Rheumatoid arthritis
類風溼性關節炎
Ankylosing spondylitis
僵直性脊椎炎
台北醫學大學附設醫院 風濕免疫科 主治醫師 蔡凱倫
影像判讀 與
生物製劑健保申請之應
用
The rapid expansion of the therapeutic bioagents has the
potential to dramatically improve RA patient care.
NEJM 2001
NEJM, 2006.
NEJM 2012
Others:
小分子標靶藥物
Tofacitinib(Xeljanz
Or Anti-IL17…..
X-ray
比較一下!
Normal joint
RA patient
Margin erosion,吃進去
Boutonniere
fusion
RA, Arthritis Multilans
不犯DIP!
再看一下,因為我們要離開X光進入更可怕,
更複雜的領域了~
RA clinical coarse
The role of image? Radiography,
Ultrasound,
CT
MRI
類風溼性關節炎 臨床進程
時間
健康 滑膜發炎 臨床症狀,
關節痛,腫
無症狀期
早期類風濕性
關節炎
晚期類風濕性
關節炎
基因與環境因素
自體抗體產生 RF, anti-CCP
關節破壞
關節變形
X 光片
超音波 核磁共振
核磁共振
輔助早期診斷類風溼性關節炎
預測早期類風溼性關節炎之關節破壞程度
治療效果評估
MRI and Miniarthroscopy of MCP Joints in RA . Arthritis Rheum 2001; 44:2492–2502.
TI + contrast
Placebo arms
類風溼性關節炎在核磁共振下可觀
察到的病理變化
 Synovitis 滑膜炎
 Tenosynovitis 肌腱滑膜炎
 Bone Erosions 骨侵蝕
 Bone Marrow Edema 骨質發炎水腫
 Bursitis 滑囊炎
 contrast-enhanced MRI depicted more abnormalities
within the osseous structures of the rheumatoid wrist
than corresponding fat-suppressed T2-weighted fast
spin-echo imaging.
Contrast-enhanced T1-weighted images are considered
more sensitive and specific in the assessment of acute
synovitis
AJR:187, August 2006
Tenosynovitis
AJR:189, December 2007
T1FS + C
Effusion: dark(T1) ; bone: dark(T1 white -> T1FS :no fat signals, dark)
Synovitis, contrast median: water
Contrast-enhanced axial T1-
weighted fat-saturated MR image
骨骼肌肉超音波
價格 敏感度 安排所
需等待
時間
是否有助急性發
炎診斷
骨折診斷 放射性
傳統X光片 便宜 差 快 否 是 是
核磁共振 昂貴 高 須排程 是,但視情況需
顯影劑
是 是
骨骼肌肉超
音波
便宜 高 快 是 否 無
類風濕性關節炎的影像診斷工具
Clinical applications in RA
髖關節
膝關節
腳踝
趾關節
肩關節
手肘
手腕
手指關節
輔助疾病診斷
疾病病況監測
介入性治療
骨骼肌肉超音波三大應用
類風溼性關節炎
三大臨床特色
 Synovitis
 Joint effusion(GS)
 Synovial hypertrophy(GS)
 Synovial vascularization(CD/PD)
 Bone erosion
 Tendon pathology
A
B
C
DE
F
滑膜發炎
滑膜增生
手腕關節
0: no erosions
1: very small ( <1 mm)
2: small (1 - 2 mm)
3: moderate ( 2 - 4 mm)
4: large ( > 4 mm)
骨骼侵蝕
第二指關節
longitudinal
Lateral views
transverse
Power Doppler signals
能量都普勒 代表 發炎訊號
 55歲女性類風溼性關節炎病患,右手肘
 Power Doppler signals代表active
inflammation,訊號越強,代表發炎
越厲害。
 有證據顯示之前Power Doppler signals
發現發炎越厲害,之後骨面磨損侵蝕
越嚴重,關節破壞越嚴重。
消滅 Power Doppler signals為什麼那
麼重要?
 34歲女性,類風濕性關節炎已5年,目前接受生物製
劑治療以及佐以其他口服藥物控制。近來膝蓋疼痛
腫脹。超音波發現如下:
 32歲類風濕性關節炎病患,手肘外側疼痛已困擾很
久,但其關節腫脹並不明顯,但在手肘外展的時候
會感到疼痛。
 35歲女性,初次看診為主訴雙膝,雙踝略腫,並無
上肢疼痛的情形。
Right 2nd MCP
治療成效評估
2013/6 2013/11
56歲女性,診斷類風溼性關節炎已十多年,服用DMARD及生物製劑,關
節腫痛起起伏伏,但今年初生物製劑開始被減藥。
ESR,CRP 並不高,但病患近日仍主訴手指疼痛益增
5/13 12/4
經過半年,雖然病患關節外觀早已
變形,但是從超音波可見其骨頭仍
持續破壞
Right hand 2nd MCP
達標治療 Treat to target
 除了傳統的我們知道的
DAS28
 超音波也可以當作一個治
療追蹤指標
 MSU treat to target
 發炎訊號的消失
 關節積水變少
 滑膜增生變薄
 Objective. To investigate the construct validity
and reliability of US DAS compared with 28-joint
DAS(DAS-28) in assessing joint inflammation and
in prediction of structural damage in patients
with RA.
Rheumatology (Oxford). 2012 Jan;51(1):120-8.
超音波比DAS28在評估關節發炎程度和預測
結構破壞上更準確性和可靠性
是否可以當作退場機制申覆上的輔助工具?
ARTHRITIS & RHEUMATISM
Vol. 64, No. 1, January 2012, pp 67–
76
Conclusion. For RA patients whose disease is in remission or
who have low levels of disease activity, PD signals on
ultrasonography could predict relapse or radiographic
progression and identify those whose disease is adequately
controlled, which is especially helpful when considering
treatment tapering or interruption..
能量嘟普勒訊號可以預測傳統X光上結構破
壞,和正確評估病患是否有適當的疾病控制
正常脊椎 早期僵直性脊椎炎 晚期僵直性脊椎炎
發炎 沾黏融合
病情嚴重及控制不良者:
 脊椎沾黏: 竹子狀,變形,駝背
 脊椎沾黏嚴重: 喪失柔軟度,提高骨折風險,甚至有壓迫
神經導致下肢麻木問題。
[image tool: MRI]
modified by Medscape Rheumatology education, Expanding
the spectrum for TNF antagonist: Safty & Efficacy in the
Spondyloarthropathies: Ankylosing Spondylitis
Image tool: MRI,
Ultrasound
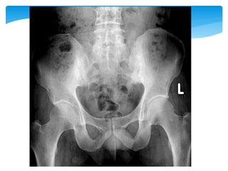
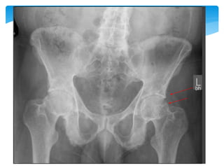
Sacroiliitis
0 Normal
1 Some blurring of the joint margins - suspicious
2 Minimal sclerosis with some erosions
3
Severe erosions with widening of joint space +/- some ankylosis
(Pseudo-widening of the joint space: Subchondral bone resorption—
blurring ; Erosion sclerosis ;Calcification leading to ankylosis)
4 complete ankylosis
Grade 0 Grade 1 Grade 3 Grade 4
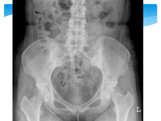
20歲年輕女性,
HLAB27+
相隔四年的X光片
anterior corner erosions at
vertebral bodies (vertebral
enthesitis)
shiny corner sign
(Romanus lesion)
Vertebral body squaring
Vertebral fusion
Ankylosing Spondylitis
Marginal
bridging
syndesmophytes
AS, Andersson lesion, discovertebral
destruction, spine (severe back pain!)
2~5年 Modified New York criteria 1984
1. 下背痛僵硬 休息無法減輕 三個月以上
2. 腰椎活動範圍受限
3. 擴胸範圍受限
4. X光有薦腸關節炎雙側2級或單側3級以上 4+ 1
or 2 or3
Spine
T1 white, STIR dark
Bone marrow
edema, STIR white,
T1 dark
Romanus lesion
Active lesion
Chronic lesion
SPARCC MRI spinal score (0–108)
Arthritis Rheum. 2005 Aug 15;53(4):502-9.
T2
SPARCC 2 SPARCC 13
Spondyloarthritis Research
Consortium of Canada magnetic resonance imaging index
Arthritis Rheum. 2003 Apr;48(4):1126-36
STIR
Frequency of active
inflammation in the
spine (vertebral units)
Ann Rheum Dis 2013;72:967–973
Ann Rheum Dis 2013;0:1–7.
Enthesitis
T1 T1FS + C
C7~ T3 supraspinal ligament
RadioGraphics 2005; 25:559 –570
Synovitis
Tendinitis
Enthesopathy
Dactylitis
骨骼肌肉超音波在
僵直性脊椎炎 及 血清陰性關節炎
 Synovitis,
SpA
Synovitis, Tendonitis/ tenosynovitis
Enthesopathy Dactylitis
Elemental lesions Ossification/ cortical bone
changes
Achilles Tendon
Achilles Tendon
Cortical bone irregularities:
erosion, doppler
Taipei Medical University Hospital
HIP joint
Trochanteric bursitis
 傳統X光片仍是評估關節炎很重要的工具
 核磁共振與骨骼肌肉超音波對於關節炎軟組織部份
的評估較傳統X光片敏感許多。
 類風濕性關節的重要病理病變為滑膜發炎,僵直性
脊椎炎的重要病理變化為著骨點發炎。
 類風溼性關節炎的發炎評估以手腕關節與2nd MCP掌
指關節最為重要。
 能量督普勒代表的是發炎訊號,超音波的達標治療
目標以消滅能量嘟普勒訊號為最重要。
Take home massage

20140802 crc trainging image for ra & as 講義版