ZELULA AMAK
Unai Egino eta Iñaki Alzu
Landuko diren puntuak:
• Zer dira zeula amak eta bere funtzioak
• Motak
• Faseak
• Ezaugarriak
• Sailkapena
• Erabilgarritasuna
• Arazo etikoak
• Donostiako zelula bankua
Zer dira?
• Zelula-amak organismo zelulanitz
guztietan agertzen diren zelulak dira,
guztiz ezberdindu edo espezializatuak.
Mitosian bidez zatitzeko gaitasuna
dute eta zelula espezifiko edo zelula
ama berriak birsortzen dituzte.
• Beste zelula mota batzuk sortzeko
gaitasuna dute, zelula mota horiekin
giza gorputzeko ehunak eratuz.
• Zelula-amak asimetrikoki zatitzeko gaitasuna dute, bi
zelula -umeren sorrera ahalbidetuz.
• Batek ama zelularen ezaugarri berdinak
(autoberritzea)
• Besteak ingurumeneko baldintza egokiak izanez gero
bereiztu egingo da.
• Organismo heldu baten ehun guztiek izaten dute ama
zelula kopuru bat , hauen berritze periodikoa
ahalbidetzen dutenak edo behar denean birsortzea.
Motak
• Zelula ama totipotenteak: hazi daitezkeen eta
organismo oso bat eratu dezaketen zelula amak dira.
• Zelula ama pluripotenteak: organismo oso bat eratu
ezin duten arren, beste edozein zelula motak ekoiztu
ditzaketenak.
• Zelula ama multipotenteak: bakarrik bere ataleko
zelula motak ekoiztu ditzaketenak
• Zelula ama unipotenteak: bakarrik zelula mota bat
ekoiztu dezaketenak
FASEAK
• 1.-Zigotoko zelula behin eta berriro zatitzen da
gorputzaren zelula guztiak eman arte.
• 2.-Une batean zelula horiek beren kopia identikoak
egiteari utzi egiten diote eta zelula espezializatuak
ematen hasten dira.
• 3.-Zelula mota bakoitzak bere ezaugarriak ditu. Batzuk
elkarrekin hazten dira; beste zelula batzuk
isolamenduan.
• 4.- Zelula-mota horiek talde espezializatuan,
organoetan, egiten dute lan.
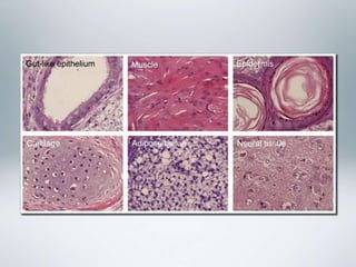
Sailkapena• Ama-zelula helduak:
• Ehun helduetan dauden zelula somatikoak dira.
• Multipotenteak dira, hartzen dituzten ehunetako
zeluletan ezberdindu daitezkeelako.
• Ehun helduetako zelulak berriztatzea da haien lana,
organoak etengabe birsortzeko eta lesioak
konpontzeko.
• Hezur muineko eta zilbor-hesteko zelula ama
helduak jada erabiltzen dira terapietan; leuzemia
artatzeko, adibidez.
• Ama-zelula enbrionarioak:
• Embrioiaren blastozisto (desberdintze prozesurik
hasi ez duten enbrioi goiztiarra) fasearen barneko
masa zelularra da.
• Pluripotenteak.
• Minbizia, diabetesa, bizkarrezur muineko lesioak,
esklerosi anizkoitza eta beste hainbat gaitz sendatu
eta artatzeko erabilgarriak.
• Enbrioietatik hartzen dira; zehatzago
blastozitoetatik.
• IPS Zelulak:
– Zelula ama helduak birus bat erabiliz genetikoki
modifikatu eta desberdintzean atzera eraman
daitezke pluripotentzial bihurtu arte.
– IPS zelulek eutsi egiten diote euren genoman zelula
helduak zireneko oroimenaren zati bati, eta marka
horiek bere horretan geratzen dira edozein ehunetako
zelula bihurtzen direla ere.
–Esperantza handiena: IPS zelulak gaitz
degeneratiboei eta auto-immuneei aurre egiteko
baliatzea.
• Enbrioien zelula amak baino azkarrago
zahartzen direla, heriotza zelularraren tasa
altuagoa dela. Enbrioien zelulak etengabe
bikoizteko eta zelula berriak ateratzeko
daukaten gaitasun horren mailakoak ez
direla.
• Enbrio zelulak ez dira gaixoaren
gorputzekoak, eta gerta daiteke hark ez
onartzea. IPS zelulak oso lagungarri izan
daitezke, ez agian gizakiak klonatzeko,
akats askorekin aterako litzatekeelako,
ERABILGARRITASUNA
ARAZO ETIKOAK
Alde batetik, kristauek enbrioia gizakia dela uste dute
eta zientifikoek ez dute gizaki edo pertsona bezala
hartzen, horregaitik batzuentzat enbrioiak erabiltzea
txarra da eta besteentzat probetsuzkoa da.
DONOSTIAKO ZELULA
BANKUA
•Donostiako zelula bankuan, zelula amak hurrengo
alderdietan erabiltzen dituzte:
1- Muskuluetan ( mesenquimales )
2- Azaleako erreduretan ( epiteliales )
3- Neuronak sortzeko ….. prozesuan daude
http://www.youtube.com/watch?v=EQTdhhplyeI
http://www.youtube.com/watch?v=BVsaPKlC2DE
http://www.youtube.com/watch?v=_TLwdHtaaAg
http://www.youtube.com/watch?v=BlUe1wroNb0
BIBLIOGRAFIA

Zelula amak-zuzenketak.ppt

  • 1.
    ZELULA AMAK Unai Eginoeta Iñaki Alzu
  • 2.
    Landuko diren puntuak: •Zer dira zeula amak eta bere funtzioak • Motak • Faseak • Ezaugarriak • Sailkapena • Erabilgarritasuna • Arazo etikoak • Donostiako zelula bankua
  • 3.
    Zer dira? • Zelula-amakorganismo zelulanitz guztietan agertzen diren zelulak dira, guztiz ezberdindu edo espezializatuak. Mitosian bidez zatitzeko gaitasuna dute eta zelula espezifiko edo zelula ama berriak birsortzen dituzte. • Beste zelula mota batzuk sortzeko gaitasuna dute, zelula mota horiekin giza gorputzeko ehunak eratuz.
  • 4.
    • Zelula-amak asimetrikokizatitzeko gaitasuna dute, bi zelula -umeren sorrera ahalbidetuz. • Batek ama zelularen ezaugarri berdinak (autoberritzea) • Besteak ingurumeneko baldintza egokiak izanez gero bereiztu egingo da. • Organismo heldu baten ehun guztiek izaten dute ama zelula kopuru bat , hauen berritze periodikoa ahalbidetzen dutenak edo behar denean birsortzea.
  • 7.
    Motak • Zelula amatotipotenteak: hazi daitezkeen eta organismo oso bat eratu dezaketen zelula amak dira. • Zelula ama pluripotenteak: organismo oso bat eratu ezin duten arren, beste edozein zelula motak ekoiztu ditzaketenak. • Zelula ama multipotenteak: bakarrik bere ataleko zelula motak ekoiztu ditzaketenak • Zelula ama unipotenteak: bakarrik zelula mota bat ekoiztu dezaketenak
  • 9.
    FASEAK • 1.-Zigotoko zelulabehin eta berriro zatitzen da gorputzaren zelula guztiak eman arte. • 2.-Une batean zelula horiek beren kopia identikoak egiteari utzi egiten diote eta zelula espezializatuak ematen hasten dira. • 3.-Zelula mota bakoitzak bere ezaugarriak ditu. Batzuk elkarrekin hazten dira; beste zelula batzuk isolamenduan. • 4.- Zelula-mota horiek talde espezializatuan, organoetan, egiten dute lan.
  • 10.
    Sailkapena• Ama-zelula helduak: •Ehun helduetan dauden zelula somatikoak dira. • Multipotenteak dira, hartzen dituzten ehunetako zeluletan ezberdindu daitezkeelako. • Ehun helduetako zelulak berriztatzea da haien lana, organoak etengabe birsortzeko eta lesioak konpontzeko. • Hezur muineko eta zilbor-hesteko zelula ama helduak jada erabiltzen dira terapietan; leuzemia artatzeko, adibidez.
  • 12.
    • Ama-zelula enbrionarioak: •Embrioiaren blastozisto (desberdintze prozesurik hasi ez duten enbrioi goiztiarra) fasearen barneko masa zelularra da. • Pluripotenteak. • Minbizia, diabetesa, bizkarrezur muineko lesioak, esklerosi anizkoitza eta beste hainbat gaitz sendatu eta artatzeko erabilgarriak. • Enbrioietatik hartzen dira; zehatzago blastozitoetatik.
  • 14.
    • IPS Zelulak: –Zelula ama helduak birus bat erabiliz genetikoki modifikatu eta desberdintzean atzera eraman daitezke pluripotentzial bihurtu arte. – IPS zelulek eutsi egiten diote euren genoman zelula helduak zireneko oroimenaren zati bati, eta marka horiek bere horretan geratzen dira edozein ehunetako zelula bihurtzen direla ere. –Esperantza handiena: IPS zelulak gaitz degeneratiboei eta auto-immuneei aurre egiteko baliatzea.
  • 15.
    • Enbrioien zelulaamak baino azkarrago zahartzen direla, heriotza zelularraren tasa altuagoa dela. Enbrioien zelulak etengabe bikoizteko eta zelula berriak ateratzeko daukaten gaitasun horren mailakoak ez direla. • Enbrio zelulak ez dira gaixoaren gorputzekoak, eta gerta daiteke hark ez onartzea. IPS zelulak oso lagungarri izan daitezke, ez agian gizakiak klonatzeko, akats askorekin aterako litzatekeelako,
  • 17.
  • 18.
    ARAZO ETIKOAK Alde batetik,kristauek enbrioia gizakia dela uste dute eta zientifikoek ez dute gizaki edo pertsona bezala hartzen, horregaitik batzuentzat enbrioiak erabiltzea txarra da eta besteentzat probetsuzkoa da.
  • 19.
    DONOSTIAKO ZELULA BANKUA •Donostiako zelulabankuan, zelula amak hurrengo alderdietan erabiltzen dituzte: 1- Muskuluetan ( mesenquimales ) 2- Azaleako erreduretan ( epiteliales ) 3- Neuronak sortzeko ….. prozesuan daude
  • 20.