Objectives
  Understand the clinical differences between community
    acquired pneumonia and nosocomial pneumonia and the
    clinical implications of these differences.
     Causes, recognition, treatment, prognosis

  Something about Sepsis
Pneumonia
Definitions
  Pneumonia: An infection of the lung parenchyma

  CAP: Pneumonia acquired outside a hospital or an
    extended care facility

  Nosocomial Pneumonia
      Hospital Acquired Pneumonia
          Ventilator Acquired Pneumonia

      Healthcare acquired pneumonia
PNEUMONIA
  Epidemiology:
                                            Pneumonia & Influenza: 8th
        5.16 to 6.11 cases per 1000         leading cause of death
          persons per year                        Highest in hospitalized
                                                    patients
        4-5 million cases
                                                  23% 30-day mortality
        Mortality: 20.3/100,000

        Seasonal: Winters                     Clin Infect Dis. 2003, 37:
        Race                                  1405-1433
                                                Postgrad Med. 2010;122(2):
        Gender                                130
                                                Natl Vital Stat Rep.
                                                2008;56(10):1
PNEUMONIA
  PATHOGENESIS
    Micro-aspiration of oral particulate and microbial matter
        Host defenses: innate & acquired-defective

        Overwhelming inoculum

        Virulent organism

    Macro-aspiration
    Hematogenous
    Contiguous focus                      Eur Respir J. 2010;36(5):1080
                                            Am Geriatr Soc. 2008;56(4):661
                                            Ann Intern Med. 2010;152(7):418
                                            Eur Respir J. 2010;36(5):1080
PNEUMONIA
  Virulence factors:
      Ciliary function of bronchial epithelium: Chlamydophyla
      Ciliary structure: Mycoplasma
      Tracheal mucous: Influenza
      Proteases against IgA: Streptococcus, N. meningitidis
      Phagocyte resistance: Mycobacterium, Nocardia, Legionella

                                            Eur Respir J. 2010;36(5):1080
                                            Am Geriatr Soc. 2008;56(4):661
                                            Ann Intern Med. 2010;152(7):418
                                            Eur Respir J. 2010;36(5):1080
PNEUMONIA
  Host factors:                 Cystic fibrosis &
                                    Bronchiectasis
      Smoking
                                  COPD
      Alcohol
                                  Uremia
      Hypoxia
                                  Malnutrition
      Alter MS
                                  Ciliary dysfunction
      Acidosis
                                  Immunosuppression
      Obstruction of airway
                                  Splenectomy
                                 Eur Respir J. 2010;36(5):1080
                                 Am Geriatr Soc. 2008;56(4):661
                                 Ann Intern Med. 2010;152(7):418
                                 Eur Respir J. 2010;36(5):1080
PNEUMONIA
  Medications
     Gastric acid suppression
     Antipsychotic
     Inhaled glucocorticoids
     Ach agents


                                  Eur Respir J. 2010;36(5):1080
                                  Am Geriatr Soc. 2008;56(4):661
                                  Ann Intern Med. 2010;152(7):418
                                  Eur Respir J. 2010;36(5):1080
CAP
CAP: Microbiology
Pathogen       Cases (%)

  Streptococcus pneumoniae   20-60   Mycoplasma pneumoniae        1-6


  Haemophilus influenzae     3-10     Chlamydia pneumoniae        4-6


  Staphylococcus aureus      3-5      Viruses 2-15

                                        Aspiration        6-10
  Gram-negative bacilli      3-10
                                        Others 3-5
  Legionella species 2-8


                                                Clin Infect Dis 2003;37:1405-1433.
Severe CAP
  Influenza

  SARS

  Bio-terrorism agents: B. anthracis, Y. Pestis, F. tularensis

  Nursing homes
      Post-pneumonia: St. aureus, GNRs

  Splenectomy
Historical Clues
  Travel:
      Ohio Valley Histoplasmosis
      AZ, CA, NM: Coccidioides

  Bird droppings: Histoplasmosis

  Bat/rodent-droppings: Hanta virus

  Secondary pneumonia
Treatment
  Outpatient versus inpatient

  Comorbidities: COPD, HD, CKD, DM, Cancer

  Duration
Severity of Pneumonia
  PSI/Pneumonia Patient Outcomes Research Team (PORT)
      Higher scores = higher risk categories = higher risk of
        admission if Rx’d as outpatient & higher mortality

      Out-patient Rx for Class I ⅈ observation class III;-
        admission for class IV and V. Reduce admissions by 25-30%

      Limitations

  CURB-65: Confusion, Urea, RR, BP Age > 65

  SCAP
NOSOCOMIAL PNEUMONIA
                  Definitions
  HAP: Pneumonia that occurs 48 hours or more after
    admission and did not appear to be incubating at the time
    of admission
  VAP: Occurs more than 48-72 hours after endotracheal
    intubation
  HCAP: non hospitalized patients with extensive
    healthcare contact (IV Rx, wound care, chemo; nursing
    home resident; long-term care facility resident; out of
    hospital in an acute care hospital for two or more days; at
    hospital/dialysis clinic within prior 30 days
HAP
Epidemiology
  4-7 cases/1000 hospitalization

  13-18 % of all nosocomial infections

  Leading cause of death among nosocomial infections:
    20-50% mortality




                                Respir Care. 1994;39(12):1191
                                Am J Respir Crit Care Med. 2005;171(4):388
                                Infect Dis Clin North Am. 2004;18(4):939
Pathogenesis
  Colonization: 75% colonized within 48 hours
  Virulence, Inoculum amount, Host response
  Intubated patients: colonization; oral secretions;
    equipment

  Gastric sterility
  Inhalation of infectious aerosols

  Bacteremia from a distant focus
                                Respir Care. 2005;50(6):725
                                Am J Respir Crit Care Med. 1997;156(5):1647
Microbiology
  Similar flora: HAP & VAP?

  Infect Control Hosp Epidemiol. 2007;28(7):825.
      VAP: MSSA (9%), MRSA (18%), P. aeruginosa (18%), St.
        maltophilia (7%), Acinetobacter (8%)
      HAP: GNR less likely. MRSA (20%), P. aeruginosa (8%),




                                Clin Infect Dis. 2010 Aug;51 Suppl 1:S81-7
MDR
  Risk factors:
      Abx last 90 days
      Hospitalization >= 5 days
      High frequency of Abx-resistance in community or specific
        hospital/unit
      Immunosuppression
      HCAP
      Poor functional status
Diagnosis
  Fever

  Purulent Sputum

  Leukocytosis

  Decrease in oxygenation

&

  New or progressive radiographic infiltrates

  Autopsy: 69% Sensitivity; 75% Specificity
VAP
Epidemiology & Presentation
   A type of nosocomial pneumonia which develops 48 hours
     after mechanical ventilation instituted
   Incidence 10-25%
   Mortality 25-50%
   Presentation:
       New or progressive infiltrates and one of the following:
       Fever, purulent secretions, WBCs
       A change in ventilator mechanics: increased RR, decreased Vt,
         increased Ve and decreased oxygenation.
Diagnosis
  Radiographs: 40% of patients with Xray diagnosis of
    VAP had Pneumonia at autopsy

  Respiratory sampling:
      Tracheobronchial sampling
      Mini-BAL
      Bronchoscopic sampling
          BAL
          Protected Brush
Bronchoscopic & Non-Bronchoscopic
             Samples
  Minimizes contamination of alveolar specimen

  Accurate assessment of cellularity

  Narrows antibiotics regimen

  De-escalation of anti-microbial therapy

  Reduce Abx-resistance

  No effect on mortality, LOS, LO-MV
                                 Crit Care Med. 2005;33(1):46
                                 Crit Care Med. 2004;32(11):2183
                                 Am J Respir Crit Care Med. 1998;157(2):371
                                 Ann Intern Med. 2000;132(8):621
Diagnosis: VAP
    Microbiology:
          Gram Stain:
                Abundant Neutrophils: < 50% Neutrophils excludes VAP

                Type of bacteria

          Quantitative cultures

                Tracheobronchial aspiration: 106 cfu

                BAL: 104 cfu

                Protected brushes: 103 cfu

    Semi-quantitative Cultures:
          “Heavy”, “moderate”, “light” or “No growth”
Biological Markers
  PROCALCITONIN
       Origin: Probable evolutionary protection against bacterial infection

       Robust data:

             Decrease in use of and length of Abx

             Increasing values: septic shock and higher mortality

             Decreasing PCT: de-escalate ABx

       High PCTs exclude viral infection (except co-infection)

       Possibly:

             Low PCT may mean bacterial infection unlikely
Other Diagnostics
  Clinical Pulmonary Infection Score (CPIS)
        Temperature, WBC, Tracheal secretions, Oxygenation,
          CXR, Progression of pulmonary infiltrates, Tracheal
          Cultures

     Score > 6
     Sensitivity 60%, Specificity 59%

  CRP
  Lung Biopsy
Diagnostic criteria
  MV > 48 hours

  New or progressive infiltrates

  +ve respiratory specimen:
      Neutrophilic cells
      Threshold culture
SEPSIS
Definitions
  SIRS:
     Generic term.
     May have its cause in non-infectious conditions
     Temperature, HR, RR/PCO2, WBC

  Sepsis: Systemic inflammation which is
    caused by an infection
Definitions
  Severe Sepsis:
     Sepsis with hypoperfusion
     Skin, nailbed, UO, MS changes

  Septic Shock with low BP despite adequate fluid
    resuscitation

  Refractory Shock

  MOD: PF ration, Creatinine, GCS
CASES
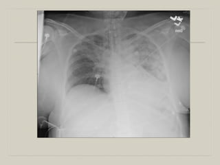
Case 1
    49-year-old WF h/o bipolar disorder, conversion disorder, found unresponsive at
      home. Before intubation in the field, she had a large emesis. She remained
      unresponsive and her pupils were dilated up on her initial evaluation according to the
      ER physician. In the emergency room, she became hypotensive and received several
      boluses of fluid.

    Temp 96.4. BP 74/54 HR 92

    CBC 11.7, 14.8/46, 232

    Chem: 133/3.9, 101/20, 10/0.93, 140

    Lactate 3.7

    ABG: 7.29, 46, 170 on 100% O2

    4 liters of fluid later, SBP 80, HR 80
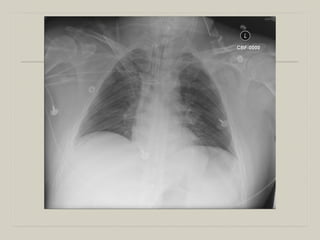
Case 2
  84 BM (DM, AF, CAD ESRD on PD) in & out of hospitals
    with peritonitis now admitted with peritonitis. He has an altered
    MS, intubated for 4 days. Antibiotcs. He returns to the ICU
    with fever 101F, altered MS, respiratory difficulty and is
    intubated.

  Temp 101F, BP 80/-, HR 99.

  PaO2/FiO2 200
  WBC 3.2 Hgb 8 gm/dl, Plt 23K.
  Bronchosocpy with BAL: GNR 105 cfu.
Case 3
  30 HM quadriplegic, otherwise in good health comes with
    altered MS

  Exam: Febrile, BP 101/- HR 130, abdomen distended

  Soon after, hypotensive. Belly firm. IAP: 40. UO drops
    off from 30/hr to 10/hr. WBC 15k. Creatinine 1.6
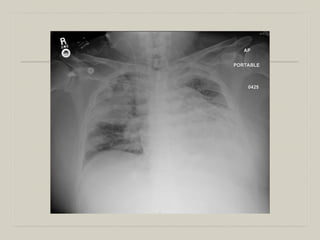
Case 4
  32 WF with ESRD on HD through a Permcath admitted with AMS.

  Temp 102.3. BP 82/32. HR 130, RR 30

  CBC 11.4, 9/36, 55

  ABG 7.2, 9, 34 on 28% O2
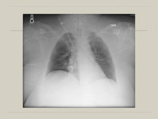
Case 5
  70 WM with Stage 1 Sqamous Cell Cancer admitted to
    ICU post-op after LUL resection – hypercapnic,
    supported with BiPAP. On Day 3, he is worse:
WBC 25K
Temp 101.3
Intubated and bronched.
Not much secretions
PCT 3
Thanks

Pneumonia

  • 1.
    Objectives   Understand theclinical differences between community acquired pneumonia and nosocomial pneumonia and the clinical implications of these differences.   Causes, recognition, treatment, prognosis   Something about Sepsis
  • 2.
  • 3.
    Definitions   Pneumonia: Aninfection of the lung parenchyma   CAP: Pneumonia acquired outside a hospital or an extended care facility   Nosocomial Pneumonia   Hospital Acquired Pneumonia   Ventilator Acquired Pneumonia   Healthcare acquired pneumonia
  • 4.
    PNEUMONIA   Epidemiology:   Pneumonia & Influenza: 8th   5.16 to 6.11 cases per 1000 leading cause of death persons per year   Highest in hospitalized patients   4-5 million cases   23% 30-day mortality   Mortality: 20.3/100,000   Seasonal: Winters Clin Infect Dis. 2003, 37:   Race 1405-1433 Postgrad Med. 2010;122(2):   Gender 130 Natl Vital Stat Rep. 2008;56(10):1
  • 5.
    PNEUMONIA   PATHOGENESIS   Micro-aspiration of oral particulate and microbial matter   Host defenses: innate & acquired-defective   Overwhelming inoculum   Virulent organism   Macro-aspiration   Hematogenous   Contiguous focus Eur Respir J. 2010;36(5):1080 Am Geriatr Soc. 2008;56(4):661 Ann Intern Med. 2010;152(7):418 Eur Respir J. 2010;36(5):1080
  • 6.
    PNEUMONIA   Virulence factors:   Ciliary function of bronchial epithelium: Chlamydophyla   Ciliary structure: Mycoplasma   Tracheal mucous: Influenza   Proteases against IgA: Streptococcus, N. meningitidis   Phagocyte resistance: Mycobacterium, Nocardia, Legionella Eur Respir J. 2010;36(5):1080 Am Geriatr Soc. 2008;56(4):661 Ann Intern Med. 2010;152(7):418 Eur Respir J. 2010;36(5):1080
  • 7.
    PNEUMONIA   Host factors:   Cystic fibrosis & Bronchiectasis   Smoking   COPD   Alcohol   Uremia   Hypoxia   Malnutrition   Alter MS   Ciliary dysfunction   Acidosis   Immunosuppression   Obstruction of airway   Splenectomy Eur Respir J. 2010;36(5):1080 Am Geriatr Soc. 2008;56(4):661 Ann Intern Med. 2010;152(7):418 Eur Respir J. 2010;36(5):1080
  • 8.
    PNEUMONIA   Medications   Gastric acid suppression   Antipsychotic   Inhaled glucocorticoids   Ach agents Eur Respir J. 2010;36(5):1080 Am Geriatr Soc. 2008;56(4):661 Ann Intern Med. 2010;152(7):418 Eur Respir J. 2010;36(5):1080
  • 9.
  • 10.
    CAP: Microbiology Pathogen Cases (%)   Streptococcus pneumoniae 20-60   Mycoplasma pneumoniae 1-6   Haemophilus influenzae 3-10   Chlamydia pneumoniae 4-6   Staphylococcus aureus 3-5   Viruses 2-15   Aspiration 6-10   Gram-negative bacilli 3-10   Others 3-5   Legionella species 2-8 Clin Infect Dis 2003;37:1405-1433.
  • 11.
    Severe CAP   Influenza  SARS   Bio-terrorism agents: B. anthracis, Y. Pestis, F. tularensis   Nursing homes   Post-pneumonia: St. aureus, GNRs   Splenectomy
  • 12.
    Historical Clues   Travel:   Ohio Valley Histoplasmosis   AZ, CA, NM: Coccidioides   Bird droppings: Histoplasmosis   Bat/rodent-droppings: Hanta virus   Secondary pneumonia
  • 13.
    Treatment   Outpatient versusinpatient   Comorbidities: COPD, HD, CKD, DM, Cancer   Duration
  • 14.
    Severity of Pneumonia  PSI/Pneumonia Patient Outcomes Research Team (PORT)   Higher scores = higher risk categories = higher risk of admission if Rx’d as outpatient & higher mortality   Out-patient Rx for Class I &II; observation class III;- admission for class IV and V. Reduce admissions by 25-30%   Limitations   CURB-65: Confusion, Urea, RR, BP Age > 65   SCAP
  • 15.
    NOSOCOMIAL PNEUMONIA Definitions   HAP: Pneumonia that occurs 48 hours or more after admission and did not appear to be incubating at the time of admission   VAP: Occurs more than 48-72 hours after endotracheal intubation   HCAP: non hospitalized patients with extensive healthcare contact (IV Rx, wound care, chemo; nursing home resident; long-term care facility resident; out of hospital in an acute care hospital for two or more days; at hospital/dialysis clinic within prior 30 days
  • 16.
  • 17.
    Epidemiology   4-7 cases/1000hospitalization   13-18 % of all nosocomial infections   Leading cause of death among nosocomial infections: 20-50% mortality Respir Care. 1994;39(12):1191 Am J Respir Crit Care Med. 2005;171(4):388 Infect Dis Clin North Am. 2004;18(4):939
  • 18.
    Pathogenesis   Colonization: 75%colonized within 48 hours   Virulence, Inoculum amount, Host response   Intubated patients: colonization; oral secretions; equipment   Gastric sterility   Inhalation of infectious aerosols   Bacteremia from a distant focus Respir Care. 2005;50(6):725 Am J Respir Crit Care Med. 1997;156(5):1647
  • 19.
    Microbiology   Similar flora:HAP & VAP?   Infect Control Hosp Epidemiol. 2007;28(7):825.   VAP: MSSA (9%), MRSA (18%), P. aeruginosa (18%), St. maltophilia (7%), Acinetobacter (8%)   HAP: GNR less likely. MRSA (20%), P. aeruginosa (8%), Clin Infect Dis. 2010 Aug;51 Suppl 1:S81-7
  • 20.
    MDR   Risk factors:   Abx last 90 days   Hospitalization >= 5 days   High frequency of Abx-resistance in community or specific hospital/unit   Immunosuppression   HCAP   Poor functional status
  • 21.
    Diagnosis   Fever   PurulentSputum   Leukocytosis   Decrease in oxygenation &   New or progressive radiographic infiltrates   Autopsy: 69% Sensitivity; 75% Specificity
  • 22.
  • 23.
    Epidemiology & Presentation   A type of nosocomial pneumonia which develops 48 hours after mechanical ventilation instituted   Incidence 10-25%   Mortality 25-50%   Presentation:   New or progressive infiltrates and one of the following:   Fever, purulent secretions, WBCs   A change in ventilator mechanics: increased RR, decreased Vt, increased Ve and decreased oxygenation.
  • 24.
    Diagnosis   Radiographs: 40%of patients with Xray diagnosis of VAP had Pneumonia at autopsy   Respiratory sampling:   Tracheobronchial sampling   Mini-BAL   Bronchoscopic sampling   BAL   Protected Brush
  • 25.
    Bronchoscopic & Non-Bronchoscopic Samples   Minimizes contamination of alveolar specimen   Accurate assessment of cellularity   Narrows antibiotics regimen   De-escalation of anti-microbial therapy   Reduce Abx-resistance   No effect on mortality, LOS, LO-MV Crit Care Med. 2005;33(1):46 Crit Care Med. 2004;32(11):2183 Am J Respir Crit Care Med. 1998;157(2):371 Ann Intern Med. 2000;132(8):621
  • 26.
    Diagnosis: VAP   Microbiology:   Gram Stain:   Abundant Neutrophils: < 50% Neutrophils excludes VAP   Type of bacteria   Quantitative cultures   Tracheobronchial aspiration: 106 cfu   BAL: 104 cfu   Protected brushes: 103 cfu   Semi-quantitative Cultures:   “Heavy”, “moderate”, “light” or “No growth”
  • 27.
    Biological Markers   PROCALCITONIN   Origin: Probable evolutionary protection against bacterial infection   Robust data:   Decrease in use of and length of Abx   Increasing values: septic shock and higher mortality   Decreasing PCT: de-escalate ABx   High PCTs exclude viral infection (except co-infection)   Possibly:   Low PCT may mean bacterial infection unlikely
  • 28.
    Other Diagnostics   ClinicalPulmonary Infection Score (CPIS)   Temperature, WBC, Tracheal secretions, Oxygenation, CXR, Progression of pulmonary infiltrates, Tracheal Cultures   Score > 6   Sensitivity 60%, Specificity 59%   CRP   Lung Biopsy
  • 29.
    Diagnostic criteria   MV> 48 hours   New or progressive infiltrates   +ve respiratory specimen:   Neutrophilic cells   Threshold culture
  • 31.
  • 32.
    Definitions   SIRS:   Generic term.   May have its cause in non-infectious conditions   Temperature, HR, RR/PCO2, WBC   Sepsis: Systemic inflammation which is caused by an infection
  • 33.
    Definitions   Severe Sepsis:   Sepsis with hypoperfusion   Skin, nailbed, UO, MS changes   Septic Shock with low BP despite adequate fluid resuscitation   Refractory Shock   MOD: PF ration, Creatinine, GCS
  • 34.
  • 35.
    Case 1   49-year-old WF h/o bipolar disorder, conversion disorder, found unresponsive at home. Before intubation in the field, she had a large emesis. She remained unresponsive and her pupils were dilated up on her initial evaluation according to the ER physician. In the emergency room, she became hypotensive and received several boluses of fluid.   Temp 96.4. BP 74/54 HR 92   CBC 11.7, 14.8/46, 232   Chem: 133/3.9, 101/20, 10/0.93, 140   Lactate 3.7   ABG: 7.29, 46, 170 on 100% O2   4 liters of fluid later, SBP 80, HR 80
  • 37.
    Case 2   84BM (DM, AF, CAD ESRD on PD) in & out of hospitals with peritonitis now admitted with peritonitis. He has an altered MS, intubated for 4 days. Antibiotcs. He returns to the ICU with fever 101F, altered MS, respiratory difficulty and is intubated.   Temp 101F, BP 80/-, HR 99.   PaO2/FiO2 200   WBC 3.2 Hgb 8 gm/dl, Plt 23K.   Bronchosocpy with BAL: GNR 105 cfu.
  • 39.
    Case 3   30HM quadriplegic, otherwise in good health comes with altered MS   Exam: Febrile, BP 101/- HR 130, abdomen distended   Soon after, hypotensive. Belly firm. IAP: 40. UO drops off from 30/hr to 10/hr. WBC 15k. Creatinine 1.6
  • 41.
    Case 4   32WF with ESRD on HD through a Permcath admitted with AMS.   Temp 102.3. BP 82/32. HR 130, RR 30   CBC 11.4, 9/36, 55   ABG 7.2, 9, 34 on 28% O2
  • 43.
    Case 5   70WM with Stage 1 Sqamous Cell Cancer admitted to ICU post-op after LUL resection – hypercapnic, supported with BiPAP. On Day 3, he is worse:
  • 44.
    WBC 25K Temp 101.3 Intubatedand bronched. Not much secretions PCT 3
  • 46.