Stress and Human
Development
OT 513 Prof. White
An interesting story to tell with far too many
chapters (e.g. examples) that get written over
and over again in human history.
Why do we think it insignificant when we don’t care
about the well-being of ALL mothers and children?
General purpose of this next topic is to
convince you of the significance of this question.
First, we need to learn a bit about how the
human brain develops…
• Key principles include:
–Plastic (adaptable)
–Excess neurons initially
–Pruning (cutting back) with purpose
–Windows close but never shut completely
How nurture with nature…
how the environment shapes one’s given genetic
and structural constitution
The
Developing
Human Brain
Source: Adapted from Cowan, 1979.
https://www.youtube.com/watch?v=vyNkAuX29OU
Neurons
• PROLIFERATE: increase in number in the fetus
• MIGRATE: move to various regions of the brain in
the fetus
• DIFFERENTIATE: increase in size, complexity, and
functioning in the infant
The Migration of Neurons via Glial Fiber
(about 24-26 weeks gestation in utero)
John Karapelou/©1998. Reprinted with permission of Discover Magazine.
Neurons (cont’d)
• PRUNE BACK: To only used connections in the
older infant/young child
• CONTINUE: To make new connections
throughout adulthood, but in smaller numbers
than in the child
Two Types of Neural Plasticity
(meaning “change”)
• Experience-expectant:
– neurons begin to grow and differentiate rapidly, adapting to
experiences that are “expected” in development
• Experience-dependent:
– sensitivity of neurons to specific events or experiences,
adapting brain structure in response to new experiences
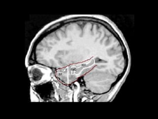
Cross-Section of the Human Brain
Remember the
hypothalamus-
pituitary-adrenal
axis? Hippocampus
Amygdala
Hippocampus
Pituitary
Hippocampus
Amygdala
hypothalamus
Thalamus
Area of
Hypothalamus
and Thalamus
(not shown)
Amygdala
The HPA…
• Produces two critical
hormones/neurohormones/neurotransmitters
1. CRH
2. Cortisol
• Remember …
• Hypothalamus releases CRH to the pituitary
• Then pituitary releases ACTH to the adrenals
• Adrenals then release cortisol into bloodstream for general circulation
• In 15-20 minutes post-stressor, cortisol is in saliva.
• The HPA system is up and running early in
development
• These two---CRH and Cort---become critical in shaping the
brain’s stress response system
(Kirschbaum et al.; Larson, White, Gunnar)
Cortisol, well regulated, looks like:
Dysregulated cortisol expression (not typical) can look
like:
*too high, overall
*too high in evening and night
*too low overall
*too low in am
Blair & Razza (2012) Scientific American Mind. [NIH/NICHD]
 Dysregulation can result in a response then a slow
return to baseline (too high for too long).
 In Blair & Razza’s work –previous slide--Cortisol
levels in saliva tend to follow one of four patterns in
people’s response to stress.
◦ Research indicates that emotional regulation, self-control
and academic performance are tied to the typical pattern,
in which cortisol rises in response to stress and falls again
when the stressor is gone.
◦ Consistently high levels of cortisol as well as blunted
responses to stress are linked with poor self-control and
academic difficulty.
CRH and CORTISOL
Play the largest role in stress brain development.
How do we create that lovely, robust, well-regulated and
adaptive on/off capability?
• EXPERIENCES….but special kinds. 
• On/off capability of the HPA in response to threat
Quick, adaptive responding to
stressors linked to hypothalamus
and hippocampus receptors for CRH/cortisol
• CRH - finds it way into parts of the hippocampus and
the amygdala.
• Why would the hippocampus be aligned with cortisol?
CRH and CORTISOL
• Stressful experiences shape the number and
location of these receptors in the hypothalamus
and hippocampus
oBaby rats and mommy ‘breaks’ that are normative vs
prolonged
oWhat is the important factor? Being away from mom or
mom’s behavior when you return?
• What are normal stressors for babies? What
can we study if human babies react similarly?
Hint….In US, boy babies often have?
• Two studies that helped shape our understanding
of the young stress response system
 Please make sure to check into your
assignments on Canvas and follow
instructions for videos and readings.

Stress and development 1 2015

  • 1.
  • 2.
    An interesting storyto tell with far too many chapters (e.g. examples) that get written over and over again in human history. Why do we think it insignificant when we don’t care about the well-being of ALL mothers and children? General purpose of this next topic is to convince you of the significance of this question.
  • 3.
    First, we needto learn a bit about how the human brain develops… • Key principles include: –Plastic (adaptable) –Excess neurons initially –Pruning (cutting back) with purpose –Windows close but never shut completely
  • 4.
    How nurture withnature… how the environment shapes one’s given genetic and structural constitution
  • 5.
  • 12.
  • 13.
    Neurons • PROLIFERATE: increasein number in the fetus • MIGRATE: move to various regions of the brain in the fetus • DIFFERENTIATE: increase in size, complexity, and functioning in the infant
  • 14.
    The Migration ofNeurons via Glial Fiber (about 24-26 weeks gestation in utero) John Karapelou/©1998. Reprinted with permission of Discover Magazine.
  • 15.
    Neurons (cont’d) • PRUNEBACK: To only used connections in the older infant/young child • CONTINUE: To make new connections throughout adulthood, but in smaller numbers than in the child
  • 17.
    Two Types ofNeural Plasticity (meaning “change”) • Experience-expectant: – neurons begin to grow and differentiate rapidly, adapting to experiences that are “expected” in development • Experience-dependent: – sensitivity of neurons to specific events or experiences, adapting brain structure in response to new experiences
  • 18.
    Cross-Section of theHuman Brain Remember the hypothalamus- pituitary-adrenal axis? Hippocampus Amygdala
  • 19.
  • 20.
  • 22.
    The HPA… • Producestwo critical hormones/neurohormones/neurotransmitters 1. CRH 2. Cortisol • Remember … • Hypothalamus releases CRH to the pituitary • Then pituitary releases ACTH to the adrenals • Adrenals then release cortisol into bloodstream for general circulation • In 15-20 minutes post-stressor, cortisol is in saliva. • The HPA system is up and running early in development • These two---CRH and Cort---become critical in shaping the brain’s stress response system (Kirschbaum et al.; Larson, White, Gunnar)
  • 23.
    Cortisol, well regulated,looks like: Dysregulated cortisol expression (not typical) can look like: *too high, overall *too high in evening and night *too low overall *too low in am
  • 24.
    Blair & Razza(2012) Scientific American Mind. [NIH/NICHD]
  • 25.
     Dysregulation canresult in a response then a slow return to baseline (too high for too long).  In Blair & Razza’s work –previous slide--Cortisol levels in saliva tend to follow one of four patterns in people’s response to stress. ◦ Research indicates that emotional regulation, self-control and academic performance are tied to the typical pattern, in which cortisol rises in response to stress and falls again when the stressor is gone. ◦ Consistently high levels of cortisol as well as blunted responses to stress are linked with poor self-control and academic difficulty.
  • 26.
    CRH and CORTISOL Playthe largest role in stress brain development. How do we create that lovely, robust, well-regulated and adaptive on/off capability? • EXPERIENCES….but special kinds.  • On/off capability of the HPA in response to threat Quick, adaptive responding to stressors linked to hypothalamus and hippocampus receptors for CRH/cortisol • CRH - finds it way into parts of the hippocampus and the amygdala. • Why would the hippocampus be aligned with cortisol?
  • 27.
    CRH and CORTISOL •Stressful experiences shape the number and location of these receptors in the hypothalamus and hippocampus oBaby rats and mommy ‘breaks’ that are normative vs prolonged oWhat is the important factor? Being away from mom or mom’s behavior when you return? • What are normal stressors for babies? What can we study if human babies react similarly? Hint….In US, boy babies often have? • Two studies that helped shape our understanding of the young stress response system
  • 28.
     Please makesure to check into your assignments on Canvas and follow instructions for videos and readings.

Editor's Notes

  • #7 For comparisons…and to anchor you in the research a bit. We wish to know more about how experiences impact brain development, etc. Obviously cannot study this in humans. Look to models in other mammals that have similar structure and physiology…and we can find it in lower primates and rats. Emphasize similarity in social behavior, nurturing young, stress reactions. Emphasize why we must focus on lower primates in research and not higher ones like chimps.
  • #24 Discuss what leads to blunted response….
  • #25 This is in response to stressor. Explain research paradigm for saliva measurements.