PERFUSION EMERGENCIES
• Accidents or mishaps occurring during CPB can quickly evolve
into life-threatening emergencies .
• Fortunately, major perfusion accidents occur infrequently and
are rarely associated with permanent injury or death.
• However, all members of the cardiac surgery team must be
able to respond to perfusion emergencies to limit the
likelihood of perfusion-related disasters.
Perfusion Emergencies
 Arterial cannula malposition
 Aortic dissection
 Massive air embolism
Systemic or coronary air embolism
 Venous air lock
 Reversed cannulation
 Inadequate heparinization (low ACT)
Inadequate venous drainage
Perfusion Emergencies
 Ventricular distention
Air entry into the venous lines
 Inadequate systemic pressure
 Inadequate systemic oxygenation
 High arterial line pressure
 Inadequate retrograde cardioplegia delivery
Cold agglutinins
etc……………
Arterial Cannula Malposition
• Ascending aortic cannulae can be malpositioned such that the outflow jet is
directed primarily into
• the innominate artery
• the left common carotid artery (rare)
• the left subclavian artery (rare)
• Hypotension alone is not significant evidence to establish a diagnosis of
arterial cannula malposition
• On initiation of CPB and periodically thereafter, it is advisable to inspect the
face for color change and edema, rhinorrhea, or otorrhea and to palpate the
neck with onset of cooling for temperature asymmetry.
Two other arterial cannula malpositions are possible:
• Abutment of the cannula tip against the aortic intima: results in
high line pressure, poor perfusion, or even acute dissection when CPB
is initiated
• Cannula tip directed caudally toward the aortic valve : may result in
acute aortic insufficiency, with sudden left ventricular distention and
systemic hypoperfusion on bypass.
• If the aortic inflow cannula is soft, aortic cross-clamping will occlude
the arterial perfusion line, which can rupture the aortic inflow line.
• Suspicion of any cannula malposition must be brought to the
attention of the surgeon immediately.
Arterial Cannula Malposition
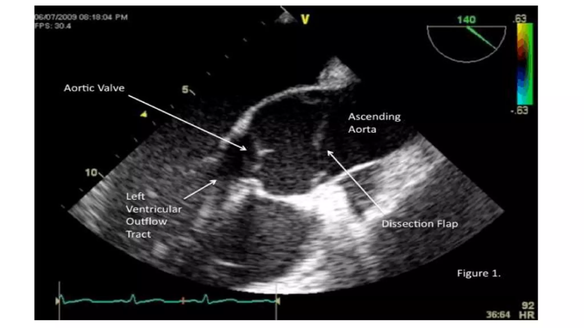
Aortic or Arterial Dissection
• Signs of arterial dissection, are often similar to those of cannula
malposition and must be sought continuously, especially on
initiation of CPB.
Dissection may originate at the
Cannulation site
Aortic crossclamp site
Proximal vein graft anastomotic site
Partial occlusion (side-biting) clamp site
• Dissections are due to intimal disruption or, more distally, to
fracture of atherosclerotic plaque.
• In either case, some systemic arterial blood flow becomes
extraluminal, being forced into the arterial wall.
• The dissection propagates mostly in the direction of the systemic
flow, but not exclusively.
• Extraluminal blood compresses the luminal origins (take-offs) of
major arterial branches such that vital organs (heart, brain,
kidney, intestinal tract, spinal cord) may become ischemic.
• Because systemic perfusion may be low, and origins of the
innominate and subclavian arteries may be compressed,
probably the best sign of arterial dissection is persistently low
systemic arterial pressure.
• Venous drainage to the pump decreases (blood is
sequestered), and arterial inflow “line pressure” is usually
inappropriately high.
• The surgeon may see the dissection if it involves the
anterior or lateral ascending aorta (bluish discoloration), or
both.
• It is possible the surgeon may not see any sign of dissection
because the dissection is out of view (e.g., posterior ascending
aorta, aortic arch, descending aorta).
• Dissection can occur at any time before, during, or after CPB.
• As with cannula malposition, a suspicion of arterial dissection
must be brought to the attention of the surgeon.
• The anesthesiologist must not assume that something is suddenly
wrong with the arterial pressure transducer but should “think
dissection.”
• After a dissection of the ascending aorta is diagnosed, immediate
steps to minimize propagation must be taken.
• If it has occurred before CPB, the anesthesiologist should take steps
to reduce MAP and the rate of increase of aortic pressure (dP/dt).
• If it occurs during CPB, pump flow and MAP are reduced to the
lowest acceptable levels.
• Arterial perfusate frequently is cooled to profound levels (14° C
to 19° C) as rapidly as possible to decrease metabolic demand
and protect vital organs.
• A different arterial cannulation site is prepared (e.g., the femoral
artery is cannulated or the true aortic lumen is cannulated at a
site more distal on the aortic arch).
• Arterial inflow is shifted to that new site with the intent that
perfusing the true aortic lumen will reperfuse vital organs.
• The ascending aorta is cross-clamped just below the
innominate artery, and cardioplegia is administered (into the
coronary ostia or coronary sinus).
• The aorta is opened to expose the site of disruption, which is
then resected and replaced.
• With small dissections it is sometimes possible to avoid open repair by
application of a partial occlusion clamp with plication of the dissection
and exclusion of the intimal disruption.
• Troianos et al described three cases of arterial dissection during CPB in
which TEE was found useful.
• Although provisional diagnoses were made on the basis of traditional
signs, TEE allowed assessment of the origin and extent of dissection.
• Arterial dissections originating from femoral cannulation also
necessitate reductions in arterial pressure, systemic flow, and
temperature.
• If the operation is near completion, the heart may be
transfused and CPB discontinued; otherwise, the aortic arch
must be cannulated and adequate systemic perfusion restored
to allow completion of the operation.
Massive Arterial Gas Embolus
• Macroscopic gas embolus is a rare but disastrous CPB
complication
• The current incidence probably is lower because of the
widespread use of reservoir level alarms and other bubble
detection devices.
• Between 20% and 30% of affected patients died immediately,
with another 30% having transient or nondebilitating neurologic
deficits, or both.
 Circumstances that most commonly contributed to these events
are
• Inattention to oxygenator blood level
• Reversal of LV vent flow
• Unexpected resumption of cardiac ejection in a previously
opened heart
 Rupture of a pulsatile assist device or intra-aortic balloon pump
also may introduce large volumes of gas into the arterial
circulation.
• The pathophysiology of cerebral gas embolism (macroscopic and microscopic) is
not well understood.
• Tissue damage after gas embolization is initiated from simple mechanical
blockage of blood vessels by bubbles.
• Although gas emboli may be absorbed or pass through the circulation within 1
to 5 minutes, the local reaction of platelets and proteins to the blood/gas
interface or endothelial damage is thought to potentiate microvascular stasis,
prolonging cerebral ischemia to the point of infarction.
• Areas of marginal perfusion, such as arterial boundary
zones, do not clear gas emboli as rapidly as well perfused
zones, producing patterns of ischemia or infarction difficult
to distinguish from those caused by hypotension or
particulate emboli
Recommended treatment for massive arterial gas embolism
includes
• immediate cessation of CPB
• aspiration of as much gas as possible from the aorta and heart
• assumption of steep trendelenburg position
• clearance of air from the arterial perfusion line
• After resumption of CPB, treatment continues with
implementation or deepening of hypothermia (18° C to 27° C)
during completion of the operation and clearance of gas from
the coronary circulation before emergence from CPB.
• In many reports of patients suffering massive arterial gas
embolus, seizures occurred after surgery and were treated
with anticonvulsants.
• Because seizures after ischemic insults are associated with
poor outcomes, perhaps because of hypermetabolic effects,
prophylactic phenytoin seems reasonable
• Hypotension has been shown to lengthen the residence
time of cerebral air emboli and worsen the severity of
resulting ischemia.
• Maintenance of moderate hypertension is reasonable and
clinically attainable to hasten clearance of emboli from the
circulation and, hopefully improve neurologic outcome
• Many clinicians have reported dramatic neurologic recovery
when hyperbaric therapy is used for arterial gas embolism, even
if delayed up to 26 hours after the event.
• Spontaneous recovery from air emboli also has been reported
• It seems reasonable to expect that institutions that do cardiac
surgery should have policies regarding catastrophic air
embolism.
Systemic or coronary air embolism
• Systemic or coronary air embolism is always a possibility upon
termination of bypass when there has been intracardiac entry,
but its occurrence during bypass is a catastrophic problem.
• Careful attention to deairing of the left heart chambers is
important when there has been intracardiac entry (valve
surgery) or active intracardiac or root venting.
• Ventilating the lungs, restricting venous return, and/or
stopping vent return should be performed to evacuate air prior
to closing the left atrium, left ventricle, or aorta.
• Carbon dioxide flooding of the field may minimize the amount
of air retained during intracardiac procedures.
Air bubbles seen on echocardiography
• Active root venting upon termination of bypass is mandatory
to evacuate any ejected air, but it is not uncommon for some air to
pass down the right coronary artery or an aortocoronary venous
bypass graft and cause right ventricular dysfunction upon weaning
from bypass.
• This problem usually resolves quickly, but bypass should be
reinstituted if hemodynamics are compromised.
• TEE monitoring is the best means of identifying retained air as the
heart is weaned from bypass.
Air bubbles seen on TEE
• Systemic air embolism occurring during CPB is usually related to
inattention to the venous reservoir level in open circuits with
delivery of air through a rollerpumphead. It may also occur with
use of vacuum-assisted drainage.
• Air embolism may also occur on bypass when the aorta is not
clamped and air trapped in the left heart is ejected when the
pressure generated by the left ventricle exceeds that in the aorta.
• Significant air embolism requires cessation of bypass with
immediate venting of air from the aorta with a needle or
through a stopcock on the aortic line and then removal of air
from the bypass circuit
• Ventilation with 100% oxygen, steep
trendelenburg position, and retrograde SVC
perfusion should be used to try to eliminate air from the
cerebral circulation.
• Steroids, barbiturates, and reinstitution of bypass with deep
hypothermia may also reduce the degree of cerebral injury.
• Systemic air embolism may occur if there is air entry into the
inflow drainage lines of an assist device, because there is no
reservoir or means available for venting or filtration of the air.
• The air will fragment and be pumped back into the arterial
system.
Reversed Cannulation
• In this case, the venous outflow limb of the CPB circuit is incorrectly
connected to the arterial inflow cannula and the arterial perfusion
limb of the circuit is attached to the venous cannula.
• On initiation of CPB, blood is removed from the arterial circulation
and returned to the venous circulation at high pressure.
• Arterial pressure is found to be extremely low by palpation and
arterial pressure monitoring.
• Very low arterial pressures also can (more commonly) be caused by
dissection in the arterial tree.
• In the latter case, the perfusionist will rapidly lose volume, whereas
with reversed cannulation, the perfusionist will have an immediate
gross excess of volume.
• If high pump flow is established, venous or atrial rupture may occur.
• The CVP will be dramatically increased, with evidence of facial
venous engorgement.
• In adults, the venous outflow limb of the CPB circuit is a larger
diameter tubing than the arterial inflow tubing, precisely to
eliminate reversed cannulation.
• This is why reversed cannulation is rare in adults, but it has
happened.
• In pediatric cases, the arterial inflow and venous outflow limbs
of the CPB circuit are close or equal in size
Venous Air Lock
• Air entering the venous outflow line can result in complete
cessation of flow to the venous reservoir, and this is termed air
lock.
• Loss of venous outflow necessitates immediate slowing, even
cessation of pump flow, to prevent emptying the reservoir and
subsequent delivery of air to the patient's arterial circulation.
• After an air lock is recognized, a search for the source of venous
outflow line air must be undertaken (e.g., loose atrial purse string,
atrial tear, open intravenous access) and repaired before
reestablishing full bypass.
Air entry into the venous lines
• Air entry into the venous lines usually arises from the venous
cannulation site or the retrograde cardioplegia site, and can be
controlled by an additional suture around the catheter.
• Rarely, it may result from inadvertent damage to the IVC or
from an atrial septal defect.
• Air entrapment with use of vacuum assist can result in arterial
gaseous embolization
Inadequate venous drainage
• Inadequate venous drainage will be detected by the surgeon as a
distended right heart and by the perfusionist as a drop in the
blood level in the venous reservoir (which should trigger a low-
volume alarm with use of hard shell reservoirs) with inability to
maintain systemic flow rates.
• It may result from:
 airlock in the venous line
kinking of the line on the field or close to the reservoir
inadvertent clamping of the venous line
retraction of the heart impeding flow into the venous cannula
 malposition of the venous cannula (either being too far in or not far
in enough)
• Inadequate venous drainage not only warms the heart during
systemic hypothermia, potentially compromising myocardial
protection, but it may adversely affect the organs that are not
drained well.
• A high central venous pressure (CVP) may indicate impaired
SVC drainage and can produce cerebral edema.
• More commonly, drainage from the IVC is impaired, which
could result in renal impairment or hepatic or splanchnic
congestion with significant fluid sequestration in the bowel.
• In this situation, the surgeon may note that the right atrium is well
drained but the perfusionist notes a distinct reduction in venous
return.
• Simply readjusting the depth of the IVC line usually resolves this issue.
• Rarely, when the SVCor IVC is snared with a tourniquet, the catheter
may have inadvertently pulled back into the atrium, compromising
virtually all flow into the venous lines.
Distention of the heart on bypass
• Distention of the heart on bypass is indicative of
 poor venous drainage
 aortic valve insufficiency
tremendous collateral flow
• It may stretch the ventricular fibers producing myocardial injury,
increase PA pressures producing pulmonary barotrauma, or increase
ventricular warming impairing myocardial protection.
• The cause of distention should be remedied, either by readjusting the
venous lines and/or by placing a vent, either in the left ventricle or in
the pulmonary artery
Inadequate systemic pressures
• Inadequate systemic pressures have been incriminated as the cause of
multisystem organ dysfunction, including neurocognitive changes, renal
failure, and splanchnic hypoperfusion.
• Whether low-flow or high-flow CPB is optimal for organ system protection
is controversial, but a minimum pressure of 50–60mm Hg should be
maintained unless it is desired to intentionally maintain a higher pressure
(e.g., the patient with significant uncorrected carotid disease or the
hypertensive, diabetic patient with preexisting renal dysfunction).
• Phenylephrine or norepinephrine is commonly used on pump
to maintain systemic pressures, accepting the transient dips
that occur with cardioplegia infusion or reinfusion of shed
blood aspirated through the cardiotomy suckers.
• However, adequate flow rates must be maintained, because a-
agents will shunt blood away from the muscles and splanchnic
circulation.
• Occasionally, in the patient on numerous antihypertensive
medications, including ACE inhibitors, ARBs, amiodarone, and/or
calcium channel blockers, a state of refractory hypotension
exists. This state of autonomic dysfunction or “vasoplegia” may
require the infusion of vasopressin to maintain blood pressure.
• On rare occasions, methylene blue 1–2 mg/kg may be used to
maintain blood pressure.
Inadequate systemic oxygenation
• Inadequate systemic oxygenation occurring on pump may
result from failure of the oxygenator or oxygen blender, or
disconnection from an oxygen source.
• It might also result from a catastrophic aortic dissection or
malperfusion syndrome.
• Evidence of cerebral oxygen desaturation is first evident by
cerebral oximetry, then by pulse oximetry, and eventually by
systemic venous oxygen desaturation.
• Problems with the pump should be immediately recognizable by a change in
the color of the blood in the arterial return line.
• A reduction in systemic oxygen delivery can be mitigated by improving the
systemic flow rates and increasing the hematocrit.
• Mild systemic hypothermia can provide some element of organ system
protection during the period of poor oxygenation as emergency steps are
being taken by the perfusionist to correct the problem.
• On rare occasions, when the patient is no longer on pump, this may result
from the anesthesiologist failing to provide ventilation to the patient (usually
after the surgeon has asked that the lungs not be ventilated to improve
exposure).
High arterial line pressure
• High arterial line pressure measured by the perfusionist is a
potentially alarming situation.
• With pressurized roller pumps, this could result in a
catastrophic line disconnection.
• With centrifugal pumps, which are afterload-sensitive, unsafe
high line pressures should not occur because the pump head
automatically reduces flow.
• A high line pressure caused by a high flow rate through a small
cannula should not occur if the appropriately sized cannula is
selected.
• Malposition of the tip of the aortic cannula, kinking or clamping of
the line, or an aortic dissection can also account for a high line
pressure.
• When a dissection occurs, the high line pressure is accompanied by
very low systemic pressures, and mandates immediate cessation of
pump flow and relocation of the arterial inflow cannula.
Inadequate retrograde cardioplegia
• Inadequate retrograde cardioplegia delivery may produce
inadequate myocardial protection.
• Low retrograde cardioplegia line pressures may be associated with
rupture of the coronary sinus, a left SVC, or catheter displacement
back into the right atrium.
• High line pressures may be noted in patients with a small
coronary sinus, impingement of the end of the catheter on the
sinus wall, inadvertent clamping of the catheter, or kinking of
the cardioplegia line or catheter.
• Placement too far into the sinus may reduce flow to the right
ventricle and impair its protection.
• Filling of the posterior descending vein suggests that the right
ventricle is being adequately protected, but this may not always
be the case.
Inadequate ACT
• Inadequate ACT from standard doses of heparin usually results
from antithrombin (AT III) deficiency.
• Antithrombin is a major inhibitor of thrombin and factors Xa and
IXa, and its deficiency leads to hypercoagulable states.
• The basis for anticoagulation with heparin is the rapid activation
of antithrombin inhibitory activity.
• Antithrombin deficiency results in resistance to treatment
with heparin and is noted most frequently in patients
maintained preoperatively on heparin therapy or intravenous
nitroglycerin or those with high platelet counts.
• Additional administration of 1–2 mg/kg of heparin will usually
achieve an adequate ACT.
• If not, antithrombin can be provided by transfusion of fresh
frozen plasma or, if available, by a commercial AT III product
(Thrombate III), which provides 500 units per vial.
• Because preoperative AT III levels are rarely known, the exact
dose required to reach 120% of normal, which is recommended,
can only be estimated.
• Studies have shown successful elevation of the ACT using a wide
dosage range of AT III doses to as high as 75 IU/kg.
Cold-reactive autoimmune diseases
• Cold-reactive autoimmune diseases are rarely detected
preoperatively but may result in red cell agglutination and
hemolysis on bypass at cold temperatures.
• This may be noted in the bypass or cardioplegia circuit.
• Cold hemagglutinin disease is caused by an IgM autoimmune
antibody that causes red cell agglutination and hemolysis at
cold temperatures.
• This may cause microvascular thrombosis that may contribute to
myocardial infarction, renal failure, or other organ system failure.
• Since less than 1% of patients have cold agglutinins, screening is
not routinely performed, and it rarely poses a problem during
bypass because hemodilution lowers antibody titers.
• However, should antibody titers be measured and be in high
concentration (> 1 : 1000), agglutination will occur at warmer
temperatures
• If high-titer agglutinins are present, systemic hypothermia and
cold blood cardioplegia must be avoided.
• Either warm cardioplegia or cold crystalloid cardioplegia after an
initial normothermic flush can be used.
• Even better would be performance of off-pump coronary bypass
surgery or on-pump beating- or fibrillating-heart surgery.
• De novo discovery of cold agglutinins may occur on-pump by
detecting agglutination and sedimentation in the blood
cardioplegia heat exchanger or any stagnant line containing
blood.
• It has also been identified when the retrograde cardioplegia line
develops high pressure due to obstruction from agglutination.
• In these circumstances, the patient should be warmed back to
normothermia, and crystalloid cardioplegia used to flush out the
coronary arteries.
• Paroxysmal cold hemoglobinuria (PCH) is an autoimmune disease
in which a nonagglutinating IgG antibody binds to red cells in the
cold causing hemolysis.
• It should be managed in a similar fashion.
REFERENCES
• KAPLAN’S CARDIAC ANAESTHESIA 6TH EDITION
• MILLERS TEXTBOOK OF ANAESTHESIA 7TH EDITION
• BHOJAR MANUAL PERIOPERATIVE CARE

Perfusion Emergencies

  • 1.
  • 2.
    • Accidents ormishaps occurring during CPB can quickly evolve into life-threatening emergencies . • Fortunately, major perfusion accidents occur infrequently and are rarely associated with permanent injury or death. • However, all members of the cardiac surgery team must be able to respond to perfusion emergencies to limit the likelihood of perfusion-related disasters.
  • 3.
    Perfusion Emergencies  Arterialcannula malposition  Aortic dissection  Massive air embolism Systemic or coronary air embolism  Venous air lock  Reversed cannulation  Inadequate heparinization (low ACT) Inadequate venous drainage
  • 4.
    Perfusion Emergencies  Ventriculardistention Air entry into the venous lines  Inadequate systemic pressure  Inadequate systemic oxygenation  High arterial line pressure  Inadequate retrograde cardioplegia delivery Cold agglutinins etc……………
  • 5.
    Arterial Cannula Malposition •Ascending aortic cannulae can be malpositioned such that the outflow jet is directed primarily into • the innominate artery • the left common carotid artery (rare) • the left subclavian artery (rare) • Hypotension alone is not significant evidence to establish a diagnosis of arterial cannula malposition • On initiation of CPB and periodically thereafter, it is advisable to inspect the face for color change and edema, rhinorrhea, or otorrhea and to palpate the neck with onset of cooling for temperature asymmetry.
  • 7.
    Two other arterialcannula malpositions are possible: • Abutment of the cannula tip against the aortic intima: results in high line pressure, poor perfusion, or even acute dissection when CPB is initiated • Cannula tip directed caudally toward the aortic valve : may result in acute aortic insufficiency, with sudden left ventricular distention and systemic hypoperfusion on bypass. • If the aortic inflow cannula is soft, aortic cross-clamping will occlude the arterial perfusion line, which can rupture the aortic inflow line. • Suspicion of any cannula malposition must be brought to the attention of the surgeon immediately.
  • 8.
  • 9.
    Aortic or ArterialDissection • Signs of arterial dissection, are often similar to those of cannula malposition and must be sought continuously, especially on initiation of CPB. Dissection may originate at the Cannulation site Aortic crossclamp site Proximal vein graft anastomotic site Partial occlusion (side-biting) clamp site
  • 10.
    • Dissections aredue to intimal disruption or, more distally, to fracture of atherosclerotic plaque. • In either case, some systemic arterial blood flow becomes extraluminal, being forced into the arterial wall.
  • 12.
    • The dissectionpropagates mostly in the direction of the systemic flow, but not exclusively. • Extraluminal blood compresses the luminal origins (take-offs) of major arterial branches such that vital organs (heart, brain, kidney, intestinal tract, spinal cord) may become ischemic. • Because systemic perfusion may be low, and origins of the innominate and subclavian arteries may be compressed, probably the best sign of arterial dissection is persistently low systemic arterial pressure.
  • 13.
    • Venous drainageto the pump decreases (blood is sequestered), and arterial inflow “line pressure” is usually inappropriately high. • The surgeon may see the dissection if it involves the anterior or lateral ascending aorta (bluish discoloration), or both.
  • 15.
    • It ispossible the surgeon may not see any sign of dissection because the dissection is out of view (e.g., posterior ascending aorta, aortic arch, descending aorta). • Dissection can occur at any time before, during, or after CPB. • As with cannula malposition, a suspicion of arterial dissection must be brought to the attention of the surgeon.
  • 16.
    • The anesthesiologistmust not assume that something is suddenly wrong with the arterial pressure transducer but should “think dissection.” • After a dissection of the ascending aorta is diagnosed, immediate steps to minimize propagation must be taken. • If it has occurred before CPB, the anesthesiologist should take steps to reduce MAP and the rate of increase of aortic pressure (dP/dt).
  • 17.
    • If itoccurs during CPB, pump flow and MAP are reduced to the lowest acceptable levels. • Arterial perfusate frequently is cooled to profound levels (14° C to 19° C) as rapidly as possible to decrease metabolic demand and protect vital organs. • A different arterial cannulation site is prepared (e.g., the femoral artery is cannulated or the true aortic lumen is cannulated at a site more distal on the aortic arch).
  • 18.
    • Arterial inflowis shifted to that new site with the intent that perfusing the true aortic lumen will reperfuse vital organs. • The ascending aorta is cross-clamped just below the innominate artery, and cardioplegia is administered (into the coronary ostia or coronary sinus). • The aorta is opened to expose the site of disruption, which is then resected and replaced.
  • 19.
    • With smalldissections it is sometimes possible to avoid open repair by application of a partial occlusion clamp with plication of the dissection and exclusion of the intimal disruption. • Troianos et al described three cases of arterial dissection during CPB in which TEE was found useful. • Although provisional diagnoses were made on the basis of traditional signs, TEE allowed assessment of the origin and extent of dissection.
  • 23.
    • Arterial dissectionsoriginating from femoral cannulation also necessitate reductions in arterial pressure, systemic flow, and temperature. • If the operation is near completion, the heart may be transfused and CPB discontinued; otherwise, the aortic arch must be cannulated and adequate systemic perfusion restored to allow completion of the operation.
  • 24.
    Massive Arterial GasEmbolus • Macroscopic gas embolus is a rare but disastrous CPB complication • The current incidence probably is lower because of the widespread use of reservoir level alarms and other bubble detection devices. • Between 20% and 30% of affected patients died immediately, with another 30% having transient or nondebilitating neurologic deficits, or both.
  • 25.
     Circumstances thatmost commonly contributed to these events are • Inattention to oxygenator blood level • Reversal of LV vent flow • Unexpected resumption of cardiac ejection in a previously opened heart  Rupture of a pulsatile assist device or intra-aortic balloon pump also may introduce large volumes of gas into the arterial circulation.
  • 26.
    • The pathophysiologyof cerebral gas embolism (macroscopic and microscopic) is not well understood. • Tissue damage after gas embolization is initiated from simple mechanical blockage of blood vessels by bubbles. • Although gas emboli may be absorbed or pass through the circulation within 1 to 5 minutes, the local reaction of platelets and proteins to the blood/gas interface or endothelial damage is thought to potentiate microvascular stasis, prolonging cerebral ischemia to the point of infarction.
  • 27.
    • Areas ofmarginal perfusion, such as arterial boundary zones, do not clear gas emboli as rapidly as well perfused zones, producing patterns of ischemia or infarction difficult to distinguish from those caused by hypotension or particulate emboli
  • 28.
    Recommended treatment formassive arterial gas embolism includes • immediate cessation of CPB • aspiration of as much gas as possible from the aorta and heart • assumption of steep trendelenburg position • clearance of air from the arterial perfusion line • After resumption of CPB, treatment continues with implementation or deepening of hypothermia (18° C to 27° C) during completion of the operation and clearance of gas from the coronary circulation before emergence from CPB.
  • 29.
    • In manyreports of patients suffering massive arterial gas embolus, seizures occurred after surgery and were treated with anticonvulsants. • Because seizures after ischemic insults are associated with poor outcomes, perhaps because of hypermetabolic effects, prophylactic phenytoin seems reasonable
  • 30.
    • Hypotension hasbeen shown to lengthen the residence time of cerebral air emboli and worsen the severity of resulting ischemia. • Maintenance of moderate hypertension is reasonable and clinically attainable to hasten clearance of emboli from the circulation and, hopefully improve neurologic outcome
  • 31.
    • Many clinicianshave reported dramatic neurologic recovery when hyperbaric therapy is used for arterial gas embolism, even if delayed up to 26 hours after the event. • Spontaneous recovery from air emboli also has been reported • It seems reasonable to expect that institutions that do cardiac surgery should have policies regarding catastrophic air embolism.
  • 32.
    Systemic or coronaryair embolism • Systemic or coronary air embolism is always a possibility upon termination of bypass when there has been intracardiac entry, but its occurrence during bypass is a catastrophic problem. • Careful attention to deairing of the left heart chambers is important when there has been intracardiac entry (valve surgery) or active intracardiac or root venting.
  • 33.
    • Ventilating thelungs, restricting venous return, and/or stopping vent return should be performed to evacuate air prior to closing the left atrium, left ventricle, or aorta. • Carbon dioxide flooding of the field may minimize the amount of air retained during intracardiac procedures.
  • 34.
    Air bubbles seenon echocardiography
  • 36.
    • Active rootventing upon termination of bypass is mandatory to evacuate any ejected air, but it is not uncommon for some air to pass down the right coronary artery or an aortocoronary venous bypass graft and cause right ventricular dysfunction upon weaning from bypass. • This problem usually resolves quickly, but bypass should be reinstituted if hemodynamics are compromised. • TEE monitoring is the best means of identifying retained air as the heart is weaned from bypass.
  • 37.
  • 38.
    • Systemic airembolism occurring during CPB is usually related to inattention to the venous reservoir level in open circuits with delivery of air through a rollerpumphead. It may also occur with use of vacuum-assisted drainage. • Air embolism may also occur on bypass when the aorta is not clamped and air trapped in the left heart is ejected when the pressure generated by the left ventricle exceeds that in the aorta.
  • 39.
    • Significant airembolism requires cessation of bypass with immediate venting of air from the aorta with a needle or through a stopcock on the aortic line and then removal of air from the bypass circuit • Ventilation with 100% oxygen, steep trendelenburg position, and retrograde SVC perfusion should be used to try to eliminate air from the cerebral circulation.
  • 40.
    • Steroids, barbiturates,and reinstitution of bypass with deep hypothermia may also reduce the degree of cerebral injury. • Systemic air embolism may occur if there is air entry into the inflow drainage lines of an assist device, because there is no reservoir or means available for venting or filtration of the air. • The air will fragment and be pumped back into the arterial system.
  • 41.
    Reversed Cannulation • Inthis case, the venous outflow limb of the CPB circuit is incorrectly connected to the arterial inflow cannula and the arterial perfusion limb of the circuit is attached to the venous cannula. • On initiation of CPB, blood is removed from the arterial circulation and returned to the venous circulation at high pressure. • Arterial pressure is found to be extremely low by palpation and arterial pressure monitoring.
  • 42.
    • Very lowarterial pressures also can (more commonly) be caused by dissection in the arterial tree. • In the latter case, the perfusionist will rapidly lose volume, whereas with reversed cannulation, the perfusionist will have an immediate gross excess of volume. • If high pump flow is established, venous or atrial rupture may occur. • The CVP will be dramatically increased, with evidence of facial venous engorgement.
  • 43.
    • In adults,the venous outflow limb of the CPB circuit is a larger diameter tubing than the arterial inflow tubing, precisely to eliminate reversed cannulation. • This is why reversed cannulation is rare in adults, but it has happened. • In pediatric cases, the arterial inflow and venous outflow limbs of the CPB circuit are close or equal in size
  • 44.
    Venous Air Lock •Air entering the venous outflow line can result in complete cessation of flow to the venous reservoir, and this is termed air lock. • Loss of venous outflow necessitates immediate slowing, even cessation of pump flow, to prevent emptying the reservoir and subsequent delivery of air to the patient's arterial circulation. • After an air lock is recognized, a search for the source of venous outflow line air must be undertaken (e.g., loose atrial purse string, atrial tear, open intravenous access) and repaired before reestablishing full bypass.
  • 45.
    Air entry intothe venous lines • Air entry into the venous lines usually arises from the venous cannulation site or the retrograde cardioplegia site, and can be controlled by an additional suture around the catheter. • Rarely, it may result from inadvertent damage to the IVC or from an atrial septal defect. • Air entrapment with use of vacuum assist can result in arterial gaseous embolization
  • 46.
    Inadequate venous drainage •Inadequate venous drainage will be detected by the surgeon as a distended right heart and by the perfusionist as a drop in the blood level in the venous reservoir (which should trigger a low- volume alarm with use of hard shell reservoirs) with inability to maintain systemic flow rates.
  • 47.
    • It mayresult from:  airlock in the venous line kinking of the line on the field or close to the reservoir inadvertent clamping of the venous line retraction of the heart impeding flow into the venous cannula  malposition of the venous cannula (either being too far in or not far in enough)
  • 48.
    • Inadequate venousdrainage not only warms the heart during systemic hypothermia, potentially compromising myocardial protection, but it may adversely affect the organs that are not drained well. • A high central venous pressure (CVP) may indicate impaired SVC drainage and can produce cerebral edema. • More commonly, drainage from the IVC is impaired, which could result in renal impairment or hepatic or splanchnic congestion with significant fluid sequestration in the bowel.
  • 49.
    • In thissituation, the surgeon may note that the right atrium is well drained but the perfusionist notes a distinct reduction in venous return. • Simply readjusting the depth of the IVC line usually resolves this issue. • Rarely, when the SVCor IVC is snared with a tourniquet, the catheter may have inadvertently pulled back into the atrium, compromising virtually all flow into the venous lines.
  • 50.
    Distention of theheart on bypass • Distention of the heart on bypass is indicative of  poor venous drainage  aortic valve insufficiency tremendous collateral flow • It may stretch the ventricular fibers producing myocardial injury, increase PA pressures producing pulmonary barotrauma, or increase ventricular warming impairing myocardial protection. • The cause of distention should be remedied, either by readjusting the venous lines and/or by placing a vent, either in the left ventricle or in the pulmonary artery
  • 51.
    Inadequate systemic pressures •Inadequate systemic pressures have been incriminated as the cause of multisystem organ dysfunction, including neurocognitive changes, renal failure, and splanchnic hypoperfusion. • Whether low-flow or high-flow CPB is optimal for organ system protection is controversial, but a minimum pressure of 50–60mm Hg should be maintained unless it is desired to intentionally maintain a higher pressure (e.g., the patient with significant uncorrected carotid disease or the hypertensive, diabetic patient with preexisting renal dysfunction).
  • 52.
    • Phenylephrine ornorepinephrine is commonly used on pump to maintain systemic pressures, accepting the transient dips that occur with cardioplegia infusion or reinfusion of shed blood aspirated through the cardiotomy suckers. • However, adequate flow rates must be maintained, because a- agents will shunt blood away from the muscles and splanchnic circulation.
  • 53.
    • Occasionally, inthe patient on numerous antihypertensive medications, including ACE inhibitors, ARBs, amiodarone, and/or calcium channel blockers, a state of refractory hypotension exists. This state of autonomic dysfunction or “vasoplegia” may require the infusion of vasopressin to maintain blood pressure. • On rare occasions, methylene blue 1–2 mg/kg may be used to maintain blood pressure.
  • 54.
    Inadequate systemic oxygenation •Inadequate systemic oxygenation occurring on pump may result from failure of the oxygenator or oxygen blender, or disconnection from an oxygen source. • It might also result from a catastrophic aortic dissection or malperfusion syndrome. • Evidence of cerebral oxygen desaturation is first evident by cerebral oximetry, then by pulse oximetry, and eventually by systemic venous oxygen desaturation.
  • 55.
    • Problems withthe pump should be immediately recognizable by a change in the color of the blood in the arterial return line. • A reduction in systemic oxygen delivery can be mitigated by improving the systemic flow rates and increasing the hematocrit. • Mild systemic hypothermia can provide some element of organ system protection during the period of poor oxygenation as emergency steps are being taken by the perfusionist to correct the problem. • On rare occasions, when the patient is no longer on pump, this may result from the anesthesiologist failing to provide ventilation to the patient (usually after the surgeon has asked that the lungs not be ventilated to improve exposure).
  • 56.
    High arterial linepressure • High arterial line pressure measured by the perfusionist is a potentially alarming situation. • With pressurized roller pumps, this could result in a catastrophic line disconnection. • With centrifugal pumps, which are afterload-sensitive, unsafe high line pressures should not occur because the pump head automatically reduces flow.
  • 57.
    • A highline pressure caused by a high flow rate through a small cannula should not occur if the appropriately sized cannula is selected. • Malposition of the tip of the aortic cannula, kinking or clamping of the line, or an aortic dissection can also account for a high line pressure. • When a dissection occurs, the high line pressure is accompanied by very low systemic pressures, and mandates immediate cessation of pump flow and relocation of the arterial inflow cannula.
  • 58.
    Inadequate retrograde cardioplegia •Inadequate retrograde cardioplegia delivery may produce inadequate myocardial protection. • Low retrograde cardioplegia line pressures may be associated with rupture of the coronary sinus, a left SVC, or catheter displacement back into the right atrium.
  • 59.
    • High linepressures may be noted in patients with a small coronary sinus, impingement of the end of the catheter on the sinus wall, inadvertent clamping of the catheter, or kinking of the cardioplegia line or catheter. • Placement too far into the sinus may reduce flow to the right ventricle and impair its protection. • Filling of the posterior descending vein suggests that the right ventricle is being adequately protected, but this may not always be the case.
  • 60.
    Inadequate ACT • InadequateACT from standard doses of heparin usually results from antithrombin (AT III) deficiency. • Antithrombin is a major inhibitor of thrombin and factors Xa and IXa, and its deficiency leads to hypercoagulable states. • The basis for anticoagulation with heparin is the rapid activation of antithrombin inhibitory activity.
  • 61.
    • Antithrombin deficiencyresults in resistance to treatment with heparin and is noted most frequently in patients maintained preoperatively on heparin therapy or intravenous nitroglycerin or those with high platelet counts. • Additional administration of 1–2 mg/kg of heparin will usually achieve an adequate ACT.
  • 62.
    • If not,antithrombin can be provided by transfusion of fresh frozen plasma or, if available, by a commercial AT III product (Thrombate III), which provides 500 units per vial. • Because preoperative AT III levels are rarely known, the exact dose required to reach 120% of normal, which is recommended, can only be estimated. • Studies have shown successful elevation of the ACT using a wide dosage range of AT III doses to as high as 75 IU/kg.
  • 63.
    Cold-reactive autoimmune diseases •Cold-reactive autoimmune diseases are rarely detected preoperatively but may result in red cell agglutination and hemolysis on bypass at cold temperatures. • This may be noted in the bypass or cardioplegia circuit. • Cold hemagglutinin disease is caused by an IgM autoimmune antibody that causes red cell agglutination and hemolysis at cold temperatures.
  • 64.
    • This maycause microvascular thrombosis that may contribute to myocardial infarction, renal failure, or other organ system failure. • Since less than 1% of patients have cold agglutinins, screening is not routinely performed, and it rarely poses a problem during bypass because hemodilution lowers antibody titers. • However, should antibody titers be measured and be in high concentration (> 1 : 1000), agglutination will occur at warmer temperatures
  • 65.
    • If high-titeragglutinins are present, systemic hypothermia and cold blood cardioplegia must be avoided. • Either warm cardioplegia or cold crystalloid cardioplegia after an initial normothermic flush can be used. • Even better would be performance of off-pump coronary bypass surgery or on-pump beating- or fibrillating-heart surgery. • De novo discovery of cold agglutinins may occur on-pump by detecting agglutination and sedimentation in the blood cardioplegia heat exchanger or any stagnant line containing blood.
  • 66.
    • It hasalso been identified when the retrograde cardioplegia line develops high pressure due to obstruction from agglutination. • In these circumstances, the patient should be warmed back to normothermia, and crystalloid cardioplegia used to flush out the coronary arteries. • Paroxysmal cold hemoglobinuria (PCH) is an autoimmune disease in which a nonagglutinating IgG antibody binds to red cells in the cold causing hemolysis. • It should be managed in a similar fashion.
  • 67.
    REFERENCES • KAPLAN’S CARDIACANAESTHESIA 6TH EDITION • MILLERS TEXTBOOK OF ANAESTHESIA 7TH EDITION • BHOJAR MANUAL PERIOPERATIVE CARE

Editor's Notes

  • #63 The calculation of the amount needed equals the (desired – baselineATIII level)weight (kg) divided by 1.4. For example, to reach 120% of normal levels in a 70 kg man with a baseline level that is 80% of normal would require [(12080)/1.4]70¼2000 IU (or 28 U/kg); if the baseline level is 50% of normal, 3500 units (50 U/kg) should be given.