BỆNH PHỔI TẮC NGHẼN
MẠN TÍNH
ThS. Võ Phạm Minh Thư
Định nghĩa COPD
COPD là tình trạng bệnh lý được đặc trưng bởi sự
giới hạn luồng khí không hồi phục hoàn toàn.
Sự giới hạn luồng khí này thường tiến triển và có
liên quan với một đáp ứng viêm bất thường
của phổi đối với các phân tử hay các chất khí
độc hại
Dịch tể (1)
 COPD là nguyên nhân tử vong đứng hàng thứ 4 ở Mỹ và Châu
Âu, và tử suất ở phụ nữ tăng gấp đôi trong 20 năm qua.
Leading causes of death in the USA, 1998 Number
Heart disease 724,269
Cancer 538,947
Cerebrovascular disease (stroke) 158,060
Respiratory diseases (COPD) 114,381
Accidents 94,828
Pneumonia and influenza 93,207
Diabetes 64,574
Suicide 29,264
Nephritis 26,265
Chronic liver disease 24,936
All other causes of death 469,314
Dịch tể (2)
ERS-ATS COPD Guidelines
Dịch tể (3)
 COPD là bệnh có chi phí điều trị cao hơn hen phế quản, 50-
70% chi phí có liên quan đến đợt cấp.
 Thuốc lá là yếu tố nguy cơ quan trọng.
 Một số yếu tố nguy cơ khác:
Yếu tố chủ thể Yếu tố môi trường
Bất thường gene
Giới tính
Sự quá phản ứng đường
thở, IgE và hen phế quản
Hút thuốc lá
Tình trạng kinh tế xã hội
Nghề nghiệp
Ô nhiễm môi trường
Bệnh chu sinh và thời thơ ấu
Nhiễm trùng phổi phế quản tái diễn
Chế độ ăn
Sinh bệnh học (1)
LUNG INFLAMMATION
LUNG INFLAMMATION
COPD
COPD
PATHOLOGY
PATHOLOGY
Oxidative
Oxidative
stress
stress Proteinases
Proteinases
Repair
Repair
mechanism
mechanism
s
s
Anti-
Anti-
proteinases
proteinases
Anti-
Anti-
oxidants
oxidants
Host factors
Amplifying
mechanisms
Cigarette smoke
Cigarette smoke
Biomass particles
Biomass particles
Particulates
Particulates
Pathogenesis of COPD
Source: Peter J. Barnes, MD
Tăng sản tuyến nhầy
Dị sản tế bào
Goblet
Tăng tiết nhầy Neutrophils trong đàm
Dị sản tế bào vảy của biểu mô
↑ Macrophages
Không dầy màng nền
Tăng (ít) cơ trơn đường thở
↑ CD8+
lymphocytes
Thay đổi ở đường thở lớn
Thay đổi ở đường thở lớn
Source: Peter J. Barnes, MD
Sinh bệnh học (2)
1- Phì đại các tuyến nhầy; 2- Phì đại cơ trơn; 3- Tăng sản tế bào
Goblet; 4- Thâm nhiễm tế bào viêm; 5- Tiết nhầy quá mức; 6- Dị sản
tế bào vảy
Gián đoạn gắn kết phế nang
Chất rỉ viêm trong lòng phế quản
Xơ hóa phế quản ngoại vi
Nang Lymphoid
Dày thành đường thở do tế bào viêm
- macrophages, CD8+
cells, fibroblasts
Thay đổi ở đường thở nhỏ
Source: Peter J. Barnes, MD
Phá hủy thành phế nang
Mất mô liên kết
Phá hủy giường mao mạch phổi
↑ Tăng tế bào viêm
macrophages, CD8+
lymphocytes
Thay đổi nhu mô phổi
Source: Peter J. Barnes, MD
Rối loạn chức năng tế bào nội mô
Tăng sản nội mạch
Tăng sản cơ trơn
↑ tế bào viêm
(macrophages, CD8+
lymphocytes)
Thay đổi động mạch phổi
Source: Peter J. Barnes, MD
Chronic
Chronic
hypoxia
hypoxia
Pulmonary
Pulmonary
vasoconstriction
vasoconstriction
Muscularizati
Muscularizati
on
on
Intimal
Intimal
hyperplasia
hyperplasia
Fibrosis
Fibrosis
Obliteration
Obliteration
Pulmonary
Pulmonary
hypertension
hypertension
Cor
Cor
pulmonale
pulmonale
Death
Edema
Edema
Pulmonary Hypertension in COPD
Source: Peter J. Barnes, MD
Cigarette smoke
Cigarette smoke
(and other irritants)
(and other irritants)
PROTEASES
PROTEASES
Neutrophil elastase
Neutrophil elastase
Cathepsins
Cathepsins
MMPs
MMPs
Alveolar wall destruction
Alveolar wall destruction
(Emphysema)
(Emphysema)
Mucus hypersecretion
Mucus hypersecretion
CD8
CD8+
+
lymphocyte
lymphocyte
Alveolar macrophage
Alveolar macrophage
Epithelial
Epithelial
cells
cells
Fibrosis
Fibrosis
(Obstructive
(Obstructive
bronchiolitis)
bronchiolitis)
Fibroblast
Fibroblast
Monocyte
Monocyte
Neutrophil
Neutrophil
Chemotactic factors
Chemotactic factors
Inflammatory Cells Involved in COPD
Source: Peter J. Barnes, MD
Anti-proteases
SLPI α1-AT
Proteolysis
O
O2
2
-
-
, H
, H2
20
02
2
OH
OH.
.
, ONOO
, ONOO-
-
↑ Mucus secretion
Plasma leak Bronchoconstriction
NF-
NF-κ
κB
B
IL-8
IL-8
Neutrophil
Neutrophil
recruitment
recruitment
TNF-
TNF-α
α
Isoprostanes
Isoprostanes
↓
↓ HDAC2
HDAC2
↑
↑Inflammation
Inflammation
Steroid
Steroid
resistance
resistance
MacrophageNeutrophil
Oxidative Stress in COPD
Source: Peter J. Barnes, MD
Normal
Normal
Inspiration
Expiration
alveolar attachments
Mild/moderate
Mild/moderate
COPD
COPD
loss of elasticity
Severe
Severe
COPD
COPD
loss of alveolar
attachments
closure
small
small
airway
airway
Dyspnea
↓ Exercise capacity
Air trapping
Air trapping
Hyperinflatio
Hyperinflatio
n
n
↓
↓ Health
Health
status
status
Air Trapping in COPD
Source: Peter J. Barnes, MD
Hen phế quản COPD
Quá trình viêm Eosinophilic
CD4, Th2 Lymphocyte
Tế bào Mast
Tổn thương nhu mô:ít
Chủ yếu viêm dị ứng
Hóa chất viêm
LT D4
IL 4
IL 5
Neutrophilic
Macrophages & CD8 T ↑
Mất cân bằng
protease/antiprotiase
Tổn thương nhu mô: tiến
triển
Alpha1 AT↓- KPT người trẻ
Goblet phì đại và tăng sản
Hóa chất viêm
LT B4
IL 8
TNF-α
Sinh bệnh học (4) : Hen & COPD
Sự khác biệt trong quá trình viêm giữa hen và COPD
Y
Y
Y
Y
Y
Y
Tế bào Mast
Tế bào Mast
CD4+ cell
CD4+ cell
(Th2)
(Th2)
Eosinophil
Eosinophil
Dị nguyên
Dị nguyên
Tế bào biểu mô
Tế bào biểu mô
ASTHMA
ASTHMA
Co thắt phế quản
Co thắt phế quản
AHR
AHR
Alv macrophage
Alv macrophage
Ep cells
Ep cells
CD8+ cell
CD8+ cell
(Tc1)
(Tc1)
Neutrophil
Neutrophil
Cigarette smoke
Cigarette smoke
Hẹp đường thở nhỏ
Hẹp đường thở nhỏ
Phá hủy vách phế nang
Phá hủy vách phế nang
COPD
COPD
Hồi phục Không hồi phục
Giới hạn luồng thông khí
Giới hạn luồng thông khí
Source: Peter J. Barnes, MD
Macrophages
TNF-α IL-8 IL-6
Bacteria Viruses Non-infective
Pollutants
Epithelial
cells
Oxidative stress
Oxidative stress
Neutrophils
Viêm trong đợt cấp COPD
Source: Peter J. Barnes, MD
CHẨN ĐOÁN
Bệnh nhân trên 40 tuổi có các triệu chứng ho, khạc đàm
mạn tính, hoặc khó thở, và/hoặc tiền sử tiếp xúc với các
yếu tố nguy cơ gây bệnh:
- Ho mạn tính: từng đợt hoặc mỗi ngày
- Khạc đàm mạn tính: bất kỳ kiểu khạc đàm mạn tính nào.
- Khó thở: với các tính chất: tiến triển (xấu dần theo thời
gian), dai dẳng (hiện diện mỗi ngày), xấu hơn khi gắng
sức và khi có nhiễm trùng đường hô hấp.
CHẨN ĐOÁN
TIỀN SỬ
- Tiếp xúc với yếu tố nguy cơ
- Tiền sử các bệnh dị ứng, nhiễm trùng hô hấp, bệnh hô hấp khác.
- Tiền sử gia đình: COPD và bệnh lý hô hấp mạn tính
- Sự tiến triển của các triệu chứng
- Tiền sử đợt cấp và những lần nhập viện trước vì bệnh lý hô hấp
-Các bệnh đồng phát
- Các thuốc điều trị hiện tại
- Ảnh hưởng của bệnh lên cuộc sống của bệnh nhân
- Điều kiện kinh tế của bệnh nhân
- Khả năng giảm các yếu tố nguy cơ, đặc biệt bảng cam
kết bỏ thuốc lá
THĂM KHÁM
Nhìn:
- Xanh tím da, niêm mạc.
- Bệnh nhân nói ngắn hơi, thở nông, chúm môi, kéo dài thì thở ra,
co kéo cơ hô hấp phụ khi nghỉ ngơi, biểu hiện rõ nhất ở giai
đoạn nặng, nhịp thở thường trên 20 lần/phút.
- Lồng ngực căng dãn theo chiều ngang và chiều trước – sau
(barrel-shaped chest), các xương sườn nằm ngang, khoang
sườn không thay đổi độ rộng theo nhịp thở, cơ hoành hạ thấp
- Phù chi dưới.
THĂM KHÁM
Sờ và gõ
- Diện đập của tim khó xác định, bờ trên gan hạ thấp (do ứ
khí ở phổi).
- Rung thanh: bình thường hoặc giảm
- Gõ vang
Nghe
- Phế âm giảm.
- Tiếng tim mờ, nghe rõ ở mũi ức.
- Có thể nghe thấy tiếng ran rít, ran ngáy.
Dr.Sarma@works 25
CHRONIC
BRONCHITIS
EMPHYSEMA
BLUE BLOTTER
PINK PUFFER
HÔ HẤP KÝ
Tiêu chuẩn vàng:
FEV1 < 80% và FEV1/FVC <0.7 sau test hồi phục phế
quản.
Spirometry
Spirometry
FVC
FEV1
FEV1
FEV1
Healthy
Obstructive
Restrictive
Time (sec)
1 sec
Volume
(litres)
PHÂN ĐỘ NẶNG THEO HÔ HẤP KÝ
Giai đoạn Chức năng hô hấp sau test hồi phục phế quản
FEV1/FVC FEV1
I: Nhẹ <0.7 ≥ 80%
II: Trung bình <0.7 50% ≤ FEV1 < 80%
III: Nặng <0.7 30% ≤ FEV1 < 50%
IV: Rất nặng <0.7 FEV1 < 30% hoặc
FEV1 < 50% kèm
suy hô hấp mạn
Spirometry
Normal
FEV1
Volume
(litres)
Time (sec)
1 sec
Mild COPD
Moderate COPD
Severe COPD
Test hồi phục phế quản (Bronchodilator
reversibility testing)
- Bệnh nhân không nhiễm trùng đường hô hấp, không sử dụng
trước đó SABA trong 6 giờ, LABA trong 12 giờ và 24 giờ đối
với theophylline phóng thích chậm.
- Cách thực hiện:
Thuốc được sử dụng qua bình xịt định liều kèm buồng
đệm hoặc khí dung.
Liều thuốc: 400µg β2-agonist, 160µg anticholinergic,
hoặc cả hai.
Đo FEV1 lần 1 trước khi dùng thuốc. Sau 10-15 phút (nếu
dùng một thuốc) hoặc 30-45 phút (nếu kết hợp), đo lại FEV1.
Nếu giá trị này lớn hơn 200ml và 12% so với giá trị
trước test, test có ý nghĩa.
Test hồi phục phế quản sau corticosteroid
- Trong điều trị COPD, corticosteroid thường sử dụng:
. thường xuyên có các đợt cấp
. hoặc FEV1 cải thiện có ý nghĩa khi dùng corticosteroid.
- Thực hiện sau khi sử dụng thuốc dạng hít từ 6-14 tuần.
- Nếu độ hồi phục phế quản với ngưỡng trên 200 ml hoặc
trên 15% so với trước test là dương tính.
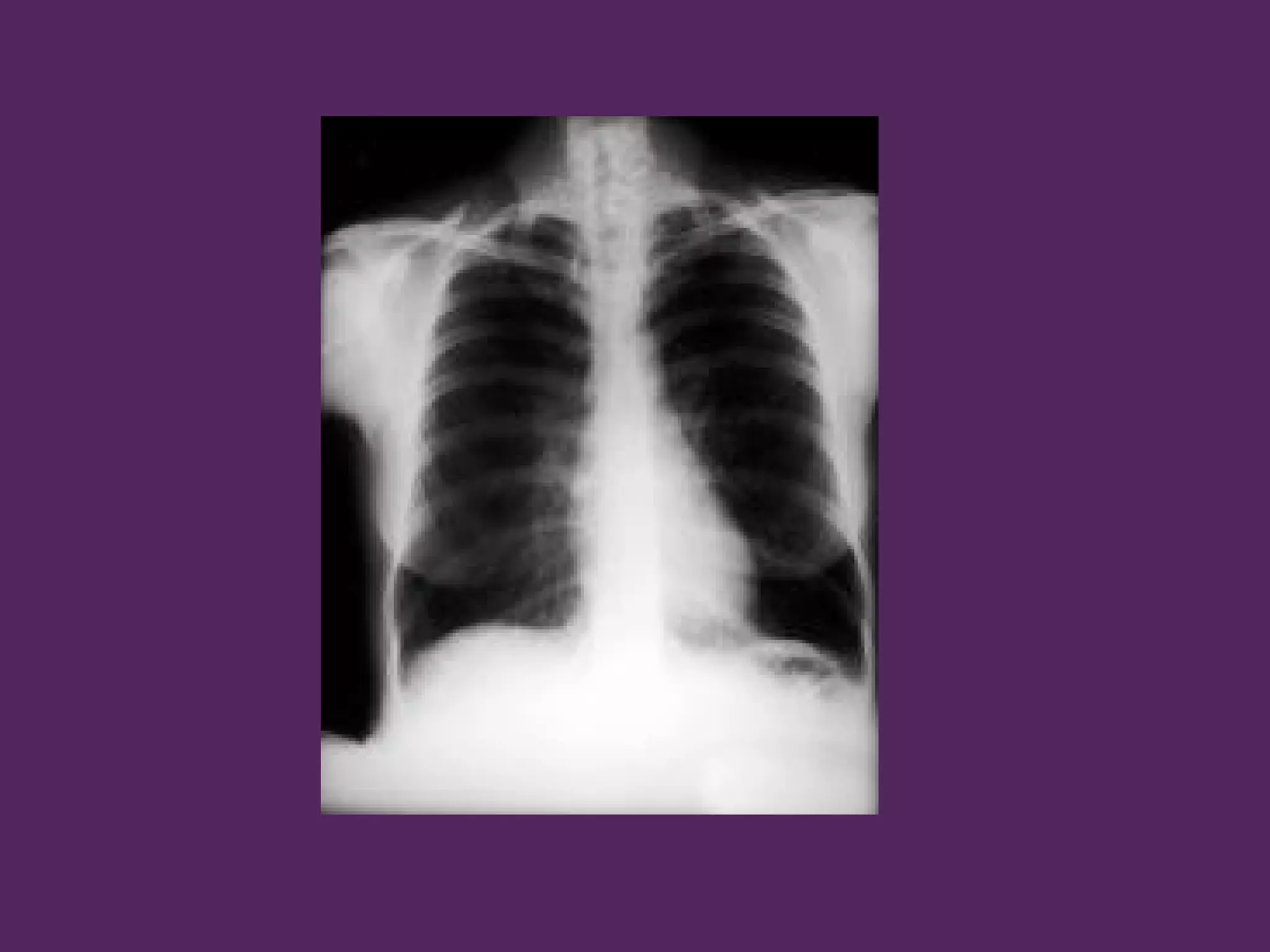
HÌNH ẢNH HỌC
- Căng dãn lồng ngực
- Tăng sáng phế trường
- Giảm số lượng mạch máu
ECG - Cor pulmonale
(RA and RV hypertrophy)
TIÊN LƯỢNG
FEV1 100%
không hút thuốc hay hút thuốc
không bị ảnh hưởng
ngưng thuốc từ 45t
người nhạy cảm thuốc lá
ngưng thuốc từ 65t
mất khả năng làm việc
75%
50%
25%
45 65 Tuổi

[123doc] - benh-hoc-copd-dieu-tri-copd-ths-bs-vo-pham-minh-thu.pdf

  • 1.
    BỆNH PHỔI TẮCNGHẼN MẠN TÍNH ThS. Võ Phạm Minh Thư
  • 2.
    Định nghĩa COPD COPDlà tình trạng bệnh lý được đặc trưng bởi sự giới hạn luồng khí không hồi phục hoàn toàn. Sự giới hạn luồng khí này thường tiến triển và có liên quan với một đáp ứng viêm bất thường của phổi đối với các phân tử hay các chất khí độc hại
  • 3.
    Dịch tể (1) COPD là nguyên nhân tử vong đứng hàng thứ 4 ở Mỹ và Châu Âu, và tử suất ở phụ nữ tăng gấp đôi trong 20 năm qua. Leading causes of death in the USA, 1998 Number Heart disease 724,269 Cancer 538,947 Cerebrovascular disease (stroke) 158,060 Respiratory diseases (COPD) 114,381 Accidents 94,828 Pneumonia and influenza 93,207 Diabetes 64,574 Suicide 29,264 Nephritis 26,265 Chronic liver disease 24,936 All other causes of death 469,314
  • 4.
  • 5.
    ERS-ATS COPD Guidelines Dịchtể (3)  COPD là bệnh có chi phí điều trị cao hơn hen phế quản, 50- 70% chi phí có liên quan đến đợt cấp.  Thuốc lá là yếu tố nguy cơ quan trọng.  Một số yếu tố nguy cơ khác: Yếu tố chủ thể Yếu tố môi trường Bất thường gene Giới tính Sự quá phản ứng đường thở, IgE và hen phế quản Hút thuốc lá Tình trạng kinh tế xã hội Nghề nghiệp Ô nhiễm môi trường Bệnh chu sinh và thời thơ ấu Nhiễm trùng phổi phế quản tái diễn Chế độ ăn
  • 6.
  • 7.
    LUNG INFLAMMATION LUNG INFLAMMATION COPD COPD PATHOLOGY PATHOLOGY Oxidative Oxidative stress stressProteinases Proteinases Repair Repair mechanism mechanism s s Anti- Anti- proteinases proteinases Anti- Anti- oxidants oxidants Host factors Amplifying mechanisms Cigarette smoke Cigarette smoke Biomass particles Biomass particles Particulates Particulates Pathogenesis of COPD Source: Peter J. Barnes, MD
  • 8.
    Tăng sản tuyếnnhầy Dị sản tế bào Goblet Tăng tiết nhầy Neutrophils trong đàm Dị sản tế bào vảy của biểu mô ↑ Macrophages Không dầy màng nền Tăng (ít) cơ trơn đường thở ↑ CD8+ lymphocytes Thay đổi ở đường thở lớn Thay đổi ở đường thở lớn Source: Peter J. Barnes, MD
  • 9.
    Sinh bệnh học(2) 1- Phì đại các tuyến nhầy; 2- Phì đại cơ trơn; 3- Tăng sản tế bào Goblet; 4- Thâm nhiễm tế bào viêm; 5- Tiết nhầy quá mức; 6- Dị sản tế bào vảy
  • 10.
    Gián đoạn gắnkết phế nang Chất rỉ viêm trong lòng phế quản Xơ hóa phế quản ngoại vi Nang Lymphoid Dày thành đường thở do tế bào viêm - macrophages, CD8+ cells, fibroblasts Thay đổi ở đường thở nhỏ Source: Peter J. Barnes, MD
  • 11.
    Phá hủy thànhphế nang Mất mô liên kết Phá hủy giường mao mạch phổi ↑ Tăng tế bào viêm macrophages, CD8+ lymphocytes Thay đổi nhu mô phổi Source: Peter J. Barnes, MD
  • 12.
    Rối loạn chứcnăng tế bào nội mô Tăng sản nội mạch Tăng sản cơ trơn ↑ tế bào viêm (macrophages, CD8+ lymphocytes) Thay đổi động mạch phổi Source: Peter J. Barnes, MD
  • 13.
  • 14.
    Cigarette smoke Cigarette smoke (andother irritants) (and other irritants) PROTEASES PROTEASES Neutrophil elastase Neutrophil elastase Cathepsins Cathepsins MMPs MMPs Alveolar wall destruction Alveolar wall destruction (Emphysema) (Emphysema) Mucus hypersecretion Mucus hypersecretion CD8 CD8+ + lymphocyte lymphocyte Alveolar macrophage Alveolar macrophage Epithelial Epithelial cells cells Fibrosis Fibrosis (Obstructive (Obstructive bronchiolitis) bronchiolitis) Fibroblast Fibroblast Monocyte Monocyte Neutrophil Neutrophil Chemotactic factors Chemotactic factors Inflammatory Cells Involved in COPD Source: Peter J. Barnes, MD
  • 15.
    Anti-proteases SLPI α1-AT Proteolysis O O2 2 - - , H ,H2 20 02 2 OH OH. . , ONOO , ONOO- - ↑ Mucus secretion Plasma leak Bronchoconstriction NF- NF-κ κB B IL-8 IL-8 Neutrophil Neutrophil recruitment recruitment TNF- TNF-α α Isoprostanes Isoprostanes ↓ ↓ HDAC2 HDAC2 ↑ ↑Inflammation Inflammation Steroid Steroid resistance resistance MacrophageNeutrophil Oxidative Stress in COPD Source: Peter J. Barnes, MD
  • 16.
    Normal Normal Inspiration Expiration alveolar attachments Mild/moderate Mild/moderate COPD COPD loss ofelasticity Severe Severe COPD COPD loss of alveolar attachments closure small small airway airway Dyspnea ↓ Exercise capacity Air trapping Air trapping Hyperinflatio Hyperinflatio n n ↓ ↓ Health Health status status Air Trapping in COPD Source: Peter J. Barnes, MD
  • 17.
    Hen phế quảnCOPD Quá trình viêm Eosinophilic CD4, Th2 Lymphocyte Tế bào Mast Tổn thương nhu mô:ít Chủ yếu viêm dị ứng Hóa chất viêm LT D4 IL 4 IL 5 Neutrophilic Macrophages & CD8 T ↑ Mất cân bằng protease/antiprotiase Tổn thương nhu mô: tiến triển Alpha1 AT↓- KPT người trẻ Goblet phì đại và tăng sản Hóa chất viêm LT B4 IL 8 TNF-α Sinh bệnh học (4) : Hen & COPD
  • 18.
    Sự khác biệttrong quá trình viêm giữa hen và COPD Y Y Y Y Y Y Tế bào Mast Tế bào Mast CD4+ cell CD4+ cell (Th2) (Th2) Eosinophil Eosinophil Dị nguyên Dị nguyên Tế bào biểu mô Tế bào biểu mô ASTHMA ASTHMA Co thắt phế quản Co thắt phế quản AHR AHR Alv macrophage Alv macrophage Ep cells Ep cells CD8+ cell CD8+ cell (Tc1) (Tc1) Neutrophil Neutrophil Cigarette smoke Cigarette smoke Hẹp đường thở nhỏ Hẹp đường thở nhỏ Phá hủy vách phế nang Phá hủy vách phế nang COPD COPD Hồi phục Không hồi phục Giới hạn luồng thông khí Giới hạn luồng thông khí Source: Peter J. Barnes, MD
  • 19.
    Macrophages TNF-α IL-8 IL-6 BacteriaViruses Non-infective Pollutants Epithelial cells Oxidative stress Oxidative stress Neutrophils Viêm trong đợt cấp COPD Source: Peter J. Barnes, MD
  • 20.
    CHẨN ĐOÁN Bệnh nhântrên 40 tuổi có các triệu chứng ho, khạc đàm mạn tính, hoặc khó thở, và/hoặc tiền sử tiếp xúc với các yếu tố nguy cơ gây bệnh: - Ho mạn tính: từng đợt hoặc mỗi ngày - Khạc đàm mạn tính: bất kỳ kiểu khạc đàm mạn tính nào. - Khó thở: với các tính chất: tiến triển (xấu dần theo thời gian), dai dẳng (hiện diện mỗi ngày), xấu hơn khi gắng sức và khi có nhiễm trùng đường hô hấp.
  • 21.
  • 22.
    TIỀN SỬ - Tiếpxúc với yếu tố nguy cơ - Tiền sử các bệnh dị ứng, nhiễm trùng hô hấp, bệnh hô hấp khác. - Tiền sử gia đình: COPD và bệnh lý hô hấp mạn tính - Sự tiến triển của các triệu chứng - Tiền sử đợt cấp và những lần nhập viện trước vì bệnh lý hô hấp -Các bệnh đồng phát - Các thuốc điều trị hiện tại - Ảnh hưởng của bệnh lên cuộc sống của bệnh nhân - Điều kiện kinh tế của bệnh nhân - Khả năng giảm các yếu tố nguy cơ, đặc biệt bảng cam kết bỏ thuốc lá
  • 23.
    THĂM KHÁM Nhìn: - Xanhtím da, niêm mạc. - Bệnh nhân nói ngắn hơi, thở nông, chúm môi, kéo dài thì thở ra, co kéo cơ hô hấp phụ khi nghỉ ngơi, biểu hiện rõ nhất ở giai đoạn nặng, nhịp thở thường trên 20 lần/phút. - Lồng ngực căng dãn theo chiều ngang và chiều trước – sau (barrel-shaped chest), các xương sườn nằm ngang, khoang sườn không thay đổi độ rộng theo nhịp thở, cơ hoành hạ thấp - Phù chi dưới.
  • 24.
    THĂM KHÁM Sờ vàgõ - Diện đập của tim khó xác định, bờ trên gan hạ thấp (do ứ khí ở phổi). - Rung thanh: bình thường hoặc giảm - Gõ vang Nghe - Phế âm giảm. - Tiếng tim mờ, nghe rõ ở mũi ức. - Có thể nghe thấy tiếng ran rít, ran ngáy.
  • 25.
  • 26.
    HÔ HẤP KÝ Tiêuchuẩn vàng: FEV1 < 80% và FEV1/FVC <0.7 sau test hồi phục phế quản.
  • 27.
  • 28.
  • 29.
    PHÂN ĐỘ NẶNGTHEO HÔ HẤP KÝ Giai đoạn Chức năng hô hấp sau test hồi phục phế quản FEV1/FVC FEV1 I: Nhẹ <0.7 ≥ 80% II: Trung bình <0.7 50% ≤ FEV1 < 80% III: Nặng <0.7 30% ≤ FEV1 < 50% IV: Rất nặng <0.7 FEV1 < 30% hoặc FEV1 < 50% kèm suy hô hấp mạn
  • 30.
  • 31.
    Test hồi phụcphế quản (Bronchodilator reversibility testing) - Bệnh nhân không nhiễm trùng đường hô hấp, không sử dụng trước đó SABA trong 6 giờ, LABA trong 12 giờ và 24 giờ đối với theophylline phóng thích chậm. - Cách thực hiện: Thuốc được sử dụng qua bình xịt định liều kèm buồng đệm hoặc khí dung. Liều thuốc: 400µg β2-agonist, 160µg anticholinergic, hoặc cả hai. Đo FEV1 lần 1 trước khi dùng thuốc. Sau 10-15 phút (nếu dùng một thuốc) hoặc 30-45 phút (nếu kết hợp), đo lại FEV1. Nếu giá trị này lớn hơn 200ml và 12% so với giá trị trước test, test có ý nghĩa.
  • 32.
    Test hồi phụcphế quản sau corticosteroid - Trong điều trị COPD, corticosteroid thường sử dụng: . thường xuyên có các đợt cấp . hoặc FEV1 cải thiện có ý nghĩa khi dùng corticosteroid. - Thực hiện sau khi sử dụng thuốc dạng hít từ 6-14 tuần. - Nếu độ hồi phục phế quản với ngưỡng trên 200 ml hoặc trên 15% so với trước test là dương tính.
  • 33.
    HÌNH ẢNH HỌC -Căng dãn lồng ngực - Tăng sáng phế trường - Giảm số lượng mạch máu
  • 37.
    ECG - Corpulmonale (RA and RV hypertrophy)
  • 38.
    TIÊN LƯỢNG FEV1 100% khônghút thuốc hay hút thuốc không bị ảnh hưởng ngưng thuốc từ 45t người nhạy cảm thuốc lá ngưng thuốc từ 65t mất khả năng làm việc 75% 50% 25% 45 65 Tuổi