Periodontal Flap Surgery along with Vestibular
Deepening with Diode Laser to Increase
Attached Gingiva in Lower Anterior Teeth: A
Prospective Clinical Study
ASHU BHARDWAJ, ZEBA JAFRI, NISHAT SULTAN, MADHURI SAWAI & ANIKA DAING
EDITOR : PROFESSOR WANG WANG
INDIANS IN EDITORIAL TEAM IS DR. MANJUL TIWARI (SHARDA UNIV) AND DR. SHIBU THOMAS SEBASTIAN, PUSHPAGIRI
COLLEGE OF DENTAL SCIENCES, KERALA
JOURNAL OF NATURAL SCIENCE, BIOLOGY AND MEDICINE ¦ VOLUME 9 ¦ ISSUE 1 ¦ JANUARY-JUNE 2018
ATTACHED GINGIVA
FUNCTION
IMPORTANCE OF WIDTH OF ATTACHED
GINGIVA
1) GOLDMAN AND COHEN – TISSUE BARIER CONCEPT
Dense collagenous band of connective tissue retard or obstruct the spread of inflammation
better than does the loose fibre arrangement of alveolar mucosa.
2) FRIEDMAN – PULL SYNDROME
Inadequate zone of a. gingiva would facilitate subgingival plaque formation because of
improper pocket closure resulting from the movability of marginal tissue.
3) LANG AND LOE (1972)
2mm of keratinized gingiva with 1 mm of attached gingiva is adequate to maintain
gingival health.
IMPORTANCE OF WIDTH OF ATTACHED
GINGIVA
4) MIYASTO ET AL 1977
Area of minimal width of attached gingiva may not be prone to development of plaque
induced inflammatory changes.
5) LINDHE AND NYMAN 1980
Narrow width of attached gingiva is not more susceptible to recession rather it is the
volume of connective tissue which has greater significance
METHODS OF INCREASING THE WIDTH
OF ATTACHED GINGIVA
METHOD FOR GINGIVAL AUGMENTATION
APICAL TO THE AREA OF RECESSION :
1) FREE GINGIVAL AUTOGRAFT
2) SUB-EPITHELIAL CONNECTIVE
TISSUE GRAFT
3) APICALLY REPOSITIONED FLAP
4) VESTIBULOPLASTY
 CORONAL TO THE AREA OF RECESSION:
 1) FREE GINGIVAL AUTOGRAFT
 2) SUB-EPITHELIAL CONNECTIVE TISSUE
GRAFT
 3) PEDICLE AUTOGRAFT
 4) LATERALLY POSITIONED PEDICLE
FLAP
 5) CORONALLY ADVANCED FLAP
 6) GUIDED TISSUE REGENERATION
Gingival recession
Periodontitis
 Chronic periodontitis is a multifactorial infectious disease characterized by slow
irreversible damage of periodontal supporting tissue loss in a period.
 RESULTING IN
 1) Attachment loss
 2) Periodontal pockets
 3) Bone loss
 4) Mobility
 5) Gingival recession (GR)
 6) Decreased vestibular depth (VD)
KIRKLAND FLAP/ MODIFIED FLAP SURGERY/
ACCESS FLAP
Modified apically repositioned flap (MARF)
technique
 Carnio and Miller in 1999 - for single tooth
 Carnio and Camargo in 2006 - for multiple teeth
 prerequisite factor should be a minimum of 0.5 mm of attached
gingiva for performing surgery.
 If the distance between the bottom of the pocket and the crest of the
bone is >2.0 mm, MARF technique is not advisable, as there is a
chance of postoperative recession to occur because of the bone
dehiscence
 horizontal bevel incision with its bevel away from the crest
of alveolar bone, and this incision was given at a distance of
0.5 mm from MGJ toward attached gingiva so that this
tissue remains intact with flap
 A partial-thickness flap was raised so that the flap can be
moved apically and simple interrupted absorbable sutures
with Vicryl 4-0 were placed for securing the flap to the
periosteum.
 For preventing dead space between the flap and periosteal
bed, a gentle finger pressure was applied and the
periodontal pack was placed
Mechanism
 Epithelial cells on the wound edges will migrate over exposed periosteum.
 As the surgical area is surrounded by KT, this serves as a source of cells of
keratinized phenotype and prevents non keratinized epithelial cells originating
from the oral mucosa proliferating onto the surgical area.
 The connective tissue and keratinized epithelial cells surrounding the wound
migrate from the margins to cover the exposed surgical site, resulting in
augmentation of the attached gingiva.
LASER - Light Amplification by the
Stimulated Emission of Radiation
Laser is an amplified light wave whose energy
has been increased by the process of
STIMULATED EMISSION
LASER - Light Amplification by the
Stimulated Emission of Radiation
PICCASO DIODE LASER
MATERIALS AND METHODS
 Prospective, clinical study was conducted on 16 patients (4 males and 12 females; mean
age ± standard deviation [SD]: 35.06 ± 7.52) diagnosed as having generalized moderate-
to-severe chronic periodontitis.
INCLUSION CRITERIA
 No systemic disease
 Good compliance with plaque control instructions
 Generalized moderate-to-severe chronic periodontitis
 At least two mandibular anterior teeth with radiographic
bone loss, shallow vestibule, CAL ≥5 mm, and limited
attached gingiva
 No smoking
 Absence of traumatic occlusion
EXCLUSION CRITERIA
 Pregnant patients
Use of any medication known to
influence periodontal tissues
MATERIALS AND METHODS
STEP1: Phase I therapy including the oral hygiene instructions, full mouth scaling, and root
planing for generalized chronic periodontitis was performed on all the patients.
STEP 2 : GR, PD, CAL, width of keratinized gingiva, width of attached gingiva, and VD were
assessed preoperatively after Phase I therapy and 6-month postoperatively.
STEP 3 : Occlusal adjustment and temporary esthetic fiber splinting wherever required were
done on lingual aspect of teeth with mobility to facilitate the periodontal flap surgery.
MATERIALS AND METHODS
STEP 4: Phase II
 conventional periodontal flap.
 Periodontal surgical debridement was done followed by placement of sterile
synthetic hydroxyapatite and β-tricalcium phosphate bone graft material
(Sybograf™ Plus, Eucare pharmaceuticals, Chennai, India)
 suturing with 3-0 silk sutures.
MATERIALS AND METHODS
 A horizontal incision was given with diode laser (DenLase, Diode Laser Therapy System,
Daheng Group Inc., China; Laser parameters: Wavelength - 810 nm, output power: 0.5–7
W, continuous wave [CW], contact mode), to detach the fibers from underlying
periosteum leaving 1–2 mm of marginal gingiva
 sutures
 Care was taken to direct the laser away from the periosteum and bone.
 VD of 6–8 mm was achieved by separating the muscle attachments.
 noneugenol periodontal dressing (Coe-pak) (COE-PAK™, Periodontal Dressing, GC
America Inc., USA)
RESULTS
RESULTS
DISCUSION
 Periodontitis is a chronic disease and lack of severe pain allows the patient to report only
when the teeth are either mobile or there is loss of clinical attachment manifested as GR.
(Korman KS)
 Lower anterior teeth are esthetically important, single rooted
 Chronology of tooth extraction due to periodontitis
Lower anterior teeth > upper anterior >upper second molars
 However, in long-term maintenance studies molars were lost most frequently
 Results of a 40-year follow-up study on fate of 455 teeth with questionable prognosis
showed that teeth with significant loss of periodontal tissues could be functionally
maintained. (Chance R Sr et al)
DISCUSION
 The average prognosis of the teeth postactive treatment changed very little from initial
to 5–8 years, with prognosis being more accurate for single-rooted teeth than
multirooted teeth. (MCGuire MK)
 Long-term preservation of hopeless teeth following periodontal surgery is an attainable
goal with no detrimental effect on adjacent surfaces of neighboring teeth. (Wojcik MS et
al)
 Miller Grade 1 tooth mobility – periodontitis treatment and occlusal adjustment.
( Strassler HE et al)
 Miller Grade 2 tooth mobility - periodontitis treatment, occlusal adjustment and
Splinting (Cole EG)
 Miller Grade 3 tooth mobility – extraction or splinting where tooth extraction is not
acceptable or contraindicated.
DISCUSION
 advantages of lasers - excellent homeostasis, precision, tissue surface sterilization,
decreased swelling and edema, decreased pain, faster healing, and increased patient
acceptance. (Rossman J et al)
 A diode laser is a solid-state semiconductor laser that typically uses a combination of
gallium, arsenide, and other elements, such as aluminum and indium, to change
electrical energy into light energy. (Prabhu ji)
 It does not interact with dental hard tissues, making it an excellent soft-tissue surgical
laser
 It is used for cutting and coagulating gingiva and oral mucosa and for soft-tissue
curettage or sulcular debridement. (Mani A et al)
 results are more predictable and less stressful to patients and clinicians. (Sawai MA)
DISCUSION
 The conventional periodontal flap surgery allowed use of bone graft for periodontal
reconstruction
 vestibular deepening with diode laser helped in maintaining the mucogingival complex
at the presurgical level by apically repositioning the frenal and muscle attachments.
 The combination of the two surgical procedures in one sitting resulted in highly
significant increase in attached gingiva, keratinized gingiva, and VD over multiple
teeth while simultaneously relieving the tension on the gingiva.
 There were minimal patient discomfort and postoperative complications.
 This one-step surgical technique does not involve any other site as in soft tissue graft.
FROM WHERE THE KT CAME
 A rapidly dividing group of cells from mesial and/or distal aspects of the wound grows
around a more slowly dividing group mucosal cells present in the coronal and apical areas
of the wound
 The initial incision made dissipates the tension that was exercised by the muscular fibers of
the alveolar mucosa onto the marginal soft tissue margin. This reduction in tension over
the granulation tissue covering the exposed periosteum may induce genotypic changes to
the epithelial cells that favor immobility and therefore keratinization.
 As a response to the surgical insult, the periodontal ligament may proliferate coronally,
which may induce the keratinization of the epithelial cells over it.
CONCLUSION
 The surgical technique described in this article is a cost-effective method to prolong the
life of lower anterior teeth with questionable prognosis.
 The increase in VD and attached gingiva can improve the success of implants if required
in the future.
 Limitations of the study - long-term follow-up of patients with regard to bone
regeneration and effect on tooth mobility.
per flap with vest deep.pptx

per flap with vest deep.pptx

  • 1.
    Periodontal Flap Surgeryalong with Vestibular Deepening with Diode Laser to Increase Attached Gingiva in Lower Anterior Teeth: A Prospective Clinical Study ASHU BHARDWAJ, ZEBA JAFRI, NISHAT SULTAN, MADHURI SAWAI & ANIKA DAING EDITOR : PROFESSOR WANG WANG INDIANS IN EDITORIAL TEAM IS DR. MANJUL TIWARI (SHARDA UNIV) AND DR. SHIBU THOMAS SEBASTIAN, PUSHPAGIRI COLLEGE OF DENTAL SCIENCES, KERALA JOURNAL OF NATURAL SCIENCE, BIOLOGY AND MEDICINE ¦ VOLUME 9 ¦ ISSUE 1 ¦ JANUARY-JUNE 2018
  • 2.
  • 3.
  • 4.
    IMPORTANCE OF WIDTHOF ATTACHED GINGIVA 1) GOLDMAN AND COHEN – TISSUE BARIER CONCEPT Dense collagenous band of connective tissue retard or obstruct the spread of inflammation better than does the loose fibre arrangement of alveolar mucosa. 2) FRIEDMAN – PULL SYNDROME Inadequate zone of a. gingiva would facilitate subgingival plaque formation because of improper pocket closure resulting from the movability of marginal tissue. 3) LANG AND LOE (1972) 2mm of keratinized gingiva with 1 mm of attached gingiva is adequate to maintain gingival health.
  • 5.
    IMPORTANCE OF WIDTHOF ATTACHED GINGIVA 4) MIYASTO ET AL 1977 Area of minimal width of attached gingiva may not be prone to development of plaque induced inflammatory changes. 5) LINDHE AND NYMAN 1980 Narrow width of attached gingiva is not more susceptible to recession rather it is the volume of connective tissue which has greater significance
  • 6.
    METHODS OF INCREASINGTHE WIDTH OF ATTACHED GINGIVA METHOD FOR GINGIVAL AUGMENTATION APICAL TO THE AREA OF RECESSION : 1) FREE GINGIVAL AUTOGRAFT 2) SUB-EPITHELIAL CONNECTIVE TISSUE GRAFT 3) APICALLY REPOSITIONED FLAP 4) VESTIBULOPLASTY  CORONAL TO THE AREA OF RECESSION:  1) FREE GINGIVAL AUTOGRAFT  2) SUB-EPITHELIAL CONNECTIVE TISSUE GRAFT  3) PEDICLE AUTOGRAFT  4) LATERALLY POSITIONED PEDICLE FLAP  5) CORONALLY ADVANCED FLAP  6) GUIDED TISSUE REGENERATION
  • 8.
  • 11.
    Periodontitis  Chronic periodontitisis a multifactorial infectious disease characterized by slow irreversible damage of periodontal supporting tissue loss in a period.  RESULTING IN  1) Attachment loss  2) Periodontal pockets  3) Bone loss  4) Mobility  5) Gingival recession (GR)  6) Decreased vestibular depth (VD)
  • 12.
    KIRKLAND FLAP/ MODIFIEDFLAP SURGERY/ ACCESS FLAP
  • 13.
    Modified apically repositionedflap (MARF) technique  Carnio and Miller in 1999 - for single tooth  Carnio and Camargo in 2006 - for multiple teeth  prerequisite factor should be a minimum of 0.5 mm of attached gingiva for performing surgery.  If the distance between the bottom of the pocket and the crest of the bone is >2.0 mm, MARF technique is not advisable, as there is a chance of postoperative recession to occur because of the bone dehiscence
  • 14.
     horizontal bevelincision with its bevel away from the crest of alveolar bone, and this incision was given at a distance of 0.5 mm from MGJ toward attached gingiva so that this tissue remains intact with flap  A partial-thickness flap was raised so that the flap can be moved apically and simple interrupted absorbable sutures with Vicryl 4-0 were placed for securing the flap to the periosteum.  For preventing dead space between the flap and periosteal bed, a gentle finger pressure was applied and the periodontal pack was placed
  • 15.
    Mechanism  Epithelial cellson the wound edges will migrate over exposed periosteum.  As the surgical area is surrounded by KT, this serves as a source of cells of keratinized phenotype and prevents non keratinized epithelial cells originating from the oral mucosa proliferating onto the surgical area.  The connective tissue and keratinized epithelial cells surrounding the wound migrate from the margins to cover the exposed surgical site, resulting in augmentation of the attached gingiva.
  • 16.
    LASER - LightAmplification by the Stimulated Emission of Radiation Laser is an amplified light wave whose energy has been increased by the process of STIMULATED EMISSION
  • 17.
    LASER - LightAmplification by the Stimulated Emission of Radiation
  • 18.
  • 19.
    MATERIALS AND METHODS Prospective, clinical study was conducted on 16 patients (4 males and 12 females; mean age ± standard deviation [SD]: 35.06 ± 7.52) diagnosed as having generalized moderate- to-severe chronic periodontitis. INCLUSION CRITERIA  No systemic disease  Good compliance with plaque control instructions  Generalized moderate-to-severe chronic periodontitis  At least two mandibular anterior teeth with radiographic bone loss, shallow vestibule, CAL ≥5 mm, and limited attached gingiva  No smoking  Absence of traumatic occlusion EXCLUSION CRITERIA  Pregnant patients Use of any medication known to influence periodontal tissues
  • 20.
    MATERIALS AND METHODS STEP1:Phase I therapy including the oral hygiene instructions, full mouth scaling, and root planing for generalized chronic periodontitis was performed on all the patients. STEP 2 : GR, PD, CAL, width of keratinized gingiva, width of attached gingiva, and VD were assessed preoperatively after Phase I therapy and 6-month postoperatively. STEP 3 : Occlusal adjustment and temporary esthetic fiber splinting wherever required were done on lingual aspect of teeth with mobility to facilitate the periodontal flap surgery.
  • 22.
    MATERIALS AND METHODS STEP4: Phase II  conventional periodontal flap.  Periodontal surgical debridement was done followed by placement of sterile synthetic hydroxyapatite and β-tricalcium phosphate bone graft material (Sybograf™ Plus, Eucare pharmaceuticals, Chennai, India)  suturing with 3-0 silk sutures.
  • 23.
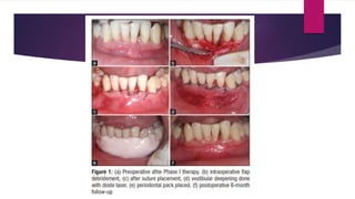
    MATERIALS AND METHODS A horizontal incision was given with diode laser (DenLase, Diode Laser Therapy System, Daheng Group Inc., China; Laser parameters: Wavelength - 810 nm, output power: 0.5–7 W, continuous wave [CW], contact mode), to detach the fibers from underlying periosteum leaving 1–2 mm of marginal gingiva  sutures  Care was taken to direct the laser away from the periosteum and bone.  VD of 6–8 mm was achieved by separating the muscle attachments.  noneugenol periodontal dressing (Coe-pak) (COE-PAK™, Periodontal Dressing, GC America Inc., USA)
  • 24.
  • 25.
  • 26.
    DISCUSION  Periodontitis isa chronic disease and lack of severe pain allows the patient to report only when the teeth are either mobile or there is loss of clinical attachment manifested as GR. (Korman KS)  Lower anterior teeth are esthetically important, single rooted  Chronology of tooth extraction due to periodontitis Lower anterior teeth > upper anterior >upper second molars  However, in long-term maintenance studies molars were lost most frequently  Results of a 40-year follow-up study on fate of 455 teeth with questionable prognosis showed that teeth with significant loss of periodontal tissues could be functionally maintained. (Chance R Sr et al)
  • 27.
    DISCUSION  The averageprognosis of the teeth postactive treatment changed very little from initial to 5–8 years, with prognosis being more accurate for single-rooted teeth than multirooted teeth. (MCGuire MK)  Long-term preservation of hopeless teeth following periodontal surgery is an attainable goal with no detrimental effect on adjacent surfaces of neighboring teeth. (Wojcik MS et al)  Miller Grade 1 tooth mobility – periodontitis treatment and occlusal adjustment. ( Strassler HE et al)  Miller Grade 2 tooth mobility - periodontitis treatment, occlusal adjustment and Splinting (Cole EG)  Miller Grade 3 tooth mobility – extraction or splinting where tooth extraction is not acceptable or contraindicated.
  • 28.
    DISCUSION  advantages oflasers - excellent homeostasis, precision, tissue surface sterilization, decreased swelling and edema, decreased pain, faster healing, and increased patient acceptance. (Rossman J et al)  A diode laser is a solid-state semiconductor laser that typically uses a combination of gallium, arsenide, and other elements, such as aluminum and indium, to change electrical energy into light energy. (Prabhu ji)  It does not interact with dental hard tissues, making it an excellent soft-tissue surgical laser  It is used for cutting and coagulating gingiva and oral mucosa and for soft-tissue curettage or sulcular debridement. (Mani A et al)  results are more predictable and less stressful to patients and clinicians. (Sawai MA)
  • 29.
    DISCUSION  The conventionalperiodontal flap surgery allowed use of bone graft for periodontal reconstruction  vestibular deepening with diode laser helped in maintaining the mucogingival complex at the presurgical level by apically repositioning the frenal and muscle attachments.  The combination of the two surgical procedures in one sitting resulted in highly significant increase in attached gingiva, keratinized gingiva, and VD over multiple teeth while simultaneously relieving the tension on the gingiva.  There were minimal patient discomfort and postoperative complications.  This one-step surgical technique does not involve any other site as in soft tissue graft.
  • 30.
    FROM WHERE THEKT CAME  A rapidly dividing group of cells from mesial and/or distal aspects of the wound grows around a more slowly dividing group mucosal cells present in the coronal and apical areas of the wound  The initial incision made dissipates the tension that was exercised by the muscular fibers of the alveolar mucosa onto the marginal soft tissue margin. This reduction in tension over the granulation tissue covering the exposed periosteum may induce genotypic changes to the epithelial cells that favor immobility and therefore keratinization.  As a response to the surgical insult, the periodontal ligament may proliferate coronally, which may induce the keratinization of the epithelial cells over it.
  • 31.
    CONCLUSION  The surgicaltechnique described in this article is a cost-effective method to prolong the life of lower anterior teeth with questionable prognosis.  The increase in VD and attached gingiva can improve the success of implants if required in the future.  Limitations of the study - long-term follow-up of patients with regard to bone regeneration and effect on tooth mobility.

Editor's Notes

  • #4 Buffer zone bcz it dissipates the forces exerted by the mobile skeletal muscles of the a. mucosa
  • #11 Vestibular depth, defined as the distance from the free gingival margin to the mucogingival junction, was measured with a periodontal probe positioned vertically. Using the classification system of H.Y. Pakalns, vestibular depth was defined as shallow– less than 5 mm; medium– 5-10 mm; and deep – more than 10 mm.
  • #25 It was observed that only 1 site with Grade 3 mobility coincided with bone loss >2/3rd root surface. Teeth with Grade 2 mobility included 3 incisors and had >2/3rd bone loss. Out of the tooth sites with Grade 1 mobility, 1 incisor and 1 canine had 1/3rd bone loss, 17 incisors had up to 2/3rd bone loss; and 11 incisors had >2/3rd bone loss. In the sites with no clinical tooth mobility, 1/3rd bone loss was seen in 7 incisors and 13 canines, up to 2/3rd bone loss in 15 incisors and 2 canines; and >2/3rd bone loss in 1 lateral incisor and no bone loss in 2 canines.