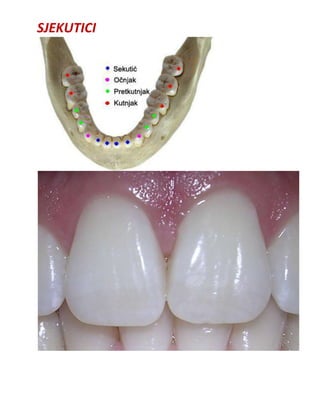
SJEKUTICI
Секутићи
Стални зуби десне половине доњег денталног
лука, поглед одозго
Стални зуби, поглед са десне стране
SJEKUTICI
У сталној дентицији постоји осам секутића, по четири у сваком денталном
луку. То су први и други зуб од медијалне линије (средње линије лица) у сва
четири квадранта и са очњацима чине групу тзв. предњих зуба (лат. dentes
anteriores s. intercanini). Класи секутића припадају:
 први горњи секутић (лат. dens incisivus primus s. medialis superior dexter et
sinister);
 други горњи секутић (лат. dens incisivus secundus s. lateralis superior
dexter et sinister);
 први доњи секутић (лат. dens incisivus primus s. medialis inferior dexter et
sinister);
 други доњи секутић (лат. dens incisivus secundus s. lateralis inferior dexter
et sinister).
Ови зуби обично имају један корен са мезијалним и палатиналним нагибом,
спљоштен у мезиодисталном правцу. Горњи секутићи имају веће круне у
односу на њихове опоненте и горњи централни секутић има највећу круну, а
величина затим прогресивно опада до доњег централног секутића (који је
уједно и најмањи зуб људске дентиције). Сви имају правилан знак угла и
лука, са изузетком првог доњег секутића.
Вестибуларне и оралне површине ових зуба имају облик трапеза са базом у
пределу сечивног гребена, а бочне стране (мезијална и дистална)
облик троугла са базом у вратном делу.
Код већине људи са природним зубиком у положају максималне
интеркуспације (однос денталних лукова који се карактерише највећим
могућим бројем оклузалних контаката) сечивне ивице горњих предњих зуба
преклапају сечивне ивице доњих предњих зуба. Овакав однос се назива
нормалан преклоп. Размак између сечивних ивица зуба по вертикали назива
се вертикални преклоп и износи око 2,5mm, а код предњих зуба јавља се и
благ хоризонтални преклоп.
Код особа са еугнатим односом вилица (I скелетна класа) осовине горњих и
доњих секутића заклапају међусобни угао од 130-135º.
Атрибути класе
Постоји пет карактеристичних обележја по којима се класа секутића
разликује од осталих класа зуба.
SJEKUTICI
 инцизална ивица им је равна и разликује се од оклузалних
површина бочних зуба, где је присутна једна или више квржица.
 на сечивном гребену новоизниклих секутића налате се тзв. кумулуси
(овалне екстензије глеђи) и обично их има три. Они се временом губе,
када секутићи успоставе активну оклузију, међутим могу и да се задрже у
случају нефункционалне оклузије. Кумулуси су раздвојени плитким
браздама и понекад су ирегуларни по облику, броју, изражености и сл.
 положај и нагиб маргиналних гребенова се битно разликује у односу
на бочне зубе. Код класе секутића они чине мезијалну и дисталну
границу лингвалне, а код бочних зуба оклузалне површине. Такође,
маргинални гребенови бочних зуба су постављени под правим углом у
односу на уздужну осовину зуба, а код секутића они су готово паралелни
са осом зуба.
 на оралној површини секутића налази се једна пространа лингвална
јама, за разлику од очњака који има две јаме или бочних зуба који имају
више јамица на гризној површини.
 цингулум је присутан само код предњих зуба. То је конвексни (испупчени)
део оралне површине зуба у средњој и вратној трећини и боље је
изражен код очњака.
Функцијe
Секутићи, као класа имају три главне функције: мастикација, фонетика и
естетика. Они представљају „сечиво“ дентиције, односно учествују у процесу
сечења и резања хране на прикладне комаде, погодне за даљу обраду
(жвакање) на гризним површинама премолара и молара. При томе горњи
секутићи функционишу као фиксно, а доњи као покретно сечиво дентиције.
Они учествују и у изговору неких сугласника: лабиоденталних (ф, в),
денталних (т, д) и лингводенталних (с, ц, з). Такође, својим обликом, бојом,
пропорцијама и распоредом они утичу на изглед (лепоту) осмеха.
SJEKUTICI
Први горњи (централни, мезијални) секутић – dens incisivus primus
superior – је први зуб од медијалне линије у оба горња квадранта људске
дентиције. Постоје два горња централна секутића, која се обележавају на
следећи начин:
 стални горњи десни први секутић – 11;
 стални горњи леви први секутић – 21;
Они контактирају међусобно у пределу медијалне линије (средње линије
лица), а дистално са горњим латералним секутићима. Круна горњег
централног секутића је већа од круне осталих секутића у обе вилице, и
показује правилан знак угла и лука и мезијални нагиб корена. Он оклудира
са оба доња секутића (због већих димензија), а основна улога овог зубa је
одгризање и сечење хране (мастикација), а има и важну фонетску и естетску
функцију (карактеристичну за све предње зубе).
Круна
Круна зубa има облик длета или лопатице и на њој се описује пет површина
(аспеката): лабијална, палатинална, две проксималне (мезијална и
дистална) и инцизална.
Лабијални аспект
Лабијална површина (лат. facies labialis) је правоугаоног или трапезастог
облика, са базом у инцизалном делу (сечивна ивица) и нешто дужим инцизо-
цервикалним промером. Она је конвексна (што се јасно види када се
посматра са проксималног аспекта) са максималним конвекситетом у
вратној трећини лабијалне површине. Од сечивне ивице полазе два плитка
удубљења у правцу врата (мезиолабијална и дистолабијална развојна
депресија) која се губе у средњој трећини. Они деле лабијалну површину на
три сегмента и потичу од првобитне поделе сечивне ивице на три кумулуса.
У вратној трећини уочавају се и тзв. преклопне линије.
Мезијални профил лабијалне површине је благо конвексан или скоро
потпуно раван, са контактном зоном у инцизалној трећини. Дистални профил
је у целости конвексан и краћи је од мезијалног профила, а контактна зона
се налази нешто више према врату зуба. Такође, мезиодистални угао је
мањи од дистоинцизалног (правилан знак угла). Сечивна ивица је равна,
мада може показивати кумулусе (овалне екстензије глеђи) који временом
нестају услед абразије. Цервикална линија је конвексна у апикалном смеру.
Палатинални аспект[
Палатинална површина (лат. facies palatinalis) је трапезастог или
троугластог облика (ужа је у односу на лабијалну), пошто проксималне
површине конвергују орално. У инцизалној и средњој трећини она је
SJEKUTICI
конкавна и показује удубљење које се назива лингвална јама (лат. fossa
lingualis s. dentalis), оивичену маргиналним гребенима, а у вратној трећини је
присутно конвексно испупчење (цингулум). Ове две структуре су понекад
раздвојене лингвогингивалном браздом на којој се налази и foramen
caecum (код латералног секутића), а то је место на коме се често
развија каријес.
Проксимални аспект
Проксималне површине (лат. facies proximales) су троугластог облика, са
базом у вратној трећини. Мезијална страна је нешто већа и равнија у односу
на дисталну, и има већу контактну зону која је локализована ближе сечивној
ивици у инцизалној трећини.
Лабијални профил је у целости конвексан, а палатинални конкаван у
инцизалној и средњој а конвексан у цервикалној трећини (што му даје изглед
латиничног слова S). Инцизални профил је оштар или благо заобљен и
сечивна површина је нагнута орално. Цервикална линија је конвексна у
инцизалном смеру. Највећи конвекситет проксималних површина се налази
у инцизалној трећини, где су локализоване и контактне зоне овоидног
облика.
Инцизални аспект
Посматран из овог аспекта зуб је троугластог облика, са базом коју чини
лабијална површина. Лабијални профил је конвекснији мезијално (правилан
знак лука) и наставља се у проксималне профиле (бочне странице троугла)
које конвергују орално и спајају се у пределу палатиналне површине
(цингулума) која гради врх троугла. Цингулум је нагнут помало дистално, а
поред њега се уочавају и лингвална јама и ивични гребенови.
Врат
Врат зуба (лат. collum dentis) се наставља на круну и показује цервикалну
линију са конвекситетом у апикалном (код лингвалне и палатиналне
површине) и инцизалном смеру (код проксималних површина).
Корен
Корен зуба (лат. radix dentis) је једнокрак, купастог облика и заобљен на
врху. Показује најчешће мезијални нагиб (правилан знак корена), када се
посматра са лингвалног или палатиналног аспекта. Он је за око 50% дужи у
односу на круну и на попречном пресеку је троугластог облика.
Димензије
Први горњи секутић
SJEKUTICI
Мезио-
дистална
ширина
Вестибуло-
орална ширина
Висина
круне
Дужина
корена
Укупна
дужина зуба
8,5 mm 7,0 mm 10,5 mm 13,0 mm 23,5 mm
Развој зуба
Почетак
калцификације
Комплетно
формирана круна
Ницање
(ерупција)
Завршен раст
корена
3 - 4 месеца 4 - 5 година 7 - 8 година 10 година
Варијације
Први горњи секутић показује бројне варијације, које се односе на:
 величину и облик круне,
 израженост лабијалних развојних депресија,
 изглед лабијалног профила са проксималног аспекта,
 број и експресију кумулуса,
 облик и величину цингулума,
 величину корена и др.
SJEKUTICI
Други горњи (латерални, дистални) секутић – dens incisivus
secundus superior - је други зуб од медијалне линије у оба квадранта горњег
денталног лука. Постоје два горња латерална секутића која се обележавају
на следећи начин:
 стални горњи десни други секутић – 12;
 стални горњи леви други секутић – 22.
Својом мезијалном површином он контактира са централним секутићем, а
дистално са очњаком. Други горњи секутић је умањени облик првог и
допуњује га у функцији (мастикација, фонетика и естетика).
Показује правилан знак угла и лука иправилан нагиб корена, а оклудира
са доњим латералним секутићем и доњим очњаком.
Круна
Круна зуба је по облику слична горњем централном секутићу, али је нешто
заобљенија и показује честе варијације, па може да се јави у више
различита облика: облик сличан перли (бисеру), облик сличан очњаку, а
најчешће је ипак слична круни првог секутића. На круни се описује пет
површина (аспеката): лабијална, палатинална, две проксималне и
инцизална.
Лабијани аспект
Лабијална површина (лат. facies labialis) је облика високог трапеза
или правоугаоника, са базом у пределу сечивне ивице. У целости подсећа
на аналогну површину горњег централног секутића, али је нешто мања и
заобљенија. Максимум конвекситета се налази у вратној трећини и више је
изражен мезијално (правилан знак лука). На лабијалној површини се
уочавају и два плитка удубљења (мезиолабијална и дистолабијална
развојна депресија), која полазе од сечивне ивице и завршавају се у средњој
трећини. У вратној трећини могу да се виде тзв. глеђни набори (преклопне
линије), паралелни са цервикалном линијом.
Мезијални профил је конвексан и висина контуре се налази на споју
инцизалне и средње трећине, а дистални профил је сличан, с тим што се
висина контуре налази у средњој трећини. Сечивна ивица је равна, али се
код новоизниклих зуба могу наћи два кумулуса, која нестају када он
успостави активну оклузију. Цервикална линија је конвексна у смеру корена.
SJEKUTICI
Палатинални аспект
Палатинална површина (лат. facies palatinalis) је нешто ужа од лабијалне и
има облик троугла. У инцизалној и средњој трећини она је конкавна и овде
се налази лингвална јама (лат. fossa lingualis s. dentalis), коју ограничавају
мезијални и дистални маргинални гребенови. У цервикалној трећини
палатинална површина је конвексна и гради цингулум, који је израженији у
односу на централни секутић. Између ових структура налази се
хоризонтална лингвогингивална бразда са слепим отвором (лат. foramen
caecum) из кога извире и fissura liguocervicalis и пружа се вертикално ка
дисталном делу врата зубa. Највећи конвекситет палатиналне површине се
налази у пределу цингулума.
Проксимални аспект
Мезијална и дистална проксимална површина (лат. facies mesialis et facies
distalis, s. facies proximalis) су облика троугла са базом у пределу врата зубa.
Мезијална страна је дужа, шира и равнија од дисталне и има већу контактну
област, која се налази у инцизалној трећини (док је код дисталне она
локализована нешто цервикалније).
Лабијални профил је конвексан, а палатинални конкаван у средњој и
инцизалној, а конвексан у цервикалној трећини. Сечивна ивица је оштра или
благо заобљена и нагнута орално.
Инцизални аспект
Са инцизалног аспекта зуб је трапезоидног облика, слично очњаку, са базом
коју чини лабијална површина и врхом у пределу цингулума.
Врат
Врат зубa (лат. collum dentis) се наставља на круну и показује цервикалну
линију са конвекситетом у апикалном (код лингвалне и палатиналне
површине) и инцизалном смеру (код проксималних површина).
Корен
Горњи латерални секутић има један корен, купастог облика. Често показује
уздужну бразду на дисталној површини и на попречном пресеку је овоидног
облика. У поређењу са централним секутићем, нешто је дужи у односу на
висину круне и има оштрији врх, али у принципу личе један на други.
Димензије
Други горњи секутић
Мезио- Вестибуло- Висина Дужина Укупна
SJEKUTICI
дистална
ширина
орална ширина круне корена дужина зуба
6,5 mm 6,0 mm 9,0 mm 13,0 mm 22,0 mm
Развој зуба
Почетак
калцификације
Комплетно
формирана круна
Ницање
(ерупција)
Завршен раст
корена
1 година 4 - 5 година 8 - 9 година 11 година
Варијације
Код овог зубa се среће највећи број варијација и аномалија у читавом
зубику, са изузетком умњака. Често се среће и као прекобројни зуб у вилици.
Од многобројних варијација већина се односи на:
 облик лабијалне контуре,
 облик цингулума,
 облик проксималних површина и
 закривљеност корена.
SJEKUTICI
SJEKUTICI

SJEKUTICI

  • 1.
    SJEKUTICI Секутићи Стални зуби деснеполовине доњег денталног лука, поглед одозго Стални зуби, поглед са десне стране
  • 2.
    SJEKUTICI У сталној дентицијипостоји осам секутића, по четири у сваком денталном луку. То су први и други зуб од медијалне линије (средње линије лица) у сва четири квадранта и са очњацима чине групу тзв. предњих зуба (лат. dentes anteriores s. intercanini). Класи секутића припадају:  први горњи секутић (лат. dens incisivus primus s. medialis superior dexter et sinister);  други горњи секутић (лат. dens incisivus secundus s. lateralis superior dexter et sinister);  први доњи секутић (лат. dens incisivus primus s. medialis inferior dexter et sinister);  други доњи секутић (лат. dens incisivus secundus s. lateralis inferior dexter et sinister). Ови зуби обично имају један корен са мезијалним и палатиналним нагибом, спљоштен у мезиодисталном правцу. Горњи секутићи имају веће круне у односу на њихове опоненте и горњи централни секутић има највећу круну, а величина затим прогресивно опада до доњег централног секутића (који је уједно и најмањи зуб људске дентиције). Сви имају правилан знак угла и лука, са изузетком првог доњег секутића. Вестибуларне и оралне површине ових зуба имају облик трапеза са базом у пределу сечивног гребена, а бочне стране (мезијална и дистална) облик троугла са базом у вратном делу. Код већине људи са природним зубиком у положају максималне интеркуспације (однос денталних лукова који се карактерише највећим могућим бројем оклузалних контаката) сечивне ивице горњих предњих зуба преклапају сечивне ивице доњих предњих зуба. Овакав однос се назива нормалан преклоп. Размак између сечивних ивица зуба по вертикали назива се вертикални преклоп и износи око 2,5mm, а код предњих зуба јавља се и благ хоризонтални преклоп. Код особа са еугнатим односом вилица (I скелетна класа) осовине горњих и доњих секутића заклапају међусобни угао од 130-135º. Атрибути класе Постоји пет карактеристичних обележја по којима се класа секутића разликује од осталих класа зуба.
  • 3.
    SJEKUTICI  инцизална ивицаим је равна и разликује се од оклузалних површина бочних зуба, где је присутна једна или више квржица.  на сечивном гребену новоизниклих секутића налате се тзв. кумулуси (овалне екстензије глеђи) и обично их има три. Они се временом губе, када секутићи успоставе активну оклузију, међутим могу и да се задрже у случају нефункционалне оклузије. Кумулуси су раздвојени плитким браздама и понекад су ирегуларни по облику, броју, изражености и сл.  положај и нагиб маргиналних гребенова се битно разликује у односу на бочне зубе. Код класе секутића они чине мезијалну и дисталну границу лингвалне, а код бочних зуба оклузалне површине. Такође, маргинални гребенови бочних зуба су постављени под правим углом у односу на уздужну осовину зуба, а код секутића они су готово паралелни са осом зуба.  на оралној површини секутића налази се једна пространа лингвална јама, за разлику од очњака који има две јаме или бочних зуба који имају више јамица на гризној површини.  цингулум је присутан само код предњих зуба. То је конвексни (испупчени) део оралне површине зуба у средњој и вратној трећини и боље је изражен код очњака. Функцијe Секутићи, као класа имају три главне функције: мастикација, фонетика и естетика. Они представљају „сечиво“ дентиције, односно учествују у процесу сечења и резања хране на прикладне комаде, погодне за даљу обраду (жвакање) на гризним површинама премолара и молара. При томе горњи секутићи функционишу као фиксно, а доњи као покретно сечиво дентиције. Они учествују и у изговору неких сугласника: лабиоденталних (ф, в), денталних (т, д) и лингводенталних (с, ц, з). Такође, својим обликом, бојом, пропорцијама и распоредом они утичу на изглед (лепоту) осмеха.
  • 4.
    SJEKUTICI Први горњи (централни,мезијални) секутић – dens incisivus primus superior – је први зуб од медијалне линије у оба горња квадранта људске дентиције. Постоје два горња централна секутића, која се обележавају на следећи начин:  стални горњи десни први секутић – 11;  стални горњи леви први секутић – 21; Они контактирају међусобно у пределу медијалне линије (средње линије лица), а дистално са горњим латералним секутићима. Круна горњег централног секутића је већа од круне осталих секутића у обе вилице, и показује правилан знак угла и лука и мезијални нагиб корена. Он оклудира са оба доња секутића (због већих димензија), а основна улога овог зубa је одгризање и сечење хране (мастикација), а има и важну фонетску и естетску функцију (карактеристичну за све предње зубе). Круна Круна зубa има облик длета или лопатице и на њој се описује пет површина (аспеката): лабијална, палатинална, две проксималне (мезијална и дистална) и инцизална. Лабијални аспект Лабијална површина (лат. facies labialis) је правоугаоног или трапезастог облика, са базом у инцизалном делу (сечивна ивица) и нешто дужим инцизо- цервикалним промером. Она је конвексна (што се јасно види када се посматра са проксималног аспекта) са максималним конвекситетом у вратној трећини лабијалне површине. Од сечивне ивице полазе два плитка удубљења у правцу врата (мезиолабијална и дистолабијална развојна депресија) која се губе у средњој трећини. Они деле лабијалну површину на три сегмента и потичу од првобитне поделе сечивне ивице на три кумулуса. У вратној трећини уочавају се и тзв. преклопне линије. Мезијални профил лабијалне површине је благо конвексан или скоро потпуно раван, са контактном зоном у инцизалној трећини. Дистални профил је у целости конвексан и краћи је од мезијалног профила, а контактна зона се налази нешто више према врату зуба. Такође, мезиодистални угао је мањи од дистоинцизалног (правилан знак угла). Сечивна ивица је равна, мада може показивати кумулусе (овалне екстензије глеђи) који временом нестају услед абразије. Цервикална линија је конвексна у апикалном смеру. Палатинални аспект[ Палатинална површина (лат. facies palatinalis) је трапезастог или троугластог облика (ужа је у односу на лабијалну), пошто проксималне површине конвергују орално. У инцизалној и средњој трећини она је
  • 5.
    SJEKUTICI конкавна и показујеудубљење које се назива лингвална јама (лат. fossa lingualis s. dentalis), оивичену маргиналним гребенима, а у вратној трећини је присутно конвексно испупчење (цингулум). Ове две структуре су понекад раздвојене лингвогингивалном браздом на којој се налази и foramen caecum (код латералног секутића), а то је место на коме се често развија каријес. Проксимални аспект Проксималне површине (лат. facies proximales) су троугластог облика, са базом у вратној трећини. Мезијална страна је нешто већа и равнија у односу на дисталну, и има већу контактну зону која је локализована ближе сечивној ивици у инцизалној трећини. Лабијални профил је у целости конвексан, а палатинални конкаван у инцизалној и средњој а конвексан у цервикалној трећини (што му даје изглед латиничног слова S). Инцизални профил је оштар или благо заобљен и сечивна површина је нагнута орално. Цервикална линија је конвексна у инцизалном смеру. Највећи конвекситет проксималних површина се налази у инцизалној трећини, где су локализоване и контактне зоне овоидног облика. Инцизални аспект Посматран из овог аспекта зуб је троугластог облика, са базом коју чини лабијална површина. Лабијални профил је конвекснији мезијално (правилан знак лука) и наставља се у проксималне профиле (бочне странице троугла) које конвергују орално и спајају се у пределу палатиналне површине (цингулума) која гради врх троугла. Цингулум је нагнут помало дистално, а поред њега се уочавају и лингвална јама и ивични гребенови. Врат Врат зуба (лат. collum dentis) се наставља на круну и показује цервикалну линију са конвекситетом у апикалном (код лингвалне и палатиналне површине) и инцизалном смеру (код проксималних површина). Корен Корен зуба (лат. radix dentis) је једнокрак, купастог облика и заобљен на врху. Показује најчешће мезијални нагиб (правилан знак корена), када се посматра са лингвалног или палатиналног аспекта. Он је за око 50% дужи у односу на круну и на попречном пресеку је троугластог облика. Димензије Први горњи секутић
  • 6.
    SJEKUTICI Мезио- дистална ширина Вестибуло- орална ширина Висина круне Дужина корена Укупна дужина зуба 8,5mm 7,0 mm 10,5 mm 13,0 mm 23,5 mm Развој зуба Почетак калцификације Комплетно формирана круна Ницање (ерупција) Завршен раст корена 3 - 4 месеца 4 - 5 година 7 - 8 година 10 година Варијације Први горњи секутић показује бројне варијације, које се односе на:  величину и облик круне,  израженост лабијалних развојних депресија,  изглед лабијалног профила са проксималног аспекта,  број и експресију кумулуса,  облик и величину цингулума,  величину корена и др.
  • 7.
    SJEKUTICI Други горњи (латерални,дистални) секутић – dens incisivus secundus superior - је други зуб од медијалне линије у оба квадранта горњег денталног лука. Постоје два горња латерална секутића која се обележавају на следећи начин:  стални горњи десни други секутић – 12;  стални горњи леви други секутић – 22. Својом мезијалном површином он контактира са централним секутићем, а дистално са очњаком. Други горњи секутић је умањени облик првог и допуњује га у функцији (мастикација, фонетика и естетика). Показује правилан знак угла и лука иправилан нагиб корена, а оклудира са доњим латералним секутићем и доњим очњаком. Круна Круна зуба је по облику слична горњем централном секутићу, али је нешто заобљенија и показује честе варијације, па може да се јави у више различита облика: облик сличан перли (бисеру), облик сличан очњаку, а најчешће је ипак слична круни првог секутића. На круни се описује пет површина (аспеката): лабијална, палатинална, две проксималне и инцизална. Лабијани аспект Лабијална површина (лат. facies labialis) је облика високог трапеза или правоугаоника, са базом у пределу сечивне ивице. У целости подсећа на аналогну површину горњег централног секутића, али је нешто мања и заобљенија. Максимум конвекситета се налази у вратној трећини и више је изражен мезијално (правилан знак лука). На лабијалној површини се уочавају и два плитка удубљења (мезиолабијална и дистолабијална развојна депресија), која полазе од сечивне ивице и завршавају се у средњој трећини. У вратној трећини могу да се виде тзв. глеђни набори (преклопне линије), паралелни са цервикалном линијом. Мезијални профил је конвексан и висина контуре се налази на споју инцизалне и средње трећине, а дистални профил је сличан, с тим што се висина контуре налази у средњој трећини. Сечивна ивица је равна, али се код новоизниклих зуба могу наћи два кумулуса, која нестају када он успостави активну оклузију. Цервикална линија је конвексна у смеру корена.
  • 8.
    SJEKUTICI Палатинални аспект Палатинална површина(лат. facies palatinalis) је нешто ужа од лабијалне и има облик троугла. У инцизалној и средњој трећини она је конкавна и овде се налази лингвална јама (лат. fossa lingualis s. dentalis), коју ограничавају мезијални и дистални маргинални гребенови. У цервикалној трећини палатинална површина је конвексна и гради цингулум, који је израженији у односу на централни секутић. Између ових структура налази се хоризонтална лингвогингивална бразда са слепим отвором (лат. foramen caecum) из кога извире и fissura liguocervicalis и пружа се вертикално ка дисталном делу врата зубa. Највећи конвекситет палатиналне површине се налази у пределу цингулума. Проксимални аспект Мезијална и дистална проксимална површина (лат. facies mesialis et facies distalis, s. facies proximalis) су облика троугла са базом у пределу врата зубa. Мезијална страна је дужа, шира и равнија од дисталне и има већу контактну област, која се налази у инцизалној трећини (док је код дисталне она локализована нешто цервикалније). Лабијални профил је конвексан, а палатинални конкаван у средњој и инцизалној, а конвексан у цервикалној трећини. Сечивна ивица је оштра или благо заобљена и нагнута орално. Инцизални аспект Са инцизалног аспекта зуб је трапезоидног облика, слично очњаку, са базом коју чини лабијална површина и врхом у пределу цингулума. Врат Врат зубa (лат. collum dentis) се наставља на круну и показује цервикалну линију са конвекситетом у апикалном (код лингвалне и палатиналне површине) и инцизалном смеру (код проксималних површина). Корен Горњи латерални секутић има један корен, купастог облика. Често показује уздужну бразду на дисталној површини и на попречном пресеку је овоидног облика. У поређењу са централним секутићем, нешто је дужи у односу на висину круне и има оштрији врх, али у принципу личе један на други. Димензије Други горњи секутић Мезио- Вестибуло- Висина Дужина Укупна
  • 9.
    SJEKUTICI дистална ширина орална ширина крунекорена дужина зуба 6,5 mm 6,0 mm 9,0 mm 13,0 mm 22,0 mm Развој зуба Почетак калцификације Комплетно формирана круна Ницање (ерупција) Завршен раст корена 1 година 4 - 5 година 8 - 9 година 11 година Варијације Код овог зубa се среће највећи број варијација и аномалија у читавом зубику, са изузетком умњака. Често се среће и као прекобројни зуб у вилици. Од многобројних варијација већина се односи на:  облик лабијалне контуре,  облик цингулума,  облик проксималних површина и  закривљеност корена.
  • 10.
  • 11.