Embed presentation
Download to read offline


























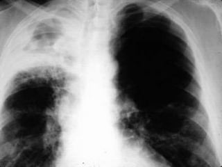
Tuberculosis and meningitis are infectious diseases that can be deadly if not properly treated. Meningitis in particular can kill and its transmission must be controlled through proper distribution methods. The presentation provided an orientation on these diseases and thanked attendees for listening.
























