Embed presentation
Downloaded 10 times











































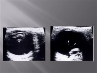
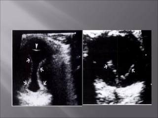
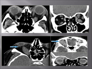
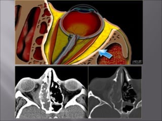
Ultrasound and CT scans provide anatomical images of the orbit, while color Doppler imaging provides visualizations of vascular structures and blood flow within lesions. These imaging techniques are used to evaluate a variety of orbital conditions involving blood vessels, infections, tumors, congenital issues, trauma, and more, and can help identify vascular disorders, thrombosis, treatment responses, and dynamic changes in benign tumors over time.










































