OVERVIEW OF CELL INJURY
• Cells are active participants in their environment,
• constantly adjusting structure and function to accommodate
• changing demands and extracellular stresses.
• Cells
• preserve their immediate environment and
• intracellular milieu within a relatively narrow range of physiologic
parameters- > normal homeostasis.
• physiologic stresses or pathologic stimuli -> adaptation, achieving
a new steady state and preserving viability.
1
• adaptive responses are atrophy, hypertrophy, hyperplasia, and
metaplasia.
• If the adaptive capability is exceeded, cell injury develops.
• Within certain limits, injury is reversible, and cells return to a
stable baseline;
• with severe or persistent stress, irreversible injury results, and
the affected cells die.
2
• The relationships between normal, adapted, and reversibly
and irreversibly injured cells.
• Myocardium
• in hypertension or with a stenotic valve,
• hypertrophy.
3
• Prolonged starvation or in cachexia
• myocardium -> atrophy.
• If Coronary Artery occlusion is incomplete or sufficiently brief,
• Myocardium - reversible injury
• complete or prolonged occlusion.
• Myocardium – irreversible injury
4
• stresses and injury - affect the morphologic appearance &
functional status of cells and tissues.
• reversibly injured myocytes are not dead and,
• resemble normal myocytes;
• transiently noncontractile and
• a potentially lethal clinical impact.
• Whether a specific form of stress induces adaptation or causes
reversible or irreversible injury depends not only on
• the nature and severity of the stress but also on several other
variables, including
• specific cellular vulnerability,
• differentiation,
• blood supply, and
• nutritional status.
5
CAUSES OF CELL INJURY
• The stresses that can induce cell injury range from
• physical trauma of a motor vehicle accident to
• the single gene defect.
• Grouped into the following broad categories.
6
Oxygen Deprivation.
• Hypoxia, or oxygen deficiency,
• interferes with aerobic oxidative respiration and
• common cause of cell injury and death.
• oxygen deficiency
1. Ischemia
2. inadequate oxygenation of the blood,
• pneumonia, or
3. reduction in the oxygen-carrying capacity of the blood,
• anemia or CO poisoning.
7
• Chemical Agents.
• any chemical substance can cause injury
1. glucose or salt - derange the osmotic environment injury or
cell death.
2. Oxygen at sufficiently high partial pressures is also toxic.
3. poisons - severe damage at the cellular level
• altering membrane permeability,
• osmotic homeostasis, or
• the integrity of an enzyme or cofactor
• the death of the whole organism.
8
4. potentially toxic agents in our environment;
• air pollutants,
• insecticides,
• carbon monoxide,
• asbestos, and
• social "stimuli" such as ethanol.
5. Therapeutic drugs
• cell or tissue injury in a susceptible patient or in the
appropriate setting.
9
• Infectious Agents.
• submicroscopic viruses to meter-long tapeworms;
• the rickettsiae, bacteria, fungi, and protozoans.
10
• Immunologic Reactions.
• immune reactions intended or incidental.
• Anaphylaxis to a foreign protein or a drug.
• autoimmune diseases .
11
• Genetic Defects.
• congenital malformations associated with Down syndrome or
• the single amino acid substitution in the hemoglobin S of sickle cell
anemia.
• inborn errors of metabolism
• cell and tissue damage
• "trivial" alterations in deoxyribonucleic acid (DNA).
12
• Nutritional Imbalances.
• nutritional deficiencies remain a major cause of cell injury.
• Protein-calorie insufficiency.
• specific vitamin deficiencies
13
• Excesses of nutrition are also important
• obesity increases the risk for type 2.
• diets rich in animal fat
• atherosclerosis
• cancer.
14
• Physical Agents.
• Trauma,
• extremes of temperatures,
• radiation,
• electric shock, and
• sudden changes in atmospheric pressure
• all have wide-ranging effects on cells.
15
• Three common forms of cell injury:
• ischemic and hypoxic injury,
• free radical-induced injury, and
• toxic injury.
16
• Anaerobic energy generation also ceases in ischemic tissues after
• substrates are exhausted or
• glycolysis is inhibited by metabolites.
• Ischemia injures tissues faster than does hypoxia.
17
• hypoxia is on the cell's aerobic respiration,
• reduced oxygen tension -> generation of ATP is markedly reduced.
• depletion of ATP has widespread effects.
18
• Activity of the plasma membrane ATP-driven "sodium pump" is
reduced,
• accumulation of intracellular sodium and the diffusion of potassium
out of the cell.
• net gain of sodium solute -> isosmotic gain of water, -> acute
cellular swelling.
• Exacerbated
• inorganic phosphates,
• lactic acid, and
• purine nucleosides.
19
• Anaerobic glycolysis increases.
• the cell's energy by generating ATP from glycogen, and
• activation -> rapid depletion of glycogen stores,
• apparent histologically.
20
• accumulation of lactic acid and inorganic phosphates -> lowering
the intracellular pH.
21
• Decreasing pH and ATP levels cause
• ribosomes to detach from the rough endoplasmic reticulum (RER) and
• polysomes to dissociate into monosomes,
• reduction in protein synthesis.
22
Ischemia/Reperfusion Injury
• If cells are reversibly injured, the restoration of blood flow can
result in cell recovery.
• under certain circumstances, the restoration of blood flow to
ischemic but otherwise viable tissues results, paradoxically, in
exacerbated and accelerated injury.
23
• tissues sustain the loss of cells.
• called ischemia/reperfusion injury
• myocardial and
• cerebral infarctions
24
• the exact mechanisms are unclear,
• reperfusion into ischemic tissues may cause further damage :
• blood flow bathes compromised cells in high concentrations of
calcium -> increased intracellular calcium activates enzymes -> a
loss of cellular integrity.
25
• locally augmented recruitment of inflammatory cells -> release
high levels of oxygen-derived reactive species -> additional
membrane damage as well as the mitochondrial permeability
transition.
26
• Damaged mitochondria in compromised but viable cells yield
• incomplete oxygen reduction -> increased production of free radical
species;
• compromised antioxidant defense mechanisms.
27
Free Radical-Induced Cell Injury
• Free radical damage also underlies
• chemical and
• radiation injury,
• toxicity from oxygen and other gases,
• cellular aging,
• microbial killing by phagocytic cells,
• inflammatory cell damage,
• tumor destruction by macrophages, and
• other injurious processes.
28
• Free radicals -a single unpaired electron.
• readily react with inorganic or organic chemicals;
• attack and degrade
• nucleic acids,
• membrane molecules.
• free radicals initiate autocatalytic reactions;
• molecules that react with free radicals are in turn converted into free
radicals.
29
• Free radicals may be generated within cells by
• The reduction-oxidation (redox) reactions
• superoxide radicals
• hydrogen peroxide (H2O2), and
• OH·.
30
• intracellular oxidases (xanthine oxidase)
• superoxide radicals.
• copper and iron catalyze free radical formation,
• Fenton reaction (Fe++ + H2O2 → Fe+++ + OH· + OH-).
31
• Nitric oxide (NO) - can act as a free radical or can be converted
into highly reactive nitrite species.
• The absorption of radiant energy
• Ionizing radiation - hydrolyze water into hydroxyl (OH·) and hydrogen
(H·) free radicals.
• The enzymatic metabolism of exogenous chemicals
• carbon tetrachloride.
32
• Three reactions are relevant to cell injury mediated by free
radicals:
o Lipid peroxidation of membranes.
33
• DNA fragmentation.
• Cross-linking of proteins.
34
CELLULAR ADAPTATION TO
INJURY
• under normal conditions, cells constantly adapt to changes in
their environment.
• Physiologic adaptations
• responses of cells to normal stimulation by hormones or
endogenous chemical mediators
• the enlargement of the breast and
• induction of lactation by pregnancy.
35
• Pathologic adaptations often
• share the same underlying mechanisms, but they allow the cells
to modulate their environment and ideally escape injury.
• cellular adaptation is a state that lies between the normal,
unstressed cell and the injured, overstressed cell.
36
• the adaptive changes in cell growth and differentiation:
• atrophy,
• hypertrophy,
• hyperplasia, and
• metaplasia.
37
Atrophy
• Shrinkage in the size of the cell by the loss of cell substance is
known as atrophy.
• the entire tissue or organ diminishes in size, becoming
atrophic.
• atrophic cells may have diminished function, they are not
dead.
• apoptotic death may also be induced by the same signals that
cause atrophy.
38
• Causes of atrophy
• a decreased workload,
• a loss of innervation,
• a diminished blood supply,
• inadequate nutrition,
• a loss of endocrine stimulation, and
• aging.
39
• physiologic
• the loss of hormone stimulation in menopause and
• pathologic
• denervation
• the fundamental cellular changes are identical.
• represent a retreat by the cell to a smaller size at which survival is
still possible.
40
• Atrophy represents a reduction in the structural components of
the cell due to;
 Decreased synthesis,
 increased catabolism, or
 both may cause atrophy.
41
• atrophy
• increases of autophagic vacuoles.
42
• may progress to the point at which cells are injured and die.
• If the blood supply is inadequate even to maintain the life of
shrunken cells , injury and cell death may supervene.
• The atrophic tissue may then be replaced by fatty ingrowth.
43
Hypertrophy
• Hypertrophy is an increase in the size of cells and consequently
an increase in the size of the organ.
• bigger cells, enlarged by an increased synthesis of structural
proteins and organelles.
• Hypertrophy can be physiologic or pathologic
• caused by increased functional demand or by specific
hormonal stimulation.
• Hypertrophy and hyperplasia can also occur together.
44
• massive physiologic hypertrophy of the uterus during
pregnancy
• estrogen stimulation.
• weight lifter hypertrophy of individual skeletal muscle cells
• an increased workload.
• pathologic cellular hypertrophy
• cardiac enlargement - hypertension or aortic valve disease , and
myocardial infarction.
45
Hyperplasia
• Hyperplasia constitutes an increase in the number of cells in an
organ or tissue.
• Hypertrophy and hyperplasia are closely related and often
develop concurrently.
• the gravid uterus.
• In certain instances, even potentially dividing cells , undergo
hypertrophy but not hyperplasia.
46
• Hyperplasia can be physiologic or pathologic.
• Physiologic hyperplasia
• (1) hormonal hyperplasia,
• the proliferation of the glandular epithelium of the female breast.
• (2) compensatory hyperplasia,
• occurs when a portion of the tissue is removed or diseased. E.g.
partial hepatectomy.
47
• Hyperplasia is also a critical response of connective tissue cells
in wound healing.
48
• Pathologic hyperplasia - excessive hormonal or growth factor
stimulation.
• the balance between estrogen and progesterone is disturbed,
endometrial hyperplasia ensues, a common cause of abnormal
menstrual bleeding.
• Increased sensitivity to normal levels of growth factors may also
underlie pathologic hyperplasia.
49
• the common skin wart.
• any minor trophic stimulation of the cell by growth factors
results in an overexuberant mitotic activity.
• the hyperplastic process remains controlled; if hormonal or
growth factor stimulation abates, the hyperplasia disappears.
50
• This differentiates these processes from cancer, in which cells
continue to grow despite the absence of hormonal stimuli.
• pathologic hyperplasia constitutes a fertile soil in which
cancerous proliferation may eventually arise.
• hyperplasia of the endometrium are at increased risk of
developing endometrial cancer, and
• papillomavirus infections predispose to cervical cancers.
51
Metaplasia
• Metaplasia is a reversible change in which one adult cell type
(epithelial or mesenchymal) is replaced by another adult cell
type.
• cells sensitive to a particular stress are replaced by other cell
types better able to withstand the adverse environment.
52
• Epithelial metaplasia - squamous change in the respiratory
epithelium.
• Vitamin A deficiency , ciga. Smoking.
• important protective mechanisms are lost,
• mucus secretion and
• ciliary clearance.
53
• if persistent, may induce cancer transformation in the
metaplastic epithelium.
• squamous cell ca
54
• chronic gastric reflux
• Columnar metaplasia
• Osseous metaplasia- mesenchymal cells but less clearly as an
adaptive response.
• bone is occasionally formed in soft tissues, particularly in foci of
injury.
55
Intracellular Accumulations
• harmless or may cause varied degrees of injury.
• either in the cytoplasm(typically lysosomes), or in the nucleus.
• The substance may be synthesized by the affected cells or may
be produced elsewhere.
56
• three general pathways by which cells can accrue abnormal
intracellular accumulations :
1. A normal substance is produced at a normal or an increased
rate, but the metabolic rate is inadequate to remove it.
57
2. A normal or an abnormal endogenous substance accumulates
because of genetic or acquired defects in its metabolism,
packaging, transport, or secretion.
58
• An abnormal exogenous substance is deposited and
accumulates because the cell has neither the enzymatic
machinery to degrade the substance nor the ability to
transport it to other sites.
59
Fatty Change (Steatosis).
• Fatty change refers to any abnormal accumulation of
triglycerides within parenchymal cells.
60
• seen in the liver, heart, skeletal muscle, kidney, and other
organs.
• may be caused by toxins, protein malnutrition, diabetes
mellitus, obesity, and anoxia.
• alcohol abuse is the most common cause of fatty change in the
liver (fatty liver) in industrialized nations.
61
• may result from defects at any step from fatty acid entry to
lipoprotein exit.
• Hepatotoxins (e.g., alcohol) alter mitochondrial and SER
function;
• CCl4 and protein malnutrition decrease the synthesis of
apoproteins;
62
• anoxia inhibits fatty acid oxidation; and
• starvation increases fatty acid mobilization from peripheral
stores.
63
64
• The significance of fatty change depends on the cause and the
severity of accumulation.
• mild - no effect on cellular function.
• severe fatty - transiently impair cellular function.
• fatty change is reversible.
• In a severe form, fatty change may precede cell death.
65
FATTY LIVER 66
Pigments.
• Pigments are colored substances
• exogenous,
• Carbon
• tattoo
• endogenous.
• melanin
• hemosidern
67
carbon
Anthracosis
• Inhaled carbon -> phagocytosed by alveolar macrophages and
transported through lymphatic channels to the regional
tracheobronchial lymph nodes -> aggregates of the pigment ->
blackenening the draining lymph nodes and pulmonary
parenchyma.
• Heavy accumulations may induce coal workers'
pneumoconiosis.
68
Melanin
• an endogenous, brown-black pigment formed by melanocytes when
the enzyme tyrosinase catalyzes the oxidation of tyrosine to
dihydroxyphenylalanine.
• synthesized exclusively by melanocytes.
• Freckles – accumulation in basal keratinocytes.
• Nevus
• melanoma
69
Hemosiderin
• a hemoglobin-derived granular pigment that is golden-yellow
to brown.
• represents large aggregates of ferritin micelles.
• accumulates in tissues when there is a local or systemic excess
of iron.
70
• Local excesses of iron - hemorrhage.
• systemic overload of iron (hemosiderosis)
• (1) increased absorption of dietary iron,
• (2) impaired utilization of iron,
• (3) hemolytic anemias, and
• (4) transfusions
71
hemosiderosis
• first - the mononuclear phagocytes of the liver, bone marrow,
spleen, and lymph nodes and macrophages in other organs.
• Later - parenchymal cells ( the liver, pancreas, heart, and
endocrine organs)
• No organ dysfunction.
72
• extensive accumulations of iron + tissue injury (liver fibrosis,
heart failure, and diabetes mellitus) -> hemochromatosis.
73
Pathologic Calcification
• a common process in a wide variety of disease states.
• it implies the abnormal deposition of calcium salts, together
with smaller amounts of iron, magnesium, and other minerals.
74
• deposition in dead or dying tissues - dystrophic calcification.
• occurs in the absence of calcium metabolic derangements
(i.e., with normal serum levels of calcium).
• the deposition of calcium salts in normal tissues - metastatic
calcification.
75
clinically
• Silent.
• extensive calcifications in the lungs may produce respiratory
deficits, and
• massive deposits in the kidney -> nephrocalcinosis-> renal
damage.
76
Necrosis - refers to a sequence of morphologic changes that
follow cell death in living tissue.
• is the gross and histologic correlate of cell death occurring in
the setting of irreversible exogenous injury.
77
• The morphologic appearance of necrosis is the result of two
essentially concurrent processes: (1) enzymatic digestion of the
cell and (2) denaturation of proteins.
78
79
• Common pattern
• preservation of basic outline of the coagulated cell for some days
-intracellular acidosis
– protein denatured
– proteolysis inhibited
-e.g. myocardial infarction (ischemia) the myocardial cells will be replaced by
acidophilic, coagulated, anucleate cells
-latter the necrotic cells are removed by fragmentation and phagocytosis by
leukocytes
-coagulative necrosis is characteristic of hypoxic death of cells in all tissues
except the brain
Coagulative necrosis
LiquefactiveNecrosis
• focal bacterial (or fungal) infections
– accumulation of inflammatory
cells
-Dominant enzymatic digestion
-transformation of the necrotic tissue in to liquid
viscous mass (pus)
NB :hypoxic death of cells within CNS
80
81
82
*Gangrenousnecrosis
–not a distinctive type of necrosis but commonly used in clinical
practice to a limb that has lost its blood supply and undergone
coagulative necrosis
-when bacterial superinfection is superimposed coagulative
necrosis is modified by the liquefactive action of the bacteria
and the attracted leukocytes (so-called wet gangrene).
83
84
Bowel-gangrenous
Diabetic gangrene
85
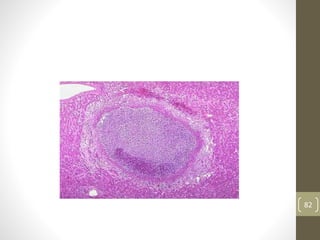
*Caseousnecrosis
• distinctive form of coagulative necrosis
• encountered most often in foci of tuberculous
infection
-The term caseous- ‘cheesy white’ gross
appearance of the area of necrosis
-microscopically-amorphous granular debris with
distinctive inflammatory border known as
granulomatous reaction
86
87
88
Fatnecrosis
• it is descriptive of focal areas of fat destruction,
• typically occurring as a result of release of activated
pancreatic lipases into the substance of the pancreas
and the peritoneal cavity in acute pancreatitis
• activated pancreas enzymes liquefy fat cell
membranes and release fatty acids
• fatty acids combine with calcium to produce
grossly visible chalky white areas (fat saponification)
89
saponification
• Non enzymatic fat necrosis
• In the breast following trauma
• In subcutaneous tissue
90
*Fibrinoidnecrosis
• special form
• usually seen in immune reactions involving
blood vessels
• when complexes of antigens and antibodies are
deposited in the walls of arteries
• Deposits of these "immune complexes,"
together with fibrin that has leaked out of
vessels, result in a bright pink and amorphous
appearance in H&E stains, called "Fibrinoid"
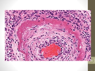
(fibrin-like).
• e.g., in polyarteritis nodosa, rheumatic fever
91
92
Apoptosis
• is a distinctive and important mode of cell death .
• Apoptosis ( meaning "a falling away from")
• the programmed cell death in several physiologic processes,
• embryogenesis,
• implantation,
• organogenesis, and
• developmental involution
93
• involution of the endometrium during the menstrual cycle, or
• involution of lactating breast ; or
• pathologic atrophy,
• Cell deletion in proliferating populations
94
• The cells shrink, form cytoplasmic buds, and fragment into
apoptotic bodies composed of membrane-bound vesicles of
cytosol and organelles.
95
Apoptosis Diagram
96
Ch. 1, p. 6, Fig. 1-6

patho 2.pptx

  • 1.
    OVERVIEW OF CELLINJURY • Cells are active participants in their environment, • constantly adjusting structure and function to accommodate • changing demands and extracellular stresses. • Cells • preserve their immediate environment and • intracellular milieu within a relatively narrow range of physiologic parameters- > normal homeostasis. • physiologic stresses or pathologic stimuli -> adaptation, achieving a new steady state and preserving viability. 1
  • 2.
    • adaptive responsesare atrophy, hypertrophy, hyperplasia, and metaplasia. • If the adaptive capability is exceeded, cell injury develops. • Within certain limits, injury is reversible, and cells return to a stable baseline; • with severe or persistent stress, irreversible injury results, and the affected cells die. 2
  • 3.
    • The relationshipsbetween normal, adapted, and reversibly and irreversibly injured cells. • Myocardium • in hypertension or with a stenotic valve, • hypertrophy. 3
  • 4.
    • Prolonged starvationor in cachexia • myocardium -> atrophy. • If Coronary Artery occlusion is incomplete or sufficiently brief, • Myocardium - reversible injury • complete or prolonged occlusion. • Myocardium – irreversible injury 4
  • 5.
    • stresses andinjury - affect the morphologic appearance & functional status of cells and tissues. • reversibly injured myocytes are not dead and, • resemble normal myocytes; • transiently noncontractile and • a potentially lethal clinical impact. • Whether a specific form of stress induces adaptation or causes reversible or irreversible injury depends not only on • the nature and severity of the stress but also on several other variables, including • specific cellular vulnerability, • differentiation, • blood supply, and • nutritional status. 5
  • 6.
    CAUSES OF CELLINJURY • The stresses that can induce cell injury range from • physical trauma of a motor vehicle accident to • the single gene defect. • Grouped into the following broad categories. 6
  • 7.
    Oxygen Deprivation. • Hypoxia,or oxygen deficiency, • interferes with aerobic oxidative respiration and • common cause of cell injury and death. • oxygen deficiency 1. Ischemia 2. inadequate oxygenation of the blood, • pneumonia, or 3. reduction in the oxygen-carrying capacity of the blood, • anemia or CO poisoning. 7
  • 8.
    • Chemical Agents. •any chemical substance can cause injury 1. glucose or salt - derange the osmotic environment injury or cell death. 2. Oxygen at sufficiently high partial pressures is also toxic. 3. poisons - severe damage at the cellular level • altering membrane permeability, • osmotic homeostasis, or • the integrity of an enzyme or cofactor • the death of the whole organism. 8
  • 9.
    4. potentially toxicagents in our environment; • air pollutants, • insecticides, • carbon monoxide, • asbestos, and • social "stimuli" such as ethanol. 5. Therapeutic drugs • cell or tissue injury in a susceptible patient or in the appropriate setting. 9
  • 10.
    • Infectious Agents. •submicroscopic viruses to meter-long tapeworms; • the rickettsiae, bacteria, fungi, and protozoans. 10
  • 11.
    • Immunologic Reactions. •immune reactions intended or incidental. • Anaphylaxis to a foreign protein or a drug. • autoimmune diseases . 11
  • 12.
    • Genetic Defects. •congenital malformations associated with Down syndrome or • the single amino acid substitution in the hemoglobin S of sickle cell anemia. • inborn errors of metabolism • cell and tissue damage • "trivial" alterations in deoxyribonucleic acid (DNA). 12
  • 13.
    • Nutritional Imbalances. •nutritional deficiencies remain a major cause of cell injury. • Protein-calorie insufficiency. • specific vitamin deficiencies 13
  • 14.
    • Excesses ofnutrition are also important • obesity increases the risk for type 2. • diets rich in animal fat • atherosclerosis • cancer. 14
  • 15.
    • Physical Agents. •Trauma, • extremes of temperatures, • radiation, • electric shock, and • sudden changes in atmospheric pressure • all have wide-ranging effects on cells. 15
  • 16.
    • Three commonforms of cell injury: • ischemic and hypoxic injury, • free radical-induced injury, and • toxic injury. 16
  • 17.
    • Anaerobic energygeneration also ceases in ischemic tissues after • substrates are exhausted or • glycolysis is inhibited by metabolites. • Ischemia injures tissues faster than does hypoxia. 17
  • 18.
    • hypoxia ison the cell's aerobic respiration, • reduced oxygen tension -> generation of ATP is markedly reduced. • depletion of ATP has widespread effects. 18
  • 19.
    • Activity ofthe plasma membrane ATP-driven "sodium pump" is reduced, • accumulation of intracellular sodium and the diffusion of potassium out of the cell. • net gain of sodium solute -> isosmotic gain of water, -> acute cellular swelling. • Exacerbated • inorganic phosphates, • lactic acid, and • purine nucleosides. 19
  • 20.
    • Anaerobic glycolysisincreases. • the cell's energy by generating ATP from glycogen, and • activation -> rapid depletion of glycogen stores, • apparent histologically. 20
  • 21.
    • accumulation oflactic acid and inorganic phosphates -> lowering the intracellular pH. 21
  • 22.
    • Decreasing pHand ATP levels cause • ribosomes to detach from the rough endoplasmic reticulum (RER) and • polysomes to dissociate into monosomes, • reduction in protein synthesis. 22
  • 23.
    Ischemia/Reperfusion Injury • Ifcells are reversibly injured, the restoration of blood flow can result in cell recovery. • under certain circumstances, the restoration of blood flow to ischemic but otherwise viable tissues results, paradoxically, in exacerbated and accelerated injury. 23
  • 24.
    • tissues sustainthe loss of cells. • called ischemia/reperfusion injury • myocardial and • cerebral infarctions 24
  • 25.
    • the exactmechanisms are unclear, • reperfusion into ischemic tissues may cause further damage : • blood flow bathes compromised cells in high concentrations of calcium -> increased intracellular calcium activates enzymes -> a loss of cellular integrity. 25
  • 26.
    • locally augmentedrecruitment of inflammatory cells -> release high levels of oxygen-derived reactive species -> additional membrane damage as well as the mitochondrial permeability transition. 26
  • 27.
    • Damaged mitochondriain compromised but viable cells yield • incomplete oxygen reduction -> increased production of free radical species; • compromised antioxidant defense mechanisms. 27
  • 28.
    Free Radical-Induced CellInjury • Free radical damage also underlies • chemical and • radiation injury, • toxicity from oxygen and other gases, • cellular aging, • microbial killing by phagocytic cells, • inflammatory cell damage, • tumor destruction by macrophages, and • other injurious processes. 28
  • 29.
    • Free radicals-a single unpaired electron. • readily react with inorganic or organic chemicals; • attack and degrade • nucleic acids, • membrane molecules. • free radicals initiate autocatalytic reactions; • molecules that react with free radicals are in turn converted into free radicals. 29
  • 30.
    • Free radicalsmay be generated within cells by • The reduction-oxidation (redox) reactions • superoxide radicals • hydrogen peroxide (H2O2), and • OH·. 30
  • 31.
    • intracellular oxidases(xanthine oxidase) • superoxide radicals. • copper and iron catalyze free radical formation, • Fenton reaction (Fe++ + H2O2 → Fe+++ + OH· + OH-). 31
  • 32.
    • Nitric oxide(NO) - can act as a free radical or can be converted into highly reactive nitrite species. • The absorption of radiant energy • Ionizing radiation - hydrolyze water into hydroxyl (OH·) and hydrogen (H·) free radicals. • The enzymatic metabolism of exogenous chemicals • carbon tetrachloride. 32
  • 33.
    • Three reactionsare relevant to cell injury mediated by free radicals: o Lipid peroxidation of membranes. 33
  • 34.
    • DNA fragmentation. •Cross-linking of proteins. 34
  • 35.
    CELLULAR ADAPTATION TO INJURY •under normal conditions, cells constantly adapt to changes in their environment. • Physiologic adaptations • responses of cells to normal stimulation by hormones or endogenous chemical mediators • the enlargement of the breast and • induction of lactation by pregnancy. 35
  • 36.
    • Pathologic adaptationsoften • share the same underlying mechanisms, but they allow the cells to modulate their environment and ideally escape injury. • cellular adaptation is a state that lies between the normal, unstressed cell and the injured, overstressed cell. 36
  • 37.
    • the adaptivechanges in cell growth and differentiation: • atrophy, • hypertrophy, • hyperplasia, and • metaplasia. 37
  • 38.
    Atrophy • Shrinkage inthe size of the cell by the loss of cell substance is known as atrophy. • the entire tissue or organ diminishes in size, becoming atrophic. • atrophic cells may have diminished function, they are not dead. • apoptotic death may also be induced by the same signals that cause atrophy. 38
  • 39.
    • Causes ofatrophy • a decreased workload, • a loss of innervation, • a diminished blood supply, • inadequate nutrition, • a loss of endocrine stimulation, and • aging. 39
  • 40.
    • physiologic • theloss of hormone stimulation in menopause and • pathologic • denervation • the fundamental cellular changes are identical. • represent a retreat by the cell to a smaller size at which survival is still possible. 40
  • 41.
    • Atrophy representsa reduction in the structural components of the cell due to;  Decreased synthesis,  increased catabolism, or  both may cause atrophy. 41
  • 42.
    • atrophy • increasesof autophagic vacuoles. 42
  • 43.
    • may progressto the point at which cells are injured and die. • If the blood supply is inadequate even to maintain the life of shrunken cells , injury and cell death may supervene. • The atrophic tissue may then be replaced by fatty ingrowth. 43
  • 44.
    Hypertrophy • Hypertrophy isan increase in the size of cells and consequently an increase in the size of the organ. • bigger cells, enlarged by an increased synthesis of structural proteins and organelles. • Hypertrophy can be physiologic or pathologic • caused by increased functional demand or by specific hormonal stimulation. • Hypertrophy and hyperplasia can also occur together. 44
  • 45.
    • massive physiologichypertrophy of the uterus during pregnancy • estrogen stimulation. • weight lifter hypertrophy of individual skeletal muscle cells • an increased workload. • pathologic cellular hypertrophy • cardiac enlargement - hypertension or aortic valve disease , and myocardial infarction. 45
  • 46.
    Hyperplasia • Hyperplasia constitutesan increase in the number of cells in an organ or tissue. • Hypertrophy and hyperplasia are closely related and often develop concurrently. • the gravid uterus. • In certain instances, even potentially dividing cells , undergo hypertrophy but not hyperplasia. 46
  • 47.
    • Hyperplasia canbe physiologic or pathologic. • Physiologic hyperplasia • (1) hormonal hyperplasia, • the proliferation of the glandular epithelium of the female breast. • (2) compensatory hyperplasia, • occurs when a portion of the tissue is removed or diseased. E.g. partial hepatectomy. 47
  • 48.
    • Hyperplasia isalso a critical response of connective tissue cells in wound healing. 48
  • 49.
    • Pathologic hyperplasia- excessive hormonal or growth factor stimulation. • the balance between estrogen and progesterone is disturbed, endometrial hyperplasia ensues, a common cause of abnormal menstrual bleeding. • Increased sensitivity to normal levels of growth factors may also underlie pathologic hyperplasia. 49
  • 50.
    • the commonskin wart. • any minor trophic stimulation of the cell by growth factors results in an overexuberant mitotic activity. • the hyperplastic process remains controlled; if hormonal or growth factor stimulation abates, the hyperplasia disappears. 50
  • 51.
    • This differentiatesthese processes from cancer, in which cells continue to grow despite the absence of hormonal stimuli. • pathologic hyperplasia constitutes a fertile soil in which cancerous proliferation may eventually arise. • hyperplasia of the endometrium are at increased risk of developing endometrial cancer, and • papillomavirus infections predispose to cervical cancers. 51
  • 52.
    Metaplasia • Metaplasia isa reversible change in which one adult cell type (epithelial or mesenchymal) is replaced by another adult cell type. • cells sensitive to a particular stress are replaced by other cell types better able to withstand the adverse environment. 52
  • 53.
    • Epithelial metaplasia- squamous change in the respiratory epithelium. • Vitamin A deficiency , ciga. Smoking. • important protective mechanisms are lost, • mucus secretion and • ciliary clearance. 53
  • 54.
    • if persistent,may induce cancer transformation in the metaplastic epithelium. • squamous cell ca 54
  • 55.
    • chronic gastricreflux • Columnar metaplasia • Osseous metaplasia- mesenchymal cells but less clearly as an adaptive response. • bone is occasionally formed in soft tissues, particularly in foci of injury. 55
  • 56.
    Intracellular Accumulations • harmlessor may cause varied degrees of injury. • either in the cytoplasm(typically lysosomes), or in the nucleus. • The substance may be synthesized by the affected cells or may be produced elsewhere. 56
  • 57.
    • three generalpathways by which cells can accrue abnormal intracellular accumulations : 1. A normal substance is produced at a normal or an increased rate, but the metabolic rate is inadequate to remove it. 57
  • 58.
    2. A normalor an abnormal endogenous substance accumulates because of genetic or acquired defects in its metabolism, packaging, transport, or secretion. 58
  • 59.
    • An abnormalexogenous substance is deposited and accumulates because the cell has neither the enzymatic machinery to degrade the substance nor the ability to transport it to other sites. 59
  • 60.
    Fatty Change (Steatosis). •Fatty change refers to any abnormal accumulation of triglycerides within parenchymal cells. 60
  • 61.
    • seen inthe liver, heart, skeletal muscle, kidney, and other organs. • may be caused by toxins, protein malnutrition, diabetes mellitus, obesity, and anoxia. • alcohol abuse is the most common cause of fatty change in the liver (fatty liver) in industrialized nations. 61
  • 62.
    • may resultfrom defects at any step from fatty acid entry to lipoprotein exit. • Hepatotoxins (e.g., alcohol) alter mitochondrial and SER function; • CCl4 and protein malnutrition decrease the synthesis of apoproteins; 62
  • 63.
    • anoxia inhibitsfatty acid oxidation; and • starvation increases fatty acid mobilization from peripheral stores. 63
  • 64.
  • 65.
    • The significanceof fatty change depends on the cause and the severity of accumulation. • mild - no effect on cellular function. • severe fatty - transiently impair cellular function. • fatty change is reversible. • In a severe form, fatty change may precede cell death. 65
  • 66.
  • 67.
    Pigments. • Pigments arecolored substances • exogenous, • Carbon • tattoo • endogenous. • melanin • hemosidern 67
  • 68.
    carbon Anthracosis • Inhaled carbon-> phagocytosed by alveolar macrophages and transported through lymphatic channels to the regional tracheobronchial lymph nodes -> aggregates of the pigment -> blackenening the draining lymph nodes and pulmonary parenchyma. • Heavy accumulations may induce coal workers' pneumoconiosis. 68
  • 69.
    Melanin • an endogenous,brown-black pigment formed by melanocytes when the enzyme tyrosinase catalyzes the oxidation of tyrosine to dihydroxyphenylalanine. • synthesized exclusively by melanocytes. • Freckles – accumulation in basal keratinocytes. • Nevus • melanoma 69
  • 70.
    Hemosiderin • a hemoglobin-derivedgranular pigment that is golden-yellow to brown. • represents large aggregates of ferritin micelles. • accumulates in tissues when there is a local or systemic excess of iron. 70
  • 71.
    • Local excessesof iron - hemorrhage. • systemic overload of iron (hemosiderosis) • (1) increased absorption of dietary iron, • (2) impaired utilization of iron, • (3) hemolytic anemias, and • (4) transfusions 71
  • 72.
    hemosiderosis • first -the mononuclear phagocytes of the liver, bone marrow, spleen, and lymph nodes and macrophages in other organs. • Later - parenchymal cells ( the liver, pancreas, heart, and endocrine organs) • No organ dysfunction. 72
  • 73.
    • extensive accumulationsof iron + tissue injury (liver fibrosis, heart failure, and diabetes mellitus) -> hemochromatosis. 73
  • 74.
    Pathologic Calcification • acommon process in a wide variety of disease states. • it implies the abnormal deposition of calcium salts, together with smaller amounts of iron, magnesium, and other minerals. 74
  • 75.
    • deposition indead or dying tissues - dystrophic calcification. • occurs in the absence of calcium metabolic derangements (i.e., with normal serum levels of calcium). • the deposition of calcium salts in normal tissues - metastatic calcification. 75
  • 76.
    clinically • Silent. • extensivecalcifications in the lungs may produce respiratory deficits, and • massive deposits in the kidney -> nephrocalcinosis-> renal damage. 76
  • 77.
    Necrosis - refersto a sequence of morphologic changes that follow cell death in living tissue. • is the gross and histologic correlate of cell death occurring in the setting of irreversible exogenous injury. 77
  • 78.
    • The morphologicappearance of necrosis is the result of two essentially concurrent processes: (1) enzymatic digestion of the cell and (2) denaturation of proteins. 78
  • 79.
    79 • Common pattern •preservation of basic outline of the coagulated cell for some days -intracellular acidosis – protein denatured – proteolysis inhibited -e.g. myocardial infarction (ischemia) the myocardial cells will be replaced by acidophilic, coagulated, anucleate cells -latter the necrotic cells are removed by fragmentation and phagocytosis by leukocytes -coagulative necrosis is characteristic of hypoxic death of cells in all tissues except the brain Coagulative necrosis
  • 80.
    LiquefactiveNecrosis • focal bacterial(or fungal) infections – accumulation of inflammatory cells -Dominant enzymatic digestion -transformation of the necrotic tissue in to liquid viscous mass (pus) NB :hypoxic death of cells within CNS 80
  • 81.
  • 82.
  • 83.
    *Gangrenousnecrosis –not a distinctivetype of necrosis but commonly used in clinical practice to a limb that has lost its blood supply and undergone coagulative necrosis -when bacterial superinfection is superimposed coagulative necrosis is modified by the liquefactive action of the bacteria and the attracted leukocytes (so-called wet gangrene). 83
  • 84.
  • 85.
    85 *Caseousnecrosis • distinctive formof coagulative necrosis • encountered most often in foci of tuberculous infection -The term caseous- ‘cheesy white’ gross appearance of the area of necrosis -microscopically-amorphous granular debris with distinctive inflammatory border known as granulomatous reaction
  • 86.
  • 87.
  • 88.
    88 Fatnecrosis • it isdescriptive of focal areas of fat destruction, • typically occurring as a result of release of activated pancreatic lipases into the substance of the pancreas and the peritoneal cavity in acute pancreatitis • activated pancreas enzymes liquefy fat cell membranes and release fatty acids • fatty acids combine with calcium to produce grossly visible chalky white areas (fat saponification)
  • 89.
  • 90.
    • Non enzymaticfat necrosis • In the breast following trauma • In subcutaneous tissue 90
  • 91.
    *Fibrinoidnecrosis • special form •usually seen in immune reactions involving blood vessels • when complexes of antigens and antibodies are deposited in the walls of arteries • Deposits of these "immune complexes," together with fibrin that has leaked out of vessels, result in a bright pink and amorphous appearance in H&E stains, called "Fibrinoid" (fibrin-like). • e.g., in polyarteritis nodosa, rheumatic fever 91
  • 92.
  • 93.
    Apoptosis • is adistinctive and important mode of cell death . • Apoptosis ( meaning "a falling away from") • the programmed cell death in several physiologic processes, • embryogenesis, • implantation, • organogenesis, and • developmental involution 93
  • 94.
    • involution ofthe endometrium during the menstrual cycle, or • involution of lactating breast ; or • pathologic atrophy, • Cell deletion in proliferating populations 94
  • 95.
    • The cellsshrink, form cytoplasmic buds, and fragment into apoptotic bodies composed of membrane-bound vesicles of cytosol and organelles. 95
  • 96.