Embed presentation
Download as PDF, PPTX















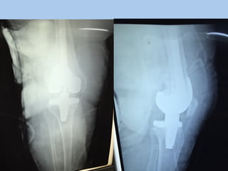
The document discusses a revision total knee replacement (TKR) surgery for a 65-year-old obese patient who had their initial surgery one year ago. They presented with inability to walk or bear weight and an exam finding of instability. Workup included testing for prosthetic joint infection (PJI) which guided intraoperative synovial fluid sampling. During surgery, a fracture was discovered and addressed. Key learning points emphasized preparation, following PJI guidelines, and teamwork.













