.
21/12/1989
1
2
Περίπτωση 29η:
Α/Α Φ Η ΤΡΟΠΟΣ ΔΙΑΓΝΩΣΗΣ ΑΚΤΙΝΟΓΡΑΦΙΑ ΑΝΤΙΦΥΜΑΤΙΚΗ ΑΓΩΓΗ ΔΘ ΕΚΒΑΣΗ
29 Α 12
ΠΕΛ
+
ΤΕ ΝΣ + ++
+
+++ R
+
ΙΝΗ
+
Μ
+
Z S Νοσ.
Σπ.14
ΙΑ
+
Ιν.Στ. Υπ.Βλ ΕΠ Θ.
29.α.
29.β.
Περίπτωση 30η:
Α/Α Φ Η ΤΡΟΠΟΣ ΔΙΑΓΝΩΣΗΣ ΑΚΤΙΝΟΓΡΑΦΙΑ ΑΝΤΙΦΥΜΑΤΙΚΗ ΑΓΩΓΗ ΔΘ ΕΚΒΑΣΗ
30 Θ 11
ΠΕΛ ΤΕ ΝΣ
+
+ ++ +++
+
R
+
ΙΝΗ
+
Μ
+
Z S Νοσ.1
Σπ.11
ΙΑ
+
Ιν.Στ. Υπ.Βλ ΕΠ Θ.
30.α.
30.β.
1/3/1988
30.γ.
Περίπτωση 31η:
Α/Α Φ Η ΤΡΟΠΟΣ ΔΙΑΓΝΩΣΗΣ ΑΚΤΙΝΟΓΡΑΦΙΑ ΑΝΤΙΦΥΜΑΤΙΚΗ ΑΓΩΓΗ ΔΘ ΕΚΒΑΣΗ
31 Θ 11
ΠΕΛ
+
ΤΕ ΝΣ +
+
++ +++ R
+
ΙΝΗ
+
Μ
+
Z S Νοσ.
Σπ.18
ΙΑ
+
Ιν.Στ. Υπ.Βλ ΕΠ Θ.
31.α.
31.β.
31.γ.
31.δ.
Ύστερα από 15 μήνες με τριπλή αντιφυματική αγωγή πρόσθετη πνευμονική
βλάβη η οποία υποχώρησε στην συνέχεια με την ίδια αγωγή.
31.ε.
31.στ.
Πνευμονική Φυματίωση
Περίπτωση 32η:
Α/Α Φ Η ΤΡΟΠΟΣ ΔΙΑΓΝΩΣΗΣ ΑΚΤΙΝΟΓΡΑΦΙΑ ΑΝΤΙΦΥΜΑΤΙΚΗ ΑΓΩΓΗ ΔΘ ΕΚΒΑΣΗ
32 Α 12
ΠΕΛ ΤΕ ΝΣ
+
+ ++ +++
+
R
+
ΙΝΗ
+
Μ
+
Z S Νοσ.
Σπ.12
ΙΑ
+
Ιν.Στ. Υπ.Βλ ΕΠ Θ.
32.α.
Ο άρρωστος πριν από 6 χρόνια είχε εμφανίσει οζώδες ερύθημα και πυλαία αδενίτιδα για τα οποία
είχε υποβληθεί σε αντιφυματική θεραπεία.
32.β.
32.γ.
32.δ.
32.ε.
Περίπτωση 33η:
Α/Α Φ Η ΤΡΟΠΟΣ ΔΙΑΓΝΩΣΗΣ ΑΚΤΙΝΟΓΡΑΦΙΑ ΑΝΤΙΦΥΜΑΤΙΚΗ ΑΓΩΓΗ ΔΘ ΕΚΒΑΣΗ
33 Θ 1
ΠΕΛ ΤΕ ΝΣ
+
+ ++ +++
+
R
+
ΙΝΗ
+
Μ
+
Z S Νοσ.
Σπ.14
ΙΑ
+
Ιν.Στ. Υπ.Βλ ΕΠ Θ.
33.α.
33.β.
19/9/1980
Επαφή ενός έτους
με ισχυρή πηγή μόλυνσης (μητέρα)
και διήθηση
δεξιού κάτω λοβού
33.γ.
33.δ.
11/12/1980
Με αντιφυματική θεραπεία στο σπίτι,
αποκατάσταση.
19-01-81
Τομογραφίες δεξιού πνεύμονα ασθενούς μητέρας με σπηλαιοποίηση του δεξιού άνω λοβού
33.ε.
11/7/1980
Μετά τη θεραπεία
19-06-81
Πριν τη θεραπεία
34. Βρέφος 3 μηνών που ζούσε σε περιβάλλον με ισχυρή πηγή μόλυνσης. Κατά τγην πρώτη επαφή
στο αντιφυματικό ιατρείο διαπιστώθηκε εικόνα οξείας κεχροειδούς φυματίωσης (ακτινογραφία Α),
πύκνωση λοβώδους κατανομής και περιορισμένη υπεζωκοτική αντίδραση. Τομογραφικά
διαπιστώθηκε παρεγχυματική τήξη (πρώιμο σπήλαιο), με ιδιαίτερα παθογενετικό μηχανισμό. Με
αντιφυματική θεραπεία σε νοσοκομείο για 2,5 μήνες και εν συνεχεία στο σπίτι για 12 μήνες,
αποκατάσταση.
34.α.
34.β.
Μετά τη θεραπεία
Α
Β
35. Μαθητής ηλικίας 12 ετών. Με αντιφυματική θεραπεία στο σπίτι για 14 μήνες, ίαση.
35.α.
35.β.
Μετά τη θεραπεία
Περιορισμένη διήθηση αριστεράς
κορυφοϋποκλειδίου χώρας-
τυχαίο εύρημα σε επιδημιολογικό έλεγχο.
16-10-84
Περίπτωση 36η:
Α/Α Φ Η ΤΡΟΠΟΣ ΔΙΑΓΝΩΣΗΣ ΑΚΤΙΝΟΓΡΑΦΙΑ ΑΝΤΙΦΥΜΑΤΙΚΗ ΑΓΩΓΗ ΔΘ ΕΚΒΑΣΗ
36 Α 11
ΠΕΛ
+
ΤΕ ΝΣ + ++
+
+++ R
+
ΙΝΗ
+
Μ
+
Z S Νοσ.
Σπ.14
ΙΑ
+
Ιν.Στ. Υπ.Βλ ΕΠ Θ.
36.α.
36.β.
Περιορισμένη διήθηση
δεξιά παραπυλαίως (βέλος).
36.γ.
4/6/1985
Περίπτωση 37η:
Α/Α Φ Η ΤΡΟΠΟΣ ΔΙΑΓΝΩΣΗΣ ΑΚΤΙΝΟΓΡΑΦΙΑ ΑΝΤΙΦΥΜΑΤΙΚΗ ΑΓΩΓΗ ΔΘ ΕΚΒΑΣΗ
37 Α 12
ΠΕΛ ΤΕ
+
ΝΣ + ++
+
+++ R
+
ΙΝΗ
+
Μ
+
Z S Νοσ.
Σπ.14
ΙΑ
+
Ιν.Στ. Υπ.Βλ ΕΠ Θ.
37.α.
37.β.
7/9/1983
Τυχαίο εύρημα
σε επιδημιολογικό έλεγχο:
διάχυτες διηθήσεις
αμφοτέρων των πνευμόνων.
6/10/1983
Περίπτωση 38η:
Α/Α Φ Η ΤΡΟΠΟΣ ΔΙΑΓΝΩΣΗΣ ΑΚΤΙΝΟΓΡΑΦΙΑ ΑΝΤΙΦΥΜΑΤΙΚΗ ΑΓΩΓΗ ΔΘ ΕΚΒΑΣΗ
38 Θ 14
ΠΕΛ ΤΕ ΝΣ
+
+ ++ +++
+
R
+
ΙΝΗ
+
Μ
+
Z S Νοσ.
Σπ.12
ΙΑ
+
Ιν.Στ. Υπ.Βλ ΕΠ Θ.
38.α.
38.β.
Πύκνωση αριστερού κάτω λοβού
από φυματίωση (φυματική λοβίτιδα).
38.γ.
38.δ.
10-09-92
Περίπτωση 39η:
Α/Α Φ Η ΤΡΟΠΟΣ ΔΙΑΓΝΩΣΗΣ ΑΚΤΙΝΟΓΡΑΦΙΑ ΑΝΤΙΦΥΜΑΤΙΚΗ ΑΓΩΓΗ ΔΘ ΕΚΒΑΣΗ
39 Θ 14
ΠΕΛ ΤΕ
+
ΝΣ +
+
++ +++ R
+
ΙΝΗ
+
Μ
+
Z S Νοσ.
Σπ.14
ΙΑ
+
Ιν.Στ. Υπ.Βλ ΕΠ Θ.
39.α.
39.β.
Περιορισμένη διήθηση
δεξιάς κορυφής.
21-03-84
Περίπτωση 40η:
Α/Α Φ Η ΤΡΟΠΟΣ ΔΙΑΓΝΩΣΗΣ ΑΚΤΙΝΟΓΡΑΦΙΑ ΑΝΤΙΦΥΜΑΤΙΚΗ ΑΓΩΓΗ ΔΘ ΕΚΒΑΣΗ
40 Α 14
ΠΕΛ ΤΕ ΝΣ
+
+ ++
+
+++ R
+
ΙΝΗ
+
Μ
+
Z S Νοσ.
Σπ.14
ΙΑ
+
Ιν.Στ. Υπ.Βλ ΕΠ Θ.
40.α.
40.β.
Σε επιδημιολογικό έλεγχο με Mantoux+: α/α φυσιολογική.
40.γ.
40.δ.
12/8/1980
Σπήλαιο στον κορυφαίο του αριστερού κάτω λοβού.
40.ε.
15 περιπτώσεις με επασβεστιωμένη πρωτοπαθή εστία και πρωτοπαθή συμπλέγματα
1.
2.
17/5/1980
29/4/1986
3
4.
4/8/1981
11/10/1992
5.
6.
21/1/1988
7.
8.
8/6/1978
9.
10.
25/10/1989
11.
Σε άτομο ηλικίας 60 ετών, παρουσιάζεται ως τυχαίο εύρημα γραμμοειδής σκίαση στο μέσο πνευμονικό
πεδίο. Πρόκειται για ρίκνωση – ατελεκτασία προσθίου τμήματος του δεξιού άνω λοβού, αποτέλεσμα –
επακόλουθο πρωτοπαθούς φυματίωσης. Η εικόνα αυτή ήταν παλαιότερα συνηθέστατη.
12.
Τυχαίο εύρημα σε ηλικιωμένη γυναίκα με διάσπαρτες παρεγχυματικές επασβεστιώσεις στον αριστερό
πνεύμονα.
20/6/1990
13.
Σε ασθενή ηλικίας 60 ετών χωρίς ιδιαίτερες κλινικές ενοχλήσεις διαπιστώθηκαν επασβεστιωμένες
αλλοιώσεις πρωτοπαθούς συμπλέγματος και διάσπαρτες παρεγχυματικές επασβεστιώσεις, προφανώς
βρογχικής διασποράς της φυματίωσης.
14.
Μαθήτρια ηλικίας 12 ετών. Στα πλαίσια του αντιφυματικού αγώνα διαπιστώθηκαν επασβεστιωμένες
αλλοιώσεις, παρεγχυματικές και αδενικές. Επισημαίνεται η ύπαρξη δύο πρωτοπαθών εστιών (βέλη).
9/6/1979
15.α
Τυχαίο εύρημα σε έλεγχο μικροακτινογραφικού συνεργείου. Πρόκειται περί αυτοϊάσεως.
15.β
Συνοψίζοντας: Όλες οι ανωτέρω περιπτώσεις χαρακτηρίζονται ως
αυτοϊαθείσες.
12-03-92
20-
08-
92
Οξεία κεχροειδής
Α/Α Φ Η ΤΡΟΠΟΣ ΔΙΑΓΝΩΣΗΣ ΑΚΤΙΝΟΓΡΑΦΙΑ ΑΝΤΙΦΥΜΑΤΙΚΗ ΑΓΩΓΗ ΔΘ ΕΚΒΑΣΗ
1 Θ 16
ΠΕΛ ΤΕ ΝΣ
+
Π.Ε. Μ.Ε. Λ.Ε.
+
R
+
ΙΝΗ
+
Μ
+
Z S Νοσ.
Σπ.14
ΙΑ
+
Ιν.Στ
.
Υπ.Βλ ΕΠ Θ.
1.α.
1.β.
25-10-76
1.γ.
Α/Α Φ Η ΤΡΟΠΟΣ ΔΙΑΓΝΩΣΗΣ ΑΚΤΙΝΟΓΡΑΦΙΑ ΑΝΤΙΦΥΜΑΤΙΚΗ ΑΓΩΓΗ ΔΘ ΕΚΒΑΣΗ
2 Θ 40
ΠΕΛ ΤΕ ΝΣ
+
Π.Ε. Μ.Ε. Λ.Ε.
+
R
+
ΙΝΗ
+
Μ
+
Z S
+
Νοσ.1
Σπ.11
ΙΑ
+
Ιν.Στ. Υπ.Βλ ΕΠ Θ.
2.α.
15-01-77
2.β.
Χρονία κεχροειδής (τυχαίο εύρημα)
Α/Α Φ Η ΤΡΟΠΟΣ ΔΙΑΓΝΩΣΗΣ ΑΚΤΙΝΟΓΡΑΦΙΑ ΑΝΤΙΦΥΜΑΤΙΚΗ ΑΓΩΓΗ ΔΘ ΕΚΒΑΣΗ
3 Α 42
ΠΕΛ ΤΕ
+
ΝΣ Π.Ε.
+
Μ.Ε. Λ.Ε. R
+
ΙΝΗ
+
Μ
+
Z S Νοσ.
Σπ.14
ΙΑ
+
Ιν.Στ. Υπ.Βλ ΕΠ Θ.
3.α.
3.β.
3.γ.
21-02-81
Υγρά Πλευρίτιδα
4. Ασθενής ηλικίας 26 ετών με τυπική εικόνα υγράς πλευρίτιδος στο αριστερό ημιθωράκιο και εικόνα
χρόνιας πνευμονικής φυματίωσης στο δεξιό άνω λοβό. Ο ασθενής υπεβλήθη σε ανιφυματική θεραπεία
την οποία διέκοψε στους 7 μήνες και ύστερα από 18 μήνες ενεφάνισε υποτροπή. Με αντιφυματική
θεραπεία στο σπίτι, αποκατάσταση.
4.α. Τυπική εικόνα της γραμμής Ellis- Damoiseau
4.β.
26-11-88
20-12-88
4.γ.
4.δ.
30-04-89
11-11-97
5. Ασθενής ηλικίας 16 ετών σε ακτινογραφία της 26/02/82 που έγινε στα πλαίσια διερεύνησης του
κοινωνικού περίγυρου ήταν φυσιολογική. Ύστερα από επτά μήνες με νόσηση, παρουσίασε υγρά πλευρίτιδα
στο αριστερό ημιθωράκιο (13/09/82). Η ακτινολογική εικόνα της παραπάνω ακτινογραφίας έγινε
αποκαλυπτική σε επανάληψη με αεριούχο ποτό (πάχυνση του αριστερού ημιδιαφράγματος). Νοσοκομειακή
νοσηλεία μηνός και ολοκλήρωση της αντιφυματικής θεραπείας στο σπίτι για 14 μήνες.
5.α.
5.β.
13-09-82
5.γ.
5.δ.
13-09-82
23-09-82
5.ε.
5.στ.
09-10-82
22-11-82
5.ζ.
5.η.
07-12-82
21-12-83
Περικαρδίτιδα
6.Ασθενής 16 ετών (θήλυ) με κλινική συνδρομή, προσήλθε στο αντιφυματικό ιατρείο. Στην ακτινογραφία (1)
παρατηρείται διόγκωση παρατραχιακού λεμφαδένα. Υπό αντιφυματική θεραπεία, σε 15 μήνες παρουσίασε
περικαρδίτιδα (2). Με τη συνέχιση της ίδιας αντιφυματικής θεραπείας, αποκατάσταση. Πρόκειται για τις
ιδιαιτερότητες της φυματικής νόσου.
6.α.
6.β.
14-02-80
1
2
6.γ.
Φυματιώδης Περιτονίτιδα
7.Ασθενής ηλικίας 16 ετών (θήλυ) νοσηλεύτηκε στο νοσοκομείο Κομοτηνής για 3 μήνες για ιστολογικά βεβαιωμένη
φυματιώδη περιτονίτιδα. Στην πρώτη ακτινογραφία (1) δεν διαπιστώνεται σαφής εικόνα πνευμονικής φυματίωσης. Υπο
αντιφυματική θεραπεία, παρουσίασε σε 35 ημέρες λεμφαδενική βλάβη και μικρές παρεγχυματικές αλλοιώσεις (2,3 βέλη και
κύκλος). Σημείωση: η παθολογοανατομική βλάβη εξακολουθεί να εξελίσσεται παρά την αντιφυματική θεραπεία, φαινόμενο
συνηθέστατο.
7.α.
7.β.
28-02-89
1
2
7.γ.
7.δ.
02-05-89
3
7.ε.
7.στ.
Μεταπρωτοπαθείς εστίες Simon
Α/Α Φ Η ΤΡΟΠΟΣ ΔΙΑΓΝΩΣΗΣ ΑΚΤΙΝΟΓΡΑΦΙΑ ΑΝΤΙΦΥΜΑΤΙΚΗ ΑΓΩΓΗ ΔΘ ΕΚΒΑΣΗ
8
56
60
65
70
ΠΕΛ ΤΕ
+
ΝΣ Π.Ε. Μ.Ε. Λ.Ε. R ΙΝΗ Μ Z S Νοσ.
Σπ.
ΙΑ Ιν.Στ.
+
Υπ.Βλ ΕΠ
+
Θ.
8.α.
8.β.
8.γ.
8.δ.
Φυματιώδης σπονδυλίτιδα
Α/Α Φ Η ΤΡΟΠΟΣ ΔΙΑΓΝΩΣΗΣ ΑΚΤΙΝΟΓΡΑΦΙΑ ΑΝΤΙΦΥΜΑΤΙΚΗ ΑΓΩΓΗ ΔΘ ΕΚΒΑΣΗ
9 Θ 38
ΠΕΛ ΤΕ ΝΣ
+
Π.Ε. Μ.Ε.
+
Λ.Ε. R
+
ΙΝΗ
+
Μ
+
Z S Νοσ.2
Σπ.12
ΙΑ
+
Ιν.Στ. Υπ.Βλ ΕΠ Θ.
9.α. Το απόλλειμα με κύκλο
9.β.
13-06-79
23-06-79
Α/Α Φ Η ΤΡΟΠΟΣ ΔΙΑΓΝΩΣΗΣ ΑΚΤΙΝΟΓΡΑΦΙΑ ΑΝΤΙΦΥΜΑΤΙΚΗ ΑΓΩΓΗ ΔΘ ΕΚΒΑΣΗ
10 Α 40
ΠΕΛ ΤΕ ΝΣ
+
Π.Ε. Μ.Ε. Λ.Ε.
+
R
+
ΙΝΗ
+
Μ
+
Z S Νοσ.4
Σπ.10
ΙΑ
+
Ιν.Στ. Υπ.Βλ
+
ΕΠ Θ.
10.
29-08-96
Χρόνια Πνευμονική Φυματίωση
Πρώιμο διήθημα
Α/Α Φ Η ΤΡΟΠΟΣ ΔΙΑΓΝΩΣΗΣ ΑΚΤΙΝΟΓΡΑΦΙΑ ΑΝΤΙΦΥΜΑΤΙΚΗ ΑΓΩΓΗ ΔΘ ΕΚΒΑΣΗ
11 Θ 30
ΠΕΛ ΤΕ ΝΣ
+
Π.Ε. Μ.Ε.
+
Λ.Ε. R
+
ΙΝΗ
+
Μ
+
Z S Νοσ.
Σπ.14
ΙΑ
+
Ιν.Στ. Υπ.Βλ ΕΠ Θ.
11.α.
11.β.
14-02-76
11.γ.
11.δ.
31-07-78
Α/Α Φ Η ΤΡΟΠΟΣ ΔΙΑΓΝΩΣΗΣ ΑΚΤΙΝΟΓΡΑΦΙΑ ΑΝΤΙΦΥΜΑΤΙΚΗ ΑΓΩΓΗ ΔΘ ΕΚΒΑΣΗ
12 Θ 16
ΠΕΛ
+
ΤΕ ΝΣ Π.Ε.
+
Μ.Ε. Λ.Ε. R
+
ΙΝΗ
+
Μ
+
Z S Νοσ.
Σπ.12
ΙΑ
+
Ιν.Στ. Υπ.Βλ ΕΠ Θ.
12.α.
12.β.
12.γ.
12.δ.
Α/Α Φ Η ΤΡΟΠΟΣ ΔΙΑΓΝΩΣΗΣ ΑΚΤΙΝΟΓΡΑΦΙΑ ΑΝΤΙΦΥΜΑΤΙΚΗ ΑΓΩΓΗ ΔΘ ΕΚΒΑΣΗ
13 Θ 20
ΠΕΛ ΤΕ ΝΣ
+
Π.Ε.
+
Μ.Ε. Λ.Ε. R
+
ΙΝΗ
+
Μ
+
Z S Νοσ.
Σπ.14
ΙΑ
+
Ιν.Στ. Υπ.Βλ
+
ΕΠ Θ.
13.α. Φυμάτωμα
13.β.
12-01-83
Α/Α Φ Η ΤΡΟΠΟΣ ΔΙΑΓΝΩΣΗΣ ΑΚΤΙΝΟΓΡΑΦΙΑ ΑΝΤΙΦΥΜΑΤΙΚΗ ΑΓΩΓΗ ΔΘ ΕΚΒΑΣΗ
14 Α 65
ΠΕΛ ΤΕ
+
ΝΣ Π.Ε. Μ.Ε. Λ.Ε. R ΙΝΗ Μ Z S Νοσ.
Σπ.
ΙΑ Ιν.Στ. Υπ.Βλ
+
ΕΠ
+
Θ.
14. Επασβεστιωμένο φυμάτωμα
04-07-91
Α/Α Φ Η ΤΡΟΠΟΣ ΔΙΑΓΝΩΣΗΣ ΑΚΤΙΝΟΓΡΑΦΙΑ ΑΝΤΙΦΥΜΑΤΙΚΗ ΑΓΩΓΗ ΔΘ ΕΚΒΑΣΗ
15 Α 30
ΠΕΛ ΤΕ ΝΣ
+
Π.Ε. Μ.Ε.
+
Λ.Ε. R
+
ΙΝΗ
+
Μ
+
Z S Νοσ.
Σπ.12
ΙΑ
+
Ιν.Στ. Υπ.Βλ ΕΠ Θ.
15.α.
15.β.
Δυσδιάκριτο σπήλαιο στην δεξιά κορυφή
15.γ.
15.δ.
15.ε.
15.στ.
08-11-88
Α/Α Φ Η ΤΡΟΠΟΣ ΔΙΑΓΝΩΣΗΣ ΑΚΤΙΝΟΓΡΑΦΙΑ ΑΝΤΙΦΥΜΑΤΙΚΗ ΑΓΩΓΗ ΔΘ ΕΚΒΑΣΗ
16 Θ 20
ΠΕΛ ΤΕ ΝΣ
+
Π.Ε.
+
Μ.Ε. Λ.Ε. R
+
ΙΝΗ
+
Μ
+
Z S Νοσ.
Σπ.12
ΙΑ
+
Ιν.Στ. Υπ.Βλ ΕΠ Θ.
16.α.
16.β.
Διήθηση δεξιού άνω λοβού με σπήλαιο
17-04-85
16.γ.
Α/Α Φ Η ΤΡΟΠΟΣ ΔΙΑΓΝΩΣΗΣ ΑΚΤΙΝΟΓΡΑΦΙΑ ΑΝΤΙΦΥΜΑΤΙΚΗ ΑΓΩΓΗ ΔΘ ΕΚΒΑΣΗ
17 Θ 20
ΠΕΛ ΤΕ ΝΣ
+
Π.Ε.
+
Μ.Ε. Λ.Ε. R
+
ΙΝΗ
+
Μ
+
Z S Νοσ.
Σπ.12
ΙΑ
+
Ιν.Στ. Υπ.Βλ ΕΠ
+
Θ.
17.α.
1
17.β.
17.γ.
17.δ.
17.ε.
Α/Α Φ Η ΤΡΟΠΟΣ ΔΙΑΓΝΩΣΗΣ ΑΚΤΙΝΟΓΡΑΦΙΑ ΑΝΤΙΦΥΜΑΤΙΚΗ ΑΓΩΓΗ ΔΘ ΕΚΒΑΣΗ
18 Θ 16
ΠΕΛ ΤΕ ΝΣ
+
Π.Ε. Μ.Ε.
+
Λ.Ε. R
+
ΙΝΗ
+
Μ
+
Z S Νοσ.
Σπ.12
ΙΑ
+
Ιν.Στ. Υπ.Βλ ΕΠ Θ.
18.α.
18.β.
02-03-89
Διήθηση δεξιού άνω λοβού (λοβίτις) και αριστερου
07-03-89
18.γ.
18.δ.
07-03-89
10-04-89
18.ε.
18.στ.
13-06-89
05-03-91
Α/Α Φ Η ΤΡΟΠΟΣ ΔΙΑΓΝΩΣΗΣ ΑΚΤΙΝΟΓΡΑΦΙΑ ΑΝΤΙΦΥΜΑΤΙΚΗ ΑΓΩΓΗ ΔΘ ΕΚΒΑΣΗ
19 Θ 22
ΠΕΛ ΤΕ ΝΣ
+
Π.Ε. Μ.Ε.
+
Λ.Ε. R
+
ΙΝΗ
+
Μ
+
Z S Νοσ.
Σπ.14
ΙΑ
+
Ιν.Στ. Υπ.Βλ ΕΠ Θ.
19.α.
19.β.
15-04-82
Σπηλαιώδης αριστερού άνω λοβού
06-23-82
Α/Α Φ Η ΤΡΟΠΟΣ ΔΙΑΓΝΩΣΗΣ ΑΚΤΙΝΟΓΡΑΦΙΑ ΑΝΤΙΦΥΜΑΤΙΚΗ ΑΓΩΓΗ ΔΘ ΕΚΒΑΣΗ
20 Α 65
ΠΕΛ ΤΕ ΝΣ
+
Π.Ε. Μ.Ε.
+
Λ.Ε. R
+
ΙΝΗ
+
Μ
+
Z S Νοσ.
Σπ.12
ΙΑ
+
Ιν.Στ. Υπ.Βλ
+
ΕΠ Θ.
20.α.
20.β.
Δεξιά άνω λοβίτιδα με ρίκνωση
Α/Α Φ Η ΤΡΟΠΟΣ ΔΙΑΓΝΩΣΗΣ ΑΚΤΙΝΟΓΡΑΦΙΑ ΑΝΤΙΦΥΜΑΤΙΚΗ ΑΓΩΓΗ ΔΘ ΕΚΒΑΣΗ
21 Α 73
ΠΕΛ ΤΕ ΝΣ
+
Π.Ε. Μ.Ε. Λ.Ε.
+
R
+
ΙΝΗ
+
Μ
+
Z
+
S
+
Νοσ.10
Σπ.10
ΙΑ
+
Ιν.Στ. Υπ.Βλ
+
ΕΠ Θ.
21.α.
21.β.
Εκτεταμένες διηθήσεις αμφοτέρων των πνευμόνων
Α/Α Φ Η ΤΡΟΠΟΣ ΔΙΑΓΝΩΣΗΣ ΑΚΤΙΝΟΓΡΑΦΙΑ ΑΝΤΙΦΥΜΑΤΙΚΗ ΑΓΩΓΗ ΔΘ ΕΚΒΑΣΗ
22 Θ 25
ΠΕΛ ΤΕ ΝΣ
+
Π.Ε. Μ.Ε. Λ.Ε.
+
R
+
ΙΝΗ
+
Μ
+
Z S
+
Νοσ.
Σπ.12
ΙΑ
+
Ιν.Στ. Υπ.Βλ ΕΠ Θ.
22.α.
22.β.
16-03-92
Με σπήλαια και στους δύο άνω λοβούς
19-03-92
19-03-92
22.γ.
22.δ.
07-10-93
Α/Α Φ Η ΤΡΟΠΟΣ ΔΙΑΓΝΩΣΗΣ ΑΚΤΙΝΟΓΡΑΦΙΑ ΑΝΤΙΦΥΜΑΤΙΚΗ ΑΓΩΓΗ ΔΘ ΕΚΒΑΣΗ
23 Θ 16
ΠΕΛ ΤΕ ΝΣ
+
Π.Ε. Μ.Ε. Λ.Ε.
+
R
+
ΙΝΗ
+
Μ
+
Z S
+
Νοσ.
Σπ.14
ΙΑ
+
Ιν.Στ. Υπ.Βλ ΕΠ
+
Θ.
23.α.
23.β.
15-06-77
Σε επιδημιολογικό έλεγχο με Mantoux(+) υποεκτιμήθηκε η φυματική βλάβη
στον αριστερό πνεύμονα και ύστερα από 10 μήνες με κλινική συνδρομή
και σπηλαιώδη πνευμονική φυματίωση στην ίδια περιοχή
20-04-78
23.γ.
23.δ.
06-09-80
09-10-80
23.ε.
23.στ.
13-10-94
Πνευμονική διήθηση δεξιού μέσου λοβού
που απεδείχθη πνευμονίτιδα κοινής αιτιολογίας
20-10-94
Α/Α Φ Η ΤΡΟΠΟΣ ΔΙΑΓΝΩΣΗΣ ΑΚΤΙΝΟΓΡΑΦΙΑ ΑΝΤΙΦΥΜΑΤΙΚΗ ΑΓΩΓΗ ΔΘ ΕΚΒΑΣΗ
24 Α 33
ΠΕΛ ΤΕ ΝΣ
+
Π.Ε. Μ.Ε. Λ.Ε.
+
R
+
ΙΝΗ
+
Μ
+
Z S
+
Νοσ.
Σπ.14
ΙΑ
+
Ιν.Στ. Υπ.Βλ ΕΠ Θ.
24.α.
24.β.
14-08-98
Πνευμονία από φυματίωση ή φυματική λοβίτιδα
αριστερού κάτω λοβού
01-09-98
24.γ.
24.δ.
22-12-98
07-09-99
25.Ασθενής ηλικίας 16 ετών, με νοσηλεία 40 ημερών σε ειδικό θεραπευτήριο
10-01-85
Με περιορισμένη πνευμονική φυματίωση στην αριστερά κορυφή
και γενικευμένη λεμφανεδίτιδα, έφθασε στην φυματιώδη καχεξία
και με αντιφυματική θεραπεία στο σπίτι, επιβίωσε.
26. Ασθενής ηλικίας 21 ετών με φυσιολογικό τοκετό στο Γενικό Νοσοκομείο Κομοτηνής και σύγχρονη εμφάνιση
ασκίτου με πυρετό (νοσηλεία 5 ημερών). Διακομιδή στο Νοσοκομείο Α.Χ.Ε.Π.Α. Θεσσαλονίκης όπου και
νοσηλεύτηκε για 45 ημέρες με διάγνωση φυματιώδους περιτονίτιδος. Διακομίσθηκε στο Γ. Παπανικολάου όπου
νοσηλεύτηκε για 20 ημέρες και ολοκλήρωσε την αντιφυματική θεραπεία στο σπίτι με αποκατάσταση. Από τη
σύγκριση των δύο α/α προκύπτει σαφής περιορισμός του πνευμονικού παρεγχύματος στην Α.
26.α.
16-10-84
26.β.
27. Ασθενής ηλικίας 36 ετών, νοσηλεύτηκε στην Παθολογική Κρατική του Γ.Ν. Αλεξανδρούπολης για 14 ημέρες και
διάγνωση: κυστικός όγκος κοιλίας- ΤΒ πνευμόνων. Διακομίσθηκε στο Αγία Σοφία Θεσσαλονίκης όπου νοσηλεύτηκε
για 1 μήνα. Ύστερα από λαπαροτομία και ιστολογική εξέταση διαπιστώθηκε φυματίωση περιτοναίου. Διακομίσθηκε
στο Γ. Παπανικολάου όπου νοσηλεύτηκε για 2 μήνες και ολοκλήρωσε την αντιφυματική θεραπεία στο σπίτι με
αποκατάσταση. Η ακτινογραφία θώρακος ήταν φυσιολογική γι'αυτό και δεν παρατίθεται.
Χρόνια πνευμονική φυματίωση με εντόπιση στο δεξιό άνω λοβό
28. Ασθενής ηλικίας 25 ετών με δεξιά άνω λοβίτιδα και τήξη, με αντιφυματική θεραπεία 14 μηνών στο σπίτι,
αποκατάσταση.
28.α.
28.β.
28.γ.
28.δ.
28.ε.
28.στ.
Α/Α Φ Η ΤΡΟΠΟΣ ΔΙΑΓΝΩΣΗΣ ΑΚΤΙΝΟΓΡΑΦΙΑ ΑΝΤΙΦΥΜΑΤΙΚΗ ΑΓΩΓΗ ΔΘ ΕΚΒΑΣΗ
29 Θ 20
ΠΕΛ ΤΕ ΝΣ
+
Π.Ε. Μ.Ε.
+
Λ.Ε. R
+
ΙΝΗ
+
Μ
+
Z S Νοσ.
Σπ.14
ΙΑ
+
Ιν.Στ. Υπ.Βλ ΕΠ Θ.
29.α.
29.β.
Λοβίτις δεξιού άνω λοβού με τήξη
29.γ.
09-04-85
Α/Α Φ Η ΤΡΟΠΟΣ ΔΙΑΓΝΩΣΗΣ ΑΚΤΙΝΟΓΡΑΦΙΑ ΑΝΤΙΦΥΜΑΤΙΚΗ ΑΓΩΓΗ ΔΘ ΕΚΒΑΣΗ
30 Θ 21
ΠΕΛ ΤΕ ΝΣ
+
Π.Ε. Μ.Ε.
+
Λ.Ε. R
+
ΙΝΗ
+
Μ
+
Z S Νοσ.
Σπ.14
ΙΑ
+
Ιν.Στ. Υπ.Βλ ΕΠ Θ.
30.α.
30.β.
Δεξιά άνω λοβίτιδα με τήξη
30.γ.
Α/Α Φ Η ΤΡΟΠΟΣ ΔΙΑΓΝΩΣΗΣ ΑΚΤΙΝΟΓΡΑΦΙΑ ΑΝΤΙΦΥΜΑΤΙΚΗ ΑΓΩΓΗ ΔΘ ΕΚΒΑΣΗ
31 Θ 26
ΠΕΛ ΤΕ ΝΣ
+
Π.Ε. Μ.Ε.
+
Λ.Ε. R
+
ΙΝΗ
+
Μ
+
Z S Νοσ.
Σπ.12
ΙΑ
+
Ιν.Στ. Υπ.Βλ ΕΠ Θ.
31.α.
31.β.
21-02-85
Δεξιά άνω λοβίτιδα
15-10-85
Α/Α Φ Η ΤΡΟΠΟΣ ΔΙΑΓΝΩΣΗΣ ΑΚΤΙΝΟΓΡΑΦΙΑ ΑΝΤΙΦΥΜΑΤΙΚΗ ΑΓΩΓΗ ΔΘ ΕΚΒΑΣΗ
32 Α 50
ΠΕΛ ΤΕ ΝΣ
+
Π.Ε. Μ.Ε. Λ.Ε.
+
R
+
ΙΝΗ
+
Μ
+
Z S
+
Νοσ.
Σπ.16
ΙΑ
+
Ιν.Στ. Υπ.Βλ ΕΠ Θ.
32.α.
32.β.
Διήθηση δεξιού άνω λοβού
Α/Α Φ Η ΤΡΟΠΟΣ ΔΙΑΓΝΩΣΗΣ ΑΚΤΙΝΟΓΡΑΦΙΑ ΑΝΤΙΦΥΜΑΤΙΚΗ ΑΓΩΓΗ ΔΘ ΕΚΒΑΣΗ
33 Α 16
ΠΕΛ ΤΕ ΝΣ
+
Π.Ε. Μ.Ε.
+
Λ.Ε. R
+
ΙΝΗ
+
Μ
+
Z S Νοσ.1
Σπ.14
ΙΑ
+
Ιν.Στ. Υπ.Βλ ΕΠ Θ.
33.α.
33.β.
Α/Α Φ Η ΤΡΟΠΟΣ ΔΙΑΓΝΩΣΗΣ ΑΚΤΙΝΟΓΡΑΦΙΑ ΑΝΤΙΦΥΜΑΤΙΚΗ ΑΓΩΓΗ ΔΘ ΕΚΒΑΣΗ
34 Α 62
ΠΕΛ ΤΕ ΝΣ
+
Π.Ε. Μ.Ε.
+
Λ.Ε. R
+
ΙΝΗ
+
Μ
+
Z S Νοσ.
Σπ.14
ΙΑ
+
Ιν.Στ. Υπ.Βλ ΕΠ Θ.
34.α.
34.β.
26-02-87
26-02-87
34.γ.
34.δ.
Α/Α Φ Η ΤΡΟΠΟΣ ΔΙΑΓΝΩΣΗΣ ΑΚΤΙΝΟΓΡΑΦΙΑ ΑΝΤΙΦΥΜΑΤΙΚΗ ΑΓΩΓΗ ΔΘ ΕΚΒΑΣΗ
35 Θ 19
ΠΕΛ ΤΕ ΝΣ
+
Π.Ε. Μ.Ε.
+
Λ.Ε. R
+
ΙΝΗ
+
Μ
+
Z S Νοσ.
Σπ.14
ΙΑ
+
Ιν.Στ. Υπ.Βλ ΕΠ Θ.
35.α.
35.β.
Α/Α Φ Η ΤΡΟΠΟΣ ΔΙΑΓΝΩΣΗΣ ΑΚΤΙΝΟΓΡΑΦΙΑ ΑΝΤΙΦΥΜΑΤΙΚΗ ΑΓΩΓΗ ΔΘ ΕΚΒΑΣΗ
36 Θ 16
ΠΕΛ ΤΕ ΝΣ
+
Π.Ε. Μ.Ε.
+
Λ.Ε. R
+
ΙΝΗ
+
Μ
+
Z S Νοσ.
Σπ.14
ΙΑ
+
Ιν.Στ. Υπ.Βλ ΕΠ Θ.
36.α.
36.β.
Φυσιολογική ακτινογραφία σαν επαφή
36.γ.
Α/Α Φ Η ΤΡΟΠΟΣ ΔΙΑΓΝΩΣΗΣ ΑΚΤΙΝΟΓΡΑΦΙΑ ΑΝΤΙΦΥΜΑΤΙΚΗ ΑΓΩΓΗ ΔΘ ΕΚΒΑΣΗ
37 Α 55
ΠΕΛ ΤΕ ΝΣ
+
Π.Ε. Μ.Ε.
+
Λ.Ε. R
+
ΙΝΗ
+
Μ
+
Z S Νοσ.
Σπ.12
ΙΑ
+
Ιν.Στ. Υπ.Βλ
+
ΕΠ Θ.
37.α.
37.β.
37.γ.
Α/Α Φ Η ΤΡΟΠΟΣ ΔΙΑΓΝΩΣΗΣ ΑΚΤΙΝΟΓΡΑΦΙΑ ΑΝΤΙΦΥΜΑΤΙΚΗ ΑΓΩΓΗ ΔΘ ΕΚΒΑΣΗ
38 Α 21
ΠΕΛ ΤΕ ΝΣ
+
Π.Ε. Μ.Ε.
+
Λ.Ε. R
+
ΙΝΗ
+
Μ
+
Z
+
S Νοσ.
Σπ.14
ΙΑ
+
Ιν.Στ. Υπ.Βλ
+
ΕΠ Θ.
38.α.
38.β.
Χρόνια πνευμονική φυματίωση με εντόπιση στον κορυφαίο του κάτω λοβού
Α/Α Φ Η ΤΡΟΠΟΣ ΔΙΑΓΝΩΣΗΣ ΑΚΤΙΝΟΓΡΑΦΙΑ ΑΝΤΙΦΥΜΑΤΙΚΗ ΑΓΩΓΗ ΔΘ ΕΚΒΑΣΗ
39 Θ 17
ΠΕΛ ΤΕ ΝΣ
+
Π.Ε.
+
Μ.Ε. Λ.Ε. R
+
ΙΝΗ
+
Μ
+
Z S Νοσ.
Σπ.12
ΙΑ
+
Ιν.Στ. Υπ.Βλ ΕΠ Θ.
39.α.
39.β.
Φυσιολογική ακτινογραφία σαν επαφή
Πυλαία αδενίτιδα δεξιά
39.γ.
39.δ.
09-03-89
Σπήλαιο στο κορυφαίο του δεξιού κάτω λοβού
Α/Α Φ Η ΤΡΟΠΟΣ ΔΙΑΓΝΩΣΗΣ ΑΚΤΙΝΟΓΡΑΦΙΑ ΑΝΤΙΦΥΜΑΤΙΚΗ ΑΓΩΓΗ ΔΘ ΕΚΒΑΣΗ
40 Α 21
ΠΕΛ ΤΕ ΝΣ
+
Π.Ε.
+
Μ.Ε. Λ.Ε. R
+
ΙΝΗ
+
Μ
+
Z S Νοσ.
Σπ.12
ΙΑ
+
Ιν.Στ. Υπ.Βλ ΕΠ Θ.
40.α.
40.β.
22-06-87
17-01-89
Σπήλαιο στον κορυφαίο του δεξιού κάτω λοβού
Α/Α Φ Η ΤΡΟΠΟΣ ΔΙΑΓΝΩΣΗΣ ΑΚΤΙΝΟΓΡΑΦΙΑ ΑΝΤΙΦΥΜΑΤΙΚΗ ΑΓΩΓΗ ΔΘ ΕΚΒΑΣΗ
41 Α 20
ΠΕΛ ΤΕ ΝΣ
+
Π.Ε. Μ.Ε.
+
Λ.Ε. R
+
ΙΝΗ
+
Μ
+
Z
+
S Νοσ.
Σπ.14
ΙΑ
+
Ιν.Στ. Υπ.Βλ ΕΠ Θ.
41.α.
41.β.
Φυσιολογική σαν επαφή
41.γ.
41.δ.
Α/Α Φ Η ΤΡΟΠΟΣ ΔΙΑΓΝΩΣΗΣ ΑΚΤΙΝΟΓΡΑΦΙΑ ΑΝΤΙΦΥΜΑΤΙΚΗ ΑΓΩΓΗ ΔΘ ΕΚΒΑΣΗ
42 Θ 49
ΠΕΛ ΤΕ ΝΣ
+
Π.Ε. Μ.Ε.
+
Λ.Ε. R
+
ΙΝΗ
+
Μ
+
Z S Νοσ.
Σπ.14
ΙΑ
+
Ιν.Στ. Υπ.Βλ ΕΠ Θ.
42.α.
42.β.
21-11-88
42.γ.
42.δ.
06-12-88
42.ε.
Α/Α Φ Η ΤΡΟΠΟΣ ΔΙΑΓΝΩΣΗΣ ΑΚΤΙΝΟΓΡΑΦΙΑ ΑΝΤΙΦΥΜΑΤΙΚΗ ΑΓΩΓΗ ΔΘ ΕΚΒΑΣΗ
43 Α 56
ΠΕΛ ΤΕ ΝΣ
+
Π.Ε. Μ.Ε.
+
Λ.Ε. R
+
ΙΝΗ
+
Μ
+
Z S Νοσ.1
Σπ.12
ΙΑ
+
Ιν.Στ. Υπ.Βλ
+
ΕΠ Θ.
43.α.
43.β.
6,5 εκ.
43.δ.
43.ε.
30-12-91
Α/Α Φ Η ΤΡΟΠΟΣ ΔΙΑΓΝΩΣΗΣ ΑΚΤΙΝΟΓΡΑΦΙΑ ΑΝΤΙΦΥΜΑΤΙΚΗ ΑΓΩΓΗ ΔΘ ΕΚΒΑΣΗ
44 Θ 34
ΠΕΛ ΤΕ ΝΣ
+
Π.Ε. Μ.Ε.
+
Λ.Ε. R
+
ΙΝΗ
+
Μ
+
Z S Νοσ.
Σπ.14
ΙΑ
+
Ιν.Στ. Υπ.Βλ ΕΠ Θ.
44.α.
44.β.
17-08-77 26-09-77
44.γ.
44.δ.
15-07-78
Α/Α Φ Η ΤΡΟΠΟΣ ΔΙΑΓΝΩΣΗΣ ΑΚΤΙΝΟΓΡΑΦΙΑ ΑΝΤΙΦΥΜΑΤΙΚΗ ΑΓΩΓΗ ΔΘ ΕΚΒΑΣΗ
45 Α 30
ΠΕΛ ΤΕ ΝΣ
+
Π.Ε. Μ.Ε.
+
Λ.Ε. R
+
ΙΝΗ
+
Μ
+
Z S Νοσ.
Σπ.14
ΙΑ
+
Ιν.Στ. Υπ.Βλ ΕΠ Θ.
45.α.
45.β.
45.γ.
Α/Α Φ Η ΤΡΟΠΟΣ ΔΙΑΓΝΩΣΗΣ ΑΚΤΙΝΟΓΡΑΦΙΑ ΑΝΤΙΦΥΜΑΤΙΚΗ ΑΓΩΓΗ ΔΘ ΕΚΒΑΣΗ
46 Α 16
ΠΕΛ ΤΕ
+
ΝΣ Π.Ε.
+
Μ.Ε. Λ.Ε. R
+
ΙΝΗ
+
Μ
+
Z S Νοσ.
Σπ.14
ΙΑ
+
Ιν.Στ. Υπ.Βλ ΕΠ Θ.
46.α.
επαφή
46.β.
46.γ.
46.δ.
Α/Α Φ Η ΤΡΟΠΟΣ ΔΙΑΓΝΩΣΗΣ ΑΚΤΙΝΟΓΡΑΦΙΑ ΑΝΤΙΦΥΜΑΤΙΚΗ ΑΓΩΓΗ ΔΘ ΕΚΒΑΣΗ
47 Θ 37
ΠΕΛ ΤΕ ΝΣ
+
Π.Ε.
+
Μ.Ε. Λ.Ε. R
+
ΙΝΗ
+
Μ
+
Z S Νοσ.
Σπ.14
ΙΑ
+
Ιν.Στ. Υπ.Βλ ΕΠ Θ.
47.α.
47.β.
04-05-79
47.γ.
Α/Α Φ Η ΤΡΟΠΟΣ ΔΙΑΓΝΩΣΗΣ ΑΚΤΙΝΟΓΡΑΦΙΑ ΑΝΤΙΦΥΜΑΤΙΚΗ ΑΓΩΓΗ ΔΘ ΕΚΒΑΣΗ
48 Θ 24
ΠΕΛ ΤΕ ΝΣ
+
Π.Ε.
+
Μ.Ε. Λ.Ε. R
+
ΙΝΗ
+
Μ
+
Z S Νοσ.
Σπ.14
ΙΑ
+
Ιν.Στ. Υπ.Βλ ΕΠ Θ.
48.α.
05-06-79
20-02-82
48.β.
Α/Α Φ Η ΤΡΟΠΟΣ ΔΙΑΓΝΩΣΗΣ ΑΚΤΙΝΟΓΡΑΦΙΑ ΑΝΤΙΦΥΜΑΤΙΚΗ ΑΓΩΓΗ ΔΘ ΕΚΒΑΣΗ
49 Θ 34
ΠΕΛ ΤΕ ΝΣ
+
Π.Ε.
+
Μ.Ε. Λ.Ε. R
+
ΙΝΗ
+
Μ
+
Z S Νοσ.
Σπ.12
ΙΑ
+
Ιν.Στ. Υπ.Βλ ΕΠ Θ.
49.α.
14-03-83
49.β.
Α/Α Φ Η ΤΡΟΠΟΣ ΔΙΑΓΝΩΣΗΣ ΑΚΤΙΝΟΓΡΑΦΙΑ ΑΝΤΙΦΥΜΑΤΙΚΗ ΑΓΩΓΗ ΔΘ ΕΚΒΑΣΗ
50 Α 23
ΠΕΛ ΤΕ ΝΣ
+
Π.Ε.
+
Μ.Ε. Λ.Ε. R
+
ΙΝΗ
+
Μ
+
Z S Νοσ.
Σπ.14
ΙΑ
+
Ιν.Στ. Υπ.Βλ ΕΠ Θ.
50.α.
50.β.
50.γ.
4 εκ.
Α/Α Φ Η ΤΡΟΠΟΣ ΔΙΑΓΝΩΣΗΣ ΑΚΤΙΝΟΓΡΑΦΙΑ ΑΝΤΙΦΥΜΑΤΙΚΗ ΑΓΩΓΗ ΔΘ ΕΚΒΑΣΗ
51 Α 26
ΠΕΛ ΤΕ ΝΣ
+
Π.Ε. Μ.Ε.
+
Λ.Ε. R
+
ΙΝΗ
+
Μ
+
Z S Νοσ.
Σπ.12
ΙΑ
+
Ιν.Στ. Υπ.Βλ ΕΠ Θ.
51.α.
51.β.
51.γ.
51.δ.
Α/Α Φ Η ΤΡΟΠΟΣ ΔΙΑΓΝΩΣΗΣ ΑΚΤΙΝΟΓΡΑΦΙΑ ΑΝΤΙΦΥΜΑΤΙΚΗ ΑΓΩΓΗ ΔΘ ΕΚΒΑΣΗ
52 Θ 40
ΠΕΛ ΤΕ ΝΣ
+
Π.Ε. Μ.Ε.
+
Λ.Ε. R
+
ΙΝΗ
+
Μ
+
Z S Νοσ.
Σπ.14
ΙΑ
+
Ιν.Στ. Υπ.Βλ ΕΠ Θ.
52.α.
52.β.
52.γ.
52.δ.
15-10-77
03-11-77
5 περιπτώσεις με βρογχική διασπορά και επασβεστίωση στη συνέχεια.
Α/Α Φ Η ΤΡΟΠΟΣ ΔΙΑΓΝΩΣΗΣ ΑΚΤΙΝΟΓΡΑΦΙΑ ΑΝΤΙΦΥΜΑΤΙΚΗ ΑΓΩΓΗ ΔΘ ΕΚΒΑΣΗ
53 Α 20
ΠΕΛ ΤΕ ΝΣ
+
Π.Ε. Μ.Ε. Λ.Ε.
+
R
+
ΙΝΗ
+
Μ
+
Z
+
S Νοσ.
Σπ.18
ΙΑ
+
Ιν.Στ. Υπ.Βλ
+
ΕΠ
+
Θ.
53.α.
53.β.
Φυματίωση αριστερού άνω λοβού και δεξιού με ρίκνωση και σπήλαιο
53.γ.
53.δ.
53.ε.
Α/Α Φ Η ΤΡΟΠΟΣ ΔΙΑΓΝΩΣΗΣ ΑΚΤΙΝΟΓΡΑΦΙΑ ΑΝΤΙΦΥΜΑΤΙΚΗ ΑΓΩΓΗ ΔΘ ΕΚΒΑΣΗ
54 Α 34
ΠΕΛ ΤΕ ΝΣ
+
Π.Ε. Μ.Ε. Λ.Ε.
+
R
+
ΙΝΗ
+
Μ
+
Z S
+
Νοσ.
Σπ.16
ΙΑ
+
Ιν.Στ. Υπ.Βλ ΕΠ
+
Θ.
54.α.
54.β.
54.γ.
10-08-79 10-08-79
54.δ.
54.ε.
Α/Α Φ Η ΤΡΟΠΟΣ ΔΙΑΓΝΩΣΗΣ ΑΚΤΙΝΟΓΡΑΦΙΑ ΑΝΤΙΦΥΜΑΤΙΚΗ ΑΓΩΓΗ ΔΘ ΕΚΒΑΣΗ
55 Α 42
ΠΕΛ ΤΕ ΝΣ
+
Π.Ε. Μ.Ε.
+
Λ.Ε. R
+
ΙΝΗ
+
Μ
+
Z S
+
Νοσ.1
Σπ.14
ΙΑ
+
Ιν.Στ. Υπ.Βλ ΕΠ
+
Θ.
55.α.
55.β.
Φυματικές αλλοιώσεις αριστερού πνεύμονα
55.γ.
55.δ.
55.ε.
Α/Α Φ Η ΤΡΟΠΟΣ ΔΙΑΓΝΩΣΗΣ ΑΚΤΙΝΟΓΡΑΦΙΑ ΑΝΤΙΦΥΜΑΤΙΚΗ ΑΓΩΓΗ ΔΘ ΕΚΒΑΣΗ
56 Α 46
ΠΕΛ ΤΕ ΝΣ
+
Π.Ε. Μ.Ε. Λ.Ε.
+
R
+
ΙΝΗ
+
Μ
+
Z S
+
Νοσ.
Σπ.16
ΙΑ
+
Ιν.Στ. Υπ.Βλ
+
ΕΠ
+
Θ.
56.α.
12-11-96
Σπηλαιώδης πνευμονική φυματίωση δεξιού άνω λοβού
με βρογχική διασπορά στον αριστερό πνεύμονα
56.β.
56.γ.
09-09-78 09-09-78
56.δ.
56.ε.
09-08-79
09-08-79
56.στ.
Α/Α Φ Η ΤΡΟΠΟΣ ΔΙΑΓΝΩΣΗΣ ΑΚΤΙΝΟΓΡΑΦΙΑ ΑΝΤΙΦΥΜΑΤΙΚΗ ΑΓΩΓΗ ΔΘ ΕΚΒΑΣΗ
57 Α 50
ΠΕΛ ΤΕ ΝΣ
+
Π.Ε. Μ.Ε. Λ.Ε.
+
R
+
ΙΝΗ
+
Μ
+
Z
+
S Νοσ.
Σπ.14
ΙΑ
+
Ιν.Στ. Υπ.Βλ
+
ΕΠ
+
Θ.
57.α.
12-06-84
Εκτεταμένες φυματικές αλλοιώσεις αμφοτέρων των πνευμόνων
με ρίκνωση του δεξιού άνω λοβού και σπήλαιο
57.β.
57.γ.
15-11-90
15-11-90
Α/Α Φ Η ΤΡΟΠΟΣ ΔΙΑΓΝΩΣΗΣ ΑΚΤΙΝΟΓΡΑΦΙΑ ΑΝΤΙΦΥΜΑΤΙΚΗ ΑΓΩΓΗ ΔΘ ΕΚΒΑΣΗ
58 Α 20
ΠΕΛ ΤΕ ΝΣ
+
Π.Ε. Μ.Ε.
+
Λ.Ε. R
+
ΙΝΗ
+
Μ
+
Z S Νοσ.
Σπ.14
ΙΑ
+
Ιν.Στ. Υπ.Βλ ΕΠ Θ.
58.α.
58.β. Διήθηση δεξιού άνω λοβού
Φυσιολογική
58.γ.
Α/Α Φ Η ΤΡΟΠΟΣ ΔΙΑΓΝΩΣΗΣ ΑΚΤΙΝΟΓΡΑΦΙΑ ΑΝΤΙΦΥΜΑΤΙΚΗ ΑΓΩΓΗ ΔΘ ΕΚΒΑΣΗ
59 Α 50
ΠΕΛ ΤΕ ΝΣ
+
Π.Ε. Μ.Ε. Λ.Ε.
+
R
+
ΙΝΗ
+
Μ
+
Z S
+
Νοσ.10
Σπ.14
ΙΑ
+
Ιν.Στ. Υπ.Βλ
+
ΕΠ Θ.
59.α.
59.β.
Α/Α Φ Η ΤΡΟΠΟΣ ΔΙΑΓΝΩΣΗΣ ΑΚΤΙΝΟΓΡΑΦΙΑ ΑΝΤΙΦΥΜΑΤΙΚΗ ΑΓΩΓΗ ΔΘ ΕΚΒΑΣΗ
60 Θ 30
ΠΕΛ ΤΕ ΝΣ
+
Π.Ε. Μ.Ε. Λ.Ε.
+
R
+
ΙΝΗ
+
Μ
+
Z
+
S Νοσ.
Σπ.14
ΙΑ
+
Ιν.Στ. Υπ.Βλ
+
ΕΠ Θ.
60.α.
11-07-80
60.β.
60.γ.
11-07-80
11-07-80
60.δ.
60.ε.
04-11-83
23-03-87
Α/Α Φ Η ΤΡΟΠΟΣ ΔΙΑΓΝΩΣΗΣ ΑΚΤΙΝΟΓΡΑΦΙΑ ΑΝΤΙΦΥΜΑΤΙΚΗ ΑΓΩΓΗ ΔΘ ΕΚΒΑΣΗ
61 Θ 35
ΠΕΛ ΤΕ ΝΣ
+
Π.Ε. Μ.Ε.
+
Λ.Ε. R
+
ΙΝΗ
+
Μ
+
Z S
+
Νοσ.
Σπ.14
ΙΑ
+
Ιν.Στ. Υπ.Βλ
+
ΕΠ Θ.
61.α.
61.β.
61.γ.
61.δ.
61.ε.
Α/Α Φ Η ΤΡΟΠΟΣ ΔΙΑΓΝΩΣΗΣ ΑΚΤΙΝΟΓΡΑΦΙΑ ΑΝΤΙΦΥΜΑΤΙΚΗ ΑΓΩΓΗ ΔΘ ΕΚΒΑΣΗ
62 Θ 16
ΠΕΛ ΤΕ ΝΣ
+
Π.Ε.
+
Μ.Ε. Λ.Ε. R
+
ΙΝΗ
+
Μ
+
Z S Νοσ.
Σπ.14
ΙΑ
+
Ιν.Στ. Υπ.Βλ ΕΠ Θ.
62.α.
62.β.
09-03-78
16-09-88
επαφή
62.γ.
Α/Α Φ Η ΤΡΟΠΟΣ ΔΙΑΓΝΩΣΗΣ ΑΚΤΙΝΟΓΡΑΦΙΑ ΑΝΤΙΦΥΜΑΤΙΚΗ ΑΓΩΓΗ ΔΘ ΕΚΒΑΣΗ
63 Θ 22
ΠΕΛ ΤΕ ΝΣ
+
Π.Ε.
+
Μ.Ε. Λ.Ε. R
+
ΙΝΗ
+
Μ
+
Z S Νοσ.
Σπ.14
ΙΑ
+
Ιν.Στ. Υπ.Βλ ΕΠ Θ.
63.α.
13-11-78
63.β.
63.γ.
63.δ.
Α/Α Φ Η ΤΡΟΠΟΣ ΔΙΑΓΝΩΣΗΣ ΑΚΤΙΝΟΓΡΑΦΙΑ ΑΝΤΙΦΥΜΑΤΙΚΗ ΑΓΩΓΗ ΔΘ ΕΚΒΑΣΗ
64 Α 17
ΠΕΛ ΤΕ ΝΣ
+
Π.Ε.
+
Μ.Ε. Λ.Ε. R
+
ΙΝΗ
+
Μ
+
Z S Νοσ.
Σπ.14
ΙΑ
+
Ιν.Στ. Υπ.Βλ ΕΠ Θ.
64.α.
Φυσιολογική ακτινογραφία σαν επαφή
της προηγούμενης περίπτωσης
64.β. Περιορισμένη διήθηση δεξιάς κορυφής
64.γ.
64.δ.
Α/Α Φ Η ΤΡΟΠΟΣ ΔΙΑΓΝΩΣΗΣ ΑΚΤΙΝΟΓΡΑΦΙΑ ΑΝΤΙΦΥΜΑΤΙΚΗ ΑΓΩΓΗ ΔΘ ΕΚΒΑΣΗ
65 Θ 20
ΠΕΛ ΤΕ ΝΣ
+
Π.Ε. Μ.Ε.
+
Λ.Ε. R
+
ΙΝΗ
+
Μ
+
Z S Νοσ.
Σπ.12
ΙΑ
+
Ιν.Στ. Υπ.Βλ ΕΠ Θ.
65.α.
65.β.
15-06-88
Α/Α Φ Η ΤΡΟΠΟΣ ΔΙΑΓΝΩΣΗΣ ΑΚΤΙΝΟΓΡΑΦΙΑ ΑΝΤΙΦΥΜΑΤΙΚΗ ΑΓΩΓΗ ΔΘ ΕΚΒΑΣΗ
66 Α 52
ΠΕΛ ΤΕ ΝΣ
+
Π.Ε. Μ.Ε.
+
Λ.Ε. R
+
ΙΝΗ
+
Μ
+
Z S Νοσ.
Σπ.14
ΙΑ
+
Ιν.Στ. Υπ.Βλ ΕΠ Θ.
66.α.
66.β.
66.γ.
Α/Α Φ Η ΤΡΟΠΟΣ ΔΙΑΓΝΩΣΗΣ ΑΚΤΙΝΟΓΡΑΦΙΑ ΑΝΤΙΦΥΜΑΤΙΚΗ ΑΓΩΓΗ ΔΘ ΕΚΒΑΣΗ
67 Α 22
ΠΕΛ ΤΕ ΝΣ
+
Π.Ε. Μ.Ε.
+
Λ.Ε. R
+
ΙΝΗ
+
Μ
+
Z S Νοσ.
Σπ.14
ΙΑ
+
Ιν.Στ. Υπ.Βλ ΕΠ Θ.
67.α.
28-07-78
67.β.
67.γ.
01-08-78
03-10-78
03-02-79
Α/Α Φ Η ΤΡΟΠΟΣ ΔΙΑΓΝΩΣΗΣ ΑΚΤΙΝΟΓΡΑΦΙΑ ΑΝΤΙΦΥΜΑΤΙΚΗ ΑΓΩΓΗ ΔΘ ΕΚΒΑΣΗ
68 Α 22
ΠΕΛ ΤΕ ΝΣ
+
Π.Ε. Μ.Ε.
+
Λ.Ε. R
+
ΙΝΗ
+
Μ
+
Z S Νοσ.1
Σπ.12
ΙΑ
+
Ιν.Στ. Υπ.Βλ
+
ΕΠ Θ.
68.α. Τετραλογία Fallot και κεχροειδής διασπορά
68.β.
Α/Α Φ Η ΤΡΟΠΟΣ ΔΙΑΓΝΩΣΗΣ ΑΚΤΙΝΟΓΡΑΦΙΑ ΑΝΤΙΦΥΜΑΤΙΚΗ ΑΓΩΓΗ ΔΘ ΕΚΒΑΣΗ
69 Θ 17
ΠΕΛ ΤΕ ΝΣ
+
Π.Ε.
+
Μ.Ε. Λ.Ε. R
+
ΙΝΗ
+
Μ
+
Z S Νοσ.
Σπ.12
ΙΑ
+
Ιν.Στ. Υπ.Βλ ΕΠ Θ.
69.α.
69.β.
22-08-91
69.γ.
69.δ.
19-01-95
Α/Α Φ Η ΤΡΟΠΟΣ ΔΙΑΓΝΩΣΗΣ ΑΚΤΙΝΟΓΡΑΦΙΑ ΑΝΤΙΦΥΜΑΤΙΚΗ ΑΓΩΓΗ ΔΘ ΕΚΒΑΣΗ
70 Α 40
ΠΕΛ ΤΕ ΝΣ
+
Π.Ε. Μ.Ε.
+
Λ.Ε. R
+
ΙΝΗ
+
Μ
+
Z S Νοσ.5
Σπ.14
ΙΑ
+
Ιν.Στ. Υπ.Βλ ΕΠ Θ.
70.α.
70.β.
Α/Α Φ Η ΤΡΟΠΟΣ ΔΙΑΓΝΩΣΗΣ ΑΚΤΙΝΟΓΡΑΦΙΑ ΑΝΤΙΦΥΜΑΤΙΚΗ ΑΓΩΓΗ ΔΘ ΕΚΒΑΣΗ
71 Θ 20
ΠΕΛ ΤΕ ΝΣ
+
Π.Ε. Μ.Ε. Λ.Ε.
+
R
+
ΙΝΗ
+
Μ
+
Z S
+
Νοσ.
Σπ.14
ΙΑ
+
Ιν.Στ. Υπ.Βλ ΕΠ Θ.
71.α.
71.β.
02-08-77
03-08-77
71.γ.
Α/Α Φ Η ΤΡΟΠΟΣ ΔΙΑΓΝΩΣΗΣ ΑΚΤΙΝΟΓΡΑΦΙΑ ΑΝΤΙΦΥΜΑΤΙΚΗ ΑΓΩΓΗ ΔΘ ΕΚΒΑΣΗ
72 Θ 19
ΠΕΛ ΤΕ ΝΣ
+
Π.Ε. Μ.Ε.
+
Λ.Ε. R
+
ΙΝΗ
+
Μ
+
Z S Νοσ.
Σπ.14
ΙΑ
+
Ιν.Στ. Υπ.Βλ ΕΠ Θ.
72.α.
72.β.
72.γ.
Α/Α Φ Η ΤΡΟΠΟΣ ΔΙΑΓΝΩΣΗΣ ΑΚΤΙΝΟΓΡΑΦΙΑ ΑΝΤΙΦΥΜΑΤΙΚΗ ΑΓΩΓΗ ΔΘ ΕΚΒΑΣΗ
73 Α 36
ΠΕΛ ΤΕ ΝΣ
+
Π.Ε. Μ.Ε.
+
Λ.Ε. R
+
ΙΝΗ
+
Μ
+
Z S Νοσ.
Σπ.16
ΙΑ
+
Ιν.Στ. Υπ.Βλ
+
ΕΠ Θ.
73.α.
73.β.
73.γ.
Α/Α Φ Η ΤΡΟΠΟΣ ΔΙΑΓΝΩΣΗΣ ΑΚΤΙΝΟΓΡΑΦΙΑ ΑΝΤΙΦΥΜΑΤΙΚΗ ΑΓΩΓΗ ΔΘ ΕΚΒΑΣΗ
74 Θ 22
ΠΕΛ ΤΕ ΝΣ
+
Π.Ε. Μ.Ε.
+
Λ.Ε. R
+
ΙΝΗ
+
Μ
+
Z S Νοσ.
Σπ.14
ΙΑ
+
Ιν.Στ. Υπ.Βλ ΕΠ Θ.
74.α.
18-06-79
74.β.
Α/Α Φ Η ΤΡΟΠΟΣ ΔΙΑΓΝΩΣΗΣ ΑΚΤΙΝΟΓΡΑΦΙΑ ΑΝΤΙΦΥΜΑΤΙΚΗ ΑΓΩΓΗ ΔΘ ΕΚΒΑΣΗ
75 Θ 22
ΠΕΛ ΤΕ ΝΣ
+
Π.Ε.
+
Μ.Ε. Λ.Ε. R
+
ΙΝΗ
+
Μ
+
Z S Νοσ.
Σπ.14
ΙΑ
+
Ιν.Στ. Υπ.Βλ ΕΠ Θ.
75.α.
75.β.
75.γ.
75.δ.
Α/Α Φ Η ΤΡΟΠΟΣ ΔΙΑΓΝΩΣΗΣ ΑΚΤΙΝΟΓΡΑΦΙΑ ΑΝΤΙΦΥΜΑΤΙΚΗ ΑΓΩΓΗ ΔΘ ΕΚΒΑΣΗ
76 Θ 25
ΠΕΛ ΤΕ ΝΣ
+
Π.Ε. Μ.Ε. Λ.Ε.
+
R
+
ΙΝΗ
+
Μ
+
Z
+
S Νοσ.
Σπ.14
ΙΑ
+
Ιν.Στ. Υπ.Βλ ΕΠ Θ.
76.α. Περιορισμένες διηθήσεις αμφοτέρων των κορυφών, κύρια δεξιά
76.β.
Α/Α Φ Η ΤΡΟΠΟΣ ΔΙΑΓΝΩΣΗΣ ΑΚΤΙΝΟΓΡΑΦΙΑ ΑΝΤΙΦΥΜΑΤΙΚΗ ΑΓΩΓΗ ΔΘ ΕΚΒΑΣΗ
77 Θ 19
ΠΕΛ ΤΕ ΝΣ
+
Π.Ε.
+
Μ.Ε. Λ.Ε. R
+
ΙΝΗ
+
Μ
+
Z S Νοσ.
Σπ.14
ΙΑ
+
Ιν.Στ. Υπ.Βλ ΕΠ Θ.
77.α.
08-07-80
77.β.
Α/Α Φ Η ΤΡΟΠΟΣ ΔΙΑΓΝΩΣΗΣ ΑΚΤΙΝΟΓΡΑΦΙΑ ΑΝΤΙΦΥΜΑΤΙΚΗ ΑΓΩΓΗ ΔΘ ΕΚΒΑΣΗ
78 Α 15
ΠΕΛ ΤΕ ΝΣ
+
Π.Ε. Μ.Ε.
+
Λ.Ε. R
+
ΙΝΗ
+
Μ
+
Z S Νοσ.2
Σπ.10
ΙΑ
+
Ιν.Στ. Υπ.Βλ ΕΠ Θ.
78.α.
07-07-87
φυσιολογική
78.β.
Α/Α Φ Η ΤΡΟΠΟΣ ΔΙΑΓΝΩΣΗΣ ΑΚΤΙΝΟΓΡΑΦΙΑ ΑΝΤΙΦΥΜΑΤΙΚΗ ΑΓΩΓΗ ΔΘ ΕΚΒΑΣΗ
79 Α 42
ΠΕΛ ΤΕ ΝΣ
+
Π.Ε. Μ.Ε.
+
Λ.Ε. R
+
ΙΝΗ
+
Μ
+
Z S Νοσ.
Σπ.12
ΙΑ
+
Ιν.Στ. Υπ.Βλ ΕΠ Θ.
79.α.
12-06-89
9,5 εκ.
5,7 εκ.
περικαρδίτις
79.β.
Α/Α Φ Η ΤΡΟΠΟΣ ΔΙΑΓΝΩΣΗΣ ΑΚΤΙΝΟΓΡΑΦΙΑ ΑΝΤΙΦΥΜΑΤΙΚΗ ΑΓΩΓΗ ΔΘ ΕΚΒΑΣΗ
80 Θ 24
ΠΕΛ ΤΕ ΝΣ
+
Π.Ε. Μ.Ε.
+
Λ.Ε. R
+
ΙΝΗ
+
Μ
+
Z S Νοσ.
Σπ.12
ΙΑ
+
Ιν.Στ. Υπ.Βλ ΕΠ Θ.
80.α.
80.β.
Α/Α Φ Η ΤΡΟΠΟΣ ΔΙΑΓΝΩΣΗΣ ΑΚΤΙΝΟΓΡΑΦΙΑ ΑΝΤΙΦΥΜΑΤΙΚΗ ΑΓΩΓΗ ΔΘ ΕΚΒΑΣΗ
81 Α 48
ΠΕΛ ΤΕ ΝΣ
+
Π.Ε. Μ.Ε. Λ.Ε.
+
R
+
ΙΝΗ
+
Μ
+
Z
+
S Νοσ.6
Σπ.12
ΙΑ
+
Ιν.Στ. Υπ.Βλ
+
ΕΠ Θ.
81.α.
81.β.
81.γ.
Α/Α Φ Η ΤΡΟΠΟΣ ΔΙΑΓΝΩΣΗΣ ΑΚΤΙΝΟΓΡΑΦΙΑ ΑΝΤΙΦΥΜΑΤΙΚΗ ΑΓΩΓΗ ΔΘ ΕΚΒΑΣΗ
82 Α 22
ΠΕΛ ΤΕ ΝΣ
+
Π.Ε. Μ.Ε.
+
Λ.Ε. R
+
ΙΝΗ
+
Μ
+
Z S Νοσ.
Σπ.12
ΙΑ
+
Ιν.Στ. Υπ.Βλ
+
ΕΠ Θ.
82.α. Επαφή της περίπτωσης 81
82.β.
Α/Α Φ Η ΤΡΟΠΟΣ ΔΙΑΓΝΩΣΗΣ ΑΚΤΙΝΟΓΡΑΦΙΑ ΑΝΤΙΦΥΜΑΤΙΚΗ ΑΓΩΓΗ ΔΘ ΕΚΒΑΣΗ
83 Α 17
ΠΕΛ ΤΕ ΝΣ
+
Π.Ε. Μ.Ε.
+
Λ.Ε. R
+
ΙΝΗ
+
Μ
+
Z S Νοσ.
Σπ.12
ΙΑ
+
Ιν.Στ. Υπ.Βλ ΕΠ Θ.
83.α. Επαφή της περίπτωσης 81
83.β.
Α/Α Φ Η ΤΡΟΠΟΣ ΔΙΑΓΝΩΣΗΣ ΑΚΤΙΝΟΓΡΑΦΙΑ ΑΝΤΙΦΥΜΑΤΙΚΗ ΑΓΩΓΗ ΔΘ ΕΚΒΑΣΗ
84 Α 32
ΠΕΛ ΤΕ ΝΣ
+
Π.Ε.
+
Μ.Ε. Λ.Ε. R
+
ΙΝΗ
+
Μ
+
Z S Νοσ.
Σπ.14
ΙΑ
+
Ιν.Στ. Υπ.Βλ ΕΠ Θ.
84.α. Διήθηση δεξιάς κορυφοϋποκλειδίου χώρας
84.β.
84.γ.
Α/Α Φ Η ΤΡΟΠΟΣ ΔΙΑΓΝΩΣΗΣ ΑΚΤΙΝΟΓΡΑΦΙΑ ΑΝΤΙΦΥΜΑΤΙΚΗ ΑΓΩΓΗ ΔΘ ΕΚΒΑΣΗ
85 Θ 51
ΠΕΛ ΤΕ ΝΣ
+
Π.Ε.
+
Μ.Ε. Λ.Ε. R
+
ΙΝΗ
+
Μ
+
Z S Νοσ.
Σπ.15
ΙΑ
+
Ιν.Στ. Υπ.Βλ ΕΠ Θ.
85.α.
85.β.
Α/Α Φ Η ΤΡΟΠΟΣ ΔΙΑΓΝΩΣΗΣ ΑΚΤΙΝΟΓΡΑΦΙΑ ΑΝΤΙΦΥΜΑΤΙΚΗ ΑΓΩΓΗ ΔΘ ΕΚΒΑΣΗ
86 Θ 28
ΠΕΛ ΤΕ ΝΣ
+
Π.Ε.
+
Μ.Ε. Λ.Ε. R
+
ΙΝΗ
+
Μ
+
Z S Νοσ.
Σπ.12
ΙΑ
+
Ιν.Στ. Υπ.Βλ ΕΠ Θ.
86.α.
86.β.
86.γ.
Α/Α Φ Η ΤΡΟΠΟΣ ΔΙΑΓΝΩΣΗΣ ΑΚΤΙΝΟΓΡΑΦΙΑ ΑΝΤΙΦΥΜΑΤΙΚΗ ΑΓΩΓΗ ΔΘ ΕΚΒΑΣΗ
87 Θ 63
ΠΕΛ ΤΕ ΝΣ
+
Π.Ε. Μ.Ε. Λ.Ε.
+
R
+
ΙΝΗ
+
Μ
+
Z S
+
Νοσ.4
Σπ.12
ΙΑ Ιν.Στ. Υπ.Βλ ΕΠ Θ.
+
87.α. Ύστερα από μακρά αντιφυματική αγωγή στο νοσοκομείο και στο σπίτι, έφθασε στη φυματιώδη
καχεξία και τον θάνατο
87.β.
Α/Α Φ Η ΤΡΟΠΟΣ ΔΙΑΓΝΩΣΗΣ ΑΚΤΙΝΟΓΡΑΦΙΑ ΑΝΤΙΦΥΜΑΤΙΚΗ ΑΓΩΓΗ ΔΘ ΕΚΒΑΣΗ
88 Α 60
ΠΕΛ ΤΕ ΝΣ
+
Π.Ε. Μ.Ε.
+
Λ.Ε. R
+
ΙΝΗ
+
Μ
+
Z S Νοσ.
Σπ.12
ΙΑ
+
Ιν.Στ. Υπ.Βλ ΕΠ Θ.
88.α.
88.β.
88.γ.
Α/Α Φ Η ΤΡΟΠΟΣ ΔΙΑΓΝΩΣΗΣ ΑΚΤΙΝΟΓΡΑΦΙΑ ΑΝΤΙΦΥΜΑΤΙΚΗ ΑΓΩΓΗ ΔΘ ΕΚΒΑΣΗ
89 Α 23
ΠΕΛ ΤΕ ΝΣ
+
Π.Ε. Μ.Ε.
+
Λ.Ε. R
+
ΙΝΗ
+
Μ
+
Z S Νοσ.
Σπ.12
ΙΑ
+
Ιν.Στ. Υπ.Βλ ΕΠ Θ.
89.α.
89.β.
89.γ.
89.δ.
Α/Α Φ Η ΤΡΟΠΟΣ ΔΙΑΓΝΩΣΗΣ ΑΚΤΙΝΟΓΡΑΦΙΑ ΑΝΤΙΦΥΜΑΤΙΚΗ ΑΓΩΓΗ ΔΘ ΕΚΒΑΣΗ
90 Α 21
ΠΕΛ ΤΕ ΝΣ
+
Π.Ε. Μ.Ε.
+
Λ.Ε. R
+
ΙΝΗ
+
Μ
+
Z S Νοσ.1
Σπ.12
ΙΑ
+
Ιν.Στ. Υπ.Βλ ΕΠ Θ.
90.α. Σπουδαστής, με φυματίωση δεξιού άνω λοβού, ολοκλήρωσε την αντιφυματική θεραπεία στη γενέτειρά του
90.β.
90.γ.
Α/Α Φ Η ΤΡΟΠΟΣ ΔΙΑΓΝΩΣΗΣ ΑΚΤΙΝΟΓΡΑΦΙΑ ΑΝΤΙΦΥΜΑΤΙΚΗ ΑΓΩΓΗ ΔΘ ΕΚΒΑΣΗ
91 Α 17
ΠΕΛ ΤΕ ΝΣ
+
Π.Ε.
+
Μ.Ε. Λ.Ε. R
+
ΙΝΗ
+
Μ
+
Z S Νοσ.
Σπ.12
ΙΑ
+
Ιν.Στ. Υπ.Βλ ΕΠ Θ.
91.α. Διήθηση δεξιού άνω λοβού με σπήλαιο
91.β.
91.γ.
Α/Α Φ Η ΤΡΟΠΟΣ ΔΙΑΓΝΩΣΗΣ ΑΚΤΙΝΟΓΡΑΦΙΑ ΑΝΤΙΦΥΜΑΤΙΚΗ ΑΓΩΓΗ ΔΘ ΕΚΒΑΣΗ
92 Α 18
ΠΕΛ ΤΕ ΝΣ
+
Π.Ε.
+
Μ.Ε. Λ.Ε. R
+
ΙΝΗ
+
Μ
+
Z S Νοσ.
Σπ.14
ΙΑ
+
Ιν.Στ. Υπ.Βλ ΕΠ Θ.
92.α.
21-05-91
92.β.
Α/Α Φ Η ΤΡΟΠΟΣ ΔΙΑΓΝΩΣΗΣ ΑΚΤΙΝΟΓΡΑΦΙΑ ΑΝΤΙΦΥΜΑΤΙΚΗ ΑΓΩΓΗ ΔΘ ΕΚΒΑΣΗ
93 Α 20
ΠΕΛ ΤΕ ΝΣ
+
Π.Ε.
+
Μ.Ε. Λ.Ε. R
+
ΙΝΗ
+
Μ
+
Z S Νοσ.
Σπ.
ΙΑ
+
Ιν.Στ. Υπ.Βλ ΕΠ Θ.
93.α. Στρατιώτης που υπηρετούσε στην Κομοτηνή,ολοκλήρωσε τη θεραπεία στην υπηρεσία του
11-06-77
93.β.
Α/Α Φ Η ΤΡΟΠΟΣ ΔΙΑΓΝΩΣΗΣ ΑΚΤΙΝΟΓΡΑΦΙΑ ΑΝΤΙΦΥΜΑΤΙΚΗ ΑΓΩΓΗ ΔΘ ΕΚΒΑΣΗ
94 Α 18
ΠΕΛ ΤΕ ΝΣ
+
Π.Ε. Μ.Ε. Λ.Ε.
+
R
+
ΙΝΗ
+
Μ
+
Z S Νοσ.
Σπ.12
ΙΑ
+
Ιν.Στ. Υπ.Βλ
+
ΕΠ Θ.
94.α.
12-03-99
94.β.
94.γ.
11-05-99
94.δ.
Α/Α Φ Η ΤΡΟΠΟΣ ΔΙΑΓΝΩΣΗΣ ΑΚΤΙΝΟΓΡΑΦΙΑ ΑΝΤΙΦΥΜΑΤΙΚΗ ΑΓΩΓΗ ΔΘ ΕΚΒΑΣΗ
95 Θ 35
ΠΕΛ ΤΕ ΝΣ
+
Π.Ε. Μ.Ε.
+
Λ.Ε. R
+
ΙΝΗ
+
Μ
+
Z S Νοσ.
Σπ.12
ΙΑ
+
Ιν.Στ. Υπ.Βλ ΕΠ Θ.
95.α. Διήθηση δεξιού άνω και κάτω λοβού
08-01-98
95.β.
95.γ.
95.δ.
Α/Α Φ Η ΤΡΟΠΟΣ ΔΙΑΓΝΩΣΗΣ ΑΚΤΙΝΟΓΡΑΦΙΑ ΑΝΤΙΦΥΜΑΤΙΚΗ ΑΓΩΓΗ ΔΘ ΕΚΒΑΣΗ
96 Α 54
ΠΕΛ ΤΕ ΝΣ
+
Π.Ε. Μ.Ε.
+
Λ.Ε. R
+
ΙΝΗ
+
Μ
+
Z S Νοσ.
Σπ.12
ΙΑ
+
Ιν.Στ. Υπ.Βλ
+
ΕΠ Θ.
96.α.
96.β.
96.γ.
28-04-98
96.δ.
96.ε.
Α/Α Φ Η ΤΡΟΠΟΣ ΔΙΑΓΝΩΣΗΣ ΑΚΤΙΝΟΓΡΑΦΙΑ ΑΝΤΙΦΥΜΑΤΙΚΗ ΑΓΩΓΗ ΔΘ ΕΚΒΑΣΗ
97 Α 25
ΠΕΛ ΤΕ ΝΣ
+
Π.Ε. Μ.Ε.
+
Λ.Ε. R
+
ΙΝΗ
+
Μ
+
Z S Νοσ.
Σπ.12
ΙΑ
+
Ιν.Στ. Υπ.Βλ
+
ΕΠ Θ.
97.α.
97.β.
97.γ.
97.δ.
97.ε.
Α/Α Φ Η ΤΡΟΠΟΣ ΔΙΑΓΝΩΣΗΣ ΑΚΤΙΝΟΓΡΑΦΙΑ ΑΝΤΙΦΥΜΑΤΙΚΗ ΑΓΩΓΗ ΔΘ ΕΚΒΑΣΗ
98 Α 22
ΠΕΛ ΤΕ ΝΣ
+
Π.Ε. Μ.Ε. Λ.Ε.
+
R
+
ΙΝΗ
+
Μ
+
Z S
+
Νοσ.
Σπ.20
ΙΑ
+
Ιν.Στ. Υπ.Βλ
+
ΕΠ Θ.
98.α. Διήθηση δεξιού άνω λοβού με σπήλαιο. Ο άρρωστος ήταν απείθαρχος και μη συνεργάσιμος.
18-02-99
30-06-97
98.β.
98.γ.
17-07-97
98.δ.
98.ε.
98.στ.
Α/Α Φ Η ΤΡΟΠΟΣ ΔΙΑΓΝΩΣΗΣ ΑΚΤΙΝΟΓΡΑΦΙΑ ΑΝΤΙΦΥΜΑΤΙΚΗ ΑΓΩΓΗ ΔΘ ΕΚΒΑΣΗ
99 Α 40
ΠΕΛ ΤΕ ΝΣ
+
Π.Ε. Μ.Ε. Λ.Ε.
+
R
+
ΙΝΗ
+
Μ
+
Z S
+
Νοσ.
Σπ.14
ΙΑ
+
Ιν.Στ. Υπ.Βλ ΕΠ Θ.
99.α. Πνευμονική φυματίωση με σπήλαια σε αμφοτέρους τους άνω λοβούς.
99.β.
99.γ.
99.δ.
Α/Α Φ Η ΤΡΟΠΟΣ ΔΙΑΓΝΩΣΗΣ ΑΚΤΙΝΟΓΡΑΦΙΑ ΑΝΤΙΦΥΜΑΤΙΚΗ ΑΓΩΓΗ ΔΘ ΕΚΒΑΣΗ
100 Α 56
ΠΕΛ ΤΕ ΝΣ
+
Π.Ε.
+
Μ.Ε. Λ.Ε. R
+
ΙΝΗ
+
Μ
+
Z S Νοσ.
Σπ.12
ΙΑ
+
Ιν.Στ. Υπ.Βλ
+
ΕΠ Θ.
100.α.
100.β.
100.γ.
100.δ.
Α/Α Φ Η ΤΡΟΠΟΣ ΔΙΑΓΝΩΣΗΣ ΑΚΤΙΝΟΓΡΑΦΙΑ ΑΝΤΙΦΥΜΑΤΙΚΗ ΑΓΩΓΗ ΔΘ ΕΚΒΑΣΗ
101 Θ 18
ΠΕΛ ΤΕ ΝΣ
+
Π.Ε.
+
Μ.Ε. Λ.Ε. R
+
ΙΝΗ
+
Μ
+
Z S Νοσ.
Σπ.14
ΙΑ
+
Ιν.Στ. Υπ.Βλ ΕΠ Θ.
101.α.
101.β.
Α/Α Φ Η ΤΡΟΠΟΣ ΔΙΑΓΝΩΣΗΣ ΑΚΤΙΝΟΓΡΑΦΙΑ ΑΝΤΙΦΥΜΑΤΙΚΗ ΑΓΩΓΗ ΔΘ ΕΚΒΑΣΗ
102 Θ 24
ΠΕΛ ΤΕ ΝΣ
+
Π.Ε.
+
Μ.Ε. Λ.Ε. R
+
ΙΝΗ
+
Μ
+
Z S Νοσ.
Σπ.14
ΙΑ
+
Ιν.Στ. Υπ.Βλ ΕΠ Θ.
102.α. Επαφή
102.β.
Α/Α Φ Η ΤΡΟΠΟΣ ΔΙΑΓΝΩΣΗΣ ΑΚΤΙΝΟΓΡΑΦΙΑ ΑΝΤΙΦΥΜΑΤΙΚΗ ΑΓΩΓΗ ΔΘ ΕΚΒΑΣΗ
103 Α 18
ΠΕΛ ΤΕ ΝΣ
+
Π.Ε. Μ.Ε.
+
Λ.Ε. R
+
ΙΝΗ
+
Μ
+
Z S Νοσ.
Σπ.12
ΙΑ
+
Ιν.Στ. Υπ.Βλ ΕΠ Θ.
103.α.
103.β.
Α/Α Φ Η ΤΡΟΠΟΣ ΔΙΑΓΝΩΣΗΣ ΑΚΤΙΝΟΓΡΑΦΙΑ ΑΝΤΙΦΥΜΑΤΙΚΗ ΑΓΩΓΗ ΔΘ ΕΚΒΑΣΗ
104 Α 60
ΠΕΛ ΤΕ ΝΣ
+
Π.Ε. Μ.Ε.
+
Λ.Ε. R
+
ΙΝΗ
+
Μ
+
Z S Νοσ.
Σπ.12
ΙΑ
+
Ιν.Στ. Υπ.Βλ
+
ΕΠ Θ.
104.α.
104.β.
104.γ.
03-11-92
Α/Α Φ Η ΤΡΟΠΟΣ ΔΙΑΓΝΩΣΗΣ ΑΚΤΙΝΟΓΡΑΦΙΑ ΑΝΤΙΦΥΜΑΤΙΚΗ ΑΓΩΓΗ ΔΘ ΕΚΒΑΣΗ
105 Α 40
ΠΕΛ ΤΕ ΝΣ
+
Π.Ε. Μ.Ε.
+
Λ.Ε. R
+
ΙΝΗ
+
Μ
+
Z S Νοσ.
Σπ.14
ΙΑ
+
Ιν.Στ. Υπ.Βλ ΕΠ Θ.
105.α.
105.β.
105.γ.
105.δ.
105.ε.
Α/Α Φ Η ΤΡΟΠΟΣ ΔΙΑΓΝΩΣΗΣ ΑΚΤΙΝΟΓΡΑΦΙΑ ΑΝΤΙΦΥΜΑΤΙΚΗ ΑΓΩΓΗ ΔΘ ΕΚΒΑΣΗ
106 Α 30
ΠΕΛ ΤΕ ΝΣ
+
Π.Ε.
+
Μ.Ε. Λ.Ε. R
+
ΙΝΗ
+
Μ
+
Z S Νοσ.
Σπ.12
ΙΑ
+
Ιν.Στ. Υπ.Βλ
+
ΕΠ Θ.
106.α.
106.β.
106.γ.
Α/Α Φ Η ΤΡΟΠΟΣ ΔΙΑΓΝΩΣΗΣ ΑΚΤΙΝΟΓΡΑΦΙΑ ΑΝΤΙΦΥΜΑΤΙΚΗ ΑΓΩΓΗ ΔΘ ΕΚΒΑΣΗ
107 Α 59
ΠΕΛ ΤΕ ΝΣ
+
Π.Ε. Μ.Ε.
+
Λ.Ε. R
+
ΙΝΗ
+
Μ
+
Z S Νοσ.10
Σπ.10
ΙΑ
+
Ιν.Στ Υπ.Βλ ΕΠ Θ.
107.α.
107.β.
Α/Α Φ Η ΤΡΟΠΟΣ ΔΙΑΓΝΩΣΗΣ ΑΚΤΙΝΟΓΡΑΦΙΑ ΑΝΤΙΦΥΜΑΤΙΚΗ ΑΓΩΓΗ ΔΘ ΕΚΒΑΣΗ
108 Α 16
ΠΕΛ ΤΕ ΝΣ
+
Π.Ε.
+
Μ.Ε. Λ.Ε. R
+
ΙΝΗ
+
Μ
+
Z S Νοσ.
Σπ.14
ΙΑ
+
Ιν.Στ. Υπ.Βλ ΕΠ Θ.
108.α.
Με υπεζωκοτική αμιάντωση
108.β.
Α/Α Φ Η ΤΡΟΠΟΣ ΔΙΑΓΝΩΣΗΣ ΑΚΤΙΝΟΓΡΑΦΙΑ ΑΝΤΙΦΥΜΑΤΙΚΗ ΑΓΩΓΗ ΔΘ ΕΚΒΑΣΗ
109 Α 16
ΠΕΛ ΤΕ ΝΣ
+
Π.Ε.
+
Μ.Ε. Λ.Ε. R
+
ΙΝΗ
+
Μ
+
Z S Νοσ.
Σπ.14
ΙΑ
+
Ιν.Στ. Υπ.Βλ ΕΠ Θ.
109.α.
109.β.
Α/Α Φ Η ΤΡΟΠΟΣ ΔΙΑΓΝΩΣΗΣ ΑΚΤΙΝΟΓΡΑΦΙΑ ΑΝΤΙΦΥΜΑΤΙΚΗ ΑΓΩΓΗ ΔΘ ΕΚΒΑΣΗ
110 Α 32
ΠΕΛ ΤΕ ΝΣ
+
Π.Ε. Μ.Ε.
+
Λ.Ε. R
+
ΙΝΗ
+
Μ
+
Z S Νοσ.3
Σπ.12
ΙΑ
+
Ιν.Στ. Υπ.Βλ
+
ΕΠ Θ.
110.α.
19-01-87
110.β.
110.γ.
06-01-92
10-11-92
Α/Α Φ Η ΤΡΟΠΟΣ ΔΙΑΓΝΩΣΗΣ ΑΚΤΙΝΟΓΡΑΦΙΑ ΑΝΤΙΦΥΜΑΤΙΚΗ ΑΓΩΓΗ ΔΘ ΕΚΒΑΣΗ
111 Α 55
ΠΕΛ ΤΕ ΝΣ
+
Π.Ε. Μ.Ε.
+
Λ.Ε. R
+
ΙΝΗ
+
Μ
+
Z S
+
Νοσ.5
Σπ.10
ΙΑ
+
Ιν.Στ. Υπ.Βλ
+
ΕΠ Θ.
111.α.
111.β.
111.γ.
Α/Α Φ Η ΤΡΟΠΟΣ ΔΙΑΓΝΩΣΗΣ ΑΚΤΙΝΟΓΡΑΦΙΑ ΑΝΤΙΦΥΜΑΤΙΚΗ ΑΓΩΓΗ ΔΘ ΕΚΒΑΣΗ
112 Α 68
ΠΕΛ ΤΕ ΝΣ
+
Π.Ε. Μ.Ε. Λ.Ε.
+
R
+
ΙΝΗ
+
Μ
+
Z S
+
Νοσ.4
Σπ.10
ΙΑ
+
Ιν.Στ. Υπ.Βλ
+
ΕΠ Θ.
112.α.
112.β.
Α/Α Φ Η ΤΡΟΠΟΣ ΔΙΑΓΝΩΣΗΣ ΑΚΤΙΝΟΓΡΑΦΙΑ ΑΝΤΙΦΥΜΑΤΙΚΗ ΑΓΩΓΗ ΔΘ ΕΚΒΑΣΗ
113 Α 52
ΠΕΛ ΤΕ ΝΣ
+
Π.Ε. Μ.Ε.
+
Λ.Ε. R
+
ΙΝΗ
+
Μ
+
Z S Νοσ.4
Σπ.10
ΙΑ
+
Ιν.Στ. Υπ.Βλ
+
ΕΠ Θ.
113.α. Δευτεροπαθής πνευμοθώρακας αριστερά
113.β.
113.γ.
Δευτεροπαθής πνευμοθώρακας
113.δ.
Α/Α Φ Η ΤΡΟΠΟΣ ΔΙΑΓΝΩΣΗΣ ΑΚΤΙΝΟΓΡΑΦΙΑ ΑΝΤΙΦΥΜΑΤΙΚΗ ΑΓΩΓΗ ΔΘ ΕΚΒΑΣΗ
114 Θ 59
ΠΕΛ ΤΕ ΝΣ
+
Π.Ε.
+
Μ.Ε. Λ.Ε. R
+
ΙΝΗ
+
Μ
+
Z S Νοσ.8
Σπ.12
ΙΑ
+
Ιν.Στ. Υπ.Βλ
+
ΕΠ Θ.
114.α.
114.β.
114.γ.
13-05-80
114.δ.
Α/Α Φ Η ΤΡΟΠΟΣ ΔΙΑΓΝΩΣΗΣ ΑΚΤΙΝΟΓΡΑΦΙΑ ΑΝΤΙΦΥΜΑΤΙΚΗ ΑΓΩΓΗ ΔΘ ΕΚΒΑΣΗ
115 Α 39
ΠΕΛ ΤΕ ΝΣ
+
Π.Ε. Μ.Ε.
+
Λ.Ε. R
+
ΙΝΗ
+
Μ
+
Z S Νοσ.8
Σπ.8
ΙΑ Ιν.Στ. Υπ.Βλ ΕΠ Θ.
115.α. 4 χρόνια μετά το τέλος επιτυχούς αντιφυματικής θεραπείας, παρουσίασε υποτροπή και 3 χρόνια
αργότερα ασπεργίλωση σε κεκαθαρμένο σπήλαιο της αριστεράς κορυφής.
115.β.
115.γ.
Α/Α Φ Η ΤΡΟΠΟΣ ΔΙΑΓΝΩΣΗΣ ΑΚΤΙΝΟΓΡΑΦΙΑ ΑΝΤΙΦΥΜΑΤΙΚΗ ΑΓΩΓΗ ΔΘ ΕΚΒΑΣΗ
116 Α 60
ΠΕΛ ΤΕ ΝΣ
+
Π.Ε. Μ.Ε.
+
Λ.Ε. R
+
ΙΝΗ
+
Μ
+
Z S Νοσ.-
Σπ.-
Ημέρα συνταξιοδότησής
μου
116.α.
116.β.
15-06-00
15-06-00
Α/Α Φ Η ΤΡΟΠΟΣ ΔΙΑΓΝΩΣΗΣ ΑΚΤΙΝΟΓΡΑΦΙΑ ΑΝΤΙΦΥΜΑΤΙΚΗ ΑΓΩΓΗ ΔΘ ΕΚΒΑΣΗ
117 Α 46
ΠΕΛ ΤΕ ΝΣ
+
Π.Ε. Μ.Ε.
+
Λ.Ε. R
+
ΙΝΗ
+
Μ
+
Z S Νοσ.1
Σπ.11
ΙΑ
+
Ιν.Στ. Υπ.Βλ ΕΠ Θ.
117.α.
117.β.
04-03-86
04-03-86
Α/Α Φ Η ΤΡΟΠΟΣ ΔΙΑΓΝΩΣΗΣ ΑΚΤΙΝΟΓΡΑΦΙΑ ΑΝΤΙΦΥΜΑΤΙΚΗ ΑΓΩΓΗ ΔΘ ΕΚΒΑΣΗ
118 Α 41
ΠΕΛ ΤΕ ΝΣ
+
Π.Ε. Μ.Ε.
+
Λ.Ε. R
+
ΙΝΗ
+
Μ
+
Z S Νοσ.1
Σπ.14
ΙΑ
+
Ιν.Στ. Υπ.Βλ
+
ΕΠ Θ.
118.α. Παλαιός άρρωστος ο οποίος ύστερα από 10 χρόνια ενεφάνισε υποτροπή. Με αντιφυματική θεραπεία στο
σπίτι, αποκατάσταση.
118.β.
04-12-81
06-07-82
118.γ.
118.δ.
22-03-93
21-12-93
118.ε.
Α/Α Φ Η ΤΡΟΠΟΣ ΔΙΑΓΝΩΣΗΣ ΑΚΤΙΝΟΓΡΑΦΙΑ ΑΝΤΙΦΥΜΑΤΙΚΗ ΑΓΩΓΗ ΔΘ ΕΚΒΑΣΗ
119 Α 20
ΠΕΛ ΤΕ ΝΣ
+
Π.Ε.
+
Μ.Ε. Λ.Ε. R
+
ΙΝΗ
+
Μ
+
Z S Νοσ.10
ημέρες
Σπ.12
ΙΑ
+
Ιν.Στ. Υπ.Βλ ΕΠ Θ.
119.α.
25-01-94
119.β.
119.γ.
21-10-93 21-10-93
19-10-94
120. Ασθενής ηλικίας 34 ετών με πνευμονική φυματίωση δεξιού άνω λοβού και του αριστερού πνεύμονα
εκτεταμένη. Με αντιφυματική θεραπεία στο σπίτι, αποκατάσταση. Ύστερα από 1 χρόνο προσέρχεται στο
αντιφυματικό ιατρείο για δύσπνοια. Στην ακτινογραφία θώρακος παρατηρείται διάταση καρδιακή και
αμφοτερόπλευρες σκιάσεις. Η καρδιακή κάμψη είναι προφανής (χρόνιο πνευμονικό οίδημα). Ο ασθενής
παραπέμφθηκε σε περιφερειακό νοσοκομείο.
120.α.
120.β.
14-12-82
120.γ.
Φυματίωση με πνευμονικό απόστημα
121. Ασθενής ηλικίας 24 ετών με κλινική συνδρομή και φυματικές βλάβες αμφοτέρων των άνω λοβών .
Νοσοκομειακή νοσηλεία 1 μηνός σε ειδικό θεραπευτήριο. Με αντιφυματική θεραπεία, αποκατάσταση. Στις
8-05-86 προσήλθε για πύκνωση αριστερού μέσου πνευμονικού πεδίου. Με την υποψία υποτροπής της
φυματίωσης μπήκε σε αντιφυματική θεραπεία. Ωστόσο η βλάβη δεν υποχώρησε και παρουσίασε εικόνα
τήξης στις 11-11-86. Με θεραπεία με κοινά αντιβιωτικά επιτεύχθηκε η αποκατάσταση.
121.α.
121.β.
09-02-84
05-04-84
121.γ.
121.δ.
121.ε.
121.στ.
16-09-86
121.ζ.
121.η.
04-01-90
122. Ασθενής ηλικίας 70 ετών, με γνωστή παλαιά φυματίωση, για την οποία υποβαλλόταν σε θεραπεία.
Διαπιστώθηκε επασβεστιωμένη υδατίδα κύστη στο ήπαρ (βέλη στην P α/α), στρογγύλη σκιά με υγραερικό
επίπεδο στο πνευμονικό παρέγχυμα και συλλογή υπεζωκοτικού σύστοιχα. Μολονότι η πρώτη εντύπωση θα
ήταν της διπλής υδατίδας κύστεως, από την προσεκτική μελέτη αποδεικνύεται ότι η σκιά στον πνεύμονα
οφείλεται σε φλεγμονή- αποστηματοποίηση του μέσου λοβού που παροχετευόταν ατελώς. Η εξέλιξη
επιβεβαίωσε την υπόθεση.
122.α.
122.β.
15-03-84
122.γ.
122.δ.
Περιπτώσεις με πολύ εκτεταμένες φυματικές αλλοιώσεις
123. Ασθενής ηλικίας 50 ετών με κλινική συνδρομή και φυματικές βλάβες αμφοτέρων των άνω λοβών
σπηλαιώδης. Με αντιφυματική θεραπεία στο σπίτι για 1 χρόνο, βελτίωση. Πότης, απείθαρχος και μη
συνεργάσιμος με τις ιατρικές οδηγίες. Με υπολλειματικές βλάβες.
123.α.
123.β.
20-02-93
123.γ.
124.Ασθενής ηλικίας 25 ετών τυχαίο εύρημα στις πρώτες βοήθειες του νοσοκομείου. Εκτεταμένες
φυματικές βλάβες αμφοτέρων των άνω λοβών σπηλαιώδεις. Απείθαρχος, δύστροπος με ευκαιριακή
θεραπεία. Αρνήθηκε νοσοκομειακή νοσηλεία, η παρακολούθησή του γινόταν με εισαγγελική παραγγελία.
Αντιφυματική θεραπεία έλαβε στο μικρό χρονικό διάστημα που ήταν στη φυλακή για μικροαδικήματα και
ύστερα από 2 χρόνια κατέληξε από καρδιακή ανεπάρκεια. Η βίαιη συμπεριφορά στον στενό οικογενειακό
και τον ευρύτερο κοινωνικό περίγυρο προστάτευσε από ευρεία διαμόλυνση του περιβάλλοντός του.
124.α.
02-07-92
124.β.
124.γ.
09-09-92
125. Ασθενής ηλικίας 28 ετών με κλινική συνδρομή και φυματικές βλάβες που καταλαμβάνουν σχεδόν
ολόκληρο τον αριστερό πνεύμονα. Με αντιφυματική θεραπεία 14 μηνών στο σπίτι, αποκατάσταση.
125.α.
125.β.
03-11-86
126.Ασθενής ηλικίας 32 ετών με κλινική συνδρομή και φυματίωση αμφοτέρων των άνω λοβών λίαν
εκτεταμένη. Νοσηλεία 5 μηνών σε ειδικό θεραπευτήριο και 12 μηνών αντιφυματική θεραπεία στο σπίτι με
ελάχιστες υπολλειματικές βλάβες.
126.α. Επαφή
126.β.
126.γ.
127. Ασθενής ηλικίας 21 ετών με κλινική συνδρομή και φυματίωση που καταλαμβάνει το σύνολο του
δεξιού πνεύμονα. Με αντιφυματική θεραπεία 14 μηνών στο σπίτι, αποκατάσταση.
127.α.
127.β.
127.γ.
127.δ.
128. Ασθενής ηλικίας 73 ετών με κλινική συνδρομή και εκτεταμένες φυματικές βλάβες ανωτέρων των άνω
λοβών. Νοσοκομειακή νοσηλεία 10 μηνών σε ειδικό θεραπευτήριο και συνέχιση της θεραπείας στο σπίτι για
10 μήνες, με σημαντικές υπολλειματικές βλάβες.
128.α.
20-05-78
128.β.
129. Ασθενής ηλικίας 34 ετών με κλινική συνδρομή και φυματικές βλάβες της αιματικής διασποράς που
καταλαμβάνουν αμφοτέρους τους πνεύμονες και φυματιώδη λαρυγγίτιδα. Νοσηλεία 1 μηνός σε ειδικό
θεραπευτήριο και ολοκλήρωση της αντιφυματικής θεραπείας στο σπίτι για 12 μήνες, με ελάχιστες
υπολειματικές βλάβες.
129.α.
19-04-80
129.β.
129.γ.
130.Ασθενής ηλικίας 43 ετών με κλινική συνδρομή και πνευμονική φυματίωση που καταλαμβάνει τους άνω
λοβούς των πνευμόνων. Ο άρρωστος σαν δημόσιος λειτουργός (δάσκαλος), παρά την μακρά παραμονή στο
σχολικό περιβάλλον, προκάλεσε μόνο μια μικρή διαμόλυνση στους μαθητές του σχολείου. Ολοκλήρωσε την
αντιφυματική θεραπεία στη γενέτειρά του.
130.α.
130.β.
13-07-99
25-04-00
Περιπτώσεις με υποτροπή
Οι υποτροπές της νόσου προτιμούν τις μικρότερες ηλικίες, ενώ η αποτυχία της θεραπείας τις μεγαλύτερες.
Αυτές οι υποτροπές, στη δική μας έρευνα ανέρχονται σε ποσοστό 3,2%. Η πιθανότητα επιτυχούς θεραπείας
είναι μεγαλύτερη στην αρχική παρά στην αναθεραπεία. Ο σακχαρώδης διαβήτης, η μη συμμόρφωση του
ασθενούς και η λίαν εκτεταμένη νόσος αποτελούν μερικά από τα αίτια αποτυχίας της θεραπείας.
Παρατηρείται ότι το ασυγκρίτως μεγαλύτερο ποσοστό εμφανίζεται στα 2 πρώτα έτη και φτάνει μέχρι το
58% των υποτροπών. Ωστόσο, η υποτροπή μπορεί να παρουσιαστεί σε πολύ απώτερο χρόνο. Οι θάνατοι,
που κύρια οφείλονται στη φυματιώδη καχεξία και τη φυματιώδη μηνιγγίτιδα, ανέρχονται στο 1,33%.
131. Ασθενής 62 ετών παλαιά άρρωστη με πάχυνση του κορυφαίου υπεζωκότα αριστερά. Ύστερα από 17
χρόνια παρατηρείται διήθηση που καταλαμβάνει του σύνολο του αριστερού πνεύμονα. Επασβεστιωμένος
μασχαλιαίος αδένας αριστερά ,απότοκος μασχαλιαίας αδενίτιδας.
131.α.
131.β.
132. Ασθενής ηλικίας 61 ετών, παλαιά άρρωστη, με υπολλειματικές βλάβες στην αριστερή υποκλείδιο
χώρα. Ύστερα απο 21 χρόνια υποτροπή με εκτεταμένες βλάβες στην ίδια περιοχή.
132.α.
132.β.
133. Ασθενής ηλικίας 36 ετών, το 1977 παρουσίασε φυματικές αλλοιώσεις στη μεσότητα του αριστερού
πνεύμονα. Με αντιφυματική θεραπεία στο σπίτι για 14 μήνες, αποκατάσταση. Ύστερα από 11 χρόνια (30-
08-89) ενεφάνισε φυματικές αλλοιώσεις στο δεξιό πνεύμονα. Με αντιφυματική θεραπεία στο σπίτι για 12
μήνες, αποκατάσταση.
133.α.
133.β.
Φυσιολογική ακτινογραφία
1
133.γ.
133.δ.
2
133.ε.
133.στ.
133.ζ.
133.η.
134. Ασθενής ηλικίας 22 ετών, νοσηλεύτηκε σε παθολογική κλινική με πνευμονία από φυματίωση ή
φυματική λοβίτιδα δεξιού κάτω λοβού. Ύστερα από 1 μηνός νοσηλεία σε νοσοκομείο, μπήκε σε
αντιφυματική θεραπεία 12 μηνών στο σπίτι, με αποκατάσταση.
Τρία χρόνια μετά το τέλος της επιτυχούς αντιφυματικής θεραπείας με ακτινολογική αποκατάσταση,
ενεφάνισε υποτροπή με φυματικές αλλοιώσεις και στους δύο άνω λοβούς, κύρια αριστερά. Με
αντιφυματική θεραπεία στο σπίτι για 12 μήνες, αποκατάσταση.
134.α.
134.β.
23-04-96
134.γ.
134.δ.
134.ε.
134.στ.
22-02-01
134.ζ.
134.η.
135. Ασθενής ηλικίας 52 ετών, με βαριά κλινική κατάσταση. Διαπιστώθηκε φυματιώσης καχεξία με
εκτεταμένες βλάβες και στους δύο πνεύμονες (05-04-88). Υποβλήθηκε εξωνοσοκομειακά σε αντιφυματική
θεραπεία για 14 μήνες. Παρουσίασε σημαντικότατη βελτίωση (06-06-89). Μετά 4,5 έτη απεβίωσε λόγω
υποτροπής (14-08-92). Τα περίεργα της φυματίωσης.
135.α.
135.β.
135.γ.
135.δ.
135.ε.
136. Ασθενής ηλικίας 42 ετών με εκτεταμένη σπηλαιώδη φυματίωση στο δεξιό άνω λοβό με μακρά
νοσοκομειακή νοσηλεία 20 μηνών σε ειδικό θεραπευτήριο και αντιφυματική θεραπεία 18 μηνών στο σπίτι,
απείθαρχος και χωρίς συμμόρφωση με τις οδηγίες των ιατρών, ύστερα από 6 χρόνια παρουσίασε υποτροπή,
έφθασε στη φυματιώδη καχεξία και το θάνατο. Περίπτωση επαφής (σύζυγος) που έμεινε για χρόνια
(τουλάχιστον 6) σε ισχυρή πηγή μόλυνσης και δεν παρουσίασε νόσο κατά το χρόνο παρακολούθησής της
την τελευταία 25ετία.
136.α.
136.β.
136.γ.
136.δ.
136.ε.
14-04-94
136.στ.
06-03-00
137. Ασθενής ηλικίας 20 ετών, σε πρώτη επαφή με το αντιφυματικό ιατρείο, παρουσιάζει αδιαμφισβήτητες
ανενεργούς φυματικές αλλοιώσεις στις κορυφές και ογκοειδές μόρφωμα (ασπεργίλλωμα), που καταλαμβάνει
το μεγαλύτερο μέρος της κοιλότητας του αριστερού άνω λοβού (19-05-79).Μετά 7 χρόνια ο ογκοειδής
σχηματισμός σμικρύνεται (καταστροφή;). Στις 27-01-88 παρατηρείται περεταίρω σμίκρυνση του
ασπεργιλλώματος. Παράλληλα παρατηρούνται ενδοκοιλοτικές επασβεστιώσεις. Ο ασθενής παρουσίασε
έντονες αιμοπτύσεις και διακομίστηκε σε ειδικό νοσοκομείο για χειρουργική αντιμετώπιση. Ο ασθενής πολύ
σύντομα απεβίωσε απο φυματιώδη μηνιγγίτιδα, προφανώς συνεπεία αιματικής διασποράς του “πάλαι ποτέ”
τρίτου σταδίου της φυματίωσης. Η περίπτωση χρεώνεται στα “γιατί” της φυματίωσης.
137.α.
137.β.
1
138. Ασθενής ηλικίας 45 ετών, με γνωστή απο 10ετίας και πλέον παλαιά φυματίωση (18-07-81) με μακρά
νοσοκομειακή νοσηλεία και στο αντιφυματικό ιατρείο. Στην εξέλιξη παρουσίασε εμπύημα δεξία (15-11-90).
Η ύπαρξη εκτεταμένων ρικνωτικών εξεργασιών σενετέλεσε στο να μην μετακινηθεί αισθητά το
μεσοθωράκιο. Η τραχεία έλκεται συστοίχως. Εντυπωσιάζει η σε βάθος μεγάλου χρόνου εξέλιξη.
138.α.
138.β.
18-07-81
15-11-90
139. Ασθενής ηλικίας 56 ετών με κλινική συνδρομή και δεξιά άνω λοβίτιδα με σπήλαιο και διάχυτες βλάβες
στον αριστερό πνεύμονα. Νοσοκομειακή νοσηλεία 6 μηνών σε ειδικό θεραπευτήριο και ύστερα από
συμπλήρωση 24 μηνών αντιφυματικής θεραπείας στο σπίτι, αποκατάσταση με υπολλειματικές βλάβες.
Ύστερα από 11 χρόνια, υποτροπή με φυματικές βλάβες στο δεξιό πνεύμονα και λιγότερες στον αριστερό.
Υπό αντιφυματική θεραπεία, επιδείνωση και θάνατος.
139.α.
139.β.
139.γ.
139.δ.
139.ε.
140. Ασθενής 85 ετών, παρουσίασε από διμήνου επώδυνη διόγκωση στο πρόσθιο άνω θωρακικό
τοίχωμα. Η διόγκωση αυτή διαπυήθηκε και εξελκώθηκε. Σε μικροβιολογική εξέταση του πύου
βρέθηκαν μυκοβατηρίδια. Από την κλινική εξέταση διαπιστώνεται χοιράδωση, αποτέλεσμα
τραχηλικής λεμφαδενίτιδας η οποία είχε παρουσιαστεί πριν από 70 χρόνια (υποτροπή;). Η ασθενής
υπό μακρά αντιφυματική θεραπεία, συστηματική και τοπική, ιάθηκε. Στην ακτινογραφία θώρακος
δεν παρατηρούνται παθολογικά ευρήματα (δεν παρατίθεται). Σημείωση: προφανώς πρόκειται για
λοίμωξη από μυκοβακτηρίδιο βοείου τύπου, που παλαιότερα ήταν συνήθης.
3. Παθήσεις με εμπλοκή του υπεζωκότα
Η φιλοσοφία γύρω από την υπεζωκοτική μεμβράνη εμπεριέχει υψηλή ελκυστικότητα. Πέραν
του παθογενετικού παράγοντα, πολύ αδρά θα διακριθούν: α. οι συλλογές υπεζωκοτικού υγρού και
β. σπανιότερες περιπτώσεις.
α. Συλλογές υπεζωκοτικού1
υγρού (Υ.Υ.).
Εισαγωγικά στοιχεία:Εισαγωγικά στοιχεία: η υπεζωκοτική μεμβράνη έχει δύο πέταλα: το έξω (τοιχωματικό) και το έσω
(σπλαχνικό). Το έξω στέλνει συνεχώς λίγο υγρό προς την υπεζωκοτική κοιλότητα και το έσω
απορροφά το υγρό. Όταν διαταραχθεί η συγκεκριμένη σχέση, δηλαδή είτε η παραγωγή είναι πολύ
μεγάλη, είτε η απορρόφηση πλημμελής, παρατηρούνται οι συλλογές υγρού. Ευνόητα η συλλογή
Υ.Υ. προκαλείται από ουδόλως ευάριθμες καταστάσεις. Κλασσική εικόνα συλλογής Υ.Υ. αποτελούν
οι:
Πλευρίτιδα: εκφράζει την ορολογία που μονοπωλούσε η φυματίωση, φέροντας τον όρο
εξιδρωματική, μέσω της οποίας καθιερώθηκε εν πολλοίς η ακτινολογική σημειολογία. Πρόκειται για
σκίαση, που ξεκινά από τις πλευροδιαφραγματικές γωνίες και μπορεί να φτάσει μέχρι την κορυφή,
παρεκτοπίζοντας το μεσοθωράκιο ή και διαστέλλοντας τον σκελετό. Συνήθης εικόνα:Συνήθης εικόνα: τριγωνική
σκιά, με την κορυφή προς τη μασχάλη και τη βάση στο διάφραγμα. Η μέσα πλευρά του τριγώνου
είναι καμπύλη, με το κοίλο προς τα επάνω. Αποτελεί κλασσική γραμμή Ellis - Damoiseau (E.D.) και
δεν αφορά τη σύνθεση - φύση του Υ.Υ., αλλά αναφέρεται σε ελεύθερο υγρό. Μια συμφυτική
επεξεργασία - εγκύστωση αλλάζει την εικόνα. Η ακτινολογική γραμμή E.D. είναι ψευδής,
προκαλούμενη από το «παίξιμο» των στιβάδων του υγρού στη διαδρομή των ακτίνων.
Αντικειμενικά και κλινικά η E.D. αποτελεί μια γραμμή παραβολική, με το κυρτό προς τα επάνω.
Παλαιές ακτινολογικές απόψεις ήθελαν τη γραμμή οριζόντια. Σήμερα η κατάσταση έχει
αποκρυσταλλωθεί, είναι δε γνωστό πως η πρώτη ποσότητα Υ.Υ. επιστρώνεται στο διάφραγμα.
Πρόκειται λοιπόν για:
Υποπνευμονική συλλογή (Υ.Σ.): αφορά συλλογή ελεύθερου υγρού, αποκλίνοντας πλήρως από
τη «διαφραγματική» ή «επιδιαφραγματική πλευρίτιδα», όπως αδόκιμα έχει καθιερωθεί. Η διάταξη
του υγρού υπαγορεύεται από φυσικούς - μηχανικούς, οπωσδήποτε δυναμικούς, λόγους. Πάρα πολύ
αδρά περιγράφεται ως εξής: όταν η ελαστική τάση (και κυρίως εκείνη που εξαρτάται από αγγειακές
και βρογχικές δομές και η συνισταμένη των επιμέρους τάσεων φέρεται προς τη βάση του πνεύμονα
και είναι αρκετά ισχυρή) δημιουργούνται οι συνθήκες για μεγάλη υποπνευμονική συλλογή. Το
συγκεκριμένο φαινόμενο παρατηρείται κυρίως σε χρόνιες καταστάσεις (σκληροί βρόγχοι, σκληρά
αγγεία) και κάμψεις καρδιακές. Η ακτινολογική επιβεβαίωση της Υ.Σ. χαρακτηρίζεται απλή, όταν
αφορά το αριστερό ημιθωράκιο: μεταξύ του πνευμονικού παρεγχύματος και της γαστρικής
φυσαλλίδας παρατηρείται ευρεία σκιερή ταινία, που δεν «δικαιολογείται» από το άθροισμα
«διάφραγμα + γαστρικό τοίχωμα». Με μία κατά μέτωπο κατακεκλιμένη ακτινογραφία λύνεται το
δυνητικό πρόβλημα. Ιδιαίτερα ελκυστική – επιστημονικά και κυρίως πρακτικά – αναδεικνύεται η
εικόνα στις παρακάτω περιπτώσεις:
Συλλογή Υ.Υ. στις μεσολόγιες σχισμές: πρόκειται για ελεύθερο υγρό, του οποίου την
«ανορθόδοξη» κατανομή υπαγορεύουν δυναμικοί λόγοι. Οι όροι «μεσολοβίτιδα»-«εγκύστωση» δεν
αντέχουν σε λογική θεώρηση. Το υγρό μετακινείται με την αλλαγή θέσης του ασθενούς, όπως έχει
αποδειχθεί με απλές μεθόδους. Απορροφάται δε ταχύτατα, γεγονός αδιανόητο για εγκυστωμένες
συλλογές. Περιγράφεται με τους όρους «σκιά φάντασμα» ή «όγκος φάντασμα» και αποδίδεται –
κατά κανόνα – σε κάμψη καρδιακή. Στην πράξη η πλάγια ακτινογραφία παρέχει ελκυστική εικόνα
και λύση. Η εμπλοκή του υπεζωκότα θα αναφερθεί σε ποικιλία καταστάσεων, που παρατίθενται
συνοπτικά:
1
Οι όροι «πλευρικού», «πλευριτικού» ή «πλευριτιδικού» χαρακτηρίζονται αδόκιμοι, ως ανεπαρκείς
αποδόσεις στην ελληνική γλώσσα.
*Θεωρία θέσεως του Medlar 1936, και κυρίως για λόγους “υδροστατικούς”
Πνευμοθώρακας (ΠΘ): συλλογή ελεύθερου αέρα μεταξύ των πετάλων του υπεζωκότα. Η διεθνής
βιβλιογραφία υπερκαλύπτει το συγκεκριμένο θέμα. Μόνη σημείωση: εάν η εικόνα του ΠΘ δεν είναι
σαφής, ενδείκνυται ακτινογραφία σε εκπνοή.
Εμπύημα, αιμοθώρακας: ακτινολογικά η συμπεριφορά τους προσομοιάζει με κλασσική
πλευρίτιδα, παρατηρείται όμως μεγάλη τάση για συμφυτική επεξεργασία και εγκατάσταση
παχύνσεων του υπεζωκότα, ινοθώρακα και επασβεστιώσεων, ακόμη δε βρογχοϋπεζωκοτικών
συριγγίων.
«Παχύνσεις» του υπεζωκότα: συνήθως αποτελούν κατάλοιπα μιας αποδραμούσας φλεγμονής.
Ωστόσο, επισημαίνεται: α. η «πάχυνση» του υπεζωκότα – κυρίως όσον αφορά τις μεσολόβιες
σχισμές – συνιστά το πρώτο ακτινολογικό εύρημα ενός πνευμονικού οιδήματος, β. μια
νεοπλασματική, μεταστατική πλευρίτιδα (και εφόσον η δυνατότητα απορρόφησης του υγρού
μπορεί να υπερτερεί της παραγωγής), όπου η πάχυνση του υπεζωκότα θα είναι το μόνο εύρημα
της μετάστασης, φαινόμενο σπάνιο, αλλά υπαρκτό.
Ινοθώρακας - επασβεστιώσεις: ορίζονται, γλαφυρά, ως «παχυπλευρίτιδα» και «θωρακισμένος
θώρακας». Πρόκειται για κατάλοιπα μάλλον σοβαρών καταστάσεων, όπως το εμπύημα και ο
αιμοθώρακας. Η κλασική «εξιδρωματική» πλευρίτιδα αφήνει ελάχιστα ή καθόλου κατάλοιπα,
εφόσον δεν παρουσιάζει επιπλοκές, π.χ. ρήξη συμφύσεων, αιμοθώρακας.
Ως ειδική κατηγορία επασβεστίωσης αναφέρεται η υπεζωκοτική αμιάντωση, η οποία, χωρίς
λειτουργικές επιπτώσεις, αφορά τον τοιχωματικό (!) υπεζωκότα, είναι αμφοτερόπλευρη,
παρατηρείται σε επαγγελματικό περιβάλλον, όχι δε σπάνια αποδίδεται σε λόγους περιβαλλοντικούς.
Η εξέλιξή τους συνήθως καταλήγει σε μεσοθηλίωμα. Το ασβέστιο προσέρχεται ως «επουλωτής» σε
πολλές καταστάσεις, ακόμα και φυσιολογικές, π.χ. αρτηριοσκλήρυνση. Στον θώρακα, όσον αφορά
τον υπεζωκότα, περιγράφεται η ασβεστοποιός πλευρίτιδα ή παχυπλευρίτιδα και οι διάφορες
επασβεστιώσεις, που αφορούν χρόνιες ή σε αποδρομή βλάβες του υπεζωκότα, φαινόμενο πολύ
συνηθισμένο, ειδικά παλαιότερα. Περιγράφονταν αδόκιμα και ως αποτιτανώσεις. Παρατηρούνται
συνήθως στην εξέλιξη του εμπυήματος ή ενός αιμοθώρακα. Δεν είναι συνήθεις στην πορεία μιας
χωρίς επιπλοκή φυματιώδους πλευρίτιδας, όπως είχαμε τη δυνατότητα να επιβεβαιώσουμε.
Οι υπεζωκοτικές αμιαντώσεις παρατηρούνται σε ορισμένες περιοχές της χώρας (Μέτσοβο,
Αλμωπία), αλλά και στον Νομό Ροδόπης, περιοχές του οποίου μελετήθηκαν και διαπιστώθηκε ότι σ’
αυτές ο αμίαντος χρησιμοποιούταν ως επίχρισμα για «ασβέστωμα» των δαπέδων των κατοικιών.
«Λοβός» της αζύγου (φλεβός): δεν πρόκειται για λοβό. Προκαλείται από μία ανατομική
ιδιοτροπία (έκτοπη πορεία της άζυγης φλέβας, χωρίς σημασία, που συνιστά σύνηθες «εύρημα»).
Στο παρελθόν έχει λανθασμένα χαρακτηρισθεί ως «πλευρίδα της αζύγου» περίπτωση, στην οποία
σε μια κλασική πλευρίτιδα στην τομογραφία βρέθηκε (στη σχισμή που σχηματίζεται από την άτυπη
πορεί της άζυγης φλέβας) συλλογή υγρού. Ασφαλώς το εν λόγω υγρό αναλογούσε, για λόγους
υδροστατικούς, στη σχισμή.
Υγρές Πλευτίτιδες
1. Ασθενής ηλικίας 80 ετών, με εκτεταμένη χρόνια πνευμονική φυματίωση, κεχροειδή διασπορά,
σπήλαιο στον δεξιό κάτω λοβό και υποπνευμονική συλλογή σύστοιχα (όλες οι μορφές της φυματίωσης).
Στην εικόνα επιπροβάλλεται κοιλότητα (σπήλαιο) με υγραερικό επίπεδο. Με αντιφυματική θεραπεία 16
μηνών στο σπίτι, αποκατάσταση.
1.α.
1.β.
4 εκ.
1.γ.
1.δ.
30-12-78
26-05-79
Α/Α Φ Η ΤΡΟΠΟΣ ΔΙΑΓΝΩΣΗΣ ΑΚΤΙΝΟΓΡΑΦΙΑ ΑΝΤΙΦΥΜΑΤΙΚΗ ΑΓΩΓΗ ΔΘ ΕΚΒΑΣΗ
2 Θ 20
ΠΕΛ ΤΕ ΝΣ
+
+ ++ +++
+
R
+
ΙΝΗ
+
Μ
+
Z S Νοσ.
Σπ.14
ΙΑ
+
Ιν.Στ. Υπ.Βλ ΕΠ Θ.
2.α.
2.β.
29-03-78
21-03-78
21-03-78
15 εκ.
2.γ.
3. Ασθενής ηλικίας 36 ετών με φυσιολογική ακτινογραφία στις 13/05/87 και τυπική εικόνα υγρής
πλευρίτιδας στο αριστερό ημιθωράκιο στις 28/08/87. Με αντιφυματική θεραπεία στο σπίτι για 12 μήνες,
αποκατάσταση.
3.α.
15-05-87
05-04-78
05-09-78
3.β.
3.γ.
Η συνήθης εικόνα της υγράς πλευρίτιδος είναι τριγωνική σκιά με την κορυφή προς την μασχάλη
και τη βάση στο διάφραγμα. Η μέσα πλευρά του τριγώνου είναι καμπύλη με το κοίλο προς τα
επάνω. Είναι η κλασική γραμμή Ellis- Damoiseau (E.D.). Η ακτινολογική γραμμή E.D. είναι
ψευδής, προκαλούμενη από το “παίξιμο” των στιβάδων του υγρού στην διαδρομή των ακτίνων.
Αντικειμενικά και κλινικά η Ε.D. είναι μια γραμμή παραβολική με το κυρτό προς τα επάνω.
10-05-88
28-08-87
4.Ασθενής ηλικίας 20 ετών με άμβλυνση του πλευροδιαφραγματικού χώρου δεξιά σε ακτινογραφία της
26/01/78. Στην ακτινογραφία της 06/02/78 εμφανής υποπνευμονική συλλογή στο σύστοιχο ημιθωράκιο και
διαγραφή της μικρής μεσολοβίου. Εμφανέστερη στην 20/02/78. Με αντιφυματική θεραπεία στο σπίτι για 14
μήνες, αποκατάσταση.
4.α.
4.β.
06-02-78
26-01-78
26-01-78
4.γ.
4.δ.
16-02-78
20-02-78
9,5 εκ.
4.ε.
4.στ.
20-03-78
04-05-78
5.Ασθενής ηλικίας 16 ετών με υγρά πλευρίτιδα που καταλαμβάνει το σύνολο του αριστερού ημιθωρακίου.
Νοσοκομειακή νοσηλεία 20 ημερών και με αντιφυματική θεραπεία στο σπίτι για 14 μήνες, αποκατάσταση.
5.α.
5.β.
27-03-79
5.γ.
5.δ.
28-06-79
13-03-80
6. Ασθενής ηλικίας 20 ετών με άμβλυνση του δεξιού πλευροδιαφραγματικού χώρου και συλλογή υγρού στο
δεξιό ημιθωράκιο και περιορισμένη διήθηση στο μέσο του δεξιού πνεύμονα. Με αντιφυματική θεραπεία στο
σπίτι για 14 μήνες , αποκατάσταση.
6.α.
6.β.
02-06-81
6.γ.
6.δ.
7. Ασθενής ηλικίας 20 ετών με υποπνευμονική συλλογή στο αριστερό ημιθωράκιο. Με αντιφυματική
θεραπεία στο σπίτι για 14 μήνες, αποκατάσταση.
7.α.
7.β.
21-07-82
19-10-82
4 εκ.
7.γ.
8. Ασθενής ηλικίας 40 ετών με συλλογή υγρού στο δεξιό ημιθωράκιο υποπνευμονικά με αντιφυματική
θεραπεία στο σπίτι για 14 μήνες, αποκατάσταση.
8.α.
15-10-85
09-12-77
1
15-10-85
8.β.
8.γ.
15-12-77
05-01-78
2
6,5 εκ.
3 εκ.
8.δ.
8.ε.
23-01-78
23-01-78
08-02-78
Α/Α Φ Η ΤΡΟΠΟΣ ΔΙΑΓΝΩΣΗΣ ΑΚΤΙΝΟΓΡΑΦΙΑ ΑΝΤΙΦΥΜΑΤΙΚΗ ΑΓΩΓΗ ΔΘ ΕΚΒΑΣΗ
9 Α 26
ΠΕΛ ΤΕ ΝΣ
+
+ ++ +++
+
R
+
ΙΝΗ
+
Μ
+
Z S Νοσ.
Σπ.14
ΙΑ
+
Ιν.Στ. Υπ.Βλ ΕΠ Θ.
9.α.
9.β.
21-08-78
04-08-79
10. Ασθενής ηλικίας 20 ετών με κλινική συνδρομή και κλασική εικόνα υγράς πλαυρίτιδος στο δεξιό
ημιθωράκιο. Παράλληλα διαπιστώνεται και η ύπαρξη λοβού της αζύγου. Με αντιφυματική θεραπεία στο
σπίτι για 12 μήνες, αποκατάσταση.
10.α.
10.β.
26-01-98
10.γ.
10.δ.
02-04-98
21-01-99
11. Ασθενής ηλικίας 43 ετών με εικόνα κλασικής πλευρίτιδος στο αριστερό ημιθωράκιο και, όπως
προκύπτει από την προφίλ ακτινογραφία θώρακος, υπάρχει εγκύστωση στο οπίσθιο θωρακικό τοίχωμα. Με
αντιφυματική θεραπεία στο σπίτι για 14 μήνες, αποκατάσταση.
11.α.
11.β.
18-09-79
27-08-79
11.γ.
11.δ.
12.Ασθενής ηλικίας 19 ετών με υγρά πλευρίτιδα στο δεξιό ημιθωράκιο και με αντιφυματική θεραπεία στο
σπίτι για 14 μήνες, αποκατάσταση.
12.α.
12.β.
05-10-81
22-04-82
Α/Α Φ Η ΤΡΟΠΟΣ ΔΙΑΓΝΩΣΗΣ ΑΚΤΙΝΟΓΡΑΦΙΑ ΑΝΤΙΦΥΜΑΤΙΚΗ ΑΓΩΓΗ ΔΘ ΕΚΒΑΣΗ
13 Α 16
ΠΕΛ ΤΕ ΝΣ
+
+ ++ +++
+
R
+
ΙΝΗ
+
Μ
+
Z S Νοσ.
Σπ.14
ΙΑ
+
Ιν.Στ. Υπ.Βλ ΕΠ Θ.
13.α.
13.β.
31-01-77
11-01-77
13.γ.
13.δ.
07-02-77
03-09-7703-09-77
07-02-77
Α/Α Φ Η ΤΡΟΠΟΣ ΔΙΑΓΝΩΣΗΣ ΑΚΤΙΝΟΓΡΑΦΙΑ ΑΝΤΙΦΥΜΑΤΙΚΗ ΑΓΩΓΗ ΔΘ ΕΚΒΑΣΗ
14 Α 36
ΠΕΛ ΤΕ
+
ΝΣ + ++
+
+++ R
+
ΙΝΗ
+
Μ
+
Z S Νοσ.
Σπ.14
ΙΑ
+
Ιν.Στ. Υπ.Βλ ΕΠ Θ.
14.α.
14.β.
15-04-86
23-04-85
23-04-85
Α/Α Φ Η ΤΡΟΠΟΣ ΔΙΑΓΝΩΣΗΣ ΑΚΤΙΝΟΓΡΑΦΙΑ ΑΝΤΙΦΥΜΑΤΙΚΗ ΑΓΩΓΗ ΔΘ ΕΚΒΑΣΗ
15 Α 20
ΠΕΛ ΤΕ ΝΣ
+
+ ++ +++
+
R
+
ΙΝΗ
+
Μ
+
Z S Νοσ.
Σπ.14
ΙΑ
+
Ιν.Στ. Υπ.Βλ ΕΠ Θ.
15.α.
15.β.
Α/Α Φ Η ΤΡΟΠΟΣ ΔΙΑΓΝΩΣΗΣ ΑΚΤΙΝΟΓΡΑΦΙΑ ΑΝΤΙΦΥΜΑΤΙΚΗ ΑΓΩΓΗ ΔΘ ΕΚΒΑΣΗ
16 Α 17
ΠΕΛ ΤΕ ΝΣ
+
+ ++ +++
+
R
+
ΙΝΗ
+
Μ
+
Z S Νοσ.
Σπ.
ΙΑ
+
Ιν.Στ. Υπ.Βλ ΕΠ Θ.
16.α. Ολοκλήρωσε τη θεραπεία στον ασφαλιστικό του φορέα.
16.β.
17. Ασθενής ηλικίας 26 ετών με υγρά πλευρίτιδα στο αριστερό ημιθωράκιο και εγκύστωση στο οπίσθιο
θωρακικό τοίχωμα. Με αντιφυματική θεραπεία στο σπίτι για 14 μήνες, αποκατάσταση.
17.α.
17.β.
04-05-78
08-05-78
17.γ.
17.δ.
15-05-78
22-05-78
17.ε.
18. Ασθενής ηλικίας 32 ετών με υγρά πλευρίτιδα στο δεξιό ημιθωράκιο (υποπνευμονική συλλογή) με
αντιφυματική θεραπεία στο σπίτι για 14 μήνες, αποκατάσταση.
18.α.
08-11-38
18-07-78
6 εκ.
18.β.
18.γ.
02-02-84
28-05-84
Α/Α Φ Η ΤΡΟΠΟΣ ΔΙΑΓΝΩΣΗΣ ΑΚΤΙΝΟΓΡΑΦΙΑ ΑΝΤΙΦΥΜΑΤΙΚΗ ΑΓΩΓΗ ΔΘ ΕΚΒΑΣΗ
19 Α 28
ΠΕΛ ΤΕ ΝΣ
+
+
+
++ +++ R
+
ΙΝΗ
+
Μ
+
Z S Νοσ.
Σπ.14
ΙΑ
+
Ιν.Στ. Υπ.Βλ ΕΠ Θ.
19.α. Υποπνευμονική συλλογή
19.β.
23-12-86
7,6 εκ.
7,6 εκ
19.γ.
Α/Α Φ Η ΤΡΟΠΟΣ ΔΙΑΓΝΩΣΗΣ ΑΚΤΙΝΟΓΡΑΦΙΑ ΑΝΤΙΦΥΜΑΤΙΚΗ ΑΓΩΓΗ ΔΘ ΕΚΒΑΣΗ
20 Α 16
ΠΕΛ ΤΕ ΝΣ
+
+ ++ +++
+
R
+
ΙΝΗ
+
Μ
+
Z S Νοσ.1
Σπ.14
ΙΑ
+
Ιν.Στ. Υπ.Βλ ΕΠ Θ.
20.α.
11-06-81
02-07-87
20.β.
20.γ.
01-09-81
15-07-81
20.δ.
Α/Α Φ Η ΤΡΟΠΟΣ ΔΙΑΓΝΩΣΗΣ ΑΚΤΙΝΟΓΡΑΦΙΑ ΑΝΤΙΦΥΜΑΤΙΚΗ ΑΓΩΓΗ ΔΘ ΕΚΒΑΣΗ
21 Θ 20
ΠΕΛ ΤΕ ΝΣ
+
+ ++ +++
+
R
+
ΙΝΗ
+
Μ
+
Z S Νοσ.
Σπ.14
ΙΑ
+
Ιν.Στ. Υπ.Βλ ΕΠ Θ.
21.α.
08-06-82
21.β.
21.γ.
18-06-82
21.δ.
21.ε.
Α/Α Φ Η ΤΡΟΠΟΣ ΔΙΑΓΝΩΣΗΣ ΑΚΤΙΝΟΓΡΑΦΙΑ ΑΝΤΙΦΥΜΑΤΙΚΗ ΑΓΩΓΗ ΔΘ ΕΚΒΑΣΗ
22 Θ 27
ΠΕΛ ΤΕ ΝΣ
+
+ ++ +++
+
R
+
ΙΝΗ
+
Μ
+
Z S Νοσ.1
Σπ.14
ΙΑ
+
Ιν.Στ. Υπ.Βλ ΕΠ Θ.
22.α.
22.β.
22.γ.
Α/Α Φ Η ΤΡΟΠΟΣ ΔΙΑΓΝΩΣΗΣ ΑΚΤΙΝΟΓΡΑΦΙΑ ΑΝΤΙΦΥΜΑΤΙΚΗ ΑΓΩΓΗ ΔΘ ΕΚΒΑΣΗ
23 Θ 26
ΠΕΛ ΤΕ ΝΣ
+
+ ++
+
+++ R
+
ΙΝΗ
+
Μ
+
Z S Νοσ.
Σπ.12
ΙΑ
+
Ιν.Στ. Υπ.Βλ ΕΠ Θ.
23.α.
14-11-88
23.β.
23.γ.
13-12-88
14-04-89
23.δ.
29-06-89
Α/Α Φ Η ΤΡΟΠΟΣ ΔΙΑΓΝΩΣΗΣ ΑΚΤΙΝΟΓΡΑΦΙΑ ΑΝΤΙΦΥΜΑΤΙΚΗ ΑΓΩΓΗ ΔΘ ΕΚΒΑΣΗ
24 Α 50
ΠΕΛ ΤΕ ΝΣ
+
+ ++ +++
+
R
+
ΙΝΗ
+
Μ
+
Z S Νοσ.
Σπ.14
ΙΑ
+
Ιν.Στ. Υπ.Βλ ΕΠ Θ.
24.α.
24.β.
01-11-82
18.07.81
Α/Α Φ Η ΤΡΟΠΟΣ ΔΙΑΓΝΩΣΗΣ ΑΚΤΙΝΟΓΡΑΦΙΑ ΑΝΤΙΦΥΜΑΤΙΚΗ ΑΓΩΓΗ ΔΘ ΕΚΒΑΣΗ
25 Α 18
ΠΕΛ ΤΕ ΝΣ
+
+ ++
+
+++ R
+
ΙΝΗ
+
Μ
+
Z S Νοσ.
Σπ.14
ΙΑ
+
Ιν.Στ. Υπ.Βλ ΕΠ Θ.
25.α.
25.β.
17-07-81
Α/Α Φ Η ΤΡΟΠΟΣ ΔΙΑΓΝΩΣΗΣ ΑΚΤΙΝΟΓΡΑΦΙΑ ΑΝΤΙΦΥΜΑΤΙΚΗ ΑΓΩΓΗ ΔΘ ΕΚΒΑΣΗ
26 Α 32
ΠΕΛ ΤΕ ΝΣ
+
+ ++ +++
+
R
+
ΙΝΗ
+
Μ
+
Z S Νοσ.
Σπ.14
ΙΑ
+
Ιν.Στ. Υπ.Βλ ΕΠ Θ.
26.α.
26.β.
19-12-78
14-12-78
19-12-78
26.γ.
26.δ.
28-03-79
28-03-79
26.ε.
Α/Α Φ Η ΤΡΟΠΟΣ ΔΙΑΓΝΩΣΗΣ ΑΚΤΙΝΟΓΡΑΦΙΑ ΑΝΤΙΦΥΜΑΤΙΚΗ ΑΓΩΓΗ ΔΘ ΕΚΒΑΣΗ
27 Θ 16
ΠΕΛ ΤΕ ΝΣ
+
+ ++ +++
+
R
+
ΙΝΗ
+
Μ
+
Z S Νοσ.
Σπ.14
ΙΑ
+
Ιν.Στ. Υπ.Βλ ΕΠ Θ.
27.α.
10-03-80
27.β.
Α/Α Φ Η ΤΡΟΠΟΣ ΔΙΑΓΝΩΣΗΣ ΑΚΤΙΝΟΓΡΑΦΙΑ ΑΝΤΙΦΥΜΑΤΙΚΗ ΑΓΩΓΗ ΔΘ ΕΚΒΑΣΗ
28 Α 17
ΠΕΛ ΤΕ ΝΣ
+
+ ++ +++
+
R
+
ΙΝΗ
+
Μ
+
Z S Νοσ.1
Σπ.14
ΙΑ
+
Ιν.Στ. Υπ.Βλ ΕΠ Θ.
28.α.
13-06-83
28.β.
28.γ.
28.δ.
28.ε.
Α/Α Φ Η ΤΡΟΠΟΣ ΔΙΑΓΝΩΣΗΣ ΑΚΤΙΝΟΓΡΑΦΙΑ ΑΝΤΙΦΥΜΑΤΙΚΗ ΑΓΩΓΗ ΔΘ ΕΚΒΑΣΗ
29 Α 17
ΠΕΛ ΤΕ ΝΣ
+
+ ++ +++
+
R
+
ΙΝΗ
+
Μ
+
Z S Νοσ.
Σπ.14
ΙΑ
+
Ιν.Στ. Υπ.Βλ ΕΠ Θ.
29.α. Επαφή
29.β.
29.γ.
29.δ.
29.ε.
29.στ.
29.ζ.
Α/Α Φ Η ΤΡΟΠΟΣ ΔΙΑΓΝΩΣΗΣ ΑΚΤΙΝΟΓΡΑΦΙΑ ΑΝΤΙΦΥΜΑΤΙΚΗ ΑΓΩΓΗ ΔΘ ΕΚΒΑΣΗ
30 Α 20
ΠΕΛ ΤΕ ΝΣ
+
+ ++ +++
+
R
+
ΙΝΗ
+
Μ
+
Z S Νοσ.
Σπ.12
ΙΑ
+
Ιν.Στ. Υπ.Βλ ΕΠ Θ.
30.α.
30.β.
30.γ.
30.δ.
31. Ασθενής ηλικίας 18 ετών με οξεία κλινική συνδρομή και ακτινογραφική εικόνα που έδινε την
εικόνα πύκνωσης στο μέσο και κατώτερο πνευμονικό πεδίο. Επρόκειτο για υγρά πλευρίτιδα με
εγκύστωση στο πλάγιο και στο οπίσθιο θωρακικό τοίχωμα. Νοσοκομειακή νοσηλεία 20 ημερών και
συνέχιση της αντιφυματικής θεραπείας για 14 μήνες στο σπίτι με αποκατάσταση.
31.α.
20-10-80
31.β.
31.γ.
06-11-80 06-11-80
08-12-80
31.δ.
31.ε.
07-10-82
12-05-81
32. Ασθενής ηλικίας 30 ετών, με άμβλυνση του δεξιού πλευροδιαφραγματικού χώρου, με αντιφυματική
θεραπεία στο σπίτι για 14 μήνες, αποκατάσταση.
32.α.
32.β.
31-12-80
19-03-81
19-03-81 19-03-81
32.γ.
06-06-81 06-06-81
Α/Α Φ Η ΤΡΟΠΟΣ ΔΙΑΓΝΩΣΗΣ ΑΚΤΙΝΟΓΡΑΦΙΑ ΑΝΤΙΦΥΜΑΤΙΚΗ ΑΓΩΓΗ ΔΘ ΕΚΒΑΣΗ
33 Θ 23
ΠΕΛ ΤΕ ΝΣ
+
+
+
++ +++ R
+
ΙΝΗ
+
Μ
+
Z S Νοσ.
Σπ.12
ΙΑ
+
Ιν.Στ. Υπ.Βλ ΕΠ Θ.
33.α. Άμβλυνση του δεξιού πλευροδιαφραγματικού χώρου
33.β.
10-01-85
Α/Α Φ Η ΤΡΟΠΟΣ ΔΙΑΓΝΩΣΗΣ ΑΚΤΙΝΟΓΡΑΦΙΑ ΑΝΤΙΦΥΜΑΤΙΚΗ ΑΓΩΓΗ ΔΘ ΕΚΒΑΣΗ
34 Θ 24
ΠΕΛ ΤΕ ΝΣ
+
+ ++ +++
+
R
+
ΙΝΗ
+
Μ
+
Z S Νοσ.
Σπ.14
ΙΑ
+
Ιν.Στ. Υπ.Βλ ΕΠ Θ.
34.α.
34.β.
31-10-83
26-05-84
Α/Α Φ Η ΤΡΟΠΟΣ ΔΙΑΓΝΩΣΗΣ ΑΚΤΙΝΟΓΡΑΦΙΑ ΑΝΤΙΦΥΜΑΤΙΚΗ ΑΓΩΓΗ ΔΘ ΕΚΒΑΣΗ
35 Α 30
ΠΕΛ ΤΕ ΝΣ
+
+ ++ +++
+
R
+
ΙΝΗ
+
Μ
+
Z S Νοσ.
Σπ.16
ΙΑ
+
Ιν.Στ. Υπ.Βλ
+
ΕΠ Θ.
35.α. Έμεινε για μακρό χρόνο χωρίς ειδική θεραπεία από αμέλεια του ιδίου
35.β.
35.γ.
35.δ.
16-12-80
36. Ασθενής ηλικίας 41 ετών με νοσηλεία σε παθολογική κλινική για 10 ημέρες και διάγνωση:
πνευμονίτιδα αριστερού πνεύμονος όπως προκύπτει από το εξιτήριο και το ενημερωτικό σημείωμα του
ασθενούς. Ύστερα από 4 μήνες προσήλθε στο αντιφυματικό ιατρείο με εικόνα υγράς πλευρίτιδος στο
αριστερό ημιθωράκιο (α/α 43.β/γ). Από την α/α της 23-06-83 επισημαίνονται οι διάσπαρτες φυματικές
αλλοιώσεις του αριστερού πνεύμονα που διέλαθαν της προσοχής. Ο άρρωστος διακομίσθηκε σε ειδικό
νοσηλευτικό κέντρο όπου παρέμεινε για 3 μήνες και ολοκλήρωσε την αντιφυματική θεραπεία για 14 μήνες
στο σπίτι, με αποκατάσταση.
36.α.
36.β.
23-06-83
22-10-83
36.γ.
36.δ.
24-10-83
16-10-86
37. Ασθενής 16 ετών με 30 ημερών νοσηλεία σε πανεπιστημιακή παθολογική κλινική για πνευμονία
αριστερού πνεύμονος (29/11/79 έως 19/12/79), όπως προκύπτει από το εξιτήριο και το ενημερωτικό
σημείωμα του ασθενούς. Ύστερα από 6 μήνες εμφάνισε υγρά πλευρίτιδα στο σύστοιχο ημιθωράκιο και με
αντιφυματική θεραπεία στο σπίτι για 14 μήνες, αποκατάσταση.
37.α.
37.β.
03-01-80
37.γ.
37.δ.
20-08-80
Α/Α Φ Η ΤΡΟΠΟΣ ΔΙΑΓΝΩΣΗΣ ΑΚΤΙΝΟΓΡΑΦΙΑ ΑΝΤΙΦΥΜΑΤΙΚΗ ΑΓΩΓΗ ΔΘ ΕΚΒΑΣΗ
38 Α 32
ΠΕΛ ΤΕ ΝΣ
+
+ ++ +++
+
R
+
ΙΝΗ
+
Μ
+
Z S Νοσ.
Σπ.14
ΙΑ
+
Ιν.Στ. Υπ.Βλ ΕΠ Θ.
38.α.
38.β.
39. Ασθενής ηλικίας 28 ετών, με νοσηλεία σε πανεπιστημιακή παθολογική κλινική και διάγνωση:
παχυπλευρίτιδα δεξιάς βάσεως (ενημερωτικό νοσηλείας). Με αντιφυματική θεραπεία στο σπίτι για 14 μήνες,
πλήρης ακτινολογική αποκατάσταση.
39.α.
39.β.
Α/Α Φ Η ΤΡΟΠΟΣ ΔΙΑΓΝΩΣΗΣ ΑΚΤΙΝΟΓΡΑΦΙΑ ΑΝΤΙΦΥΜΑΤΙΚΗ ΑΓΩΓΗ ΔΘ ΕΚΒΑΣΗ
40 Θ 18
ΠΕΛ ΤΕ ΝΣ
+
+ ++ +++
+
R
+
ΙΝΗ
+
Μ
+
Z S Νοσ.1
Σπ.16
ΙΑ
+
Ιν.Στ. Υπ.Βλ ΕΠ Θ.
40.α.
40.β.
12-10-79
40.γ.
40.δ.
28-03-80
41. Ασθενής ηλικίας 55 ετών, με γνωστή καρδιοπάθεια. Στην α/α φαίνεται αύξηση της καρδιακής σκιάς-
συλλογή υγρού στο δεξιό πλευροδιαφραγματικό χώρο και, κυρίως, στη μικρή μεσολόβια και υποπνευμονική
συλλογή αριστερά (βέλη). (Α κατά μέτωπον, Β πλάγια)
41.α.
41.β.
Α
Β
42. Ασθενής ηλικίας 70 ετών, νοσηλεύτηκε για εωσινόφιλο διήθημα (18/07/77 Α). Στις ακτινογραφίες φαίνεται
η μετακίνηση της διήθησης από τον δεξιό πνεύμονα (άνω λοβό παρατραχειακά), στον άνω λοβό του αριστερού
πνεύμονα (μετακινούμενη πνευμονία). Στην εξέλιξη διαπιστώθηκε υποπνευμονική συλλογή υγρού, αριστερά
(23/11/77 Β).
42.α.
42.β.
Α
Β
23-11-77
18-07-77
43. Ασθενής ηλικίας 63 ετών. Μετά από χειρουργική επέμβαση αορτοστεφανιαίας παράκαμψης, παρουσιάζεται
συλλογή υγρού αριστερά. (σύνδρομο Tresler)
44. Ασθενής ηλικίας 65 ετών, με γνωστή παλαιά φυματίωση, εγκυστωμένος χρόνιος πνευμοθώρακας. Διαπύηση,
παροχέτευση προς βρόγχο, οδήγησε σε βρογχοϋπεζωκοτικό συρίγγιο με υγραερική εικόνα (16-01-88). Την
διαφορική διάγνωση από μεγάλη φυσαλίδα δίνει το σημείο του Berneau.
44.α.
44.β.
<90ο
44.γ.
44.δ.
44.ε.
ΚΕΦΑΛΑΙΟ ΙΙΙ
ΕΝΔΙΑΦΕΡΟΥΣΕΣ ΑΠΕΙΚΟΝΙΣΕΙΣ ΤΗΣ ΧΡΟΝΙΑΣ ΠΝΕΥΜΟΝΙΚΗΣ ΦΥΜΑΤΙΩΣΗΣ
1. Ασυμπτωματικές περιπτώσεις φυματίωσης που διαπιστώθηκαν σε επαγγελματικό έλεγχο
ΠΕΡΙΠΤΩΣΗ 1η:
Σε άτομο ηλικίας 30 ετών παρατηρείται μόλις υποσημειούμενη διήθηση δεξιάς κορυφής που με κλασική
τομογραφία αποκαλύπτεται σπήλαιο. Τυχαίο εύρημα σε έλεγχο περιβάλλοντος, από το άρρωστο παιδί στον πατέρα
(πηγή). Με αντιφυματική θεραπεία στο σπίτι για 14 μήνες, αποκατάσταση.
Διαπιστώθηκε σαν πηγή
12-05-81
04-08-81
ΠΕΡΙΠΤΩΣΗ 2η:
Σε άτομο ηλικίας 18 ετών διαπιστώνεται σε επιδημιολογικό έλεγχο στα πλαίσια του αντιφυματικού αγώνα, σπήλαιο
στον αριστερό άνω λοβό (ακτινογραφία Α, τομογραφία Β). Με αντιφυματική θεραπεία στο σπίτι για ένα χρόνο
αποκατάσταση.
Ασυμπτωματική περίπτωση
17-04-86 17-04-86
ΠΕΡΙΠΤΩΣΗ 3η:
Η ακτινογραφία θώρακος έγινε σε άτομο ηλικίας 18 ετών για την έκδοση πιστοποιητικού υγείας. Τυχαίο εύρημα η
διήθηση της δεξιάς κορυφοϋποκλειδίου χώρας ( ακτινογραφία Α + Β ). Με αντιφυματική θεραπεία στο σπίτι για ένα
χρόνο αποκατάσταση.
16-04-87
19-09-86
ΠΕΡΙΠΤΩΣΗ 4η:
Σε άτομο ηλικίας 17 ετών σε γενόμενη ακτινογραφία θώρακος για έκδοση πιστοποιητικού υγείας, τυχαίο εύρημα οι
φυματικές αλλοιώσεις στο δεξιό άνω λοβό με σπήλαιο (ακτινογραφία Α + Β). Με αντιφυματική θεραπεία στο σπίτι
για ένα χρόνο αποκατάσταση.
19-09-86
19-12-85
08-01-86
08-01-86
ΠΕΡΙΠΤΩΣΗ 5η:
Σε μαθήτρια ηλικίας 16 ετών σε γενόμενη ακτινογραφία θώρακος για την έκδοση πιστοποιητικού υγείας, τυχαίο
εύρημα οι φυματικές αλλοιώσεις στον αριστερό άνω λοβό ( ακτινογραφία Α+Β ). Με αντιφυματική θεραπεία στο
σπίτι για ένα χρόνο αποκατάσταση.
12-03-87
Φυματικές διηθήσεις αριστερού άνω λοβού
23-07-93
05-05-88
ΠΕΡΙΠΤΩΣΗ 6η:
Σε άτομο ηλικίας 41 ετών διαπιστώθηκε ανεπαίσθητη διήθηση δεξιού άνω πνευμονικού πεδίου, που
επιβεβαιώθηκε με κλασσική τομογραφία (Α-Β,Β2).
Ο ανωτέρω αρνήθηκε να υποβληθεί σε αντιφυματική θεραπεία και μετά από 10 μήνες η βλάβη εξελίχθηκε σε
σπήλαιο. Η περίπτωση αυτή εμπίπτει και στις δύο επόμενες κατηγορίες. Η ακτινογραφία θώρακος έγινε για την
έκδοση ναυτικού φυλλαδίου.
08-07-80
ΠΕΡΙΠΤΩΣΗ 7η:
Άτομο ηλικίας 37 ετών προσήλθε με ακτινογραφία που παρουσίαζε διάχυτες φυματικές αλλοιώσεις και στους δύο
πνεύμονες, για την έκδοση πιστοποιητικού υγείας. Τυχαίο εύρημα. Με αντιφυματική θεραπεία στο σπίτι για ένα
χρόνο, αποκατάσταση.
18-01-85
31-05-85
25-01-85
ΠΕΡΙΠΤΩΣΗ 8η:
Άτομο ηλικίας 19 ετών προσήλθε με ακτινογραφία θώρακος για την έκδοση πιστοποιητικού υγείας. Με
προσεκτικότερη εκτίμηση της ακτινογραφίας διαπιστώθηκε σπήλαιο στον κορυφαίο του αριστερού κάτω λοβού. Με
αντιφυματική θεραπεία στο σπίτι για 14 μήνες, αποκατάσταση.
22-06-7922-06-79
11-08-79
13-05-80
ΠΕΡΙΠΤΩΣΗ 9η:
Άτομο ηλικίας 20 ετών, επαφή με φυσιολογική ακτινογραφιά θώρακος (Α) στις 24/01/84. Προσήλθε ύστερα από 8
μήνες με αμβλυχρές φυματικές αλλοιώσεις στο δεξιό άνω λοβό (19/09/84, ακτινογραφία Β) που έγιναν
εμφανέστερες με κλασσική τομογραφία ( 21/09/84, τομογραφία Γ ). Τυχαίο εύρημα. Η ακτινογραφία της 19/09/84
(Β) έγινε για την έκδοση πιστοποιητικού υγείας. Με αντιφυματική θεραπεία στο σπίτι για 14 μήνες,
αποκατάσταση.
Φυσιολογική σαν επαφή
06-04-85
21-09-84
ΠΕΡΙΠΤΩΣΗ 10η:
Ασθενής ηλικίας 38 ετών με φυματικές αλλοιώσεις στη δεξιά κορυφοϋποκλείδιο χώρα και χωρίς κλινική
συμπτωματολογία, παρέμεινε χωρίς αντιφυματική θεραπεία για 5 χρόνια. Από τη νόσηση του παιδιού του
διαπιστώθηκε ως πηγή και με κλασσική τομογραφία επιβεβαιώθηκε η βλάβη με σπήλαιο. Με αντιφυματική
θεραπεία στο σπίτι για 14 μήνες, αποκατάσταση.
15-07-85
22
05-03-87
2α
3
2. Δυσδιάγνωστη Φυματίωση
ΠΕΡΙΠΤΩΣΗ 1η:
Σε μαθητή λυκείου ηλικίας 18 ετών και σε επανέλεγχο στα πλαίσια του αντιφυματικού αγώνα των Mantoux
θετικών, διαπιστώθηκε ανεπαίσθητη διήθηση αριστερού άνω πνευμονικού πεδίου, επιβεβαιώθηκε σε επανάληψη
ακτινογραφίας θώρακος μετά από ένα μήνα. Με αντιφυματική θεραπεία στο σπίτι για ένα χρόνο αποκατάσταση.
26-07-88
20-06-88
26-07-88
ΠΕΡΙΠΤΩΣΗ 2η:
Ασθενής ηλικίας 36 ετών με διάχυτες φυματικές αλλοιώσεις δεξιού άνω λοβού που επιβεβαιώνεται με κλασσική
τομογραφία η ύπαρξη ευμεγέθους φυματικού σπηλαίου (ακτινογραφία Α - τομογραφία Β). Με αντιφυματική
θεραπεία στο σπίτι για 14 μήνες, αποκατάσταση.
Φυσιολογική ακτινογραφία θώρακος
30-08-89
30-08-89
ΠΕΡΙΠΤΩΣΗ 3η:
Ασθενής ηλικίας 56 ετών με οξύ εμπύρετο και ακτινογραφικά πνευμονίτιδα της Lingula και με κλασσική
τομογραφία διαπιστώθηκαν σπήλαια και στις δύο κορυφές. Με αντιφυματική θεραπεία στο σπίτι για 14
μήνες, αποκατάσταση.
σε βαθειά εισπνοή
Πνευμονίτιδα της Lingula και δυσδιάκριτα σπήλαια και στις δύο κορυφές.
ΠΕΡΙΠΤΩΣΗ 4η:
Επαφή ηλικίας 54 ετών με φυσιολογική ακτινογραφία θώρακος (Α) και ύστερα από λήψη κορτικοειδών και
παρέλευση 4 μηνών εμφάνισε φυματική βλάβη αριστερού άνω λοβού παρατραχειακά και δυσδιάκριτη του δεξιού
άνω λοβού. Με κλασσική τομογραφία αμφοτέρων των πνευμόνων αποκαλύφθηκαν σπήλαια και στους δύο
πνεύμονες. Με αντιφυματική θεραπεία στο σπίτι για ένα χρόνο αποκατάσταση.
22-03-88
Φυσιολογική σαν επαφή
Φυσιολογική σαν επαφή
ΠΕΡΙΠΤΩΣΗ 5η:
Ασθενής ηλικίας 34 ετών. Σε ακτινογραφία της 21/3/88 (Α) μόλις υποσημαίνεται η αρχόμενη συλλογή υγρού στο
πρόσθιο τόξο της 8ης πλευράς (βέλη) και στην επόμενη ακτινογραφία ( 7/4/88, Β) με τυπική εικόνα συλλογής
υπεζωκοτικού υγρού. Η θεραπεία του ασθενούς καθυστέρησε σκόπιμα για δεκαπέντε μέρες προκειμένου ο
άρρωστος να μην έχει προβλήματα με τους γιατρούς του ασφαλιστικού του φορέα. Με αντιφυματική θεραπεία στο
σπίτι για ένα χρόνο αποκατάσταση.
21-03-88
21-03-88
05-01-89
07-04-88
ΠΕΡΙΠΤΩΣΗ 6η:
Άτομο ηλικίας 19 ετών με φυματικές αλλοιώσεις στο αριστερό μέσο πνευμονικό πεδίο και σπήλαιο στον κορυφαίο
του κάτω λοβού. Τυχαίο εύρημα. Προσήλθε για πιστοποιητικό υγείας. Με αντιφυματική θεραπεία στο σπίτι για 14
μήνες, αποκατάσταση.
22-06-79
11-08-79
ΠΕΡΙΠΤΩΣΗ 7η:
Άτομο ηλικίας 20 ετών, επαφή με φυσιολογική ακτινογραφιά θώρακος (Α) στις 24/01/84. Προσήλθε ύστερα από 8
μήνες με αμβλυχρές φυματικές αλλοιώσεις στο δεξιό άνω λοβό (19/09/84, ακτινογραφία Β) που έγιναν
εμφανέστερες με κλασσική τομογραφία ( 21/09/84, τομογραφία Γ ). Τυχαίο εύρημα. Η ακτινογραφία της 19/09/84
(Β) έγινε για την έκδοση πιστοποιητικού υγείας. Με αντιφυματική θεραπεία στο σπίτι αποκατάσταση.
13-05-80
24-01-84Φυσιολογική σαν επαφή
13-05-80
06-04-85
15-07-85
ΠΕΡΙΠΤΩΣΗ 8η:
Σε άτομο ηλικίας 41 ετών διαπιστώθηκε ανεπαίσθητη διήθηση δεξιού άνω πνευμονικού πεδίου, που
επιβεβαιώθηκε με κλασσική τομογραφία (Α-Β,Β2)
Ο ανωτέρω αρνήθηκε να υποβληθεί σε αντιφυματική θεραπεία και μετά από 10 μήνες η βλάβη εξελίχθηκε σε
σπήλαιο. Η ακτινογραφία θώρακος έγινε για την έκδοση ναυτικού φυλλαδίου. Με αντιφυματική θεραπεία στο σπίτι
για 14 μήνες, αποκατάσταση.
08-07-80
ΠΕΡΙΠΤΩΣΗ 9η:
Ασθενής ηλικίας 17 ετών, με Mantoux (+) και φυσιολογική ακτινογραφία θώρακος. Ύστερα από 3 χρόνια με κλινική
συνδρομή και υπόνοια φυματικής βλάβης στη δεξιά κορυφοϋποκλείδιο χώρα, με κλασική τομογραφία
αποκαλύπτεται τήξη και με αντιφυματική θεραπεία στο σπίτι για 14 μήνες, αποκατάσταση.
Φυσιολογική ακτινογραφία σαν επαφή
ΠΕΡΙΠΤΩΣΗ 10η:
Ασθενής ηλικίας 38 ετών με φυματικές αλλοιώσεις στη δεξιά κορυφοϋποκλείδιο χώρα και χωρίς κλινική
συμπτωματολογία, παρέμεινε χωρίς αντιφυματική θεραπεία για 5 χρόνια. Από τη νόσηση του παιδιού του
διαπιστώθηκε ως πηγή και με κλασσική τομογραφία επιβεβαιώθηκε η βλάβη με σπήλαιο. Με αντιφυματική
θεραπεία στο σπίτι για 14 μήνες, αποκατάσταση.
2
05-03-87
2β
3
3. Διάγνωση της Πνευμονικής Φυματίωσης με καθυστέρηση
(διαπιστώνεται από τη σύγκριση διαδοχικών ακτινογραφιών θώρακος του αρρώστου) η οποία σε
μέσο όρο είναι 6 μήνες και άνω.
ΠΕΡΙΠΤΩΣΗ 1η:
Ασθενής ηλικίας 25 ετών, προσήλθε με κλινική συνδρομή. Διαπιστώνονται αλλοιώσεις δεξιά παρακαρδιακά, που
δεν εκτιμήθηκαν σε πρώτη εξέταση (Α). Η περιοχή ειναι ''δύσκολη'' ακτινολογικά λόγω συρροής πολλών αγγειακών
δομών. Σε ακτινογραφία μετά 15 ημέρες (Β), διαπιστώνεται σκίαση στο δεξιό κάτω λοβό με τήξη (σπήλαιο). Η
άρρωστη ήταν σε στενή παρακολούθηση ανά εβδομάδα και είναι η μοναδική περίπτωση που ανακαλύπτεται τόσο
σύντομα. Με αντιφυματική θεραπεία στο σπίτι για ένα χρόνο αποκατάσταση.
02-04-87
ΠΕΡΙΠΤΩΣΗ 2η:
Ασθενής ηλικίας 22 ετών με φυματικές αλλοιώσεις δεξιού άνω λοβού στην ακτινογραφία θώρακος της 21/6/80 οι
οποίες και αντιμετωπίστηκαν σαν κοινή πνευμονίτιδα από μη-ειδικούς ιατρούς , μπήκε σε αντιφυματική θεραπεία
στις 7/1/81, με καθυστέρηση 6,5 μηνών. Με αντιφυματική θεραπεία 14 μηνών στο σπίτι,
αποκατάσταση.
Η διάγνωση τέθηκε με καθυστέρηση 6 μηνών.
Ο ασθενής αντιμετωπιζόταν σαν κοινή πνευμονοπάθεια για 6 μήνες.
21-06-80
ΠΕΡΙΠΤΩΣΗ 3η:
Στα πλαίσια του αντιφυματικού αγώνα, σε μαθήτρια ηλικίας 16 ετών με μη εμφανείς φυματικές βλάβες στο μέσον
του αριστερού πνεύμονα που διέλαθαν της προσοχής, ύστερα από 6 μήνες ενεφάνισε σπηλαιώδη πνευμονική
φυματίωση στην ίδια περιοχή και βρογχική διασπορά καταλαμβάνουσα τον αριστερό κάτω λόβο υπό μορφή
πνευμονίας ( φυματική λοβίτιδα). Με αντιφυματική θεραπεία στο σπίτι για 14 μήνες αποκατάσταση με
επασβεστιώσεις στη συνέχεια ύστερα από 3 χρόνια. Ύστερα από 14 χρόνια ενεφάνισε διήθηση στο μέσο του δεξιού
πνεύμονα, η οποία ήταν πνευμονίτιδα κοινής αιτιολογίας (ακτινογραφίες Ε+ΣΤ).
15-06-77
Σε επιδημιολογικό έλεγχο με Mantoux(+) υποεκτιμήθηκε η φυματική βλάβη
στον αριστερό πνεύμονα και ύστερα από 10 μήνες με κλινική συνδρομή
και σπηλαιώδη πνευμονική φυματίωση στην ίδια περιοχή
20-04-78
20-04-78
ΠΕΡΙΠΤΩΣΗ 4η:
Ασθενής ηλικίας 13 ετών. Σε έλεγχο λόγω φυματικής νόσου στο περιβάλλον και θετικής φυματινοαντίδρασης και
χωρίς αποκαλυπτικές αλλοιώσεις στην ακτινογραφία (Α) υποβλήθηκε σε χημειοθεραπεία και μετά από 1 χρόνο στις
30/4/79 διαπιστώνεται ακτινολογικά εκτεταμένη σπηλαιώδης πνευμονική φυματίωση (ακτινογραφία Β). Τα
παράδοξα της φυματίωσης. Με αντιφυματική θεραπεία στο σπίτι για 14 μήνες αποκατάσταση.
25-04-78
Σαν επαφή ήταν σε στενή παρακολούθηση από παιδίατρο με
συχνές ακτινογραφίες. Η καθυστέρηση στη διάγνωση είναι 1 χρόνος.
ΠΕΡΙΠΤΩΣΗ 5η:
Ασθενής ηλικίας 17 ετών (μαθητής) με τυπική εικόνα σπηλαιώδους πνευμονικής φυματίωσης του κορυφαίου του
αριστερού κάτω λοβού η οποία εκτιμήθηκε σαν ραγείσα εχινόκοκκος κύστις από μη ειδικούς ιατρούς και ύστερα
από 3 μήνες παραπέμφθηκε στο αντιφυματικό ιατρείο με την ίδια εικόνα και συλλογή πλευριτικού υγρού σύστοιχα.
Με αντιφυματική θεραπεία στο σπίτι για 14 μήνες, αποκατάσταση.
05-10-77
Ο ασθενής με σπηλαιώδη πνευμονική φυματίωση
στον κορυφαίο του αριστερού κάτω λοβού παρέμεινε στο σχολικό
περιβάλλον αδιάγνωστος για 4 μήνες και.
ΠΕΡΙΠΤΩΣΗ 6η:
Ασθενής ηλικίας 42 ετών με σπηλαιώδη πνευμονική φυματίωση αριστερού άνω λοβού που διέλαθε της προσοχής
των μη ειδικών ιατρών και ύστερα από 5 μήνες παραπέμφθηκε στο αντιφυματικό ιατρείο. Αντιφυματική θεραπεία
στο σπίτι για 14 μήνες, με αποκατάσταση.
ΠΕΡΙΠΤΩΣΗ 7η:
Ασθενής ηλικίας 26 ετών, λόγω κλινικής συνδρομής υποβλήθηκε σε ακτινολογικό έλεγχο, στον οποιο δε
διαπιστώθηκε εμφανής φυματική βλάβη (Α). Μετά 4 μήνες (Β), διαπιστώνεται εικόνα ενεργού εκτεταμένης
φυματίωσης αμφίπλευρα. Με αντιφυματική θεραπεία στο σπίτι για 14 μήνες, αποκατάσταση.
Η διάγνωση τέθηκε με καθυστέρηση 4 μηνών.
26-04-88
ΠΕΡΙΠΤΩΣΗ 8η:
Ασθενής ηλικίας 46 ετών σε ακτινογραφία θώρακος στις 19/6/78 (Α) παρουσίαζε φυματικές αλλοιώσεις αριστερού
άνω λοβού. Παρέμεινε χωρίς αντιφυματική θεραπεία επί 1 χρόνο όπου και παραπέμφθηκε στο αντιφυματικό
ιατρείο με πιο εκτεταμένες τις φυματικές βλάβες. Με αντιφυματική θεραπεία στο σπίτι για 14 μήνες,
αποκατάσταση.
19-06-78
ΠΕΡΙΠΤΩΣΗ 9η:
Ασθενής ηλικίας 34 ετών που σε ακτινογραφία θώρακος της 27/3/82 (Α) με εμφανείς φυματικές αλλοιώσεις
αριστερού άνω λοβού παρέμεινε χωρίς αντιφυματική θεραπεία. Ύστερα από 5 χρόνια παραπέμφθηκε στο
αντιφυματικό ιατρείο για θεραπεία. Με αντιφυματική θεραπεία στο σπίτι για 14 μήνες, αποκατάσταση.
ΠΕΡΙΠΤΩΣΗ 10η:
Ασθενής ηλικίας 38 ετών με φυματικές αλλοιώσεις στη δεξιά κορυφοϋποκλείδιο χώρα και χωρίς κλινική
συμπτωματολογία, παρέμεινε χωρίς αντιφυματική θεραπεία για 5 χρόνια. Από τη νόσηση του παιδιού του
διαπιστώθηκε ως πηγή και με κλασσική τομογραφία επιβεβαιώθηκε η βλάβη με σπήλαιο. Με αντιφυματική
θεραπεία στο σπίτι για 14 μήνες, αποκατάσταση.
05-03-87
2α
05-03-87
2 2
05-03-87
2α
ΠΕΡΙΠΤΩΣΗ 11η:
Σε άτομο ηλικίας 41 ετών διαπιστώθηκε ανεπαίσθητη διήθηση δεξιού άνω πνευμονικού πεδίου, που
επιβεβαιώθηκε με κλασσική τομογραφία (Α-Β,Β2). Ο ανωτέρω αρνήθηκε να υποβληθεί σε αντιφυματική θεραπεία
και μετά από 10 μήνες η βλάβη εξελίχθηκε σε σπήλαιο. Η περίπτωση αυτή εμπίπτει και στις δύο προηγούμενες
κατηγορίες. Η ακτινογραφία θώρακος έγινε για την έκδοση ναυτικού φυλλαδίου.
33
10-09-81
ΠΕΡΙΠΤΩΣΗ 12η:
Ασθενής ηλικίας 39 ετών νοσηλεύτηκε στο νοσοκομείο Κομοτηνής με διήθηση που κατελάμβανε το δεξιό μέσο και
κάτω πνευμονικό πεδίο και με Mantoux αρνητική, για πνευμονοπάθεια μη ειδικής φύσεως στις 06/03/1985. Ύστερα
από δέκα χρόνια προσήλθε στο αντιφυματικό ιατρείο (31/08/1994) με σκίαση που κατελάμβανε σχεδόν το σύνολο
του δεξιού πνεύμονος. Με αντιφυματική θεραπεία στο σπίτι για 14 μήνες, αποκατάσταση.
4. Αυτοΐαση
ΠΕΡΙΠΤΩΣΗ 1η:
Ασθενής ηλικίας 30 ετών ο οποίος με διάτρηση στομάχου αντιμετωπίσθηκε χειρουργικά σε επαρχιακό νοσοκομείο
όπου και βρέθηκε και ενώ στην ακτινογραφία θώρακος 3/7/93 ενεφάνιζε εμφανείς φυματικές αλλοιώσεις στη δεξιά
κορυφοϋποκλείδιο χώρα, δεν μπήκε σε αντιφυματική θεραπεία. Ύστερα από 4 χρόνια εμφανίστηκε στο
αντιφυματικό ιατρείο με μία σημαντική επασβεστιωμένη φυματική βλάβη στο δεξιό άνω λοβό. Ο ασθενής είχε
υψηλό βιοτικό επίπεδο και πολύ ελαφρά εργασία. Πρόκειται περί αυτοϊάσεως.
ΣΧΟΛΙΟ:
Το ασβέστιο προσέρχεται, επουλωτής των φυματικών βλαβών και η επασβεστίωση αποτελεί το μόνο εύρημα-
αποτύπωμα της φυματίωσης.
ΠΕΡΙΠΤΩΣΗ 2η:
Άτομο ηλικίας 46 ετών. Σε μικροακτινογραφικό έλεγχο, διαπιστώθηκαν εκτεταμένες βλάβες στην κορυφή του δεξιού
πνεύμονα, με ρίκνωση του δεξιού άνω λοβού, χωρίς υποκειμενικά ενοχλήματα ή αντικειμενικά ευρήματα. Τυχαίο
εύρημα. Πρόκειται περί αυτοϊάσεως.
12-03-92
20-
08-
92
ΠΕΡΙΠΤΩΣΗ 3η:
Σε άτομο ηλικίας 32 ετών με επασβεστιωμένες φυματικές αλλοιώσεις δεξιού άνω λοβού και μέσου πνευμονικού
πεδίου δεξιού πνεύμονα. Παρεπέμφθηκε στο αντιφυματικό ιατρείο για τη χορήγηση γνωματεύσεως για την έκδοση
πιστοποιητικού υγείας. Από το γενόμενο έλεγχο δεν αναφέρεται αντιφυματική θεραπεία και έπειτα από έλεγχο του
οικογενεικού περιβάλλοντος διαπιστώθηκε πως σύζυγος και παιδιά ήταν αρνητικά στην Mantoux και η αντιφορμίνη
στον ίδιο αρνητική. Επρόκειτο περί αυτοϊάσεως.
06-06-90
ΠΕΡΙΠΤΩΣΗ 4η:
Γυναίκα ηλικίας 60 ετών. Προσήλθε στο αντιφυματικό ιατρείο χωρίς ιδιαίτερα ενοχλήματα. Διαπιστώθηκαν
επασβεστιωμένες αλλοιώσεις πρωτοπαθούς συμπλέγματος και διάσπαρτες παρεγχυματικές επασβεστιώσεις,
προφανώς βρογχικής διασποράς της φυματίωσης.
09-05-79
ΠΕΡΙΠΤΩΣΗ 5η:
Γυναίκα ηλικίας 65 ετών. Τυχαίο εύρημα με επασβεστιωμένες παρεγχυματικές βλάβες αμφοτέρων των πνευμόνων,
προφανώς βρογχικής διαφοράς της φυματίωσης.
20-06-90
ΠΕΡΙΠΤΩΣΗ 6η:
Σε άτομο ηλικίας 60 ετών, παρουσιάζεται ως τυχαίο εύρημα γραμμοειδής σκίαση στο δεξιό μέσο πνευμονικό πεδίο.
Πρόκειται για ρίκνωση-ατελεκτασία προσθίου τμηματικού του δεξιού άνω λοβού, αποτέλεσμα-επακόλουθο
πρωτοπαθούς φυματίωσης. Η εικόνα αυτή ήταν παλαιότερα συνηθέστατη.
5. Βαριές περιπτώσεις
Παλαιότερα (μέχρι τα μέσα της δεκαετίας του '90) η αρχική διάγνωση της φυματίωσης γινόταν όταν είχαν
εγκατασταθεί βαριές βλάβες. Σήμερα βλέπουμε σπανιότερα τέτοιες περιπτώσεις.
ΠΕΡΙΠΤΩΣΗ 1η:
Ασθενής ηλικίας 22 ετών, νοσηλεύτηκε σε παθολογική κλινική με πνευμονία από φυματίωση ή φυματική
λοβίτιδα. Ύστερα από 1 μηνός νοσηλεία σε νοσοκομείο, μπήκε σε αντιφυματική θεραπεία 12 μηνών στο
σπίτι, με αποκατάσταση.
Τρία χρόνια μετά το τέλος της επιτυχούς αντιφυματικής θεραπείας με ακτινολογική αποκατάσταση, ενεφάνισε
υποτροπή με φυματικές αλλοιώσεις και στους δύο άνω λοβούς, κύρια αριστερά. Με αντιφυματική θεραπεία 12
μηνών στο σπίτι, αποκατάσταση.
16-01-01
Υποτροπή ύστερα από 5 χρόνια
12-09-98
22-02-01
ΠΕΡΙΠΤΩΣΗ 2η:
Ασθενής ηλικίας 45 ετών, λόγω κλινικής συνδρομής, προσήλθε στο αντιφυματικό ιατρείο. Σε ακτινογραφία
παρατηρείται μεγάλη σκίαση στο αριστερό μέσο και κάτω πνευμονικό πεδίο (φυματική λοβίτιδα). Με αντιφυματική
θεραπεία στο σπίτι για 14 μήνες, αποκατάσταση.
ΠΕΡΙΠΤΩΣΗ 3η:
Ασθενής ηλικίας 60 ετών με εκτεταμένη φυματική βλάβη δεξιού κάτω λοβού υπό μορφήν πυκνωτικής εικόνας
δεξιού κάτω λοβού (πνευμονία από φυματίωση ή φυματική λοβίτιδα). Με αντιφυματική θεραπεία στο σπίτι για 14
μήνες, αποκατάσταση .
ΠΕΡΙΠΤΩΣΗ 4η:
Ασθενής ηλικίας 42 ετών με βαριά κλινική συνδρομή. Σε ακτινογραφία διαπιστώθηκε εκτεταμένη βλάβη (φυματική
λοβίτιδα), καταλαμβάνουσα όλο το δεξιό πνευμονικό πεδίο (Α). Για πρακτικούς λόγους δεν έγινε τομογραφία.
Νοσοκομειακή νοσηλεία 2 μηνών και συνέχιση της αντιφυματικής θεραπείας στο σπίτι για 14 μήνες με
αποκατάσταση.
ΠΕΡΙΠΤΩΣΗ 5η:
Ασθενής ηλικίας 50 ετών με φυματικές αλλοιώσεις που καταλαμβάνουν το σύνολο του αριστερού πνεύμονα. Με
αντιφυματική θεραπεία στο σπίτι για 14 μήνες, αποκατάσταση.
Εκτεταμένες φυματικές βλάβες που καταλαμβάνουν το σύνολο του αριστερού πνεύμονα
09-06-87
ΠΕΡΙΠΤΩΣΗ 6η:
Ασθενής ηλικίας 24 ετών με φυματικές αλλοιώσεις που καταλαμβάνουν αμφότερους τους άνω λοβούς των
πνευμόνων με πολλαπλά σπήλαια. Με αντιφυματική θεραπεία στο σπίτι για 14 μήνες, αποκατάσταση.
27-08-92
Σπηλαιώδης αμφοτέρων των άνω λοβών
04-03-93
ΠΕΡΙΠΤΩΣΗ 7η:
Ασθενής ηλικίας 35 ετών με εκτεταμένες αλλοιώσεις αριστερού άνω λοβού με ευμεγέθη σπήλαια. Με
αντιφυματική θεραπεία στο σπίτι για 14 μήνες, αποκατάσταση.
Φυματίωση σπηλαιώδης του αριστερού άνω λοβού
και διήθηση του δεξιού άνω λοβού
12-09-78
12-09-78
ΠΕΡΙΠΤΩΣΗ 8η:
Ασθενής ηλικίας 60 ετών, προσήλθε στο αντιφυματικό ιατρείο με βαριές φυματικές βλάβες (με μεγάλα σπήλαια
άμφω ) και υποβλήθηκε σε αντιφυματική θεραπεία για 18 μήνες στο σπίτι. Παρά την έκταση των βλαβών επιβίωσε.
Σημείωση: από τον 16μελή οικογενειακό του περίγυρο, μόνον ένα νεαρό άτομο παρουσίασε φυματιώδη αδενίτιδα!
08-09-80
14-02-88
Εκτεταμένες φυματικές αλλοιώσεις αμφοτέρων των πναυμόνων με σπήλαια
ΠΕΡΙΠΤΩΣΗ 9η:
Ασθενής ηλικίας 52 ετών, με βαριά κλινική κατάσταση. Διαπιστώθηκε φυματιώδης καχεξία με εκτεταμένες βλάβες
και στους δύο πνεύμονες (Α). Δεν δέχτηκε τη νοσηλεία σε ειδικό θεραπευτήριο και υποχρεωτικά η αντιφυματική
θεραπεία έγινε στο σπίτι για 18 μήνες. Παρουσίασε σημαντικότατη βελτίωση (Δ). Μετά 4,5 έτη απεβίωσε λόγω
υποτροπής (Ε). Το σημείο της υποτροπής ακτινολογικά υποσημαίνεται από την πάχυνση του τοιχώματος του
σπηλαίου του δεξιού άνω λοβού. Τα περίεργα της φυματίωσης!
ΠΕΡΙΠΤΩΣΗ 10η:
Ασθενής ηλικίας 63 ετών, που προσήλθε με βαριά κατάσταση, φυματιώδη καχεξία και αυτόματο πνευμοθώρακα
δεξιά (Α). Με ακτινογραφία σε εκπνευστική θέση αποκαλύπτεται ο πνευμοθώρακας δεξιά. Σε σύντομο χρονικό
διάστημα, απεβίωσε.
Ύστερα από 3,5 χρόνια υποτροπή και θάνατος
ΠΕΡΙΠΤΩΣΗ 11η:
Ασθενής ηλικίας 38 ετών, προσήλθε με βαριά κατάσταση και πολλαπλά σπήλαια και στους δύο πνεύμονες (Α).
Νοσηλεύτηκε σε ειδικό νοσηλευτικό κέντρο για 10 μήνες και 10 μήνες θεραπεία στο σπίτι. Ένα από τα σπήλαια του
δεξιού πνέυμονα παρουσίασε βαλβιδικό μηχανισμό (Β), με συνέπεια την απώθηση του μεσοθωρακίου. Σε σύντομο
χρονικό διάστημα απεβίωσε.
08-03-90
Α
Β
Γ
Β
6. Κατεστραμμένος πνεύμονας
Σπάνιες καταστάσεις, που περιγράφονται ως κατεστραμμένος πνεύμονας.
ΠΕΡΙΠΤΩΣΗ 1η:
Ασθενής ηλικίας 60 ετών, προσήλθε με αναπνευστικά προβλήματα. Στην ακτινογραφία (04/04/1991)
παρατηρούνται αλλοιώσεις στο αριστερό άνω πνευμονικό πεδίο, πλήρης καταστροφή του δεξιού πνεύμονα και
μεγάλη έλξη του μεσοθωρακίου προς τα δεξιά.
ΠΕΡΙΠΤΩΣΗ 2η:
Ασθενής ηλικίας 55 ετών. Προσήλθε με αναπνευστικά προβλήματα. Κατεστραμμένος ο αριστερός πνεύμονας
(26/04/1983), μεγάλη ρίκνωση αριστερού ημιθωρακίου, έλξη μεσοπνευμονίου. Ο δεξιός πνεύμονας έχει καταλάβει
το μεγαλύτερο μέρος του αριστερού ημιθωρακίου. Σημείωση : η περίπτωση αυτή, και η προηγούμενη, αποτελούν
μέρος πολλών ανάλογων περιπτώσεων (20 και άνω) που σήμερα σπανίζουν. Η σχέση μεταξύ γυναικών και αντρών
είναι 1 προς 1 και μεταξύ χριστιανών και μουσουλμάνων 1 προς 5. Οι περιπτώσεις αυτές αναφέρονται σε μία
περίοδο 10 ετών που η περιοχή δεν καλυπτόταν από πνευμονολόγο.
7. Εμπυήματα
Πρόκειται για συλλογή πύου σε προσχηματισμένη κοιλότητα. Προκαλείται από επιμόλυνση
πνευμοθώρακα ή κατά συνέχεια ιστού από παρεγχυματική βλάβη (κυρίως πνευμονία). Πολύ
συχνή η ρήξη του εμπυήματος προς βρόγχο με επικίνδυνες συνέπειες. Σπανίως ρήγνυται προς το
θωρακικό τοίχωμα προκαλώντας πλευροτοιχωματική επικοινωνία.
ΠΕΡΙΠΤΩΣΗ 1η:
Ασθενής ηλικίας 45 ετών με γνωστή από δεκαετίες και πλέον παλαιά φυματίωση (18/07/81 ,ακτινογραφία Α). Στην
εξέλιξη παρουσίασε εμπύημα, δεξιά (15/11/90, ακτινογραφία Β). Η ύπαρξη εκτεταμένων ρικνωτικών εξεργασιών
συντέλεσε στο να μη μετακινηθεί αισθητά το μεσοθωράκιο. Η τραχεία έλκεται συστοίχως. Εντυπωσιάζει η σε βάθος
χρόνου εξέλιξη.
18-07-81
ΠΕΡΙΠΤΩΣΗ 2η:
Ασθενής ηλικίας 50 ετών, με θωρακοπλαστική και ραγεν εμπύημα. Παρατηρείται μεγάλη διάταση του τόξου της
πνευμονικής αρτηρίας (πνευμονική υπέρταση). Ο ασθενής απεβίωσε σύντομα από καρδιακή κάμψη.
15-11-90
05-10-78
ΠΕΡΙΠΤΩΣΗ 3η:
Ασθενής ηλικίας 60 ετών, με παλαιά φυματίωση. Φυματιώδες εμπύημα δεξιά, χρονολογούμενο από μακροτάτου
χρόνου. Το κυρτό της σκιάσεως μπορεί να προοιωνισθεί ρήξη του εμπυήματος.
ΠΕΡΙΠΤΩΣΗ 4η:
Ασθενής ηλικίας 63 ετών με εκτεταμένη πνευμονική φυματίωση σε αμφοτέρους τους πνεύμονες, κυρίως αριστερά
και εμπύημα υπεζωκότος αριστερά. Νοσοκομειακή νοσηλεία 6 μηνών και μετά την έξοδο, από παρανόηση δε
συνέχισε την αντιφυματική αγωγή με αποτέλεσμα οι φυματικές βλάβες να επεκταθούν και στους δύο πνεύμονες σε
εκτεταμένη μορφή και σε σύντομο χρόνο, με φυματιώδη καχεξία κατέληξε.
04-05-89
ΠΕΡΙΠΤΩΣΗ 5η:
Ασθενής ηλικίας 36 ετών με εγκυστωμένη συλλογή υγρού στο δεξιό ημιθωράκιο, χρονολογούμενη από μακρού
χρόνου, με νοσηλεία σε ειδικό θεραπευτήριο για 6,5 μήνες χαρακτηρισθείσα σαν παχυπλευρίτις. Με αντιφυματική
θεραπεία στο σπίτι για 18 μήνες, με πλήρη ακτινολογική αποκατάσταση.
03-03-78
28-06-78
8. Ασβεστοποιός Παχυπλευρίτις
ΠΕΡΙΠΤΩΣΗ 1η:
Ασθενής 65 ετών (τυχαίο εύρημα). Η εικόνα υπαινίσσεται παλαιό εμπύημα, δεξιά με έντονη επασβεστίωση
(περιγράφεται σαν κόκκαλο σουπιάς), που ακτινολογικά ομοιάζει με κλασσική πλευρίτιδα, παρατηρείται όμως
μεγάλη τάση για συμφυτική εξεργασία και εγκατάσταση παχύνσεων του υπεζωκότα, ινοθώρακα και
επασβεστιώσεων. Πρόκειται για εντυπωσιακή για σήμερα εικόνα. Παλαιότερα παρατηρούνταν στην ‘’εξέλιξη’’ ενός
θεραπευτικού πνευμοθώρακα που εγκαταλειπόταν διότι ‘’έπιανε υγρό’’. Η κλασσική ‘’εξιδρωματική’’ πλευρίτιδα
ελάχιστα ή καθόλου κατάλοιπα αφήνει, εφόσον δε παρουσιάζει επιπλοκές, π.χ ρήξη συμφύσεων και αιμοθώρακα.
Παρατίθενται άλλες εικόνες χωρίς σχόλια από ένα σύνολο 20 περιπτώσεων και άνω, οι οποίες κατεγράφησαν στην
ίδια δεκαετία με τις περιπτώσεις του κατεστραμμένου πνεύμονα.
19-03-97
ΠΕΡΙΠΤΩΣΗ 2η:
Ασθενής ηλικίας 60 ετών με επασβεστιωμένες βλάβες αριστεράς κορυφής.
29-06-92
ΠΕΡΙΠΤΩΣΗ 3η:
Ασθενής ηλικίας 60 ετών με εκτεταμένες επασβεστιωμένες βλάβες δεξιού άνω λοβού.
ΠΕΡΙΠΤΩΣΗ 4η:
Ασθενής ηλικίας 70 ετών με εκτεταμένες επασβεστιωμένες βλάβες του δεξιού ημιθωρακίου (ασβεστοποιός
παχυπλευρίτις).
07-07-92
10-09-92
ΠΕΡΙΠΤΩΣΗ 5η:
Ασθενής 65 ετών με ασβεστοποιό παχυπλευρίτιδα αριστερού ημιθωρακίου.
23-02-98
9. Θωρακοπλαστική
Η Θωρακοπλαστική αποτελεί μια παρεμβατική προσέγγιση, που εφαρμόστηκε για τη θεραπεία
της πνευμονικής φυματίωσης.
Ήταν κάποτε μια προωθημένη τεχνική συμπτυξιοθεραπείας, αλλά εφαρμόζεται ακόμα
συμπληρωματικά σε εκτεταμένες πνευμονεκτομές, για την κάλυψη του “κενού” του ημιθωρακίου.
Ευνόητο ότι η θωρακοπλαστική κατέλειπε αναπνευστική αναπηρία.
Δειγματοληπτικά παρουσιάζονται 3 περιπτώσεις.
ΠΕΡΙΠΤΩΣΗ 1η:
Θωρακοπλαστική δεξιά με παραμονή της πρώτης πλευράς. Παρατηρείται η πρωτοπαθής εστία
ομόπλευρα στη βλάβη (κύκλος).
ΠΕΡΙΠΤΩΣΗ 2η:
Θωρακοπλαστική δεξιά, μερική αφαίρεση πρώτης πλευράς και πλήρης αφαίρεση των παρακάτω πέντε. Στον
αριστερό πνεύμονα παρατηρούνται πρωτοπαθείς εστίες Simon.
ΠΕΡΙΠΤΩΣΗ 3η:
Θωρακοπλαστική με πνευμονεκτομή αριστερά και αφαίρεση εννέα πλευρών.
10. Άτυπες εκδηλώσεις της Φυματίωσης
Εκδήλωση φυματικών αλλοιώσεων παρά την πολύμηνη ειδική θεραπεία σε άλλο από τη μητρική
εστία σημείο. Η κατάσταση συνήθως εξελίσσεται ομαλά χωρίς αλλαγή του θεραπευτικού
σχήματος.
ΠΕΡΙΠΤΩΣΗ 1η:
Παιδί ηλικίας 18 μηνών. Σε έλεγχο περιβάλλοντος αποκαλύφθηκε φυματινοαντίδραση +, για την οποία υποβλήθηκε
σε χημειοπροφύλαξη, και ενώ ακτινολογικά δεν είχε διαπιστωθεί βλάβη. Μετά από 8 μήνες διαπιστώθηκε
εκτεταμένη βλάβη δεξιού άνω λoβού αποδιδόμενη σε αδενίτιδα και ατελεκτασία. Υπό αντιφυματική αγωγή στο
σπίτι, η εξέλιξη ήταν ομαλή. Παρατήρηση: Η φυματική βλάβη δεν υπακούει πάντα στα «κελεύσματα» της
επιστήμης. Διάρκεια θεραπείας: 14 μήνες.
21-04-80
08-05-80
02-07-80
16-07-80
16-12-80
ΠΕΡΙΠΤΩΣΗ 2η:
Μαθήτρια ηλικίας 12 ετών με Mantoux+ και στην ακτινογραφία θώρακος μόλις υποσημαινόμενη διόγκωση πυλαίου
αδένα δεξιά (α/α 28-6-77). Υπό χημειοθεραπεία στους 9 μήνες παρουσιάζει εμφανέστατη διόγκωση
παρατραχειακού λεμφαδένα (α/α 21-3-78). Στη συνέχεια, με τριπλή αντιφυματική αγωγή στο σπίτι παρατηρείται
υποχώρηση της λεμφαγγειακής διόγκωσης και σε 40 ημέρες από την έναρξη της θεραπείας εμφάνισε
περικαρδίτιδα, η οποία με την ίδια θεραπευτική αγωγή υποχώρησε σε 6 μήνες. H φύση της περικαρδίτιδος δεν
ήταν απόλυτα τεκμηριωμένη. Ωστόσο, θα επισημανθεί ότι η περίπτωση μπορεί να ενταχθεί στα «ερωτηματικά» της
φυματίωσης. Διάρκεια θεραπείας: 14 μήνες.
9 εκ.
12 εκ.
14/11/78
ΠΕΡΙΠΤΩΣΗ 3η:
Ασθενής ηλικίας 14 ετών με κλινική συνδρομή και στην ακτινογραφία θώρακος (14-2-80) παρατηρείται διόγκωση
παρατραχειακού λεμφαδένα. Υπό τριπλή αντιφυματική αγωγή στο σπίτι, σε 15 μήνες παρουσίασε περικαρδίτιδα (4-
5-81). Με τη συνέχιση της ίδιας φαρμακευτικής αγωγής υπήρξε αποκατάσταση (29-5-81). Πρόκειται για τις
ιδιαιτερότητες της φυματικής νόσου. Διάρκεια θεραπείας: 18 μήνες.
14-02-80
1
2
ΠΕΡΙΠΤΩΣΗ 4η:
Ασθενής ηλικίας 13 ετών. Νοσηλεύτηκε στο Νοσοκομείο Κομοτηνής για ιστολογικά βεβαιωμένη περιτονίτιδα. Στην
ακτινογραφία (28-2-89) δεν διαπιστώνεται σαφής εικόνα πνευμονικής φυματίωσης. Υπό τριπλή αντιφυματική
αγωγή στο σπίτι παρουσίασε σε 35 ημέρες λεμφαδενική βλάβη και μικρές παρεγχυματικές αλλοιώσεις (4-4-89). Με
την ίδια αγωγή υπήρξε αποκατάσταση (2-5-89). Διάρκεια θεραπείας: 20 μήνες.
Σημείωση: η παθολογοανατομική βλάβη εξακολουθεί να εξελίσσεται παρά την αντιμικροβιακή θεραπεία,
φαινόμενο συνηθέστατο.
28-02-89
1
02-05-89
2
3
ΠΕΡΙΠΤΩΣΗ 5η:
Ασθενής ηλικίας 27 ετών με πνευμονική φυματίωση. Υπό αντιφυματική θεραπεία στο σπίτι, εμφάνισε
υποπνευμονική συλλογή υγρού αριστερά σε 20 ημέρες. Με αντιφυματική αγωγή υπήρξε αποκατάσταση. Διάρκεια
θεραπείας: 14 μήνες.
1
04-05-88
2
3
4
5
ΠΕΡΙΠΤΩΣΗ 6η:
Ασθενής ηλικίας 19 ετών με κλινική συνδρομή και ακτινογραφικά πνευμονική βλάβη στην αριστερή
κορυφοϋποκλείδια χώρα. Υπό τριπλή αντιφυματική αγωγή στο σπίτι, εμφάνισε υποπνευμονική συλλογή υγρού στο
αριστερό ημιθωράκιο σε 30 ημέρες. Με την ίδια αντιφυματική αγωγή υπήρξε αποκατάσταση. Διάρκεια θεραπείας:
14 μήνες.
Φυσιολογική ακτινογραφία
ΠΕΡΙΠΤΩΣΗ 7η:
Σε επιδημιολογικό έλεγχο στα πλαίσια του αντιφυματικού αγώνα σε 12χρονη, διαπιστώθηκε θετική
φυματινοαντίδραση. Στη γενόμενη ακτινογραφία θώρακος διαπιστώθηκε άμβλυνση του δεξιού
πλευροδιαφραγματικού χώρου. Ακολούθησε νοσοκομειακή νοσηλεία 45 ημερών για υγρά πλευρίτιδα κάτω από
τριπλή αντιφυματική θεραπεία. Ύστερα από 15 μήνες παρουσίασε πρόσθετη πνευμονική βλάβη, η οποία
υποχώρησε με την ίδια αγωγή. Στο αναφερόμενο χρονικό διάστημα η αντιφυματική θεραπεία διαρκούσε πάνω από
18 μήνες.
ΠΕΡΙΠΤΩΣΗ 8η:
Οι περιπτώσεις 4 έως 7 του πίνακα 21 που είναι σε πλήρη αντιφυματική θεραπεία (χωρίς ακτινογραφίες),
εμπίπτουν στην ίδια κατηγορία.
ΠΕΡΙΠΤΩΣΗ 9η:
Ασθενής ηλικίας 23 ετών με κλινική συνδρομή και ακτινογραφικά πνευμονική φυματική βλάβη στον αριστερό άνω
λοβό και συλλογή υγρού σύστοιχα. Υπό αντιφυματική θεραπεία στο σπίτι, ενώ αρχίζει να υποχωρεί η υγρά
συλλογή, σε 18 ημέρες εμφάνισε συλλογή υγρού στο δεξιό ημιθωράκιο. Με την ίδια αντιφυματική θεραπεία, σε 14
μήνες στο σπίτι, αποκατάσταση.
14-06-84
ΠΕΡΙΤΠΩΣΗ 10η:
Αγόρι ηλικίας 6 ετών. Σε έλεγχο περιβάλλοντος βρέθηκε Mantoux+ και φυσιολογική ακτινογραφία θώρακος Σε 3
μήνες υπό χημειοπροφύλαξη εμφάνισε πυλαία αδενίτιδα δεξιά (24/4/1992). Με τριπλή αντιφυματική αγωγή για
μήνες παρουσιάζει ακτινολογικά επιδείνωση. Με την ίδια αντιφυματική αγωγή για 1 χρόνο στο σπίτι, υπήρξε
αποκατάσταση.
Σημείωση: σε μία πρώτη φυσιολογική ακτινογραφία, εφόσον υπάρχει θετική φυματινοαντίδραση, επιβάλλεται η
επανάληψη της ακτινογραφίας θώρακος σε εύλογο χρόνο.
13-02-86
28-06-92
ΠΕΡΙΠΤΩΣΗ 11η:
Ασθενής ηλικίας 35 ετών με βραχεία νοσηλεία 12 ημερών σε ειδικό νοσοκομείο του ‘’κέντρου’’ και διάγνωση υγρά
πλευρίτιδα αριστερού ημιθωρακίου (02/01/1991). Προσήλθε στο αντιφυματικό ιατρείο στις 10/04/1991 με
κατάληψη του αριστερού ημιθωρακίου από υγρό και με στενή παρακολούθηση στο σπίτι και ακτινογραφία
θώρακος ανά εβδομάδα επί δίμηνον για να εκτιμηθει έγκαιρα η ανάγκη εκκενωτικής παρακέντησης,
αποκατάσταση με υπολλειματικες συμφύσεις του αριστερού πλευροδιαφραγματικού χώρού.
10-04-91
02-01-91
23-04-91
30-04-91
16-05-91
20-05-91
17-12-91
11. Περίπτωση ασθενούς με εξ αποστάσεως αντιφυματική θεραπεία
Ασθενής ηλικίας 22 ετών, κάτοικος Ν. Ροδόπης, με φυματικές αλλοιώσεις στη δεξιά κορυφοϋποκλείδιο χώρα,
φοιτητής στην Άγκυρα νοσηλεύθηκε παρακολουθούμενος εξ αποστάσεως δι’ αλληλογραφίας με
μικροακτινογραφήματα, προκειμένου να μη χάσει το έτος σπουδών.
21-06-80
Η διάγνωση τέθηκε με καθυστέρηση 6 μηνών.
Ο ασθενής αντιμετωπιζόταν σαν κοινή πνευμονοπάθεια για 6 μήνες.
12. Περίπτωση επαφής
Ασθενής ηλικίας 42 ετών, με εκτεταμένη σπηλαιώδη πνευμονική φυματίωση στον δεξιό άνω λοβό, με
νοσοκομειακή νοσηλεία 20 μηνών και στο σπίτι για 18 μήνες, απείθαρχος και χωρίς συμμόρφωση με τις οδηγίες
των γιατρών έφτασε στη φυματιώδη καχεξία και απεβίωσε.
Περίπτωση επαφής (σύζυγος) που έμεινε για χρόνια (τουλάχιστον 6) σε ισχυρή πηγή μόλυνσης και δεν παρουσίασε
νόσο κατά τον χρόνο παρακολούθησής της την τελευταία 25ετία
Η σύζυγος (επαφή) που έμεινε πολλά χρόνια (τουλαχιστον 6)
σε ισχυρή πηγή μόλυνσης, δεν παρουσίασε νόσηση κατά την
τελευταία 25ετία.
14-04-94
06-03-00
13. Ασπεργιλλώματα
Τα ασπεργιλλώματα αναπτύσσονται κατά κανόνα σε προϋπάρχουσες κοιλότητες, κυρίως από
ανενεργό φυματίωση (σπήλαιο ανοικτό- ανενεργό). Παρουσιάζονται ως ογκοειδείς σχηματισμοί
(μπάλα μυκητώματος) και μπορεί να προκαλούν παχύνσεις του τοιχώματος του σπηλαίου και
ενδοκοιλωτικές επασβεστιώσεις. Κατά κανόνα παρατηρούνται στους άνω λοβους και ενίοτε
καταστρέφονται από επιμολύνσεις. Προκαλούν αιμοπτύσεις, πολλές φορές ιδιαίτερα επικίνδυνες.
ΠΕΡΙΠΤΩΣΗ 1η:
Ασθενής ηλικίας 20 ετών, σε πρώτη επαφή με το αντιφυματικό ιατρείο, παρουσιάζει αδιαμφησβήτητες ανενεργούς
φυματικές αλλοιώσεις στις κορυφές και στο ογκοειδές μόρφωμα (ασπεργίλλωμα), που καταλαμβάνει το
μεγαλύτερο μέρος της κοιλότητας του αριστερού άνω λοβού (19/05/1979, Α). Μετά από 7 χρόνια ο ογκοειδής
σχηματισμός σμικρύνεται (καταστροφή;). Στις 27/01/1988 (Β) παρατηρείται περαιτέρω σμίκρυνση του
ασπεργιλλώματος. Παράλληλα παρατηρούνται ενδοκοιλοτικές επασβεστιώσεις. Ο ασθενής παρουσίασε έντονες
αιμοπτύσεις και διακομίστηκε σε ειδικό νοσοκομείο για χειρουργική αντιμετώπιση. Ο ασθενής πολύ σύντομα
απεβίωσε από φυματιώδη μηνιγγίτιδα, προφανώς συνεπεία αιματικής διασποράς του ‘’πάλαι ποτέ’’ τρίτου σταδίου
της φυματίωσης. Μήπως θα έπρεπε να αναζητηθεί ανοσιακός παθογενετικός μηχανισμός στην όλη συνδρομή; Η
περίπτωση χρεώνεται στα ‘’γιατί’’ της φυματικής νόσου.
ΠΕΡΙΠΤΩΣΗ 2η:
Ασθενής ηλικίας 60 ετών, στην πρώτη επαφή με το αντιφυματικό ιατρείο στις 12/07/1983 (Α) με εκτεταμένη
φυματίωση του δεξιού άνω λοβού σπηλαιώδη και μετά την αντιφυματική θεραπεία, παρέμεινε μεγάλο
κεκαθαρμένο σπήλαιο στη δεξιά κορυφή (10/01/1986, Β). Στις 08/12/1988 (Γ), μέσα στο σπήλαιο αναπτύσσεται
ασπεργίλλωμα. Μετά δε 4 έτη, και ενώ η εικόνα του ασπεργιλλώματος παραμένει σταθερή, ο ασθενής εμφανίζει
καρκίνο του πνεύμονα, μη έχοντος σχέση με την προηγούμενη κατάσταση.
14. Ο πνευμονικός καρκίνος ως επιπλοκή της φυματίωσης.
Είναι πολύ γνωστό το καρκίνωμα που αρχίζει από μια ουλή, το γνωστό ως Scar Carcinoma. Χρόνιες
ουλώδεις μεταφυματιώδεις αλλοιώσεις μπορεί να είναι εστίες ανάπτυξης καρκίνου. Στην έρευνα
της 25ετίας το ποσοστό ατόμων που ανέπτυξαν καρκίνο πάνω σε παλαιές φυματικές βλάβες
ανέρχεται στο 1% και εμφανίζεται σε άτομα μεγάλης ηλικίας με εκτεταμένες υπολλειματικές
βλάβες, συνήθως καπνιστές.
ΠΕΡΙΠΤΩΣΗ 1η:
Ασθενής ηλικίας 65 ετών, προσήλθε για μεγάλη σκίαση στο άνω πνευμονικό πεδίο, με κεντρική τήξη (23/07/1985,
Α). Διακομίστηκε σε νοσοκομείο του ‘’κέντρου’’, όπου βεβαιώθηκε η διάγνωση της νεοπλασίας. Αναζητήθηκαν
τυχόν παλιές ακτινογραφίες: Βρέθηκε ακτινογραφία της 26/06/59 (!) όπου υπάρχει σαφής πνευμονική φυματίωση,
λοβίτιδα με τήξη, για την οποία είχε υποβληθεί σε αντιφυματική αγωγή (Β).
Α
23-07-85
ΠΕΡΙΠΤΩΣΗ 2η:
Ασθενής ηλικίας 67 ετών, προσέρχεται με μεγάλη σκίαση στο δεξιό άνω λοβό (29/09/1988, Α). Στο ιστορικό του
αναφέρεται πνευμονική φυματίωση, για την οποία νοσηλεύτηκε σε ειδικό νοσοκομείο και στη συνέχεια κατ’οίκον
(21/12/1984, Β). Η διάγνωση της νεοεξεργασίας επιβεβαιώθηκε σε ειδικό νοσοκομείο.
26-06-59
Β
29-09-88
Α
ΠΕΡΙΠΤΩΣΗ 3η:
Ασθενής ηλικίας 68 ετών, προσήλθε για ύποπτη νεοεξεργασία στο δεξιό άνω λοβό (15/06/1995, Α). Από το ιστορικό
αναφέρεται νοσηλεία για πνευμονική φυματίωση σε ειδικό θεραπευτήριο. Σε ακτινογραφία της 29/10/1992 (Β)
παρατηρούνται εκτεταμένες ουλώδεις αλλοιώσεις στους άνω λοβούς με μεγάλη ρίκνωση του δεξιού άνω. Ο
ασθενής διακομίστηκε σε ειδικό νοσοκομείο, όπου επιβεβαιώθηκε νεοεξεργασία ‘’εξορμώμενη’’ από το δεξιό άνω
λοβό.
21-12-84
Β
15-06-95
Α
ΠΕΡΙΠΤΩΣΗ 4η:
Ασθενής ηλικίας 70 ετών, προσέρχεται για μεγάλη σκίαση στο δεξιό άνω λοβό (14/12/1989, Α). Από το ιστορικό
αναφέρεται νοσηλεία για φυματίωση σε ειδικό νοσοκομείο. Σε ακτινογραφία (07/12/1982, Β) φαίνονται
εκτεταμένες υπολλειματικές φυματικές αλλοιώσεις. Διακομίστηκε σε ειδικό νοσοκομείο, όπου επιβεβαιώθηκε η
νεοεξεργασία.
Β
29-10-92
Α
14-12-89
07-12-82
Β
ΕΠΙΛΟΓΟΣΕΠΙΛΟΓΟΣ
Ο αντιφυματικός αγώνας στην Ελλάδα από το 1960 υλοποιείται βάσει του Ν.
4053/60 με στόχους:
1. Την ανίχνευση των νέων περιπτώσεων
2. Την ορθή θεραπευτική αντιμετώπιση
Χημειοπροφύλαξη
3. Την πρόληψη
Εμβολιασμό με B.C.G.
1. Ανίχνευση νέων περιπτώσεων
Συνοψίζοντας, η ανίχνευση νέων περιπτώσεων φυματίωσης στο περιβάλλον των
ασθενών ως συνέπεια επαφών ανέρχεται σε 18%, που αποτελεί την ενεργό
αναζήτηση της νόσου, ενώ το 82% διαπιστώνεται παθητικά παγκοσμίως.
Το 1991 πραγματοποιήθηκε στον Νομό Ροδόπης ερευνητικό πρόγραμμα του
Υπουργείου Υγείας με αντικείμενο τη διαμόλυνση του γενικού πληθυσμού, η οποία
ανήλθε στο 16,5 %, εστιάζοντας σε οικισμούς που αντιπροσώπευαν το 45% του
προβλήματος της φυματίωσης στην περιοχή. Με τη διενέργεια Mantoux στο 1/10 του
πληθυσμού (δείγμα 12.520 φυματινοαντιδράσεων), διαπιστώθηκαν 14 νέες
αγνοούμενες περιπτώσεις ενεργούς φυματίωσης, δηλαδή το 1/3 των περιπτώσεων
που δηλώθηκαν το 1992 (ενεργητική ανακάλυψη της νόσου). Τα συμπεράσματα
του προγράμματος ανακοινώθηκαν στο 28th
World Conference of IUATLD/UICTMR,
(14th-17th June 1994), Mainz, Germany.
To 2005 εκπονήθηκε πιλοτικό πρόγραμμα από την Α’ ΔΥΠΕ (Διοίκηση
Υγειονομικής Περιφέρειας) Κεντρικής Μακεδονίας με στοιχεία από την έρευνα του
Αντιφυματικού Ιατρείου Κομοτηνής, στο οποίο συμπεριλήφθηκαν οι παρατηρήσεις,
τα συμπεράσματα, οι απόψεις και οι προτάσεις για την ταχύτερη εξάλειψη του
προβλήματος της φυματίωσης. Κεντρική πρόταση υπήρξε η ανίχνευση και
καταγραφή των Mantoux + ατόμων, η ανά έτος επανάληψη ακτινογραφίας θώρακα
αυτών και ο επανέλεγχος με Mantoux κάθε δύο χρόνια όσων είχαν αρνητική
φυματινοαντίδραση. Η καταγραφή των Mantoux θετικών ατόμων θα μπορούσε να
αρχίσει στους νεοεισερχόμενους στα νοσοκομεία της χώρας για οποιαδήποτε άλλη
πάθηση. Επισημαίνεται η σημασία των συχνών ελέγχων στον στενό οικογενειακό,
εργασιακό και κοινωνικό περίγυρο του ασθενούς με ανοιχτή φυματίωση (ιδιαίτερα
στις επαφές των μικρών ηλικιών, αφού το μεγαλύτερο μέρος των νοσήσεων αυτών
ανακαλύπτεται ταυτόχρονα με τον άρρωστο ή στο πρώτο εξάμηνο) και η ενεργή
διερεύνηση των ομάδων υψηλού κινδύνου.
Με την εφαρμογή του συγκεκριμένου προγράμματος θα έχουν καταγραφεί μέσα
σε δέκα χρόνια οι Mantoux θετικοί στο σύνολο του πληθυσμού της χώρας και θα
είναι εύκολη η περαιτέρω δια βίου παρακολούθησή τους, καθώς από αυτούς, κατά
τεκμήριο, θα προκύψει ο μελλοντικός φυματικός άρρωστος.
2. Ορθή θεραπευτική αγωγή
Η θεραπεία των ασθενών, αφού διήλθε από διάφορα στάδια, ξεκινώντας από τη
μακροχρόνια νοσηλεία του στα σανατόρια μέχρι και την ολιγοήμερη παραμονή του σ’
αυτά, σήμερα τείνει διεθνώς να πραγματοποιείται στο σπίτι του αρρώστου, καθώς
αποτελεί αναφαίρετο δικαίωμά του, με εξίσου καλά αποτελέσματα. Το έναυσμα για
τη συγκεκριμένη μεταστροφή δόθηκε από τη μελέτη του Madras το 1966 στις Ινδίες,
όπου καθαρά λόγω συνθηκών (έλλειψη νοσηλευτικών κλινών) επιβλήθηκε η
εξωνοσοκομειακή νοσηλεία του ασθενούς. Οι ελάχιστες εξαιρέσεις, που οδηγούνται
στη νοσοκομειακή νοσηλεία του αρρώστου, οφείλονται κυρίως σε κοινωνικούς
λόγους.
Τα θεραπευτικά σχήματα κυμάνθηκαν μεταξύ 18 και 24 μηνών κατά την έναρξη
της έρευνας (με φάρμακα όπως είναι η ισονιαζίδη, το παρααμινοσαλυκιλικό οξύ και η
στρεπτομυκίνη), με μείωση του χρόνου στη συνέχεια, λόγω χρήσης των νέων
αντιφυματικών φαρμάκων (όπως η ριφαμπικίνη, η αιθαμβουτόλη και η
πυραζιναμίδη). Η διάρκεια της θεραπευτικής αγωγής βαθμιαία συρρικνώθηκε και το
1990 έφτασε κατ’ ελάχιστον τους 12 μήνες. Με εφαρμογή καθ’ όλη τη διάρκεια
της θεραπείας τριπλής αντιφυματικής αγωγής, οι υποτροπές της νόσου ανήλθαν σε
3,2%.
Τα τελευταία χρόνια θεσμικά (οδηγίες του ΚΕΕΛΠΝΟ 2006) προτείνεται: α) η
νοσηλεία του φυματικού όχι μόνο στο νοσοκομείο, αλλά και σε αυστηρή απομόνωση,
χωρίς να κρίνεται απαραίτητη για την καλή πορεία του αρρώστου η όλη διαδικασία
και β) η εφαρμογή θεραπευτικού προγράμματος της άμεσα επιβλεπόμενης βραχείας
θεραπείας (Α.Ε.Β.Θ. DOTS) εξάμηνης διάρκειας.
Αξιολογώντας την πορεία της φυματίωσης ακτινογραφικά κατά τη διάρκεια της
αντιφυματικής θεραπείας στην πλειοψηφία του ερευνητικού δείγματος τα
βραχυχρόνια θεραπευτικά σχήματα θα κάλυπταν μόνο το 70% των περιπτώσεων. Τα
βραχυχρόνια θεραπευτικά σχήματα που εφαρμόζονται στο εξωτερικό μπορεί να είναι
αποτελεσματικά, αφού εκεί ο ασθενής ανακαλύπτεται σχετικά νωρίς (2,5 μήνες από
την έναρξη της νόσου). Στην ελληνική πραγματικότητα, και ειδικότερα στον Νομό
Ροδόπης, η καθυστέρηση της ανακάλυψης της νόσου ξεπερνά τους 6 μήνες. Στο
χρονικό αυτό διάστημα ο άρρωστος διασπείρει και μολύνει τον κοινωνικό του
περίγυρο και οι νοσήσεις, που προκύπτουν ως συνέπεια επαφών κατά ηλικία είναι:
προσχολική ηλικία 78%, πρωτοβάθμια εκπαίδευση 44%, δευτεροβάθμια εκπαίδευση
28%, 18 ετών και άνω 8% και μεταξύ συζύγων μόνο 2%. Προτείνεται η θεραπεία
του ασθενούς να είναι ανάλογη σε χρονική διάρκεια με την πορεία της νόσου και την
εκτίμηση του θεράποντος ιατρού (τουλάχιστον 9 μήνες έως έναν χρόνο), ώστε
να αποφεύγεται ένα ποσοστό των υποτροπών.
3. Πρόληψη
Για την πρόληψη της νόσου ο Νόμος προβλέπει: α. τη χημειοπροφύλαξη & β. τον
εμβολιασμό με B.C.G.
Χημειοπροφύλαξη – Αντιφυματικός ΕμβολιασμόςΧημειοπροφύλαξη – Αντιφυματικός Εμβολιασμός BB..CC..GG..
Η χημειοπροφύλαξη συνίσταται στην προληπτική εφαρμογή αντιφυματικής
θεραπείας για έναν χρόνο με INH σε κάθε περίπτωση, όπου διαπιστώνεται απλή
επαφή του παιδιού με το μυκοβακτηρίδιο (B.Koch) και με ξενόφερτη «οδηγία», που
πρέπει να εφαρμόζεται σε κάθε άτομο ηλικίας έως και 35 ετών (με θετική Mantoux).
Όταν σήμερα η θεραπεία της ενεργούς φυματίωσης διαρκεί 9 μήνες, κατ’ άλλους
πολύ μικρότερο χρόνο (6 μήνες), η προληπτική θεραπεία ενός καθ’ όλα υγιούς
ατόμου για έναν χρόνο αποδεικνύεται ανακόλουθη, τη στιγμή μάλιστα που η
πιθανότητα να εκδηλώσει νόσο ένας μολυνθείς είναι πολύ μικρή (0,1 ‰‰), η δε
πιθανότητα να ιαθεί αποτελεί βεβαιότητα. Είναι δε γνωστό ότι χορηγούμενη μόνη της
δημιουργεί ανθεκτικότητα. Σημειώνεται πως η συγκεκριμένη οδηγία ποτέ δεν
εφαρμόστηκε καθολικά.
Ωστόσο, στην καθημερινή πρακτική παρατηρούνται εκδηλώσεις φυματικών
αλλοιώσεων, παρά την πολύμηνη ειδική θεραπεία, σε άλλο από τη μητρική εστία
σημείο. Η κατάσταση συνήθως εξελίσσεται ομαλά, χωρίς αλλαγή του θεραπευτικού
σχήματος.
Σε άτομα ηλικίας έως και 4 ετών, που βρίσκονται σε περιβάλλον νοσούντων με
Mantoux +, προτείνεται η χημειοπροφύλαξη υπό μορφή βραχείας εφαρμογής τριπλής
αντιφυματικής αγωγής, ώστε να προληφθούν οι δυσάρεστες επιπτώσεις της αιματικής
διασποράς, που δυνητικά εκδηλώνονται κατά τους πρώτους 6 μήνες από τη μόλυνση.
Πέραν δε της ηλικίας των 5 ετών, ενδείκνυται η παρακολούθηση με ακτινογραφία
θώρακα ανά τακτά χρονικά διαστήματα, ώστε να εντοπισθεί εγκαίρως οποιαδήποτε
δυσάρεστη εξέλιξη.
Το δεύτερο προληπτικό μέτρο, δηλαδή ο εμβολιασμός με B.C.G. εμφανίστηκε
ως ένα από τα μεγαλύτερα επιτεύγματα του 20ου
αιώνα και εφαρμόσθηκε από το
1921. Ωστόσο μετά από 80 χρόνια εφαρμογής του παγκοσμίως αποδείχθηκε
αναποτελεσματικό και εγκαταλείφθηκε από τον υπόλοιπο πολιτισμένο κόσμο εδώ και
περίπου 30 χρόνια. Το αναφερόμενο ποσοστό προστασίας, που παρέχει το εμβόλιο
επισήμως ορίζεται μεταξύ 0-80%, καταδεικνύεται από τα πορίσματα της έρευνας ότι
θα αφορούσε μόνο 2 περιπτώσεις φυματιώδους μηνιγγίτιδας, που ήταν στην υπό
εμβολιασμό ηλικία των 6 ετών επί συνόλου 38.790 παιδιών σε ορίζοντα 25ετίας, οι
οποίες με αντιφυματική αγωγή θεραπεύτηκαν.
Στην παρούσα έρευνα, που βασίζεται πρακτικά στη μελέτη της συμβολής του
B.C.G. στην προφύλαξη των παιδιών του Νομού Ροδόπης από τη φυματική
νόσο, σε σύνολο δείγματος 29.410 παιδιών ηλικίας 11-12 ετών, η σχέση των
νοσήσεων σε εμβολιασθέντα και μη παιδιά είναι 2:3. Ακόμη έγινε σύγκριση μεταξύ μη
εμβολιασμένων παιδιών ηλικίας: α. 6-7 ετών (οπότε και εφαρμόζεται σήμερα το
εμβόλιο) και β. 11-12 ετών (ηλικία στην οποία γινόταν παλαιότερα). Από τη
λεπτομερή ανάλυση των ευρημάτων φαίνεται ότι από τη μετάθεση του εμβολιασμού
στην ηλικία των 6-7 ετών θα προλαμβανόταν η φυσική πρωτομόλυνση σε 5 παιδιά
από τα 29.410 στα 19 χρόνια της έρευνας. Καμία περίπτωση φυματιώδους
μηνιγγίτιδας (ΦΜ) δεν αναφέρθηκε σε παιδιά ηλικίας άνω των 6 ετών. Οι δε 5
περιπτώσεις φυματιώδους μηνιγγίτιδας στα 19 χρόνια της έρευνας αφορούσαν παιδιά
προεμβολιαστικής ηλικίας και η ΦΜ οδήγησε στην ανακάλυψη της μέχρι τότε
άγνωστης πηγής μόλυνσης. Η έγκαιρη ανακάλυψη της πηγής θα προλάμβανε σχεδόν
ασφαλώς και τις φυματιώδεις μηνιγγίτιδες και τις αθώες πρωτομολύνσεις.
Σε οδηγία του Πανεπιστημίου του Harvard το 2006 σχετικά με τα εμβόλια που
κρίνονται αναγκαία για τη δημόσια υγεία, το B.C.G. δεν περιλαμβάνεται.
Ολοκληρώνοντας, υπενθυμίζονται δύο περιπτώσεις, όπου αντενδείκνυται η
εφαρμογή του εμβολίου, παρότι εφαρμόζεται: α. σε στενές επαφές της προσχολικής
ηλικίας (ομάδα υψηλού κινδύνου), όπου η διαμόλυνσή τους αγγίζει το 100%, αφού οι
νοσήσεις ανέρχονται σε 78%, και ενώ το παιδί θα μπορούσε ενδεχομένως να
ανταποκριθεί στη φυσική μόλυνση χωρίς να νοσήσει, εμβολιαζόμενο το ανοσοιακό
του σύστημα υποχρεώνεται να αντιμετωπίσει δύο μολύνσεις συγχρόνως: τη φυσική
και την τεχνητή και β. στον στρατό, όπου η διαμόλυνση ανέρχεται σε ποσοστό 6-
7%, καθώς με το εμβόλιο, αν γίνει τεχνικά σωστά, θετικοποιείται το σύνολο των
εμβολιαζομένων (100%) και εάν κάποιος γίνει φορέας του AIDS κινδυνεύει από την
εμφάνιση γενικευμένης φυματίωσης (από B.C.G.).

ΕΜΠΕΙΡΙΕΣ ΑΠΟ ΤΗ ΜΕΛΕΤΗ ΤΗΣ ΦΥΜΑΤΙΩΣΗΣ ΣΤΟΝ ΝΟΜΟ ΡΟΔΟΠΗΣ ΤΑ ΤΕΛΕΥΤΑΙΑ 25 ΧΡΟΝΙΑ (1976-2000)

  • 2.
    Σ Υ ΝΤ Ο Μ Ο Β Ι Ο Γ Ρ Α Φ Ι Κ Ο Σ Η Μ Ε Ι Ω Μ Α Ονοματεπώνυμο: ΜΟΥΣΤΑΚΑΣ ΙΩΑΝΝΗΣ e-mail: moustakasioannis8@gmail.com Ο Ιωάννης Μουστάκας σπούδασε στην Ιατρική Σχολή του Αριστοτέλειου Πανεπιστημίου Θεσσαλονίκης. Απέκτησε ειδικότητα πνευμονολογίας την περίοδο 1973 – 1976 στην Πανεπιστημιακή Κλινική του Α.Π.Θ. Το 1976 εγκαταστάθηκε στην Κομοτηνή και με διορισμό στο Νοσοκομείο Αλεξανδρούπολης (1976 – 1981) αντιμετώπισε όλα τα περιστατικά της ειδικότητας του σε δύο νομούς: Ροδόπης και Έβρου. Διατέλεσε Διευθυντής του αντιφυματικού ιατρείου του Σισμανόγλειου Γενικού Νοσοκομείου Κομοτηνής από τον Οκτώβριο του 1981 ως και τον Ιούνιο του 2000, οπότε και συνταξιοδοτήθηκε. ΕΡΕΥΝΗΤΙΚΟ – ΣΥΓΓΡΑΦΙΚΟ ΕΡΓΟ: Την τελευταία 25ετία, σε συνεργασία με τον ομότιμο καθηγητή πνευμονολογίας του Α.Π.Θ, Χ. Βάμβαλη επεξεργάστηκε τα δεδομένα όλων των περιστατικών, που αφορούσαν τη φυματίωση στην περιοχή, συνεργασία που κατέληξε στην από κοινού συγγραφή του επιστημονικού έργου: «Κυνηγώντας τη φυματίωση», που αποτελεί μια εκτενή περιήγηση, παρουσίαση και ανάλυση της νόσου. Το σύγγραμμα αυτό είναι μοναδικό στο είδος του, τόσο σε πανελλαδικό, όσο και σε παγκόσμιο επίπεδο. Αποτελεί σύνθεση 12 παραμέτρων της φυματίωσης, εξετάζοντας 1.388 περιστατικά και αφορά χρονική περίοδο 25 ετών, τη στιγμή που αντίστοιχα ερευνητικά προγράμματα, που υλοποιούνται παγκοσμίως από ιατρούς του πολιτισμένου κόσμου σε υπανάπτυκτες χώρες με αντικείμενο τη φυματίωση, επικεντρώνονται ως επί το πλείστον σε 1 μόνο παράμετρο με χρονικό ορίζοντα τα 2,5 χρόνια. Το «Κυνηγώντας τη φυματίωση» παρουσιάστηκε με ιδιαιτέρως θετικά σχόλια στα επιστημονικά περιοδικά «Πνευμονολόγος» και «Ελληνική Ιατρική» το 1996 και διανεμήθηκε δωρεάν σε 5.000 αντίτυπα πανελλαδικά σε πνευμονολόγους, παιδιάτρους και παθολόγους. Τον Ιούνιο του 2004, κατόπιν επίσκεψης με διπλωματική αποστολή στο Αζερμπαϊτζάν ως σύμβουλος τεχνογνωσίας σε θέματα φυματίωσης, ζητήθηκε η μετάφρασή του στη ρωσική γλώσσα και διανεμήθηκε σε πνευμονολόγους της χώρας, σε συνεργασία με την Πρεσβεία της Ελλάδας στο Αζερμπαϊτζάν, στα πλαίσια συνεδρίου. Το 2005 εκδόθηκε ο Άτλαντας ακτινογραφιών με τίτλο: «Μια περιήγηση στην κλασσική ακτινογραφία του Θώρακα» σε 1.000 αντίτυπα με συγγραφείς τους Ι. Μουστάκα και Χ. Βάμβαλη, ομότιμο καθηγητή πνευμονολογίας του Α.Π.Θ και διανεμήθηκε σχεδόν πανελλαδικά. ΣΥΜΜΕΤΟΧΗ ΣΕ ΙΑΤΡΙΚΑ ΣΥΝΕΔΡΙΑ – ΑΝΑΚΟΙΝΩΣΕΙΣ:  1982: Διοργάνωση πανελλήνιας επιστημονικής εκδήλωσης για τη φυματίωση στην Κομοτηνή, στην οποία πραγματοποιήθηκε εισήγηση με θέμα: «Η νοσηλεία του ασθενούς στο σπίτι».  1989: Ανακοίνωση 2 πρωτοποριακών εργασιών στο 5ο Πανελλήνιο Συνέδριο Νοσημάτων Θώρακος στη Θεσσαλονίκη.  1990: Συμμετοχή και συνοπτική ανακοίνωση των θέσεών μας στην επιστημονική εκδήλωση στην Αθήνα με αντικείμενο τις θέσεις ομοφωνίας για τη φυματίωση στη χώρα μας, στην οποία συμμετείχαν 13 φορείς με 25 εκπροσώπους από όλη την Ελλάδα.  1991: Εκπόνηση, κατόπιν ανάληψης έργου σχετικού διαγωνισμού από το Υπουργείο Υγείας και Κοινωνικών Ασφαλίσεων, πιλοτικού προγράμματος με επιστημονικό πεδίο τη διαμόλυνση από τη φυματίωση στον γενικό πληθυσμό του νομού Ροδόπης, διετούς διάρκειας (1992-1993).  1992: Διοργάνωση πανελλήνιας ημερίδας στην Κομοτηνή με θέμα τη «φυματίωση».  1993: Παρουσίαση 5 εργασιών στο 7ο Πανελλήνιο Συνέδριο Νοσημάτων Θώρακος στη Θεσσαλονίκη, οι οποίες συμπεριλήφθηκαν στο πρωτότυπο επιστημονικό σύγγραμμα «Κυνηγώντας τη φυματίωση».  1994: 24th World Conference of IUATLD / UICTMR, Mainz, Germany: Ανακοίνωση συμπερασμάτων της έρευνάς μας.  1994: Συμμετοχή στην επιστημονική εκδήλωση για τη φυματίωση στην Αθήνα με θέμα: «Παρελθόν– Παρόν–Μέλλον».  1994: Συμμετοχή σε συζήτηση στρογγυλής τραπέζης με θέμα τη φυματίωση στα πλαίσια του 9ου Βορειοελλαδικού Συνεδρίου, που πραγματοποιήθηκε σε Αμφιθέατρο της Φιλοσοφικής Σχολής του Α.Π.Θ.
  • 3.
     1998: Διοργάνωσηστην Κομοτηνή επιστημονικού συμποσίου για τη φυματίωση, με τη συμμετοχή των Προέδρων των Ιατρικών Εταιρειών Ελλάδος (Πνευμονολόγων).  1999: Εισήγηση με θέμα: «Καινοτόμες Θέσεις και Μελλοντική Προοπτική της Φυματίωσης», κατόπιν πρόσκλησης του Ιατρικού Συλλόγου Λεμεσού συμμετοχής στο 20ο Διήμερο Ιατρικό Συνέδριο, στο οποίο έλαβαν μέρος 14 καθηγητές Ιατρικής από όλα σχεδόν τα πανεπιστήμια της Ελλάδας.  2000: Συμμετοχή στην επιτροπή μελέτης των προβλημάτων της πνευμονολογίας (μετά από πρόσκληση του Προέδρου του ΚΕΣΥ κου Χ. Γολεμάτη), η οποία κατόπιν τεσσάρων συνεδριάσεων, υπέβαλε τις προτάσεις της στο Υπουργείο Υγείας και Κοινωνικών Ασφαλίσεων.  2004: Δημοσίευση ανακοίνωσης στο έγκυρο επιστημονικό περιοδικό «Eur Radiol» με τίτλο: «Scattered micro nodular high density lung opacities due to mercury embolism» (Μικροοζιδιακές διάχυτες πνευμονικές σκιάσεις μεταλλικής πυκνότητας, λόγω εμβολής από μεταλλικό υδράργυρο), σσ. 14:2146 – 2147.  2005: Εκπόνηση προγράμματος-πιλότου για τη φυματίωση σε εθνικό επίπεδο από την Α ΔΥΠΕ Κεντρικής Μακεδονίας, το οποίο υποβλήθηκε στο Υπουργείο Υγείας και Κοινωνικής Αλληλεγγύης προς έγκριση και υλοποίηση.  2008: Δημοσίευση ολοσέλιδου αφιερώματος με τίτλο: «Η Αλήθεια για τη Φυματίωση» στην Εφημερίδα «ΕΛΕΥΘΕΡΟΤΥΠΙΑ» (τεύχος 24/3/2008), με αφορμή την παγκόσμια ημέρα κατά της φυματίωσης.
  • 4.
    Ευχαριςτίεσ Θα ήθελα ναευχαριςτήςω θερμά τον Καθηγητή Ακτινολογίασ κφριο Πραςόπουλο Παναγιώτη του Δημοκρίτειου Πανεπιςτημίου Θράκησ για το ακαδημαϊκό του ενδιαφζρον, καθώσ και τον κφριο Σουφτά Βαςίλειο, Επίκουρο Καθηγητή Ακτινολογίασ του Δ.Π.Θ. για την αμζριςτη ςυμπαράςταςη και υποςτήριξη.
  • 5.
    ΠΕΡΙΕΧΟΜΕΝΑ Πρόλογος 7 ΚΕΦΑΛΑΙΟ Ι:ΙΣΤΟΡΙΚΟ- ΕΠΙΔΗΜΙΟΛΟΓΙΚΑ ΣΤΟΙΧΕΙΑ 1. Μελέτη 7 2. Ευρήματα- παρατηρήσεις από την έρευνα 8 3. Συμπεράσματα 13 4. Προτεινόμενα μέτρα 14 5. Πίνακες 15 ΚΕΦΑΛΑΙΟ ΙΙ: Η ΦΥΜΑΤΙΩΣΗ ΣΤΗΝ ΑΚΤΙΝΟΓΡΑΦΙΑ ΘΩΡΑΚΑ 1. Γενικές Παρατηρήσεις 28 2. Φυματίωση 30 - Πρωτοπαθής εστία εν ενεργεία 33 - Πρωτοπαθές σύμπλεγμα εν ενεργεία 46 - Πυλαία αδενίτις 53 - Υγρά πλευρίτις 83 - Πνευμονική φυματίωση 92 - Περιπτώσεις με επασβαστιωμένη πρωτοπαθή εστία και πρωτοπαθή συμπλέγματα 109 - Οξεία κεχροειδής 117 - Χρονία κεχροειδής 119 - Υγρά πλευρίτιδα 121 - Περικαρδίτιδα 127 - Φυματιώδης περιτονίτιδα 129 - Μεταπρωτοπαθείς εστίες Simon 132 - Φυματιώδης σπονδυλίτιδα 134 Χρόνια Πνευμονική Φυματίωση - Πρώιμο διήθημα 136 - Φυμάτωμα 140 - Επασβεστιωμένο φυμάτωμα 141 - Με εντόπιση στο δεξιό άνω λοβό (λοβίτιδες) 165 - Με εντόπιση στον κορυφαίο του κάτω λοβού 182 - 5 περιπτώσεις με βρογχική διασπορά και επασβεστίωση στη συνέχεια 207 - Φυματίωση με πνευμονικό απόστημα 317 - Με πολύ εκτεταμένες φυματικές αλλοιώσεις 323 - Περιπτώσεις με υποτροπή 334 3. Παθήσεις με εμπλοκή του υπεζωκότα 355 Υγρές Πλευρίτιδες 359 - Μεσολόβιος συλλογή 430 - Εωσινόφιλο διήθημα 431 - Σύνδρομο Tresler 432 - Εγκυστωμένος πνευμοθώρακας 433 ΚΕΦΑΛΑΙΟ ΙΙΙ: ΕΝΔΙΑΦΕΡΟΥΣΕΣ ΑΠΕΙΚΟΝΙΣΕΙΣ ΤΗΣ ΧΡΟΝΙΑΣ ΠΝΕΥΜΟΝΙΚΗΣ ΦΥΜΑΤΙΩΣΗΣ 1. Ασυμπτωματικές περιπτώσεις φυματίωσης που διαπιστώθηκαν σε επαγγελματικό έλεγχο 436 2. Δυσδιάγνωστη φυματίωση 455 3. Διάγνωση πνευμονικής φυματίωσης με καθυστέρηση 477 4. Αυτοϊαση 502 5. Βαριές περιπτώσεις 508 6. Κατεστραμμένος πνεύμονας 532 7. Εμπυήματα 533 8. Ασβεστοποιός παχυπλευρίτις 538 9. Θωρακοπλαστική 542 10. Άτυπες εκδηλώσεις της φυματίωσης 544 11. Περίπτωση ασθενούς με εξ αποστάσεως αντιφυματική θεραπεία 571 12. Περίπωση επαφής 574 13. Ασπεργιλλώματα 577 14. Ο πνευμονικός καρκίνος ως επιπλοκή της φυματίωσης 582 Επίλογος 587
  • 6.
    ΠΡΟΛΟΓΟΣ Η εργασία αυτή,για να ολοκληρωθεί, χρειάστηκαν 25 χρόνια. Παρόμοιο εγχείρημα δεν πρόκειται να γίνει στο μέλλον, ούτε σε πανελλήνιο, ούτε σε παγκόσμιο επίπεδο. Είναι η πλέον αξιόπιστη καταγραφή πανελλαδικά, διότι η περιοχή βρίσκεται μακριά από τα μεγάλα αστικά κέντρα και ο πάσχων πληθυσμός είχε πολύ χαμηλό βιοτικό επίπεδο. Εάν θέλαμε να επαναλάβουμε την ίδια προσπάθεια, θα απαιτούνταν περίπου 50 χρόνια (δεδομένου ότι στην αρχή της έρευνας η νοσηρότητα κυμαίνονταν σε 1,5 ασθενή ανά 1.000 κατοίκους, ενώ σήμερα σε 0,1‰), προκειμένου να συγκεντρωθεί αντίστοιχο υλικό, πράγμα αδύνατον. Οι έρευνες που υλοποιούνται με αντικείμενο τη φυματίωση λαμβάνουν χώρα από ομάδες ιατρών του πολιτισμένου κόσμου αποκλειστικά πλέον σε περιοχές του τρίτου κόσμου και επικεντρώνονται ως επί το πλείστον σε 1 μόνο παράμετρο, με χρονικό ορίζοντα τα 2,5 χρόνια. Γίνεται λοιπόν κατανοητό ότι σε παγκόσμια κλίμακα η αποτύπωση των στοιχείων που συμπεριλήφθηκαν στο παρόν επιστημονικό σύγγραμμα είναι μοναδική στο είδος της, καθώς αποτελεί σύνθεση 12 παραμέτρων και αφορά χρονική περίοδο 25 χρόνων! Το κείμενο που ακολουθεί αποτελεί περίληψη του επιστημονικού έργου «Κυνηγώντας τη Φυματίωση» και συμπεριλαμβάνει στατιστικά στοιχεία μέχρι και το 1999. Στόχος του είναι η διάσωση - μέσω της μετάδοσης - της μακρόχρονης εμπειρίας στον τομέα της φυματίωσης στον ελλαδικό χώρο. Το έργο αυτό δεν θα έβλεπε το φως της δημοσιότητας χωρίς την αμέριστη συμπαράσταση του καθηγητή και δασκάλου μου Χρήστου Βάμβαλη. Από το 1989 έως το 1996 διέθεσε πάνω από 1.500 ώρες συνεργασίας, ώστε να αποτυπωθούν τμηματικά και να δημοσιοποιηθούν υπό μορφή εισηγήσεων σε πανελλήνια ιατρικά συνέδρια τα δεδομένα της έρευνας και στη συνέχεια να αποτελέσουν ένα συμπαγές ερευνητικό έργο, το οποίο συμπυκνώνει την επιστημονική διερεύνηση με την πολυετή εμπειρία στον τομέα της φυματίωσης. Η κριτική του σκέψη, η αξιόλογη πείρα του, η συγγραφική του δύναμη συνέβαλαν καθοριστικά στην επιτυχία της προσπάθειας. ΚΕΦΑΛΑΙΟ Ι ΙΣΤΟΡΙΚΟ – ΕΠΙΔΗΜΙΟΛΟΓΙΚΑ ΣΤΟΙΧΕΙΑ 1. Μελέτη της Φυματίωσης με στοιχεία από τα τελευταία 25 χρόνια (1976-2000) στον Νομό Ροδόπης Από τους: Χρήστο Βάμβαλη, ομότιμο καθηγητή Πνευμονολογίας του Αριστοτέλειου Πανεπιστημίου Θεσσαλονίκης και Ιωάννη Μουστάκα, Πνευμονολόγο – τ. Διευθυντή του Αντιφυματικού Ιατρείου του Γενικού Νοσοκομείου Κομοτηνής. Η μελέτη αυτή που παρουσιάζεται όσο το δυνατόν πιο περιληπτικά, μπορεί να χαρακτηρισθεί «έργο ζωής» των συγγραφέων. Έχει εκπονηθεί εξ ολοκλήρου στον Νομό Ροδόπης, που για διάφορες ιδιαιτερότητες αποτελεί - αποτελούσε θα λέμε σύντομα - το τελευταίο οχυρό της φυματίωσης στην Ευρώπη, με εξαιρέσεις τις χώρες του τέως Ανατολικού μπλοκ, που όταν πραγματοποιήθηκε το έργο, ήταν μάλλον άγνωστες. Η ιδιαιτερότητα του Νομού οφείλεται: 1) στο χαμηλό βιοτικό επίπεδο, καθώς ένα μεγάλο μέρος του πληθυσμού ήταν μικροκαλλιεργητές με παραδοσιακές καλλιέργειες και 2) στη σύνθεση του πληθυσμού από θρησκευτικής απόψεως. Υπάρχουν ισάριθμες περίπου κοινότητες Χριστιανών και Μουσουλμάνων1 , στους οποίους στην αρχή της μελέτης υπήρχε ένας υψηλός επιπολασμός της φυματίωσης. Στην όποια πληρότητα της μελέτης συντέλεσαν οι συγκυρίες: 1. Η ύπαρξη της φυματίωσης (του «υλικού») και η δυνατότητα σύγκρισης μεταξύ δύο διαφορετικών ομάδων πληθυσμού. 2. Η συνεχής παρουσία του ίδιου υπεύθυνου ιατρού (Ιωάννη Μουστάκα) για πολλά χρόνια στον 1 Ο πληθυσμός του Νομού ανέρχεται σε 103.000 (απογραφή 1991). Τα τελευταία χρόνια «πρέπει» να έχουν προστεθεί περίπου 5.000 πρόσφυγες από τις Ανατολικές χώρες, χαρακτηριζόμενοι παλιννοστούντες.
  • 7.
    ίδιο Νομό. 3. Τογεγονός ότι στον Νομό: α) δεν υπήρχε άλλος ειδικός γιατρός και β) ο Νομός είναι αρκετά μακριά από μεγαλύτερο ειδικό κέντρο. 4. Ο ένας από τους συγγραφείς (καθηγητής Χρήστος Βάμβαλης) είχε από άκρως ευαίσθητες θέσεις μια πολύ μακρά, στενή σχέση με τη φυματίωση (από το 1960). Δηλαδή συνοπτικά, στη μελέτη σύγκλιναν: α) η ύπαρξη περιπτώσεων φυματίωσης, β) η υψηλή πείρα σχετικά με τη νόσο και γ) οι από κοινωνικοοικονομικής πλευράς ιδιαιτερότητες του Νομού. Η έρευνα άρχισε πρακτικά το 1976, τα πρώτα όμως συγκεντρωτικά αποτελέσματα προέκυψαν το 1978. Ως προς ορισμένες παραμέτρους (π.χ. νοσηρότητα) η παρακολούθηση συνεχίζεται. Άλλες παράμετροι (π.χ. διαμόλυνση, νοσολογικά στοιχεία) έχουν παύσει να λαμβάνονται υπόψιν, λόγω ελλείψεως πια επαρκών λόγων: μελετώνται κατά περίπτωση. Τα ευρήματα από τις έρευνες αυτές στην πλειοψηφία τους έχουν ανακοινωθεί σε εκτεταμένη μορφή σε συνέδρια2 . Το 1996 παρουσιάστηκαν σε ευρείες περιλήψεις σε αυτοτελές τεύχος3 ***, με κάποια εισαγωγικά (από τον Χρήστο Βάμβαλη) στοιχεία από την ιστορία της φυματίωσης και, κυριότερα, την τόσο ενδιαφέρουσα και μη διευκρινισμένη ακόμη απολύτως σχέση του μυκοβακτηριδίου με τον ξενιστή (στην προκειμένη περίπτωση τον άνθρωπο και όχι τα πειραματόζωα). 2. Ευρήματα - παρατηρήσεις από την έρευνα Η Νοσηρότητα: πέφτει σημαντικά. Από 150 νέες περιπτώσεις το 1978 σε 43 το 1992 και σε 30 το 1999. Η νοσηρότητα μετακινείται προς τις μεγαλύτερες ηλικίες, για παθογενετικούς λόγους: δηλαδή οι νέες νοσήσεις προέρχονται από αναζωπυρώσεις παλαιών μεταπρωτοπαθών εστιών, από την αιματική διασπορά του μυκοβακτηριδίου κατά την πρωτομόλυνση και όχι από νέες μολύνσεις. Η νοσηρότητα της νόσου στην αρχή της έρευνας ήταν 1,5 ασθενής ανά 1.000 κατοίκους. Το 1999 το ποσοστό αυτό άγγιζε το 0,2 αρρώστους ανά 1.000 κατοίκους. Το 2010 το ποσοστό ανέρχεται σε 0,1 ‰. Η κοινωνική διάσταση φαίνεται από την κατανομή της νοσηρότητας στις διάφορες ομάδες του πληθυσμού. Από τους 1.368 ασθενείς (έτη 1978-1999) οι 435 ήταν Χριστιανοί και οι 933 Μουσουλμάνοι, σχέση 1:2,14. Ως προς τους άρρενες η σχέση είναι 1 Χριστιανός: 1,84 Μουσουλμάνοι. Ως προς τις θήλεις 1 Χριστιανή: 2,70 Μουσουλμάνες. Η επί τοις εκατό αναλογία κατά φύλο διαμορφώνεται σε 69% άρρενες έναντι 31% θηλέων προκειμένου για τους Χριστιανούς και 59% έναντι 41% για τους Μουσουλμάνους. Η νοσηρότητα διαχρονικά πέφτει για όλες τις ομάδες με πλέον θεαματική την πτώση στις Μουσουλμάνες (από 43 περιπτώσεις το 1978 παρουσιάσθηκαν μόνο 7 το 1990). Σημείωση: Πρόσφατη εκτίμηση για το 1998: με βάση 1 για τους Χριστιανούς παρατηρείται χονδρικά 3 για τους Μουσουλμάνους και 10 για τους παλιννοστούντες. Για την εξήγηση του «φαινομένου» ελέγχθηκαν διάφορες παράμετροι: 1. Κατά κεφαλήν εισόδημα. Χωρίς να υπάρχει μεγάλη διαφορά, εντούτοις οι Μουσουλμάνοι κάνουν πιο βαριές δουλειές για να αποκτήσουν το εισόδημα. 2. Συνθήκες κατοικίας. Οι Μουσουλμάνοι ζουν σε στενότερους χώρους, με στενό συγχρωτισμό. 3. Διατροφή. Για λόγους θρησκευτικούς: α) ακολουθούν μακρές νηστείες και β) στερούνται του χοιρινού κρέατος, φθηνής πηγής πρωτεϊνών και θερμίδων. 4. Εργασία της γυναίκας. Στην αρχή της έρευνας οι Μουσουλμάνες απασχολούνταν με ιδιαίτερα βαριές εργασίες. 5. Παιδεία. Διαφαίνεται σαφώς ότι μορφωτικό επίπεδο και φυματίωση είναι ποσά αντιστρόφως ανάλογα (η σχέση αυτή έχει επιβεβαιωθεί από διάφορες παραμέτρους της έρευνας). 6. Η μεγάλη καθυστέρηση στη διάγνωση της νόσου στον άρρωστο. (Αυτή κυμαίνεται κατ’ ελάχιστον από 6 μήνες και άνω για τον Νομό Ροδόπης – γεωγραφική περιοχή έρευνας). Η θεαματική πτώση της νοσηρότητας προκειμένου για τις Μουσουλμάνες θα αποδοθεί στην είσοδο της τεχνολογίας και του πολιτισμού, που διαχέεται και στις «χαμηλότερες» κοινωνικές τάξεις. Ο Φυματινικός δείκτης (δείκτης διαμόλυνσης, Φ.Δ.). Ως Φ.Δ. έχει επικρατήσει διεθνώς να θεωρείται το ποσοστό επί τοις εκατό των αντιδρώντων θετικά στη φυματίνη (test Mantoux) ατόμων, ηλικίας 11-12 ετών. Η εξέταση αυτή ήταν μάλλον υποχρεωτική στην Ελλάδα, προκειμένου να 2 Η ανωτέρω μελέτη ανακοινώθηκε στο 20ο συνέδριο της Κύπρου που έγινε στις 22- 24/10/1999 στη Λεμεσό. 3 Μουστάκας, Ι. & Βάμβαλης, Χ. (1996), Κυνηγώντας τη φυματίωση.
  • 8.
    πραγματοποιηθεί υποχρεωτικά οαντιφυματικός εμβολιασμός στη συγκεκριμένη ηλικία. Από τη μεταφορά του εμβολιασμού στην ηλικία των 6-7 ετών η παράμετρος αυτή θα όφειλε να έχει ξεχασθεί. Η Φυματινοοντίδραση, πέρα από τη γραφειοκρατική εφαρμογή στην ηλικία 11-12 ετών, μελετήθηκε και στις ομάδες των μαθητών Γυμνασίου και Λυκείου. Τα ευρήματα, αρκετά ενδιαφέροντα, έχουν σχολιασθεί σε επί μέρους μελέτη. Στην εργασία αυτή, θα αναφερθούν μόνον τα «κλασσικά» ευρήματα από τον Φ.Δ., που ήταν ιδιαίτερα αποκαλυπτικά: α. Η διαμόλυνση στους μαθητές της πρωτοβάθμιας εκπαίδευσης στα πλαίσια της διενέργειας επιδημιολογικού ελέγχου βρέθηκε θετική στο 20% ως συνέπεια επαφών (ενδοοικογενειακή μόλυνση). β. Η διαμόλυνση στο περιβάλλον των ασθενών (ενώ αυτή αγγίζει το 100%) δεν έχει εκτιμηθεί επακριβώς με προγραμματισμένη μελέτη, εκτιμάται όμως από το ποσοστό νοσήσεων ως συνέπεια επαφών, που στην προσχολική ηλικία ανέρχεται σε 76%, στη πρωτοβάθμια εκπαίδευση σε 43% και στη δευτεροβάθμια σε 28%, ενώ μεταξύ συζύγων σε μόλις 2%. Επομένως η εφαρμογή του εμβολίου B.C.G. στα άτομα του οικογενειακού περιβάλλοντος (ομάδα υψηλού κινδύνου) είναι άσκοπη, έως επικίνδυνη. γ. Η διαπίστωση των προσφάτως θετικοποιηθέντων ατόμων στη Mantoux ανευρίσκεται ύστερα από αλλεπάλληλους ελέγχους με Mantoux των ιδίων ατόμων σε αμελητέο ποσοστό, που δεν ξεπερνά το 1‰. Μεθοδολογία. Οι μαθητές της πρωτοβάθμιας εκπαίδευσης (ηλικία 11-12 ετών) χωρίσθηκαν σε 4 ομάδες, ανάλογα με το θρήσκευμα και τον τόπο διαμονής. Δηλαδή Χριστιανοί, πόλης και χωριών και Μουσουλμάνοι, πόλης και χωριών. Εκείνο που εντυπωσιάζει με την πρώτη ματιά είναι ο υψηλός Φ.Δ. προκειμένου για τους Μουσουλμάνους, στην αρχή της μελέτης (1978-1979-1980). Ο Φ.Δ. έβαινε συνεχώς μειούμενος και κατά το 1989 είχε φθάσει σε ικανοποιητικό, διεθνώς, επίπεδο, για όλες τις ομάδες. Κάποιες εξάρσεις αποδίδονται σε «μικροεπιδημίες», που προκλήθηκαν από κάποια πηγή, η οποία - για κάποιους λόγους - δεν ελέγχθηκε. Συμπεράσματα: Η πορεία του Φ.Δ. επιτρέπει μια αισιόδοξη προοπτική για το μέλλον της φυματίωσης στον Νομό Ροδόπης. Η πορεία αυτή θα πρέπει να αποδοθεί αφενός στη βελτίωση των συνθηκών διαβίωσης και αφετέρου στην αντιμετώπιση των νοσούντων, άρα στην εξουδετέρωση των πηγών μολύνσεων. Μετά το 1989 δεν συνεχίσθηκε η συστηματική μελέτη καθώς δεν αναμένεται κάτι το θεαματικό πια. Οι καμπύλες ακολουθούν τον δρόμο τους! Στις παρατιθέμενες εικόνες παρουσιάζονται διαχρονικά οι καμπύλες. Ο Αντιφυματικός εμβολιασμός (B.C.G., από το Bacillus Calmette-Guerin): Ο αντιφυματικός εμβολιασμός με το B.C.G. εμφανίστηκε ως ένα από τα μεγαλύτερα επιτεύγματα του αιώνα μας. Το 1921 και μπροστά στο δέος, που προκαλούσε τότε η φυματίωση (επάρατος νόσος εκείνης της εποχής) εφαρμόστηκε σχεδόν με θρησκευτική ευλάβεια. Θα ήταν, ίσως, το μοναδικό μέσο για την αντιμετώπιση της φυματίωσης (ενεργητική ανοσοποίηση). Ωστόσο, από το 1980, τόσο ο Styblo (Διευθυντής του Διεθνούς Κέντρου Ελέγχου της Φυματίωσης, Πρόεδρος των επιστημονικών επιτροπών της Διεθνούς Ένωσης κατά της Φυματίωσης), καθώς και άλλα επίσημα βήματα (π.χ. το περιοδικό Lancet, 1980) άρχισαν να υπαινίσσονται σαφώς τη μη χρησιμότητα του B.C.G. για τις ανεπτυγμένες χώρες. Το 1995 στο περιοδικό Lancet αναφέρεται: όσο υψηλότερη είναι η επίπτωση της φυματίωσης σε έναν πληθυσμό, τόσο μικρότερη είναι η προστασία που παρέχεται από το εμβόλιο. Όπως χαρακτηριστικά λέγεται, το αντιφυματικό εμβόλιο είναι περισσότερο αποτελεσματικό σε πληθυσμούς, οι οποίοι δεν χρειάζονται την προστασία του4 . Αντίστοιχα ο αντιφυματικός εμβολιασμός: α. θα ήταν απόλυτα δικαιολογημένος εάν υπήρχε στην Ελλάδα μεγάλη επίπτωση φυματίωσης ή η φυματίωση ήταν ανίατη νόσος (όπως η λύσσα). β. θα είχε κάποια χρηστικότητα εάν εφαρμοζόταν με τη γέννηση, δεδομένου ότι όσο πιο μικρή είναι η ηλικία, τόσο πιο ευπρόσβλητο είναι το άτομο και οι νοσήσεις ιδιαίτερα βαριές. γ. θα είχε ενδιαφέρον, εάν ο εμβολιασμός παρείχε πλήρη προστασία ή προκαλούσε μόνιμη ανοσία (προφύλαξη). Στην πραγματικότητα όμως δεν επαληθεύεται καμία από τις δύο υποθέσεις. Αντίθετα, η φυσική νόσηση με το ζωντανό μυκοβακτηρίδιο όχι μόνο δεν προκαλεί ανοσία, αλλά προκαλεί και ευπάθεια (υποτροπές της νόσου σε ποσοστό 3,2%). Αναφορικά με τη μελέτη μας σημειώνεται ότι αφορά 29.410 παιδιά και διήρκησε 16 έτη. Τα παιδιά 4 Fine P. Variation in protection by BCG: Implications of and for heterologus immunity. Lancet 1995;346:1339- 1345.
  • 9.
    χωρίσθηκαν σε 2ομάδες: Α. (Νο 17.009) που υποβλήθηκαν σε B.C.G. και Β. (Νο 12.401) που για διάφορους λόγους και όχι προσχεδιασμένα, δεν εμβολιάσθηκαν. Η ομάδα Α χωρίσθηκε σε δύο υποομάδες: σ’ αυτά που δεν εμβολιάσθηκαν: 1) στην ηλικία 11-12 ετών (παλιά «τεχνική») και 2) στην ηλικία 6-7 ετών (νέα «μεθόδευση»). Ευρήματα: Δεν παρατηρήθηκαν διαφορές ως προς τη νοσηρότητα στις διάφορες ομάδες, ώστε να δικαιολογείται η εξακολούθηση του B.C.G.. Από τη λεπτομερή ανάλυση των ευρημάτων προκύπτει ότι από τη μετάθεση του εμβολιασμού στην ηλικία των 6-7 ετών θα προλαμβάνονταν η νόσηση σε 5 μόνο παιδιά επί του συνόλου του δείγματος. Σχετικά με τις φυματιώδεις μηνιγγίτιδες και τις οξείες κεχροειδείς, για τις οποίες προτείνεται κύρια το αντιφυματικό εμβόλιο, διαπιστώθηκαν κατά την περίοδο της έρευνας μόνο 2 περιπτώσεις στην υπό εμβολιασμό ηλικία, άρα μόνο αυτές θα μπορούσαν να προστατευθούν, εάν το εμβόλιο ήταν όντως αποτελεσματικό επί συνόλου 38.790 παιδιών της εμβολιαστικής ηλικίας των 6-7 ετών, που με αντιφυματική αγωγή θεραπεύτηκαν. Όσον αφορά δε την πρόληψη της φυματιώδους μηνιγγίτιδας και της οξείας κεχροειδούς, αυτές εντοπίζονται παθητικά και αφορούν παιδιά προσχολικής ηλικίας με μεγάλη χρονική παραμονή σε ισχυρή πηγή μόλυνσης (μακρά παραμονή του αδιάγνωστου φυματικού αρρώστου στο περιβάλλον του). Άλλωστε, και οι προσδοκίες του προγράμματος με τον εντατικό εμβολιασμό του B.C.G. για την καταπολέμηση της φυματίωσης από το Υπουργείο Υγείας, Πρόνοιας και Κοινωνικών Ασφαλίσεων, με εγκύκλιό του (Α1/8013/16-8-1988) προέβλεπε την εξάλειψη της φυματίωσης στην Ελλάδα το αργότερο μέχρι το 1992, εκτίμηση που όμως στην πράξη αποδείχθηκε ατελέσφορη. Συνεπώς, το εμβόλιο B.C.G. αποδείχθηκε ύστερα από εφαρμογή 80 χρόνων παγκοσμίως ότι είναι αναποτελεσματικό και εγκαταλείφθηκε από τον πολιτισμένο κόσμο εδώ και δεκαετίες. Ωστόσο, στην Ελλάδα εξακολουθεί να εφαρμόζεται ακόμη και σήμερα, όχι μόνο στην ηλικία των 6-7 ετών, που ισχύει από το 1991, αλλά από το 1994 προεκτάθηκε η εφαρμογή του και στην ηλικία των στρατεύσιμων μέχρι και 25 ετών! Σε οδηγία του Πανεπιστημίου του Χάρβαρντ το 2006 σχετικά με τα εμβόλια που είναι απαραίτητα για τη δημόσια υγεία, το B.C.G. δεν αναφέρεται καν! Ακόμα δύο περιπτώσεις, όπου αντενδεικνύεται η εφαρμογή του B.C.G., ενώ εφαρμόζεται, είναι: α) οι στενές επαφές της προσχολικής ηλικίας, όπου η διαμόλυνσή τους αγγίζει το 100 %, αφού οι νοσήσεις ανέρχονται στο 78% & β) στον στρατό, όπου η διαμόλυνση ανέρχεται σε 6-7%. Με το εμβόλιο B.C.G., εάν γίνει σωστά, θετικοποιούμε σχεδόν το 100% των εμβολιαζόμενων και εάν κάποιος γίνει φορέας του AIDS κινδυνεύει από την εμφάνιση γενικευμένης φυματίωσης (από B.C.G.) – Thorax (1994), 49: 1193-2000 & Μουστάκας, Ι. - Βάμβαλης, Χ. (1996), Κυνηγώντας τη φυματίωση, σ. 94. Η απώλεια της εμπιστοσύνης για το εμβόλιο είναι διάχυτη και αυτό οδήγησε τη διεθνή κοινότητα στην αναζήτησης ενός νέου, πλέον ασφαλούς και αποτελεσματικού εμβολίου, το οποίο να μπορεί να καλύψει τις σημερινές απαιτήσεις. Οι ιδιότητες του νέου εμβολίου, όπως αυτές έχουν περιγραφεί από το Κέντρο Ελέγχου Νοσημάτων (CDC) των Η.Π.Α. πρέπει να είναι οι εξής: 1. Να μπορεί το εμβόλιο να χορηγείται χωρίς κίνδυνο σε άτομα με βλάβη της κυτταρικής ανοσίας (AIDS). 2. Να μην τροποποιεί τη φυματινοαντίδραση. 3. Να προστατεύει τα άτομα τα οποία θα μολυνθούν μετά τον εμβολιασμό και να αποτρέπει την εμφάνιση της νόσου, σε ποσοστό > 90%. 4. Να μπορεί να χορηγείται σε άτομα τα οποία έχουν μολυνθεί και να αποτρέπει την εμφάνιση της νόσου5 . Νοσηλεία του φυματικού: στο νοσοκομείο ή στο σπίτι; Σήμερα η νοσηλεία του φυματικού στο σπίτι αναμφίλεκτα έχει καθιερωθεί. Το 1978, όπου αρχίζει η μελέτη, ένα μεγάλο ποσοστό φυματικών νοσηλευόταν στα νοσοκομεία. Βαθμιαία όμως η νοσηλεία σε νοσοκομεία περιορίσθηκε. Έτσι από 93: 57, υπέρ των νοσηλευθέντων στο σπίτι, έφτασε η αναλογία στο 53: 13. Η περαιτέρω παρακολούθηση κρίνεται περιττή. Ωστόσο, θα πρέπει να τονισθεί ότι η εξέλιξη της νόσου ήταν το ίδιο καλή, όπου κι αν νοσηλεύθηκαν οι ασθενείς. Ιδιαίτερη μέριμνα θα πρέπει να δοθεί στην επιδημιολογική έρευνα, που θα κατατείνει στην ανακάλυψη είτε της πηγής, από την οποία μολύνθηκε ο ασθενής όταν πρόκειται για παιδί, είτε της διαμόλυνσης που προκάλεσε ο άρρωστος στο περιβάλλον. Μεγάλη 5 O’ Brien R. (Advisory Council for the Elimination of Tuberculosis). Development of new vaccines for Tuberculosis. MMWR 1998Q47(RR-13).
  • 10.
    προσοχή χρειάζεται στηναναζήτηση των πρωτομολύνσεων στα παιδιά, γιατί είναι πια σήμερα γνωστό ότι οι ενήλικες δεν διατρέχουν κίνδυνο εξωγενών λοιμώξεων. Ως συμπέρασμα: δεν πρέπει να τρομάζουμε στις μέρες μας από την ανακάλυψη μιας ενεργούς φυματίωσης, που θα πανικοβάλλει άρρωστο και περιβάλλον. Μπορεί θαυμάσια ο ασθενής να νοσηλευτεί στο σπίτι (χωρίς τη δοκιμασία της προσαρμογής στο νοσοκομειακό περιβάλλον). Από το 1991 και μετά οι ασθενείς παραπέμπονταν στο νοσοκομείο μόνο για κοινωνικούς λόγους. Οι συγγραφείς, λαμβάνοντας υπόψη διάφορες παραμέτρους (π.χ. κόστος, κοινωνικές επιπτώσεις, κ.λ.π.), αποφαίνονται από μακρό χρόνο, υπέρ της νοσηλείας στο σπίτι. Στην Ελλάδα όχι μόνο προτείνεται η νοσοκομειακή νοσηλεία, αλλά και σε ειδικούς θαλάμους, σαν να πρόκειται για τη γρίπη από τον ιό Sirs ή τη γρίπη των πτηνών! Κατά την 25ετία (1976-2000) αντιμετωπίστηκαν θεραπευτικά πάνω από 2.000 ασθενείς με πνευμονική φυματίωση από το αντιφυματικό ιατρείο Κομοτηνής, εκ των οποίων οι περισσότεροι από 1.200 εξολοκλήρου στο σπίτι και μεταξύ αυτών 100 παιδιά ηλικίας από 6 μηνών μέχρι 12 ετών με απόλυτη επιτυχία λόγω ανάγκης, καθώς η νοσηλεία παιδιών με φυματίωση ήταν εφικτή μόνο στο νοσοκομείο ειδικών παθήσεων της Θεσσαλονίκης (πρώην Λοιμωδών) με πολύ μεγάλες δυσκολίες. Οι περιπτώσεις που νοσηλεύτηκαν στο νοσοκομείο υποχρεωτικά ήταν οι με οξεία κεχροειδή, φυματιώδη μηνιγγίτιδα και φυματιώδη καχεξία. 2006: Οδηγίες για την Αντιμετώπιση της Φυματίωσης (Κέντρο Ελέγχου και Πρόληψης Νοσημάτων – ΚΕΕΛΠΝΟ): Θέστε σε απομόνωση τους ασθενείς με μη βεβαιωμένη ή βεβαιωμένη πνευμονική ή λαρυγγική φυματίωση, χρησιμοποιώντας προφυλάξεις αερογενούς μετάδοσης, μέχρις ότου καταστούν μη μολυσματικοί… Συνοπτικά, για την αναπνευστική απομόνωση συνιστώνται δωμάτια αρνητικής πίεσης. Επί ελλείψεως τέτοιων συνιστώνται μονόκλινα ή δίκλινα δωμάτια: (α) με συχνή ανανέωση αέρα (12 αλλαγές ανά ώρα), (β) εξαερισμό προς το περιβάλλον ή ενισχυμένο με φίλτρα σωματιδίων αέρα υψηλής αποδοτικότητας (ΗΕΡΑ) και (γ) με λαμπτήρες υπεριώδους ακτινοβολίας στο ανώτερο τμήμα αυτών. Όλες οι πολιτισμένες χώρες έχουν γνώση του προβλήματος της φυματίωσης και ανάλογο προγραμματισμό για την καταπολέμησή της, με καταγραφή ανά 5ετία των Mantoux θετικών στον γενικό πληθυσμό και την παρακολούθησή τους δια βίου με μια ακτινογραφία θώρακα ανά έτος. 1982: Εισήγηση στην κοινή συνεδρίαση της Ελληνικής Πνευμονολογικής Εταιρείας και της Ιατρικής Εταιρείας Ροδόπης με θέμα: «Η σύγχρονη θεραπεία της φυματίωσης στο νοσοκομείο ή στο σπίτι». Απόσπασμα από τη σχετική εισήγηση: «Από πολύ παλιά, αμέσως μετά την ανακάλυψη ενός φυματικού, το πρώτο μέλημα ιατρού και περιβάλλοντος ήταν ο εγκλεισμός του σε Σανατόριο, χωρίς να ξέρει κανείς αν αυτό γινόταν για την καλύτερη θεραπεία του, ή για την απαλλαγή του περιβάλλοντος από τον επικίνδυνο άρρωστο, λόγω των ελλιπών γνώσεων γύρω από τη φυματίωση. Τα Σανατόρια αποτελούσαν απομονωτήρια με μακρά παραμονή σε αυτά. Η εξωνοσοκομειακή νοσηλεία των φυματικών υπήρξε ανάγκη για τις φτωχές χώρες, π.χ. Madras των Ινδιών το 1966, που δεν διέθεταν νοσηλευτικά κρεβάτια και από εκεί προέρχονται οι πρώτες παρατηρήσεις, που οδήγησαν στη σημερινή κατάσταση. Η Παγκόσμια Οργάνωση Υγείας (επιτροπή επί της φυματιώσεως) εδώ και αρκετό καιρό έχει επισημάνει τη σημασία αυτής και συνιστά την οργάνωση του αντιφυματικού αγώνα σε εξωνοσοκομειακή βάση. Έχει παρατηρηθεί ότι η διαμόλυνση στο περιβάλλον του φυματικού είναι η ίδια, είτε νοσηλεύεται στο σπίτι, είτε σε νοσοκομείο, διότι αυτή γίνεται προ της ανακαλύψεως του αρρώστου. Εξάλλου, με την έναρξη της αντιφυματικής θεραπείας, 2-3 εβδομάδες αργότερα δεν μεταδίδει τη νόσο (εργασία των Arthur & Danenberg, Μάρτιος 1982). Η εξωνοσοκομειακή θεραπεία έχει: 1) Χαμηλό κόστος για την Πολιτεία 2) Πιο άνετη νοσηλεία του αρρώστου στο σπίτι 3) Ο ασθενής μπορεί να έχει ένα μίνιμουμ δραστηριότητας έξω από το Νοσοκομείο από τον πρώτο καιρό Η νοσοκομειακή νοσηλεία κρίνεται αποτελεσματική: 1. για τις βαριές περιπτώσεις
  • 11.
    2. για αρρώστουςμε κοινωνικά προβλήματα 3. για ασθενείς με διανοητικό επίπεδο, που δεν μας εγγυάται ότι θα ακολουθήσουν σωστά τις οδηγίες 4. για απείθαρχους αρρώστους 5. για δυσδιάγνωστες περιπτώσεις υπό παρατήρηση 6. για περιπτώσεις με φαρμακοαντοχή. Οι μολύνσεις στο περιβάλλον των ασθενών: περισσότερο μόλυναν οι νοσηλευθέντες σε νοσοκομείο (21% έναντι 10%). Το ίδιο ισχύει και για τις νοσήσεις (26,8% έναντι 14,2%). Αυτό θα αποδοθεί στο ότι οι νοσηλευθέντες σε νοσοκομείο είχαν βαρύτερες, πιο εκτεταμένες πνευμονικές βλάβες. Επιβεβαιώνεται έτσι ότι με την έναρξη της ειδικής αγωγής στο σπίτι εξουδετερώνεται η μολυσματική «δυνατότητα» του ασθενούς. Η μετάδοση της νόσου μεταξύ συζύγων παρατηρήθηκε σε ποσοστό 2%! 1. Η πηγή μόλυνσης στο περιβάλλον του αρρώστου διαπιστώθηκε σε ποσοστό 1,5% στη διαπίστωση ενός μικρού παιδιού, που νοσεί από φυματίωση. 2. Το ποσοστό των νοσήσεων ως συνέπεια επαφών φτάνει στο 18% και η ανακάλυψη της νόσου γίνεται ενεργητικά, ενώ στο 82% των νοσήσεων η ανακάλυψη γίνεται παθητικά παγκοσμίως. 3. Η πρωτοπαθής εστία βρέθηκε ενεργή σε ποσοστό 1%, το δε πρωτοπαθές σύμπλεγμα σπανιότατα σε ποσοστό 2‰. Οι Παθολογικές εκδηλώσεις από τη διαμόλυνση του περιβάλλοντος παρατηρούνται συχνά συγχρόνως με την ανακάλυψη της πηγής, δηλ. του αρρώστου, (45 από 150 περιπτώσεις), βαθμιαία δε ελαττώνονται (38 περιπτώσεις το 1ο εξάμηνο, 16 το 2ο εξάμηνο, κ.λ.π.). Μεταγενέστερες εκδηλώσεις (15 περιπτώσεις) αφορούν την κλασσική χρόνια πνευμονική φυματίωση. Ως προς το είδος των παθολογικών εκδηλώσεων: στις μικρές ηλικίες αφορούν πυλαία αδενίτιδα, στην εφηβική πλευρίτιδα και στις μεγαλύτερες ηλικίες χρόνια φυματίωση. Οι συγγραφείς συζητούν τους όποιους μηχανισμούς των εκδηλώσεων. Παράλληλα με την εκτίμηση αυτή οι συγγραφείς προχώρησαν στη μελέτη σχετικά με την: Εξέλιξη της φυματικής νόσου: Η μελέτη καταρχήν βασίζεται σε 32.055 φυματινοαντιδράσεις σε άτομα ηλικίας 11-18 ετών. Από τους 32.055 εξετασθέντες βρέθηκαν Mantoux θετικοί οι 1.644. Το 95% από αυτούς θεωρήθηκε ως αυτοϊαθέντες (20% με επασβεστίωση του πρωτοπαθούς συμπλέγματος και 75% χωρίς «ίχνος» από την πρωτομόλυνση). Από τις επασβεστιωμένες αλλοιώσεις της πρωτομόλυνσης δεν εξελίσσεται η φυματίωση. Η επασβεστίωση επιβεβαιώνεται ακτινογραφικά από 2-3 χρόνια μετά την πρωτομόλυνση.Το 5% παρουσίασε νοσηρές εκδηλώσεις, που στο μεγαλύτερο ποσοστό (29 από 41 περιπτώσεις) διαπιστώθηκαν συγχρόνως ή εντός 6 μηνών από την ανεύρεση της θετικής Mantoux. Σε θεραπεία υποβλήθηκαν μόνον όσοι είχαν ενδείξεις για πιθανώς ενεργό νόσο όχι οι απλώς Mantoux θετικοί, οι οποίοι παρακολουθήθηκαν για μακρό χρόνο. Όλοι οι μολυθέντες έγιναν καλά με ή χωρίς θεραπεία. Κάποιες επισημάνσεις: 1. Αφού όλοι οι μολυθέντες έγιναν καλά, αυτομάτως (στο 95%) ή με θεραπεία, προς τι η φοβία που διασπείρεται για μια φυματική πρωτομόλυνση; 2. Για πλήρη «κάλυψη» ενός μολυνθέντος δεν αρκεί μια πρώτη «αρνητική» ακτινογραφία θώρακος. Η παρακολούθηση πρέπει να είναι μακροχρόνια ή και δια βίου, δηλαδή οι Mantoux θετικοί να υποβάλλονται συστηματικά ή ευκαιριακά σε ακτινολογικό έλεγχο. 3. Μία «αρνητική» ακτινογραφία δεν αποκλείει μια πρωτομόλυνση. Η Mantoux είναι απαραίτητη, ειδικά στα παιδιά. 4. Δεν είναι σκόπιμη η γενικευμένη προφυλακτική θεραπεία ή χημειοπροφύλαξη, εφόσον όλοι οι μολυθέντες έγιναν καλά. Ωστόσο, η χημειοπροφύλαξη πρέπει να εφαρμόζεται σε επαφές μέχρι και ηλικίας 4 ετών με Mantoux θετική υπό μορφή τριπλής αντιφυματικής αγωγής για 6 μήνες, πέραν δε της ηλικίας των 5 ετών, τα παιδιά να είναι υπό παρακολούθηση με ακτινογραφία θώρακος ανά τακτά χρονικά διαστήματα, ώστε να διαπιστωθεί έγκαιρα οποιαδήποτε δυσάρεστη εξέλιξη. Θα τονισθούν: α) Το κόστος (ασήμαντο μάλλον για σύγχρονες οικονομίες), β) Οι παρενέργειες, γ) Οι ψυχοκοινωνικές επιπτώσεις, ειδικά προκειμένου για παιδιά κλινικά υγιέστατα. Η παρακολούθηση των μολυνθέντων, για ένα σύγχρονο κράτος, είναι απόλυτα εφικτή. Η χημειοπροφύλαξη ως πρόφαση για την πρόληψη της φυματιώδους μηνιγγίτιδας δεν ευσταθεί, καθόσον η φυματιώδης μηνιγγίτιδα οδηγεί στην αναζήτηση της Πηγής (σημείωση: Η Φ.Μ. εκδηλώνεται πολύ κοντά χρονικά, στην πρωτομόλυνση). Οι συγγραφείς αναφέρονται σε: Αποτυχίες, υποτροπές, θανάτους και άτυπες εξελίξεις. Από
  • 12.
    προβληματισμούς και μετάαπό συζήτηση επισημαίνουν τις ιδιαιτερότητες της φυματικής νόσου και τη σημασία του ξενιστή. Άτυπες εκδηλώσεις της φυματίωσης: όταν η τριπλή αντί-ΤΒ αγωγή κατά τα αρχικά στάδια δεν τιθασεύει τη Φυματική λοίμωξη, κατά ποιον μηχανισμό η χορήγηση μόνο της ΙΝΗ έχει αποτελεσματικότητα στην προφύλαξη, δεδομένου ότι χορηγούμενη μόνη της μόνο ανθεκτικότητα δημιουργεί; Οι υποτροπές της νόσου «προτιμούν» τις μικρότερες ηλικίες, ενώ η αποτυχία της θεραπείας τις μεγαλύτερες. Αυτές, στη συγκεκριμένη έρευνα ανέρχονται σε 3,2%. Η πιθανότητα επιτυχούς θεραπείας είναι μεγαλύτερη στην αρχική παρά στην αναθεραπεία. Ο σακχαρώδης διαβήτης, η μη- συμμόρφωση του ασθενούς και η λίαν εκτεταμένη νόσος αποτελούν μερικά από τα αίτια αποτυχίας της θεραπείας. Οι θάνατοι, που κύρια οφείλονται στη φυματιώδη καχεξία και στη φυματιώδη μηνιγγίτιδα, ανέρχονται στο 1,33%. Από την έρευνα προέκυψε ότι από τις φυματιώδεις καχεξίες επιβίωσε το 28,3%. Ερευνητικά (προοπτικά) μελετήθηκε η Φυματική Διαμόλυνση σε όλες τις ηλικίες το 1992 με «δείγμα» 12.520 φυματινοαντιδράσεις. Διαπιστώθηκε θετική Mantoux στο 16,5% και μείωση των Mantoux θετικών στις μεγάλες ηλικίες. Το φαινόμενο αποδόθηκε σε ανοσιακούς λόγους (τονίσθηκε η πρακτική σημασία του φαινόμενου). Από την ανάλυση των ευρημάτων καθορίζεται η εκρίζωση της φυματίωσης από τον νομό Ροδόπης για το έτος 2060! Η φυματίωση τίθεται υπό έλεγχο σε μία χώρα, βάσει του Ε.Δ.Μ. (Ετήσιος Δείκτης Μόλυνσης), όταν αυτός είναι μικρότερος του 1% στον γενικό πληθυσμό και η ετήσια επίπτωση της νόσου με θετικά πτύελα κάτω του 1/1.000.000 κατοίκων, ενώ θεωρείται εκριζωμένη, όταν οι δείκτες αυτοί κυμαίνονται μέχρι 0,1% και 1/10.000.000 αντίστοιχα. Παράλληλα με τη διενέργεια των Mantoux, πραγματοποιήθηκε μικροακτινογραφική έρευνα για πνευμονική φυματίωση σε 11.186 άτομα από το συνολικό δείγμα (την περίοδο 7/11/1991 έως 3/4/1992) με την επιλεκτική διερεύνηση οικισμών προσβεβλημένων από τη φυματίωση, που αντιπροσώπευαν το 45% του προβλήματος της φυματίωσης στον Νομό Ροδόπης, ο οποίος χαρακτηρίστηκε ως ο πιο προσβεβλημένος από τη νόσο σε πανελλαδικό επίπεδο. Με τη διενέργεια Mantoux στο 1/10 του πληθυσμού διαπιστώθηκαν 14 νέες αγνοούμενες περιπτώσεις ενεργούς φυματίωσης (ενεργητική ανακάλυψη της νόσου), δηλαδή στο 1/3 των περιπτώσεων που δηλώθηκαν το 1992 (44 περιστατικά). Οι Μεταφυματιώδεις αλλοιώσεις απασχολούν τους συγγραφείς σε διάφορα επίπεδα, με έμφαση στα καρκινώματα σε ουλή (scar carcinoma), που ανέρχονται σε ποσοστό 1 % και εμφανίζονται σε άτομα μεγάλης ηλικίας με εκτεταμένες υπολειμματικές βλάβες και συνήθως καπνιστές. Αυτά συμβαίνουν σε λίγα χρόνια από το τέλος επιτυχούς αντιφυματικής θεραπείας (1,5 έως 5 έτη). Παράλληλα έρευνα με μικροακτινογράφιση έδειξε την εμφάνιση καρκίνου σε καπνιστές στο 1 % του ανδρικού πληθυσμού. Η πνευμονική εντόπιση της φυματίωσης ανέρχεται σε ποσοστό 75% και η εξωπνευμονική σε 25% και από την πνευμονική μορφή ανοικτή (με σπήλαιο) βρέθηκε στο 32%, ενώ από την εξωπνευμονική εντόπιση τα μικρότερα ποσοστά εντοπίζονται στη φυματίωση των οφθαλμών, των γεννητικών οργάνων και στη μασχαλιαία αδενίτιδα, στη φυματιώδη λαρυγγίτιδα, στη φυματίωση δέρματος, στην οξεία κεχροειδή και φυματιώδη μηνιγγίτιδα, στη φυματιώδη περιτονίτιδα, στη φυματίωση των νεφρών και των οστών και τα μεγαλύτερα ποσοστά στην πυλαία αδενίτιδα και στην υγρή πλευρίτιδα επί 1.275 ασθενών στα 19 έτη της έρευνας. Σε όλες τις περιπτώσεις εξωπνευμονικής εντόπισης δεν παρατηρείται διαφορά μεταξύ των δύο φύλων, εκτός της φυματιώδους περιτονίτιδας, όπου η αναλογία είναι 3 γυναίκες προς 1 άνδρα, γεγονός αναμενόμενο. Εντύπωση επίσης προκαλεί το μικρό ποσοστό της φυματιώδους λαρυγγίτιδας, που επιβεβαιώνει τη φύση της αιματικής αιτιολογίας ή της ρήξης παρατραχειακού αδένος προς την τραχεία και ότι αυτή δεν οφείλεται στην άλωση από τον αυλό. 3. Συμπερασματικά – Επιγραμματικά Η μοναδικότητα της έρευνας αυτής οφείλεται: α) στη μεγάλη της διάρκεια (25 χρόνια) β) στη μεγάλη καθυστέρηση ανακάλυψης του ασθενούς & γ) στην καταγραφή των βαρέων πνευμονικών βλαβών, που ενίοτε φτάνουν στον κατεστραμμένο πνεύμονα ή στη φυματιώδη καχεξία.
  • 13.
    Η φυματίωση στηνΕλλάδα μειώνεται. Στη μείωση αυτή συμβάλλουν αφενός μεν η άνοδος του βιοτικού επιπέδου (η φυματίωση άρχισε να φθίνει πριν ακόμη ανακαλυφθούν τα ειδικά φάρμακα 4-5% ετησίως στις αναπτυγμένες χώρες του Ευρωπαϊκού Βορρά) και αφετέρου η αντιμετώπιση- εξουδετέρωση των πηγών μολύνσεως. Η επαγρύπνηση όμως κρίνεται σκόπιμη. Όχι μόνο για τον κίνδυνο από την εισαγόμενη φυματίωση, αλλά γιατί θα πρέπει οι γιατροί λαμβάνοντας υπόψη τη φυματίωση, να μπορούν να διαγνώσουν μια νέα περίπτωση, προλαμβάνοντας έτσι μία μόλυνση, έστω μια μικρή επιδημία. Στη διάγνωση θα οδηγήσει μία ακτινογραφία θώρακος, που ενίοτε θα συσταθεί από την ανεύρεση μιας θετικής Mantoux. Η φυματίωση θα φύγει από την πόρτα των μεγάλων ηλικιών. Έτσι κρίνεται σκόπιμο, πριν υποβληθούν τα παιδιά στο αμφίβολης αποτελεσματικότητας εμβόλιο B.C.G., να αναζητηθούν προληπτικά οι δυνητικοί «δράστες» της φυσικής τους μόλυνσης. Γι’ αυτό προτείνεται ιδιαίτερη προσοχή στις απερχόμενες κλάσεις, που αποτελούν πηγές του μυκοβακτηριδίου. 4. Προτεινόμενα μέτρα Τα προτεινόμενα, βάσει της επιστημονικής μας εμπειρίας, μέτρα αντιμετώπισης της νόσου είναι: Εξοικείωση – εκπαίδευση των γιατρών στη διάγνωση της φυματίωσης Καλή, αποτελεσματική θεραπεία των νοσούντων Αναζήτηση – παρακολούθηση των υγειών ατόμων – φορέων του ΜΒ. Αυτοί είναι οι Mantoux θετικοί, που θα αναζητηθούν: α. στις επαφές του αρρώστου (οικογενειακού, κοινωνικού και εργασιακού περιβάλλοντος) β. στους οικονομικούς μετανάστες – Λαθρομετανάστες – Φυλακές γ. στα άτομα μεγάλης ηλικίας (ΚΑΠΗ – Γηροκομεία – ασθενείς, που εισάγονται στο νοσοκομείο για οποιαδήποτε άλλη πάθηση). Οι ευρεθέντες θετικοί στη Mantoux πρέπει να παρακολουθούνται δια βίου με μία α/α θώρακος ανά έτος. δ. σε άτομα με προδιαθεσικούς παράγοντες, όπως σακχαρώδη διαβήτη, πνευμονοκονίαση, γαστρεκτομή, ανοσοκατασταλτική θεραπεία, λήψη κορτικοειδών, με μία ακτινογραφία θώρακος. ε. Να επεκταθεί η διενέργεια της Mantoux στις μικρές ηλικίες (Βρεφονηπιακοί σταθμοί), ώστε να προλαμβάνονται οι πιθανές εκδηλώσεις της αιματικής διασποράς, αποφεύγοντας τον μάταιο εμβολιασμό με B.C.G., ώστε να φτάσουμε στην ενεργό αναζήτηση πιθανών ασθενών και να μην εφαρμόζονται μέτρα, που αποδείχθηκαν στην πράξη αναποτελεσματικά και ανεπίκαιρα. στ. Η ακτινογραφία θώρακος στους νεοεισερχόμενους φοιτητές να γίνεται μόνο στους Mantoux θετικούς. Στην ηλικία αυτή το ποσοστό των θετικών ανέρχεται στο 6-7 %, δηλαδή από τους 70.000- 80.000 εισαγόμενους ετησίως περίπου να πραγματοποιείται α/α μόνο στους 5.000. ζ. Θα μπορούσε να γίνεται Mantoux στο σύνολο των νοσηλευόμενων στα νοσοκομεία για οποιονδήποτε λόγο, ώστε να καταγραφούν οι Mantoux θετικοί σε μία δεκαετία και μία α/α θώρακα ανά τακτά χρονικά διαστήματα θα διαπιστωνόταν ενεργητικά ένα μεγάλο μέρος των νέων αγνοουμένων περιπτώσεων φυματίωσης.
  • 14.
    5. Πίνακες Η νοσηρότηταπέφτει κατά 7% ετησίως. Η μεγάλη πτώση της νοσηρότητας κατά τις 2 πρώτες πενταετίες οφείλεται στα έντονα αντιφυματικά μέτρα, που εφαρμόστηκαν για την αντιμετώπιση πολλών περιπτώσεων ενεργούς φυματιώσεως (με επανειλημμένους ελέγχους της διαμόλυνσης στο σύνολο των μαθητών και της μέσης εκπαίδευσης). Η επίπτωση της νόσου στην αρχή της έρευνας ήταν 1,5 ασθενής ανά 1.000 κατοίκους. Το 1999 το ποσοστό αυτό άγγιζε το 0,2 αρρώστους ανά 1.000 κατοίκους. Το 2010 το ποσοστό αυτό ανήλθε σε 0,1 ‰. 1η πενταετία 11,9 % 2η πενταετία 8,17% 3η πενταετία 6,47%
  • 15.
    ΠΙΝΑΚΑΣ 3: ΝΟΣΗΡΟΤΗΤΑ Ημετάθεση της Χ.Π.Φ. στις μεγαλύτερες ηλικίες εξηγείται με τον περιορισμό των εξωγενών μολύνσεων και την επικράτηση των ενδογενών αναζωπυρώσεων (Ν. Ροδόπης 1978 – 1992)
  • 16.
    ΠΙΝΑΚΑΣ 4 (ΦυματινικόςΔείκτης) ΠΙΝΑΚΑΣ 5: ΦΥΜΑΤΙΝΙΚΟΣ ΔΕΙΚΤΗΣ % Από το 1990, με την έλευση των Ελληνοποντίων, οι καμπύλες τροποποιούνται.
  • 17.
    ΠΙΝΑΚΑΣ 6: ΦΥΜΑΤΙΝΙΚΟΣΔΕΙΚΤΗΣ % Οι στήλες απεικονίζουν τον φυματινικό δείκτη στις ηλικίες 6-7 ετών. ΠΙΝΑΚΑΣ 7: ΑΝΤΙΦΥΜΑΤΙΚΟΣ ΕΜΒΟΛΙΑΣΜΟΣ Σχόλιο: Νόσησαν 0,135% και 0,2% παιδιά και στις δύο ομάδες (εμβολιασθέντα και μη) και σε απόλυτη αριθμητική αντιστοιχία εμβολιασθέντων και μη η σχέση ήταν 2:3.
  • 18.
    ΠΙΝΑΚΑΣ 8: ΑΝΤΙΦΥΜΑΤΙΚΟΣΕΜΒΟΛΙΑΣΜΟΣ Σχόλιο: Αν αφαιρεθούν οι νοσήσεις από επαφές (αναπόφευκτες) θα νοσούσαν 5 παιδιά στα 16 χρόνια της έρευνας, τα οποία με σχετική αγωγή θεραπεύτηκαν.
  • 19.
    ΕΤΟΣ ΦΥΜΑΤΙΩΔΗΣ ΜΙΝΙΓΓΙΤΙΔΑ ΟΞΕΙΑ ΚΕΧΡΟΕΙΔΗΣ 1978 2 4016 1979 1 30 1980 1 6 1981 1 21 1 21 1982 1983 2 28 / 63 1984 1 60 Θ 1 22 1985 1986 1 40 1987 2 3 / 10 1988 1 28 Θ 1989 1990 1991 1992 1993 2 5 / 6 1994 1995 1 22 1996 1 3 1 1 ΣΥΝΟΛΟ 11 8 ΠΙΝΑΚΑΣ 9: Οι εξωπνευμονικές εκδηλώσεις της πνευμονικής φυματίωσης που διαπιστώθηκαν στο αντιφυματικό ιατρείο του Ν. Ροδόπης κατά τα έτη 1978-1996 • Η ηλικία των ανδρών • Η ηλικία των γυναικών • ΘΑΝΑΤΟΙ Καταγράφοντας τις Φυματιώδεις Μηνιγγίτιδες και οξείες κεχροειδείς, που διαπιστώθηκαν στα 25 έτη της έρευνας, από αυτές μόνο 2 περιπτώσεις ήταν στην υπό εμβολιασμό ηλικία, άρα μόνο αυτές θα μπορούσαν να προστατευθούν αν το εμβόλιο ήταν αποτελεσματικό, επί συνόλου 38.790 παιδιών της εμβολιαστικής ηλικίας των 6-7 ετών, οι οποίες με αντιφυματική θεραπεία έγιναν καλά. Το B.C.G. ως πρόφαση για την πρόληψη της Φυματιώδους Μηνιγγίτιδας και της οξείας κεχροειδούς δεν ευσταθεί, καθώς αυτές μας βρίσκουν και αφορούν παιδιά προσχολικής ηλικίας με μακρά παραμονή σε ισχυρή πηγή μόλυνσης.
  • 20.
    ΠΙΝΑΚΑΣ 10: ΜΟΛΥΝΣΕΙΣ –ΝΟΣΗΣΕΙΣ ΣΤΟ ΠΕΡΙΒΑΛΛΟΝ ΤΩΝ ΑΣΘΕΝΩΝ ΠΙΝΑΚΑΣ 11: Η ΝΟΣΗΛΕΙΑ ΤΟΥ ΑΡΡΩΣΤΟΥ ΣΤΟ ΝΟΣΟΚΟΜΕΙΟ Ή ΣΤΟ ΣΠΙΤΙ ΚΑΤΑ ΤΑ ΕΤΗ 1978-1987 Στα πρώτα χρόνια της έρευνας το ποσοστό των νοσηλευόμενων στα Νοσοκομεία ξεπερνούσε το 40% και ο μέσος όρος στη δεκαετία ήταν 35%. Ο μέσος χρόνος παραμονής των ασθενών στα Νοσοκομεία στην αρχή της ερευνητικής διαδικασίας έφτανε τους 5,8 μήνες (με υψηλό κόστος νοσηλείας και στη δεκαετία μειώθηκε σε ένα μήνα). Από το 1991 και μετά οι ασθενείς παραπέμπονταν στο νοσοκομείο μόνο καθαρά για κοινωνικούς λόγους. ΣΤΟ ΣΠΙΤΙ ΣΤΟ ΝΟΣΟΚΟΜΕΙΟ ΜΕΣΟΣ ΧΡΟΝΟΣ (μήνες) Σύνολο ημερών νοσηλείας ετησίως 1978 93 57 5,8 9.918 1979 82 40 6,6 7.920 1980 59 43 4,6 5.934 1981 69 22 4,1 2.706 1982 43 36 3,2 3.456 1983 60 42 2,6 3.276 1984 40 27 2,4 1.944 1985 45 22 2 1.320 1986 44 15 2 900 1987 53 13 1 390 ΣΥΝΟΛΟ 588 317 ΑΡΙΘΜΟΣ ΑΣΘΕΝΩΝ ΝΟΣΗΛΕΙΑΕΤΟΣ ΝΟΣΗΛΕΙΑ ΣΕ ΝΟΣΟΚΟΜΕΙΑ
  • 21.
    ΠΠΙΙΝΝΑΑΚΚΑΑΣΣ 1122:: ΚΚααττααννοομμήή κκααττάάηηλλιικκίίεεςς ττωωνν ννέέωωνν ππεερριιππττώώσσεεωωνν φφυυμμααττίίωωσσηηςς σσττοο ααννττιιφφυυμμααττιικκόό ιιααττρρεείίοο ττοουυ ΝΝοομμοούύ ΡΡοοδδόόππηηςς κκααττάά τταα έέττηη 11997788--11999999 ((ΠΠλληηθθυυσσμμόόςς ΝΝοομμοούύ:: 110033..000000)) ΕΤΟΣ Αριθμός ασθενών ανά έτος Ηλικία 0-6 ετών Ηλικία 6 ετών Ηλικία 7 ετών Ηλικία 7-12 ετών Ηλικία 13-18 ετών Ηλικία 19-30 ετών Ηλικία 30 ετών & άνω 1978 150 5 1 5 17 26 97 1979 122 4 1 1 7 16 15 80 1980 103 2 1 8 11 19 63 1981 90 3 2 4 8 16 59 1982 79 3 1 2 7 12 55 1983 102 1 1 1 8 10 17 66 1984 67 2 1 1 6 16 42 1985 67 1 1 2 2 16 46 1986 58 0 1 7 8 42 1987 66 3 1 3 3 11 46 1988 54 1 2 2 12 37 1989 74 2 2 7 15 48 1990 42 1 0 4 7 30 1991 45 0 1 1 11 32 1992 43 2 1 3 3 8 27 1993 33 3 1 3 4 6 17 1994 30 2 1 3 2 21 1995 20 0 1 1 0 4 15 1996 30 3 1 2 6 18 1997 31 1 1 5 6 18 1998 38 2 0 1 6 29 1999 30 0 1 4 4 21 ΣΥΝΟΛΟ 1374 41 9 6 57 123 243 909 Νοσήσεις από γνωστή πηγή (επαφές) 78% (32) 44% (25) 28% (34) …Σύζυγοι 2% (22) 50% 50% 15 (9) Συμπέρασμα: Ενώ το ποσοστό νοσήσεων, ως συνέπεια επαφών ανέρχεται στο 18% γενικά, το ήμισυ αφορά τις ηλικίες από 0-18 ετών, ενώ το υπόλοιπο από 19 ετών και άνω. Αναλυτικότερα, κατά ηλικία, διαμορφώνεται ως κατωτέρω: Προσχολική ηλικία: 78%, Πρωτοβάθμια Εκπαίδευση: 44%, Δευτεροβάθμια Εκπαίδευση: 28% & μεταξύ συζύγων: 2%. Στην υπό εμβολιασμό ηλικία των 6-7 ετών νόσησαν 15 παιδιά στα 22 χρόνια για όλες τις μορφές φυματίωσης. Αν αφαιρεθούν οι νοσήσεις από επαφές (9 αναπόφευκτες) οι υπόλοιπες 6 περιπτώσεις ιάθηκαν με αντιφυματική θεραπεία. Τα ποσοστά νοσηρότητας κατά ηλικία ήταν: 0-6: 3%, 7-12: 4%, 13-18: 9%, 19 & άνω: 84%.
  • 22.
    ΠΙΝΑΚΑΣ 13: ΠΑΘΟΛΟΓΙΚΕΣΕΚΔΗΛΩΣΕΙΣ Εκδήλωση διάφορων μορφών της πρωτοπαθούς φυματικής νόσου, σε σχέση με το χρονικό διάστημα από την πρωτομόλυνση (αποκάλυψη της πηγής μόλυνσης). Σχόλια: 1. Η συντριπτική πλειοψηφία της νόσου εμφανίζεται μέσα στο πρώτο έτος από τη μόλυνση. 2. Το ενεργό πρωτοπαθές σύμπλεγμα παρατηρείται κατά κύριο λόγο ταυτόχρονα με την αποκάλυψη της πηγής και οπωσδήποτε όχι πέραν του έτους από τη μόλυνση. 3. Η μηνιγγίτιδα εμφανίζεται στους πρώτους 6 μήνες από τη μόλυνση. 4. Η φυματιώδης πλευρίτιδα και η πνευμονική φυματίωση, μολονότι μπορεί να εμφανίζεται εξαρχής, αποτελούν τις μόνες μορφές που κυριαρχούν μετά το πρώτο έτος από τη μόλυνση. ΠΙΝΑΚΑΣ 14: ΕΞΕΛΙΞΗ ΤΗΣ ΦΥΜΑΤΙΚΗΣ ΝΟΣΟΥ 43,75% 36,25% 11,25% Ταυτόχρονα με την ανεύρεση της πηγής
  • 23.
    ΠΙΝΑΚΑΣ 15: ΥΠΟΤΡΟΠΕΣ ΠΙΝΑΚΑΣ16: Η ΦΥΜΑΤΙΚΗ ΔΙΑΜΟΛΥΝΣΗ ΣΕ ΟΛΕΣ ΤΙΣ ΗΛΙΚΙΕΣ
  • 24.
    ΠΙΝΑΚΑΣ 17: ΠΡΟΒΛΕΨΗΕΚΡΙΖΩΣΗΣ ΠΙΝΑΚΑΣ 18: ΜΟΡΦΕΣ ΕΝΕΡΓΟΥΣ ΦΥΜΑΤΙΩΣΗΣ ΣΤΟΝ ΝΟΜΟ ΡΟΔΟΠΗΣ ΚΑΤΑ ΤΗΝ ΠΕΡΙΟΔΟ: 1978 - 1992 ΜΟΡΦΗ ΝΟΣΟΥ ΑΡΙΘΜΟΣ ΠΕΡΙΠΤΩΣΕΩΝ % Χρόνια πνευμ. Φυματίωση (Χ.Π.Φ.) 836 74 % Φυματιώδης πλευρίτιδα 153 13 % Πρωτοπαθής φυματίωση 68 6 % Μορφές αιματικής διασποράς (κεχροειδής, μηνιγγίτιδα) 12 1 % Τραχηλική λεμφαδενίτιδα 18 1,5 % Εξωπνευμονικές φυματιώσεις 52 4,5 % ΣΥΝΟΛΟ 1.139 100 %
  • 25.
    ΠΙΝΑΚΑΣ 19: ΠΟΡΕΙΑ ΤΗΣΦΥΜΑΤΙΩΣΗΣ ΑΚΤΙΝΟΓΡΑΦΙΚΑ ΚΑΤΑ ΤΗ ΔΙΑΡΚΕΙΑ ΤΗΣ ΑΝΤΙΦΥΜΑΤΙΚΗΣ ΑΓΩΓΗΣ Βελτίωση Σημαντική βελτίωση Πλήρης αποκατάσταση 50% σε 1-2 μήνες 20% σε 2-4 μήνες 32% σε 2-4 μήνες 16% σε 4-7 μήνες 10% σε 5-8 μήνες 36% σε 5-6 μήνες 30% σε 8-12 μήνες 98 % ΣΧΟΛΙΟ: Με την εφαρμογή των βραχυχρόνιων θεραπευτικών σχημάτων, καλύπτεται μόνο το 70% των περιπτώσεων, βάσει του ερευνητικού μας έργου. Γι’ αυτό προτείνεται ο χρόνος θεραπείας του ασθενούς να εκτιμάται κατά την κρίση του θεράποντος ιατρού (και δεν πρέπει να είναι μικρότερος των 12 μηνών). Η αντιφυματική θεραπεία θεραπεύει το 98% των πασχόντων από φυματίωση. Το 1% είναι θάνατοι που οφείλονται στη φυματιώδη μηνιγγίτιδα και φυματιώδη καχεξία και το άλλο 1% οφείλεται σε ανάπτυξη καρκίνου σε ουλές (scar carcinoma) επάνω σε παλιές βλάβες από φυματίωση. ΠΙΝΑΚΑΣ 20: Πίνακας, στον οποίο φαίνονται συνολικά οι εξωπνευμονικές εκδηλώσεις της πνευμονικής φυματίωσης, που διαπιστώθηκαν στο αντιφυματικό ιατρείο του Νομού Ροδόπης στα έτη 1978-1996 Σε όλες τις περιπτώσεις εξωπνευμονικής εντόπισης δεν παρατηρείται διαφορά μεταξύ των δύο φύλων, εκτός της φυματιώδους περιτονίτιδος, όπου η αναλογία είναι 1 άντρας προς 3 γυναίκες, γεγονός αναμενόμενο. 74169
  • 26.
    ΠΙΝΑΚΑΣ 21: ΑΤΥΠΕΣΕΚΔΗΛΩΣΕΙΣ ΤΗΣ ΦΥΜΑΤΙΩΣΗΣ Υπό πολύμηνη ειδική θεραπεία, εκδήλωση φυματικών αλλοιώσεων σε άλλο από τη μητρική εστία σημείο, που εξελίσσεται ομαλά χωρίς αλλαγή του θεραπευτικού σχήματος. α/α Ηλικία Αρχική πάθηση Φαρμακευτική αγωγή Χρονική διάρκεια σε μήνες Παθολογική εκδήλωση Εξέλιξη Παρατηρήσεις Υπό χημειοπροφύλαξη 1 18μηνη Mantoux+ INH + PAS 8 Αδενίτιδα με ατελεκτασία Με τριπλή αγωγή → αποκατάσταση Επαφή 2 12χρονη Mantoux + INH 12 Παρατραχειακή αδενίτιδα Με τριπλή αγωγή → σε 2 μήνες 2α R+M+INH 14 Περικαρδίτιδα Με την ίδια αγωγή → αποκατάσταση Υπό πλήρη αντι-ΤΒ αγωγή 1 12χρονη Υγρά πλευρίτιδα R+M+INH 17 Πρόσθετη πνευμονική διήθηση Αποκατάσταση με την ίδια αγωγή Επαφή 2 14χρονη Παρατραχειακή αδενίτιδα R+M+INH 15 Υγρά περικαρδίτιδα Αποκατάσταση με την ίδια αγωγή 3 13χρονη Φυματιώδη περιτονίτιδα R+M+INH 4 Παρατραχειακή αδενίτιδα Αποκατάσταση με την ίδια αγωγή 4 16χρονη Πνευμονική φυματίωση R+M+INH 6 Τραχηλική αδενίτιδα Αποκατάσταση με την ίδια αγωγή Με ιστολογική επιβεβαίωση 5 26χρονη Πνευμονική φυματιώση R+M+INH 6 Υπερκλείδια αδενίτιδα Αποκατάσταση με την ίδια αγωγή Με ιστολογική επιβεβαίωση 6 12χρονη Πυλαία αδενίτιδα R+M+INH 12 + 5 Τραχηλική αδενίτιδα Αποκατάσταση με την ίδια αγωγή Με ιστολογική επιβεβαίωση 7 23χρονη Τραχηλική αδενίτιδα R+M+INH 9 Πνευμονική φυματίωση Αποκατάσταση με την ίδια αγωγή Με ιστολογική επιβεβαίωση 8 19χρονος Πνευμονική φυματίωση R+M+INH 1 Υγρά πλευρίτιδα Αποκατάσταση με την ίδια αγωγή 9 27χρονος Πνευμονική φυματίωση R+M+INH 10 (ημέρες) Υγρά πλευρίτιδα Αποκατάσταση με την ίδια αγωγή Σχόλιο: όταν η τριπλή αντιφυματική αγωγή κατά τα αρχικά στάδια δεν τιθασεύει τη φυματική λοίμωξη κατά ποιο μηχανισμό η χορήγηση μόνο της ΙΝΗ έχει αποτελεσματικότητα στην προφύλαξη, δεδομένου ότι χορηγούμενη μόνη της μόνο ανθεκτικότητα δημιουργεί. Στο Παράρτημα εμπεριέχονται ακτινολογικές εικόνες ασθενών. R: Ριφαμπικίνη Μ: Αιθαμβουτόλη ΙΝΗ: Ισονιαζίδη
  • 27.
    ΚΕΦΑΛΑΙΟ ΙΙ Η ΦΥΜΑΤΙΩΣΗΣΤΗΝ ΑΚΤΙΝΟΓΡΑΦΙΑ ΘΩΡΑΚΑ 1. Γενικές παρατηρήσεις Το συγκεκριμένο υλικό, που περιλαμβάνει 240 περιπτώσεις ασθενών με πνευμονική φυματίωση και 50 περιπτώσεις με υγρά πλευρίτιδα, είναι μέρος του συνόλου των περιστατικών, που αντιμετωπίστηκαν από το Αντιφυματικό Ιατρείο Κομοτηνής την τελευταία 25ετία (1976-2000). Το υλικό αυτό θα μπορούσε να αποτελέσει βοήθημα σε παθολόγους, παιδιάτρους, ακτινολόγους, ιατρούς γενικής ιατρικής του ΕΣΥ και των ειδικευόμενων στις ανωτέρω ειδικότητες, αγροτικούς ιατρούς και φοιτητές των ιατρικών σχολών της χώρας. Το 1976 τα στατιστικά στοιχεία του Υπουργείου Υγείας έδειχναν 10.000 νέες περιπτώσεις με φυματίωση ετησίως, ενώ σήμερα ο αριθμός αυτός κυμαίνεται περί τις 500. Η μείωση των νέων περιπτώσεων ετησίως και το γεγονός ότι η νοσηλεία στο νοσοκομείο έχει μειωθεί σε λίγες ημέρες, στερεί από τους νέους ειδικευόμενους σημαντική εμπειρία σχετικά με τη νόσο. Η σημερινή συγκυρία (οικονομική δυσπραγία) δημιουργεί τις προϋποθέσεις μελλοντικής έξαρσης της νόσου με σοβαρές συνέπειες στη δημόσια υγεία και θα ήθελα να πιστεύω πως η παρουσίαση του εγχειρήματος αυτού θα είναι χρήσιμη σε όσους πρόκειται να ασχοληθούν μελλοντικά με το θέμα. Ήδη στο μακρινό παρελθόν, αμέσως μετά την ανακάλυψη ενός φυματικού, το πρώτο μέλημα γιατρού και περιβάλλοντος ήταν ο εγκλεισμός του σε κάποιο Σανατόριο, χωρίς να ξέρει κανείς αν αυτό γινόταν για την καλύτερη θεραπεία του ή για την απαλλαγή του περιβάλλοντος από τον «επικίνδυνο άρρωστο», λόγω των ελλιπών γνώσεων γύρω από τη φυματίωση (δηλ. ένα είδος Σπιναλόγκας). Τα σανατόρια ήταν απομονωτήρια, η δε παραμονή σε αυτά υπήρξε μακροχρόνια και μάλιστα πριν την ανακάλυψη των αντιφυματικών, τα κρεβάτια συχνά άδειαζαν με το θάνατο των ασθενών. Η θεραπεία των ασθενών, αφού διήλθε από διάφορα στάδια, ξεκινώντας από τη μακροχρόνια νοσηλεία τους στα σανατόρια μέχρι την ολιγοήμερη παραμονή του σε αυτά, σήμερα τείνει διεθνώς να πραγματοποιείται στο σπίτι του αρρώστου, καθώς αποτελεί αναφαίρετο δικαίωμά του, με εξίσου καλά αποτελέσματα. Το έναυσμα για τη συγκεκριμένη μεταστροφή δόθηκε από τη μελέτη του Madras το 1966 στις Ινδίες, όπου καθαρά λόγω συνθηκών (έλλειψη νοσηλευτικών κλινών), επιβλήθηκε η εξωνοσοκομειακή του νοσηλεία. Στη δική μας έρευνα για τους νοσηλευθέντες στο σπίτι η παρακολούθηση περιλάμβανε κλινικό και ακτινολογικό έλεγχο. Ο βακτηριολογικός έλεγχος δεν ήταν εφικτός, αλλά από την κλινικοακτινολογική παρακολούθηση-εξέλιξη εξάγονται, κατά κανόνα, ασφαλή συμπεράσματα ως προς την, από βακτηριολογική άποψη, εξέλιξη. Οι ασθενείς προσέρχονταν κατά τακτά χρονικά διαστήματα και συγκεκριμένα: το πρώτο δίμηνο κάθε 15 ημέρες και στη συνέχεια μία φορά τον μήνα. Παράλληλα, δρομολογήθηκε στενή «εποπτεία» των αρρώστων, με συχνές επισκέψεις των επισκεπτριών νοσηλευτριών στο σπίτι τους, με στόχο την επιτόπια εκτίμηση των συνθηκών περιβάλλοντος, διαβίωσης και νοσηλείας. Το μέτρο αυτό είχε ουσιαστικότερη σημασία, κατά κύριο λόγο ψυχολογική, καθώς ο άρρωστος: 1. συναισθανόταν ότι η ασθένειά του δεν είναι αμελητέα και γι’ αυτό έρχονταν οι ειδικοί στο σπίτι του και 2. ένιωθε τη φροντίδα της πολιτείας, συνεργαζόμενος πολλές φορές συγκινητικά. Η εμπειρία του γιατρού θα έπρεπε να ξεχωρίσει τις ελάχιστες εκείνες περιπτώσεις, που θα χρειαζόταν νοσοκομειακή νοσηλεία: αυτές αφορούσαν άτομα, που θα ήταν μάλλον βέβαιο ότι δεν θα πειθαρχούσαν στις «εντολές». Ενδεικτικές περιπτώσεις θεωρούνται αλκοολικοί, ψυχωσικοί, νοητικά υστερούντες ή άτομα με αντικοινωνική συμπεριφορά. Ο έλεγχος διαμόλυνσης του περίγυρου δεν περιοριζόταν μόνο σε μια αρχική εκτίμηση της Mantoux (δείκτης διαμόλυνσης), αλλά επαναλαμβανόταν τουλάχιστον 3 φορές. Μετά το τέλος της θεραπείας, ο άρρωστος υποβαλλόταν σε ετήσιο έλεγχο με μία ακτινογραφία θώρακος. Τα φάρμακα χορηγούνταν δωρεάν από την πολιτεία από 18-24 μήνες τα πρώτα χρόνια και 12-
  • 28.
    14 μήνες σταεπόμενα, ώστε το 1990 είχε φτάσει τους 12 μήνες. Μέχρι το 1972 ως πρωτεύοντα αντιφυματικά φάρμακα χαρακτηρίζονταν το παρααμινοσαλικυλικό οξύ (PAS), η ισονιαζίδη (ΙΝΗ) και η στρεπτομυκήνη (S). Μετά το 1972 προστέθηκαν και άλλα αντιφυματικά φάρμακα όπως η ριφαμπικίνη, η αιθαμβουτόλη, η πυραζιναμίδη, τα οποία στη συνέχεια χαρακτηρίστηκαν σαν πρωτεύοντα. Η ριφαμπικίνη χορηγούνταν μόνο ενδονοσοκομειακά μέχρι το 1985 και ήταν ένας πρόσθετος λόγος για τη νοσοκομειακή νοσηλεία των ασθενών. Στα πρώτα χρόνια της έρευνας το ποσοστό των ασθενών που νοσηλεύονταν στο νοσοκομείο ξεπερνούσε το 40% και οι ημέρες νοσηλείας μόνο το 1978 έφτασαν τις 10.000 ετησίως. Από το 1991 και μετά οι ασθενείς παραπέμπονταν στο νοσοκομείο μόνο για λόγους κοινωνικούς. Στη χώρα μας, όχι μόνο προτείνεται η νοσοκομειακή νοσηλεία (οδηγία του ΚΕΕΛΠΝΟ το 2006 για την αντιμετώπιση της φυματίωσης), αλλά σε ειδικούς θαλάμους με αρνητική πίεση σαν να πρόκειται για τη γρίπη από τον ιό SIRS ή τη γρίπη των πτηνών και σε περίπτωση έλλειψης αυτών σε μονόκλινα ή δίκλινα δωμάτια με ανανέωση του αέρα 12 φορές την ώρα και χρησιμοποίηση λαμπτήρων υπεριώδους ακτινοβολίας στο ανώτερο τμήμα αυτών (πολυδάπανη νοσηλεία χωρίς ουσιαστικό όφελος). Έχει παρατηρηθεί ότι η διαμόλυνση στο περιβάλλον του ασθενούς παραμένει η ίδια, είτε νοσηλευτεί στο σπίτι είτε στο νοσοκομείο, γιατί αυτή γίνεται πριν από την ανακάλυψη του αρρώστου. Εξάλλου με τη νέα χημειοθεραπεία, σχεδόν όλοι οι άρρωστοι με την κατάλληλη αγωγή 2-3 εβδομάδων δεν μεταδίδουν τη νόσο. Κατά την 25ετία (1976-2000) αντιμετωπίστηκαν θεραπευτικά πάνω από 2.000 ασθενείς με πνευμονική φυματίωση από το αντιφυματικό ιατρείο Κομοτηνής, εκ των οποίων οι περισσότεροι από 1.200 εξολοκλήρου στο σπίτι και μεταξύ αυτών 100 παιδιά ηλικίας από 6 μηνών μέχρι 12 ετών με απόλυτη επιτυχία λόγω ανάγκης, καθώς η νοσηλεία παιδιών με φυματίωση ήταν εφικτή μόνο στο νοσοκομείο ειδικών παθήσεων της Θεσσαλονίκης (πρώην Λοιμωδών). Σε περιπτώσεις μαθητών και ιδίως Μέσης Εκπαίδευσης ελαμβάνετο μέριμνα ώστε να μην χάσουν το έτος σπουδών, που θα επιβάρυνε ψυχολογικά την κατάσταση της υγείας τους. Οι περιπτώσεις που νοσηλεύονταν στο νοσοκομείο υποχρεωτικά ήταν οι με οξεία κεχροειδή, φυματιώδη μηνιγγίτιδα και φυματιώδη καχεξία. Η φαρμακευτική αγωγή ήταν πάντα τριπλή καθ’ όλη τη διάρκεια της θεραπείας με R1 -M2 - INH3 και σε βαριές περιπτώσεις με εκτεταμένες βλάβες χορηγούταν και 4ο φάρμακο Z ή S το πρώτο δίμηνο της θεραπείας. Κατά τη διάρκεια της έρευνας οι υποτροπές της νόσου ανέρχονταν σε 3,2% και οι θάνατοι στο 1,3%, που οφείλονταν κύρια στη φυματίωση από τη φυματιώδη μηνιγγίτιδα και φυματιώδη καχεξία. Παρατηρήθηκαν θάνατοι στο 1%, που οφείλονταν στην ανάπτυξη καρκίνου επάνω σε ουλώδεις επεξεργασίας με εκτεταμένες υπολειμματικές βλάβες σε άτομα μεγάλης ηλικίας και συνήθως στους καπνιστές και αυτό επισυνέβαινε σε λίγα χρόνια από το τέλος επιτυχούς αντιφυματικής θεραπείας (1,5 έως 5 χρόνια). Οι επιπλοκές που διαπιστώθηκαν από τη λήψη αντιφυματικών φαρμάκων ήταν ελάχιστες κατά τη διάρκεια της 25ετίας. Την πνευμονική φυματίωση τη μονοπωλεί το κλασσικό μυκοβακτηρίδιο, ενώ στην εκδήλωσή της τα αναφερόμενα παλαιότερα άτυπα μυκοβακτηρίδια είχαν μηδαμινή συμμετοχή και τη θέση τους πήραν τα ανθεκτικά (για συντεχνιακούς λόγους). Τα ανθεκτικά δε που προβάλλονται σήμερα έως έναν βαθμό προκαλούνται από όσους προτείνουν ακόμη: 1. τη χημειοπροφύλαξη, δηλαδή τη χορήγηση INH για έναν χρόνο, και 2. τα βραχυχρόνια θεραπευτικά σχήματα. Το 1991 πραγματοποιήθηκε ερευνητικό πρόγραμμα του Υπουργείου Υγείας στον Ν. Ροδόπης της διαμόλυνσης του γενικού πληθυσμού και επικεντρώθηκε σε οικισμούς που αντιπροσώπευαν το 45% του προβλήματος της φυματίωσης στον Νομό. Με τη διενέργεια Mantoux στο 1/10 του πληθυσμού, διαπιστώθηκαν 14 νέες αγνοούμενες περιπτώσεις ενεργούς φυματίωσης, δηλαδή 1/3 των περιπτώσεων που δηλώθηκαν το 1992 (ενεργητική ανακάλυψη της νόσου). 1 R = Ριφαμπικίνη S = Στρεπτομυκήνη 2 Μ= Αιθαμβουτόλη Z = Πυραζιναμίδη 3 ΙΝΗ = Ισονιαζίδη
  • 29.
    Όλες οι πολιτισμένεςχώρες έχουν γνώση του προβλήματος της φυματίωσης και ανάλογο προγραμματισμό για την καταπολέμησή της, με καταγραφή ανά 5ετία των Mantoux + στον γενικό πληθυσμό και την παρακολούθησή τους δια βίου με μία ακτινογραφία θώρακος. 2. Φυματίωση Η φυματίωση, μια παθογενετικά περίεργη – μέχρι ανεξήγητη – νόσος, είναι πολύ φυσικό να παρουσιάζεται ακτινολογικά υπό διάφορες εικόνες. Η εισαγωγή του φυματικού δράματος, με σπανιότερες εξαιρέσεις, αναφέρεται στην: Πρωτοπαθή Εστία (Π.Ε.) ή έλκος ενοφθαλμισμού ή εστία του Ghon. Φυσικό είναι από τη συγκεκριμένη εστία να αναζητούνται οι πρώτες ακτινολογικές ενδείξεις. Στην πλειονότητα των περιπτώσεων η Π.Ε. δεν φαίνεται ακτινογραφικά. Όταν, ανάλογα με το μέγεθός της, φαίνεται, παρουσιάζει τα εξής χαρακτηριστικά: 1) Η κατανομή της αφορά όλο το πνευμονικό παρέγχυμα με μαθηματικό μοντέλο, δηλαδή ανάλογα με την έκταση του παρεγχύματος κατανέμονται οι Π.Ε. 2) Η πρωτοπαθής εστία είναι μονήρης, με σπάνιες εξαιρέσεις, όταν γίνεται ταυτόχρονος ενοφθαλμισμός μυκοβακτηριδίων (μβ) σε 2 ή και 3 σημεία. (Σημείωση: μετά τον ενοφθαλμισμό του μυκοβακτηριδίου τροποποιείται η ανοσιακή συμπεριφορά του ξενιστή, κατά τρόπο που μια νέα εισβολή αντιμετωπίζεται διαφορετικά). Συνηθέστατο το φαινόμενο η Π.Ε. να ανακαλύπτεται, ακτινολογικά, όταν επασβεστιωθεί. Στην καθημερινότητα η επασβεστιωμένη Π.Ε. αναφέρεται με τον παντελώς αδόκιμο όρο «αποτιτάνωση» ή τον λανθασμένο «επασβέστωση». Η ανεύρεση επασβεστιωμένης Π.Ε. σημαίνει ότι η πρωτομόλυνση έγινε πριν 2 ή 3 χρόνια. Και επομένως η ανησυχία μπροστά σε μια επασβεστιωμένη Π.Ε. είναι ετεροχρονισμένη και αναιτιολόγητη, εφόσον δεν υπάρχουν άλλα ακτινολογικά ευρήματα, όπως π.χ. εστίες αιματικής διασποράς. Πολύ κοντά στην Π.Ε., χρονικά και τοπικά, είναι το πρωτοπαθές σύμπλεγμα που, σε αδρές γραμμές, έχει δύο πόλους: την Π.Ε. και τη δορυφόρο αδενίτιδα (από τη λεμφική διασπορά). Πιο συχνά η αδενίτιδα είναι το μόνο ακτινολογικό εύρημα της φυματικής πρωτομόλυνσης. Η αδενίτιδα αυτή περιγράφεται – ή περιγραφόταν – ως αδενοπάθεια. Το λεμφαγγείο, μέσω του οποίου το μβ οδεύει από την Π.Ε. στον λεμφαδένα, ενώ βιβλιογραφικά αναφέρεται, πρακτικά είναι ακτινολογικά αόρατο. Η φυματική λεμφαδενίτιδα παθογενετικά είναι ετερόπλευρη. Σε πολύ «δραστικές» πρωτομολύνσεις το μβ είναι δυνατόν να ξεπεράσει τη «μέση γραμμή». Θεωρητικά αμφίπλευρη αδενοπάθεια είναι δυνατή σε ταυτόχρονη μόλυνση στους δύο πνεύμονες. Δεν σπανίζει το φαινόμενο να ανακαλύπτεται η Π.Ε. και η αδενίτιδα σε στάδιο επασβεστίωσης. Η συμμετοχή του ή των λεμφαδένων θα δώσει ανάλογα με τη θέση και την έκταση διάφορες ακτινολογικές εικόνες. Αυτές αφορούν ατελεκτασίες. Πιο συγκεκριμένα: ο αδένας που προσβλήθηκε μετά την εντόπιση στην Π.Ε. φράσσει τον βρόγχο και δημιουργεί αυτός πλέον, ένα μείζον πρόβλημα. Αρκετά παλαιά η εικόνα αυτή περιγραφόταν με τον γραφικό, αλλά αδόκιμο όρο «επιφυματίωση». Η Π.Ε. – κατά κανόνα – αυτοϊάται. Από τις έρευνες των συγγραφέων, σε ποσοστό 95% παρατηρείται αυτοΐαση, σε ποσοστό 75% δεν αποκαλύπτεται ακτινολογικά η πρωτοπαθής εστία, ενώ σε ποσοστό 20% με επασβεστίωση του πρωτοπαθούς συμπλέγματος και σε ποσοστό 5% παρατηρούνται νοσηρές εκδηλώσεις. (Παρατηρήσεις από 1644 μολυνθέντες από φυματίωση, ηλικίας 11-18 ετών, στον Νομό Ροδόπης). Περιστασιακά η Π.Ε. εξελίσσεται δυσμενώς και δημιουργείται «πύκνωση», που καταλήγει σε νέκρωση, δηλαδή δημιουργία φυματικού σπηλαίου, που περιγράφεται ως πρωτοπαθές σπήλαιο. Ως προς τον μηχανισμό γενέσεώς του, θα πιθανολογηθεί μια ισχυρή μόλυνση, ατελεκτασία, κλπ. Σήμερα μάλλον σπανίζει.
  • 30.
    Περαιτέρω ακτινολογικές εικόνες Απότην Π.Ε. το μυκοβακτηρίδιο περνάει ανεμπόδιστο στο αίμα – δεν κάμπτεται από την αντίσταση των λεμφαδένων. Η αιματική διασπορά του μβ συνιστά κανόνα, χωρίς εξαιρέσεις. Και, δοθέντος ότι το μβ «αγαπά» τις κορυφές, εγκαθίσταται (εγκλωβίζεται;) στα ανώτερα πνευμονικά πεδία*. Ακραία, δυσμενής, παλαιότερα πάντα θανατηφόρος, υπήρξε η κεχροειδής φυματίωση. Νομοτελειακά η προαναφερθείσα εγκατάσταση δημιουργεί μικροοζώδεις σχηματισμούς, που συνήθως επασβεστιώνονται και περιγράφονται ως πρωτοπαθείς εστίες (Simon). Έχει μεγάλη πρακτική σημασία η αναζήτηση και παρακολούθηση των συγκεκριμένων εστιών, γιατί συναποτελούν το «κλειδί» της χρόνιας πνευμονικής φυματίωσης, καθώς από αυτές ξεκινά – με σπάνιες εξαιρέσεις – η κλασική φυματίωση. Χρόνια Πνευμονική Φυματίωση (Χ.Π.Φ.) Οι ακτινολογικές εικόνες ποικίλουν, με κύριο εκπρόσωπο το σπήλαιο. Προσφιλέστερα εντοπίζονται στις κορυφές των πνευμόνων και στο κορυφαίο τμήμα των κάτω λοβών. Άλλα σημεία εντοπισμού, π.χ. σε κατώτερα τμήματα, αφορούν διαφορετικό παθογενετικό μηχανισμό. Τα σπήλαια περιγράφονται ως δακτυλιοειδείς σκιάσεις, καθώς ακτινολογικά το τοίχωμά τους είναι «σκιερό», ενώ το «περιεχόμενό» τους – αφαιρουμένων των επιπροβολών – ως περιέχον αέρα, διαυγάζει. Στην αποκάλυψη του σπηλαίου συμβάλλει η κατακράτηση υγρού. Παρατηρείται υγραερική εικόνα, που δεν είναι πάντοτε παθογνωμική της Χ.Π.Φ. Η εν λόγω εικόνα δεν φαινόταν στην καταργηθείσα τομογραφία, που κλασικά λαμβανόταν σε κατάκλιση. Η εικόνα του σπηλαίου, όπως προαναφέρθηκε, δεν συνιστά αποκλειστικό προνόμιο της Χ.Π.Φ. Παρατηρείται σε μεγάλη γκάμα πνευμονοπαθειών. Οι ακτινολογικές αλλοιώσεις της Χ.Π.Φ. περιγράφονται (ή μάλλον περιφράφονταν) με ιστοπαθολογικούς όρους: εξιδρωματικές παραγωγικές, ινώδεις ή ινωδοσκληρυντικές, με κατιούσα βαρύτητα. Καταφανώς, με βάση την ποικιλία των συγκεκριμένων αλλοιώσεων, οι ακτινολογικές απεικονίσεις της Χ.Π.Θ. είναι άπειρες. Ως εκ τούτου, ο Χρήστος Βάμβαλης, με πολυετή εμπειρία στη μελέτη, ακαδημαϊκή διδασκαλία και θεραπεία του θώρακα, επισημαίνει: Μπροστά σε μια περίεργη ακτινολογική εικόνα, μην ξεχνάτε τη φυματίωση». Πρόκειται για επισήμανση βαρύνουσας σημασίας ειδικά σήμερα, τη στιγμή που η εξοικείωση των γιατρών με τη φυματίωση διολισθαίνει. Ωστόσο, ορισμένες εικόνες χαρακτηρίζονται αποκαλυπτικές – κατά το μάλλον ή ήττον – της ανενεργούς, πια, Π.Φ, στις οποίες αναφέρονται γραμμοειδής σκιάσεις, δηλωτικές ινώσεων, επασβεστιώσεις, μικρότερες ή μεγαλύτερες ρικνώσεις του πνευμονικού παρεγχύματος, που έμμεσα αναδεικνύονται από μετατοπίσεις ανατομικών δομών, όπως οι μεσολόβιες σχισμές, η πύλη, η τραχεία, τα αγγειακά στελέχη, κλπ.
  • 31.
    ΥΠΟΜΝΗΜΑ Για τις περιπτώσειςτης χρόνιας πνευμονικής φυματίωσης: Α/Α Φ Η ΤΡΟΠΟΣ ΔΙΑΓΝΩΣΗΣ ΑΚΤΙΝΟΓΡΑΦΙΑ ΑΝΤΙΦΥΜΑΤΙΚΗ ΑΓΩΓΗ ΔΘ ΕΚΒΑΣΗ ΠΕΛ ΤΕ ΝΣ Π.Ε. Μ.Ε. Λ.Ε. R ΙΝΗ Μ Z S Νοσ. Σπ. ΙΑ Ιν.Στ. Υπ.Βλ ΕΠ Θ. Α/Α: αύξων αριθμός ΠΕ: Περιορισμένης Έκτασης R: Ριφαμπικίνη Φ: Φύλο ΜΕ: Μέσης έκτασης ΙΝΗ: Ισονιαζίδη Η: Ηλικία ΛΕ: Λίαν Εκτεταμένη Μ: Εθαμπουτόλη ΤΕ: Τυχαίο εύρημα ΔΘ: Διάρκεια θεραπείας (σε μήνες) Ζ: Πυραζιναμίδη ΝΣ: Νόσηση S: Στρεπτομυκήνη Νοσ.: Νοσοκομείο Σ: Σπίτι ΙΑ: Ίαση- πλήρης ακτινολογική αποκατάσταση Ιν. Στ.: Ινώδη Στοιχεία Υπ. Βλ: υπολλειματικές βλάβες Θ.: Θάνατος Για την παιδική φυματίωση και τις υγρές πλευρίτιδες: Α/Α Φ Η ΤΡΟΠΟΣ ΔΙΑΓΝΩΣΗΣ ΑΚΤΙΝΟΓΡΑΦΙΑ ΑΝΤΙΦΥΜΑΤΙΚΗ ΑΓΩΓΗ ΔΘ ΕΚΒΑΣΗ ΠΕΛ ΤΕ ΝΣ + ++ +++ R ΙΝΗ Μ Z S Νοσ. Σπ. ΙΑ Ιν.Στ. Υπ.Βλ ΕΠ Θ. Α/Α: αύξων αριθμός +: Ασθενείς ενδείξεις R: Ριφαμπικίνη Φ: Φύλο ++: Ισχυρεές Ενδείξεις ΙΝΗ: Ισονιαζίδη Η: Ηλικία +++: Παθογνωμονική εικόνα Μ: Εθαμπουτόλη ΤΕ: Τυχαίο εύρημα ΔΘ: Διάρκεια θεραπείας (σε μήνες) Ζ: Πυραζιναμίδη ΝΣ: Νόσηση S: Στρεπτομυκήνη Νοσ.: Νοσοκομείο Σ: Σπίτι ΙΑ: Ίαση- πλήρης ακτινολογική αποκατάσταση Ιν. Στ.: Ινώδη Στοιχεία Υπ. Βλ: υπολλειματικές βλάβες Θ.: Θάνατος
  • 32.
    ΦΥΜΑΤΙΩΣΗ Πρωτοπαθής εστία ενενεργεία Περίπτωση 1: Α/Α Φ Η ΤΡΟΠΟΣ ΔΙΑΓΝΩΣΗΣ ΑΚΤΙΝΟΓΡΑΦΙΑ ΑΝΤΙΦΥΜΑΤΙΚΗ ΑΓΩΓΗ ΔΘ ΕΚΒΑΣΗ 1 Α 11 ΠΕΛ + ΤΕ ΝΣ + + ++ +++ R + ΙΝΗ + Μ + Z S Νοσ. Σπ. 14 ΙΑ + Ιν.Στ. Υπ.Βλ ΕΠ Θ. 16-12-78 19-12-78 26-11-79
  • 33.
  • 34.
    Περίπτωση 2η: Α/Α ΦΗ ΤΡΟΠΟΣ ΔΙΑΓΝΩΣΗΣ ΑΚΤΙΝΟΓΡΑΦΙΑ ΑΝΤΙΦΥΜΑΤΙΚΗ ΑΓΩΓΗ ΔΘ ΕΚΒΑΣΗ 2 Α 12 ΠΕΛ + ΤΕ ΝΣ + + ++ +++ R+ ΙΝΗ + Μ+ Z S Νοσ. Σπ.14 ΙΑ+ Ιν.Στ. Υπ.Βλ ΕΠ Θ.
  • 35.
  • 36.
    Περίπτωση 3η: Α/Α ΦΗ ΤΡΟΠΟΣ ΔΙΑΓΝΩΣΗΣ ΑΚΤΙΝΟΓΡΑΦΙΑ ΑΝΤΙΦΥΜΑΤΙΚΗ ΑΓΩΓΗ ΔΘ ΕΚΒΑΣΗ 3 Θ 11 ΠΕΛ + ΤΕ ΝΣ ++ ++ +++ R+ ΙΝΗ + Μ+ Z S Νοσ. Σπ.14 ΙΑ+ Ιν.Στ. Υπ.Βλ ΕΠ Θ.
  • 38.
    Περίπτωση 4η: Α/Α ΦΗ ΤΡΟΠΟΣ ΔΙΑΓΝΩΣΗΣ ΑΚΤΙΝΟΓΡΑΦΙΑ ΑΝΤΙΦΥΜΑΤΙΚΗ ΑΓΩΓΗ ΔΘ ΕΚΒΑΣΗ 4 Α 11 ΠΕΛ + ΤΕ ΝΣ + + ++ +++ R + ΙΝΗ + Μ + Z S Νοσ.. Σπ.14 ΙΑ + Ιν.Στ. Υπ.Βλ ΕΠ + Θ.
  • 39.
    Περίπτωση 5η: Α/Α ΦΗ ΤΡΟΠΟΣ ΔΙΑΓΝΩΣΗΣ ΑΚΤΙΝΟΓΡΑΦΙΑ ΑΝΤΙΦΥΜΑΤΙΚΗ ΑΓΩΓΗ ΔΘ ΕΚΒΑΣΗ 5 Θ 11 ΠΕΛ + ΤΕ ΝΣ ++ ++ +++ R+ ΙΝΗ + Μ+ Z S Νοσ. Σπ.12 ΙΑ+ Ιν.Στ. Υπ.Βλ ΕΠ + Θ. 12-11-85 25-04-89
  • 40.
    Περίπτωση 6η: Α/Α ΦΗ ΤΡΟΠΟΣ ΔΙΑΓΝΩΣΗΣ ΑΚΤΙΝΟΓΡΑΦΙΑ ΑΝΤΙΦΥΜΑΤΙΚΗ ΑΓΩΓΗ ΔΘ ΕΚΒΑΣΗ 6 Θ 11 ΠΕΛ + ΤΕ ΝΣ + ++ + +++ R + ΙΝΗ + Μ + Z S Νοσ. Σπ.12 ΙΑ + Ιν.Στ. Υπ.Βλ ΕΠ + Θ.
  • 41.
    Περίπτωση 7η: Α/Α ΦΗ ΤΡΟΠΟΣ ΔΙΑΓΝΩΣΗΣ ΑΚΤΙΝΟΓΡΑΦΙΑ ΑΝΤΙΦΥΜΑΤΙΚΗ ΑΓΩΓΗ ΔΘ ΕΚΒΑΣΗ 7 Α 11 ΠΕΛ + ΤΕ ΝΣ ++ ++ +++ R+ ΙΝΗ + Μ+ Z S Νοσ. Σπ.12 ΙΑ+ Ιν.Στ. Υπ.Βλ ΕΠ + Θ. 20-02-92 02-04-92 02-04-92 20-07-96
  • 42.
    Περίπτωση 8η: Α/Α ΦΗ ΤΡΟΠΟΣ ΔΙΑΓΝΩΣΗΣ ΑΚΤΙΝΟΓΡΑΦΙΑ ΑΝΤΙΦΥΜΑΤΙΚΗ ΑΓΩΓΗ ΔΘ ΕΚΒΑΣΗ 8 Θ 11 ΠΕΛ + ΤΕ ΝΣ ++ ++ +++ R+ ΙΝΗ + Μ+ Z S Νοσ. Σπ.12 ΙΑ+ Ιν.Στ. Υπ.Βλ ΕΠ + Θ. 04-01-94 20-10-98
  • 43.
    9. Μαθητής ηλικίας12 ετών, υποβλήθηκε, σε πανεπιστημιακή παιδιατρική κλινική, σε αντιφυματική θεραπεία. Από την επασβεστίωση του πυλαία αδένα σύστοιχα αποκλείστηκε η φυματιώδης φύση της βλάβης, και από το γεγονός της παραμονής της σκιάς μετά την εφαρμογή της αντιφυματικής θεραπείας, επιβεβαιώθηκε. Η φύσις της σκιάς παρέμεινε αμετάβλητη και παθογενετικά απροσδιόριστη. Επισήμανση: η ανεύρεση εν ενεργεία π.ε. αναφέρεται σε πολύ μικρό ποσοστό, της τάξης του 1%, όπως προκύπτει από έρευνά μας σε 1644 περιπτώσεις φυματικής πρωτομόλυνσης στο νομό Ροδόπης. 9.α. 9.β.
  • 44.
  • 45.
    Πρωτοπαθές σύμπλεγμα ενενεργεία Περίπτωση 10η: Α/Α Φ Η ΤΡΟΠΟΣ ΔΙΑΓΝΩΣΗΣ ΑΚΤΙΝΟΓΡΑΦΙΑ ΑΝΤΙΦΥΜΑΤΙΚΗ ΑΓΩΓΗ ΔΘ ΕΚΒΑΣΗ 10 Θ 2 ΠΕΛ ΤΕ ΝΣ + + ++ +++ + R + ΙΝΗ + Μ + Z S Νοσ. Σπ.14 ΙΑ + Ιν.Στ. Υπ.Βλ ΕΠ + Θ. 10.α. Επαφή 10.β.
  • 46.
  • 47.
    Περίπτωση 11η: Α/Α ΦΗ ΤΡΟΠΟΣ ΔΙΑΓΝΩΣΗΣ ΑΚΤΙΝΟΓΡΑΦΙΑ ΑΝΤΙΦΥΜΑΤΙΚΗ ΑΓΩΓΗ ΔΘ ΕΚΒΑΣΗ 11 Α 9 μηνών ΠΕΛ ΤΕ ΝΣ + + ++ +++ + R + ΙΝΗ + Μ + Z S Νοσ. Σπ.14 ΙΑ + Ιν.Στ. Υπ.Βλ ΕΠ + Θ. 11.α. Επαφή 11.β. 09-11-76
  • 48.
  • 49.
  • 50.
    Περίπτωση 12η: Α/Α ΦΗ ΤΡΟΠΟΣ ΔΙΑΓΝΩΣΗΣ ΑΚΤΙΝΟΓΡΑΦΙΑ ΑΝΤΙΦΥΜΑΤΙΚΗ ΑΓΩΓΗ ΔΘ ΕΚΒΑΣΗ 12 Α 1.5 ΠΕΛ ΤΕ ΝΣ + + ++ +++ + R + ΙΝΗ + Μ + Z S Νοσ. Σπ.12 ΙΑ + Ιν.Στ. Υπ.Βλ ΕΠ + Θ. 12.α. Επαφή 12.β. 6/5/1997 14/4/1997
  • 51.
  • 52.
    Πυλαία Αδενίτις Περίπτωση 13η: Α/ΑΦ Η ΤΡΟΠΟΣ ΔΙΑΓΝΩΣΗΣ ΑΚΤΙΝΟΓΡΑΦΙΑ ΑΝΤΙΦΥΜΑΤΙΚΗ ΑΓΩΓΗ ΔΘ ΕΚΒΑΣΗ 13 Θ 14 ΠΕΛ ΤΕ ΝΣ + + ++ +++ + R + ΙΝΗ + Μ + Z S Νοσ. Σπ.14 ΙΑ + Ιν.Στ. Υπ.Βλ ΕΠ Θ. 13.α. 13.β. 28/11/1979
  • 53.
  • 54.
  • 55.
    Περίπτωση 14η: Α/Α ΦΗ ΤΡΟΠΟΣ ΔΙΑΓΝΩΣΗΣ ΑΚΤΙΝΟΓΡΑΦΙΑ ΑΝΤΙΦΥΜΑΤΙΚΗ ΑΓΩΓΗ ΔΘ ΕΚΒΑΣΗ 14 Θ 7 ΠΕΛ ΤΕ ΝΣ + + ++ +++ + R + ΙΝΗ + Μ + Z S Νοσ. Σπ.14 ΙΑ + Ιν.Στ. Υπ.Βλ ΕΠ Θ. 14.α. 14.β. 30/4/1979
  • 56.
  • 57.
  • 58.
    Περίπτωση 15η: Α/Α ΦΗ ΤΡΟΠΟΣ ΔΙΑΓΝΩΣΗΣ ΑΚΤΙΝΟΓΡΑΦΙΑ ΑΝΤΙΦΥΜΑΤΙΚΗ ΑΓΩΓΗ ΔΘ ΕΚΒΑΣΗ 15 Α 6 ΠΕΛ ΤΕ ΝΣ + + ++ +++ + R + ΙΝΗ + Μ + Z S Νοσ. Σπ.12 ΙΑ + Ιν.Στ. Υπ.Βλ ΕΠ Θ. 15.α. 15.β. 28/5/1992
  • 59.
  • 60.
  • 61.
    Περίπτωση 16η: Α/Α ΦΗ ΤΡΟΠΟΣ ΔΙΑΓΝΩΣΗΣ ΑΚΤΙΝΟΓΡΑΦΙΑ ΑΝΤΙΦΥΜΑΤΙΚΗ ΑΓΩΓΗ ΔΘ ΕΚΒΑΣΗ 16 Θ 10 ΠΕΛ ΤΕ ΝΣ + + ++ +++ + R + ΙΝΗ + Μ + Z S Νοσ. Σπ.12 ΙΑ + Ιν.Στ. Υπ.Βλ ΕΠ Θ. 16.α. Επαφή 16.β. 3/3/1987 10-03-87
  • 62.
  • 63.
  • 64.
    Περίπτωση 17η: Α/Α ΦΗ ΤΡΟΠΟΣ ΔΙΑΓΝΩΣΗΣ ΑΚΤΙΝΟΓΡΑΦΙΑ ΑΝΤΙΦΥΜΑΤΙΚΗ ΑΓΩΓΗ ΔΘ ΕΚΒΑΣΗ 17 Α 4 ΠΕΛ ΤΕ ΝΣ + + ++ +++ + R + ΙΝΗ + Μ + Z S Νοσ. Σπ.12 ΙΑ + Ιν.Στ. Υπ.Βλ ΕΠ Θ. 17.α. Επαφή 17.β. 05-05-88
  • 65.
  • 66.
  • 67.
    Περίπτωση 18η: Α/Α ΦΗ ΤΡΟΠΟΣ ΔΙΑΓΝΩΣΗΣ ΑΚΤΙΝΟΓΡΑΦΙΑ ΑΝΤΙΦΥΜΑΤΙΚΗ ΑΓΩΓΗ ΔΘ ΕΚΒΑΣΗ 18 Θ 3 ΠΕΛ ΤΕ ΝΣ + + ++ +++ + R + ΙΝΗ + Μ + Z S Νοσ. Σπ.12 ΙΑ + Ιν.Στ. Υπ.Βλ ΕΠ Θ. 18.α 18.β.
  • 68.
  • 69.
    Περίπτωση 19η: Α/Α ΦΗ ΤΡΟΠΟΣ ΔΙΑΓΝΩΣΗΣ ΑΚΤΙΝΟΓΡΑΦΙΑ ΑΝΤΙΦΥΜΑΤΙΚΗ ΑΓΩΓΗ ΔΘ ΕΚΒΑΣΗ 19 Θ 11 ΠΕΛ ΤΕ ΝΣ + + ++ +++ + R + ΙΝΗ + Μ + Z S Νοσ. Σπ.14 ΙΑ + Ιν.Στ. Υπ.Βλ ΕΠ Θ. 19.α. 19.β. 9 εκ.
  • 70.
  • 71.
    Περίπτωση 20η: Α/Α ΦΗ ΤΡΟΠΟΣ ΔΙΑΓΝΩΣΗΣ ΑΚΤΙΝΟΓΡΑΦΙΑ ΑΝΤΙΦΥΜΑΤΙΚΗ ΑΓΩΓΗ ΔΘ ΕΚΒΑΣΗ 20 Θ 8 ΠΕΛ ΤΕ ΝΣ + + ++ + +++ R + ΙΝΗ + Μ + Z S Νοσ. Σπ.14 ΙΑ + Ιν.Στ. Υπ.Βλ ΕΠ Θ. 20.α. Επαφή 20.β. 29/4/1983
  • 72.
    Περίπτωση 21η: Α/Α ΦΗ ΤΡΟΠΟΣ ΔΙΑΓΝΩΣΗΣ ΑΚΤΙΝΟΓΡΑΦΙΑ ΑΝΤΙΦΥΜΑΤΙΚΗ ΑΓΩΓΗ ΔΘ ΕΚΒΑΣΗ 21 Θ 7 ΠΕΛ ΤΕ ΝΣ + + ++ +++ + R + ΙΝΗ + Μ + Z S Νοσ. Σπ.12 ΙΑ + Ιν.Στ. Υπ.Βλ ΕΠ Θ. 21.α. 21.β. 6/9/1996
  • 73.
    Περίπτωση 22η: Α/Α ΦΗ ΤΡΟΠΟΣ ΔΙΑΓΝΩΣΗΣ ΑΚΤΙΝΟΓΡΑΦΙΑ ΑΝΤΙΦΥΜΑΤΙΚΗ ΑΓΩΓΗ ΔΘ ΕΚΒΑΣΗ 22 Θ 7 ΠΕΛ ΤΕ ΝΣ + + ++ + +++ R + ΙΝΗ + Μ + Z S Νοσ. Σπ.14 ΙΑ + Ιν.Στ. Υπ.Βλ ΕΠ Θ. 22.α. Επαφή 4/5/1978
  • 74.
  • 75.
    Περίπτωση 23η: Α/Α ΦΗ ΤΡΟΠΟΣ ΔΙΑΓΝΩΣΗΣ ΑΚΤΙΝΟΓΡΑΦΙΑ ΑΝΤΙΦΥΜΑΤΙΚΗ ΑΓΩΓΗ ΔΘ ΕΚΒΑΣΗ 23 Α 14 ΠΕΛ ΤΕ ΝΣ + + ++ + +++ R + ΙΝΗ + Μ + Z S Νοσ. Σπ.14 ΙΑ + Ιν.Στ. Υπ.Βλ ΕΠ Θ. 23.α. Επαφή 23.β.
  • 76.
    Περίπτωση 24η: Α/Α ΦΗ ΤΡΟΠΟΣ ΔΙΑΓΝΩΣΗΣ ΑΚΤΙΝΟΓΡΑΦΙΑ ΑΝΤΙΦΥΜΑΤΙΚΗ ΑΓΩΓΗ ΔΘ ΕΚΒΑΣΗ 24 Α 14 ΠΕΛ ΤΕ ΝΣ + + ++ +++ + R + ΙΝΗ + Μ + Z S Νοσ. Σπ.14 ΙΑ + Ιν.Στ. Υπ.Βλ ΕΠ Θ. 24.α. 24.β.
  • 77.
    Περίπτωση 25η: Α/Α ΦΗ ΤΡΟΠΟΣ ΔΙΑΓΝΩΣΗΣ ΑΚΤΙΝΟΓΡΑΦΙΑ ΑΝΤΙΦΥΜΑΤΙΚΗ ΑΓΩΓΗ ΔΘ ΕΚΒΑΣΗ 25 Θ 14 ΠΕΛ ΤΕ ΝΣ + + ++ +++ + R + ΙΝΗ + Μ + Z S Νοσ.2 Σπ.12 ΙΑ + Ιν.Στ. Υπ.Βλ + ΕΠ Θ. 25.α. 25.β. 12/2/1977 12/2/1977
  • 78.
  • 79.
    Περίπτωση 26: Α/Α ΦΗ ΤΡΟΠΟΣ ΔΙΑΓΝΩΣΗΣ ΑΚΤΙΝΟΓΡΑΦΙΑ ΑΝΤΙΦΥΜΑΤΙΚΗ ΑΓΩΓΗ ΔΘ ΕΚΒΑΣΗ 26 Θ 2 ΠΕΛ ΤΕ ΝΣ + + ++ +++ + R + ΙΝΗ + Μ + Z S Νοσ. Σπ.14 ΙΑ + Ιν.Στ. Υπ.Βλ ΕΠ Θ. 26.α. Επαφή Ύστερα από 8 μηνών χημειοπροφύλαξη με PAS (παρααμυνοσαλικυλικό οξύ) και ισονιαζίδη με θετική Mantoux μόνο και φυσιολογική ακτινογραφία θώρακος, παρουσίασε πυλαία αδενίτιδα με ατελεκτασία του δεξιού άνω λοβού. 26.β. 21-04-80 08-05-80
  • 80.
  • 81.
  • 82.
    Υγρά Πλευρίτις Περίπτωση 27η: Α/ΑΦ Η ΤΡΟΠΟΣ ΔΙΑΓΝΩΣΗΣ ΑΚΤΙΝΟΓΡΑΦΙΑ ΑΝΤΙΦΥΜΑΤΙΚΗ ΑΓΩΓΗ ΔΘ ΕΚΒΑΣΗ 27 Α 12 ΠΕΛ ΤΕ ΝΣ + + ++ +++ + R + ΙΝΗ + Μ + Z S Νοσ. Σπ.12 ΙΑ + Ιν.Στ. Υπ.Βλ ΕΠ Θ. 27.α. 27.β. Φυσιολογική ακτινογραφία σαν επαφή
  • 83.
  • 84.
    Περίπτωση 28η: Α/Α ΦΗ ΤΡΟΠΟΣ ΔΙΑΓΝΩΣΗΣ ΑΚΤΙΝΟΓΡΑΦΙΑ ΑΝΤΙΦΥΜΑΤΙΚΗ ΑΓΩΓΗ ΔΘ ΕΚΒΑΣΗ 28 Θ 10 ΠΕΛ ΤΕ ΝΣ + + ++ +++ + R + ΙΝΗ + Μ + Z S Νοσ. Σπ.12 ΙΑ + Ιν.Στ. Υπ.Βλ ΕΠ Θ. 28.α. 28.β. 21/12/1989 1 2
  • 85.
    Περίπτωση 29η: Α/Α ΦΗ ΤΡΟΠΟΣ ΔΙΑΓΝΩΣΗΣ ΑΚΤΙΝΟΓΡΑΦΙΑ ΑΝΤΙΦΥΜΑΤΙΚΗ ΑΓΩΓΗ ΔΘ ΕΚΒΑΣΗ 29 Α 12 ΠΕΛ + ΤΕ ΝΣ + ++ + +++ R + ΙΝΗ + Μ + Z S Νοσ. Σπ.14 ΙΑ + Ιν.Στ. Υπ.Βλ ΕΠ Θ. 29.α. 29.β.
  • 86.
    Περίπτωση 30η: Α/Α ΦΗ ΤΡΟΠΟΣ ΔΙΑΓΝΩΣΗΣ ΑΚΤΙΝΟΓΡΑΦΙΑ ΑΝΤΙΦΥΜΑΤΙΚΗ ΑΓΩΓΗ ΔΘ ΕΚΒΑΣΗ 30 Θ 11 ΠΕΛ ΤΕ ΝΣ + + ++ +++ + R + ΙΝΗ + Μ + Z S Νοσ.1 Σπ.11 ΙΑ + Ιν.Στ. Υπ.Βλ ΕΠ Θ. 30.α. 30.β. 1/3/1988
  • 87.
  • 88.
    Περίπτωση 31η: Α/Α ΦΗ ΤΡΟΠΟΣ ΔΙΑΓΝΩΣΗΣ ΑΚΤΙΝΟΓΡΑΦΙΑ ΑΝΤΙΦΥΜΑΤΙΚΗ ΑΓΩΓΗ ΔΘ ΕΚΒΑΣΗ 31 Θ 11 ΠΕΛ + ΤΕ ΝΣ + + ++ +++ R + ΙΝΗ + Μ + Z S Νοσ. Σπ.18 ΙΑ + Ιν.Στ. Υπ.Βλ ΕΠ Θ. 31.α. 31.β.
  • 89.
    31.γ. 31.δ. Ύστερα από 15μήνες με τριπλή αντιφυματική αγωγή πρόσθετη πνευμονική βλάβη η οποία υποχώρησε στην συνέχεια με την ίδια αγωγή.
  • 90.
  • 91.
    Πνευμονική Φυματίωση Περίπτωση 32η: Α/ΑΦ Η ΤΡΟΠΟΣ ΔΙΑΓΝΩΣΗΣ ΑΚΤΙΝΟΓΡΑΦΙΑ ΑΝΤΙΦΥΜΑΤΙΚΗ ΑΓΩΓΗ ΔΘ ΕΚΒΑΣΗ 32 Α 12 ΠΕΛ ΤΕ ΝΣ + + ++ +++ + R + ΙΝΗ + Μ + Z S Νοσ. Σπ.12 ΙΑ + Ιν.Στ. Υπ.Βλ ΕΠ Θ. 32.α. Ο άρρωστος πριν από 6 χρόνια είχε εμφανίσει οζώδες ερύθημα και πυλαία αδενίτιδα για τα οποία είχε υποβληθεί σε αντιφυματική θεραπεία. 32.β.
  • 92.
  • 93.
  • 94.
    Περίπτωση 33η: Α/Α ΦΗ ΤΡΟΠΟΣ ΔΙΑΓΝΩΣΗΣ ΑΚΤΙΝΟΓΡΑΦΙΑ ΑΝΤΙΦΥΜΑΤΙΚΗ ΑΓΩΓΗ ΔΘ ΕΚΒΑΣΗ 33 Θ 1 ΠΕΛ ΤΕ ΝΣ + + ++ +++ + R + ΙΝΗ + Μ + Z S Νοσ. Σπ.14 ΙΑ + Ιν.Στ. Υπ.Βλ ΕΠ Θ. 33.α. 33.β. 19/9/1980 Επαφή ενός έτους με ισχυρή πηγή μόλυνσης (μητέρα) και διήθηση δεξιού κάτω λοβού
  • 95.
    33.γ. 33.δ. 11/12/1980 Με αντιφυματική θεραπείαστο σπίτι, αποκατάσταση. 19-01-81
  • 96.
    Τομογραφίες δεξιού πνεύμοναασθενούς μητέρας με σπηλαιοποίηση του δεξιού άνω λοβού 33.ε. 11/7/1980 Μετά τη θεραπεία 19-06-81 Πριν τη θεραπεία
  • 97.
    34. Βρέφος 3μηνών που ζούσε σε περιβάλλον με ισχυρή πηγή μόλυνσης. Κατά τγην πρώτη επαφή στο αντιφυματικό ιατρείο διαπιστώθηκε εικόνα οξείας κεχροειδούς φυματίωσης (ακτινογραφία Α), πύκνωση λοβώδους κατανομής και περιορισμένη υπεζωκοτική αντίδραση. Τομογραφικά διαπιστώθηκε παρεγχυματική τήξη (πρώιμο σπήλαιο), με ιδιαίτερα παθογενετικό μηχανισμό. Με αντιφυματική θεραπεία σε νοσοκομείο για 2,5 μήνες και εν συνεχεία στο σπίτι για 12 μήνες, αποκατάσταση. 34.α. 34.β. Μετά τη θεραπεία Α Β
  • 98.
    35. Μαθητής ηλικίας12 ετών. Με αντιφυματική θεραπεία στο σπίτι για 14 μήνες, ίαση. 35.α. 35.β. Μετά τη θεραπεία Περιορισμένη διήθηση αριστεράς κορυφοϋποκλειδίου χώρας- τυχαίο εύρημα σε επιδημιολογικό έλεγχο. 16-10-84
  • 99.
    Περίπτωση 36η: Α/Α ΦΗ ΤΡΟΠΟΣ ΔΙΑΓΝΩΣΗΣ ΑΚΤΙΝΟΓΡΑΦΙΑ ΑΝΤΙΦΥΜΑΤΙΚΗ ΑΓΩΓΗ ΔΘ ΕΚΒΑΣΗ 36 Α 11 ΠΕΛ + ΤΕ ΝΣ + ++ + +++ R + ΙΝΗ + Μ + Z S Νοσ. Σπ.14 ΙΑ + Ιν.Στ. Υπ.Βλ ΕΠ Θ. 36.α. 36.β. Περιορισμένη διήθηση δεξιά παραπυλαίως (βέλος).
  • 100.
  • 101.
    Περίπτωση 37η: Α/Α ΦΗ ΤΡΟΠΟΣ ΔΙΑΓΝΩΣΗΣ ΑΚΤΙΝΟΓΡΑΦΙΑ ΑΝΤΙΦΥΜΑΤΙΚΗ ΑΓΩΓΗ ΔΘ ΕΚΒΑΣΗ 37 Α 12 ΠΕΛ ΤΕ + ΝΣ + ++ + +++ R + ΙΝΗ + Μ + Z S Νοσ. Σπ.14 ΙΑ + Ιν.Στ. Υπ.Βλ ΕΠ Θ. 37.α. 37.β. 7/9/1983 Τυχαίο εύρημα σε επιδημιολογικό έλεγχο: διάχυτες διηθήσεις αμφοτέρων των πνευμόνων. 6/10/1983
  • 102.
    Περίπτωση 38η: Α/Α ΦΗ ΤΡΟΠΟΣ ΔΙΑΓΝΩΣΗΣ ΑΚΤΙΝΟΓΡΑΦΙΑ ΑΝΤΙΦΥΜΑΤΙΚΗ ΑΓΩΓΗ ΔΘ ΕΚΒΑΣΗ 38 Θ 14 ΠΕΛ ΤΕ ΝΣ + + ++ +++ + R + ΙΝΗ + Μ + Z S Νοσ. Σπ.12 ΙΑ + Ιν.Στ. Υπ.Βλ ΕΠ Θ. 38.α. 38.β. Πύκνωση αριστερού κάτω λοβού από φυματίωση (φυματική λοβίτιδα).
  • 103.
  • 104.
    Περίπτωση 39η: Α/Α ΦΗ ΤΡΟΠΟΣ ΔΙΑΓΝΩΣΗΣ ΑΚΤΙΝΟΓΡΑΦΙΑ ΑΝΤΙΦΥΜΑΤΙΚΗ ΑΓΩΓΗ ΔΘ ΕΚΒΑΣΗ 39 Θ 14 ΠΕΛ ΤΕ + ΝΣ + + ++ +++ R + ΙΝΗ + Μ + Z S Νοσ. Σπ.14 ΙΑ + Ιν.Στ. Υπ.Βλ ΕΠ Θ. 39.α. 39.β. Περιορισμένη διήθηση δεξιάς κορυφής. 21-03-84
  • 105.
    Περίπτωση 40η: Α/Α ΦΗ ΤΡΟΠΟΣ ΔΙΑΓΝΩΣΗΣ ΑΚΤΙΝΟΓΡΑΦΙΑ ΑΝΤΙΦΥΜΑΤΙΚΗ ΑΓΩΓΗ ΔΘ ΕΚΒΑΣΗ 40 Α 14 ΠΕΛ ΤΕ ΝΣ + + ++ + +++ R + ΙΝΗ + Μ + Z S Νοσ. Σπ.14 ΙΑ + Ιν.Στ. Υπ.Βλ ΕΠ Θ. 40.α. 40.β. Σε επιδημιολογικό έλεγχο με Mantoux+: α/α φυσιολογική.
  • 106.
    40.γ. 40.δ. 12/8/1980 Σπήλαιο στον κορυφαίοτου αριστερού κάτω λοβού.
  • 107.
  • 108.
    15 περιπτώσεις μεεπασβεστιωμένη πρωτοπαθή εστία και πρωτοπαθή συμπλέγματα 1. 2. 17/5/1980 29/4/1986
  • 109.
  • 110.
  • 111.
  • 112.
  • 113.
    11. Σε άτομο ηλικίας60 ετών, παρουσιάζεται ως τυχαίο εύρημα γραμμοειδής σκίαση στο μέσο πνευμονικό πεδίο. Πρόκειται για ρίκνωση – ατελεκτασία προσθίου τμήματος του δεξιού άνω λοβού, αποτέλεσμα – επακόλουθο πρωτοπαθούς φυματίωσης. Η εικόνα αυτή ήταν παλαιότερα συνηθέστατη. 12. Τυχαίο εύρημα σε ηλικιωμένη γυναίκα με διάσπαρτες παρεγχυματικές επασβεστιώσεις στον αριστερό πνεύμονα. 20/6/1990
  • 114.
    13. Σε ασθενή ηλικίας60 ετών χωρίς ιδιαίτερες κλινικές ενοχλήσεις διαπιστώθηκαν επασβεστιωμένες αλλοιώσεις πρωτοπαθούς συμπλέγματος και διάσπαρτες παρεγχυματικές επασβεστιώσεις, προφανώς βρογχικής διασποράς της φυματίωσης. 14. Μαθήτρια ηλικίας 12 ετών. Στα πλαίσια του αντιφυματικού αγώνα διαπιστώθηκαν επασβεστιωμένες αλλοιώσεις, παρεγχυματικές και αδενικές. Επισημαίνεται η ύπαρξη δύο πρωτοπαθών εστιών (βέλη). 9/6/1979
  • 115.
    15.α Τυχαίο εύρημα σεέλεγχο μικροακτινογραφικού συνεργείου. Πρόκειται περί αυτοϊάσεως. 15.β Συνοψίζοντας: Όλες οι ανωτέρω περιπτώσεις χαρακτηρίζονται ως αυτοϊαθείσες. 12-03-92 20- 08- 92
  • 116.
    Οξεία κεχροειδής Α/Α ΦΗ ΤΡΟΠΟΣ ΔΙΑΓΝΩΣΗΣ ΑΚΤΙΝΟΓΡΑΦΙΑ ΑΝΤΙΦΥΜΑΤΙΚΗ ΑΓΩΓΗ ΔΘ ΕΚΒΑΣΗ 1 Θ 16 ΠΕΛ ΤΕ ΝΣ + Π.Ε. Μ.Ε. Λ.Ε. + R + ΙΝΗ + Μ + Z S Νοσ. Σπ.14 ΙΑ + Ιν.Στ . Υπ.Βλ ΕΠ Θ. 1.α. 1.β. 25-10-76
  • 117.
    1.γ. Α/Α Φ ΗΤΡΟΠΟΣ ΔΙΑΓΝΩΣΗΣ ΑΚΤΙΝΟΓΡΑΦΙΑ ΑΝΤΙΦΥΜΑΤΙΚΗ ΑΓΩΓΗ ΔΘ ΕΚΒΑΣΗ 2 Θ 40 ΠΕΛ ΤΕ ΝΣ + Π.Ε. Μ.Ε. Λ.Ε. + R + ΙΝΗ + Μ + Z S + Νοσ.1 Σπ.11 ΙΑ + Ιν.Στ. Υπ.Βλ ΕΠ Θ. 2.α. 15-01-77
  • 118.
    2.β. Χρονία κεχροειδής (τυχαίοεύρημα) Α/Α Φ Η ΤΡΟΠΟΣ ΔΙΑΓΝΩΣΗΣ ΑΚΤΙΝΟΓΡΑΦΙΑ ΑΝΤΙΦΥΜΑΤΙΚΗ ΑΓΩΓΗ ΔΘ ΕΚΒΑΣΗ 3 Α 42 ΠΕΛ ΤΕ + ΝΣ Π.Ε. + Μ.Ε. Λ.Ε. R + ΙΝΗ + Μ + Z S Νοσ. Σπ.14 ΙΑ + Ιν.Στ. Υπ.Βλ ΕΠ Θ. 3.α.
  • 119.
  • 120.
    Υγρά Πλευρίτιδα 4. Ασθενήςηλικίας 26 ετών με τυπική εικόνα υγράς πλευρίτιδος στο αριστερό ημιθωράκιο και εικόνα χρόνιας πνευμονικής φυματίωσης στο δεξιό άνω λοβό. Ο ασθενής υπεβλήθη σε ανιφυματική θεραπεία την οποία διέκοψε στους 7 μήνες και ύστερα από 18 μήνες ενεφάνισε υποτροπή. Με αντιφυματική θεραπεία στο σπίτι, αποκατάσταση. 4.α. Τυπική εικόνα της γραμμής Ellis- Damoiseau 4.β. 26-11-88 20-12-88
  • 121.
  • 122.
    5. Ασθενής ηλικίας16 ετών σε ακτινογραφία της 26/02/82 που έγινε στα πλαίσια διερεύνησης του κοινωνικού περίγυρου ήταν φυσιολογική. Ύστερα από επτά μήνες με νόσηση, παρουσίασε υγρά πλευρίτιδα στο αριστερό ημιθωράκιο (13/09/82). Η ακτινολογική εικόνα της παραπάνω ακτινογραφίας έγινε αποκαλυπτική σε επανάληψη με αεριούχο ποτό (πάχυνση του αριστερού ημιδιαφράγματος). Νοσοκομειακή νοσηλεία μηνός και ολοκλήρωση της αντιφυματικής θεραπείας στο σπίτι για 14 μήνες. 5.α. 5.β. 13-09-82
  • 123.
  • 124.
  • 125.
  • 126.
    Περικαρδίτιδα 6.Ασθενής 16 ετών(θήλυ) με κλινική συνδρομή, προσήλθε στο αντιφυματικό ιατρείο. Στην ακτινογραφία (1) παρατηρείται διόγκωση παρατραχιακού λεμφαδένα. Υπό αντιφυματική θεραπεία, σε 15 μήνες παρουσίασε περικαρδίτιδα (2). Με τη συνέχιση της ίδιας αντιφυματικής θεραπείας, αποκατάσταση. Πρόκειται για τις ιδιαιτερότητες της φυματικής νόσου. 6.α. 6.β. 14-02-80 1 2
  • 127.
  • 128.
    Φυματιώδης Περιτονίτιδα 7.Ασθενής ηλικίας16 ετών (θήλυ) νοσηλεύτηκε στο νοσοκομείο Κομοτηνής για 3 μήνες για ιστολογικά βεβαιωμένη φυματιώδη περιτονίτιδα. Στην πρώτη ακτινογραφία (1) δεν διαπιστώνεται σαφής εικόνα πνευμονικής φυματίωσης. Υπο αντιφυματική θεραπεία, παρουσίασε σε 35 ημέρες λεμφαδενική βλάβη και μικρές παρεγχυματικές αλλοιώσεις (2,3 βέλη και κύκλος). Σημείωση: η παθολογοανατομική βλάβη εξακολουθεί να εξελίσσεται παρά την αντιφυματική θεραπεία, φαινόμενο συνηθέστατο. 7.α. 7.β. 28-02-89 1 2
  • 129.
  • 130.
  • 131.
    Μεταπρωτοπαθείς εστίες Simon Α/ΑΦ Η ΤΡΟΠΟΣ ΔΙΑΓΝΩΣΗΣ ΑΚΤΙΝΟΓΡΑΦΙΑ ΑΝΤΙΦΥΜΑΤΙΚΗ ΑΓΩΓΗ ΔΘ ΕΚΒΑΣΗ 8 56 60 65 70 ΠΕΛ ΤΕ + ΝΣ Π.Ε. Μ.Ε. Λ.Ε. R ΙΝΗ Μ Z S Νοσ. Σπ. ΙΑ Ιν.Στ. + Υπ.Βλ ΕΠ + Θ. 8.α. 8.β.
  • 132.
  • 133.
    Φυματιώδης σπονδυλίτιδα Α/Α ΦΗ ΤΡΟΠΟΣ ΔΙΑΓΝΩΣΗΣ ΑΚΤΙΝΟΓΡΑΦΙΑ ΑΝΤΙΦΥΜΑΤΙΚΗ ΑΓΩΓΗ ΔΘ ΕΚΒΑΣΗ 9 Θ 38 ΠΕΛ ΤΕ ΝΣ + Π.Ε. Μ.Ε. + Λ.Ε. R + ΙΝΗ + Μ + Z S Νοσ.2 Σπ.12 ΙΑ + Ιν.Στ. Υπ.Βλ ΕΠ Θ. 9.α. Το απόλλειμα με κύκλο 9.β. 13-06-79 23-06-79
  • 134.
    Α/Α Φ ΗΤΡΟΠΟΣ ΔΙΑΓΝΩΣΗΣ ΑΚΤΙΝΟΓΡΑΦΙΑ ΑΝΤΙΦΥΜΑΤΙΚΗ ΑΓΩΓΗ ΔΘ ΕΚΒΑΣΗ 10 Α 40 ΠΕΛ ΤΕ ΝΣ + Π.Ε. Μ.Ε. Λ.Ε. + R + ΙΝΗ + Μ + Z S Νοσ.4 Σπ.10 ΙΑ + Ιν.Στ. Υπ.Βλ + ΕΠ Θ. 10. 29-08-96
  • 135.
    Χρόνια Πνευμονική Φυματίωση Πρώιμοδιήθημα Α/Α Φ Η ΤΡΟΠΟΣ ΔΙΑΓΝΩΣΗΣ ΑΚΤΙΝΟΓΡΑΦΙΑ ΑΝΤΙΦΥΜΑΤΙΚΗ ΑΓΩΓΗ ΔΘ ΕΚΒΑΣΗ 11 Θ 30 ΠΕΛ ΤΕ ΝΣ + Π.Ε. Μ.Ε. + Λ.Ε. R + ΙΝΗ + Μ + Z S Νοσ. Σπ.14 ΙΑ + Ιν.Στ. Υπ.Βλ ΕΠ Θ. 11.α. 11.β. 14-02-76
  • 136.
  • 137.
    Α/Α Φ ΗΤΡΟΠΟΣ ΔΙΑΓΝΩΣΗΣ ΑΚΤΙΝΟΓΡΑΦΙΑ ΑΝΤΙΦΥΜΑΤΙΚΗ ΑΓΩΓΗ ΔΘ ΕΚΒΑΣΗ 12 Θ 16 ΠΕΛ + ΤΕ ΝΣ Π.Ε. + Μ.Ε. Λ.Ε. R + ΙΝΗ + Μ + Z S Νοσ. Σπ.12 ΙΑ + Ιν.Στ. Υπ.Βλ ΕΠ Θ. 12.α. 12.β.
  • 138.
  • 139.
    Α/Α Φ ΗΤΡΟΠΟΣ ΔΙΑΓΝΩΣΗΣ ΑΚΤΙΝΟΓΡΑΦΙΑ ΑΝΤΙΦΥΜΑΤΙΚΗ ΑΓΩΓΗ ΔΘ ΕΚΒΑΣΗ 13 Θ 20 ΠΕΛ ΤΕ ΝΣ + Π.Ε. + Μ.Ε. Λ.Ε. R + ΙΝΗ + Μ + Z S Νοσ. Σπ.14 ΙΑ + Ιν.Στ. Υπ.Βλ + ΕΠ Θ. 13.α. Φυμάτωμα 13.β. 12-01-83
  • 140.
    Α/Α Φ ΗΤΡΟΠΟΣ ΔΙΑΓΝΩΣΗΣ ΑΚΤΙΝΟΓΡΑΦΙΑ ΑΝΤΙΦΥΜΑΤΙΚΗ ΑΓΩΓΗ ΔΘ ΕΚΒΑΣΗ 14 Α 65 ΠΕΛ ΤΕ + ΝΣ Π.Ε. Μ.Ε. Λ.Ε. R ΙΝΗ Μ Z S Νοσ. Σπ. ΙΑ Ιν.Στ. Υπ.Βλ + ΕΠ + Θ. 14. Επασβεστιωμένο φυμάτωμα 04-07-91
  • 141.
    Α/Α Φ ΗΤΡΟΠΟΣ ΔΙΑΓΝΩΣΗΣ ΑΚΤΙΝΟΓΡΑΦΙΑ ΑΝΤΙΦΥΜΑΤΙΚΗ ΑΓΩΓΗ ΔΘ ΕΚΒΑΣΗ 15 Α 30 ΠΕΛ ΤΕ ΝΣ + Π.Ε. Μ.Ε. + Λ.Ε. R + ΙΝΗ + Μ + Z S Νοσ. Σπ.12 ΙΑ + Ιν.Στ. Υπ.Βλ ΕΠ Θ. 15.α. 15.β. Δυσδιάκριτο σπήλαιο στην δεξιά κορυφή
  • 142.
  • 143.
  • 144.
    Α/Α Φ ΗΤΡΟΠΟΣ ΔΙΑΓΝΩΣΗΣ ΑΚΤΙΝΟΓΡΑΦΙΑ ΑΝΤΙΦΥΜΑΤΙΚΗ ΑΓΩΓΗ ΔΘ ΕΚΒΑΣΗ 16 Θ 20 ΠΕΛ ΤΕ ΝΣ + Π.Ε. + Μ.Ε. Λ.Ε. R + ΙΝΗ + Μ + Z S Νοσ. Σπ.12 ΙΑ + Ιν.Στ. Υπ.Βλ ΕΠ Θ. 16.α. 16.β. Διήθηση δεξιού άνω λοβού με σπήλαιο 17-04-85
  • 145.
    16.γ. Α/Α Φ ΗΤΡΟΠΟΣ ΔΙΑΓΝΩΣΗΣ ΑΚΤΙΝΟΓΡΑΦΙΑ ΑΝΤΙΦΥΜΑΤΙΚΗ ΑΓΩΓΗ ΔΘ ΕΚΒΑΣΗ 17 Θ 20 ΠΕΛ ΤΕ ΝΣ + Π.Ε. + Μ.Ε. Λ.Ε. R + ΙΝΗ + Μ + Z S Νοσ. Σπ.12 ΙΑ + Ιν.Στ. Υπ.Βλ ΕΠ + Θ. 17.α. 1
  • 146.
  • 147.
  • 148.
    Α/Α Φ ΗΤΡΟΠΟΣ ΔΙΑΓΝΩΣΗΣ ΑΚΤΙΝΟΓΡΑΦΙΑ ΑΝΤΙΦΥΜΑΤΙΚΗ ΑΓΩΓΗ ΔΘ ΕΚΒΑΣΗ 18 Θ 16 ΠΕΛ ΤΕ ΝΣ + Π.Ε. Μ.Ε. + Λ.Ε. R + ΙΝΗ + Μ + Z S Νοσ. Σπ.12 ΙΑ + Ιν.Στ. Υπ.Βλ ΕΠ Θ. 18.α. 18.β. 02-03-89 Διήθηση δεξιού άνω λοβού (λοβίτις) και αριστερου 07-03-89
  • 149.
  • 150.
  • 151.
    Α/Α Φ ΗΤΡΟΠΟΣ ΔΙΑΓΝΩΣΗΣ ΑΚΤΙΝΟΓΡΑΦΙΑ ΑΝΤΙΦΥΜΑΤΙΚΗ ΑΓΩΓΗ ΔΘ ΕΚΒΑΣΗ 19 Θ 22 ΠΕΛ ΤΕ ΝΣ + Π.Ε. Μ.Ε. + Λ.Ε. R + ΙΝΗ + Μ + Z S Νοσ. Σπ.14 ΙΑ + Ιν.Στ. Υπ.Βλ ΕΠ Θ. 19.α. 19.β. 15-04-82 Σπηλαιώδης αριστερού άνω λοβού 06-23-82
  • 152.
    Α/Α Φ ΗΤΡΟΠΟΣ ΔΙΑΓΝΩΣΗΣ ΑΚΤΙΝΟΓΡΑΦΙΑ ΑΝΤΙΦΥΜΑΤΙΚΗ ΑΓΩΓΗ ΔΘ ΕΚΒΑΣΗ 20 Α 65 ΠΕΛ ΤΕ ΝΣ + Π.Ε. Μ.Ε. + Λ.Ε. R + ΙΝΗ + Μ + Z S Νοσ. Σπ.12 ΙΑ + Ιν.Στ. Υπ.Βλ + ΕΠ Θ. 20.α. 20.β. Δεξιά άνω λοβίτιδα με ρίκνωση
  • 153.
    Α/Α Φ ΗΤΡΟΠΟΣ ΔΙΑΓΝΩΣΗΣ ΑΚΤΙΝΟΓΡΑΦΙΑ ΑΝΤΙΦΥΜΑΤΙΚΗ ΑΓΩΓΗ ΔΘ ΕΚΒΑΣΗ 21 Α 73 ΠΕΛ ΤΕ ΝΣ + Π.Ε. Μ.Ε. Λ.Ε. + R + ΙΝΗ + Μ + Z + S + Νοσ.10 Σπ.10 ΙΑ + Ιν.Στ. Υπ.Βλ + ΕΠ Θ. 21.α. 21.β. Εκτεταμένες διηθήσεις αμφοτέρων των πνευμόνων
  • 154.
    Α/Α Φ ΗΤΡΟΠΟΣ ΔΙΑΓΝΩΣΗΣ ΑΚΤΙΝΟΓΡΑΦΙΑ ΑΝΤΙΦΥΜΑΤΙΚΗ ΑΓΩΓΗ ΔΘ ΕΚΒΑΣΗ 22 Θ 25 ΠΕΛ ΤΕ ΝΣ + Π.Ε. Μ.Ε. Λ.Ε. + R + ΙΝΗ + Μ + Z S + Νοσ. Σπ.12 ΙΑ + Ιν.Στ. Υπ.Βλ ΕΠ Θ. 22.α. 22.β. 16-03-92 Με σπήλαια και στους δύο άνω λοβούς 19-03-92 19-03-92
  • 155.
  • 156.
    Α/Α Φ ΗΤΡΟΠΟΣ ΔΙΑΓΝΩΣΗΣ ΑΚΤΙΝΟΓΡΑΦΙΑ ΑΝΤΙΦΥΜΑΤΙΚΗ ΑΓΩΓΗ ΔΘ ΕΚΒΑΣΗ 23 Θ 16 ΠΕΛ ΤΕ ΝΣ + Π.Ε. Μ.Ε. Λ.Ε. + R + ΙΝΗ + Μ + Z S + Νοσ. Σπ.14 ΙΑ + Ιν.Στ. Υπ.Βλ ΕΠ + Θ. 23.α. 23.β. 15-06-77 Σε επιδημιολογικό έλεγχο με Mantoux(+) υποεκτιμήθηκε η φυματική βλάβη στον αριστερό πνεύμονα και ύστερα από 10 μήνες με κλινική συνδρομή και σπηλαιώδη πνευμονική φυματίωση στην ίδια περιοχή 20-04-78
  • 157.
  • 158.
    23.ε. 23.στ. 13-10-94 Πνευμονική διήθηση δεξιούμέσου λοβού που απεδείχθη πνευμονίτιδα κοινής αιτιολογίας 20-10-94
  • 159.
    Α/Α Φ ΗΤΡΟΠΟΣ ΔΙΑΓΝΩΣΗΣ ΑΚΤΙΝΟΓΡΑΦΙΑ ΑΝΤΙΦΥΜΑΤΙΚΗ ΑΓΩΓΗ ΔΘ ΕΚΒΑΣΗ 24 Α 33 ΠΕΛ ΤΕ ΝΣ + Π.Ε. Μ.Ε. Λ.Ε. + R + ΙΝΗ + Μ + Z S + Νοσ. Σπ.14 ΙΑ + Ιν.Στ. Υπ.Βλ ΕΠ Θ. 24.α. 24.β. 14-08-98 Πνευμονία από φυματίωση ή φυματική λοβίτιδα αριστερού κάτω λοβού 01-09-98
  • 160.
  • 161.
    25.Ασθενής ηλικίας 16ετών, με νοσηλεία 40 ημερών σε ειδικό θεραπευτήριο 10-01-85 Με περιορισμένη πνευμονική φυματίωση στην αριστερά κορυφή και γενικευμένη λεμφανεδίτιδα, έφθασε στην φυματιώδη καχεξία και με αντιφυματική θεραπεία στο σπίτι, επιβίωσε.
  • 162.
    26. Ασθενής ηλικίας21 ετών με φυσιολογικό τοκετό στο Γενικό Νοσοκομείο Κομοτηνής και σύγχρονη εμφάνιση ασκίτου με πυρετό (νοσηλεία 5 ημερών). Διακομιδή στο Νοσοκομείο Α.Χ.Ε.Π.Α. Θεσσαλονίκης όπου και νοσηλεύτηκε για 45 ημέρες με διάγνωση φυματιώδους περιτονίτιδος. Διακομίσθηκε στο Γ. Παπανικολάου όπου νοσηλεύτηκε για 20 ημέρες και ολοκλήρωσε την αντιφυματική θεραπεία στο σπίτι με αποκατάσταση. Από τη σύγκριση των δύο α/α προκύπτει σαφής περιορισμός του πνευμονικού παρεγχύματος στην Α. 26.α. 16-10-84
  • 163.
    26.β. 27. Ασθενής ηλικίας36 ετών, νοσηλεύτηκε στην Παθολογική Κρατική του Γ.Ν. Αλεξανδρούπολης για 14 ημέρες και διάγνωση: κυστικός όγκος κοιλίας- ΤΒ πνευμόνων. Διακομίσθηκε στο Αγία Σοφία Θεσσαλονίκης όπου νοσηλεύτηκε για 1 μήνα. Ύστερα από λαπαροτομία και ιστολογική εξέταση διαπιστώθηκε φυματίωση περιτοναίου. Διακομίσθηκε στο Γ. Παπανικολάου όπου νοσηλεύτηκε για 2 μήνες και ολοκλήρωσε την αντιφυματική θεραπεία στο σπίτι με αποκατάσταση. Η ακτινογραφία θώρακος ήταν φυσιολογική γι'αυτό και δεν παρατίθεται.
  • 164.
    Χρόνια πνευμονική φυματίωσημε εντόπιση στο δεξιό άνω λοβό 28. Ασθενής ηλικίας 25 ετών με δεξιά άνω λοβίτιδα και τήξη, με αντιφυματική θεραπεία 14 μηνών στο σπίτι, αποκατάσταση. 28.α. 28.β.
  • 165.
  • 166.
  • 167.
    Α/Α Φ ΗΤΡΟΠΟΣ ΔΙΑΓΝΩΣΗΣ ΑΚΤΙΝΟΓΡΑΦΙΑ ΑΝΤΙΦΥΜΑΤΙΚΗ ΑΓΩΓΗ ΔΘ ΕΚΒΑΣΗ 29 Θ 20 ΠΕΛ ΤΕ ΝΣ + Π.Ε. Μ.Ε. + Λ.Ε. R + ΙΝΗ + Μ + Z S Νοσ. Σπ.14 ΙΑ + Ιν.Στ. Υπ.Βλ ΕΠ Θ. 29.α. 29.β. Λοβίτις δεξιού άνω λοβού με τήξη
  • 168.
  • 169.
    Α/Α Φ ΗΤΡΟΠΟΣ ΔΙΑΓΝΩΣΗΣ ΑΚΤΙΝΟΓΡΑΦΙΑ ΑΝΤΙΦΥΜΑΤΙΚΗ ΑΓΩΓΗ ΔΘ ΕΚΒΑΣΗ 30 Θ 21 ΠΕΛ ΤΕ ΝΣ + Π.Ε. Μ.Ε. + Λ.Ε. R + ΙΝΗ + Μ + Z S Νοσ. Σπ.14 ΙΑ + Ιν.Στ. Υπ.Βλ ΕΠ Θ. 30.α. 30.β. Δεξιά άνω λοβίτιδα με τήξη
  • 170.
  • 171.
    Α/Α Φ ΗΤΡΟΠΟΣ ΔΙΑΓΝΩΣΗΣ ΑΚΤΙΝΟΓΡΑΦΙΑ ΑΝΤΙΦΥΜΑΤΙΚΗ ΑΓΩΓΗ ΔΘ ΕΚΒΑΣΗ 31 Θ 26 ΠΕΛ ΤΕ ΝΣ + Π.Ε. Μ.Ε. + Λ.Ε. R + ΙΝΗ + Μ + Z S Νοσ. Σπ.12 ΙΑ + Ιν.Στ. Υπ.Βλ ΕΠ Θ. 31.α. 31.β. 21-02-85 Δεξιά άνω λοβίτιδα 15-10-85
  • 172.
    Α/Α Φ ΗΤΡΟΠΟΣ ΔΙΑΓΝΩΣΗΣ ΑΚΤΙΝΟΓΡΑΦΙΑ ΑΝΤΙΦΥΜΑΤΙΚΗ ΑΓΩΓΗ ΔΘ ΕΚΒΑΣΗ 32 Α 50 ΠΕΛ ΤΕ ΝΣ + Π.Ε. Μ.Ε. Λ.Ε. + R + ΙΝΗ + Μ + Z S + Νοσ. Σπ.16 ΙΑ + Ιν.Στ. Υπ.Βλ ΕΠ Θ. 32.α. 32.β. Διήθηση δεξιού άνω λοβού
  • 173.
    Α/Α Φ ΗΤΡΟΠΟΣ ΔΙΑΓΝΩΣΗΣ ΑΚΤΙΝΟΓΡΑΦΙΑ ΑΝΤΙΦΥΜΑΤΙΚΗ ΑΓΩΓΗ ΔΘ ΕΚΒΑΣΗ 33 Α 16 ΠΕΛ ΤΕ ΝΣ + Π.Ε. Μ.Ε. + Λ.Ε. R + ΙΝΗ + Μ + Z S Νοσ.1 Σπ.14 ΙΑ + Ιν.Στ. Υπ.Βλ ΕΠ Θ. 33.α. 33.β.
  • 174.
    Α/Α Φ ΗΤΡΟΠΟΣ ΔΙΑΓΝΩΣΗΣ ΑΚΤΙΝΟΓΡΑΦΙΑ ΑΝΤΙΦΥΜΑΤΙΚΗ ΑΓΩΓΗ ΔΘ ΕΚΒΑΣΗ 34 Α 62 ΠΕΛ ΤΕ ΝΣ + Π.Ε. Μ.Ε. + Λ.Ε. R + ΙΝΗ + Μ + Z S Νοσ. Σπ.14 ΙΑ + Ιν.Στ. Υπ.Βλ ΕΠ Θ. 34.α. 34.β. 26-02-87 26-02-87
  • 175.
  • 176.
    Α/Α Φ ΗΤΡΟΠΟΣ ΔΙΑΓΝΩΣΗΣ ΑΚΤΙΝΟΓΡΑΦΙΑ ΑΝΤΙΦΥΜΑΤΙΚΗ ΑΓΩΓΗ ΔΘ ΕΚΒΑΣΗ 35 Θ 19 ΠΕΛ ΤΕ ΝΣ + Π.Ε. Μ.Ε. + Λ.Ε. R + ΙΝΗ + Μ + Z S Νοσ. Σπ.14 ΙΑ + Ιν.Στ. Υπ.Βλ ΕΠ Θ. 35.α. 35.β.
  • 177.
    Α/Α Φ ΗΤΡΟΠΟΣ ΔΙΑΓΝΩΣΗΣ ΑΚΤΙΝΟΓΡΑΦΙΑ ΑΝΤΙΦΥΜΑΤΙΚΗ ΑΓΩΓΗ ΔΘ ΕΚΒΑΣΗ 36 Θ 16 ΠΕΛ ΤΕ ΝΣ + Π.Ε. Μ.Ε. + Λ.Ε. R + ΙΝΗ + Μ + Z S Νοσ. Σπ.14 ΙΑ + Ιν.Στ. Υπ.Βλ ΕΠ Θ. 36.α. 36.β. Φυσιολογική ακτινογραφία σαν επαφή
  • 178.
    36.γ. Α/Α Φ ΗΤΡΟΠΟΣ ΔΙΑΓΝΩΣΗΣ ΑΚΤΙΝΟΓΡΑΦΙΑ ΑΝΤΙΦΥΜΑΤΙΚΗ ΑΓΩΓΗ ΔΘ ΕΚΒΑΣΗ 37 Α 55 ΠΕΛ ΤΕ ΝΣ + Π.Ε. Μ.Ε. + Λ.Ε. R + ΙΝΗ + Μ + Z S Νοσ. Σπ.12 ΙΑ + Ιν.Στ. Υπ.Βλ + ΕΠ Θ. 37.α.
  • 179.
  • 180.
    Α/Α Φ ΗΤΡΟΠΟΣ ΔΙΑΓΝΩΣΗΣ ΑΚΤΙΝΟΓΡΑΦΙΑ ΑΝΤΙΦΥΜΑΤΙΚΗ ΑΓΩΓΗ ΔΘ ΕΚΒΑΣΗ 38 Α 21 ΠΕΛ ΤΕ ΝΣ + Π.Ε. Μ.Ε. + Λ.Ε. R + ΙΝΗ + Μ + Z + S Νοσ. Σπ.14 ΙΑ + Ιν.Στ. Υπ.Βλ + ΕΠ Θ. 38.α. 38.β.
  • 181.
    Χρόνια πνευμονική φυματίωσημε εντόπιση στον κορυφαίο του κάτω λοβού Α/Α Φ Η ΤΡΟΠΟΣ ΔΙΑΓΝΩΣΗΣ ΑΚΤΙΝΟΓΡΑΦΙΑ ΑΝΤΙΦΥΜΑΤΙΚΗ ΑΓΩΓΗ ΔΘ ΕΚΒΑΣΗ 39 Θ 17 ΠΕΛ ΤΕ ΝΣ + Π.Ε. + Μ.Ε. Λ.Ε. R + ΙΝΗ + Μ + Z S Νοσ. Σπ.12 ΙΑ + Ιν.Στ. Υπ.Βλ ΕΠ Θ. 39.α. 39.β. Φυσιολογική ακτινογραφία σαν επαφή Πυλαία αδενίτιδα δεξιά
  • 182.
  • 183.
    Α/Α Φ ΗΤΡΟΠΟΣ ΔΙΑΓΝΩΣΗΣ ΑΚΤΙΝΟΓΡΑΦΙΑ ΑΝΤΙΦΥΜΑΤΙΚΗ ΑΓΩΓΗ ΔΘ ΕΚΒΑΣΗ 40 Α 21 ΠΕΛ ΤΕ ΝΣ + Π.Ε. + Μ.Ε. Λ.Ε. R + ΙΝΗ + Μ + Z S Νοσ. Σπ.12 ΙΑ + Ιν.Στ. Υπ.Βλ ΕΠ Θ. 40.α. 40.β. 22-06-87 17-01-89 Σπήλαιο στον κορυφαίο του δεξιού κάτω λοβού
  • 184.
    Α/Α Φ ΗΤΡΟΠΟΣ ΔΙΑΓΝΩΣΗΣ ΑΚΤΙΝΟΓΡΑΦΙΑ ΑΝΤΙΦΥΜΑΤΙΚΗ ΑΓΩΓΗ ΔΘ ΕΚΒΑΣΗ 41 Α 20 ΠΕΛ ΤΕ ΝΣ + Π.Ε. Μ.Ε. + Λ.Ε. R + ΙΝΗ + Μ + Z + S Νοσ. Σπ.14 ΙΑ + Ιν.Στ. Υπ.Βλ ΕΠ Θ. 41.α. 41.β. Φυσιολογική σαν επαφή
  • 185.
  • 186.
    Α/Α Φ ΗΤΡΟΠΟΣ ΔΙΑΓΝΩΣΗΣ ΑΚΤΙΝΟΓΡΑΦΙΑ ΑΝΤΙΦΥΜΑΤΙΚΗ ΑΓΩΓΗ ΔΘ ΕΚΒΑΣΗ 42 Θ 49 ΠΕΛ ΤΕ ΝΣ + Π.Ε. Μ.Ε. + Λ.Ε. R + ΙΝΗ + Μ + Z S Νοσ. Σπ.14 ΙΑ + Ιν.Στ. Υπ.Βλ ΕΠ Θ. 42.α. 42.β. 21-11-88
  • 187.
  • 188.
  • 189.
    Α/Α Φ ΗΤΡΟΠΟΣ ΔΙΑΓΝΩΣΗΣ ΑΚΤΙΝΟΓΡΑΦΙΑ ΑΝΤΙΦΥΜΑΤΙΚΗ ΑΓΩΓΗ ΔΘ ΕΚΒΑΣΗ 43 Α 56 ΠΕΛ ΤΕ ΝΣ + Π.Ε. Μ.Ε. + Λ.Ε. R + ΙΝΗ + Μ + Z S Νοσ.1 Σπ.12 ΙΑ + Ιν.Στ. Υπ.Βλ + ΕΠ Θ. 43.α. 43.β. 6,5 εκ.
  • 190.
  • 191.
    Α/Α Φ ΗΤΡΟΠΟΣ ΔΙΑΓΝΩΣΗΣ ΑΚΤΙΝΟΓΡΑΦΙΑ ΑΝΤΙΦΥΜΑΤΙΚΗ ΑΓΩΓΗ ΔΘ ΕΚΒΑΣΗ 44 Θ 34 ΠΕΛ ΤΕ ΝΣ + Π.Ε. Μ.Ε. + Λ.Ε. R + ΙΝΗ + Μ + Z S Νοσ. Σπ.14 ΙΑ + Ιν.Στ. Υπ.Βλ ΕΠ Θ. 44.α. 44.β. 17-08-77 26-09-77
  • 192.
  • 193.
    Α/Α Φ ΗΤΡΟΠΟΣ ΔΙΑΓΝΩΣΗΣ ΑΚΤΙΝΟΓΡΑΦΙΑ ΑΝΤΙΦΥΜΑΤΙΚΗ ΑΓΩΓΗ ΔΘ ΕΚΒΑΣΗ 45 Α 30 ΠΕΛ ΤΕ ΝΣ + Π.Ε. Μ.Ε. + Λ.Ε. R + ΙΝΗ + Μ + Z S Νοσ. Σπ.14 ΙΑ + Ιν.Στ. Υπ.Βλ ΕΠ Θ. 45.α. 45.β.
  • 194.
    45.γ. Α/Α Φ ΗΤΡΟΠΟΣ ΔΙΑΓΝΩΣΗΣ ΑΚΤΙΝΟΓΡΑΦΙΑ ΑΝΤΙΦΥΜΑΤΙΚΗ ΑΓΩΓΗ ΔΘ ΕΚΒΑΣΗ 46 Α 16 ΠΕΛ ΤΕ + ΝΣ Π.Ε. + Μ.Ε. Λ.Ε. R + ΙΝΗ + Μ + Z S Νοσ. Σπ.14 ΙΑ + Ιν.Στ. Υπ.Βλ ΕΠ Θ. 46.α. επαφή
  • 195.
  • 196.
  • 197.
    Α/Α Φ ΗΤΡΟΠΟΣ ΔΙΑΓΝΩΣΗΣ ΑΚΤΙΝΟΓΡΑΦΙΑ ΑΝΤΙΦΥΜΑΤΙΚΗ ΑΓΩΓΗ ΔΘ ΕΚΒΑΣΗ 47 Θ 37 ΠΕΛ ΤΕ ΝΣ + Π.Ε. + Μ.Ε. Λ.Ε. R + ΙΝΗ + Μ + Z S Νοσ. Σπ.14 ΙΑ + Ιν.Στ. Υπ.Βλ ΕΠ Θ. 47.α. 47.β. 04-05-79
  • 198.
    47.γ. Α/Α Φ ΗΤΡΟΠΟΣ ΔΙΑΓΝΩΣΗΣ ΑΚΤΙΝΟΓΡΑΦΙΑ ΑΝΤΙΦΥΜΑΤΙΚΗ ΑΓΩΓΗ ΔΘ ΕΚΒΑΣΗ 48 Θ 24 ΠΕΛ ΤΕ ΝΣ + Π.Ε. + Μ.Ε. Λ.Ε. R + ΙΝΗ + Μ + Z S Νοσ. Σπ.14 ΙΑ + Ιν.Στ. Υπ.Βλ ΕΠ Θ. 48.α. 05-06-79 20-02-82
  • 199.
    48.β. Α/Α Φ ΗΤΡΟΠΟΣ ΔΙΑΓΝΩΣΗΣ ΑΚΤΙΝΟΓΡΑΦΙΑ ΑΝΤΙΦΥΜΑΤΙΚΗ ΑΓΩΓΗ ΔΘ ΕΚΒΑΣΗ 49 Θ 34 ΠΕΛ ΤΕ ΝΣ + Π.Ε. + Μ.Ε. Λ.Ε. R + ΙΝΗ + Μ + Z S Νοσ. Σπ.12 ΙΑ + Ιν.Στ. Υπ.Βλ ΕΠ Θ. 49.α. 14-03-83
  • 200.
    49.β. Α/Α Φ ΗΤΡΟΠΟΣ ΔΙΑΓΝΩΣΗΣ ΑΚΤΙΝΟΓΡΑΦΙΑ ΑΝΤΙΦΥΜΑΤΙΚΗ ΑΓΩΓΗ ΔΘ ΕΚΒΑΣΗ 50 Α 23 ΠΕΛ ΤΕ ΝΣ + Π.Ε. + Μ.Ε. Λ.Ε. R + ΙΝΗ + Μ + Z S Νοσ. Σπ.14 ΙΑ + Ιν.Στ. Υπ.Βλ ΕΠ Θ. 50.α.
  • 201.
  • 202.
    Α/Α Φ ΗΤΡΟΠΟΣ ΔΙΑΓΝΩΣΗΣ ΑΚΤΙΝΟΓΡΑΦΙΑ ΑΝΤΙΦΥΜΑΤΙΚΗ ΑΓΩΓΗ ΔΘ ΕΚΒΑΣΗ 51 Α 26 ΠΕΛ ΤΕ ΝΣ + Π.Ε. Μ.Ε. + Λ.Ε. R + ΙΝΗ + Μ + Z S Νοσ. Σπ.12 ΙΑ + Ιν.Στ. Υπ.Βλ ΕΠ Θ. 51.α. 51.β.
  • 203.
  • 204.
    Α/Α Φ ΗΤΡΟΠΟΣ ΔΙΑΓΝΩΣΗΣ ΑΚΤΙΝΟΓΡΑΦΙΑ ΑΝΤΙΦΥΜΑΤΙΚΗ ΑΓΩΓΗ ΔΘ ΕΚΒΑΣΗ 52 Θ 40 ΠΕΛ ΤΕ ΝΣ + Π.Ε. Μ.Ε. + Λ.Ε. R + ΙΝΗ + Μ + Z S Νοσ. Σπ.14 ΙΑ + Ιν.Στ. Υπ.Βλ ΕΠ Θ. 52.α. 52.β.
  • 205.
  • 206.
    5 περιπτώσεις μεβρογχική διασπορά και επασβεστίωση στη συνέχεια. Α/Α Φ Η ΤΡΟΠΟΣ ΔΙΑΓΝΩΣΗΣ ΑΚΤΙΝΟΓΡΑΦΙΑ ΑΝΤΙΦΥΜΑΤΙΚΗ ΑΓΩΓΗ ΔΘ ΕΚΒΑΣΗ 53 Α 20 ΠΕΛ ΤΕ ΝΣ + Π.Ε. Μ.Ε. Λ.Ε. + R + ΙΝΗ + Μ + Z + S Νοσ. Σπ.18 ΙΑ + Ιν.Στ. Υπ.Βλ + ΕΠ + Θ. 53.α. 53.β. Φυματίωση αριστερού άνω λοβού και δεξιού με ρίκνωση και σπήλαιο
  • 207.
  • 208.
    53.ε. Α/Α Φ ΗΤΡΟΠΟΣ ΔΙΑΓΝΩΣΗΣ ΑΚΤΙΝΟΓΡΑΦΙΑ ΑΝΤΙΦΥΜΑΤΙΚΗ ΑΓΩΓΗ ΔΘ ΕΚΒΑΣΗ 54 Α 34 ΠΕΛ ΤΕ ΝΣ + Π.Ε. Μ.Ε. Λ.Ε. + R + ΙΝΗ + Μ + Z S + Νοσ. Σπ.16 ΙΑ + Ιν.Στ. Υπ.Βλ ΕΠ + Θ. 54.α.
  • 209.
  • 210.
  • 211.
    Α/Α Φ ΗΤΡΟΠΟΣ ΔΙΑΓΝΩΣΗΣ ΑΚΤΙΝΟΓΡΑΦΙΑ ΑΝΤΙΦΥΜΑΤΙΚΗ ΑΓΩΓΗ ΔΘ ΕΚΒΑΣΗ 55 Α 42 ΠΕΛ ΤΕ ΝΣ + Π.Ε. Μ.Ε. + Λ.Ε. R + ΙΝΗ + Μ + Z S + Νοσ.1 Σπ.14 ΙΑ + Ιν.Στ. Υπ.Βλ ΕΠ + Θ. 55.α. 55.β. Φυματικές αλλοιώσεις αριστερού πνεύμονα
  • 212.
  • 213.
    55.ε. Α/Α Φ ΗΤΡΟΠΟΣ ΔΙΑΓΝΩΣΗΣ ΑΚΤΙΝΟΓΡΑΦΙΑ ΑΝΤΙΦΥΜΑΤΙΚΗ ΑΓΩΓΗ ΔΘ ΕΚΒΑΣΗ 56 Α 46 ΠΕΛ ΤΕ ΝΣ + Π.Ε. Μ.Ε. Λ.Ε. + R + ΙΝΗ + Μ + Z S + Νοσ. Σπ.16 ΙΑ + Ιν.Στ. Υπ.Βλ + ΕΠ + Θ. 56.α. 12-11-96 Σπηλαιώδης πνευμονική φυματίωση δεξιού άνω λοβού με βρογχική διασπορά στον αριστερό πνεύμονα
  • 214.
  • 215.
  • 216.
    56.στ. Α/Α Φ ΗΤΡΟΠΟΣ ΔΙΑΓΝΩΣΗΣ ΑΚΤΙΝΟΓΡΑΦΙΑ ΑΝΤΙΦΥΜΑΤΙΚΗ ΑΓΩΓΗ ΔΘ ΕΚΒΑΣΗ 57 Α 50 ΠΕΛ ΤΕ ΝΣ + Π.Ε. Μ.Ε. Λ.Ε. + R + ΙΝΗ + Μ + Z + S Νοσ. Σπ.14 ΙΑ + Ιν.Στ. Υπ.Βλ + ΕΠ + Θ. 57.α. 12-06-84 Εκτεταμένες φυματικές αλλοιώσεις αμφοτέρων των πνευμόνων με ρίκνωση του δεξιού άνω λοβού και σπήλαιο
  • 217.
  • 218.
    Α/Α Φ ΗΤΡΟΠΟΣ ΔΙΑΓΝΩΣΗΣ ΑΚΤΙΝΟΓΡΑΦΙΑ ΑΝΤΙΦΥΜΑΤΙΚΗ ΑΓΩΓΗ ΔΘ ΕΚΒΑΣΗ 58 Α 20 ΠΕΛ ΤΕ ΝΣ + Π.Ε. Μ.Ε. + Λ.Ε. R + ΙΝΗ + Μ + Z S Νοσ. Σπ.14 ΙΑ + Ιν.Στ. Υπ.Βλ ΕΠ Θ. 58.α. 58.β. Διήθηση δεξιού άνω λοβού Φυσιολογική
  • 219.
    58.γ. Α/Α Φ ΗΤΡΟΠΟΣ ΔΙΑΓΝΩΣΗΣ ΑΚΤΙΝΟΓΡΑΦΙΑ ΑΝΤΙΦΥΜΑΤΙΚΗ ΑΓΩΓΗ ΔΘ ΕΚΒΑΣΗ 59 Α 50 ΠΕΛ ΤΕ ΝΣ + Π.Ε. Μ.Ε. Λ.Ε. + R + ΙΝΗ + Μ + Z S + Νοσ.10 Σπ.14 ΙΑ + Ιν.Στ. Υπ.Βλ + ΕΠ Θ. 59.α.
  • 220.
    59.β. Α/Α Φ ΗΤΡΟΠΟΣ ΔΙΑΓΝΩΣΗΣ ΑΚΤΙΝΟΓΡΑΦΙΑ ΑΝΤΙΦΥΜΑΤΙΚΗ ΑΓΩΓΗ ΔΘ ΕΚΒΑΣΗ 60 Θ 30 ΠΕΛ ΤΕ ΝΣ + Π.Ε. Μ.Ε. Λ.Ε. + R + ΙΝΗ + Μ + Z + S Νοσ. Σπ.14 ΙΑ + Ιν.Στ. Υπ.Βλ + ΕΠ Θ. 60.α. 11-07-80
  • 221.
  • 222.
  • 223.
    Α/Α Φ ΗΤΡΟΠΟΣ ΔΙΑΓΝΩΣΗΣ ΑΚΤΙΝΟΓΡΑΦΙΑ ΑΝΤΙΦΥΜΑΤΙΚΗ ΑΓΩΓΗ ΔΘ ΕΚΒΑΣΗ 61 Θ 35 ΠΕΛ ΤΕ ΝΣ + Π.Ε. Μ.Ε. + Λ.Ε. R + ΙΝΗ + Μ + Z S + Νοσ. Σπ.14 ΙΑ + Ιν.Στ. Υπ.Βλ + ΕΠ Θ. 61.α. 61.β.
  • 224.
  • 225.
  • 226.
    Α/Α Φ ΗΤΡΟΠΟΣ ΔΙΑΓΝΩΣΗΣ ΑΚΤΙΝΟΓΡΑΦΙΑ ΑΝΤΙΦΥΜΑΤΙΚΗ ΑΓΩΓΗ ΔΘ ΕΚΒΑΣΗ 62 Θ 16 ΠΕΛ ΤΕ ΝΣ + Π.Ε. + Μ.Ε. Λ.Ε. R + ΙΝΗ + Μ + Z S Νοσ. Σπ.14 ΙΑ + Ιν.Στ. Υπ.Βλ ΕΠ Θ. 62.α. 62.β. 09-03-78 16-09-88 επαφή
  • 227.
    62.γ. Α/Α Φ ΗΤΡΟΠΟΣ ΔΙΑΓΝΩΣΗΣ ΑΚΤΙΝΟΓΡΑΦΙΑ ΑΝΤΙΦΥΜΑΤΙΚΗ ΑΓΩΓΗ ΔΘ ΕΚΒΑΣΗ 63 Θ 22 ΠΕΛ ΤΕ ΝΣ + Π.Ε. + Μ.Ε. Λ.Ε. R + ΙΝΗ + Μ + Z S Νοσ. Σπ.14 ΙΑ + Ιν.Στ. Υπ.Βλ ΕΠ Θ. 63.α. 13-11-78
  • 228.
  • 229.
    63.δ. Α/Α Φ ΗΤΡΟΠΟΣ ΔΙΑΓΝΩΣΗΣ ΑΚΤΙΝΟΓΡΑΦΙΑ ΑΝΤΙΦΥΜΑΤΙΚΗ ΑΓΩΓΗ ΔΘ ΕΚΒΑΣΗ 64 Α 17 ΠΕΛ ΤΕ ΝΣ + Π.Ε. + Μ.Ε. Λ.Ε. R + ΙΝΗ + Μ + Z S Νοσ. Σπ.14 ΙΑ + Ιν.Στ. Υπ.Βλ ΕΠ Θ. 64.α. Φυσιολογική ακτινογραφία σαν επαφή της προηγούμενης περίπτωσης
  • 230.
    64.β. Περιορισμένη διήθησηδεξιάς κορυφής 64.γ.
  • 231.
  • 232.
    Α/Α Φ ΗΤΡΟΠΟΣ ΔΙΑΓΝΩΣΗΣ ΑΚΤΙΝΟΓΡΑΦΙΑ ΑΝΤΙΦΥΜΑΤΙΚΗ ΑΓΩΓΗ ΔΘ ΕΚΒΑΣΗ 65 Θ 20 ΠΕΛ ΤΕ ΝΣ + Π.Ε. Μ.Ε. + Λ.Ε. R + ΙΝΗ + Μ + Z S Νοσ. Σπ.12 ΙΑ + Ιν.Στ. Υπ.Βλ ΕΠ Θ. 65.α. 65.β. 15-06-88
  • 233.
    Α/Α Φ ΗΤΡΟΠΟΣ ΔΙΑΓΝΩΣΗΣ ΑΚΤΙΝΟΓΡΑΦΙΑ ΑΝΤΙΦΥΜΑΤΙΚΗ ΑΓΩΓΗ ΔΘ ΕΚΒΑΣΗ 66 Α 52 ΠΕΛ ΤΕ ΝΣ + Π.Ε. Μ.Ε. + Λ.Ε. R + ΙΝΗ + Μ + Z S Νοσ. Σπ.14 ΙΑ + Ιν.Στ. Υπ.Βλ ΕΠ Θ. 66.α. 66.β.
  • 234.
    66.γ. Α/Α Φ ΗΤΡΟΠΟΣ ΔΙΑΓΝΩΣΗΣ ΑΚΤΙΝΟΓΡΑΦΙΑ ΑΝΤΙΦΥΜΑΤΙΚΗ ΑΓΩΓΗ ΔΘ ΕΚΒΑΣΗ 67 Α 22 ΠΕΛ ΤΕ ΝΣ + Π.Ε. Μ.Ε. + Λ.Ε. R + ΙΝΗ + Μ + Z S Νοσ. Σπ.14 ΙΑ + Ιν.Στ. Υπ.Βλ ΕΠ Θ. 67.α. 28-07-78
  • 235.
  • 236.
    Α/Α Φ ΗΤΡΟΠΟΣ ΔΙΑΓΝΩΣΗΣ ΑΚΤΙΝΟΓΡΑΦΙΑ ΑΝΤΙΦΥΜΑΤΙΚΗ ΑΓΩΓΗ ΔΘ ΕΚΒΑΣΗ 68 Α 22 ΠΕΛ ΤΕ ΝΣ + Π.Ε. Μ.Ε. + Λ.Ε. R + ΙΝΗ + Μ + Z S Νοσ.1 Σπ.12 ΙΑ + Ιν.Στ. Υπ.Βλ + ΕΠ Θ. 68.α. Τετραλογία Fallot και κεχροειδής διασπορά 68.β.
  • 237.
    Α/Α Φ ΗΤΡΟΠΟΣ ΔΙΑΓΝΩΣΗΣ ΑΚΤΙΝΟΓΡΑΦΙΑ ΑΝΤΙΦΥΜΑΤΙΚΗ ΑΓΩΓΗ ΔΘ ΕΚΒΑΣΗ 69 Θ 17 ΠΕΛ ΤΕ ΝΣ + Π.Ε. + Μ.Ε. Λ.Ε. R + ΙΝΗ + Μ + Z S Νοσ. Σπ.12 ΙΑ + Ιν.Στ. Υπ.Βλ ΕΠ Θ. 69.α. 69.β. 22-08-91
  • 238.
  • 239.
    Α/Α Φ ΗΤΡΟΠΟΣ ΔΙΑΓΝΩΣΗΣ ΑΚΤΙΝΟΓΡΑΦΙΑ ΑΝΤΙΦΥΜΑΤΙΚΗ ΑΓΩΓΗ ΔΘ ΕΚΒΑΣΗ 70 Α 40 ΠΕΛ ΤΕ ΝΣ + Π.Ε. Μ.Ε. + Λ.Ε. R + ΙΝΗ + Μ + Z S Νοσ.5 Σπ.14 ΙΑ + Ιν.Στ. Υπ.Βλ ΕΠ Θ. 70.α. 70.β.
  • 240.
    Α/Α Φ ΗΤΡΟΠΟΣ ΔΙΑΓΝΩΣΗΣ ΑΚΤΙΝΟΓΡΑΦΙΑ ΑΝΤΙΦΥΜΑΤΙΚΗ ΑΓΩΓΗ ΔΘ ΕΚΒΑΣΗ 71 Θ 20 ΠΕΛ ΤΕ ΝΣ + Π.Ε. Μ.Ε. Λ.Ε. + R + ΙΝΗ + Μ + Z S + Νοσ. Σπ.14 ΙΑ + Ιν.Στ. Υπ.Βλ ΕΠ Θ. 71.α. 71.β. 02-08-77 03-08-77
  • 241.
    71.γ. Α/Α Φ ΗΤΡΟΠΟΣ ΔΙΑΓΝΩΣΗΣ ΑΚΤΙΝΟΓΡΑΦΙΑ ΑΝΤΙΦΥΜΑΤΙΚΗ ΑΓΩΓΗ ΔΘ ΕΚΒΑΣΗ 72 Θ 19 ΠΕΛ ΤΕ ΝΣ + Π.Ε. Μ.Ε. + Λ.Ε. R + ΙΝΗ + Μ + Z S Νοσ. Σπ.14 ΙΑ + Ιν.Στ. Υπ.Βλ ΕΠ Θ. 72.α.
  • 242.
  • 243.
    Α/Α Φ ΗΤΡΟΠΟΣ ΔΙΑΓΝΩΣΗΣ ΑΚΤΙΝΟΓΡΑΦΙΑ ΑΝΤΙΦΥΜΑΤΙΚΗ ΑΓΩΓΗ ΔΘ ΕΚΒΑΣΗ 73 Α 36 ΠΕΛ ΤΕ ΝΣ + Π.Ε. Μ.Ε. + Λ.Ε. R + ΙΝΗ + Μ + Z S Νοσ. Σπ.16 ΙΑ + Ιν.Στ. Υπ.Βλ + ΕΠ Θ. 73.α. 73.β.
  • 244.
    73.γ. Α/Α Φ ΗΤΡΟΠΟΣ ΔΙΑΓΝΩΣΗΣ ΑΚΤΙΝΟΓΡΑΦΙΑ ΑΝΤΙΦΥΜΑΤΙΚΗ ΑΓΩΓΗ ΔΘ ΕΚΒΑΣΗ 74 Θ 22 ΠΕΛ ΤΕ ΝΣ + Π.Ε. Μ.Ε. + Λ.Ε. R + ΙΝΗ + Μ + Z S Νοσ. Σπ.14 ΙΑ + Ιν.Στ. Υπ.Βλ ΕΠ Θ. 74.α. 18-06-79
  • 245.
    74.β. Α/Α Φ ΗΤΡΟΠΟΣ ΔΙΑΓΝΩΣΗΣ ΑΚΤΙΝΟΓΡΑΦΙΑ ΑΝΤΙΦΥΜΑΤΙΚΗ ΑΓΩΓΗ ΔΘ ΕΚΒΑΣΗ 75 Θ 22 ΠΕΛ ΤΕ ΝΣ + Π.Ε. + Μ.Ε. Λ.Ε. R + ΙΝΗ + Μ + Z S Νοσ. Σπ.14 ΙΑ + Ιν.Στ. Υπ.Βλ ΕΠ Θ. 75.α.
  • 246.
  • 247.
    75.δ. Α/Α Φ ΗΤΡΟΠΟΣ ΔΙΑΓΝΩΣΗΣ ΑΚΤΙΝΟΓΡΑΦΙΑ ΑΝΤΙΦΥΜΑΤΙΚΗ ΑΓΩΓΗ ΔΘ ΕΚΒΑΣΗ 76 Θ 25 ΠΕΛ ΤΕ ΝΣ + Π.Ε. Μ.Ε. Λ.Ε. + R + ΙΝΗ + Μ + Z + S Νοσ. Σπ.14 ΙΑ + Ιν.Στ. Υπ.Βλ ΕΠ Θ. 76.α. Περιορισμένες διηθήσεις αμφοτέρων των κορυφών, κύρια δεξιά
  • 248.
  • 249.
    Α/Α Φ ΗΤΡΟΠΟΣ ΔΙΑΓΝΩΣΗΣ ΑΚΤΙΝΟΓΡΑΦΙΑ ΑΝΤΙΦΥΜΑΤΙΚΗ ΑΓΩΓΗ ΔΘ ΕΚΒΑΣΗ 77 Θ 19 ΠΕΛ ΤΕ ΝΣ + Π.Ε. + Μ.Ε. Λ.Ε. R + ΙΝΗ + Μ + Z S Νοσ. Σπ.14 ΙΑ + Ιν.Στ. Υπ.Βλ ΕΠ Θ. 77.α. 08-07-80
  • 250.
    77.β. Α/Α Φ ΗΤΡΟΠΟΣ ΔΙΑΓΝΩΣΗΣ ΑΚΤΙΝΟΓΡΑΦΙΑ ΑΝΤΙΦΥΜΑΤΙΚΗ ΑΓΩΓΗ ΔΘ ΕΚΒΑΣΗ 78 Α 15 ΠΕΛ ΤΕ ΝΣ + Π.Ε. Μ.Ε. + Λ.Ε. R + ΙΝΗ + Μ + Z S Νοσ.2 Σπ.10 ΙΑ + Ιν.Στ. Υπ.Βλ ΕΠ Θ. 78.α. 07-07-87 φυσιολογική
  • 251.
    78.β. Α/Α Φ ΗΤΡΟΠΟΣ ΔΙΑΓΝΩΣΗΣ ΑΚΤΙΝΟΓΡΑΦΙΑ ΑΝΤΙΦΥΜΑΤΙΚΗ ΑΓΩΓΗ ΔΘ ΕΚΒΑΣΗ 79 Α 42 ΠΕΛ ΤΕ ΝΣ + Π.Ε. Μ.Ε. + Λ.Ε. R + ΙΝΗ + Μ + Z S Νοσ. Σπ.12 ΙΑ + Ιν.Στ. Υπ.Βλ ΕΠ Θ. 79.α. 12-06-89 9,5 εκ. 5,7 εκ. περικαρδίτις
  • 252.
    79.β. Α/Α Φ ΗΤΡΟΠΟΣ ΔΙΑΓΝΩΣΗΣ ΑΚΤΙΝΟΓΡΑΦΙΑ ΑΝΤΙΦΥΜΑΤΙΚΗ ΑΓΩΓΗ ΔΘ ΕΚΒΑΣΗ 80 Θ 24 ΠΕΛ ΤΕ ΝΣ + Π.Ε. Μ.Ε. + Λ.Ε. R + ΙΝΗ + Μ + Z S Νοσ. Σπ.12 ΙΑ + Ιν.Στ. Υπ.Βλ ΕΠ Θ. 80.α.
  • 253.
    80.β. Α/Α Φ ΗΤΡΟΠΟΣ ΔΙΑΓΝΩΣΗΣ ΑΚΤΙΝΟΓΡΑΦΙΑ ΑΝΤΙΦΥΜΑΤΙΚΗ ΑΓΩΓΗ ΔΘ ΕΚΒΑΣΗ 81 Α 48 ΠΕΛ ΤΕ ΝΣ + Π.Ε. Μ.Ε. Λ.Ε. + R + ΙΝΗ + Μ + Z + S Νοσ.6 Σπ.12 ΙΑ + Ιν.Στ. Υπ.Βλ + ΕΠ Θ. 81.α.
  • 254.
  • 255.
    Α/Α Φ ΗΤΡΟΠΟΣ ΔΙΑΓΝΩΣΗΣ ΑΚΤΙΝΟΓΡΑΦΙΑ ΑΝΤΙΦΥΜΑΤΙΚΗ ΑΓΩΓΗ ΔΘ ΕΚΒΑΣΗ 82 Α 22 ΠΕΛ ΤΕ ΝΣ + Π.Ε. Μ.Ε. + Λ.Ε. R + ΙΝΗ + Μ + Z S Νοσ. Σπ.12 ΙΑ + Ιν.Στ. Υπ.Βλ + ΕΠ Θ. 82.α. Επαφή της περίπτωσης 81 82.β.
  • 256.
    Α/Α Φ ΗΤΡΟΠΟΣ ΔΙΑΓΝΩΣΗΣ ΑΚΤΙΝΟΓΡΑΦΙΑ ΑΝΤΙΦΥΜΑΤΙΚΗ ΑΓΩΓΗ ΔΘ ΕΚΒΑΣΗ 83 Α 17 ΠΕΛ ΤΕ ΝΣ + Π.Ε. Μ.Ε. + Λ.Ε. R + ΙΝΗ + Μ + Z S Νοσ. Σπ.12 ΙΑ + Ιν.Στ. Υπ.Βλ ΕΠ Θ. 83.α. Επαφή της περίπτωσης 81 83.β.
  • 257.
    Α/Α Φ ΗΤΡΟΠΟΣ ΔΙΑΓΝΩΣΗΣ ΑΚΤΙΝΟΓΡΑΦΙΑ ΑΝΤΙΦΥΜΑΤΙΚΗ ΑΓΩΓΗ ΔΘ ΕΚΒΑΣΗ 84 Α 32 ΠΕΛ ΤΕ ΝΣ + Π.Ε. + Μ.Ε. Λ.Ε. R + ΙΝΗ + Μ + Z S Νοσ. Σπ.14 ΙΑ + Ιν.Στ. Υπ.Βλ ΕΠ Θ. 84.α. Διήθηση δεξιάς κορυφοϋποκλειδίου χώρας 84.β.
  • 258.
    84.γ. Α/Α Φ ΗΤΡΟΠΟΣ ΔΙΑΓΝΩΣΗΣ ΑΚΤΙΝΟΓΡΑΦΙΑ ΑΝΤΙΦΥΜΑΤΙΚΗ ΑΓΩΓΗ ΔΘ ΕΚΒΑΣΗ 85 Θ 51 ΠΕΛ ΤΕ ΝΣ + Π.Ε. + Μ.Ε. Λ.Ε. R + ΙΝΗ + Μ + Z S Νοσ. Σπ.15 ΙΑ + Ιν.Στ. Υπ.Βλ ΕΠ Θ. 85.α.
  • 259.
    85.β. Α/Α Φ ΗΤΡΟΠΟΣ ΔΙΑΓΝΩΣΗΣ ΑΚΤΙΝΟΓΡΑΦΙΑ ΑΝΤΙΦΥΜΑΤΙΚΗ ΑΓΩΓΗ ΔΘ ΕΚΒΑΣΗ 86 Θ 28 ΠΕΛ ΤΕ ΝΣ + Π.Ε. + Μ.Ε. Λ.Ε. R + ΙΝΗ + Μ + Z S Νοσ. Σπ.12 ΙΑ + Ιν.Στ. Υπ.Βλ ΕΠ Θ. 86.α.
  • 260.
  • 261.
    Α/Α Φ ΗΤΡΟΠΟΣ ΔΙΑΓΝΩΣΗΣ ΑΚΤΙΝΟΓΡΑΦΙΑ ΑΝΤΙΦΥΜΑΤΙΚΗ ΑΓΩΓΗ ΔΘ ΕΚΒΑΣΗ 87 Θ 63 ΠΕΛ ΤΕ ΝΣ + Π.Ε. Μ.Ε. Λ.Ε. + R + ΙΝΗ + Μ + Z S + Νοσ.4 Σπ.12 ΙΑ Ιν.Στ. Υπ.Βλ ΕΠ Θ. + 87.α. Ύστερα από μακρά αντιφυματική αγωγή στο νοσοκομείο και στο σπίτι, έφθασε στη φυματιώδη καχεξία και τον θάνατο 87.β.
  • 262.
    Α/Α Φ ΗΤΡΟΠΟΣ ΔΙΑΓΝΩΣΗΣ ΑΚΤΙΝΟΓΡΑΦΙΑ ΑΝΤΙΦΥΜΑΤΙΚΗ ΑΓΩΓΗ ΔΘ ΕΚΒΑΣΗ 88 Α 60 ΠΕΛ ΤΕ ΝΣ + Π.Ε. Μ.Ε. + Λ.Ε. R + ΙΝΗ + Μ + Z S Νοσ. Σπ.12 ΙΑ + Ιν.Στ. Υπ.Βλ ΕΠ Θ. 88.α. 88.β.
  • 263.
    88.γ. Α/Α Φ ΗΤΡΟΠΟΣ ΔΙΑΓΝΩΣΗΣ ΑΚΤΙΝΟΓΡΑΦΙΑ ΑΝΤΙΦΥΜΑΤΙΚΗ ΑΓΩΓΗ ΔΘ ΕΚΒΑΣΗ 89 Α 23 ΠΕΛ ΤΕ ΝΣ + Π.Ε. Μ.Ε. + Λ.Ε. R + ΙΝΗ + Μ + Z S Νοσ. Σπ.12 ΙΑ + Ιν.Στ. Υπ.Βλ ΕΠ Θ. 89.α.
  • 264.
  • 265.
    89.δ. Α/Α Φ ΗΤΡΟΠΟΣ ΔΙΑΓΝΩΣΗΣ ΑΚΤΙΝΟΓΡΑΦΙΑ ΑΝΤΙΦΥΜΑΤΙΚΗ ΑΓΩΓΗ ΔΘ ΕΚΒΑΣΗ 90 Α 21 ΠΕΛ ΤΕ ΝΣ + Π.Ε. Μ.Ε. + Λ.Ε. R + ΙΝΗ + Μ + Z S Νοσ.1 Σπ.12 ΙΑ + Ιν.Στ. Υπ.Βλ ΕΠ Θ. 90.α. Σπουδαστής, με φυματίωση δεξιού άνω λοβού, ολοκλήρωσε την αντιφυματική θεραπεία στη γενέτειρά του
  • 266.
  • 267.
    Α/Α Φ ΗΤΡΟΠΟΣ ΔΙΑΓΝΩΣΗΣ ΑΚΤΙΝΟΓΡΑΦΙΑ ΑΝΤΙΦΥΜΑΤΙΚΗ ΑΓΩΓΗ ΔΘ ΕΚΒΑΣΗ 91 Α 17 ΠΕΛ ΤΕ ΝΣ + Π.Ε. + Μ.Ε. Λ.Ε. R + ΙΝΗ + Μ + Z S Νοσ. Σπ.12 ΙΑ + Ιν.Στ. Υπ.Βλ ΕΠ Θ. 91.α. Διήθηση δεξιού άνω λοβού με σπήλαιο 91.β.
  • 268.
    91.γ. Α/Α Φ ΗΤΡΟΠΟΣ ΔΙΑΓΝΩΣΗΣ ΑΚΤΙΝΟΓΡΑΦΙΑ ΑΝΤΙΦΥΜΑΤΙΚΗ ΑΓΩΓΗ ΔΘ ΕΚΒΑΣΗ 92 Α 18 ΠΕΛ ΤΕ ΝΣ + Π.Ε. + Μ.Ε. Λ.Ε. R + ΙΝΗ + Μ + Z S Νοσ. Σπ.14 ΙΑ + Ιν.Στ. Υπ.Βλ ΕΠ Θ. 92.α. 21-05-91
  • 269.
    92.β. Α/Α Φ ΗΤΡΟΠΟΣ ΔΙΑΓΝΩΣΗΣ ΑΚΤΙΝΟΓΡΑΦΙΑ ΑΝΤΙΦΥΜΑΤΙΚΗ ΑΓΩΓΗ ΔΘ ΕΚΒΑΣΗ 93 Α 20 ΠΕΛ ΤΕ ΝΣ + Π.Ε. + Μ.Ε. Λ.Ε. R + ΙΝΗ + Μ + Z S Νοσ. Σπ. ΙΑ + Ιν.Στ. Υπ.Βλ ΕΠ Θ. 93.α. Στρατιώτης που υπηρετούσε στην Κομοτηνή,ολοκλήρωσε τη θεραπεία στην υπηρεσία του 11-06-77
  • 270.
    93.β. Α/Α Φ ΗΤΡΟΠΟΣ ΔΙΑΓΝΩΣΗΣ ΑΚΤΙΝΟΓΡΑΦΙΑ ΑΝΤΙΦΥΜΑΤΙΚΗ ΑΓΩΓΗ ΔΘ ΕΚΒΑΣΗ 94 Α 18 ΠΕΛ ΤΕ ΝΣ + Π.Ε. Μ.Ε. Λ.Ε. + R + ΙΝΗ + Μ + Z S Νοσ. Σπ.12 ΙΑ + Ιν.Στ. Υπ.Βλ + ΕΠ Θ. 94.α. 12-03-99
  • 271.
  • 272.
    94.δ. Α/Α Φ ΗΤΡΟΠΟΣ ΔΙΑΓΝΩΣΗΣ ΑΚΤΙΝΟΓΡΑΦΙΑ ΑΝΤΙΦΥΜΑΤΙΚΗ ΑΓΩΓΗ ΔΘ ΕΚΒΑΣΗ 95 Θ 35 ΠΕΛ ΤΕ ΝΣ + Π.Ε. Μ.Ε. + Λ.Ε. R + ΙΝΗ + Μ + Z S Νοσ. Σπ.12 ΙΑ + Ιν.Στ. Υπ.Βλ ΕΠ Θ. 95.α. Διήθηση δεξιού άνω και κάτω λοβού 08-01-98
  • 273.
  • 274.
    95.δ. Α/Α Φ ΗΤΡΟΠΟΣ ΔΙΑΓΝΩΣΗΣ ΑΚΤΙΝΟΓΡΑΦΙΑ ΑΝΤΙΦΥΜΑΤΙΚΗ ΑΓΩΓΗ ΔΘ ΕΚΒΑΣΗ 96 Α 54 ΠΕΛ ΤΕ ΝΣ + Π.Ε. Μ.Ε. + Λ.Ε. R + ΙΝΗ + Μ + Z S Νοσ. Σπ.12 ΙΑ + Ιν.Στ. Υπ.Βλ + ΕΠ Θ. 96.α.
  • 275.
  • 276.
  • 277.
    Α/Α Φ ΗΤΡΟΠΟΣ ΔΙΑΓΝΩΣΗΣ ΑΚΤΙΝΟΓΡΑΦΙΑ ΑΝΤΙΦΥΜΑΤΙΚΗ ΑΓΩΓΗ ΔΘ ΕΚΒΑΣΗ 97 Α 25 ΠΕΛ ΤΕ ΝΣ + Π.Ε. Μ.Ε. + Λ.Ε. R + ΙΝΗ + Μ + Z S Νοσ. Σπ.12 ΙΑ + Ιν.Στ. Υπ.Βλ + ΕΠ Θ. 97.α. 97.β.
  • 278.
  • 279.
    97.ε. Α/Α Φ ΗΤΡΟΠΟΣ ΔΙΑΓΝΩΣΗΣ ΑΚΤΙΝΟΓΡΑΦΙΑ ΑΝΤΙΦΥΜΑΤΙΚΗ ΑΓΩΓΗ ΔΘ ΕΚΒΑΣΗ 98 Α 22 ΠΕΛ ΤΕ ΝΣ + Π.Ε. Μ.Ε. Λ.Ε. + R + ΙΝΗ + Μ + Z S + Νοσ. Σπ.20 ΙΑ + Ιν.Στ. Υπ.Βλ + ΕΠ Θ. 98.α. Διήθηση δεξιού άνω λοβού με σπήλαιο. Ο άρρωστος ήταν απείθαρχος και μη συνεργάσιμος. 18-02-99 30-06-97
  • 280.
  • 281.
  • 282.
    98.στ. Α/Α Φ ΗΤΡΟΠΟΣ ΔΙΑΓΝΩΣΗΣ ΑΚΤΙΝΟΓΡΑΦΙΑ ΑΝΤΙΦΥΜΑΤΙΚΗ ΑΓΩΓΗ ΔΘ ΕΚΒΑΣΗ 99 Α 40 ΠΕΛ ΤΕ ΝΣ + Π.Ε. Μ.Ε. Λ.Ε. + R + ΙΝΗ + Μ + Z S + Νοσ. Σπ.14 ΙΑ + Ιν.Στ. Υπ.Βλ ΕΠ Θ. 99.α. Πνευμονική φυματίωση με σπήλαια σε αμφοτέρους τους άνω λοβούς.
  • 283.
  • 284.
    99.δ. Α/Α Φ ΗΤΡΟΠΟΣ ΔΙΑΓΝΩΣΗΣ ΑΚΤΙΝΟΓΡΑΦΙΑ ΑΝΤΙΦΥΜΑΤΙΚΗ ΑΓΩΓΗ ΔΘ ΕΚΒΑΣΗ 100 Α 56 ΠΕΛ ΤΕ ΝΣ + Π.Ε. + Μ.Ε. Λ.Ε. R + ΙΝΗ + Μ + Z S Νοσ. Σπ.12 ΙΑ + Ιν.Στ. Υπ.Βλ + ΕΠ Θ. 100.α.
  • 285.
  • 286.
    100.δ. Α/Α Φ ΗΤΡΟΠΟΣ ΔΙΑΓΝΩΣΗΣ ΑΚΤΙΝΟΓΡΑΦΙΑ ΑΝΤΙΦΥΜΑΤΙΚΗ ΑΓΩΓΗ ΔΘ ΕΚΒΑΣΗ 101 Θ 18 ΠΕΛ ΤΕ ΝΣ + Π.Ε. + Μ.Ε. Λ.Ε. R + ΙΝΗ + Μ + Z S Νοσ. Σπ.14 ΙΑ + Ιν.Στ. Υπ.Βλ ΕΠ Θ. 101.α.
  • 287.
    101.β. Α/Α Φ ΗΤΡΟΠΟΣ ΔΙΑΓΝΩΣΗΣ ΑΚΤΙΝΟΓΡΑΦΙΑ ΑΝΤΙΦΥΜΑΤΙΚΗ ΑΓΩΓΗ ΔΘ ΕΚΒΑΣΗ 102 Θ 24 ΠΕΛ ΤΕ ΝΣ + Π.Ε. + Μ.Ε. Λ.Ε. R + ΙΝΗ + Μ + Z S Νοσ. Σπ.14 ΙΑ + Ιν.Στ. Υπ.Βλ ΕΠ Θ. 102.α. Επαφή
  • 288.
    102.β. Α/Α Φ ΗΤΡΟΠΟΣ ΔΙΑΓΝΩΣΗΣ ΑΚΤΙΝΟΓΡΑΦΙΑ ΑΝΤΙΦΥΜΑΤΙΚΗ ΑΓΩΓΗ ΔΘ ΕΚΒΑΣΗ 103 Α 18 ΠΕΛ ΤΕ ΝΣ + Π.Ε. Μ.Ε. + Λ.Ε. R + ΙΝΗ + Μ + Z S Νοσ. Σπ.12 ΙΑ + Ιν.Στ. Υπ.Βλ ΕΠ Θ. 103.α.
  • 289.
    103.β. Α/Α Φ ΗΤΡΟΠΟΣ ΔΙΑΓΝΩΣΗΣ ΑΚΤΙΝΟΓΡΑΦΙΑ ΑΝΤΙΦΥΜΑΤΙΚΗ ΑΓΩΓΗ ΔΘ ΕΚΒΑΣΗ 104 Α 60 ΠΕΛ ΤΕ ΝΣ + Π.Ε. Μ.Ε. + Λ.Ε. R + ΙΝΗ + Μ + Z S Νοσ. Σπ.12 ΙΑ + Ιν.Στ. Υπ.Βλ + ΕΠ Θ. 104.α.
  • 290.
  • 291.
    Α/Α Φ ΗΤΡΟΠΟΣ ΔΙΑΓΝΩΣΗΣ ΑΚΤΙΝΟΓΡΑΦΙΑ ΑΝΤΙΦΥΜΑΤΙΚΗ ΑΓΩΓΗ ΔΘ ΕΚΒΑΣΗ 105 Α 40 ΠΕΛ ΤΕ ΝΣ + Π.Ε. Μ.Ε. + Λ.Ε. R + ΙΝΗ + Μ + Z S Νοσ. Σπ.14 ΙΑ + Ιν.Στ. Υπ.Βλ ΕΠ Θ. 105.α. 105.β.
  • 292.
  • 293.
  • 294.
    Α/Α Φ ΗΤΡΟΠΟΣ ΔΙΑΓΝΩΣΗΣ ΑΚΤΙΝΟΓΡΑΦΙΑ ΑΝΤΙΦΥΜΑΤΙΚΗ ΑΓΩΓΗ ΔΘ ΕΚΒΑΣΗ 106 Α 30 ΠΕΛ ΤΕ ΝΣ + Π.Ε. + Μ.Ε. Λ.Ε. R + ΙΝΗ + Μ + Z S Νοσ. Σπ.12 ΙΑ + Ιν.Στ. Υπ.Βλ + ΕΠ Θ. 106.α. 106.β.
  • 295.
    106.γ. Α/Α Φ ΗΤΡΟΠΟΣ ΔΙΑΓΝΩΣΗΣ ΑΚΤΙΝΟΓΡΑΦΙΑ ΑΝΤΙΦΥΜΑΤΙΚΗ ΑΓΩΓΗ ΔΘ ΕΚΒΑΣΗ 107 Α 59 ΠΕΛ ΤΕ ΝΣ + Π.Ε. Μ.Ε. + Λ.Ε. R + ΙΝΗ + Μ + Z S Νοσ.10 Σπ.10 ΙΑ + Ιν.Στ Υπ.Βλ ΕΠ Θ. 107.α.
  • 296.
    107.β. Α/Α Φ ΗΤΡΟΠΟΣ ΔΙΑΓΝΩΣΗΣ ΑΚΤΙΝΟΓΡΑΦΙΑ ΑΝΤΙΦΥΜΑΤΙΚΗ ΑΓΩΓΗ ΔΘ ΕΚΒΑΣΗ 108 Α 16 ΠΕΛ ΤΕ ΝΣ + Π.Ε. + Μ.Ε. Λ.Ε. R + ΙΝΗ + Μ + Z S Νοσ. Σπ.14 ΙΑ + Ιν.Στ. Υπ.Βλ ΕΠ Θ. 108.α. Με υπεζωκοτική αμιάντωση
  • 297.
    108.β. Α/Α Φ ΗΤΡΟΠΟΣ ΔΙΑΓΝΩΣΗΣ ΑΚΤΙΝΟΓΡΑΦΙΑ ΑΝΤΙΦΥΜΑΤΙΚΗ ΑΓΩΓΗ ΔΘ ΕΚΒΑΣΗ 109 Α 16 ΠΕΛ ΤΕ ΝΣ + Π.Ε. + Μ.Ε. Λ.Ε. R + ΙΝΗ + Μ + Z S Νοσ. Σπ.14 ΙΑ + Ιν.Στ. Υπ.Βλ ΕΠ Θ. 109.α.
  • 298.
    109.β. Α/Α Φ ΗΤΡΟΠΟΣ ΔΙΑΓΝΩΣΗΣ ΑΚΤΙΝΟΓΡΑΦΙΑ ΑΝΤΙΦΥΜΑΤΙΚΗ ΑΓΩΓΗ ΔΘ ΕΚΒΑΣΗ 110 Α 32 ΠΕΛ ΤΕ ΝΣ + Π.Ε. Μ.Ε. + Λ.Ε. R + ΙΝΗ + Μ + Z S Νοσ.3 Σπ.12 ΙΑ + Ιν.Στ. Υπ.Βλ + ΕΠ Θ. 110.α. 19-01-87
  • 299.
  • 300.
    Α/Α Φ ΗΤΡΟΠΟΣ ΔΙΑΓΝΩΣΗΣ ΑΚΤΙΝΟΓΡΑΦΙΑ ΑΝΤΙΦΥΜΑΤΙΚΗ ΑΓΩΓΗ ΔΘ ΕΚΒΑΣΗ 111 Α 55 ΠΕΛ ΤΕ ΝΣ + Π.Ε. Μ.Ε. + Λ.Ε. R + ΙΝΗ + Μ + Z S + Νοσ.5 Σπ.10 ΙΑ + Ιν.Στ. Υπ.Βλ + ΕΠ Θ. 111.α. 111.β.
  • 301.
    111.γ. Α/Α Φ ΗΤΡΟΠΟΣ ΔΙΑΓΝΩΣΗΣ ΑΚΤΙΝΟΓΡΑΦΙΑ ΑΝΤΙΦΥΜΑΤΙΚΗ ΑΓΩΓΗ ΔΘ ΕΚΒΑΣΗ 112 Α 68 ΠΕΛ ΤΕ ΝΣ + Π.Ε. Μ.Ε. Λ.Ε. + R + ΙΝΗ + Μ + Z S + Νοσ.4 Σπ.10 ΙΑ + Ιν.Στ. Υπ.Βλ + ΕΠ Θ. 112.α.
  • 302.
    112.β. Α/Α Φ ΗΤΡΟΠΟΣ ΔΙΑΓΝΩΣΗΣ ΑΚΤΙΝΟΓΡΑΦΙΑ ΑΝΤΙΦΥΜΑΤΙΚΗ ΑΓΩΓΗ ΔΘ ΕΚΒΑΣΗ 113 Α 52 ΠΕΛ ΤΕ ΝΣ + Π.Ε. Μ.Ε. + Λ.Ε. R + ΙΝΗ + Μ + Z S Νοσ.4 Σπ.10 ΙΑ + Ιν.Στ. Υπ.Βλ + ΕΠ Θ. 113.α. Δευτεροπαθής πνευμοθώρακας αριστερά
  • 303.
  • 304.
    113.δ. Α/Α Φ ΗΤΡΟΠΟΣ ΔΙΑΓΝΩΣΗΣ ΑΚΤΙΝΟΓΡΑΦΙΑ ΑΝΤΙΦΥΜΑΤΙΚΗ ΑΓΩΓΗ ΔΘ ΕΚΒΑΣΗ 114 Θ 59 ΠΕΛ ΤΕ ΝΣ + Π.Ε. + Μ.Ε. Λ.Ε. R + ΙΝΗ + Μ + Z S Νοσ.8 Σπ.12 ΙΑ + Ιν.Στ. Υπ.Βλ + ΕΠ Θ. 114.α.
  • 305.
  • 306.
    114.δ. Α/Α Φ ΗΤΡΟΠΟΣ ΔΙΑΓΝΩΣΗΣ ΑΚΤΙΝΟΓΡΑΦΙΑ ΑΝΤΙΦΥΜΑΤΙΚΗ ΑΓΩΓΗ ΔΘ ΕΚΒΑΣΗ 115 Α 39 ΠΕΛ ΤΕ ΝΣ + Π.Ε. Μ.Ε. + Λ.Ε. R + ΙΝΗ + Μ + Z S Νοσ.8 Σπ.8 ΙΑ Ιν.Στ. Υπ.Βλ ΕΠ Θ. 115.α. 4 χρόνια μετά το τέλος επιτυχούς αντιφυματικής θεραπείας, παρουσίασε υποτροπή και 3 χρόνια αργότερα ασπεργίλωση σε κεκαθαρμένο σπήλαιο της αριστεράς κορυφής.
  • 307.
  • 308.
    Α/Α Φ ΗΤΡΟΠΟΣ ΔΙΑΓΝΩΣΗΣ ΑΚΤΙΝΟΓΡΑΦΙΑ ΑΝΤΙΦΥΜΑΤΙΚΗ ΑΓΩΓΗ ΔΘ ΕΚΒΑΣΗ 116 Α 60 ΠΕΛ ΤΕ ΝΣ + Π.Ε. Μ.Ε. + Λ.Ε. R + ΙΝΗ + Μ + Z S Νοσ.- Σπ.- Ημέρα συνταξιοδότησής μου 116.α. 116.β. 15-06-00 15-06-00
  • 309.
    Α/Α Φ ΗΤΡΟΠΟΣ ΔΙΑΓΝΩΣΗΣ ΑΚΤΙΝΟΓΡΑΦΙΑ ΑΝΤΙΦΥΜΑΤΙΚΗ ΑΓΩΓΗ ΔΘ ΕΚΒΑΣΗ 117 Α 46 ΠΕΛ ΤΕ ΝΣ + Π.Ε. Μ.Ε. + Λ.Ε. R + ΙΝΗ + Μ + Z S Νοσ.1 Σπ.11 ΙΑ + Ιν.Στ. Υπ.Βλ ΕΠ Θ. 117.α. 117.β. 04-03-86 04-03-86
  • 310.
    Α/Α Φ ΗΤΡΟΠΟΣ ΔΙΑΓΝΩΣΗΣ ΑΚΤΙΝΟΓΡΑΦΙΑ ΑΝΤΙΦΥΜΑΤΙΚΗ ΑΓΩΓΗ ΔΘ ΕΚΒΑΣΗ 118 Α 41 ΠΕΛ ΤΕ ΝΣ + Π.Ε. Μ.Ε. + Λ.Ε. R + ΙΝΗ + Μ + Z S Νοσ.1 Σπ.14 ΙΑ + Ιν.Στ. Υπ.Βλ + ΕΠ Θ. 118.α. Παλαιός άρρωστος ο οποίος ύστερα από 10 χρόνια ενεφάνισε υποτροπή. Με αντιφυματική θεραπεία στο σπίτι, αποκατάσταση. 118.β. 04-12-81 06-07-82
  • 311.
  • 312.
    118.ε. Α/Α Φ ΗΤΡΟΠΟΣ ΔΙΑΓΝΩΣΗΣ ΑΚΤΙΝΟΓΡΑΦΙΑ ΑΝΤΙΦΥΜΑΤΙΚΗ ΑΓΩΓΗ ΔΘ ΕΚΒΑΣΗ 119 Α 20 ΠΕΛ ΤΕ ΝΣ + Π.Ε. + Μ.Ε. Λ.Ε. R + ΙΝΗ + Μ + Z S Νοσ.10 ημέρες Σπ.12 ΙΑ + Ιν.Στ. Υπ.Βλ ΕΠ Θ. 119.α. 25-01-94
  • 313.
  • 314.
    120. Ασθενής ηλικίας34 ετών με πνευμονική φυματίωση δεξιού άνω λοβού και του αριστερού πνεύμονα εκτεταμένη. Με αντιφυματική θεραπεία στο σπίτι, αποκατάσταση. Ύστερα από 1 χρόνο προσέρχεται στο αντιφυματικό ιατρείο για δύσπνοια. Στην ακτινογραφία θώρακος παρατηρείται διάταση καρδιακή και αμφοτερόπλευρες σκιάσεις. Η καρδιακή κάμψη είναι προφανής (χρόνιο πνευμονικό οίδημα). Ο ασθενής παραπέμφθηκε σε περιφερειακό νοσοκομείο. 120.α. 120.β. 14-12-82
  • 315.
  • 316.
    Φυματίωση με πνευμονικόαπόστημα 121. Ασθενής ηλικίας 24 ετών με κλινική συνδρομή και φυματικές βλάβες αμφοτέρων των άνω λοβών . Νοσοκομειακή νοσηλεία 1 μηνός σε ειδικό θεραπευτήριο. Με αντιφυματική θεραπεία, αποκατάσταση. Στις 8-05-86 προσήλθε για πύκνωση αριστερού μέσου πνευμονικού πεδίου. Με την υποψία υποτροπής της φυματίωσης μπήκε σε αντιφυματική θεραπεία. Ωστόσο η βλάβη δεν υποχώρησε και παρουσίασε εικόνα τήξης στις 11-11-86. Με θεραπεία με κοινά αντιβιωτικά επιτεύχθηκε η αποκατάσταση. 121.α. 121.β. 09-02-84 05-04-84
  • 317.
  • 318.
  • 319.
  • 320.
    122. Ασθενής ηλικίας70 ετών, με γνωστή παλαιά φυματίωση, για την οποία υποβαλλόταν σε θεραπεία. Διαπιστώθηκε επασβεστιωμένη υδατίδα κύστη στο ήπαρ (βέλη στην P α/α), στρογγύλη σκιά με υγραερικό επίπεδο στο πνευμονικό παρέγχυμα και συλλογή υπεζωκοτικού σύστοιχα. Μολονότι η πρώτη εντύπωση θα ήταν της διπλής υδατίδας κύστεως, από την προσεκτική μελέτη αποδεικνύεται ότι η σκιά στον πνεύμονα οφείλεται σε φλεγμονή- αποστηματοποίηση του μέσου λοβού που παροχετευόταν ατελώς. Η εξέλιξη επιβεβαίωσε την υπόθεση. 122.α. 122.β. 15-03-84
  • 321.
  • 322.
    Περιπτώσεις με πολύεκτεταμένες φυματικές αλλοιώσεις 123. Ασθενής ηλικίας 50 ετών με κλινική συνδρομή και φυματικές βλάβες αμφοτέρων των άνω λοβών σπηλαιώδης. Με αντιφυματική θεραπεία στο σπίτι για 1 χρόνο, βελτίωση. Πότης, απείθαρχος και μη συνεργάσιμος με τις ιατρικές οδηγίες. Με υπολλειματικές βλάβες. 123.α. 123.β. 20-02-93
  • 323.
    123.γ. 124.Ασθενής ηλικίας 25ετών τυχαίο εύρημα στις πρώτες βοήθειες του νοσοκομείου. Εκτεταμένες φυματικές βλάβες αμφοτέρων των άνω λοβών σπηλαιώδεις. Απείθαρχος, δύστροπος με ευκαιριακή θεραπεία. Αρνήθηκε νοσοκομειακή νοσηλεία, η παρακολούθησή του γινόταν με εισαγγελική παραγγελία. Αντιφυματική θεραπεία έλαβε στο μικρό χρονικό διάστημα που ήταν στη φυλακή για μικροαδικήματα και ύστερα από 2 χρόνια κατέληξε από καρδιακή ανεπάρκεια. Η βίαιη συμπεριφορά στον στενό οικογενειακό και τον ευρύτερο κοινωνικό περίγυρο προστάτευσε από ευρεία διαμόλυνση του περιβάλλοντός του. 124.α. 02-07-92
  • 324.
  • 325.
    125. Ασθενής ηλικίας28 ετών με κλινική συνδρομή και φυματικές βλάβες που καταλαμβάνουν σχεδόν ολόκληρο τον αριστερό πνεύμονα. Με αντιφυματική θεραπεία 14 μηνών στο σπίτι, αποκατάσταση. 125.α. 125.β. 03-11-86
  • 326.
    126.Ασθενής ηλικίας 32ετών με κλινική συνδρομή και φυματίωση αμφοτέρων των άνω λοβών λίαν εκτεταμένη. Νοσηλεία 5 μηνών σε ειδικό θεραπευτήριο και 12 μηνών αντιφυματική θεραπεία στο σπίτι με ελάχιστες υπολλειματικές βλάβες. 126.α. Επαφή 126.β.
  • 327.
    126.γ. 127. Ασθενής ηλικίας21 ετών με κλινική συνδρομή και φυματίωση που καταλαμβάνει το σύνολο του δεξιού πνεύμονα. Με αντιφυματική θεραπεία 14 μηνών στο σπίτι, αποκατάσταση. 127.α.
  • 328.
  • 329.
    127.δ. 128. Ασθενής ηλικίας73 ετών με κλινική συνδρομή και εκτεταμένες φυματικές βλάβες ανωτέρων των άνω λοβών. Νοσοκομειακή νοσηλεία 10 μηνών σε ειδικό θεραπευτήριο και συνέχιση της θεραπείας στο σπίτι για 10 μήνες, με σημαντικές υπολλειματικές βλάβες. 128.α. 20-05-78
  • 330.
    128.β. 129. Ασθενής ηλικίας34 ετών με κλινική συνδρομή και φυματικές βλάβες της αιματικής διασποράς που καταλαμβάνουν αμφοτέρους τους πνεύμονες και φυματιώδη λαρυγγίτιδα. Νοσηλεία 1 μηνός σε ειδικό θεραπευτήριο και ολοκλήρωση της αντιφυματικής θεραπείας στο σπίτι για 12 μήνες, με ελάχιστες υπολειματικές βλάβες. 129.α. 19-04-80
  • 331.
  • 332.
    130.Ασθενής ηλικίας 43ετών με κλινική συνδρομή και πνευμονική φυματίωση που καταλαμβάνει τους άνω λοβούς των πνευμόνων. Ο άρρωστος σαν δημόσιος λειτουργός (δάσκαλος), παρά την μακρά παραμονή στο σχολικό περιβάλλον, προκάλεσε μόνο μια μικρή διαμόλυνση στους μαθητές του σχολείου. Ολοκλήρωσε την αντιφυματική θεραπεία στη γενέτειρά του. 130.α. 130.β. 13-07-99 25-04-00
  • 333.
    Περιπτώσεις με υποτροπή Οιυποτροπές της νόσου προτιμούν τις μικρότερες ηλικίες, ενώ η αποτυχία της θεραπείας τις μεγαλύτερες. Αυτές οι υποτροπές, στη δική μας έρευνα ανέρχονται σε ποσοστό 3,2%. Η πιθανότητα επιτυχούς θεραπείας είναι μεγαλύτερη στην αρχική παρά στην αναθεραπεία. Ο σακχαρώδης διαβήτης, η μη συμμόρφωση του ασθενούς και η λίαν εκτεταμένη νόσος αποτελούν μερικά από τα αίτια αποτυχίας της θεραπείας. Παρατηρείται ότι το ασυγκρίτως μεγαλύτερο ποσοστό εμφανίζεται στα 2 πρώτα έτη και φτάνει μέχρι το 58% των υποτροπών. Ωστόσο, η υποτροπή μπορεί να παρουσιαστεί σε πολύ απώτερο χρόνο. Οι θάνατοι, που κύρια οφείλονται στη φυματιώδη καχεξία και τη φυματιώδη μηνιγγίτιδα, ανέρχονται στο 1,33%. 131. Ασθενής 62 ετών παλαιά άρρωστη με πάχυνση του κορυφαίου υπεζωκότα αριστερά. Ύστερα από 17 χρόνια παρατηρείται διήθηση που καταλαμβάνει του σύνολο του αριστερού πνεύμονα. Επασβεστιωμένος μασχαλιαίος αδένας αριστερά ,απότοκος μασχαλιαίας αδενίτιδας. 131.α. 131.β.
  • 334.
    132. Ασθενής ηλικίας61 ετών, παλαιά άρρωστη, με υπολλειματικές βλάβες στην αριστερή υποκλείδιο χώρα. Ύστερα απο 21 χρόνια υποτροπή με εκτεταμένες βλάβες στην ίδια περιοχή. 132.α. 132.β.
  • 335.
    133. Ασθενής ηλικίας36 ετών, το 1977 παρουσίασε φυματικές αλλοιώσεις στη μεσότητα του αριστερού πνεύμονα. Με αντιφυματική θεραπεία στο σπίτι για 14 μήνες, αποκατάσταση. Ύστερα από 11 χρόνια (30- 08-89) ενεφάνισε φυματικές αλλοιώσεις στο δεξιό πνεύμονα. Με αντιφυματική θεραπεία στο σπίτι για 12 μήνες, αποκατάσταση. 133.α. 133.β. Φυσιολογική ακτινογραφία 1
  • 336.
  • 337.
  • 338.
  • 339.
    134. Ασθενής ηλικίας22 ετών, νοσηλεύτηκε σε παθολογική κλινική με πνευμονία από φυματίωση ή φυματική λοβίτιδα δεξιού κάτω λοβού. Ύστερα από 1 μηνός νοσηλεία σε νοσοκομείο, μπήκε σε αντιφυματική θεραπεία 12 μηνών στο σπίτι, με αποκατάσταση. Τρία χρόνια μετά το τέλος της επιτυχούς αντιφυματικής θεραπείας με ακτινολογική αποκατάσταση, ενεφάνισε υποτροπή με φυματικές αλλοιώσεις και στους δύο άνω λοβούς, κύρια αριστερά. Με αντιφυματική θεραπεία στο σπίτι για 12 μήνες, αποκατάσταση. 134.α. 134.β. 23-04-96
  • 340.
  • 341.
  • 342.
  • 343.
    135. Ασθενής ηλικίας52 ετών, με βαριά κλινική κατάσταση. Διαπιστώθηκε φυματιώσης καχεξία με εκτεταμένες βλάβες και στους δύο πνεύμονες (05-04-88). Υποβλήθηκε εξωνοσοκομειακά σε αντιφυματική θεραπεία για 14 μήνες. Παρουσίασε σημαντικότατη βελτίωση (06-06-89). Μετά 4,5 έτη απεβίωσε λόγω υποτροπής (14-08-92). Τα περίεργα της φυματίωσης. 135.α. 135.β.
  • 344.
  • 345.
    135.ε. 136. Ασθενής ηλικίας42 ετών με εκτεταμένη σπηλαιώδη φυματίωση στο δεξιό άνω λοβό με μακρά νοσοκομειακή νοσηλεία 20 μηνών σε ειδικό θεραπευτήριο και αντιφυματική θεραπεία 18 μηνών στο σπίτι, απείθαρχος και χωρίς συμμόρφωση με τις οδηγίες των ιατρών, ύστερα από 6 χρόνια παρουσίασε υποτροπή, έφθασε στη φυματιώδη καχεξία και το θάνατο. Περίπτωση επαφής (σύζυγος) που έμεινε για χρόνια (τουλάχιστον 6) σε ισχυρή πηγή μόλυνσης και δεν παρουσίασε νόσο κατά το χρόνο παρακολούθησής της την τελευταία 25ετία. 136.α.
  • 346.
  • 347.
  • 348.
  • 349.
    137. Ασθενής ηλικίας20 ετών, σε πρώτη επαφή με το αντιφυματικό ιατρείο, παρουσιάζει αδιαμφισβήτητες ανενεργούς φυματικές αλλοιώσεις στις κορυφές και ογκοειδές μόρφωμα (ασπεργίλλωμα), που καταλαμβάνει το μεγαλύτερο μέρος της κοιλότητας του αριστερού άνω λοβού (19-05-79).Μετά 7 χρόνια ο ογκοειδής σχηματισμός σμικρύνεται (καταστροφή;). Στις 27-01-88 παρατηρείται περεταίρω σμίκρυνση του ασπεργιλλώματος. Παράλληλα παρατηρούνται ενδοκοιλοτικές επασβεστιώσεις. Ο ασθενής παρουσίασε έντονες αιμοπτύσεις και διακομίστηκε σε ειδικό νοσοκομείο για χειρουργική αντιμετώπιση. Ο ασθενής πολύ σύντομα απεβίωσε απο φυματιώδη μηνιγγίτιδα, προφανώς συνεπεία αιματικής διασποράς του “πάλαι ποτέ” τρίτου σταδίου της φυματίωσης. Η περίπτωση χρεώνεται στα “γιατί” της φυματίωσης. 137.α. 137.β. 1
  • 350.
    138. Ασθενής ηλικίας45 ετών, με γνωστή απο 10ετίας και πλέον παλαιά φυματίωση (18-07-81) με μακρά νοσοκομειακή νοσηλεία και στο αντιφυματικό ιατρείο. Στην εξέλιξη παρουσίασε εμπύημα δεξία (15-11-90). Η ύπαρξη εκτεταμένων ρικνωτικών εξεργασιών σενετέλεσε στο να μην μετακινηθεί αισθητά το μεσοθωράκιο. Η τραχεία έλκεται συστοίχως. Εντυπωσιάζει η σε βάθος μεγάλου χρόνου εξέλιξη. 138.α. 138.β. 18-07-81 15-11-90
  • 351.
    139. Ασθενής ηλικίας56 ετών με κλινική συνδρομή και δεξιά άνω λοβίτιδα με σπήλαιο και διάχυτες βλάβες στον αριστερό πνεύμονα. Νοσοκομειακή νοσηλεία 6 μηνών σε ειδικό θεραπευτήριο και ύστερα από συμπλήρωση 24 μηνών αντιφυματικής θεραπείας στο σπίτι, αποκατάσταση με υπολλειματικές βλάβες. Ύστερα από 11 χρόνια, υποτροπή με φυματικές βλάβες στο δεξιό πνεύμονα και λιγότερες στον αριστερό. Υπό αντιφυματική θεραπεία, επιδείνωση και θάνατος. 139.α. 139.β.
  • 352.
  • 353.
    139.ε. 140. Ασθενής 85ετών, παρουσίασε από διμήνου επώδυνη διόγκωση στο πρόσθιο άνω θωρακικό τοίχωμα. Η διόγκωση αυτή διαπυήθηκε και εξελκώθηκε. Σε μικροβιολογική εξέταση του πύου βρέθηκαν μυκοβατηρίδια. Από την κλινική εξέταση διαπιστώνεται χοιράδωση, αποτέλεσμα τραχηλικής λεμφαδενίτιδας η οποία είχε παρουσιαστεί πριν από 70 χρόνια (υποτροπή;). Η ασθενής υπό μακρά αντιφυματική θεραπεία, συστηματική και τοπική, ιάθηκε. Στην ακτινογραφία θώρακος δεν παρατηρούνται παθολογικά ευρήματα (δεν παρατίθεται). Σημείωση: προφανώς πρόκειται για λοίμωξη από μυκοβακτηρίδιο βοείου τύπου, που παλαιότερα ήταν συνήθης.
  • 354.
    3. Παθήσεις μεεμπλοκή του υπεζωκότα Η φιλοσοφία γύρω από την υπεζωκοτική μεμβράνη εμπεριέχει υψηλή ελκυστικότητα. Πέραν του παθογενετικού παράγοντα, πολύ αδρά θα διακριθούν: α. οι συλλογές υπεζωκοτικού υγρού και β. σπανιότερες περιπτώσεις. α. Συλλογές υπεζωκοτικού1 υγρού (Υ.Υ.). Εισαγωγικά στοιχεία:Εισαγωγικά στοιχεία: η υπεζωκοτική μεμβράνη έχει δύο πέταλα: το έξω (τοιχωματικό) και το έσω (σπλαχνικό). Το έξω στέλνει συνεχώς λίγο υγρό προς την υπεζωκοτική κοιλότητα και το έσω απορροφά το υγρό. Όταν διαταραχθεί η συγκεκριμένη σχέση, δηλαδή είτε η παραγωγή είναι πολύ μεγάλη, είτε η απορρόφηση πλημμελής, παρατηρούνται οι συλλογές υγρού. Ευνόητα η συλλογή Υ.Υ. προκαλείται από ουδόλως ευάριθμες καταστάσεις. Κλασσική εικόνα συλλογής Υ.Υ. αποτελούν οι: Πλευρίτιδα: εκφράζει την ορολογία που μονοπωλούσε η φυματίωση, φέροντας τον όρο εξιδρωματική, μέσω της οποίας καθιερώθηκε εν πολλοίς η ακτινολογική σημειολογία. Πρόκειται για σκίαση, που ξεκινά από τις πλευροδιαφραγματικές γωνίες και μπορεί να φτάσει μέχρι την κορυφή, παρεκτοπίζοντας το μεσοθωράκιο ή και διαστέλλοντας τον σκελετό. Συνήθης εικόνα:Συνήθης εικόνα: τριγωνική σκιά, με την κορυφή προς τη μασχάλη και τη βάση στο διάφραγμα. Η μέσα πλευρά του τριγώνου είναι καμπύλη, με το κοίλο προς τα επάνω. Αποτελεί κλασσική γραμμή Ellis - Damoiseau (E.D.) και δεν αφορά τη σύνθεση - φύση του Υ.Υ., αλλά αναφέρεται σε ελεύθερο υγρό. Μια συμφυτική επεξεργασία - εγκύστωση αλλάζει την εικόνα. Η ακτινολογική γραμμή E.D. είναι ψευδής, προκαλούμενη από το «παίξιμο» των στιβάδων του υγρού στη διαδρομή των ακτίνων. Αντικειμενικά και κλινικά η E.D. αποτελεί μια γραμμή παραβολική, με το κυρτό προς τα επάνω. Παλαιές ακτινολογικές απόψεις ήθελαν τη γραμμή οριζόντια. Σήμερα η κατάσταση έχει αποκρυσταλλωθεί, είναι δε γνωστό πως η πρώτη ποσότητα Υ.Υ. επιστρώνεται στο διάφραγμα. Πρόκειται λοιπόν για: Υποπνευμονική συλλογή (Υ.Σ.): αφορά συλλογή ελεύθερου υγρού, αποκλίνοντας πλήρως από τη «διαφραγματική» ή «επιδιαφραγματική πλευρίτιδα», όπως αδόκιμα έχει καθιερωθεί. Η διάταξη του υγρού υπαγορεύεται από φυσικούς - μηχανικούς, οπωσδήποτε δυναμικούς, λόγους. Πάρα πολύ αδρά περιγράφεται ως εξής: όταν η ελαστική τάση (και κυρίως εκείνη που εξαρτάται από αγγειακές και βρογχικές δομές και η συνισταμένη των επιμέρους τάσεων φέρεται προς τη βάση του πνεύμονα και είναι αρκετά ισχυρή) δημιουργούνται οι συνθήκες για μεγάλη υποπνευμονική συλλογή. Το συγκεκριμένο φαινόμενο παρατηρείται κυρίως σε χρόνιες καταστάσεις (σκληροί βρόγχοι, σκληρά αγγεία) και κάμψεις καρδιακές. Η ακτινολογική επιβεβαίωση της Υ.Σ. χαρακτηρίζεται απλή, όταν αφορά το αριστερό ημιθωράκιο: μεταξύ του πνευμονικού παρεγχύματος και της γαστρικής φυσαλλίδας παρατηρείται ευρεία σκιερή ταινία, που δεν «δικαιολογείται» από το άθροισμα «διάφραγμα + γαστρικό τοίχωμα». Με μία κατά μέτωπο κατακεκλιμένη ακτινογραφία λύνεται το δυνητικό πρόβλημα. Ιδιαίτερα ελκυστική – επιστημονικά και κυρίως πρακτικά – αναδεικνύεται η εικόνα στις παρακάτω περιπτώσεις: Συλλογή Υ.Υ. στις μεσολόγιες σχισμές: πρόκειται για ελεύθερο υγρό, του οποίου την «ανορθόδοξη» κατανομή υπαγορεύουν δυναμικοί λόγοι. Οι όροι «μεσολοβίτιδα»-«εγκύστωση» δεν αντέχουν σε λογική θεώρηση. Το υγρό μετακινείται με την αλλαγή θέσης του ασθενούς, όπως έχει αποδειχθεί με απλές μεθόδους. Απορροφάται δε ταχύτατα, γεγονός αδιανόητο για εγκυστωμένες συλλογές. Περιγράφεται με τους όρους «σκιά φάντασμα» ή «όγκος φάντασμα» και αποδίδεται – κατά κανόνα – σε κάμψη καρδιακή. Στην πράξη η πλάγια ακτινογραφία παρέχει ελκυστική εικόνα και λύση. Η εμπλοκή του υπεζωκότα θα αναφερθεί σε ποικιλία καταστάσεων, που παρατίθενται συνοπτικά: 1 Οι όροι «πλευρικού», «πλευριτικού» ή «πλευριτιδικού» χαρακτηρίζονται αδόκιμοι, ως ανεπαρκείς αποδόσεις στην ελληνική γλώσσα. *Θεωρία θέσεως του Medlar 1936, και κυρίως για λόγους “υδροστατικούς”
  • 355.
    Πνευμοθώρακας (ΠΘ): συλλογήελεύθερου αέρα μεταξύ των πετάλων του υπεζωκότα. Η διεθνής βιβλιογραφία υπερκαλύπτει το συγκεκριμένο θέμα. Μόνη σημείωση: εάν η εικόνα του ΠΘ δεν είναι σαφής, ενδείκνυται ακτινογραφία σε εκπνοή. Εμπύημα, αιμοθώρακας: ακτινολογικά η συμπεριφορά τους προσομοιάζει με κλασσική πλευρίτιδα, παρατηρείται όμως μεγάλη τάση για συμφυτική επεξεργασία και εγκατάσταση παχύνσεων του υπεζωκότα, ινοθώρακα και επασβεστιώσεων, ακόμη δε βρογχοϋπεζωκοτικών συριγγίων. «Παχύνσεις» του υπεζωκότα: συνήθως αποτελούν κατάλοιπα μιας αποδραμούσας φλεγμονής. Ωστόσο, επισημαίνεται: α. η «πάχυνση» του υπεζωκότα – κυρίως όσον αφορά τις μεσολόβιες σχισμές – συνιστά το πρώτο ακτινολογικό εύρημα ενός πνευμονικού οιδήματος, β. μια νεοπλασματική, μεταστατική πλευρίτιδα (και εφόσον η δυνατότητα απορρόφησης του υγρού μπορεί να υπερτερεί της παραγωγής), όπου η πάχυνση του υπεζωκότα θα είναι το μόνο εύρημα της μετάστασης, φαινόμενο σπάνιο, αλλά υπαρκτό. Ινοθώρακας - επασβεστιώσεις: ορίζονται, γλαφυρά, ως «παχυπλευρίτιδα» και «θωρακισμένος θώρακας». Πρόκειται για κατάλοιπα μάλλον σοβαρών καταστάσεων, όπως το εμπύημα και ο αιμοθώρακας. Η κλασική «εξιδρωματική» πλευρίτιδα αφήνει ελάχιστα ή καθόλου κατάλοιπα, εφόσον δεν παρουσιάζει επιπλοκές, π.χ. ρήξη συμφύσεων, αιμοθώρακας. Ως ειδική κατηγορία επασβεστίωσης αναφέρεται η υπεζωκοτική αμιάντωση, η οποία, χωρίς λειτουργικές επιπτώσεις, αφορά τον τοιχωματικό (!) υπεζωκότα, είναι αμφοτερόπλευρη, παρατηρείται σε επαγγελματικό περιβάλλον, όχι δε σπάνια αποδίδεται σε λόγους περιβαλλοντικούς. Η εξέλιξή τους συνήθως καταλήγει σε μεσοθηλίωμα. Το ασβέστιο προσέρχεται ως «επουλωτής» σε πολλές καταστάσεις, ακόμα και φυσιολογικές, π.χ. αρτηριοσκλήρυνση. Στον θώρακα, όσον αφορά τον υπεζωκότα, περιγράφεται η ασβεστοποιός πλευρίτιδα ή παχυπλευρίτιδα και οι διάφορες επασβεστιώσεις, που αφορούν χρόνιες ή σε αποδρομή βλάβες του υπεζωκότα, φαινόμενο πολύ συνηθισμένο, ειδικά παλαιότερα. Περιγράφονταν αδόκιμα και ως αποτιτανώσεις. Παρατηρούνται συνήθως στην εξέλιξη του εμπυήματος ή ενός αιμοθώρακα. Δεν είναι συνήθεις στην πορεία μιας χωρίς επιπλοκή φυματιώδους πλευρίτιδας, όπως είχαμε τη δυνατότητα να επιβεβαιώσουμε. Οι υπεζωκοτικές αμιαντώσεις παρατηρούνται σε ορισμένες περιοχές της χώρας (Μέτσοβο, Αλμωπία), αλλά και στον Νομό Ροδόπης, περιοχές του οποίου μελετήθηκαν και διαπιστώθηκε ότι σ’ αυτές ο αμίαντος χρησιμοποιούταν ως επίχρισμα για «ασβέστωμα» των δαπέδων των κατοικιών. «Λοβός» της αζύγου (φλεβός): δεν πρόκειται για λοβό. Προκαλείται από μία ανατομική ιδιοτροπία (έκτοπη πορεία της άζυγης φλέβας, χωρίς σημασία, που συνιστά σύνηθες «εύρημα»). Στο παρελθόν έχει λανθασμένα χαρακτηρισθεί ως «πλευρίδα της αζύγου» περίπτωση, στην οποία σε μια κλασική πλευρίτιδα στην τομογραφία βρέθηκε (στη σχισμή που σχηματίζεται από την άτυπη πορεί της άζυγης φλέβας) συλλογή υγρού. Ασφαλώς το εν λόγω υγρό αναλογούσε, για λόγους υδροστατικούς, στη σχισμή.
  • 358.
    Υγρές Πλευτίτιδες 1. Ασθενήςηλικίας 80 ετών, με εκτεταμένη χρόνια πνευμονική φυματίωση, κεχροειδή διασπορά, σπήλαιο στον δεξιό κάτω λοβό και υποπνευμονική συλλογή σύστοιχα (όλες οι μορφές της φυματίωσης). Στην εικόνα επιπροβάλλεται κοιλότητα (σπήλαιο) με υγραερικό επίπεδο. Με αντιφυματική θεραπεία 16 μηνών στο σπίτι, αποκατάσταση. 1.α. 1.β. 4 εκ.
  • 359.
  • 360.
    Α/Α Φ ΗΤΡΟΠΟΣ ΔΙΑΓΝΩΣΗΣ ΑΚΤΙΝΟΓΡΑΦΙΑ ΑΝΤΙΦΥΜΑΤΙΚΗ ΑΓΩΓΗ ΔΘ ΕΚΒΑΣΗ 2 Θ 20 ΠΕΛ ΤΕ ΝΣ + + ++ +++ + R + ΙΝΗ + Μ + Z S Νοσ. Σπ.14 ΙΑ + Ιν.Στ. Υπ.Βλ ΕΠ Θ. 2.α. 2.β. 29-03-78 21-03-78 21-03-78 15 εκ.
  • 361.
    2.γ. 3. Ασθενής ηλικίας36 ετών με φυσιολογική ακτινογραφία στις 13/05/87 και τυπική εικόνα υγρής πλευρίτιδας στο αριστερό ημιθωράκιο στις 28/08/87. Με αντιφυματική θεραπεία στο σπίτι για 12 μήνες, αποκατάσταση. 3.α. 15-05-87 05-04-78 05-09-78
  • 362.
    3.β. 3.γ. Η συνήθης εικόνατης υγράς πλευρίτιδος είναι τριγωνική σκιά με την κορυφή προς την μασχάλη και τη βάση στο διάφραγμα. Η μέσα πλευρά του τριγώνου είναι καμπύλη με το κοίλο προς τα επάνω. Είναι η κλασική γραμμή Ellis- Damoiseau (E.D.). Η ακτινολογική γραμμή E.D. είναι ψευδής, προκαλούμενη από το “παίξιμο” των στιβάδων του υγρού στην διαδρομή των ακτίνων. Αντικειμενικά και κλινικά η Ε.D. είναι μια γραμμή παραβολική με το κυρτό προς τα επάνω. 10-05-88 28-08-87
  • 363.
    4.Ασθενής ηλικίας 20ετών με άμβλυνση του πλευροδιαφραγματικού χώρου δεξιά σε ακτινογραφία της 26/01/78. Στην ακτινογραφία της 06/02/78 εμφανής υποπνευμονική συλλογή στο σύστοιχο ημιθωράκιο και διαγραφή της μικρής μεσολοβίου. Εμφανέστερη στην 20/02/78. Με αντιφυματική θεραπεία στο σπίτι για 14 μήνες, αποκατάσταση. 4.α. 4.β. 06-02-78 26-01-78 26-01-78
  • 364.
  • 365.
  • 366.
    5.Ασθενής ηλικίας 16ετών με υγρά πλευρίτιδα που καταλαμβάνει το σύνολο του αριστερού ημιθωρακίου. Νοσοκομειακή νοσηλεία 20 ημερών και με αντιφυματική θεραπεία στο σπίτι για 14 μήνες, αποκατάσταση. 5.α. 5.β. 27-03-79
  • 367.
  • 368.
    6. Ασθενής ηλικίας20 ετών με άμβλυνση του δεξιού πλευροδιαφραγματικού χώρου και συλλογή υγρού στο δεξιό ημιθωράκιο και περιορισμένη διήθηση στο μέσο του δεξιού πνεύμονα. Με αντιφυματική θεραπεία στο σπίτι για 14 μήνες , αποκατάσταση. 6.α. 6.β. 02-06-81
  • 369.
  • 370.
    7. Ασθενής ηλικίας20 ετών με υποπνευμονική συλλογή στο αριστερό ημιθωράκιο. Με αντιφυματική θεραπεία στο σπίτι για 14 μήνες, αποκατάσταση. 7.α. 7.β. 21-07-82 19-10-82 4 εκ.
  • 371.
    7.γ. 8. Ασθενής ηλικίας40 ετών με συλλογή υγρού στο δεξιό ημιθωράκιο υποπνευμονικά με αντιφυματική θεραπεία στο σπίτι για 14 μήνες, αποκατάσταση. 8.α. 15-10-85 09-12-77 1 15-10-85
  • 372.
  • 373.
  • 374.
    Α/Α Φ ΗΤΡΟΠΟΣ ΔΙΑΓΝΩΣΗΣ ΑΚΤΙΝΟΓΡΑΦΙΑ ΑΝΤΙΦΥΜΑΤΙΚΗ ΑΓΩΓΗ ΔΘ ΕΚΒΑΣΗ 9 Α 26 ΠΕΛ ΤΕ ΝΣ + + ++ +++ + R + ΙΝΗ + Μ + Z S Νοσ. Σπ.14 ΙΑ + Ιν.Στ. Υπ.Βλ ΕΠ Θ. 9.α. 9.β. 21-08-78 04-08-79
  • 375.
    10. Ασθενής ηλικίας20 ετών με κλινική συνδρομή και κλασική εικόνα υγράς πλαυρίτιδος στο δεξιό ημιθωράκιο. Παράλληλα διαπιστώνεται και η ύπαρξη λοβού της αζύγου. Με αντιφυματική θεραπεία στο σπίτι για 12 μήνες, αποκατάσταση. 10.α. 10.β. 26-01-98
  • 376.
  • 377.
    11. Ασθενής ηλικίας43 ετών με εικόνα κλασικής πλευρίτιδος στο αριστερό ημιθωράκιο και, όπως προκύπτει από την προφίλ ακτινογραφία θώρακος, υπάρχει εγκύστωση στο οπίσθιο θωρακικό τοίχωμα. Με αντιφυματική θεραπεία στο σπίτι για 14 μήνες, αποκατάσταση. 11.α. 11.β. 18-09-79 27-08-79
  • 378.
  • 379.
    12.Ασθενής ηλικίας 19ετών με υγρά πλευρίτιδα στο δεξιό ημιθωράκιο και με αντιφυματική θεραπεία στο σπίτι για 14 μήνες, αποκατάσταση. 12.α. 12.β. 05-10-81 22-04-82
  • 380.
    Α/Α Φ ΗΤΡΟΠΟΣ ΔΙΑΓΝΩΣΗΣ ΑΚΤΙΝΟΓΡΑΦΙΑ ΑΝΤΙΦΥΜΑΤΙΚΗ ΑΓΩΓΗ ΔΘ ΕΚΒΑΣΗ 13 Α 16 ΠΕΛ ΤΕ ΝΣ + + ++ +++ + R + ΙΝΗ + Μ + Z S Νοσ. Σπ.14 ΙΑ + Ιν.Στ. Υπ.Βλ ΕΠ Θ. 13.α. 13.β. 31-01-77 11-01-77
  • 381.
  • 382.
    Α/Α Φ ΗΤΡΟΠΟΣ ΔΙΑΓΝΩΣΗΣ ΑΚΤΙΝΟΓΡΑΦΙΑ ΑΝΤΙΦΥΜΑΤΙΚΗ ΑΓΩΓΗ ΔΘ ΕΚΒΑΣΗ 14 Α 36 ΠΕΛ ΤΕ + ΝΣ + ++ + +++ R + ΙΝΗ + Μ + Z S Νοσ. Σπ.14 ΙΑ + Ιν.Στ. Υπ.Βλ ΕΠ Θ. 14.α. 14.β. 15-04-86 23-04-85 23-04-85
  • 383.
    Α/Α Φ ΗΤΡΟΠΟΣ ΔΙΑΓΝΩΣΗΣ ΑΚΤΙΝΟΓΡΑΦΙΑ ΑΝΤΙΦΥΜΑΤΙΚΗ ΑΓΩΓΗ ΔΘ ΕΚΒΑΣΗ 15 Α 20 ΠΕΛ ΤΕ ΝΣ + + ++ +++ + R + ΙΝΗ + Μ + Z S Νοσ. Σπ.14 ΙΑ + Ιν.Στ. Υπ.Βλ ΕΠ Θ. 15.α. 15.β.
  • 384.
    Α/Α Φ ΗΤΡΟΠΟΣ ΔΙΑΓΝΩΣΗΣ ΑΚΤΙΝΟΓΡΑΦΙΑ ΑΝΤΙΦΥΜΑΤΙΚΗ ΑΓΩΓΗ ΔΘ ΕΚΒΑΣΗ 16 Α 17 ΠΕΛ ΤΕ ΝΣ + + ++ +++ + R + ΙΝΗ + Μ + Z S Νοσ. Σπ. ΙΑ + Ιν.Στ. Υπ.Βλ ΕΠ Θ. 16.α. Ολοκλήρωσε τη θεραπεία στον ασφαλιστικό του φορέα. 16.β.
  • 385.
    17. Ασθενής ηλικίας26 ετών με υγρά πλευρίτιδα στο αριστερό ημιθωράκιο και εγκύστωση στο οπίσθιο θωρακικό τοίχωμα. Με αντιφυματική θεραπεία στο σπίτι για 14 μήνες, αποκατάσταση. 17.α. 17.β. 04-05-78 08-05-78
  • 386.
  • 387.
    17.ε. 18. Ασθενής ηλικίας32 ετών με υγρά πλευρίτιδα στο δεξιό ημιθωράκιο (υποπνευμονική συλλογή) με αντιφυματική θεραπεία στο σπίτι για 14 μήνες, αποκατάσταση. 18.α. 08-11-38 18-07-78 6 εκ.
  • 388.
  • 389.
    Α/Α Φ ΗΤΡΟΠΟΣ ΔΙΑΓΝΩΣΗΣ ΑΚΤΙΝΟΓΡΑΦΙΑ ΑΝΤΙΦΥΜΑΤΙΚΗ ΑΓΩΓΗ ΔΘ ΕΚΒΑΣΗ 19 Α 28 ΠΕΛ ΤΕ ΝΣ + + + ++ +++ R + ΙΝΗ + Μ + Z S Νοσ. Σπ.14 ΙΑ + Ιν.Στ. Υπ.Βλ ΕΠ Θ. 19.α. Υποπνευμονική συλλογή 19.β. 23-12-86 7,6 εκ. 7,6 εκ
  • 390.
    19.γ. Α/Α Φ ΗΤΡΟΠΟΣ ΔΙΑΓΝΩΣΗΣ ΑΚΤΙΝΟΓΡΑΦΙΑ ΑΝΤΙΦΥΜΑΤΙΚΗ ΑΓΩΓΗ ΔΘ ΕΚΒΑΣΗ 20 Α 16 ΠΕΛ ΤΕ ΝΣ + + ++ +++ + R + ΙΝΗ + Μ + Z S Νοσ.1 Σπ.14 ΙΑ + Ιν.Στ. Υπ.Βλ ΕΠ Θ. 20.α. 11-06-81 02-07-87
  • 391.
  • 392.
    20.δ. Α/Α Φ ΗΤΡΟΠΟΣ ΔΙΑΓΝΩΣΗΣ ΑΚΤΙΝΟΓΡΑΦΙΑ ΑΝΤΙΦΥΜΑΤΙΚΗ ΑΓΩΓΗ ΔΘ ΕΚΒΑΣΗ 21 Θ 20 ΠΕΛ ΤΕ ΝΣ + + ++ +++ + R + ΙΝΗ + Μ + Z S Νοσ. Σπ.14 ΙΑ + Ιν.Στ. Υπ.Βλ ΕΠ Θ. 21.α. 08-06-82
  • 393.
  • 394.
  • 395.
    Α/Α Φ ΗΤΡΟΠΟΣ ΔΙΑΓΝΩΣΗΣ ΑΚΤΙΝΟΓΡΑΦΙΑ ΑΝΤΙΦΥΜΑΤΙΚΗ ΑΓΩΓΗ ΔΘ ΕΚΒΑΣΗ 22 Θ 27 ΠΕΛ ΤΕ ΝΣ + + ++ +++ + R + ΙΝΗ + Μ + Z S Νοσ.1 Σπ.14 ΙΑ + Ιν.Στ. Υπ.Βλ ΕΠ Θ. 22.α. 22.β.
  • 396.
    22.γ. Α/Α Φ ΗΤΡΟΠΟΣ ΔΙΑΓΝΩΣΗΣ ΑΚΤΙΝΟΓΡΑΦΙΑ ΑΝΤΙΦΥΜΑΤΙΚΗ ΑΓΩΓΗ ΔΘ ΕΚΒΑΣΗ 23 Θ 26 ΠΕΛ ΤΕ ΝΣ + + ++ + +++ R + ΙΝΗ + Μ + Z S Νοσ. Σπ.12 ΙΑ + Ιν.Στ. Υπ.Βλ ΕΠ Θ. 23.α. 14-11-88
  • 397.
  • 398.
  • 399.
    Α/Α Φ ΗΤΡΟΠΟΣ ΔΙΑΓΝΩΣΗΣ ΑΚΤΙΝΟΓΡΑΦΙΑ ΑΝΤΙΦΥΜΑΤΙΚΗ ΑΓΩΓΗ ΔΘ ΕΚΒΑΣΗ 24 Α 50 ΠΕΛ ΤΕ ΝΣ + + ++ +++ + R + ΙΝΗ + Μ + Z S Νοσ. Σπ.14 ΙΑ + Ιν.Στ. Υπ.Βλ ΕΠ Θ. 24.α. 24.β. 01-11-82 18.07.81
  • 400.
    Α/Α Φ ΗΤΡΟΠΟΣ ΔΙΑΓΝΩΣΗΣ ΑΚΤΙΝΟΓΡΑΦΙΑ ΑΝΤΙΦΥΜΑΤΙΚΗ ΑΓΩΓΗ ΔΘ ΕΚΒΑΣΗ 25 Α 18 ΠΕΛ ΤΕ ΝΣ + + ++ + +++ R + ΙΝΗ + Μ + Z S Νοσ. Σπ.14 ΙΑ + Ιν.Στ. Υπ.Βλ ΕΠ Θ. 25.α. 25.β. 17-07-81
  • 401.
    Α/Α Φ ΗΤΡΟΠΟΣ ΔΙΑΓΝΩΣΗΣ ΑΚΤΙΝΟΓΡΑΦΙΑ ΑΝΤΙΦΥΜΑΤΙΚΗ ΑΓΩΓΗ ΔΘ ΕΚΒΑΣΗ 26 Α 32 ΠΕΛ ΤΕ ΝΣ + + ++ +++ + R + ΙΝΗ + Μ + Z S Νοσ. Σπ.14 ΙΑ + Ιν.Στ. Υπ.Βλ ΕΠ Θ. 26.α. 26.β. 19-12-78 14-12-78 19-12-78
  • 402.
  • 403.
    26.ε. Α/Α Φ ΗΤΡΟΠΟΣ ΔΙΑΓΝΩΣΗΣ ΑΚΤΙΝΟΓΡΑΦΙΑ ΑΝΤΙΦΥΜΑΤΙΚΗ ΑΓΩΓΗ ΔΘ ΕΚΒΑΣΗ 27 Θ 16 ΠΕΛ ΤΕ ΝΣ + + ++ +++ + R + ΙΝΗ + Μ + Z S Νοσ. Σπ.14 ΙΑ + Ιν.Στ. Υπ.Βλ ΕΠ Θ. 27.α. 10-03-80
  • 404.
    27.β. Α/Α Φ ΗΤΡΟΠΟΣ ΔΙΑΓΝΩΣΗΣ ΑΚΤΙΝΟΓΡΑΦΙΑ ΑΝΤΙΦΥΜΑΤΙΚΗ ΑΓΩΓΗ ΔΘ ΕΚΒΑΣΗ 28 Α 17 ΠΕΛ ΤΕ ΝΣ + + ++ +++ + R + ΙΝΗ + Μ + Z S Νοσ.1 Σπ.14 ΙΑ + Ιν.Στ. Υπ.Βλ ΕΠ Θ. 28.α. 13-06-83
  • 405.
  • 406.
  • 407.
    Α/Α Φ ΗΤΡΟΠΟΣ ΔΙΑΓΝΩΣΗΣ ΑΚΤΙΝΟΓΡΑΦΙΑ ΑΝΤΙΦΥΜΑΤΙΚΗ ΑΓΩΓΗ ΔΘ ΕΚΒΑΣΗ 29 Α 17 ΠΕΛ ΤΕ ΝΣ + + ++ +++ + R + ΙΝΗ + Μ + Z S Νοσ. Σπ.14 ΙΑ + Ιν.Στ. Υπ.Βλ ΕΠ Θ. 29.α. Επαφή 29.β.
  • 408.
  • 409.
  • 410.
    29.ζ. Α/Α Φ ΗΤΡΟΠΟΣ ΔΙΑΓΝΩΣΗΣ ΑΚΤΙΝΟΓΡΑΦΙΑ ΑΝΤΙΦΥΜΑΤΙΚΗ ΑΓΩΓΗ ΔΘ ΕΚΒΑΣΗ 30 Α 20 ΠΕΛ ΤΕ ΝΣ + + ++ +++ + R + ΙΝΗ + Μ + Z S Νοσ. Σπ.12 ΙΑ + Ιν.Στ. Υπ.Βλ ΕΠ Θ. 30.α.
  • 411.
  • 412.
    30.δ. 31. Ασθενής ηλικίας18 ετών με οξεία κλινική συνδρομή και ακτινογραφική εικόνα που έδινε την εικόνα πύκνωσης στο μέσο και κατώτερο πνευμονικό πεδίο. Επρόκειτο για υγρά πλευρίτιδα με εγκύστωση στο πλάγιο και στο οπίσθιο θωρακικό τοίχωμα. Νοσοκομειακή νοσηλεία 20 ημερών και συνέχιση της αντιφυματικής θεραπείας για 14 μήνες στο σπίτι με αποκατάσταση. 31.α. 20-10-80
  • 413.
  • 414.
  • 415.
    32. Ασθενής ηλικίας30 ετών, με άμβλυνση του δεξιού πλευροδιαφραγματικού χώρου, με αντιφυματική θεραπεία στο σπίτι για 14 μήνες, αποκατάσταση. 32.α. 32.β. 31-12-80 19-03-81 19-03-81 19-03-81
  • 416.
  • 417.
    Α/Α Φ ΗΤΡΟΠΟΣ ΔΙΑΓΝΩΣΗΣ ΑΚΤΙΝΟΓΡΑΦΙΑ ΑΝΤΙΦΥΜΑΤΙΚΗ ΑΓΩΓΗ ΔΘ ΕΚΒΑΣΗ 33 Θ 23 ΠΕΛ ΤΕ ΝΣ + + + ++ +++ R + ΙΝΗ + Μ + Z S Νοσ. Σπ.12 ΙΑ + Ιν.Στ. Υπ.Βλ ΕΠ Θ. 33.α. Άμβλυνση του δεξιού πλευροδιαφραγματικού χώρου 33.β. 10-01-85
  • 418.
    Α/Α Φ ΗΤΡΟΠΟΣ ΔΙΑΓΝΩΣΗΣ ΑΚΤΙΝΟΓΡΑΦΙΑ ΑΝΤΙΦΥΜΑΤΙΚΗ ΑΓΩΓΗ ΔΘ ΕΚΒΑΣΗ 34 Θ 24 ΠΕΛ ΤΕ ΝΣ + + ++ +++ + R + ΙΝΗ + Μ + Z S Νοσ. Σπ.14 ΙΑ + Ιν.Στ. Υπ.Βλ ΕΠ Θ. 34.α. 34.β. 31-10-83 26-05-84
  • 419.
    Α/Α Φ ΗΤΡΟΠΟΣ ΔΙΑΓΝΩΣΗΣ ΑΚΤΙΝΟΓΡΑΦΙΑ ΑΝΤΙΦΥΜΑΤΙΚΗ ΑΓΩΓΗ ΔΘ ΕΚΒΑΣΗ 35 Α 30 ΠΕΛ ΤΕ ΝΣ + + ++ +++ + R + ΙΝΗ + Μ + Z S Νοσ. Σπ.16 ΙΑ + Ιν.Στ. Υπ.Βλ + ΕΠ Θ. 35.α. Έμεινε για μακρό χρόνο χωρίς ειδική θεραπεία από αμέλεια του ιδίου 35.β.
  • 420.
  • 421.
    36. Ασθενής ηλικίας41 ετών με νοσηλεία σε παθολογική κλινική για 10 ημέρες και διάγνωση: πνευμονίτιδα αριστερού πνεύμονος όπως προκύπτει από το εξιτήριο και το ενημερωτικό σημείωμα του ασθενούς. Ύστερα από 4 μήνες προσήλθε στο αντιφυματικό ιατρείο με εικόνα υγράς πλευρίτιδος στο αριστερό ημιθωράκιο (α/α 43.β/γ). Από την α/α της 23-06-83 επισημαίνονται οι διάσπαρτες φυματικές αλλοιώσεις του αριστερού πνεύμονα που διέλαθαν της προσοχής. Ο άρρωστος διακομίσθηκε σε ειδικό νοσηλευτικό κέντρο όπου παρέμεινε για 3 μήνες και ολοκλήρωσε την αντιφυματική θεραπεία για 14 μήνες στο σπίτι, με αποκατάσταση. 36.α. 36.β. 23-06-83 22-10-83
  • 422.
  • 423.
    37. Ασθενής 16ετών με 30 ημερών νοσηλεία σε πανεπιστημιακή παθολογική κλινική για πνευμονία αριστερού πνεύμονος (29/11/79 έως 19/12/79), όπως προκύπτει από το εξιτήριο και το ενημερωτικό σημείωμα του ασθενούς. Ύστερα από 6 μήνες εμφάνισε υγρά πλευρίτιδα στο σύστοιχο ημιθωράκιο και με αντιφυματική θεραπεία στο σπίτι για 14 μήνες, αποκατάσταση. 37.α. 37.β. 03-01-80
  • 424.
  • 425.
    Α/Α Φ ΗΤΡΟΠΟΣ ΔΙΑΓΝΩΣΗΣ ΑΚΤΙΝΟΓΡΑΦΙΑ ΑΝΤΙΦΥΜΑΤΙΚΗ ΑΓΩΓΗ ΔΘ ΕΚΒΑΣΗ 38 Α 32 ΠΕΛ ΤΕ ΝΣ + + ++ +++ + R + ΙΝΗ + Μ + Z S Νοσ. Σπ.14 ΙΑ + Ιν.Στ. Υπ.Βλ ΕΠ Θ. 38.α. 38.β.
  • 426.
    39. Ασθενής ηλικίας28 ετών, με νοσηλεία σε πανεπιστημιακή παθολογική κλινική και διάγνωση: παχυπλευρίτιδα δεξιάς βάσεως (ενημερωτικό νοσηλείας). Με αντιφυματική θεραπεία στο σπίτι για 14 μήνες, πλήρης ακτινολογική αποκατάσταση. 39.α. 39.β.
  • 427.
    Α/Α Φ ΗΤΡΟΠΟΣ ΔΙΑΓΝΩΣΗΣ ΑΚΤΙΝΟΓΡΑΦΙΑ ΑΝΤΙΦΥΜΑΤΙΚΗ ΑΓΩΓΗ ΔΘ ΕΚΒΑΣΗ 40 Θ 18 ΠΕΛ ΤΕ ΝΣ + + ++ +++ + R + ΙΝΗ + Μ + Z S Νοσ.1 Σπ.16 ΙΑ + Ιν.Στ. Υπ.Βλ ΕΠ Θ. 40.α. 40.β. 12-10-79
  • 428.
  • 429.
    41. Ασθενής ηλικίας55 ετών, με γνωστή καρδιοπάθεια. Στην α/α φαίνεται αύξηση της καρδιακής σκιάς- συλλογή υγρού στο δεξιό πλευροδιαφραγματικό χώρο και, κυρίως, στη μικρή μεσολόβια και υποπνευμονική συλλογή αριστερά (βέλη). (Α κατά μέτωπον, Β πλάγια) 41.α. 41.β. Α Β
  • 430.
    42. Ασθενής ηλικίας70 ετών, νοσηλεύτηκε για εωσινόφιλο διήθημα (18/07/77 Α). Στις ακτινογραφίες φαίνεται η μετακίνηση της διήθησης από τον δεξιό πνεύμονα (άνω λοβό παρατραχειακά), στον άνω λοβό του αριστερού πνεύμονα (μετακινούμενη πνευμονία). Στην εξέλιξη διαπιστώθηκε υποπνευμονική συλλογή υγρού, αριστερά (23/11/77 Β). 42.α. 42.β. Α Β 23-11-77 18-07-77
  • 431.
    43. Ασθενής ηλικίας63 ετών. Μετά από χειρουργική επέμβαση αορτοστεφανιαίας παράκαμψης, παρουσιάζεται συλλογή υγρού αριστερά. (σύνδρομο Tresler)
  • 432.
    44. Ασθενής ηλικίας65 ετών, με γνωστή παλαιά φυματίωση, εγκυστωμένος χρόνιος πνευμοθώρακας. Διαπύηση, παροχέτευση προς βρόγχο, οδήγησε σε βρογχοϋπεζωκοτικό συρίγγιο με υγραερική εικόνα (16-01-88). Την διαφορική διάγνωση από μεγάλη φυσαλίδα δίνει το σημείο του Berneau. 44.α. 44.β. <90ο
  • 433.
  • 434.
  • 435.
    ΚΕΦΑΛΑΙΟ ΙΙΙ ΕΝΔΙΑΦΕΡΟΥΣΕΣ ΑΠΕΙΚΟΝΙΣΕΙΣΤΗΣ ΧΡΟΝΙΑΣ ΠΝΕΥΜΟΝΙΚΗΣ ΦΥΜΑΤΙΩΣΗΣ 1. Ασυμπτωματικές περιπτώσεις φυματίωσης που διαπιστώθηκαν σε επαγγελματικό έλεγχο ΠΕΡΙΠΤΩΣΗ 1η: Σε άτομο ηλικίας 30 ετών παρατηρείται μόλις υποσημειούμενη διήθηση δεξιάς κορυφής που με κλασική τομογραφία αποκαλύπτεται σπήλαιο. Τυχαίο εύρημα σε έλεγχο περιβάλλοντος, από το άρρωστο παιδί στον πατέρα (πηγή). Με αντιφυματική θεραπεία στο σπίτι για 14 μήνες, αποκατάσταση. Διαπιστώθηκε σαν πηγή
  • 436.
  • 437.
    ΠΕΡΙΠΤΩΣΗ 2η: Σε άτομοηλικίας 18 ετών διαπιστώνεται σε επιδημιολογικό έλεγχο στα πλαίσια του αντιφυματικού αγώνα, σπήλαιο στον αριστερό άνω λοβό (ακτινογραφία Α, τομογραφία Β). Με αντιφυματική θεραπεία στο σπίτι για ένα χρόνο αποκατάσταση. Ασυμπτωματική περίπτωση 17-04-86 17-04-86
  • 438.
    ΠΕΡΙΠΤΩΣΗ 3η: Η ακτινογραφίαθώρακος έγινε σε άτομο ηλικίας 18 ετών για την έκδοση πιστοποιητικού υγείας. Τυχαίο εύρημα η διήθηση της δεξιάς κορυφοϋποκλειδίου χώρας ( ακτινογραφία Α + Β ). Με αντιφυματική θεραπεία στο σπίτι για ένα χρόνο αποκατάσταση. 16-04-87 19-09-86
  • 439.
    ΠΕΡΙΠΤΩΣΗ 4η: Σε άτομοηλικίας 17 ετών σε γενόμενη ακτινογραφία θώρακος για έκδοση πιστοποιητικού υγείας, τυχαίο εύρημα οι φυματικές αλλοιώσεις στο δεξιό άνω λοβό με σπήλαιο (ακτινογραφία Α + Β). Με αντιφυματική θεραπεία στο σπίτι για ένα χρόνο αποκατάσταση. 19-09-86 19-12-85
  • 440.
  • 441.
    ΠΕΡΙΠΤΩΣΗ 5η: Σε μαθήτριαηλικίας 16 ετών σε γενόμενη ακτινογραφία θώρακος για την έκδοση πιστοποιητικού υγείας, τυχαίο εύρημα οι φυματικές αλλοιώσεις στον αριστερό άνω λοβό ( ακτινογραφία Α+Β ). Με αντιφυματική θεραπεία στο σπίτι για ένα χρόνο αποκατάσταση. 12-03-87 Φυματικές διηθήσεις αριστερού άνω λοβού
  • 442.
  • 443.
    ΠΕΡΙΠΤΩΣΗ 6η: Σε άτομοηλικίας 41 ετών διαπιστώθηκε ανεπαίσθητη διήθηση δεξιού άνω πνευμονικού πεδίου, που επιβεβαιώθηκε με κλασσική τομογραφία (Α-Β,Β2). Ο ανωτέρω αρνήθηκε να υποβληθεί σε αντιφυματική θεραπεία και μετά από 10 μήνες η βλάβη εξελίχθηκε σε σπήλαιο. Η περίπτωση αυτή εμπίπτει και στις δύο επόμενες κατηγορίες. Η ακτινογραφία θώρακος έγινε για την έκδοση ναυτικού φυλλαδίου. 08-07-80
  • 445.
    ΠΕΡΙΠΤΩΣΗ 7η: Άτομο ηλικίας37 ετών προσήλθε με ακτινογραφία που παρουσίαζε διάχυτες φυματικές αλλοιώσεις και στους δύο πνεύμονες, για την έκδοση πιστοποιητικού υγείας. Τυχαίο εύρημα. Με αντιφυματική θεραπεία στο σπίτι για ένα χρόνο, αποκατάσταση. 18-01-85
  • 446.
  • 447.
    ΠΕΡΙΠΤΩΣΗ 8η: Άτομο ηλικίας19 ετών προσήλθε με ακτινογραφία θώρακος για την έκδοση πιστοποιητικού υγείας. Με προσεκτικότερη εκτίμηση της ακτινογραφίας διαπιστώθηκε σπήλαιο στον κορυφαίο του αριστερού κάτω λοβού. Με αντιφυματική θεραπεία στο σπίτι για 14 μήνες, αποκατάσταση. 22-06-7922-06-79
  • 448.
  • 449.
    ΠΕΡΙΠΤΩΣΗ 9η: Άτομο ηλικίας20 ετών, επαφή με φυσιολογική ακτινογραφιά θώρακος (Α) στις 24/01/84. Προσήλθε ύστερα από 8 μήνες με αμβλυχρές φυματικές αλλοιώσεις στο δεξιό άνω λοβό (19/09/84, ακτινογραφία Β) που έγιναν εμφανέστερες με κλασσική τομογραφία ( 21/09/84, τομογραφία Γ ). Τυχαίο εύρημα. Η ακτινογραφία της 19/09/84 (Β) έγινε για την έκδοση πιστοποιητικού υγείας. Με αντιφυματική θεραπεία στο σπίτι για 14 μήνες, αποκατάσταση. Φυσιολογική σαν επαφή
  • 450.
  • 451.
    ΠΕΡΙΠΤΩΣΗ 10η: Ασθενής ηλικίας38 ετών με φυματικές αλλοιώσεις στη δεξιά κορυφοϋποκλείδιο χώρα και χωρίς κλινική συμπτωματολογία, παρέμεινε χωρίς αντιφυματική θεραπεία για 5 χρόνια. Από τη νόσηση του παιδιού του διαπιστώθηκε ως πηγή και με κλασσική τομογραφία επιβεβαιώθηκε η βλάβη με σπήλαιο. Με αντιφυματική θεραπεία στο σπίτι για 14 μήνες, αποκατάσταση. 15-07-85
  • 452.
  • 453.
  • 454.
    2. Δυσδιάγνωστη Φυματίωση ΠΕΡΙΠΤΩΣΗ1η: Σε μαθητή λυκείου ηλικίας 18 ετών και σε επανέλεγχο στα πλαίσια του αντιφυματικού αγώνα των Mantoux θετικών, διαπιστώθηκε ανεπαίσθητη διήθηση αριστερού άνω πνευμονικού πεδίου, επιβεβαιώθηκε σε επανάληψη ακτινογραφίας θώρακος μετά από ένα μήνα. Με αντιφυματική θεραπεία στο σπίτι για ένα χρόνο αποκατάσταση. 26-07-88 20-06-88 26-07-88
  • 455.
    ΠΕΡΙΠΤΩΣΗ 2η: Ασθενής ηλικίας36 ετών με διάχυτες φυματικές αλλοιώσεις δεξιού άνω λοβού που επιβεβαιώνεται με κλασσική τομογραφία η ύπαρξη ευμεγέθους φυματικού σπηλαίου (ακτινογραφία Α - τομογραφία Β). Με αντιφυματική θεραπεία στο σπίτι για 14 μήνες, αποκατάσταση. Φυσιολογική ακτινογραφία θώρακος
  • 458.
  • 459.
    ΠΕΡΙΠΤΩΣΗ 3η: Ασθενής ηλικίας56 ετών με οξύ εμπύρετο και ακτινογραφικά πνευμονίτιδα της Lingula και με κλασσική τομογραφία διαπιστώθηκαν σπήλαια και στις δύο κορυφές. Με αντιφυματική θεραπεία στο σπίτι για 14 μήνες, αποκατάσταση. σε βαθειά εισπνοή Πνευμονίτιδα της Lingula και δυσδιάκριτα σπήλαια και στις δύο κορυφές.
  • 461.
    ΠΕΡΙΠΤΩΣΗ 4η: Επαφή ηλικίας54 ετών με φυσιολογική ακτινογραφία θώρακος (Α) και ύστερα από λήψη κορτικοειδών και παρέλευση 4 μηνών εμφάνισε φυματική βλάβη αριστερού άνω λοβού παρατραχειακά και δυσδιάκριτη του δεξιού άνω λοβού. Με κλασσική τομογραφία αμφοτέρων των πνευμόνων αποκαλύφθηκαν σπήλαια και στους δύο πνεύμονες. Με αντιφυματική θεραπεία στο σπίτι για ένα χρόνο αποκατάσταση. 22-03-88 Φυσιολογική σαν επαφή Φυσιολογική σαν επαφή
  • 463.
    ΠΕΡΙΠΤΩΣΗ 5η: Ασθενής ηλικίας34 ετών. Σε ακτινογραφία της 21/3/88 (Α) μόλις υποσημαίνεται η αρχόμενη συλλογή υγρού στο πρόσθιο τόξο της 8ης πλευράς (βέλη) και στην επόμενη ακτινογραφία ( 7/4/88, Β) με τυπική εικόνα συλλογής υπεζωκοτικού υγρού. Η θεραπεία του ασθενούς καθυστέρησε σκόπιμα για δεκαπέντε μέρες προκειμένου ο άρρωστος να μην έχει προβλήματα με τους γιατρούς του ασφαλιστικού του φορέα. Με αντιφυματική θεραπεία στο σπίτι για ένα χρόνο αποκατάσταση. 21-03-88 21-03-88
  • 464.
  • 465.
    ΠΕΡΙΠΤΩΣΗ 6η: Άτομο ηλικίας19 ετών με φυματικές αλλοιώσεις στο αριστερό μέσο πνευμονικό πεδίο και σπήλαιο στον κορυφαίο του κάτω λοβού. Τυχαίο εύρημα. Προσήλθε για πιστοποιητικό υγείας. Με αντιφυματική θεραπεία στο σπίτι για 14 μήνες, αποκατάσταση. 22-06-79 11-08-79
  • 466.
    ΠΕΡΙΠΤΩΣΗ 7η: Άτομο ηλικίας20 ετών, επαφή με φυσιολογική ακτινογραφιά θώρακος (Α) στις 24/01/84. Προσήλθε ύστερα από 8 μήνες με αμβλυχρές φυματικές αλλοιώσεις στο δεξιό άνω λοβό (19/09/84, ακτινογραφία Β) που έγιναν εμφανέστερες με κλασσική τομογραφία ( 21/09/84, τομογραφία Γ ). Τυχαίο εύρημα. Η ακτινογραφία της 19/09/84 (Β) έγινε για την έκδοση πιστοποιητικού υγείας. Με αντιφυματική θεραπεία στο σπίτι αποκατάσταση. 13-05-80 24-01-84Φυσιολογική σαν επαφή 13-05-80
  • 468.
  • 469.
    ΠΕΡΙΠΤΩΣΗ 8η: Σε άτομοηλικίας 41 ετών διαπιστώθηκε ανεπαίσθητη διήθηση δεξιού άνω πνευμονικού πεδίου, που επιβεβαιώθηκε με κλασσική τομογραφία (Α-Β,Β2) Ο ανωτέρω αρνήθηκε να υποβληθεί σε αντιφυματική θεραπεία και μετά από 10 μήνες η βλάβη εξελίχθηκε σε σπήλαιο. Η ακτινογραφία θώρακος έγινε για την έκδοση ναυτικού φυλλαδίου. Με αντιφυματική θεραπεία στο σπίτι για 14 μήνες, αποκατάσταση. 08-07-80
  • 471.
    ΠΕΡΙΠΤΩΣΗ 9η: Ασθενής ηλικίας17 ετών, με Mantoux (+) και φυσιολογική ακτινογραφία θώρακος. Ύστερα από 3 χρόνια με κλινική συνδρομή και υπόνοια φυματικής βλάβης στη δεξιά κορυφοϋποκλείδιο χώρα, με κλασική τομογραφία αποκαλύπτεται τήξη και με αντιφυματική θεραπεία στο σπίτι για 14 μήνες, αποκατάσταση. Φυσιολογική ακτινογραφία σαν επαφή
  • 473.
    ΠΕΡΙΠΤΩΣΗ 10η: Ασθενής ηλικίας38 ετών με φυματικές αλλοιώσεις στη δεξιά κορυφοϋποκλείδιο χώρα και χωρίς κλινική συμπτωματολογία, παρέμεινε χωρίς αντιφυματική θεραπεία για 5 χρόνια. Από τη νόσηση του παιδιού του διαπιστώθηκε ως πηγή και με κλασσική τομογραφία επιβεβαιώθηκε η βλάβη με σπήλαιο. Με αντιφυματική θεραπεία στο σπίτι για 14 μήνες, αποκατάσταση.
  • 474.
  • 475.
  • 476.
    3. Διάγνωση τηςΠνευμονικής Φυματίωσης με καθυστέρηση (διαπιστώνεται από τη σύγκριση διαδοχικών ακτινογραφιών θώρακος του αρρώστου) η οποία σε μέσο όρο είναι 6 μήνες και άνω. ΠΕΡΙΠΤΩΣΗ 1η: Ασθενής ηλικίας 25 ετών, προσήλθε με κλινική συνδρομή. Διαπιστώνονται αλλοιώσεις δεξιά παρακαρδιακά, που δεν εκτιμήθηκαν σε πρώτη εξέταση (Α). Η περιοχή ειναι ''δύσκολη'' ακτινολογικά λόγω συρροής πολλών αγγειακών δομών. Σε ακτινογραφία μετά 15 ημέρες (Β), διαπιστώνεται σκίαση στο δεξιό κάτω λοβό με τήξη (σπήλαιο). Η άρρωστη ήταν σε στενή παρακολούθηση ανά εβδομάδα και είναι η μοναδική περίπτωση που ανακαλύπτεται τόσο σύντομα. Με αντιφυματική θεραπεία στο σπίτι για ένα χρόνο αποκατάσταση.
  • 477.
  • 478.
    ΠΕΡΙΠΤΩΣΗ 2η: Ασθενής ηλικίας22 ετών με φυματικές αλλοιώσεις δεξιού άνω λοβού στην ακτινογραφία θώρακος της 21/6/80 οι οποίες και αντιμετωπίστηκαν σαν κοινή πνευμονίτιδα από μη-ειδικούς ιατρούς , μπήκε σε αντιφυματική θεραπεία στις 7/1/81, με καθυστέρηση 6,5 μηνών. Με αντιφυματική θεραπεία 14 μηνών στο σπίτι, αποκατάσταση. Η διάγνωση τέθηκε με καθυστέρηση 6 μηνών. Ο ασθενής αντιμετωπιζόταν σαν κοινή πνευμονοπάθεια για 6 μήνες. 21-06-80
  • 481.
    ΠΕΡΙΠΤΩΣΗ 3η: Στα πλαίσιατου αντιφυματικού αγώνα, σε μαθήτρια ηλικίας 16 ετών με μη εμφανείς φυματικές βλάβες στο μέσον του αριστερού πνεύμονα που διέλαθαν της προσοχής, ύστερα από 6 μήνες ενεφάνισε σπηλαιώδη πνευμονική φυματίωση στην ίδια περιοχή και βρογχική διασπορά καταλαμβάνουσα τον αριστερό κάτω λόβο υπό μορφή πνευμονίας ( φυματική λοβίτιδα). Με αντιφυματική θεραπεία στο σπίτι για 14 μήνες αποκατάσταση με επασβεστιώσεις στη συνέχεια ύστερα από 3 χρόνια. Ύστερα από 14 χρόνια ενεφάνισε διήθηση στο μέσο του δεξιού πνεύμονα, η οποία ήταν πνευμονίτιδα κοινής αιτιολογίας (ακτινογραφίες Ε+ΣΤ). 15-06-77 Σε επιδημιολογικό έλεγχο με Mantoux(+) υποεκτιμήθηκε η φυματική βλάβη στον αριστερό πνεύμονα και ύστερα από 10 μήνες με κλινική συνδρομή και σπηλαιώδη πνευμονική φυματίωση στην ίδια περιοχή 20-04-78 20-04-78
  • 482.
    ΠΕΡΙΠΤΩΣΗ 4η: Ασθενής ηλικίας13 ετών. Σε έλεγχο λόγω φυματικής νόσου στο περιβάλλον και θετικής φυματινοαντίδρασης και χωρίς αποκαλυπτικές αλλοιώσεις στην ακτινογραφία (Α) υποβλήθηκε σε χημειοθεραπεία και μετά από 1 χρόνο στις 30/4/79 διαπιστώνεται ακτινολογικά εκτεταμένη σπηλαιώδης πνευμονική φυματίωση (ακτινογραφία Β). Τα παράδοξα της φυματίωσης. Με αντιφυματική θεραπεία στο σπίτι για 14 μήνες αποκατάσταση. 25-04-78 Σαν επαφή ήταν σε στενή παρακολούθηση από παιδίατρο με συχνές ακτινογραφίες. Η καθυστέρηση στη διάγνωση είναι 1 χρόνος.
  • 485.
    ΠΕΡΙΠΤΩΣΗ 5η: Ασθενής ηλικίας17 ετών (μαθητής) με τυπική εικόνα σπηλαιώδους πνευμονικής φυματίωσης του κορυφαίου του αριστερού κάτω λοβού η οποία εκτιμήθηκε σαν ραγείσα εχινόκοκκος κύστις από μη ειδικούς ιατρούς και ύστερα από 3 μήνες παραπέμφθηκε στο αντιφυματικό ιατρείο με την ίδια εικόνα και συλλογή πλευριτικού υγρού σύστοιχα. Με αντιφυματική θεραπεία στο σπίτι για 14 μήνες, αποκατάσταση. 05-10-77 Ο ασθενής με σπηλαιώδη πνευμονική φυματίωση στον κορυφαίο του αριστερού κάτω λοβού παρέμεινε στο σχολικό περιβάλλον αδιάγνωστος για 4 μήνες και.
  • 487.
    ΠΕΡΙΠΤΩΣΗ 6η: Ασθενής ηλικίας42 ετών με σπηλαιώδη πνευμονική φυματίωση αριστερού άνω λοβού που διέλαθε της προσοχής των μη ειδικών ιατρών και ύστερα από 5 μήνες παραπέμφθηκε στο αντιφυματικό ιατρείο. Αντιφυματική θεραπεία στο σπίτι για 14 μήνες, με αποκατάσταση.
  • 489.
    ΠΕΡΙΠΤΩΣΗ 7η: Ασθενής ηλικίας26 ετών, λόγω κλινικής συνδρομής υποβλήθηκε σε ακτινολογικό έλεγχο, στον οποιο δε διαπιστώθηκε εμφανής φυματική βλάβη (Α). Μετά 4 μήνες (Β), διαπιστώνεται εικόνα ενεργού εκτεταμένης φυματίωσης αμφίπλευρα. Με αντιφυματική θεραπεία στο σπίτι για 14 μήνες, αποκατάσταση. Η διάγνωση τέθηκε με καθυστέρηση 4 μηνών. 26-04-88
  • 491.
    ΠΕΡΙΠΤΩΣΗ 8η: Ασθενής ηλικίας46 ετών σε ακτινογραφία θώρακος στις 19/6/78 (Α) παρουσίαζε φυματικές αλλοιώσεις αριστερού άνω λοβού. Παρέμεινε χωρίς αντιφυματική θεραπεία επί 1 χρόνο όπου και παραπέμφθηκε στο αντιφυματικό ιατρείο με πιο εκτεταμένες τις φυματικές βλάβες. Με αντιφυματική θεραπεία στο σπίτι για 14 μήνες, αποκατάσταση. 19-06-78
  • 493.
    ΠΕΡΙΠΤΩΣΗ 9η: Ασθενής ηλικίας34 ετών που σε ακτινογραφία θώρακος της 27/3/82 (Α) με εμφανείς φυματικές αλλοιώσεις αριστερού άνω λοβού παρέμεινε χωρίς αντιφυματική θεραπεία. Ύστερα από 5 χρόνια παραπέμφθηκε στο αντιφυματικό ιατρείο για θεραπεία. Με αντιφυματική θεραπεία στο σπίτι για 14 μήνες, αποκατάσταση.
  • 494.
    ΠΕΡΙΠΤΩΣΗ 10η: Ασθενής ηλικίας38 ετών με φυματικές αλλοιώσεις στη δεξιά κορυφοϋποκλείδιο χώρα και χωρίς κλινική συμπτωματολογία, παρέμεινε χωρίς αντιφυματική θεραπεία για 5 χρόνια. Από τη νόσηση του παιδιού του διαπιστώθηκε ως πηγή και με κλασσική τομογραφία επιβεβαιώθηκε η βλάβη με σπήλαιο. Με αντιφυματική θεραπεία στο σπίτι για 14 μήνες, αποκατάσταση.
  • 495.
  • 496.
    ΠΕΡΙΠΤΩΣΗ 11η: Σε άτομοηλικίας 41 ετών διαπιστώθηκε ανεπαίσθητη διήθηση δεξιού άνω πνευμονικού πεδίου, που επιβεβαιώθηκε με κλασσική τομογραφία (Α-Β,Β2). Ο ανωτέρω αρνήθηκε να υποβληθεί σε αντιφυματική θεραπεία και μετά από 10 μήνες η βλάβη εξελίχθηκε σε σπήλαιο. Η περίπτωση αυτή εμπίπτει και στις δύο προηγούμενες κατηγορίες. Η ακτινογραφία θώρακος έγινε για την έκδοση ναυτικού φυλλαδίου. 33
  • 498.
  • 499.
    ΠΕΡΙΠΤΩΣΗ 12η: Ασθενής ηλικίας39 ετών νοσηλεύτηκε στο νοσοκομείο Κομοτηνής με διήθηση που κατελάμβανε το δεξιό μέσο και κάτω πνευμονικό πεδίο και με Mantoux αρνητική, για πνευμονοπάθεια μη ειδικής φύσεως στις 06/03/1985. Ύστερα από δέκα χρόνια προσήλθε στο αντιφυματικό ιατρείο (31/08/1994) με σκίαση που κατελάμβανε σχεδόν το σύνολο του δεξιού πνεύμονος. Με αντιφυματική θεραπεία στο σπίτι για 14 μήνες, αποκατάσταση.
  • 501.
    4. Αυτοΐαση ΠΕΡΙΠΤΩΣΗ 1η: Ασθενήςηλικίας 30 ετών ο οποίος με διάτρηση στομάχου αντιμετωπίσθηκε χειρουργικά σε επαρχιακό νοσοκομείο όπου και βρέθηκε και ενώ στην ακτινογραφία θώρακος 3/7/93 ενεφάνιζε εμφανείς φυματικές αλλοιώσεις στη δεξιά κορυφοϋποκλείδιο χώρα, δεν μπήκε σε αντιφυματική θεραπεία. Ύστερα από 4 χρόνια εμφανίστηκε στο αντιφυματικό ιατρείο με μία σημαντική επασβεστιωμένη φυματική βλάβη στο δεξιό άνω λοβό. Ο ασθενής είχε υψηλό βιοτικό επίπεδο και πολύ ελαφρά εργασία. Πρόκειται περί αυτοϊάσεως. ΣΧΟΛΙΟ: Το ασβέστιο προσέρχεται, επουλωτής των φυματικών βλαβών και η επασβεστίωση αποτελεί το μόνο εύρημα- αποτύπωμα της φυματίωσης.
  • 502.
    ΠΕΡΙΠΤΩΣΗ 2η: Άτομο ηλικίας46 ετών. Σε μικροακτινογραφικό έλεγχο, διαπιστώθηκαν εκτεταμένες βλάβες στην κορυφή του δεξιού πνεύμονα, με ρίκνωση του δεξιού άνω λοβού, χωρίς υποκειμενικά ενοχλήματα ή αντικειμενικά ευρήματα. Τυχαίο εύρημα. Πρόκειται περί αυτοϊάσεως. 12-03-92 20- 08- 92
  • 503.
    ΠΕΡΙΠΤΩΣΗ 3η: Σε άτομοηλικίας 32 ετών με επασβεστιωμένες φυματικές αλλοιώσεις δεξιού άνω λοβού και μέσου πνευμονικού πεδίου δεξιού πνεύμονα. Παρεπέμφθηκε στο αντιφυματικό ιατρείο για τη χορήγηση γνωματεύσεως για την έκδοση πιστοποιητικού υγείας. Από το γενόμενο έλεγχο δεν αναφέρεται αντιφυματική θεραπεία και έπειτα από έλεγχο του οικογενεικού περιβάλλοντος διαπιστώθηκε πως σύζυγος και παιδιά ήταν αρνητικά στην Mantoux και η αντιφορμίνη στον ίδιο αρνητική. Επρόκειτο περί αυτοϊάσεως. 06-06-90
  • 504.
    ΠΕΡΙΠΤΩΣΗ 4η: Γυναίκα ηλικίας60 ετών. Προσήλθε στο αντιφυματικό ιατρείο χωρίς ιδιαίτερα ενοχλήματα. Διαπιστώθηκαν επασβεστιωμένες αλλοιώσεις πρωτοπαθούς συμπλέγματος και διάσπαρτες παρεγχυματικές επασβεστιώσεις, προφανώς βρογχικής διασποράς της φυματίωσης. 09-05-79
  • 505.
    ΠΕΡΙΠΤΩΣΗ 5η: Γυναίκα ηλικίας65 ετών. Τυχαίο εύρημα με επασβεστιωμένες παρεγχυματικές βλάβες αμφοτέρων των πνευμόνων, προφανώς βρογχικής διαφοράς της φυματίωσης. 20-06-90
  • 506.
    ΠΕΡΙΠΤΩΣΗ 6η: Σε άτομοηλικίας 60 ετών, παρουσιάζεται ως τυχαίο εύρημα γραμμοειδής σκίαση στο δεξιό μέσο πνευμονικό πεδίο. Πρόκειται για ρίκνωση-ατελεκτασία προσθίου τμηματικού του δεξιού άνω λοβού, αποτέλεσμα-επακόλουθο πρωτοπαθούς φυματίωσης. Η εικόνα αυτή ήταν παλαιότερα συνηθέστατη.
  • 507.
    5. Βαριές περιπτώσεις Παλαιότερα(μέχρι τα μέσα της δεκαετίας του '90) η αρχική διάγνωση της φυματίωσης γινόταν όταν είχαν εγκατασταθεί βαριές βλάβες. Σήμερα βλέπουμε σπανιότερα τέτοιες περιπτώσεις. ΠΕΡΙΠΤΩΣΗ 1η: Ασθενής ηλικίας 22 ετών, νοσηλεύτηκε σε παθολογική κλινική με πνευμονία από φυματίωση ή φυματική λοβίτιδα. Ύστερα από 1 μηνός νοσηλεία σε νοσοκομείο, μπήκε σε αντιφυματική θεραπεία 12 μηνών στο σπίτι, με αποκατάσταση. Τρία χρόνια μετά το τέλος της επιτυχούς αντιφυματικής θεραπείας με ακτινολογική αποκατάσταση, ενεφάνισε υποτροπή με φυματικές αλλοιώσεις και στους δύο άνω λοβούς, κύρια αριστερά. Με αντιφυματική θεραπεία 12 μηνών στο σπίτι, αποκατάσταση.
  • 509.
  • 510.
  • 511.
    ΠΕΡΙΠΤΩΣΗ 2η: Ασθενής ηλικίας45 ετών, λόγω κλινικής συνδρομής, προσήλθε στο αντιφυματικό ιατρείο. Σε ακτινογραφία παρατηρείται μεγάλη σκίαση στο αριστερό μέσο και κάτω πνευμονικό πεδίο (φυματική λοβίτιδα). Με αντιφυματική θεραπεία στο σπίτι για 14 μήνες, αποκατάσταση.
  • 513.
    ΠΕΡΙΠΤΩΣΗ 3η: Ασθενής ηλικίας60 ετών με εκτεταμένη φυματική βλάβη δεξιού κάτω λοβού υπό μορφήν πυκνωτικής εικόνας δεξιού κάτω λοβού (πνευμονία από φυματίωση ή φυματική λοβίτιδα). Με αντιφυματική θεραπεία στο σπίτι για 14 μήνες, αποκατάσταση .
  • 514.
    ΠΕΡΙΠΤΩΣΗ 4η: Ασθενής ηλικίας42 ετών με βαριά κλινική συνδρομή. Σε ακτινογραφία διαπιστώθηκε εκτεταμένη βλάβη (φυματική λοβίτιδα), καταλαμβάνουσα όλο το δεξιό πνευμονικό πεδίο (Α). Για πρακτικούς λόγους δεν έγινε τομογραφία. Νοσοκομειακή νοσηλεία 2 μηνών και συνέχιση της αντιφυματικής θεραπείας στο σπίτι για 14 μήνες με αποκατάσταση.
  • 515.
    ΠΕΡΙΠΤΩΣΗ 5η: Ασθενής ηλικίας50 ετών με φυματικές αλλοιώσεις που καταλαμβάνουν το σύνολο του αριστερού πνεύμονα. Με αντιφυματική θεραπεία στο σπίτι για 14 μήνες, αποκατάσταση. Εκτεταμένες φυματικές βλάβες που καταλαμβάνουν το σύνολο του αριστερού πνεύμονα
  • 516.
  • 517.
    ΠΕΡΙΠΤΩΣΗ 6η: Ασθενής ηλικίας24 ετών με φυματικές αλλοιώσεις που καταλαμβάνουν αμφότερους τους άνω λοβούς των πνευμόνων με πολλαπλά σπήλαια. Με αντιφυματική θεραπεία στο σπίτι για 14 μήνες, αποκατάσταση. 27-08-92 Σπηλαιώδης αμφοτέρων των άνω λοβών
  • 518.
  • 519.
    ΠΕΡΙΠΤΩΣΗ 7η: Ασθενής ηλικίας35 ετών με εκτεταμένες αλλοιώσεις αριστερού άνω λοβού με ευμεγέθη σπήλαια. Με αντιφυματική θεραπεία στο σπίτι για 14 μήνες, αποκατάσταση. Φυματίωση σπηλαιώδης του αριστερού άνω λοβού και διήθηση του δεξιού άνω λοβού
  • 520.
  • 522.
    ΠΕΡΙΠΤΩΣΗ 8η: Ασθενής ηλικίας60 ετών, προσήλθε στο αντιφυματικό ιατρείο με βαριές φυματικές βλάβες (με μεγάλα σπήλαια άμφω ) και υποβλήθηκε σε αντιφυματική θεραπεία για 18 μήνες στο σπίτι. Παρά την έκταση των βλαβών επιβίωσε. Σημείωση: από τον 16μελή οικογενειακό του περίγυρο, μόνον ένα νεαρό άτομο παρουσίασε φυματιώδη αδενίτιδα! 08-09-80 14-02-88 Εκτεταμένες φυματικές αλλοιώσεις αμφοτέρων των πναυμόνων με σπήλαια
  • 526.
    ΠΕΡΙΠΤΩΣΗ 9η: Ασθενής ηλικίας52 ετών, με βαριά κλινική κατάσταση. Διαπιστώθηκε φυματιώδης καχεξία με εκτεταμένες βλάβες και στους δύο πνεύμονες (Α). Δεν δέχτηκε τη νοσηλεία σε ειδικό θεραπευτήριο και υποχρεωτικά η αντιφυματική θεραπεία έγινε στο σπίτι για 18 μήνες. Παρουσίασε σημαντικότατη βελτίωση (Δ). Μετά 4,5 έτη απεβίωσε λόγω υποτροπής (Ε). Το σημείο της υποτροπής ακτινολογικά υποσημαίνεται από την πάχυνση του τοιχώματος του σπηλαίου του δεξιού άνω λοβού. Τα περίεργα της φυματίωσης!
  • 528.
    ΠΕΡΙΠΤΩΣΗ 10η: Ασθενής ηλικίας63 ετών, που προσήλθε με βαριά κατάσταση, φυματιώδη καχεξία και αυτόματο πνευμοθώρακα δεξιά (Α). Με ακτινογραφία σε εκπνευστική θέση αποκαλύπτεται ο πνευμοθώρακας δεξιά. Σε σύντομο χρονικό διάστημα, απεβίωσε. Ύστερα από 3,5 χρόνια υποτροπή και θάνατος
  • 529.
    ΠΕΡΙΠΤΩΣΗ 11η: Ασθενής ηλικίας38 ετών, προσήλθε με βαριά κατάσταση και πολλαπλά σπήλαια και στους δύο πνεύμονες (Α). Νοσηλεύτηκε σε ειδικό νοσηλευτικό κέντρο για 10 μήνες και 10 μήνες θεραπεία στο σπίτι. Ένα από τα σπήλαια του δεξιού πνέυμονα παρουσίασε βαλβιδικό μηχανισμό (Β), με συνέπεια την απώθηση του μεσοθωρακίου. Σε σύντομο χρονικό διάστημα απεβίωσε. 08-03-90 Α
  • 530.
  • 531.
    6. Κατεστραμμένος πνεύμονας Σπάνιεςκαταστάσεις, που περιγράφονται ως κατεστραμμένος πνεύμονας. ΠΕΡΙΠΤΩΣΗ 1η: Ασθενής ηλικίας 60 ετών, προσήλθε με αναπνευστικά προβλήματα. Στην ακτινογραφία (04/04/1991) παρατηρούνται αλλοιώσεις στο αριστερό άνω πνευμονικό πεδίο, πλήρης καταστροφή του δεξιού πνεύμονα και μεγάλη έλξη του μεσοθωρακίου προς τα δεξιά. ΠΕΡΙΠΤΩΣΗ 2η: Ασθενής ηλικίας 55 ετών. Προσήλθε με αναπνευστικά προβλήματα. Κατεστραμμένος ο αριστερός πνεύμονας (26/04/1983), μεγάλη ρίκνωση αριστερού ημιθωρακίου, έλξη μεσοπνευμονίου. Ο δεξιός πνεύμονας έχει καταλάβει το μεγαλύτερο μέρος του αριστερού ημιθωρακίου. Σημείωση : η περίπτωση αυτή, και η προηγούμενη, αποτελούν μέρος πολλών ανάλογων περιπτώσεων (20 και άνω) που σήμερα σπανίζουν. Η σχέση μεταξύ γυναικών και αντρών είναι 1 προς 1 και μεταξύ χριστιανών και μουσουλμάνων 1 προς 5. Οι περιπτώσεις αυτές αναφέρονται σε μία περίοδο 10 ετών που η περιοχή δεν καλυπτόταν από πνευμονολόγο.
  • 532.
    7. Εμπυήματα Πρόκειται γιασυλλογή πύου σε προσχηματισμένη κοιλότητα. Προκαλείται από επιμόλυνση πνευμοθώρακα ή κατά συνέχεια ιστού από παρεγχυματική βλάβη (κυρίως πνευμονία). Πολύ συχνή η ρήξη του εμπυήματος προς βρόγχο με επικίνδυνες συνέπειες. Σπανίως ρήγνυται προς το θωρακικό τοίχωμα προκαλώντας πλευροτοιχωματική επικοινωνία. ΠΕΡΙΠΤΩΣΗ 1η: Ασθενής ηλικίας 45 ετών με γνωστή από δεκαετίες και πλέον παλαιά φυματίωση (18/07/81 ,ακτινογραφία Α). Στην εξέλιξη παρουσίασε εμπύημα, δεξιά (15/11/90, ακτινογραφία Β). Η ύπαρξη εκτεταμένων ρικνωτικών εξεργασιών συντέλεσε στο να μη μετακινηθεί αισθητά το μεσοθωράκιο. Η τραχεία έλκεται συστοίχως. Εντυπωσιάζει η σε βάθος χρόνου εξέλιξη. 18-07-81
  • 533.
    ΠΕΡΙΠΤΩΣΗ 2η: Ασθενής ηλικίας50 ετών, με θωρακοπλαστική και ραγεν εμπύημα. Παρατηρείται μεγάλη διάταση του τόξου της πνευμονικής αρτηρίας (πνευμονική υπέρταση). Ο ασθενής απεβίωσε σύντομα από καρδιακή κάμψη. 15-11-90 05-10-78
  • 534.
    ΠΕΡΙΠΤΩΣΗ 3η: Ασθενής ηλικίας60 ετών, με παλαιά φυματίωση. Φυματιώδες εμπύημα δεξιά, χρονολογούμενο από μακροτάτου χρόνου. Το κυρτό της σκιάσεως μπορεί να προοιωνισθεί ρήξη του εμπυήματος. ΠΕΡΙΠΤΩΣΗ 4η: Ασθενής ηλικίας 63 ετών με εκτεταμένη πνευμονική φυματίωση σε αμφοτέρους τους πνεύμονες, κυρίως αριστερά και εμπύημα υπεζωκότος αριστερά. Νοσοκομειακή νοσηλεία 6 μηνών και μετά την έξοδο, από παρανόηση δε συνέχισε την αντιφυματική αγωγή με αποτέλεσμα οι φυματικές βλάβες να επεκταθούν και στους δύο πνεύμονες σε εκτεταμένη μορφή και σε σύντομο χρόνο, με φυματιώδη καχεξία κατέληξε. 04-05-89
  • 535.
    ΠΕΡΙΠΤΩΣΗ 5η: Ασθενής ηλικίας36 ετών με εγκυστωμένη συλλογή υγρού στο δεξιό ημιθωράκιο, χρονολογούμενη από μακρού χρόνου, με νοσηλεία σε ειδικό θεραπευτήριο για 6,5 μήνες χαρακτηρισθείσα σαν παχυπλευρίτις. Με αντιφυματική θεραπεία στο σπίτι για 18 μήνες, με πλήρη ακτινολογική αποκατάσταση. 03-03-78
  • 536.
  • 537.
    8. Ασβεστοποιός Παχυπλευρίτις ΠΕΡΙΠΤΩΣΗ1η: Ασθενής 65 ετών (τυχαίο εύρημα). Η εικόνα υπαινίσσεται παλαιό εμπύημα, δεξιά με έντονη επασβεστίωση (περιγράφεται σαν κόκκαλο σουπιάς), που ακτινολογικά ομοιάζει με κλασσική πλευρίτιδα, παρατηρείται όμως μεγάλη τάση για συμφυτική εξεργασία και εγκατάσταση παχύνσεων του υπεζωκότα, ινοθώρακα και επασβεστιώσεων. Πρόκειται για εντυπωσιακή για σήμερα εικόνα. Παλαιότερα παρατηρούνταν στην ‘’εξέλιξη’’ ενός θεραπευτικού πνευμοθώρακα που εγκαταλειπόταν διότι ‘’έπιανε υγρό’’. Η κλασσική ‘’εξιδρωματική’’ πλευρίτιδα ελάχιστα ή καθόλου κατάλοιπα αφήνει, εφόσον δε παρουσιάζει επιπλοκές, π.χ ρήξη συμφύσεων και αιμοθώρακα. Παρατίθενται άλλες εικόνες χωρίς σχόλια από ένα σύνολο 20 περιπτώσεων και άνω, οι οποίες κατεγράφησαν στην ίδια δεκαετία με τις περιπτώσεις του κατεστραμμένου πνεύμονα. 19-03-97
  • 538.
    ΠΕΡΙΠΤΩΣΗ 2η: Ασθενής ηλικίας60 ετών με επασβεστιωμένες βλάβες αριστεράς κορυφής. 29-06-92
  • 539.
    ΠΕΡΙΠΤΩΣΗ 3η: Ασθενής ηλικίας60 ετών με εκτεταμένες επασβεστιωμένες βλάβες δεξιού άνω λοβού. ΠΕΡΙΠΤΩΣΗ 4η: Ασθενής ηλικίας 70 ετών με εκτεταμένες επασβεστιωμένες βλάβες του δεξιού ημιθωρακίου (ασβεστοποιός παχυπλευρίτις). 07-07-92 10-09-92
  • 540.
    ΠΕΡΙΠΤΩΣΗ 5η: Ασθενής 65ετών με ασβεστοποιό παχυπλευρίτιδα αριστερού ημιθωρακίου. 23-02-98
  • 541.
    9. Θωρακοπλαστική Η Θωρακοπλαστικήαποτελεί μια παρεμβατική προσέγγιση, που εφαρμόστηκε για τη θεραπεία της πνευμονικής φυματίωσης. Ήταν κάποτε μια προωθημένη τεχνική συμπτυξιοθεραπείας, αλλά εφαρμόζεται ακόμα συμπληρωματικά σε εκτεταμένες πνευμονεκτομές, για την κάλυψη του “κενού” του ημιθωρακίου. Ευνόητο ότι η θωρακοπλαστική κατέλειπε αναπνευστική αναπηρία. Δειγματοληπτικά παρουσιάζονται 3 περιπτώσεις. ΠΕΡΙΠΤΩΣΗ 1η: Θωρακοπλαστική δεξιά με παραμονή της πρώτης πλευράς. Παρατηρείται η πρωτοπαθής εστία ομόπλευρα στη βλάβη (κύκλος).
  • 542.
    ΠΕΡΙΠΤΩΣΗ 2η: Θωρακοπλαστική δεξιά,μερική αφαίρεση πρώτης πλευράς και πλήρης αφαίρεση των παρακάτω πέντε. Στον αριστερό πνεύμονα παρατηρούνται πρωτοπαθείς εστίες Simon. ΠΕΡΙΠΤΩΣΗ 3η: Θωρακοπλαστική με πνευμονεκτομή αριστερά και αφαίρεση εννέα πλευρών.
  • 543.
    10. Άτυπες εκδηλώσειςτης Φυματίωσης Εκδήλωση φυματικών αλλοιώσεων παρά την πολύμηνη ειδική θεραπεία σε άλλο από τη μητρική εστία σημείο. Η κατάσταση συνήθως εξελίσσεται ομαλά χωρίς αλλαγή του θεραπευτικού σχήματος. ΠΕΡΙΠΤΩΣΗ 1η: Παιδί ηλικίας 18 μηνών. Σε έλεγχο περιβάλλοντος αποκαλύφθηκε φυματινοαντίδραση +, για την οποία υποβλήθηκε σε χημειοπροφύλαξη, και ενώ ακτινολογικά δεν είχε διαπιστωθεί βλάβη. Μετά από 8 μήνες διαπιστώθηκε εκτεταμένη βλάβη δεξιού άνω λoβού αποδιδόμενη σε αδενίτιδα και ατελεκτασία. Υπό αντιφυματική αγωγή στο σπίτι, η εξέλιξη ήταν ομαλή. Παρατήρηση: Η φυματική βλάβη δεν υπακούει πάντα στα «κελεύσματα» της επιστήμης. Διάρκεια θεραπείας: 14 μήνες. 21-04-80 08-05-80
  • 544.
  • 545.
  • 546.
    ΠΕΡΙΠΤΩΣΗ 2η: Μαθήτρια ηλικίας12 ετών με Mantoux+ και στην ακτινογραφία θώρακος μόλις υποσημαινόμενη διόγκωση πυλαίου αδένα δεξιά (α/α 28-6-77). Υπό χημειοθεραπεία στους 9 μήνες παρουσιάζει εμφανέστατη διόγκωση παρατραχειακού λεμφαδένα (α/α 21-3-78). Στη συνέχεια, με τριπλή αντιφυματική αγωγή στο σπίτι παρατηρείται υποχώρηση της λεμφαγγειακής διόγκωσης και σε 40 ημέρες από την έναρξη της θεραπείας εμφάνισε περικαρδίτιδα, η οποία με την ίδια θεραπευτική αγωγή υποχώρησε σε 6 μήνες. H φύση της περικαρδίτιδος δεν ήταν απόλυτα τεκμηριωμένη. Ωστόσο, θα επισημανθεί ότι η περίπτωση μπορεί να ενταχθεί στα «ερωτηματικά» της φυματίωσης. Διάρκεια θεραπείας: 14 μήνες.
  • 547.
  • 548.
  • 549.
    ΠΕΡΙΠΤΩΣΗ 3η: Ασθενής ηλικίας14 ετών με κλινική συνδρομή και στην ακτινογραφία θώρακος (14-2-80) παρατηρείται διόγκωση παρατραχειακού λεμφαδένα. Υπό τριπλή αντιφυματική αγωγή στο σπίτι, σε 15 μήνες παρουσίασε περικαρδίτιδα (4- 5-81). Με τη συνέχιση της ίδιας φαρμακευτικής αγωγής υπήρξε αποκατάσταση (29-5-81). Πρόκειται για τις ιδιαιτερότητες της φυματικής νόσου. Διάρκεια θεραπείας: 18 μήνες. 14-02-80 1 2
  • 550.
    ΠΕΡΙΠΤΩΣΗ 4η: Ασθενής ηλικίας13 ετών. Νοσηλεύτηκε στο Νοσοκομείο Κομοτηνής για ιστολογικά βεβαιωμένη περιτονίτιδα. Στην ακτινογραφία (28-2-89) δεν διαπιστώνεται σαφής εικόνα πνευμονικής φυματίωσης. Υπό τριπλή αντιφυματική αγωγή στο σπίτι παρουσίασε σε 35 ημέρες λεμφαδενική βλάβη και μικρές παρεγχυματικές αλλοιώσεις (4-4-89). Με την ίδια αγωγή υπήρξε αποκατάσταση (2-5-89). Διάρκεια θεραπείας: 20 μήνες. Σημείωση: η παθολογοανατομική βλάβη εξακολουθεί να εξελίσσεται παρά την αντιμικροβιακή θεραπεία, φαινόμενο συνηθέστατο. 28-02-89 1
  • 551.
  • 553.
    ΠΕΡΙΠΤΩΣΗ 5η: Ασθενής ηλικίας27 ετών με πνευμονική φυματίωση. Υπό αντιφυματική θεραπεία στο σπίτι, εμφάνισε υποπνευμονική συλλογή υγρού αριστερά σε 20 ημέρες. Με αντιφυματική αγωγή υπήρξε αποκατάσταση. Διάρκεια θεραπείας: 14 μήνες. 1
  • 554.
  • 555.
  • 556.
    ΠΕΡΙΠΤΩΣΗ 6η: Ασθενής ηλικίας19 ετών με κλινική συνδρομή και ακτινογραφικά πνευμονική βλάβη στην αριστερή κορυφοϋποκλείδια χώρα. Υπό τριπλή αντιφυματική αγωγή στο σπίτι, εμφάνισε υποπνευμονική συλλογή υγρού στο αριστερό ημιθωράκιο σε 30 ημέρες. Με την ίδια αντιφυματική αγωγή υπήρξε αποκατάσταση. Διάρκεια θεραπείας: 14 μήνες. Φυσιολογική ακτινογραφία
  • 558.
    ΠΕΡΙΠΤΩΣΗ 7η: Σε επιδημιολογικόέλεγχο στα πλαίσια του αντιφυματικού αγώνα σε 12χρονη, διαπιστώθηκε θετική φυματινοαντίδραση. Στη γενόμενη ακτινογραφία θώρακος διαπιστώθηκε άμβλυνση του δεξιού πλευροδιαφραγματικού χώρου. Ακολούθησε νοσοκομειακή νοσηλεία 45 ημερών για υγρά πλευρίτιδα κάτω από τριπλή αντιφυματική θεραπεία. Ύστερα από 15 μήνες παρουσίασε πρόσθετη πνευμονική βλάβη, η οποία υποχώρησε με την ίδια αγωγή. Στο αναφερόμενο χρονικό διάστημα η αντιφυματική θεραπεία διαρκούσε πάνω από 18 μήνες.
  • 561.
    ΠΕΡΙΠΤΩΣΗ 8η: Οι περιπτώσεις4 έως 7 του πίνακα 21 που είναι σε πλήρη αντιφυματική θεραπεία (χωρίς ακτινογραφίες), εμπίπτουν στην ίδια κατηγορία. ΠΕΡΙΠΤΩΣΗ 9η: Ασθενής ηλικίας 23 ετών με κλινική συνδρομή και ακτινογραφικά πνευμονική φυματική βλάβη στον αριστερό άνω λοβό και συλλογή υγρού σύστοιχα. Υπό αντιφυματική θεραπεία στο σπίτι, ενώ αρχίζει να υποχωρεί η υγρά συλλογή, σε 18 ημέρες εμφάνισε συλλογή υγρού στο δεξιό ημιθωράκιο. Με την ίδια αντιφυματική θεραπεία, σε 14 μήνες στο σπίτι, αποκατάσταση. 14-06-84
  • 563.
    ΠΕΡΙΤΠΩΣΗ 10η: Αγόρι ηλικίας6 ετών. Σε έλεγχο περιβάλλοντος βρέθηκε Mantoux+ και φυσιολογική ακτινογραφία θώρακος Σε 3 μήνες υπό χημειοπροφύλαξη εμφάνισε πυλαία αδενίτιδα δεξιά (24/4/1992). Με τριπλή αντιφυματική αγωγή για μήνες παρουσιάζει ακτινολογικά επιδείνωση. Με την ίδια αντιφυματική αγωγή για 1 χρόνο στο σπίτι, υπήρξε αποκατάσταση. Σημείωση: σε μία πρώτη φυσιολογική ακτινογραφία, εφόσον υπάρχει θετική φυματινοαντίδραση, επιβάλλεται η επανάληψη της ακτινογραφίας θώρακος σε εύλογο χρόνο. 13-02-86
  • 564.
  • 566.
    ΠΕΡΙΠΤΩΣΗ 11η: Ασθενής ηλικίας35 ετών με βραχεία νοσηλεία 12 ημερών σε ειδικό νοσοκομείο του ‘’κέντρου’’ και διάγνωση υγρά πλευρίτιδα αριστερού ημιθωρακίου (02/01/1991). Προσήλθε στο αντιφυματικό ιατρείο στις 10/04/1991 με κατάληψη του αριστερού ημιθωρακίου από υγρό και με στενή παρακολούθηση στο σπίτι και ακτινογραφία θώρακος ανά εβδομάδα επί δίμηνον για να εκτιμηθει έγκαιρα η ανάγκη εκκενωτικής παρακέντησης, αποκατάσταση με υπολλειματικες συμφύσεις του αριστερού πλευροδιαφραγματικού χώρού. 10-04-91 02-01-91
  • 567.
  • 568.
  • 569.
  • 570.
    11. Περίπτωση ασθενούςμε εξ αποστάσεως αντιφυματική θεραπεία Ασθενής ηλικίας 22 ετών, κάτοικος Ν. Ροδόπης, με φυματικές αλλοιώσεις στη δεξιά κορυφοϋποκλείδιο χώρα, φοιτητής στην Άγκυρα νοσηλεύθηκε παρακολουθούμενος εξ αποστάσεως δι’ αλληλογραφίας με μικροακτινογραφήματα, προκειμένου να μη χάσει το έτος σπουδών. 21-06-80 Η διάγνωση τέθηκε με καθυστέρηση 6 μηνών. Ο ασθενής αντιμετωπιζόταν σαν κοινή πνευμονοπάθεια για 6 μήνες.
  • 573.
    12. Περίπτωση επαφής Ασθενήςηλικίας 42 ετών, με εκτεταμένη σπηλαιώδη πνευμονική φυματίωση στον δεξιό άνω λοβό, με νοσοκομειακή νοσηλεία 20 μηνών και στο σπίτι για 18 μήνες, απείθαρχος και χωρίς συμμόρφωση με τις οδηγίες των γιατρών έφτασε στη φυματιώδη καχεξία και απεβίωσε. Περίπτωση επαφής (σύζυγος) που έμεινε για χρόνια (τουλάχιστον 6) σε ισχυρή πηγή μόλυνσης και δεν παρουσίασε νόσο κατά τον χρόνο παρακολούθησής της την τελευταία 25ετία
  • 574.
    Η σύζυγος (επαφή)που έμεινε πολλά χρόνια (τουλαχιστον 6) σε ισχυρή πηγή μόλυνσης, δεν παρουσίασε νόσηση κατά την τελευταία 25ετία.
  • 575.
  • 576.
    13. Ασπεργιλλώματα Τα ασπεργιλλώματααναπτύσσονται κατά κανόνα σε προϋπάρχουσες κοιλότητες, κυρίως από ανενεργό φυματίωση (σπήλαιο ανοικτό- ανενεργό). Παρουσιάζονται ως ογκοειδείς σχηματισμοί (μπάλα μυκητώματος) και μπορεί να προκαλούν παχύνσεις του τοιχώματος του σπηλαίου και ενδοκοιλωτικές επασβεστιώσεις. Κατά κανόνα παρατηρούνται στους άνω λοβους και ενίοτε καταστρέφονται από επιμολύνσεις. Προκαλούν αιμοπτύσεις, πολλές φορές ιδιαίτερα επικίνδυνες. ΠΕΡΙΠΤΩΣΗ 1η: Ασθενής ηλικίας 20 ετών, σε πρώτη επαφή με το αντιφυματικό ιατρείο, παρουσιάζει αδιαμφησβήτητες ανενεργούς φυματικές αλλοιώσεις στις κορυφές και στο ογκοειδές μόρφωμα (ασπεργίλλωμα), που καταλαμβάνει το μεγαλύτερο μέρος της κοιλότητας του αριστερού άνω λοβού (19/05/1979, Α). Μετά από 7 χρόνια ο ογκοειδής σχηματισμός σμικρύνεται (καταστροφή;). Στις 27/01/1988 (Β) παρατηρείται περαιτέρω σμίκρυνση του ασπεργιλλώματος. Παράλληλα παρατηρούνται ενδοκοιλοτικές επασβεστιώσεις. Ο ασθενής παρουσίασε έντονες αιμοπτύσεις και διακομίστηκε σε ειδικό νοσοκομείο για χειρουργική αντιμετώπιση. Ο ασθενής πολύ σύντομα απεβίωσε από φυματιώδη μηνιγγίτιδα, προφανώς συνεπεία αιματικής διασποράς του ‘’πάλαι ποτέ’’ τρίτου σταδίου της φυματίωσης. Μήπως θα έπρεπε να αναζητηθεί ανοσιακός παθογενετικός μηχανισμός στην όλη συνδρομή; Η περίπτωση χρεώνεται στα ‘’γιατί’’ της φυματικής νόσου.
  • 577.
    ΠΕΡΙΠΤΩΣΗ 2η: Ασθενής ηλικίας60 ετών, στην πρώτη επαφή με το αντιφυματικό ιατρείο στις 12/07/1983 (Α) με εκτεταμένη φυματίωση του δεξιού άνω λοβού σπηλαιώδη και μετά την αντιφυματική θεραπεία, παρέμεινε μεγάλο κεκαθαρμένο σπήλαιο στη δεξιά κορυφή (10/01/1986, Β). Στις 08/12/1988 (Γ), μέσα στο σπήλαιο αναπτύσσεται ασπεργίλλωμα. Μετά δε 4 έτη, και ενώ η εικόνα του ασπεργιλλώματος παραμένει σταθερή, ο ασθενής εμφανίζει καρκίνο του πνεύμονα, μη έχοντος σχέση με την προηγούμενη κατάσταση.
  • 581.
    14. Ο πνευμονικόςκαρκίνος ως επιπλοκή της φυματίωσης. Είναι πολύ γνωστό το καρκίνωμα που αρχίζει από μια ουλή, το γνωστό ως Scar Carcinoma. Χρόνιες ουλώδεις μεταφυματιώδεις αλλοιώσεις μπορεί να είναι εστίες ανάπτυξης καρκίνου. Στην έρευνα της 25ετίας το ποσοστό ατόμων που ανέπτυξαν καρκίνο πάνω σε παλαιές φυματικές βλάβες ανέρχεται στο 1% και εμφανίζεται σε άτομα μεγάλης ηλικίας με εκτεταμένες υπολλειματικές βλάβες, συνήθως καπνιστές. ΠΕΡΙΠΤΩΣΗ 1η: Ασθενής ηλικίας 65 ετών, προσήλθε για μεγάλη σκίαση στο άνω πνευμονικό πεδίο, με κεντρική τήξη (23/07/1985, Α). Διακομίστηκε σε νοσοκομείο του ‘’κέντρου’’, όπου βεβαιώθηκε η διάγνωση της νεοπλασίας. Αναζητήθηκαν τυχόν παλιές ακτινογραφίες: Βρέθηκε ακτινογραφία της 26/06/59 (!) όπου υπάρχει σαφής πνευμονική φυματίωση, λοβίτιδα με τήξη, για την οποία είχε υποβληθεί σε αντιφυματική αγωγή (Β). Α 23-07-85
  • 582.
    ΠΕΡΙΠΤΩΣΗ 2η: Ασθενής ηλικίας67 ετών, προσέρχεται με μεγάλη σκίαση στο δεξιό άνω λοβό (29/09/1988, Α). Στο ιστορικό του αναφέρεται πνευμονική φυματίωση, για την οποία νοσηλεύτηκε σε ειδικό νοσοκομείο και στη συνέχεια κατ’οίκον (21/12/1984, Β). Η διάγνωση της νεοεξεργασίας επιβεβαιώθηκε σε ειδικό νοσοκομείο. 26-06-59 Β 29-09-88 Α
  • 583.
    ΠΕΡΙΠΤΩΣΗ 3η: Ασθενής ηλικίας68 ετών, προσήλθε για ύποπτη νεοεξεργασία στο δεξιό άνω λοβό (15/06/1995, Α). Από το ιστορικό αναφέρεται νοσηλεία για πνευμονική φυματίωση σε ειδικό θεραπευτήριο. Σε ακτινογραφία της 29/10/1992 (Β) παρατηρούνται εκτεταμένες ουλώδεις αλλοιώσεις στους άνω λοβούς με μεγάλη ρίκνωση του δεξιού άνω. Ο ασθενής διακομίστηκε σε ειδικό νοσοκομείο, όπου επιβεβαιώθηκε νεοεξεργασία ‘’εξορμώμενη’’ από το δεξιό άνω λοβό. 21-12-84 Β 15-06-95 Α
  • 584.
    ΠΕΡΙΠΤΩΣΗ 4η: Ασθενής ηλικίας70 ετών, προσέρχεται για μεγάλη σκίαση στο δεξιό άνω λοβό (14/12/1989, Α). Από το ιστορικό αναφέρεται νοσηλεία για φυματίωση σε ειδικό νοσοκομείο. Σε ακτινογραφία (07/12/1982, Β) φαίνονται εκτεταμένες υπολλειματικές φυματικές αλλοιώσεις. Διακομίστηκε σε ειδικό νοσοκομείο, όπου επιβεβαιώθηκε η νεοεξεργασία. Β 29-10-92 Α 14-12-89
  • 585.
  • 586.
    ΕΠΙΛΟΓΟΣΕΠΙΛΟΓΟΣ Ο αντιφυματικός αγώναςστην Ελλάδα από το 1960 υλοποιείται βάσει του Ν. 4053/60 με στόχους: 1. Την ανίχνευση των νέων περιπτώσεων 2. Την ορθή θεραπευτική αντιμετώπιση Χημειοπροφύλαξη 3. Την πρόληψη Εμβολιασμό με B.C.G. 1. Ανίχνευση νέων περιπτώσεων Συνοψίζοντας, η ανίχνευση νέων περιπτώσεων φυματίωσης στο περιβάλλον των ασθενών ως συνέπεια επαφών ανέρχεται σε 18%, που αποτελεί την ενεργό αναζήτηση της νόσου, ενώ το 82% διαπιστώνεται παθητικά παγκοσμίως. Το 1991 πραγματοποιήθηκε στον Νομό Ροδόπης ερευνητικό πρόγραμμα του Υπουργείου Υγείας με αντικείμενο τη διαμόλυνση του γενικού πληθυσμού, η οποία ανήλθε στο 16,5 %, εστιάζοντας σε οικισμούς που αντιπροσώπευαν το 45% του προβλήματος της φυματίωσης στην περιοχή. Με τη διενέργεια Mantoux στο 1/10 του πληθυσμού (δείγμα 12.520 φυματινοαντιδράσεων), διαπιστώθηκαν 14 νέες αγνοούμενες περιπτώσεις ενεργούς φυματίωσης, δηλαδή το 1/3 των περιπτώσεων που δηλώθηκαν το 1992 (ενεργητική ανακάλυψη της νόσου). Τα συμπεράσματα του προγράμματος ανακοινώθηκαν στο 28th World Conference of IUATLD/UICTMR, (14th-17th June 1994), Mainz, Germany. To 2005 εκπονήθηκε πιλοτικό πρόγραμμα από την Α’ ΔΥΠΕ (Διοίκηση Υγειονομικής Περιφέρειας) Κεντρικής Μακεδονίας με στοιχεία από την έρευνα του Αντιφυματικού Ιατρείου Κομοτηνής, στο οποίο συμπεριλήφθηκαν οι παρατηρήσεις, τα συμπεράσματα, οι απόψεις και οι προτάσεις για την ταχύτερη εξάλειψη του προβλήματος της φυματίωσης. Κεντρική πρόταση υπήρξε η ανίχνευση και καταγραφή των Mantoux + ατόμων, η ανά έτος επανάληψη ακτινογραφίας θώρακα αυτών και ο επανέλεγχος με Mantoux κάθε δύο χρόνια όσων είχαν αρνητική φυματινοαντίδραση. Η καταγραφή των Mantoux θετικών ατόμων θα μπορούσε να αρχίσει στους νεοεισερχόμενους στα νοσοκομεία της χώρας για οποιαδήποτε άλλη πάθηση. Επισημαίνεται η σημασία των συχνών ελέγχων στον στενό οικογενειακό, εργασιακό και κοινωνικό περίγυρο του ασθενούς με ανοιχτή φυματίωση (ιδιαίτερα στις επαφές των μικρών ηλικιών, αφού το μεγαλύτερο μέρος των νοσήσεων αυτών ανακαλύπτεται ταυτόχρονα με τον άρρωστο ή στο πρώτο εξάμηνο) και η ενεργή διερεύνηση των ομάδων υψηλού κινδύνου. Με την εφαρμογή του συγκεκριμένου προγράμματος θα έχουν καταγραφεί μέσα σε δέκα χρόνια οι Mantoux θετικοί στο σύνολο του πληθυσμού της χώρας και θα είναι εύκολη η περαιτέρω δια βίου παρακολούθησή τους, καθώς από αυτούς, κατά τεκμήριο, θα προκύψει ο μελλοντικός φυματικός άρρωστος. 2. Ορθή θεραπευτική αγωγή Η θεραπεία των ασθενών, αφού διήλθε από διάφορα στάδια, ξεκινώντας από τη μακροχρόνια νοσηλεία του στα σανατόρια μέχρι και την ολιγοήμερη παραμονή του σ’ αυτά, σήμερα τείνει διεθνώς να πραγματοποιείται στο σπίτι του αρρώστου, καθώς αποτελεί αναφαίρετο δικαίωμά του, με εξίσου καλά αποτελέσματα. Το έναυσμα για τη συγκεκριμένη μεταστροφή δόθηκε από τη μελέτη του Madras το 1966 στις Ινδίες,
  • 587.
    όπου καθαρά λόγωσυνθηκών (έλλειψη νοσηλευτικών κλινών) επιβλήθηκε η εξωνοσοκομειακή νοσηλεία του ασθενούς. Οι ελάχιστες εξαιρέσεις, που οδηγούνται στη νοσοκομειακή νοσηλεία του αρρώστου, οφείλονται κυρίως σε κοινωνικούς λόγους. Τα θεραπευτικά σχήματα κυμάνθηκαν μεταξύ 18 και 24 μηνών κατά την έναρξη της έρευνας (με φάρμακα όπως είναι η ισονιαζίδη, το παρααμινοσαλυκιλικό οξύ και η στρεπτομυκίνη), με μείωση του χρόνου στη συνέχεια, λόγω χρήσης των νέων αντιφυματικών φαρμάκων (όπως η ριφαμπικίνη, η αιθαμβουτόλη και η πυραζιναμίδη). Η διάρκεια της θεραπευτικής αγωγής βαθμιαία συρρικνώθηκε και το 1990 έφτασε κατ’ ελάχιστον τους 12 μήνες. Με εφαρμογή καθ’ όλη τη διάρκεια της θεραπείας τριπλής αντιφυματικής αγωγής, οι υποτροπές της νόσου ανήλθαν σε 3,2%. Τα τελευταία χρόνια θεσμικά (οδηγίες του ΚΕΕΛΠΝΟ 2006) προτείνεται: α) η νοσηλεία του φυματικού όχι μόνο στο νοσοκομείο, αλλά και σε αυστηρή απομόνωση, χωρίς να κρίνεται απαραίτητη για την καλή πορεία του αρρώστου η όλη διαδικασία και β) η εφαρμογή θεραπευτικού προγράμματος της άμεσα επιβλεπόμενης βραχείας θεραπείας (Α.Ε.Β.Θ. DOTS) εξάμηνης διάρκειας. Αξιολογώντας την πορεία της φυματίωσης ακτινογραφικά κατά τη διάρκεια της αντιφυματικής θεραπείας στην πλειοψηφία του ερευνητικού δείγματος τα βραχυχρόνια θεραπευτικά σχήματα θα κάλυπταν μόνο το 70% των περιπτώσεων. Τα βραχυχρόνια θεραπευτικά σχήματα που εφαρμόζονται στο εξωτερικό μπορεί να είναι αποτελεσματικά, αφού εκεί ο ασθενής ανακαλύπτεται σχετικά νωρίς (2,5 μήνες από την έναρξη της νόσου). Στην ελληνική πραγματικότητα, και ειδικότερα στον Νομό Ροδόπης, η καθυστέρηση της ανακάλυψης της νόσου ξεπερνά τους 6 μήνες. Στο χρονικό αυτό διάστημα ο άρρωστος διασπείρει και μολύνει τον κοινωνικό του περίγυρο και οι νοσήσεις, που προκύπτουν ως συνέπεια επαφών κατά ηλικία είναι: προσχολική ηλικία 78%, πρωτοβάθμια εκπαίδευση 44%, δευτεροβάθμια εκπαίδευση 28%, 18 ετών και άνω 8% και μεταξύ συζύγων μόνο 2%. Προτείνεται η θεραπεία του ασθενούς να είναι ανάλογη σε χρονική διάρκεια με την πορεία της νόσου και την εκτίμηση του θεράποντος ιατρού (τουλάχιστον 9 μήνες έως έναν χρόνο), ώστε να αποφεύγεται ένα ποσοστό των υποτροπών. 3. Πρόληψη Για την πρόληψη της νόσου ο Νόμος προβλέπει: α. τη χημειοπροφύλαξη & β. τον εμβολιασμό με B.C.G. Χημειοπροφύλαξη – Αντιφυματικός ΕμβολιασμόςΧημειοπροφύλαξη – Αντιφυματικός Εμβολιασμός BB..CC..GG.. Η χημειοπροφύλαξη συνίσταται στην προληπτική εφαρμογή αντιφυματικής θεραπείας για έναν χρόνο με INH σε κάθε περίπτωση, όπου διαπιστώνεται απλή επαφή του παιδιού με το μυκοβακτηρίδιο (B.Koch) και με ξενόφερτη «οδηγία», που πρέπει να εφαρμόζεται σε κάθε άτομο ηλικίας έως και 35 ετών (με θετική Mantoux). Όταν σήμερα η θεραπεία της ενεργούς φυματίωσης διαρκεί 9 μήνες, κατ’ άλλους πολύ μικρότερο χρόνο (6 μήνες), η προληπτική θεραπεία ενός καθ’ όλα υγιούς ατόμου για έναν χρόνο αποδεικνύεται ανακόλουθη, τη στιγμή μάλιστα που η πιθανότητα να εκδηλώσει νόσο ένας μολυνθείς είναι πολύ μικρή (0,1 ‰‰), η δε πιθανότητα να ιαθεί αποτελεί βεβαιότητα. Είναι δε γνωστό ότι χορηγούμενη μόνη της δημιουργεί ανθεκτικότητα. Σημειώνεται πως η συγκεκριμένη οδηγία ποτέ δεν εφαρμόστηκε καθολικά. Ωστόσο, στην καθημερινή πρακτική παρατηρούνται εκδηλώσεις φυματικών αλλοιώσεων, παρά την πολύμηνη ειδική θεραπεία, σε άλλο από τη μητρική εστία
  • 588.
    σημείο. Η κατάστασησυνήθως εξελίσσεται ομαλά, χωρίς αλλαγή του θεραπευτικού σχήματος. Σε άτομα ηλικίας έως και 4 ετών, που βρίσκονται σε περιβάλλον νοσούντων με Mantoux +, προτείνεται η χημειοπροφύλαξη υπό μορφή βραχείας εφαρμογής τριπλής αντιφυματικής αγωγής, ώστε να προληφθούν οι δυσάρεστες επιπτώσεις της αιματικής διασποράς, που δυνητικά εκδηλώνονται κατά τους πρώτους 6 μήνες από τη μόλυνση. Πέραν δε της ηλικίας των 5 ετών, ενδείκνυται η παρακολούθηση με ακτινογραφία θώρακα ανά τακτά χρονικά διαστήματα, ώστε να εντοπισθεί εγκαίρως οποιαδήποτε δυσάρεστη εξέλιξη. Το δεύτερο προληπτικό μέτρο, δηλαδή ο εμβολιασμός με B.C.G. εμφανίστηκε ως ένα από τα μεγαλύτερα επιτεύγματα του 20ου αιώνα και εφαρμόσθηκε από το 1921. Ωστόσο μετά από 80 χρόνια εφαρμογής του παγκοσμίως αποδείχθηκε αναποτελεσματικό και εγκαταλείφθηκε από τον υπόλοιπο πολιτισμένο κόσμο εδώ και περίπου 30 χρόνια. Το αναφερόμενο ποσοστό προστασίας, που παρέχει το εμβόλιο επισήμως ορίζεται μεταξύ 0-80%, καταδεικνύεται από τα πορίσματα της έρευνας ότι θα αφορούσε μόνο 2 περιπτώσεις φυματιώδους μηνιγγίτιδας, που ήταν στην υπό εμβολιασμό ηλικία των 6 ετών επί συνόλου 38.790 παιδιών σε ορίζοντα 25ετίας, οι οποίες με αντιφυματική αγωγή θεραπεύτηκαν. Στην παρούσα έρευνα, που βασίζεται πρακτικά στη μελέτη της συμβολής του B.C.G. στην προφύλαξη των παιδιών του Νομού Ροδόπης από τη φυματική νόσο, σε σύνολο δείγματος 29.410 παιδιών ηλικίας 11-12 ετών, η σχέση των νοσήσεων σε εμβολιασθέντα και μη παιδιά είναι 2:3. Ακόμη έγινε σύγκριση μεταξύ μη εμβολιασμένων παιδιών ηλικίας: α. 6-7 ετών (οπότε και εφαρμόζεται σήμερα το εμβόλιο) και β. 11-12 ετών (ηλικία στην οποία γινόταν παλαιότερα). Από τη λεπτομερή ανάλυση των ευρημάτων φαίνεται ότι από τη μετάθεση του εμβολιασμού στην ηλικία των 6-7 ετών θα προλαμβανόταν η φυσική πρωτομόλυνση σε 5 παιδιά από τα 29.410 στα 19 χρόνια της έρευνας. Καμία περίπτωση φυματιώδους μηνιγγίτιδας (ΦΜ) δεν αναφέρθηκε σε παιδιά ηλικίας άνω των 6 ετών. Οι δε 5 περιπτώσεις φυματιώδους μηνιγγίτιδας στα 19 χρόνια της έρευνας αφορούσαν παιδιά προεμβολιαστικής ηλικίας και η ΦΜ οδήγησε στην ανακάλυψη της μέχρι τότε άγνωστης πηγής μόλυνσης. Η έγκαιρη ανακάλυψη της πηγής θα προλάμβανε σχεδόν ασφαλώς και τις φυματιώδεις μηνιγγίτιδες και τις αθώες πρωτομολύνσεις. Σε οδηγία του Πανεπιστημίου του Harvard το 2006 σχετικά με τα εμβόλια που κρίνονται αναγκαία για τη δημόσια υγεία, το B.C.G. δεν περιλαμβάνεται. Ολοκληρώνοντας, υπενθυμίζονται δύο περιπτώσεις, όπου αντενδείκνυται η εφαρμογή του εμβολίου, παρότι εφαρμόζεται: α. σε στενές επαφές της προσχολικής ηλικίας (ομάδα υψηλού κινδύνου), όπου η διαμόλυνσή τους αγγίζει το 100%, αφού οι νοσήσεις ανέρχονται σε 78%, και ενώ το παιδί θα μπορούσε ενδεχομένως να ανταποκριθεί στη φυσική μόλυνση χωρίς να νοσήσει, εμβολιαζόμενο το ανοσοιακό του σύστημα υποχρεώνεται να αντιμετωπίσει δύο μολύνσεις συγχρόνως: τη φυσική και την τεχνητή και β. στον στρατό, όπου η διαμόλυνση ανέρχεται σε ποσοστό 6- 7%, καθώς με το εμβόλιο, αν γίνει τεχνικά σωστά, θετικοποιείται το σύνολο των εμβολιαζομένων (100%) και εάν κάποιος γίνει φορέας του AIDS κινδυνεύει από την εμφάνιση γενικευμένης φυματίωσης (από B.C.G.).