TREATMENT PLANNING
PROTOCOL FOR
COMPLEX
PROSTHODONTIC CASES
Soraya C. Villarroel,
D.D.S., M.S.
www.egydental.com
Outline
1. Objective
2. Developing Treatment Options
3. Complex Treatment Planning Protocol
3. RPD, Fixed and Immediate Dentures Clinical
and Lab Procedures
4. Assorted Clinical Cases
5. Summary
Objective
Provide a consistent teaching to train the student to
sequence the necessary procedures to diagnose
and develop a treatment plan for complex
prosthodontic cases in the Primary Care Clinics
Treatment Plan Purpose
Formulating a logical sequence of
treatment designed to restore the patient’s
dentition to good health, with optimal
function and appearance*
*Rosenstiel et al., Contemporary Fixed Prosthodontics, 2001
What is an Ideal Treatment plan?
Treatment plan that achieves the best
possible long-term outcomes for
the patient, while addressing all
patient concerns and active
problems, with the minimum
necessary intervention*
*C. Bain, Treatment Planning in General Denta1 Practice, 2003
?
Complex Prosthodontic Cases
Factors to be considered:
 Four or more fixed restorations (crowns, FPD)
 CD/RPD, RPD/RPD with or without crowns
 Immediate dentures
 Cases requiring a change in VDO
 Implant cases (Optional)
 Cases deemed complex by screening or clinic faculty
Developing Treatment Options
Diagnosis:
 Dental and medical history
 Clinical examination
 Radiographic films
 Diagnostic pictures
 Diagnostic casts
 Diagnostic wax-up
Prognosis:
 General factors: age, oral environment, etc.
 Local factors: occlusion, access for oral hygiene
Developing Treatment Options
Factors to be considered:
 Longevity
 Cost
 Patient’s expectations
 Invasiveness / reversibility
 Success rate
 Possible complications
 Time involved, both total treatment time and number of visits
 Influence on quality of life
Phase II
Disease Control
Phase III
Restorative
Phase IV
Maintenance
Treatment Plan by Phases
Dental & medical history
Clinical examination, Radiographic films
Dx Casts, Dx photographs
Dx Wax-up, Aesthetic evaluation
Periodontal Therapy
Endodontic Therapy (RCT)
Removal of existing restorations
Caries control
Phase I
Diagnosis
Crown lengthening/Implant surgery
Gnathologic technique
Long-term provisional restorations
Cast restorations, Cast RPD’s
Recall every 6 months
Fluoride supplements
Reinforce oral hygiene
Improve diet
Complex Cases Protocol
 Diagnostic Phase (Complex D&T)
 Paperwork (Prosthodontic Component)
 Prosthetic or Reconstructive Phase
Complex Cases Protocol (Dx Phase)
A series of diagnostic appointments should be
scheduled to complete a thorough evaluation of
the patient dental condition:
 Diagnostic Impressions
 Diagnostic casts (duplicated twice for RPD Tx
cases and one for other treatments)
 Two sets of casts oriented identically on
articulator in CR (Face-bow required)
Complex Cases Protocol (Dx Phase)
 Diagnostic Wax-up:
Casts/waxing/set-ups (denture teeth) must be
completed prior to beginning any reconstructive
treatment (castings/prostheses or definitive Periodontal
therapy)
Complex Cases Protocol (Dx Phase)
 Prosthodontic Component of the Dental record
(green sheet):
 One for removable prosthodontics
 One for fixed prosthodontics/Occlusal analysis
 Must be completed and signed by Faculty and student
Complex Cases Protocol (Paperwork)
 Outline a Tx-plan with an Instructor (Complex D&T)
 Review Tx plan with complex case managers (Dr. Villarroel
CCC2/CCC4 and Dr. El-Gendy CCC1/CCC3)
 Outline a definitive Tx-plan with sequence for clinical and lab
procedures by appointment
 Stamp the blue tx-plan working sheet
 Reach agreement: patient, student, faculty
 Get case manager signature after all previous steps are
accomplished and Phase II is completed
 Student should follow up the Tx-plan with any instructor
 Advanced complex cases may be referred to Grad Pros clinic
Diagnostic Impressions/Casts
 Dx impressions:
 Irreversible hydrocolloid (alginate)/stock trays
 High quality with no voids
 A clinical instructor must authorize impressions pouring
 Type III dental stone (buff) is used for Dx-casts pouring
 Dx casts evaluation criteria:
 Accurate reproduction of teeth and tissue
 Base thickness: 15-16 mm
 Land area width: 3-4 mm
Diagnostic Casts*
*Comprehensive Care Patient Presentations, 2003-04, Dr. Mary Baechle
Diagnostic Casts
 Provide valuable preliminary information and a
comprehensive overview of patient’s needs
 Treatment procedures can be rehearsed on the
stone cast before making any irreversible changes
in the patient’s mouth
 Used for diagnostic wax-up, preliminary RPD
design, surgical stent (surgical procedures), etc.
 Help to explain intended procedure to patient
Diagnostic Wax-up*
*Comprehensive Care Patient Presentations, 2003-04, Dr. Mary Baechle
 Useful to show proposed treatment to the patient
 Used for fabrication of provisional restorations
 Fabrication of final restorations against the
diagnostically waxed cast allows establishing
optimum contour and occlusion
 Provides specific information about desired
tooth length and form or occlusal arrangement:
dentist-lab technician communication
Diagnostic Wax-up
Complex Cases Protocol (Pros phase)
 Removable Partial Dentures (RPD)
 Fixed Prosthodontics (crowns/FPD)
 Immediate Dentures
RPD Clinical/Lab Procedures
 Mount Dx Casts in CR
 Dx-wax-up (set denture teeth)
 Survey Dx cast (preliminary design)
 Complete Phase II
 Rest seats/guide planes preparation
(enameloplasty if required)
 Impression for framework
fabrication (Alginate)
 Framework try-in/adjustment
RPD Clinical/Lab Procedures
 Altercast impression
in case of distal
extensions or
Kennedy class I or
II arch form
 Tray fabrication
 Border molding
Altercast Impression
Procedure
RPD Clinical/Lab Procedures
 Wax-rim fabrication, CRR,
Facebow (if required)
 Selection of denture teeth
shape/shade
 Set up teeth
 Wax try-in: Verify
CR/Esthetic try-in
 Approval: patient/faculty
 Lab form required for
processing Prosthesis
 Prosthesis placement
 Post-placement checking
appointments
RPD Clinical/Lab Procedures
Fixed Pros Clinical/Lab Procedures*
 Mount Dx casts on articulator using
facebow/CRR
 Each set is mounted identically (cross-mounted
technique)
 One set of Dx cast is used for Dx wax-up
 One set of Dx casts is left unaltered (original)
*Rosenstiel et al., Contemporary Fixed Prosthodontics, 2001
Fixed Pros Clinical/Lab Procedures*
 Definitive tooth preparation (one
arch at a time) Fabrication of
provisional restorations
 Final impression
*Rosenstiel et al., Contemporary Fixed Prosthodontics, 2001
Fixed Pros Clinical/Lab Procedures*
 Working cast/CRR/Mounting each
step must be evaluated by instructor
 Selection of shade
(Patient/Instructor approval)
*Rosenstiel et al., Contemporary Fixed Prosthodontics, 2001
Fixed Pros Clinical/Lab Procedures*
 Try-in Crowns/FPD
(Framework Try-in)
*Rosenstiel et al., Contemporary Fixed Prosthodontics, 2001
Fixed Pros Clinical/Lab Procedures*
 Placement of final restorations
*Rosenstiel et al., Contemporary Fixed Prosthodontics, 2001
Immediate Denture
Definition:
A complete denture or removable partial
denture fabricated for placement
immediately following the removal of
natural teeth
The glossary of Prosthodontic terms, 1999
Examination and Diagnosis
 Diagnostic Cast
 What teeth need to be extracted?
 What is the final RPD design?
 An esthetic evaluation is necessary if tooth
position will be altered
Immediate Denture
Immediate Partial/Denture
Clinical/Lab Procedures
 Examination and Diagnosis
 Single Phase Surgical
Schedule
 Final Impression
 Facebow, Jaw Records
 Marking “Esthetic Indicators”
 Wax Try-in
 Laboratory Procedures
 Extractions and Delivery
 Maintenance
 Fabrication of Definitive
Immediate Denture
 Double Phase Surgical
Schedule
 Extract all posterior teeth
 Wait 6 weeks of healing
 Final Impression
 Facebow, Jaw Records
 Intra-oral Modifications
 Final Impressions
 Facebow, Jaw Record
Immediate Partial
Courtesy of Dr. AG Wee
 Maintain patient’s appearance
 Serve to control hemorrhage and swelling
 Prevent tongue spread out as a result of tooth loss
 Serve as a guide for esthetic of the final denture
 Protect tissues at the sensitive extraction sites from
irritation from the tongue and food
 Hasten patient adaptation to dentures
 Maintain efficiency of mastication
Immediate Partial/Denture Advantages
 More difficult and demanding procedure (more
chair time/increased cost)
 Dentist’s inability to try-in the prosthetic teeth in
advance (limited evaluation)
 Impressions and Maxillo-mandibular records
more difficult to record
Immediate Partial/Denture Disadvantages
 Patient in poor general health
 Uncooperative patient
 Patient with surgical risks:
 Radiation therapy
 Blood clotting
 Tissue regeneration/wound healing problems
 After surgery drainage required
Immediate Denture Contraindications
Clinical Case
Clinical Case I: Immediate Denture
Clinical Case II:
Fixed-RPD
Clinical Case III: CD/Fixed-RPD
Clinical Case IV: Immediate Partial-Denture
Summary
 The patient should be considered as a human being
 Successful accomplishment of dental treatment is
the result of a multidisciplinary team effort:
students, faculty, staff, other dental departments
 Following complex case protocol helps to:
 Provide a higher quality dental treatment to patients
 Enhance students’ clinical learning experience and
knowledge
 Increase efficiency: save time/money to patients,
students, instructors, and Clinic
 Improve OSU Clinic/College reputation
Summary
 The key of a successful dental case is the
planning of the treatment at the beginning
 Primary care department team approach:
Combine the vast clinical experience of
general dentistry faculty with complex case
training of specialists
 Clinic Manual 2003-2004; The Ohio State
University Department of Primary Care
 Boucher’s Prosthodontic Treatment for Edentulous
Patients, 11th Edition; Zarb et al., 2004
 Contemporary Fixed Prosthodontics, Rosenstiel et
al., 2001
 Complex Denture Fabrication, M. van Putten, 2000
References
Thank You!

1689488.ppt

  • 1.
    TREATMENT PLANNING PROTOCOL FOR COMPLEX PROSTHODONTICCASES Soraya C. Villarroel, D.D.S., M.S. www.egydental.com
  • 2.
    Outline 1. Objective 2. DevelopingTreatment Options 3. Complex Treatment Planning Protocol 3. RPD, Fixed and Immediate Dentures Clinical and Lab Procedures 4. Assorted Clinical Cases 5. Summary
  • 3.
    Objective Provide a consistentteaching to train the student to sequence the necessary procedures to diagnose and develop a treatment plan for complex prosthodontic cases in the Primary Care Clinics
  • 4.
    Treatment Plan Purpose Formulatinga logical sequence of treatment designed to restore the patient’s dentition to good health, with optimal function and appearance* *Rosenstiel et al., Contemporary Fixed Prosthodontics, 2001
  • 5.
    What is anIdeal Treatment plan? Treatment plan that achieves the best possible long-term outcomes for the patient, while addressing all patient concerns and active problems, with the minimum necessary intervention* *C. Bain, Treatment Planning in General Denta1 Practice, 2003 ?
  • 6.
    Complex Prosthodontic Cases Factorsto be considered:  Four or more fixed restorations (crowns, FPD)  CD/RPD, RPD/RPD with or without crowns  Immediate dentures  Cases requiring a change in VDO  Implant cases (Optional)  Cases deemed complex by screening or clinic faculty
  • 7.
    Developing Treatment Options Diagnosis: Dental and medical history  Clinical examination  Radiographic films  Diagnostic pictures  Diagnostic casts  Diagnostic wax-up Prognosis:  General factors: age, oral environment, etc.  Local factors: occlusion, access for oral hygiene
  • 8.
    Developing Treatment Options Factorsto be considered:  Longevity  Cost  Patient’s expectations  Invasiveness / reversibility  Success rate  Possible complications  Time involved, both total treatment time and number of visits  Influence on quality of life
  • 9.
    Phase II Disease Control PhaseIII Restorative Phase IV Maintenance Treatment Plan by Phases Dental & medical history Clinical examination, Radiographic films Dx Casts, Dx photographs Dx Wax-up, Aesthetic evaluation Periodontal Therapy Endodontic Therapy (RCT) Removal of existing restorations Caries control Phase I Diagnosis Crown lengthening/Implant surgery Gnathologic technique Long-term provisional restorations Cast restorations, Cast RPD’s Recall every 6 months Fluoride supplements Reinforce oral hygiene Improve diet
  • 10.
    Complex Cases Protocol Diagnostic Phase (Complex D&T)  Paperwork (Prosthodontic Component)  Prosthetic or Reconstructive Phase
  • 11.
    Complex Cases Protocol(Dx Phase) A series of diagnostic appointments should be scheduled to complete a thorough evaluation of the patient dental condition:  Diagnostic Impressions  Diagnostic casts (duplicated twice for RPD Tx cases and one for other treatments)  Two sets of casts oriented identically on articulator in CR (Face-bow required)
  • 12.
    Complex Cases Protocol(Dx Phase)  Diagnostic Wax-up: Casts/waxing/set-ups (denture teeth) must be completed prior to beginning any reconstructive treatment (castings/prostheses or definitive Periodontal therapy)
  • 13.
    Complex Cases Protocol(Dx Phase)  Prosthodontic Component of the Dental record (green sheet):  One for removable prosthodontics  One for fixed prosthodontics/Occlusal analysis  Must be completed and signed by Faculty and student
  • 16.
    Complex Cases Protocol(Paperwork)  Outline a Tx-plan with an Instructor (Complex D&T)  Review Tx plan with complex case managers (Dr. Villarroel CCC2/CCC4 and Dr. El-Gendy CCC1/CCC3)  Outline a definitive Tx-plan with sequence for clinical and lab procedures by appointment  Stamp the blue tx-plan working sheet  Reach agreement: patient, student, faculty  Get case manager signature after all previous steps are accomplished and Phase II is completed  Student should follow up the Tx-plan with any instructor  Advanced complex cases may be referred to Grad Pros clinic
  • 17.
    Diagnostic Impressions/Casts  Dximpressions:  Irreversible hydrocolloid (alginate)/stock trays  High quality with no voids  A clinical instructor must authorize impressions pouring  Type III dental stone (buff) is used for Dx-casts pouring  Dx casts evaluation criteria:  Accurate reproduction of teeth and tissue  Base thickness: 15-16 mm  Land area width: 3-4 mm
  • 18.
    Diagnostic Casts* *Comprehensive CarePatient Presentations, 2003-04, Dr. Mary Baechle
  • 19.
    Diagnostic Casts  Providevaluable preliminary information and a comprehensive overview of patient’s needs  Treatment procedures can be rehearsed on the stone cast before making any irreversible changes in the patient’s mouth  Used for diagnostic wax-up, preliminary RPD design, surgical stent (surgical procedures), etc.  Help to explain intended procedure to patient
  • 20.
    Diagnostic Wax-up* *Comprehensive CarePatient Presentations, 2003-04, Dr. Mary Baechle
  • 21.
     Useful toshow proposed treatment to the patient  Used for fabrication of provisional restorations  Fabrication of final restorations against the diagnostically waxed cast allows establishing optimum contour and occlusion  Provides specific information about desired tooth length and form or occlusal arrangement: dentist-lab technician communication Diagnostic Wax-up
  • 22.
    Complex Cases Protocol(Pros phase)  Removable Partial Dentures (RPD)  Fixed Prosthodontics (crowns/FPD)  Immediate Dentures
  • 23.
    RPD Clinical/Lab Procedures Mount Dx Casts in CR  Dx-wax-up (set denture teeth)  Survey Dx cast (preliminary design)  Complete Phase II  Rest seats/guide planes preparation (enameloplasty if required)  Impression for framework fabrication (Alginate)  Framework try-in/adjustment
  • 24.
    RPD Clinical/Lab Procedures Altercast impression in case of distal extensions or Kennedy class I or II arch form  Tray fabrication  Border molding
  • 25.
  • 26.
    RPD Clinical/Lab Procedures Wax-rim fabrication, CRR, Facebow (if required)  Selection of denture teeth shape/shade  Set up teeth
  • 27.
     Wax try-in:Verify CR/Esthetic try-in  Approval: patient/faculty  Lab form required for processing Prosthesis  Prosthesis placement  Post-placement checking appointments RPD Clinical/Lab Procedures
  • 28.
    Fixed Pros Clinical/LabProcedures*  Mount Dx casts on articulator using facebow/CRR  Each set is mounted identically (cross-mounted technique)  One set of Dx cast is used for Dx wax-up  One set of Dx casts is left unaltered (original) *Rosenstiel et al., Contemporary Fixed Prosthodontics, 2001
  • 29.
    Fixed Pros Clinical/LabProcedures*  Definitive tooth preparation (one arch at a time) Fabrication of provisional restorations  Final impression *Rosenstiel et al., Contemporary Fixed Prosthodontics, 2001
  • 30.
    Fixed Pros Clinical/LabProcedures*  Working cast/CRR/Mounting each step must be evaluated by instructor  Selection of shade (Patient/Instructor approval) *Rosenstiel et al., Contemporary Fixed Prosthodontics, 2001
  • 31.
    Fixed Pros Clinical/LabProcedures*  Try-in Crowns/FPD (Framework Try-in) *Rosenstiel et al., Contemporary Fixed Prosthodontics, 2001
  • 32.
    Fixed Pros Clinical/LabProcedures*  Placement of final restorations *Rosenstiel et al., Contemporary Fixed Prosthodontics, 2001
  • 33.
    Immediate Denture Definition: A completedenture or removable partial denture fabricated for placement immediately following the removal of natural teeth The glossary of Prosthodontic terms, 1999
  • 34.
    Examination and Diagnosis Diagnostic Cast  What teeth need to be extracted?  What is the final RPD design?  An esthetic evaluation is necessary if tooth position will be altered Immediate Denture
  • 35.
    Immediate Partial/Denture Clinical/Lab Procedures Examination and Diagnosis  Single Phase Surgical Schedule  Final Impression  Facebow, Jaw Records  Marking “Esthetic Indicators”  Wax Try-in  Laboratory Procedures  Extractions and Delivery  Maintenance  Fabrication of Definitive Immediate Denture  Double Phase Surgical Schedule  Extract all posterior teeth  Wait 6 weeks of healing  Final Impression  Facebow, Jaw Records  Intra-oral Modifications  Final Impressions  Facebow, Jaw Record Immediate Partial Courtesy of Dr. AG Wee
  • 39.
     Maintain patient’sappearance  Serve to control hemorrhage and swelling  Prevent tongue spread out as a result of tooth loss  Serve as a guide for esthetic of the final denture  Protect tissues at the sensitive extraction sites from irritation from the tongue and food  Hasten patient adaptation to dentures  Maintain efficiency of mastication Immediate Partial/Denture Advantages
  • 40.
     More difficultand demanding procedure (more chair time/increased cost)  Dentist’s inability to try-in the prosthetic teeth in advance (limited evaluation)  Impressions and Maxillo-mandibular records more difficult to record Immediate Partial/Denture Disadvantages
  • 41.
     Patient inpoor general health  Uncooperative patient  Patient with surgical risks:  Radiation therapy  Blood clotting  Tissue regeneration/wound healing problems  After surgery drainage required Immediate Denture Contraindications
  • 42.
  • 43.
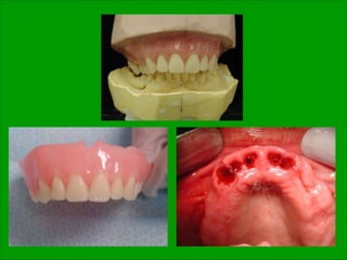
    Clinical Case I:Immediate Denture
  • 47.
  • 49.
    Clinical Case III:CD/Fixed-RPD
  • 50.
    Clinical Case IV:Immediate Partial-Denture
  • 52.
    Summary  The patientshould be considered as a human being  Successful accomplishment of dental treatment is the result of a multidisciplinary team effort: students, faculty, staff, other dental departments  Following complex case protocol helps to:  Provide a higher quality dental treatment to patients  Enhance students’ clinical learning experience and knowledge  Increase efficiency: save time/money to patients, students, instructors, and Clinic  Improve OSU Clinic/College reputation
  • 53.
    Summary  The keyof a successful dental case is the planning of the treatment at the beginning  Primary care department team approach: Combine the vast clinical experience of general dentistry faculty with complex case training of specialists
  • 54.
     Clinic Manual2003-2004; The Ohio State University Department of Primary Care  Boucher’s Prosthodontic Treatment for Edentulous Patients, 11th Edition; Zarb et al., 2004  Contemporary Fixed Prosthodontics, Rosenstiel et al., 2001  Complex Denture Fabrication, M. van Putten, 2000 References
  • 55.