Süd vəziləri
Şəhri
Məmmədova,MPF2,
220A3a, Histologiya
İnkişafı
Süd vəzisi toxumasının inkişafı,
embriyolojik dövrdə hər iki cinsiyyətdə də
gerçəkləşməktədir. Ektoderma səthinin
invaginasiyası nəticəsində süd vəzisi
qabarıqlıqları (süd cizgiləri) yaranır.
Bunların sayı bir cütdür. Bu epitel
qalınlaşmalarçndandan çoxlu sayda vəzi
inkişaf edir. Bunlar ventral sətdə qoltuqaltı
bölgədən inquinal bölgəyə (qasıq) doğru
uzanırlar.
Quruluşu
Süd vəziləri subkutan (dərialtı) toxumada yerləşir. Bunların
funksiyası yenidoğulmuşlar üçün qida maddələri ilə zəngin süd
sekresiya etməkdir. Süd vəziləri mürəkkəb borulu-alveollu vəzilərdən
olub, 15-20 lobdan (paydan) meydana gəlmişdir. Loblar bir-birindən
çox hissəsi piy toxumasından meydana gələn sıx birləşdirici
toxumadan ibarət arakəsmələr vasitəsilə ayrılır. Bu payların ozüdə
bölünməyə uğrayaraq, terminal duktal paycıq vahidi olaraq da bilinən
paycıqlara ayrılır. Hər bir süd vəzi laktiferoz kanal (süd kanalı) ilə
sonlanır. Bu kanalların uzunluğu 2-4.5 sm olur. Hər bir kanalın 15-25
por (məsamə) bənzəri açıqlıqları vardır və hər birinin diametri
təxminən 0.5 mm-dir.
Süd vəzisinin müxtəlif mərhələlərdə inkişafı
Bu şəkil süd vəzisinin alveolar
sekrotor şöbəsində və boru
sistemində baş verən
dəyişiklikləri mərhələlərə
uyğun olaraq: hamiləlikdən
əvvəl, hamiləlik ərzində,
hamiləlikdən sonra və
laktasiya dövründə ardıcıl
olaraq göstərir.
1) Süd vəzisi hamiləlikdən əvvəl
inaktivdir. Kiçik boru sistemi və az
miqdarda alveolar sekretor şöbə vardır.
2)Alveolar sekretor şöbə inkişaf edir və
böyüməyə başlayır. 3) Hamiləliyin
ortalarında sekretor şöbə və boru
sistemi genişlənir, boşluqlar yaranmağa
başlayır. 4) Doğuş və laktasiya
dövründə sekretor şöbədə böyük
boşluqlar yaranır və südün
komponentlərini hazırlamaq üçün
maksimum aktivlik göstərir. 5) Laktasiya
dövründən sonra sekretor şöbə və boru
sistemi apaptotik hüceyrə ölümü ilə
geriyə inkişaf edir.
b)Süd istehsal edən vəzinin
sekretor hüceyrələri sütün
şəkillidir və müxtəlif ölçüdə lipid
damlalarına malikdirlər (LD).
Birləşdirici toxumanın (CT)
içərisində kiçik venulalar (V)
vardır.
a) Süd vəzisinin sekretor şöbəsi yalnız
hamiləlik dövründə tamamilə inkişaf edir və
süd hazırlayır. Alveolyar sekretor şöbə (A)
kub şəkilli epiteldən əmələ gəlmişdir və
mioepitelyal hüceyrələrin çıxıntaları ilə
əhatə olunmuşdur (M). Paycıqarası
borucuqlar (D) daxildən epitel ilə
örtülmüşdür və tərkibində sekretor olan və
olmayan hüceyrələr , plazma hüceyrələri
vardır. V venulaları göstərir. L limfositləri
göstərir onlar plazma hüceyrələrə
diferensasiya edərək İg A sintez edirlər.
a) Yetkin lakin hamilə
olmayan fərdin inaktiv süd
vəzisi göstərilmişdir.
Kiçik süd borucuqları və az
miqdarda paycıqları (L) və
yaxşı inkişaf
etməmiş sekretor şöbələri
vardır. Süd vəziləri çox
miqdarda birləşdirici
toxumadan meydana
gəlmişdir və hesab olunur
ki, piy toxumasıdır (CT).
Laktasiya dövründə paycıqlar
genişlənmiş və çıxarıcı
borucuqlar
Sistemi (D) sekretor
şöbələrin (A) mənfəzi südlə
dolmuşdur. Paycıqlararası
birləşdirici toxuma seyrəkdir
və çətin görülür
Hamiləlik dövründə süd
vəziləri borucuqlar
sisteminin sürətli böyüməsi
ilə və hər bir paycığın (L)
sekretor şöbəsinin
genişlənməsi və
budaqlanması ilə aktiv
vəziyyətə keçir. Bu
prepartada adipositlərdə
göstərilmişdir (A), lakin az
miqdardadır.
Burada immunoflürosens
görüntüsü doğumdan iki gün
öncəki siçanın süd vəzisinə
aiddir. Burada mioepitelyal
hüceyrələr göstərilmişdir. Bu
hüceyrələr süd kanallarının
epitel qatı ilə bazal membran
arasında yerləşir. Funksiyası
isə laktasiya zamanı yığılaraq
süd xaric olmasını təmin
etməkdir.
Süd vəzisinin involyusiyası
Menopauzadan sonra süd vəzi alveollarının və kanallarının
ölçülərində azalma baş verir. Həmçinin stromada kollagen və
elastik liflərdə də azalma baş verir. Südlə qidalandırma
dayandıqda hamiləlik dövründə və laktasiya zamanı yaranan
alveollar degenerasiyaya uğrayır. Epitelial hüceyrələr apaptoza
yaxud da avtofaqiyaya uğrayır. Ölmüş hüceyrələr makrofaqlar
tərəfindən aradan qaldırılır. Vəzinin kanal sistemi inaktiv
dövrdəki vəziyyətinə qayıdır.
İstinadlar
1.Michael H. Ross, PhD, Wojciech Pawlina, MD. 2014.
Histoloji konu anlatımı ve atlas
2. Anthony L. Mescher, PhD. Junqueira's Basic Histology, text
and atlas, fourteenth edition

Süd vəziləri

  • 1.
  • 2.
    İnkişafı Süd vəzisi toxumasınıninkişafı, embriyolojik dövrdə hər iki cinsiyyətdə də gerçəkləşməktədir. Ektoderma səthinin invaginasiyası nəticəsində süd vəzisi qabarıqlıqları (süd cizgiləri) yaranır. Bunların sayı bir cütdür. Bu epitel qalınlaşmalarçndandan çoxlu sayda vəzi inkişaf edir. Bunlar ventral sətdə qoltuqaltı bölgədən inquinal bölgəyə (qasıq) doğru uzanırlar.
  • 3.
    Quruluşu Süd vəziləri subkutan(dərialtı) toxumada yerləşir. Bunların funksiyası yenidoğulmuşlar üçün qida maddələri ilə zəngin süd sekresiya etməkdir. Süd vəziləri mürəkkəb borulu-alveollu vəzilərdən olub, 15-20 lobdan (paydan) meydana gəlmişdir. Loblar bir-birindən çox hissəsi piy toxumasından meydana gələn sıx birləşdirici toxumadan ibarət arakəsmələr vasitəsilə ayrılır. Bu payların ozüdə bölünməyə uğrayaraq, terminal duktal paycıq vahidi olaraq da bilinən paycıqlara ayrılır. Hər bir süd vəzi laktiferoz kanal (süd kanalı) ilə sonlanır. Bu kanalların uzunluğu 2-4.5 sm olur. Hər bir kanalın 15-25 por (məsamə) bənzəri açıqlıqları vardır və hər birinin diametri təxminən 0.5 mm-dir.
  • 6.
    Süd vəzisinin müxtəlifmərhələlərdə inkişafı
  • 7.
    Bu şəkil südvəzisinin alveolar sekrotor şöbəsində və boru sistemində baş verən dəyişiklikləri mərhələlərə uyğun olaraq: hamiləlikdən əvvəl, hamiləlik ərzində, hamiləlikdən sonra və laktasiya dövründə ardıcıl olaraq göstərir. 1) Süd vəzisi hamiləlikdən əvvəl inaktivdir. Kiçik boru sistemi və az miqdarda alveolar sekretor şöbə vardır. 2)Alveolar sekretor şöbə inkişaf edir və böyüməyə başlayır. 3) Hamiləliyin ortalarında sekretor şöbə və boru sistemi genişlənir, boşluqlar yaranmağa başlayır. 4) Doğuş və laktasiya dövründə sekretor şöbədə böyük boşluqlar yaranır və südün komponentlərini hazırlamaq üçün maksimum aktivlik göstərir. 5) Laktasiya dövründən sonra sekretor şöbə və boru sistemi apaptotik hüceyrə ölümü ilə geriyə inkişaf edir.
  • 9.
    b)Süd istehsal edənvəzinin sekretor hüceyrələri sütün şəkillidir və müxtəlif ölçüdə lipid damlalarına malikdirlər (LD). Birləşdirici toxumanın (CT) içərisində kiçik venulalar (V) vardır. a) Süd vəzisinin sekretor şöbəsi yalnız hamiləlik dövründə tamamilə inkişaf edir və süd hazırlayır. Alveolyar sekretor şöbə (A) kub şəkilli epiteldən əmələ gəlmişdir və mioepitelyal hüceyrələrin çıxıntaları ilə əhatə olunmuşdur (M). Paycıqarası borucuqlar (D) daxildən epitel ilə örtülmüşdür və tərkibində sekretor olan və olmayan hüceyrələr , plazma hüceyrələri vardır. V venulaları göstərir. L limfositləri göstərir onlar plazma hüceyrələrə diferensasiya edərək İg A sintez edirlər.
  • 11.
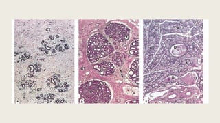
    a) Yetkin lakinhamilə olmayan fərdin inaktiv süd vəzisi göstərilmişdir. Kiçik süd borucuqları və az miqdarda paycıqları (L) və yaxşı inkişaf etməmiş sekretor şöbələri vardır. Süd vəziləri çox miqdarda birləşdirici toxumadan meydana gəlmişdir və hesab olunur ki, piy toxumasıdır (CT). Laktasiya dövründə paycıqlar genişlənmiş və çıxarıcı borucuqlar Sistemi (D) sekretor şöbələrin (A) mənfəzi südlə dolmuşdur. Paycıqlararası birləşdirici toxuma seyrəkdir və çətin görülür Hamiləlik dövründə süd vəziləri borucuqlar sisteminin sürətli böyüməsi ilə və hər bir paycığın (L) sekretor şöbəsinin genişlənməsi və budaqlanması ilə aktiv vəziyyətə keçir. Bu prepartada adipositlərdə göstərilmişdir (A), lakin az miqdardadır.
  • 12.
    Burada immunoflürosens görüntüsü doğumdaniki gün öncəki siçanın süd vəzisinə aiddir. Burada mioepitelyal hüceyrələr göstərilmişdir. Bu hüceyrələr süd kanallarının epitel qatı ilə bazal membran arasında yerləşir. Funksiyası isə laktasiya zamanı yığılaraq süd xaric olmasını təmin etməkdir.
  • 13.
    Süd vəzisinin involyusiyası Menopauzadansonra süd vəzi alveollarının və kanallarının ölçülərində azalma baş verir. Həmçinin stromada kollagen və elastik liflərdə də azalma baş verir. Südlə qidalandırma dayandıqda hamiləlik dövründə və laktasiya zamanı yaranan alveollar degenerasiyaya uğrayır. Epitelial hüceyrələr apaptoza yaxud da avtofaqiyaya uğrayır. Ölmüş hüceyrələr makrofaqlar tərəfindən aradan qaldırılır. Vəzinin kanal sistemi inaktiv dövrdəki vəziyyətinə qayıdır.
  • 14.
    İstinadlar 1.Michael H. Ross,PhD, Wojciech Pawlina, MD. 2014. Histoloji konu anlatımı ve atlas 2. Anthony L. Mescher, PhD. Junqueira's Basic Histology, text and atlas, fourteenth edition